Introduction to pathology
By: Dr. Jebessa Gemechu
(MD, Assistant professor
of pathology)
2/21/2023 1
Learning Objectives
Upon completing this topic students should be able to:
1. Define pathology
2. Discuss the core aspects of disease in pathology
3. Know the diagnostic techniques used in pathology
4. Know the various categories of the causes of diseases
5. Know the course, outcome, consequences of diseases
2/21/2023 2
Introduction to Pathology
 Rudolph Virchow
 1821-1902
 The Father of Modern
Pathology
2/21/2023 3
Introduction to Pathology…
Definition of pathology
 The word pathology came from the Latin words
“patho” & “logy”.
 ‘Patho’ means disease and ‘logy’ means study.
 Pathology is the study of disease by scientific methods.
 Pathology is a study of the structural, biochemical and
functional changes in cells, tissues and organs that
underlie disease.
 Diseases may, in turn, be defined as an abnormal
variation in structure or function of any part of the
body.
2/21/2023 4
History of Pathology
Autopsy → Organ pathology
Light Microscopy → Cellular pathology
Ultra-structural pathology with the application
of Electron Microscopy
Immunopathology, Molecular pathology,
Genetic pathology, Quantitative pathology
2/21/2023 5
A) The core of pathology
The four aspects of a disease process that form the core of pathology
1) Etiology
 Causes of the disease
2) Pathogenesis
 The mechanisms of its development
 The mechanism by which the disease is produced/ developed.
3) Morphologic changes
 The structural alteration induced in the cells and organs of the body
4) Functional derangements and clinical significance.
 The functional consequences of the morphologic changes
The scope of pathology
2/21/2023 6
The scope of pathology…
B) Classification
1. Human pathology
2. Experimental pathology
C) Position
 Is a bridging discipline involving both
basic science and clinical practice
Autopsy
Biopsy
Cytology
2/21/2023 7
The scope of pathology…
D)Text of Pathology
 Pathology is broadly divided into two categories
A. General pathology
 Deals with general principle of disease. E.G. inflammation,
cancer, ageing
 Concerned with the basic reaction of cells and tissues to
abnormal stimuli that underlie all diseases.
B. Systemic pathology
 Describes the specific responses of specialized organs and tissues
to defined stimuli.
 Study of disease pertaining to the specific organs and body
systems.
2/21/2023 8
The scope of pathology…
 Systemic pathology is further divided in to following branches
1. Histopathology
 Gross or macroscopic examination
 Microscopic examination of tissues and/or cells
 It is further divided in to
o Surgical pathology
o Forensic pathology i.e. autopsy
2. Cytopathology/ Cytology
 Is branch of pathology that studies and diagnoses diseases on the
cellular level.
o Exfoliative cytology
o FNAC- Fine Needle Aspiration Cytology-ca
2/21/2023 9
The scope of pathology…
3. Hematology
 Deals with the disease of blood and blood related components.
4. Microbiology
 Deals with the study of microorganisms
5. Chemical pathology
 Analysis of biochemical constituent of blood, urine, semen,CSF etc.
6. Immunology
 Detection of abnormalities in the immune system of the body.
2/21/2023 10
The scope of pathology…
7. Experimental pathology
 Study of disease in experimental animal.
8. Geographic pathology
 Study of diseases in populations in different parts of world.
9. Medical genetics
 It deals with the relationship between heredity and disease.
10. Molecular pathology
 Detection and diagnosis of abnormalities at the level of DNA.
2/21/2023 11
Techniques of Pathology
1. Human pathology
 Autopsy: Organ pathology
 Biopsy: surgical or diagnostic pathology
 Cytology: smear, fine needle aspiration cytology-FNAC
2. Experimental pathology
 Animal experiment: animal model
 Tissue and cell culture
2/21/2023 12
Cellular Adaptations, Cell Injury and
Cell death
2/21/2023 13
Cellular Response
- The normal cell is confined to a fairly normal range
of function & structure.
- It is nevertheless able to handle normal physiologic
demands, maintaining steady state called
homeostasis.
- Is the state of steady internal, physical and chemical
conditions maintained by living systems.
- Is a state of balance among all the body systems
needed for the body to survive and function
correctly
2/21/2023 14
…
 More severe physiologic stresses & some
pathologic stimuli may bring about a number
of physiologic & morphologic cellular
adaptation.
 If the limits of adaptive response to a stimulus
are exceeded, or the cell is exposed to an
injurious agent or stress , a sequence of events
follows that is termed Cell injury.
 Hence, the response of cells to stimuli may be
an adaptation and an injury
2/21/2023 15
…
2/21/2023 16
Cellular Adaptation
 It is a new but altered steady state which
preserves the viability of the cell & modulates its
function as it responds to stimuli.
 Adaptations are reversible functional and
structural responses to changes in physiologic
states E.g. pregnancy &
 Some pathologic stimuli, during which new but
altered steady states are achieved, allowing the
cell to survive and continue to function
2/21/2023 17
The Four basic Types of Cellular Adaptation
1. Hyperplasia-Formation of new muscle cells
 Increase in number of cells
2. Hypertrophy
 Increase in size of cells
3. Atrophy
 Decrease in size of cells
 Shrinkage in cell size due to loss of cell substance
4. Metaplasia
A substitution of one normal cell or tissue type for another
o Columnar- Squamous (cervix)
o Squamous- Columnar (glandular) (stomach)
o Fibrous- Bone
This condition is considered a risk factor for cancer. It is not a cancer
but it is a step toward cancer.
2/21/2023 18
Question!
1. Among the following cellular adaptation which one is
considered a risk factor for cancer ?
A. Atrophy
B. Hypertrophy
C. Hyperplasia
D. Metaplasia
2. Is not considered changes in cell size or number
A. Atrophy
B. Hypertrophy
C. Hyperplasia
D. Metaplasia
2/21/2023 19
A. Hyperplasia
 It is an increase in number of cells in an organ or tissue
 Usually resulting in increased volume of the organ or
tissue
 Hyperplasia takes place if the cellular population is
capable of synthesizing DNA or able to undergo mitotic
division
 Usually, it occurs together with hypertrophy
 It can be physiologic or pathologic
2/21/2023 20
1. Physiologic Hyperplasia
 Due to the action of hormonal hyperplasia or growth
factor which increases the functional capacity of a
tissue when needed.
o E.g. Proliferation of glandular epithelium of
female breast during pregnancy & puberty
o Or physiologic hyperplasia that occurs in pregnant
uterus.
2/21/2023 21
2. Pathologic hyperplasia
 Most are caused by excessive hormonal stimulation or
growth factors acting on target cells
o Eg. Endometrial hyperplasia (due to estrogen)
o Benign prostatic hyperplasia (due to androgen)
Mechanisms of Hyperplasia
 Hyperplasia is the result of growth factor-driven
proliferation of mature cells and, in some cases, by increased
output of new cells from tissue stem cells.
2/21/2023 22
Uterus
2/21/2023 23
prostate
2/21/2023 24
B. Hypertrophy
 It refers to an increase in the size of cells
 Resulting in an increase in the size of the organ.
 The increase in size is due to synthesis of more structural
components
 It can be physiologic or pathologic & is caused by increased
functional demand or by specific hormonal stimulation
Example:
 The enlargement of the left ventricle in hypertensive heart
disease &
 The increase in skeletal muscle during strenuous exercise
2/21/2023 25
…
Mechanisms of Hypertrophy
 Hypertrophy is the result of increased production of
cellular proteins.
 Much of our understanding of hypertrophy is based
on studies of the heart.
 There is great interest in defining the molecular basis
of hypertrophy since beyond a certain point,
2/21/2023 26
Figure –Physiologic hypertrophy of the uterus during pregnancy
2/21/2023 27
Heart
2/21/2023 28
C. Atrophy
 Shrinkage in the size of the cell by loss of cell substance.
 Atrophy is defined as a reduction in the size of an organ
or tissue due to a decrease in cell size and number.
 Atrophy can be caused by decreased workload,
denervation, decreased blood flow, decreased
nutrition, aging (involution) & pressure
 Atrophy can be physiologic or pathologic
2/21/2023 29
Physiologic atrophy
 Is common during early development
 Early embryonic structures such as thyroglossal
duct undergo atrophy during fetal development.
 Uterus decreases in size shortly after parturition.
2/21/2023 30
Pathologic atrophy
 It Can be local or generalized
Common causes of atrophy
 Decreased work load (Atrophy of disuse)
 Loss of innervations (denervation atrophy)
 Diminished blood supply
 Inadequate nutrition
 Loss of endocrine stimulation
 Aging
 Pressure
Mechanisms of Atrophy
 Atrophy results from decreased protein synthesis and increased protein
degradation in cells.
 Protein synthesis decreases because of reduced metabolic activity.
 The degradation of cellular proteins
2/21/2023 31
Figure Atrophy. A, Normal brain of a young adult.
B, Atrophy of the brain in CVA
2/21/2023 32
Brain…
2/21/2023 33
D. Metaplasia
 It is a reversible change in which one adult cell type
(epithelial or mesenchymal) is replaced by another adult
cell type.
 It may represent an adaptive substitution of cells that are
sensitive to stress by cell types better able to withstand
the adverse environment
 Change inphenotype of differentiated cells, often in
response to chronic irritation, that makes cells better able
to withstand the stress; usually induced by altered
differentiation pathway of tissue stem cells; may result in
reduced functions or increased propensity for malignant
transformation
2/21/2023 34
…
 The most common metaplasia is columnar to
squamous, as occurs in the respiratory tract in
response to chronic irritation
 The normal ciliated columnar epithelial cells of the
trachea & bronchi are often replaced focally or
widely by stratified squamous epithelial cells in
cigarette smokers
 The influences that predispose to metaplasia , if
persistent, may induce malignant transformation in
metaplastic epithelium
2/21/2023 35
…
2/21/2023 36
…
 Metaplasia from squamous to columnar type (Barret
esophagus) may also occur.
 Esophageal squamous epithelium is replaced by
intestinal - like columnar under the influence of refluxed
gastric acid
 Cancers may arise that are typically glandular carcinoma
(adenocarcinoma)
2/21/2023 37
….
Mechanisms of Metaplasia
 Metaplasia does not result from a change in the
phenotype of an already differentiated cell type
 Instead it is the resulted from a reprogramming of
stem cells that are known to exist in normal tissues
 Or from undifferentiated mesenchymal cells present
in connective tissue.
2/21/2023 38
Question!
3. True about mechanism of metaplasia
A. Resulted from a change in the phenotype of an already
differentiated cell type
B. Resulted from a reprogramming of stem cells that are known
to exist in normal tissues
C. Resulted from undifferentiated mesenchymal cells present in
connective tissue
D. B & C
E. A & B
2/21/2023 39
Figure Metaplasia of columnar to squamous epithelium. A, Schematic
diagram.
B, Metaplasia of columnar epithelium (left) to squamous epithelium
(right) in a bronchus.
