L/O/G/O
www.themegallery.com
ĐỘT QUỴ THIẾU
MÁU NÃO CỤC BỘ
Nguyễn Phước Thành
YE (2010-2016) ĐHYD Huế
LOGO
LOGO
LOGO
ĐỊNH NGHĨA
Đột quỵ là tình trạng mất đột ngột tưới máu
thỏa đáng đối với một vùng não gây nên tổn
thương không hồi phục
Biểu hiện lâm sàng thay đổi rất đáng kể
o Rất kín đáo như tình trạng mất cảm giác nhẹ
o Rất nghiêm trọng như tình trạng mất hoàn toàn chức
năng vận động như được gặp trong hội chứng khóa
trong (locked in syndrome)
o Các nhồi máu vùng thân não và đồi thị có thể gây
các biến đổi không đặc hiệu, khó phân biệt với bệnh
não do rối loạn chuyển hóa hay bệnh lý nhiễm trùng
o Có thể chẩn đoán bằng lâm sàng nếu TS khởi phát
cấp tính và dạng khiếm khuyết thần kinh phù hợp
với một khội chứng thần kinh điển hình.
LOGO
Đại cương
Nhồi máu não và con thoáng thiếu máu não có cùng 1
cơ chế bệnh sinh và phân biệt dựa trên khoảng thời gian
bị thiếu máu nuôi, thời gian này đủ để gây hoại tử mô não
trong nhồi máu não và đủ ngắn dể hồi phục hoàn toàn
trong con thoáng thiếu máu não.
LOGO
Định nghĩa theo WHO
 Đột quỵ là sự xuất hiện các thiếu xót thần kinh cục bộ
kéo dài hơn 24h và với nguyên nhân khác không do
mạch máu đã được loại trừ.
 Cơn thiếu máu não thoáng qua được định nghĩa tương
tự nhưng với thời gian kéo dài dưới 24h và hồi phục
hoàn toàn.
LOGO
LOGO
Chuyển hóa tại vùng thiếu máu
Glucose chuyển hóa
theo đường kị khí
Glucose chuyển hóa
theo đường kị khí
Hoại tử
tb
H+
tăng cao toan
hóa tb
H+
tăng cao toan
hóa tb
Ca++
đi vào tb
acid lactic
tăng
Prostaglandin
Tăng acid
arachidonic
Tăng acid
arachidonic
Co mạchCo mạch
Thiếu máu
Sinh các
gốc tự do
Sinh các
gốc tự do
LOGO
Chẩn đoán
 Triệu chứng: Khởi phát đột ngột điển hình với hc
yếu/liệt ½ người kèm thất ngôn. Có thể nhức đầu lúc
khởi phát; thỉnh thoảng xảy ra trong lúc ngủ. Ý thức có
thể giảm nếu nhồi máu não diện rộng, 2 bán cầu hoặc
thân não. Có thể có tiền căn các cơn thiếu máu não
thoáng qua. Có thể có các triệu chứng do xơ vữa mạch
máu( bệnh tim, bệnh động mạch ngoại biên) hoặc các
bệnh nền( tăng huyết áp, đái tháo đường).
 Các dấu chứng: hình ảnh giảm đậm độ phù hợp lâm
sàng trên CT scan hoặc MRI, loại trừ xuất huyết não,
loại trừ tổn thương cũ tương ứng trên lâm sàng( có thể
gây động kinh và giả nhồi máu não).
LOGO
Hội chứng liệt ½ người đối bên TT
LOGO
Ðường vận động chủ động gồm 2 nơron chính:
Nơron thứ nhất nằm ở vùng vận động của vỏ não (hồi trán
lên, phía trước rãnh Rolando), sợi trục của những nơron này
hình thành nên bó vận động chủ động (bótháp). Bó tháp đi từ
vỏ não xuống, qua một vùng rất hẹp ở bao trong rồi xuống cầu
não, cuống não, hành tuỷ. Khi xuống đến 1/3 dưới hành tuỷ
phần lớn các sợi của bó tháp bắt chéo qua đường giữa sang
bên đối diện, tạo thành bó tháp chéo để đi xuống tủy. Một phần
nhỏ các sợi của bó tháp còn lại tiếp tục đi thẳng xuống tuỷ hình
thành nên bó tháp thẳng.
Nơron thứ hai nằm ở sừng trước tuỷ, khi đến từng đoạn
tương ứng của tuỷ sống, bó tháp chéo tách ra chi phối các
nơron vận động của sừng trước tuỷ, bó tháp thẳng cũng cho
các sợi bắt chéo qua đường giữa để chi phối nơron vận động ở
bên đối diện.
LOGO
Triệu chứng
1. Khi bệnh nhân tỉnh táo:
a. Liệt mềm:
- Giảm hoặc mất vận động 1 tay và 1 chân cùng bên và đối
bên TT, ưu thế cơ duỗi chi trên và cơ gấp chi dưới.
- Thường có liệt nửa mặt trung ương cùng bên với tay chân
bị liệt hoặc có thể liệt mặt ngoại biên khác bên. Có thể liệt
các dây thần kinh sọ não khác.
- Trương lực cơ giảm bên tay chân bị liệt.
- Phản xạ gân xương giảm hay mất bên tay chân bị liệt,
phản xạ da bụng và/hay là da bìu (ở nam giới) giảm hoặc
mất bên liệt, phản xạ hậu môn giảm hay mất bên liệt, dấu
Babinski hay dấu tương đương có thể (+) bên liệt, Hoffmann
có thể (+) bên liệt.
- Có thể kèm theo rối loạn cảm giác nửa người bên liệt.
- Dáng đi lê (tay bên liệt buông thõng, chân thì quét đất).
- Khi nằm bàn chân bên liệt đổ ra ngoài.
LOGO
b. Liệt cứng:
- Cơ lực bên liệt giảm hay mất.
- Liệt mặt trung ương cùng bên hay liệt mặt ngoại biên
khác bên với tay chân bị liệt và đối bên TT, có thể liệt
dây thần kinh sọ não khác.
- Tăng trương lực cơ bên liệt đưa đến co cứng gấp chi
trên, các ngón tay khác nắm chặt ngón cái, còn chi
dưới co cứng duỗi nên khi đi có dáng đi vòng kiềng
(phạt cỏ).
- Tăng phản xạ gân xương bên liệt, có phản xạ bệnh lý
như Babinski haytương đương. Phản xạ da bụng, da
bìu và phản xạ hậu môn giảm hoặc mất bên liệt.
- Có thể kèm rối loạn cảm giác nửa người bên liệt.
LOGO
2. Khi bệnh nhân hôn mê:
- Bàn chân bên liệt đổ ra ngoài.
- Có thể quay mắt và đầu về bên tay chân liệt hay về
đối bên với tay chân bị liệt.
- Mất cân đối ở mặt như nhân trung lệch về bên lành,
má bên liệt phập phồng theo nhịp thở, kích thích đau
góc hàm 2 bên nếu còn đáp ứng thì chỉ mép bên lành
nhếch lên còn bên liệt vẫn giữ nguyên, đó là dấu
Pierre-Marie-Foix.
- Kích thích đau ở tay chân hai bên thì bên liệt hầu như
không phản ứng hay phản ứng yếu hơn bên đối diện.
- Phản xạ da bụng, da bìu giảm hay mất bên liệt, có thể
có dấu Babinski (+) bên liệt.
LOGO
Chẩn đoán định khu
1. Tổn thương vỏ não:
Liệt tay chân mặt cùng bên. Có thể có rối loạn cảm
giác nửa người bên liệt, thất ngôn kiểu Broca khi tổn
thương bán cầu ưu thế (bán cầu đối diện với tay
thuận), động kinh, bán manh đồng danh hay mất thực
dụng, mất nhận biết sơ đồ cơ thể, không biết tay chân
bị liệt.
2. Tổn thương bao trong:
Liệt tay chân mặt cùng bên, mức độ nặng và tỷ lệ, đơn
thuần vận động. Nếu tổn thương lan rộng vào trong sẽ
có triệu chứng của đồi thị như rối loạn cảm giác chủ
quan nửa người bên liệt kèm tăng cảm giác đau, còn
ra ngoài gây vận động bất thường như run, múa giật,
múa vờn nửa người.
LOGO
3. Tổn thương thân não:
a. Tổn thương cuống não: Gây hội chứng Weber (liệt
dây III bên tổn thương và liệt nửa người bên đối diện.
b. Tổn thương cầu não:
Gây liệt dây VII ngoại biên bên tổn thương (có khi cả
dây VI) và liệt tay chân bên đối diện gọi là hội chứng
Millard-Gübler.
Có thể gây hội chứng Foville là liệt chức năng liếc
ngang về bên tổn thương kèm liệt tay chân bên đối
diện.
