Embed presentation
Downloaded 14 times




































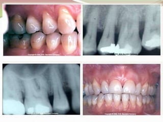
Periodontics is a branch of dentistry focused on diagnosing and treating conditions and diseases affecting the supporting and surrounding tissues of teeth. The field addresses issues such as periodontitis, which is inflammation of the periodontal structures. The document introduces key concepts related to periodontics.



































