z
X Ray - PNS
Dr. Balamurugan S
DNB PG Y1
z
Outline
 Introduction
 Embryology, Anatomy, Functions of the PNS
 X – ray PNS
 Indications
 Occipitomental view
 Occipitofrontal view
 Lateral view
 Submentovertex view
 Special views
z
Embryology
 The maxillary sinus cavity is seen at birth on x-rays. They
increase in size till 14yrs of age.
 The frontal is the last to get pneumatised and is visible only at
6years of age.
 The sphenoid sinus is pneumatised by 2 yrs of age. Adult size
by 12-14 yrs.
 The ethmoid sinuses are aerated by birth but are rarely visible.
They grow till 4 yrs of age and ha a growth spurt during
adolescence.
z
z
Anatomy of the paranasal sinuses
 Paranasal sinuses are air filled structures
located around the nasal cavity and formed
within the bones of skull and face.
 These sinuses are divided into four groups
according to the bones that contain them.
 Maxillary
 Frontal
 Ethmoidal
 Sphenoid
z
Maxillary sinus
 Largest paranasal sinus, paired, located
within the maxilla.
 It is pyramidal in shape and apex towards
the zygomatic process of maxilla.
 The floor is formed by alveolar process of
the maxilla
 The roof is the orbital floor.
 The posterior wall forms the anterior border
of the pterygopalatine fossa.
 Maxillary sinus drains into the infundibulum,
then through the hiatus semilunaris into the
middle meatus.
z
Frontal sinus
 The frontal sinuses are paired and are
present within the frontal bone.
 Almost always asymmetrical and separated
by a septum.
 Each sinus extends superior to the medial
end of the eyebrow and back into the orbital
region of the frontal bone.
 Frontal sinus drains through the nasofrontal
duct, which can, in turn, drain into either the
frontal recess or ethmoid infundibulum and
then into the middle meatus.
z
Ethmoidal air cells (sinus)
 They are a collection of air cells (3 -18
in number) separated by bony septa
within the lateral mass/labyrinth of the
ethmoid bone.
 They are separated into anterior, middle,
posterior ethmoidal cells.
 Anterior cells drain into the hiatus
semilunaris and middle meatus via the
ethmoidal bulla.
 The posterior cells drain into the
superior meatus via the
sphenoethmoidal recess.
z
Sphenoid sinus
 These are paired air sinuses within the
sphenoid bone, separated by a
variable septum.
 It drains into the sphenoethmoidal
recess via its anterior wall.
 Superior: Pituitary fossa (Sella
turcica) – sinus lies anteroinferior to it.
 Lateral: Cavernous sinus
 Inferior: Nasal cavities.
 Anteriorly: Posterior ethmoidal air cells.
 Posteriorly: middle cranial fossa
z
Functions of the Paranasal sinuses
 Air conditioning of the inspired air by providing a large
surface area over which the air is humidified and warmed.
 Resonance to voice.
 Act as thermal insulators to protect delicate structures within
the orbit and cranium for variations in the intranasal
temperature.
 Lightens skull bones.
z
X – Ray PNS
 Currently the utility of radiographs is limited.
 The sensitivity and specificity of plain radiographs is low.
 In a properly exposed radiograph, PNS density is identical to
orbital density.
 Abnormalities manifest as opacification of sinuses, bone
destruction,soft tissue or displacement of structures.
z
X – Ray PNS
 Standard four views of the x – ray pns include:
 Occipitomental view (Water’s view)
 Occipitofrontal view (Caldwell’s view)
 Lateral view
 Submentovertical view
z
Indications
 Sinusitis – To detect mucosal thickening, fluid levels or
opacification
 Sinus/polyps – soft tissue mass within sinus visible
 Trauma
 Foreign body
z
 The projection is performed with the patient seated facing the
receptor.
 The patient’s nose and chin should touch the receptor midline, and
head is tilted so that the orbitomeatal line is 45 to the receptor.
⁰
 The horizontal central line should be at the level of lower orbital
margins.
 The beam centred on the receptor should coincide with the patients
anterior nasal spine.
• collimation
• superior to the skin margins
• inferior to include the most inferior aspects of the skull
• lateral to include the skin margin
Occipitomental view
Maxillary and frontal sinusitis
Gas-fluid levels (red arrows), indicating acute sinusitis. Mucosal thickening of
the maxillary sinuses (blue arrows), suggestive of chronic sinusitis.
z
Occipitofrontal view
 This projection is used to demonstrate the frontal and
ethmoidal sinuses.
 It is also known as the Caldwell’s view.