2/21/2023 40
Note
 Reversible = Injury
 Irreversible = Death
 Apoptosis = Normal death
 Necrosis = Premature or untimely death due to causes
Note again
 Reversible = injury
 Irreversible injury
 Apoptosis
 Necrosis
Death
2/21/2023 41
Cell Injury
 Cell injury results when cells are stressed so severely
that they no longer able to adapt or the cells are exposed
to inherently damaging agents .
 If the limits of adaptive responses are exceeded or if
cells are exposed to injurious agents or stress, deprived
of essential nutrients, or become compromised by
mutations that affect essential cellular constituents, a
sequence of events follows that is termed cell injury
2/21/2023 42
Types of Cell Injury
 Cell injury can be reversible or irreversible injury.
Reversible changes
 Reduced oxidative phosphorylation
 ATP depletion
 Cellular swelling
Irreversible changes
 Mitochondrial irreversibility
 Irreversible membrane defects
 Lysosomal digestion
2/21/2023 43
…
 These alterations may be divided into two stages
Reversible cell injury
 Is manifested as functional & morphologic changes that
are reversible if the damaging stimulus is removed in
early stages or mild forms of injury.
 The hallmarks of reversible injury are reduced
oxidative phosphorylation with resultant depletion of
energy (ATP)
2/21/2023 44
…
Irreversible injury (cell death )
 With continuing damage , the injury becomes
irreversible at which time the cell cannot recover and
it dies.
 Historically, two principal types of cell death,
necrosis & apoptosis, which differ in their
morphology, mechanisms, and roles in physiology
and disease, have been recognized.
2/21/2023 45
Causes of cell injury
o Oxygen deprivation
 Hypoxia is a deficiency of oxygen , which causes cell injury by reducing
aerobic oxidative respiration.
 It should be distinguished from ischemia , which is loss of blood supply from
impeded arterial flow or reduced venous drainage in tissue .
 Causes of hypoxia include cardio-respiratory failure, anemia, carbon
monoxide poisoning
o Physical agents
 Mechanical trauma, extremes of temperature, sudden changes in atmospheric
pressure
o Chemical agents & Drugs
o Infectious agents
o Immunologic reactions
o Genetic derangements
o Nutritional imbalance
2/21/2023 46
Mechanisms of cell injury
Principles that are relevant to most forms of cell injury:-
 The cellular response to injurious stimuli depends on the
type of injury, its duration & its severity
 The consequences of cell injury depend on the type,
state, & adaptability of the injured cell
2/21/2023 47
Morphology of cell injury & Necrosis
Reversible injury
 Two patterns of reversible cell injury can be
recognized under the light microscope
1. Cell swelling
 This is the first manifestation of almost all forms of
injury to cell injury
 It appears whenever the cells are incapable of
maintaining ionic & fluid homeostasis & is result of
loss of function of plasma membrane energy-
dependent ion pumps.
2/21/2023 48
….
2. Fatty change
- It is manifested by the appearance of small & large
lipid vacuoles in the cytoplasm & occurs in hypoxic
& various toxic injury.
- It is principally seen in cells involved in & dependent
on fat metabolism such as hepatocytes &
myocardial cell
2/21/2023 49
Irreversible injury
 Also called cell death
1. Necrosis
2. Apoptosis
2/21/2023 50
A. Necrosis
- It refers to a spectrum of morphologic changes that follow
cell death in a living tissue resulting from the progressive
degradative action of enzymes in lethally injured cells.
- Necrosis is cell death occurring in the setting of
irreversible exogenous injury.
- Necrotic cells aren’t able to maintain membrane integrity
& their content leak out & elicit inflammation in the
surrounding tissue
2/21/2023 51
Morphology of necrosis
- The morphologic features of necrosis is the
result of denaturation of intracellular proteins &
enzymatic digestion of the lethargic injury cell.
- These processes require hrs to develop so there
would be no detectable change immediately.
2/21/2023 52
Morphology…
 Necrotic cells show increased eosinophilia due to
loss of the normal basophilia imparted by RNA in
the cytoplasm
1.Nuclear changes-appear in one of three
patterns, all due to nonspecific breakdown of
DNA
A. Karyolysis – The basophilia of the nucleus fades
B. Pyknosis- Nuclear shrinkage & increased
basophilia
C. Karyorrhexis – Nuclear fragmentation
2/21/2023 53
…
2/21/2023 54
2. Morphologic patterns of necrosis
A. Coagulative necrosis
 Most often results from sudden interruption of
blood supply to an organ.
 It is, in early stages, characterized by g
preservation of tissue architecture when
denaturation is the primary pattern
 Is a form of necrosis in which the architecture
of dead tissues is preserved for a span of at
least some days
2/21/2023 55
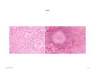
Figure- Coagulative necrosis
A. wedge-shaped kidney infarct (yellow).
2/21/2023 56
B. Microscopic view of the edge of the infarct, with
normal kidney
2/21/2023 57
B. Liquefactive necrosis
 It is characterized by digestion of tissue.
 It shows softening & liquefaction of tissue.
 Characteristically results from ischemic injury to
the CNS.
 Also occurs in suppurative infections characterized
by formation of pus.
 Is contrast to Coagulative necrosis, is characterized
by digestion of the dead cells,
2/21/2023 58
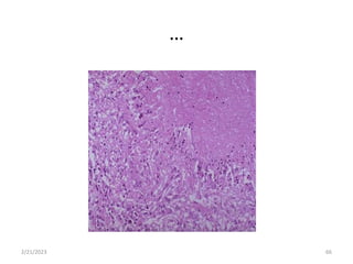
Figure - Liquefactive necrosis. An infarct in the brain,
showing dissolution of the tissue.
2/21/2023 59
…
2/21/2023 60
…
2/21/2023 61
C. Gangrenous necrosis
 It is due to vascular occlusion & most affects the lower
extremities & the bowel.
 Is not a specific pattern of cell death, but the term is
commonly used in clinical practice.
 When there is more Liquefactive necrosis because of the
actions of degradative enzymes in the bacteria and the
attracted leukocytes (giving rise to so called wet gangrene).
2/21/2023 62
…
2/21/2023 63
D. Caseous necrosis
 It is type of necrosis most often seen in foci of
tuberculosis infection.
 The term Caseous is derived from the cheesy
white gross appearance of the area of necrosis
 On microscopic examination, the necrotic focus
appears as amorphous granular debris enclosed
within a distinctive inflammatory border known
as a granulomatous reaction
2/21/2023 64
Figure-Caseous necrosis. Tuberculosis of the lung, with a
large area of Caseous necrosis containing yellow-white &
cheesy debris.
2/21/2023 65
…
2/21/2023 66
E. Fat necrosis
 Focal areas of fat destruction, typically
occurring as a result of release of activated
pancreatic lipases into the substance of the
pancreas & the peritoneal cavity.
 This occurs in acute pancreatitis.
 The activated enzymes liquefy fat cell
membranes & the lipases split the triglyceride
contained with in fat cells.
 Does not in reality denote a specific pattern of
necrosis.
2/21/2023 67
…
2/21/2023 68
Fat necrosis
2/21/2023 69
…
2/21/2023 70
…
 Necrosis can be followed by release of
intracellular enzymes into the blood (creatinine
kinase or troponin in myocardial
infarction),inflammation or dystrophic
calcification (if necrotic cells are not
phagocytosed, they tend to attract calcium salts)
2/21/2023 71
F. Fibrinoid necrosis????
 Is a special form of necrosis usually seen in immune
reactions involving blood vessels.
 This pattern of necrosis typically occurs when complexes
of antigens and antibodies are deposited in the walls of
arteries
 In fibrinoid necrosis, the inside lining of your blood vessels
becomes damaged. It occurs in the small arteries that carry
blood to all areas of your body.
 When blood vessels become damaged, they can breakdown,
causing lesions in the blood vessels, bleeding and bruises.
2/21/2023 72
B. Apoptosis
 It is a pathway of cell death that is induced by tightly
regulated intracellular program in which cells destined to
die activate enzymes that degrade the cells’ own nuclear
DNA & nuclear & cytoplasmic proteins.
 Apoptotic cells break up into fragments, called apoptotic
bodies
 Apoptosis is sometimes referred to as programmed cell
death, as certain forms of necrosis, called necroptosis, are
also genetically programmed, but by a distinct set of genes
2/21/2023 73
Causes of Apoptosis
Normal (Preprogrammed)
• Apoptosis occurs normally both during
development and throughout adulthood, and
serves to remove unwanted, aged, or potentially
harmful cells.
Pathologic (Associated with Necrosis)
• It is also a pathologic event when diseased cells
become damaged beyond repair and are
eliminated
2/21/2023 74
Apoptosis in physiologic situations
(Normal)
Programmed destruction of cells during
o Embryogenesis
o Death of host cells
o Cell loss in proliferating cell population
o Elimination of potentially harmful self-reactive
lymphocytes
Hormonal involution
 Endometrial cell breakdown during menstrual cycle
 The regression of the lactating breast after weaning
2/21/2023 75
Apoptosis in physiologic situations
(Normal)…
• Embryogenesis
• Hormonal “involution”
• Cell population control, e.g., “crypts”
• Post inflammatory “clean-up”
• Elimination of “harmful” cells
• Cytotoxic t-cells cleaning up
NB: Cell death by apoptosis is a normal phenomenon that
serves to eliminate cells that are no longer needed, and to
maintain a steady number of various cell populations in
tissues.
2/21/2023 76
Apoptosis in Pathologic conditions
Apoptosis eliminates cells that are injured beyond repair
without eliciting a host reaction, thus limiting collateral
tissue damage.
Death by apoptosis is responsible for loss of cells in a variety
of pathologic states:-
 Cell death produced by a variety of injurious stimuli such
as radiation & cytotoxic anticancer drugs
 Cell injury in certain viral diseases such as viral hepatitis
 Pathologic atrophy in parenchymal organs after duct
obstruction, such as occurs in the pancreas, parotid gland,
and kidney.
 Cell death in tumors. Accumulation of misfolded protein.
2/21/2023 77
Morphology
The following morphologic features characterize cells
undergoing apoptosis
 Cell shrinkage- The cell is smaller in size, the
cytoplasm is dense and the organelles, although
relatively normal.
 Chromatin condensation-This is the most characteristic
feature of apoptosis.
 Formation of cytoplasmic blebs (bulge) & apoptotic
bodies-The apoptotic cell undergoes fragmentation into
membrane bound apoptotic bodies
 Phagocytosis of apoptotic cells or cell bodies usually
by macrophages
2/21/2023 78
PHAGOCYTOSIS
 Is the process by which a phagocyte ( a type of white
blood cell) surrounds and destroys foreign substances
such as bacteria and remove dead cells.
 Types of phagocytes:
o Monocytes
o Macrophages
o Neutrophils
o Tissue dendritic cells,&
o Mast cells
2/21/2023 79
…
• The two main cells which clean up dead cell fragments
are macrophages (histiocytes) & neutrophils
• Macrophages & neutrophils are common types of white
blood cells that work against an infection.
• Neutrophils are the most abundant white blood cells.
