 Sık görülür(8/1000)
 Yaygın tarama programlarının
uygulandığı trisomi 21’den 8,
NTD’den 4 kat daha sık
 Kromozomal/yapısal anomaliler/
sendromlarla birliktedir(% 50-%25)
 Anomalilere bağlı ölümlerin % 50’si
 Antenatal tedavi edilebilir
 Antenatal tanı ile postnatal
morbidite ve mortalite düşürülebilir
 KKH için primer önleme yoktur
 Sekonder önleme için prenatal tanı
oranını artırılmalı
 KKH’nın % 80’i düşük risk grubunda
ortaya çıktığı için tüm populasyon
taranmalı
 Tüm populasyon taraması ile prenatal
tanısı % 25-45??
 Riskli grubun taranması KKH prenatal
tanısı % 3.3
Annamari N, 2006
Amark K, 2004
J S Carvalho, Heart 2002
Sklansky,Pediatr Cardiol ,2013
 Kardiyak değerlendirmeyi geliştirmek için son 20 yılda yapılan girişimlere rağmen, majör KH
prenatal tanı oranı diğer fetal sistemlerdeki malformasyonların tanısındaki gelişmeyi
gösterememiştir
 % 80 CNS, % 89 renal pat., KKH % 15-48
Chew C,Journal of Pediatrics, 2006
Marek,Heart,2013
Prental tanı oranları
değişken???
Kim bakıyor
Protokoller
Hasta özellikleri
Kardiyak anomali tipi
Tegnander, Ultrasound Obstet
Gynecol 2006
Marek,Heart,2013
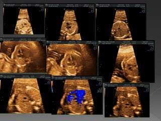
 4 odacık görüntüleme
 Sağ ve sol ventrikül çıkışları (LVOT;RVOT)
 4 CV DR % 43
 4 CV+OTV/3 VTV % 89
 4 CV+OTV+3 VTV % 89
 ECEE
 STIC(spatiotemporal image correlation)
 FINE (Fetal Intelligent Navigation Echocardiography)
Plos one, 2013
 Fetal kalp incelemesinin temeli iyi prob
kullanımı-iyi görüntü elde etme
 Beceriler pratik ve deneyim ile elde
edilebilir
 Başarılı bir görüntüleme için probunun
hareketlerinin nasıl kombine
edileceğinin anlaşılması gerekir
 Kaydırma, Basınç, Eğme
 Horizontal (fetusun doğrultusunda
yatay hareket)
 Rotasyon (transdüserin olduğu yerde
kendi etrafında çevrilmesi)
 Açılanma (transdüserin açılandırılması),.
 18-22 hf
 Teknik özellikler
 USG probları:
 Yüksek frekanslı problar küçük kusurların yakalanma şansını artırır
 Hormonik görüntüleme görüntü kalitesini artırır(ileri hafta,obez hasta)
 Görüntü parametreleri
 2 B gri skala temel kardiyak incelemede yeterli
 Yüksek frame rate, artmış kontrast ,yüksek resolusyon,dar görüntü alanı
 Zoom ve cine-loop
 Görüntü büyütebilme
 Cine-loop
 Fetusu doğru
değerlendirebilmek için
nasıl durduğunu bilmek
önemlidir
 Proba göre omurga;
yukarı, arkada ya da
lateralde
 Mide ve kalbin sol da
olduğunu teyit
 .
 Sweep (4O, büyük arterler)
 Rotasyonel(büyük damarların uzun
eksenleri)
 Tranvers kesitler fetusun
büyüklüğü ve derinliğine bağlı
olarak horizontal hareket ve/veya
transdüserin açılandırılması ile
elde edilir
• Fetus küçük ve derin ise
açılandırma
• Gebelik haftası ileri ve fetus
transdüsere yakın ise horizontal
hareket
• Genellikle açılandırma ve yatay
hareket içgüdüsel olarak birlikte
kullanılır
 Dört temel intrakardiyak
görüntü:
• Dört odacık görüntüsü
• LVOT görüntüsü
• 3 damar görüntüsü (3V)
• Aortik arkın tranvers kesiti
4 CV
LVOT
RVOT
Mide ,aort, omurga
3 VT
• Fetal abdomenin standart kesitinden
başlayıp toraks girişine kadar sürekli
bir tranvers tarama yapılır
• 5 aksiyal kesit elde edlir
• Bu kesitler ile rutin fetal kalp taraması
için gerekli olan tüm bilgiler elde
edilebilir
 Diyaframın hemen üzerinde toraksın
tranvers kesiti ile elde edilir
 Fetusun oryantasyonuna bağlı
apikal, lateral ya da ters apikal
görüntü alabilir
 Tümü analiz yapmak için uygundur
 Fetal omurga aşağıda olduğunda
ideal olarak görüntülenir
 DO kesiti ‘crux’ merkeze alınarak analiz
edilmelidir
 Crux alt hizasından kesit alınırsa koroner sinüs,
üst hizasından alınırsa LVOT görüntülenir
 İnce bilek hareketleri ile doğru dört odacık
görüntüsü elde edene kadar transdüseri
hareket ettirin
 Toraks daire şeklindedir ve bir kosta tam
olarak görülebilir, birden fazla kosta
görülüyorsa kesit eğik demekdir
 Sweep tekniği ile normal kalpte, apikal
4O kesitinden sonra başa doğru hafif
rotasyon ile ilk görülen aortadır
 A. sol ventrikülden çıkar ve sağ omuza
doğru yönelir
 A. ön duvarı ventriküler septum ile
devamlıdır
 A. arka duvarı mitral kapak ön yaprakcık
ile devamlıdır
 A. kapağı sistol sırasında açıktır
Sol ventrikül çıkış kesiti
 Rotasyonel teknik (dört
kadran elde edildikten
sonra prop fetal sağ omuza
döndürülür)
 Asendan aortanın tümü bu
kesitte görülebilir
Aortik kökün uzun aks kesiti
 Sweep tekniğinde 4O
görüntüsünden kaudale doğru
ilerleryen transvers kesitlerde
pulmoner arter ve aorta
çaprazlanması ve pul arter
bifurkasyonu görülebilir
 Sweep veya rotasyonel teknik ile
LVOT görüntüsü elde edildikten
sonra prop aortaya dik olacak
şekilde fetal başa doğru
yönlendirildiğinde pulmoner arter
görüntülenir
 Transvers kesit duruşunu
koruyarak, prop biraz daha
fetal başa doğru kaydırılır
 hemen aortun üzerinden,
sağ ventrikülden çıkan
pulmoner arter, aortik kök
üzerinden çaprazlanarak
duktus arteriosus olarak
devam eder
 3V görüntüsünden biraz daha sefalik
yöne transvers kesit alındığında
tranvers aortik ark ortaya çıkar
 Transduserin transvers aortik ark
üzerinde iken hafif açılandırılması ile
aynı anda aortik ark ve ductus
arteriosus izlenebilir;
 boyutları, pozisyonları ve akımlarının
incelenebilir
 T sıvı dolu bir alanı çeviren
hiperekojenik bir halka olarak görülür
 DArk ve AArk trakeanın solunda ve V
biçiminde görülür
V biçiminde DArk ve AArk kesiti
 Kalbin longitudinal kesit ile incelenmesi
opsiyoneldir
 Kalbin tüm normal özellikleri sweep tekniğ
ile görüntülenebilir ve longitudinal kesitler
rutin obstetrik tarama için gerekli değildir.
 Ancak bunların normal göründüğünün
desteklenmesi için kullanılabilir.
 Longitudinal kesitler elde etmek için, ilk
adım kalbin dört odacık görüntüsünü elde
etmek, ikincisi transdüseri 90° çevirmek,
üçüncüsü de fetus boyunca
uzunlamasına taramak, transdüser
pozisyonu kalbin dikey kesitine göre
ayarlanır:
• Sol ventrikül kısa aks
• Arteriyel duktus uzun aks
• Aortik ark uzun aks
• Vena kava görüntüsü
 Lateralitenin belirlenmesi
 Abdominal situsun
görüntülenmesi
 Dört odacık kesitinin
görüntülenmesi
 LVOT görüntülenmesi
 RVOT görüntülenmesi
 3V,3VT
 Opsiyonel olarak dikey kesitlerin
görüntülenmesi
 DO Kalbin en önemli
bölümüdür ve doğru
değerlendirilmelidir
• Büyük kardiyak
malformasyonların %60’da
anormal olarak görülür
• Kalp; boyut, pozisyon, yapı
ve fonksiyon açısından
sistematik olarak analiz
edilmelidir
 Normal kalp toraksın üçte
biri kadar bir alan kaplar
 Bu genellikle hareketli
görüntü sırasında
değerlendirilebilir
Kardiyomegali
Normal kalp boyutu
 Kalp toraksın sol tarafında yer alır
 Normalde omurga ve sternum
oryantasyon için kullanılabilir
 Sol atrium normal kalpte en arka
odacıktır, hemen önünde inen
aorta yer alır, omurganın
önünde görülür
 Sağ ventrikül sternuma yakın
görülür
 Normal kalp apeksi sol ön göğüs
duvarını işaret edecek şekilde
 interventriküler septum, toraks
orta çizgisine yaklaşık 45° (25-
70°) dik olarak yerleşir
Normal kalp pozisyonu
 Her iki atriyum ve ventrikül yaklaşık
olarak eşit büyüklüktedir
 Solda mitral ve sağda triküspit
olmak üzere iki eşit AV kapak vardır
 Sağ ventrikül apeksi sola göre
daha trabekülerdir ve kalınlaşmış
kas demeti (moderatör bant) içerir
 Myokard etrafında normal olarak
küçük miktarda perikardiyal sıvı
bulunur ve koyu bir çizgi olarak
görülür
Normal 4 odacık ve kapaklar
 Crux (kalbin merkezi)
atriyoventriküler septum kavşağı
ve mitral-triküspit kapakların
septal yaprakcıklarının birleşimi ile
oluşur
 TK kapak, MK göre daha
apikalde yer alır, bu nedenle crux
içinde iki kapak farklı
yerleşmiştir(off-setting)
 Normal kalpte, farklı insersiyon
sonucu, iki kapak crux boyunca
düz çizgi oluşturmazlar
Normal crux
 Normal kalpte ventriküler
septum apeksden crux’a
kadar intaktdır
 Primum atriyal septum
crux’a bağlanır
 Atriyal septumun orta
üçde birlik alanında bir
defekt vardır (foramen
ovale)
 Foramen ovale flebi sol
atriumda görülür
Foramen ovale
 Kalbin arkasında bir damar
görülür (inen aorta), hemen
orta hattın sol tarafında,
omurga ile sol atriyumun
arasındadır
 Pulmoner venler, sol atriyumun
arkasına bağlanır
Pulmoner venler
 İki ventrikül eşit
 İki AV kapak serbest ve
açıktır
 Renkli doppler görüntüleme
ile, her iki ventrikül eşit dolar
ve önemli bir AV kapak
yemezliği yoktur
 A ve V senkronize şekilde ve
düzenli çalışır
Anormal sol ventrikül kontraktilitesi
Normal ventrikül kontraktilitesi
 Kardiyak kesitlerin en önemlisidir
 iyi şekilde görüntülenmelidir
 Anormalliklerinin tespiti normal
görüntünün bilinmesine bağlıdır
 Sistematik olarak boyut, pozisyon,
yapı ve fonksiyonu kontrol
edilmelidir
 Doğru analiz ve yorumlama normal
görüntüye ayrıntılı incelemeye
bağlıdır
 4O kesiti ile major konjenital kalp
malformasyonlarının %60’ı
tanınabilir
 LVOT, ROVT morfolojik olarak ventrikülden
çıkan bir büyük damarların varlığını gösterir
 Ventriküler septum ve A anterior duvar
arasındaki bütünlük kontrol edilmiş olur
 AV ve PV kontrol edililir
 PA sağ ventrikülde çıkar ve sola yönelir
 PA, Aortdan hafifçe geniştir
 PA sağ ventrikülden çıktıktan kısa süre
Assendan A arksında dallanır
 PA önce sağa sonra sola dallanır
 Normal PA sol tarafta duktus arteriozus olarak
devam eder ve desending aortaya bağlanır
 3 V ve 3 VT görüntüsü ile 3 vasküler
yapı ve birbirleri ile ilişkileri ve
boyutları tanımlanır
 Soldan sağa PA;AA;SVK
 PA önde SVK arkada
 PA, AssendanA daha geniş, AA ise
SVK daha geniş olarak görülür
 Mojor KKH yaklaşık % 40'ı sadece büyük
arter incelemeleri ile tanı alır
 Büyük arterlerin kesitlerini incelemek 4O
kesitinden daha zordur
 Büyük damarların anormallikleri tanımak
ve doğru tanımlamak deneyim ister
 4O görünümü incelemesine benzer
şekilde, büyük arterlerin boyutu,
konumu, yapısı ve fonksiyonu sistematik
olarak analiz edilmelidir
 Büyük arterlerin transpozisyonu, fallot
tetralojisi 3V , aorta koartasyonu,sağ
aortik ark, çift aortik ark 3VT ile tanı alır.