 The patient is seated upright in front of the receptor and their
forehead and nose are placed against it.
 The beam is centred at around 15 to exit at the nasion.
⁰
• collimation
• lateral to the skin margins
• superior and inferior to the borders of the sinus cavities
Two frontal views of the skull demonstrate an incidental rounded, sclerotic lesion growing into the right frontal sinus (white arrows).
z
Lateral view
 It is a non angled lateral radiograph of the skull.
It provides an overview of all the sinuses.
 The sagittal midline of the patient’s head is
parallel to the image detector.
 The beam travels laterally, with 0 of
⁰
angulation, through a point 4cm above the
EAC.
• collimation
• superiorly to include skin margins
• inferiorly to include base of skull
• anteriorly to include frontal bone
• posteriorly to the skin margins
Air fluid levels seen on lateral view indicating skull base fracture
z
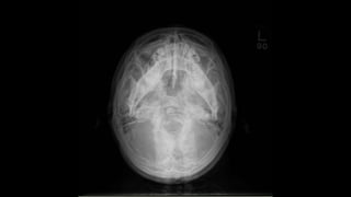
Submentovertical view
 It is an angled inferosuperior radiograph of the base of skull.
 Any cervical spine pathology should be ruled out before
performing this view.
 If erect, patient sits and leans back head facing away from
the receptor.
 If supine use pillow to elevate and tilt head backwards.
 The head is tilted until IOML is parallel to the receptor and
the vertex is in contact with the receptor. Beam centred 4cm
inferior to mental point.
• collimation
• anterior to include mandibular mentum
• posterior to include occipital bone
• lateral to include the skin margin
Angulated fracture of the left zygomatic arch.
z
Special views
 Towne’s view
 Schuller’s view
 Rhese’s view
z
Towne’s view
• Patient is supine and nuchal ridge is
placed against the detector.
• IOML perpendicular to receptor
• centering point
• midway between the external auditory
meatuses and exits the foramen
magnum
• collimation
• superior to include skin margins
• inferior to include base of skull
• lateral to the skin margins
z
Schuller’s view
 Schuller's view is a oblique radiographic
projection used to demonstrate the
petrous temporal bone, internal auditory canal
and bony labyrinth
Patient position
• in Schuller's view the sagittal plane of the head
is parallel to the x-ray film
• central beam is projected 25-30 degrees
cephalocaudal
Rhese’s View
z
THANK YOU

X ray Paranasal sinuses? PNS............

  • 1.
    z X Ray -PNS Dr. Balamurugan S DNB PG Y1
  • 2.
    z Outline  Introduction  Embryology,Anatomy, Functions of the PNS  X – ray PNS  Indications  Occipitomental view  Occipitofrontal view  Lateral view  Submentovertex view  Special views
  • 3.
    z Embryology  The maxillarysinus cavity is seen at birth on x-rays. They increase in size till 14yrs of age.  The frontal is the last to get pneumatised and is visible only at 6years of age.  The sphenoid sinus is pneumatised by 2 yrs of age. Adult size by 12-14 yrs.  The ethmoid sinuses are aerated by birth but are rarely visible. They grow till 4 yrs of age and ha a growth spurt during adolescence.
  • 4.
  • 5.
    z Anatomy of theparanasal sinuses  Paranasal sinuses are air filled structures located around the nasal cavity and formed within the bones of skull and face.  These sinuses are divided into four groups according to the bones that contain them.  Maxillary  Frontal  Ethmoidal  Sphenoid
  • 6.
    z Maxillary sinus  Largestparanasal sinus, paired, located within the maxilla.  It is pyramidal in shape and apex towards the zygomatic process of maxilla.  The floor is formed by alveolar process of the maxilla  The roof is the orbital floor.  The posterior wall forms the anterior border of the pterygopalatine fossa.  Maxillary sinus drains into the infundibulum, then through the hiatus semilunaris into the middle meatus.
  • 7.
    z Frontal sinus  Thefrontal sinuses are paired and are present within the frontal bone.  Almost always asymmetrical and separated by a septum.  Each sinus extends superior to the medial end of the eyebrow and back into the orbital region of the frontal bone.  Frontal sinus drains through the nasofrontal duct, which can, in turn, drain into either the frontal recess or ethmoid infundibulum and then into the middle meatus.
  • 8.
    z Ethmoidal air cells(sinus)  They are a collection of air cells (3 -18 in number) separated by bony septa within the lateral mass/labyrinth of the ethmoid bone.  They are separated into anterior, middle, posterior ethmoidal cells.  Anterior cells drain into the hiatus semilunaris and middle meatus via the ethmoidal bulla.  The posterior cells drain into the superior meatus via the sphenoethmoidal recess.
