Urinary Tract
Infections
Presenter: Adem seid(R2)
Moderator: Dr. Habtamu(Internist,
Nephrologist)
12/30/2022 1
outline
• Introduction
• Epidemiology
• Etiology and risk factors
• Pathogenesis
• Diagnosis
• Clinical syndrome and Management
12/30/2022 2
Figure 23.1
12/30/2022 3
The Urinary Tract and Its Defenses
12/30/2022 4
Introduction
• Urinary tract infection is the presence of microbial
pathogens in the normally sterile urinary tract.
• Infections are overwhelmingly bacterial although
fungi,viruses and parasites may cause UTI.
• The term UTI encompasses a variety of clinical
entities, including asymptomatic bacteriuria (ABU),
cystitis, prostatitis, and pyelonephritis
12/30/2022 5
Epidemiology
• Except among infants and the elderly, F>>> M
• bellow 1 yrs of age, M > F(congenital UT anomalies)
• 1- 50 years of age- predominantly diseases of
females
• > 50 years of age, obstruction from BPH - F=M
• The prevalence of ABU is ~5% among women
between ages 20 and 40
• ABU as high as 40–50% among elderly women and
men
12/30/2022 6
Cont…
• Incidence of cystitis in young sexually active women
is about 0.5 per 1 person-year
• Cystitis is temporally related to recent sexual
intercourse in a dose–response manner
• 50–80% of women acquire at least one UTI during
their lifetime
• About 20–30% of women who have had one episode
of UTI will have recurrent episodes
12/30/2022 7
Classification
By symptoms
• Symptomatic
• Asymptomatic
By Recurrences
• Sporadic
≤ 1 UTI/6 mos and ≤ 2
UTIs/year
• Recurrent
≥ 2 UTIs/6 mos or ≥ 3 UTIs /year
 Relapse
 Re- infection
Complexity
• Complicated
• Uncomplicated
Anatomic categories:
• Lower UTI(urethritis
prostaitis and cystitis)
• Upper UTI
(pyelonephritis,
perinephric abscesses)
12/30/2022 8
12/30/2022 9
Cont…
12/30/2022 10
12/30/2022 11
12/30/2022 12
Risk Factors
12/30/2022 13
Pathogenesis…
Bacteria can get access to the urinary tract through:
1) Ascending from the urethra (main route)
2) Bloodstream ( <2%)
 Virulent organisms(Salmonella and S. aureus
 Candiduria (hematogenous route is common)
12/30/2022 14
Pathogenesis…
• Whether introduced bacteria into the bladder lead to
sustained and symptomatic infection depends on the
interplay between
1) Host
2) Pathogen and
3) Environmental factors
 Anything that increases the likelihood of bacteria
entering the bladder and staying there increases the
risk of UTI(catheter, stone , residual urine volume)
12/30/2022 15
.
12/30/2022 16
Clinical features
General manifestations of cystitis
• Dysuria
• Frequency and urgency
• Nocturia
• Urine has foul odor, cloudy (pyuria), bloody
(hematuria)
• Suprapubic pain and tenderness
Older clients may present with different manifestations
• Nocturia, incontinence
• Confusion
• Behavioral changes
• Lethargy
• Anorexia
• Fever or hypothermia
12/30/2022 17
Cont…
Clinical manifestations of acute pyelonephritis
• symptoms of cystitis
• fever (>38ºC),
• chills,
• flank pain,
• costovertebral angle tenderness, and
• nausea/vomiting .
• sepsis, multiple organ system dysfunction,
shock, and/or acute renal failure.
12/30/2022 18
Work up
• Urine culture
• Urine microscope- bacteriuria(gram stain), pyuria,
hematuria
• Biochemical test-
1) Nitrite
2) Leukocyte esterase
• Imaging (u/s,KUB,CT scan)
12/30/2022 19
Urine culture
– Gold standard
– Causative organisms are often known
– Obtaining a urine culture prior to initiation of
therapy is warranted if:
• Symptoms are not characteristic of UTI
• Symptoms persist or recur within three
months following prior antimicrobial
therapy, or
• Complicated infection is suspected
• all women with acute pyelonephritis
12/30/2022 20
Clinical syndromes
ABU
Uncomplicated cystitis
Pyelonephritis
Prostatitis
Complicated UTI
Recurrent UTI
CA-UTI
This will shape the diagnostic and therapeutic approach
12/30/2022 21
Asymptomatic bacteriuria
• Presence of bacteria >100,000 cfu/ml in urine of an
individual without signs or symptoms of UTI.
• Incidental finding during a screening urine culture for
other reason
• Screening and treatment indicated during pregnancy
• Others where Rx needed- urologic surgery,
neutropenic patients and renal transplant recipients
12/30/2022 22
Treatment ASB
• First-line therapy is with cephalexin, amoxicillin–
clavulanic acid, or nitrofurantoin.
• Without treatment, ASB will persist in 80% of
women, and even with treatment 20%.
• Where eradication is not achieved, prophylactic
antibiotics is recommended, usually cephalexin 250
mg at night, throughout pregnancy
• The incidence of pyelonephritis reduced from about
30% to 3% with treatment.
12/30/2022 23
Uncomplicated cystitis in women
• Uncomplicated UTI refers to acute cystitis in
nonpregnant outpatient women without anatomic
abnormalities or instrumentation of the urinary tract
• Risk factors: Recent use of spermicide, frequent
sexual intercourse, & a history of UTI
• In postmenopausal women -sexual activity, DM, and
incontinence
12/30/2022 24
Cont…
12/30/2022 25
Complicated UTI
Complicated UTI is defined as UTI that increases the
risk for serious complications or treatment failure
12/30/2022 26
.