• Macrophages are the large specialized cells that are
known as big eaters
2/21/2023 80
Summery
2/21/2023 81
Features of Necrosis and Apoptosis
Feature Necrosis Apoptosis
Cell size Enlarged (swelling) Reduced (shrinkage)
Nucleus Pyknosis, karyorrhexis,
karyolysis
Fragmentation into
nucleosome size fragments
Plasma membrane Disrupted Intact; altered structure,
especially orientation of
lipids
Cellular contents Enzymatic digestion; may
leak out of cell
Intact; may be released in
apoptotic bodies
Adjacent inflammation Frequent No
Physiologic or
pathologic role
Invariably pathologic
(culmination of
irreversible cell injury)
Often physiologic, means
of eliminating unwanted
cells; may be pathologic
after some forms of cell
injury, especially DNA
damage
2/21/2023 82
Acute and Chronic Inflammation
2/21/2023 83
Acute and Chronic Inflammation
84
• General features of inflammation
(introduction)
• Acute inflammation
• Chronic inflammation
• Causes
• Systemic effects of inflammation
2/21/2023
Introduction:
85
 “Inflame” – to set fire.
 Inflammation is “dynamic response of vascularized and
living tissue to injury.”.
 Inflammation is a response of vascularized tissues to
infections and damaged tissues that brings cells to injury
 Is a protective, physiologic response.
 Inflammation is intended to
 Contain and isolate injury,
 Destroy invading microorganisms and inactivate toxins, and
 Prepare the tissue for healing and repair
2/21/2023
Introduction….
86
The ultimate goal
To rid the organism of both the initial cause of cell
injury
E.g., microbes, toxins and the consequences of such
injury
 E.g., necrotic cells and tissues
Without inflammation,
Infections would go unchecked,
Wounds would never heal, and
Injured organs might remain permanent festering
sores.
2/21/2023
Introduction…
87
 The two main components inflammatory response
A vascular reaction and
A cellular response
 Tissues and cells involved in these reactions,
include
The fluid and proteins of plasma
Circulating cells
Blood vessels, and
Cellular and extracellular constituents of connective
tissue
2/21/2023
Introduction…
88
 The circulating cells
 Neutrophils- Bacterial Infection
Monocytes ( Acute leukemia & Bone marrow
disorder) , lymphocytes-vial infection
 Eosinophil-Parasite & allergic reaction
Basophils (chronic CA of blood, leukemia )and
platelets
 The connective tissue cells are
The mast cells-intimately surround blood vessels
 Fibroblasts;
 Resident macrophages; and lymphocytes.
2/21/2023
 The extracellular matrix consists[ECM]
The structural fibrous proteins (collagen, elastin),
Adhesive glycoproteins (fibronectin, laminin,
nonfibrillar collagen, Tenascin, and others)
 Proteoglycans.
2/21/2023 89
Introduction…
90
• Inflammation is divided into acute and chronic
patterns.
• Acute inflammation-is the initial, rapid response
to infections and tissue damage
 Rapid in onset (seconds or minutes)
 Relatively of short duration, lasting for minutes,
several hours, or a few days;
 Main characteristics are :
oThe exudation of fluid and plasma proteins (edema)
oThe emigration of leukocytes
oPredominantly Neutrophils
2/21/2023
Chronic inflammation
 Is of longer duration
 Associated histologically with the presence
of lymphocytes and macrophages, the
proliferation of blood vessels, fibrosis, and
tissue necrosis.
2/21/2023 91
Acute Inflammation
92
 It is a rapid response to an injurious agent that serves to
deliver mediators of host defense (leukocytes and plasma
proteins) to the site of injury.
Has three major components
1. Alterations in vascular caliber (dilation of small vessels)
 An increase in blood flow
2. Structural changes in the microvasculature
 Plasma proteins and leukocytes leave the circulation
3. Emigration of the leukocytes from microcirculation
 Their accumulation in the focus of injury, and their
activation to eliminate the offending agent.
2/21/2023
Fluid changes in vascular flow
93
Exudates – Is the escape of fluid, proteins, and blood cells
from the vascular system into the interstitial tissue or
body cavities
– An inflammatory extravascular fluid has a high protein
concentration, cellular debris
– A specific gravity above 1.020.
– Vasodilation and stasis, Fluid and protein leakage
– Significant alteration in the normal permeability of small
b/vessels in the area of injury.
– An exudate is formed in inflammation, because vascular
permeability increases as a result of increased inter
endothelial spaces
2/21/2023
.
Transudate- Is a fluid with low protein content (most of
which is albumin) and little or no cellular material
– a specific gravity of less than 1.012.
– It is essentially an ultrafiltrate of blood plasma that results from
osmotic or hydrostatic imbalance across the vessel wall without
an increase in vascular permeability.
– A Transudate is formed when fluid leaks out because of
increased hydrostatic pressure ( E.g. CHF) or decreased osmotic
pressure ( E.g. LD, RD)
Normal, increased hydrostatic pressure and decreased colloid
osmotic pressure of tissues. Therefore, the net flow of fluid
across the vascular bed is almost nil.
2/21/2023 94
Edema- is an excess of fluid in the interstitial or serous
cavities
-It can be either an exudate or a Transudate.
Pus- is a purulent exudate
 An inflammatory exudate rich in leukocytes (mostly
Neutrophils), the debris of dead cells and, in many cases,
microbes.
2/21/2023 95
2/21/2023 96
Stimuli for Acute Inflammation
97
• Acute inflammatory reactions are triggered by a variety
of stimuli:
 Infections:- bacterial, viral, parasitic
 Microbial toxins
 Trauma (blunt and penetrating)
 Physical and chemical agents (thermal injury, E.g.,
Burns or frostbite; irradiation; some environmental
chemicals)
 Tissue necrosis (from any cause)
 Foreign bodies (splinters, dirt, sutures)
 Immune reactions (also called hypersensitivity
2/21/2023
A. Vascular Changes
98
Changes in Vascular Flow and Caliber ;- It begins
early after injury and develop at varying rates depending on
the severity of the injury.
Vasodilation -is one of the earliest manifestations of acute
inflammation; sometimes, it follows a transient constriction
of arterioles, lasting a few seconds.
 Is the first involves the arterioles and then results in opening
of new capillary beds in the area.
2/21/2023
VASCULAR CHANGES…
99
Vasodilation
– Is induced by the action of several mediators, notably
histamine and nitric oxide, on vascular smooth muscle.
– Is quickly followed by increased permeability of the
microvasculature, with the outpouring of protein-rich fluid into
the extravascular tissues(exudate)
– Is the loss of fluid results in;-concentration of red cells in small
vessels and, increased viscosity of the blood, reflected by the
presence of dilated small vessels packed with red cells and
slower blood flow, a condition termed stasis.
2/21/2023
Vasodilation..
-As stasis develops, leukocytes, principally
Neutrophils, accumulate along the vascular
endothelium.
-stick to the endothelium, and soon afterward
they migrate through the vascular wall into the
interstitial tissue.
2/21/2023 100
2/21/2023 101
B. Cellular Events: Leukocyte Extravasation
and Phagocytosis
102
The sequence of events in the journey of leukocytes from the
vessel lumen to the interstitial tissue, called extravasation,
can be divided into the following steps:
1.In the lumen: margination, rolling, and adhesion to
endothelium.
2.Transmigration across the endothelium (also called
diapedesis).
3.Migration in interstitial tissues toward a chemotactic
stimulus
2/21/2023
Chemotaxis
103
• After extravasation, leukocytes emigrate in tissues
toward the site of injury by a process called chemotaxis,
defined most simply as locomotion oriented along a
chemical gradient.
• All granulocytes, monocytes and, to a lesser extent,
lymphocytes respond to chemotactic stimuli with varying
rates of speed.
2/21/2023
Mechanism :…
104
• Both exogenous and endogenous substances can act
as chemo attractants.
• The most common exogenous agents are bacterial
products.
2/21/2023
Chemotaxis…
105
Endogenous chemo attractants, include several chemical
mediators:
1. Components of the complement system, particularly C5a;
2. Products of the lipoxygenase pathway, mainly
leukotriene B4 (LTB4); and
3. Cytokines, particularly those of the chemokine family
(e.g., IL-8)
In short
 C5a
 LTB4
 IL-8
2/21/2023
Cont…
106
• The vascular and cellular reactions of both acute
and chronic inflammation are mediated by
chemical factors that are derived from
– Plasma proteins or cells and
– Are produced in response to or activated by the
inflammatory stimulus.
• Such mediators, acting singly, in combinations, or
in sequence, then amplify the inflammatory
response and influence its evolution.
2/21/2023
Termination of the Acute Inflammatory
Response
When
• The offending agent is eliminated
• The secreted mediators are removed &
• Active anti-inflammatory mechanisms
are also involved
2/21/2023 107
Chemical Mediators of Inflammation
108
• The mediators of inflammation are the substances
that initiate and regulate inflammatory reactions.
• Many mediators have been identified and targeted
therapeutically to limit inflammation.
• Many mediators have been identified, and how they
function in a coordinated manner is still not fully
understood.
• Some of the major mediators:
2/21/2023
Chemical Mediators of Inflammation…
109
2/21/2023
Chemical Mediators of Inflammation…
110
2/21/2023
Leukocyte activation results in the enhancement of
the following functions:
 Phagocytosis of particles
 Intracellular destruction of phagocytosed microbes and
dead cells by
• Oxygen dependent mechanisms with the formation
of ROS or
• Oxygen independent mechanisms using leukocytic
granules
2/21/2023 111
– Liberation of substances that destroy extracellular
microbes and dead tissues, which are largely the
same as the substances produced within phagocytic
vesicles.
– Production of mediators, including arachidonic
acid
metabolites and cytokines, that amplify the
inflammatory reaction, by recruiting and activating
2/21/2023 112
Phagocytosis consists of three steps:
1. Recognition and attachment of the particle to the
ingesting leukocyte;
2. Engulfment, with subsequent formation of a
phagocytic vacuole; and
3. killing and degradation of the ingested material.
2/21/2023 113
Cardinal Signs of Inflammation
114
 Rubor : Redness – Hyperaemia.
 Calor : Warm – Hyperaemia.
 Dolor : Pain – Nerve, Chemical med.
 Tumor: Swelling – Exudation
 Loss of Function:
2/21/2023
Heat Redness Swelling Pain Loss of function
The 5 Cardinal Signs of acute
115
2/21/2023
Morphologic types of acute inflammation
116
A. Exudative Inflammation: is excess fluid. E.g TB
lung.
B. Suppuration/Purulent Inflammation, abscess– the
collection of large amounts of purulent exudate (pus)
consisting of neutrophils, necrotic cells, and edema
fluid.
The most frequent cause of infection with bacteria that
cause liquefactive tissue necrosis. E.g S.aures
C. Fibrinous Inflammation– occurs as a consequence
of more severe injuries, resulting in greater vascular
permeability that allows large molecules (such as
fibrinogen) to pass the endothelial barrier .
2/21/2023
D. Serous Inflammation–characterized by the
outpouring of a watery, relatively protein-poor
fluid.
 Serous inflammation is marked by the
exudation of cell poor fluid into spaces created
by cell injury or into body cavities lined by the
peritoneum, pleura, or pericardium.
