ИЖЕВСКАЯ ГОСУДАРСТВЕННАЯ МЕДИЦИНСКАЯ АКАДЕМИЯ МЕТОДЫ  ЛУЧЕВОЙ ДИАГНОСТИКИ Проф .  Б.Н.САПРАНОВ MeduMed.Org -  Медицина - Наше Призвание
Е е  составные части: Л УЧЕВАЯ ДИАГНОСТИКА с ин .  РАДИОЛОГИЯ,  И НТРАСКОПИЯ,   МЕДИЦИНСКАЯ ВИЗУАЛИЗАЦИЯ, ДИАГНОСТИЧЕСКАЯ РАДИОЛОГИЯ. ЛУЧЕВАЯ ТЕРАПИЯ син .  РАДИАЦИОННАЯ ТЕРАПИЯ . ИНТЕРВЕНЦИОННАЯ РАДИОЛОГИЯ. РАДИАЦИОННАЯ ГИГИЕНА РАДИОБИОЛОГИЯ ДОЗИМЕТРИЯ МЕДИЦИНСКАЯ РАДИОЛОГИЯ  –   область медицины, изучающая использование проникающего излучения в диагностических, лечебных, гигиенических и исследовательскиъ целях. MeduMed.Org -  Медицина - Наше Призвание
ЛУЧЕВАЯ  ДИАГНОСТИКА I.  РЕНТГЕНОДИАГНОСТИКА – РДИ II. РАДИОНУКЛИДНАЯ ДИАГНОСТИКА (РНД) III. УЛЬТРАЗВУКОВАЯ ДИАГНОСТИКА (УЗД) IV.  КОМПЬЮТЕРНАЯ ТОМОГРАФИЯ(КТ) V.  МАГНИТНО-РЕЗОНАНСНАЯ ТОМОГРАФИЯ  (МРТ) MeduMed.Org -  Медицина - Наше Призвание
РОЛЬ  ЛУЧЕВЫХ МЕТОДОВ ДИАГНОСТИКИ  В КЛИНИКЕ   (по данным ВОЗ) УЗД – 50% РДИ – 40% КТ – 3% МРТ – 2% Радионуклидная диагностика – 1% ДСА, маммография, остеоденситометрия и др. – 4% MeduMed.Org -  Медицина - Наше Призвание
СООТНОШЕНИЕ ЛУЧЕВЫХ МЕТОДОВ ДИАГНОСТИКИ В РОССИИ   (МНИИЛД, 2004г.) УЗД – 47% РДИ и КТ – 42% РНК – 3,6% МРТ – 7,4% с использованием в 58% случаев неионизирующих  и в 42% ионизирующих излучений MeduMed.Org -  Медицина - Наше Призвание
В.К. РЕНТГЕН MeduMed.Org -  Медицина - Наше Призвание
«в том пантеоне науки, которое построит  благодарное человечество, имя В. Рентгена должно быть вписано золотом  славы наряду с именами других ученых». А.В. Луначарский НЕСКОЛЬКО СЛОВ ИЗ ИСТОРИИ 8 ноября 1895 г., Вюрцбург. В.К. Рентген открыл Х-лучи,  которые сразу же переименовали в рентгеновские лучи.  22 декабря 1895 г., Вюрцбург. В.К. Рентген получил рентгеновский снимок кисти своей жены  28 декабря 1895 г., Вена. G .  Kaiser  выполнил первый рентгеновский снимок по  медицинским показаниям. MeduMed.Org -  Медицина - Наше Призвание
«Рентгеновы лучи являются величайшим  созданием человеческого гения». А.М. Горький 16 января 1896 г., Петербург, ВМА.   Н.Г.Егоров произвел рентгеновский снимок кисти 1907 г. Петербург. Императорский клинический институт для усовершенствования врачей (МАПО). Доц. А.К.Яновский организовал первые в мире курсы по рентгенодиагностике. 1918 г., Петербург.   Проф. А.Иоффе и проф. М.И. Неменов основали первый в мире Государственный рентгенологический, радиологический и раковый институт.  1919 г., Петербург. Клинический институт  для усовершенствования врачей (МАПО). Проф. А.К.Яновский основал первую в мире кафедру рентгенологии. MeduMed.Org -  Медицина - Наше Призвание
 
Одна из первых  рентгеноскопий(1902 год) .
 
 
Свойства рентгеновских лучей : прямолинейность распространения,  распространение  со  скорость  света , интерференция и дифракция , флюоресц енция, фотохимическое действие , ионизирующая способность,  проникающая способность , биологическое действие.
Схема строения рентгентрубки и генерирования рентгеновского излучения . U н потребляемая мощность  (0,002  вт —  60  квт длина волны   0,005 - 10   н м A V вода катод Медный анод наплавка из «тяжелого» металла Колба с вакуумом
MeduMed.Org -  Медицина - Наше Призвание
ПРЯМАЯ АНАЛОГОВАЯ  ТЕХНОЛОГИЯ  РДИ Методики:   - РЕНТГЕНОГРАФИЯ, -  ФЛЮОРОГРАФИЯ , - ЛИНЕЙНАЯ ТОМОГРАФИЯ, - МАММОГРАФИЯ.
 
MeduMed.Org -  Медицина - Наше Призвание
MeduMed.Org -  Медицина - Наше Призвание
Дентальные рентгеновские аппараты MeduMed.Org -  Медицина - Наше Призвание
Ортопантомография
НЕПРЯМАЯ АНАЛОГОВАЯ ТЕХНОЛОГИЯ РДИ   Методики:  -  РЕНТГЕНОСКОПИЯ , - ДСА (дигитальная субтракционная      ангиография) - 1 этап, - ИНТЕРВЕНЦИОННАЯ РАДИОЛОГИЯ. MeduMed.Org -  Медицина - Наше Призвание
 
ЦИФРОВАЯ (ДИГИТАЛЬНАЯ) ТЕХНОЛОГИЯ РДИ Методики:  -  ДСА – 2 этап, - ОСТЕОДЕНСИТОМЕТРИЯ, - ЦИФРОВАЯ ФЛЮОРОГРАФИЯ, - КОМПЬЮТЕРНАЯ  ( ЛЮМИНИСЦЕНТНАЯ)    РЕНТГЕНОГРАФИЯ, АЦП ЦМ ЦАП МФК М БУ Д MeduMed.Org -  Медицина - Наше Призвание
Дигитальная субтракционная ангиография (ДСА) почек
ЦИФРОВАЯ ФЛЮОРОГРАФИЯ
ЦИФРОВАЯ РЕНТГЕНОГРАФИЯ
ДИСТАНЦИОННО-ЦИФРОВАЯ РЕНТГЕНОСКОПИЯ
ОСТЕОДЕНСИТОМЕТРИЯ
СКИАЛОГИЯ Построение рентгеновского изображения. Видимый свет, падая на предмет, отражается от него и достигнув глаза, создает изо-бражение внешнего вида предмета. На этом основан принцип фотографии – видимые лучи, отражённые от объекта, падают на фотоплёнку, где создается изображение внешней поверхности объекта. Рентгеновские же лучи проникают внутрь анатомического объекта, при этом они частично поглощаются (плотные образования), частично рассеиваются (менее плотные образования или большая толщина неплотных образований -  например, жировая ткань), частично сохраняют своё прямолинейное направление, проходя через ткани, содержащие воздух (лёгкое) или мягкотканевые структуры. В построении рентгеновского изображения, таким образом, имеют значение поглощенные и прямолинейные лучи, рассеяние же лишь ухдшают характеристики получаемого изображения, и количество их всегда стараются уменьшить с помощью различных приемов (отсеивающие решётки, сдавление мягких тканей и др.). Таким образом, рентгеновские лучи «видят» внутреннее, структурное строение органа. Но так как изолированного расположения органа в организме нет, а рентгеновские лучи проходят через всю толщину различных по плотности и атомному составу тканей на уровне исследуемого органа, рентгеновское изображение является  плоским и суммационным, то есть одни органы «исчезают» или вследствие низкого удельного веса их, или вследстие полного слияния их теней,  другие частично накладываются друг на друга. MeduMed.Org -  Медицина - Наше Призвание
В зависимости от приемника рентгеновских лучей – плёнка или экран, изображение будет различным. На флюоресцирующем экране плотный объект будет давать тёмный участок, так как большая часть лучей была поглощена этим плотным объектом, и экран  на этом уровне не светится.  В случае прохождения лучей через менее плотные ткани появится слабое, а при прохождении через воздух – яркое свечение экрана. Всё будет наоборот на плёнке – так как плотный объект задержал рентгеновские лучи, на участке плёнки на его уровне не будет взаимодействии с кристаллами бромистого серебра, входя-щими в состав желатинового слоя плёнки, и после фотообработки он останется светлым. Те же лучи, которые прошли через воздух, активное воздействуют на бромистое серебро, что ведет к реакции восстановления металлического серебра, и плёнка после обработки в этом месте чернеет. В первом случае мы получаем позитивное изображение, во втором  - негативное. Читаются оба изображения одинаково, как позитивное, то есть на плёнке плотные образования снятого объекта, давая светлые участки, интерпретируются как тени, соответственно тёмные участи расцениваются как просветления. Степень поглощения рентгеновских лучей, независимо от их жёсткости, зависит ещё и от характеристик анатомического объекта – атомного состава, удельного веса и тол-щины объекта. А так как строение органов человека по этим характеристикам не одина-ково, и возникают условия для для разграничения отдельных органов с помощью рентгеновских лучей.  MeduMed.Org -  Медицина - Наше Призвание
ОСНОВНЫЕ ЗАКОНЫ СКИАЛОГИИ Первый закон   -  абсорбционный , сводится к следующему: исследуемый объект даст  изолированную тень (изображение) от рядом лежащих объектов только в том случае, если он значительно отличается от них по атомному или удельному весу, или по толщине .  Второй закон   –  тангенциальный , который сводится к следующему: объекты выявляются раздельно лишь в том случае, если рентгеновские лучи идут касательно (т.е. тангенциально) к поверхностям (т.е. к контурам) этих объектов.   MeduMed.Org -  Медицина - Наше Призвание
ПРАВИЛА СКИАЛОГИИ ПРИ РЕНТГЕНОГРАФИИ 1. При рентгенографии расстояние объект-плёнка всегда должно быть  максимальным (при этом нужно учитывать мощность рентгеновской трубки и  наличие отсеивающей решётки). 2. При рентгенографии расстояние объект-плёнка должно быть минимальным . 3. При рентгенографии необходимо центр рентгеновского пучка направлять  на центр снимаемого объекта (периодически проверять световой центратор!)  4. При рентгенографии плоскость снимаемого объекта должна быть  параллельна плоскости плёнки (учитывать анатомическое расположение органов!), а рентгеновский луч должен быть направлен перпендикулярно плоскости плёнки. 5. Объект при рентгенографии должен быть неподвижным. 6. Учитывать пяточный эффект.  MeduMed.Org -  Медицина - Наше Призвание
 
MeduMed.Org -  Медицина - Наше Призвание
 
MeduMed.Org -  Медицина - Наше Призвание
MeduMed.Org -  Медицина - Наше Призвание
MeduMed.Org -  Медицина - Наше Призвание
 
MeduMed.Org -  Медицина - Наше Призвание
MeduMed.Org -  Медицина - Наше Призвание
КОМПЬЮТЕРНАЯ ТОМОГРАФИЯ   Пошаговая КТ Спиральная КТ Мультиспиральная КТ Электронно-лучевая КТ «Вдруг стало далеко видно во все концы света». Н.В.Гоголь MeduMed.Org -  Медицина - Наше Призвание
Эволюция томографии Рентгеновская  продольная томография легких Компьютерная томография  легких MeduMed.Org -  Медицина - Наше Призвание
Принцип компьютерной томографии Компьютерная томография (КТ) была изобретена английским ученым  Г.   Хаунсфилдом   в 1972 г .  Главным преимуществом данного метода является  контрастное разрешение ,  которое превышает характеристики проекционных рентгеновских технологий и обусловлено, главным образом,  различиями в тканевых коэффициентах поглощения .  КТ фундаментально отличается от традиционной томографии. При компьютерной томографии  излучение  направляется только  на тонкий слой тканей . Вследствие этого отсутствует наложение или размывание структур, расположенных вне выбранных срезов. Традиционное томографическое изображение, напротив, содержит размытую информацию обо всех тканях, расположенных вне изображенной плоскости. MeduMed.Org -  Медицина - Наше Призвание
Принцип компьютерной томографии Метод КТ позволяет  количественно анализировать степень поглощения рентгеновского излучения различными тканями .  В компьютерных томографах рентгеновская трубка, связанная с системой детекторов, вращается в аксиальной плоскости вокруг тела пациента. Испускаемый трубкой рентгеновский пучок шириной в 1-10 мм, проходя через исследуемый слой, ослабляется в разной степени для каждой точки. Пропускаемый через пациента пучок рентгеновских лучей фиксируется системой специальных детекторов, которые примерно в 100 раз чувствительнее рентгеновской пленки. В качестве  детекторов  используются либо  кристаллы  различных химических соединений (например, йодид натрия), либо  полые камеры , наполненные сжатым  ксеноном .  MeduMed.Org -  Медицина - Наше Призвание
КТ обследование Исследование проводится следующим образом :   Вначале для планирования томографирования выполняется  продольное проекционное изображение  ("топограмма",  "scout-view" ) анатомической области. Топограмму получают путем перемещения стола с находящимся на нем пациентом через пучок лучей без вращения трубки или детекторов.  Далее выполняется томографирование. При этом трубка испускает тонкий веерообразный пучок рентгеновских лучей, а стол с пациентом остается неподвижным. Толщина томограмм (срезов) зависит от степени коллимации рентгеновского пучка, например от 1 до 10 мм. После сбора информации стол передвигается на заданное расстояние и выполняется следующая томограмма (шаговый режим  КТ).  MeduMed.Org -  Медицина - Наше Призвание
КТ изображение Исследуемый срез ткани можно представить разделенным на набор равных  по объему  элементов, так называемых  вокселей . Для расчета поглощения рентгеновских лучей каждым вокселем необходимо измерить в нескольких проекциях регистрируемое отдельным детектором ослабление. Это достигается одновременным вращением рентгеновской трубки и массива детекторов в плоскости среза.  В изображении среза ткани ( томограмме ) каждый воксель представляется плоскостным элементом  ( пикселем ),  а размер и расположение пикселя определяются размером и расположением воксела в плоскости сканирования. В изображении на мониторе каждому пикселю соответствует определенный  оттенок серой шкалы  или яркости в зависимости от ослабления в вокселе, при этом кость выглядит светлой, а жировая ткань - относительно темной. MeduMed.Org -  Медицина - Наше Призвание