LOGO
 Hội chứng khóa trong (nhồi máu vùng nền cầu
não):
 Bó vỏ gai và bó vỏ hành bị gián đoạn ở nền cầu não
gây ra liệt tứ chi và liệt tất cả các nhân dây sọ ngoại
trừ sự kiểm soát vận nhãn.
 Nếu sang thương lan đến phần giữa (tegmentum)
của cầu thấp, chức năng nhìn ngang có thể bị ảnh
hưởng (do đó chỉ có chức năng nhìn dọc là có thể
hoạt động), và cảm giác có thể bị ảnh hưởng.
 Nét đặc trưng của các sang thương này là chúng
chừa lại hệ thống lưới phía trên cầu thấp, và do đó
bệnh nhân vẫn duy trì được sự thức tỉnh. Cách duy
nhất để trao đổi với các bệnh nhân không may mắn
này là yêu cầu họ di chuyển mắt để trả lời câu hỏi.
LOGO
c. Tổn thương hành tủy:
Thường gây hội chứng Babinski-Nageotte là có hội
chứng tiểu não, Claude-Bernard-Horner và liệt màn
hầu lưỡi bên tổn thương và liệt kèm rối loạn cảm giác
tay chân bên đối diện.
d. Tổn thương tủy cổ cao (trên C4):
Liệt tay chân cùng bên với bên tổn thương và không có
liệt các dây thần kinh sọ não. Có thể có hội chứng
Brown-Sequard.
LOGO
Chẩn đoán nguyên nhân
 Xơ vữa các mạch máu lớn và trung bình: tăng lipid
máu, tăng huyết áp, đái tháo đường, tăng homocystein
máu, xạ trị. Bóc tách động mạch, loạn sản sợi cơ, bệnh
moyamoya, sarcoidois, viêm mạch do nấm và lao, viêm
mạch do varicella zoster, hội chứng viêm mạch hệ
thống, viêm mạch hệ thần kinh trung uơng cùng bên.
 Bệnh mạch máu nhỏ: Lipohyalinosis, xo vữa động
mạch, nhiễm trùng (giang mai,
 lao, cryptococcus), viêm mạch.
 Thuyên tắc từ tim: Tăng huyết áp, bệnh cơ tim, rung
nhĩ, bệnh van tim, huyết khối nhĩ trái, huyết khối thành
thất sau nhồi máu cơ tim, viêm nội tâm mạc nhiễm
trùng, không do vi trùng ( ung thu, hội chứng
antiphospholipid), u nhày nhĩ trái.
LOGO
LOGO
 Tình trạng tăng đông: Thuốc ngừa thai, thai kỳ và hậu
sản, hội chứng antiphospholipid, bệnh hồng cầu liềm,
ung thư, da hồng cầu thực sự, TTP, DIC tăng đông di
truyền.
 Do thuốc: Chất gây co mạch, viêm mạch, loạn nhịp
tim, viêm nội tâm mạc, phình mạch dạng nấm, tiêm
truyền các chất gây nhiễm hoặc tạo huyết khối.
 Cadasil ( Bệnh mạch máu não di truyền trội nhiễm sắc
thể) thường với nhồi máu dưới vỏ và bệnh não chất
trắng, bệnh fabry, hội chứng Sneddon, MELAS ( bệnh
não ty thể với nhiễm acid lactic máu và đột quỵ từng
đợt)
LOGO
Chẩn đoán phân biệt
Các dạng bệnh mạch máu não khác:
Xuất huyết não, xuất huyết dưới nhện, huyết
khối tĩnh mạch nội sọ.
Liệt sau cơn động kinh (liệt Todd).
Liệt trong migraine.
Hạ đường huyết.
Khối choán chỗ nội sọ.
Rối loạn chuyển dạng.
LOGO
Thang điểm Siriraj của Poungvarin N.
(SSS : Siriraj’s Stroke Score)
SSS = (2,5 * mức tri giác) + (2 * nhức đầu) + (2 * ói)
+ (0,1 * HATTr) – (3 * dấu chứng XMĐM ) – 12
(độ nhạy >85%, độ đặc hiệu >90%)
oTri giác : Tỉnh =0; Lơ mơ =1; Mê =2.
oNhức đầu trong vòng 2 giờ sau khởi phát: Không =0;
Có =1.
oÓi sau khởi phát: Không =0; Có =1.
oDấu chứng XMĐM (tiền căn tiểu đường, đau thắt
ngực, và đi lặc cách hồi, dấu kéo chuông): Không có
cả bốn =0; Có ít nhất một trong bốn =1.
 Nếu SSS > +1 Chẩn đoán xuất huyết não.
 Nếu SSS< -1 Chẩn đoán nhồi máu não.
 Từ –1 đến +1 Chẩn đoán không chắc chắn, cần chụp
CT.
LOGO
Trong 24h đầu, độ nhạy chỉ khoảng 50%
LOGO
Sinh lý bệnh
 Đậm độ cũa CT scan tùy thuộc vào tỉ trọng cũa mô não
( độ hấp thu tia X )
 Hiện tượng thiếu máu gây phù tế bào não và làm tăng
lượng nước chứa trong mô và giảm đậm độ
 Chỉ cần thay đổi 1% lượng nước trong nhu mô thì CT
sẽ thay đổi từ 2.5-2.6 Đơn vị Hounsfield
 Mắt thường có thể nhận thấy sự thay đổi 1 Hu nên có
thể nhận thấy được tổn thương.
LOGO
Các thay đổi của CT-scan
 Hiện tượng giảm đậm độ xuất hiện và tăng dần theo
thời gian thiếu máu não
 Sự giảm đậm độ thay đổi tùy theo vùng tổn thương và
độ nặng của tình trạng thiếu máu
 Lưu lượng máu < 9 ml/100grams não/phút
→ Hoại tử = phù não = giảm đậm độ
 Các vùng chung quanh vùng hoại tử là vùng thiếu máu
nhưng còn có khả năng hồi phục
LOGOwww.themegallery.com
LOGO
Kỷ thuật CT-scan
 Lớp cắt dầy 2 mm, cửa sổ nhu mô (do khả năng phân
biệt độ đậm nhạt của mắt)
 Khoảng cách hai lớp cắt là
4 mm với hố sau
2 mm vùng hố yên
8 mm ở bán cầu
 Khảo sát không dùng thuốc cản quang
LOGO
Các bước đọc CT-scan
 Có xuất huyết hay không ?
 Có các vùng nhồi máu cũ hay nhồi máu yên lặng không
?
 Có dấu hiệu huyết khối trong lòng động mạch hay
không ?
 Các dấu hiệu sớm của nhồi máu ?
 Ðánh giá độ rộng của tổn thương
LOGO
Phát hiện xuất huyết
Xuất huyết là các vùng tăng đậm độ và có thể thấy trong
các bệnh lý:
Tụ máu ngoài màng cứng,
Tụ máu dưới màng cứng
Xuất huyết màng não
Xuất huyết não thất
Xuất huyết trong não
 Phân biệt hoá vôi và xuất huyết nhỏ vùng nhân nền
 Phân biệt xuất huyết cầu não với artéfact
LOGO
Phân biệt xuất huyết và nhồi máu
 Vôi hóa đối xứng, không có hiện tượng phù não và
không có hiệu ứng choán chổ
 Xuất huyết không đối xứng, có phù não chung quanh
và có hiệu ứng choán chổ
 Ðo mức độ cản quang (ROI: region of interesting)
Vôi hóa > 120 Hu
Xuất huyết = 40-90 Hu
LOGO
Tìm dấu hiệu huyết khối trong lòng mạch
 Dấu hiệu tăng đậm độ của động mạch do huyết khối
trong lòng mạch máu, gặp tại :
- Động mạch não giữa và các nhánh ( Dot sign )
- Nơi tận cùng động mạch cảnh trong
- Động mạch thân nền
 Ðây là một triệu chứng tiên lượng nặng vì vùng nhồi
máu lớn
 Tuy nhiên cần lưu ý trong trường hợp triệu chứng xuất
hiện đối xứng hai bên ( vôi hóa ), bên có huyết khối
phải tăng quang nhiều hơn.