Functional or anatomic abnormality of UT
Urinary tract obstruction
Prostatic hypertrophy
Urethral stricture
Presence of an indwelling urethral catheter,
stent, nephrostomy tube or urinary diversion
12/30/2022 27
12/30/2022 28
Recurrent UTI
• ≥ 2/6 month or ≥3/year
• Relapse or re-infection
For clinical practice reinfection is considered
1) If the recurrence is caused by a different strain
2) Recurrence occurring >2 weeks after Rx even with
the same strain as the original.
3) Urine culture (off antibiotics) is documented b/n the
two UTIs
12/30/2022 29
Cont…
• Relapse: if the infecting strain is the same and the
recurrence occurs within 2 weeks of Rx completion
for the original infection.
12/30/2022 30
Cont…
Risk factors:
• Frequent sexual intercourse
• Spermicide use during the past year
• Having a new sex partner during the past year
• Having a first UTI at or before 15 years of age
• Having a mother with a history of UTIs
• Functional or anatomic abnormality of UT
• Men who present with recurrent cystitis should be
evaluated for a prostatic focus.
12/30/2022 31
12/30/2022 32
12/30/2022 33
12/30/2022 34
Acute Uncomplicated Pyelonephritis in
Women
• Fever is the main feature distinguishing cystitis
from pyelonephritis.
• The fever of pyelonephritis typically exhibits a high
spiking “picket-fence” pattern and resolves over 72
h of therapy.
• Cystitis symptoms are variably present.
12/30/2022 35
Cont…
• Symptoms may vary from a mild illness to a sepsis
syndrome with or without shock and renal
failure.
• Bacteremia develops in 20–30% of cases of
pyelonephritis.
• Pyuria is almost always present, but leukocyte casts,
specific for UTI, are infrequently seen.
12/30/2022 36
Cont…
12/30/2022 37
12/30/2022 38
12/30/2022 39
12/30/2022 40
12/30/2022 41
Catheter-Associated UTI
• The presence of symptoms or signs of UTI with no
other identified source of infection along with 103
cfu/mL of 1 bacterial species:
 in a single catheter urine specimen OR
 In a midstream voided urine specimen from a
patient whose catheter has been removed within
the previous 48 h.
12/30/2022 42
Cont…
• The incidence of bacteriuria associated with
indwelling catheters is 3% to 10% per day of
catheterization.
• the duration of catheterization is the most important
risk factor for the development of catheter-
associated bacteriuria.
12/30/2022 43
Cont…
• Complications of long-term catheterization (≥30days)
include almost universal bacteriuria, often with
multiple antibiotic-resistant flora, frequent febrile
episodes, catheter obstruction, stone formation, and
local genitourinary infections.
• Other rare complications include fistula formation
and bladder cancer.
12/30/2022 44
Treatment CA-UTI
• Asymptomatic CA-UTI do not require routine
screening or treatment.
• Symptomatic CA-UTIs, often caused by many
multidrug-resistant uropathogens, warrant broad-
spectrum therapy
12/30/2022 45
Cont…
• Remove catheter
• Seven days antimicrobial treatment , and 10 to 14
days if response is delayed.
• The best strategy for prevention of CAUTI is to avoid
insertion of unnecessary catheters and to remove
catheters once they are no longer necessary.
12/30/2022 46
Prostatitis
• Prostatitis occurs in up to 25% of men during their
life time.
• The most common organisms causing bacterial
prostatitis are gram-negative bacilli.
• Patients present with dysuria, frequency, urgency,
obstructive voiding symptoms, fever, chills, and
myalgias.
• The prostate is tender and swollen.
• The pathogenesis= reflux of infected urine from the
urethra into the prostatic ducts.
12/30/2022 47
Treatment prostitis
• Acute ; The recommended duration of treatment is
2-4 weeks.
• Chronic ; 4-6 weeks, may extended -3 months.
12/30/2022 48
UTI in DM
• Diabetic Women— 2-3X higher rate of ABU and UTI
• Duration of diabetes and the use of insulin
associated with a higher risk of UTI
• Associated with several syndromes of complicated
UTI
 Renal and perirenal abscess
 Emphysematous pyelonephritis and cystitis
 Papillary necrosis
 Xanthogranulomatous
12/30/2022 49
Emphysematous UTIs
• Fulminant, necrotizing, lifethreatening variant of
UTIs.
• Caused by gas-forming organisms, including E. coli, K.
pneumoniae, P. aeruginosa, and Proteus mirabilis
• Up to 90% of cases occur in diabetic patients
• Gas is usually detected by a plain abdominal
radiograph or ultrasound
• CT is the diagnostic modality of choice
12/30/2022 50
Cont…
12/30/2022 51
Cont…
• Risk factors
 DM
 Urinary tract obstruction
 Women with age>60 yrs
12/30/2022 52
Cont…
• EMPHYSEMATOUS PYELONEPHRITIS AND
PYELITIS: is a gas-producing, necrotizing infection
involving the renal parenchyma, perirenal tissue and
the renal pelvis.
