Toxicology of the Leukon
Dr R B Cope BVSc BSc(Hon 1) PhD cGLPCP DABT ERT
Learning Objectives
• To understand the key basic functional concepts of the
  leukon;

• To understand the fundamentals of the kinetics of the leukon;

• To understand and accurately interpret changes in the status
  of the leukon;

• To understand and accurately interpret changes to leukon
  morphology;

• To understand and accurately recognize important
  toxicological effects on the leukon
Components of the Peripheral Blood Leukogram
• Consists of:
   – Granulocytes
      • Neutrophils
      • Eosinophils
      • Basophils
   – Mononuclear cells
      • T lymphocytes
      • B lymphocytes
      • Other lymphocytes
      • Monocytes
Neutrophil
Eosinophil
Basophil
Basophil
Monocyte
Neutrophils
Neutrophils
Neutrophils
Neutrophils
Neutrophils
• Bone marrow storage pool
   – Consists of metamyelocytes, bands and segmented N0

   – Cells cannot replicate

   – Cells are functionally mature despite the differences in
     morphology
Neutrophils
• Bone marrow storage pool
   – Normal transit time in the SP is 2 – 3 days but this can
     shorten considerably on increased demand

   – In health, ~ 80% of N0 are in bone marrow are in the
     storage compartment – a bout a 5 day supply of N0 under
     normal conditions

   – Release from the SP is ordered – oldest cells (segmented
     N0) are released first

   – During increased peripheral demand for N0, younger cells
     (bands, and in extreme cases metamyelocytes) are
     released – this is called a “Left Shift”
Segmented N0 in a relatively normal smear
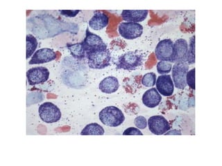
Neutrophilic leukocytosis with left shift
Note that all the N0 in the field are early stage band N0
Neutrophils
• Circulating and Marginal Pools
   – N0 move more slowly in the post-capillary venules than
      RBCs due to the presence of adhesion molecules on the N0
      and on the endothelium of the post-capillary venules – this
      population is referred to as the marginated pool

   – In the axial or central blood flow of blood vessels make up
     the circulating pool

   – Net result is an uneven distribution of N0 in the
     circulation: the circulating pool of unadhered N0 and the
     marginal pool of N0 that are have adhered or are in the
     process of adhering to the vascular endothelium in the
     post-capillary venules
Neutrophils
Neutrophils
• Circulating and Marginal Pools
   – Average transit time of a N0 in the circulation is ~ 10 hours
      under normal conditions

   – N0 subsequently migrate into the tissues. The migration is
     unidirectional (i.e. they do not re-enter the circulation)

   – Some N0 are lost across mucosal surfaces and in secretions
Neutrophils
• Mechanisms of neutrophilic leukocytosis
(increase in WBC primarily due to an increase in N0)

   – Increased stem cell recruitment
       • Normal response to inctreased demand for N0
       • Takes 3 – 5 days to have an effect

   – Increased effective granulopoesis
       • Due to an increased number cell divisions in the
         development/maturation pool
       • Also occurs due to decreased death of meylocytes in
         the development/maturation pool
       • Takes 2 – 3 days to have an effect
Neutrophils
• Mechanisms of neutrophilic leukocytosis
(increase in WBC primarily due to an increase in N0)

    – Shortened marrow transit time

    – Shift of mature N0 from the marginated pool in the peripheral
      blood vessels to the circulating pool of mature N0. This results
      in a neutrophilia without a left shift. This commonly occurs in
      combination with a reduced number of lymphocytes
      (lymphopenia) and a reduced number of eosinophis
      (eosinopenia) in the peripheral blood. This response is referred
      to as a “stress leukogram.” May be accompanied with
      lymphopenia, and eosinopenia.

