DR SIDDHARTH M. KATKADE
RESIDENT, ORTHOPAEDICS
GMC NANDED.
PERTHES DISEASE
DEFINATION:
It’s a idiopathic, self limiting, avascular necrosis of
the capital femoral epiphysis.
Coxa plana, pseudo coxalgia, arthritis deformans
juvenalis, osteochondrosis, coronary disease of hip.
Reidle – 1890 – presented first case of OCD hip
Waldenstorm – 1909 – described in 10 children
and thought tubercular origin
In 1910 this disorder was recognised as
independent disorder by 3 scientist
HISTORY:
ARTHUR LEGG
- USA
JACQUES CALVES
- FRANCE
GOERGE PERTHES
- GERMANY
BLOODSUPPLYOFFEMORALHEAD:
Till 4 years – metaphyseal and
retinacular vessels
4 to 8 years – only retinacular vessels
(lateral epiphyseal group)
8 to 16 years – retinacular and foveolar
vessles
16 years later – metaphyseal,
retinacular and foveolar vessels
Male: female – 4-5:1 & 2.5:1(India)
Age of onset : 4-8 years most commonly, range
being 2-13 years
10-20% bilateral
Caucasians more than negroes
In India – west coast especially in Udupi district
INCIDENCE:
The exact etiology of Legg Calve Perthes disease in not
known but many factors related to etiology of this
disease have been mentioned.
ETIOLOGY:
• Coagulation disorders.
• Arterial status of femoral head.
• Abnormal venous drainage.
• Abnormal growth and development.
• Trauma.
• Hyperactivity or attention deficit disorder.
• Genetic component.
• Environmental influences.
• As a sequel to synovitis.
He postulated that the solitary blood supply in
the age group 4-8 yrs makes them susceptible
to ischemia.
Compression of Lat epiphyseal arteries by
external rotators.
Intra-epiphyseal compression of blood supply
to ossification center
Caffey’s hypothesis
Truetta’s Hypothesis
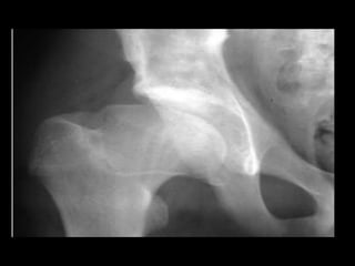
PATHOGENESIS:
Stage of Avascular Necrosis
Ischemia
A part ( anterior) or whole ofcapital
femoral epiphysis is necrosed.
On X-ray –
The ossific nucleus looks smaller
Classically of Perthes’,
looks dense
The articular cartilage remains
viable & becomes thicker than
normal
– increased joint space.
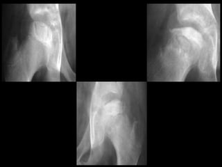
Stage of REVASCULARIZATION / FRAGMENTATION
Ingrowths of highly vascular & cellular connective tissue.
Necrotic trabecular debris is resorbed & replaced by vascular
fibrous tissue the alternating areas of sclerosis and
fibrosis appear on X- ray as fragmentation of epiphysis.
New immature bone laid on intact
necrosed trabeculae by creeping
substitution further
increases the density of ossific
nucleus on X-ray.
It is at this stage that there is
collapse and loss of structural
integrity of the femoral head as
it is sort of softened due to bone
resorption, collapse of necrotic
bone and persistence of
fibro-vascular tissue leading to
deformation of epiphysis.
The femoral head may extrude from the acetabulum
at this stage.
Stage of REVASCULARIZATION / FRAGMENTATION (contd.)
Stage of OSSIFICATION / HEALING:
New bone starts forming and epiphyseal
density increases in the lucent portions of the
femoral head.
Remodeling / Residual stage:
This is the stage of remodeling and there is no
additional change in the density of the femoral
head.
Depending on the severity of the disease the
residual shape of the head may be spherical
or distorted.
