Chemical Carcinogenesis
R B Cope BVSc BSc(Hon 1) PhD cGLPCP DABT ERT
Carcinogenesis
Definitions

Classical Concepts

Modern Molecular Concepts and Markers

Assays and Measurement

Toxicological Thresholds and Risk Assessment
Learning Objectives

 Understand the key definitions pertaining to
  carcinogenesis;

 Understand the classical concepts of chemical
  carcinogenesis;

 Understand the MAJOR molecular themes that underpin
  carcinogenesis;

 Understand the currently available types of
  carcinogenesis assays.
Definitions

 Tumor:
   Classically the term has been applied to any space
    occupying lesion; particularly if the lesion is of inflammatory
    origin;

   In modern times, tumor has become synonymous with
    neoplasia;

   derived from the Latin word for "swelling" – tumor;

   In the Commonwealth the spelling "tumor" is commonly
    used, whereas in the U.S. it is usually spelled "tumor”;
A tumor = a space occupying lesion
Definitions

 Neoplasia:
   Literally means “new growth”;
   A neoplasm is an abnormal mass of tissue, the growth of
    which exceeds and is uncoordinated with that of the normal
    tissues and persists in the same excessive manner after
    cessation of the stimuli that evoked the change
   The entire population of cells within a neoplasm (with rare
    exceptions) derive from a single transformed cell i.e. they
    are clonal;
Neoplasm = new growth
Definitions

 Neoplasia:
   All neoplasms have 2 major tissue components:
     Clonal neoplastic cells that constitute the parenchyma of
      the neoplasm;
     A reactive stroma made up of connective tissue, blood
      vessels (angiogenesis), and an inflammatory cellular
      infiltrate (with variable numbers of macrophages and
      lymphocytes)
   Tumor growth and evolution is critically dependent upon its
    stroma! The stroma affects the neoplastic cells and the
    neoplastic cells affect the stroma
Stroma



Neoplastic
  Cells
Definitions

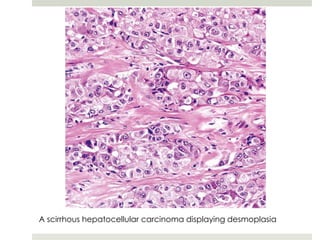
 Neoplasia:
   In some neoplasm types there is an abundant fibrous stroma;
   The laying down of a collagenous stroma in a neoplasm is
    called desmoplasia;
   Desmoplastic tumors containing abundant collagenous
    stroma are referred to as scirrhous;
   Neoplasms commonly contain areas of necrosis: thought
    primarily to be due to the inability of blood/nutrient supply to
    match the growth needs of the neoplastic cells (i.e.
    insufficient angiogenesis);
   Some neoplasms (particularly in the skin) may have zones of
    bacterial infection;
A scirrhous hepatocellular carcinoma displaying desmoplasia
Definitions

 Benign:
   In general, the suffix “oma” is used to designate a benign
    neoplasm, particularly if the neoplasm is of messenchymal
    origin e.g. adenoma = a benign neoplasm of glandular
    origin (may or may not form glandular structures); fibroma =
    a benign neoplasm of fibrous tissue;
   Benign tumors of epithelial origin include:
    papillomas, cystomas etc.;
Definitions

 Features of benign neoplasms
   In general the neoplastic cells are well differentiated and
    resemble those of their tissue of origin i.e. they do not display
    anaplasia, pleomorphism or high mitotic rates;
   Not locally invasive e.g. generally do not spread through
    basement membranes of epithelia;
   Are not metastatic i.e. do not spread to distant sites;
   Typically encapsulated within fibrous tissue;
   Produces damage to local structures primarily by
    compression or distortion of the tissue;
Benign Phyllodes neoplasm of breast: note how well the
neoplastic cells appear to be organized, the lack of
local invasiveness and the fibrous capsule (this is a
fibroepithelial neoplasm; note the desmoplasia)
Just in case you thought that benign neoplasia is not destructive
                        and damaging!
Definitions

 Features of malignancy:
   Poor differentiation = differentiation refers to the extent to
    which neoplastic cells resemble their corresponding normal
    parenchymal cells both morphologically and functionally. In
    general, benign neoplasms are well-differentiated where as
    malignant neoplasms tend to be poorly differentiated;
Normal prostate gland
Gleason Grade I prostatic adenocarcinoma:
Consists of single and separate rather uniform acini with little
intervening stroma and all acini are well demarcated from the
surrounding stroma.
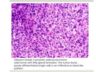
Gleason Grade V prostatic adenocarcinoma
solid tumor with little gland formation. The tumor shows
poorly differentiated single cells in an infiltrative or sheet-like
pattern.
Definitions

 Features of malignancy:
   Anaplasia = malignant neoplasm consisting of poorly
    differentiated cells. Anaplasia literally means to form
    backwards i.e. a more primitive level of cell differentiation;


   However, anaplastic cells DO NOT represent reversion of an
    already differentiated cell to a more primitive type.
    Anaplastic cells derive from the abnormal differentiation
    and maturation of tissue stem cells.
Definitions
 Features of malignancy:
   The key features of anaplasia are:
      Pleomorphism = marked variation in cell size and shape
       within the same neoplasm;
      Hyperchromasia = nuclei contain abundant chromatin
       and are thus dark staining;
      Abnormal nuclear morphology = large &/or increased
       number of nucleoli; large nuclei (nuclear to cytoplasm
       ratio up to 1:1);
      Excessive number of mitoses (high mitotic index);
      Loss of cell polarity = cell orientation is markedly
       disturbed; sheets or masses or cells grow in an
       anarchic, disorganized manner;
      Multinucleate or giant cells
Classical anaplasia: can you spot all the features?
Definitions
 Metaplasia = the replacement of one mature
  differentiated cell type with another mature
  differentiated cell type;


   Metaplasia almost always is associated with tissue
    damage, repair and regeneration;


   Typically involves a change to a cell type that is more suited
    to a change in environmental conditions;


   Metaplasia not directly considered carcinogenic.
Definitions
 Dysplasia = disordered growth;


   Dysplasia is most commonly applied to disordered epithelia;


   Dysplasia generally consists of an expansion of immature
    cells, with a corresponding decrease in the number and
    location of mature cell;


   Dysplasia can be adaptive (e.g. tissue repair processes) or
    indicative of an early neoplastic process.
Definitions
 Dysplasia = disordered growth;


   The term dysplasia is typically used when the cellular
    abnormality is restricted to the originating tissue, as in the
    case of an early, in-situ neoplasm;


   Dysplasia may mean that cell maturation and differentiation
    are delayed;


   Dysplasia does not necessarily mean neoplasia or
    progression to neoplasia
Definitions
 Dysplasia is characterized by four major pathological
  microscopic changes:

   Cellular pleomorphism;

   Anisocytosis (cells of unequal size);

   Poikilocytosis (abnormally shaped cells);

   Nuclear hyperchromatism;

   Presence of mitotic figures (an unusual number of cells
    which are currently dividing); however mitotic figures are of
    normal confirmation.
Definitions
 Features of malignancy:
   Loss of contact inhibition of cell growth. Contact inhibition is
    The cessation of cellular growth and division due to physical
    contact with other cells. The ability of malignant neoplastic
    cells to keep growing and replicating despite contact with
    other cells or structures is a classical feature of malignancy;


   Cells that lack contact inhibition will “pile up on each other”
    during culture.
Loss of contact inhibition
Definitions
 Features of malignancy:
   Local invasiveness:


      Almost all benign neoplasms develop as a cohesive
       expansile mass that remains localized at the site of origin.
       Typically benign neoplasms are encapsulated i.e. there is
       a clearly defined “cleavage plane”
Benign dermal neoplasm with a clean cleavage line
Definitions
 Features of malignancy:
   Local invasiveness


      Malignant neoplasms are invasive (i.e. spread into) of the
       surrounding local tissues;


      Malignant neoplasms have the capacity to spread
       through basement membranes;
      Apart from metastasis, local invasiveness is the most
       reliable indicator of neoplasm malignancy
Skin squamous cell carcinoma: carcinoma in situ:
Note that the neoplastic cells have not migrated through the basement
membrane into the dermis i.e. technically, this neoplasm is not invasive
Skin squamous cell carcinoma: local invasiveness:
Note that the neoplastic cells have not migrated through the basement
membrane into the dermis
Definitions
 Features of malignancy:
      Metastasis
        Metastasis (i.e. spread to a different anatomical site)
         by definition means that a neoplasm is malignant;


        With few exceptions, all malignant tumors can
         metastasize;


        In general, the more rapidly a neoplasm grows and
         the larger the primary neoplasm, the more likely that
         metastasis will occur;
Definitions
 Features of malignancy:
      Metastasis
        Pathways of spread include:
           Direct seeding of body cavities or surfaces;
           Lymphatic spread;
           Hematogenous spread;
           Iatrogenic spread
Metastasis to lung of osteosarcoma (tumor of bone)
Definitions

 BY DEFINITION CANCER = MALIGNANT NEOPLASM;

 Carcinogen = A physical or chemical agent that causes
  or induces neoplasia;


   Genotoxic carcinogen = carcinogens (or their metabolites)
    that directly interact with DNA resulting in mutation;


   Nongenotoxic carcinogen = carcinogens that modify gene
    expression but to not directly damage DNA per se.
Definitions

 Key features of genotoxic carcinogens:
   The carcinogen or its metabolites are mutagenic;
   Can act as complete carcinogens or may act as initiators
    with subsequent promotion require for neoplasia;
   Neoplasia is dose responsive;
   The neoplastic dose response has no theoretical threshold in
    risk assessment terms (biologically, this is very much open to
    question and hotly debated)
Definitions

 Key features of non-genotoxic carcinogens:
   Non-mutagenic in classical assays and no direct DNA
    damage;
   Neoplasia is dose responsive;
   Neoplastic dose response has a identifiable threshold;
   Effects are reversible if exposure is stopped early enough in
    the process;
   May function at the tumor promotion stage;
   Often species, strain, tissue or sex specific.
Multistage Chemical Carcinogenesis:
     Classical Concepts

 Core concepts of this hypothesis:


   Carcinogenesis proceeds in a series of definable and
    reproducible temporal stages;


   The stages are: initiation, promotion, progression and
    outgrowth
7,12-Dimethylbenz[a]anthracene two-hit experimental design in FVB/N mice.




DMBA is a classical initiator; TPA is a classical promoter.
What would you predict the outcome is for each experimental group?
Multistage Chemical Carcinogenesis:
     Classical Concepts

 Core features of INITIATION:
   Involves DNA modification/mutation;
   All initiating agents (or their metabolites) are mutagens and
    are directly genotoxic;
   DNA damage + one cycle of cell division is necessary to fix
    the mutation i.e. cell must survive the DNA damage event
    and be able to replicate;
   One single exposure can be sufficient for initiation;
   INITIATION IS IRREVERSIBLE!
   INITATED CELLS APPEAR MORPHOLOGICALLY NORMAL: THE
    CHANGES ARE ON THE GENETIC LEVEL AT THIS STAGE!
Multistage Chemical Carcinogenesis:
     Classical Concepts

 General features of INITIATORS:
   By definition, either the parent compound or its metabolite
    must interact with DNA and produce a definable change in
    DNA i.e. a DNA lesion or DNA adduct;
   Most chemical initiators must be metabolized to a DNA
    reactive form (i.e. they are indirect initiators or pro-
    initiators, or pro-carcinogens). Those that do not (i.e. are
    direct acting) tend to be highly reactive chemicals that act
    at the site of first contact;
   Many initiators can act as complete carcinogens if the dose
    is high enough and repeated exposure occurs. Often what
    separates an initiator from a complete carcinogen is DOSE
    and REPEATED EXPOSURE.
Multistage Chemical Carcinogenesis:
     Classical Concepts

 General features of INITIATORS:
   Initiation is dependent upon MUTATION i.e. the agent must
    produce a heritable change in DNA, the cell carrying the
    heritable change must survive this change, the cell carrying the
    heritable change must avoid necrosis/apoptosis and the cell
    carrying the heritable change must be capable of successfully
    completing the cell cycle and thus “fixing” the heritable genetic
    change;
   The heritable genetic change must not be repaired by the DNA
    repair mechanism
   The mutation must be in a genetic location that is favors for
    neoplasia while still allowing cell survival and replication;
   The mutation must occur in a stem cell or a cell still capable of
    replication rather than cell that has already entered terminal
    differentiation;
Multistage Chemical Carcinogenesis:
     Classical Concepts

 General features of INITIATORS:
   Once initiation has occurred, there are a number of
    possibilities:
      The initiated cell can remain in a static, non-dividing state
       through influences by growth control via normal
       surrounding cells (paracrine) or endocrine control or
       other extrinsic factors;
      The initiated cell lineage may be eliminated because it
       has a reproductive &/or survival disadvantage within the
       normal tissue;
      The initiate cell may undergo clonal expansion;
Multistage Chemical Carcinogenesis:
     Classical Concepts
  Nordling-Knudsen multiple hit theory of carcinogenesis:
    Cancer is the result of accumulated mutations to a cell's
      DNA;
    Minimum of 2 “DNA hits” are necessary for carcinogenesis;
    Nordling-Knudsen hypothesis fits well with the more modern
      data that demonstrates that for many cancer
      types, carcinogenesis (the development of cancer)
      depended both on the activation of proto-oncogenes
      (genes that stimulate cell proliferation) and on the
      deactivation of tumor suppressor genes (genes that keep
      proliferation in check);
    However: we now know that there are many more DNA
      changes that are needed for malignant neoplasia;
    Indeed, the Nordling-Knudsen hypothesis is probably more
      relevant to classical initiation than the entire process of
      neoplasia;
Multistage Chemical Carcinogenesis:
     Classical Concepts
  Nordling-Knudsen multiple hit theory of carcinogenesis:
    In the case of heritable cancers (e.g. retinoblastoma), a
     single hit may be all that is required for neoplasia (the first
     ”hit” being inherited);

     In cancer risk assessment, there is a general assumption
      that all genotoxic carcinogenesis operates on the “1 hit”
      linear low-dose extrapolation phenomenon that has no
      detectable threshold. This is INCREDIBLY CONSERVATIVE;

     Conservatism may be justified in order to protect
      vulnerable sub-populations e.g. people who are
      heterozygous for tumor suppressor genes (e.g.
      heterozygous for mutated p53; mutated TSG’s tend to be
      inherited in a recessive manner)
1x10-6
Acceptable Dose=
                 Slope Factor
                                DRisk=DDose x SlopeFactor
Multistage Chemical Carcinogenesis:
     Classical Concepts

  Nordling-Knudsen multiple hit theory of carcinogenesis:
    The counter case against the extreme conservatism of
     the “1 hit” carcinogenesis hypothesis in risk assessment
     usually follows the following series of hypotheses:
        Promotion and progression of an initiated cell
         appear to be relatively rare biological events;
        Promotion is a necessary step for neoplasia;
        Promotion is reversible;
        A substantial number of gene changes are required
         for neoplasia, not just changes to protooncogenes
         and tumor suppressor genes;
Multistage Chemical Carcinogenesis:
          Classical Concepts

 Nordling-Knudsen multiple hit theory of carcinogenesis:
     The biological course of neoplasia can be substantially
        modified by environmental (i.e. non-genetic) factors;
     There are multiple mechanisms for either repair or removal of
        initiated cells;
     There are mechanisms for the safe biotransformation of many
        chemical carcinogens;
     Some physical (and chemical??) agents appear to
        demonstrate hormesis in their dose response curves (the
        classical example being radon daughters)
     All of the above suggest that even in the case of genotoxic
        carcinogenesis, there may be a threshold (however for
        practical experimental reason, this is very, very difficult to
        detect!).
Can you think of some of the implications of the above?
• To detect rare cancer types you need very large numbers of animals;
• At 50 animals per sex per dose, you have a power to detect cancers
  incidence of 10%;
• To examine low dose effects, you need very large numbers of animals;
• Conversely, to have adequate ability to detect carcinogenesis we use high
  to very high doses, which in turn, forces us to extrapolate beyond actual
  experimental measurements.
Multistage Chemical Carcinogenesis:
     Classical Concepts
  Attempts at resolving the shape of the low dose cancer
   dose response curve – the MEGA studies:
    2 “MEGA” mouse studies;
    1 “MEGA” trout study;


    The results: for the same chemical agent and depending
     on the organ and neoplasia type, supralinear, linear and
     sublinear dose response curves occur;


    The results: depending on the organ and neoplasia
     type, supralinear, linear and sublinear dose response
     curves occur in the same animal at the same time!
Multistage Chemical Carcinogenesis:
     Classical Concepts
  These results have substantial implications for chemical
   carcinogenesis risk assessment:

     In some cases, linear low-dose extrapolation MAY NOT BE AS
      CONSERVATIVE AS ORIGINALLY THOUGHT!

     LINEAR LOW-DOSE EXTRAPOLATION MAY SIGNIFICANTLY
      OVER OR UNDER-ESTIMATE THE RISK OF CHEMICAL
      CARCINOGENESIS AND IN ALMOST ALL CASES, WE HAVE NO
      WAY OF KNOWING IF THERE ARE OVER OR UNDER EXSTIMATES
      OF RISK;

     THE APPLICATION OF 10-6 ACCEPTABLE RISK TO CANCER +
      USE OF THE UPPER CONFIDENCE INTERVAL AS THE POINT OF
      DEPARTURE PROVIDES SOME REASSURANCE!
Multistage Chemical Carcinogenesis:
     Classical Concepts

 Core features of PROMOTION:
   No direct DNA modification and no direct mutation occurs
    i.e. it is a nongenotoxic process;
   Multiple cell divisions leading to clonal expansion of an
    individual initiated cell are required;
   Promotion is associated with increased cell proliferation
    and/or decreased cell death (i.e. suppression of apoptosis);
Multistage Chemical Carcinogenesis:
     Classical Concepts

 Core features of PROMOTION:
   Multiple exposures to the promoting agent(s) are required;
   Generally prolonged exposure to the promoting agent(s) is
    required;
   Promotion dose response displays a threshold;
   Promotion is REVERSIBLE;
Multistage Chemical Carcinogenesis:
     Classical Concepts

 Core features of PROMOTION:
   Many (most?) chemical promoters are tissue irritants, but not
    all chemical tissue irritants are promoters!
   Many (most?) promoters stimulate cell proliferation (can be
    multiple different mechanisms ranging from simple
    damage/repair responses to receptor-mediated
    endocrine/paracrine effects;
   INITIATION MUST PRECEED PROMOTION! PROMOTION BY
    ITSELF (IN THE ABSENCE OF INITATION OR PRIOR TO
    INITIATION) IS NOT SUFFICIENT FOR CARCINOGENESIS!
   The outcome of promotion is a pre-neoplastic lesion.
Multistage Chemical Carcinogenesis:
     Classical Concepts

 Features of promotion and chemical promoters:
   Chemical tumor promoters are not mutagenic i.e. they do
    not produce direct DNA lesions or DNA adducts;
   Chemical tumor promoters act via mechanisms that either
    modify gene expression and/or stimulate sustained cell
    proliferation;
   EFFECTS OF PROMOTERS ON CELL PROLIFERATION ARE TIME
    LIMITED I.E. REPEATED AND (OFTEN) PROLONGED EXPOSURE
    TO THE PROMOTING AGENT IS REQUIRED FOR
    CARCINOGENESIS;
Multistage Chemical Carcinogenesis:
     Classical Concepts

 Features of promotion and chemical promoters:
   IF PROMOTION IS STOPPED, CLONAL EXPANSION STOPS AND
    THE EXPANDED CELL POPULATION IS ELIMINATED VIA
    APOPTOSIS I.E. PROMOTION IS REVERSIBLE;
   PROMOTION IS A THRESHOLD EFFECT I.E. DOSE RESPONSE
    THRESHOLDS CAN BE DETECTED! This is because there are
    doses below which cell proliferation is not stimulated.
Multistage Chemical Carcinogenesis:
     Classical Concepts

