Superior Mesenteric
Artery syndrome
Supervision by : Pro. Dr. Mohammed Noman Albadani
and
Dr. Sonia Alabsi
Done by :Dr. Hussam A. Aldomini
Definition :
• is a gastro-vascular disorder in which the third
and final portion of the duodenum is compressed
between the abdominal aorta (AA) and the
overlying superior mesenteric artery.
• This rare, potentially life-threatening syndrome is
typically caused by an angle of 6°–25° between
the AA and the SMA, in comparison to the normal
range of 38°–56°, due to a lack of retroperitoneal
and visceral fat (mesenteric fat). In addition, the
aortomesenteric distance is 2–8 millimeters, as
opposed to the typical 10–20.
Other names to the syndrome :
1. Wilkie's syndrome
2. Cast syndrome
3. Mesenteric root syndrome
4. Chronic duodenal ileus
5. Intermittent arterio-mesenteric occlusion
• It is distinct from nutcracker syndrome, which
is the entrapment of the left renal
vein between the AA and the SMA, although it
is possible to be diagnosed with both
Etiology
• SMA syndrome is thus triggered by any condition involving an
insubstantial cushion and narrow mesenteric angle. It can
present in two forms: chronic/congenital or acute/induced.
1. Chronic/congenital form of SMA syndrome predominantly
have a lengthy or even lifelong history of abdominal
complaints with intermittent exacerbations depending on the
degree of duodenal compression.
• Risk factors include anatomic characteristics such as: aesthenic (very
thin or "lanky") body build, an unusually high insertion of the
duodenum at the ligament of Treitz, a particularly low origin of the SMA,
or intestinal malrotation around an axis formed by the SMA.
• Predisposition is easily aggravated by any of the following: poor
motility of the digestive tract, retroperitoneal tumors, loss of
appetite, malabsorption, cachexia, exaggerated
continue
2. Acute form of SMA syndrome develops rapidly after
traumatic incidents that forcibly hyper-extend the SMA
across the duodenum, inducing the obstruction, or
sudden weight loss for any reason.
Causes include prolonged supine bed rest, scoliosis
surgery, left nephrectomy, ileo-anal pouch surgery.
• It is important to note, however, that while SMA syndrome
can mimic an eating disorder, distinguishing the two
conditions is extremely important, as misdiagnosis in this
situation can be dangerous.
Clinical presentation
• Early satiety, nausea, bilious and semidigested vomiting,
extreme "stabbing" postprandial abdominal pain (due to both
the duodenal compression and the compensatory
reversed peristalsis), abdominal distention/distortion, burping,
external hypersensitivity or tenderness of the abdominal
area, reflux, and heartburn.
• In infants, feeding difficulties and poor weight gain are also
frequent symptoms.
• In some cases of SMA syndrome,
severe malnutrition accompanying spontaneous wasting may
occur. This, in turn, increases the duodenal compression, which
worsens the underlying cause, creating a cycle of worsening
symptoms.
• Fear of eating is a commonly seen among those with the
chronic form of SMA syndrome. For many, symptoms are
Epidemiology
In US, the precise incidence of this entity is unknown.
• It is estimated to be 0.1% to 0.3% of case refer to Upper GI
series.
• Females to males ratio is 3:2.
Sequels of delay in the diagnosis of SMAS can result in:
• Malnutrition, dehydration, electrolyte abnormalities.
• Gastric pneumatosis and portal venous gas, formation of an
obstructing duodenal bezoar.
• Hypovolemia secondary to massive GI hemorrhage, and
even death secondary to gastric perforation.
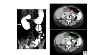
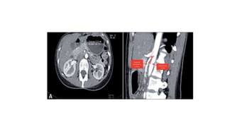
Diagnosis
• Is very difficult, and usually one of exclusion.
• Diagnosis may follow X-ray examination revealing duodenal
dilation followed by abrupt constriction proximal to the
overlying SMA.
• Standard diagnostic exams include abdominal and
pelvic computed tomography (CT) scan with oral and IV
contrast, upper gastrointestinal series (UGI), and, for equivocal
cases, hypotonic duodenography.
• Criteria in CT scan : is aortomesenteric angle of less than 22
degree and distance of less 10-8 mm. In children, an angle of
less 20 degree.
• The reason for the persistence of gastrointestinal symptoms
Differential diagnosis
1. Post-operative paralytic ileus
2. Causes of upper GI obstruction
3. Duodenal dysmotility syndrome
• Diabetes mellitus
• Collagen vascular disease
• Scleroderma
• Chronic idiopathic intestinal pseudo-obstruction
Treatment
• According to a number of recent sources, at least 70% of cases
can typically be treated with medical treatment, while the rest
require surgical treatment.
• In some cases, emergency surgery is necessary upon
presentation.
• A six-week trial of medical treatment is recommended in
pediatric cases.
• The goal of medical treatment for SMA syndrome is resolution
of underlying conditions and weight gain.
• Medical treatment may involve nasogastric tube placement for
duodenal and gastric decompression, mobilization into the
prone or left lateral decubitus position, the reversal or removal
of the precipitating factor with proper nutrition and replacement
of fluid and electrolytes, either by surgically inserted
Surgical management
• The most common operation for SMA syndrome,
duodenojejunostomy.
• Less common surgical treatments for SMA syndrome
include Roux-en-Y duodenojejunostomy,
gastrojejunostomy, anterior transposition of the third
portion of the duodenum, intestinal derotation, division of
the ligament of Treitz (Strong's operation), and
transposition of the SMA.
• Both transposition of the SMA and lysis of the duodenal
suspensory muscle have the advantage that they do not
involve the creation of an intestinal anastomosis, also can
References
1. Medscape
2. Wikipedia
3. Internet lectures
4. www.smasyndrome.org
SMA syndrome.pptx

SMA syndrome.pptx

  • 1.