 Typically, the fluid in serous inflammation is
not infected by destructive organisms and does
not contain large numbers of leukocytes
E. Haemorrhagic – blood vessel damage
2/21/2023 117
F. Ulcer --is a local defect, or excavation, of the surface of
an organ or tissue that is produced by necrosis of cells
and sloughing (shedding) of necrotic and inflammatory
tissue .
• Ulceration can occur only when tissue necrosis and
resultant inflammation exist on or near a surface.
• Most commonly encountered in
 Mucosa of the mouth, stomach, intestines, or
genitourinary tract &
 Subcutaneous tissues of the lower extremities in older
persons who have circulatory disturbances
predisposing affected tissue to extensive necrosis.
2/21/2023 118
Purulent-Inflammation-
Pus ;pneumonia
119
2/21/2023
Outcomes of Acute Inflammation
All acute inflammatory reactions typically have one of
three outcomes
1. Complete resolution:-Clearance of injurious stimuli,
Clearance of mediators and acute inflammatory cells,
Replacement of injured cells , Normal function
2. Healing by connective tissue replacement (scarring,
or fibrosis):- Loss of function
3. Progression of the response to chronic inflammation
;-Angiogenesis , Mononuclear cell infiltrate, Fibrosis
(scar)
2/21/2023 120
2/21/2023 121
Chronic Inflammation
122
 Although difficult to define precisely, chronic
inflammation is considered to be
Inflammation of prolonged duration (weeks or months) in
which active inflammation, tissue destruction, and attempts at
repair are proceeding simultaneously.
 It frequently begins insidiously, as a low-grade,
smoldering, often asymptomatic response or may
follow acute inflammation
 Cause of tissue damage in some of the most
common and disabling human diseases, such as
Rheumatoid arthritis, atherosclerosis, tuberculosis,
and chronic lung diseases.
2/21/2023
2/21/2023 123
Causes of chronic inflammation
124
Chronic inflammation arises in the following settings:
1. Persistent infections by certain microorganisms, such as
tubercle bacilli, Treponema pallidum (the causative
organism of syphilis), and certain viruses, fungi, and
parasites. These organisms are of low toxicity and
evoke an immune reaction called delayed type
hypersensitivity.
2. Hypersensitivity disease
2/21/2023
3.The inflammatory response sometimes takes a
specific pattern called a granulomatous
reaction.
4. Prolonged exposure to potentially toxic
agents, either exogenous or endogenous.
5. Autoimmunity.
• Under certain conditions, immune reactions develop
against the individual's own tissues, leading to
autoimmune diseases.
2/21/2023 125
Morphologic features
126
• Chronic inflammation is characterized
by:
 Infiltration with mononuclear cells, which
include macrophages, lymphocytes, and
plasma cells.
 Tissue destruction, induced by the persistent
offending agent or by the inflammatory cells.
 Attempts at healing by connective tissue
replacement of damaged tissue, accomplished
by proliferation of small blood vessels
2/21/2023
Morphologic features….
127
1.Non specific chronic inflammation
2. Specific – granulomatous chronic
inflammation.
2/21/2023
Morphologic features…
128
Granulomatous inflammation
– It is a distinctive pattern of chronic inflammatory
reaction characterized by focal accumulations of
activated macrophages, which often develop an
epithelial-like (epithelioid) appearance.
– Encountered in a limited number of immunologically
mediated, infectious and some non-infectious
conditions.
– Tuberculosis is the prototype of the granulomatous
diseases, sarcoidosis, leprosy, brucellosis, syphilis,
some mycotic infections….
2/21/2023
Granulomatous inflammation …
129
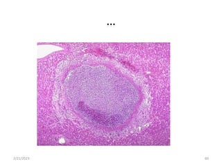
A Granuloma- is a focus of chronic inflammation
consisting of a microscopic aggregation of
macrophages that are transformed into
epithelium-like cells surrounded by a collar of
mononuclear leukocytes, principally
lymphocytes and occasionally plasma cells.
2/21/2023
Granuloma:
130
• H and E stained tissue section,
– the epithelioid cells have a pale pink granular
cytoplasm with indistinct cell boundaries, often
appearing to merge into one another.
2/21/2023
Caseating granulomas
2/21/2023 131
Conditions for formation of granulomas
There are two types of granulomas, which differ in their
pathogenesis
• Presence of indigestible foreign body (material )
derived from bacteria or other sources
• Cell-mediated immune reaction against the injurious
agent (type IV hypersensitivity reaction)=> interferon
gamma transforms, macrophage into epithelioid cells
2/21/2023 132
Chronic
Inflammation
:
Lung Abscess
133
2/21/2023
Systemic Effects of Inflammation
134
 Fever :- Characterized by an elevation of body
temperature, usually by 1° to 4°C,
Is one of the most prominent manifestations of the
acute phase response, especially when inflammation
is associated with infection.
 Acute-phase proteins are plasma proteins, mostly
synthesized in the liver, whose plasma concentrations
may increase several hundred-fold as part of the
response to inflammatory stimuli.
 ESR
 Fibrinogen
2/21/2023
Systemic Effects of Inflammation,,,,,
• Leukocytosis is a common feature of
inflammatory reactions, especially those induced
by bacterial infection.
• The leukocyte count usually climbs to 15,000 or
20,000 cells/mL, but sometimes it may reach
extraordinarily high levels of 40,000 to 100,000
cells/mL.
– Neutropilia-------- Acute infection (bacterial)
– Lymphocytosis-------------chronic infections ( viral)
– Monocytosis------------ ‘’
– Eosinophilia------------parasites, allergy
• Leucopenia (occasional)
2/21/2023 135
Cont…
136
Other manifestations of the acute phase response
include
 Increased pulse and blood pressure;
 Decreased sweating, mainly because of redirection of
blood flow from cutaneous to deep vascular beds, to
minimize heat loss through the skin;
 Rigors (shivering), chills (search for warmth),
anorexia, somnolence, and malaise, probably because
of the actions of cytokines on brain cells.
 In severe bacterial infections (sepsis)
2/21/2023
Consequences of Inflammation
137
The clinical and pathological consequences of too
much or too little inflammation.
 Defective inflammation typically results in
– Increased susceptibility to infections and
– Delayed healing of wounds and tissue damage.
2/21/2023
Consequences of Inflammation…
 Excessive inflammation is the basis of many
categories of human disease.
 Allergies, in which individuals mount unregulated
immune responses against commonly encountered
environmental antigens,
 Autoimmune diseases, in which immune responses
develop against normally tolerated self-antigens.
 Abscess formation
Fistula
Sinus
sepsis
2/21/2023 138
Acute Vs Chronic
139
 Flush, Flare & Weal
 Acute inflammatory
cells - Neutrophils
 Vascular damage
 More exudation
 Little or no fibrosis
 Little signs
 Chronic inflammatory
cells –
Lymphocytes,macropha
ges
 Neo-vascularization
 No/less exudation;
abscess.
 Prominent fibrosis
2/21/2023
Outcomes of inflammation
140
2/21/2023
Tissue Renewal and Repair
2/21/2023 141
Introduction
• The body's ability to replace injured or dead
cells &
• To repair tissues after inflammation is critical to
survival.
• When injurious agents damage cells and tissues,
the host responds by setting in motion a series
of events that serve
 To eliminate these agents,
 Contain the damage, and
 Prepare the surviving cells for replication.
142
2/21/2023
Processes of wound healing
1.Regeneration
2.Repair, scar formation, fibrosis
143
2/21/2023
Cont…
A. Regeneration -proliferation of cells and
tissues to replace lost structures
E.g. -liver growth after partial resection or
necrosis, but these processes consist of
compensatory growth rather than true
regeneration.
2/21/2023 144
Cont…
B. Repair - most often consists of a combination of
regeneration and scar formation by the
deposition of collagen
 Relative contribution of regeneration and
scarring in tissue repair depends on the ability of
the tissue to regenerate and the extent of the
injury
2/21/2023 145
Cont…
Scar formation is the predominant healing process
that occurs when the extracellular matrix (ECM)
framework is damaged by severe injury
ECM components are essential for wound
healing, because
They provide the framework for cell migration,
Maintain the correct cell polarity for the re-assembly of
multilayer structures, and
 Participate in the formation of new blood vessels
(angiogenesis).
2/21/2023 146
Cont…
 cells in the ECM (fibroblasts, macrophages, and other
cell types) produce growth factors, cytokines, and
chemokines that are critical for regeneration and
repair.
2/21/2023 147
Cont…
2/21/2023 148
Proliferative Capacities of Tissues
• The ability of tissues to repair themselves is critically
influenced by their intrinsic proliferative capacity.
• Based on this criterion, the tissues of the body are
divided into three groups.
A. Continuously Dividing Tissues(Labile tissues)
 Continuously being lost and replaced by maturation from
stem cells and by proliferation of mature cells
E.G.
1. Hematopoietic cells in the bone marrow
2/21/2023 149
Labile Tissues..
2. Surface epithelia, such as the stratified squamous
surfaces of the skin, oral cavity, vagina, and cervix;
3. Cuboidal epithelia of the ducts draining exocrine organs
E.g., Salivary glands, pancreas, biliary tract);
4. The columnar epithelium of the gastrointestinal tract,
uterus, and fallopian tubes
5. Transitional epithelium of the urinary tract.
These tissues can readily regenerate after injury as long
as the pool of stem cells is preserved.
2/21/2023 150
B. Stable Tissues
 Cells of these tissues are quiescent (in the G0 stage of the
cell cycle) and have only minimal replicative activity in
their normal state.
 However, these cells are capable of proliferating in
response to injury or loss of tissue mass.
 Stable cells constitute the parenchyma of most solid
tissues, such as liver, kidney, and pancreas.
 They also include endothelial cells, fibroblasts, and
smooth muscle cells; the proliferation of these cells is
particularly important in wound healing.
 With the exception of liver, stable tissues have a limited
capacity to regenerate after injury.
2/21/2023 151
C. Permanent Tissues
 The cells of these tissues are considered to be terminally
differentiated and non proliferative in postnatal life.
 The majority of neurons and cardiac muscle cells belong
to this category.
 Thus, injury to brain or heart is irreversible and results in
a scar, because neurons and cardiac myocytes do not
divide.
2/21/2023 152
Regeneration
 Regeneration refers to growth of cells and tissues to
replace lost structures.
 In mammals, whole organs and complex tissues rarely
regenerate after healing, and the term is usually applied
to processes such as liver and kidney growth after,
respectively, partial hepatectomy and unilateral
nephrectomy.
153
2/21/2023
Regeneration …
 Tissues with high proliferative capacity, such as the
hematopoietic system and the epithelia of the skin and
gastrointestinal tract, renew themselves continuously
and can regenerate after injury, as long as the stem cells of
these tissues are not destroyed.
 Regeneration involves the restitution of tissue
components identical to those removed or killed.
154
2/21/2023
Question!
4. Is not tissues with high proliferative capacity
A. Hematopoietic cells
B. Surface epithelium of the skin
C. Columnar epithelium of the gastrointestinal tract
D. The parenchymal cells of the kidney
5. If injury causes damage to both parenchymal and the stromal
cells of tissue, healing can be accomplished through
A. Regeneration
B. Repair by deposition of collagen & ECM components
C. Proliferation
D. Degradation
2/21/2023 155
Repair by Healing, Scar Formation, & Fibrosis
• By contrast, healing is a fibro proliferative response.