Most children present with mild and intermittent pain in
the thigh or a limp or both.
The onset of pain may be acute or insidious
The classical presentation is described as a “painless limp”
the child limps but does not complains of discomfort.
Pain is aggravated by movement of hip and relived by
rest.
CLINICAL FEATURES
Antalgic gait
Muscle spasm secondary to irritable hip
Mild to moderate limitation of abduction and internal
rotation
FFD is present
AXIS deviation is present due to central collapse
Differential rotation
Trendelenberg test positive
EXAMINATION:
AT THE END WE NEED TO RULE OUT INFECTIVE,
INFLAMMATORY, SICKLE CELL DISEASE AS PERTHES DISEASE
BEING IDIOPATHIC CONDITION IT SHOULD BE CONSIDERED
AS DIANOSIS OF EXCLUSION.
X-Ray –AP & Frog leg Lat view
USG
Arthrography
Bone Scan
CT
MRI
INVESTIGATION:
WALDENSTROM STAGES:
1) INITIAL STAGE
2) FRAGMENTATION STAGE
3) REOSSIFICATION STAGE
4) HEALED STAGE
RADIOGRAPHIC STAGES: RADIOLOGICAL CLASSIFICATION:
• Catterall
• Herring
• Salter and Thompson
• Sutherland
(discussed later)
XRAY:
Early radiographic signs:
• Failure of femoral ossific
nucleus to grow
• Widening of medial joint
space
• “Crescent sign”
• Irregular physeal plate
• Blurry/ radiolucent
Metaphysis
INITIAL STAGE:
• Bony epiphysis begins to
fragment
• Areas of increased
lucency and density
• Evidence of repair aspects of
disease bony epiphysis begins
to fragment
• Areas of increased
lucency and density
• Evidence of repair aspects of
disease
FRAGMENTATION STAGE:
• Normal bone density returns
• Alterations in shape of femoral
head and neck evident
REOSSIFICATION STAGE
ill(1(“holes of decalcification”)
cystic changes in
neck
Prognostic value –poor
outcome
Sagging rope sign
radiodense line in prox
femoral metaphysis
Metaphyseal response to
physeal damage
X-Ray
Cresent Sign or
Salters sign or
Caffey’s sign
Premature physeal closure
With central arrests:
Round head
Short neck
Troch overgrowth
With lateral arrest:
Femoral head tilted Laterally
Elongation of medial neck
Overgrowth of troch
Lateral extrusion of femoral head
and changes in acetabulum.
BENJAMIN JOSEPH (JBJS 1989)
Osteoporosis of acetabular roof
Irregularity of contour
Premature fusion of triradiate cartilage (
bicomparmentalisation)
Hypertrophy of articular cartilage & changes in dimension
On plain xray -
bicompartmental
acetabulum appears to
be composed of 2 arc
partly overlapping each
other – interpreted as the
subluxated femoral head
articulating only with the
lateral half of the
acetabulum moulding it
into 2 compartments
• Indicated to know the contour of head and
congruity of articular surface
• Shows the configuration of the femoral head and its
relation with the acetabulum.
• Provides reliable information regarding containment.
• We can assess congruity of hip in many different
positions.
• Not routinely used .
ARTHROGRAPHY
• Indicated to diagnose in early stages and to
classify the severity.
• Diagnosis possible months before signs
appear on X-Ray.
• Avascular areas show cold spots.
• Re-vascularisation can be detected much
before radiographic evidence.
BONE SCAN:
• Revascularisation at lateral column
• FAILURE TO REVASCULARISE AT LAT COLUMN IS A
GRAVE SIGN
• ALSO CALLED “SCINTIGRAPHIC HEAD AT RISK SIGN”
• PRECEDES RADIOGRAPHIC HEAD AT RISK SIGN BY 2-3 MTHS
Total lack of
uptake
Normal filling
Gradual filling of
lateral column
• Accurate in early diagnosis.