• Presentation similar with acute pyelonephritis
12/30/2022 53
prognostic classes based upon CT scan
findings:
 Class 1: Gas in the collecting system only
 Class 2: Gas in the renal parenchyma without
extension to the extrarenal space
 Class 3A: Extension of gas or abscess to the
perinephric space
 Class 3B: Extension of gas or abscess to the pararenal
space
 Class 4: Bilateral emphysematous pyelonephritis or a
solitary functioning kidney with emphysematous
pyelonephritis
12/30/2022 54
Treatment emphysematous..
• Poor outcome in patients with thrombocytopenia,
acute renal failure, impaired consciousness, and
shock
• Class 1 disease-- antibiotics alone .
• Class 2 disease-- antibiotics plus percutaneous
catheter drainage (PCD) and, if present, relief of
urinary tract obstruction.
12/30/2022 55
Cont…
• Class 3 with low risk--antibiotics plus PCD
• Class 3 with high risk—antibiotics plus immediate
nephrectomy
• Class 4 --antibiotics plus bilateral PCD, nephrectomy
as last option.
12/30/2022 56
Emphysematous cystitis
• Abdominal pain was the most common symptom
(80%).
• the classic symptoms of acute cystitis occurred in
only about one-half of patients.
• usually treated with medical therapy alone
12/30/2022 57
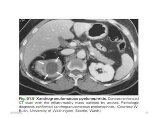
Xanthogranulomatous Pyelonephritis
• Xanthogranulomatous pyelonephritis is a poorly
understood, uncommon, but severe chronic renal
infection associated with obstruction of the urinary
tract.
• The renal parenchyma is replaced with a diffuse or
segmental cellular infiltrate of foam cells, which are
lipid-laden macrophages.
12/30/2022 58
Cont…
• Pathogenesis appears to be multifactorial, with
infection complicating obstruction and leading to
ischemia, tissue destruction, and accumulation of
lipid deposits.
12/30/2022 59
Cont…
• Characteristically middle-aged women and have
chronic symptoms such as flank pain, fever, chills,
and malaise.
• Flank tenderness, a palpable mass, and irritative
voiding symptoms are common.
12/30/2022 60
Cont…
• The urine culture is usually positive with E. coli, other
gram-negative bacilli, or S. aureus.
• CT shows an enlarged nonfunctioning kidney, often
the presence of calculi and low-density masses
(xanthomatous tissue).
• Broad-spectrum antimicrobials are indicated, but
total or partial nephrectomy is usually necessary for
cure.
12/30/2022 61
12/30/2022 62
Reference
• Comprehensive Clinical Nephrology(6th ed)
• Harrison's Principles of Internal Medicine,21 ed
• Uptodate 2022 ed
12/30/2022 63
Thank you
12/30/2022 64

UTI-Adem.pptx

  • 1.
    Urinary Tract Infections Presenter: Ademseid(R2) Moderator: Dr. Habtamu(Internist, Nephrologist) 12/30/2022 1
  • 2.
    outline • Introduction • Epidemiology •Etiology and risk factors • Pathogenesis • Diagnosis • Clinical syndrome and Management 12/30/2022 2
  • 3.
  • 4.
    The Urinary Tractand Its Defenses 12/30/2022 4
  • 5.
    Introduction • Urinary tractinfection is the presence of microbial pathogens in the normally sterile urinary tract. • Infections are overwhelmingly bacterial although fungi,viruses and parasites may cause UTI. • The term UTI encompasses a variety of clinical entities, including asymptomatic bacteriuria (ABU), cystitis, prostatitis, and pyelonephritis 12/30/2022 5
  • 6.
    Epidemiology • Except amonginfants and the elderly, F>>> M • bellow 1 yrs of age, M > F(congenital UT anomalies) • 1- 50 years of age- predominantly diseases of females • > 50 years of age, obstruction from BPH - F=M • The prevalence of ABU is ~5% among women between ages 20 and 40 • ABU as high as 40–50% among elderly women and men 12/30/2022 6
  • 7.
    Cont… • Incidence ofcystitis in young sexually active women is about 0.5 per 1 person-year • Cystitis is temporally related to recent sexual intercourse in a dose–response manner • 50–80% of women acquire at least one UTI during their lifetime • About 20–30% of women who have had one episode of UTI will have recurrent episodes 12/30/2022 7
  • 8.
    Classification By symptoms • Symptomatic •Asymptomatic By Recurrences • Sporadic ≤ 1 UTI/6 mos and ≤ 2 UTIs/year • Recurrent ≥ 2 UTIs/6 mos or ≥ 3 UTIs /year  Relapse  Re- infection Complexity • Complicated • Uncomplicated Anatomic categories: • Lower UTI(urethritis prostaitis and cystitis) • Upper UTI (pyelonephritis, perinephric abscesses) 12/30/2022 8
  • 9.
  • 10.
  • 11.
  • 12.
  • 13.
  • 14.
    Pathogenesis… Bacteria can getaccess to the urinary tract through: 1) Ascending from the urethra (main route) 2) Bloodstream ( <2%)  Virulent organisms(Salmonella and S. aureus  Candiduria (hematogenous route is common) 12/30/2022 14
  • 15.
    Pathogenesis… • Whether introducedbacteria into the bladder lead to sustained and symptomatic infection depends on the interplay between 1) Host 2) Pathogen and 3) Environmental factors  Anything that increases the likelihood of bacteria entering the bladder and staying there increases the risk of UTI(catheter, stone , residual urine volume) 12/30/2022 15
  • 16.
  • 17.