• If tissue injury is severe or chronic, and results in
damage of both parenchymal cells and the stromal
framework of the tissue, healing can not be
accomplished by regeneration.
• Under these conditions, the main healing process is
repair by deposition of collagen and other ECM
components, causing the formation of a scar
156
2/21/2023
Repair …
 It is a complex but orderly phenomenon involving a number
of processes:
Induction of an inflammatory process in response to the
initial injury
1. Proliferation and migration of parenchymal and
connective tissue cells
2. Formation of new blood vessels (angiogenesis) and
granulation tissue
3. Synthesis of ECM proteins and collagen deposition
4. Tissue remodeling
5. Wound contraction
6. Acquisition of wound strength
157
2/21/2023
Repair by connective tissue
• Occurs when repair by parenchymal
regeneration alone cannot be accomplished
• Involves production of Granulation Tissue-
 Replacement of parenchymal cells with
proliferating fibroblasts and
 Vascular endothelial cells.
158
2/21/2023
Cont…
The repair process is influenced by many factors including
The tissue env”t and extent of tissue damage
Intensity and duration of tissue damage
Conditions that affect tissue repair like foreign body,
decreased blood supply
Various diseases that inhibit repair
E.g. DM, and treatment with steroids
2/21/2023 159
Cutaneous Wound Healing…
Cutaneous wound healing is generally divided into three
phases:
1. Inflammation (early and late);
2. Granulation tissue formation and re-epithelialization
3. Wound contraction, ECM deposition, & remodeling.
• These phases overlap, and their separation is somewhat
arbitrary
160
2/21/2023
Phases Cont…
 The initial injury causes platelet adhesion and aggregation
and the formation of a clot in the surface of the wound,
leading to inflammation.
 In the proliferative phase there is formation of granulation
tissue, proliferation and migration of connective tissue
cells, and reepithelialization of the wound surface
 Maturation involves ECM deposition, tissue remodeling,
and wound contraction.
2/21/2023 161
Cutaneous Wound Healing…
162
2/21/2023
Cont…
2/21/2023 163
Healing by first intention (wounds with opposed
edges)
• Skin wounds are classically described to heal by primary
or secondary intention.
• This distinction is based on the nature of the wound
rather than the healing process itself.
• The least complicated example of wound repair is the
healing of a clean, uninfected surgical incision
approximated by surgical sutures.
164
2/21/2023
Pattern of wound healing cont…
Such healing is referred to as primary union or
healing by first intention.
The incision causes death of a limited number of
epithelial and connective tissue cells as well as
disruption of epithelial basement membrane
continuity.
165
2/21/2023
Sequence of events in primary wound healing
Day1. Neutrophils appear at the margin of the incision,
move towards the Fibrin clot
Day 2. Epithelial cells move from the wound edge
along the cut margins of dermis and deposit
basement membrane
Day3.
neutrophils are replaced by macrophages
Granulation tissue formation
Collagen fiber formation begin
Epithelial cell proliferation thickens the epidermal
2/21/2023 166
Day5 .
 the incisional space is filled with granulation tissue
 Maximal neovascularization
 More abundant collagen fibers which start to bridge the
incision
 The epidermis recovers its normal thickness
Week 2.
 continuous accumulation of collagen and proliferation of
fibroblasts
 Leukocyte infiltration , edema, and increased vascularity
subside
End of first month; the scar is made up of a cellular
connective tissue devoid of inflammatory infiltrates
2/21/2023 167
2/21/2023 168
Healing by First Intention
-Focal disruption of basement
membrane and loss of only a few
epithelial cells
E.g. Surgical Incision
169
2/21/2023
Healing by second intention (wounds with separated edges)
• When there is more extensive loss of cells and tissue, as in
surface wounds that create large defects, the reparative
process is more complicated.
• Regeneration of parenchymal cells cannot completely
restore the original architecture, and hence abundant
granulation tissue grows in from the margin to complete the
repair.
• This form of healing is referred to as secondary union or
healing by second intention.
170
2/21/2023
Second intention…
Secondary healing differs from primary healing in several respects:
The inflammatory reaction is more intense.
Much larger amounts of granulation tissue are formed.
Wound contraction, perhaps the feature that most clearly
differentiates primary from secondary healing.
Contraction of these cells at the wound site decreases the gap
between the dermal edges of the wound.
171
2/21/2023
Question
6. Which one of the following feature clearly differentiates
primary from secondary wound healing process?
A. More intensified inflammatory reaction
B. Much larger amounts of granulation tissue
C. Wound contraction
D. Restoration of cell through regeneration
7. What differs secondary from primary healing? In secondary
healing:
A. More intensified inflammatory reaction
B. Much larger amounts of granulation tissue
C. Wound contraction
D. All
2/21/2023 172
Healing by Second Intention
-Larger injury, abscess,
infarction
-Process is similar but
-Results in much larger scar
and then contraction
173
2/21/2023
Factors affecting Healing:
Systemic
 Nutrition
 Vitamin def.(particularly vit c)
 Age
 Immune status
 Metabolic status (e.g DM)
 Circulatory status (e.g in
arteriosclerosis, varicose vein)
 Hormones (e.g glucocorticoids)
inhibit collagen synthesis
 Other diseases
Local
 necrosis
 Infection
 apposition
 Blood supply
 Mobility
 Foreign body
174
2/21/2023
Overview of Repair Responses After Injury and
Inflammation
175
2/21/2023
Complications in cutaneous wound healing/
Pathologic aspects of healng
Complications in wound healing can arise from
abnormalities in any of the basic components of the
repair process.
These aberrations can be grouped into three general
categories:
1. Deficient scar formation (wound dehiscence, ulcers)
2. Excessive formation of the repair components
(hypertrophic scar, Keloid, exuberant granulation)
176
2/21/2023
Deficient scar formation
Inadequate formation of granulation tissue or assembly of
a scar can lead to two types of complications:
1.Wound dehiscence and
2.Ulceration
 Dehiscence or rupture of a wound- is most common
after abdominal surgery and is due to increased abdominal
pressure.
177
2/21/2023
Excessive formation of the repair components
 The accumulation of excessive amounts of collagen may
give rise to a raised scar known as a hypertrophic scar
 If the scar tissue grows beyond the boundaries of the
original wound and does not regress, it is called a Keloid.
 Keloid formation appears to be an individual
predisposition, and for unknown reasons this aberration
is somewhat more common in african-americans.
178
2/21/2023
Note
 Contraction in the size of a wound is an important
part of the normal healing process.
 An exaggeration of this process is called a
contracture and results in deformities of the wound
and the surrounding tissues.
 Contractures are particularly prone to develop on
the palms, the soles, and the anterior aspect of the
thorax.
 Contractures are commonly seen after serious burns
and can compromise the movement of joints.
179
2/21/2023
Keloid
180
2/21/2023
Deficient scar Formation
Ulceration Wound Dehiscence
2/21/2023 181
Contractures
2/21/2023 182
2/21/2023 183
2/21/2023 184
Neoplasia
 Definitions
 Classification
 Nomenclature
 Characteristics of:
oBenign and
oMalignant neoplasms
2/21/2023 185
Neoplasia
• Cancer is one of the leading causes of death
worldwide.
• Emotional and physical suffering by the
patient.
• Different mortality rate …..
– Some are curable
– Others are fatal
2/21/2023 186
Neoplasia
• Neoplasia = new growth
• Neoplasm = tumor
• Tumor = swelling
• The study of tumors = Oncology
– Oncos = tumor + ology = study of
2/21/2023 187
Neoplasia
• Definition:
– is an abnormal mass of tissue,
– the growth of which is uncoordinated with that of normal
tissues,
– and that persists in the same excessive manner after the
cessation of the stimulus which evoked the change
– With the loss of responsiveness to normal growth
controls
2/21/2023 188
Non-Neoplastic Proliferation:
*Controlled & Reversible
• Hypertrophy – Size
• Hyperplasia – Number
• Metaplasia – Change
• Dysplasia – Disordered
2/21/2023 189
Question!
8. Which one of the following expresses neoplastic activity?
A. Hypertrophy
B. Hyperplasia
C. Metaplasia
D. Dysplasia
E. All
F. None
9. Is prone to undergo neoplastic proliferation
A. Hypertrophy
B. Hyperplasia
C. Metaplasia
D. Atrophy
2/21/2023 190
Neoplasia
• Classification
– Benign
– malignant
2/21/2023 191
Neoplasia
• Benign tumors :
– Will remain localized
– Cannot spread to distant sites
– Generally can be locally excised
– Patient generally survives
2/21/2023 192
Neoplasia
• Malignant neoplasms:
– Can invade and destroy adjacent structure
– Can spread to distant sites
– Cause death (if not treated )
2/21/2023 193
Neoplasia
• All tumors benign and malignant have two
basic components:
–Parenchyma: made up of neoplastic cells
–Stroma: made up of non-neoplastic, host-
derived connective tissue and blood vessels
2/21/2023 194
Neoplasia
The parenchyma
• Determines the biological behavior of the
tumor from which the tumor derives its name
2/21/2023 195
Neoplasia
The stroma
• Carries the blood supply
• Provides support for the growth of the
parenchyma
2/21/2023 196
• In some tumors, the stromal support is scant
and so the neoplasm is soft and fleshy.
• In other cases the parenchymal cells
stimulate the formation of an abundant
collagenous stroma, referred to as
desmoplasia.
• Is causing or forming adhesions or fibrous
connective tissue within a tumor
2/21/2023 197
2/21/2023 198
2/21/2023 199
Nomenclature
Benign tumors:
• prefix + suffix
• Type of cell + (-oma)
2/21/2023 200
• Benign tumors arising from mesenchymal
tissue,
• cell of origin + oma
– Benign tumor arising in fibrous tissue:
Fibro + oma = Fibroma
- Benign tumor arising in fatty tissue:
Lipo + oma = lipoma
2/21/2023 201
• Benign tumor arising in cartilage
chondro + oma = chondroma
• Benign tumor arising in smooth muscle
Leiomyo + oma = leiomyoma
• Benign tumor arising in skeletal muscle
Rhabdomyo + oma = rhabdomyoma
2/21/2023 202
Question!
1. Is benign tumor arising in smooth muscle
A. Chondroma
B. Leiomyoma
C. Rhabdomyoma
D. Fibroma
2/21/2023 203
• epithelial benign tumors are classified on the
basis of :
– The cell of origin
– Microscopic pattern
– Macroscopic pattern
2/21/2023 204
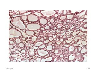
– Adenoma : benign epithelial neoplasms producing
gland pattern….OR … derived from glands but not
necessarily exhibiting gland pattern
– Papilloma : benign epithelial neoplasms growing
on any surface that produce microscopic or
macroscopic finger-like pattern
2/21/2023 205
2/21/2023 206
2/21/2023 207
…
Polyp
 A mass that projects above a mucosal surface to
form a macroscopically visible structure.
 e.g. colonic polyp, nasal polyp
2/21/2023 208
2/21/2023 209
2/21/2023 210
• Examples :
– Respiratory airways: Bronchial adenoma
– Renal epithelium: Renal tubular adenoma
– Liver cell : Liver cell adenoma
– Squamous epithelium: squamous papilloma
2/21/2023 211
Question!