• Shows congruity, containment, synovial
hypertrophy well.
• Subtraction MRI shows ischemia as well as
scintigraphy and also allows early recognition of
reperfusion.
MRI:
• Waldenstrom classification (insignificant)
• Modified Elizabethtown classification
• Catterall classification
• Herrings lateral pillar classification
• Salter classification
• Sutherland classification
CLASSIFICATION:
Natural course
and evolution
Tells
prognosis in
active course
of disease
Tells prognosis in
healed perthes
I – only anterior portion of epiphysis affected.
II – anterior segment involved central sequestrum present
III – most of epiphysis sequestered with unaffected
portions located medial and lateral to central segment
IV – all of epiphysis sequestered.
CATTERALL CLASSIFICATION (1971)
Catterall - head at risk factors to predict
prognosis:
1. Lateral subluxation of femoral
head
2. calcification lat. To epiphysis
3. horizontal physeal
line
4. gage sign
5. extensive metaphyseal involvement
Rarefaction in the lateral
part of the epiphysis and
subjacent metaphysis.
Gage’s sign:
Salter and Thompson Classification
• Salter and Thompson recognized that Catterall's first two
groups and second two groups were distinct and
therefore proposed a two part classification.
• Salter & Thompson Group A: Less than 1/2 head
involved.
• Salter & Thompson Group B: More than 1/2 head
involved.
• Again the main difference between these two groups
is the integrity of the lateral pillar.
Extent of the fracture is more than 50% of the dome,
fair or poor results can be expected
Conclusion was……
Herring A - all do well without without treatment
Herring B – bone age <8 years :uniform outcome
irrespective of type of treatment.
Herring B –bone age>8 years:surgery >brace
Herring C- bone age <8years: surgery > brace
Herring C –bone age > 8 years: poor outcome
irrespective of type of containment
Stulberg classification
SUTHETRLAND CLASSIFICATION
Extent of disease
Catterall
Salter & thompson
Herring
Elizabeth
Whom should we treat
actively??
Extent of disease
Stage of disease
Head at risk signs
Age
Modified Elizabethtown
classification
Stage Ia: Part or
whole of the
epiphysis is
sclerotic. There is
no loss of height of
the epiphysis.
Modified Elizabethtown
classification
Stage Ib: The
epiphysis is
sclerotic and
there is loss of
epiphyseal
height. There is
no evidence of
fragmentation of
the epiphysis.
Modified Elizabethtown
classification
Stage IIa: The
sclerotic epiphysis
has just begun to
fragment. One or
two vertical fissures
are seen in either
the AP or the lateral
view
Modified Elizabethtown
classification
Stage IIb:
Fragmentation is
advanced. No new
bone is visible
lateral to the
fragmented
epiphysis.
Modified Elizabethtown
classification
Stage IIIa: Early
new bone
formation is visible
on the periphery of
the necrotic
epiphysis and
covers less than a
third of the width of
the epiphysis
Modified Elizabethtown
classification
Stage IIIb: The new
bone is of normal
texture and has
grown over a third
of the width of the
epiphysis.
Modified Elizabethtown classification
Stage IV the healing is complete and there is no
radiologically identifiable avascular bone.
Salters extrusion Index
If AB is more
than 20% of CD
it indicates a
poor prognosis
Rational behind "containment"
Containment of the head within the acetabulum is
reported to encourage spherical remodelling during the
reossification and subsequent phases.
However if there is total head involvement and the lateral
pillar collapses then the effect of containment is probably
less.
Therefore it seems that the extent of involvement of the
head is the critical factor and containment simply
optimizes the situation.
Timing of containment:
Deformation occurs during the
revascularization (fragmentation)
phase of
& early
regeneration (ossification).
It would therefore follow that if the containment is
to succeed, it would need to be performed before
the late phase of fragmentation, i.e., in stages of
AVN or early fragmentation (before or by 2a)
How long containment?