 Normal kardiyak/torasik çevre
oranı 0,55’dir, 0,5-0,6 aralığıda
normal olarak kabul edilir.
 C/T oran sınırlar dışında
çıktığında kalbin büyük/küçük
olduğu düşünülür
 Düşük kardiyotorasik oran:
• İntratorasik kitle kompresyonu
 Yüksek kardiyotorasik oran:
• Global kardiyomegali
• Bir odacığın ya da bir tarafın
dilatasyonu
• Ufak göğüs kafesi
 Trakeal stenoz sonrası
genişlemiş akciğer ya da
diafragmatik herni gibi
intratorasik kitle nedeniyle
kompresyon geliştiğinde
olabilir
• Kalbin kendisinde bir
küçülme söz konusu
değildir
Trakeal obstruksiyon
Kistik adenomatoid
akciğer
I. Global kardiyomegali:
 Volüm artışı
• Fetal anemi
• Arterio-venöz
malformasyon
• Tam kalp bloğu
 Myokardiyal
kontraktilite kaybı
II. Bir odacığın ya da tarafın
dilatasyonu
III. Küçük göğüs kafesi
Fetal Anemi: Fetal anemi’de kan volüm
artışı olduğu için kardiyomegeli global
olur, sıklıkla sağ kalp sola göre daha
büyük görülür. Şiddetli anemi’ye
genellikle perikardiyal efüzyon ve asit
eşlik eder.
I. Global kardiyomegali:
 Volüm artışı
• Fetal anemi
• Arterio-venöz
malformasyon
• Tam kalp bloğu
 Myokardiyal
kontraktilite kaybı
II. Bir odacığın ya da tarafın
dilatasyonu
III. Küçük göğüs kafesi
Hiperdinamik sirkülasyon: AV malformasyon ya da
fistül; karaciğer, beyin (Galen ven anevrizması) ya
da sakrokoksygeal teratom’da bulunabilir. Kalpte
dolaşan kan hacminin artması sonucunda global
kardiyomegali gelişir. Buna ek olarak, sağ ventrikül
sıklıkla daha büyüktür ve triküspit yetmezliği görülür.
I. Global
kardiyomegali:
II. Bir odacığın ya
da tarafın
dilatasyonu
III. Küçük göğüs
kafesi Aort stenozu: Aort stenozuna bağlı dilate sol
atriyum . Ayrıca dilate sol ventrikül, zayıf
mitral kapak ve sol ventrikül zayıf
kontraksiyonu unutulmamalıdır.
I. Global
kardiyomegali:
II. Bir odacığın ya da
tarafın dilatasyonu
III. Küçük göğüs kafesi
 Ciddi iskelet
displazisinde bacaklar
kısa ve toraks küçüktür
 Bu durumda normal
büyüklükteki kalp ile
oranlandığında C/T
oranı artar.
Küçük göğüs kafesi
I. Göğüs içinde pozisyonun tamamen
değişmesi
 Kalbin toraksın sağ tarafında olması
• Sağa yer değiştirme (İnterventriküler
septum açısı anormaldir)
• Dekstrokardi (İnterventriküler
septum açısı normaldir)
 Orta hatta kalp
II. Kardiyak aksın deviasyonu
 Sol tarafa doğru (interventriküler
septum >70°)
• Sağ taraflı intratorasik kitle
• Kardiyak defekt, özellikle fallot
tetralojisi
• Hipoplastik sol akciğer
 Sağ tarafa doğru (interventriküler
septum <20°)
• Sol taraflı intratorasik kitle
• Hipoplastik sağ akciğer
Kalbin yer değiştirmesi: En sık görülen
pozisyon anomalisi; kalbin, sol diafram
hernisi nedeniyle mide ve bağırsak
tarafından sağa deplase olması
durumudur. İnterventriküler septum
neredeyse orta hatta paraleldir.
Diafram hernisi
I. Göğüs içinde pozisyonun tamamen
değişmesi
 Kalbin toraksın sağ tarafında olması
• Sağa yer değiştirme (İnterventriküler
septum açısı anormaldir)
• Dekstrokardi (İnterventriküler septum
açısı normaldir)
 Orta hatta kalp
II. Kardiyak aksın deviasyonu
 Sol tarafa doğru (interventriküler septum
>70°)
• Sağ taraflı intratorasik kitle
• Kardiyak defekt, özellikle fallot
tetralojisi
• Hipoplastik sol akciğer
 Sağ tarafa doğru (interventriküler septum
<20°)
• Sol taraflı intratorasik kitle
• Hipoplastik sağ akciğer
Sağ diafram hernisi ya da primer
sol akciğer hipoplazisi olduğunda
kalp sol tarafda yer alır. Sol diafram
hernisi ya da primer sağ akciğer
hipoplazisi olduğunda ise kalp sağ
tarafda yer alır.
Sol akciğer hipoplazisi
 Normal fetuslarda ventrikül boyutları
birbirine eşittir.
 Sağ ventrikül, soldan büyük olduğunda
 AV kapaklar serbest çalıştığı
durumlar
 Normal ileri hafta gebelik
 Aort koarktasyonu
 Orta derece triküspit kapak yetmezliği
 Mitral kapak stenozu
 Sol ventrikül, sağdan büyük olduğunda
 AV kapaklar serbest çalıştığı
durumlar
 Orta derece mitral yetmezlik
 Şiddetli aort yetmezliği
 Triküspit kapak stenozu
 Tek ventrikül
Ventriküler orantısızlık, sağ ventrikülün
soldan daha büyük olduğu durum
çoğunlukla gebeliğin geç haftalarında
normal olarak görülür, ama yinede
orantısızlığın patolojik nedenlerinden
(aort koarktasyonu gibi) ekarte
Normal ileri hafta gebelik
 Normal fetuslarda ventrikül boyutları
birbirine eşittir.
 Sağ ventrikül, soldan büyük olduğunda
 AV kapaklar serbest çalıştığı
durumlar
 Normal ileri hafta gebelik
 Aort koarktasyonu
 Orta derece triküspit kapak yetmezliği
 Mitral kapak stenozu
 Sol ventrikül, sağdan büyük olduğunda
 AV kapaklar serbest çalıştığı
durumlar
 Orta derece mitral yetmezlik
 Şiddetli aort yetmezliği
 Triküspit kapak stenozu
 Tek ventrikül
Aort Koarktasyonu, ventriküler orantısızlık ile
ilişkili en sık görülen defekttir. Sol ventrikül
normalden hafif küçük, sağ ventrikül ise hafif
büyüktür. Genellikle her ikisi normal
sınırlardadır fakat RV/LV oranı bozulmuştur.
Ventriküllerin orantısızlığı genellikle renkli
doppler ile gösterilir. Aorta ve transvers ark
hipoplazisi, tanıyı destekler ama dört odacık
görüntüsünde izlenemezler.
 Normal fetuslarda ventrikül boyutları
birbirine eşittir.
 Sağ ventrikül, soldan büyük olduğunda
 AV kapaklar serbest çalıştığı
durumlar
 Normal ileri hafta gebelik
 Aort koarktasyonu
 Orta derece triküspit kapak
yetmezliği
 Mitral kapak stenozu
 Sol ventrikül, sağdan büyük olduğunda
 AV kapaklar serbest çalıştığı
durumlar
 Orta derece mitral yetmezlik
 Şiddetli aort yetmezliği
 Triküspit kapak stenozu
 Tek ventrikül
Triküspit yetmezlik. Şiddetli triküspit
yetersizliği varsa sağ kalp dilate olabilir
 Normal fetuslarda ventrikül boyutları
birbirine eşittir.
 Sağ ventrikül, soldan büyük olduğunda
 AV kapaklar serbest çalıştığı
durumlar
 Normal ileri hafta gebelik
 Aort koarktasyonu
 Orta derece triküspit kapak yetmezliği
 Mitral kapak stenozu
 Sol ventrikül, sağdan büyük olduğunda
 AV kapaklar serbest çalıştığı
durumlar
 Orta derece mitral yetmezlik
 Şiddetli aort yetmezliği
 Triküspit kapak stenozu (genellikle
intakt ventriküler septum ile
pulmoner atrezi bir arada)
 Tek ventrikül
Pulmoner atrezi. İntakt ventriküler septum ile
pulmoner atrezi birlikteliğinde, sağ ventrikül
kavitesi kalın duvarlı ve küçük, boyutlar
değişken olmasına rağmen burada her iki
örnekde görülebilir. Sağ ventrikül kasılması
kötüdür. Triküpit kapak açıklığı normalden
küçüktür. Triküspit yetmezliği renkli doppler ile
gösterilebilir.
