SISTEM URINARIA
TERDIRI DARI :
1. REN
2. URETER
3. VESICA URINARIA
4. URETHRA
FUNGSI :
1. MEMELIHARA HOMEOSTATIS
2. MENGATUR KESEIMBANGAN CAIRAN DAN
ELEKTROLIT TUBUH
3. MENGHASILKAN HORMON RENIN (UNTUK MENGATUR
TEKANAN DARAH) DAN ERITROPOETIN (UNTUK
MERANGSANG PRODUKSI ERITROSIT)
ANATOMI
SISTEM
URINARIA
ANATOMI DAN STRUKTUR GINJAL
TERLETAK DI RONGGA ABDOMINAL POSTERIOR
(RETROPERIOTNEAL), DI SISI LATERAL COLUMNA
VERTEBRALIS
PERMUKAAN GINJAL DIBUNGKUS OLEH KAPSULA
RENALIS, SUATU JARINGAN IKAT FIBROSA
PADA PERMUKAAN KAPSULA RENALIS TERDAPAT
LAPISAN JARINGAN LEMAK (PERIRENAL ADIPOSA)
YANG BERFUNGSI SEBAGAI PELINDUNG
KAPSULA RENALIS DAN PERIRENAL ADIPOSA DIBUNG-
KUS OLEH FASCIA RENALIS, SUATU JARINGAN IKAT
LONGGAR
BAGIAN ANTERIOR TERDAPAT GLANDULA ADRENAL
PADA BAGIAN HILUM TERDAPAT ARTERI RENALIS,
VENA RENALIS, DAN URETER
GINJAL TERDIRI ATAS 3 LAPIS YAITU :
1. KORTEKS RENALIS
2. MEDULLA RENALIS
3. PELVIS RENALIS
GINJAL DIBANGUN OLEH UNIT STRUKTURAL DAN
FUNGSIONAL YAITU NEFRON, YANG TERDIRI ATAS :
1. GLOMERULUS
2. TUBULI RENALIS
3. DUKTUS KOLEKTIVUS
ADA 3 TIPE GINJAL, YAITU PRONEFROS, MESONEFROS,
DAN METANEFROS
PADA LAPISAN KORTEKS – MEDULA TERDAPAT
SATUAN FUNGSIONAL GINJAL, YAITU NEFRON
LAPISAN MEDULA TERDIRI ATAS 10 – 18 PIRAMIDA
MEDULA. DIANTARANYA TERDAPAT JARINGAN
KORTEKS, YAITU PIRAMIDA BERTIN
PADA DASAR PIRAMIDA TERDAPAT BERKAS MEDULA
YANG MENYUSUP KE LAPISAN KORTEKS
SETIAP BERKAS MEDULA TERDIRI DARI SATU/LEBIH
DUKTUS KOLIGENS
MASSA JARINGAN KORTEKS YANG MENGELILINGI
SETIAP PIRAMIDA MEDULA MEMBENTUK LOBUS RENIS,
DAN SETIAP BERKAS MEDULA MERUPAKAN PUSAT
DARI LOBULUS RENIS
STRUKTUR
REN (1)
STRUKTUR
REN (2)
NEFRON KORTEKS
DAN NEFRON
JUKSTAMEDULA
NEFRON PEMBULUH
DAN
NEFRON EPITEL
STRUKTUR NEFRON
GLOMERULUS
BERBENTUK BULAT - BERUPA ANYAMAN PEMBULUH
DARAH KAPILER SEBAGAI PERCABANGAN ARTERI GINJAL
ARTERI GINJAL MEMBENTUK PERCABANGAN MENJADI
ARTERIOL AFFERENT DAN ARTERIOL EFFERENT
KEDUA ARTERIOL MEMILIKI LAPISAN MUSKULARIS
OTOT POLOS
SUATU WILAYAH, TEMPAT ARTERIOL AFFERENT ME-
MASUKI KORPUS RENALIS, LAPISAN OTOT POLOSNYA
TERMODIFIKASI MEMBENTUK MANSET, DISEBUT
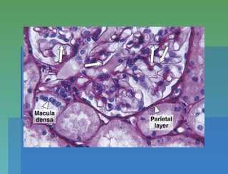
SEL JUKSTAGLOMERULAR
SEL-SEL JUSKTAGLOMERULAR YANG BERBATASAN
DENGAN TUBULUS DISTAL DISEBUT MACULA DENSA
JUKSTAGLOMERULAR DAN MACULA DENSA MEMBTK
APARATUS JUSKTAGLOMERULAR
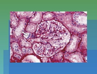
KORPUS RENALIS
KORPUS
RENALIS
KORTEKS RENALIS (C.S)
GLOMERULUS DIBUNGKUS OLEH KAPSULA BOWMANN,
MEMBENTUK KORPUS RENALIS
KAPSULA BOWMANN TERDIRI ATAS 2 LAPISAN, YAITU
LAPISAN PARIETAL (DISUSUN OLEH JARINGAN EPITEL