LOGO
Hình ảnh tăng đậm độ của động mạch não giữa
LOGO
Dot’s sign: hình ảnh tăng đậm độ của các nhánh động mạch não giữa trong khe sylvius
LOGO
Hình ảnh tăng đậm độ động mạch não giữa kiểm chứng bằng DSA
LOGO
Các triệu chứng sớm cũa nhồi máu não xuất hiện do
hiện tượng phù não gây ra và phù não ở chất xám
nhiều hơn chất trắng do nhu cầu biến dưỡng ở đây cao
hơn
Xóa mờ nhân đậu
Dấu ru băng thùy đảo
Mờ rãnh Sylvius
Mờ các rãnh vỏ não
Giảm đậm độ nhu mô
Các triệu chứng sớm của nhồi máu trên CT
LOGO
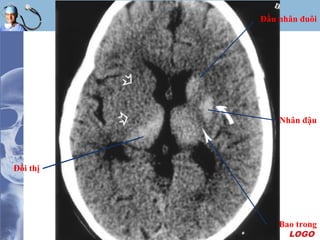
Xóa mờ nhân đậu
 Nhân đậu có độ cản quang là 35 Hu
 Vùng dưới vỏ có độ cản quang 20 Hu nên bình thường
có thể phân biệt rõ nhân đậu
 Khi nhân đậu bị phù do thiếu máu thì độ cản quang
giảm bằng vùng dưới vỏ nên không phân biệt được
 Tùy mức độ tổn thương hiện tượng xóa mờ có thể ở
một phần hay toàn thể nhân đậu
LOGO
Nhân đậu
Bao trong
Đầu nhân đuôi
Đồi thị
LOGO
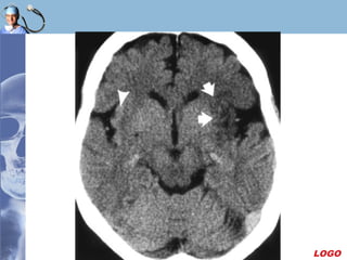
Dấu hiệu ru băng thùy đảo
 Ðây là lớp vỏ não cũa thùy đảo ( insula )
 Bình thường thấy lớp này rõ do phía trong là lớp chất
trắng, có độ cản quang thấp hơn, và phía ngoài là dịch
não tủy trong khe Sylvius có màu đen
 Khi vỏ não vùng thùy đảo bị phù nề thì giảm đậm độ và
không còn phân biệt được.
LOGO
LOGO
Mờ khe Sylvius
 Khe Sylvius được nhận rõ trên hình CT nhờ chứa dịch
não tủy
 Khi thùy đảo bị phù nề thì lớp dịch này giảm bề dầy hay
mất hẳn nên không còn phân biệt được
 Dấu hiệu này thường đi kèm dấu mờ nhân đậu và dấu
ru băng thùy đảo
LOGO
Mờ Khe Sylvius
Khe Sylvius
Không thấy
LOGO
Mờ rãnh vỏ não và giảm đậm độ
nhu mô
 Hiện tượng phù làm chất xám ( 30 Hu ) giảm đậm độ
giống như chất trắng dưới vỏ ( 20 Hu )
 Các rãnh vỏ bị phù sẽ khó phân biệt do giảm lượng
dịch não tủy tại các rãnh này
 Đây là hai dấu hiệu thường xuất hiện chung và rất quan
trọng vì giúp đánh giá được độ rộng của vùng nhồi
máu.
LOGO
LOGO
Xác định thời gian nhồi máu
 Phân biệt nhồi máu mới và cũ
- Giảm đậm độ ít : vài giờ
- Giảm đậm độ dễ nhận thấy : vài ngày
- Giảm đậm độ nhiều : một tới hai tuần
- Nhuyễn não : trên một tháng
 Fogging effect: hiện tượng đồng đậm độ vùng nhồi máu
ở ngày 14-21 do tăng thực bào hoặc xuất huyết vi thể,
khi đó vùng nhồi máu rất khó nhận thấy.
 Một số trường hợp có hiện tượng tăng quang do xuất
huyết trong vùng nhồi máu vào sau ngày thứ ba.
LOGO
105 phút sau tai biến105 phút sau tai biến
LOGO
Ba ngày sau tai biếnBa ngày sau tai biến
LOGO
Xuất huyết sau nhồi máu
LOGO
Xác định mức độ tổn thương
 Tổn thương do nhồi máu có thể bị toàn bộ vùng chi
phối của một động mạch não hay chỉ một phần.
 Trong nhồi máu do cơ chế cung lượng thấp thì nhồi
máu sẽ bị tại vùng ranh giới của các nhánh chính hay
tại nhánh tận cùng (watershed infarction ).
 Chẩn đoán mức độ tổn thương rất quan trọng trong
điều trị bằng rTPa hay kháng đông phòng ngừa trong
các thuyên tắc từ tim.
LOGO
Vùng phân bố mạch máu
Não trước Não giữa Não sau
LOGO
Vùng phân bố mạch máu
LOGO
Nhồi máu vùng nuôi của động mạch
não trước
www.themegallery.com
LOGO
Nhồi máu vùng nuôi của ĐM não
giữa
LOGO
Nhồi máu vùng nuôi động mạch não
sau
LOGO
XỬ TRÍ
Các nguyên tắc
Tái thông mạch
máu để phục hồi
tưới máu não.
.
Ðảm bảo tưới
máu não để hạn
chế lan rộng tổn
thương.
Chống biến
chứng, chống tái
phát sớm.
Phục hồi chức
năng và phòng
ngừa tái phát.
.
LOGO
 Dùng thuốc tiêu sợi huyết đường tĩnh mạch: Chỉ định
khi bệnh nhân đến sớm trước 3 tiếng sau khởi phát.
Thuốc thường dùng Alteplase (rtPA)
 Dùng thuốc tiêu sợi huyết đường động mạch: Được chỉ
định trong khoảng thời gian dưới 6 tiếng với hệ cảnh
trong hoặc 12 tiếng với hệ động mạch thân nền. Vi ống
thông được luồn tới đoạn huyết khối rồi bơm rtPA vào
trước - trong - sau cục huyết khối.
Dùng thuốc tiêu sợi huyết
LOGO
 Đối với đột quỵ loại thiếu máu não cục bộ khởi phát
<3h, điều trị tiêu huyết khối đường tĩnh mạch bằng
thuốc hoạt hóa plasminogen mô(tPA) là can thiệp được
lựa chọn ở bệnh nhân chọn lọc
 Một nghiên cứu từ nhóm nghiên cứu đột quỵ hợp tác
với châu Âu đã cho thấy lợi ích của điều trị tiêu huyết
khối trước 4,5h tính từ lúc bệnh nhân có triệu chứng
đột quỵ.
LOGO
Các chỉ định dùng thuốc hoạt hóa
plasminogen mô (tPA)
 Khởi phát cấp tính các triệu chứng thần kinh khu trú
liên quan với một vùng cấp máu của mạch máu não
được xác định, phù hợp với đột quỵ thiếu máu não cục
bộ.
 Khởi phát đột quỵ được xác định một cách chắc chắn
<3h trước khi lên kế hoạch tiến hành kế hoạch điều trị
can thiệp.
 Tuổi > 18.
 Không có bằng chứng bị chảy máu nội sọ, tổn thương
không do nguyên nhân mạch máu hoặc các dấu hiệu
của giai đoạn muộn của như phù các cuộn não, phù
toàn bộ bán cầu não hoặc vùng giảm tỷ trọng có kích
thước lớn tương ứng với đột quỵ cấp trên phim CT.
LOGO
Các chống chỉ định
 Thời gian quá 3h truớc khi lên kế hoạch.
 Các triệu chứng cải thiện nhanh chống.
 Triệu chứng/dấu hiệu đột quỵ nhẹ.
 Đối với đột quỵ do tắc nghẽn động mạch não giữa, nếu BN có tình
trạng hôn mê hoặc ý thức u ám có thể là chống chỉ định tương đối.
 Có cơn co giật xuật hiện lúc khởi phát hoặc trong vòng 3h trướng
khi dùng tPA.
 Các biểu hiện lâm sàng gợi ý chảy máu dưới nhện dù CT dương
tính hay âm tính.
 HATT>185mmHg, hoặc HATTr >110mmHg.
 Đột quỵ TMCB nhẹ trong vòng 1 tháng trước đó hoặc đột quỵ
TMCB nặng hay CTSN trong vòng 3tuần.
 Tiền sử bị chảy máu não hoặc chảy máu dưới nhện nếu nguy cơ
tái phát thấy rõ.
 Túi phình mạch máu não chưa được điều trị, dị dạng mạch máu
não, u não.
LOGO
 Chảy máu tiêu hóa, thận tiết niệu – sinh dục trong vòng 21 ngày.
 Chọc động mạch tại các vị trí không thể chèn ép được trong vòng
7 ngày, chọc dịch não tuy trong vòng 3 ngày.
 Mổ lớn hay chấn thương nặng trong 14 ngày trở lại.
 Biểu hiện nhồi máu cơ tim cấp và viêm màng ngoài tim cấp sau
nhồi máu.
 Bệnh nhân đang dùng thuốc chống đông đường uống và INR
>1,7.
 Đang dùng Heparin trọng lượng phân tử thấp trong vòng 24h trở
lại đây.