Визуализируемый срез ткани, разделенный на элементы объема – вокселы Поглощение в каждом вокселе определяет яркость (оттенок серой шкалы) соответствующего пиксела на окончательном двухмерном изображении
Компьютерная томография Достоинства и преимущества Недостатки и ограничения Высокая разрешающая способность Лучевая нагрузка Короткое время выполнения Ограничения  функциональных  исследований Универсальность, стандартизация Применение  контрастных  средств Нет ограничений по тяжести состояния, строению тела и наличию инородных предметов Высокая пропускная способность Скрининг социально значимых  заболеваний
Создатели компьютерной томографии Годфри Хаунсфилд Алан М.Кормак Нобелевские лауреаты за создание метода MeduMed.Org -  Медицина - Наше Призвание
Спиральная КТ В конце 80-х  гг. была разработана новая модификация томографирования, названная  спиральной КТ , при которой в процессе исследования с  одновременным постоянным вращением  системы  “ трубка - детекторы " постоянно и  линейно движется стол , т.е. имеется спиралевидное движение веерообразного луча через тело пациента.  Спиральная КТ дает возможность исследовать анатомическую область за один период задержки дыхания, а  толщина реконструируемого среза не связана с первично заданной шириной томограммы . Получение тонких соприкасающихся срезов (плотно расположенных по спирали) позволяет создавать  трехмерные реконструкции . В комбинации с внутривенным болюсным контрастированием и субтракционной обработкой данных можно создавать КТ-ангиограммы, воспроизводящие изображения крупных сосудов. MeduMed.Org -  Медицина - Наше Призвание
Компьютерный томограф (ложемент и гентри с вариантами наклона)
Шкала Хаунсфилда При томографировании тела пациента создается карта  рентгеновских коэффициентов поглощения , которые выражаются в  единицах Houndsfie l d (HU),  названных так по имени изобретателя метода, где  0   H U  соответствует уровню поглощения дистиллированной  ВОДЫ , а  минус   1000  H U - сухого воздуха . Коэффициент поглощения  костной ткани - плюс 800-1000 HU . Эти коэффициенты называются  денситометрическими показателями ,  с помощью которых определяют плотность тканей в любой точке измеряемого слоя. Денситометрические показатели вычисляются как результат общего поглощения рентгеновских лучей в объемном элементе (вокселе) среза КТ и являются суммой всех содержащихся в нем коэффициентов поглощения различных тканей в области измерения. Измерение плотностных показателей влияет на диагностику заболеваний. MeduMed.Org -  Медицина - Наше Призвание
Шкала Хаунсфилда Кальцификаты Кровь Серое вещество Белое вещество Вода Жир Кортикальная  кость Вода Воздух
Различные уровни «окна» Отображаемый на экране диапазон шкалы Хаунсфилда Костный режим W=2000 H Средостенный  режим W= 5 00 H Легочный режим W= 14 00 H Мягкотканный  режим W= 3 00 H MeduMed.Org -  Медицина - Наше Призвание
КТ головного мозга в норме Мозжечок Мост Гипофиз Таламус Боковой желудочек Белое вещество Серое вещество Лобные доли MeduMed.Org -  Медицина - Наше Призвание
MeduMed.Org -  Медицина - Наше Призвание
MeduMed.Org -  Медицина - Наше Призвание
Мультиспиральная КТ В последние годы стала использоваться  мультиспиральная  (мультисрезовая)   КТ , в основу которой положены принципы получения изображений как при спиральной КТ, но за счет  многорядных детекторов  за полный оборот системы "трубка-детекторы" можно воспроизводить более одного среза (в настоящий момент от 2 до  25 6 изображений), что значительно увеличивает скорость исследования. В связи с этим возможно проведение исследований сердца, обследование большой анатомической области, например легких, тонкими срезами на одной задержке дыхания, существенное улучшение качества мультипланарных и трехмерных реконструкций. Рентгеновская трубка Несколько рядов детекторов Получение от 2 до 256 срезов  за 1 оборот трубки (0,3-0,7 сек)
3 D   реконструкция Кости черепа MeduMed.Org -  Медицина - Наше Призвание
3  D  реконструкция  Кости черепа и твердая мозговая оболочка MeduMed.Org -  Медицина - Наше Призвание
МСКТ - проведение функциональных проб Шейный отдел позвоночника Разгибание Сгибание
МСКТ – объёмная реконструкция MeduMed.Org -  Медицина - Наше Призвание
 
Функциональное исследование   височно-нижнечелюстного сустава Исследование с открытым ртом (20сек.) Исследование с закрытым ртом (20сек.)
КТ легких Трахея Правый главный бронх Главная междолевая щель Ветви легочной артерии MeduMed.Org -  Медицина - Наше Призвание
МСКТ  одинаковое пространственное разрешение в 3 плоскостях Деструкция легочной ткани MeduMed.Org -  Медицина - Наше Призвание
Реконструкция легких Горизонтальная междолевая щель Косая междолевая щель Бифуркация трахеи
МСКТ высокого разрешения Нативное изображение Алгоритм высокого разрешения для оценки паренхимы легких при интерстициальных заболеваниях Грибковое поражение легких
КТ:   3 D  реконструкция полого объекта - бифуркация трахеи Очаг воспаления MeduMed.Org -  Медицина - Наше Призвание
МСКТ – коронарография с внутривенным контрастированием
МСКТ-ангиография   3 D  реконструкция Левая коронарная артерия MeduMed.Org -  Медицина - Наше Призвание
Коронарные артерии (норма) Правая коронарная артерия Левая коронарная артерия MeduMed.Org -  Медицина - Наше Призвание
Шунт Аорто- и маммарно-коронарные шунты MeduMed.Org -  Медицина - Наше Призвание
Стентированные аорто-коронарные шунты Стент Стент
КТ печени MeduMed.Org -  Медицина - Наше Призвание
КТ печени Нативное изображение Внутривенное усиление контрастом – паренхиматозная фаза Печень Селезенка Желудок Аорта Нижняя полая вена Левая почка MeduMed.Org -  Медицина - Наше Призвание
Реконструкции печени Печень Желчный  пузырь Мочевой пузырь Правая почка Толстая кишка Тонкая кишка Верхняя брыжеечная артерия MeduMed.Org -  Медицина - Наше Призвание
КТ с контрастированием Нажмите на изображение для запуска видео MeduMed.Org -  Медицина - Наше Призвание
 
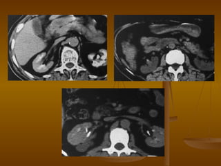
КТ почек Нативное исследование Паренхиматозная фаза  контрастирования Лоханка Ветви почечной артерии MeduMed.Org -  Медицина - Наше Призвание
Реконструкции почек Кортикальная фаза контрастирования Корковое вещество Мозговое вещество MeduMed.Org -  Медицина - Наше Призвание
3 D  ангиография почек Общая подвздошная артерия Брюшная аорта Почечная артерия Чревный ствол MeduMed.Org -  Медицина - Наше Призвание
Почечные артерии (норма) 3Д (затененный объем) MIP (проекция макс. интенсивности) МПР (мультипланарная реконструкция) MeduMed.Org -  Медицина - Наше Призвание
МСКТ - урография Чашечка Лоханка Мочеточник
МСКТ урография   3 D   реконструкция MeduMed.Org -  Медицина - Наше Призвание
МСКТ   –  трехмерная   урография с виртуальной эндоскопией Вид изнутри (виртуальная эндоскопия)
Микционное исследование уретры Исследование с мочеиспусканием после внутривенного введения контрастного препарата или катетеризации мочевого пузыря 3 D  реконструкция Мультипланарная  реконструкция Виртуальная  цистоуретроскопия Мочевой  пузырь Уретра
КТ желудка Норма  Рак желудка MeduMed.Org -  Медицина - Наше Призвание
МСКТ  ТОЛСТОГО КИШЕЧНИКА
МСКТ толстой кишки MeduMed.Org -  Медицина - Наше Призвание
Следствие эволюции КТ: 1 6 3 5 2 4 УЗИ Урография УЗДГ Ангиография Ангиография Сцинтиграфия Вместо множества  методов – …
Следствие эволюции КТ: Сокращение сроков обследования пациентов   (замена принципа «от простого к сложному»  на «выполнение наиболее информативного метода») МСКТ
Электронно-лучевая томография
 
 
МАГНИТНО-РЕЗОНАНСНАЯ ТОМОГРАФИЯ   MeduMed.Org -  Медицина - Наше Призвание
Магнитно-резонансная томография (МРТ)   является одним из современных методов лучевой диагностики, позволяющим неинвазивно получать изображения внутренних структур тела человека.  Важнейшим преимуществом МРТ по сравнению с другими методами лучевой диагностики является  отсутствие ионизирующего излучения  и, как следствие, эффектов  канцеро- и мутагенеза , с риском возникновения которых сопряжено воздействие рентгеновского излучения.  МРТ является единственным методом неинвазивной диагностики, обладающим  высокой чувствительностью и специфичностью  при выявлении  отека и инфильтрации костной ткани .  MeduMed.Org -  Медицина - Наше Призвание
Достоинства МРТ Неинвазивность Отсутствие ионизирующего излучения Трехмерный характер получения   изображений Высокий мягкотканый контраст  Естественный контраст от движущейся   крови Высокая диагностическая   эффективность MeduMed.Org -  Медицина - Наше Призвание
История МРТ 1946 F. Bloch,  E. Purcell Е. Завойский феномен ядерного магнитного резонанса  (Нобелевская премия по физике, 1952) 1972 G. Hounsfield,  А.  Cormack Компьютерная томография  ( Нобелевская премия по физиологии и медицине , 1979) 1973 P. Lauterbur Магнитно-резонансная томография   ( Нобелевская премия по физиологии и медицине , 2003) 1975 R. Ernst кодирование МР сигнала  (Нобелевская премия по химии,1991) 1981 первые клинические МР томографы для исследований всего тела  (EMI, Philips) 1982 первый МР томограф в СССР 1 9 88 Dumoulin МР ангиография 1989 P. Mansfield Эхо-планарная томография   ( Нобелевская премия по физиологии и медицине , 2003)
Феномен магнитного резонанса Состояние   покоя Совпадение частоты РЧ импульса и частоты вращения протонов обеспечивает передачу дополнительной энергии ядрам. При возврате на нижний энергетический уровень ядро отдает энергию - МР-сигнал, который можно зарегистрировать с помощью принимающей катушки.
Источник МР-сигнала Вода Жир (т.е. практически все ткани тела человека) Ядра водорода Почки Вены головного мозга Колено Позвоночник  (поперечный срез)
Принцип МРТ Помещение пациента в статическое магнитное поле -  протоны ориентируются вдоль магнитного поля Добавление переменного поля для выбора среза в теле пациента Передача РЧ импульса -  энергия импульса передается протонам Протоны отдают полученную энергию - в приемных катушках индуцируется электрический ток МР сигнал преобразуется компьютером и используется для построения изображений
Схема проведения магнитно-резонансной томографии MeduMed.Org -  Медицина - Наше Призвание
Высокопольный томограф закрытого типа Низкопольный томограф открытого типа МР-томографы РЧ-катушки Ложемент РЧ-катушки Магнит
МР-томограф открытого типа MeduMed.Org -  Медицина - Наше Призвание
MeduMed.Org -  Медицина - Наше Призвание
Радиочастотные катушки Коленная катушка Головная катушка Нейроваскулярная катушка Спектр обследований, определяется техническими характеристиками аппарата и набором радиочастотных катушек, или специализированных «датчиков» для различных анатомических областей.  Существуют РЧ-катушки для исследования головного мозга, позвоночника, сосудов шеи, молочных желез, коленного сустава, плечевого сустава, эндокавитарные датчики и многие другие.  При покупке МР-томографа его комплектование набором РЧ-катушек осуществляется в соответствии с потребностями конкретного лечебного учреждения, поэтому большинство отделений МРТ не обладает возможностью проведения полного спектра МР-обследований.
Проведение обследования Обследование одной анатомической области методом МРТ включает в себя выполнение  нескольких  так называемых  импульсных последовательностей . Различные импульсные последовательности позволяют получить специфические характеристики тканей человека, оценить  относительное   содержание жидкости, жира, белковых структур или парамагнитных элементов  (железо, медь, марганец и др.).  Стандартные протоколы МРТ включают Т1-взвешенные изображения (чувствительные к наличию жира или крови) и Т2-взвешенные изображения (чувствительные к отеку и инфильтрации) в трех плоскостях (аксиальной, сагиттальной и фронтальной).  Структуры, практически не содержащие протонов (кортикальная кость, кальцификаты, фиброзно-хрящевая ткань), а также артериальный кровоток имеют низкую интенсивность сигнала и на Т1-, и на Т2-взвешенных изображениях.  MeduMed.Org -  Медицина - Наше Призвание
Факторы, определяющие интенсивность сигнала на изображениях MeduMed.Org -  Медицина - Наше Призвание КТ МРТ 1. Плотность тканей 1. Распределение протонов в исследуемой области тела 2. Подвижность протонов (вязкость, кровоток) 3. Наличие больших молекул (протеины) 4. Наличие парамагнитных ионов или молекул Параметры томографии (задаются оператором).