 Features of promotion and chemical promoters:
   Tumor promoters can be endogenous or exogenous;
   Many chemical tumor promoters have an equivalent
    endogenous ligand;
   Many chemical/endogenous tumor promoters are
    organ, tissue or cell type-specific e.g. phenobarbital is a
    tumor promoter in rodent liver, but not in the skin;
   Many non-genotoxic carcinogens appear to act as tumor
    promoters or at the tumor promotion stage of
    carcinogenesis.
Multistage Chemical Carcinogenesis:
     Classical Concepts

 Key features of progression:
   Characterized by increasing genetic instability
    characterized by continued mutation, and chromosomal
    disarrangement;
   No further exogenous or endogenous stimulus is required for
    continued expansion of transformed cells i.e. the cells have
    become imortalized, self-sufficient and resistant to signals
    that are inhibitory for growth.
   However, the neoplastic cell population can still be
    influence by tissue/endogenous/exogenous stimuli;
Multistage Chemical Carcinogenesis:
     Classical Concepts

 Key features of progression:
   Immunoescape is important: avoidance of destruction by
    the innate and adaptive immune system;
   The neoplastic cell population is morphologically
    identifiable: “carcinoma in situ”;
   A key feature of progression is that neoplasms become
    progressively more anaplastic, progressively more anaplastic
    and their cell population becomes progressively more
    heterogenous;
Multistage Chemical Carcinogenesis:
     Classical Concepts

 Key features of progression:
   Progression is associated with the accumulation of multiple
    mutations that accumulate independently in different cells.
   The independent accumulation of new mutations in
    different cells results in the formation of sub-clones of cells;
   Even though almost all neoplasms are monoclonal in
    origin, by the time that they are clinically detectable, their
    constituent cells are extremely heterogenous;
Multistage Chemical Carcinogenesis:
     Classical Concepts

 Key features of progression:


   ONCE PROGRESSION HAS STARTED IT IS IRREVERSIBLE;


   CHEMICALS THAT ARE PROGRESSOR AGENTS TEND TO BE
    GENOTOXIC AND ARE TYPICALLY CLASTENOGENIC;
Multistage Chemical Carcinogenesis:
     Classical Concepts

 Key features of outgrowth:
   Invasion: the ability of neoplastic cells to migrate through
    basement membranes or other tissue barriers
   Angiogenesis: in order to expand beyond a diameter of 1 –
    2 mm, the neoplastic cell population must obtain a blood
    supply by the stimulating new blood vessels
    (neovascularization);
   Immunoescape remains important;
   Formation of a favorable extracellular matrix or favorable
    modification of the extracellular matrix;
   Metastasis.
Molecular Basis of Carcinogesis:
    Fundamental Principles

 Non-lethal genetic damage (mutation) is the foundation
  of carcinogenesis;
   Source of mutation can be environmental
    (chemical, physical or infectious [viruses]);
   Source of the mutation can be inherited;
   Can be due to chance (spontaneous and stochastic);

 A neoplasm is formed by the clonal expansion of a single
  precursor cell that has incurred genetic damage (i.e.
  neoplasms are monoclonal);
Molecular Basis of Carcinogesis:
    Fundamental Principles

 5 basic classes of normal cell regulatory genes are the
  principal targets for procarcinogenic genetic damage:


   Growth-promoting proto-oncogenes;
   Growth-inhibiting tumor suppressor genes;
   Genes that regulate apoptosis/programmed cell death;
   Genes that regulate terminal differentiation;
   Genes involved in DNA repair
Molecular Basis of Carcinogesis:
    Fundamental Principles

 Proto-oncogenes and oncogenes:
   A mutant allele of a proto-oncogene is called an
    oncogene;
   Oncogenes tend to inherited in a dominant pattern i.e. cells
    which are heterozygous display the dominant oncogene
    phenotype;
Molecular Basis of Carcinogesis:
    Fundamental Principles

 Proto-oncogenes and oncogenes:
   Since oncogenes are dominant, it follows that only a single
    mutation is required to convert a proto-oncogene
    phenotype to an oncogene phenotype;


   Loss of gene function due to a single mutated allele is called
    haploinsufficiency;
Molecular Basis of Carcinogesis:
        Fundamental Principles

      Tumor suppressor genes:
         Typically, both alleles of a tumor suppressor gene must be
          mutated before a loss of function (i.e. a pro-neoplasia
          phenotype) occurs;
         If follows that (a) mutated tumor suppressor alleles are mostly
          inherited in a recessive manner; and (b) a minimum of two
          mutagentic events (i.e. mutation of both tumor suppressor
          gene alleles) is required before a pro-neoplasia phenotype
          occurs;1
1: Not entirely true in all cases as genetic variable penetrance is also
present in some cases i.e. the heterozygous phenotype is intermediate
between that of the 2 homozygous phenotypes; or the loss of 1 functional
allele may be sufficient to produce a pro-neoplastic phenotype.
Molecular Basis of Carcinogesis:
    Fundamental Principles

 Genes regulating apoptosis/programmed cell death
  may behave like proto-oncogenes or tumor suppressor
  genes in terms of their genetic:phenotype relationships;
Molecular Basis of Carcinogesis:
    Fundamental Principles

 Mutations in DNA repair genes affect cell proliferation
  indirectly by modifying the ability of the cell to repair
  dangerous mutations in proto-oncogenes, tumor
  suppressor genes and the genes that regulate apoptosis;
   Cells with defective DNA repair function have a “mutator
    phenotype”;
Molecular Basis of Carcinogesis:
    Fundamental Principles

 Carcinogeneis is a multistep process both at the
  phenotypic and genetic levels;

 Carcinogenesis requires accumulation of multiple
  mutations in specific locations;
   A single mutation is rarely (never?) sufficient for
    carcinogenesis;
   Pro-carcinogenic mutations are not random throughout the
    genome: the mutations must be in the right places in the
    right genes;
Essential Genetic/Phenotypic
Alterations for Malignancy

 The following are the fundamental requirements for
  neoplasia and malignancy (progression and outgrowth):
   Self-sufficiency in growth signals i.e. no exogenous signals or
    stimuli are required for continued cell division;
   Insensitivity to growth-inhibitory signals e.g. not responsive to
    TGFβ or inhibitors of cyclin-dependent kinases;
   Evasion of apoptosis: e.g. by the inactivation of p53 or
    activation of anti-apoptosis genes;
Essential Genetic/Phenotypic
Alterations for Malignancy

 The following are the fundamental requirements for
  neoplasia and malignancy (progression and outgrowth):
   Attained limitless replicative potential (i.e. become
    imortalized) i.e. avoid senescence, terminal differentiation
    and mitotic catastrophe;
   Immunoescape: avoidance of the host innate and adaptive
    immune systems;
   Induction of sustained angiogenesis;
Essential Genetic/Phenotypic
Alterations for Malignancy

 The following are the fundamental requirements for
  neoplasia and malignancy (progression and outgrowth):
   Gained favorable interaction with the extracellular matrix;
   Gained the ability to invade and metastasize;
   Gained defects in DNA repair
Self-Sufficiency in Growth Signals:
Proto-Oncogenes, Oncogenes, Oncoproteins


 Fundamental concept: the mutation of a proto-oncogene
  to an oncogene and the production of the altered
  oncoprotein promotes cell growth and replication in the
  absence of growth factors and/or other external stimuli i.e.
  cell growth becomes autonomous and oncogenes allow
  cells to be self-sufficient in terms of growth signals;

 Proto-oncogene proteins can function as:
      Growth factors;
      Growth factor receptors;
      Signal transducers;
      Transcription factors;
      Cell cycle components.
Generalized normal steps in signaling of
                    cell growth and replication (using a
                    simplified RAS schematic as an
                    example):

                    • Binding of a growth factor to its cell
                      membrane receptor;

                    • Transient and limited activation of the
                      relevant growth receptor and signal
                      transduction on the inner leaflet of
                      the plasma membrane;

                    • Transmission of the transduced signal
                      across the cytoplasm;

                    • Induction and activation of nuclear
                      regulatory factors that initiate DNA
                      transcriptoion;

                    • Entry, progression and completion of
                      the cell cycle  cell division

Oncogenes can act at any of these levels
Types of Oncogenes


 Growth factor genes;

 Growth factor receptors;

 Genes for proteins involved in signal transduction;

 Genes for nuclear regulatory proteins;

 Genes for cell cycle regulators.
Types of Oncogenes: Growth factor genes


 The most common modes of action of growth factor
  oncogenes is overexpression or amplification;

 Most growth factors normally act in a paracrine manner
  (i.e. produced by one cell type, and act locally on a
  neighboring cell);

 Many transformed cells acquire the ability to synthesize
  growth factors to which they then respond
Types of Oncogenes: Growth factor genes


 In most instances, the growth factor genes are not
  altered;

 The most common mode of action is that the signal
  transduction pathway that activates synthesis of the
  growth factor is corrupted (i.e. permanently switched on)
  i.e. the gene is over expressed;

 Permanent growth factor production creates a pro-
  malignant phenotype because increasing the number of
  cell divisions increases the risk of further stochastic (i.e.
  chance) mutations
Types of Oncogenes: Growth factor genes


 Important examples:
   TGFα; (TGF = tissue growth factor)
   PDGF-βchain; (PDGF = platelet derived growth factor)
   Fibroblast-derived growth factors (HST1, FGF3);
   HGF; (hepatocyte growth factor)
Types of Oncogenes: Growth factor receptors


                            Many of the critical GFR
                            exist in the non-activated
                            state as monomers, with
                            the inactive tyrosine
                            kinase enzyme being
                            bound to the inner leaflet
                            of the cell membrane
Types of Oncogenes: Growth factor receptors
                              Activation occurs by 2
                              signal molecules binding
                              to two nearby Tyrosine-
                              Kinase Receptors, causing
                              them to
                              aggregate, forming a
                              TRANSIENT dimer. This
                              activates the tyrosine
                              kinase, which in turn, uses
                              ATP to phosphorylate (i.e.
                              activate) a second
                              messenger protein, which
                              in turn, triggers the
                              downstream signal
                              transduction/messaging
                              cascade.
Types of Oncogenes: Growth factor receptors


 Oncogenic forms of the GFR are associated with
  constitutive, PERMANENT, dimerization in the absence of
  the receptor ligand i.e. the receptor is permanently
  switched on irrespective of whether or not the normal
  growth factor is present;

 The permanently activated tyrosine kinase is the target of
  the anticancer drug, imatinib mesylate;

 Permanent switching on of growth factor receptors can
  occur by simple point mutations, translocations or over-
  expression mechanisms.
Types of Oncogenes: Growth factor receptors


 Important example: the RET proto-oncogene
   Encodes a receptor tyrosine kinase for members of the glial
    cell line-derived neurotrophic factor family of extracellular
    signalling molecules;
   Gain of function by mutation results in thyroid and other
    endocrine carcinomas;
   2 important point mutations: MEN-2A and MEN-2B
Types of Oncogenes: Growth factor receptors


 Important example: the RET proto-oncogene
   The MEN-2A point mutation cause constitutive dimerization
    of the receptor (i.e. the receptor is permanently and
    erroneously switched on)  switching on of the TGF-
    βpathway;
   The MEN-2B point mutation alters the substrate specificity of
    the tyrosine kinase which results in exaggerated TGF-
    βsignalling;
   Both the MEN-2A and 2B oncogenes are inherited as
    autosomal dominants i.e. only one allele needs to be
    altered for the proneoplastic phenotype.
Types of Oncogenes: Signal transduction proteins


 THE classical example is the RAS proto-oncogene family
  (HRAS, KRAS, NRAS) !;

 Point mutations in members of the RAS family are the
  most common mutations in human cancers: about 15-
  20% of all human cancers carry them;

 As a general rule:
   Cancers of the bladder have HRAS mutations;
   Carcinomas have KRAS mutations;
   Hemopoeitic neoplasias have NRAS mutations.
Normal RAS function
RAS "molecular switch": GTP-bound form is active while the GDP-bound
form is inactive. In its active form, RAS interacts with its effectors. This
cycling is regulated by GTPase-activating proteins (GAPs) and
nucleotide exchange factors (GEFs).
One of the most studied RAS-controlled pathways is the RAS/MAPK pathway. This is one of
the most conserved pathways throughout evolution, and controls biological processes
such as proliferation, differentiation, apoptosis, and migration. The directionality of
signaling from extracellular signals to effector proteins is regulated by the on/off switch
states of RAS proteins. Any mutation of RAS affects the on/off balance and RAS mutations
at codon 12, 13 and 61 lead to constitutive active RAS protein and the subsequent hyper-
activation of the MAPK pathway.
Types of Oncogenes: Signal transduction proteins


 Mutations that result in permanent switching on of RAS
  involve:
   Changes in the GTP-binding pocket or the enzymatic region
    responsible for GTP hydrolysis  net result is to decrease the
    GTPase activity of RAS  keeps RAS in the GTP-RAS
    activated form;

   Mutation of the GAP proteints  fail to activate the RAS-
    GTPase activity  keeps RAS in the GTP-RAS activated form;

   Mutation and permanent activation of down stream signal
    components in the RAS/RAF/MAP kinase pathway
    (important in melanoma);
Types of Oncogenes: Signal transduction proteins


 Oncogene-induced senescence:


   in wild-type cells, activated RAS triggers an initial wave of
    proliferation, followed by an irreversible growth arrest known as cellular
    senescence and a concomitant accumulation of p53 and p16 proteins
     apoptosis;

   In melanoma, the presence of BRAF oncogenes in the absence of
    dysregulation of p53/p16 results in benign melanocytic nevi rather than
    melanoma;

   Demonstrates that the presence of an oncogene by itself is not sufficient
    for neoplasia. Other gene mutations (notably in the tumor suppressor
    genes p53 and/or p16) are required for carcinogenesis;
Types of Oncogenes:
       Non-receptor tyrosine kinases


 NRTKs normally function in the signal transduction
  pathways that regulate cell growth;

 ABL kinases
   c-ABL is associated with leukemias;
Growth factors (GF) induce SFK activation in caveolae, allowing
phosphorylation of c-Abl to increase its catalytic activity. c-Abl then
activates Rac/JNK and Rac/NADPH oxidase (Nox) pathways to induce c-
myc expression, a transcription factor required for induction of DNA
synthesis.. This set of events promotes G1-phase progression of the cell
cycle, leading to S-phase entry and DNA synthesis..
Types of Oncogenes:
       Non-receptor tyrosine kinases


 ABL chromosomal translocation results in movement of
  the ABL gene from chromosome 9 to chromosome 22
  forming a ABL-BCR hybrid gene;

 The ABL-BCR hybrid oncogene produces a ABL-BCR
  hybrid fusion protein that has increased kinase activity 
  chronic myelogenous leukemias;

 Formation of similar tyrosine kinase fusion proteins and
  hybrid tyrosine kinase oncogenes are a common pattern
  in a number of forms of neoplasia
Types of Oncogenes:
       Non-receptor tyrosine kinases


 Imatinib mesylate
   Anti-cancer drug used to treat CML;
   Specifically targets BCR-ABL kinase activity
   Works on the basis that in many forms of CML, continuous
    signaling down the BCR-ABL kinase pathway is necessary for
    persistence of the transformed cells and the neoplasia.
    Disrupting this signaling results in death of the neoplastic
    cells;
   Actions of this drug demonstrate that the BCR-ABL kinase
    oncogene is a lynch-pin mechanism in CML and possibly
    other types of leukemias.
Types of Oncogenes: Transcription factors.


 A large number of oncogenes fall into this category
  (MYC, JUN, FOS, MYB, REL);

 The MYC oncogene is the one most commonly involved
  in human neoplasias;

 MYC is present in virtually every eukaryotic cell type;

 MYC regulates a huge number of genes and cell
  functions;

 Belongs to the “early response genes” that are induced
  when resting cells receive a signal to divide;
Normal functions of MYC
Types of Oncogenes: Transcription factors.


 MYC is normally transiently switched on via a variety of
  cell signals (predominantly those which trigger cell
  division);

 Mechanisms of MYC overexpression:
   Coupled with a more active promoter by chromosome
    translocation (Burkitt’s lymphoma)
   Removal of the 3’ UTR destabilizing sequences, resulting in
    an elevation of MYC mRNA;
   Insertion of retroviruses adjacent to the MYC locus activates
    its expression via retroviral regulatory sequences
   Oncogenic RAS appears to stabilize the MYC
Types of Oncogenes:
       Cyclins and cyclin-dependent kinases.

 The normal and orderly progression of cells through the
  cell cycle (i.e. replication) is orchestrated by cyclin-
  dependet kinases (CDKs);

 CDKs are activated by binding to cyclin proteins
   Cyclins are “cyclic” in the sense of their production and
    degradation;
Types of Oncogenes:
       Cyclins and cyclin-dependent kinases.

 Bottom lines:
   Mutations that dysregulate the activity of cyclings and CDKs
    favors cell proliferation;
   Common targets in neoplasia are cyclin D and CDK4 (i.e.
    targeting the G1 phase of the cell cycle);
      Cyclin D is overexpressed in many neoplasias;
      CDK inhibitor (e.g. p16, p21, p27, p57) expression is
       commonly reduced or absent  favorable for cell
       proliferation e.g. germline mutations of p16 are present in
       a human sub-population that is prone to melanoma;
Cell Cycle Checkpoints

 Defects in the cell cycle checkpoint system are a major
  cause of genomic instability in neoplastic cells!

 G1/S transition check point
   Checks for DNA damage;
   If DNA damage is present, the DNA repair mechanisms are
    switched on;
   Provides time for DNA repair to occur;
   Allows entry into apoptosis if the cellular damage is too
    extensive.
Cell Cycle Checkpoints

 G2/M checkpoint
   Monitors the completion of DNA replication
   Checks whether or not the cell can safely initiate mitosis and
    separation of sister chromatids
   Particularly important in ionizing radiation damaged cells
    and if chromosomal damage is present.
Cell Cycle Checkpoints

 There are a series of cellular sensors and transducers for
  the cell cycle checkpoints;

 G1/S checkpoint is mostly mediated by p53 which acts
  via the cell cycle inhibitor p21;

 G2/M checkpoint is mediate by p53 dependent and p53
  independent mechanisms.
Escape From Growth Inhibition and Senescence:
       Tumor suppressor genes

 Fundamental concept: oncogenes drive the proliferation
  of cells where as tumor suppressors apply the brakes to
  proliferation OR their activation triggers post-mitotic cell
  differentiation (i.e. entry into the differentiated cell pool
  without replicative potential);

 Many TSGs are part of a network of sensors that detect
  cellular genotoxic stress from just about any source;

 Function is to shut down cell proliferation;

 Remember the ocogene senesce paradigm:
Oncogene-Induced Senescence


 Oncogene-induced senescence:


   in wild-type cells, activated RAS triggers an initial wave of
    proliferation, followed by an irreversible growth arrest known as cellular
    senescence and a concomitant accumulation of p53 and p16 proteins
     apoptosis;

   In melanoma, the presence of BRAF oncogenes in the absence of
    dysregulation of p53/p16 results in benign melanocytic nevi rather than
    melanoma;

   Demonstrates that the presence of an oncogene by itself is not sufficient
    for neoplasia. Other gene mutations (notably in the tumor suppressor
    genes p53 and/or p16) are required for carcinogenesis;
Escape From Growth Inhibition and Senescence:
      Tumor suppressor genes

 TSGs are generally autosomal recessive i.e. for the
  defective phenotype to occur, the cell must carry both
  mutated alleles;

 In general, 2 mutation events are required for the most
  defective phenotype to occur;
   At least one, or both, of the mutant alleles can be inherited
   If the cell is already heterozygous, only 1 additional mutation
    is required;

 Limited penetrance may operate in many cases i.e. the
  hetrozygos cell or individual may have a phenotype that
  lies between the two homozygous phenotypes.
Tumor Suppressor Genes:
      Retinoblastoma protein

 RB regulates the G1/S checkpoint of the cell cycle

 RB is one of the classical tumor suppressor genes;

 Inherited as an autosomal recessive allele with a
  mutation at locs 13q14;

 The dominant normal RB allele has full penetrance i.e.
  heterozygous cells are otherwise completely normal;
Tumor Suppressor Genes:
      Retinoblastoma protein

 Familial Retinoblastoma:
   Once defective allele is typically inherited;
   The second defective allele is typically acquired by
    mutation;

 Random retinoblastoma:
   2 mutations are required because 2 normal RB alleles are
    present (one from each parent);
Normal functioning of the retinoblastoma protein (RB)
1. In the G0 phase, S-phase-
Normal RB Protein Function:      specific genes are not
                                 transcribed because of the
                                 inhibitory effect of the RBR
                                 protein on the E2F/DP
                                 heterodimeric complex.