PIPIH SELAPIS) DAN LAPISAN VISCERAL (DISUSUN OLEH
SEL-SEL PODOSIT YANG MENGELILINGI GLOMERULUS)
PADA LAPISAN VISCERAL KAPSULA BOWMANN TERDA-
PAT CELAH YANG DISEBUT FILTRATION SLIT SEBAGAI
MEMBRAN FILTRASI ANTARA GLOMERULUS DENGAN
KAPSULA BOWMANN
SEL-SEL PODOSIT TERDIRI ATAS CELL PROCESSES &
CELL BODY
G L O M E R U L U S
TUBULUS RENALIS
TERDIRI DARI :
1. TUBULUS KONTORTUS PROKSIMAL
2. TUBULUS KONTORTUS DISTAL
3. ANSA HENLE (ASCENDING DAN DESCENDING)
DINDING TUBULUS PROKSIMAL TERSUSUN ATAS
JARINGAN EPITEL SILINDRIS SELAPIS, YANG PADA
PERMUKAAN SELNYA TERDAPAT ‘BRUSH BORDER’
DINDING TUBULUS DISTAL TERSUSUN ATAS JARINGAN
EPITEL KUBUS SELAPIS, YANG PADA PERMUKAAN
SELNYA TERDAPAT MIKROVILLI
DINDING ANSA HENLE DISUSUN ATAS JARINGAN EPITEL
PIPIH ATAU KUBUS SELAPIS
TUBULUS KONTORTUS PROKSIMAL (C.S)
TUBULUS KONTORTUS DISTAL (C.S)
BRUSH BORDER PADA PERMUKAAN SEL EPITEL
TUBULUS KONTORTUS PROKSIMAL
DUKTUS KOLEKTIVUS/DUKTUS KOLIGENS
MERUPAKAN KUMPULAN TUBULI DISTAL DARI
BEBERAPA NEFRON
TUBULUS INI BERLUMEN LEBAR DENGAN DINDING
YANG TERSUSUN DARI JARINGAN EPITEL KUBUS
SELAPIS
TUBULUS KOLEKTIVUS BERHUBUNGAN DENGAN
RONGGA PELVIS
DI LAPISAN MEDULLA RENALIS, TUBULI INI MEMBENTUK
MEDULLARY RAYS
DUKTUS KOLIGENS (C.S)
ARTERI RENALIS DAN VENA RENALIS
ARTERI GINJAL MERUPAKAN CABANG DARI AORTA
ABDOMINAL DAN MASUK KE SINUS RENALIS (RONGGA
PADA HILUM)
DI DALAM GINJAL, ARTERI RENALIS BERCABANG
MEMBENTUK ARTERI INTERLOBAR YANG BERCA-
BANG-CABANG MEMBENTUK ARTERI ARKUATA.
ARTERI ARKUATA BERCABANG MEMBENTUK ARTERI
INTERLOBULAR, YANG BERCABANG MENJADI
ARTERIOL AFFERENT (MEMBENTUK GLOMERULUS)
DAN ARTERIOL EFFERENT (MEMBENTUK PERI-
TUBULAR KAPILER – YANG MENGELILINGI TUBULUS
PROKSIMAL DAN DISTAL. PERITUBULER YANG MENGE-
LILINGI ANSA HENLE DISEBUT VASA RECTA)
PERITUBULER KAPILER ARTERI BERHUBUNGAN
DGN PERITUBULER KAPILER VENA
PERITUBULER KAPILER VENA MERUPAKAN
CABANG DARI VENA INTERLOBULAR
VENA INTERLOBULAR MERUPAKAN CABANG DARI
VENA INTERLOBAR, DAN VENA INTERLOBAR
MERUPAKAN CABANG DARI VENA RENALIS
CABANG VENA INTERLOBULAR DI DAERAH
KAPSULA DISEBUT VENA STELATA
VENA RENALIS BERMUARA PADA VENA CAVA
INFERIOR
PEMBULUH-PEMBULUH DARAH PADA REN
VESICA
URINARIA DAN
URETER
PENAMPANG URETER (C.S)
TERDIR DARI :
1. LAPISAN MUKOSA
- SEL EPITEL TRANSISIONAL
- LAMINA PROPIA
2. LAPISAN OTOT POLOS
3. ADVENTISIA, BERUPA JAR.
IKAT LONGGAR
PENAMPANG
VESICA URINARIA
(L.S)
SAAT KOSONG
SAAT ISI
STRUKTUR HISTOLOGIS
VESICA URINARINA
SAMA DENGAN
URETER
PROSES
PEMBENTUKAN
URIN
SISTEM URINARIA
SISTEM URINARIA

SISTEM URINARIA

  • 1.