Needs to be ensured until the healing process and
beyond the stage where epiphysis is vulnerable to
deformation that is until the late stage of
regeneration phase ( 2 yrs)
Methods of CONTAINMENT OF
HEAD:
(a) Conservative methods
(b) Surgical methods
CONSERVATIVE METHODS
Weight relief & rest
In the past, treatment was primarily directed at avoiding
weight by bed rest for prolonged period (up to 2 yrs) or
weight relieving calipers to prevent head deformation.
Little evidence for efficacy.
Containment by bracing & casting
Plaster cast in abd. & internal rotation – broomstick casts
Braces to keep hip in desired position.
Weight bearing is allowed in braces.
Casts - temporary form of containment till definitive
treatment undertaken.
Treatment (Orthosis)
Non Ambulatory weight releiving
1. Abduction broomstick plaster cast
2. Hip spica cast
3. Milgram hip abduction orthosis
Ambulatory Both limbs included
1. Petrie Abduction cast
2. Toronto orthosis
3. Newington orthosis
4. Birmingham brace
5. Atlanta Scotish Rite Brace
Ambulatory unilateral
1. Tachdjian trilateral socket orthosis
Treatment (Orthosis)
Atlanta Scotish Rite
Brace
Atlanta Scotish Rite Brace
Newington orthosis
Birmingham brace
Toronto Brace:
Tachdjian trilateral
socket orthosis
Treatment (Orthosis)
Orthotic treatment is discontinued when the
disease enters the reparative phase and healing
is established.
The radiographic evidence of healing are
1. Appearance of regular ossification in the femoral head.
2. Increased density of femoral head should disappear.
3. Metaphyseal rarefaction involving the lateral cortex of
the metaphysis should ossify.
4. There should be intact lateral column.
5. There should be normal trabecular bone in the
epiphysis.
HIP ABDUCTION BRACE / CASTS
Broom stick casts
Scottish Rite orthosis
SURGICAL METHODS
Femoral osteotomy – S/T or I/T.
• Operative reconstruction provides the
advantage of improved containment & early
mobilization and is a preferred method.
Innominate osteotomy – Anterolateral coverage
Short term studies suggest an improvement in the natural
course of the disease process with femoral osteotomy.
(Salter’s )
FEMORAL OSTEOTOMY
Up to 12 years of age an open wedge osteotomy
may be performed without the risk of delayed union /
non-union.
Also the amount of shortening is minimized.
Pre-requisites – near normal hip movements.
PELVIC OSTEOTOMY
Redirectional Osteotomy
Salter’s osteotomy to
reorient the acetabulum
Shelf Operation
To create a bony shelf to
cover the extruded part of
the epiphysis.
Displacement Osteotomy
Chiari osteotomy is another
way to improve the
coverage.
Perthes after primary healing……
Hinge abduction
The Articular surface of the head and acetabulum are not
concentric.
The femoral head hinges at the acetabulum when limb is
abducted – the medial joint space is increased.
Best diagnosed on arthrography.
TREATMENT
Reconstructive procedures
Valgus extension osteotomy
indication -hinge abduction of hip
Cheilectomy
indication – malformed femoral head with lateral
protuberance Coxa plana
Chiari osteotomy
indication – malformed femoral head with lateral
subluxation
Trochanteric advancement
indication – premature capital femoral physeal arrest
Greater trochanteric epiphysiodesis
indication – premature capital femoral physeal arrest
Shelf augmentation procedure
indication – coxa magna coxa magna & lack of acetabular
coverage
Treatment
Treatment is divided into 3 phases
Initial Phase – restore & maintain mobility
Active Phase – Containment and maintainance of full
mobility.
Reconstructive phase – correct residual deformities.
Prognostic Factors
1. Age at diagnosis
2. Extent of involvement
3. Sex
4. Catterall “head at risk” clinical signs
Clinical
1. Progressive loss of hip motion
2. Increasing abduction contracture
3. Obese child
So finally…. before planning surgery, first
think of atleast 4 things …..
