Pelvis CT
Pathology
Benign prostatic hyperplasia (BPH)
• A nodular enlargement of the prostate with constriction of the urethra and
obstruction of the bladder while emptying.
• This is one of the most commonly diagnosed urinary disorders affecting men.
About 50% of men between 50 and 60 years of age have histologic evidence of
BPH.
• Common symptom is a decrease in the force of the urine stream. Other
symptoms may include urinary frequency, urgency, nocturia, intermittent urine
flow, incomplete bladder emptying, and straining with urination.
• BPH can mimic prostate cancer.
CT
• Enlarged prostate with a lobulated contour.
• High- and low-density areas within the prostate with variable enhancement.
• Calcification is commonly seen within the prostate.
• Prostate is elevated upward into the bladder.
• Bladder wall thickening.
Benign Prostatic Hyperplasia
Axial contrast-enhanced
CT (CECT) shows a
heterogeneously
enhancing prostate with
a small calcification
consistent with benign
prostatic hyperplasia.
Bladder cancer
• commonly begins in the inner most lining ofthe bladder wall called the urothelium or
transitional epithelium. Urothelialcarcinoma, also known as transitional cell carcinoma (TCC),
is the most
• common type (greater than 90%) of cancer affecting the bladder.
• Tumors may be defined as either noninvasive or invasive. Bladder cancers may also be
described as either papillary or flat depending on their appearance.
• Males are about three times more likely affected than females. Whites are more commonly
affected than other races.
• Most common sign is blood in the urine. Pain or burning during urination without evidence of
a urinary tract infection. Change in bladder habits.
• The urothelial cells line the urinary tract from the kidney to the urethra, so the entire urinary
tract needs to be evaluated for spread of cancer.
• Cystoscopy is the most useful method to diagnose.
CT
• Useful to detect mass and other abnormalities.
• Renal CT urogram.
• Useful to evaluate pelvis and retroperitoneal lymph nodes.
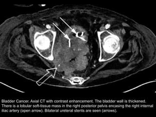
Bladder Cancer. Axial CT with contrast enhancement. The bladder wall is thickened.
There is a lobular soft-tissue mass in the right posterior pelvis encasing the right internal
iliac artery (open arrow). Bilateral ureteral stents are seen (arrows).
Bladder Cancer.
Coronal MPR CT
(same patient as in
Figure 1). Note the
ureteral stent
surrounded by the
thickened bladder
wall (arrow). A small
atrophic right kidney
is seen also.
Sagittal MPR CT (same patient as
in Figure1). Note the Foley catheter
in urinary bladder (arrow). An
incidental
finding of an AAA is seen (open
arrow).
Ovarian cancer
• Ovarian cancer arises primarily from epithelial
tissue. is the second most common gynecologic
malignancy and ranks as the fifth most common
cancer affecting women.
• This cancer tends to be asymptomatic and
• disseminates outside the pelvis early.
• Vague abdominal discomfort, dyspepsia,
flatulence, bloating, and digestive disturbances
may be detected early.
• Late symptoms include abdominal distention and
pain, abdominal
• and pelvic mass, or ascites.
CT
• Shows unilateral or bilateral solid and cystic mass.
• Shows multi-lobulated lesion with thick (>3 mm)
sometimes irregular
• enhancing septations.
• Shows ascites.
• Shows enlarged lymph nodes.
• May be used for staging.
• Useful for follow-up to monitor response to therapy
and postoperative
• recurrence.
Ovarian Cancer. CT
coronal MPR shows
ovarian tumor
(large black arrow),
large area of ascites
(small black arrow),
and iliac
lymphadenopathy on
the right side (open
arrow).
Ovarian Cancer. CT axial image shows large multiloculated mass (curved arrow)
extending from the pelvis into the lower abdominal region with malignant ascites
(open arrow). Note the right iliac lymphadenopathy (straight arrow).
Ovarian Cyst
• An adnexal mass of the uterus can comprise any of the appendages of the uterus
including the ovaries, fallopian tubes, and the ligaments that hold the uterus in place.