  • 2.
    TERDIRI DARI : 1.REN 2. URETER 3. VESICA URINARIA 4. URETHRA FUNGSI : 1. MEMELIHARA HOMEOSTATIS 2. MENGATUR KESEIMBANGAN CAIRAN DAN ELEKTROLIT TUBUH 3. MENGHASILKAN HORMON RENIN (UNTUK MENGATUR TEKANAN DARAH) DAN ERITROPOETIN (UNTUK MERANGSANG PRODUKSI ERITROSIT)
  • 3.
  • 4.
    ANATOMI DAN STRUKTURGINJAL TERLETAK DI RONGGA ABDOMINAL POSTERIOR (RETROPERIOTNEAL), DI SISI LATERAL COLUMNA VERTEBRALIS PERMUKAAN GINJAL DIBUNGKUS OLEH KAPSULA RENALIS, SUATU JARINGAN IKAT FIBROSA PADA PERMUKAAN KAPSULA RENALIS TERDAPAT LAPISAN JARINGAN LEMAK (PERIRENAL ADIPOSA) YANG BERFUNGSI SEBAGAI PELINDUNG KAPSULA RENALIS DAN PERIRENAL ADIPOSA DIBUNG- KUS OLEH FASCIA RENALIS, SUATU JARINGAN IKAT LONGGAR BAGIAN ANTERIOR TERDAPAT GLANDULA ADRENAL
  • 5.
    PADA BAGIAN HILUMTERDAPAT ARTERI RENALIS, VENA RENALIS, DAN URETER GINJAL TERDIRI ATAS 3 LAPIS YAITU : 1. KORTEKS RENALIS 2. MEDULLA RENALIS 3. PELVIS RENALIS GINJAL DIBANGUN OLEH UNIT STRUKTURAL DAN FUNGSIONAL YAITU NEFRON, YANG TERDIRI ATAS : 1. GLOMERULUS 2. TUBULI RENALIS 3. DUKTUS KOLEKTIVUS ADA 3 TIPE GINJAL, YAITU PRONEFROS, MESONEFROS, DAN METANEFROS
  • 6.
    PADA LAPISAN KORTEKS– MEDULA TERDAPAT SATUAN FUNGSIONAL GINJAL, YAITU NEFRON LAPISAN MEDULA TERDIRI ATAS 10 – 18 PIRAMIDA MEDULA. DIANTARANYA TERDAPAT JARINGAN KORTEKS, YAITU PIRAMIDA BERTIN PADA DASAR PIRAMIDA TERDAPAT BERKAS MEDULA YANG MENYUSUP KE LAPISAN KORTEKS SETIAP BERKAS MEDULA TERDIRI DARI SATU/LEBIH DUKTUS KOLIGENS MASSA JARINGAN KORTEKS YANG MENGELILINGI SETIAP PIRAMIDA MEDULA MEMBENTUK LOBUS RENIS, DAN SETIAP BERKAS MEDULA MERUPAKAN PUSAT DARI LOBULUS RENIS
  • 7.
  • 8.
  • 10.
  • 11.
  • 13.
  • 14.
    GLOMERULUS BERBENTUK BULAT -BERUPA ANYAMAN PEMBULUH DARAH KAPILER SEBAGAI PERCABANGAN ARTERI GINJAL ARTERI GINJAL MEMBENTUK PERCABANGAN MENJADI ARTERIOL AFFERENT DAN ARTERIOL EFFERENT KEDUA ARTERIOL MEMILIKI LAPISAN MUSKULARIS OTOT POLOS SUATU WILAYAH, TEMPAT ARTERIOL AFFERENT ME- MASUKI KORPUS RENALIS, LAPISAN OTOT POLOSNYA TERMODIFIKASI MEMBENTUK MANSET, DISEBUT SEL JUKSTAGLOMERULAR SEL-SEL JUSKTAGLOMERULAR YANG BERBATASAN DENGAN TUBULUS DISTAL DISEBUT MACULA DENSA JUKSTAGLOMERULAR DAN MACULA DENSA MEMBTK APARATUS JUSKTAGLOMERULAR
  • 15.
  • 17.
  • 20.
  • 22.