Интенсивность МР-сигнала Интенсивность сигнала MeduMed.Org -  Медицина - Наше Призвание Т1-взвешенные изображения Т2-взвешенные изображения Жировая ткань Кровь  Жидкость с высоким содержанием белка Жировая ткань  Увеличение количества жидкости (отек, опухоль, инфаркт, воспаление, инфекция, острейшее и хроническое кровоизлияние) Увеличение количества жидкости (отек, опухоль, инфаркт, воспаление, инфекция, острейшее и хроническое кровоизлияние) Низкая протонная плотность (кортикальная кость, кальцификаты, фиброзная ткань) Быстрый поток (кровоток) Низкая протонная плотность (кортикальная кость, кальцификаты, фиброзная ткань) Быстрый поток (кровоток)
Т1-взвешенное изображение Жировая ткань (яркая) СМЖ (темная) Кортикальная кость (нет протонов) Серое вещество Белое вещество головного мозга в аксиальной плоскости MeduMed.Org -  Медицина - Наше Призвание
Т2-взвешенное изображение СМЖ (яркая) Жировая ткань (яркая) Кортикальная кость (нет протонов) Серое вещество головного мозга в аксиальной плоскости MeduMed.Org -  Медицина - Наше Призвание
МР-контрастные препараты Несмотря на то, что МРТ   обладает высокой мягко-тканной контрастностью точность диагностики и характеризации гиперваскулярных процессов (опухоли, воспаление, сосудистые мальформации) может быть существенно повышена при использовании  внутривенного контрастного усиления . Более того, многие патологические процессы, вовлекающие ткани головного мозга, не выявляются без внутривенного контрастирования.  Основой для создания МР-контрастных препаратов стал редкоземельный металл  гадолиний . В чистом виде данный металл обладает высокой токсичностью, однако в форме  хелата  становится  практически безопасным  (в т.ч. отсутствует нефротоксичность). Побочные реакции возникают крайне редко (менее 1% случаев) и обычно имеют легкую степень выраженности (тошнота, головная боль, жжение в месте инъекции, парестезии, головокружение, сыпь). При почечной недостаточности частота побочных эффектов не увеличивается. Введение МР-контрастных препаратов при беременности не рекомендуется, т.к. неизвестна скорость клиренса из амниотической жидкости .  MeduMed.Org -  Медицина - Наше Призвание
Искусственное контрастирование Гадолиний ( Gd 3+ ) - металл парамагнетик   Хелаты гадолиния – нетоксичны Контрастный препарат накапливается в зонах повышенного кровотока, а также внеклеточно при поврежденном гемато-тканевом барьере Gd Gd Gd Gd
Современные методики  МР-обследования головного мозга Перфузионная МРТ   -  позволяет получить информацию о кровотоке на капиллярном уровне  Диффузионная МРТ  – позволяет количественно оценить движение молекул воды через мембраны клеток  МР-спектроскопия   – позволяет определить концентрацию метаболитов, таких как  N -ацетиласпартат, лактат, холин, мио-инозитол, в веществе мозга или измерить  pH  ткани мозга  МР-трактография   –  позволяет визуализировать ход проводящих путей головного мозга, например, кортикоспинального тракта  Функциональная МРТ  – позволяет картировать функциональные зоны коры головного мозга, например, двигательную или речевую кору MeduMed.Org -  Медицина - Наше Призвание
Т2-взвешенная томограмма Т 1 -взвешенная томограмма  после введения  Gd Пример контрастирования –  венозная ангиома MeduMed.Org -  Медицина - Наше Призвание
Клиническое применение МРТ
МР-ангиография сосудов шеи Аорта Брахио-цефальный ствол Общая сонная артерия Подключичная артерия Позвоночные артерии Общая сонная артерия Внутренняя сонная артерия Наружная сонная артерия
Виртуальная МР-ангиоскопия Нажмите на изображение для запуска видео
Головной мозг - норма Язык Спинной мозг Мозжечок Мост Гипофиз Лобные доли Теменные доли Мозолистое тело Затылочные доли Гипофиз Хиазма зрительных нервов Височная доля Боковые желудочки
Головной мозг - норма Затылочная доля Червь мозжечка Ножки мозга Гиппокамп Зрительный нерв Височная доля Мозжечок Мост Четвертый желудочек Тройничный нерв Базилярная артерия MeduMed.Org -  Медицина - Наше Призвание
МР-ангиография сосудов головного мозга - норма Без  введения контрастного вещества Средняя мозговая артерия Задняя мозговая артерия Базилярная артерия Передние мозговые артерии Передняя соединительная артерия Внутренняя сонная артерия MeduMed.Org -  Медицина - Наше Призвание
МР-синусография головного мозга Верхний сагиттальный синус Сигмовидный синус Поперечный синус Большая вена Галена Прямой синус MeduMed.Org -  Медицина - Наше Призвание
МРТ в травматологии и ортопедии Визуализации мягко-тканных структур  ( внутрисуставных связок, менисков, синовиальных складок )   Патологические процессы, связанные с увеличением содержания жидкости (отек, инфильтрация, разрывы, контузии), представляются яркими (гиперинтенсивными) на Т2-взвешенных изображениях на фоне исходно низкой интенсивности сигнала от связок, менисков и сухожилий (структур с низким содержанием протонов).  С появлением МРТ практически отпала необходимость в выполнении контрастной артрографии, а в отличие от ультразвукового исследования МРТ позволяет выполнить комплексную оценку как мягких тканей, так и губчатой кости при меньшей степени оператор-зависимости метода. Использование импульсных последовательностей с подавлением сигнала от жира (в т.ч. входящего в состав желтого костного мозга) позволяет выявлять зоны контузии (посттравматического отека) в губчатой кости. MeduMed.Org -  Медицина - Наше Призвание
МРТ в травматологии и ортопедии МРТ позволяет выявлять инфильтрацию и деструкцию костной ткани, замещение костного мозга задолго до появления рентгенологических (в т.ч. КТ) признаков. По этой причине МРТ является методом выбора для ранней диагностики аваскулярного некроза головок бедренных костей, стрессовых и рентгенологически-скрытых переломов.  Чувствительность и специфичность МРТ в выявлении скелетных метастазов превзошли возможности остеосцинтиграфии, в особенности с момента появления томографов с возможностью одномоментного исследования всего тела. MeduMed.Org -  Медицина - Наше Призвание
МРТ кисти Лучевая кость Локтевая кость Ладьевидная кость Полулунная кость Трехгранная кость Сухожилие локтевого разгибателя кисти Головчатая кость MeduMed.Org -  Медицина - Наше Призвание
МРТ шейного отдела позвоночника Продолговатый мозг Спинной мозг Второй шейный позвонок Межпозвонковый диск Тело пятого позвонка Остистый отросток Мозжечок Первый шейный позвонок
MeduMed.Org -  Медицина - Наше Призвание
МРТ пояснично-крестцового отдела позвоночника Крестец Пятый поясничный позвонок Межпозвонковый диск (пульпозное ядро) Спинной мозг Конский хвост Копчик Остистый отросток Межпозвонковый диск (фиброзное кольцо)
МРТ пояснично-крестцового отдела позвоночника Миелография Аксиальная плоскость Позвоночный канал Остистый отросток Фасеточный сустав Межпозвонковый диск Позвоночный канал Конский хвост
МРТ коленного сустава - норма Большеберцовая кость Задняя крестообразная связка Передняя крестообразная связка Надколенник Собственная связка надколенника Хрящ Латеральный мениск Медиальный мениск Внутренняя боковая связка
МРТ органов брюшной полости МРТ органов брюшной полости  может проводиться только на высокопольных томографах, причем наилучшее качество томограмм достигается при томографии с задержкой дыхания (обычно около 20 секунд на 1 импульсную последовательность).  МРТ является методом выбора для дифференциальной диагностики образований паренхиматозных органов брюшной полости и забрюшинного пространства при невозможности выполнения КТ с внутривенным введением йод-содержащих контрастных препаратов.   MeduMed.Org -  Медицина - Наше Призвание
МРТ органов брюшной полости В настоящее время МРТ является наиболее информативным методом при метастатическом поражении печени (особенно при использовании гепатотропных МР-контрастных препаратов), гемангиомах, гепато-целлюлярной карциноме, аденомах печени, фокальной жировой инфильтрации, образованиях надпочечников (при использовании специальных протоколов, высокочувствительных к наличию внутриклеточного жира в аденомах).  Прекрасным дополнением к МРТ органов брюшной полости является бесконтрастная магнитно-резонансная холангиопанкреатикография (МРХПГ), позволяющая получить яркий сигнал только от свободной жидкости (желчи) и являющаяся неинвазивной альтернативой диагностической эндоскопической ретроградной холангиопанкреатикографии (ЭРХПГ), сопряженной с высокой частотой осложнений. МРХПГ успешно используется в диагностике аномалий и стриктур желчных протоков, склерозирующего холангита, холедохолитиаза. MeduMed.Org -  Медицина - Наше Призвание
МРТ органов брюшной полости Т1-взвешенное изображение Правая доля печени Левая доля печени Позвонок Нижняя полая вена Аорта Ножка диафрагмы Желудок Селезенка Толстая кишка Аденома надпочечника Хвост поджелудочной железы MeduMed.Org -  Медицина - Наше Призвание
МРТ органов брюшной полости Двенадцатиперстная кишка Печень Нижняя полая вена Желудок Поджелудочная железа Толстая кишка MeduMed.Org -  Медицина - Наше Призвание
МРТ органов забрюшинного пространства Правая почка Левая почка Аорта Почечная артерия Нижняя полая вена MeduMed.Org -  Медицина - Наше Призвание
МРТ брюшной полости с контрастированием Нажмите на изображение для просмотра видео
МР-холангиопанкреатикография (МРХПГ) Общий желчный проток Вирсунгов проток Пузырный проток (желчный пузырь удален) Общий печеночный проток Правый печеночный проток Левый печеночный проток MeduMed.Org -  Медицина - Наше Призвание
МРТ в урологии Применение МРТ в урологии  существенно расширило возможности предоперационной дифференциации  атипичных кист и кистозных опухолей почек, определения стадии рака почки, выявления инвазии почечной вены . Применение эндокавитарных датчиков (в т.ч. эндоректальных) впервые позволило  визуализировать капсулу предстательной железы , целостность которой является одним из основных критериев операбельности пациента с раком предстательной железы.   MeduMed.Org -  Медицина - Наше Призвание
МР урография Мочевой пузырь Мочеточники Лоханка Чашечки Позвоночный канал
МРТ простаты Лобковый симфиз Периферическая зона простаты Прямая кишка (заполнена эндоректальным датчиком) Центральная зона простаты Внутренние запирательные мышцы Капсула простаты
МРТ в акушерстве и гинекологии Возможности МРТ в акушерстве и гинекологии  пока еще недооценены в России представителями соответствующих клинических специальностей, в первую очередь в силу высокой информативности и распространенности УЗИ. Вместе с тем, уже доказано, что МРТ должна использоваться для определения стадии рака эндометрия и шейки матки (эндоректальные датчики), дифференциации миомы и аденомиоза, предоперационной оценки миом матки, уточнения характера врожденных аномалий матки. У пациенток в третьем триместре беременности с подозрением на клинически узкий таз МР-пельвиометрия является безопасной и информативной альтернативой продолжающей широко применяться рентгеновской пельвиометрии. MeduMed.Org -  Медицина - Наше Призвание
МРТ органов малого таза Мочевой пузырь Матка Лобковые кости Толстая кишка Крестец Эндометрий Влагалище Шейка матки Переходная зона Миометрий MeduMed.Org -  Медицина - Наше Призвание
МР маммография Силиконовый имплант Железистая ткань Фронтальная плоскость Аксиальная плоскость
Недостатки МРТ Высокая стоимость оборудования и его эксплуатации Невозможность надежного выявления камней, кальцификатов, патологии костей Артефакты (в т.ч. от металлических объектов) Длительное время получения изображений Ограничения при обследовании тяжелых больных MeduMed.Org -  Медицина - Наше Призвание
Ограничения МРТ Длительность исследования и спокойное, неподвижное состояние пациента для получения качественных изображений, что определяет необходимость седации у беспокойных пациентов или применения анальгетиков у пациентов с выраженным болевым синдромом. Данная проблема усугубляется необходимостью пребывания пациента в неудобном нефизиологичном положении при некоторых специальных укладках (например, при исследовании плечевого сустава у крупных пациентов).  Боязнь замкнутого пространства (клаустрофобия), в особенности у пациентов со склонностью к развитию истероидных реакций. Однако, во многих случаях эту проблему можно решить с помощью объяснения необходимости и важности диагностики, подробного разъяснения характера исследования, демонстрации устройства МР-томографа, легкой седации. Также для пациентов с клаустрофобией существенной психологической поддержкой является нахождение рядом врача или родственника на протяжении исследования. Вместе с тем, выраженная клаустрофобия является абсолютным противопоказанием для обследования методом МРТ.  MeduMed.Org -  Медицина - Наше Призвание
