By : Dr. Sumit S.Hadgaonkar
Moderator : Prof. S. Rajendra Singh
Introduction
 Testicular tumors are rare.
 1 – 2 % of all malignant tumors.
 Most common malignancy in men in the 15 to 35
year age group.
 Benign lesions represent a greater percentage of
cases in children than in adults.
 Most curable solid neoplasm
 Age - 3 peaks
2 – 4 yrs
20 – 40 yrs
above 60 yrs
 Testicular cancer is one of the few neoplasms
associated with accurate serum markers.
 Most curable solid neoplasms and serves as a
paradigm for the multimodal treatment of
malignancies.
Dramatic Improvement in Survival
 Effective diagnostic techniques
 Improved tumor markers
 Multi-model treatment
 Surgical
 Radiotherapy
 Multi-drug chemotherapy regimens
 Mortality
 before 1970 – 50 %
 1997 – 5 %
AETIOLOGY OF TESTICULAR TUMOUR
 Cryptorchidism
 Intersex disorder – Klinefelter’s syndrome
 Testicular atrophy
 Trauma- prompts medical evaluation
 Chromosomal abnormalities - loss of chromosome 11, 13,
18, abnormal chromosome 12p.
 Sex hormone fluctuations, estrogen
administration during pregnancy
 Race
 Carcinoma in situ
 Previous testicular cancer
CRYPTORCHIDISM & TESTICULAR TUMOUR
Risk of Carcinoma developing
in undescended testis is
14 to 48 times the normal
expected incidence
CRYPTORCHIDISM & TESTICULAR TUMOUR
The cause for malignancy are as follows:
 Abnormal Germ Cell Morphology
 Elevated temperature in abdomen & Inguinal region
as opposed to scrotum
 Endocrinal disturbances
 Gonadal dysgenesis
Testicular Tumour & Molecular Biology
 Molecular & Genetic Research may help Future
patient with Testicular Tumours:
Earlier diagnosis
Identify Susceptible Individuals
PROTO-ONCOGENES in Germ Cell Tumours (Shuin et al)
Seminoma &
Embryonal - N-myc expression
Carcinoma
Seminoma - c-Ki-ras expression
Immature
Teratomas - c-erb B-1 expression
Testicular germ cell tumour show consistent
expression of both:
 Parental alleles of H19
 IGF-2 genes.
CROSS SECTION OF TESTIS
 Testis
Stroma Seminiferous Tubules
(200 to 350 tubules)
 Interstitial Cells Supporting
Spermatogonia
Leydig or
(Androgen) Sertoli Cell
CLASSIFICATION
 I.Primary Neoplasms of Testis.
A. Germ Cell Tumor.
B. Non-Germ Cell Tumor .
 II. Secondary Neoplasms.
 III .Paratesticular Tumors.
Germ cell tumors
 1. Seminomas - 40%
(a) Classic Typical Seminoma
(b) Anaplastic Seminoma
(c) Spermatocytic Seminoma
 2. Embryonal Carcinoma - 20 - 25%
 3. Teratoma - 25 - 35%
(a) Mature
(b) Immature
 4. Choriocarcinoma - 1%
 5. Yolk Sac Tumour
Non Germ Cell Tumors
1. Specialized gonadal stromal tumor
(a) Leydig cell tumor
(b) sertoli cell tumor
2. Gonadoblastoma
3. Miscellaneous Neoplasms
(a) Carcinoid tumor
(b) Tumors of ovarian epithelial sub
types
Favourable outcome - GCT
 Sensitive to both
 Radiotherapy
 Chemotherapy
 Differentiation
 Rapid rate of growth
 Young – no co-morbid
Extra Gonadal Germ Cell Tumors (EGCT)
 Prognosis is ½ GCT
Germ cell tumor – testis
3 types – based on
 Natural history
 Response to therapy
 Histological & biochemical properties
 Typical/ Classical
 Spermatocytic
 Anaplastic
 Spermatocytic
 2% - 12% of seminomas
 Old age > 50 yr
 Extremely low metastatic potential
 Good prognosis
 Anaplastic
 5% - 10
 Middle age
 Aggressive - lethal
 Greater mitotic activity
 Higher local invasion
 Higher metastatic potential
 Higher rate of β
 -HCG production
 Inguinal orchidectomy + Radiation
 Typical/ Classical
 82% - 85%
 Middle age
 PLAP – 90%