• The majority of cysts and tumors Generally related to hormonal dysfunction;
however, may be stimulated by other disease processes.
• Occurs more commonly in menarcheal women.
• Adnexal cysts are usually asymptomatic.
• Ultrasound is the best modality for imaging of the uterus and ovaries.
CT
• Contrast-enhanced CT demonstrates a cystic mass in the adnexal
• region.
• Well-defined margins with fluid density.
Ovarian Cyst
CT of the pelvis with contrast shows an approximate 5-cm, round, well-defined, low-
density mass (arrow) in the right adnexal consistent with an ovarian cyst.
Axial CT scan demonstrating a cyst on the left ovary.
Prostatic adenocarcinoma
• The most common malignancy in males. Prostate cancer affects
older males.
• Affects males greater than 50 years of age.
• This is the third leading cause of cancer deaths in men.
• Screening is useful in detecting asymptomatic cases.
• Prostate cancer is usually detected during screening with the
prostate-specific antigen (PSA) blood test or digital rectal
examination (DRE).
CT
• Useful for advanced disease.
• Enlarged prostate is common and appears similar to BPH.
• Useful in evaluating lymph nodes and bony anatomy in the abdomen
and pelvis.
• CT-guided biopsy useful for directing fine-needle aspiration of
enlarged nodes.
• Used for radiation therapy treatment planning.
Prostatic adenocarcinoma
Axial (A) and sagittal (B) CECTs demonstrating a heterogeneously enhancing enlarged
prostate (arrows) displacing the inferior wall of the bladder superiorly.
Rectal cancer
• Involves the distance portion of the colon that
connects the anus to the large bowel
(sigmoid colon).
• Some polyps continue to develop into cancer
and grow and penetrate the wall of the
rectum.
• The rectum is approximately 15 cm in length
and can be divided into three portions (i.e.,
lower, middle, and upper).
• Each segment is roughly 5 to 6 cm in length.
Rectal anatomy
• Like the colon, the wall of the rectum is
comprised of three layers:
1. Mucosa (inner layer which is composed of
glands that secrete mucus),
2. Muscularis (middle layer composed of
muscles which help in maintaining its shape
and which contract to provide movement of
the contents of the bowel.
3. Mesorectum (the fatty tissue surrounding the
rectum).
Rectal cancer
• Symptoms of rectal cancer may include rectal bleeding, blood
in the stool, diarrhea or constipation that does not go away,
change in the stool, and change in bowel habits, bloating, and
change in appetite, weight loss, and fatigue.
• CT of the chest, abdomen, and pelvis is helpful
• in initial staging and may be beneficial in restaging following
neoadjuvant treatment.
• Accurate reporting of the local-regional extent of the tumor,
• with specific focus on the anal sphincter area, mesorectal
fascia, peritoneum, adjacent organs, and lymph nodes are key.
• In addition to CT and MR, endorectal ultrasonography may be
used to assist with evaluation of the disease.
• PET/CT may be beneficial in detecting metastatic
disease and abdominal lymph nodes.
• Endorectal ultrasound may be useful in evaluating the
extent of local disease (i.e., rectal wall involvement).
CT
• Contrast-enhanced CT of the chest, abdomen, and
pelvis for detection
• of both regional and metastatic disease.
• Useful for follow-up exams.
• Useful in identifying metastases in the lungs and liver.
Uterine leiomyomas
• Also known as myomas, fibromyomas, and fibroids, are the
most common benign uterine tumors.
• An estrogen-dependent tumor that may increase in size during
pregnancy, and usually decreases in size following
menopause.
• Depending on the location and size of the tumor, the patient
may experience pressure on the surrounding organs and
abnormal menstruation.
• Ultrasound is the best imaging modality.
CT
• Usually appear with a homogenous soft-tissue density similar
to a normal uterus.
• Calcification may occur in approximately 10% of cases,
especially postmenopausal patients.
• Usually Contrast-enhanced images demonstrate enhancement
similar to a normal uterus.
Fibroid Uterus
Axial CT showing a densely calcified fibroid.
Fibroid Uterus
Axial CECT showing a subserosal fibroid.