Также МРТ значительно в большей степени, чем КТ, подвержена возникновению артефактов. Качество томограмм может быть резко снижено из-за артефактов от движения пациента (дыхания, сердцебиения, непроизвольных движений), металлических объектов (фиксированных внутри тела или в предметах одежды), пульсации сосудов, неправильной настройки томографа. Для уменьшения выраженности артефактов обычно используется дополнительная фиксация исследуемой части тела пациента, синхронизация томографии с ЭКГ, дыханием, периферическим пульсом.  Все металлические объекты (заколки, булавки, монеты, съемные зубные протезы и т.д.) должны оставляться пациентом на время обследования в специально отведенном для этого месте. Более того, в помещение МР-томографа не должны вноситься никакие металлические объекты, так как они могут быть притянуты магнитным полем с большой скоростью, нанести травму пациенту или медицинскому персоналу и надолго вывести из строя томограф. Ограничения МРТ MeduMed.Org -  Медицина - Наше Призвание
У детей в возрасте от периода новорожденности до 5-6 лет обследование обычно может быть проведено только на фоне седации под контролем анестезиолога. У детей младшего школьного возраста может потребоваться присутствие во время исследования одного из родителей. Основными диагностическими ограничениями МРТ является невозможность достоверного выявления кальцинатов, оценки минеральной структуры костной ткани (плоские кости, кортикальная пластинка).  МРТ не позволяет детально характеризовать паренхиму легких, уступая возможностям КТ.   Ограничения МРТ MeduMed.Org -  Медицина - Наше Призвание
Диагностические ограничения МРТ Пульмонология - Визуализация возможна при использовании гиперполяризованных газов Гастроэнтерология - За исключением МР-энтерографии с двойным контрастированием На сегодняшний день диагностические возможности клинической МР-томографии ограничены в следующих областях: MeduMed.Org -  Медицина - Наше Призвание
Артефакт магнитной восприимчивости в области краниотомии  (источник – металлический материал) MeduMed.Org -  Медицина - Наше Призвание
Артефакты от движения (дыхание и сердцебиение) MeduMed.Org -  Медицина - Наше Призвание
Абсолютные противопоказания к МРТ связаны с воздействием магнитного поля и радиочастотного (неионизирующего) излучения.   Обследование методом МРТ  запрещено .   Наличие у пациента искусственного водителя ритма (может перейти в асинхронный режим работы под воздействием градиентного магнитного поля)  Внутричерепных ферромагнитных гемостатических клипс (при смещении может произойти повреждение сосуда и кровотечение) Периорбитальных ферромагнитных инородных тел (при смещении может произойти повреждение глазного яблока). Выраженная клаустрофобия   MeduMed.Org -  Медицина - Наше Призвание
Относительные противопоказания к МРТ Первый триместр беременности,  Застойная сердечная недостаточность.  Большинство медицинских устройств является  условно  совместимыми с МРТ.  Это значит, что обследование пациентов с установленными стентами, внутрисосудистыми катушками, фильтрами, протезами сердечных клапанов может проводиться при наличии клинических показаний по согласованию со специалистом по лучевой диагностике на основе информации компании-производителя о характеристиках металла, из которого изготовлено установленное устройство.   Несъемные зубные протезы или беременность (второй и третий триместр) не являются противопоказанием для МРТ. MeduMed.Org -  Медицина - Наше Призвание
РАДИОНУКЛИДНАЯ ДИАГНОСТИКА   Сцинтиграфия Радиоиммунный анализ Позитронно-эмиссионная томография (ПЭТ) «И в небе и в земле сокрыто больше, чем снится Вашей мудрости, Горацио». У.Шекспир MeduMed.Org -  Медицина - Наше Призвание
Сцинтиграфия печени MeduMed.Org -  Медицина - Наше Призвание
Остеосцинтиграфия MeduMed.Org -  Медицина - Наше Призвание
Остеосцинтиграфия
ПЭТ-КТ легких Совмещение ПЭТ (позитронно-эмиссионная томография) и МСКТ Двухсторонняя корневая  лимфаденопатия (метастазы) МСКТ легких MeduMed.Org -  Медицина - Наше Призвание
ПЭТ туловища MeduMed.Org -  Медицина - Наше Призвание
УЛЬТРАЗВУКОВАЯ ДИАГНОСТИКА   Эхография Ультразвуковое сканирование Допплерография 3-х мерная УЗД ТРУЗИ ВКУЗИ «Что труднее всего? То, что тебе кажется самым легким:  видеть глазами то, что лежит перед тобой». В.Гете MeduMed.Org -  Медицина - Наше Призвание
УЛЬТРАЗВУКОВОЕ СКАНИРОВАНИЕ Злокачественное  новообразование грудной стенки
УЛЬТРАЗВУКОВОЕ СКАНИРОВАНИЕ Перекрут  ножки яичника MeduMed.Org -  Медицина - Наше Призвание
УЛЬТРАЗВУКОВОЕ СКАНИРОВАНИЕ Аневризма брюшного отдела аорты
УЛЬТРАЗВУКОВОЕ СКАНИРОВАНИЕ Гепатома
УЛЬТРАЗВУКОВОЕ СКАНИРОВАНИЕ Нос и губы плода
3-х МЕРНАЯ УЗД
Благодарю за внимание
РЕНТГЕНОКОНТРАСТНЫЕ ВЕЩЕСТВА (РКВ) НИЗКОАТОМНЫЕ   (рентгенонегативные) Воздух Кислород Методики: пневмоартрография, ДОКография желудка и толстой кишки,  III эт .  ирригоскопии. ВЫСОКОАТОМНЫЕ  (рентгенопозитивные) А. Соли тяжелых металлов:  Сульфат бария,  БАР-Випс,  Микропак,  Энтерову Методики:   РДИ  пищевода и желудка, дуоденография, энтерография, илеоцекография, I и II этапы  ирригоскопии, ДОКография желудка и толстой кишки. Б. Органические соединения йода: а) водные  б) масляные ионные  неионные   Урографин   Омнипак  Липиодол Телебрикс   Ксенетикс  Методики:   Гексабрикс  Ультравист  фистулография Гипак  лимфография,  Методики:   сиалография  фистулография, ангиографии,   урографии
НИЗКОАТОМНЫЕ  (рентгенонегативные) :   Воздух     Кислород   Методики: пневмоартрография, ДОКография желудка и толстой кишки,  III эт .  ирригоскопии MeduMed.Org -  Медицина - Наше Призвание
ДОКография толстой кишки
Биконтрастная пельвиография
Пневмоартрография MeduMed.Org -  Медицина - Наше Призвание
ВЫСОКОАТОМНЫЕ (рентгенопозитивные) Соединения бария:   а) порошок, смешиваемый с водой  -   сульфат бария,  БАР-Випс,  микропак, баритген, c ульфат бария в  суспензии,  б) готовые взвеси бария – миксобар, энтерову Методики:  Р ДИ  пищевода и желудка, дуоденография, энтерография, илеоцекография,  ирригоскопии, ДОКография желудка, ДОКография толстой кишки.
Рентгеноскопия желудка
Энтерография MeduMed.Org -  Медицина - Наше Призвание
ВЫСОКОАТОМНЫЕ (рентгенопозитивные) Методы :  -  ангиографии – коронарография.   Методы:   фистулография ,   аортография, артериография;   лимфография, урографии – экскреторная, ретроградная .  сиалография. Соединения йода Водные Масляные Ионные Неионные урографин телебрикс гексабрикс гипак Липиодол ультра-флюид омнипак ксенетикс ультравист
Метросальпингография MeduMed.Org -  Медицина - Наше Призвание
Церебральная ангиография
Коронарография
Мезентерикография MeduMed.Org -  Медицина - Наше Призвание
ВЫСОКОАТОМНЫЕ (рентгенопозитивные)  орг. соедин. йода на водной основе (кольца)
Типы контрастных препаратов  (таблица 2) Тип рентгено-контрастного средства Международное название Торговое название Ионные Мономеры (высоко-осмолярные) Амидотризоат Метризоат Йоталамат Йодамид Йокситаламат Диатризоат Урографин  Гипак Триомбраст Изопак Конрей, вазорей  Йодамид  Телебрикс Тразограф Димеры (низко-осмолярные) Иоксаглат Гексабрикс Неионные Мономеры (низко-осмолярные) Иопромид йогексол Йопамидол Мобитридол Яоверсол Доксилан Зомепрол Ультравист Омнипак Йопамиро. Ксенетикс Лопамиро Оптирей Оксилан Димеры 'изоосмолярные) Зодиксанол Визипак
Характеристика водных йодсодержащих препаратов по хим. свойствам (табл. Китаева) MeduMed.Org -  Медицина - Наше Призвание
Факторы, определяющие безопасность водных  йодсодержащих препаратов  хемотоксичность, осмолярность, вязкость, гидрофильность, растворимость, электическая активность (ионный состав) MeduMed.Org -  Медицина - Наше Призвание
Возможные реакции на водные  йодсодержащие препараты I.   Лёгкая степень :   жар, сухость во рту, тошнота, нехватка  воздуха .  II.  Средняя степень:   сильная тошнота, рвота, озноб,  риноконьюнктивит, крапивница, отёк Квинке. III.  Тяжёлая степень:   резкое падение АД, бледность,  астматический  статус,  коллапс, нарушение сердечной  деятельности, судороги, анафилактический шок Количество РКВ (до 50 мл) и возраст  не влияют  на число и выраженность осложнений Поздние побочные реакции  –  реакции, возникающие в период от 1 часа до 1 недели после контрастного исследования – тошнота, рвота, головная боль, повышение  t , боли в  мышцах и суставах, кожные высыпания.
Абсолютные противопоказание на введение водных  йодсодержащие препараты высокая температура, активный туберкулёз, гипертиреоз, декомпенсация сердца, печени, почек, недавное перенесенный инфаркт миокарда (5-6 мес.), диффузные поражения миокарда, тяжелые стадии ГБ,  эмфизема лёгких,  дыхательная недостаточность при коронарной недостаточности , миеломная болезнь, острые флебиты, значительное увеличение индекса протромбтна и свертываемости крови. MeduMed.Org -  Медицина - Наше Призвание
Относительные  противопоказание на введение водных  йодсодержащие препараты (факторы риска) дети грудного и младшего возраста; возраст более 70 лет;  аллергии любого генеза ; общее тяжёлое состояние;  обезвоживание организма, алкоголизм;  реакции на РКВ в анамнезе;  бронхиальная астма;  холодовая аллергия; рахит;  острый панкреатит; сахарный диабет; плазмоцитома,  серповидно-клеточная анемия , токсикоз;  мягко протекающий узловой зоб; недостаточность паращитовидных желёз; застойная сердечная недостаточность , судороги центрального генеза; выраженный атеросклероз сосудов головного мозга; повышение свертываемости крови, индекса протромбина, креатинина сыворотки (более 44  ммоль/л ), гипопротеинемия; прием пациентом нефротоксичных препаратов, длительный приём  глюкокортикоидов, интерлейкина; - почечные остеодистрофии.
Профилактика осложнений на водные йодсодержащие препараты   при налиичии аллергических реакций в анамнезе подготовитьбольного: за 2-3  дня АКТГ по 10 ЕД, на ночь седуксен, глюкоза, димедрол, за 12 и 2 часа  до исследования преднизолон по 30 мг; проведение рентгеноконтрастной процедуры только в присутствии рент- генолога, желательно и наличие лечащего врача; - подогреть контраст до температуры тела пациента; проведение тест-пробы; введение РКВ в трохопозиции пациента, желательео по методике Пытеля; при в/в введении использовать контраст не более 60% концентрации (не более 300 мг/мл); использовать объём не более 50 мл; вводить контраст в крупный сосуд; после инъекции контраста наблюдать за больным не менее 30 минут; MeduMed.Org -  Медицина - Наше Призвание
Оснащение аптечки  рентгенодиагностического кабинета   Инструменты:  с терильный перевязочный материал,  одноразовые шприцы, система для переливания,  желудочный зонд, набор для трахеостомии, роторасширитель, языкодержатель, электроотсос.  Медикаменты:   кислород;  5%, 20% и 40% глюкоза; физ.раствор; кофеин, адреналин, норадреналин, строфантин; эуфиллин, эфедрин, теофилламин; хлористый кальций, глюконат кальция; гидрокортизон, преднизолон; димедрол, пипольфен, супрастин; атропин, таламонал, диазепам; 30% раствор тиосульфата натрия. При выраженной реакции вызвать врача-реаниматолога! MeduMed.Org -  Медицина - Наше Призвание
Первая помощь при реакциях и осложнениях на РКВ Лёгкие реакции и осложнения  :   Интенсивное проветриваниепомещения, Повторные вдох и выдох в герметичный пакет; При сосудистых реакциях  ( гипотония, бради- и тахикардия):   положить пациента в положение Тренделенбурга, кислород, в/в или в/м атропин 0,5 мг,  при брадикардии –  диазепам;  Удушье в лёгкой степени:  теофилламин 6 мг/кг веса, эфедрин, адреналин 0,5-0,8 мл 0,1% п/к MeduMed.Org -  Медицина - Наше Призвание
 
«Большие» рентгенодиагностические исследования (РДИ):   рентгенография поясничного отдела позвоночника, рентгенография таза, рентгенография тазобедренного сустава, РДИ почек и мочевых путей, РДИ тонкой кишки, РДИ толстой кишки, РДИ органов малого таза, соматические ангиографии. !!!   Женщинам детородного возраста «большие» РДИ  проводятся только в первую неделю после менструации (за исключением жизненно важных показаний) !!!
Подготовка к «большим» РДИ: (за 3-4 дня до РДИ) полноценное белковое питание нормализация стула, повышенный приём жидкости (за исключением дня накануне исследования), приём пектинсодержащих соков, поливитамины (А,В,С,Р), свежие овощи (капуста, хрен, редька, редис, свёкла), грецкие орехи, исключить из рациона кофе MeduMed.Org -  Медицина - Наше Призвание
Защита пациента при проведении РДИ   I  . Защита экранированием критических органов  -  эмбриональные ткани,  -  всё тело до 3-х лет, -  красный костный мозг,  -  цилиндрический эпителий кишечника, -  гонады,  -  лимфоидная ткань, -  хрусталик глаза. II . Защита расстоянием -  максимальное расстояние до рентг.трубки (не менее   пятикратной толщины снимаемого объекта), -  отсуствие в процедурной в момент проведения РДИ других    пациентов. III . Защита временем -  рациональный выбор числа методик, -  применение минимальных экспозиций, -  лимит времени при рентгеноскопии    (грудная клетка -  30 сек. для детей и 3 мин. для взрослых; органы ЖКТ –    3 мин. для детей и 10 мин. для взрослых).

Методы лучевой диагностики

  • 1.
    ИЖЕВСКАЯ ГОСУДАРСТВЕННАЯ МЕДИЦИНСКАЯАКАДЕМИЯ МЕТОДЫ ЛУЧЕВОЙ ДИАГНОСТИКИ Проф . Б.Н.САПРАНОВ MeduMed.Org - Медицина - Наше Призвание
  • 2.