 Có thai hoặc dự định có thai.
 Có tạng dễ chảy máu, thiếu hụt các yếu tố đông máu.
 Đã được điều trị bằng thuốc hoạt hóa plasminogen mô trong vòng
7 ngày trở lại đây.
 Nồng độ đường huyết <2,75mmol/l hoặc >22mmol/l
 Tiểu cầu <100.000/ml
LOGO
Điều trị lấy huyết khối đường động mạch
 Điều trị tiêu sợi huyết và lấy huyết khối bằng can thiệp
nội mạch được thực hiện bằng cách luồn ống thông
theo đường động mạch vào vị trí huyết khối để bơm
thuốc tiêu sợi huyết và/hoặc lấy cục huyết khối. Các
nghiên cứu đa trung tâm đã chỉ ra rằng, điều trị tiêu sợi
huyết đường động mạch làm tăng tỉ lệ tái thông, tăng tỉ
lệ hồi phục lâm sàng trong nhồi máu não cấp.
LOGO
Can thiệp:
Dùng dụng cụ lấy huyết khối: Sử dụng các dụng cụ
chuyên biệt để kéo cục huyết khối ra từ đó lập lại
nhanh dòng chảy. Các loại dụng cụ đang được sử dụng
gồm:
 Hệ thống hút huyết khối: Penumbra
 Dụng cụ kéo huyết khối: Merci
 Dụng cụ mở lại dòng chảy và kéo huyết khối:
Solitaire
LOGO
Chỉ định
Tắc mạch não cấp đến sớm trước 6 tiếng với tắc hệ
cảnh trong và 8 tiếng với tắc hệ đốt sống thân nền
tính từ khi có triệu chứng, thậm chí 12 tiếng với hệ
thân nền tùy theo mức độ tổn thương lâm sàng và
hình ảnh.
Dấu hiệu thần kinh khu trú mức độ nặng (NIHSS ≥8)
hoặc vùng thiếu máu rộng có nguy cơ cao
Trên chụp mạch có tắc mạch
Tắc mạch não cấp đến sớm trước 3 tiếng, nhưng có
chống chỉ định dùng tiêu sợi huyết đường tĩnh mạch.
Các chống chỉ định dùng thuốc tiêu sợi huyết đường
tĩnh mạch khi bệnh nhân đến sớm trước 3 tiếng
LOGO
Chống chỉ định
 Huyết áp tâm trương cao >185mmHg hoặc tâm thu
>105mmHg (nếu không đáp ứng bằng thuốc chẹn Beta
(labetalol hoặc nicardipin))
 Dấu hiệu thần kinh liệt nhẹ: NIHSS < 5
 Có chảy máu nội sọ.
 Diện nhồi máu rộng (>1/3 diện cấp máu động mạch não giữa)
 Giảm tỷ trọng rõ trên cắt lớp vi tính
 Không có vùng tranh tối- tranh sáng trên hình ảnh
 Phẫu thuật lớn trong 2 tuần nay
 Có nguyên nhân chảy máu mà chưa được điều trị triệt để:
phình mạch não vỡ.
 Chống chỉ định tương đối: Dị ứng với thuốc cản quang và suy
thận.
LOGO
Dụng cụ lấy huyết khối
Hệ thống khoan và hút huyết
khối- Penumbra
Hệ thống kéo huyết khối Merci
LOGO
Dụng cụ mở lại dòng chảy và kéo huyết khối- Solitaire
LOGO
Xử trí hạn chế lan rộng TT
Duy trì hằng định nội môi về toan kiềm
Bảo đảm oxy hóa , kiểm soát HA
Tình trạng đẳng thể tích tuần hoàn
Kiểm soát đường huyết
Ức chế tình trạng sốt, tránh gây tăng nồng độ CO2
Các biện pháp hồi sức chung
LOGO
Xử trí hạn chế lan rộng TT(tt)
 Đột quỵ thường gây tăng huyết áp phản ứng để tăng
tưới máu cho vùng não thiếu máu cục bộ “ tranh tối
tranh sáng”.
 HA cao có thể dung nạp tốt ở mức 220/120mmHg trừ
khi có biến chứng tổn thương cơ quan đích.
 Trong vòng 24h đầu sau khi tiến hành điều trị tiêu huyết
khối cần duy trì HATT<180 và HATTr<105 để tránh
biến chứng chảy máu.
 Có thể sử dụng Labetalol, Nicardipine, Hydralazin.
 Tránh dùng Nitrat vì gây giãn TM gây tăng áp lực nội
sọ.
 Cân nhắc nâng HA nếu thấy có bằng chứng hạ HA rõ
rệt trên lâm sàng kết hợp với tình trạng tồi đi của các
triệu chứng thần kinh trung ương.
LOGO
Xử trí hạn chế lan rộng TT(tt)
Bảo vệ tế bào
não, tăng tuần
hoàn não
•Ginkgo Biloba cân nhắc dùng ngay cho bệnh
nhân.
•Nâng HA khi hạ HA biểu hiện rõ với tình
trạng tồi đi của các TC TKTW
Chống đông
Chống co giật
• Enoxaparin nên dùng trong vòng
24h đầu
• Không có chỉ định dự phòng co giật
• Một số thuốc co giật làm cho kết quả tiến
triển tồi đi
Chống ngưng
tập tiểu cầu
• Aspirin trong vòng 48h đầu
• Kết hợp Aspirin và Clopidogrel
được chứng minh là có hại cho BN
LOGO
Phù não
 Đột quỵ do thiếu máu não cục bộ cấp kích thước lớn
điển hình sẽ gây tình trạng phù não do gây độc tế bào.
 Phù não nhất là ở các bệnh nhân trẻ tuổi chưa có tình
trạng teo não liên quan với tuổi tác, có thể gây các hậu
quả thảm khốc đòi hỏi phải được theo dõi sát và can
thiệp tích cực.
 Một số đột quỵ có thể gây chèn ép hệ thống não thất và
dẫn tới tràn dịch não tắc nghẽn đòi hỏi pahir dẫn lưu
não thất.
 Phù não có thể tạo nên sự khác biệt áp lực giữa
khoang dẫn đến thoát vị não.
 Tác dụng đỉnh của phù não xảy ra trong 3-5 ngày, trong
các trường hợp nặng có thể suy đồi thần kinh trong
vòng 2 ngày tỷ lệ tử vong gần 80%.
LOGO
Theo dõi
và hồi
sức
Điều trị
thẩm thấu
vói TALNS
PT giải áp
với phù
não
Xác định mức độ chăm sóc đối với gia đình và ước nguyện
trước đó của bệnh nhân
Gây tình
trạng hạ
thân
nhiệt
Xử trí phù não ác tính do đột quỵ
LOGO
Giai đoạn 1: Bắt đầu tiến hành các biện pháp theo dõi
và Hồi sức tích cực:
Theo dõi các dấu hiệu sinh tồn và tình trạng ý thức
tối thiểu 2h/lần.
Duy trì đầu giường nâng cao ≥30o
.
Tránh ép vào mạch cảnh bằng cách giữ đầu ở vị trí
thẳng đường giữa.
Duy trì tình trạng thân nhiệt và nồng độ huyết áp
bình thường.
Tránh dùng các dung dịch nhược trương.
Gây tăng HA ở mức cho phép; chỉ điều trị khi
HATT>220 hoặc HATTr>120
Đặt NKQ để bảo vệ đường thở (khi GCS<9)
LOGO
Giai đoạn 2: Điều trị thẩm thấu đối với tăng áp lực nội
sọ:
Tránh gây tác động CO2 máu (bảo đảm thông khí phút
thỏa đáng, điều trị sốt).
Cho các liều bolus tĩnh mạch manitol.
Liều khởi đầu 1g/kg, nên truyền trong 30 phút. Tác
dụng của thuốc bắt đầu 1 - 5 phút, đỉnh tác dụng là
20-60 phút. Hiệu quả của thuốc duy trì đến 1,5 - 6 giờ
tùy thuộc vào tình trạng lâm sàng.
Khi mục đích là thời gian giảm áp lực nội sọ kéo dài,
thời gian truyền nên kéo dài đến 60 phút và liều giảm
xuống còn 0.25 - 0.5 g/kg, thời gian cách quãng giữa
các lần truyền là 6 giờ.
Xem xét dùng dịch muối ưu trương nếu dùng manitol thất
bại hoặc bị chống chỉ định.
LOGO
Giai đoạn 3: PT đối với tình trạng phù não, hội chẩn
thầy thuốc phẫu thuật thần kinh về khả năng tiến
hành mở hộp sọ giải ép giảm áp
Đánh giá khả năng PT trước khi thảo luận với gia
đình về các lợi ích và nguy cơ của thủ thuật.