                              2. When cells are committed
                                 to divide, D-type cyclins
                                 (CYCD) will be transcribed
                                 in G1 and will start to form
                                 active complexes with G1–
                                 S-specific CDK proteins
                                 (CDKA). The active CDK–
                                 cyclin complex
                                 phosphorylates the RBR
                                 protein, releasing the
                                 E2F/DP complex.

                              3. Subsequently, the active
                                 E2F/DP complex will
                                 activate transcription of
                                 genes necessary for DNA
                                 replication.
Tumor Suppressor Genes:
      Retinoblastoma protein

 If the RB protein is lost or is defective:
   The G1/S checkpoint no longer functions;
   There are no longer adequate checks for DNA
      damage;
   The DNA repair mechanisms are either not switched
      on or are faulty;
   There is insufficient time for DNA repair;
   The overall net result is increased genetic instability
      and loss of the ability of the cell to detect and repair
      subsequent mutations or to eliminate transformed cells
      via apoptosis.
Tumor Suppressor Genes:
      Retinoblastoma protein

 Critical sites for RB protein mutation:
   Mutations are localized to an area of the protein
     called the RB pocket;
   The RB pocket is involved in the binding of RB to E2F;
Tumor Suppressor Genes:
      Retinoblastoma protein

 RB protein/gene may be normal but loss of RB function
  can still occur:
   Mutations in the proteins that phosphorylate RB will
     mimic RB loss e.g. mutational activation of CYCA and
     CYCD results in permanent RB phosphorylation 
     transcription is permanently switched on
   Many cancers that do not have RB gene abnormalities
    will have a functional loss of RB inhibition excessive
    phosphorylation of RB due to CDK mutations.
Tumor Suppressor Genes:


 Current critical paradigm:
   At least one of the 4 major regulators of the cell cycle
    (p16/INK4a, RB, Cyclin D, CYKA) are dysregulated in
    some form in almost all human cancers,
Tumor Suppressor Genes: p53


 p53 is the guardian of the genome;

 P53 acts at the G1/S checkpoint of the cell cycle;

 Inactive or dysregulated p53 is amongst the most
  common deficits in human cancer;

 50% of human cancers contain p53 mutations;
Tumor Suppressor Genes: p53


 Homozygous loss of p53 function occurs in almost all
  human cancers;

 In most cases, loss of p53 function is AQUIRED;

 Rarely, one defective p53 allele may be inherited (Li-
  Fraumeni Syndrome);
Tumor Suppressor Genes: p53


 Normal p53 regulation:
   In non-stressed cells, p53 has a short half-life (~ 20
    minutes);
   The short half-life is due to the association of p53 with
    MDM2;
     MDM2 inhibits p53 activity because it blocks its
       transcriptional activity, favors its nuclear export and
       stimulates its degradation
Tumor Suppressor Genes: p53


 Normal p53 regulation:
   miRNAs (mir34a-mir34c)
     miRNAs bind to mRNA preventing its translation i.e.
      block protein synthesis
     mir34 thus mimic many of the functions of p53
Tumor Suppressor Genes: p53


 p53 acts to prevent neoplasia by 3 critical mechanisms:
   Activation of temporary cell cycle arrest (quiescence; allows
    for repair);
   Induction of permanent cell cycle arrest (senescence);
   Triggering of apoptosis;

 p53 activation is the primordial mechanism for initiating
  DNA repair;
Tumor Suppressor Genes: p53


 How does p53 sense cellular stress and DNA damage?
   At least 2 proteins appear to act as biosensors for DNA
    damage: ataxia-telangiecasia mutated protein kinase
    (ATM) & ataxia-telangiecasia and RAD3 related protein
    kinase (ATK);
   Once damage is sensed, ATR and ATK phosphorylate
    p53, which activates it.


   Raises the specter that functional p53 loss could occur if ATM
    and ATK are rendered dysfunctional by mutation;
Tumor Suppressor Genes:
      the APC/β-catenin pathway

 APC is a class of tumor supresssor genes which down-
  regulate growth promoting signals;

 APC is a typical TSG i.e. 2 mutant alleles are required for
  the pro-neoplastic phenotype;

 Germ-line mutations in APC are associated with familial
  adenomatous polyposis (pre-disposes to colon cancer);
Tumor Suppressor Genes:
      the APC/β-catenin pathway

 70-80% of human colorectal cancers display the
  homozygous loss of APC function;

 Forms part of the WNT signaling system;
When the WNT receptor is not
occupied, Axin, GSK and APC form a
"destruction complex," and β-Cat is
destroyed.
• When the WNT receptor is occupied, Axin is
  removed from the "destruction complex." β-Cat
  moves into the nucleus, binds to a transcription
  factor on DNA, and activates transcription of a
  protein. "P" represents phosphate;

• With the pro-neoplastic loss of APC function, APC
  can no longer mediate the cytoplasmic
  destruction ofβ-catenin  the WNT pathway is
  permanently switched on;

• The alternative mechanism which also results in
  permanent activation of the WNT pathway are
  mutations in β-catenin which render it resistant to
  destruction by APC.
Tumor Suppressor Genes:
      the APC/β-catenin pathway

 An additionally critical effect of the cellular
  accumulation of β-catenin is that this protein is also
  necessary for normal cell to cell adhesion;

 β-catenin is also normally bound to the cytoplasmic tail
  of E-cadherin which is responsible for intercellular
  adhesiveness;
Tumor Suppressor Genes:
      the APC/β-catenin pathway

 When cells are torn apart (injury), β-catenin is released
  from the membrane bound E-cadherin into the
  cytoplasm  nucleus  transcription;

 When cell to cell contact is re-established , β-catenin is
  again sequestered by binding to cell membrane E-
  cadherin and nuclear transcription ceases. This is the
  fundamental mechanism of contact inhibition of normal
  cells;
Tumor Suppressor Genes:
      the APC/β-catenin pathway

 Disruption of the E-cadherin-β-catenin pathway is a
  critical event in neoplasia and leads to the classical loss
  of contact inhibition seen in the malignant phenotype;

 Disruption of the E-cadherin-β-catenin pathway is a
  critical event that allows for migration, invasiveness and
  metastasis of malignant neoplastic cells.
Tumor Suppressor Genes:
      the TGFβ pathway.

 In epithelial and hematopoeitic cells, TGFβis a potent
  inhibitor of cell proliferation;

 TGFβsignaling is also an important pathway for the
  induction of apoptosis;
   There are 2 known mechanisms: the SMAD pathway & the
    DAXX pathway;

 In many forms of cancer, the growth-inhibiting effects of
  the TGFβ pathway are lost by mutations in the signaling
  pathway (100% of pancreatic cancers, 83% of colon
  cancers).
SMAD Apoptosis Pathway
Evasion of Apoptosis.

 Activation occurs by 2 different pathways:
   Extrinsic pathways acting via death receptors. These
    receptors activate Death Caspases within seconds of
    ligand binding, causing an apoptotic demise of the cell
    within hours.
     Via CD95/Fas signaling;
     Via CD120/tumor necrosis factor receptor 1 signaling;
     Apo 2 and Apo 3
Evasion of Apoptosis.
 Activation occurs by 2 different pathways:

   Intrinsic pathway following DNA and/or mitochondrial damage;
     The core event is alteration of mitochondrial permeability
        and loss of mitochondrial transmembrane potential (which
        results in loss of funciton of the electron transport chain and
        loss of ATP production);
     Altererd mitochondrial permeability results in CytoC release
        and formation of the Apoptosome, a catalytic multiprotein
        platform that activates Caspase9. Activated Caspase9 then
        cleaves Caspase3 resulting in downstream events involved
        in cell death;
     Release of CytoC is regulated by Bcl2 family proteins which
        reside in the outer mitochondrial membrane and prevent
        CytoC release.
Evasion of Apoptosis.
 The ability to evade apoptosis following mutation is a key event in
  carcinogenesis;

 Known mechanisms of evasion include:
   Loss or downregulation of FAS/CD95;
   Induction of a protein called FLIP which prevents the activation
    of caspase 8;
   Over-expression of BCL-2;
Evasion of Apoptosis.
 Over-expression of Bcl-2:
   Best described mechanism;
   Bcl-2 derives its name from B-cell lymphoma 2;
   Mechanism of over expression involves translocation of the Bcl-
    2 gene on chromosome 18 to the immunoglobulin promoter
    region of chromosome 14;
   Net result is that a normally tightly regulated gene is moved to
    a area of chromosome 14 that is more actively
    transcribed, with the result that Bcl-2 is over-produced;
Evasion of Apoptosis.
 Over-expression of Bcl-2:
   Present in ~85% of B-cell lymphomas;

   Bcl-2-induced lymphomas largely result from a failure of
    apoptosis rather than an explosive proliferation. This explains
    their behavior – these cancers tend to be slow growing
    compared with other types of lymphomas.
Evasion of the Immune Response.
 A large array of strategies are used:
   Tumor cells are often not antigenic i.e. not recognized by the
     immune system. This is driven by active immunoselection in
     most cases;
   In some cases, the carcinogenic process is immunosuppressive
     or induces immune-tolerance to the transformed cells (e.g. UV
     radiation-induced non-melanoma skin cancer);
   Loss of MHC molecules and other antigen presenting molecules
     from the cell surface  cells cannot be detected by cytotoxic
     T-cells;
Evasion of the Immune Response.
 A large array of strategies are used:
   Tumors often secrete proteins that inhibit effector T cell
     responses and promote the production of regulatory T cells that
     suppress immune responses;

   Certain melanomas can reorganize their stromal
    microenvironment (the supportive connective tissue) into
    structures similar to lymphoid tissue of the immune system. This
    ingenious reconstruction recruits and maintains immune
    regulatory cells that promote tolerance and tumor progression;

   Tumor cells can produce receptor types (e.g. Toll receptors)
    that facilitate immune evasion.
Evasion of the Immune Response.
 A large array of strategies are used:
   Neoplastic cell TGFβsecretion inhibits NK cell function;

   Neoplastic cells can become resistant to immune-mediated
    induction of apoptosis;

   Many tumors, particularly when the breach the body
    surface, contain areas of active infection;

   This is a very active area of study: there are many other
    proposed mechanisms
Limitless Replicative Potential: Telomeres and
       escape from mitotic catastrophe
 Normal human cells have the capacity for 60 to 70 replications
  (the Hayflick limit) after which, they loose their ability to divide 
  senescence;

 The loss of the ability to replicate is because of progressive
  shortening of the telomeres present at the ends of chromosomes;


    Short telomeres  behave like DNA double strand breaks 
     triggers p53 and RB-mediated cell cycle arrest at the G1/S
     checkpoint;
Limitless Replicative Potential: Telomeres and
       escape from mitotic catastrophe
 When the G1/S checkpoint is disabled (i.e. p53 and RB are
  dysfunctional):
   When the cell replication is still possible via chromosomal non-
    homologous end joining;

   Non-homologous end joining results in dicentric chromosomes;

   When dicentric chromosomes are pulled apart during the
    anaphase of mitosis, new double stranded DNA breaks are
    created  the net result is substantial genomic instability 
    multiple bridge-fusion cycles results in a mitotic catastrophe 
    cell death
Limitless Replicative Potential: Telomeres and
       escape from mitotic catastrophe
 For a neoplastic cell to survive and thrive it must:
    Evade the shortening of telomeres AND
    Avoid the mitotic catastrophe;

 Successful neoplastic cells accomplish this by reactivating
  telomerases (normally only active in embryonic stem cells).

 There are other alternative mechanisms for lengthening telomeres
  which are calledalternative lengthening of telomeres (ALT);

 The induction of telomerases in neoplastic cells gives them endless
  replicative potential i.e. they become immortal.
Getting adequate blood supply: Angiogenesis

 Neoplasias cannot grow beyond a diameter of ~1-2 mm without
  inducing a new blood supply;

 Neoplastic cells stimulate the creation of new blood vessel
  branches from previously existing blood vessels. This involves
  recruitment of normal endothelial cells from the bone marrow;

 The vasculature in neoplasias is abnormal:
  leaky, inefficient, haphazard branching;
Getting adequate blood supply: Angiogenesis

 Neovascularization has 3 major effects:
   Provides nutrients required for continued growth;
   Newly formed endothelial cells secrete growth factors (notably
    insulin-like growth factor, platelet-derived growth factor, GM-
    CSF) which favor neoplastic cell growth;
   Provides access to the vascular system which is necessary for
    metastasis;

 Neovascularization is a necessary biological correlate for
  malignancy.
Growth factors involved in cancer angiogenesis/neovascularization
Spreading The Love: Invasion and Metastasis

 Neoplastic cells by their very nature often have poor cell to cell
  adhesion  millions of neoplastic cells are regularly released into
  the circulation during carcinogenesis, however metastases are
  frequently relatively uncommon;

 The metastatic cascade consists of 2 basic phases:
   Invasion of the extracellular matrix;
   Vascular dissemination, homing and colonization.
Spreading The Love: Invasion and Metastasis

 Invasion of the ECM consists of 4 major steps:
   Reduction or loss of cell to cell adhesion;
   Degradation of the ECM;
   Attachment to novel ECM components;
   Migration of neoplastic cells
Spreading The Love: Invasion and Metastasis

 Cell to cell dissociation:
   Disruption of the catenin-E-cadherin system (discussed
    previously);
Spreading The Love: Invasion and Metastasis

 Degradation of the basement membrane and interstitial
  connective tissue:
   Neoplastic cells secrete proteolytic enzymes (many different classes
    including matrix metalloproteases, cathepsin D, urokinase
    plasminogen activator);
   Neoplastic cells induce connective tissue damage by stimulating
    normal stromal cells (fibroblasts, myofibroblasts);
Spreading The Love: Invasion and Metastasis

 Degradation of the basement membrane and interstitial
  connective tissue:
   MMP activity also releases growth factors which stimulate neoplastic
    cell growth;
   Loss of polarity and contact inhibition in neoplastic cells means that
    they are no longer dependent on attachment to the ECM for survival
    and growth.
Spreading The Love: Invasion and Metastasis

 Locomotion and migration:
   Invasion involves the movement of neoplastic cells through
    damaged basement membranes or through zones of disrupted
    ECM
   Locomotion of cells is an extremely complex process involving
    many different types of receptor and cellular systems;
   Locomotion/migration in neoplastic cells is potentiated and
    driven by autocrine production of motility factors plus damage
    to the ECM (e.g. cleavage of collagen and laminin).
Spreading The Love: Invasion and Metastasis

 Vascular dissemination and homing
   Single cells in the circulation are prone to damage by
    mechanical and fluid-dynamic mechanisms i.e. the circulation
    is an environment that is not favorable to the survival of single
    neoplastic cells;

   Single cells in the circulation are prone to destruction by the
    immune system;

   Within the circulation neoplastic cells tend to form cell
    aggregates, cell-platelet or activate the clotting cascade to
    form true emboli, all of which provide protection;
Spreading The Love: Invasion and Metastasis

 Vascular dissemination:
   The sites that neoplastic cell aggregates/emboli eventually
    lodge is often dependent on the site of the primary tumor i.e.
    metastases commonly form in the first capillary bed that the
    tumor cells encounter after entry into the circulation
    (lung, liver, brain etc);

   Natural vascular drainage patterns do not explain all the types
    of metastatic distribution encountered – specific homing to
    particular tissues appears to operate in some cases;
Spreading The Love: Invasion and Metastasis

 Homing
   Selective tissue homing can be explained in some cases by the
    presence of particular cell surface adhesion molecules and
    target ligands in the vascular beds of the target tissue;

   Chemokines an chemoattractants play a critical role in other
    cases.
Spreading The Love: Invasion and Metastasis

 Paget’s “fertile soil” or “seed and soil” hypothesis:
    Proposed in 1889;
    The hypothesis is considered a milestone in cancer biology and
     pathology;
    Core concepts:
      The sites of secondary growths are not a matter of pure chance;
      The sites of secondary growths are not just a matter of the degree
       of vascularization and perfusion e.g. skeletal muscle is vey vascular
       and well-perfused, yet metastasis in skeletal muscle is very rare;
      Many neoplastic cells that lodge in distant tissues either die
       (apoptosis) or they remain dormant and do not develop;
      Some organs provide a more fertile environment than others for
       the growth of certain metastases.
Spreading The Love: Invasion and Metastasis

 Paget’s “fertile soil” or “seed and soil” hypothesis:
   A constant pattern is that the neoplastic cells themselves
    modify the resident stromal cells of the receiving tissue to
    create a more habitable site for metastasis.
Genomic Instability: the enabler of malignancy

 Humans literally swim in a myriad of agents that are
  mutagenic, however cancers are relatively rare outcomes;

 The reason for this is the ability to repair DNA or kill off cells with un-
  repairable DNA damage combined with the ability of the innate
  (and sometimes the adaptive) immune system to selectively
  target and destroy transformed cells;
Genomic Instability: the enabler of malignancy

 Individuals born with deficits in DNA repair are extremely prone to
  neoplasia:

 In a sense, most DNA repair genes operate like TSG – i.e. both
  alleles need to be inactivated before there is an increase in
  neoplasia (although limited penetrance and intermediate
  phenotypes are important in some cases);
Genomic Instability: the enabler of malignancy

 Hereditary Nonpolyposis Colon Cancer Syndrome
   Due to a inherited loss of DNA mismatch repair;
   Hallmark is microsatellite instability
     Microsatellites are also known as Simple Sequence Repeats
       (SSRs) or short tandem repeats (STRs), are repeating
       sequences of 2-6 base pairs of DNA;
     In normal individuals, their location and base pair
       composition is usually very stable;

   Individuals with this genotype have very high rates of colon
    cancer.
Genomic Instability: the enabler of malignancy

 Xeroderma pigmentosum
   Autosomal recessive genetic disorder of DNA repair in which the
    ability to repair damage caused by ultraviolet (UV) light is deficient;
   Primary defect is in DNA excision repair;
   Cannot repair T-T dimers and 6-4 photoproducts in skin;
   Extremely prone to non-melanoma skin cancer
Genomic Instability: the enabler of malignancy

 Defects in DNA repair due to chromosome homologous
  recombination:
   Blood syndrome, ataxia-telangiecasia, Fanconi anemia
The Warburg Effect

 Even in the presence of ample oxygen, neoplastic cells are
  heavily dependent upon anerobic glycolysis rather than
  mitochondria for energy production;

 Cancers have very high glucose requirements compared with
  normal tissues (taken advantage of in some imaging and drug
  targeting regimes [PET imaging]);

 Warburg effect is assumed to provide neoplastic cells a growth
  advantage in relatively hypoxic tumor environments (despite
  angiogenesis, most cancers remain relatively hypoxic);
The Warburg Effect

 The effect is mediated by the loss of functional p53:
• In normal
  cells, glucose is
  actively transported
  into cells;
• Under hypoxic
  conditions, hypoxia-
  inducible factor 1
  (HIF1) and MYC
  collaborate to
  activate hexokinase
  2 (HK2) and pyruvate
  dehydrogenase
  kinase 1
  (PDK1), resulting in
  enhanced
  conversion of
  glucose to lactic
  acid;
• HIF1 and MYC
  independently
  activate the glucose
  transporter GLUT1
  and lactate
  dehydrogenase A
Nongentoxic (Epigenetic)
Carcinogens
Nongenotoxic Carcinogens:
          Fundamental concepts.