    Е е составные части: Л УЧЕВАЯ ДИАГНОСТИКА с ин . РАДИОЛОГИЯ, И НТРАСКОПИЯ, МЕДИЦИНСКАЯ ВИЗУАЛИЗАЦИЯ, ДИАГНОСТИЧЕСКАЯ РАДИОЛОГИЯ. ЛУЧЕВАЯ ТЕРАПИЯ син . РАДИАЦИОННАЯ ТЕРАПИЯ . ИНТЕРВЕНЦИОННАЯ РАДИОЛОГИЯ. РАДИАЦИОННАЯ ГИГИЕНА РАДИОБИОЛОГИЯ ДОЗИМЕТРИЯ МЕДИЦИНСКАЯ РАДИОЛОГИЯ – область медицины, изучающая использование проникающего излучения в диагностических, лечебных, гигиенических и исследовательскиъ целях. MeduMed.Org - Медицина - Наше Призвание
  • 3.
    ЛУЧЕВАЯ ДИАГНОСТИКАI. РЕНТГЕНОДИАГНОСТИКА – РДИ II. РАДИОНУКЛИДНАЯ ДИАГНОСТИКА (РНД) III. УЛЬТРАЗВУКОВАЯ ДИАГНОСТИКА (УЗД) IV. КОМПЬЮТЕРНАЯ ТОМОГРАФИЯ(КТ) V. МАГНИТНО-РЕЗОНАНСНАЯ ТОМОГРАФИЯ (МРТ) MeduMed.Org - Медицина - Наше Призвание
  • 4.
    РОЛЬ ЛУЧЕВЫХМЕТОДОВ ДИАГНОСТИКИ В КЛИНИКЕ (по данным ВОЗ) УЗД – 50% РДИ – 40% КТ – 3% МРТ – 2% Радионуклидная диагностика – 1% ДСА, маммография, остеоденситометрия и др. – 4% MeduMed.Org - Медицина - Наше Призвание
  • 5.
    СООТНОШЕНИЕ ЛУЧЕВЫХ МЕТОДОВДИАГНОСТИКИ В РОССИИ (МНИИЛД, 2004г.) УЗД – 47% РДИ и КТ – 42% РНК – 3,6% МРТ – 7,4% с использованием в 58% случаев неионизирующих и в 42% ионизирующих излучений MeduMed.Org - Медицина - Наше Призвание
  • 6.
    В.К. РЕНТГЕН MeduMed.Org- Медицина - Наше Призвание
  • 7.
    «в том пантеоненауки, которое построит благодарное человечество, имя В. Рентгена должно быть вписано золотом славы наряду с именами других ученых». А.В. Луначарский НЕСКОЛЬКО СЛОВ ИЗ ИСТОРИИ 8 ноября 1895 г., Вюрцбург. В.К. Рентген открыл Х-лучи, которые сразу же переименовали в рентгеновские лучи. 22 декабря 1895 г., Вюрцбург. В.К. Рентген получил рентгеновский снимок кисти своей жены 28 декабря 1895 г., Вена. G . Kaiser выполнил первый рентгеновский снимок по медицинским показаниям. MeduMed.Org - Медицина - Наше Призвание
  • 8.
    «Рентгеновы лучи являютсявеличайшим созданием человеческого гения». А.М. Горький 16 января 1896 г., Петербург, ВМА. Н.Г.Егоров произвел рентгеновский снимок кисти 1907 г. Петербург. Императорский клинический институт для усовершенствования врачей (МАПО). Доц. А.К.Яновский организовал первые в мире курсы по рентгенодиагностике. 1918 г., Петербург. Проф. А.Иоффе и проф. М.И. Неменов основали первый в мире Государственный рентгенологический, радиологический и раковый институт. 1919 г., Петербург. Клинический институт для усовершенствования врачей (МАПО). Проф. А.К.Яновский основал первую в мире кафедру рентгенологии. MeduMed.Org - Медицина - Наше Призвание
  • 9.
  • 10.
    Одна из первых рентгеноскопий(1902 год) .
  • 11.
  • 12.
  • 13.
    Свойства рентгеновских лучей: прямолинейность распространения, распространение со скорость света , интерференция и дифракция , флюоресц енция, фотохимическое действие , ионизирующая способность, проникающая способность , биологическое действие.
  • 14.
    Схема строения рентгентрубкии генерирования рентгеновского излучения . U н потребляемая мощность (0,002 вт — 60 квт длина волны 0,005 - 10   н м A V вода катод Медный анод наплавка из «тяжелого» металла Колба с вакуумом
  • 15.
    MeduMed.Org - Медицина - Наше Призвание
  • 16.
    ПРЯМАЯ АНАЛОГОВАЯ ТЕХНОЛОГИЯ РДИ Методики: - РЕНТГЕНОГРАФИЯ, - ФЛЮОРОГРАФИЯ , - ЛИНЕЙНАЯ ТОМОГРАФИЯ, - МАММОГРАФИЯ.
  • 17.
  • 18.
    MeduMed.Org - Медицина - Наше Призвание
  • 19.
    MeduMed.Org - Медицина - Наше Призвание
  • 20.
    Дентальные рентгеновские аппаратыMeduMed.Org - Медицина - Наше Призвание
  • 21.
  • 22.
    НЕПРЯМАЯ АНАЛОГОВАЯ ТЕХНОЛОГИЯРДИ Методики: - РЕНТГЕНОСКОПИЯ , - ДСА (дигитальная субтракционная ангиография) - 1 этап, - ИНТЕРВЕНЦИОННАЯ РАДИОЛОГИЯ. MeduMed.Org - Медицина - Наше Призвание
  • 23.
  • 24.
    ЦИФРОВАЯ (ДИГИТАЛЬНАЯ) ТЕХНОЛОГИЯРДИ Методики: - ДСА – 2 этап, - ОСТЕОДЕНСИТОМЕТРИЯ, - ЦИФРОВАЯ ФЛЮОРОГРАФИЯ, - КОМПЬЮТЕРНАЯ ( ЛЮМИНИСЦЕНТНАЯ) РЕНТГЕНОГРАФИЯ, АЦП ЦМ ЦАП МФК М БУ Д MeduMed.Org - Медицина - Наше Призвание
  • 25.
  • 26.
  • 27.
  • 28.
  • 29.
  • 30.
    СКИАЛОГИЯ Построение рентгеновскогоизображения. Видимый свет, падая на предмет, отражается от него и достигнув глаза, создает изо-бражение внешнего вида предмета. На этом основан принцип фотографии – видимые лучи, отражённые от объекта, падают на фотоплёнку, где создается изображение внешней поверхности объекта. Рентгеновские же лучи проникают внутрь анатомического объекта, при этом они частично поглощаются (плотные образования), частично рассеиваются (менее плотные образования или большая толщина неплотных образований - например, жировая ткань), частично сохраняют своё прямолинейное направление, проходя через ткани, содержащие воздух (лёгкое) или мягкотканевые структуры. В построении рентгеновского изображения, таким образом, имеют значение поглощенные и прямолинейные лучи, рассеяние же лишь ухдшают характеристики получаемого изображения, и количество их всегда стараются уменьшить с помощью различных приемов (отсеивающие решётки, сдавление мягких тканей и др.). Таким образом, рентгеновские лучи «видят» внутреннее, структурное строение органа. Но так как изолированного расположения органа в организме нет, а рентгеновские лучи проходят через всю толщину различных по плотности и атомному составу тканей на уровне исследуемого органа, рентгеновское изображение является плоским и суммационным, то есть одни органы «исчезают» или вследствие низкого удельного веса их, или вследстие полного слияния их теней, другие частично накладываются друг на друга. MeduMed.Org - Медицина - Наше Призвание
  • 31.
    В зависимости отприемника рентгеновских лучей – плёнка или экран, изображение будет различным. На флюоресцирующем экране плотный объект будет давать тёмный участок, так как большая часть лучей была поглощена этим плотным объектом, и экран на этом уровне не светится. В случае прохождения лучей через менее плотные ткани появится слабое, а при прохождении через воздух – яркое свечение экрана. Всё будет наоборот на плёнке – так как плотный объект задержал рентгеновские лучи, на участке плёнки на его уровне не будет взаимодействии с кристаллами бромистого серебра, входя-щими в состав желатинового слоя плёнки, и после фотообработки он останется светлым. Те же лучи, которые прошли через воздух, активное воздействуют на бромистое серебро, что ведет к реакции восстановления металлического серебра, и плёнка после обработки в этом месте чернеет. В первом случае мы получаем позитивное изображение, во втором - негативное. Читаются оба изображения одинаково, как позитивное, то есть на плёнке плотные образования снятого объекта, давая светлые участки, интерпретируются как тени, соответственно тёмные участи расцениваются как просветления. Степень поглощения рентгеновских лучей, независимо от их жёсткости, зависит ещё и от характеристик анатомического объекта – атомного состава, удельного веса и тол-щины объекта. А так как строение органов человека по этим характеристикам не одина-ково, и возникают условия для для разграничения отдельных органов с помощью рентгеновских лучей. MeduMed.Org - Медицина - Наше Призвание
  • 32.
    ОСНОВНЫЕ ЗАКОНЫ СКИАЛОГИИПервый закон - абсорбционный , сводится к следующему: исследуемый объект даст изолированную тень (изображение) от рядом лежащих объектов только в том случае, если он значительно отличается от них по атомному или удельному весу, или по толщине . Второй закон – тангенциальный , который сводится к следующему: объекты выявляются раздельно лишь в том случае, если рентгеновские лучи идут касательно (т.е. тангенциально) к поверхностям (т.е. к контурам) этих объектов. MeduMed.Org - Медицина - Наше Призвание
  • 33.
    ПРАВИЛА СКИАЛОГИИ ПРИРЕНТГЕНОГРАФИИ 1. При рентгенографии расстояние объект-плёнка всегда должно быть максимальным (при этом нужно учитывать мощность рентгеновской трубки и наличие отсеивающей решётки). 2. При рентгенографии расстояние объект-плёнка должно быть минимальным . 3. При рентгенографии необходимо центр рентгеновского пучка направлять на центр снимаемого объекта (периодически проверять световой центратор!) 4. При рентгенографии плоскость снимаемого объекта должна быть параллельна плоскости плёнки (учитывать анатомическое расположение органов!), а рентгеновский луч должен быть направлен перпендикулярно плоскости плёнки. 5. Объект при рентгенографии должен быть неподвижным. 6. Учитывать пяточный эффект. MeduMed.Org - Медицина - Наше Призвание
  • 34.
  • 35.
    MeduMed.Org - Медицина - Наше Призвание
  • 36.
  • 37.
    MeduMed.Org - Медицина - Наше Призвание
  • 38.
    MeduMed.Org - Медицина - Наше Призвание
  • 39.
    MeduMed.Org - Медицина - Наше Призвание
  • 40.
  • 41.
    MeduMed.Org - Медицина - Наше Призвание
  • 42.
    MeduMed.Org - Медицина - Наше Призвание
  • 43.
    КОМПЬЮТЕРНАЯ ТОМОГРАФИЯ Пошаговая КТ Спиральная КТ Мультиспиральная КТ Электронно-лучевая КТ «Вдруг стало далеко видно во все концы света». Н.В.Гоголь MeduMed.Org - Медицина - Наше Призвание
  • 44.
    Эволюция томографии Рентгеновская продольная томография легких Компьютерная томография легких MeduMed.Org - Медицина - Наше Призвание
  • 45.
    Принцип компьютерной томографииКомпьютерная томография (КТ) была изобретена английским ученым Г. Хаунсфилдом в 1972 г . Главным преимуществом данного метода является контрастное разрешение , которое превышает характеристики проекционных рентгеновских технологий и обусловлено, главным образом, различиями в тканевых коэффициентах поглощения . КТ фундаментально отличается от традиционной томографии. При компьютерной томографии излучение направляется только на тонкий слой тканей . Вследствие этого отсутствует наложение или размывание структур, расположенных вне выбранных срезов. Традиционное томографическое изображение, напротив, содержит размытую информацию обо всех тканях, расположенных вне изображенной плоскости. MeduMed.Org - Медицина - Наше Призвание
  • 46.
    Принцип компьютерной томографииМетод КТ позволяет количественно анализировать степень поглощения рентгеновского излучения различными тканями . В компьютерных томографах рентгеновская трубка, связанная с системой детекторов, вращается в аксиальной плоскости вокруг тела пациента. Испускаемый трубкой рентгеновский пучок шириной в 1-10 мм, проходя через исследуемый слой, ослабляется в разной степени для каждой точки. Пропускаемый через пациента пучок рентгеновских лучей фиксируется системой специальных детекторов, которые примерно в 100 раз чувствительнее рентгеновской пленки. В качестве детекторов используются либо кристаллы различных химических соединений (например, йодид натрия), либо полые камеры , наполненные сжатым ксеноном . MeduMed.Org - Медицина - Наше Призвание
  • 47.
    КТ обследование Исследованиепроводится следующим образом : Вначале для планирования томографирования выполняется продольное проекционное изображение ("топограмма", "scout-view" ) анатомической области. Топограмму получают путем перемещения стола с находящимся на нем пациентом через пучок лучей без вращения трубки или детекторов. Далее выполняется томографирование. При этом трубка испускает тонкий веерообразный пучок рентгеновских лучей, а стол с пациентом остается неподвижным. Толщина томограмм (срезов) зависит от степени коллимации рентгеновского пучка, например от 1 до 10 мм. После сбора информации стол передвигается на заданное расстояние и выполняется следующая томограмма (шаговый режим КТ). MeduMed.Org - Медицина - Наше Призвание
  • 48.
    КТ изображение Исследуемыйсрез ткани можно представить разделенным на набор равных по объему элементов, так называемых вокселей . Для расчета поглощения рентгеновских лучей каждым вокселем необходимо измерить в нескольких проекциях регистрируемое отдельным детектором ослабление. Это достигается одновременным вращением рентгеновской трубки и массива детекторов в плоскости среза. В изображении среза ткани ( томограмме ) каждый воксель представляется плоскостным элементом ( пикселем ), а размер и расположение пикселя определяются размером и расположением воксела в плоскости сканирования. В изображении на мониторе каждому пикселю соответствует определенный оттенок серой шкалы или яркости в зависимости от ослабления в вокселе, при этом кость выглядит светлой, а жировая ткань - относительно темной. MeduMed.Org - Медицина - Наше Призвание
  • 49.