    GLOMERULUS DIBUNGKUS OLEHKAPSULA BOWMANN, MEMBENTUK KORPUS RENALIS KAPSULA BOWMANN TERDIRI ATAS 2 LAPISAN, YAITU LAPISAN PARIETAL (DISUSUN OLEH JARINGAN EPITEL PIPIH SELAPIS) DAN LAPISAN VISCERAL (DISUSUN OLEH SEL-SEL PODOSIT YANG MENGELILINGI GLOMERULUS) PADA LAPISAN VISCERAL KAPSULA BOWMANN TERDA- PAT CELAH YANG DISEBUT FILTRATION SLIT SEBAGAI MEMBRAN FILTRASI ANTARA GLOMERULUS DENGAN KAPSULA BOWMANN SEL-SEL PODOSIT TERDIRI ATAS CELL PROCESSES & CELL BODY
  • 25.
    G L OM E R U L U S
  • 26.
    TUBULUS RENALIS TERDIRI DARI: 1. TUBULUS KONTORTUS PROKSIMAL 2. TUBULUS KONTORTUS DISTAL 3. ANSA HENLE (ASCENDING DAN DESCENDING) DINDING TUBULUS PROKSIMAL TERSUSUN ATAS JARINGAN EPITEL SILINDRIS SELAPIS, YANG PADA PERMUKAAN SELNYA TERDAPAT ‘BRUSH BORDER’ DINDING TUBULUS DISTAL TERSUSUN ATAS JARINGAN EPITEL KUBUS SELAPIS, YANG PADA PERMUKAAN SELNYA TERDAPAT MIKROVILLI DINDING ANSA HENLE DISUSUN ATAS JARINGAN EPITEL PIPIH ATAU KUBUS SELAPIS
  • 27.
  • 28.
  • 29.
    BRUSH BORDER PADAPERMUKAAN SEL EPITEL TUBULUS KONTORTUS PROKSIMAL
  • 30.
    DUKTUS KOLEKTIVUS/DUKTUS KOLIGENS MERUPAKANKUMPULAN TUBULI DISTAL DARI BEBERAPA NEFRON TUBULUS INI BERLUMEN LEBAR DENGAN DINDING YANG TERSUSUN DARI JARINGAN EPITEL KUBUS SELAPIS TUBULUS KOLEKTIVUS BERHUBUNGAN DENGAN RONGGA PELVIS DI LAPISAN MEDULLA RENALIS, TUBULI INI MEMBENTUK MEDULLARY RAYS
  • 31.
  • 32.
    ARTERI RENALIS DANVENA RENALIS ARTERI GINJAL MERUPAKAN CABANG DARI AORTA ABDOMINAL DAN MASUK KE SINUS RENALIS (RONGGA PADA HILUM) DI DALAM GINJAL, ARTERI RENALIS BERCABANG MEMBENTUK ARTERI INTERLOBAR YANG BERCA- BANG-CABANG MEMBENTUK ARTERI ARKUATA. ARTERI ARKUATA BERCABANG MEMBENTUK ARTERI INTERLOBULAR, YANG BERCABANG MENJADI ARTERIOL AFFERENT (MEMBENTUK GLOMERULUS) DAN ARTERIOL EFFERENT (MEMBENTUK PERI- TUBULAR KAPILER – YANG MENGELILINGI TUBULUS PROKSIMAL DAN DISTAL. PERITUBULER YANG MENGE- LILINGI ANSA HENLE DISEBUT VASA RECTA)
  • 33.
    PERITUBULER KAPILER ARTERIBERHUBUNGAN DGN PERITUBULER KAPILER VENA PERITUBULER KAPILER VENA MERUPAKAN CABANG DARI VENA INTERLOBULAR VENA INTERLOBULAR MERUPAKAN CABANG DARI VENA INTERLOBAR, DAN VENA INTERLOBAR MERUPAKAN CABANG DARI VENA RENALIS CABANG VENA INTERLOBULAR DI DAERAH KAPSULA DISEBUT VENA STELATA VENA RENALIS BERMUARA PADA VENA CAVA INFERIOR
  • 34.
  • 40.
  • 41.
    PENAMPANG URETER (C.S) TERDIRDARI : 1. LAPISAN MUKOSA - SEL EPITEL TRANSISIONAL - LAMINA PROPIA 2. LAPISAN OTOT POLOS 3. ADVENTISIA, BERUPA JAR. IKAT LONGGAR
  • 42.
    PENAMPANG VESICA URINARIA (L.S) SAAT KOSONG SAATISI STRUKTUR HISTOLOGIS VESICA URINARINA SAMA DENGAN URETER
  • 43.