    Clinical features General manifestationsof cystitis • Dysuria • Frequency and urgency • Nocturia • Urine has foul odor, cloudy (pyuria), bloody (hematuria) • Suprapubic pain and tenderness Older clients may present with different manifestations • Nocturia, incontinence • Confusion • Behavioral changes • Lethargy • Anorexia • Fever or hypothermia 12/30/2022 17
  • 18.
    Cont… Clinical manifestations ofacute pyelonephritis • symptoms of cystitis • fever (>38ºC), • chills, • flank pain, • costovertebral angle tenderness, and • nausea/vomiting . • sepsis, multiple organ system dysfunction, shock, and/or acute renal failure. 12/30/2022 18
  • 19.
    Work up • Urineculture • Urine microscope- bacteriuria(gram stain), pyuria, hematuria • Biochemical test- 1) Nitrite 2) Leukocyte esterase • Imaging (u/s,KUB,CT scan) 12/30/2022 19
  • 20.
    Urine culture – Goldstandard – Causative organisms are often known – Obtaining a urine culture prior to initiation of therapy is warranted if: • Symptoms are not characteristic of UTI • Symptoms persist or recur within three months following prior antimicrobial therapy, or • Complicated infection is suspected • all women with acute pyelonephritis 12/30/2022 20
  • 21.
    Clinical syndromes ABU Uncomplicated cystitis Pyelonephritis Prostatitis ComplicatedUTI Recurrent UTI CA-UTI This will shape the diagnostic and therapeutic approach 12/30/2022 21
  • 22.
    Asymptomatic bacteriuria • Presenceof bacteria >100,000 cfu/ml in urine of an individual without signs or symptoms of UTI. • Incidental finding during a screening urine culture for other reason • Screening and treatment indicated during pregnancy • Others where Rx needed- urologic surgery, neutropenic patients and renal transplant recipients 12/30/2022 22
  • 23.
    Treatment ASB • First-linetherapy is with cephalexin, amoxicillin– clavulanic acid, or nitrofurantoin. • Without treatment, ASB will persist in 80% of women, and even with treatment 20%. • Where eradication is not achieved, prophylactic antibiotics is recommended, usually cephalexin 250 mg at night, throughout pregnancy • The incidence of pyelonephritis reduced from about 30% to 3% with treatment. 12/30/2022 23
  • 24.
    Uncomplicated cystitis inwomen • Uncomplicated UTI refers to acute cystitis in nonpregnant outpatient women without anatomic abnormalities or instrumentation of the urinary tract • Risk factors: Recent use of spermicide, frequent sexual intercourse, & a history of UTI • In postmenopausal women -sexual activity, DM, and incontinence 12/30/2022 24
  • 25.
  • 26.
    Complicated UTI Complicated UTIis defined as UTI that increases the risk for serious complications or treatment failure 12/30/2022 26
  • 27.
    . Functional or anatomicabnormality of UT Urinary tract obstruction Prostatic hypertrophy Urethral stricture Presence of an indwelling urethral catheter, stent, nephrostomy tube or urinary diversion 12/30/2022 27
  • 28.
  • 29.
    Recurrent UTI • ≥2/6 month or ≥3/year • Relapse or re-infection For clinical practice reinfection is considered 1) If the recurrence is caused by a different strain 2) Recurrence occurring >2 weeks after Rx even with the same strain as the original. 3) Urine culture (off antibiotics) is documented b/n the two UTIs 12/30/2022 29
  • 30.
    Cont… • Relapse: ifthe infecting strain is the same and the recurrence occurs within 2 weeks of Rx completion for the original infection. 12/30/2022 30
  • 31.
    Cont… Risk factors: • Frequentsexual intercourse • Spermicide use during the past year • Having a new sex partner during the past year • Having a first UTI at or before 15 years of age • Having a mother with a history of UTIs • Functional or anatomic abnormality of UT • Men who present with recurrent cystitis should be evaluated for a prostatic focus. 12/30/2022 31
  • 32.
  • 33.
  • 34.
  • 35.
    Acute Uncomplicated Pyelonephritisin Women • Fever is the main feature distinguishing cystitis from pyelonephritis. • The fever of pyelonephritis typically exhibits a high spiking “picket-fence” pattern and resolves over 72 h of therapy. • Cystitis symptoms are variably present. 12/30/2022 35
  • 36.
    Cont… • Symptoms mayvary from a mild illness to a sepsis syndrome with or without shock and renal failure. • Bacteremia develops in 20–30% of cases of pyelonephritis. • Pyuria is almost always present, but leukocyte casts, specific for UTI, are infrequently seen. 12/30/2022 36
  • 37.
  • 38.
  • 39.
  • 40.
  • 41.
  • 42.
    Catheter-Associated UTI • Thepresence of symptoms or signs of UTI with no other identified source of infection along with 103 cfu/mL of 1 bacterial species:  in a single catheter urine specimen OR  In a midstream voided urine specimen from a patient whose catheter has been removed within the previous 48 h. 12/30/2022 42
  • 43.
    Cont… • The incidenceof bacteriuria associated with indwelling catheters is 3% to 10% per day of catheterization. • the duration of catheterization is the most important risk factor for the development of catheter- associated bacteriuria. 12/30/2022 43
  • 44.
    Cont… • Complications oflong-term catheterization (≥30days) include almost universal bacteriuria, often with multiple antibiotic-resistant flora, frequent febrile episodes, catheter obstruction, stone formation, and local genitourinary infections. • Other rare complications include fistula formation and bladder cancer. 12/30/2022 44
  • 45.
