Traumatic Aortic Disruption
Causes
Deceleration injury or Blunt trauma
Motor vehicle accidents (side or frontal impact)
Fall from height
Explosion
Pathophysiology
Rapid deceleration produces shearing injury between
fixed and mobile portions of the aorta
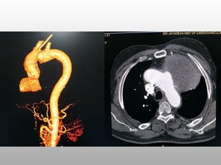
Incomplete isthmic rupture
Obstructive intimal flap
(pseudo-coarctation)
Descending aorta is held in place by the intercostal arteries and the
ligamentum arteriosum, aortic transection usually occurs at the aortic
isthmus (between the left subclavian artery and the ligamentum
arteriosum)
CLINICAL FEATURES
Following severe blunt chest trauma, especially in those with upper
ribs (1st-2nd), sternal, scapula fractures
Retrosternal or interscapular pain
Haemodynamic compromise producing tachycardia, hypotension and
oliguria
Peri-aortic haematoma causing compression of surrounding structures
resulting in dysphagia, stridor, dyspnoea or hoarseness
Management
 Prompt diagnosis
 Strict blood pressure control
 Urgent repair
Treatment options
1.Open surgical repair
2.Endovascular stent therapy
Tube graft technique Endovascular stent
Thank You

Traumatic Aortic Disruption - Deceleration injury

  • 1.
  • 2.
    Causes Deceleration injury orBlunt trauma Motor vehicle accidents (side or frontal impact) Fall from height Explosion Pathophysiology Rapid deceleration produces shearing injury between fixed and mobile portions of the aorta
  • 3.
    Incomplete isthmic rupture Obstructiveintimal flap (pseudo-coarctation) Descending aorta is held in place by the intercostal arteries and the ligamentum arteriosum, aortic transection usually occurs at the aortic isthmus (between the left subclavian artery and the ligamentum arteriosum)
  • 4.
    CLINICAL FEATURES Following severeblunt chest trauma, especially in those with upper ribs (1st-2nd), sternal, scapula fractures Retrosternal or interscapular pain Haemodynamic compromise producing tachycardia, hypotension and oliguria Peri-aortic haematoma causing compression of surrounding structures resulting in dysphagia, stridor, dyspnoea or hoarseness
  • 7.
    Management  Prompt diagnosis Strict blood pressure control  Urgent repair Treatment options 1.Open surgical repair 2.Endovascular stent therapy
  • 8.
    Tube graft techniqueEndovascular stent
  • 11.