    Визуализируемый срез ткани,разделенный на элементы объема – вокселы Поглощение в каждом вокселе определяет яркость (оттенок серой шкалы) соответствующего пиксела на окончательном двухмерном изображении
  • 50.
    Компьютерная томография Достоинстваи преимущества Недостатки и ограничения Высокая разрешающая способность Лучевая нагрузка Короткое время выполнения Ограничения функциональных исследований Универсальность, стандартизация Применение контрастных средств Нет ограничений по тяжести состояния, строению тела и наличию инородных предметов Высокая пропускная способность Скрининг социально значимых заболеваний
  • 51.
    Создатели компьютерной томографииГодфри Хаунсфилд Алан М.Кормак Нобелевские лауреаты за создание метода MeduMed.Org - Медицина - Наше Призвание
  • 52.
    Спиральная КТ Вконце 80-х гг. была разработана новая модификация томографирования, названная спиральной КТ , при которой в процессе исследования с одновременным постоянным вращением системы “ трубка - детекторы " постоянно и линейно движется стол , т.е. имеется спиралевидное движение веерообразного луча через тело пациента. Спиральная КТ дает возможность исследовать анатомическую область за один период задержки дыхания, а толщина реконструируемого среза не связана с первично заданной шириной томограммы . Получение тонких соприкасающихся срезов (плотно расположенных по спирали) позволяет создавать трехмерные реконструкции . В комбинации с внутривенным болюсным контрастированием и субтракционной обработкой данных можно создавать КТ-ангиограммы, воспроизводящие изображения крупных сосудов. MeduMed.Org - Медицина - Наше Призвание
  • 53.
    Компьютерный томограф (ложементи гентри с вариантами наклона)
  • 54.
    Шкала Хаунсфилда Притомографировании тела пациента создается карта рентгеновских коэффициентов поглощения , которые выражаются в единицах Houndsfie l d (HU), названных так по имени изобретателя метода, где 0 H U соответствует уровню поглощения дистиллированной ВОДЫ , а минус 1000 H U - сухого воздуха . Коэффициент поглощения костной ткани - плюс 800-1000 HU . Эти коэффициенты называются денситометрическими показателями , с помощью которых определяют плотность тканей в любой точке измеряемого слоя. Денситометрические показатели вычисляются как результат общего поглощения рентгеновских лучей в объемном элементе (вокселе) среза КТ и являются суммой всех содержащихся в нем коэффициентов поглощения различных тканей в области измерения. Измерение плотностных показателей влияет на диагностику заболеваний. MeduMed.Org - Медицина - Наше Призвание
  • 55.
    Шкала Хаунсфилда КальцификатыКровь Серое вещество Белое вещество Вода Жир Кортикальная кость Вода Воздух
  • 56.
    Различные уровни «окна»Отображаемый на экране диапазон шкалы Хаунсфилда Костный режим W=2000 H Средостенный режим W= 5 00 H Легочный режим W= 14 00 H Мягкотканный режим W= 3 00 H MeduMed.Org - Медицина - Наше Призвание
  • 57.
    КТ головного мозгав норме Мозжечок Мост Гипофиз Таламус Боковой желудочек Белое вещество Серое вещество Лобные доли MeduMed.Org - Медицина - Наше Призвание
  • 58.
    MeduMed.Org - Медицина - Наше Призвание
  • 59.
    MeduMed.Org - Медицина - Наше Призвание
  • 60.
    Мультиспиральная КТ Впоследние годы стала использоваться мультиспиральная (мультисрезовая) КТ , в основу которой положены принципы получения изображений как при спиральной КТ, но за счет многорядных детекторов за полный оборот системы "трубка-детекторы" можно воспроизводить более одного среза (в настоящий момент от 2 до 25 6 изображений), что значительно увеличивает скорость исследования. В связи с этим возможно проведение исследований сердца, обследование большой анатомической области, например легких, тонкими срезами на одной задержке дыхания, существенное улучшение качества мультипланарных и трехмерных реконструкций. Рентгеновская трубка Несколько рядов детекторов Получение от 2 до 256 срезов за 1 оборот трубки (0,3-0,7 сек)
  • 61.
    3 D реконструкция Кости черепа MeduMed.Org - Медицина - Наше Призвание
  • 62.
    3 D реконструкция Кости черепа и твердая мозговая оболочка MeduMed.Org - Медицина - Наше Призвание
  • 63.
    МСКТ - проведениефункциональных проб Шейный отдел позвоночника Разгибание Сгибание
  • 64.
    МСКТ – объёмнаяреконструкция MeduMed.Org - Медицина - Наше Призвание
  • 65.
  • 66.
    Функциональное исследование височно-нижнечелюстного сустава Исследование с открытым ртом (20сек.) Исследование с закрытым ртом (20сек.)
  • 67.
    КТ легких ТрахеяПравый главный бронх Главная междолевая щель Ветви легочной артерии MeduMed.Org - Медицина - Наше Призвание
  • 68.
    МСКТ одинаковоепространственное разрешение в 3 плоскостях Деструкция легочной ткани MeduMed.Org - Медицина - Наше Призвание
  • 69.
    Реконструкция легких Горизонтальнаямеждолевая щель Косая междолевая щель Бифуркация трахеи
  • 70.
    МСКТ высокого разрешенияНативное изображение Алгоритм высокого разрешения для оценки паренхимы легких при интерстициальных заболеваниях Грибковое поражение легких
  • 71.
    КТ: 3 D реконструкция полого объекта - бифуркация трахеи Очаг воспаления MeduMed.Org - Медицина - Наше Призвание
  • 72.
    МСКТ – коронарографияс внутривенным контрастированием
  • 73.
    МСКТ-ангиография 3 D реконструкция Левая коронарная артерия MeduMed.Org - Медицина - Наше Призвание
  • 74.
    Коронарные артерии (норма)Правая коронарная артерия Левая коронарная артерия MeduMed.Org - Медицина - Наше Призвание
  • 75.
    Шунт Аорто- имаммарно-коронарные шунты MeduMed.Org - Медицина - Наше Призвание
  • 76.
  • 77.
    КТ печени MeduMed.Org- Медицина - Наше Призвание
  • 78.
    КТ печени Нативноеизображение Внутривенное усиление контрастом – паренхиматозная фаза Печень Селезенка Желудок Аорта Нижняя полая вена Левая почка MeduMed.Org - Медицина - Наше Призвание
  • 79.
    Реконструкции печени ПеченьЖелчный пузырь Мочевой пузырь Правая почка Толстая кишка Тонкая кишка Верхняя брыжеечная артерия MeduMed.Org - Медицина - Наше Призвание
  • 80.
    КТ с контрастированиемНажмите на изображение для запуска видео MeduMed.Org - Медицина - Наше Призвание
  • 81.
  • 82.
    КТ почек Нативноеисследование Паренхиматозная фаза контрастирования Лоханка Ветви почечной артерии MeduMed.Org - Медицина - Наше Призвание
  • 83.
    Реконструкции почек Кортикальнаяфаза контрастирования Корковое вещество Мозговое вещество MeduMed.Org - Медицина - Наше Призвание
  • 84.
    3 D ангиография почек Общая подвздошная артерия Брюшная аорта Почечная артерия Чревный ствол MeduMed.Org - Медицина - Наше Призвание
  • 85.
    Почечные артерии (норма)3Д (затененный объем) MIP (проекция макс. интенсивности) МПР (мультипланарная реконструкция) MeduMed.Org - Медицина - Наше Призвание
  • 86.
    МСКТ - урографияЧашечка Лоханка Мочеточник
  • 87.
    МСКТ урография 3 D реконструкция MeduMed.Org - Медицина - Наше Призвание
  • 88.
    МСКТ – трехмерная урография с виртуальной эндоскопией Вид изнутри (виртуальная эндоскопия)
  • 89.
    Микционное исследование уретрыИсследование с мочеиспусканием после внутривенного введения контрастного препарата или катетеризации мочевого пузыря 3 D реконструкция Мультипланарная реконструкция Виртуальная цистоуретроскопия Мочевой пузырь Уретра
  • 90.
    КТ желудка Норма Рак желудка MeduMed.Org - Медицина - Наше Призвание
  • 91.
    МСКТ ТОЛСТОГОКИШЕЧНИКА
  • 92.
    МСКТ толстой кишкиMeduMed.Org - Медицина - Наше Призвание
  • 93.
    Следствие эволюции КТ:1 6 3 5 2 4 УЗИ Урография УЗДГ Ангиография Ангиография Сцинтиграфия Вместо множества методов – …
  • 94.
    Следствие эволюции КТ:Сокращение сроков обследования пациентов (замена принципа «от простого к сложному» на «выполнение наиболее информативного метода») МСКТ
  • 95.
  • 96.
  • 97.
  • 98.
    МАГНИТНО-РЕЗОНАНСНАЯ ТОМОГРАФИЯ MeduMed.Org - Медицина - Наше Призвание
  • 99.
    Магнитно-резонансная томография (МРТ) является одним из современных методов лучевой диагностики, позволяющим неинвазивно получать изображения внутренних структур тела человека. Важнейшим преимуществом МРТ по сравнению с другими методами лучевой диагностики является отсутствие ионизирующего излучения и, как следствие, эффектов канцеро- и мутагенеза , с риском возникновения которых сопряжено воздействие рентгеновского излучения. МРТ является единственным методом неинвазивной диагностики, обладающим высокой чувствительностью и специфичностью при выявлении отека и инфильтрации костной ткани . MeduMed.Org - Медицина - Наше Призвание
  • 100.
    Достоинства МРТ НеинвазивностьОтсутствие ионизирующего излучения Трехмерный характер получения изображений Высокий мягкотканый контраст Естественный контраст от движущейся крови Высокая диагностическая эффективность MeduMed.Org - Медицина - Наше Призвание
  • 101.
    История МРТ 1946F. Bloch, E. Purcell Е. Завойский феномен ядерного магнитного резонанса (Нобелевская премия по физике, 1952) 1972 G. Hounsfield, А. Cormack Компьютерная томография ( Нобелевская премия по физиологии и медицине , 1979) 1973 P. Lauterbur Магнитно-резонансная томография ( Нобелевская премия по физиологии и медицине , 2003) 1975 R. Ernst кодирование МР сигнала (Нобелевская премия по химии,1991) 1981 первые клинические МР томографы для исследований всего тела (EMI, Philips) 1982 первый МР томограф в СССР 1 9 88 Dumoulin МР ангиография 1989 P. Mansfield Эхо-планарная томография ( Нобелевская премия по физиологии и медицине , 2003)
  • 102.
    Феномен магнитного резонансаСостояние покоя Совпадение частоты РЧ импульса и частоты вращения протонов обеспечивает передачу дополнительной энергии ядрам. При возврате на нижний энергетический уровень ядро отдает энергию - МР-сигнал, который можно зарегистрировать с помощью принимающей катушки.
  • 103.
    Источник МР-сигнала ВодаЖир (т.е. практически все ткани тела человека) Ядра водорода Почки Вены головного мозга Колено Позвоночник (поперечный срез)
  • 104.
    Принцип МРТ Помещениепациента в статическое магнитное поле - протоны ориентируются вдоль магнитного поля Добавление переменного поля для выбора среза в теле пациента Передача РЧ импульса - энергия импульса передается протонам Протоны отдают полученную энергию - в приемных катушках индуцируется электрический ток МР сигнал преобразуется компьютером и используется для построения изображений
  • 105.
    Схема проведения магнитно-резонанснойтомографии MeduMed.Org - Медицина - Наше Призвание
  • 106.
    Высокопольный томограф закрытоготипа Низкопольный томограф открытого типа МР-томографы РЧ-катушки Ложемент РЧ-катушки Магнит
  • 107.
    МР-томограф открытого типаMeduMed.Org - Медицина - Наше Призвание
  • 108.
    MeduMed.Org - Медицина - Наше Призвание
  • 109.
    Радиочастотные катушки Коленнаякатушка Головная катушка Нейроваскулярная катушка Спектр обследований, определяется техническими характеристиками аппарата и набором радиочастотных катушек, или специализированных «датчиков» для различных анатомических областей. Существуют РЧ-катушки для исследования головного мозга, позвоночника, сосудов шеи, молочных желез, коленного сустава, плечевого сустава, эндокавитарные датчики и многие другие. При покупке МР-томографа его комплектование набором РЧ-катушек осуществляется в соответствии с потребностями конкретного лечебного учреждения, поэтому большинство отделений МРТ не обладает возможностью проведения полного спектра МР-обследований.
  • 110.
    Проведение обследования Обследованиеодной анатомической области методом МРТ включает в себя выполнение нескольких так называемых импульсных последовательностей . Различные импульсные последовательности позволяют получить специфические характеристики тканей человека, оценить относительное содержание жидкости, жира, белковых структур или парамагнитных элементов (железо, медь, марганец и др.). Стандартные протоколы МРТ включают Т1-взвешенные изображения (чувствительные к наличию жира или крови) и Т2-взвешенные изображения (чувствительные к отеку и инфильтрации) в трех плоскостях (аксиальной, сагиттальной и фронтальной). Структуры, практически не содержащие протонов (кортикальная кость, кальцификаты, фиброзно-хрящевая ткань), а также артериальный кровоток имеют низкую интенсивность сигнала и на Т1-, и на Т2-взвешенных изображениях. MeduMed.Org - Медицина - Наше Призвание
  • 111.
    Факторы, определяющие интенсивностьсигнала на изображениях MeduMed.Org - Медицина - Наше Призвание КТ МРТ 1. Плотность тканей 1. Распределение протонов в исследуемой области тела 2. Подвижность протонов (вязкость, кровоток) 3. Наличие больших молекул (протеины) 4. Наличие парамагнитных ионов или молекул Параметры томографии (задаются оператором).