    Stress leukograms are caused by adrenalin or cortisol release.
    They are a common finding associated with exercise/excitement
    handling and blood collection in many species.
    The majority of stress leukograms are NORMAL
Causes of neutropenia arranged
according to the compartment
with which the
pathophysiologically relevant
mechanism is linked. One
should begin the diagnostic
approach to a neutropenic
patient by seeking to identify
the pathophysiologically
relevant compartment.
Management of a neutropenic
patient whose neutrophil
production is reduced is
entirely different from that of a
neutropenic patient whose
production is normal and in
whom the rate of delivery to
the extravascular compartment
is normal or appropriately
increased in the context of
acute infections.
Idiosyncratic Toxic Neutropenia
•    Rare but extremely important – potentially lethal
    agranulocytosis (profound depletion of N0)
•   Occurs sporadically within a population
•   MOA is not the same as the pharmacologic properties of the
    xenobiotic
•   Preclinical tox studies rarely identify or predict this problem
•   May or may not be dose-related
Idiosyncratic Toxic Neutropenia
• MOA
   – Dose responsive disruption of N0 precursor cell division in
     the bone marrow
   – Non-dose responsive immune-mediated destruction of N0
     or N0 precursors – common effect of many drugs, more
     common in older patients, more common in
     women, involves anti-N0 antibodies
• Typically involves a sudden decrease in circulating N0 (why?)
• Typically persists as long as the xenobiotic is present

• Greatly increases the risk of infection and sepsis if the
  neutropenia is severe
Idiosyncratic Toxic Neutropenia
• Important causes are:
   – Penicillins
   – Gold
   – Clozapine (very aggressive)
   – Phenothiazines
   – Purine and purine analogs
   – Azoles
   – BZPs
Phagocyte Function
• Neutrophils and monocyte-macrophages are the
  key phagocytes of the innate immune system

• Their principal innate immune role is to recognize
  and eliminate microorganisms that make their
  way past primary physical barriers, such as the
  epithelium and body secretions that protect the
  external and lining surfaces of the body.

• Monocyte/macrophages carry out sentinel duty
  looking for microbes in healthy tissue and act as a
  bridge between the innate and adaptive immune
  systems
Phagocyte Function


• Neutrophils appear only in infected or damaged
  tissue after being recruited by inflammatory
  mediators released from activated macrophages
  and endothelial cells or by chemical signals
  released by invading microorganisms themselves

• After accumulation of these key immune cells at
  sites of infection, the microbes are eliminated
  through the process of phagocytosis, which is
  defined as the engulfment, internalization, and
  degradation of extracellular material.
Phagocyte Function
• Processes involved with N0:
   – Receptor-mediated adherence to the blood vessel
     endothelial wall (shift from the circulating pool to the
     marginated pool of N0)

   – Diapedesis – movement through the blood vessel wall

   – Chemotaxis – movement up a chemical concentration of a
     chemoattractant (endogenously produced and produced
     by bacteria)

   – Binding of the chemoattractant to the N0 cell membrane
      activation  phagocytosis  degranulation/oxidative
     burst/killing
Eosinophils
• Important in Type I (IgE-Mast Cell-histamine-mediated)
  allergic reactions ( e.g. asthma)
• Important in the innate immune response to helminth
  parasites
• Phagocytic and bacteriocidal capacity resemble that of N0
• Both circulating and marginated pools exist
• Peripheral blood eosinophilia is generally associated with:
   – Helminth infections
   – Allergic processes
   – Neoplasia (classically mast cell tumors)
   – Eosinophilic leukemias
   – Some drugs (e.g. penicillin)
   – Idiopathic
Eosinophilia-Myalgia Syndrome

• Associated with:
   – Eosinophilia
   – Intense myalgia (muscular pain)
   – Eosinophilic fasciitis
   – Capillary cell hyperplasia
Eosinophilia-Myalgia Syndrome
• Incurable and sometimes fatal syndrome associated with
  ingestion of L-tryptophan or substances metabolized to L-
  tryptophan
• Resembles Spanish toxic oil syndrome due to contaminated
  rapeseed oil
• Potentially due to a contaminant - 1,1-ethylidenebis (L-
  tryptophan) (tryptophan dimer)
• Potentially due to a metabolite – 4-aminophenol
• Associated with:
   – Eosinophilia
   – Intense myalgia (muscular pain)
Basophils and Mast Cells
• Basophils and mast cells have different lineages but similar
  functions
• Important in Type I hypersensitivity and allergy
• Effects are rate
• Basopenias
   – Acute hypersensitivity reactions (early stages)
   – Glucocorticoids/stress
   – Hyperthyroidism
• Basophilias
   –   Chronic allergy/hypersensitivity reactions
   –   Diabetes mellitus
   –   Estrogen
   –   Hypothyroidism
   –   Iron deficiency
   –   Neoplasia
Monocytes
Monocytes

• Derived from bone marrow monoblast.