    Treatment CA-UTI • AsymptomaticCA-UTI do not require routine screening or treatment. • Symptomatic CA-UTIs, often caused by many multidrug-resistant uropathogens, warrant broad- spectrum therapy 12/30/2022 45
  • 46.
    Cont… • Remove catheter •Seven days antimicrobial treatment , and 10 to 14 days if response is delayed. • The best strategy for prevention of CAUTI is to avoid insertion of unnecessary catheters and to remove catheters once they are no longer necessary. 12/30/2022 46
  • 47.
    Prostatitis • Prostatitis occursin up to 25% of men during their life time. • The most common organisms causing bacterial prostatitis are gram-negative bacilli. • Patients present with dysuria, frequency, urgency, obstructive voiding symptoms, fever, chills, and myalgias. • The prostate is tender and swollen. • The pathogenesis= reflux of infected urine from the urethra into the prostatic ducts. 12/30/2022 47
  • 48.
    Treatment prostitis • Acute; The recommended duration of treatment is 2-4 weeks. • Chronic ; 4-6 weeks, may extended -3 months. 12/30/2022 48
  • 49.
    UTI in DM •Diabetic Women— 2-3X higher rate of ABU and UTI • Duration of diabetes and the use of insulin associated with a higher risk of UTI • Associated with several syndromes of complicated UTI  Renal and perirenal abscess  Emphysematous pyelonephritis and cystitis  Papillary necrosis  Xanthogranulomatous 12/30/2022 49
  • 50.
    Emphysematous UTIs • Fulminant,necrotizing, lifethreatening variant of UTIs. • Caused by gas-forming organisms, including E. coli, K. pneumoniae, P. aeruginosa, and Proteus mirabilis • Up to 90% of cases occur in diabetic patients • Gas is usually detected by a plain abdominal radiograph or ultrasound • CT is the diagnostic modality of choice 12/30/2022 50
  • 51.
  • 52.
    Cont… • Risk factors DM  Urinary tract obstruction  Women with age>60 yrs 12/30/2022 52
  • 53.
    Cont… • EMPHYSEMATOUS PYELONEPHRITISAND PYELITIS: is a gas-producing, necrotizing infection involving the renal parenchyma, perirenal tissue and the renal pelvis. • Presentation similar with acute pyelonephritis 12/30/2022 53
  • 54.
    prognostic classes basedupon CT scan findings:  Class 1: Gas in the collecting system only  Class 2: Gas in the renal parenchyma without extension to the extrarenal space  Class 3A: Extension of gas or abscess to the perinephric space  Class 3B: Extension of gas or abscess to the pararenal space  Class 4: Bilateral emphysematous pyelonephritis or a solitary functioning kidney with emphysematous pyelonephritis 12/30/2022 54
  • 55.
    Treatment emphysematous.. • Pooroutcome in patients with thrombocytopenia, acute renal failure, impaired consciousness, and shock • Class 1 disease-- antibiotics alone . • Class 2 disease-- antibiotics plus percutaneous catheter drainage (PCD) and, if present, relief of urinary tract obstruction. 12/30/2022 55
  • 56.
    Cont… • Class 3with low risk--antibiotics plus PCD • Class 3 with high risk—antibiotics plus immediate nephrectomy • Class 4 --antibiotics plus bilateral PCD, nephrectomy as last option. 12/30/2022 56
  • 57.
    Emphysematous cystitis • Abdominalpain was the most common symptom (80%). • the classic symptoms of acute cystitis occurred in only about one-half of patients. • usually treated with medical therapy alone 12/30/2022 57
  • 58.
    Xanthogranulomatous Pyelonephritis • Xanthogranulomatouspyelonephritis is a poorly understood, uncommon, but severe chronic renal infection associated with obstruction of the urinary tract. • The renal parenchyma is replaced with a diffuse or segmental cellular infiltrate of foam cells, which are lipid-laden macrophages. 12/30/2022 58
  • 59.
    Cont… • Pathogenesis appearsto be multifactorial, with infection complicating obstruction and leading to ischemia, tissue destruction, and accumulation of lipid deposits. 12/30/2022 59
  • 60.
    Cont… • Characteristically middle-agedwomen and have chronic symptoms such as flank pain, fever, chills, and malaise. • Flank tenderness, a palpable mass, and irritative voiding symptoms are common. 12/30/2022 60
  • 61.
    Cont… • The urineculture is usually positive with E. coli, other gram-negative bacilli, or S. aureus. • CT shows an enlarged nonfunctioning kidney, often the presence of calculi and low-density masses (xanthomatous tissue). • Broad-spectrum antimicrobials are indicated, but total or partial nephrectomy is usually necessary for cure. 12/30/2022 61
  • 62.
  • 63.
    Reference • Comprehensive ClinicalNephrology(6th ed) • Harrison's Principles of Internal Medicine,21 ed • Uptodate 2022 ed 12/30/2022 63
  • 64.

Editor's Notes

  • #4 Urinary tract: removes substances from the blood, regulates certain body processes, and forms urine and transports it out of the body Includes the kidneys, ureters, bladder, and urethra
  • #6  Infections are overwhelmingly bacterial although fungi(various species of Candida),viruses(e.g. JC, BK, Adenoviruses) and parasites may cause UTI.