    Superior Mesenteric Artery syndrome Supervisionby : Pro. Dr. Mohammed Noman Albadani and Dr. Sonia Alabsi Done by :Dr. Hussam A. Aldomini
  • 2.
    Definition : • isa gastro-vascular disorder in which the third and final portion of the duodenum is compressed between the abdominal aorta (AA) and the overlying superior mesenteric artery. • This rare, potentially life-threatening syndrome is typically caused by an angle of 6°–25° between the AA and the SMA, in comparison to the normal range of 38°–56°, due to a lack of retroperitoneal and visceral fat (mesenteric fat). In addition, the aortomesenteric distance is 2–8 millimeters, as opposed to the typical 10–20.
  • 3.
    Other names tothe syndrome : 1. Wilkie's syndrome 2. Cast syndrome 3. Mesenteric root syndrome 4. Chronic duodenal ileus 5. Intermittent arterio-mesenteric occlusion • It is distinct from nutcracker syndrome, which is the entrapment of the left renal vein between the AA and the SMA, although it is possible to be diagnosed with both
  • 5.
    Etiology • SMA syndromeis thus triggered by any condition involving an insubstantial cushion and narrow mesenteric angle. It can present in two forms: chronic/congenital or acute/induced. 1. Chronic/congenital form of SMA syndrome predominantly have a lengthy or even lifelong history of abdominal complaints with intermittent exacerbations depending on the degree of duodenal compression. • Risk factors include anatomic characteristics such as: aesthenic (very thin or "lanky") body build, an unusually high insertion of the duodenum at the ligament of Treitz, a particularly low origin of the SMA, or intestinal malrotation around an axis formed by the SMA. • Predisposition is easily aggravated by any of the following: poor motility of the digestive tract, retroperitoneal tumors, loss of appetite, malabsorption, cachexia, exaggerated
  • 6.
    continue 2. Acute formof SMA syndrome develops rapidly after traumatic incidents that forcibly hyper-extend the SMA across the duodenum, inducing the obstruction, or sudden weight loss for any reason. Causes include prolonged supine bed rest, scoliosis surgery, left nephrectomy, ileo-anal pouch surgery. • It is important to note, however, that while SMA syndrome can mimic an eating disorder, distinguishing the two conditions is extremely important, as misdiagnosis in this situation can be dangerous.
  • 7.
    Clinical presentation • Earlysatiety, nausea, bilious and semidigested vomiting, extreme "stabbing" postprandial abdominal pain (due to both the duodenal compression and the compensatory reversed peristalsis), abdominal distention/distortion, burping, external hypersensitivity or tenderness of the abdominal area, reflux, and heartburn. • In infants, feeding difficulties and poor weight gain are also frequent symptoms. • In some cases of SMA syndrome, severe malnutrition accompanying spontaneous wasting may occur. This, in turn, increases the duodenal compression, which worsens the underlying cause, creating a cycle of worsening symptoms. • Fear of eating is a commonly seen among those with the chronic form of SMA syndrome. For many, symptoms are
  • 8.
    Epidemiology In US, theprecise incidence of this entity is unknown. • It is estimated to be 0.1% to 0.3% of case refer to Upper GI series. • Females to males ratio is 3:2. Sequels of delay in the diagnosis of SMAS can result in: • Malnutrition, dehydration, electrolyte abnormalities. • Gastric pneumatosis and portal venous gas, formation of an obstructing duodenal bezoar. • Hypovolemia secondary to massive GI hemorrhage, and even death secondary to gastric perforation.
  • 9.
    Diagnosis • Is verydifficult, and usually one of exclusion. • Diagnosis may follow X-ray examination revealing duodenal dilation followed by abrupt constriction proximal to the overlying SMA. • Standard diagnostic exams include abdominal and pelvic computed tomography (CT) scan with oral and IV contrast, upper gastrointestinal series (UGI), and, for equivocal cases, hypotonic duodenography. • Criteria in CT scan : is aortomesenteric angle of less than 22 degree and distance of less 10-8 mm. In children, an angle of less 20 degree. • The reason for the persistence of gastrointestinal symptoms
  • 12.
    Differential diagnosis 1. Post-operativeparalytic ileus 2. Causes of upper GI obstruction 3. Duodenal dysmotility syndrome • Diabetes mellitus • Collagen vascular disease • Scleroderma • Chronic idiopathic intestinal pseudo-obstruction
  • 13.
    Treatment • According toa number of recent sources, at least 70% of cases can typically be treated with medical treatment, while the rest require surgical treatment. • In some cases, emergency surgery is necessary upon presentation. • A six-week trial of medical treatment is recommended in pediatric cases. • The goal of medical treatment for SMA syndrome is resolution of underlying conditions and weight gain. • Medical treatment may involve nasogastric tube placement for duodenal and gastric decompression, mobilization into the prone or left lateral decubitus position, the reversal or removal of the precipitating factor with proper nutrition and replacement of fluid and electrolytes, either by surgically inserted
  • 14.
    Surgical management • Themost common operation for SMA syndrome, duodenojejunostomy. • Less common surgical treatments for SMA syndrome include Roux-en-Y duodenojejunostomy, gastrojejunostomy, anterior transposition of the third portion of the duodenum, intestinal derotation, division of the ligament of Treitz (Strong's operation), and transposition of the SMA. • Both transposition of the SMA and lysis of the duodenal suspensory muscle have the advantage that they do not involve the creation of an intestinal anastomosis, also can
  • 16.
    References 1. Medscape 2. Wikipedia 3.Internet lectures 4. www.smasyndrome.org