• Circulate in blood for 1 – 3 days and then move into the tissues

• ~3-8% of blood leukoctes

• Significant storage pool in spleen (~50% of total body monocytes) in the
  Cords of Biltrothare produced by the bone marrow from hematopoietic
  stem cell precursors called monoblasts. Monocytes circulate in the
  bloodstream for about one to three days and then typically move into
  tissues throughout the body.

• Following migration from blood, monocytes mature into either tissue
  macrophages or dendritic cells.
Monocytes
• Form part of the immune system – 3 main functions:
   – Antigen presentation
   – Phagocytosis
   – Cytokine production

• 3 classical types of types of monocytes in blood:

   – the classical monocyte (CD14++ CD16- monocyte)
   – Non classical monocytes (CD14+CD16++ monocyte)
   – Intermediate cells (CD14++CD16+)

   – Different classes represent different developmental stages:
     Classical  Intermediate  non-classical

   – After stimulation with microbial products the CD14+CD16++
     monocytes produce high amounts of pro-inflammatory
     cytokines
Monocytes
• Form part of the immune system – 3 main functions:
   – Antigen presentation
   – Phagocytosis
   – Cytokine production

• Moncytosis – increase in circulating blood monocyte numbers
   – Infection

    – Recovery phase of neutropenia following infection

    – Hyperadreocorticism

    – Autoimmune reactions

    – Neoplasia/leukemia

    – Sarcoidosis

    – Lipid storage diseases
Lymphocytes
Lymphocytes
• Circulating part of the adaptive immune system

• Lymphocytosis is a feature of infection or neoplasia
  (leukemias)
• Causes of absolute lymphocytosis include:

   –   Acute viral infections
   –   Acute & chronic bacterial infections
   –   Some protozoal infections
   –   Leukemias
Lymphocytes
• Leukemias/lymphomas in mice

   – Extremely common spontaneous finding

   – Virtually all mouse strains contain endogeous MuLV
     retrovirus (Type C) sequences

   – Most laboratory mice do not have exogenous MuLV
     because this is controlled because of SPF
Lymphocytes
• Lymphopenia