  • 112.
    Интенсивность МР-сигнала Интенсивностьсигнала MeduMed.Org - Медицина - Наше Призвание Т1-взвешенные изображения Т2-взвешенные изображения Жировая ткань Кровь Жидкость с высоким содержанием белка Жировая ткань Увеличение количества жидкости (отек, опухоль, инфаркт, воспаление, инфекция, острейшее и хроническое кровоизлияние) Увеличение количества жидкости (отек, опухоль, инфаркт, воспаление, инфекция, острейшее и хроническое кровоизлияние) Низкая протонная плотность (кортикальная кость, кальцификаты, фиброзная ткань) Быстрый поток (кровоток) Низкая протонная плотность (кортикальная кость, кальцификаты, фиброзная ткань) Быстрый поток (кровоток)
  • 113.
    Т1-взвешенное изображение Жироваяткань (яркая) СМЖ (темная) Кортикальная кость (нет протонов) Серое вещество Белое вещество головного мозга в аксиальной плоскости MeduMed.Org - Медицина - Наше Призвание
  • 114.
    Т2-взвешенное изображение СМЖ(яркая) Жировая ткань (яркая) Кортикальная кость (нет протонов) Серое вещество головного мозга в аксиальной плоскости MeduMed.Org - Медицина - Наше Призвание
  • 115.
    МР-контрастные препараты Несмотряна то, что МРТ обладает высокой мягко-тканной контрастностью точность диагностики и характеризации гиперваскулярных процессов (опухоли, воспаление, сосудистые мальформации) может быть существенно повышена при использовании внутривенного контрастного усиления . Более того, многие патологические процессы, вовлекающие ткани головного мозга, не выявляются без внутривенного контрастирования. Основой для создания МР-контрастных препаратов стал редкоземельный металл гадолиний . В чистом виде данный металл обладает высокой токсичностью, однако в форме хелата становится практически безопасным (в т.ч. отсутствует нефротоксичность). Побочные реакции возникают крайне редко (менее 1% случаев) и обычно имеют легкую степень выраженности (тошнота, головная боль, жжение в месте инъекции, парестезии, головокружение, сыпь). При почечной недостаточности частота побочных эффектов не увеличивается. Введение МР-контрастных препаратов при беременности не рекомендуется, т.к. неизвестна скорость клиренса из амниотической жидкости . MeduMed.Org - Медицина - Наше Призвание
  • 116.
    Искусственное контрастирование Гадолиний( Gd 3+ ) - металл парамагнетик Хелаты гадолиния – нетоксичны Контрастный препарат накапливается в зонах повышенного кровотока, а также внеклеточно при поврежденном гемато-тканевом барьере Gd Gd Gd Gd
  • 117.
    Современные методики МР-обследования головного мозга Перфузионная МРТ - позволяет получить информацию о кровотоке на капиллярном уровне Диффузионная МРТ – позволяет количественно оценить движение молекул воды через мембраны клеток МР-спектроскопия – позволяет определить концентрацию метаболитов, таких как N -ацетиласпартат, лактат, холин, мио-инозитол, в веществе мозга или измерить pH ткани мозга МР-трактография – позволяет визуализировать ход проводящих путей головного мозга, например, кортикоспинального тракта Функциональная МРТ – позволяет картировать функциональные зоны коры головного мозга, например, двигательную или речевую кору MeduMed.Org - Медицина - Наше Призвание
  • 118.
    Т2-взвешенная томограмма Т1 -взвешенная томограмма после введения Gd Пример контрастирования – венозная ангиома MeduMed.Org - Медицина - Наше Призвание
  • 119.
  • 120.
    МР-ангиография сосудов шеиАорта Брахио-цефальный ствол Общая сонная артерия Подключичная артерия Позвоночные артерии Общая сонная артерия Внутренняя сонная артерия Наружная сонная артерия
  • 121.
    Виртуальная МР-ангиоскопия Нажмитена изображение для запуска видео
  • 122.
    Головной мозг -норма Язык Спинной мозг Мозжечок Мост Гипофиз Лобные доли Теменные доли Мозолистое тело Затылочные доли Гипофиз Хиазма зрительных нервов Височная доля Боковые желудочки
  • 123.
    Головной мозг -норма Затылочная доля Червь мозжечка Ножки мозга Гиппокамп Зрительный нерв Височная доля Мозжечок Мост Четвертый желудочек Тройничный нерв Базилярная артерия MeduMed.Org - Медицина - Наше Призвание
  • 124.
    МР-ангиография сосудов головногомозга - норма Без введения контрастного вещества Средняя мозговая артерия Задняя мозговая артерия Базилярная артерия Передние мозговые артерии Передняя соединительная артерия Внутренняя сонная артерия MeduMed.Org - Медицина - Наше Призвание
  • 125.
    МР-синусография головного мозгаВерхний сагиттальный синус Сигмовидный синус Поперечный синус Большая вена Галена Прямой синус MeduMed.Org - Медицина - Наше Призвание
  • 126.
    МРТ в травматологиии ортопедии Визуализации мягко-тканных структур ( внутрисуставных связок, менисков, синовиальных складок ) Патологические процессы, связанные с увеличением содержания жидкости (отек, инфильтрация, разрывы, контузии), представляются яркими (гиперинтенсивными) на Т2-взвешенных изображениях на фоне исходно низкой интенсивности сигнала от связок, менисков и сухожилий (структур с низким содержанием протонов). С появлением МРТ практически отпала необходимость в выполнении контрастной артрографии, а в отличие от ультразвукового исследования МРТ позволяет выполнить комплексную оценку как мягких тканей, так и губчатой кости при меньшей степени оператор-зависимости метода. Использование импульсных последовательностей с подавлением сигнала от жира (в т.ч. входящего в состав желтого костного мозга) позволяет выявлять зоны контузии (посттравматического отека) в губчатой кости. MeduMed.Org - Медицина - Наше Призвание
  • 127.
    МРТ в травматологиии ортопедии МРТ позволяет выявлять инфильтрацию и деструкцию костной ткани, замещение костного мозга задолго до появления рентгенологических (в т.ч. КТ) признаков. По этой причине МРТ является методом выбора для ранней диагностики аваскулярного некроза головок бедренных костей, стрессовых и рентгенологически-скрытых переломов. Чувствительность и специфичность МРТ в выявлении скелетных метастазов превзошли возможности остеосцинтиграфии, в особенности с момента появления томографов с возможностью одномоментного исследования всего тела. MeduMed.Org - Медицина - Наше Призвание
  • 128.
    МРТ кисти Лучеваякость Локтевая кость Ладьевидная кость Полулунная кость Трехгранная кость Сухожилие локтевого разгибателя кисти Головчатая кость MeduMed.Org - Медицина - Наше Призвание
  • 129.
    МРТ шейного отделапозвоночника Продолговатый мозг Спинной мозг Второй шейный позвонок Межпозвонковый диск Тело пятого позвонка Остистый отросток Мозжечок Первый шейный позвонок
  • 130.
    MeduMed.Org - Медицина - Наше Призвание
  • 131.
    МРТ пояснично-крестцового отделапозвоночника Крестец Пятый поясничный позвонок Межпозвонковый диск (пульпозное ядро) Спинной мозг Конский хвост Копчик Остистый отросток Межпозвонковый диск (фиброзное кольцо)
  • 132.
    МРТ пояснично-крестцового отделапозвоночника Миелография Аксиальная плоскость Позвоночный канал Остистый отросток Фасеточный сустав Межпозвонковый диск Позвоночный канал Конский хвост
  • 133.
    МРТ коленного сустава- норма Большеберцовая кость Задняя крестообразная связка Передняя крестообразная связка Надколенник Собственная связка надколенника Хрящ Латеральный мениск Медиальный мениск Внутренняя боковая связка
  • 134.
    МРТ органов брюшнойполости МРТ органов брюшной полости может проводиться только на высокопольных томографах, причем наилучшее качество томограмм достигается при томографии с задержкой дыхания (обычно около 20 секунд на 1 импульсную последовательность). МРТ является методом выбора для дифференциальной диагностики образований паренхиматозных органов брюшной полости и забрюшинного пространства при невозможности выполнения КТ с внутривенным введением йод-содержащих контрастных препаратов. MeduMed.Org - Медицина - Наше Призвание
  • 135.
    МРТ органов брюшнойполости В настоящее время МРТ является наиболее информативным методом при метастатическом поражении печени (особенно при использовании гепатотропных МР-контрастных препаратов), гемангиомах, гепато-целлюлярной карциноме, аденомах печени, фокальной жировой инфильтрации, образованиях надпочечников (при использовании специальных протоколов, высокочувствительных к наличию внутриклеточного жира в аденомах). Прекрасным дополнением к МРТ органов брюшной полости является бесконтрастная магнитно-резонансная холангиопанкреатикография (МРХПГ), позволяющая получить яркий сигнал только от свободной жидкости (желчи) и являющаяся неинвазивной альтернативой диагностической эндоскопической ретроградной холангиопанкреатикографии (ЭРХПГ), сопряженной с высокой частотой осложнений. МРХПГ успешно используется в диагностике аномалий и стриктур желчных протоков, склерозирующего холангита, холедохолитиаза. MeduMed.Org - Медицина - Наше Призвание
  • 136.
    МРТ органов брюшнойполости Т1-взвешенное изображение Правая доля печени Левая доля печени Позвонок Нижняя полая вена Аорта Ножка диафрагмы Желудок Селезенка Толстая кишка Аденома надпочечника Хвост поджелудочной железы MeduMed.Org - Медицина - Наше Призвание
  • 137.
    МРТ органов брюшнойполости Двенадцатиперстная кишка Печень Нижняя полая вена Желудок Поджелудочная железа Толстая кишка MeduMed.Org - Медицина - Наше Призвание
  • 138.
    МРТ органов забрюшинногопространства Правая почка Левая почка Аорта Почечная артерия Нижняя полая вена MeduMed.Org - Медицина - Наше Призвание
  • 139.
    МРТ брюшной полостис контрастированием Нажмите на изображение для просмотра видео
  • 140.
    МР-холангиопанкреатикография (МРХПГ) Общийжелчный проток Вирсунгов проток Пузырный проток (желчный пузырь удален) Общий печеночный проток Правый печеночный проток Левый печеночный проток MeduMed.Org - Медицина - Наше Призвание
  • 141.
    МРТ в урологииПрименение МРТ в урологии существенно расширило возможности предоперационной дифференциации атипичных кист и кистозных опухолей почек, определения стадии рака почки, выявления инвазии почечной вены . Применение эндокавитарных датчиков (в т.ч. эндоректальных) впервые позволило визуализировать капсулу предстательной железы , целостность которой является одним из основных критериев операбельности пациента с раком предстательной железы. MeduMed.Org - Медицина - Наше Призвание
  • 142.
    МР урография Мочевойпузырь Мочеточники Лоханка Чашечки Позвоночный канал
  • 143.
    МРТ простаты Лобковыйсимфиз Периферическая зона простаты Прямая кишка (заполнена эндоректальным датчиком) Центральная зона простаты Внутренние запирательные мышцы Капсула простаты
  • 144.
    МРТ в акушерствеи гинекологии Возможности МРТ в акушерстве и гинекологии пока еще недооценены в России представителями соответствующих клинических специальностей, в первую очередь в силу высокой информативности и распространенности УЗИ. Вместе с тем, уже доказано, что МРТ должна использоваться для определения стадии рака эндометрия и шейки матки (эндоректальные датчики), дифференциации миомы и аденомиоза, предоперационной оценки миом матки, уточнения характера врожденных аномалий матки. У пациенток в третьем триместре беременности с подозрением на клинически узкий таз МР-пельвиометрия является безопасной и информативной альтернативой продолжающей широко применяться рентгеновской пельвиометрии. MeduMed.Org - Медицина - Наше Призвание
  • 145.
    МРТ органов малоготаза Мочевой пузырь Матка Лобковые кости Толстая кишка Крестец Эндометрий Влагалище Шейка матки Переходная зона Миометрий MeduMed.Org - Медицина - Наше Призвание
  • 146.
    МР маммография Силиконовыйимплант Железистая ткань Фронтальная плоскость Аксиальная плоскость
  • 147.
    Недостатки МРТ Высокаястоимость оборудования и его эксплуатации Невозможность надежного выявления камней, кальцификатов, патологии костей Артефакты (в т.ч. от металлических объектов) Длительное время получения изображений Ограничения при обследовании тяжелых больных MeduMed.Org - Медицина - Наше Призвание
  • 148.
    Ограничения МРТ Длительностьисследования и спокойное, неподвижное состояние пациента для получения качественных изображений, что определяет необходимость седации у беспокойных пациентов или применения анальгетиков у пациентов с выраженным болевым синдромом. Данная проблема усугубляется необходимостью пребывания пациента в неудобном нефизиологичном положении при некоторых специальных укладках (например, при исследовании плечевого сустава у крупных пациентов). Боязнь замкнутого пространства (клаустрофобия), в особенности у пациентов со склонностью к развитию истероидных реакций. Однако, во многих случаях эту проблему можно решить с помощью объяснения необходимости и важности диагностики, подробного разъяснения характера исследования, демонстрации устройства МР-томографа, легкой седации. Также для пациентов с клаустрофобией существенной психологической поддержкой является нахождение рядом врача или родственника на протяжении исследования. Вместе с тем, выраженная клаустрофобия является абсолютным противопоказанием для обследования методом МРТ. MeduMed.Org - Медицина - Наше Призвание
  • 149.
    Также МРТ значительнов большей степени, чем КТ, подвержена возникновению артефактов. Качество томограмм может быть резко снижено из-за артефактов от движения пациента (дыхания, сердцебиения, непроизвольных движений), металлических объектов (фиксированных внутри тела или в предметах одежды), пульсации сосудов, неправильной настройки томографа. Для уменьшения выраженности артефактов обычно используется дополнительная фиксация исследуемой части тела пациента, синхронизация томографии с ЭКГ, дыханием, периферическим пульсом. Все металлические объекты (заколки, булавки, монеты, съемные зубные протезы и т.д.) должны оставляться пациентом на время обследования в специально отведенном для этого месте. Более того, в помещение МР-томографа не должны вноситься никакие металлические объекты, так как они могут быть притянуты магнитным полем с большой скоростью, нанести травму пациенту или медицинскому персоналу и надолго вывести из строя томограф. Ограничения МРТ MeduMed.Org - Медицина - Наше Призвание
  • 150.