• Herring stage
• Pathological stage – Modified
Elizabethtown
• Age
• Range of motion
Perthes webinar siddharth.pptx

Perthes webinar siddharth.pptx

  • 1.
    DR SIDDHARTH M.KATKADE RESIDENT, ORTHOPAEDICS GMC NANDED. PERTHES DISEASE
  • 2.
    DEFINATION: It’s a idiopathic,self limiting, avascular necrosis of the capital femoral epiphysis. Coxa plana, pseudo coxalgia, arthritis deformans juvenalis, osteochondrosis, coronary disease of hip.
  • 3.
    Reidle – 1890– presented first case of OCD hip Waldenstorm – 1909 – described in 10 children and thought tubercular origin In 1910 this disorder was recognised as independent disorder by 3 scientist HISTORY:
  • 4.
    ARTHUR LEGG - USA JACQUESCALVES - FRANCE GOERGE PERTHES - GERMANY
  • 5.
    BLOODSUPPLYOFFEMORALHEAD: Till 4 years– metaphyseal and retinacular vessels 4 to 8 years – only retinacular vessels (lateral epiphyseal group) 8 to 16 years – retinacular and foveolar vessles 16 years later – metaphyseal, retinacular and foveolar vessels
  • 6.
    Male: female –4-5:1 & 2.5:1(India) Age of onset : 4-8 years most commonly, range being 2-13 years 10-20% bilateral Caucasians more than negroes In India – west coast especially in Udupi district INCIDENCE:
  • 7.
    The exact etiologyof Legg Calve Perthes disease in not known but many factors related to etiology of this disease have been mentioned. ETIOLOGY:
  • 8.
    • Coagulation disorders. •Arterial status of femoral head. • Abnormal venous drainage. • Abnormal growth and development. • Trauma. • Hyperactivity or attention deficit disorder. • Genetic component. • Environmental influences. • As a sequel to synovitis.
  • 9.
    He postulated thatthe solitary blood supply in the age group 4-8 yrs makes them susceptible to ischemia. Compression of Lat epiphyseal arteries by external rotators. Intra-epiphyseal compression of blood supply to ossification center Caffey’s hypothesis Truetta’s Hypothesis
  • 11.
    PATHOGENESIS: Stage of AvascularNecrosis Ischemia A part ( anterior) or whole ofcapital femoral epiphysis is necrosed. On X-ray – The ossific nucleus looks smaller Classically of Perthes’, looks dense The articular cartilage remains viable & becomes thicker than normal – increased joint space.
  • 12.
    Stage of REVASCULARIZATION/ FRAGMENTATION Ingrowths of highly vascular & cellular connective tissue. Necrotic trabecular debris is resorbed & replaced by vascular fibrous tissue the alternating areas of sclerosis and fibrosis appear on X- ray as fragmentation of epiphysis. New immature bone laid on intact necrosed trabeculae by creeping substitution further increases the density of ossific nucleus on X-ray.
  • 13.
    It is atthis stage that there is collapse and loss of structural integrity of the femoral head as it is sort of softened due to bone resorption, collapse of necrotic bone and persistence of fibro-vascular tissue leading to deformation of epiphysis. The femoral head may extrude from the acetabulum at this stage. Stage of REVASCULARIZATION / FRAGMENTATION (contd.)
  • 14.
    Stage of OSSIFICATION/ HEALING: New bone starts forming and epiphyseal density increases in the lucent portions of the femoral head.
  • 15.
    Remodeling / Residualstage: This is the stage of remodeling and there is no additional change in the density of the femoral head. Depending on the severity of the disease the residual shape of the head may be spherical or distorted.
  • 16.
    Most children presentwith mild and intermittent pain in the thigh or a limp or both. The onset of pain may be acute or insidious The classical presentation is described as a “painless limp” the child limps but does not complains of discomfort. Pain is aggravated by movement of hip and relived by rest. CLINICAL FEATURES
  • 17.