2. Which is not benign tumor?
A. Adenoma
B. Papilloma
C. Polyp
D. Fibroma
E. Fibrosarcoma
3. Is malignant tumor arising in mesenchymal tissue
A. Sarcoma
B. Adenoma
C. Papilloma
D. Polyp
E. Carcinoma
2/21/2023 212
Malignant tumors
 Malignant tumor arising in mesenchymal
tissue : sarcoma
 Cell of origin + sarcoma
o From fibrous tissue: Fibrosarcoma
o From bone : Osteosarcoma
o From cartilage : chondrosarcoma
2/21/2023 213
Question!
4. Which Is not malignant tumor?
A. Fibrosarcoma
B. Osteosarcoma
C. chondrosarcoma
D. Lipoma
5. Which of following malignant tumor is originated
from epithelial cell?
A. Sarcoma
B. Carcinoma
2/21/2023 214
Malignant neoplasm of epithelial cells origin derived
from any of the three germ layer , are called
Carcinomas.
Cell of origin + Carcinoma
Squamous cells + carcinoma = squamous cell
carcinoma
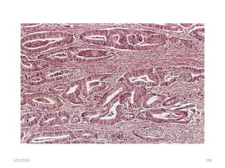
Adenocarcinoma: One with a glandular growth
pattern microscopically.
2/21/2023 215
Adenocarcinoma
2/21/2023 216
Carcinoma
2/21/2023 217
Adenocarcinoma: One with a glandular
growth pattern microscopically.
2/21/2023 218
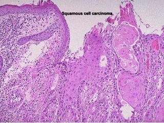
Squamous cell carcinoma
2/21/2023 219
Clear Cells Renal Carcinoma
2/21/2023 220
3) Special nomenclature
① Blastoma
 Tumors rigging in immature tissue or nervous tissue,
most of them are malignant
 e.g. Medulloblastoma- brain tumor originating from
cerebellum
 Retinoblastoma- of the retina, hereditary condition
found mostly in children
 Nephroblastoma- tumor affecting kidney
 Neuroblastoma- Cancer affecting ganglia in various
parts of the body
2/21/2023 221
Question!
6. Is hereditary neoplasm or tumor mostly found in children
A. Retinoblastoma
B. Medulloblastoma
C. Neuroblastoma
D. Nephroblastoma
7. Are tumors that originate in immature tissue or nervous
tissue
A. Blastomas
B. Sarcomas
C. Carcinamas
D. None
2/21/2023 222
…
② Some tumors attaching the suffix-oma, but malignant
 Seminoma- A form of testicular cancer
 Lymphoma-Tumor from lymphoid tissue
 Melanoma-tumor arising from melanocyte
 Dysgerminoma- Cancer from germ cells in female, it
mostly occurs in ovaries,but can also occur in other
areas of the body including CNS
 Glioma-Tumor arising from brain or spinal cord
 Hepatoma - Also called hepatocellular carcinoma-
most common type of primary liver cancer
2/21/2023 223
Question!
8. Is tumor arising from brain or spinal cord
A. Dysgerminoma
B. Melanoma
C. Glioma
D. Blastoma
9. Which one of the following is considered a hallmark feature
of tumor?
A. Anaplasia
B. Metastasis
C. Differentiation
D. Rate of growth
E. Local invasion
2/21/2023 224
Question!
10. Is a glandular malignant tumour
A. Adenosarcoma
B. Adenocarcinoma
11. Is a rare malignancy of female genital tract
A. Adenosarcoma
B. Adenocarcinoma
12. Which is not malignant tumor?
A. Seminoma
B. Lymphoma
C. Melanoma
D. Dysgerminoma
E. Glioma
F. Hepatoma
G. None
2/21/2023 225
③ Some malignant tumors, but called disease.
e. g. leukemias, paget’s disease
④ Some malignant tumors nominated by
scientists’ name
e. g. Hodgkin’s disease, Ewing’s tumor
⑤ Mixed tumors: tumors which derived from one germ
layer may undergo divergent differentiation creating
mixed tumors
e. g. mixed tumor of salivary gland
2/21/2023 226
Question!
14. Is not among the three types of bone cancer
A. Chondrosarcoma
B. Ewing’s sarcoma
C. Osteosarcoma
D. Hodgkin’s disease
2/21/2023 227
Neoplasia
 Characteristics of benign and malignant neoplasms
Differentiation
Anaplasia
Rate of growth
Local invasion
Metastasis
 Anaplasia-Lack of cellular differentiation, considered a
hallmark of cancer
2/21/2023 228
Neoplasia
1. Differentiation and anaplasia
Differentiation means the extent to which the
parenchymal cells of the tumor resemble their
normal counterparts morphologically and
functionally
2/21/2023 229
Neoplasia
• Well differentiated = closely resemble their
normal counterparts
• Moderately differentiated
• Poorly differentiated
• Undifferentiated ( Anaplasia )
2/21/2023 230
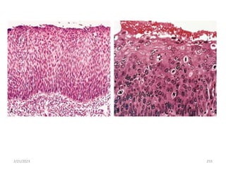
Neoplasia
 Benign tumors = well differentiated, encapsulated
 Malignant tumors = Poorly differentiated, no capsule
 Anaplastic tumor = Undifferentiated
2/21/2023 231
2/21/2023 232
2/21/2023 233
2/21/2023 234
Neoplasia
Characteristics of benign and malignant
neoplasms
• Differentiation and anaplasia
• Rate of growth
• Local invasion
• metastasis
2/21/2023 235
Neoplasia
• Rate of growth:
– Benign tumors:
• grows slowly
• are affected by blood supply, hormonal effects ,
location
– Malignant tumors :
• grows faster
• Correlate with the level of differentiation
2/21/2023 236
Neoplasia
Characteristics of benign and malignant
neoplasms
• Differentiation and anaplasia
• Rate of growth
• Local invasion
• metastasis
2/21/2023 237
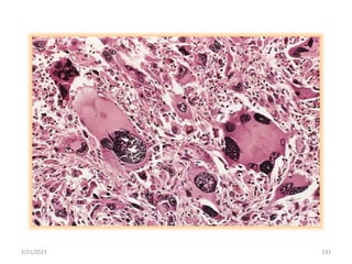
Neoplasia
 Local invasion
o Benign tumors
• Remain localized
• Cannot invade
• Usually capsulated
o Malignant tumors
• Progressive invasion
• Destruction
• Usually not capsulated
2/21/2023 238
2/21/2023 239
2/21/2023 240
2/21/2023 241
2/21/2023 242
Neoplasia
Characteristics of benign and malignant
neoplasms
• Differentiation and anaplasia
• Rate of growth
• Local invasion
• metastasis
2/21/2023 243
Neoplasia
Metastasis
Definition : the development of secondary
implants discontinuous with the primary tumor,
possibly in remote tissues.
2/21/2023 244
2/21/2023 245
Neoplasia
Metastasis
 Cancers have different ability to metastasize
 Approximately 30% patients present with
clinically evident metastases.
 Generally, the more anaplastic and the larger
the primary tumor, the more likely is
metastasis
2/21/2023 246
Benign Malignant:
• Slow growing,
• capsulated,
• Non-invasive
• do not metastasize,
• well differentiated,
• suffix “oma” eg.
Fibroma.
• Fast growing,
• non capsulated,
• Invasive & Infiltrate
• Metastasize.
• poorly differentiated,
• Suffix “Carcinoma” or
“Sarcoma”
2/21/2023 247
Modes of spread
Metastasis
 Three pathways
 Lymphatic spread
 Hematogenous spread
 Seeding of the body cavities
o Pleural
o Peritoneal
o Cerebral ventricles
2/21/2023 248
Cavities &
Neoplasia
Lymphatic spread
 Favored by carcinomas
 Breast carcinoma - axillary lymph nodes
 Lung carcinomas - bronchial lymph nodes
2/21/2023 249
…
Hematogenous spread
• Favored by sarcomas
• Also used by carcinomas
• Veins are more commonly invaded
• The liver and lungs are the most frequently
involved secondary sites.
2/21/2023 250
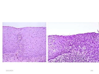
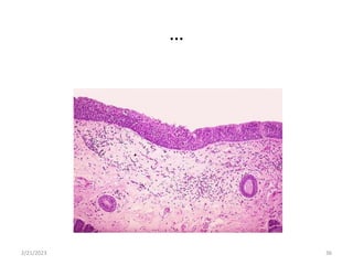
Dysplasia
Definition
 Dysplasia is defined as a loss in the uniformity of the
individual cells and a loss in their architectural
orientation.
• Occurs mainly in the epithelia
• Dysplastic cells shows a degree of pleomorphism,
hyperchromasia, increased mitosis and loss of polarity.
2/21/2023 251
…
 Dysplasia does not mean cancer
 Dysplasia does not necessarily progress to cancer
 Dysplasia may be reversible
 If dysplastic changes involve the entire thickness of
the epithelium it is called carcinoma in-situ
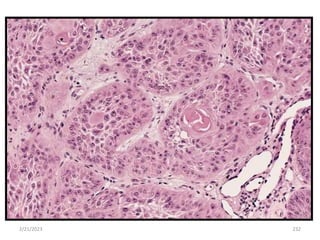
2/21/2023 252
2/21/2023 253
Carcinoma in-situ
Definition
 An intraepithelial malignancy in which malignant
cells involve the entire thickness of the epithelium
without penetration of the basement membrane.
 Applicable only to epithelial neoplasms.
2/21/2023 254
2/21/2023 255
2/21/2023 256
Teratoma
• Teratoma contains recognizable mature or
immature cells or tissues representative of more
than one germ-cell layer and some times all
three.
• Teratomas originate from totipotential cells such
as those normally present in the ovary and testis.
2/21/2023 257
…
• Such cells have the capacity to differentiate into any
of the cell types found in the adult body.
• So they may give rise to neoplasms that mimic bone,
epithelium, muscle, fat, nerve and other tissues.
• Most common sites are: ovary & testis
2/21/2023 258
Epidemiology
– Will help to discover aetiology
– Planning of preventive measures
– To know what is common and what is rare.
– Development of screening methods for early
diagnosis
2/21/2023 259
2/21/2023 260
Neoplasia
• Factors affecting incidence of cancer
– Geographic and Environmental
– Age
– Heredity
– Acquired preneoplastic disorders
2/21/2023 261
Neoplasia
Geographic and Environmental factors
 Asbestos-mesothelioma
 Smoking - lung cancer
 Multiple sexual partners-cervical cancer
 Fatty diets-colonic cancer
2/21/2023 262
Neoplasia
Age
• Generally, the frequency of cancer increases with
age.
• Most cancer mortality occurs between 55 & 75.
• Cancer mortality is also increased during
childhood
• Most common tumors of children: Leukemia,
tumors of CNS, Lymphomas, soft tissue and
bone sarcomas.