  – Stress leukogram/prolonged exercise

  – Recent infection

  – Cytotoxic/radiomimetic agents

  – CD4+ lymphopenia – classically HIV

  – Myelodysplasia

The leukon

  • 1.
    Toxicology of theLeukon Dr R B Cope BVSc BSc(Hon 1) PhD cGLPCP DABT ERT
  • 2.
    Learning Objectives • Tounderstand the key basic functional concepts of the leukon; • To understand the fundamentals of the kinetics of the leukon; • To understand and accurately interpret changes in the status of the leukon; • To understand and accurately interpret changes to leukon morphology; • To understand and accurately recognize important toxicological effects on the leukon
  • 3.
    Components of thePeripheral Blood Leukogram • Consists of: – Granulocytes • Neutrophils • Eosinophils • Basophils – Mononuclear cells • T lymphocytes • B lymphocytes • Other lymphocytes • Monocytes
  • 6.
  • 7.
  • 8.
  • 9.
  • 10.
  • 13.
  • 14.
  • 15.
  • 16.
  • 17.
    Neutrophils • Bone marrowstorage pool – Consists of metamyelocytes, bands and segmented N0 – Cells cannot replicate – Cells are functionally mature despite the differences in morphology
  • 18.
    Neutrophils • Bone marrowstorage pool – Normal transit time in the SP is 2 – 3 days but this can shorten considerably on increased demand – In health, ~ 80% of N0 are in bone marrow are in the storage compartment – a bout a 5 day supply of N0 under normal conditions – Release from the SP is ordered – oldest cells (segmented N0) are released first – During increased peripheral demand for N0, younger cells (bands, and in extreme cases metamyelocytes) are released – this is called a “Left Shift”
  • 19.
    Segmented N0 ina relatively normal smear
  • 20.
    Neutrophilic leukocytosis withleft shift Note that all the N0 in the field are early stage band N0
  • 21.
    Neutrophils • Circulating andMarginal Pools – N0 move more slowly in the post-capillary venules than RBCs due to the presence of adhesion molecules on the N0 and on the endothelium of the post-capillary venules – this population is referred to as the marginated pool – In the axial or central blood flow of blood vessels make up the circulating pool – Net result is an uneven distribution of N0 in the circulation: the circulating pool of unadhered N0 and the marginal pool of N0 that are have adhered or are in the process of adhering to the vascular endothelium in the post-capillary venules
  • 22.
  • 23.
    Neutrophils • Circulating andMarginal Pools – Average transit time of a N0 in the circulation is ~ 10 hours under normal conditions – N0 subsequently migrate into the tissues. The migration is unidirectional (i.e. they do not re-enter the circulation) – Some N0 are lost across mucosal surfaces and in secretions
  • 24.
    Neutrophils • Mechanisms ofneutrophilic leukocytosis (increase in WBC primarily due to an increase in N0) – Increased stem cell recruitment • Normal response to inctreased demand for N0 • Takes 3 – 5 days to have an effect – Increased effective granulopoesis • Due to an increased number cell divisions in the development/maturation pool • Also occurs due to decreased death of meylocytes in the development/maturation pool • Takes 2 – 3 days to have an effect
  • 25.
    Neutrophils • Mechanisms ofneutrophilic leukocytosis (increase in WBC primarily due to an increase in N0) – Shortened marrow transit time – Shift of mature N0 from the marginated pool in the peripheral blood vessels to the circulating pool of mature N0. This results in a neutrophilia without a left shift. This commonly occurs in combination with a reduced number of lymphocytes (lymphopenia) and a reduced number of eosinophis (eosinopenia) in the peripheral blood. This response is referred to as a “stress leukogram.” May be accompanied with lymphopenia, and eosinopenia. Stress leukograms are caused by adrenalin or cortisol release. They are a common finding associated with exercise/excitement handling and blood collection in many species. The majority of stress leukograms are NORMAL
  • 27.
    Causes of neutropeniaarranged according to the compartment with which the pathophysiologically relevant mechanism is linked. One should begin the diagnostic approach to a neutropenic patient by seeking to identify the pathophysiologically relevant compartment. Management of a neutropenic patient whose neutrophil production is reduced is entirely different from that of a neutropenic patient whose production is normal and in whom the rate of delivery to the extravascular compartment is normal or appropriately increased in the context of acute infections.
  • 30.
    Idiosyncratic Toxic Neutropenia • Rare but extremely important – potentially lethal agranulocytosis (profound depletion of N0) • Occurs sporadically within a population • MOA is not the same as the pharmacologic properties of the xenobiotic • Preclinical tox studies rarely identify or predict this problem • May or may not be dose-related
  • 31.
    Idiosyncratic Toxic Neutropenia •MOA – Dose responsive disruption of N0 precursor cell division in the bone marrow – Non-dose responsive immune-mediated destruction of N0 or N0 precursors – common effect of many drugs, more common in older patients, more common in women, involves anti-N0 antibodies • Typically involves a sudden decrease in circulating N0 (why?) • Typically persists as long as the xenobiotic is present • Greatly increases the risk of infection and sepsis if the neutropenia is severe