 Crux anormallikleri:
 Tek AV kapak
 Mitral atrezi
 Triküspit atrezisi
 Ortak AV kapak
 Tek ventrikül ile birlikte iki AV
kapak
 Çift girişli sol ventrikül
 Çift girişli sağ ventrikül
 Ters diferansiye insersiyon
 Aşırı diferansiye insersiyon
Mitral atrezi. Hipoplastik sol kalp
sendromu mitral ve aort kapaklarının
atrezisi/ağır stenozu ile birlikte bulunur.
Dört odacık görüntüsü değişebilir. Bu iki
örnekte, kalın duvarlı sol ventrikül
küçük kavitelidir ve kontraksiyon
azalmıştır. Renkli doppler ile mitral
kapak darlığında çok az, atrezisinde
ise hiç geçiş olmaz. Atriyal septum (sarı
ok) hemen karşısında soldan sağa şant
 Crux anormallikleri:
 Tek AV kapak
 Mitral atrezi
 Triküspit atrezisi
 Ortak AV kapak
 Tek ventrikül ile birlikte iki AV
kapak
 Çift girişli sol ventrikül
 Çift girişli sağ ventrikül
 Ters diferansiye insersiyon
 Aşırı diferansiye insersiyon Triküspit atrezisinde küçük sağ ventrikül,
kapalı triküspit kapak ve renkli doplerde
akım yoktur. Bu durum hemen herzaman
küçük bir VSD ile birliktedir.
 Crux anormallikleri:
 Tek AV kapak
 Mitral atrezi
 Triküspit atrezisi
 Ortak AV kapak
 Tek ventrikül ile birlikte iki AV
kapak
 Çift girişli sol ventrikül
 Çift girişli sağ ventrikül
 Ters diferansiye insersiyon
 Aşırı diferansiye insersiyon
AVSD. İki ventrikül arasında ortak AV
kapak vardır. Kapak, crux hizasında
görülür ve diferansiyel insersiyon yoktur.
Farklı fetal pozisyonlarda gösterilen iki tam
Atriyoventriküler septum defekti vardır
(atriyal septum primum da ve ventriküler
septum giriş kısmında)
 Crux anormallikleri:
 Tek AV kapak
 Mitral atrezi
 Triküspit atrezisi
 Ortak AV kapak
 Tek ventrikül ile birlikte iki AV
kapak
 Çift girişli sol ventrikül
 Çift girişli sağ ventrikül
 Ters diferansiye insersiyon
 Aşırı diferansiye insersiyon
Çift girişli sol ventrikül , iki AV kapak sol
ventriküle bağlanır (apekse moderatör
band yok).
DO ventriküler septum yoktur
Çift girişli sol ventrikül çift girişli sağ
ventriküle göre daha sık görülür.
 Dört odacık kesitinde
görülen ek anormallikler:
 Ventriküler septal defekt
 Kardiyak tümörler
 Total anormal venöz
drenaj
 Sol atriyal izomerizm
İlk örnek, septumun girişinde büyük bir VSD
gösterir (iki AV kapakların arasında uzanan
septum). İkinci örnek, apikal muskuler VSD
gösterir (Renkli doppler olmadan zor
görülür).
Kalp döngüsü sırasında çift yönlü akım
defektten geçer (mavi ve kırmızı). Tüm VSD
Ventriküler Septal Defekt
 Dört odacık kesitinde
görülen ek anormallikler:
 Ventriküler septal defekt
 Kardiyak tümörler
 Total anormal venöz
drenaj
 Sol atriyal izomerizm
Rabdomyom. Multipl rabdomyomlar %95
oranında tüberküloz ile ilişkilidir. Kranyal MR
sıklıkla intraserebral tümörleri gösterir.
Rabdomyom
 Dört odacık kesitinde
görülen ek anormallikler:
 Ventriküler septal defekt
 Kardiyak tümörler
 Total anormal venöz
drenaj
 Sol atriyal izomerizm
Pulmoner venlerin normal
pozisyonda sol atriyuma arkadan
bağlandığı görülmez. Normal sol
atriyum şeklini ve sol atriyum-inen
aorta arasındaki artan mesafeye
Total Venöz drenaj anomalisi
 Dört odacık kesiti major fetal
kardiyak defektlerin %60 ‘da
anormaldir.
 Dört odacık anormalliklerinin
tespiti normal görüntünün
bilinmesine bağlıdır,
herhangi bir farklılığın doğru
açıklanması şansını verir.
 Anormallikler doğru tespit
edilir ve doğru tariflenirse
tanıya ulaşılabilir.
 Tanıların anomali ve
prognozları üzerine özel
etkileri vardır.
Anormal dört odacık görüntüleri
 Normal kalpte: PA, aorta köküne göre önde ve üstte(kraniyal)
Büyük damarların anormal pozisyonları:
Aort kapağı, sağda önde ve pulmoner kapak
üzerindedir.
• Çift çıkışlı sağ ventrikül
• Büyük damar transpozisyonu
Aort kapağı, solda önde ve pulmoner kapak
üzerindedir.
• Büyük arterlerin düzeltilmiş transpozisyonu
(atriyoventriküler uyumsuzluk)
Paralel büyük damarlar
• Çift çıkışlı sağ ventrikül
• Büyük arterlerin transpozisyonu
• Büyük arterlerin düzeltilmiş transpozisyonu
(atriyoventriküler uyumsuzluk)
 Normal kalpte: PA, görsel muayene ve ölçümü ile aortadan biraz
daha büyüktür
Büyük damarların boyut anormallikleri:
Normalden büyük pulmoner arter
• Pulmoner kapak eksikliği sendromu
Pulmoner arterin aortadan ve gebelik haftasına
göre küçük olması.
• Pulmonar stenoz ya da atrezi (Fallot tetralojisi
dahil)
• Triküspit kapak akımının azalması (stenoz, atrezi,
Ebstein malformasyonu)
Aortanın pulmoner arterden çok küçük ve gebelik
haftasına göre küçük olması.
• Aort stenozu ya da atrezisi
• Aort koarktasyonu
 Normal kalpte: (a) Atriyal kapaklar açıktır, (b) her iki büyük arterlerin
kapaklarında ileriye değişken ama en az 100 cm/sn bir hızda akım,
(c) kapaklarda yetmezlik yoktur.
Anormal yapı ve fonksiyon:
Pulmoner kapak açık ve akım hızı artmış
• Pulmoner kapak stenozu
Aort kapağı açık ve akım hızı artmış
• Aort kapağı stenozu
Pulmoner arter yetersizliği
• Pulmoner kapak yokluğu sendromu
Aortik yetmezlik
• Aort sol ventrikül arası tünel (nadir)
 Normal kalpte: (a) Aorta sol
ventrikülden çıkar ve ilk olarak sağ
omuza doğru yönelir, (b) aortun ön
duvarı, ventriküler septum ile devam
eder, (c) aortada kapağına yakın
dallanma izlenmez, (d) aort arka
duvarı mitral kapak ön yaprakcık ile
devam eder, (e) aort kapağı, sistol
sırasında serbestçe açılır, ve (f) renkli
doppler de aort kapağında ileri akım
laminerdir (turbülans yoktur) ve
yetmezlik görülmez.
Anormal yapı ve fonksiyon:
Aort her iki ventrikülden, ventriküler
septuma ata biner gibi doğar. Aort ön
duvarının ventriküler septum ile
devamlılığı yoktur.
Aortik Override
 Bu örnekte kalbin aksı sola
deviye olmuştur, bu sık görülür
fakat değişmez özellik değildir.
 Sol ventrikül uzun aks kesitinde,
aortanın ventriküler septal
defekt üzerinden yükseldiği
izlenir.
 3 damar görüntüsü elde
edilmesi gibi sweep
yapıldığında, pulmoner arterin
aortadan küçük olduğu fakat
normal pozisyonel ilişkide
oldukları (ön ve kranyal) izlenir.
 Aort normalden küçüktür ve
pulmoner arter ile karşılaştırıldığında
da küçük olduğu izlenir
 Aort kökü, 3 damar kesiti ve ark-
duktus kesiti arasında sweep
yapıldığında, hem 2D hem de renkli
doppler ile bakılınca fetusda aort
koarktasyonu özellikleri görülebilir:
• Aort pulmoner arterden küçüktür.
• Arkus, duktus arteriozusdan biraz
daha küçüktür.
• Bu örnekte, perimembranöz VSD
renkli doppler ile üst panelde görülür
 Dört odacık görüntüsü
normaldir.
 pulmoner arter sol
ventrikülden çıkar
 Aorta, önde sağ ventrikülden
çıkar, PA üzerinde bulunur ve
aortik ark formundadır
 Normal 3 damar görüntüsü
izlenmez
Büyük arter transpozisyonu
 Büyük konjenital kalp
malformasyonlarının yaklaşık
% 40'ı sadece büyük arter
manzarasında görülür
 Kardiyak değerlendirmede
hem 4 O görünümünün ve
hem de büyük arter lerin
incelenmesi gereklidir
 4 O görünümü incelemesine
benzer şekilde, büyük
arterlerin boyutu, konumu,
yapısı ve fonksiyonu
sistematik olarak analiz
edilmelidir
 Pulmoner arter kapaklarından sonra
dallanır. Bu nedenle pulmoner arter
dalları, 3 damar kesitinde ductus
arteriozus altında görülür.
 Sol pulmoner arter, siyah-beyaz video
da daha iyi görülür, sağ pulmoner
arter ise renkli doppler de daha iyi
izlenir.
 Büyük arterlerin normal bağlanmadığı
durumlarda, pulmoner arter dallarının
karekteristik özelliği ile aortadan
ayrılır. Aortanın ilk dalı kapağın
distalinde olur, yukarı yönelmiştir ve
uzun aks kesitte görülür.
 Aortanın ilk dalları kapağın üzerinden
çıkankoroner dallardır, fetusda çok
küçüktürler ve normalde görülmezler.
Modül 4: Normal büyük damar
görüntüsü
3 Damar kesiti
 Aort kapağının hemen üzerinde
pulmoner arter sağ ventrikülden
doğar
 Mavi oklar büyük damarların
kökeninden itibaren akım yönünü
gösterir.
 Birbirlerine neredeyse dik açıyla
çıkarlar: Akım, aortada başa ve
sağa doğru, pulmoner arterde ise
arkaya doğrudur.