Tiếp tục điều trị tăng thẩm thấu và xử trí nội khoa.
Các nghiên cứu cho thấy việc mở hộp sọ giải áp chỉ
có ý nghĩa trong việc giảm tỷ lệ tử vong, không giúp
cải thiện tỷ lệ tàn phế.
LOGO
Giai đoạn 4: Các phương pháp áp dụng trong thực
nghiệm (gây tình trạng hạ thân nhiệt xuống 33-35o
C)
L/O/G/O

Đột quỵ thiếu máu não cục bộ

  • 1.
    L/O/G/O www.themegallery.com ĐỘT QUỴ THIẾU MÁUNÃO CỤC BỘ Nguyễn Phước Thành YE (2010-2016) ĐHYD Huế
  • 2.
  • 3.
  • 4.
    LOGO ĐỊNH NGHĨA Đột quỵlà tình trạng mất đột ngột tưới máu thỏa đáng đối với một vùng não gây nên tổn thương không hồi phục Biểu hiện lâm sàng thay đổi rất đáng kể o Rất kín đáo như tình trạng mất cảm giác nhẹ o Rất nghiêm trọng như tình trạng mất hoàn toàn chức năng vận động như được gặp trong hội chứng khóa trong (locked in syndrome) o Các nhồi máu vùng thân não và đồi thị có thể gây các biến đổi không đặc hiệu, khó phân biệt với bệnh não do rối loạn chuyển hóa hay bệnh lý nhiễm trùng o Có thể chẩn đoán bằng lâm sàng nếu TS khởi phát cấp tính và dạng khiếm khuyết thần kinh phù hợp với một khội chứng thần kinh điển hình.
  • 5.
    LOGO Đại cương Nhồi máunão và con thoáng thiếu máu não có cùng 1 cơ chế bệnh sinh và phân biệt dựa trên khoảng thời gian bị thiếu máu nuôi, thời gian này đủ để gây hoại tử mô não trong nhồi máu não và đủ ngắn dể hồi phục hoàn toàn trong con thoáng thiếu máu não.
  • 6.
    LOGO Định nghĩa theoWHO  Đột quỵ là sự xuất hiện các thiếu xót thần kinh cục bộ kéo dài hơn 24h và với nguyên nhân khác không do mạch máu đã được loại trừ.  Cơn thiếu máu não thoáng qua được định nghĩa tương tự nhưng với thời gian kéo dài dưới 24h và hồi phục hoàn toàn.
  • 7.
  • 8.
    LOGO Chuyển hóa tạivùng thiếu máu Glucose chuyển hóa theo đường kị khí Glucose chuyển hóa theo đường kị khí Hoại tử tb H+ tăng cao toan hóa tb H+ tăng cao toan hóa tb Ca++ đi vào tb acid lactic tăng Prostaglandin Tăng acid arachidonic Tăng acid arachidonic Co mạchCo mạch Thiếu máu Sinh các gốc tự do Sinh các gốc tự do
  • 9.
    LOGO Chẩn đoán  Triệuchứng: Khởi phát đột ngột điển hình với hc yếu/liệt ½ người kèm thất ngôn. Có thể nhức đầu lúc khởi phát; thỉnh thoảng xảy ra trong lúc ngủ. Ý thức có thể giảm nếu nhồi máu não diện rộng, 2 bán cầu hoặc thân não. Có thể có tiền căn các cơn thiếu máu não thoáng qua. Có thể có các triệu chứng do xơ vữa mạch máu( bệnh tim, bệnh động mạch ngoại biên) hoặc các bệnh nền( tăng huyết áp, đái tháo đường).  Các dấu chứng: hình ảnh giảm đậm độ phù hợp lâm sàng trên CT scan hoặc MRI, loại trừ xuất huyết não, loại trừ tổn thương cũ tương ứng trên lâm sàng( có thể gây động kinh và giả nhồi máu não).
  • 10.
    LOGO Hội chứng liệt½ người đối bên TT
  • 11.
    LOGO Ðường vận độngchủ động gồm 2 nơron chính: Nơron thứ nhất nằm ở vùng vận động của vỏ não (hồi trán lên, phía trước rãnh Rolando), sợi trục của những nơron này hình thành nên bó vận động chủ động (bótháp). Bó tháp đi từ vỏ não xuống, qua một vùng rất hẹp ở bao trong rồi xuống cầu não, cuống não, hành tuỷ. Khi xuống đến 1/3 dưới hành tuỷ phần lớn các sợi của bó tháp bắt chéo qua đường giữa sang bên đối diện, tạo thành bó tháp chéo để đi xuống tủy. Một phần nhỏ các sợi của bó tháp còn lại tiếp tục đi thẳng xuống tuỷ hình thành nên bó tháp thẳng. Nơron thứ hai nằm ở sừng trước tuỷ, khi đến từng đoạn tương ứng của tuỷ sống, bó tháp chéo tách ra chi phối các nơron vận động của sừng trước tuỷ, bó tháp thẳng cũng cho các sợi bắt chéo qua đường giữa để chi phối nơron vận động ở bên đối diện.
  • 12.
    LOGO Triệu chứng 1. Khibệnh nhân tỉnh táo: a. Liệt mềm: - Giảm hoặc mất vận động 1 tay và 1 chân cùng bên và đối bên TT, ưu thế cơ duỗi chi trên và cơ gấp chi dưới. - Thường có liệt nửa mặt trung ương cùng bên với tay chân bị liệt hoặc có thể liệt mặt ngoại biên khác bên. Có thể liệt các dây thần kinh sọ não khác. - Trương lực cơ giảm bên tay chân bị liệt. - Phản xạ gân xương giảm hay mất bên tay chân bị liệt, phản xạ da bụng và/hay là da bìu (ở nam giới) giảm hoặc mất bên liệt, phản xạ hậu môn giảm hay mất bên liệt, dấu Babinski hay dấu tương đương có thể (+) bên liệt, Hoffmann có thể (+) bên liệt. - Có thể kèm theo rối loạn cảm giác nửa người bên liệt. - Dáng đi lê (tay bên liệt buông thõng, chân thì quét đất). - Khi nằm bàn chân bên liệt đổ ra ngoài.
  • 13.
    LOGO b. Liệt cứng: -Cơ lực bên liệt giảm hay mất. - Liệt mặt trung ương cùng bên hay liệt mặt ngoại biên khác bên với tay chân bị liệt và đối bên TT, có thể liệt dây thần kinh sọ não khác. - Tăng trương lực cơ bên liệt đưa đến co cứng gấp chi trên, các ngón tay khác nắm chặt ngón cái, còn chi dưới co cứng duỗi nên khi đi có dáng đi vòng kiềng (phạt cỏ). - Tăng phản xạ gân xương bên liệt, có phản xạ bệnh lý như Babinski haytương đương. Phản xạ da bụng, da bìu và phản xạ hậu môn giảm hoặc mất bên liệt. - Có thể kèm rối loạn cảm giác nửa người bên liệt.
  • 14.
    LOGO 2. Khi bệnhnhân hôn mê: - Bàn chân bên liệt đổ ra ngoài. - Có thể quay mắt và đầu về bên tay chân liệt hay về đối bên với tay chân bị liệt. - Mất cân đối ở mặt như nhân trung lệch về bên lành, má bên liệt phập phồng theo nhịp thở, kích thích đau góc hàm 2 bên nếu còn đáp ứng thì chỉ mép bên lành nhếch lên còn bên liệt vẫn giữ nguyên, đó là dấu Pierre-Marie-Foix. - Kích thích đau ở tay chân hai bên thì bên liệt hầu như không phản ứng hay phản ứng yếu hơn bên đối diện. - Phản xạ da bụng, da bìu giảm hay mất bên liệt, có thể có dấu Babinski (+) bên liệt.
  • 15.
    LOGO Chẩn đoán địnhkhu 1. Tổn thương vỏ não: Liệt tay chân mặt cùng bên. Có thể có rối loạn cảm giác nửa người bên liệt, thất ngôn kiểu Broca khi tổn thương bán cầu ưu thế (bán cầu đối diện với tay thuận), động kinh, bán manh đồng danh hay mất thực dụng, mất nhận biết sơ đồ cơ thể, không biết tay chân bị liệt. 2. Tổn thương bao trong: Liệt tay chân mặt cùng bên, mức độ nặng và tỷ lệ, đơn thuần vận động. Nếu tổn thương lan rộng vào trong sẽ có triệu chứng của đồi thị như rối loạn cảm giác chủ quan nửa người bên liệt kèm tăng cảm giác đau, còn ra ngoài gây vận động bất thường như run, múa giật, múa vờn nửa người.
  • 16.