    Antalgic gait Muscle spasmsecondary to irritable hip Mild to moderate limitation of abduction and internal rotation FFD is present AXIS deviation is present due to central collapse Differential rotation Trendelenberg test positive EXAMINATION:
  • 18.
    AT THE ENDWE NEED TO RULE OUT INFECTIVE, INFLAMMATORY, SICKLE CELL DISEASE AS PERTHES DISEASE BEING IDIOPATHIC CONDITION IT SHOULD BE CONSIDERED AS DIANOSIS OF EXCLUSION.
  • 19.
    X-Ray –AP &Frog leg Lat view USG Arthrography Bone Scan CT MRI INVESTIGATION:
  • 20.
    WALDENSTROM STAGES: 1) INITIALSTAGE 2) FRAGMENTATION STAGE 3) REOSSIFICATION STAGE 4) HEALED STAGE RADIOGRAPHIC STAGES: RADIOLOGICAL CLASSIFICATION: • Catterall • Herring • Salter and Thompson • Sutherland (discussed later) XRAY:
  • 21.
    Early radiographic signs: •Failure of femoral ossific nucleus to grow • Widening of medial joint space • “Crescent sign” • Irregular physeal plate • Blurry/ radiolucent Metaphysis INITIAL STAGE:
  • 22.
    • Bony epiphysisbegins to fragment • Areas of increased lucency and density • Evidence of repair aspects of disease bony epiphysis begins to fragment • Areas of increased lucency and density • Evidence of repair aspects of disease FRAGMENTATION STAGE:
  • 23.
    • Normal bonedensity returns • Alterations in shape of femoral head and neck evident REOSSIFICATION STAGE
  • 24.
  • 25.
    cystic changes in neck Prognosticvalue –poor outcome
  • 26.
    Sagging rope sign radiodenseline in prox femoral metaphysis Metaphyseal response to physeal damage
  • 27.
    X-Ray Cresent Sign or Salterssign or Caffey’s sign
  • 28.
    Premature physeal closure Withcentral arrests: Round head Short neck Troch overgrowth With lateral arrest: Femoral head tilted Laterally Elongation of medial neck Overgrowth of troch
  • 29.
    Lateral extrusion offemoral head and changes in acetabulum.
  • 30.
    BENJAMIN JOSEPH (JBJS1989) Osteoporosis of acetabular roof Irregularity of contour Premature fusion of triradiate cartilage ( bicomparmentalisation) Hypertrophy of articular cartilage & changes in dimension
  • 32.
    On plain xray- bicompartmental acetabulum appears to be composed of 2 arc partly overlapping each other – interpreted as the subluxated femoral head articulating only with the lateral half of the acetabulum moulding it into 2 compartments
  • 33.
    • Indicated toknow the contour of head and congruity of articular surface • Shows the configuration of the femoral head and its relation with the acetabulum. • Provides reliable information regarding containment. • We can assess congruity of hip in many different positions. • Not routinely used . ARTHROGRAPHY
  • 34.
    • Indicated todiagnose in early stages and to classify the severity. • Diagnosis possible months before signs appear on X-Ray. • Avascular areas show cold spots. • Re-vascularisation can be detected much before radiographic evidence. BONE SCAN:
  • 35.
    • Revascularisation atlateral column • FAILURE TO REVASCULARISE AT LAT COLUMN IS A GRAVE SIGN • ALSO CALLED “SCINTIGRAPHIC HEAD AT RISK SIGN” • PRECEDES RADIOGRAPHIC HEAD AT RISK SIGN BY 2-3 MTHS Total lack of uptake Normal filling Gradual filling of lateral column
  • 36.
    • Accurate inearly diagnosis. • Shows congruity, containment, synovial hypertrophy well. • Subtraction MRI shows ischemia as well as scintigraphy and also allows early recognition of reperfusion. MRI:
  • 37.