2/21/2023 263
Neoplasia
• Heredity---BRCA 1 &2 mutation
– Inherited Cancer Syndromes
– Familial Cancers
– Autosomal Recessive Syndromes of Defective DNA
repair
2/21/2023 264
Heredity
Inherited Cancer Syndromes
 Inheritance of a single mutant gene greatly increases
the risk of developing neoplasm
o E.g. Retinoblastoma in children
o 40% of Retinoblastomas are familial
o Carriers of the gene have 10000 fold increase in
the risk of developing Retinoblastoma
o E.g. multiple endocrine neoplasia
2/21/2023 265
Heredity
Familial Cancers
• All common types of cancers occur in familial
form
• E.g. breast, colon, ovary, brain
• Familial cancers usually have unique features
– Start at early age
– Multiple or bilateral
– Two or more relatives
2/21/2023 266
Heredity
 Autosomal Recessive Syndromes of Defective
DNA repair
o Small group of autosomal recessive disorders
o Characterized by DNA instability
2/21/2023 267
Neoplasia
Acquired preneoplastic disorders
Some Clinical conditions that predispose to cancer
• Dysplastic bronchial mucosa in smokers lung
carcinoma
• Atypical endometrial hyperplasia endometrial
carcinoma
• Liver cirrhosis  liver cell carcinoma
• Margins of chronic skin fistula  squamous cell
carcinoma
2/21/2023 268
• Molecular basis of cancer(carcinogenesis)
• Clinical manifestation of neoplasms
• Laboratory diagnosis of tumors
2/21/2023 269
Female Reproductive
System
2/21/2023
270
PATHOLOGY OF
Female Reproductive System
Lower genital tract & cervix
Uterus
Tubes and ovaries
Disorders of pregnancy
infertility
2/21/2023
271
Clinical Presentations
• Lower abdominal and pelvic pain.
• Vaginal bleeding.
• Vaginal discharge
• Abdominal mass
• Complications of pregnancy
• Infertility.
2/21/2023
272
Infections
Clinical importance
Anatomical classification
Lower
Upper and lower (PID).
Causative classification
Viral
Bacterial
Parasitic
 ....
2/21/2023
273
Diseases of Endometrium
Infections
Endometriosis
Endometrial hyperplasia / polyps
Endometrial carcinoma
2/21/2023
274
Endometriosis
Endometrial tissue outside the uterine cavity
Sites: myometrium, tubes , ovary, bowel .
Pathology :
Glands + stroma ( hormone responding )
Clinically : bleeding, pain, adhesion
Pathogenesis
menstrual blood flows back through the fallopian tubes and
into the pelvic cavity
Metaplasia
 Hormonal imbalance In the body
• Surgical scars: from surgeries such as a Cesarean (C-section) or
hysterectomy
• Immune system problems
2/21/2023
275
Endometrial hyperplasia
↑↑ of endometrial glands and stroma
Due to ↑↑ ostrogen as in : .....
(no balance between the female hormones, estrogen and
progesterone)
Clinical effect : postmenopausal bleeding
Pathology : 3 types
1- simple : dilated glands
2- complex: irregular glands
2- atypical : cellular atypia
2/21/2023
276
Endometrial polyps
• Localized projections
• Pathology : hyperplasia
• Bleeding , pain , infertility
2/21/2023
277
Endometrial carcinoma
Common
Age 55 – 65 years
Risk factors
Any cause of ↑estrogen
Clinically : general, local
2/21/2023
278
Spread
2/21/2023
279
Disease of Myometrium
Leiomyoma
Leiomyosarcoma
2/21/2023
280
Leiomyoma ( fibroid)
Benign tumors of smooth muscles
Very common
20 – 40 yrs
Clinically : pain , bleeding , asymptomatic
Complications:
1- infertility 2- Torsion
3- necrosis , degeneration & infection
4- malignancy ( 1%)
2/21/2023
281
Leiomyosarcoma
Rare
Large
Malignant spindle cells
2/21/2023
282
Disorders of uterine cervix
Cervicitis
Cervical intraepithelial neoplasia
(CIN)
Ca Cx
2/21/2023
283
Cervicitis
Acute
 Viral
 bacterial
Chronic
 columnar metaplasia???
 of the extocervic, cervical erosion
2/21/2023
284
Cervical intraepithelial neoplasia (C I N )
 Non invasive carcinoma
 Caused by HPV (16, 18, 45, 31)
 Clinically : silent or mild bleeding
Screening
o Pap smear ( Papanecoulao)
o Biopsy
2/21/2023
285
Pap smear
2/21/2023
286
Grading of CIN
2/21/2023
287
Normal CIN I II III
Invasive Ca Cx
Very common , NO 2 in females
Mortality : No 8
Risk factors
1- HPV (16, 18, 4)
2- CIN
3- sexual activity , parity , smoking
2/21/2023
288
Diagnosis and management
2/21/2023
289
Disorders of
Pregnancy
Ectopic pregnancy
Abortion
Trophoblastic tumors
2/21/2023
290
Entopic pregnancy
• Definition
• Causes
• Sites
• Clinical effects
• Diagnosis
2/21/2023
291
2/21/2023 292
Causes
 Exact cause is not known
 But, the following conditions can cause ectopic Px.
 Hormonal factors
 Damaged fallopian tubes
 Genetic abnormalities
 Abnormal development of fallopian tubes
Risk factors
 Previous ectopic pregnancy
 Sexually transmitted infections such as gonorrhea or
chlamydia
 Undergone fertility treatment
 In rare cases, when IUDs are used for birth control
 Smoking
…
2/21/2023 293
Trophoblastic Diseases
Placenta parts
Chorionic villi
Decidua
space
Disorder
Hydatidiform mole
Invasive mole
Choriocarcinoma
2/21/2023
294
Hydatidiform Mole
 Chorionic villi edema with trophoblastic
proliferation
Three forms
A. Complete : fertilization by two sperms with
ova death ( 46 XX or 46 XY from father), no
fetal parts.
B. Partial: two sperms+ ova (triple), some fetal
parts
C. Invasive : local invasion with no metastasis
2/21/2023
295
2/21/2023
296
vaginal bleeding and absence of fetal heart tones.
Laboratory studies; beta-HCG levels – extreme
elevations of this pregnancy hormone may suggest
molar pregnancy (greater than 100,000 mIU/ml)
Choriocarcinoma
• Malignant trophoblastic tumor arising
from normal or abnormal pregnancy.
Pathology:
• large fleshy mass, with cyto and
cyncytiotrophoblastic cells,
• High metastasis potential
2/21/2023
297
Ch Ca.
• Clinically:
–V. bleeding and discharge
–Very high HCG
–..of malignancy &metastasis
2/21/2023
298
Disorders of the Ovary
Oophoritis
 Is inflammation of the content of one or both ovaries which leads to
enlargement of the ovaries
 Often, oophoritis is seen as the manifestation of pelvic inflammatory
disease (PID)
Causes
 Typically caused by bacterial infection
 May result from chronic pelvic inflammatory disease (PID)
 Ovarian cysts
o Non neoplastic( functional)
o Neoplastic
2/21/2023
299
Ovarian Cysts
• Cystic structures lined by epithelium,
• Unilocular or multilocular
• Types
Ovarian Cysts
Functional
Neoplastic
2/21/2023
300
Functional cysts
• Represents stages of follicle development but
↑size.
2/21/2023
301
1)Follicular cyst
2)Corpus luteaum cyst
3)Theca- leuteal cyst
A- follicular Cyst
Small , unilocular
↑Granulosa cells→ ↑ estrogen
In un ovulatory cycles (↓LH,FSH)
Endometrial ↑ plasia and carcinoma.
If multiple → polycystic ovary ( Stein-
leventhal syndrome)
2/21/2023
302
B-Corpus luteal cyst
 3- 8 cm
 Filled with brown fluid
 Both theca & granulosa cells
C- theca- luteal cyst
 ↑↑Thecal cells
 Associated with ↑HCG
2/21/2023
303
Ovarian Tumors
 3rd female genital tumors
 No one (1 ) killer
Risk factors
 Family history
 Nulliparty
 Genetic mutations (BRCA-1,HER)
o Breast cancer -1
o Human epidermal growth factor receptor-2
2/21/2023
304
WHO Classification
1) Surface epithelial tumors
2) Germ cell tumors
3) Sex cord-Stromal tumors
4) Secondary tumors
2/21/2023
305
1- Surface Epithelial tumors
The commonest ( 60%)
Age (20-50) and older for malignant
According to Embryonic origin
Fallopian → Serous cyst adenoma/carcinoma
Cervical → Mucinous cystadenoma/ carcinoma
Endometrium → Endometriod
Urothelium → Brenner tumor
2/21/2023
306
A- Serous tumors
Very common ( 35%)
75% benign
 Cystadenoma, cystadenocarcinoma,
borderline
 Uni or multi locular cyst , clear fluid
 Signs of malignancy :nodularity, papillary
projections, solidity
 Mic: like tube
2/21/2023
307
Pathology
2/21/2023
308
B M
2/21/2023
309
Cystadenoma Cystadenocarcinoma
B- Mucinous tumors
Larger size
25%
Micro: endocervical cell type
Complications
1- Rupture : pseudomyxoma overii
2- Torsion: pain
3- Malignancy
2/21/2023
310
2/21/2023
311
Other surface epithelial tumors
• Endomeriod : usually malignant
• Brenner tumors : usually benign
2/21/2023
312
2- Germ Cell Tumors
2/21/2023
313
Mature Immature
Cystic
Teratoma
Embryonic
Extraembryonic
Somatic
Trophoblastic
Dysgerminoma
No
Differentiation
With
Differentiation
Mature Cystic Teratoma
 Mature cystic teratoma is Called dermoid cyst
 Very common ( 30%)
 Large cyst with sebum, hair, teeth
 MIC: any mature tissue
 May ↑thyroid →stroma ovarii
Complications
o Rupture
o Torsion
o malignancy (1%)
2/21/2023
314
2/21/2023
315
3- Sex cord- Stromal tumors
Sex cord cells
Granulosa cell tumors ( ↑Estrogen)
Theca cells →thecoma
Sertoli- leidge cell→ androblastoma
Stromal cells
fibroma
2/21/2023
316
4. Secondary Tumors
• From any where
• Eg . Krukenburge tumors from the stomach
2/21/2023
317
Male Reproductive System
Pathology
Penile Diseases
1. Congenital malformations
 Hypospadias is Ventral orifice
 Epispadias is dorsal orifice
 Phymosis is small prepuce orifice
...
Penile Diseases
2. Inflammations
STDs
 Balanitis- Inflammation of the glans penis
 Orchitis- Is inflammation of one or both testicles
3. Tumors
 Benign : Condyloma accuminatum (HPV)
 Malignant
o Ca insitu ( bowen disease)
o Squamous cell Ca (HPV 16, 18)
Question!
13. Which is benign?
A. Condyloma accuminatum
B. Ca insitu
C. Squamous cell Ca
D. None
…
Testes and Epididymis
• Congenital : Cryptorchidism (clinical
importance??)