    LOGO 3. Tổn thươngthân não: a. Tổn thương cuống não: Gây hội chứng Weber (liệt dây III bên tổn thương và liệt nửa người bên đối diện. b. Tổn thương cầu não: Gây liệt dây VII ngoại biên bên tổn thương (có khi cả dây VI) và liệt tay chân bên đối diện gọi là hội chứng Millard-Gübler. Có thể gây hội chứng Foville là liệt chức năng liếc ngang về bên tổn thương kèm liệt tay chân bên đối diện.
  • 17.
    LOGO  Hội chứngkhóa trong (nhồi máu vùng nền cầu não):  Bó vỏ gai và bó vỏ hành bị gián đoạn ở nền cầu não gây ra liệt tứ chi và liệt tất cả các nhân dây sọ ngoại trừ sự kiểm soát vận nhãn.  Nếu sang thương lan đến phần giữa (tegmentum) của cầu thấp, chức năng nhìn ngang có thể bị ảnh hưởng (do đó chỉ có chức năng nhìn dọc là có thể hoạt động), và cảm giác có thể bị ảnh hưởng.  Nét đặc trưng của các sang thương này là chúng chừa lại hệ thống lưới phía trên cầu thấp, và do đó bệnh nhân vẫn duy trì được sự thức tỉnh. Cách duy nhất để trao đổi với các bệnh nhân không may mắn này là yêu cầu họ di chuyển mắt để trả lời câu hỏi.
  • 18.
    LOGO c. Tổn thươnghành tủy: Thường gây hội chứng Babinski-Nageotte là có hội chứng tiểu não, Claude-Bernard-Horner và liệt màn hầu lưỡi bên tổn thương và liệt kèm rối loạn cảm giác tay chân bên đối diện. d. Tổn thương tủy cổ cao (trên C4): Liệt tay chân cùng bên với bên tổn thương và không có liệt các dây thần kinh sọ não. Có thể có hội chứng Brown-Sequard.
  • 19.
    LOGO Chẩn đoán nguyênnhân  Xơ vữa các mạch máu lớn và trung bình: tăng lipid máu, tăng huyết áp, đái tháo đường, tăng homocystein máu, xạ trị. Bóc tách động mạch, loạn sản sợi cơ, bệnh moyamoya, sarcoidois, viêm mạch do nấm và lao, viêm mạch do varicella zoster, hội chứng viêm mạch hệ thống, viêm mạch hệ thần kinh trung uơng cùng bên.  Bệnh mạch máu nhỏ: Lipohyalinosis, xo vữa động mạch, nhiễm trùng (giang mai,  lao, cryptococcus), viêm mạch.  Thuyên tắc từ tim: Tăng huyết áp, bệnh cơ tim, rung nhĩ, bệnh van tim, huyết khối nhĩ trái, huyết khối thành thất sau nhồi máu cơ tim, viêm nội tâm mạc nhiễm trùng, không do vi trùng ( ung thu, hội chứng antiphospholipid), u nhày nhĩ trái.
  • 20.
  • 21.
    LOGO  Tình trạngtăng đông: Thuốc ngừa thai, thai kỳ và hậu sản, hội chứng antiphospholipid, bệnh hồng cầu liềm, ung thư, da hồng cầu thực sự, TTP, DIC tăng đông di truyền.  Do thuốc: Chất gây co mạch, viêm mạch, loạn nhịp tim, viêm nội tâm mạc, phình mạch dạng nấm, tiêm truyền các chất gây nhiễm hoặc tạo huyết khối.  Cadasil ( Bệnh mạch máu não di truyền trội nhiễm sắc thể) thường với nhồi máu dưới vỏ và bệnh não chất trắng, bệnh fabry, hội chứng Sneddon, MELAS ( bệnh não ty thể với nhiễm acid lactic máu và đột quỵ từng đợt)
  • 22.
    LOGO Chẩn đoán phânbiệt Các dạng bệnh mạch máu não khác: Xuất huyết não, xuất huyết dưới nhện, huyết khối tĩnh mạch nội sọ. Liệt sau cơn động kinh (liệt Todd). Liệt trong migraine. Hạ đường huyết. Khối choán chỗ nội sọ. Rối loạn chuyển dạng.
  • 23.
    LOGO Thang điểm Sirirajcủa Poungvarin N. (SSS : Siriraj’s Stroke Score) SSS = (2,5 * mức tri giác) + (2 * nhức đầu) + (2 * ói) + (0,1 * HATTr) – (3 * dấu chứng XMĐM ) – 12 (độ nhạy >85%, độ đặc hiệu >90%) oTri giác : Tỉnh =0; Lơ mơ =1; Mê =2. oNhức đầu trong vòng 2 giờ sau khởi phát: Không =0; Có =1. oÓi sau khởi phát: Không =0; Có =1. oDấu chứng XMĐM (tiền căn tiểu đường, đau thắt ngực, và đi lặc cách hồi, dấu kéo chuông): Không có cả bốn =0; Có ít nhất một trong bốn =1.  Nếu SSS > +1 Chẩn đoán xuất huyết não.  Nếu SSS< -1 Chẩn đoán nhồi máu não.  Từ –1 đến +1 Chẩn đoán không chắc chắn, cần chụp CT.
  • 24.
    LOGO Trong 24h đầu,độ nhạy chỉ khoảng 50%
  • 25.
    LOGO Sinh lý bệnh Đậm độ cũa CT scan tùy thuộc vào tỉ trọng cũa mô não ( độ hấp thu tia X )  Hiện tượng thiếu máu gây phù tế bào não và làm tăng lượng nước chứa trong mô và giảm đậm độ  Chỉ cần thay đổi 1% lượng nước trong nhu mô thì CT sẽ thay đổi từ 2.5-2.6 Đơn vị Hounsfield  Mắt thường có thể nhận thấy sự thay đổi 1 Hu nên có thể nhận thấy được tổn thương.
  • 26.
    LOGO Các thay đổicủa CT-scan  Hiện tượng giảm đậm độ xuất hiện và tăng dần theo thời gian thiếu máu não  Sự giảm đậm độ thay đổi tùy theo vùng tổn thương và độ nặng của tình trạng thiếu máu  Lưu lượng máu < 9 ml/100grams não/phút → Hoại tử = phù não = giảm đậm độ  Các vùng chung quanh vùng hoại tử là vùng thiếu máu nhưng còn có khả năng hồi phục
  • 27.
  • 28.
    LOGO Kỷ thuật CT-scan Lớp cắt dầy 2 mm, cửa sổ nhu mô (do khả năng phân biệt độ đậm nhạt của mắt)  Khoảng cách hai lớp cắt là 4 mm với hố sau 2 mm vùng hố yên 8 mm ở bán cầu  Khảo sát không dùng thuốc cản quang
  • 29.
    LOGO Các bước đọcCT-scan  Có xuất huyết hay không ?  Có các vùng nhồi máu cũ hay nhồi máu yên lặng không ?  Có dấu hiệu huyết khối trong lòng động mạch hay không ?  Các dấu hiệu sớm của nhồi máu ?  Ðánh giá độ rộng của tổn thương
  • 30.
    LOGO Phát hiện xuấthuyết Xuất huyết là các vùng tăng đậm độ và có thể thấy trong các bệnh lý: Tụ máu ngoài màng cứng, Tụ máu dưới màng cứng Xuất huyết màng não Xuất huyết não thất Xuất huyết trong não  Phân biệt hoá vôi và xuất huyết nhỏ vùng nhân nền  Phân biệt xuất huyết cầu não với artéfact
  • 31.
    LOGO Phân biệt xuấthuyết và nhồi máu  Vôi hóa đối xứng, không có hiện tượng phù não và không có hiệu ứng choán chổ  Xuất huyết không đối xứng, có phù não chung quanh và có hiệu ứng choán chổ  Ðo mức độ cản quang (ROI: region of interesting) Vôi hóa > 120 Hu Xuất huyết = 40-90 Hu
  • 32.
    LOGO Tìm dấu hiệuhuyết khối trong lòng mạch  Dấu hiệu tăng đậm độ của động mạch do huyết khối trong lòng mạch máu, gặp tại : - Động mạch não giữa và các nhánh ( Dot sign ) - Nơi tận cùng động mạch cảnh trong - Động mạch thân nền  Ðây là một triệu chứng tiên lượng nặng vì vùng nhồi máu lớn  Tuy nhiên cần lưu ý trong trường hợp triệu chứng xuất hiện đối xứng hai bên ( vôi hóa ), bên có huyết khối phải tăng quang nhiều hơn.
  • 33.
    LOGO Hình ảnh tăngđậm độ của động mạch não giữa
  • 34.
    LOGO Dot’s sign: hìnhảnh tăng đậm độ của các nhánh động mạch não giữa trong khe sylvius
  • 35.
