Learning Objectives
• Introduction to respiratory system.
• Definition
• Lung structural anatomy
• Clinical anatomy
lungs
Respiratory system
• Is a series of organs responsible for takes in oxygen
and expelling carbon dioxide.
• The primary organ of the respiratory system are
lungs.
Contents of respiratory system
• The respiratory system consists of nasal
cavity,pharynx,laryanx,trachea,bronchi and lungs.
• consists of two portion
Upper respiratory system-
Lower respiratory system-
Introduction
• The lungs occupying the major portion of thoracic
cavity.
• The lungs holds the heart tightly between them.
Texture-spongy
Colour –
young –brown
adults-mottled black
Weight-
Right lung-700gms
Left lung -600gms
Shape –conical
Features of lungs
• It has-
Apex
Base
Three bordres
Two surfaces
• Apex- Blunt
Lies above the level of anterior end of 1st
rib.
Reaches 1-2 cm above medial 1/3rd
of clavicle.
• Base- Semilunar and concave.
Rests on dome of diaphragm.
Right side of dome is higher than left.
• Borders
Anterior border
Posterior border
Inferior border
• Two surface
Costal surface
Medial surface
Fissures and lobes of lungs
Right lung has - 3 lobes and two fissures
Left lung has – 2 lobes and 1 fissure
•
Root of lungs
Short,broad pedicle which connects the medial
surface of the lungs to the mediastinum
It lies opposite to the bodies of 5th
,6th
,and 7th
thoracic vertebrae.
Contents of the lungs
• The bronchus
• One pulmonary artery
• Two pumonary veins
• Bronchial arteries
• Bronchial veins
• Ant and post pulmonary plexuses
• Bronchopulmonary lymph nodes
• Areolar tissue
Contents of root of lungs
Difference between two lungs
Difference between two lungs
• Blood supply –
By bronchial artey –one bronchial artery on the right
side and two bronchial artery on the left side.
• Venous drainage – Bronchial veins
• Nerve supply – Sympathetic – T2 –T5
Parasympatic – vagus nerve
Clinical anatomy
• Lungs abscess Asthma
• Tuberculosis Pneumothorax
• Emphysema Bronchitis
• Pulmonary oedema COPD
• Pneumonia Lung cancer
Lung abscess
• Lung abscess is defined as necrosis of the
pulmonary tissue and formation of cavities
containing necrotic debris or fluid caused by
microbial infection. The formation of multiple
small (< 2 cm) abscesses is occasionally
referred to as necrotizing pneumonia or lung
gangrene.
Lung abscess
Lung abscess
• Asthma is a chronic lung disease affecting
people of all ages. It is caused by inflammation
and muscle tightening around the airways,
which makes it harder to breathe. Symptoms
can include coughing, wheezing, shortness of
breath and chest tightness. These symptoms
can be mild or severe and can come and go
over time
Asthma
Tuberculosis
• Tuberculosis (TB) is an infectious disease that
most often affects the lungs and is caused by a
type of bacteria. It spreads through the air
when infected people cough, sneeze or spit.
Tuberculosis is preventable and curable.
pneumothorax
• A pneumothorax is a collection of air outside
the lung but within the pleural cavity. It occurs
when air accumulates between the parietal
and visceral pleurae inside the chest. The air
accumulation can apply pressure on the lung
and make it collapse.
Emphysema
• Emphysema is a lung disease that damages
the alveoli in lungs. The primary symptom of
emphysema is shortness of breath. Chronic
bronchitis is a lung condition that destroys the
cilia in your airways. Cilia are hair-like parts
(organelles) of cells that move germs and
other debris out of your airways
Emphysema
Emphysema
• Emphysema is a lung disease that results from
damage to the walls of the alveoli in your
lungs. A blockage (obstruction) may develop,
which traps air inside your lungs. If you have
too much air trapped in your lungs, your chest
may appear fuller or have a barrel-chested
appearance. With fewer alveoli, less oxygen
moves into your bloodstream.
Bronchitis
• Bronchitis is a condition that develops when
the airways in the lungs, called bronchial
tubes, become inflamed and cause coughing,
often with mucus production. Bronchitis can
be acute (short-term) or chronic (long-term).
Acute bronchitis, which is very common,
usually results, from an infection, and may be
contagious
Pulmonary edema
• Pulmonary edema is a condition caused by
too much fluid in the lungs. This fluid collects
in the many air sacs in the lungs, making it
difficult to breathe
Pulmonary edema
COPD
• Chronic obstructive pulmonary disease, or
COPD, refers to a group of diseases that cause
airflow blockage and breathing-related
problems.
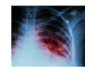
Pneumonia
• Pneumonia is an infection that affects one or
both lungs. It causes the air sacs, or alveoli, of
the lungs to fill up with fluid or pus. Bacteria,
viruses, or fungi may cause pneumonia
LUNG CANCER
• Cancer is a disease in which cells in the body
grow out of control. When cancer starts in the
lungs, it is called lung cancer.
• Lung cancer begins in the lungs and may
spread to lymph nodes or other organs in the
body, such as the brain. Cancer from other
organs also may spread to the lungs. When
cancer cells spread from one organ to another,
they are called metastases.
vnd.openxmlformats-officedocument.presss
vnd.openxmlformats-officedocument.presss

vnd.openxmlformats-officedocument.presss

  • 1.