    У детей ввозрасте от периода новорожденности до 5-6 лет обследование обычно может быть проведено только на фоне седации под контролем анестезиолога. У детей младшего школьного возраста может потребоваться присутствие во время исследования одного из родителей. Основными диагностическими ограничениями МРТ является невозможность достоверного выявления кальцинатов, оценки минеральной структуры костной ткани (плоские кости, кортикальная пластинка). МРТ не позволяет детально характеризовать паренхиму легких, уступая возможностям КТ. Ограничения МРТ MeduMed.Org - Медицина - Наше Призвание
  • 151.
    Диагностические ограничения МРТПульмонология - Визуализация возможна при использовании гиперполяризованных газов Гастроэнтерология - За исключением МР-энтерографии с двойным контрастированием На сегодняшний день диагностические возможности клинической МР-томографии ограничены в следующих областях: MeduMed.Org - Медицина - Наше Призвание
  • 152.
    Артефакт магнитной восприимчивостив области краниотомии (источник – металлический материал) MeduMed.Org - Медицина - Наше Призвание
  • 153.
    Артефакты от движения(дыхание и сердцебиение) MeduMed.Org - Медицина - Наше Призвание
  • 154.
    Абсолютные противопоказания кМРТ связаны с воздействием магнитного поля и радиочастотного (неионизирующего) излучения. Обследование методом МРТ запрещено . Наличие у пациента искусственного водителя ритма (может перейти в асинхронный режим работы под воздействием градиентного магнитного поля) Внутричерепных ферромагнитных гемостатических клипс (при смещении может произойти повреждение сосуда и кровотечение) Периорбитальных ферромагнитных инородных тел (при смещении может произойти повреждение глазного яблока). Выраженная клаустрофобия MeduMed.Org - Медицина - Наше Призвание
  • 155.
    Относительные противопоказания кМРТ Первый триместр беременности, Застойная сердечная недостаточность. Большинство медицинских устройств является условно совместимыми с МРТ. Это значит, что обследование пациентов с установленными стентами, внутрисосудистыми катушками, фильтрами, протезами сердечных клапанов может проводиться при наличии клинических показаний по согласованию со специалистом по лучевой диагностике на основе информации компании-производителя о характеристиках металла, из которого изготовлено установленное устройство. Несъемные зубные протезы или беременность (второй и третий триместр) не являются противопоказанием для МРТ. MeduMed.Org - Медицина - Наше Призвание
  • 156.
    РАДИОНУКЛИДНАЯ ДИАГНОСТИКА Сцинтиграфия Радиоиммунный анализ Позитронно-эмиссионная томография (ПЭТ) «И в небе и в земле сокрыто больше, чем снится Вашей мудрости, Горацио». У.Шекспир MeduMed.Org - Медицина - Наше Призвание
  • 157.
    Сцинтиграфия печени MeduMed.Org- Медицина - Наше Призвание
  • 158.
    Остеосцинтиграфия MeduMed.Org - Медицина - Наше Призвание
  • 159.
  • 160.
    ПЭТ-КТ легких СовмещениеПЭТ (позитронно-эмиссионная томография) и МСКТ Двухсторонняя корневая лимфаденопатия (метастазы) МСКТ легких MeduMed.Org - Медицина - Наше Призвание
  • 161.
    ПЭТ туловища MeduMed.Org- Медицина - Наше Призвание
  • 162.
    УЛЬТРАЗВУКОВАЯ ДИАГНОСТИКА Эхография Ультразвуковое сканирование Допплерография 3-х мерная УЗД ТРУЗИ ВКУЗИ «Что труднее всего? То, что тебе кажется самым легким: видеть глазами то, что лежит перед тобой». В.Гете MeduMed.Org - Медицина - Наше Призвание
  • 163.
    УЛЬТРАЗВУКОВОЕ СКАНИРОВАНИЕ Злокачественное новообразование грудной стенки
  • 164.
    УЛЬТРАЗВУКОВОЕ СКАНИРОВАНИЕ Перекрут ножки яичника MeduMed.Org - Медицина - Наше Призвание
  • 165.
  • 166.
  • 167.
  • 168.
  • 169.
  • 170.
    РЕНТГЕНОКОНТРАСТНЫЕ ВЕЩЕСТВА (РКВ)НИЗКОАТОМНЫЕ (рентгенонегативные) Воздух Кислород Методики: пневмоартрография, ДОКография желудка и толстой кишки, III эт . ирригоскопии. ВЫСОКОАТОМНЫЕ (рентгенопозитивные) А. Соли тяжелых металлов: Сульфат бария, БАР-Випс, Микропак, Энтерову Методики: РДИ пищевода и желудка, дуоденография, энтерография, илеоцекография, I и II этапы ирригоскопии, ДОКография желудка и толстой кишки. Б. Органические соединения йода: а) водные б) масляные ионные неионные Урографин Омнипак Липиодол Телебрикс Ксенетикс Методики: Гексабрикс Ультравист фистулография Гипак лимфография, Методики: сиалография фистулография, ангиографии, урографии
  • 171.
    НИЗКОАТОМНЫЕ (рентгенонегативные): Воздух Кислород Методики: пневмоартрография, ДОКография желудка и толстой кишки, III эт . ирригоскопии MeduMed.Org - Медицина - Наше Призвание
  • 172.
  • 173.
  • 174.
    Пневмоартрография MeduMed.Org - Медицина - Наше Призвание
  • 175.
    ВЫСОКОАТОМНЫЕ (рентгенопозитивные) Соединениябария: а) порошок, смешиваемый с водой - сульфат бария, БАР-Випс, микропак, баритген, c ульфат бария в суспензии, б) готовые взвеси бария – миксобар, энтерову Методики: Р ДИ пищевода и желудка, дуоденография, энтерография, илеоцекография, ирригоскопии, ДОКография желудка, ДОКография толстой кишки.
  • 176.
  • 177.
    Энтерография MeduMed.Org - Медицина - Наше Призвание
  • 178.
    ВЫСОКОАТОМНЫЕ (рентгенопозитивные) Методы: - ангиографии – коронарография. Методы: фистулография , аортография, артериография; лимфография, урографии – экскреторная, ретроградная . сиалография. Соединения йода Водные Масляные Ионные Неионные урографин телебрикс гексабрикс гипак Липиодол ультра-флюид омнипак ксенетикс ультравист
  • 179.
    Метросальпингография MeduMed.Org - Медицина - Наше Призвание
  • 180.
  • 181.
  • 182.
    Мезентерикография MeduMed.Org - Медицина - Наше Призвание
  • 183.
    ВЫСОКОАТОМНЫЕ (рентгенопозитивные) орг. соедин. йода на водной основе (кольца)
  • 184.
    Типы контрастных препаратов (таблица 2) Тип рентгено-контрастного средства Международное название Торговое название Ионные Мономеры (высоко-осмолярные) Амидотризоат Метризоат Йоталамат Йодамид Йокситаламат Диатризоат Урографин Гипак Триомбраст Изопак Конрей, вазорей Йодамид Телебрикс Тразограф Димеры (низко-осмолярные) Иоксаглат Гексабрикс Неионные Мономеры (низко-осмолярные) Иопромид йогексол Йопамидол Мобитридол Яоверсол Доксилан Зомепрол Ультравист Омнипак Йопамиро. Ксенетикс Лопамиро Оптирей Оксилан Димеры 'изоосмолярные) Зодиксанол Визипак
  • 185.
    Характеристика водных йодсодержащихпрепаратов по хим. свойствам (табл. Китаева) MeduMed.Org - Медицина - Наше Призвание
  • 186.
    Факторы, определяющие безопасностьводных йодсодержащих препаратов хемотоксичность, осмолярность, вязкость, гидрофильность, растворимость, электическая активность (ионный состав) MeduMed.Org - Медицина - Наше Призвание
  • 187.
    Возможные реакции наводные йодсодержащие препараты I. Лёгкая степень : жар, сухость во рту, тошнота, нехватка воздуха . II. Средняя степень: сильная тошнота, рвота, озноб, риноконьюнктивит, крапивница, отёк Квинке. III. Тяжёлая степень: резкое падение АД, бледность, астматический статус, коллапс, нарушение сердечной деятельности, судороги, анафилактический шок Количество РКВ (до 50 мл) и возраст не влияют на число и выраженность осложнений Поздние побочные реакции – реакции, возникающие в период от 1 часа до 1 недели после контрастного исследования – тошнота, рвота, головная боль, повышение t , боли в мышцах и суставах, кожные высыпания.
  • 188.
    Абсолютные противопоказание навведение водных йодсодержащие препараты высокая температура, активный туберкулёз, гипертиреоз, декомпенсация сердца, печени, почек, недавное перенесенный инфаркт миокарда (5-6 мес.), диффузные поражения миокарда, тяжелые стадии ГБ, эмфизема лёгких, дыхательная недостаточность при коронарной недостаточности , миеломная болезнь, острые флебиты, значительное увеличение индекса протромбтна и свертываемости крови. MeduMed.Org - Медицина - Наше Призвание
  • 189.
    Относительные противопоказаниена введение водных йодсодержащие препараты (факторы риска) дети грудного и младшего возраста; возраст более 70 лет; аллергии любого генеза ; общее тяжёлое состояние; обезвоживание организма, алкоголизм; реакции на РКВ в анамнезе; бронхиальная астма; холодовая аллергия; рахит; острый панкреатит; сахарный диабет; плазмоцитома, серповидно-клеточная анемия , токсикоз; мягко протекающий узловой зоб; недостаточность паращитовидных желёз; застойная сердечная недостаточность , судороги центрального генеза; выраженный атеросклероз сосудов головного мозга; повышение свертываемости крови, индекса протромбина, креатинина сыворотки (более 44 ммоль/л ), гипопротеинемия; прием пациентом нефротоксичных препаратов, длительный приём глюкокортикоидов, интерлейкина; - почечные остеодистрофии.
  • 190.
    Профилактика осложнений наводные йодсодержащие препараты при налиичии аллергических реакций в анамнезе подготовитьбольного: за 2-3 дня АКТГ по 10 ЕД, на ночь седуксен, глюкоза, димедрол, за 12 и 2 часа до исследования преднизолон по 30 мг; проведение рентгеноконтрастной процедуры только в присутствии рент- генолога, желательно и наличие лечащего врача; - подогреть контраст до температуры тела пациента; проведение тест-пробы; введение РКВ в трохопозиции пациента, желательео по методике Пытеля; при в/в введении использовать контраст не более 60% концентрации (не более 300 мг/мл); использовать объём не более 50 мл; вводить контраст в крупный сосуд; после инъекции контраста наблюдать за больным не менее 30 минут; MeduMed.Org - Медицина - Наше Призвание
  • 191.
    Оснащение аптечки рентгенодиагностического кабинета Инструменты: с терильный перевязочный материал, одноразовые шприцы, система для переливания, желудочный зонд, набор для трахеостомии, роторасширитель, языкодержатель, электроотсос. Медикаменты: кислород; 5%, 20% и 40% глюкоза; физ.раствор; кофеин, адреналин, норадреналин, строфантин; эуфиллин, эфедрин, теофилламин; хлористый кальций, глюконат кальция; гидрокортизон, преднизолон; димедрол, пипольфен, супрастин; атропин, таламонал, диазепам; 30% раствор тиосульфата натрия. При выраженной реакции вызвать врача-реаниматолога! MeduMed.Org - Медицина - Наше Призвание
  • 192.
    Первая помощь приреакциях и осложнениях на РКВ Лёгкие реакции и осложнения : Интенсивное проветриваниепомещения, Повторные вдох и выдох в герметичный пакет; При сосудистых реакциях ( гипотония, бради- и тахикардия): положить пациента в положение Тренделенбурга, кислород, в/в или в/м атропин 0,5 мг, при брадикардии – диазепам; Удушье в лёгкой степени: теофилламин 6 мг/кг веса, эфедрин, адреналин 0,5-0,8 мл 0,1% п/к MeduMed.Org - Медицина - Наше Призвание
  • 193.
  • 194.
    «Большие» рентгенодиагностические исследования(РДИ): рентгенография поясничного отдела позвоночника, рентгенография таза, рентгенография тазобедренного сустава, РДИ почек и мочевых путей, РДИ тонкой кишки, РДИ толстой кишки, РДИ органов малого таза, соматические ангиографии. !!! Женщинам детородного возраста «большие» РДИ проводятся только в первую неделю после менструации (за исключением жизненно важных показаний) !!!
  • 195.
    Подготовка к «большим»РДИ: (за 3-4 дня до РДИ) полноценное белковое питание нормализация стула, повышенный приём жидкости (за исключением дня накануне исследования), приём пектинсодержащих соков, поливитамины (А,В,С,Р), свежие овощи (капуста, хрен, редька, редис, свёкла), грецкие орехи, исключить из рациона кофе MeduMed.Org - Медицина - Наше Призвание
  • 196.
    Защита пациента припроведении РДИ I . Защита экранированием критических органов - эмбриональные ткани, - всё тело до 3-х лет, - красный костный мозг, - цилиндрический эпителий кишечника, - гонады, - лимфоидная ткань, - хрусталик глаза. II . Защита расстоянием - максимальное расстояние до рентг.трубки (не менее пятикратной толщины снимаемого объекта), - отсуствие в процедурной в момент проведения РДИ других пациентов. III . Защита временем - рациональный выбор числа методик, - применение минимальных экспозиций, - лимит времени при рентгеноскопии (грудная клетка - 30 сек. для детей и 3 мин. для взрослых; органы ЖКТ – 3 мин. для детей и 10 мин. для взрослых).