 Nongenotoxic carcinogen = agents that induce neoplasia without
  direct DNA binding, damage or interaction of either the primary
  agent or its metabolites;

 Organ and tissue targets of nongenotoxic agents tend to be those
  where there is normally a significant background level of
  carcinogenesis in non-exposed animals (e.g. liver in mice);

 Generally speaking, prolonged exposure to high doses of
  nongenotoxic agents is necessary for neoplasia;
Nongenotoxic Carcinogens:
          Fundamental concepts.

 Nongenotoxic agents are assumed to have a dose threshold
  below which neoplasia will not occur;

 Nongenotoxic carcinogenesis is often species dependent and
  can be sex dependent.
Nongenotoxic Carcinogens:
           Key mechanisms.

 Fundamental concept: any mechanism that results in sustained
  and excessive cell proliferation is potentially associated with
  nongenotoxic carcinogenesis;
Nongenotoxic Carcinogens:
           Key mechanisms.

 Known mechanisms are:
   Cytotoxicity + regenerative hyperplasia;
   α2u-Globulin binding in male rats;
   CAR receptor mediated;
   Peroxisome proliferation;
   AhR mediated
   Hormonal (biogenic amines, steroid and peptide
    hormones, DES, phytoesrogens, tomoxifen, pheobarbital)
   Altered methylation (epigenetic change; diethanoloamine, choline
    deficiency, phenobarbital);
   Inducers of oxidative stress
    (ethanol, TCDD, lindane, dieldrin, acrylonitrile).
Nongenotoxic Carcinogens:
      Cytotoxicity + regenerative hyperplasia
      (cytolethality).

 Best known examples:
   Chlorinated hydrocarbon-induced renal tumors in rodents (e.g.
    chloroform);
   Chloroform
   Melamine-induced bladder tumors in rodents;

 Mechanisms:
   High rates of cell replication increase the risk of spontaneous
    mutations;
   Increased speed of replication reduces the odds of cell cycle arrest
    and the G1/S checkpoint;
   Increased speed of replication decreases the time available for DNA
    repair.
Nongenotoxic Carcinogens:
           α2u Globulin binding

 Best known examples:
   2,2,5-trimethylpentane in gasoline and other petroleum distillates;
   D-Limonene (fragrance);
   1,4-dichlorobenzene;

 Mode of action:
   α2u- globulin is produced in the liver by male rats at the start of
    puberty;
   Passes through the renal glomerulus and then ~ 50% of the filtered
    protein is reabsorbed by the tubular epithelium in the S2 segment of
    the renal proximal tubule  undergoes lysosomal catabolism;
Nongenotoxic Carcinogens:
           α2u Globulin binding

 Mode of action:
   Chemicals that bind to the α2u- globulin prevent its lysosomal
    destruction  lysosomal accumulation in the renal proximal tubule S2
    segment  lysosomal rupture  cell death  repair hyperplasia;
   A specialized example of the cytolethality mechanisms

 Only male rats have α2u- globulin therefore the mechanism is not
  human relevant.
Nongenotoxic Carcinogens:
           Constitutive Androgen Receptor (CAR)
           mediated

 Classical examples:
   Phenobarbital in rodent liver;

 Mode of action
   Phenobarbital is the classical CAR ligand which produces CYP2B
    induction, hepatocyte hypertrophy, hepatocyte hyperplasia and loss
    of intercellular gap junction communication;

 At least in the case of phenobarbital, the MOA does not appear
  to be relevant to humans (but this may not be the case for all CAR
  agonists??)
Nongenotoxic Carcinogens:
       Peroxisome proliferator activated receptor α
       mediated

 Classical examples:
   Chlorinated solvents (perchloroethylene, trichloroethylene)
   Some chlorinated herbicides;
   Phthalates;
   Fibrates e.g. ciprofibrate, clofibrate;
Nongenotoxic Carcinogens:
      Peroxisome proliferator activated receptor α
      mediated

 Mode of action
   Neoplasia is associated with tissues and organs with active fatty acid
    oxidation capacity (not surprising since peroxisomes are organelles
    involved with the catabolism of very long chain fatty acids, branched
    chain fatty acids, D-amino acids, polyamines, and biosynthesis of
    ether phospholipids);
   Neoplasia is associated with the rodent liver, rodent Leydig cells, and
    pancreatic acinar cells;
   Clear species differences in PPARα response:
      Mouse and rat = high responders;
      Syrian hamster = intermediate responder;
      Primates & guinea pig = low responders.
Nongenotoxic Carcinogens:
      Peroxisome proliferator activated receptor α
      mediated

 Mode of action
   PPARα acts as a nuclear transcription factor:




   PPARs heterodimerize with the retinoid X receptor (RXR) and bind to
    specific regions on the DNA of target genes. These DNA sequences are
    termed PPREs (peroxisome proliferator hormone response elements).
Nongenotoxic Carcinogens:
       Peroxisome proliferator activated receptor α
       mediated

 Mode of action
   PPARα activation results in cell proliferation and suppression of
    apoptosis: both of which are favorable to neoplasia;

 Mode of action is currently not regarded as human-relevant;
   Activation of PPARα in primates does not result in cell proliferation;
   Level of PPARαin human liver is < 10 X that of rodents;
Nongenotoxic Carcinogens: AhR agonists

 Classical examples:
   Co-planar Polyhalogenated biphenylss;
   Polyhaolgenated dibenzofurans;
   Dibenzo dioxins (TCDD);

 Mode of action;
   Appear to function predominantly as tumor promoters;
   AhR is a nuclear transcription factor;
Nongenotoxic Carcinogens: AhR agonists

 Mode of action;
   Activation of the AhR results in: CYP + NAD(P)H:quinine oxidoreductase
    +aldehyde 3 + glucuronyl transferase + glutathione transferase
    induction;
   Inhibition of apoptosis;
   Significant immunosuppression (humoral)
Nongenotoxic Carcinogens:
          Hormonal mode of action

 Classical examples:
   Rodent ovarian, cervical and uterine neoplasia due to estrogens
   Vaginal and cervical neoplasia in children of women administered
    diethylstilboestrol  DES induces aneuploidy;
   Hepatic adenoma associated with exogenous estrogen;
   Rodent ovarian neoplasia due to nitrofurantoin: NF  decreased
    estroge  loss of negative feed back in the hypothalamic –pituitary-
    ovarian axis  increased lLH  persistant ovarian stimulation by LH;
   CAR activation and thyroid neoplasia in rodents (see thyroid notes).
Nongenotoxic Carcinogens:
      Altered methylation and epigenetic change

 Classical examples:
   Agents that produce choline, methionine or folate deficient diets and
    liver neoplasia in rodents: insufficient metabolic methyl (S-adenosyl-L-
    methionine) sources for DNA methylation;


   Diethanolamine and liver neoplasia in rodents: choline depletor
Nongenotoxic Carcinogens:
      Altered methylation and epigenetic change

 Mode of action:
   Methylation of cytosine on both DNA strands results in selective gene
    silencing (i.e. epigenetic change). The degree of methylation within a
    gene is inversely proportional to the level of expression of the gene;
   Altered patterns of gene hypermethylation and hypomethylation are
    seen within a large array of neoplasia types
   ROS modify DNA methylation via disruption of the interaction between
    methyltransferases and DNA – a significant mechanism in ROS
    neoplasia may be altered DNA methylation
Nongenotoxic Carcinogens:
          Oxidative stress

 ROS =
   Superoxide anion O2-;
   Hydroperoxyl radical H2O;
   Hydrogen peroxide H2O2;
   Hydroxyl radical OH;
   Lipid peroxides e.g. malondialdeyhye;
Nongenotoxic Carcinogens:
           Oxidative stress

 Important endogenous sources of ROS:
   Mitochondrial oxidative respiration (particularly the electron transport
    chain);
   CYP reactions and CYP cycling;
   Peroxisomes;
   MØ and NØ oxidative burst (inflammation).

 Important exogenous sources of ROS:
   Redox cycling compounds;
   Metals via the Fenton reaction
   Radiation.
Nongenotoxic Carcinogens:
           Oxidative stress

 Modes of action
   DNA single and double strand breaks;
   DNA cross-linking;
   Oxidation of the C8 position of guanine  results in G  T transversion
    mutations;
   Induction of cell proliferation
Measuring Carcinogenesis
Measuring Carcinogenesis:
     Chronic toxicity studies and carcinogenesis
     studies are not necessarily the same thing!
Measuring Carcinogenesis:
            Basic, but critical, design parameters
 Number of animals, and in particular the number of surviving animals at
  the take down of the study critically affects statistical power:
                                     • 50 animals per sex, per dose at the
                                        end of the study;
                                     • Often means starting with 55 or 60
                                        animals per sex per dose at the start of
                                        the study;
                                     • At this number of animals, the
                                        detection above background of
                                        cancer incidence is about 10% i.e. the
                                        presence of rare tumor types is a very
                                        significant finding;
                                     • If the experimental n is less than
                                        this, then the study will only detect very
                                        large changes: biologically very
                                        significant
Measuring Carcinogenesis:
           Basic, but critical, design parameters

 For correct interpretation the following controls are necessary:
   At least one within experiment control group that is
     treated/managed in exactly the same manner as all the other
     groups;

   Exactly the same treatment is absolutely critical e.g. exposure
    to excessive noise is a carcinogen in rodents!;

   Historical control data on spontaneous tumor incidences;

   Vehicle and/or treatment control groups may also be needed.
Measuring Carcinogenesis:
            Maximum tolerated dose (MTD)

 Excessive premature mortality may invalidate a carcinogenesis
  study and will also greatly reduce the statistical power of the
  study;

 MTD = highest dose of a radiological or pharmacological
  treatment that will produce the desired effect without
  unacceptable toxicity;

 Generally the MTD is the highest dose in a sub-chronic study that
  produces ≤ 10% body weight loss or ≤ 10% reduction in
  growth/weight gain PLUS an absence of undue toxicity or deaths;


Measuring Carcinogenesis:
            Maximum tolerated dose (MTD)

 The purpose of administering MTD is to determine whether long-
  term exposure to a chemical might lead to unacceptable
  adverse health effects in a population, when the level of exposure
  is not sufficient to cause premature mortality due to short-term
  toxic effects;

 The maximum dose is used, rather than a lower dose, to reduce
  the number of test subjects in order to detect an effect that might
  occur only rarely (rationale being that incidence is α to dose);
Measuring Carcinogenesis:
            Statistical analysis

 Must take into account:


   Censored data = censoring occurs when the value of a
    measurement or observation is only partially known;

   Censored data in carcinogenesis studies comes from:
     Animals that die prematurely;
     Data loss;
     Data errors;
     Animals withdrawn from the study for various reasons;
Measuring Carcinogenesis:
            Statistical analysis

 Tumor incidence and multiplicity data is NON-PARAMETRIC count
  data!
   Must use Kaplan-Meier estimator for determining survival curves
    (takes into account censored data, particularly right sensored
    data);
   Must talk about MEDIANS and VARIANCES rather than means
    and standard deviations;
   Must use non-parametric regression techniques;
   Must use non-parametric methods for testing for statistical
    differences between medians.
Measuring Carcinogenesis:
             What defines a positive response?

 A positive response is defined as:
   The test article is associated with a statistically significant
     increased tumor incidence or multiplicity compared with
     acceptable within experiment negative control(s);
   The test article is associated with a statistically significant
     increased tumor incidence or multiplicity compared with
     relevant historical control data for that species and strain (and
     animal source in some cases)
      Beware: dietary differences make BIG differences in
        spontaneous tumor incidence even in the same species and
        strain e.g. type of oil used in the diet can make a very big
        difference;
      Housing conditions affect background tumor rates
Measuring Carcinogenesis:
            What defines a positive response?

 A positive response is defined as:
   The carcinogenic mode of action is relevant to humans;

   The tumor type and location is relevant to humans;

      See liver, thyroid and renal slides for a discussion of the
       relevance of rodent liver tumors to humans
      The interpretation tumors in rodent-specific sites such as the
       rodent forestomach, zymbal gland and harderian gland, in
       the absence of tumors in other locations, is always
       controversial and difficult (see mode of action framework
       below)
In case you were
wondering what the heck
Harderian glands and
zymbal glands are…..


No, you don’t have them.
THIS




NOT
THIS
Measuring Carcinogenesis:
            What defines a positive response?

 A positive response is defined as:
   The presence of an increased incidence of rare tumor types in
     human-relevant locations and with presumptive human-
     relevant modes of action IS ALWAYS OF GREAT CONCERN!
Measuring Carcinogenesis:
            Species and strain selection

 Under most circumstances, near lifetime exposure rat and mouse
  studies are required;

 Spontaneous tumor formation varies considerably between
  different strains;

 The strains with the highest background spontaneous tumor rates
  are not necessarily those with the greatest response to a chemical
  agent;
AN EXAMPLE OF A MODE OF ACTION
FRAMEWORK

Mode of Action of Rodent Forestomach
Tumours: Relevance to Humans.
Gross anatomy of murine forestomach after NMBA
(N-nitrosomethylbenzylamine) treatment.




                             Zanesi N et al. PNAS 2001;98:10250-10255



©2001 by The National Academy of Sciences
NMBA-induced histopathology of murine forestomach.




                                            Zanesi N et al. PNAS 2001;98:10250-10255



©2001 by The National Academy of Sciences
Introduction
 Forestomach tumors/pre-neoplastic lesions in rats and mice
  are a common finding in repeat-dose toxicology studies;


 Debate over the human relevance due to:
  • Dose and exposure differences between rodents and
    humans;
  • Substantial toxicokinetic differences (exposure);
  • Substantial anatomical differences;
  • Substantial physiological/metabolic differences of the
    forestomach epithelium;
  • Different mechanisms and tumor types in humans compared
    with rodents;
Dose and Exposure Problems


 Doses used in rodent oral carcinogenesis often far
  exceed normal human environmental exposure conditions
  (possible rare exception is some direct food additives);



 Doses that produce forestomach irritation in rodents really
  should be considered as exceeding the MTD – i.e. poor
  practice in rodent carcinogenesis studies and not
  according to GLP/test guidelines;
Dose and Exposure Problems


 Gavage can produce forestomach irritation and is not
  physiological:
   Large volumes;
   Damage to the mucosa;
   Esophageal reflux;
   Possibly replicates tablets (but not capsules);
Tissue specificity


 Forestomach carcinogens divisible into at least 3 categories:


   Produce forestomach tumors and tumors at other sites when
    administered by gavage;
   Produce only forestomach tumors when administered by
    gavage;
   Produce forestomach tumors and tumors when administered
    by non-oral routes;


 In terms of human relevance, forestomach + tumors at other
  sites is likely to be more important except in the case of site of
  first contact carcinogens.
Tissue concordance/anatomical issues


 Humans do not have a forestomach or a pars esophagea:


   Roughly equivalent tissue in terms of histology is the
    esophagus;
   Humans do not store food in the esophagus where as
    rodents store food in the forestomach;
   Transit time through the human stomach is lower than transit
    time through the rodent stomach (forestomach)  difference
    in tissue exposure;
   Chemicals pass quickly through the human esophagus and
    thus the exposure is very limited compared with chemical
    exposure of the rodent forestomach.
Tissue concordance/anatomical issues


 Physiological issues:


   Rodent forestomach does not have a protective mucous coating 
    increased tissue exposure to chemicals and more prone to irritant
    effects;

   pH in rodent forestomach is higher than the pH of the human
    stomach  relevant to detoxification (e.g. hexavalent chromium to
    trivalent chromium in low pH of human stomach);

   Potential metabolic differences of rodent forestomach epithelium
     conversion of 2-butoxy ethanol to 2-butoxyacetic acid in rodent
    forestomach but not in human stomach;
Tumour types and biology issues


 Rodents
   Predominant tumor types are papillomas (non-malignant)
    and squamous cell (low malignancy – regional metastasis)
    carcinomas;

   Typically located at the limiting ridge;

   Possibly have some relevance to human esophageal
    squamous cell carcinoma BUT chemical exposure of the
    human esophagus is much lower than in the rodent
    forestomach due to much lower transit time (no storage in
    esophagus);
   Not relevant to human esophageal adenocarcinoma.
Tumour Types and Biology Issues

 Humans


  All human stomach cancers are gastric
   adenocarcinomas and arise from the glandular
   epithelium;

  Rodent forestomach tumors have a different
   histiogenesis and are not relevant to the human gastric
   tumors;
Genotoxicity Issues


 Forestomach carcinogens are divisible into 2 basic groups:

   DNA reactive chemicals (classical in vivo genotoxic
    carcinogens)
      Site of first contact carcinogens (generally direct acting carcinogens and
       are usually highly reactive chemicals; typically direct acting alkylating
       agents);
      Classical pro-carcinogen DNA reactive chemicals;


   Non-DNA reactive chemicals (classical non-genotoxic
    carcinogens);
      Typically irritant chemicals or chemicals that produce local increased cell
       turnover.
Genotoxicity Issuses
 Site of first contact carcinogens:
    Generally require no metabolism to be carcinogenic;
    Generally will produce tumors at other sites if the route of
     administration is different  tumor location is the site of
     contact;
    Generally only produce forestomach tumors in
     gavage/dietary studies because of limited/no systemic
     bioavailability;
    Typically alkylating agents;
    Typically genotoxicants in vitro and in vivo;

    Forestomach tumours are potentially human relevant
     but only at the site of first contact in humans (e.g.
     dermal exposures)
Genotoxicity Issuses
 Classical pro-carcinogen DNA reactive chemicals;
    Generally pro-carcinogens;
    Often produce tumours at more than one anatomical site
     following oral dosing (at least one systemic site +
     forestomach);
    Often other routes of administration also result in tumors;
    Generally systemically bioavailable;

    Human relevance of forestomach tumors depends on:
     (a) was there evidence of gastric irritation; (b) were the
     doses excessive (> MTD); (c) were the effects only seen
     with gavage dosing/diet studies and not with drinking
     water studies?
• Observation of tumours under different circumstances lends
support to the significance of the findings for animal
carcinogenicity. Significance is generally increased by the
observation of more of the following factors:

   •Uncommon tumour types;
   •Tumours at multiple sites;
   •Tumours by more than one route of administration;
   •Tumours in multiple species, strains, or both sexes;
   •Progression of lesions from preneoplastic to benign to
   malignant;
   •Reduced latency of neoplastic lesions;
   •Metastases (malignancy, severity of histopath);
   •Unusual magnitude of tumour response;
   •Proportion of malignant tumours;
   •Dose-related increases;
   •Tumor promulgation following the cessation of exposure.
Benzo(a)pyrene (IARC 1)
Parameter
Genotoxicity in vivo that is relevant to humans                                  +
Forestomach cancers following oral dosing                                        +
Not observed in drinking water studies, only observed with gavage/diet studies   -
Only observed at doses that irritate the forestomach (> MTD)                     -
Uncommon tumour types;                                                           +
Tumours at multiple sites;                                                       +
Tumours by more than one route of administration;                                +
Tumours in multiple species, strains, or both sexes;                             +
Progression of lesions from preneoplastic to benign to malignant;                +
Reduced latency of neoplastic lesions;                                           +
Metastases (malignancy, severity of histopath);                                  +
Unusual magnitude of tumour response;                                            +
Proportion of malignant tumours;                                                 +
Dose-related increases;                                                          +
Tumour promulgation following the cessation of exposure.                         +
Ethyl Acrylate


•Oral gavage: dose related increases in the incidence of
squamous-cell papillomas and carcinomas of the
forestomach were observed in rats and mice. Exposure
caused gastric irritancy;

•Ethyl acrylate was tested by inhalation in the same
strains of mice and rats; no treatment-related neoplastic
lesions were observed;

•No treatment-related tumour was observed following
skin application of ethyl acrylate for lifespan to male
mice.
Ethyl Acrylate
Ethyl acrylate (IARC 2B)
Parameter
Genotoxicity in vivo that is relevant to humans                                  -
Forestomach cancers following oral dosing                                        +
Not observed in drinking water studies, only observed with gavage/diet studies   ?
Only observed at doses that irritate the forestomach (> MTD)                     +
Uncommon tumour types;                                                           -
Tumours at multiple sites;                                                       -
Tumours by more than one route of administration;                                -
Tumours in multiple species, strains, or both sexes;                             +
Progression of lesions from preneoplastic to benign to malignant;                +
Reduced latency of neoplastic lesions;                                           +
Metastases (malignancy, severity of histopath);                                  -
Unusual magnitude of tumour response;                                            -
Proportion of malignant tumours;                                                 -
Dose-related increases;                                                          -
Tumour promulgation following the cessation of exposure.                         +
Mercuric chloride (IARC 3)
Parameter
Genotoxicity in vivo that is relevant to humans                                          -
Forestomach cancers following oral dosing                                                +
Not observed in drinking water studies, only observed with gavage/diet                   ?
studies
Only observed at doses that irritate the forestomach (> MTD)                             +
Uncommon tumour types;                                                                   -
Tumours at multiple sites;                                                               -
Tumours by more than one route of administration;                        (thyroid follicular cell adenomas)

Tumours in multiple species, strains, or both sexes;                                     -
Progression of lesions from preneoplastic to benign to malignant;                        -
Reduced latency of neoplastic lesions;                                                   -
Metastases (malignancy, severity of histopath);                                          -
Unusual magnitude of tumour response;                                                    -
Proportion of malignant tumours;                                                         -
Dose-related increases;                                                                  -
Tumour promulgation following the cessation of exposure.                                 -
Lost in the wilderness of mirrors?1
Don’t worry, it gets easier with time and experience.
1: From TS Eliot’s Geronation;
Famously used by JJ Angleton of CIA renown to describe the art of anti-soviet
counterintelligence.