 Syncytiottrophoblsts – ↑Beta HCG (10%)
 Very slow growth
 Inguinal orchidectomy + Radiation
Painless testicular swelling
Hard, loss of testicular sensation/ infertility
 Seminoma – rubbery
 Teratoma, EC – irregular
Hydrocele
Rarely pain
 Hemorrhage
 Infection
 Metastasis manifestations (10%)
 Neck mass
 Cough/ dyspnoea
 Back pain
 Psoas muscle/ nerve roots
 Bone pain
 Lower limb swelling
 Iliac/ caval obstruction/ thrombosis
 Gynaecomastia – 5%
 Systemic endocrine manifestation – incompletely defined
 P/A
 LN VIscera
Painless enlargemt of testis (>10 times)
Extragonadal seminoma
 Mediastinum
 Pituitary gland
 Pineal gland
 Cut potato appearance
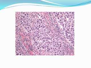
 Embryonal carcinoma
 25yr – 35yr
 3 – 6 % of TT
 Small, rounded irregulr mass
 Invading tunica vaginalis
 Cut surface
 Greyish white, fleshy
 Areas of necrosis, hemorrhage
 Poorly defined capsule
 Chorionic carcinoma (1 – 2%)
 2ND, 3RD decades
 Palpable nodule
 ↑β-HCG - >99%, ↑PLAP
 Size ≈ extent of hemorrhage
 Advanced distant metastasis (lung, brain) – paradoxically small primary
 Histology
 Syncytiotrophoblasts
 Cytotrophoblasts
 Teratoma
 Children – 38% - benign
 Adults – 3% - metastatic potential
 AFP - ↑ 20% – 25%
 Metastasis
 Resistent both Chemo, Radiation
 Mature Teratoma
 Differentiated elements form 2 or more embryonic germ cell layers
 ectoderm, endoderm & mesoderm
 Immature Teratoma
 Undifferentiated primitive tissues
 Malignant Teratoma
 Malignant changes
 Teratoma
 More than one germ cell layer in various stages of maturation &
differentiation
 Large, lobulated, non-homogenous
 Cut surface
 Variably sized cysts
 Gelatinous, mucinous, hyalinized material
 Intersposed solid islands – cartilage/ bone/pancreatic/ liver/
intesttinal/ muscle/ neural/ connective tissue
 Immature Teratoma
 Areas of fibrosis & hemorrhage
 Mature Teratoma
 Yolk sac tumor
 Most common
 Infants & children
 Adults – in combination
 ↑ AFP
 Pure form
 Homogenous yellowish, mucinous
 Histology
 Embryoid bodies
 Resemble 1 to 2 week old embryos (<1 mm)
 Treatment
 80 % confined to testis at diagnosis
 Radical inguinal orchidectomy
 Retro peritoneal LN – RPLND
 Advanced disease – chemotherapy
 R adiotherapy
 Residual disease
 Failed to respond to chemotherapy
 Mean survival – 87% for all stages
Non Germ Cell Tumors
 Sex cord tumors
1. Leydig cell tumors
2. Sertoli cell tumors
 Mixed germ cell and stromal cell tumors
1. Gonadoblastoma
 Miscellaneous primary non germ cell tumors
1. Epidermoid cyst
2. Adenocarcinoma of rete testis
3. Adrenal rest tumors
Secondary Tumors of Testis
 Lymphoma – most common secondary tumor
- most common testicular tumor in patients
above 50 years
- most common variety is histiocytic
 Leukamic Infilteration of testis
-primary site of relapse after ALL remission
-occurs mainly in the interstitial space
-biopsy for diagnosis
- no orchidectomy
- testicular irradiation for treatment
 Metastases to testis
- rare cases reported (200 cases till now)
Tumors of adnexa / Paratesticular tissue
 Adenomatoid tumor
-most common paratesticular tumor
-benign in nature
 Mesothelioma
-metastatic in 15% cases to inguinal lymph nodes
 Cystadenoma
- bilateral cases are associated with Von Hippel
Lindau syndrome
 Rhabdomyosarcoma
- most commonly seen in second decade of life
Carcinoma in situ {CIS}
 Pre invasive precusor of all GCT, except
spermatocytic seminoma
 Incidence of CIS in the male population is 0.8%.