 Aort kökeninden başa doğru
yukarı, pulmoner arter ise aort
kökeni üzerinden geçer
 Ultrasonu ileri ve geri hareket
ettirerek, aort kökü ve 3 damar
görüntüsü arasında iki büyük
damarın göreceli ölçüsü ve
pozisyonları not edilebilir.
 Transvers ark kesitinden
açılanma yapıldığında
arkus ve ductus aynı anda
görülebilir. Bu kesitte:
• Transvers ark ve ductus
benzer büyüklüktedir
• Ark ve ductus içinde
akımın yönü aynıdır
Modül 4: Normal büyük damar
görüntüsü
Arkus ve duktus kesiti
 Normal kalpte: (a) Aorta sol ventrikülden
çıkar ve ilk olarak sağ omuza doğru
yönelir, (b) aortun ön duvarı, ventriküler
septum ile devam eder, (c) aort arka
duvarı mitral kapak ön yaprakcık ile
devam eder, (d) aort kapağı, sistol
sırasında serbestçe açılır, ve (e) renkli
doppler de aort kapağında ileri akım
laminerdir (turbülans yoktur) ve yetmezlik
görülmez.
Aorta normalden gözle görülür derecede
küçüktü (burada pulmoner arter
görülmemesi kayda değer değildir). Küçük
aorta şüphesi, büyüme eğrisi çizelgesi ile
doğrulandı. Aort kapağı sistolde açılmaz
(kapak çizgileri sistol boyunca izlenebiliyor).
Aort kapağında akım hızı artmıştır, renki
dopplerde türbülan akım düzeltilmiştir
Aort stenozu
 Normal kalpte: (a) pulmoner arter
aortdan biraz daha büyüktür, (b)
pulmoner kapak, aort kapağına
göre daha önde ve kranyaldir, (c)
pulmoner kapak laminer akım ile
serbestçe açılır, (d) pulmoner arter,
duktus arteriyozus olarak devam
eder ve inen aortaya bağlanır ve
(e) duktus arteriozus da ileri akım
vardır.
Modül 5: Anormal büyük damar
görüntüsü
Pulmonerarter normalden biraz daha
küçüktür. Duktus arteriozusda (kırmızı) ters
yönde akım vardır. Duktusdan gelen akım
kapalı pulmoner kapağa çarpar, ve daha
sonra pulmoner arter (mavi) dallarını
beslemek için ileri gider.
Pulmoner atrezi video ekle
 Normal kalpte: (a) pulmoner arter
aortdan biraz daha büyüktür, (b)
pulmoner kapak, aort kapağına
göre daha önde ve kranyaldir, (c)
pulmoner kapak laminer akım ile
serbestçe açılır, (d) pulmoner arter,
duktus arteriyozus olarak devam
eder ve inen aortaya bağlanır ve (e)
duktus arteriozus da ileri akım vardır.
Modül 5: Anormal büyük damar
görüntüsü
Fallot tetralojisi. Pulmoner kapak
kalındır ve serbestçe açılmaz. Ana
pulmoner arter dilatedir. Duktus
arteriozus görülmez. Renkli dopplerde
şiddetli derecede pulmoner yetmezlik
Pulmoner kapak eksikliği sendromu
 Normal kalpte: (a) aortanın
büyük kısmının sol ventrikülden
çıktığı izlenir, (b) aort kökeninden
hemen sonra büyük damarlar
görülmez, (c) sol ventrikül çıkış
yolunda, uzunluğu boyunca
laminer akım vardır.
Modül 5: Anormal büyük damar
görüntüsü
Sol ventrikülden çıkan damarın
pulmoner arter olduğu izlenir.
Büyük arter transpozisyonu
 Normal kalpte: (a) sağ ventrikül
‘’muz’’ şeklindedir ve sol ventrikül
önünde yer alır, (b) pulmoner kapak,
sağ ventrikül sonunda kranyel olarak
görülür, (c) sol ventrikül mitral kapak
ile birlikte ‘’balık ağzı’’ görüntüsü verir
ve güçlü kontrakte olur ,(d) sol
ventrikül septum intaktdır, (e) sağ
ventrikülden pulmoner artere doğru
akım izlenir.
Modül 5: Anormal büyük damar
görüntüsü
Sağ ventrikül normal kasılır, fakat sol
ventrikül sert ve hareketsizdir. Bunun
nedeni aort kapağındaki
obstruksiyon nedeniyle sol ventrikül
içindeki yüksek basınçtır.
Ağır aortik stenoz
 Transver kesitte, ultrason biraz
açılandırıldığında arkus aorta ve
ductus arteriozus aynı anda
görülebilir. Duktus ve transvers
ark boyutları birbirine yakındır.
Duktusun ve arkusun akım
yönleri aynıdır.
Modül 5: Anormal büyük damar
görüntüsü
Transvers ark hipoplastikdir, akım
yönü duktus arteriozus ile terstir
(retrograd akım).
Aort atrezisi
 Transver kesitte, ultrason biraz
açılandırıldığında arkus aorta ve
ductus arteriozus aynı anda
görülebilir. Duktus ve transvers
ark boyutları birbirine yakındır.
Duktusun ve arkusun akım
yönleri aynıdır.
Modül 5: Anormal büyük damar
görüntüsü
Arkus aorta solda inerken orta hattı
çaprazlamaz, fakat trakea
etrafında, sağda, duktus ile bir daire
oluşturur.
Sağ aortik ark
 Transver kesitte, ultrason biraz
açılandırıldığında arkus aorta ve
ductus arteriozus aynı anda
görülebilir. Duktus ve transvers
ark boyutları birbirine yakındır.
Duktusun ve arkusun akım
yönleri aynıdır.
Modül 5: Anormal büyük damar
görüntüsü
Dekstrokardi. Aort pulmoner arter önünden
yükselir (yanlara dallanması ile ayrıt edilir).
Pulmoner atreziyi gösteren, duktus
arteriozus içinde ters akım vardır.
Normalden açıkça farklı olarak, 3 damar
görüntüsü sol el paneline benzer yerleşimli
Sağ ventrikül çift çıkış
 Transver kesitte, ultrason biraz
açılandırıldığında arkus aorta
ve ductus arteriozus aynı
anda görülebilir. Duktus ve
transvers ark boyutları
birbirine yakındır. Duktusun
ve arkusun akım yönleri
aynıdır.
Modül 5: Anormal büyük damar
görüntüsü
Küçük pulmoner arter ve ductus,
pulmonera arter akımı hızı azalmış,
triküspit kapağın Ebstein
malformasyonu (bu videoda
görülmüyor)
Ebstein malformasyonu
 Transver kesitte, ultrason
biraz açılandırıldığında arkus
aorta ve ductus arteriozus
aynı anda görülebilir. Duktus
ve transvers ark boyutları
birbirine yakındır. Duktusun
ve arkusun akım yönleri
aynıdır.
Modül 5: Anormal büyük damar
görüntüsü
Arkus aorta, gestasyonel haftaya ve
ductus arteriozusa göre küçüktür.
Aort koarktasyonu
 Normal kalpte: (a) tipik olarak
kalbin merkezinden aortadan
çıkan çengel (hook) gibi
görüntülenir, (b) sağ pulmoner
arter hook içinde yer alır, (c)
boyun , baş ve kola giden 3
damar, hook üzerinden ayrılır,
(d) aortik ark da ileri akım izlenir.
Modül 5: Anormal büyük damar
görüntüsü
Dilate ana pulmoner arter ve duktusda ileri
akım, transvers aortik ark üzerinde terse
akım izlenir.
Aort atrezisi
 Normal kalpte: (a) tipik olarak
kalbin merkezinden aortadan
çıkan çengel (hook) gibi
görüntülenir, (b) sağ pulmoner
arter hook içinde yer alır, (c)
boyun , baş ve kola giden 3
damar, hook üzerinden ayrılır,
(d) aortik ark da ileri akım izlenir.
Modül 5: Anormal büyük damar
görüntüsü
Aortik arkda ileri akım ve bunun altında
ductus arteriozus içinde ters akım ile
birlikte görüldüğünde pulmoner atreziyi
işaret eder.
Pulmoner atrezi
 Normal kalpte: (a) tipik olarak kalbin
merkezinden aortadan çıkan çengel (hook)
gibi görüntülenir, (b) sağ pulmoner arter hook
içinde yer alır, (c) boyun , baş ve kola giden 3
damar, hook üzerinden ayrılır, (d) aortik ark da
ileri akım izlenir.
 Kardiyak defekt gösteren iki videodada aortik
ark normal sıkı hook şeklinde değildir , ama
sağ ventrikülden önde yükselir.
 Üst video: Pulmoner arter kökeni izlenmez.
Tanı ya sağ ventrikül çıkışından ya da büyük
damarların transpozisyonu ile konur.
 Alt video: Pulmoner arter küçük ve aortanın
arkasında paralel görülür. Duktusdan
pulmoner artere akım terstir(kırmızı). Tanı
pulmoner atrezi ile birlikte sağ ventrikülden çift
çıkış ile konur.
Modül 5: Anormal büyük damar
görüntüsü
 Normal kalpte: (a) tipik olarak
kalbin merkezinden aortadan
çıkan çengel (hook) gibi
görüntülenir, (b) sağ pulmoner
arter hook içinde yer alır, (c)
boyun , baş ve kola giden 3
damar, hook üzerinden ayrılır,
(d) aortik ark da ileri akım izlenir.
Aort koarktasyonu. Baş ve kola giden
damarların bağlantısında ufak bir açı
farkı, aortik ark paterni normal olarak
görülür, şüpheli aort koarktasyonları
doğumdan sonra konfirme edilmelidir.
Fetal hayatta koarktasyonda ‘’raf’’
görülmez ve uzun eksende aortik ark
normal olarak görülür. Tanı diğer
nedenler ekarte edilerek konulur.
Aort koarktasyonu
 Normal kalpte: (a) tipik olarak
kalbin merkezinden aortadan
çıkan çengel (hook) gibi
görüntülenir, (b) sağ pulmoner
arter hook içinde yer alır, (c)
boyun , baş ve kola giden 3
damar, hook üzerinden ayrılır,
(d) aortik ark da ileri akım izlenir.
Büyük damarların transpozisyonu. Duktusa
uzun aks ile bakıldığında normal görüntü
izlenmez. Bunun yerine, büyük damarlar
paralel olarak yükselir, aorta (başa dal
verdiğinden ayırt edilir) sağ ventrikülden,
pulmoner arterde önde sol ventrikülden
doğar.
Büyük arter transpozisyonu
 Normal kalpte: (a) tipik olarak
kalbin merkezinden aortadan
çıkan çengel (hook) gibi
görüntülenir, (b) sağ pulmoner
arter hook içinde yer alır, (c)
boyun , baş ve kola giden 3
damar, hook üzerinden ayrılır,
(d) aortik ark da ileri akım izlenir.