Nicnas carcinogenesis9

  • 1.
    Chemical Carcinogenesis R BCope BVSc BSc(Hon 1) PhD cGLPCP DABT ERT
  • 2.
    Carcinogenesis Definitions Classical Concepts Modern MolecularConcepts and Markers Assays and Measurement Toxicological Thresholds and Risk Assessment
  • 3.
    Learning Objectives  Understandthe key definitions pertaining to carcinogenesis;  Understand the classical concepts of chemical carcinogenesis;  Understand the MAJOR molecular themes that underpin carcinogenesis;  Understand the currently available types of carcinogenesis assays.
  • 4.
    Definitions  Tumor:  Classically the term has been applied to any space occupying lesion; particularly if the lesion is of inflammatory origin;  In modern times, tumor has become synonymous with neoplasia;  derived from the Latin word for "swelling" – tumor;  In the Commonwealth the spelling "tumor" is commonly used, whereas in the U.S. it is usually spelled "tumor”;
  • 5.
    A tumor =a space occupying lesion
  • 6.
    Definitions  Neoplasia:  Literally means “new growth”;  A neoplasm is an abnormal mass of tissue, the growth of which exceeds and is uncoordinated with that of the normal tissues and persists in the same excessive manner after cessation of the stimuli that evoked the change  The entire population of cells within a neoplasm (with rare exceptions) derive from a single transformed cell i.e. they are clonal;
  • 7.
  • 8.
    Definitions  Neoplasia:  All neoplasms have 2 major tissue components:  Clonal neoplastic cells that constitute the parenchyma of the neoplasm;  A reactive stroma made up of connective tissue, blood vessels (angiogenesis), and an inflammatory cellular infiltrate (with variable numbers of macrophages and lymphocytes)  Tumor growth and evolution is critically dependent upon its stroma! The stroma affects the neoplastic cells and the neoplastic cells affect the stroma
  • 9.
  • 10.
    Definitions  Neoplasia:  In some neoplasm types there is an abundant fibrous stroma;  The laying down of a collagenous stroma in a neoplasm is called desmoplasia;  Desmoplastic tumors containing abundant collagenous stroma are referred to as scirrhous;  Neoplasms commonly contain areas of necrosis: thought primarily to be due to the inability of blood/nutrient supply to match the growth needs of the neoplastic cells (i.e. insufficient angiogenesis);  Some neoplasms (particularly in the skin) may have zones of bacterial infection;
  • 11.
    A scirrhous hepatocellularcarcinoma displaying desmoplasia
  • 12.
    Definitions  Benign:  In general, the suffix “oma” is used to designate a benign neoplasm, particularly if the neoplasm is of messenchymal origin e.g. adenoma = a benign neoplasm of glandular origin (may or may not form glandular structures); fibroma = a benign neoplasm of fibrous tissue;  Benign tumors of epithelial origin include: papillomas, cystomas etc.;
  • 13.
    Definitions  Features ofbenign neoplasms  In general the neoplastic cells are well differentiated and resemble those of their tissue of origin i.e. they do not display anaplasia, pleomorphism or high mitotic rates;  Not locally invasive e.g. generally do not spread through basement membranes of epithelia;  Are not metastatic i.e. do not spread to distant sites;  Typically encapsulated within fibrous tissue;  Produces damage to local structures primarily by compression or distortion of the tissue;
  • 14.
    Benign Phyllodes neoplasmof breast: note how well the neoplastic cells appear to be organized, the lack of local invasiveness and the fibrous capsule (this is a fibroepithelial neoplasm; note the desmoplasia)
  • 15.
    Just in caseyou thought that benign neoplasia is not destructive and damaging!
  • 16.
    Definitions  Features ofmalignancy:  Poor differentiation = differentiation refers to the extent to which neoplastic cells resemble their corresponding normal parenchymal cells both morphologically and functionally. In general, benign neoplasms are well-differentiated where as malignant neoplasms tend to be poorly differentiated;
  • 17.
  • 18.
    Gleason Grade Iprostatic adenocarcinoma: Consists of single and separate rather uniform acini with little intervening stroma and all acini are well demarcated from the surrounding stroma.
  • 19.
    Gleason Grade Vprostatic adenocarcinoma solid tumor with little gland formation. The tumor shows poorly differentiated single cells in an infiltrative or sheet-like pattern.
  • 20.
    Definitions  Features ofmalignancy:  Anaplasia = malignant neoplasm consisting of poorly differentiated cells. Anaplasia literally means to form backwards i.e. a more primitive level of cell differentiation;  However, anaplastic cells DO NOT represent reversion of an already differentiated cell to a more primitive type. Anaplastic cells derive from the abnormal differentiation and maturation of tissue stem cells.
  • 21.
    Definitions  Features ofmalignancy:  The key features of anaplasia are:  Pleomorphism = marked variation in cell size and shape within the same neoplasm;  Hyperchromasia = nuclei contain abundant chromatin and are thus dark staining;  Abnormal nuclear morphology = large &/or increased number of nucleoli; large nuclei (nuclear to cytoplasm ratio up to 1:1);  Excessive number of mitoses (high mitotic index);  Loss of cell polarity = cell orientation is markedly disturbed; sheets or masses or cells grow in an anarchic, disorganized manner;  Multinucleate or giant cells
  • 22.
    Classical anaplasia: canyou spot all the features?
  • 23.
    Definitions  Metaplasia =the replacement of one mature differentiated cell type with another mature differentiated cell type;  Metaplasia almost always is associated with tissue damage, repair and regeneration;  Typically involves a change to a cell type that is more suited to a change in environmental conditions;  Metaplasia not directly considered carcinogenic.
  • 24.
    Definitions  Dysplasia =disordered growth;  Dysplasia is most commonly applied to disordered epithelia;  Dysplasia generally consists of an expansion of immature cells, with a corresponding decrease in the number and location of mature cell;  Dysplasia can be adaptive (e.g. tissue repair processes) or indicative of an early neoplastic process.
  • 25.
    Definitions  Dysplasia =disordered growth;  The term dysplasia is typically used when the cellular abnormality is restricted to the originating tissue, as in the case of an early, in-situ neoplasm;  Dysplasia may mean that cell maturation and differentiation are delayed;  Dysplasia does not necessarily mean neoplasia or progression to neoplasia
  • 26.
    Definitions  Dysplasia ischaracterized by four major pathological microscopic changes:  Cellular pleomorphism;  Anisocytosis (cells of unequal size);  Poikilocytosis (abnormally shaped cells);  Nuclear hyperchromatism;  Presence of mitotic figures (an unusual number of cells which are currently dividing); however mitotic figures are of normal confirmation.
  • 28.
    Definitions  Features ofmalignancy:  Loss of contact inhibition of cell growth. Contact inhibition is The cessation of cellular growth and division due to physical contact with other cells. The ability of malignant neoplastic cells to keep growing and replicating despite contact with other cells or structures is a classical feature of malignancy;  Cells that lack contact inhibition will “pile up on each other” during culture.
  • 30.
    Loss of contactinhibition
  • 31.
    Definitions  Features ofmalignancy:  Local invasiveness:  Almost all benign neoplasms develop as a cohesive expansile mass that remains localized at the site of origin. Typically benign neoplasms are encapsulated i.e. there is a clearly defined “cleavage plane”
  • 32.
    Benign dermal neoplasmwith a clean cleavage line
  • 33.
    Definitions  Features ofmalignancy:  Local invasiveness  Malignant neoplasms are invasive (i.e. spread into) of the surrounding local tissues;  Malignant neoplasms have the capacity to spread through basement membranes;  Apart from metastasis, local invasiveness is the most reliable indicator of neoplasm malignancy
  • 34.
    Skin squamous cellcarcinoma: carcinoma in situ: Note that the neoplastic cells have not migrated through the basement membrane into the dermis i.e. technically, this neoplasm is not invasive
  • 35.
    Skin squamous cellcarcinoma: local invasiveness: Note that the neoplastic cells have not migrated through the basement membrane into the dermis
  • 36.
    Definitions  Features ofmalignancy:  Metastasis  Metastasis (i.e. spread to a different anatomical site) by definition means that a neoplasm is malignant;  With few exceptions, all malignant tumors can metastasize;  In general, the more rapidly a neoplasm grows and the larger the primary neoplasm, the more likely that metastasis will occur;
  • 37.
    Definitions  Features ofmalignancy:  Metastasis  Pathways of spread include:  Direct seeding of body cavities or surfaces;  Lymphatic spread;  Hematogenous spread;  Iatrogenic spread
  • 38.
    Metastasis to lungof osteosarcoma (tumor of bone)
  • 39.
    Definitions  BY DEFINITIONCANCER = MALIGNANT NEOPLASM;  Carcinogen = A physical or chemical agent that causes or induces neoplasia;  Genotoxic carcinogen = carcinogens (or their metabolites) that directly interact with DNA resulting in mutation;  Nongenotoxic carcinogen = carcinogens that modify gene expression but to not directly damage DNA per se.
  • 40.
    Definitions  Key featuresof genotoxic carcinogens:  The carcinogen or its metabolites are mutagenic;  Can act as complete carcinogens or may act as initiators with subsequent promotion require for neoplasia;  Neoplasia is dose responsive;  The neoplastic dose response has no theoretical threshold in risk assessment terms (biologically, this is very much open to question and hotly debated)
  • 41.
    Definitions  Key featuresof non-genotoxic carcinogens:  Non-mutagenic in classical assays and no direct DNA damage;  Neoplasia is dose responsive;  Neoplastic dose response has a identifiable threshold;  Effects are reversible if exposure is stopped early enough in the process;  May function at the tumor promotion stage;  Often species, strain, tissue or sex specific.
  • 42.
    Multistage Chemical Carcinogenesis: Classical Concepts  Core concepts of this hypothesis:  Carcinogenesis proceeds in a series of definable and reproducible temporal stages;  The stages are: initiation, promotion, progression and outgrowth
  • 43.
    7,12-Dimethylbenz[a]anthracene two-hit experimentaldesign in FVB/N mice. DMBA is a classical initiator; TPA is a classical promoter. What would you predict the outcome is for each experimental group?
  • 46.
    Multistage Chemical Carcinogenesis: Classical Concepts  Core features of INITIATION:  Involves DNA modification/mutation;  All initiating agents (or their metabolites) are mutagens and are directly genotoxic;  DNA damage + one cycle of cell division is necessary to fix the mutation i.e. cell must survive the DNA damage event and be able to replicate;  One single exposure can be sufficient for initiation;  INITIATION IS IRREVERSIBLE!  INITATED CELLS APPEAR MORPHOLOGICALLY NORMAL: THE CHANGES ARE ON THE GENETIC LEVEL AT THIS STAGE!
  • 47.
    Multistage Chemical Carcinogenesis: Classical Concepts  General features of INITIATORS:  By definition, either the parent compound or its metabolite must interact with DNA and produce a definable change in DNA i.e. a DNA lesion or DNA adduct;  Most chemical initiators must be metabolized to a DNA reactive form (i.e. they are indirect initiators or pro- initiators, or pro-carcinogens). Those that do not (i.e. are direct acting) tend to be highly reactive chemicals that act at the site of first contact;  Many initiators can act as complete carcinogens if the dose is high enough and repeated exposure occurs. Often what separates an initiator from a complete carcinogen is DOSE and REPEATED EXPOSURE.
  • 48.
    Multistage Chemical Carcinogenesis: Classical Concepts  General features of INITIATORS:  Initiation is dependent upon MUTATION i.e. the agent must produce a heritable change in DNA, the cell carrying the heritable change must survive this change, the cell carrying the heritable change must avoid necrosis/apoptosis and the cell carrying the heritable change must be capable of successfully completing the cell cycle and thus “fixing” the heritable genetic change;  The heritable genetic change must not be repaired by the DNA repair mechanism  The mutation must be in a genetic location that is favors for neoplasia while still allowing cell survival and replication;  The mutation must occur in a stem cell or a cell still capable of replication rather than cell that has already entered terminal differentiation;
  • 49.
    Multistage Chemical Carcinogenesis: Classical Concepts  General features of INITIATORS:  Once initiation has occurred, there are a number of possibilities:  The initiated cell can remain in a static, non-dividing state through influences by growth control via normal surrounding cells (paracrine) or endocrine control or other extrinsic factors;  The initiated cell lineage may be eliminated because it has a reproductive &/or survival disadvantage within the normal tissue;  The initiate cell may undergo clonal expansion;
  • 50.
    Multistage Chemical Carcinogenesis: Classical Concepts  Nordling-Knudsen multiple hit theory of carcinogenesis:  Cancer is the result of accumulated mutations to a cell's DNA;  Minimum of 2 “DNA hits” are necessary for carcinogenesis;  Nordling-Knudsen hypothesis fits well with the more modern data that demonstrates that for many cancer types, carcinogenesis (the development of cancer) depended both on the activation of proto-oncogenes (genes that stimulate cell proliferation) and on the deactivation of tumor suppressor genes (genes that keep proliferation in check);  However: we now know that there are many more DNA changes that are needed for malignant neoplasia;  Indeed, the Nordling-Knudsen hypothesis is probably more relevant to classical initiation than the entire process of neoplasia;
  • 51.
    Multistage Chemical Carcinogenesis: Classical Concepts  Nordling-Knudsen multiple hit theory of carcinogenesis:  In the case of heritable cancers (e.g. retinoblastoma), a single hit may be all that is required for neoplasia (the first ”hit” being inherited);  In cancer risk assessment, there is a general assumption that all genotoxic carcinogenesis operates on the “1 hit” linear low-dose extrapolation phenomenon that has no detectable threshold. This is INCREDIBLY CONSERVATIVE;  Conservatism may be justified in order to protect vulnerable sub-populations e.g. people who are heterozygous for tumor suppressor genes (e.g. heterozygous for mutated p53; mutated TSG’s tend to be inherited in a recessive manner)
  • 53.
    1x10-6 Acceptable Dose= Slope Factor DRisk=DDose x SlopeFactor
  • 54.
    Multistage Chemical Carcinogenesis: Classical Concepts  Nordling-Knudsen multiple hit theory of carcinogenesis:  The counter case against the extreme conservatism of the “1 hit” carcinogenesis hypothesis in risk assessment usually follows the following series of hypotheses:  Promotion and progression of an initiated cell appear to be relatively rare biological events;  Promotion is a necessary step for neoplasia;  Promotion is reversible;  A substantial number of gene changes are required for neoplasia, not just changes to protooncogenes and tumor suppressor genes;
  • 55.
    Multistage Chemical Carcinogenesis: Classical Concepts  Nordling-Knudsen multiple hit theory of carcinogenesis:  The biological course of neoplasia can be substantially modified by environmental (i.e. non-genetic) factors;  There are multiple mechanisms for either repair or removal of initiated cells;  There are mechanisms for the safe biotransformation of many chemical carcinogens;  Some physical (and chemical??) agents appear to demonstrate hormesis in their dose response curves (the classical example being radon daughters)  All of the above suggest that even in the case of genotoxic carcinogenesis, there may be a threshold (however for practical experimental reason, this is very, very difficult to detect!).
  • 57.
    Can you thinkof some of the implications of the above? • To detect rare cancer types you need very large numbers of animals; • At 50 animals per sex per dose, you have a power to detect cancers incidence of 10%; • To examine low dose effects, you need very large numbers of animals; • Conversely, to have adequate ability to detect carcinogenesis we use high to very high doses, which in turn, forces us to extrapolate beyond actual experimental measurements.
  • 58.
    Multistage Chemical Carcinogenesis: Classical Concepts  Attempts at resolving the shape of the low dose cancer dose response curve – the MEGA studies:  2 “MEGA” mouse studies;  1 “MEGA” trout study;  The results: for the same chemical agent and depending on the organ and neoplasia type, supralinear, linear and sublinear dose response curves occur;  The results: depending on the organ and neoplasia type, supralinear, linear and sublinear dose response curves occur in the same animal at the same time!
  • 60.
    Multistage Chemical Carcinogenesis: Classical Concepts  These results have substantial implications for chemical carcinogenesis risk assessment:  In some cases, linear low-dose extrapolation MAY NOT BE AS CONSERVATIVE AS ORIGINALLY THOUGHT!  LINEAR LOW-DOSE EXTRAPOLATION MAY SIGNIFICANTLY OVER OR UNDER-ESTIMATE THE RISK OF CHEMICAL CARCINOGENESIS AND IN ALMOST ALL CASES, WE HAVE NO WAY OF KNOWING IF THERE ARE OVER OR UNDER EXSTIMATES OF RISK;  THE APPLICATION OF 10-6 ACCEPTABLE RISK TO CANCER + USE OF THE UPPER CONFIDENCE INTERVAL AS THE POINT OF DEPARTURE PROVIDES SOME REASSURANCE!
  • 61.
    Multistage Chemical Carcinogenesis: Classical Concepts  Core features of PROMOTION:  No direct DNA modification and no direct mutation occurs i.e. it is a nongenotoxic process;  Multiple cell divisions leading to clonal expansion of an individual initiated cell are required;  Promotion is associated with increased cell proliferation and/or decreased cell death (i.e. suppression of apoptosis);
  • 62.
    Multistage Chemical Carcinogenesis: Classical Concepts  Core features of PROMOTION:  Multiple exposures to the promoting agent(s) are required;  Generally prolonged exposure to the promoting agent(s) is required;  Promotion dose response displays a threshold;  Promotion is REVERSIBLE;
  • 63.
    Multistage Chemical Carcinogenesis: Classical Concepts  Core features of PROMOTION:  Many (most?) chemical promoters are tissue irritants, but not all chemical tissue irritants are promoters!  Many (most?) promoters stimulate cell proliferation (can be multiple different mechanisms ranging from simple damage/repair responses to receptor-mediated endocrine/paracrine effects;  INITIATION MUST PRECEED PROMOTION! PROMOTION BY ITSELF (IN THE ABSENCE OF INITATION OR PRIOR TO INITIATION) IS NOT SUFFICIENT FOR CARCINOGENESIS!  The outcome of promotion is a pre-neoplastic lesion.
  • 64.
    Multistage Chemical Carcinogenesis: Classical Concepts  Features of promotion and chemical promoters:  Chemical tumor promoters are not mutagenic i.e. they do not produce direct DNA lesions or DNA adducts;  Chemical tumor promoters act via mechanisms that either modify gene expression and/or stimulate sustained cell proliferation;  EFFECTS OF PROMOTERS ON CELL PROLIFERATION ARE TIME LIMITED I.E. REPEATED AND (OFTEN) PROLONGED EXPOSURE TO THE PROMOTING AGENT IS REQUIRED FOR CARCINOGENESIS;
  • 65.
    Multistage Chemical Carcinogenesis: Classical Concepts  Features of promotion and chemical promoters:  IF PROMOTION IS STOPPED, CLONAL EXPANSION STOPS AND THE EXPANDED CELL POPULATION IS ELIMINATED VIA APOPTOSIS I.E. PROMOTION IS REVERSIBLE;  PROMOTION IS A THRESHOLD EFFECT I.E. DOSE RESPONSE THRESHOLDS CAN BE DETECTED! This is because there are doses below which cell proliferation is not stimulated.
  • 66.
    Multistage Chemical Carcinogenesis: Classical Concepts  Features of promotion and chemical promoters:  Tumor promoters can be endogenous or exogenous;  Many chemical tumor promoters have an equivalent endogenous ligand;  Many chemical/endogenous tumor promoters are organ, tissue or cell type-specific e.g. phenobarbital is a tumor promoter in rodent liver, but not in the skin;  Many non-genotoxic carcinogens appear to act as tumor promoters or at the tumor promotion stage of carcinogenesis.
  • 67.
    Multistage Chemical Carcinogenesis: Classical Concepts  Key features of progression:  Characterized by increasing genetic instability characterized by continued mutation, and chromosomal disarrangement;  No further exogenous or endogenous stimulus is required for continued expansion of transformed cells i.e. the cells have become imortalized, self-sufficient and resistant to signals that are inhibitory for growth.  However, the neoplastic cell population can still be influence by tissue/endogenous/exogenous stimuli;