 Testicular CIS develops from fetal gonocytes & is
characterized histologically by seminiferous
tubules containing only Sertoli cells and malignant
germ cells.
Patients at risk of CIS
 History of testicular carcinoma (5% to 6%),
 Extra gonadalGCT (40%),
 Cryptorchidism (3%),
 Contralateral testis with unilateral testis cancer
(5% to 6%),
 Somatosexual ambiguity (25% to 100%)
 Atrophic testis 30 %
 Infertility (0.4% to 1.1%)
 TESTICULAR BIOPSY gold standard for diagnoses
of CIS
Clinical features
 Painless Swelling of One testis
 Dull Ache or Heaviness in Lower Abdomen
 10% - Acute Scrotal Pain
 10% - Present with Metatstasis
- Neck Mass / Cough / Anorexia / Vomiting / Back
Ache/ Lower limb swelling
 5% - Gynecomastia
 Rarely - Infertility
Physical Examination
 Examine contralateral normal testis.
 Firm to hard fixed area within tunica albugenia is
suspicious
 Seminoma expand within the testis as a painless,
rubbery enlargement.
 Embryonal carcinoma or teratocarcinoma may
produce an irregular, rather than discrete mass.
Differential Diagnosis
 Testicular torsion
 Epididymitis, or epididymo-orchitis
 Hydrocele,
 Hernia,
 Hematoma,
 Spermatocele,
 Syphilitic gumma .
Epididymal cyst
DICTUM FOR ANY SOLID SCROTAL SWELLINGS
All patients with a solid, Firm
Intratesticular Mass that cannot be
Transilluminated should be regarded
as Malignant unless otherwise proved.
Scrotal ultrasound
 Ultrasonography of the scrotum is a rapid, reliable
technique to exclude hydrocele or epididymitis.
 Ultrasonography of the scrotum is basically an
extension of the physical examination.
 Hypoechoic area within the tunica albuginea is
markedly suspicious for testicular cancer.
Tumor markers
TWO MAIN CLASSES
Onco-fetal Substances : AFP & HCG
Cellular Enzymes : LDH & PLAP
AFP - Trophoblastic Cells
HCG - Syncytiotrophoblastic Cells
( PLAP- placental alkaline phosphatase, & LDH lactic acid
dehydrogenase)
AFP –( Alfafetoprotein)
NORMAL VALUE: Below 16 ngm / ml
HALF LIFE OF AFP – 5 and 7 days
Raised AFP :
 Pure embryonal carcinoma
 Teratocarcinoma
 Yolk sac Tumor
 Combined tumors,
 AFP not raised in pure choriocarcinoma , & in pure
seminoma
HCG – ( Human Chorionic Gonadotropin)
Has  and  polypeptide chain
NORMAL VALUE: < 1 ng / ml
HALF LIFE of HCG: 24 to 36 hours
RAISED  HCG -
100 % - Choriocarcinoma
60% - Embryonal carcinoma
55% - Teratocarcinoma
25% - Yolk Cell Tumour
7% - Seminomas
ROLE OF TUMOUR MARKERS
 Helps in Diagnosis - 80 to 85% of Testicular Tumours have
Positive Markers
 Most of Non-Seminomas have raised markers
 Only 10 to 15% Non-Seminomas have normal marker level
 After Orchidectomy if Markers Elevated means Residual
Disease or Stage II or III Disease
 Elevation of Markers after Lymphadenectomy means a STAGE
III Disease
ROLE OF TUMOUR MARKERS cont...
