UNIVERSITY AUTONOMUS OF CIUDAD JUAREZ
             Institute of Biomedical Sciences

                       School of Dentistry

                         “Dental Materials”
FIG.1




             117702 Briseyda Ayala
            DR. Alfredo Névarez Rascón




                                              DATE: 10-
                                              FEBRUARY-12
It is the process used to treat
  teeth for aesthetic purposes,
eliminating the effect of staining
  or discoloration of extrinsic or
            intrinsic origin.




      PIC.2 Before-After
"Reddish are their eyes more than wine and the whiteness of your
                                    teeth more than milk"

               The canons of beauty. 
               2000 BC Egyptians possessed cosmetic "teeth healthy and
              white symbolized signs of health, cleanliness and strength."
               Cavemen wanted to have large canine strength and health.
               Ancient imperial China, widows dyed their teeth black as a sign
              of surrender to the beauty.
PIC.3 Mayas

               
                                  Maya, were made inlaid teeth and smooth
                                  his edges like a good social standing
• Over 92% of adults agree that an attractive smile is an
  important social asset
• 88% always remember someone with an especially
  attractive smile
• 85% agree that an unattractive smile is not attractive to
  the opposite sex.
• 74% agree that an unattractive smile can lessen the
  chances of professional success
• Only 50% are satisfied with your smile
Teeth can have an infinite variety of color range because of different
reasons, mainly the color is genetically (skin color).

The color is given by the set of structures that form the teeth as are the
thickness and quality enamel, dentin color and quantity.




INTRINSIC                                                   • EXTRINSIC
• ARE: stains within the tooth.- Occur from the inside out, in the period in
       which the tooth is completing his training (ripening) or by some
       internal event such as bleeding pulp and produces a color change

     • Tetracycline stains - stains teeth, a period which results in the
       formation of tooth structure during the first 3 years of life.




PIC.5 Colouring by tetracyclines during the
                                               PIC.6
period of tooth formation
PIC. 7 Stains by fluoroscopy                   PIC.8

             Spots by excessive fluoride intake of fluoride, there are three types
             of fluorosis

        Mild dental fluorosis: There are streaks or lines across the tooth surface

        Moderate dental fluorosis: the teeth are highly resistant to decay but
          have opaque white spots

        Severe dental fluorosis: enamel is brittle and has brown spots


        • Posteruptivas those that appear after the eruption of teeth by:

               • Shock or chipped teeth
               • Aging of the tooth
               • From the age of 50 teeth become more yellow or opaque,
                 have a darker gray
• ARE: Stains come out of the tooth- ingestion of food, beverages, or
  contact with other pigmenting agents.

its initial fixation is performed through hydrogen bonds to proteins of dental
    plaque deposited and fixed to the tooth by calcium bridges




   PIC. 9 Tea      PIC. 10 Coffee   PIC. 11 Wine     PIC. 12 Snuff-Nicotine
• Internal bleaching: (in non-vital teeth only) and in the case of a tooth
  endodontic (root canal treatments with sodium perborate) and may be
  supplemented by external whitening techniques.


• External bleaching (vital teeth), involves the application of substances on
  the outside of the tooth.

        • Carbamide peroxide-In general outpatient

        • Hydrogen peroxide: Basically for Clinical treatments


             STEPS
             Cleaning, protection of the gum, gel application in
             ferrule and placement as this, application of special
             light, removal of the gel.
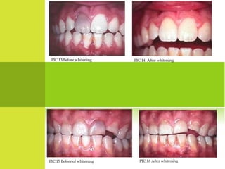
PIC.13 Before whitening     PIC.14 After whitening




PIC.15 Before of whitening     PIC.16 After whitening
Clinic
        • Hydrogen peroxide 35%
        • carbamide peroxide 35%

    Outpatient:
         Carbamide peroxide 10-30%



Descomposes into:
•3% hydrogen peroxide (active element)
•7% urea (raises the pH of the solution)
Whitening Clinic
    Whitening Outpatient
    Whitening Mixed
 
In home:
•Molds take the patient's mouth and is made in a ferrule (flexible plastic
structure) which conform to the shape of the teeth. One for the upper teeth and
one for the lower teeth.
•They are transparent, do not bother
•It gives the patient the two braces and whitening kit containing syringes with
the bleaching product.
•Every night for 20-30 days, after brushing a small amount is deposited in the
splint, at the height of each teeth whitening, and put in mouth for 3 hours.
•After braces are removed from the mouth and cleaned with cold water to
remove residual product and inactive.