Pulmoner stenoz. Renkli dopplerde
akım türbülanslıdır ve akım hızı
artmıştır.
 Abdomenin standart kesitinden başlayıp
toraks girişine kadar sürekli bir tranvers
tarama yapılır
 Bu kesitler ile rutin fetal kalp taraması için
gerekli olan tüm bilgiler elde edilebilir
TEMEL FETAL KARDİYAK İNCELEME
TEMEL FETAL KARDİYAK İNCELEME
TEMEL FETAL KARDİYAK İNCELEME
TEMEL FETAL KARDİYAK İNCELEME
TEMEL FETAL KARDİYAK İNCELEME
TEMEL FETAL KARDİYAK İNCELEME

TEMEL FETAL KARDİYAK İNCELEME

  • 2.
     Sık görülür(8/1000) Yaygın tarama programlarının uygulandığı trisomi 21’den 8, NTD’den 4 kat daha sık  Kromozomal/yapısal anomaliler/ sendromlarla birliktedir(% 50-%25)  Anomalilere bağlı ölümlerin % 50’si  Antenatal tedavi edilebilir  Antenatal tanı ile postnatal morbidite ve mortalite düşürülebilir
  • 3.
     KKH içinprimer önleme yoktur  Sekonder önleme için prenatal tanı oranını artırılmalı  KKH’nın % 80’i düşük risk grubunda ortaya çıktığı için tüm populasyon taranmalı  Tüm populasyon taraması ile prenatal tanısı % 25-45??  Riskli grubun taranması KKH prenatal tanısı % 3.3 Annamari N, 2006 Amark K, 2004 J S Carvalho, Heart 2002
  • 4.
  • 5.
     Kardiyak değerlendirmeyigeliştirmek için son 20 yılda yapılan girişimlere rağmen, majör KH prenatal tanı oranı diğer fetal sistemlerdeki malformasyonların tanısındaki gelişmeyi gösterememiştir  % 80 CNS, % 89 renal pat., KKH % 15-48 Chew C,Journal of Pediatrics, 2006 Marek,Heart,2013
  • 6.
    Prental tanı oranları değişken??? Kimbakıyor Protokoller Hasta özellikleri Kardiyak anomali tipi Tegnander, Ultrasound Obstet Gynecol 2006 Marek,Heart,2013
  • 8.
     4 odacıkgörüntüleme  Sağ ve sol ventrikül çıkışları (LVOT;RVOT)
  • 9.
     4 CVDR % 43  4 CV+OTV/3 VTV % 89  4 CV+OTV+3 VTV % 89  ECEE  STIC(spatiotemporal image correlation)  FINE (Fetal Intelligent Navigation Echocardiography) Plos one, 2013
  • 12.
     Fetal kalpincelemesinin temeli iyi prob kullanımı-iyi görüntü elde etme  Beceriler pratik ve deneyim ile elde edilebilir  Başarılı bir görüntüleme için probunun hareketlerinin nasıl kombine edileceğinin anlaşılması gerekir  Kaydırma, Basınç, Eğme  Horizontal (fetusun doğrultusunda yatay hareket)  Rotasyon (transdüserin olduğu yerde kendi etrafında çevrilmesi)  Açılanma (transdüserin açılandırılması),.
  • 13.
     18-22 hf Teknik özellikler  USG probları:  Yüksek frekanslı problar küçük kusurların yakalanma şansını artırır  Hormonik görüntüleme görüntü kalitesini artırır(ileri hafta,obez hasta)  Görüntü parametreleri  2 B gri skala temel kardiyak incelemede yeterli  Yüksek frame rate, artmış kontrast ,yüksek resolusyon,dar görüntü alanı  Zoom ve cine-loop  Görüntü büyütebilme  Cine-loop
  • 14.
     Fetusu doğru değerlendirebilmekiçin nasıl durduğunu bilmek önemlidir  Proba göre omurga; yukarı, arkada ya da lateralde  Mide ve kalbin sol da olduğunu teyit  .
  • 15.
     Sweep (4O,büyük arterler)  Rotasyonel(büyük damarların uzun eksenleri)
  • 16.
     Tranvers kesitlerfetusun büyüklüğü ve derinliğine bağlı olarak horizontal hareket ve/veya transdüserin açılandırılması ile elde edilir • Fetus küçük ve derin ise açılandırma • Gebelik haftası ileri ve fetus transdüsere yakın ise horizontal hareket • Genellikle açılandırma ve yatay hareket içgüdüsel olarak birlikte kullanılır
  • 17.
     Dört temelintrakardiyak görüntü: • Dört odacık görüntüsü • LVOT görüntüsü • 3 damar görüntüsü (3V) • Aortik arkın tranvers kesiti 4 CV LVOT RVOT Mide ,aort, omurga 3 VT • Fetal abdomenin standart kesitinden başlayıp toraks girişine kadar sürekli bir tranvers tarama yapılır • 5 aksiyal kesit elde edlir • Bu kesitler ile rutin fetal kalp taraması için gerekli olan tüm bilgiler elde edilebilir
  • 18.
     Diyaframın hemenüzerinde toraksın tranvers kesiti ile elde edilir  Fetusun oryantasyonuna bağlı apikal, lateral ya da ters apikal görüntü alabilir  Tümü analiz yapmak için uygundur  Fetal omurga aşağıda olduğunda ideal olarak görüntülenir
  • 19.
     DO kesiti‘crux’ merkeze alınarak analiz edilmelidir  Crux alt hizasından kesit alınırsa koroner sinüs, üst hizasından alınırsa LVOT görüntülenir  İnce bilek hareketleri ile doğru dört odacık görüntüsü elde edene kadar transdüseri hareket ettirin  Toraks daire şeklindedir ve bir kosta tam olarak görülebilir, birden fazla kosta görülüyorsa kesit eğik demekdir
  • 20.
     Sweep tekniğiile normal kalpte, apikal 4O kesitinden sonra başa doğru hafif rotasyon ile ilk görülen aortadır  A. sol ventrikülden çıkar ve sağ omuza doğru yönelir  A. ön duvarı ventriküler septum ile devamlıdır  A. arka duvarı mitral kapak ön yaprakcık ile devamlıdır  A. kapağı sistol sırasında açıktır Sol ventrikül çıkış kesiti
  • 21.
     Rotasyonel teknik(dört kadran elde edildikten sonra prop fetal sağ omuza döndürülür)  Asendan aortanın tümü bu kesitte görülebilir Aortik kökün uzun aks kesiti
  • 22.
     Sweep tekniğinde4O görüntüsünden kaudale doğru ilerleryen transvers kesitlerde pulmoner arter ve aorta çaprazlanması ve pul arter bifurkasyonu görülebilir  Sweep veya rotasyonel teknik ile LVOT görüntüsü elde edildikten sonra prop aortaya dik olacak şekilde fetal başa doğru yönlendirildiğinde pulmoner arter görüntülenir
  • 23.
     Transvers kesitduruşunu koruyarak, prop biraz daha fetal başa doğru kaydırılır  hemen aortun üzerinden, sağ ventrikülden çıkan pulmoner arter, aortik kök üzerinden çaprazlanarak duktus arteriosus olarak devam eder
  • 24.
     3V görüntüsündenbiraz daha sefalik yöne transvers kesit alındığında tranvers aortik ark ortaya çıkar  Transduserin transvers aortik ark üzerinde iken hafif açılandırılması ile aynı anda aortik ark ve ductus arteriosus izlenebilir;  boyutları, pozisyonları ve akımlarının incelenebilir  T sıvı dolu bir alanı çeviren hiperekojenik bir halka olarak görülür  DArk ve AArk trakeanın solunda ve V biçiminde görülür V biçiminde DArk ve AArk kesiti
  • 25.
     Kalbin longitudinalkesit ile incelenmesi opsiyoneldir  Kalbin tüm normal özellikleri sweep tekniğ ile görüntülenebilir ve longitudinal kesitler rutin obstetrik tarama için gerekli değildir.  Ancak bunların normal göründüğünün desteklenmesi için kullanılabilir.  Longitudinal kesitler elde etmek için, ilk adım kalbin dört odacık görüntüsünü elde etmek, ikincisi transdüseri 90° çevirmek, üçüncüsü de fetus boyunca uzunlamasına taramak, transdüser pozisyonu kalbin dikey kesitine göre ayarlanır: • Sol ventrikül kısa aks • Arteriyel duktus uzun aks • Aortik ark uzun aks • Vena kava görüntüsü
  • 26.
     Lateralitenin belirlenmesi Abdominal situsun görüntülenmesi  Dört odacık kesitinin görüntülenmesi  LVOT görüntülenmesi  RVOT görüntülenmesi  3V,3VT  Opsiyonel olarak dikey kesitlerin görüntülenmesi
  • 27.
     DO Kalbinen önemli bölümüdür ve doğru değerlendirilmelidir • Büyük kardiyak malformasyonların %60’da anormal olarak görülür • Kalp; boyut, pozisyon, yapı ve fonksiyon açısından sistematik olarak analiz edilmelidir
  • 29.
     Normal kalptoraksın üçte biri kadar bir alan kaplar  Bu genellikle hareketli görüntü sırasında değerlendirilebilir Kardiyomegali Normal kalp boyutu
  • 30.
     Kalp toraksınsol tarafında yer alır  Normalde omurga ve sternum oryantasyon için kullanılabilir  Sol atrium normal kalpte en arka odacıktır, hemen önünde inen aorta yer alır, omurganın önünde görülür  Sağ ventrikül sternuma yakın görülür  Normal kalp apeksi sol ön göğüs duvarını işaret edecek şekilde  interventriküler septum, toraks orta çizgisine yaklaşık 45° (25- 70°) dik olarak yerleşir Normal kalp pozisyonu
  • 31.
     Her ikiatriyum ve ventrikül yaklaşık olarak eşit büyüklüktedir  Solda mitral ve sağda triküspit olmak üzere iki eşit AV kapak vardır  Sağ ventrikül apeksi sola göre daha trabekülerdir ve kalınlaşmış kas demeti (moderatör bant) içerir  Myokard etrafında normal olarak küçük miktarda perikardiyal sıvı bulunur ve koyu bir çizgi olarak görülür Normal 4 odacık ve kapaklar
  • 32.
     Crux (kalbinmerkezi) atriyoventriküler septum kavşağı ve mitral-triküspit kapakların septal yaprakcıklarının birleşimi ile oluşur  TK kapak, MK göre daha apikalde yer alır, bu nedenle crux içinde iki kapak farklı yerleşmiştir(off-setting)  Normal kalpte, farklı insersiyon sonucu, iki kapak crux boyunca düz çizgi oluşturmazlar Normal crux
  • 33.