 Degree of Marker Elevation Appears to be Directly
Proportional to Tumour Burden
 Markers indicate Histology of Tumour:
If AFP elevated in Seminoma - Means Tumour has Non-
Seminomatous elements
 Negative Tumour Markers becoming positive on follow up
usually indicates -
Recurrence of Tumour
 Markers become Positive earlier than X-Ray studies
Imaging studies
 Chest X ray
 CECT abdomen – retroperitoneal nodes
 PET- No apparent advantage over CT
 MRI - No apparent advantage over CT
Large left para aortic nodal mass due to GCT
causing hydronephrosis
Requirements for staging
 To properly Stage Testicular Tumours following
are pre-requisites:
(a) Pathology of Tumour Specimen
(b) History
(c) Clinical Examination
(d) Radiological procedure - USG / CT /
MRI / Bone Scan
(e) Tumour Markers -  HCG, AFP
Serum tumor markers
LDH HCG
Miu/ml
AFP
Ng/ml
S0 _< N <N <N
S1 <1.5 x N < 5000 < 1000
S2 1.5-10x N 5000 to
50000
1000 to
10000
S3 >10x N > 50000 >10000
PRINCIPLES OF TREATMENT
 Treatment should be aimed at one stage above the
clinical stage
 Seminomas - Radio-Sensitive. Treat with
Radiotherapy.
 Non-Seminomas are Radio-Resistant and best
treated by Surgery
 Advanced Disease or Metastasis - Responds well to
Chemotherapy
PRINCIPLES OF TREATMENT
 Radical INGUINAL ORCHIDECTOMY is Standard
first line of therapy
 Lymphatic spread initially goes to
RETRO-PERITONEAL NODES
 Early hematogenous spread RARE
 Bulky Retroperitoneal Tumours or Metastatic
Tumors Initially “DOWN-STAGED” with
CHEMOTHERAPY
PRINCIPLES OF TREATMENT
 Transscrotal biopsy is to be condemned.
 The inguinal approach permits early control of the
vascular and lymphatic supply as well as en-bloc
removal of the testis with all its tunicae.
 Frozen section in case of dilemma.
Treatment of Seminomas
Stage I, IIA, ?IIB –
Radical Inguinal Orchidectomy followed by
radiotherapy to Ipsilateral Retroperitonium &
Ipsilateral Iliac group Lymph nodes (2500-3500 rads)
Bulky stage II and III Seminomas -
Radical Inguinal Orchidectomy is followed by
Chemotherapy
Treatment of Non-Seminoma
Stage I and IIA:
RADICAL ORCHIDECTOMY
followed by RETROPERITONEAL LYMPH NODES
DISSECTION
Stage IIB:
RPLND with possible ADJUVANT CHEMOTHERAPY
Stage IIC and Stage III Disease:
Initial CHEMOTHERAPY followed by SURGERY for Residual Disease
Lymph Nodes Dissection For Right &
Left Sided Testicular Tumours
Lymphatic drainage
 The primary drainage of the right testis is within the
interaortocaval region.
 Left testis drainage , the para-aortic region in the
compartment bounded by the left ureter, the left renal
vein, the aorta, and the origin of the inferior
mesenteric artery.
 Cross over from right to left is possible.
STANDARD CHEMOTHERAPY FOR
NON-SEMINOMATOUS GERM CELL TUMOURS
Chemotherapy Toxicity
BEP -
Bleomycin Pulmonary fibrosis
Etoposide (VP-16) Myelosuppression
Alopecia
Renal insufficiency (mild)
Secondary leukemia
Cis-platin Renal insufficiency
Nausea, vomiting
Neuropathy
PROGNOSIS
Seminoma Nonseminoma
Stage I 99% 95% to 99%
Stage II 70% to 92% 90%
Stage III 80% to 85% 70% to 80%
CONCLUSION
 Improved Overall Survival of Testicular Tumour due to
Better Understanding of the Disease, Tumour Markers
and Cis-platinum based Chemotherapy
 Current Emphasis is on Diminishing overall Morbidity
of Various Treatment Modalities
“I always had the size difference
there, but I didn’t know…I would’ve
still been waiting if it hadn’t started
hurting, it just got so painful I couldn’t
sit on my bike anymore.”
-Lance Armstrong
“I always had the size difference
there, but I didn’t know…I would’ve
still been waiting if it hadn’t started
hurting, it just got so painful I couldn’t
sit on my bike anymore.”
-Lance Armstrong
“I always had the size difference
there, but I didn’t know…I would’ve
still been waiting if it hadn’t started
hurting, it just got so painful I couldn’t
sit on my bike anymore.”