   PIC. 17 whitening Gel[peroxide                   PIC.18 splint
   hydrogen or carbamide]
•1 hour. (with full arch lamps that activate the product in all teeth whitening
at the same time) with three or four short breaks to renew the bleaching
product we put on the teeth.
•There are products that are activated by a halogen plasma arc
simultaneously activating all the teeth to be treated.
•OOther products are activated by mixing the "base" and "catalyst". In these
cases not necessary to input light of any type.
•If for activation of the bleaching gel using conventional methods using
hand lamps that illuminate tooth to tooth 5 minutes per tooth.
•The procedure is time consuming
Been much more stable over time and presents the
advantage of being successive annual reminders (after
whitening booster).

Chemical activation technique or photoactivated
technique, either with hydrogen peroxide or carbamide
high concentration.

After the patient already has braces and whitening gel
needs only to provide (individualized thermoplastic trays)
and whitening agent: hydrogen peroxide and / or
carbamide.

Three to four weeks or 3 to 7 days
About 15 tone, scale is easily
defined according to the
quality that
distinguish between families
of color (which is the same as
the wavelength of the                            PIC. 19 arranged according to hue and chroma
Light reflected from the
teeth).                                                Chromatic color is pigmented
4 tones:                                               4 levels of chroma for each hue (1, 2, 3.4)
A (brown – reddish),                                   A1, A2, A3, A4, where A1 is less saturated than
B (orange – yellowish),                                A4.
C (gray – greenish), y
D (gray –rose)




PIC. 20 Vita sorted by value [LIGHT-DARK AND CLEAR]
ADVANTAGES                     DISAVANTAGES
Comfort and personal           Not recommended for
satisfaction                   children
Reduces plaque                 Peroxides allergy
dentobacterial
Reducing the yellow color of   Sensitive teeth, decayed
the teeth between 5 and 14     areas
shades
The clinical whitening lasts   dental trauma
only 1 hour


procedure is not painful or    Duration time
invasive
Colgate Platnum® Carbamide peroxide 10%. manufacturer

Contrast PM® Carbamide peroxide 15 or 16%

Day White®   5.5% and 7.5% hydrogen peroxide. One or two
sessions of 30 minutes a day with prefabricated splint.

Illumine®  gel that is activated through two separate syringes,
containing 30% hydrogen peroxide for use only in consultation
with prefabricated splint, with sessions of 30-60 minutes.

Opalescence® Quick
Bleaching agent: carbamide peroxide. Concentration: 35%.
Technical whitening: in-office bleaching with splints.