     Normal kalpteventriküler septum apeksden crux’a kadar intaktdır  Primum atriyal septum crux’a bağlanır  Atriyal septumun orta üçde birlik alanında bir defekt vardır (foramen ovale)  Foramen ovale flebi sol atriumda görülür Foramen ovale
  • 34.
     Kalbin arkasındabir damar görülür (inen aorta), hemen orta hattın sol tarafında, omurga ile sol atriyumun arasındadır  Pulmoner venler, sol atriyumun arkasına bağlanır Pulmoner venler
  • 35.
     İki ventriküleşit  İki AV kapak serbest ve açıktır  Renkli doppler görüntüleme ile, her iki ventrikül eşit dolar ve önemli bir AV kapak yemezliği yoktur  A ve V senkronize şekilde ve düzenli çalışır Anormal sol ventrikül kontraktilitesi Normal ventrikül kontraktilitesi
  • 36.
     Kardiyak kesitlerinen önemlisidir  iyi şekilde görüntülenmelidir  Anormalliklerinin tespiti normal görüntünün bilinmesine bağlıdır  Sistematik olarak boyut, pozisyon, yapı ve fonksiyonu kontrol edilmelidir  Doğru analiz ve yorumlama normal görüntüye ayrıntılı incelemeye bağlıdır  4O kesiti ile major konjenital kalp malformasyonlarının %60’ı tanınabilir
  • 37.
     LVOT, ROVTmorfolojik olarak ventrikülden çıkan bir büyük damarların varlığını gösterir  Ventriküler septum ve A anterior duvar arasındaki bütünlük kontrol edilmiş olur  AV ve PV kontrol edililir  PA sağ ventrikülde çıkar ve sola yönelir  PA, Aortdan hafifçe geniştir  PA sağ ventrikülden çıktıktan kısa süre Assendan A arksında dallanır  PA önce sağa sonra sola dallanır  Normal PA sol tarafta duktus arteriozus olarak devam eder ve desending aortaya bağlanır
  • 38.
     3 Vve 3 VT görüntüsü ile 3 vasküler yapı ve birbirleri ile ilişkileri ve boyutları tanımlanır  Soldan sağa PA;AA;SVK  PA önde SVK arkada  PA, AssendanA daha geniş, AA ise SVK daha geniş olarak görülür
  • 39.
     Mojor KKHyaklaşık % 40'ı sadece büyük arter incelemeleri ile tanı alır  Büyük arterlerin kesitlerini incelemek 4O kesitinden daha zordur  Büyük damarların anormallikleri tanımak ve doğru tanımlamak deneyim ister  4O görünümü incelemesine benzer şekilde, büyük arterlerin boyutu, konumu, yapısı ve fonksiyonu sistematik olarak analiz edilmelidir  Büyük arterlerin transpozisyonu, fallot tetralojisi 3V , aorta koartasyonu,sağ aortik ark, çift aortik ark 3VT ile tanı alır.
  • 42.
     Normal kardiyak/torasikçevre oranı 0,55’dir, 0,5-0,6 aralığıda normal olarak kabul edilir.  C/T oran sınırlar dışında çıktığında kalbin büyük/küçük olduğu düşünülür  Düşük kardiyotorasik oran: • İntratorasik kitle kompresyonu  Yüksek kardiyotorasik oran: • Global kardiyomegali • Bir odacığın ya da bir tarafın dilatasyonu • Ufak göğüs kafesi
  • 43.
     Trakeal stenozsonrası genişlemiş akciğer ya da diafragmatik herni gibi intratorasik kitle nedeniyle kompresyon geliştiğinde olabilir • Kalbin kendisinde bir küçülme söz konusu değildir Trakeal obstruksiyon Kistik adenomatoid akciğer
  • 44.
    I. Global kardiyomegali: Volüm artışı • Fetal anemi • Arterio-venöz malformasyon • Tam kalp bloğu  Myokardiyal kontraktilite kaybı II. Bir odacığın ya da tarafın dilatasyonu III. Küçük göğüs kafesi Fetal Anemi: Fetal anemi’de kan volüm artışı olduğu için kardiyomegeli global olur, sıklıkla sağ kalp sola göre daha büyük görülür. Şiddetli anemi’ye genellikle perikardiyal efüzyon ve asit eşlik eder.
  • 45.
    I. Global kardiyomegali: Volüm artışı • Fetal anemi • Arterio-venöz malformasyon • Tam kalp bloğu  Myokardiyal kontraktilite kaybı II. Bir odacığın ya da tarafın dilatasyonu III. Küçük göğüs kafesi Hiperdinamik sirkülasyon: AV malformasyon ya da fistül; karaciğer, beyin (Galen ven anevrizması) ya da sakrokoksygeal teratom’da bulunabilir. Kalpte dolaşan kan hacminin artması sonucunda global kardiyomegali gelişir. Buna ek olarak, sağ ventrikül sıklıkla daha büyüktür ve triküspit yetmezliği görülür.
  • 46.
    I. Global kardiyomegali: II. Birodacığın ya da tarafın dilatasyonu III. Küçük göğüs kafesi Aort stenozu: Aort stenozuna bağlı dilate sol atriyum . Ayrıca dilate sol ventrikül, zayıf mitral kapak ve sol ventrikül zayıf kontraksiyonu unutulmamalıdır.
  • 47.
    I. Global kardiyomegali: II. Birodacığın ya da tarafın dilatasyonu III. Küçük göğüs kafesi  Ciddi iskelet displazisinde bacaklar kısa ve toraks küçüktür  Bu durumda normal büyüklükteki kalp ile oranlandığında C/T oranı artar. Küçük göğüs kafesi
  • 48.
    I. Göğüs içindepozisyonun tamamen değişmesi  Kalbin toraksın sağ tarafında olması • Sağa yer değiştirme (İnterventriküler septum açısı anormaldir) • Dekstrokardi (İnterventriküler septum açısı normaldir)  Orta hatta kalp II. Kardiyak aksın deviasyonu  Sol tarafa doğru (interventriküler septum >70°) • Sağ taraflı intratorasik kitle • Kardiyak defekt, özellikle fallot tetralojisi • Hipoplastik sol akciğer  Sağ tarafa doğru (interventriküler septum <20°) • Sol taraflı intratorasik kitle • Hipoplastik sağ akciğer Kalbin yer değiştirmesi: En sık görülen pozisyon anomalisi; kalbin, sol diafram hernisi nedeniyle mide ve bağırsak tarafından sağa deplase olması durumudur. İnterventriküler septum neredeyse orta hatta paraleldir. Diafram hernisi
  • 49.
    I. Göğüs içindepozisyonun tamamen değişmesi  Kalbin toraksın sağ tarafında olması • Sağa yer değiştirme (İnterventriküler septum açısı anormaldir) • Dekstrokardi (İnterventriküler septum açısı normaldir)  Orta hatta kalp II. Kardiyak aksın deviasyonu  Sol tarafa doğru (interventriküler septum >70°) • Sağ taraflı intratorasik kitle • Kardiyak defekt, özellikle fallot tetralojisi • Hipoplastik sol akciğer  Sağ tarafa doğru (interventriküler septum <20°) • Sol taraflı intratorasik kitle • Hipoplastik sağ akciğer Sağ diafram hernisi ya da primer sol akciğer hipoplazisi olduğunda kalp sol tarafda yer alır. Sol diafram hernisi ya da primer sağ akciğer hipoplazisi olduğunda ise kalp sağ tarafda yer alır. Sol akciğer hipoplazisi
  • 50.
     Normal fetuslardaventrikül boyutları birbirine eşittir.  Sağ ventrikül, soldan büyük olduğunda  AV kapaklar serbest çalıştığı durumlar  Normal ileri hafta gebelik  Aort koarktasyonu  Orta derece triküspit kapak yetmezliği  Mitral kapak stenozu  Sol ventrikül, sağdan büyük olduğunda  AV kapaklar serbest çalıştığı durumlar  Orta derece mitral yetmezlik  Şiddetli aort yetmezliği  Triküspit kapak stenozu  Tek ventrikül Ventriküler orantısızlık, sağ ventrikülün soldan daha büyük olduğu durum çoğunlukla gebeliğin geç haftalarında normal olarak görülür, ama yinede orantısızlığın patolojik nedenlerinden (aort koarktasyonu gibi) ekarte Normal ileri hafta gebelik
  • 51.
     Normal fetuslardaventrikül boyutları birbirine eşittir.  Sağ ventrikül, soldan büyük olduğunda  AV kapaklar serbest çalıştığı durumlar  Normal ileri hafta gebelik  Aort koarktasyonu  Orta derece triküspit kapak yetmezliği  Mitral kapak stenozu  Sol ventrikül, sağdan büyük olduğunda  AV kapaklar serbest çalıştığı durumlar  Orta derece mitral yetmezlik  Şiddetli aort yetmezliği  Triküspit kapak stenozu  Tek ventrikül Aort Koarktasyonu, ventriküler orantısızlık ile ilişkili en sık görülen defekttir. Sol ventrikül normalden hafif küçük, sağ ventrikül ise hafif büyüktür. Genellikle her ikisi normal sınırlardadır fakat RV/LV oranı bozulmuştur. Ventriküllerin orantısızlığı genellikle renkli doppler ile gösterilir. Aorta ve transvers ark hipoplazisi, tanıyı destekler ama dört odacık görüntüsünde izlenemezler.
  • 52.
     Normal fetuslardaventrikül boyutları birbirine eşittir.  Sağ ventrikül, soldan büyük olduğunda  AV kapaklar serbest çalıştığı durumlar  Normal ileri hafta gebelik  Aort koarktasyonu  Orta derece triküspit kapak yetmezliği  Mitral kapak stenozu  Sol ventrikül, sağdan büyük olduğunda  AV kapaklar serbest çalıştığı durumlar  Orta derece mitral yetmezlik  Şiddetli aort yetmezliği  Triküspit kapak stenozu  Tek ventrikül Triküspit yetmezlik. Şiddetli triküspit yetersizliği varsa sağ kalp dilate olabilir
  • 53.
     Normal fetuslardaventrikül boyutları birbirine eşittir.  Sağ ventrikül, soldan büyük olduğunda  AV kapaklar serbest çalıştığı durumlar  Normal ileri hafta gebelik  Aort koarktasyonu  Orta derece triküspit kapak yetmezliği  Mitral kapak stenozu  Sol ventrikül, sağdan büyük olduğunda  AV kapaklar serbest çalıştığı durumlar  Orta derece mitral yetmezlik  Şiddetli aort yetmezliği  Triküspit kapak stenozu (genellikle intakt ventriküler septum ile pulmoner atrezi bir arada)  Tek ventrikül Pulmoner atrezi. İntakt ventriküler septum ile pulmoner atrezi birlikteliğinde, sağ ventrikül kavitesi kalın duvarlı ve küçük, boyutlar değişken olmasına rağmen burada her iki örnekde görülebilir. Sağ ventrikül kasılması kötüdür. Triküpit kapak açıklığı normalden küçüktür. Triküspit yetmezliği renkli doppler ile gösterilebilir.