-Lance Armstrong
Yuvraj Singh –extra
gonadal seminoma
Thank you

Sumit testicular tumors

  • 1.
    By : Dr.Sumit S.Hadgaonkar Moderator : Prof. S. Rajendra Singh
  • 2.
    Introduction  Testicular tumorsare rare.  1 – 2 % of all malignant tumors.  Most common malignancy in men in the 15 to 35 year age group.  Benign lesions represent a greater percentage of cases in children than in adults.  Most curable solid neoplasm
  • 3.
     Age -3 peaks 2 – 4 yrs 20 – 40 yrs above 60 yrs  Testicular cancer is one of the few neoplasms associated with accurate serum markers.  Most curable solid neoplasms and serves as a paradigm for the multimodal treatment of malignancies.
  • 4.
    Dramatic Improvement inSurvival  Effective diagnostic techniques  Improved tumor markers  Multi-model treatment  Surgical  Radiotherapy  Multi-drug chemotherapy regimens  Mortality  before 1970 – 50 %  1997 – 5 %
  • 5.
    AETIOLOGY OF TESTICULARTUMOUR  Cryptorchidism  Intersex disorder – Klinefelter’s syndrome  Testicular atrophy  Trauma- prompts medical evaluation  Chromosomal abnormalities - loss of chromosome 11, 13, 18, abnormal chromosome 12p.  Sex hormone fluctuations, estrogen administration during pregnancy  Race  Carcinoma in situ  Previous testicular cancer
  • 6.
    CRYPTORCHIDISM & TESTICULARTUMOUR Risk of Carcinoma developing in undescended testis is 14 to 48 times the normal expected incidence
  • 7.
    CRYPTORCHIDISM & TESTICULARTUMOUR The cause for malignancy are as follows:  Abnormal Germ Cell Morphology  Elevated temperature in abdomen & Inguinal region as opposed to scrotum  Endocrinal disturbances  Gonadal dysgenesis
  • 8.
    Testicular Tumour &Molecular Biology  Molecular & Genetic Research may help Future patient with Testicular Tumours: Earlier diagnosis Identify Susceptible Individuals
  • 9.
    PROTO-ONCOGENES in GermCell Tumours (Shuin et al) Seminoma & Embryonal - N-myc expression Carcinoma Seminoma - c-Ki-ras expression Immature Teratomas - c-erb B-1 expression
  • 10.
    Testicular germ celltumour show consistent expression of both:  Parental alleles of H19  IGF-2 genes.
  • 11.
    CROSS SECTION OFTESTIS  Testis Stroma Seminiferous Tubules (200 to 350 tubules)  Interstitial Cells Supporting Spermatogonia Leydig or (Androgen) Sertoli Cell
  • 12.
    CLASSIFICATION  I.Primary Neoplasmsof Testis. A. Germ Cell Tumor. B. Non-Germ Cell Tumor .  II. Secondary Neoplasms.  III .Paratesticular Tumors.
  • 13.
    Germ cell tumors 1. Seminomas - 40% (a) Classic Typical Seminoma (b) Anaplastic Seminoma (c) Spermatocytic Seminoma  2. Embryonal Carcinoma - 20 - 25%  3. Teratoma - 25 - 35% (a) Mature (b) Immature  4. Choriocarcinoma - 1%  5. Yolk Sac Tumour
  • 14.
    Non Germ CellTumors 1. Specialized gonadal stromal tumor (a) Leydig cell tumor (b) sertoli cell tumor 2. Gonadoblastoma 3. Miscellaneous Neoplasms (a) Carcinoid tumor (b) Tumors of ovarian epithelial sub types
  • 16.
    Favourable outcome -GCT  Sensitive to both  Radiotherapy  Chemotherapy  Differentiation  Rapid rate of growth  Young – no co-morbid Extra Gonadal Germ Cell Tumors (EGCT)  Prognosis is ½ GCT
  • 17.
    Germ cell tumor– testis 3 types – based on  Natural history  Response to therapy  Histological & biochemical properties  Typical/ Classical  Spermatocytic  Anaplastic
  • 18.