    • Waldenstrom classification(insignificant) • Modified Elizabethtown classification • Catterall classification • Herrings lateral pillar classification • Salter classification • Sutherland classification CLASSIFICATION: Natural course and evolution Tells prognosis in active course of disease Tells prognosis in healed perthes
  • 38.
    I – onlyanterior portion of epiphysis affected. II – anterior segment involved central sequestrum present III – most of epiphysis sequestered with unaffected portions located medial and lateral to central segment IV – all of epiphysis sequestered. CATTERALL CLASSIFICATION (1971)
  • 40.
    Catterall - headat risk factors to predict prognosis: 1. Lateral subluxation of femoral head 2. calcification lat. To epiphysis 3. horizontal physeal line 4. gage sign 5. extensive metaphyseal involvement
  • 41.
    Rarefaction in thelateral part of the epiphysis and subjacent metaphysis. Gage’s sign:
  • 42.
    Salter and ThompsonClassification • Salter and Thompson recognized that Catterall's first two groups and second two groups were distinct and therefore proposed a two part classification. • Salter & Thompson Group A: Less than 1/2 head involved. • Salter & Thompson Group B: More than 1/2 head involved. • Again the main difference between these two groups is the integrity of the lateral pillar.
  • 44.
    Extent of thefracture is more than 50% of the dome, fair or poor results can be expected
  • 47.
    Conclusion was…… Herring A- all do well without without treatment Herring B – bone age <8 years :uniform outcome irrespective of type of treatment. Herring B –bone age>8 years:surgery >brace Herring C- bone age <8years: surgery > brace Herring C –bone age > 8 years: poor outcome irrespective of type of containment
  • 48.
  • 49.
  • 54.
    Extent of disease Catterall Salter& thompson Herring Elizabeth
  • 55.
    Whom should wetreat actively?? Extent of disease Stage of disease Head at risk signs Age
  • 56.
    Modified Elizabethtown classification Stage Ia:Part or whole of the epiphysis is sclerotic. There is no loss of height of the epiphysis.
  • 57.
    Modified Elizabethtown classification Stage Ib:The epiphysis is sclerotic and there is loss of epiphyseal height. There is no evidence of fragmentation of the epiphysis.
  • 58.
    Modified Elizabethtown classification Stage IIa:The sclerotic epiphysis has just begun to fragment. One or two vertical fissures are seen in either the AP or the lateral view
  • 59.
    Modified Elizabethtown classification Stage IIb: Fragmentationis advanced. No new bone is visible lateral to the fragmented epiphysis.
  • 60.
    Modified Elizabethtown classification Stage IIIa:Early new bone formation is visible on the periphery of the necrotic epiphysis and covers less than a third of the width of the epiphysis
  • 61.
    Modified Elizabethtown classification Stage IIIb:The new bone is of normal texture and has grown over a third of the width of the epiphysis.
  • 62.
    Modified Elizabethtown classification StageIV the healing is complete and there is no radiologically identifiable avascular bone.
  • 67.
    Salters extrusion Index IfAB is more than 20% of CD it indicates a poor prognosis
  • 84.
    Rational behind "containment" Containmentof the head within the acetabulum is reported to encourage spherical remodelling during the reossification and subsequent phases. However if there is total head involvement and the lateral pillar collapses then the effect of containment is probably less. Therefore it seems that the extent of involvement of the head is the critical factor and containment simply optimizes the situation.
  • 86.
    Timing of containment: Deformationoccurs during the revascularization (fragmentation) phase of & early regeneration (ossification). It would therefore follow that if the containment is to succeed, it would need to be performed before the late phase of fragmentation, i.e., in stages of AVN or early fragmentation (before or by 2a)
  • 87.
    How long containment? Needsto be ensured until the healing process and beyond the stage where epiphysis is vulnerable to deformation that is until the late stage of regeneration phase ( 2 yrs)
  • 88.