  • 68.
    Multistage Chemical Carcinogenesis: Classical Concepts  Key features of progression:  Immunoescape is important: avoidance of destruction by the innate and adaptive immune system;  The neoplastic cell population is morphologically identifiable: “carcinoma in situ”;  A key feature of progression is that neoplasms become progressively more anaplastic, progressively more anaplastic and their cell population becomes progressively more heterogenous;
  • 69.
    Multistage Chemical Carcinogenesis: Classical Concepts  Key features of progression:  Progression is associated with the accumulation of multiple mutations that accumulate independently in different cells.  The independent accumulation of new mutations in different cells results in the formation of sub-clones of cells;  Even though almost all neoplasms are monoclonal in origin, by the time that they are clinically detectable, their constituent cells are extremely heterogenous;
  • 70.
    Multistage Chemical Carcinogenesis: Classical Concepts  Key features of progression:  ONCE PROGRESSION HAS STARTED IT IS IRREVERSIBLE;  CHEMICALS THAT ARE PROGRESSOR AGENTS TEND TO BE GENOTOXIC AND ARE TYPICALLY CLASTENOGENIC;
  • 71.
    Multistage Chemical Carcinogenesis: Classical Concepts  Key features of outgrowth:  Invasion: the ability of neoplastic cells to migrate through basement membranes or other tissue barriers  Angiogenesis: in order to expand beyond a diameter of 1 – 2 mm, the neoplastic cell population must obtain a blood supply by the stimulating new blood vessels (neovascularization);  Immunoescape remains important;  Formation of a favorable extracellular matrix or favorable modification of the extracellular matrix;  Metastasis.
  • 72.
    Molecular Basis ofCarcinogesis: Fundamental Principles  Non-lethal genetic damage (mutation) is the foundation of carcinogenesis;  Source of mutation can be environmental (chemical, physical or infectious [viruses]);  Source of the mutation can be inherited;  Can be due to chance (spontaneous and stochastic);  A neoplasm is formed by the clonal expansion of a single precursor cell that has incurred genetic damage (i.e. neoplasms are monoclonal);
  • 73.
    Molecular Basis ofCarcinogesis: Fundamental Principles  5 basic classes of normal cell regulatory genes are the principal targets for procarcinogenic genetic damage:  Growth-promoting proto-oncogenes;  Growth-inhibiting tumor suppressor genes;  Genes that regulate apoptosis/programmed cell death;  Genes that regulate terminal differentiation;  Genes involved in DNA repair
  • 74.
    Molecular Basis ofCarcinogesis: Fundamental Principles  Proto-oncogenes and oncogenes:  A mutant allele of a proto-oncogene is called an oncogene;  Oncogenes tend to inherited in a dominant pattern i.e. cells which are heterozygous display the dominant oncogene phenotype;
  • 75.
    Molecular Basis ofCarcinogesis: Fundamental Principles  Proto-oncogenes and oncogenes:  Since oncogenes are dominant, it follows that only a single mutation is required to convert a proto-oncogene phenotype to an oncogene phenotype;  Loss of gene function due to a single mutated allele is called haploinsufficiency;
  • 76.
    Molecular Basis ofCarcinogesis: Fundamental Principles  Tumor suppressor genes:  Typically, both alleles of a tumor suppressor gene must be mutated before a loss of function (i.e. a pro-neoplasia phenotype) occurs;  If follows that (a) mutated tumor suppressor alleles are mostly inherited in a recessive manner; and (b) a minimum of two mutagentic events (i.e. mutation of both tumor suppressor gene alleles) is required before a pro-neoplasia phenotype occurs;1 1: Not entirely true in all cases as genetic variable penetrance is also present in some cases i.e. the heterozygous phenotype is intermediate between that of the 2 homozygous phenotypes; or the loss of 1 functional allele may be sufficient to produce a pro-neoplastic phenotype.
  • 77.
    Molecular Basis ofCarcinogesis: Fundamental Principles  Genes regulating apoptosis/programmed cell death may behave like proto-oncogenes or tumor suppressor genes in terms of their genetic:phenotype relationships;
  • 78.
    Molecular Basis ofCarcinogesis: Fundamental Principles  Mutations in DNA repair genes affect cell proliferation indirectly by modifying the ability of the cell to repair dangerous mutations in proto-oncogenes, tumor suppressor genes and the genes that regulate apoptosis;  Cells with defective DNA repair function have a “mutator phenotype”;
  • 79.
    Molecular Basis ofCarcinogesis: Fundamental Principles  Carcinogeneis is a multistep process both at the phenotypic and genetic levels;  Carcinogenesis requires accumulation of multiple mutations in specific locations;  A single mutation is rarely (never?) sufficient for carcinogenesis;  Pro-carcinogenic mutations are not random throughout the genome: the mutations must be in the right places in the right genes;
  • 80.
    Essential Genetic/Phenotypic Alterations forMalignancy  The following are the fundamental requirements for neoplasia and malignancy (progression and outgrowth):  Self-sufficiency in growth signals i.e. no exogenous signals or stimuli are required for continued cell division;  Insensitivity to growth-inhibitory signals e.g. not responsive to TGFβ or inhibitors of cyclin-dependent kinases;  Evasion of apoptosis: e.g. by the inactivation of p53 or activation of anti-apoptosis genes;
  • 81.
    Essential Genetic/Phenotypic Alterations forMalignancy  The following are the fundamental requirements for neoplasia and malignancy (progression and outgrowth):  Attained limitless replicative potential (i.e. become imortalized) i.e. avoid senescence, terminal differentiation and mitotic catastrophe;  Immunoescape: avoidance of the host innate and adaptive immune systems;  Induction of sustained angiogenesis;
  • 82.
    Essential Genetic/Phenotypic Alterations forMalignancy  The following are the fundamental requirements for neoplasia and malignancy (progression and outgrowth):  Gained favorable interaction with the extracellular matrix;  Gained the ability to invade and metastasize;  Gained defects in DNA repair
  • 85.
    Self-Sufficiency in GrowthSignals: Proto-Oncogenes, Oncogenes, Oncoproteins  Fundamental concept: the mutation of a proto-oncogene to an oncogene and the production of the altered oncoprotein promotes cell growth and replication in the absence of growth factors and/or other external stimuli i.e. cell growth becomes autonomous and oncogenes allow cells to be self-sufficient in terms of growth signals;  Proto-oncogene proteins can function as:  Growth factors;  Growth factor receptors;  Signal transducers;  Transcription factors;  Cell cycle components.
  • 86.
    Generalized normal stepsin signaling of cell growth and replication (using a simplified RAS schematic as an example): • Binding of a growth factor to its cell membrane receptor; • Transient and limited activation of the relevant growth receptor and signal transduction on the inner leaflet of the plasma membrane; • Transmission of the transduced signal across the cytoplasm; • Induction and activation of nuclear regulatory factors that initiate DNA transcriptoion; • Entry, progression and completion of the cell cycle  cell division Oncogenes can act at any of these levels
  • 87.
    Types of Oncogenes Growth factor genes;  Growth factor receptors;  Genes for proteins involved in signal transduction;  Genes for nuclear regulatory proteins;  Genes for cell cycle regulators.
  • 88.
    Types of Oncogenes:Growth factor genes  The most common modes of action of growth factor oncogenes is overexpression or amplification;  Most growth factors normally act in a paracrine manner (i.e. produced by one cell type, and act locally on a neighboring cell);  Many transformed cells acquire the ability to synthesize growth factors to which they then respond
  • 89.
    Types of Oncogenes:Growth factor genes  In most instances, the growth factor genes are not altered;  The most common mode of action is that the signal transduction pathway that activates synthesis of the growth factor is corrupted (i.e. permanently switched on) i.e. the gene is over expressed;  Permanent growth factor production creates a pro- malignant phenotype because increasing the number of cell divisions increases the risk of further stochastic (i.e. chance) mutations
  • 90.
    Types of Oncogenes:Growth factor genes  Important examples:  TGFα; (TGF = tissue growth factor)  PDGF-βchain; (PDGF = platelet derived growth factor)  Fibroblast-derived growth factors (HST1, FGF3);  HGF; (hepatocyte growth factor)
  • 91.
    Types of Oncogenes:Growth factor receptors Many of the critical GFR exist in the non-activated state as monomers, with the inactive tyrosine kinase enzyme being bound to the inner leaflet of the cell membrane
  • 92.
    Types of Oncogenes:Growth factor receptors Activation occurs by 2 signal molecules binding to two nearby Tyrosine- Kinase Receptors, causing them to aggregate, forming a TRANSIENT dimer. This activates the tyrosine kinase, which in turn, uses ATP to phosphorylate (i.e. activate) a second messenger protein, which in turn, triggers the downstream signal transduction/messaging cascade.
  • 93.
    Types of Oncogenes:Growth factor receptors  Oncogenic forms of the GFR are associated with constitutive, PERMANENT, dimerization in the absence of the receptor ligand i.e. the receptor is permanently switched on irrespective of whether or not the normal growth factor is present;  The permanently activated tyrosine kinase is the target of the anticancer drug, imatinib mesylate;  Permanent switching on of growth factor receptors can occur by simple point mutations, translocations or over- expression mechanisms.
  • 94.
    Types of Oncogenes:Growth factor receptors  Important example: the RET proto-oncogene  Encodes a receptor tyrosine kinase for members of the glial cell line-derived neurotrophic factor family of extracellular signalling molecules;  Gain of function by mutation results in thyroid and other endocrine carcinomas;  2 important point mutations: MEN-2A and MEN-2B
  • 95.
    Types of Oncogenes:Growth factor receptors  Important example: the RET proto-oncogene  The MEN-2A point mutation cause constitutive dimerization of the receptor (i.e. the receptor is permanently and erroneously switched on)  switching on of the TGF- βpathway;  The MEN-2B point mutation alters the substrate specificity of the tyrosine kinase which results in exaggerated TGF- βsignalling;  Both the MEN-2A and 2B oncogenes are inherited as autosomal dominants i.e. only one allele needs to be altered for the proneoplastic phenotype.
  • 96.
    Types of Oncogenes:Signal transduction proteins  THE classical example is the RAS proto-oncogene family (HRAS, KRAS, NRAS) !;  Point mutations in members of the RAS family are the most common mutations in human cancers: about 15- 20% of all human cancers carry them;  As a general rule:  Cancers of the bladder have HRAS mutations;  Carcinomas have KRAS mutations;  Hemopoeitic neoplasias have NRAS mutations.
  • 97.
  • 98.
    RAS "molecular switch":GTP-bound form is active while the GDP-bound form is inactive. In its active form, RAS interacts with its effectors. This cycling is regulated by GTPase-activating proteins (GAPs) and nucleotide exchange factors (GEFs).
  • 99.
    One of themost studied RAS-controlled pathways is the RAS/MAPK pathway. This is one of the most conserved pathways throughout evolution, and controls biological processes such as proliferation, differentiation, apoptosis, and migration. The directionality of signaling from extracellular signals to effector proteins is regulated by the on/off switch states of RAS proteins. Any mutation of RAS affects the on/off balance and RAS mutations at codon 12, 13 and 61 lead to constitutive active RAS protein and the subsequent hyper- activation of the MAPK pathway.
  • 100.
    Types of Oncogenes:Signal transduction proteins  Mutations that result in permanent switching on of RAS involve:  Changes in the GTP-binding pocket or the enzymatic region responsible for GTP hydrolysis  net result is to decrease the GTPase activity of RAS  keeps RAS in the GTP-RAS activated form;  Mutation of the GAP proteints  fail to activate the RAS- GTPase activity  keeps RAS in the GTP-RAS activated form;  Mutation and permanent activation of down stream signal components in the RAS/RAF/MAP kinase pathway (important in melanoma);
  • 101.
    Types of Oncogenes:Signal transduction proteins  Oncogene-induced senescence:  in wild-type cells, activated RAS triggers an initial wave of proliferation, followed by an irreversible growth arrest known as cellular senescence and a concomitant accumulation of p53 and p16 proteins  apoptosis;  In melanoma, the presence of BRAF oncogenes in the absence of dysregulation of p53/p16 results in benign melanocytic nevi rather than melanoma;  Demonstrates that the presence of an oncogene by itself is not sufficient for neoplasia. Other gene mutations (notably in the tumor suppressor genes p53 and/or p16) are required for carcinogenesis;
  • 102.
    Types of Oncogenes: Non-receptor tyrosine kinases  NRTKs normally function in the signal transduction pathways that regulate cell growth;  ABL kinases  c-ABL is associated with leukemias;
  • 103.
    Growth factors (GF)induce SFK activation in caveolae, allowing phosphorylation of c-Abl to increase its catalytic activity. c-Abl then activates Rac/JNK and Rac/NADPH oxidase (Nox) pathways to induce c- myc expression, a transcription factor required for induction of DNA synthesis.. This set of events promotes G1-phase progression of the cell cycle, leading to S-phase entry and DNA synthesis..
  • 104.
    Types of Oncogenes: Non-receptor tyrosine kinases  ABL chromosomal translocation results in movement of the ABL gene from chromosome 9 to chromosome 22 forming a ABL-BCR hybrid gene;  The ABL-BCR hybrid oncogene produces a ABL-BCR hybrid fusion protein that has increased kinase activity  chronic myelogenous leukemias;  Formation of similar tyrosine kinase fusion proteins and hybrid tyrosine kinase oncogenes are a common pattern in a number of forms of neoplasia
  • 105.
    Types of Oncogenes: Non-receptor tyrosine kinases  Imatinib mesylate  Anti-cancer drug used to treat CML;  Specifically targets BCR-ABL kinase activity  Works on the basis that in many forms of CML, continuous signaling down the BCR-ABL kinase pathway is necessary for persistence of the transformed cells and the neoplasia. Disrupting this signaling results in death of the neoplastic cells;  Actions of this drug demonstrate that the BCR-ABL kinase oncogene is a lynch-pin mechanism in CML and possibly other types of leukemias.
  • 106.
    Types of Oncogenes:Transcription factors.  A large number of oncogenes fall into this category (MYC, JUN, FOS, MYB, REL);  The MYC oncogene is the one most commonly involved in human neoplasias;  MYC is present in virtually every eukaryotic cell type;  MYC regulates a huge number of genes and cell functions;  Belongs to the “early response genes” that are induced when resting cells receive a signal to divide;
  • 107.
  • 108.
    Types of Oncogenes:Transcription factors.  MYC is normally transiently switched on via a variety of cell signals (predominantly those which trigger cell division);  Mechanisms of MYC overexpression:  Coupled with a more active promoter by chromosome translocation (Burkitt’s lymphoma)  Removal of the 3’ UTR destabilizing sequences, resulting in an elevation of MYC mRNA;  Insertion of retroviruses adjacent to the MYC locus activates its expression via retroviral regulatory sequences  Oncogenic RAS appears to stabilize the MYC
  • 109.
    Types of Oncogenes: Cyclins and cyclin-dependent kinases.  The normal and orderly progression of cells through the cell cycle (i.e. replication) is orchestrated by cyclin- dependet kinases (CDKs);  CDKs are activated by binding to cyclin proteins  Cyclins are “cyclic” in the sense of their production and degradation;
  • 111.
    Types of Oncogenes: Cyclins and cyclin-dependent kinases.  Bottom lines:  Mutations that dysregulate the activity of cyclings and CDKs favors cell proliferation;  Common targets in neoplasia are cyclin D and CDK4 (i.e. targeting the G1 phase of the cell cycle);  Cyclin D is overexpressed in many neoplasias;  CDK inhibitor (e.g. p16, p21, p27, p57) expression is commonly reduced or absent  favorable for cell proliferation e.g. germline mutations of p16 are present in a human sub-population that is prone to melanoma;
  • 112.
    Cell Cycle Checkpoints Defects in the cell cycle checkpoint system are a major cause of genomic instability in neoplastic cells!  G1/S transition check point  Checks for DNA damage;  If DNA damage is present, the DNA repair mechanisms are switched on;  Provides time for DNA repair to occur;  Allows entry into apoptosis if the cellular damage is too extensive.
  • 113.
    Cell Cycle Checkpoints G2/M checkpoint  Monitors the completion of DNA replication  Checks whether or not the cell can safely initiate mitosis and separation of sister chromatids  Particularly important in ionizing radiation damaged cells and if chromosomal damage is present.
  • 115.
    Cell Cycle Checkpoints There are a series of cellular sensors and transducers for the cell cycle checkpoints;  G1/S checkpoint is mostly mediated by p53 which acts via the cell cycle inhibitor p21;  G2/M checkpoint is mediate by p53 dependent and p53 independent mechanisms.
  • 117.
    Escape From GrowthInhibition and Senescence: Tumor suppressor genes  Fundamental concept: oncogenes drive the proliferation of cells where as tumor suppressors apply the brakes to proliferation OR their activation triggers post-mitotic cell differentiation (i.e. entry into the differentiated cell pool without replicative potential);  Many TSGs are part of a network of sensors that detect cellular genotoxic stress from just about any source;  Function is to shut down cell proliferation;  Remember the ocogene senesce paradigm:
  • 118.
    Oncogene-Induced Senescence  Oncogene-inducedsenescence:  in wild-type cells, activated RAS triggers an initial wave of proliferation, followed by an irreversible growth arrest known as cellular senescence and a concomitant accumulation of p53 and p16 proteins  apoptosis;  In melanoma, the presence of BRAF oncogenes in the absence of dysregulation of p53/p16 results in benign melanocytic nevi rather than melanoma;  Demonstrates that the presence of an oncogene by itself is not sufficient for neoplasia. Other gene mutations (notably in the tumor suppressor genes p53 and/or p16) are required for carcinogenesis;
  • 119.
    Escape From GrowthInhibition and Senescence: Tumor suppressor genes  TSGs are generally autosomal recessive i.e. for the defective phenotype to occur, the cell must carry both mutated alleles;  In general, 2 mutation events are required for the most defective phenotype to occur;  At least one, or both, of the mutant alleles can be inherited  If the cell is already heterozygous, only 1 additional mutation is required;  Limited penetrance may operate in many cases i.e. the hetrozygos cell or individual may have a phenotype that lies between the two homozygous phenotypes.
  • 120.
    Tumor Suppressor Genes: Retinoblastoma protein  RB regulates the G1/S checkpoint of the cell cycle  RB is one of the classical tumor suppressor genes;  Inherited as an autosomal recessive allele with a mutation at locs 13q14;  The dominant normal RB allele has full penetrance i.e. heterozygous cells are otherwise completely normal;
  • 121.
    Tumor Suppressor Genes: Retinoblastoma protein  Familial Retinoblastoma:  Once defective allele is typically inherited;  The second defective allele is typically acquired by mutation;  Random retinoblastoma:  2 mutations are required because 2 normal RB alleles are present (one from each parent);
  • 122.
    Normal functioning ofthe retinoblastoma protein (RB)
  • 124.
    1. In theG0 phase, S-phase- Normal RB Protein Function: specific genes are not transcribed because of the inhibitory effect of the RBR protein on the E2F/DP heterodimeric complex. 2. When cells are committed to divide, D-type cyclins (CYCD) will be transcribed in G1 and will start to form active complexes with G1– S-specific CDK proteins (CDKA). The active CDK– cyclin complex phosphorylates the RBR protein, releasing the E2F/DP complex. 3. Subsequently, the active E2F/DP complex will activate transcription of genes necessary for DNA replication.
  • 125.