    Learning Objectives • Introductionto respiratory system. • Definition • Lung structural anatomy • Clinical anatomy
  • 2.
  • 3.
    Respiratory system • Isa series of organs responsible for takes in oxygen and expelling carbon dioxide. • The primary organ of the respiratory system are lungs.
  • 4.
    Contents of respiratorysystem • The respiratory system consists of nasal cavity,pharynx,laryanx,trachea,bronchi and lungs. • consists of two portion Upper respiratory system- Lower respiratory system-
  • 5.
    Introduction • The lungsoccupying the major portion of thoracic cavity. • The lungs holds the heart tightly between them.
  • 6.
    Texture-spongy Colour – young –brown adults-mottledblack Weight- Right lung-700gms Left lung -600gms Shape –conical
  • 7.
    Features of lungs •It has- Apex Base Three bordres Two surfaces
  • 9.
    • Apex- Blunt Liesabove the level of anterior end of 1st rib. Reaches 1-2 cm above medial 1/3rd of clavicle. • Base- Semilunar and concave. Rests on dome of diaphragm. Right side of dome is higher than left.
  • 10.
    • Borders Anterior border Posteriorborder Inferior border • Two surface Costal surface Medial surface
  • 12.
    Fissures and lobesof lungs Right lung has - 3 lobes and two fissures Left lung has – 2 lobes and 1 fissure •
  • 13.
    Root of lungs Short,broadpedicle which connects the medial surface of the lungs to the mediastinum It lies opposite to the bodies of 5th ,6th ,and 7th thoracic vertebrae.
  • 14.
    Contents of thelungs • The bronchus • One pulmonary artery • Two pumonary veins • Bronchial arteries • Bronchial veins • Ant and post pulmonary plexuses • Bronchopulmonary lymph nodes • Areolar tissue
  • 15.
  • 16.
  • 17.
  • 18.
    • Blood supply– By bronchial artey –one bronchial artery on the right side and two bronchial artery on the left side. • Venous drainage – Bronchial veins • Nerve supply – Sympathetic – T2 –T5 Parasympatic – vagus nerve
  • 19.
    Clinical anatomy • Lungsabscess Asthma • Tuberculosis Pneumothorax • Emphysema Bronchitis • Pulmonary oedema COPD • Pneumonia Lung cancer
  • 20.
    Lung abscess • Lungabscess is defined as necrosis of the pulmonary tissue and formation of cavities containing necrotic debris or fluid caused by microbial infection. The formation of multiple small (< 2 cm) abscesses is occasionally referred to as necrotizing pneumonia or lung gangrene.
  • 21.
  • 22.
  • 23.
    • Asthma isa chronic lung disease affecting people of all ages. It is caused by inflammation and muscle tightening around the airways, which makes it harder to breathe. Symptoms can include coughing, wheezing, shortness of breath and chest tightness. These symptoms can be mild or severe and can come and go over time Asthma
  • 25.
    Tuberculosis • Tuberculosis (TB)is an infectious disease that most often affects the lungs and is caused by a type of bacteria. It spreads through the air when infected people cough, sneeze or spit. Tuberculosis is preventable and curable.
  • 29.
    pneumothorax • A pneumothoraxis a collection of air outside the lung but within the pleural cavity. It occurs when air accumulates between the parietal and visceral pleurae inside the chest. The air accumulation can apply pressure on the lung and make it collapse.
  • 33.
    Emphysema • Emphysema isa lung disease that damages the alveoli in lungs. The primary symptom of emphysema is shortness of breath. Chronic bronchitis is a lung condition that destroys the cilia in your airways. Cilia are hair-like parts (organelles) of cells that move germs and other debris out of your airways
  • 34.
  • 35.
    Emphysema • Emphysema isa lung disease that results from damage to the walls of the alveoli in your lungs. A blockage (obstruction) may develop, which traps air inside your lungs. If you have too much air trapped in your lungs, your chest may appear fuller or have a barrel-chested appearance. With fewer alveoli, less oxygen moves into your bloodstream.
  • 36.
    Bronchitis • Bronchitis isa condition that develops when the airways in the lungs, called bronchial tubes, become inflamed and cause coughing, often with mucus production. Bronchitis can be acute (short-term) or chronic (long-term). Acute bronchitis, which is very common, usually results, from an infection, and may be contagious
  • 38.
    Pulmonary edema • Pulmonaryedema is a condition caused by too much fluid in the lungs. This fluid collects in the many air sacs in the lungs, making it difficult to breathe
  • 39.
  • 40.
    COPD • Chronic obstructivepulmonary disease, or COPD, refers to a group of diseases that cause airflow blockage and breathing-related problems.
  • 42.
    Pneumonia • Pneumonia isan infection that affects one or both lungs. It causes the air sacs, or alveoli, of the lungs to fill up with fluid or pus. Bacteria, viruses, or fungi may cause pneumonia
  • 44.
    LUNG CANCER • Canceris a disease in which cells in the body grow out of control. When cancer starts in the lungs, it is called lung cancer. • Lung cancer begins in the lungs and may spread to lymph nodes or other organs in the body, such as the brain. Cancer from other organs also may spread to the lungs. When cancer cells spread from one organ to another, they are called metastases.