  • 54.
     Crux anormallikleri: Tek AV kapak  Mitral atrezi  Triküspit atrezisi  Ortak AV kapak  Tek ventrikül ile birlikte iki AV kapak  Çift girişli sol ventrikül  Çift girişli sağ ventrikül  Ters diferansiye insersiyon  Aşırı diferansiye insersiyon Mitral atrezi. Hipoplastik sol kalp sendromu mitral ve aort kapaklarının atrezisi/ağır stenozu ile birlikte bulunur. Dört odacık görüntüsü değişebilir. Bu iki örnekte, kalın duvarlı sol ventrikül küçük kavitelidir ve kontraksiyon azalmıştır. Renkli doppler ile mitral kapak darlığında çok az, atrezisinde ise hiç geçiş olmaz. Atriyal septum (sarı ok) hemen karşısında soldan sağa şant
  • 55.
     Crux anormallikleri: Tek AV kapak  Mitral atrezi  Triküspit atrezisi  Ortak AV kapak  Tek ventrikül ile birlikte iki AV kapak  Çift girişli sol ventrikül  Çift girişli sağ ventrikül  Ters diferansiye insersiyon  Aşırı diferansiye insersiyon Triküspit atrezisinde küçük sağ ventrikül, kapalı triküspit kapak ve renkli doplerde akım yoktur. Bu durum hemen herzaman küçük bir VSD ile birliktedir.
  • 56.
     Crux anormallikleri: Tek AV kapak  Mitral atrezi  Triküspit atrezisi  Ortak AV kapak  Tek ventrikül ile birlikte iki AV kapak  Çift girişli sol ventrikül  Çift girişli sağ ventrikül  Ters diferansiye insersiyon  Aşırı diferansiye insersiyon AVSD. İki ventrikül arasında ortak AV kapak vardır. Kapak, crux hizasında görülür ve diferansiyel insersiyon yoktur. Farklı fetal pozisyonlarda gösterilen iki tam Atriyoventriküler septum defekti vardır (atriyal septum primum da ve ventriküler septum giriş kısmında)
  • 57.
     Crux anormallikleri: Tek AV kapak  Mitral atrezi  Triküspit atrezisi  Ortak AV kapak  Tek ventrikül ile birlikte iki AV kapak  Çift girişli sol ventrikül  Çift girişli sağ ventrikül  Ters diferansiye insersiyon  Aşırı diferansiye insersiyon Çift girişli sol ventrikül , iki AV kapak sol ventriküle bağlanır (apekse moderatör band yok). DO ventriküler septum yoktur Çift girişli sol ventrikül çift girişli sağ ventriküle göre daha sık görülür.
  • 58.
     Dört odacıkkesitinde görülen ek anormallikler:  Ventriküler septal defekt  Kardiyak tümörler  Total anormal venöz drenaj  Sol atriyal izomerizm İlk örnek, septumun girişinde büyük bir VSD gösterir (iki AV kapakların arasında uzanan septum). İkinci örnek, apikal muskuler VSD gösterir (Renkli doppler olmadan zor görülür). Kalp döngüsü sırasında çift yönlü akım defektten geçer (mavi ve kırmızı). Tüm VSD Ventriküler Septal Defekt
  • 59.
     Dört odacıkkesitinde görülen ek anormallikler:  Ventriküler septal defekt  Kardiyak tümörler  Total anormal venöz drenaj  Sol atriyal izomerizm Rabdomyom. Multipl rabdomyomlar %95 oranında tüberküloz ile ilişkilidir. Kranyal MR sıklıkla intraserebral tümörleri gösterir. Rabdomyom
  • 60.
     Dört odacıkkesitinde görülen ek anormallikler:  Ventriküler septal defekt  Kardiyak tümörler  Total anormal venöz drenaj  Sol atriyal izomerizm Pulmoner venlerin normal pozisyonda sol atriyuma arkadan bağlandığı görülmez. Normal sol atriyum şeklini ve sol atriyum-inen aorta arasındaki artan mesafeye Total Venöz drenaj anomalisi
  • 61.
     Dört odacıkkesiti major fetal kardiyak defektlerin %60 ‘da anormaldir.  Dört odacık anormalliklerinin tespiti normal görüntünün bilinmesine bağlıdır, herhangi bir farklılığın doğru açıklanması şansını verir.  Anormallikler doğru tespit edilir ve doğru tariflenirse tanıya ulaşılabilir.  Tanıların anomali ve prognozları üzerine özel etkileri vardır. Anormal dört odacık görüntüleri
  • 62.
     Normal kalpte:PA, aorta köküne göre önde ve üstte(kraniyal) Büyük damarların anormal pozisyonları: Aort kapağı, sağda önde ve pulmoner kapak üzerindedir. • Çift çıkışlı sağ ventrikül • Büyük damar transpozisyonu Aort kapağı, solda önde ve pulmoner kapak üzerindedir. • Büyük arterlerin düzeltilmiş transpozisyonu (atriyoventriküler uyumsuzluk) Paralel büyük damarlar • Çift çıkışlı sağ ventrikül • Büyük arterlerin transpozisyonu • Büyük arterlerin düzeltilmiş transpozisyonu (atriyoventriküler uyumsuzluk)
  • 63.
     Normal kalpte:PA, görsel muayene ve ölçümü ile aortadan biraz daha büyüktür Büyük damarların boyut anormallikleri: Normalden büyük pulmoner arter • Pulmoner kapak eksikliği sendromu Pulmoner arterin aortadan ve gebelik haftasına göre küçük olması. • Pulmonar stenoz ya da atrezi (Fallot tetralojisi dahil) • Triküspit kapak akımının azalması (stenoz, atrezi, Ebstein malformasyonu) Aortanın pulmoner arterden çok küçük ve gebelik haftasına göre küçük olması. • Aort stenozu ya da atrezisi • Aort koarktasyonu
  • 64.
     Normal kalpte:(a) Atriyal kapaklar açıktır, (b) her iki büyük arterlerin kapaklarında ileriye değişken ama en az 100 cm/sn bir hızda akım, (c) kapaklarda yetmezlik yoktur. Anormal yapı ve fonksiyon: Pulmoner kapak açık ve akım hızı artmış • Pulmoner kapak stenozu Aort kapağı açık ve akım hızı artmış • Aort kapağı stenozu Pulmoner arter yetersizliği • Pulmoner kapak yokluğu sendromu Aortik yetmezlik • Aort sol ventrikül arası tünel (nadir)
  • 65.
     Normal kalpte:(a) Aorta sol ventrikülden çıkar ve ilk olarak sağ omuza doğru yönelir, (b) aortun ön duvarı, ventriküler septum ile devam eder, (c) aortada kapağına yakın dallanma izlenmez, (d) aort arka duvarı mitral kapak ön yaprakcık ile devam eder, (e) aort kapağı, sistol sırasında serbestçe açılır, ve (f) renkli doppler de aort kapağında ileri akım laminerdir (turbülans yoktur) ve yetmezlik görülmez. Anormal yapı ve fonksiyon: Aort her iki ventrikülden, ventriküler septuma ata biner gibi doğar. Aort ön duvarının ventriküler septum ile devamlılığı yoktur. Aortik Override
  • 66.
     Bu örnektekalbin aksı sola deviye olmuştur, bu sık görülür fakat değişmez özellik değildir.  Sol ventrikül uzun aks kesitinde, aortanın ventriküler septal defekt üzerinden yükseldiği izlenir.  3 damar görüntüsü elde edilmesi gibi sweep yapıldığında, pulmoner arterin aortadan küçük olduğu fakat normal pozisyonel ilişkide oldukları (ön ve kranyal) izlenir.
  • 67.
     Aort normaldenküçüktür ve pulmoner arter ile karşılaştırıldığında da küçük olduğu izlenir  Aort kökü, 3 damar kesiti ve ark- duktus kesiti arasında sweep yapıldığında, hem 2D hem de renkli doppler ile bakılınca fetusda aort koarktasyonu özellikleri görülebilir: • Aort pulmoner arterden küçüktür. • Arkus, duktus arteriozusdan biraz daha küçüktür. • Bu örnekte, perimembranöz VSD renkli doppler ile üst panelde görülür
  • 68.
     Dört odacıkgörüntüsü normaldir.  pulmoner arter sol ventrikülden çıkar  Aorta, önde sağ ventrikülden çıkar, PA üzerinde bulunur ve aortik ark formundadır  Normal 3 damar görüntüsü izlenmez Büyük arter transpozisyonu
  • 69.
     Büyük konjenitalkalp malformasyonlarının yaklaşık % 40'ı sadece büyük arter manzarasında görülür  Kardiyak değerlendirmede hem 4 O görünümünün ve hem de büyük arter lerin incelenmesi gereklidir  4 O görünümü incelemesine benzer şekilde, büyük arterlerin boyutu, konumu, yapısı ve fonksiyonu sistematik olarak analiz edilmelidir
  • 73.
     Pulmoner arterkapaklarından sonra dallanır. Bu nedenle pulmoner arter dalları, 3 damar kesitinde ductus arteriozus altında görülür.  Sol pulmoner arter, siyah-beyaz video da daha iyi görülür, sağ pulmoner arter ise renkli doppler de daha iyi izlenir.  Büyük arterlerin normal bağlanmadığı durumlarda, pulmoner arter dallarının karekteristik özelliği ile aortadan ayrılır. Aortanın ilk dalı kapağın distalinde olur, yukarı yönelmiştir ve uzun aks kesitte görülür.  Aortanın ilk dalları kapağın üzerinden çıkankoroner dallardır, fetusda çok küçüktürler ve normalde görülmezler. Modül 4: Normal büyük damar görüntüsü 3 Damar kesiti
  • 74.
     Aort kapağınınhemen üzerinde pulmoner arter sağ ventrikülden doğar  Mavi oklar büyük damarların kökeninden itibaren akım yönünü gösterir.  Birbirlerine neredeyse dik açıyla çıkarlar: Akım, aortada başa ve sağa doğru, pulmoner arterde ise arkaya doğrudur.  Aort kökeninden başa doğru yukarı, pulmoner arter ise aort kökeni üzerinden geçer  Ultrasonu ileri ve geri hareket ettirerek, aort kökü ve 3 damar görüntüsü arasında iki büyük damarın göreceli ölçüsü ve pozisyonları not edilebilir.