  • #15 Bacteria can also gain access to the urinary tract through the bloodstream. However, hematogenous spread accounts for <2% of documented UTIs and usually results from bacteremia caused by relatively virulent organisms, such as Salmonella and S. aureus. Indeed, the isolation of either of these pathogens from a patient without a catheter or other instrumentation warrants a search for a bloodstream source. Hematogenous infections may produce focal abscesses or areas of pyelonephritis within a kidney and result in positive urine cultures. The pathogenesis of candiduria is distinct in that the hematogenous route is common. The presence of Candida in the urine of a noninstrumented immunocompetent patient implies either genital contamination or potentially widespread visceral dissemination.
  • #16 However, introduction of bacteria into the bladder does not inevitably lead to sustained and symptomatic infection. The interplay of host, pathogen, and environmental factors determines whether tissue invasion and symptomatic infection will ensue . For example, bacteria often enter the bladder after sexual intercourse, but normal voiding and innate host defense mechanisms in the bladder eliminate these organisms.
  • #17 Environmental Factors Vaginal Ecology In women, vaginal ecology is an important environmental factor affecting the risk of UTI. Colonization of the vaginal introitus and perirurethral area with organisms from the intestinal flora (usually E. coli) is the critical initial step in the pathogenesis of UTI. Sexual intercourse is associated with an increased risk of vaginal colonization with E. coli and thereby increases the risk of UTI. Nonoxynol-9 in spermicide is toxic to the normal vaginal microflora and thus is likewise associated with an increased risk of E. coli vaginal colonization and bacteriuria. In postmenopausal women, the previously predominant vaginal lactobacilli are replaced with gram-negative colonization. Anatomic and Functional Abnormalities Any condition that permits urinary stasis or obstruction predisposes the individual to UTI. Foreign bodies such as stones or urinary catheters provide an inert surface for bacterial colonization and formation of a persistent biofilm. Thus, vesicoureteral reflux, ureteral obstruction secondary to prostatic hypertrophy, neurogenic bladder, and urinary diversion surgery create an environment favorable to UTI. In persons with such conditions, E. coli strains lacking typical urinary virulence factors are often the cause of infection. Inhibition of ureteral peristalsis and decreased ureteral tone leading to vesicoureteral reflux are important in the pathogenesis of pyelonephritis in pregnant women. Anatomic factors—specifically, the distance of the urethra from the anus—are considered to be the primary reason why UTI is predominantly an illness of young women rather than of young men Host Factors The genetic background of the host influences the individual's susceptibility to recurrent UTI, at least among women. A familial disposition to UTI and to pyelonephritis is well documented. Women with recurrent UTI are more likely to have had their first UTI before age 15 years and to have a maternal history of UTI. A component of the underlying pathogenesis of this familial predisposition to recurrent UTI may be persistent vaginal colonization with E. coli, even during asymptomatic periods. Vaginal and periurethral mucosal cells from women with recurrent UTI bind threefold more uropathogenic bacteria than do mucosal cells from women without recurrent infection. Epithelial cells from susceptible women may possess specific types or greater numbers of receptors to which E. coli can bind, thereby facilitating colonization and invasion. Mutations in host response genes (e.g., those coding for Toll-like receptors and the interleukin 8 receptor) have also been linked to recurrent UTI and pyelonephritis. Polymorphisms in the interleukin 8–specific receptor gene CXCR1 are associated with increased susceptibility to pyelonephritis. Lower-level expression of CXCR1 on the surface of neutrophils impairs neutrophil-dependent host defense against bacterial invasion of the renal parenchyma. Microbial Factors An anatomically normal urinary tract presents a stronger barrier to infection than a compromised urinary tract. Thus, strains of E. coli that cause invasive symptomatic infection of the urinary tract in otherwise normal hosts often possess and express genetic virulence factors, including surface adhesins that mediate binding to specific receptors on the surface of uroepithelial cells. The best-studied adhesins are the P fimbriae, hairlike protein structures that interact with a specific receptor on renal epithelial cells. (The letter P denotes the ability of these fimbriae to bind to blood group antigen P, which contains a d-galactose-d-galactose residue
  • #20 Urine culture: Indications:- Patients with symptoms or signs of UTIs Follow-up of recently treated UTI Screening for asymptomatic bacteriuria during pregnancy Patients with obstructive uropathy and stasis, before instrumentation Methods: Midstream urine voided into a sterile container after careful washing (water or saline) of external genitalia (any soap must be rinsed away). Urine obtained by single catheterization or suprapubic needle aspiration of the bladder. Sterile needle aspiration of urine from the tube of a closed catheter drainage system (do not disconnect tubing to get specimen). Interpretation of urine cultures: Asymptomatic patients; two consecutive urine specimens of ≥105 bacteria of a single species per milliliter should be demonstrable in both specimens presence of bacteriuria of any degree in suprapubic aspirates ≥102 bacteria per milliliter of urine obtained by catheterization Diuresis may transiently reduce an otherwise high colony count. The first 10ml urine…urethra Mid stream urine…bladder After prostatic massage…prostate B. Microscopic examination of urine. Immediately available and low cost Lack of sensitivity, specificity, or both Microscopic bacteriuria (by Gram-stain) is found in >90% of specimens from patients whose infections are associated with colony counts of at least 105/mL The detection of bacteria by urinary microscopy thus constitutes firm evidence of infection. The absence of microscopically detectable bacteria does not exclude the diagnosis. Pyuria is a highly sensitive