    Tumor Suppressor Genes: Retinoblastoma protein  If the RB protein is lost or is defective:  The G1/S checkpoint no longer functions;  There are no longer adequate checks for DNA damage;  The DNA repair mechanisms are either not switched on or are faulty;  There is insufficient time for DNA repair;  The overall net result is increased genetic instability and loss of the ability of the cell to detect and repair subsequent mutations or to eliminate transformed cells via apoptosis.
  • 126.
    Tumor Suppressor Genes: Retinoblastoma protein  Critical sites for RB protein mutation:  Mutations are localized to an area of the protein called the RB pocket;  The RB pocket is involved in the binding of RB to E2F;
  • 127.
    Tumor Suppressor Genes: Retinoblastoma protein  RB protein/gene may be normal but loss of RB function can still occur:  Mutations in the proteins that phosphorylate RB will mimic RB loss e.g. mutational activation of CYCA and CYCD results in permanent RB phosphorylation  transcription is permanently switched on  Many cancers that do not have RB gene abnormalities will have a functional loss of RB inhibition excessive phosphorylation of RB due to CDK mutations.
  • 128.
    Tumor Suppressor Genes: Current critical paradigm:  At least one of the 4 major regulators of the cell cycle (p16/INK4a, RB, Cyclin D, CYKA) are dysregulated in some form in almost all human cancers,
  • 129.
    Tumor Suppressor Genes:p53  p53 is the guardian of the genome;  P53 acts at the G1/S checkpoint of the cell cycle;  Inactive or dysregulated p53 is amongst the most common deficits in human cancer;  50% of human cancers contain p53 mutations;
  • 131.
    Tumor Suppressor Genes:p53  Homozygous loss of p53 function occurs in almost all human cancers;  In most cases, loss of p53 function is AQUIRED;  Rarely, one defective p53 allele may be inherited (Li- Fraumeni Syndrome);
  • 132.
    Tumor Suppressor Genes:p53  Normal p53 regulation:  In non-stressed cells, p53 has a short half-life (~ 20 minutes);  The short half-life is due to the association of p53 with MDM2;  MDM2 inhibits p53 activity because it blocks its transcriptional activity, favors its nuclear export and stimulates its degradation
  • 134.
    Tumor Suppressor Genes:p53  Normal p53 regulation:  miRNAs (mir34a-mir34c)  miRNAs bind to mRNA preventing its translation i.e. block protein synthesis  mir34 thus mimic many of the functions of p53
  • 136.
    Tumor Suppressor Genes:p53  p53 acts to prevent neoplasia by 3 critical mechanisms:  Activation of temporary cell cycle arrest (quiescence; allows for repair);  Induction of permanent cell cycle arrest (senescence);  Triggering of apoptosis;  p53 activation is the primordial mechanism for initiating DNA repair;
  • 138.
    Tumor Suppressor Genes:p53  How does p53 sense cellular stress and DNA damage?  At least 2 proteins appear to act as biosensors for DNA damage: ataxia-telangiecasia mutated protein kinase (ATM) & ataxia-telangiecasia and RAD3 related protein kinase (ATK);  Once damage is sensed, ATR and ATK phosphorylate p53, which activates it.  Raises the specter that functional p53 loss could occur if ATM and ATK are rendered dysfunctional by mutation;
  • 139.
    Tumor Suppressor Genes: the APC/β-catenin pathway  APC is a class of tumor supresssor genes which down- regulate growth promoting signals;  APC is a typical TSG i.e. 2 mutant alleles are required for the pro-neoplastic phenotype;  Germ-line mutations in APC are associated with familial adenomatous polyposis (pre-disposes to colon cancer);
  • 140.
    Tumor Suppressor Genes: the APC/β-catenin pathway  70-80% of human colorectal cancers display the homozygous loss of APC function;  Forms part of the WNT signaling system;
  • 142.
    When the WNTreceptor is not occupied, Axin, GSK and APC form a "destruction complex," and β-Cat is destroyed.
  • 143.
    • When theWNT receptor is occupied, Axin is removed from the "destruction complex." β-Cat moves into the nucleus, binds to a transcription factor on DNA, and activates transcription of a protein. "P" represents phosphate; • With the pro-neoplastic loss of APC function, APC can no longer mediate the cytoplasmic destruction ofβ-catenin  the WNT pathway is permanently switched on; • The alternative mechanism which also results in permanent activation of the WNT pathway are mutations in β-catenin which render it resistant to destruction by APC.
  • 144.
    Tumor Suppressor Genes: the APC/β-catenin pathway  An additionally critical effect of the cellular accumulation of β-catenin is that this protein is also necessary for normal cell to cell adhesion;  β-catenin is also normally bound to the cytoplasmic tail of E-cadherin which is responsible for intercellular adhesiveness;
  • 146.
    Tumor Suppressor Genes: the APC/β-catenin pathway  When cells are torn apart (injury), β-catenin is released from the membrane bound E-cadherin into the cytoplasm  nucleus  transcription;  When cell to cell contact is re-established , β-catenin is again sequestered by binding to cell membrane E- cadherin and nuclear transcription ceases. This is the fundamental mechanism of contact inhibition of normal cells;
  • 147.
    Tumor Suppressor Genes: the APC/β-catenin pathway  Disruption of the E-cadherin-β-catenin pathway is a critical event in neoplasia and leads to the classical loss of contact inhibition seen in the malignant phenotype;  Disruption of the E-cadherin-β-catenin pathway is a critical event that allows for migration, invasiveness and metastasis of malignant neoplastic cells.
  • 148.
    Tumor Suppressor Genes: the TGFβ pathway.  In epithelial and hematopoeitic cells, TGFβis a potent inhibitor of cell proliferation;  TGFβsignaling is also an important pathway for the induction of apoptosis;  There are 2 known mechanisms: the SMAD pathway & the DAXX pathway;  In many forms of cancer, the growth-inhibiting effects of the TGFβ pathway are lost by mutations in the signaling pathway (100% of pancreatic cancers, 83% of colon cancers).
  • 149.
  • 150.
    Evasion of Apoptosis. Activation occurs by 2 different pathways:  Extrinsic pathways acting via death receptors. These receptors activate Death Caspases within seconds of ligand binding, causing an apoptotic demise of the cell within hours.  Via CD95/Fas signaling;  Via CD120/tumor necrosis factor receptor 1 signaling;  Apo 2 and Apo 3
  • 151.
    Evasion of Apoptosis. Activation occurs by 2 different pathways:  Intrinsic pathway following DNA and/or mitochondrial damage;  The core event is alteration of mitochondrial permeability and loss of mitochondrial transmembrane potential (which results in loss of funciton of the electron transport chain and loss of ATP production);  Altererd mitochondrial permeability results in CytoC release and formation of the Apoptosome, a catalytic multiprotein platform that activates Caspase9. Activated Caspase9 then cleaves Caspase3 resulting in downstream events involved in cell death;  Release of CytoC is regulated by Bcl2 family proteins which reside in the outer mitochondrial membrane and prevent CytoC release.
  • 154.
    Evasion of Apoptosis. The ability to evade apoptosis following mutation is a key event in carcinogenesis;  Known mechanisms of evasion include:  Loss or downregulation of FAS/CD95;  Induction of a protein called FLIP which prevents the activation of caspase 8;  Over-expression of BCL-2;
  • 156.
    Evasion of Apoptosis. Over-expression of Bcl-2:  Best described mechanism;  Bcl-2 derives its name from B-cell lymphoma 2;  Mechanism of over expression involves translocation of the Bcl- 2 gene on chromosome 18 to the immunoglobulin promoter region of chromosome 14;  Net result is that a normally tightly regulated gene is moved to a area of chromosome 14 that is more actively transcribed, with the result that Bcl-2 is over-produced;
  • 157.
    Evasion of Apoptosis. Over-expression of Bcl-2:  Present in ~85% of B-cell lymphomas;  Bcl-2-induced lymphomas largely result from a failure of apoptosis rather than an explosive proliferation. This explains their behavior – these cancers tend to be slow growing compared with other types of lymphomas.
  • 158.
    Evasion of theImmune Response.  A large array of strategies are used:  Tumor cells are often not antigenic i.e. not recognized by the immune system. This is driven by active immunoselection in most cases;  In some cases, the carcinogenic process is immunosuppressive or induces immune-tolerance to the transformed cells (e.g. UV radiation-induced non-melanoma skin cancer);  Loss of MHC molecules and other antigen presenting molecules from the cell surface  cells cannot be detected by cytotoxic T-cells;
  • 159.
    Evasion of theImmune Response.  A large array of strategies are used:  Tumors often secrete proteins that inhibit effector T cell responses and promote the production of regulatory T cells that suppress immune responses;  Certain melanomas can reorganize their stromal microenvironment (the supportive connective tissue) into structures similar to lymphoid tissue of the immune system. This ingenious reconstruction recruits and maintains immune regulatory cells that promote tolerance and tumor progression;  Tumor cells can produce receptor types (e.g. Toll receptors) that facilitate immune evasion.
  • 160.
    Evasion of theImmune Response.  A large array of strategies are used:  Neoplastic cell TGFβsecretion inhibits NK cell function;  Neoplastic cells can become resistant to immune-mediated induction of apoptosis;  Many tumors, particularly when the breach the body surface, contain areas of active infection;  This is a very active area of study: there are many other proposed mechanisms
  • 161.
    Limitless Replicative Potential:Telomeres and escape from mitotic catastrophe  Normal human cells have the capacity for 60 to 70 replications (the Hayflick limit) after which, they loose their ability to divide  senescence;  The loss of the ability to replicate is because of progressive shortening of the telomeres present at the ends of chromosomes;  Short telomeres  behave like DNA double strand breaks  triggers p53 and RB-mediated cell cycle arrest at the G1/S checkpoint;
  • 164.
    Limitless Replicative Potential:Telomeres and escape from mitotic catastrophe  When the G1/S checkpoint is disabled (i.e. p53 and RB are dysfunctional):  When the cell replication is still possible via chromosomal non- homologous end joining;  Non-homologous end joining results in dicentric chromosomes;  When dicentric chromosomes are pulled apart during the anaphase of mitosis, new double stranded DNA breaks are created  the net result is substantial genomic instability  multiple bridge-fusion cycles results in a mitotic catastrophe  cell death
  • 165.
    Limitless Replicative Potential:Telomeres and escape from mitotic catastrophe  For a neoplastic cell to survive and thrive it must:  Evade the shortening of telomeres AND  Avoid the mitotic catastrophe;  Successful neoplastic cells accomplish this by reactivating telomerases (normally only active in embryonic stem cells).  There are other alternative mechanisms for lengthening telomeres which are calledalternative lengthening of telomeres (ALT);  The induction of telomerases in neoplastic cells gives them endless replicative potential i.e. they become immortal.
  • 166.
    Getting adequate bloodsupply: Angiogenesis  Neoplasias cannot grow beyond a diameter of ~1-2 mm without inducing a new blood supply;  Neoplastic cells stimulate the creation of new blood vessel branches from previously existing blood vessels. This involves recruitment of normal endothelial cells from the bone marrow;  The vasculature in neoplasias is abnormal: leaky, inefficient, haphazard branching;
  • 167.
    Getting adequate bloodsupply: Angiogenesis  Neovascularization has 3 major effects:  Provides nutrients required for continued growth;  Newly formed endothelial cells secrete growth factors (notably insulin-like growth factor, platelet-derived growth factor, GM- CSF) which favor neoplastic cell growth;  Provides access to the vascular system which is necessary for metastasis;  Neovascularization is a necessary biological correlate for malignancy.
  • 168.
    Growth factors involvedin cancer angiogenesis/neovascularization
  • 169.
    Spreading The Love:Invasion and Metastasis  Neoplastic cells by their very nature often have poor cell to cell adhesion  millions of neoplastic cells are regularly released into the circulation during carcinogenesis, however metastases are frequently relatively uncommon;  The metastatic cascade consists of 2 basic phases:  Invasion of the extracellular matrix;  Vascular dissemination, homing and colonization.
  • 170.
    Spreading The Love:Invasion and Metastasis  Invasion of the ECM consists of 4 major steps:  Reduction or loss of cell to cell adhesion;  Degradation of the ECM;  Attachment to novel ECM components;  Migration of neoplastic cells
  • 171.
    Spreading The Love:Invasion and Metastasis  Cell to cell dissociation:  Disruption of the catenin-E-cadherin system (discussed previously);
  • 172.
    Spreading The Love:Invasion and Metastasis  Degradation of the basement membrane and interstitial connective tissue:  Neoplastic cells secrete proteolytic enzymes (many different classes including matrix metalloproteases, cathepsin D, urokinase plasminogen activator);  Neoplastic cells induce connective tissue damage by stimulating normal stromal cells (fibroblasts, myofibroblasts);
  • 173.
    Spreading The Love:Invasion and Metastasis  Degradation of the basement membrane and interstitial connective tissue:  MMP activity also releases growth factors which stimulate neoplastic cell growth;  Loss of polarity and contact inhibition in neoplastic cells means that they are no longer dependent on attachment to the ECM for survival and growth.
  • 174.
    Spreading The Love:Invasion and Metastasis  Locomotion and migration:  Invasion involves the movement of neoplastic cells through damaged basement membranes or through zones of disrupted ECM  Locomotion of cells is an extremely complex process involving many different types of receptor and cellular systems;  Locomotion/migration in neoplastic cells is potentiated and driven by autocrine production of motility factors plus damage to the ECM (e.g. cleavage of collagen and laminin).
  • 175.
    Spreading The Love:Invasion and Metastasis  Vascular dissemination and homing  Single cells in the circulation are prone to damage by mechanical and fluid-dynamic mechanisms i.e. the circulation is an environment that is not favorable to the survival of single neoplastic cells;  Single cells in the circulation are prone to destruction by the immune system;  Within the circulation neoplastic cells tend to form cell aggregates, cell-platelet or activate the clotting cascade to form true emboli, all of which provide protection;
  • 176.
    Spreading The Love:Invasion and Metastasis  Vascular dissemination:  The sites that neoplastic cell aggregates/emboli eventually lodge is often dependent on the site of the primary tumor i.e. metastases commonly form in the first capillary bed that the tumor cells encounter after entry into the circulation (lung, liver, brain etc);  Natural vascular drainage patterns do not explain all the types of metastatic distribution encountered – specific homing to particular tissues appears to operate in some cases;
  • 177.
    Spreading The Love:Invasion and Metastasis  Homing  Selective tissue homing can be explained in some cases by the presence of particular cell surface adhesion molecules and target ligands in the vascular beds of the target tissue;  Chemokines an chemoattractants play a critical role in other cases.
  • 178.
    Spreading The Love:Invasion and Metastasis  Paget’s “fertile soil” or “seed and soil” hypothesis:  Proposed in 1889;  The hypothesis is considered a milestone in cancer biology and pathology;  Core concepts:  The sites of secondary growths are not a matter of pure chance;  The sites of secondary growths are not just a matter of the degree of vascularization and perfusion e.g. skeletal muscle is vey vascular and well-perfused, yet metastasis in skeletal muscle is very rare;  Many neoplastic cells that lodge in distant tissues either die (apoptosis) or they remain dormant and do not develop;  Some organs provide a more fertile environment than others for the growth of certain metastases.
  • 179.
    Spreading The Love:Invasion and Metastasis  Paget’s “fertile soil” or “seed and soil” hypothesis:  A constant pattern is that the neoplastic cells themselves modify the resident stromal cells of the receiving tissue to create a more habitable site for metastasis.
  • 180.
    Genomic Instability: theenabler of malignancy  Humans literally swim in a myriad of agents that are mutagenic, however cancers are relatively rare outcomes;  The reason for this is the ability to repair DNA or kill off cells with un- repairable DNA damage combined with the ability of the innate (and sometimes the adaptive) immune system to selectively target and destroy transformed cells;
  • 181.
    Genomic Instability: theenabler of malignancy  Individuals born with deficits in DNA repair are extremely prone to neoplasia:  In a sense, most DNA repair genes operate like TSG – i.e. both alleles need to be inactivated before there is an increase in neoplasia (although limited penetrance and intermediate phenotypes are important in some cases);
  • 182.
    Genomic Instability: theenabler of malignancy  Hereditary Nonpolyposis Colon Cancer Syndrome  Due to a inherited loss of DNA mismatch repair;  Hallmark is microsatellite instability  Microsatellites are also known as Simple Sequence Repeats (SSRs) or short tandem repeats (STRs), are repeating sequences of 2-6 base pairs of DNA;  In normal individuals, their location and base pair composition is usually very stable;  Individuals with this genotype have very high rates of colon cancer.
  • 183.
    Genomic Instability: theenabler of malignancy  Xeroderma pigmentosum  Autosomal recessive genetic disorder of DNA repair in which the ability to repair damage caused by ultraviolet (UV) light is deficient;  Primary defect is in DNA excision repair;  Cannot repair T-T dimers and 6-4 photoproducts in skin;  Extremely prone to non-melanoma skin cancer
  • 184.
    Genomic Instability: theenabler of malignancy  Defects in DNA repair due to chromosome homologous recombination:  Blood syndrome, ataxia-telangiecasia, Fanconi anemia
  • 185.
    The Warburg Effect Even in the presence of ample oxygen, neoplastic cells are heavily dependent upon anerobic glycolysis rather than mitochondria for energy production;  Cancers have very high glucose requirements compared with normal tissues (taken advantage of in some imaging and drug targeting regimes [PET imaging]);  Warburg effect is assumed to provide neoplastic cells a growth advantage in relatively hypoxic tumor environments (despite angiogenesis, most cancers remain relatively hypoxic);
  • 186.
    The Warburg Effect The effect is mediated by the loss of functional p53:
  • 187.
    • In normal cells, glucose is actively transported into cells; • Under hypoxic conditions, hypoxia- inducible factor 1 (HIF1) and MYC collaborate to activate hexokinase 2 (HK2) and pyruvate dehydrogenase kinase 1 (PDK1), resulting in enhanced conversion of glucose to lactic acid; • HIF1 and MYC independently activate the glucose transporter GLUT1 and lactate dehydrogenase A
  • 188.
  • 189.
    Nongenotoxic Carcinogens: Fundamental concepts.  Nongenotoxic carcinogen = agents that induce neoplasia without direct DNA binding, damage or interaction of either the primary agent or its metabolites;  Organ and tissue targets of nongenotoxic agents tend to be those where there is normally a significant background level of carcinogenesis in non-exposed animals (e.g. liver in mice);  Generally speaking, prolonged exposure to high doses of nongenotoxic agents is necessary for neoplasia;
  • 190.
    Nongenotoxic Carcinogens: Fundamental concepts.  Nongenotoxic agents are assumed to have a dose threshold below which neoplasia will not occur;  Nongenotoxic carcinogenesis is often species dependent and can be sex dependent.
  • 191.
    Nongenotoxic Carcinogens: Key mechanisms.  Fundamental concept: any mechanism that results in sustained and excessive cell proliferation is potentially associated with nongenotoxic carcinogenesis;
  • 192.
    Nongenotoxic Carcinogens: Key mechanisms.  Known mechanisms are:  Cytotoxicity + regenerative hyperplasia;  α2u-Globulin binding in male rats;  CAR receptor mediated;  Peroxisome proliferation;  AhR mediated  Hormonal (biogenic amines, steroid and peptide hormones, DES, phytoesrogens, tomoxifen, pheobarbital)  Altered methylation (epigenetic change; diethanoloamine, choline deficiency, phenobarbital);  Inducers of oxidative stress (ethanol, TCDD, lindane, dieldrin, acrylonitrile).
  • 193.