     Spermatocytic  2%- 12% of seminomas  Old age > 50 yr  Extremely low metastatic potential  Good prognosis  Anaplastic  5% - 10  Middle age  Aggressive - lethal  Greater mitotic activity  Higher local invasion  Higher metastatic potential  Higher rate of β  -HCG production  Inguinal orchidectomy + Radiation  Typical/ Classical  82% - 85%  Middle age  PLAP – 90%  Syncytiottrophoblsts – ↑Beta HCG (10%)  Very slow growth  Inguinal orchidectomy + Radiation
  • 19.
    Painless testicular swelling Hard,loss of testicular sensation/ infertility  Seminoma – rubbery  Teratoma, EC – irregular Hydrocele Rarely pain  Hemorrhage  Infection
  • 20.
     Metastasis manifestations(10%)  Neck mass  Cough/ dyspnoea  Back pain  Psoas muscle/ nerve roots  Bone pain  Lower limb swelling  Iliac/ caval obstruction/ thrombosis  Gynaecomastia – 5%  Systemic endocrine manifestation – incompletely defined  P/A  LN VIscera
  • 21.
    Painless enlargemt oftestis (>10 times) Extragonadal seminoma  Mediastinum  Pituitary gland  Pineal gland
  • 22.
     Cut potatoappearance
  • 24.
     Embryonal carcinoma 25yr – 35yr  3 – 6 % of TT  Small, rounded irregulr mass  Invading tunica vaginalis  Cut surface  Greyish white, fleshy  Areas of necrosis, hemorrhage  Poorly defined capsule
  • 25.
     Chorionic carcinoma(1 – 2%)  2ND, 3RD decades  Palpable nodule  ↑β-HCG - >99%, ↑PLAP  Size ≈ extent of hemorrhage  Advanced distant metastasis (lung, brain) – paradoxically small primary  Histology  Syncytiotrophoblasts  Cytotrophoblasts
  • 26.
     Teratoma  Children– 38% - benign  Adults – 3% - metastatic potential  AFP - ↑ 20% – 25%  Metastasis  Resistent both Chemo, Radiation  Mature Teratoma  Differentiated elements form 2 or more embryonic germ cell layers  ectoderm, endoderm & mesoderm  Immature Teratoma  Undifferentiated primitive tissues  Malignant Teratoma  Malignant changes
  • 27.
     Teratoma  Morethan one germ cell layer in various stages of maturation & differentiation  Large, lobulated, non-homogenous  Cut surface  Variably sized cysts  Gelatinous, mucinous, hyalinized material  Intersposed solid islands – cartilage/ bone/pancreatic/ liver/ intesttinal/ muscle/ neural/ connective tissue
  • 28.
     Immature Teratoma Areas of fibrosis & hemorrhage  Mature Teratoma
  • 29.
     Yolk sactumor  Most common  Infants & children  Adults – in combination  ↑ AFP  Pure form  Homogenous yellowish, mucinous  Histology  Embryoid bodies  Resemble 1 to 2 week old embryos (<1 mm)  Treatment  80 % confined to testis at diagnosis  Radical inguinal orchidectomy  Retro peritoneal LN – RPLND  Advanced disease – chemotherapy  R adiotherapy  Residual disease  Failed to respond to chemotherapy  Mean survival – 87% for all stages
  • 30.
    Non Germ CellTumors  Sex cord tumors 1. Leydig cell tumors 2. Sertoli cell tumors  Mixed germ cell and stromal cell tumors 1. Gonadoblastoma  Miscellaneous primary non germ cell tumors 1. Epidermoid cyst 2. Adenocarcinoma of rete testis 3. Adrenal rest tumors
  • 32.
    Secondary Tumors ofTestis  Lymphoma – most common secondary tumor - most common testicular tumor in patients above 50 years - most common variety is histiocytic  Leukamic Infilteration of testis -primary site of relapse after ALL remission -occurs mainly in the interstitial space -biopsy for diagnosis - no orchidectomy - testicular irradiation for treatment  Metastases to testis - rare cases reported (200 cases till now)
  • 33.
    Tumors of adnexa/ Paratesticular tissue  Adenomatoid tumor -most common paratesticular tumor -benign in nature  Mesothelioma -metastatic in 15% cases to inguinal lymph nodes  Cystadenoma - bilateral cases are associated with Von Hippel Lindau syndrome  Rhabdomyosarcoma - most commonly seen in second decade of life
  • 34.