Thank you

Pelvis ct pathology

  • 1.
  • 2.
    Benign prostatic hyperplasia(BPH) • A nodular enlargement of the prostate with constriction of the urethra and obstruction of the bladder while emptying. • This is one of the most commonly diagnosed urinary disorders affecting men. About 50% of men between 50 and 60 years of age have histologic evidence of BPH. • Common symptom is a decrease in the force of the urine stream. Other symptoms may include urinary frequency, urgency, nocturia, intermittent urine flow, incomplete bladder emptying, and straining with urination. • BPH can mimic prostate cancer. CT • Enlarged prostate with a lobulated contour. • High- and low-density areas within the prostate with variable enhancement. • Calcification is commonly seen within the prostate. • Prostate is elevated upward into the bladder. • Bladder wall thickening.
  • 3.
    Benign Prostatic Hyperplasia Axialcontrast-enhanced CT (CECT) shows a heterogeneously enhancing prostate with a small calcification consistent with benign prostatic hyperplasia.
  • 4.
    Bladder cancer • commonlybegins in the inner most lining ofthe bladder wall called the urothelium or transitional epithelium. Urothelialcarcinoma, also known as transitional cell carcinoma (TCC), is the most • common type (greater than 90%) of cancer affecting the bladder. • Tumors may be defined as either noninvasive or invasive. Bladder cancers may also be described as either papillary or flat depending on their appearance. • Males are about three times more likely affected than females. Whites are more commonly affected than other races. • Most common sign is blood in the urine. Pain or burning during urination without evidence of a urinary tract infection. Change in bladder habits. • The urothelial cells line the urinary tract from the kidney to the urethra, so the entire urinary tract needs to be evaluated for spread of cancer. • Cystoscopy is the most useful method to diagnose. CT • Useful to detect mass and other abnormalities. • Renal CT urogram. • Useful to evaluate pelvis and retroperitoneal lymph nodes.
  • 5.
    Bladder Cancer. AxialCT with contrast enhancement. The bladder wall is thickened. There is a lobular soft-tissue mass in the right posterior pelvis encasing the right internal iliac artery (open arrow). Bilateral ureteral stents are seen (arrows).
  • 6.
    Bladder Cancer. Coronal MPRCT (same patient as in Figure 1). Note the ureteral stent surrounded by the thickened bladder wall (arrow). A small atrophic right kidney is seen also.
  • 7.
    Sagittal MPR CT(same patient as in Figure1). Note the Foley catheter in urinary bladder (arrow). An incidental finding of an AAA is seen (open arrow).
  • 8.
    Ovarian cancer • Ovariancancer arises primarily from epithelial tissue. is the second most common gynecologic malignancy and ranks as the fifth most common cancer affecting women. • This cancer tends to be asymptomatic and • disseminates outside the pelvis early. • Vague abdominal discomfort, dyspepsia, flatulence, bloating, and digestive disturbances may be detected early. • Late symptoms include abdominal distention and pain, abdominal • and pelvic mass, or ascites.
  • 9.
    CT • Shows unilateralor bilateral solid and cystic mass. • Shows multi-lobulated lesion with thick (>3 mm) sometimes irregular • enhancing septations. • Shows ascites. • Shows enlarged lymph nodes. • May be used for staging. • Useful for follow-up to monitor response to therapy and postoperative • recurrence.
  • 10.
    Ovarian Cancer. CT coronalMPR shows ovarian tumor (large black arrow), large area of ascites (small black arrow), and iliac lymphadenopathy on the right side (open arrow).
  • 11.
    Ovarian Cancer. CTaxial image shows large multiloculated mass (curved arrow) extending from the pelvis into the lower abdominal region with malignant ascites (open arrow). Note the right iliac lymphadenopathy (straight arrow).
  • 12.