                                     PIC. 21 Presentation
teeth whitening

teeth whitening

  • 1.
    UNIVERSITY AUTONOMUS OFCIUDAD JUAREZ Institute of Biomedical Sciences School of Dentistry “Dental Materials” FIG.1 117702 Briseyda Ayala DR. Alfredo Névarez Rascón DATE: 10- FEBRUARY-12
  • 2.
    It is theprocess used to treat teeth for aesthetic purposes, eliminating the effect of staining or discoloration of extrinsic or intrinsic origin. PIC.2 Before-After
  • 3.
    "Reddish are theireyes more than wine and the whiteness of your teeth more than milk" The canons of beauty.  2000 BC Egyptians possessed cosmetic "teeth healthy and white symbolized signs of health, cleanliness and strength." Cavemen wanted to have large canine strength and health. Ancient imperial China, widows dyed their teeth black as a sign of surrender to the beauty. PIC.3 Mayas   Maya, were made inlaid teeth and smooth his edges like a good social standing
  • 4.
    • Over 92%of adults agree that an attractive smile is an important social asset • 88% always remember someone with an especially attractive smile • 85% agree that an unattractive smile is not attractive to the opposite sex. • 74% agree that an unattractive smile can lessen the chances of professional success • Only 50% are satisfied with your smile
  • 5.
    Teeth can havean infinite variety of color range because of different reasons, mainly the color is genetically (skin color). The color is given by the set of structures that form the teeth as are the thickness and quality enamel, dentin color and quantity. INTRINSIC • EXTRINSIC
  • 6.
    • ARE: stainswithin the tooth.- Occur from the inside out, in the period in which the tooth is completing his training (ripening) or by some internal event such as bleeding pulp and produces a color change • Tetracycline stains - stains teeth, a period which results in the formation of tooth structure during the first 3 years of life. PIC.5 Colouring by tetracyclines during the PIC.6 period of tooth formation
  • 7.
    PIC. 7 Stainsby fluoroscopy PIC.8 Spots by excessive fluoride intake of fluoride, there are three types of fluorosis Mild dental fluorosis: There are streaks or lines across the tooth surface Moderate dental fluorosis: the teeth are highly resistant to decay but have opaque white spots Severe dental fluorosis: enamel is brittle and has brown spots • Posteruptivas those that appear after the eruption of teeth by: • Shock or chipped teeth • Aging of the tooth • From the age of 50 teeth become more yellow or opaque, have a darker gray
  • 8.
    • ARE: Stainscome out of the tooth- ingestion of food, beverages, or contact with other pigmenting agents. its initial fixation is performed through hydrogen bonds to proteins of dental plaque deposited and fixed to the tooth by calcium bridges PIC. 9 Tea PIC. 10 Coffee PIC. 11 Wine PIC. 12 Snuff-Nicotine
  • 9.
    • Internal bleaching:(in non-vital teeth only) and in the case of a tooth endodontic (root canal treatments with sodium perborate) and may be supplemented by external whitening techniques. • External bleaching (vital teeth), involves the application of substances on the outside of the tooth. • Carbamide peroxide-In general outpatient • Hydrogen peroxide: Basically for Clinical treatments STEPS Cleaning, protection of the gum, gel application in ferrule and placement as this, application of special light, removal of the gel.
  • 10.
    PIC.13 Before whitening PIC.14 After whitening PIC.15 Before of whitening PIC.16 After whitening
  • 11.
    Clinic • Hydrogen peroxide 35% • carbamide peroxide 35% Outpatient: Carbamide peroxide 10-30% Descomposes into: •3% hydrogen peroxide (active element) •7% urea (raises the pH of the solution)
  • 12.
    Whitening Clinic Whitening Outpatient Whitening Mixed  
  • 13.
    In home: •Molds takethe patient's mouth and is made in a ferrule (flexible plastic structure) which conform to the shape of the teeth. One for the upper teeth and one for the lower teeth. •They are transparent, do not bother •It gives the patient the two braces and whitening kit containing syringes with the bleaching product. •Every night for 20-30 days, after brushing a small amount is deposited in the splint, at the height of each teeth whitening, and put in mouth for 3 hours. •After braces are removed from the mouth and cleaned with cold water to remove residual product and inactive. PIC. 17 whitening Gel[peroxide PIC.18 splint hydrogen or carbamide]
  • 14.
    •1 hour. (withfull arch lamps that activate the product in all teeth whitening at the same time) with three or four short breaks to renew the bleaching product we put on the teeth. •There are products that are activated by a halogen plasma arc simultaneously activating all the teeth to be treated. •OOther products are activated by mixing the "base" and "catalyst". In these cases not necessary to input light of any type. •If for activation of the bleaching gel using conventional methods using hand lamps that illuminate tooth to tooth 5 minutes per tooth. •The procedure is time consuming
  • 15.
    Been much morestable over time and presents the advantage of being successive annual reminders (after whitening booster). Chemical activation technique or photoactivated technique, either with hydrogen peroxide or carbamide high concentration. After the patient already has braces and whitening gel needs only to provide (individualized thermoplastic trays) and whitening agent: hydrogen peroxide and / or carbamide. Three to four weeks or 3 to 7 days
  • 16.
    About 15 tone,scale is easily defined according to the quality that distinguish between families of color (which is the same as the wavelength of the PIC. 19 arranged according to hue and chroma Light reflected from the teeth). Chromatic color is pigmented 4 tones: 4 levels of chroma for each hue (1, 2, 3.4) A (brown – reddish), A1, A2, A3, A4, where A1 is less saturated than B (orange – yellowish), A4. C (gray – greenish), y D (gray –rose) PIC. 20 Vita sorted by value [LIGHT-DARK AND CLEAR]
  • 17.
    ADVANTAGES DISAVANTAGES Comfort and personal Not recommended for satisfaction children Reduces plaque Peroxides allergy dentobacterial Reducing the yellow color of Sensitive teeth, decayed the teeth between 5 and 14 areas shades The clinical whitening lasts dental trauma only 1 hour procedure is not painful or Duration time invasive
  • 18.
    Colgate Platnum® Carbamideperoxide 10%. manufacturer Contrast PM® Carbamide peroxide 15 or 16% Day White®   5.5% and 7.5% hydrogen peroxide. One or two sessions of 30 minutes a day with prefabricated splint. Illumine®  gel that is activated through two separate syringes, containing 30% hydrogen peroxide for use only in consultation with prefabricated splint, with sessions of 30-60 minutes. Opalescence® Quick Bleaching agent: carbamide peroxide. Concentration: 35%. Technical whitening: in-office bleaching with splints. PIC. 21 Presentation