    Carcinoma in situ{CIS}  Pre invasive precusor of all GCT, except spermatocytic seminoma  Incidence of CIS in the male population is 0.8%.  Testicular CIS develops from fetal gonocytes & is characterized histologically by seminiferous tubules containing only Sertoli cells and malignant germ cells.
  • 35.
    Patients at riskof CIS  History of testicular carcinoma (5% to 6%),  Extra gonadalGCT (40%),  Cryptorchidism (3%),  Contralateral testis with unilateral testis cancer (5% to 6%),  Somatosexual ambiguity (25% to 100%)  Atrophic testis 30 %  Infertility (0.4% to 1.1%)  TESTICULAR BIOPSY gold standard for diagnoses of CIS
  • 36.
    Clinical features  PainlessSwelling of One testis  Dull Ache or Heaviness in Lower Abdomen  10% - Acute Scrotal Pain  10% - Present with Metatstasis - Neck Mass / Cough / Anorexia / Vomiting / Back Ache/ Lower limb swelling  5% - Gynecomastia  Rarely - Infertility
  • 37.
    Physical Examination  Examinecontralateral normal testis.  Firm to hard fixed area within tunica albugenia is suspicious  Seminoma expand within the testis as a painless, rubbery enlargement.  Embryonal carcinoma or teratocarcinoma may produce an irregular, rather than discrete mass.
  • 38.
    Differential Diagnosis  Testiculartorsion  Epididymitis, or epididymo-orchitis  Hydrocele,  Hernia,  Hematoma,  Spermatocele,  Syphilitic gumma .
  • 39.
  • 41.
    DICTUM FOR ANYSOLID SCROTAL SWELLINGS All patients with a solid, Firm Intratesticular Mass that cannot be Transilluminated should be regarded as Malignant unless otherwise proved.
  • 42.
    Scrotal ultrasound  Ultrasonographyof the scrotum is a rapid, reliable technique to exclude hydrocele or epididymitis.  Ultrasonography of the scrotum is basically an extension of the physical examination.  Hypoechoic area within the tunica albuginea is markedly suspicious for testicular cancer.
  • 45.
    Tumor markers TWO MAINCLASSES Onco-fetal Substances : AFP & HCG Cellular Enzymes : LDH & PLAP AFP - Trophoblastic Cells HCG - Syncytiotrophoblastic Cells ( PLAP- placental alkaline phosphatase, & LDH lactic acid dehydrogenase)
  • 46.
    AFP –( Alfafetoprotein) NORMALVALUE: Below 16 ngm / ml HALF LIFE OF AFP – 5 and 7 days Raised AFP :  Pure embryonal carcinoma  Teratocarcinoma  Yolk sac Tumor  Combined tumors,  AFP not raised in pure choriocarcinoma , & in pure seminoma
  • 47.
    HCG – (Human Chorionic Gonadotropin) Has  and  polypeptide chain NORMAL VALUE: < 1 ng / ml HALF LIFE of HCG: 24 to 36 hours RAISED  HCG - 100 % - Choriocarcinoma 60% - Embryonal carcinoma 55% - Teratocarcinoma 25% - Yolk Cell Tumour 7% - Seminomas
  • 48.
    ROLE OF TUMOURMARKERS  Helps in Diagnosis - 80 to 85% of Testicular Tumours have Positive Markers  Most of Non-Seminomas have raised markers  Only 10 to 15% Non-Seminomas have normal marker level  After Orchidectomy if Markers Elevated means Residual Disease or Stage II or III Disease  Elevation of Markers after Lymphadenectomy means a STAGE III Disease
  • 49.
    ROLE OF TUMOURMARKERS cont...  Degree of Marker Elevation Appears to be Directly Proportional to Tumour Burden  Markers indicate Histology of Tumour: If AFP elevated in Seminoma - Means Tumour has Non- Seminomatous elements  Negative Tumour Markers becoming positive on follow up usually indicates - Recurrence of Tumour  Markers become Positive earlier than X-Ray studies
  • 50.
    Imaging studies  ChestX ray  CECT abdomen – retroperitoneal nodes  PET- No apparent advantage over CT  MRI - No apparent advantage over CT
  • 51.