    Methods of CONTAINMENTOF HEAD: (a) Conservative methods (b) Surgical methods
  • 89.
    CONSERVATIVE METHODS Weight relief& rest In the past, treatment was primarily directed at avoiding weight by bed rest for prolonged period (up to 2 yrs) or weight relieving calipers to prevent head deformation. Little evidence for efficacy. Containment by bracing & casting Plaster cast in abd. & internal rotation – broomstick casts Braces to keep hip in desired position. Weight bearing is allowed in braces. Casts - temporary form of containment till definitive treatment undertaken.
  • 90.
    Treatment (Orthosis) Non Ambulatoryweight releiving 1. Abduction broomstick plaster cast 2. Hip spica cast 3. Milgram hip abduction orthosis Ambulatory Both limbs included 1. Petrie Abduction cast 2. Toronto orthosis 3. Newington orthosis 4. Birmingham brace 5. Atlanta Scotish Rite Brace Ambulatory unilateral 1. Tachdjian trilateral socket orthosis
  • 91.
  • 92.
  • 93.
  • 94.
  • 95.
  • 96.
  • 97.
    Treatment (Orthosis) Orthotic treatmentis discontinued when the disease enters the reparative phase and healing is established. The radiographic evidence of healing are 1. Appearance of regular ossification in the femoral head. 2. Increased density of femoral head should disappear. 3. Metaphyseal rarefaction involving the lateral cortex of the metaphysis should ossify. 4. There should be intact lateral column. 5. There should be normal trabecular bone in the epiphysis.
  • 98.
    HIP ABDUCTION BRACE/ CASTS Broom stick casts Scottish Rite orthosis
  • 99.
    SURGICAL METHODS Femoral osteotomy– S/T or I/T. • Operative reconstruction provides the advantage of improved containment & early mobilization and is a preferred method. Innominate osteotomy – Anterolateral coverage Short term studies suggest an improvement in the natural course of the disease process with femoral osteotomy. (Salter’s )
  • 106.
    FEMORAL OSTEOTOMY Up to12 years of age an open wedge osteotomy may be performed without the risk of delayed union / non-union. Also the amount of shortening is minimized. Pre-requisites – near normal hip movements.
  • 109.
    PELVIC OSTEOTOMY Redirectional Osteotomy Salter’sosteotomy to reorient the acetabulum Shelf Operation To create a bony shelf to cover the extruded part of the epiphysis. Displacement Osteotomy Chiari osteotomy is another way to improve the coverage.
  • 110.
    Perthes after primaryhealing……
  • 113.
    Hinge abduction The Articularsurface of the head and acetabulum are not concentric. The femoral head hinges at the acetabulum when limb is abducted – the medial joint space is increased. Best diagnosed on arthrography.
  • 115.
    TREATMENT Reconstructive procedures Valgus extensionosteotomy indication -hinge abduction of hip Cheilectomy indication – malformed femoral head with lateral protuberance Coxa plana Chiari osteotomy indication – malformed femoral head with lateral subluxation Trochanteric advancement indication – premature capital femoral physeal arrest Greater trochanteric epiphysiodesis indication – premature capital femoral physeal arrest Shelf augmentation procedure indication – coxa magna coxa magna & lack of acetabular coverage
  • 116.
    Treatment Treatment is dividedinto 3 phases Initial Phase – restore & maintain mobility Active Phase – Containment and maintainance of full mobility. Reconstructive phase – correct residual deformities.
  • 117.
    Prognostic Factors 1. Ageat diagnosis 2. Extent of involvement 3. Sex 4. Catterall “head at risk” clinical signs Clinical 1. Progressive loss of hip motion 2. Increasing abduction contracture 3. Obese child
  • 118.
    So finally…. beforeplanning surgery, first think of atleast 4 things ….. • Herring stage • Pathological stage – Modified Elizabethtown • Age • Range of motion