    Nongenotoxic Carcinogens: Cytotoxicity + regenerative hyperplasia (cytolethality).  Best known examples:  Chlorinated hydrocarbon-induced renal tumors in rodents (e.g. chloroform);  Chloroform  Melamine-induced bladder tumors in rodents;  Mechanisms:  High rates of cell replication increase the risk of spontaneous mutations;  Increased speed of replication reduces the odds of cell cycle arrest and the G1/S checkpoint;  Increased speed of replication decreases the time available for DNA repair.
  • 194.
    Nongenotoxic Carcinogens: α2u Globulin binding  Best known examples:  2,2,5-trimethylpentane in gasoline and other petroleum distillates;  D-Limonene (fragrance);  1,4-dichlorobenzene;  Mode of action:  α2u- globulin is produced in the liver by male rats at the start of puberty;  Passes through the renal glomerulus and then ~ 50% of the filtered protein is reabsorbed by the tubular epithelium in the S2 segment of the renal proximal tubule  undergoes lysosomal catabolism;
  • 195.
    Nongenotoxic Carcinogens: α2u Globulin binding  Mode of action:  Chemicals that bind to the α2u- globulin prevent its lysosomal destruction  lysosomal accumulation in the renal proximal tubule S2 segment  lysosomal rupture  cell death  repair hyperplasia;  A specialized example of the cytolethality mechanisms  Only male rats have α2u- globulin therefore the mechanism is not human relevant.
  • 196.
    Nongenotoxic Carcinogens: Constitutive Androgen Receptor (CAR) mediated  Classical examples:  Phenobarbital in rodent liver;  Mode of action  Phenobarbital is the classical CAR ligand which produces CYP2B induction, hepatocyte hypertrophy, hepatocyte hyperplasia and loss of intercellular gap junction communication;  At least in the case of phenobarbital, the MOA does not appear to be relevant to humans (but this may not be the case for all CAR agonists??)
  • 197.
    Nongenotoxic Carcinogens: Peroxisome proliferator activated receptor α mediated  Classical examples:  Chlorinated solvents (perchloroethylene, trichloroethylene)  Some chlorinated herbicides;  Phthalates;  Fibrates e.g. ciprofibrate, clofibrate;
  • 198.
    Nongenotoxic Carcinogens: Peroxisome proliferator activated receptor α mediated  Mode of action  Neoplasia is associated with tissues and organs with active fatty acid oxidation capacity (not surprising since peroxisomes are organelles involved with the catabolism of very long chain fatty acids, branched chain fatty acids, D-amino acids, polyamines, and biosynthesis of ether phospholipids);  Neoplasia is associated with the rodent liver, rodent Leydig cells, and pancreatic acinar cells;  Clear species differences in PPARα response:  Mouse and rat = high responders;  Syrian hamster = intermediate responder;  Primates & guinea pig = low responders.
  • 200.
    Nongenotoxic Carcinogens: Peroxisome proliferator activated receptor α mediated  Mode of action  PPARα acts as a nuclear transcription factor:  PPARs heterodimerize with the retinoid X receptor (RXR) and bind to specific regions on the DNA of target genes. These DNA sequences are termed PPREs (peroxisome proliferator hormone response elements).
  • 201.
    Nongenotoxic Carcinogens: Peroxisome proliferator activated receptor α mediated  Mode of action  PPARα activation results in cell proliferation and suppression of apoptosis: both of which are favorable to neoplasia;  Mode of action is currently not regarded as human-relevant;  Activation of PPARα in primates does not result in cell proliferation;  Level of PPARαin human liver is < 10 X that of rodents;
  • 202.
    Nongenotoxic Carcinogens: AhRagonists  Classical examples:  Co-planar Polyhalogenated biphenylss;  Polyhaolgenated dibenzofurans;  Dibenzo dioxins (TCDD);  Mode of action;  Appear to function predominantly as tumor promoters;  AhR is a nuclear transcription factor;
  • 204.
    Nongenotoxic Carcinogens: AhRagonists  Mode of action;  Activation of the AhR results in: CYP + NAD(P)H:quinine oxidoreductase +aldehyde 3 + glucuronyl transferase + glutathione transferase induction;  Inhibition of apoptosis;  Significant immunosuppression (humoral)
  • 205.
    Nongenotoxic Carcinogens: Hormonal mode of action  Classical examples:  Rodent ovarian, cervical and uterine neoplasia due to estrogens  Vaginal and cervical neoplasia in children of women administered diethylstilboestrol  DES induces aneuploidy;  Hepatic adenoma associated with exogenous estrogen;  Rodent ovarian neoplasia due to nitrofurantoin: NF  decreased estroge  loss of negative feed back in the hypothalamic –pituitary- ovarian axis  increased lLH  persistant ovarian stimulation by LH;  CAR activation and thyroid neoplasia in rodents (see thyroid notes).
  • 206.
    Nongenotoxic Carcinogens: Altered methylation and epigenetic change  Classical examples:  Agents that produce choline, methionine or folate deficient diets and liver neoplasia in rodents: insufficient metabolic methyl (S-adenosyl-L- methionine) sources for DNA methylation;  Diethanolamine and liver neoplasia in rodents: choline depletor
  • 207.
    Nongenotoxic Carcinogens: Altered methylation and epigenetic change  Mode of action:  Methylation of cytosine on both DNA strands results in selective gene silencing (i.e. epigenetic change). The degree of methylation within a gene is inversely proportional to the level of expression of the gene;  Altered patterns of gene hypermethylation and hypomethylation are seen within a large array of neoplasia types  ROS modify DNA methylation via disruption of the interaction between methyltransferases and DNA – a significant mechanism in ROS neoplasia may be altered DNA methylation
  • 209.
    Nongenotoxic Carcinogens: Oxidative stress  ROS =  Superoxide anion O2-;  Hydroperoxyl radical H2O;  Hydrogen peroxide H2O2;  Hydroxyl radical OH;  Lipid peroxides e.g. malondialdeyhye;
  • 210.
    Nongenotoxic Carcinogens: Oxidative stress  Important endogenous sources of ROS:  Mitochondrial oxidative respiration (particularly the electron transport chain);  CYP reactions and CYP cycling;  Peroxisomes;  MØ and NØ oxidative burst (inflammation).  Important exogenous sources of ROS:  Redox cycling compounds;  Metals via the Fenton reaction  Radiation.
  • 211.
    Nongenotoxic Carcinogens: Oxidative stress  Modes of action  DNA single and double strand breaks;  DNA cross-linking;  Oxidation of the C8 position of guanine  results in G  T transversion mutations;  Induction of cell proliferation
  • 212.
  • 213.
    Measuring Carcinogenesis: Chronic toxicity studies and carcinogenesis studies are not necessarily the same thing!
  • 214.
    Measuring Carcinogenesis: Basic, but critical, design parameters  Number of animals, and in particular the number of surviving animals at the take down of the study critically affects statistical power: • 50 animals per sex, per dose at the end of the study; • Often means starting with 55 or 60 animals per sex per dose at the start of the study; • At this number of animals, the detection above background of cancer incidence is about 10% i.e. the presence of rare tumor types is a very significant finding; • If the experimental n is less than this, then the study will only detect very large changes: biologically very significant
  • 215.
    Measuring Carcinogenesis: Basic, but critical, design parameters  For correct interpretation the following controls are necessary:  At least one within experiment control group that is treated/managed in exactly the same manner as all the other groups;  Exactly the same treatment is absolutely critical e.g. exposure to excessive noise is a carcinogen in rodents!;  Historical control data on spontaneous tumor incidences;  Vehicle and/or treatment control groups may also be needed.
  • 216.
    Measuring Carcinogenesis: Maximum tolerated dose (MTD)  Excessive premature mortality may invalidate a carcinogenesis study and will also greatly reduce the statistical power of the study;  MTD = highest dose of a radiological or pharmacological treatment that will produce the desired effect without unacceptable toxicity;  Generally the MTD is the highest dose in a sub-chronic study that produces ≤ 10% body weight loss or ≤ 10% reduction in growth/weight gain PLUS an absence of undue toxicity or deaths; 
  • 217.
    Measuring Carcinogenesis: Maximum tolerated dose (MTD)  The purpose of administering MTD is to determine whether long- term exposure to a chemical might lead to unacceptable adverse health effects in a population, when the level of exposure is not sufficient to cause premature mortality due to short-term toxic effects;  The maximum dose is used, rather than a lower dose, to reduce the number of test subjects in order to detect an effect that might occur only rarely (rationale being that incidence is α to dose);
  • 218.
    Measuring Carcinogenesis: Statistical analysis  Must take into account:  Censored data = censoring occurs when the value of a measurement or observation is only partially known;  Censored data in carcinogenesis studies comes from:  Animals that die prematurely;  Data loss;  Data errors;  Animals withdrawn from the study for various reasons;
  • 219.
    Measuring Carcinogenesis: Statistical analysis  Tumor incidence and multiplicity data is NON-PARAMETRIC count data!  Must use Kaplan-Meier estimator for determining survival curves (takes into account censored data, particularly right sensored data);  Must talk about MEDIANS and VARIANCES rather than means and standard deviations;  Must use non-parametric regression techniques;  Must use non-parametric methods for testing for statistical differences between medians.
  • 220.
    Measuring Carcinogenesis: What defines a positive response?  A positive response is defined as:  The test article is associated with a statistically significant increased tumor incidence or multiplicity compared with acceptable within experiment negative control(s);  The test article is associated with a statistically significant increased tumor incidence or multiplicity compared with relevant historical control data for that species and strain (and animal source in some cases)  Beware: dietary differences make BIG differences in spontaneous tumor incidence even in the same species and strain e.g. type of oil used in the diet can make a very big difference;  Housing conditions affect background tumor rates
  • 221.
    Measuring Carcinogenesis: What defines a positive response?  A positive response is defined as:  The carcinogenic mode of action is relevant to humans;  The tumor type and location is relevant to humans;  See liver, thyroid and renal slides for a discussion of the relevance of rodent liver tumors to humans  The interpretation tumors in rodent-specific sites such as the rodent forestomach, zymbal gland and harderian gland, in the absence of tumors in other locations, is always controversial and difficult (see mode of action framework below)
  • 222.
    In case youwere wondering what the heck Harderian glands and zymbal glands are….. No, you don’t have them.
  • 223.
  • 224.
    Measuring Carcinogenesis: What defines a positive response?  A positive response is defined as:  The presence of an increased incidence of rare tumor types in human-relevant locations and with presumptive human- relevant modes of action IS ALWAYS OF GREAT CONCERN!
  • 225.
    Measuring Carcinogenesis: Species and strain selection  Under most circumstances, near lifetime exposure rat and mouse studies are required;  Spontaneous tumor formation varies considerably between different strains;  The strains with the highest background spontaneous tumor rates are not necessarily those with the greatest response to a chemical agent;
  • 234.
    AN EXAMPLE OFA MODE OF ACTION FRAMEWORK Mode of Action of Rodent Forestomach Tumours: Relevance to Humans.
  • 235.
    Gross anatomy ofmurine forestomach after NMBA (N-nitrosomethylbenzylamine) treatment. Zanesi N et al. PNAS 2001;98:10250-10255 ©2001 by The National Academy of Sciences
  • 236.
    NMBA-induced histopathology ofmurine forestomach. Zanesi N et al. PNAS 2001;98:10250-10255 ©2001 by The National Academy of Sciences
  • 237.
    Introduction  Forestomach tumors/pre-neoplasticlesions in rats and mice are a common finding in repeat-dose toxicology studies;  Debate over the human relevance due to: • Dose and exposure differences between rodents and humans; • Substantial toxicokinetic differences (exposure); • Substantial anatomical differences; • Substantial physiological/metabolic differences of the forestomach epithelium; • Different mechanisms and tumor types in humans compared with rodents;
  • 238.
    Dose and ExposureProblems  Doses used in rodent oral carcinogenesis often far exceed normal human environmental exposure conditions (possible rare exception is some direct food additives);  Doses that produce forestomach irritation in rodents really should be considered as exceeding the MTD – i.e. poor practice in rodent carcinogenesis studies and not according to GLP/test guidelines;
  • 239.
    Dose and ExposureProblems  Gavage can produce forestomach irritation and is not physiological:  Large volumes;  Damage to the mucosa;  Esophageal reflux;  Possibly replicates tablets (but not capsules);
  • 240.
    Tissue specificity  Forestomachcarcinogens divisible into at least 3 categories:  Produce forestomach tumors and tumors at other sites when administered by gavage;  Produce only forestomach tumors when administered by gavage;  Produce forestomach tumors and tumors when administered by non-oral routes;  In terms of human relevance, forestomach + tumors at other sites is likely to be more important except in the case of site of first contact carcinogens.
  • 241.
    Tissue concordance/anatomical issues Humans do not have a forestomach or a pars esophagea:  Roughly equivalent tissue in terms of histology is the esophagus;  Humans do not store food in the esophagus where as rodents store food in the forestomach;  Transit time through the human stomach is lower than transit time through the rodent stomach (forestomach)  difference in tissue exposure;  Chemicals pass quickly through the human esophagus and thus the exposure is very limited compared with chemical exposure of the rodent forestomach.
  • 244.
    Tissue concordance/anatomical issues Physiological issues:  Rodent forestomach does not have a protective mucous coating  increased tissue exposure to chemicals and more prone to irritant effects;  pH in rodent forestomach is higher than the pH of the human stomach  relevant to detoxification (e.g. hexavalent chromium to trivalent chromium in low pH of human stomach);  Potential metabolic differences of rodent forestomach epithelium  conversion of 2-butoxy ethanol to 2-butoxyacetic acid in rodent forestomach but not in human stomach;
  • 245.
    Tumour types andbiology issues  Rodents  Predominant tumor types are papillomas (non-malignant) and squamous cell (low malignancy – regional metastasis) carcinomas;  Typically located at the limiting ridge;  Possibly have some relevance to human esophageal squamous cell carcinoma BUT chemical exposure of the human esophagus is much lower than in the rodent forestomach due to much lower transit time (no storage in esophagus);  Not relevant to human esophageal adenocarcinoma.
  • 246.
    Tumour Types andBiology Issues  Humans  All human stomach cancers are gastric adenocarcinomas and arise from the glandular epithelium;  Rodent forestomach tumors have a different histiogenesis and are not relevant to the human gastric tumors;
  • 247.
    Genotoxicity Issues  Forestomachcarcinogens are divisible into 2 basic groups:  DNA reactive chemicals (classical in vivo genotoxic carcinogens)  Site of first contact carcinogens (generally direct acting carcinogens and are usually highly reactive chemicals; typically direct acting alkylating agents);  Classical pro-carcinogen DNA reactive chemicals;  Non-DNA reactive chemicals (classical non-genotoxic carcinogens);  Typically irritant chemicals or chemicals that produce local increased cell turnover.
  • 248.
    Genotoxicity Issuses  Siteof first contact carcinogens:  Generally require no metabolism to be carcinogenic;  Generally will produce tumors at other sites if the route of administration is different  tumor location is the site of contact;  Generally only produce forestomach tumors in gavage/dietary studies because of limited/no systemic bioavailability;  Typically alkylating agents;  Typically genotoxicants in vitro and in vivo;  Forestomach tumours are potentially human relevant but only at the site of first contact in humans (e.g. dermal exposures)
  • 249.
    Genotoxicity Issuses  Classicalpro-carcinogen DNA reactive chemicals;  Generally pro-carcinogens;  Often produce tumours at more than one anatomical site following oral dosing (at least one systemic site + forestomach);  Often other routes of administration also result in tumors;  Generally systemically bioavailable;  Human relevance of forestomach tumors depends on: (a) was there evidence of gastric irritation; (b) were the doses excessive (> MTD); (c) were the effects only seen with gavage dosing/diet studies and not with drinking water studies?
  • 251.
    • Observation oftumours under different circumstances lends support to the significance of the findings for animal carcinogenicity. Significance is generally increased by the observation of more of the following factors: •Uncommon tumour types; •Tumours at multiple sites; •Tumours by more than one route of administration; •Tumours in multiple species, strains, or both sexes; •Progression of lesions from preneoplastic to benign to malignant; •Reduced latency of neoplastic lesions; •Metastases (malignancy, severity of histopath); •Unusual magnitude of tumour response; •Proportion of malignant tumours; •Dose-related increases; •Tumor promulgation following the cessation of exposure.
  • 253.
    Benzo(a)pyrene (IARC 1) Parameter Genotoxicityin vivo that is relevant to humans + Forestomach cancers following oral dosing + Not observed in drinking water studies, only observed with gavage/diet studies - Only observed at doses that irritate the forestomach (> MTD) - Uncommon tumour types; + Tumours at multiple sites; + Tumours by more than one route of administration; + Tumours in multiple species, strains, or both sexes; + Progression of lesions from preneoplastic to benign to malignant; + Reduced latency of neoplastic lesions; + Metastases (malignancy, severity of histopath); + Unusual magnitude of tumour response; + Proportion of malignant tumours; + Dose-related increases; + Tumour promulgation following the cessation of exposure. +
  • 254.
    Ethyl Acrylate •Oral gavage:dose related increases in the incidence of squamous-cell papillomas and carcinomas of the forestomach were observed in rats and mice. Exposure caused gastric irritancy; •Ethyl acrylate was tested by inhalation in the same strains of mice and rats; no treatment-related neoplastic lesions were observed; •No treatment-related tumour was observed following skin application of ethyl acrylate for lifespan to male mice.
  • 255.
  • 256.
    Ethyl acrylate (IARC2B) Parameter Genotoxicity in vivo that is relevant to humans - Forestomach cancers following oral dosing + Not observed in drinking water studies, only observed with gavage/diet studies ? Only observed at doses that irritate the forestomach (> MTD) + Uncommon tumour types; - Tumours at multiple sites; - Tumours by more than one route of administration; - Tumours in multiple species, strains, or both sexes; + Progression of lesions from preneoplastic to benign to malignant; + Reduced latency of neoplastic lesions; + Metastases (malignancy, severity of histopath); - Unusual magnitude of tumour response; - Proportion of malignant tumours; - Dose-related increases; - Tumour promulgation following the cessation of exposure. +
  • 257.
    Mercuric chloride (IARC3) Parameter Genotoxicity in vivo that is relevant to humans - Forestomach cancers following oral dosing + Not observed in drinking water studies, only observed with gavage/diet ? studies Only observed at doses that irritate the forestomach (> MTD) + Uncommon tumour types; - Tumours at multiple sites; - Tumours by more than one route of administration; (thyroid follicular cell adenomas) Tumours in multiple species, strains, or both sexes; - Progression of lesions from preneoplastic to benign to malignant; - Reduced latency of neoplastic lesions; - Metastases (malignancy, severity of histopath); - Unusual magnitude of tumour response; - Proportion of malignant tumours; - Dose-related increases; - Tumour promulgation following the cessation of exposure. -
  • 259.
    Lost in thewilderness of mirrors?1 Don’t worry, it gets easier with time and experience. 1: From TS Eliot’s Geronation; Famously used by JJ Angleton of CIA renown to describe the art of anti-soviet counterintelligence.