  • 9.
    z Sphenoid sinus  Theseare paired air sinuses within the sphenoid bone, separated by a variable septum.  It drains into the sphenoethmoidal recess via its anterior wall.  Superior: Pituitary fossa (Sella turcica) – sinus lies anteroinferior to it.  Lateral: Cavernous sinus  Inferior: Nasal cavities.  Anteriorly: Posterior ethmoidal air cells.  Posteriorly: middle cranial fossa
  • 11.
    z Functions of theParanasal sinuses  Air conditioning of the inspired air by providing a large surface area over which the air is humidified and warmed.  Resonance to voice.  Act as thermal insulators to protect delicate structures within the orbit and cranium for variations in the intranasal temperature.  Lightens skull bones.
  • 12.
    z X – RayPNS  Currently the utility of radiographs is limited.  The sensitivity and specificity of plain radiographs is low.  In a properly exposed radiograph, PNS density is identical to orbital density.  Abnormalities manifest as opacification of sinuses, bone destruction,soft tissue or displacement of structures.
  • 13.
    z X – RayPNS  Standard four views of the x – ray pns include:  Occipitomental view (Water’s view)  Occipitofrontal view (Caldwell’s view)  Lateral view  Submentovertical view
  • 14.
    z Indications  Sinusitis –To detect mucosal thickening, fluid levels or opacification  Sinus/polyps – soft tissue mass within sinus visible  Trauma  Foreign body
  • 15.
    z  The projectionis performed with the patient seated facing the receptor.  The patient’s nose and chin should touch the receptor midline, and head is tilted so that the orbitomeatal line is 45 to the receptor. ⁰  The horizontal central line should be at the level of lower orbital margins.  The beam centred on the receptor should coincide with the patients anterior nasal spine. • collimation • superior to the skin margins • inferior to include the most inferior aspects of the skull • lateral to include the skin margin Occipitomental view
  • 18.
    Maxillary and frontalsinusitis Gas-fluid levels (red arrows), indicating acute sinusitis. Mucosal thickening of the maxillary sinuses (blue arrows), suggestive of chronic sinusitis.
  • 19.
    z Occipitofrontal view  Thisprojection is used to demonstrate the frontal and ethmoidal sinuses.  It is also known as the Caldwell’s view.  The patient is seated upright in front of the receptor and their forehead and nose are placed against it.  The beam is centred at around 15 to exit at the nasion. ⁰ • collimation • lateral to the skin margins • superior and inferior to the borders of the sinus cavities
  • 22.
    Two frontal viewsof the skull demonstrate an incidental rounded, sclerotic lesion growing into the right frontal sinus (white arrows).
  • 23.
    z Lateral view  Itis a non angled lateral radiograph of the skull. It provides an overview of all the sinuses.  The sagittal midline of the patient’s head is parallel to the image detector.  The beam travels laterally, with 0 of ⁰ angulation, through a point 4cm above the EAC. • collimation • superiorly to include skin margins • inferiorly to include base of skull • anteriorly to include frontal bone • posteriorly to the skin margins
  • 26.
    Air fluid levelsseen on lateral view indicating skull base fracture
  • 27.
    z Submentovertical view  Itis an angled inferosuperior radiograph of the base of skull.  Any cervical spine pathology should be ruled out before performing this view.  If erect, patient sits and leans back head facing away from the receptor.  If supine use pillow to elevate and tilt head backwards.  The head is tilted until IOML is parallel to the receptor and the vertex is in contact with the receptor. Beam centred 4cm inferior to mental point. • collimation • anterior to include mandibular mentum • posterior to include occipital bone • lateral to include the skin margin
  • 30.
    Angulated fracture ofthe left zygomatic arch.
  • 31.
    z Special views  Towne’sview  Schuller’s view  Rhese’s view
  • 32.
    z Towne’s view • Patientis supine and nuchal ridge is placed against the detector. • IOML perpendicular to receptor • centering point • midway between the external auditory meatuses and exits the foramen magnum • collimation • superior to include skin margins • inferior to include base of skull • lateral to the skin margins
  • 35.
    z Schuller’s view  Schuller'sview is a oblique radiographic projection used to demonstrate the petrous temporal bone, internal auditory canal and bony labyrinth Patient position • in Schuller's view the sagittal plane of the head is parallel to the x-ray film • central beam is projected 25-30 degrees cephalocaudal
  • 37.
  • 38.