    Ovarian Cyst • Anadnexal mass of the uterus can comprise any of the appendages of the uterus including the ovaries, fallopian tubes, and the ligaments that hold the uterus in place. • The majority of cysts and tumors Generally related to hormonal dysfunction; however, may be stimulated by other disease processes. • Occurs more commonly in menarcheal women. • Adnexal cysts are usually asymptomatic. • Ultrasound is the best modality for imaging of the uterus and ovaries. CT • Contrast-enhanced CT demonstrates a cystic mass in the adnexal • region. • Well-defined margins with fluid density.
  • 13.
    Ovarian Cyst CT ofthe pelvis with contrast shows an approximate 5-cm, round, well-defined, low- density mass (arrow) in the right adnexal consistent with an ovarian cyst.
  • 14.
    Axial CT scandemonstrating a cyst on the left ovary.
  • 15.
    Prostatic adenocarcinoma • Themost common malignancy in males. Prostate cancer affects older males. • Affects males greater than 50 years of age. • This is the third leading cause of cancer deaths in men. • Screening is useful in detecting asymptomatic cases. • Prostate cancer is usually detected during screening with the prostate-specific antigen (PSA) blood test or digital rectal examination (DRE). CT • Useful for advanced disease. • Enlarged prostate is common and appears similar to BPH. • Useful in evaluating lymph nodes and bony anatomy in the abdomen and pelvis. • CT-guided biopsy useful for directing fine-needle aspiration of enlarged nodes. • Used for radiation therapy treatment planning.
  • 16.
    Prostatic adenocarcinoma Axial (A)and sagittal (B) CECTs demonstrating a heterogeneously enhancing enlarged prostate (arrows) displacing the inferior wall of the bladder superiorly.
  • 17.
    Rectal cancer • Involvesthe distance portion of the colon that connects the anus to the large bowel (sigmoid colon). • Some polyps continue to develop into cancer and grow and penetrate the wall of the rectum. • The rectum is approximately 15 cm in length and can be divided into three portions (i.e., lower, middle, and upper). • Each segment is roughly 5 to 6 cm in length.
  • 18.
    Rectal anatomy • Likethe colon, the wall of the rectum is comprised of three layers: 1. Mucosa (inner layer which is composed of glands that secrete mucus), 2. Muscularis (middle layer composed of muscles which help in maintaining its shape and which contract to provide movement of the contents of the bowel. 3. Mesorectum (the fatty tissue surrounding the rectum).
  • 19.
    Rectal cancer • Symptomsof rectal cancer may include rectal bleeding, blood in the stool, diarrhea or constipation that does not go away, change in the stool, and change in bowel habits, bloating, and change in appetite, weight loss, and fatigue. • CT of the chest, abdomen, and pelvis is helpful • in initial staging and may be beneficial in restaging following neoadjuvant treatment. • Accurate reporting of the local-regional extent of the tumor, • with specific focus on the anal sphincter area, mesorectal fascia, peritoneum, adjacent organs, and lymph nodes are key. • In addition to CT and MR, endorectal ultrasonography may be used to assist with evaluation of the disease.
  • 20.
    • PET/CT maybe beneficial in detecting metastatic disease and abdominal lymph nodes. • Endorectal ultrasound may be useful in evaluating the extent of local disease (i.e., rectal wall involvement). CT • Contrast-enhanced CT of the chest, abdomen, and pelvis for detection • of both regional and metastatic disease. • Useful for follow-up exams. • Useful in identifying metastases in the lungs and liver.
  • 21.
    Uterine leiomyomas • Alsoknown as myomas, fibromyomas, and fibroids, are the most common benign uterine tumors. • An estrogen-dependent tumor that may increase in size during pregnancy, and usually decreases in size following menopause. • Depending on the location and size of the tumor, the patient may experience pressure on the surrounding organs and abnormal menstruation. • Ultrasound is the best imaging modality. CT • Usually appear with a homogenous soft-tissue density similar to a normal uterus. • Calcification may occur in approximately 10% of cases, especially postmenopausal patients. • Usually Contrast-enhanced images demonstrate enhancement similar to a normal uterus.
  • 22.
    Fibroid Uterus Axial CTshowing a densely calcified fibroid.
  • 23.
    Fibroid Uterus Axial CECTshowing a subserosal fibroid.
  • 24.