    LOGO Hình ảnh tăngđậm độ động mạch não giữa kiểm chứng bằng DSA
  • 36.
    LOGO Các triệu chứngsớm cũa nhồi máu não xuất hiện do hiện tượng phù não gây ra và phù não ở chất xám nhiều hơn chất trắng do nhu cầu biến dưỡng ở đây cao hơn Xóa mờ nhân đậu Dấu ru băng thùy đảo Mờ rãnh Sylvius Mờ các rãnh vỏ não Giảm đậm độ nhu mô Các triệu chứng sớm của nhồi máu trên CT
  • 37.
    LOGO Xóa mờ nhânđậu  Nhân đậu có độ cản quang là 35 Hu  Vùng dưới vỏ có độ cản quang 20 Hu nên bình thường có thể phân biệt rõ nhân đậu  Khi nhân đậu bị phù do thiếu máu thì độ cản quang giảm bằng vùng dưới vỏ nên không phân biệt được  Tùy mức độ tổn thương hiện tượng xóa mờ có thể ở một phần hay toàn thể nhân đậu
  • 38.
    LOGO Nhân đậu Bao trong Đầunhân đuôi Đồi thị
  • 39.
    LOGO Dấu hiệu rubăng thùy đảo  Ðây là lớp vỏ não cũa thùy đảo ( insula )  Bình thường thấy lớp này rõ do phía trong là lớp chất trắng, có độ cản quang thấp hơn, và phía ngoài là dịch não tủy trong khe Sylvius có màu đen  Khi vỏ não vùng thùy đảo bị phù nề thì giảm đậm độ và không còn phân biệt được.
  • 40.
  • 41.
    LOGO Mờ khe Sylvius Khe Sylvius được nhận rõ trên hình CT nhờ chứa dịch não tủy  Khi thùy đảo bị phù nề thì lớp dịch này giảm bề dầy hay mất hẳn nên không còn phân biệt được  Dấu hiệu này thường đi kèm dấu mờ nhân đậu và dấu ru băng thùy đảo
  • 42.
    LOGO Mờ Khe Sylvius KheSylvius Không thấy
  • 43.
    LOGO Mờ rãnh vỏnão và giảm đậm độ nhu mô  Hiện tượng phù làm chất xám ( 30 Hu ) giảm đậm độ giống như chất trắng dưới vỏ ( 20 Hu )  Các rãnh vỏ bị phù sẽ khó phân biệt do giảm lượng dịch não tủy tại các rãnh này  Đây là hai dấu hiệu thường xuất hiện chung và rất quan trọng vì giúp đánh giá được độ rộng của vùng nhồi máu.
  • 44.
  • 45.
    LOGO Xác định thờigian nhồi máu  Phân biệt nhồi máu mới và cũ - Giảm đậm độ ít : vài giờ - Giảm đậm độ dễ nhận thấy : vài ngày - Giảm đậm độ nhiều : một tới hai tuần - Nhuyễn não : trên một tháng  Fogging effect: hiện tượng đồng đậm độ vùng nhồi máu ở ngày 14-21 do tăng thực bào hoặc xuất huyết vi thể, khi đó vùng nhồi máu rất khó nhận thấy.  Một số trường hợp có hiện tượng tăng quang do xuất huyết trong vùng nhồi máu vào sau ngày thứ ba.
  • 46.
    LOGO 105 phút sautai biến105 phút sau tai biến
  • 47.
    LOGO Ba ngày sautai biếnBa ngày sau tai biến
  • 48.
  • 49.
    LOGO Xác định mứcđộ tổn thương  Tổn thương do nhồi máu có thể bị toàn bộ vùng chi phối của một động mạch não hay chỉ một phần.  Trong nhồi máu do cơ chế cung lượng thấp thì nhồi máu sẽ bị tại vùng ranh giới của các nhánh chính hay tại nhánh tận cùng (watershed infarction ).  Chẩn đoán mức độ tổn thương rất quan trọng trong điều trị bằng rTPa hay kháng đông phòng ngừa trong các thuyên tắc từ tim.
  • 50.
    LOGO Vùng phân bốmạch máu Não trước Não giữa Não sau
  • 51.
  • 52.
    LOGO Nhồi máu vùngnuôi của động mạch não trước www.themegallery.com
  • 53.
    LOGO Nhồi máu vùngnuôi của ĐM não giữa
  • 54.
    LOGO Nhồi máu vùngnuôi động mạch não sau
  • 55.
    LOGO XỬ TRÍ Các nguyêntắc Tái thông mạch máu để phục hồi tưới máu não. . Ðảm bảo tưới máu não để hạn chế lan rộng tổn thương. Chống biến chứng, chống tái phát sớm. Phục hồi chức năng và phòng ngừa tái phát. .
  • 56.
    LOGO  Dùng thuốctiêu sợi huyết đường tĩnh mạch: Chỉ định khi bệnh nhân đến sớm trước 3 tiếng sau khởi phát. Thuốc thường dùng Alteplase (rtPA)  Dùng thuốc tiêu sợi huyết đường động mạch: Được chỉ định trong khoảng thời gian dưới 6 tiếng với hệ cảnh trong hoặc 12 tiếng với hệ động mạch thân nền. Vi ống thông được luồn tới đoạn huyết khối rồi bơm rtPA vào trước - trong - sau cục huyết khối. Dùng thuốc tiêu sợi huyết
  • 57.
    LOGO  Đối vớiđột quỵ loại thiếu máu não cục bộ khởi phát <3h, điều trị tiêu huyết khối đường tĩnh mạch bằng thuốc hoạt hóa plasminogen mô(tPA) là can thiệp được lựa chọn ở bệnh nhân chọn lọc  Một nghiên cứu từ nhóm nghiên cứu đột quỵ hợp tác với châu Âu đã cho thấy lợi ích của điều trị tiêu huyết khối trước 4,5h tính từ lúc bệnh nhân có triệu chứng đột quỵ.
  • 58.
    LOGO Các chỉ địnhdùng thuốc hoạt hóa plasminogen mô (tPA)  Khởi phát cấp tính các triệu chứng thần kinh khu trú liên quan với một vùng cấp máu của mạch máu não được xác định, phù hợp với đột quỵ thiếu máu não cục bộ.  Khởi phát đột quỵ được xác định một cách chắc chắn <3h trước khi lên kế hoạch tiến hành kế hoạch điều trị can thiệp.  Tuổi > 18.  Không có bằng chứng bị chảy máu nội sọ, tổn thương không do nguyên nhân mạch máu hoặc các dấu hiệu của giai đoạn muộn của như phù các cuộn não, phù toàn bộ bán cầu não hoặc vùng giảm tỷ trọng có kích thước lớn tương ứng với đột quỵ cấp trên phim CT.
  • 59.
    LOGO Các chống chỉđịnh  Thời gian quá 3h truớc khi lên kế hoạch.  Các triệu chứng cải thiện nhanh chống.  Triệu chứng/dấu hiệu đột quỵ nhẹ.  Đối với đột quỵ do tắc nghẽn động mạch não giữa, nếu BN có tình trạng hôn mê hoặc ý thức u ám có thể là chống chỉ định tương đối.  Có cơn co giật xuật hiện lúc khởi phát hoặc trong vòng 3h trướng khi dùng tPA.  Các biểu hiện lâm sàng gợi ý chảy máu dưới nhện dù CT dương tính hay âm tính.  HATT>185mmHg, hoặc HATTr >110mmHg.  Đột quỵ TMCB nhẹ trong vòng 1 tháng trước đó hoặc đột quỵ TMCB nặng hay CTSN trong vòng 3tuần.  Tiền sử bị chảy máu não hoặc chảy máu dưới nhện nếu nguy cơ tái phát thấy rõ.  Túi phình mạch máu não chưa được điều trị, dị dạng mạch máu não, u não.
  • 60.
    LOGO  Chảy máutiêu hóa, thận tiết niệu – sinh dục trong vòng 21 ngày.  Chọc động mạch tại các vị trí không thể chèn ép được trong vòng 7 ngày, chọc dịch não tuy trong vòng 3 ngày.  Mổ lớn hay chấn thương nặng trong 14 ngày trở lại.  Biểu hiện nhồi máu cơ tim cấp và viêm màng ngoài tim cấp sau nhồi máu.  Bệnh nhân đang dùng thuốc chống đông đường uống và INR >1,7.  Đang dùng Heparin trọng lượng phân tử thấp trong vòng 24h trở lại đây.  Có thai hoặc dự định có thai.  Có tạng dễ chảy máu, thiếu hụt các yếu tố đông máu.  Đã được điều trị bằng thuốc hoạt hóa plasminogen mô trong vòng 7 ngày trở lại đây.  Nồng độ đường huyết <2,75mmol/l hoặc >22mmol/l  Tiểu cầu <100.000/ml
  • 61.