indicator of UTI in symptomatic patients but not specific Pyuria in the absence of bacteriuria (sterile pyuria) may indicate infection with unusual agents(Eg. TB) or noninfectious urologic conditions such as calculi. In the catheterized patient, pyuria is not diagnostic of CA-bacteriuria or CA-UTI. C. Biochemical tests for bacteriuria Absence of glucose and presence of nitrite Studies with nitrite-indicator strips show that 85% of women and children with culture-confirmed significant bacteriuria show positive results if three consecutive morning urine specimens are tested. The sensitivity of the glucose-use test is about 90% to 95% in patients without DM. A negative nitrite test in; diuretic treatment, Infection with organisms that do not produce nitrate reductase(Staphylococcal species, Enterococcus species, and Pseudomonas aeruginosa) D. Urologic Evaluation: Indications women with relapsing infection a history of childhood infections stones or painless hematuria recurrent pyelonephritis most male patients with UTI signs and symptoms suggestive of an obstruction Understanding the parameters of the dipstick test is important in interpreting its results. Only members of the family Enterobacteriaceae convert nitrate to nitrite, and enough nitrite must accumulate in the urine to reach the threshold of detection. If a woman with acute cystitis is forcing fluids and voiding frequently, the dipstick test for nitrite is less likely to be positive, even when E. coli is present. The leukocyte esterase test detects this enzyme in the host's polymorphonuclear leukocytes in the urine, whether the cells are intact or lysed. Many reviews have attempted to describe the diagnostic accuracy of dipstick testing. The bottom line for clinicians is that a urine dipstick test can confirm the diagnosis of uncomplicated cystitis in a patient with a reasonably high pretest probability of this disease. Either nitrite or leukocyte esterase positivity can be interpreted as a positive result. Blood in the urine may also suggest a diagnosis of UTI. A dipstick test negative for both nitrite and leukocyte esterase in the same type of patient should prompt consideration of other explanations for the patient's symptoms and collection of urine for culture. A negative dipstick test is not sufficiently sensitive to rule out bacteriuria in pregnant women, in whom it is important to detect all episodes of bacteriuria. Performance characteristics of the dipstick test differ in men (highly specific) and in noncatheterized nursing home residents (highly sensitive). Urine microscopy reveals pyuria in nearly all cases of cystitis and hematuria in ~30% of cases The detection of bacteria in a urine culture is the diagnostic "gold standard" for UTI; unfortunately, however, culture results do not become available until 24 h after the patient's presentation. Identifying specific organism(s) can require an additional 24 h. In men, the minimal level indicating infection appears to be 103/mL. Urine specimens frequently become contaminated with the normal microbial flora of the distal urethra, vagina, or skin. These contaminants can grow to high numbers if the collected urine is allowed to stand at room temperature. In most instances, a culture that yields mixed bacterial species is contaminated except in settings of long-term catheterization, chronic urinary retention, or the presence of a fistula between the urinary tract and the gastrointestinal or genital tract.
  • #22 The differential diagnosis to be considered when women present with dysuria includes cervicitis (C. trachomatis, Neisseria gonorrhoeae), vaginitis (Candida albicans, Trichomonas vaginalis), herpetic urethritis, interstitial cystitis, and noninfectious vaginal or vulvar irritation
  • #23 Defined as two separate consecutive clean-voided urine specimens both with ≥ 105 cfu/ml of the same uropathogen in the absence of symptoms referable to the UT Men  — Asymptomatic bacteriuria in men is defined by the 2005 IDSA guidelines as a single clean-catch voided urine specimen with isolation of a single organism in quantitative counts of ≥10 5 cfu/mL [ 4 ]. In general, external contamination during voiding among men is  In pregnant women, ABU has clinical consequences, and both screening for and treatment of this condition are indicated. Specifically, ABU during pregnancy is associated with preterm birth and perinatal mortality for the fetus and with pyelonephritis for the mother. A Cochrane meta-analysis found that treatment of ABU in pregnant women decreased the risk of pyelonephritis by 75%. In all other populations, screening for and treatment of ABU are discouraged. The majority of cases of catheter-associated bacteriuria are asymptomatic and do not warrant antimicrobial therapy Evaluating for asymptomatic bacteriuria in patients with indwelling catheters is warranted only in the setting of pregnancy or prior to urologic procedures for which mucosal bleeding is anticipatedWithout treatment, ASB will persist in 80% of women, and even with treatment 20% will still have ASB. Those with persistent coloniza- tion are difficult to treat, with eradication achieved in only 40% after a second course of antibiotics. Where eradication is not achieved, we recommend prophylactic antibiotics, usually cephalexin 250 mg at night, throughout pregnancy to prevent pyelonephritis and its consequences; however, no studies specifically address this situation. The incidence of pyelonephritis after effective treatment of ASB is reduced from about 30% to 3%, comparing favorably with a 1% prevalence of pyelonephritis for the overall pregnant population.
  • #25  Factors independently associated with pyelonephritis in young healthy women include frequent sexual intercourse, a new sexual partner, a UTI in the previous 12 months, a maternal history of UTI, diabetes, and incontinence.
  • #27 Urine culture should always be performed in patients with suspected complicated UTI. The IDSA consensus definition of complicated UTI is 10 5 cfu/ml or more in the urine of women and 10 4 cfu/ml or more in men, 19 but lower counts in symptomatic persons, as demonstrated in patients with uncomplicated UTI, may well represent significant bacteriuria. This is especially true when the specimen is collected from a urinary catheter. Thus it is reasonable to use a colony count threshold of 10 3 cfu/ml of uropathogens to diagnose complicated UTI.