  • 75.
     Transvers arkkesitinden açılanma yapıldığında arkus ve ductus aynı anda görülebilir. Bu kesitte: • Transvers ark ve ductus benzer büyüklüktedir • Ark ve ductus içinde akımın yönü aynıdır Modül 4: Normal büyük damar görüntüsü Arkus ve duktus kesiti
  • 76.
     Normal kalpte:(a) Aorta sol ventrikülden çıkar ve ilk olarak sağ omuza doğru yönelir, (b) aortun ön duvarı, ventriküler septum ile devam eder, (c) aort arka duvarı mitral kapak ön yaprakcık ile devam eder, (d) aort kapağı, sistol sırasında serbestçe açılır, ve (e) renkli doppler de aort kapağında ileri akım laminerdir (turbülans yoktur) ve yetmezlik görülmez. Aorta normalden gözle görülür derecede küçüktü (burada pulmoner arter görülmemesi kayda değer değildir). Küçük aorta şüphesi, büyüme eğrisi çizelgesi ile doğrulandı. Aort kapağı sistolde açılmaz (kapak çizgileri sistol boyunca izlenebiliyor). Aort kapağında akım hızı artmıştır, renki dopplerde türbülan akım düzeltilmiştir Aort stenozu
  • 77.
     Normal kalpte:(a) pulmoner arter aortdan biraz daha büyüktür, (b) pulmoner kapak, aort kapağına göre daha önde ve kranyaldir, (c) pulmoner kapak laminer akım ile serbestçe açılır, (d) pulmoner arter, duktus arteriyozus olarak devam eder ve inen aortaya bağlanır ve (e) duktus arteriozus da ileri akım vardır. Modül 5: Anormal büyük damar görüntüsü Pulmonerarter normalden biraz daha küçüktür. Duktus arteriozusda (kırmızı) ters yönde akım vardır. Duktusdan gelen akım kapalı pulmoner kapağa çarpar, ve daha sonra pulmoner arter (mavi) dallarını beslemek için ileri gider. Pulmoner atrezi video ekle
  • 78.
     Normal kalpte:(a) pulmoner arter aortdan biraz daha büyüktür, (b) pulmoner kapak, aort kapağına göre daha önde ve kranyaldir, (c) pulmoner kapak laminer akım ile serbestçe açılır, (d) pulmoner arter, duktus arteriyozus olarak devam eder ve inen aortaya bağlanır ve (e) duktus arteriozus da ileri akım vardır. Modül 5: Anormal büyük damar görüntüsü Fallot tetralojisi. Pulmoner kapak kalındır ve serbestçe açılmaz. Ana pulmoner arter dilatedir. Duktus arteriozus görülmez. Renkli dopplerde şiddetli derecede pulmoner yetmezlik Pulmoner kapak eksikliği sendromu
  • 79.
     Normal kalpte:(a) aortanın büyük kısmının sol ventrikülden çıktığı izlenir, (b) aort kökeninden hemen sonra büyük damarlar görülmez, (c) sol ventrikül çıkış yolunda, uzunluğu boyunca laminer akım vardır. Modül 5: Anormal büyük damar görüntüsü Sol ventrikülden çıkan damarın pulmoner arter olduğu izlenir. Büyük arter transpozisyonu
  • 80.
     Normal kalpte:(a) sağ ventrikül ‘’muz’’ şeklindedir ve sol ventrikül önünde yer alır, (b) pulmoner kapak, sağ ventrikül sonunda kranyel olarak görülür, (c) sol ventrikül mitral kapak ile birlikte ‘’balık ağzı’’ görüntüsü verir ve güçlü kontrakte olur ,(d) sol ventrikül septum intaktdır, (e) sağ ventrikülden pulmoner artere doğru akım izlenir. Modül 5: Anormal büyük damar görüntüsü Sağ ventrikül normal kasılır, fakat sol ventrikül sert ve hareketsizdir. Bunun nedeni aort kapağındaki obstruksiyon nedeniyle sol ventrikül içindeki yüksek basınçtır. Ağır aortik stenoz
  • 81.
     Transver kesitte,ultrason biraz açılandırıldığında arkus aorta ve ductus arteriozus aynı anda görülebilir. Duktus ve transvers ark boyutları birbirine yakındır. Duktusun ve arkusun akım yönleri aynıdır. Modül 5: Anormal büyük damar görüntüsü Transvers ark hipoplastikdir, akım yönü duktus arteriozus ile terstir (retrograd akım). Aort atrezisi
  • 82.
     Transver kesitte,ultrason biraz açılandırıldığında arkus aorta ve ductus arteriozus aynı anda görülebilir. Duktus ve transvers ark boyutları birbirine yakındır. Duktusun ve arkusun akım yönleri aynıdır. Modül 5: Anormal büyük damar görüntüsü Arkus aorta solda inerken orta hattı çaprazlamaz, fakat trakea etrafında, sağda, duktus ile bir daire oluşturur. Sağ aortik ark
  • 83.
     Transver kesitte,ultrason biraz açılandırıldığında arkus aorta ve ductus arteriozus aynı anda görülebilir. Duktus ve transvers ark boyutları birbirine yakındır. Duktusun ve arkusun akım yönleri aynıdır. Modül 5: Anormal büyük damar görüntüsü Dekstrokardi. Aort pulmoner arter önünden yükselir (yanlara dallanması ile ayrıt edilir). Pulmoner atreziyi gösteren, duktus arteriozus içinde ters akım vardır. Normalden açıkça farklı olarak, 3 damar görüntüsü sol el paneline benzer yerleşimli Sağ ventrikül çift çıkış
  • 84.
     Transver kesitte,ultrason biraz açılandırıldığında arkus aorta ve ductus arteriozus aynı anda görülebilir. Duktus ve transvers ark boyutları birbirine yakındır. Duktusun ve arkusun akım yönleri aynıdır. Modül 5: Anormal büyük damar görüntüsü Küçük pulmoner arter ve ductus, pulmonera arter akımı hızı azalmış, triküspit kapağın Ebstein malformasyonu (bu videoda görülmüyor) Ebstein malformasyonu
  • 85.
     Transver kesitte,ultrason biraz açılandırıldığında arkus aorta ve ductus arteriozus aynı anda görülebilir. Duktus ve transvers ark boyutları birbirine yakındır. Duktusun ve arkusun akım yönleri aynıdır. Modül 5: Anormal büyük damar görüntüsü Arkus aorta, gestasyonel haftaya ve ductus arteriozusa göre küçüktür. Aort koarktasyonu
  • 86.
     Normal kalpte:(a) tipik olarak kalbin merkezinden aortadan çıkan çengel (hook) gibi görüntülenir, (b) sağ pulmoner arter hook içinde yer alır, (c) boyun , baş ve kola giden 3 damar, hook üzerinden ayrılır, (d) aortik ark da ileri akım izlenir. Modül 5: Anormal büyük damar görüntüsü Dilate ana pulmoner arter ve duktusda ileri akım, transvers aortik ark üzerinde terse akım izlenir. Aort atrezisi
  • 87.
     Normal kalpte:(a) tipik olarak kalbin merkezinden aortadan çıkan çengel (hook) gibi görüntülenir, (b) sağ pulmoner arter hook içinde yer alır, (c) boyun , baş ve kola giden 3 damar, hook üzerinden ayrılır, (d) aortik ark da ileri akım izlenir. Modül 5: Anormal büyük damar görüntüsü Aortik arkda ileri akım ve bunun altında ductus arteriozus içinde ters akım ile birlikte görüldüğünde pulmoner atreziyi işaret eder. Pulmoner atrezi
  • 88.
     Normal kalpte:(a) tipik olarak kalbin merkezinden aortadan çıkan çengel (hook) gibi görüntülenir, (b) sağ pulmoner arter hook içinde yer alır, (c) boyun , baş ve kola giden 3 damar, hook üzerinden ayrılır, (d) aortik ark da ileri akım izlenir.  Kardiyak defekt gösteren iki videodada aortik ark normal sıkı hook şeklinde değildir , ama sağ ventrikülden önde yükselir.  Üst video: Pulmoner arter kökeni izlenmez. Tanı ya sağ ventrikül çıkışından ya da büyük damarların transpozisyonu ile konur.  Alt video: Pulmoner arter küçük ve aortanın arkasında paralel görülür. Duktusdan pulmoner artere akım terstir(kırmızı). Tanı pulmoner atrezi ile birlikte sağ ventrikülden çift çıkış ile konur. Modül 5: Anormal büyük damar görüntüsü
  • 89.
     Normal kalpte:(a) tipik olarak kalbin merkezinden aortadan çıkan çengel (hook) gibi görüntülenir, (b) sağ pulmoner arter hook içinde yer alır, (c) boyun , baş ve kola giden 3 damar, hook üzerinden ayrılır, (d) aortik ark da ileri akım izlenir. Aort koarktasyonu. Baş ve kola giden damarların bağlantısında ufak bir açı farkı, aortik ark paterni normal olarak görülür, şüpheli aort koarktasyonları doğumdan sonra konfirme edilmelidir. Fetal hayatta koarktasyonda ‘’raf’’ görülmez ve uzun eksende aortik ark normal olarak görülür. Tanı diğer nedenler ekarte edilerek konulur. Aort koarktasyonu
  • 90.
     Normal kalpte:(a) tipik olarak kalbin merkezinden aortadan çıkan çengel (hook) gibi görüntülenir, (b) sağ pulmoner arter hook içinde yer alır, (c) boyun , baş ve kola giden 3 damar, hook üzerinden ayrılır, (d) aortik ark da ileri akım izlenir. Büyük damarların transpozisyonu. Duktusa uzun aks ile bakıldığında normal görüntü izlenmez. Bunun yerine, büyük damarlar paralel olarak yükselir, aorta (başa dal verdiğinden ayırt edilir) sağ ventrikülden, pulmoner arterde önde sol ventrikülden doğar. Büyük arter transpozisyonu
  • 91.
     Normal kalpte:(a) tipik olarak kalbin merkezinden aortadan çıkan çengel (hook) gibi görüntülenir, (b) sağ pulmoner arter hook içinde yer alır, (c) boyun , baş ve kola giden 3 damar, hook üzerinden ayrılır, (d) aortik ark da ileri akım izlenir. Pulmoner stenoz. Renkli dopplerde akım türbülanslıdır ve akım hızı artmıştır.
  • 97.
     Abdomenin standartkesitinden başlayıp toraks girişine kadar sürekli bir tranvers tarama yapılır  Bu kesitler ile rutin fetal kalp taraması için gerekli olan tüm bilgiler elde edilebilir