    LOGO Điều trị lấyhuyết khối đường động mạch  Điều trị tiêu sợi huyết và lấy huyết khối bằng can thiệp nội mạch được thực hiện bằng cách luồn ống thông theo đường động mạch vào vị trí huyết khối để bơm thuốc tiêu sợi huyết và/hoặc lấy cục huyết khối. Các nghiên cứu đa trung tâm đã chỉ ra rằng, điều trị tiêu sợi huyết đường động mạch làm tăng tỉ lệ tái thông, tăng tỉ lệ hồi phục lâm sàng trong nhồi máu não cấp.
  • 62.
    LOGO Can thiệp: Dùng dụngcụ lấy huyết khối: Sử dụng các dụng cụ chuyên biệt để kéo cục huyết khối ra từ đó lập lại nhanh dòng chảy. Các loại dụng cụ đang được sử dụng gồm:  Hệ thống hút huyết khối: Penumbra  Dụng cụ kéo huyết khối: Merci  Dụng cụ mở lại dòng chảy và kéo huyết khối: Solitaire
  • 63.
    LOGO Chỉ định Tắc mạchnão cấp đến sớm trước 6 tiếng với tắc hệ cảnh trong và 8 tiếng với tắc hệ đốt sống thân nền tính từ khi có triệu chứng, thậm chí 12 tiếng với hệ thân nền tùy theo mức độ tổn thương lâm sàng và hình ảnh. Dấu hiệu thần kinh khu trú mức độ nặng (NIHSS ≥8) hoặc vùng thiếu máu rộng có nguy cơ cao Trên chụp mạch có tắc mạch Tắc mạch não cấp đến sớm trước 3 tiếng, nhưng có chống chỉ định dùng tiêu sợi huyết đường tĩnh mạch. Các chống chỉ định dùng thuốc tiêu sợi huyết đường tĩnh mạch khi bệnh nhân đến sớm trước 3 tiếng
  • 64.
    LOGO Chống chỉ định Huyết áp tâm trương cao >185mmHg hoặc tâm thu >105mmHg (nếu không đáp ứng bằng thuốc chẹn Beta (labetalol hoặc nicardipin))  Dấu hiệu thần kinh liệt nhẹ: NIHSS < 5  Có chảy máu nội sọ.  Diện nhồi máu rộng (>1/3 diện cấp máu động mạch não giữa)  Giảm tỷ trọng rõ trên cắt lớp vi tính  Không có vùng tranh tối- tranh sáng trên hình ảnh  Phẫu thuật lớn trong 2 tuần nay  Có nguyên nhân chảy máu mà chưa được điều trị triệt để: phình mạch não vỡ.  Chống chỉ định tương đối: Dị ứng với thuốc cản quang và suy thận.
  • 65.
    LOGO Dụng cụ lấyhuyết khối Hệ thống khoan và hút huyết khối- Penumbra Hệ thống kéo huyết khối Merci
  • 66.
    LOGO Dụng cụ mởlại dòng chảy và kéo huyết khối- Solitaire
  • 67.
    LOGO Xử trí hạnchế lan rộng TT Duy trì hằng định nội môi về toan kiềm Bảo đảm oxy hóa , kiểm soát HA Tình trạng đẳng thể tích tuần hoàn Kiểm soát đường huyết Ức chế tình trạng sốt, tránh gây tăng nồng độ CO2 Các biện pháp hồi sức chung
  • 68.
    LOGO Xử trí hạnchế lan rộng TT(tt)  Đột quỵ thường gây tăng huyết áp phản ứng để tăng tưới máu cho vùng não thiếu máu cục bộ “ tranh tối tranh sáng”.  HA cao có thể dung nạp tốt ở mức 220/120mmHg trừ khi có biến chứng tổn thương cơ quan đích.  Trong vòng 24h đầu sau khi tiến hành điều trị tiêu huyết khối cần duy trì HATT<180 và HATTr<105 để tránh biến chứng chảy máu.  Có thể sử dụng Labetalol, Nicardipine, Hydralazin.  Tránh dùng Nitrat vì gây giãn TM gây tăng áp lực nội sọ.  Cân nhắc nâng HA nếu thấy có bằng chứng hạ HA rõ rệt trên lâm sàng kết hợp với tình trạng tồi đi của các triệu chứng thần kinh trung ương.
  • 69.
    LOGO Xử trí hạnchế lan rộng TT(tt) Bảo vệ tế bào não, tăng tuần hoàn não •Ginkgo Biloba cân nhắc dùng ngay cho bệnh nhân. •Nâng HA khi hạ HA biểu hiện rõ với tình trạng tồi đi của các TC TKTW Chống đông Chống co giật • Enoxaparin nên dùng trong vòng 24h đầu • Không có chỉ định dự phòng co giật • Một số thuốc co giật làm cho kết quả tiến triển tồi đi Chống ngưng tập tiểu cầu • Aspirin trong vòng 48h đầu • Kết hợp Aspirin và Clopidogrel được chứng minh là có hại cho BN
  • 70.
    LOGO Phù não  Độtquỵ do thiếu máu não cục bộ cấp kích thước lớn điển hình sẽ gây tình trạng phù não do gây độc tế bào.  Phù não nhất là ở các bệnh nhân trẻ tuổi chưa có tình trạng teo não liên quan với tuổi tác, có thể gây các hậu quả thảm khốc đòi hỏi phải được theo dõi sát và can thiệp tích cực.  Một số đột quỵ có thể gây chèn ép hệ thống não thất và dẫn tới tràn dịch não tắc nghẽn đòi hỏi pahir dẫn lưu não thất.  Phù não có thể tạo nên sự khác biệt áp lực giữa khoang dẫn đến thoát vị não.  Tác dụng đỉnh của phù não xảy ra trong 3-5 ngày, trong các trường hợp nặng có thể suy đồi thần kinh trong vòng 2 ngày tỷ lệ tử vong gần 80%.
  • 71.
    LOGO Theo dõi và hồi sức Điềutrị thẩm thấu vói TALNS PT giải áp với phù não Xác định mức độ chăm sóc đối với gia đình và ước nguyện trước đó của bệnh nhân Gây tình trạng hạ thân nhiệt Xử trí phù não ác tính do đột quỵ
  • 72.
    LOGO Giai đoạn 1:Bắt đầu tiến hành các biện pháp theo dõi và Hồi sức tích cực: Theo dõi các dấu hiệu sinh tồn và tình trạng ý thức tối thiểu 2h/lần. Duy trì đầu giường nâng cao ≥30o . Tránh ép vào mạch cảnh bằng cách giữ đầu ở vị trí thẳng đường giữa. Duy trì tình trạng thân nhiệt và nồng độ huyết áp bình thường. Tránh dùng các dung dịch nhược trương. Gây tăng HA ở mức cho phép; chỉ điều trị khi HATT>220 hoặc HATTr>120 Đặt NKQ để bảo vệ đường thở (khi GCS<9)
  • 73.
    LOGO Giai đoạn 2:Điều trị thẩm thấu đối với tăng áp lực nội sọ: Tránh gây tác động CO2 máu (bảo đảm thông khí phút thỏa đáng, điều trị sốt). Cho các liều bolus tĩnh mạch manitol. Liều khởi đầu 1g/kg, nên truyền trong 30 phút. Tác dụng của thuốc bắt đầu 1 - 5 phút, đỉnh tác dụng là 20-60 phút. Hiệu quả của thuốc duy trì đến 1,5 - 6 giờ tùy thuộc vào tình trạng lâm sàng. Khi mục đích là thời gian giảm áp lực nội sọ kéo dài, thời gian truyền nên kéo dài đến 60 phút và liều giảm xuống còn 0.25 - 0.5 g/kg, thời gian cách quãng giữa các lần truyền là 6 giờ. Xem xét dùng dịch muối ưu trương nếu dùng manitol thất bại hoặc bị chống chỉ định.
  • 74.
    LOGO Giai đoạn 3:PT đối với tình trạng phù não, hội chẩn thầy thuốc phẫu thuật thần kinh về khả năng tiến hành mở hộp sọ giải ép giảm áp Đánh giá khả năng PT trước khi thảo luận với gia đình về các lợi ích và nguy cơ của thủ thuật. Tiếp tục điều trị tăng thẩm thấu và xử trí nội khoa. Các nghiên cứu cho thấy việc mở hộp sọ giải áp chỉ có ý nghĩa trong việc giảm tỷ lệ tử vong, không giúp cải thiện tỷ lệ tàn phế.
  • 75.
    LOGO Giai đoạn 4:Các phương pháp áp dụng trong thực nghiệm (gây tình trạng hạ thân nhiệt xuống 33-35o C)
  • 76.