  • #29 Correction of any underlying anatomic, functional, or metabolic defect must be attempted, because antibiotics alone may not be successful. 1
  • #38 On pathologic examination, the kidney shows a focal inflammatory reaction with neutrophil and monocyte infiltrates, tubular damage, and interstitial edema. Imaging the infected kidney is often enlarged, and contrast enhanced computed tomography (CT) shows decreased opacification of the affected parenchyma, typically in patchy, wedge-shaped, or linear patterns
  • #43 The typical signs and symptoms of UTI, including pain, urgency, dysuria, fever, peripheral leukocytosis, and pyuria, have less predictive value for the diagnosis of infection in catheterized patients. Furthermore, the presence of bacteria in the urine of a patient who is febrile and catheterized does not necessarily predict CAUTI, and other explanations for the fever should be considered. Symptomatic catheter-related bacteriuria (usually referred to as UTI since a clinically significant infection is inferred) is defined as the presence of fever >38ºC, suprapubic tenderness, costovertebral angle tenderness, or otherwise unexplained systemic symptoms such as altered mental status, hypotension, or evidence of a systemic inflammatory response syndrome, together with one of the following laboratory profiles [ 4 ]: Urine culture with >10(5) cfu/mL irrespective of urinalysis results Urine culture with >10(3) cfu/mL with evidence of pyuria (dipstick positive for leukocyte esterase and/or nitrite, microscopic pyuria or presence of microbes seen on Gram stain of unspun urine). defined by bacteriuria and symptoms in a catheterized patient The accepted threshold for bacteriuria varies from 103 cfu/mL to 105 cfu/mL. The formation of biofilm—a living layer of uropathogens—on the urinary catheter is central to the pathogenesis of CAUTI and affects both therapeutic and preventive strategies. Organisms in a biofilm are relatively resistant to killing by antibiotics, and eradication of a catheter-associated biofilm is difficult without removal of the device itself. Furthermore, because catheters provide a conduit for bacteria to enter the bladder, bacteriuria is inevitable with long-term catheter use.
  • #46 7 Moreover, the presence or absence of pyuria does not differentiate symptomatic from asymptomatic urinarMost episodes of catheter-associated bacteriuria are asymptomatic and do not require routine screening or treatment because treatment does not reduce the complications of bacteriuria and can lead to antimicrobial resistance. y infection.
  • #48 Men who present with recurrent cystitis should be evaluated for a prostatic focus. The patho- genesis of prostatitis is believed to be related to reflux of infected urine from the urethra into the prostatic ducts. Prostatic calculi, commonly found in adult men, may provide a nidus for bacteria and protection from antibacterial agents.
  • #50 . Poor bladder function, obstruction in urinary flow, and incomplete voiding are additional factors commonly found in patients with diabetes that increase the risk of UTI. Impaired cytokine secretion may contribute to ABU in diabetic women.
  • #51 Xanthogranulomatous Pyelonephritis Xanthogranulomatous pyelonephritis is a poorly understood, uncommon, but severe chronic renal infection associated with obstruction of the urinary tract. The renal parenchyma is replaced with a diffuse or segmental cellular infiltrate of foam cells, which are lipid-laden macrophages. The process may also extend beyond the renal capsule to the retroperitoneum. Its pathogenesis appears to be multifactorial, with infection complicating obstruction and leading to ischemia, tissue destruction, and accumulation of lipid deposits. Patients with xanthogranulomatous pyelonephritis are characteristically middle-aged women and have chronic symptoms such as flank pain, fever, chills, and malaise. Flank tenderness, a palpable mass, and irritative voiding symptoms are common. The urine culture is usually positive with E. coli, other gram-negative bacilli, or S. aureus. CT generally shows an enlarged nonfunctioning kidney, often the presence of calculi and low-density masses (xanthomatous tissue), and, in some cases, involvement of adjacent structures (Fig. 51.16). It may be difficult to distinguish from neoplastic disease. Broad-spectrum antimicrobials are indicated, but total or partial nephrectomy is usually necessary for cure. Ephysematous-Obstruction may be present. Symptoms are suggestive of pyelonephritis, and there may be a flank mass. Ketoacidosis is common. Pyuria and a positive urine culture are usually present Papillary necrosis may also be evident in some cases of pyelonephritis complicated by obstruction, sickle cell disease, analgesic nephropathy, or combinations of these conditions. In the rare cases of bilateral papillary necrosis, a rapid rise in the serum creatinine level may be the first indication of the condition
  • #55  prognostic classes based upon CT scan findings: Class 1: Gas in the collecting system only (ie, emphysematous pyelitis); this finding may be associated with severe obstruction at the site of the pyelitis in some patients Class 2: Gas in the renal parenchyma without extension to the extrarenal space Class 3A: Extension of gas or abscess to the perinephric space (defined as the area between the fibrous renal capsule and the renal fascia) Class 3B: Extension of gas or abscess to the pararenal space (defined as the space beyond the renal fascia and/or extension to adjacent tissues such as the psoas muscle) Class 4: Bilateral emphysematous pyelonephritis or a solitary functioning kidney with emphysematous pyelonephritis
  • #57 low risk (defined as none or one of the following risk factors: thrombocytopenia, acute renal failure, impaired consciousness, or shock)