Tongue
Thrusting
By:Ghanshyamprajapati
FinalyearBDS
Guided by : Department of pedodontics &
preventive Dentistry
LOGOCONTENTS
Introduction
ADDATITLSLIDE
Definition
Diagnosis
Treatment
Classification
Etiology
Clinical features
LOGO
Introduction
ADD ATITLE SLIDE
LOGODefinition of Tongue Thrusting
LOGO
 According to MOYER :
 Normal swallow
 Simple tongue thrust
 Complex tongue thrust
 Retain infantile swallow
LOGO
1] Physiologic Tongue Thrust
2] Habitual Tongue Thrust
3] Functional Tongue Thrust
4] Anatomic Tongue Thrust
LOGO
Infantile
swallow
adult
swallow
LOGO
A. Infantile swallow :-
→ All infants thrust their
tongue while swallowing.
→ Tongue lies between the
gumpads.
→ Mandible is stabilized by
contraction of facial
muscle.
→ Disappears with eruption
of teeth & growth of
mandible
LOGOMechanism of infantile swallow
Infant lips closed around the
areola of the breast
Tongue protrudes to the lower
lip & forms a spoon like
closure around nipple
relaxation of the elevator
muscle of mandible
mouth is open wide
milk directed to the pharynx
LOGO
B. Adult swallow:-
→ As a person swallows, tip of the
tongue contacts the palatal rugae
area posterior to the maxillary
anterior teeth.
→ Midportion contacts the hard
palate & posterior aspect assumes
a 45° angulation against the
posterior pharyngeal wall to
permit the bolus of food to move
into the digestive tract.
→ facial muscle are passive.
LOGO2.Upper Respiratory tract infection :
→ infection such as tonsillitis, allergies ,etc.
pramote a more forward tongue posture due
to pain & discomfort.
3.Functional adaptability :
→ Tongue protrude when the incisors are missing
.
LOGO4.neulogical distubances :
→ Hyposensitive palate, moderate motor
disability.
5.Induced due to other oral habits :
→Thumb sucking
→when this habit created anterior open
bite, the tongue protrude between the
anterior teeth during swallowing
LOGO
6. Hereditary :
→ Inherited hyperactivity of orbicularis oris also lead
to tongue thrust.
7.Tongue size :
→Congenital aglossia & macroglossia can have effe
ct
on the dentition.
LOGOClinical features :
1.Extra oral findings
 Lip posture -
 simple tongue thrust-
1.Intra oral findings:-
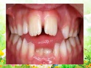
→Proclined & spaced
upper incisor
→ Retroclined or proclined
lower incisor
→Anterior open bite
→Posterior cross bite
→Normal tooth contact
during swallowing
→ Tongue is thrust forward
during swallowing to
establish anterior lip seal .
LOGO2. Extra Oral Findings :
→ Dolicocephalic face
→ Increase lower anterior
facial height
→ Incompetent lips
→ Exression less face
→ Speech problems
→ Abnormal mentalis
muscle activity
LOGO
 Complex tongue thrust :
1. Features -
→ proclination of anterior teeth
→ Generalized open bite
→ Absence of temporalis muscle contriction during
swallowing
→ contraction of lip,
facial & mentalis
muscle
LOGO
Clinical Features
 Lateral tongue thrust
→ May be unilateral
or bilateral
→ Lateral open bite is
seen
→ Poor occlusion
→ Posterior cross bite .
LOGODiagnosis:
LOGO
Diagnosis:
LOGO
Treatment:
Treatment :
LOGO
LOGO
Treatment:
LOGO→ Straw Drinking
LOGO2)Tongue Trainers
LOGO3) Oral screen
LOGO4) Mechanotherapy:
LOGO
LOGO
5) Correction of malocclusion
6) Surgical treatment
Pacifier
Habit
LOGOIntroduction:
LOGOEffects of pacifier
LOGOSafety & care :
LOGOReccomendation :
PNG
LOGO
THANKS!

TONGUE THRUSTING HABIT