    Large left paraaortic nodal mass due to GCT causing hydronephrosis
  • 52.
    Requirements for staging To properly Stage Testicular Tumours following are pre-requisites: (a) Pathology of Tumour Specimen (b) History (c) Clinical Examination (d) Radiological procedure - USG / CT / MRI / Bone Scan (e) Tumour Markers -  HCG, AFP
  • 54.
    Serum tumor markers LDHHCG Miu/ml AFP Ng/ml S0 _< N <N <N S1 <1.5 x N < 5000 < 1000 S2 1.5-10x N 5000 to 50000 1000 to 10000 S3 >10x N > 50000 >10000
  • 57.
    PRINCIPLES OF TREATMENT Treatment should be aimed at one stage above the clinical stage  Seminomas - Radio-Sensitive. Treat with Radiotherapy.  Non-Seminomas are Radio-Resistant and best treated by Surgery  Advanced Disease or Metastasis - Responds well to Chemotherapy
  • 58.
    PRINCIPLES OF TREATMENT Radical INGUINAL ORCHIDECTOMY is Standard first line of therapy  Lymphatic spread initially goes to RETRO-PERITONEAL NODES  Early hematogenous spread RARE  Bulky Retroperitoneal Tumours or Metastatic Tumors Initially “DOWN-STAGED” with CHEMOTHERAPY
  • 59.
    PRINCIPLES OF TREATMENT Transscrotal biopsy is to be condemned.  The inguinal approach permits early control of the vascular and lymphatic supply as well as en-bloc removal of the testis with all its tunicae.  Frozen section in case of dilemma.
  • 60.
    Treatment of Seminomas StageI, IIA, ?IIB – Radical Inguinal Orchidectomy followed by radiotherapy to Ipsilateral Retroperitonium & Ipsilateral Iliac group Lymph nodes (2500-3500 rads) Bulky stage II and III Seminomas - Radical Inguinal Orchidectomy is followed by Chemotherapy
  • 61.
    Treatment of Non-Seminoma StageI and IIA: RADICAL ORCHIDECTOMY followed by RETROPERITONEAL LYMPH NODES DISSECTION Stage IIB: RPLND with possible ADJUVANT CHEMOTHERAPY Stage IIC and Stage III Disease: Initial CHEMOTHERAPY followed by SURGERY for Residual Disease
  • 64.
    Lymph Nodes DissectionFor Right & Left Sided Testicular Tumours
  • 65.
    Lymphatic drainage  Theprimary drainage of the right testis is within the interaortocaval region.  Left testis drainage , the para-aortic region in the compartment bounded by the left ureter, the left renal vein, the aorta, and the origin of the inferior mesenteric artery.  Cross over from right to left is possible.
  • 66.
    STANDARD CHEMOTHERAPY FOR NON-SEMINOMATOUSGERM CELL TUMOURS Chemotherapy Toxicity BEP - Bleomycin Pulmonary fibrosis Etoposide (VP-16) Myelosuppression Alopecia Renal insufficiency (mild) Secondary leukemia Cis-platin Renal insufficiency Nausea, vomiting Neuropathy
  • 67.
    PROGNOSIS Seminoma Nonseminoma Stage I99% 95% to 99% Stage II 70% to 92% 90% Stage III 80% to 85% 70% to 80%
  • 68.
    CONCLUSION  Improved OverallSurvival of Testicular Tumour due to Better Understanding of the Disease, Tumour Markers and Cis-platinum based Chemotherapy  Current Emphasis is on Diminishing overall Morbidity of Various Treatment Modalities
  • 69.
    “I always hadthe size difference there, but I didn’t know…I would’ve still been waiting if it hadn’t started hurting, it just got so painful I couldn’t sit on my bike anymore.” -Lance Armstrong “I always had the size difference there, but I didn’t know…I would’ve still been waiting if it hadn’t started hurting, it just got so painful I couldn’t sit on my bike anymore.” -Lance Armstrong “I always had the size difference there, but I didn’t know…I would’ve still been waiting if it hadn’t started hurting, it just got so painful I couldn’t sit on my bike anymore.” -Lance Armstrong
  • 70.
  • 71.