  • 32.
    Idiosyncratic Toxic Neutropenia •Important causes are: – Penicillins – Gold – Clozapine (very aggressive) – Phenothiazines – Purine and purine analogs – Azoles – BZPs
  • 33.
    Phagocyte Function • Neutrophilsand monocyte-macrophages are the key phagocytes of the innate immune system • Their principal innate immune role is to recognize and eliminate microorganisms that make their way past primary physical barriers, such as the epithelium and body secretions that protect the external and lining surfaces of the body. • Monocyte/macrophages carry out sentinel duty looking for microbes in healthy tissue and act as a bridge between the innate and adaptive immune systems
  • 34.
    Phagocyte Function • Neutrophilsappear only in infected or damaged tissue after being recruited by inflammatory mediators released from activated macrophages and endothelial cells or by chemical signals released by invading microorganisms themselves • After accumulation of these key immune cells at sites of infection, the microbes are eliminated through the process of phagocytosis, which is defined as the engulfment, internalization, and degradation of extracellular material.
  • 35.
    Phagocyte Function • Processesinvolved with N0: – Receptor-mediated adherence to the blood vessel endothelial wall (shift from the circulating pool to the marginated pool of N0) – Diapedesis – movement through the blood vessel wall – Chemotaxis – movement up a chemical concentration of a chemoattractant (endogenously produced and produced by bacteria) – Binding of the chemoattractant to the N0 cell membrane  activation  phagocytosis  degranulation/oxidative burst/killing
  • 42.
    Eosinophils • Important inType I (IgE-Mast Cell-histamine-mediated) allergic reactions ( e.g. asthma) • Important in the innate immune response to helminth parasites • Phagocytic and bacteriocidal capacity resemble that of N0 • Both circulating and marginated pools exist • Peripheral blood eosinophilia is generally associated with: – Helminth infections – Allergic processes – Neoplasia (classically mast cell tumors) – Eosinophilic leukemias – Some drugs (e.g. penicillin) – Idiopathic
  • 44.
    Eosinophilia-Myalgia Syndrome • Associatedwith: – Eosinophilia – Intense myalgia (muscular pain) – Eosinophilic fasciitis – Capillary cell hyperplasia
  • 45.
    Eosinophilia-Myalgia Syndrome • Incurableand sometimes fatal syndrome associated with ingestion of L-tryptophan or substances metabolized to L- tryptophan • Resembles Spanish toxic oil syndrome due to contaminated rapeseed oil • Potentially due to a contaminant - 1,1-ethylidenebis (L- tryptophan) (tryptophan dimer) • Potentially due to a metabolite – 4-aminophenol • Associated with: – Eosinophilia – Intense myalgia (muscular pain)
  • 46.
    Basophils and MastCells • Basophils and mast cells have different lineages but similar functions • Important in Type I hypersensitivity and allergy • Effects are rate • Basopenias – Acute hypersensitivity reactions (early stages) – Glucocorticoids/stress – Hyperthyroidism • Basophilias – Chronic allergy/hypersensitivity reactions – Diabetes mellitus – Estrogen – Hypothyroidism – Iron deficiency – Neoplasia
  • 47.
  • 48.
    Monocytes • Derived frombone marrow monoblast. • Circulate in blood for 1 – 3 days and then move into the tissues • ~3-8% of blood leukoctes • Significant storage pool in spleen (~50% of total body monocytes) in the Cords of Biltrothare produced by the bone marrow from hematopoietic stem cell precursors called monoblasts. Monocytes circulate in the bloodstream for about one to three days and then typically move into tissues throughout the body. • Following migration from blood, monocytes mature into either tissue macrophages or dendritic cells.
  • 49.
    Monocytes • Form partof the immune system – 3 main functions: – Antigen presentation – Phagocytosis – Cytokine production • 3 classical types of types of monocytes in blood: – the classical monocyte (CD14++ CD16- monocyte) – Non classical monocytes (CD14+CD16++ monocyte) – Intermediate cells (CD14++CD16+) – Different classes represent different developmental stages: Classical  Intermediate  non-classical – After stimulation with microbial products the CD14+CD16++ monocytes produce high amounts of pro-inflammatory cytokines
  • 50.
    Monocytes • Form partof the immune system – 3 main functions: – Antigen presentation – Phagocytosis – Cytokine production • Moncytosis – increase in circulating blood monocyte numbers – Infection – Recovery phase of neutropenia following infection – Hyperadreocorticism – Autoimmune reactions – Neoplasia/leukemia – Sarcoidosis – Lipid storage diseases
  • 51.
  • 52.
    Lymphocytes • Circulating partof the adaptive immune system • Lymphocytosis is a feature of infection or neoplasia (leukemias) • Causes of absolute lymphocytosis include: – Acute viral infections – Acute & chronic bacterial infections – Some protozoal infections – Leukemias
  • 53.
    Lymphocytes • Leukemias/lymphomas inmice – Extremely common spontaneous finding – Virtually all mouse strains contain endogeous MuLV retrovirus (Type C) sequences – Most laboratory mice do not have exogenous MuLV because this is controlled because of SPF
  • 54.
    Lymphocytes • Lymphopenia – Stress leukogram/prolonged exercise – Recent infection – Cytotoxic/radiomimetic agents – CD4+ lymphopenia – classically HIV – Myelodysplasia