• Atrophy : causes and effects
• Inflammation : Epydidymo-orchitis
• Causes:
• Clinical features
• Testicular Torsion:
• Testicular Tumors
Causes of Scrotal Swelling
 Testicular tumors
 Testicular infections( mumps, TB)
 Testicular torsion
 Hernia
 Varicocele
 Hydrocele
Varicocele
 Is an enlargement of the veins in the testicles due to
an abnormal blood flow.
Hydrocele
 Is the presence of fluid in the scrotum, which function
is to allow testicular mobility and to absorb the shocks.
 A hydrocele is commonly caused by inflammation of
the testes.
Testicular Tumors
WHO Classification
Single Histogenic
Tumors(40%)
Seminomas (30%)
Teratoma
Embryonal Carcinoma
Yolk Sac Tumor
Choriocarcinoma
Sex cord Tumors
Combined
Tumors(60%)
MIXED
Seminoma
 Is the most common (30%)
 Age 20 – 30 years
 Clinically : painless lobulated swelling
 Histologically :
o Large clear cells with central Nuclei
o Fibrous stroma
o lymphocytic infiltrate
 Diagnosis
Seminoma
Disorders of Prostate
Prostatitis
o Acute bacterial
o Chronic bacterial
o Chronic abacterial
Benign Nodular Hyperplasia
Ca Prostate
BPH
 Very common in old males
Pathogenesis
 Increased DHT and estrogen
Clinically
 Urine retention
 Frequency, nocturia, UTI
 Bladder hypertrophy
Pathology
 Middle lobe nodularity,↑↑ glands +
fibromuscular stroma
…
BPH Ca Prostate
Prostate Ca
 Most common male cancer
 2nd causes of male cancer death
 65- 75 years
Pathogenesis
 Hormonal
 Environmental
 Genetic bases
Question!
14. Is the most common & 2nd causes of cancer death in female
A. Breast cancer
B. Lung cancer
C. Colorectal cancer
D. Prostate cancer
15. Is 1st causes of cancer death in female
A. Lung cancer
A. Colorectal cancer
B. Breast cancer
C. Cervical cancer
D. Skin cancer
Question!
16. Is the 1st causes of cancer death in male
A. Lung cancer
B. Prostate cancer
C. Colorectal cancer
D. Skin cancer
17. Is the most common & the 2nd causes of male cancer death
A. Prostate cancer
B. Lung cancer
C. Colorectal cancer
D. Gastric cancer
Question!
18. Is the 4th most common cancer among women globally
A. Breast cancer
B. Cervical cancer
C. Colorectal cancer
D. Lung cancer
Clinical /f
• local
• General
Pathology
Macro: ... Site . Shape , color ,..
Micro: Adenocarcinoma
URETHRA
PERIPHERAL
ZONE
NORMAL
BNH CARCINOMA
Diagnosis
• Clinical
• Radioolgical
• Lab
- routine
- FNA , true-cut, biopsy
- tumor markers
Prostatic biopsy

Pathology presentation by Dr Jabessa.pptx

  • 1.
    Introduction to pathology By:Dr. Jebessa Gemechu (MD, Assistant professor of pathology) 2/21/2023 1
  • 2.
    Learning Objectives Upon completingthis topic students should be able to: 1. Define pathology 2. Discuss the core aspects of disease in pathology 3. Know the diagnostic techniques used in pathology 4. Know the various categories of the causes of diseases 5. Know the course, outcome, consequences of diseases 2/21/2023 2
  • 3.
    Introduction to Pathology Rudolph Virchow  1821-1902  The Father of Modern Pathology 2/21/2023 3
  • 4.
    Introduction to Pathology… Definitionof pathology  The word pathology came from the Latin words “patho” & “logy”.  ‘Patho’ means disease and ‘logy’ means study.  Pathology is the study of disease by scientific methods.  Pathology is a study of the structural, biochemical and functional changes in cells, tissues and organs that underlie disease.  Diseases may, in turn, be defined as an abnormal variation in structure or function of any part of the body. 2/21/2023 4
  • 5.
    History of Pathology Autopsy→ Organ pathology Light Microscopy → Cellular pathology Ultra-structural pathology with the application of Electron Microscopy Immunopathology, Molecular pathology, Genetic pathology, Quantitative pathology 2/21/2023 5
  • 6.
    A) The coreof pathology The four aspects of a disease process that form the core of pathology 1) Etiology  Causes of the disease 2) Pathogenesis  The mechanisms of its development  The mechanism by which the disease is produced/ developed. 3) Morphologic changes  The structural alteration induced in the cells and organs of the body 4) Functional derangements and clinical significance.  The functional consequences of the morphologic changes The scope of pathology 2/21/2023 6
  • 7.
    The scope ofpathology… B) Classification 1. Human pathology 2. Experimental pathology C) Position  Is a bridging discipline involving both basic science and clinical practice Autopsy Biopsy Cytology 2/21/2023 7
  • 8.
    The scope ofpathology… D)Text of Pathology  Pathology is broadly divided into two categories A. General pathology  Deals with general principle of disease. E.G. inflammation, cancer, ageing  Concerned with the basic reaction of cells and tissues to abnormal stimuli that underlie all diseases. B. Systemic pathology  Describes the specific responses of specialized organs and tissues to defined stimuli.  Study of disease pertaining to the specific organs and body systems. 2/21/2023 8
  • 9.
    The scope ofpathology…  Systemic pathology is further divided in to following branches 1. Histopathology  Gross or macroscopic examination  Microscopic examination of tissues and/or cells  It is further divided in to o Surgical pathology o Forensic pathology i.e. autopsy 2. Cytopathology/ Cytology  Is branch of pathology that studies and diagnoses diseases on the cellular level. o Exfoliative cytology o FNAC- Fine Needle Aspiration Cytology-ca 2/21/2023 9
  • 10.
    The scope ofpathology… 3. Hematology  Deals with the disease of blood and blood related components. 4. Microbiology  Deals with the study of microorganisms 5. Chemical pathology  Analysis of biochemical constituent of blood, urine, semen,CSF etc. 6. Immunology  Detection of abnormalities in the immune system of the body. 2/21/2023 10
  • 11.
    The scope ofpathology… 7. Experimental pathology  Study of disease in experimental animal. 8. Geographic pathology  Study of diseases in populations in different parts of world. 9. Medical genetics  It deals with the relationship between heredity and disease. 10. Molecular pathology  Detection and diagnosis of abnormalities at the level of DNA. 2/21/2023 11
  • 12.
    Techniques of Pathology 1.Human pathology  Autopsy: Organ pathology  Biopsy: surgical or diagnostic pathology  Cytology: smear, fine needle aspiration cytology-FNAC 2. Experimental pathology  Animal experiment: animal model  Tissue and cell culture 2/21/2023 12
  • 13.
    Cellular Adaptations, CellInjury and Cell death 2/21/2023 13
  • 14.
    Cellular Response - Thenormal cell is confined to a fairly normal range of function & structure. - It is nevertheless able to handle normal physiologic demands, maintaining steady state called homeostasis. - Is the state of steady internal, physical and chemical conditions maintained by living systems. - Is a state of balance among all the body systems needed for the body to survive and function correctly 2/21/2023 14
  • 15.
    …  More severephysiologic stresses & some pathologic stimuli may bring about a number of physiologic & morphologic cellular adaptation.  If the limits of adaptive response to a stimulus are exceeded, or the cell is exposed to an injurious agent or stress , a sequence of events follows that is termed Cell injury.  Hence, the response of cells to stimuli may be an adaptation and an injury 2/21/2023 15
  • 16.
  • 17.
    Cellular Adaptation  Itis a new but altered steady state which preserves the viability of the cell & modulates its function as it responds to stimuli.  Adaptations are reversible functional and structural responses to changes in physiologic states E.g. pregnancy &  Some pathologic stimuli, during which new but altered steady states are achieved, allowing the cell to survive and continue to function 2/21/2023 17
  • 18.
    The Four basicTypes of Cellular Adaptation 1. Hyperplasia-Formation of new muscle cells  Increase in number of cells 2. Hypertrophy  Increase in size of cells 3. Atrophy  Decrease in size of cells  Shrinkage in cell size due to loss of cell substance 4. Metaplasia A substitution of one normal cell or tissue type for another o Columnar- Squamous (cervix) o Squamous- Columnar (glandular) (stomach) o Fibrous- Bone This condition is considered a risk factor for cancer. It is not a cancer but it is a step toward cancer. 2/21/2023 18
  • 19.
    Question! 1. Among thefollowing cellular adaptation which one is considered a risk factor for cancer ? A. Atrophy B. Hypertrophy C. Hyperplasia D. Metaplasia 2. Is not considered changes in cell size or number A. Atrophy B. Hypertrophy C. Hyperplasia D. Metaplasia 2/21/2023 19
  • 20.
    A. Hyperplasia  Itis an increase in number of cells in an organ or tissue  Usually resulting in increased volume of the organ or tissue  Hyperplasia takes place if the cellular population is capable of synthesizing DNA or able to undergo mitotic division  Usually, it occurs together with hypertrophy  It can be physiologic or pathologic 2/21/2023 20
  • 21.
    1. Physiologic Hyperplasia Due to the action of hormonal hyperplasia or growth factor which increases the functional capacity of a tissue when needed. o E.g. Proliferation of glandular epithelium of female breast during pregnancy & puberty o Or physiologic hyperplasia that occurs in pregnant uterus. 2/21/2023 21
  • 22.
    2. Pathologic hyperplasia Most are caused by excessive hormonal stimulation or growth factors acting on target cells o Eg. Endometrial hyperplasia (due to estrogen) o Benign prostatic hyperplasia (due to androgen) Mechanisms of Hyperplasia  Hyperplasia is the result of growth factor-driven proliferation of mature cells and, in some cases, by increased output of new cells from tissue stem cells. 2/21/2023 22
  • 23.
  • 24.
  • 25.
    B. Hypertrophy  Itrefers to an increase in the size of cells  Resulting in an increase in the size of the organ.  The increase in size is due to synthesis of more structural components  It can be physiologic or pathologic & is caused by increased functional demand or by specific hormonal stimulation Example:  The enlargement of the left ventricle in hypertensive heart disease &  The increase in skeletal muscle during strenuous exercise 2/21/2023 25
  • 26.
    … Mechanisms of Hypertrophy Hypertrophy is the result of increased production of cellular proteins.  Much of our understanding of hypertrophy is based on studies of the heart.  There is great interest in defining the molecular basis of hypertrophy since beyond a certain point, 2/21/2023 26
  • 27.
    Figure –Physiologic hypertrophyof the uterus during pregnancy 2/21/2023 27
  • 28.
  • 29.
    C. Atrophy  Shrinkagein the size of the cell by loss of cell substance.  Atrophy is defined as a reduction in the size of an organ or tissue due to a decrease in cell size and number.  Atrophy can be caused by decreased workload, denervation, decreased blood flow, decreased nutrition, aging (involution) & pressure  Atrophy can be physiologic or pathologic 2/21/2023 29
  • 30.
    Physiologic atrophy  Iscommon during early development  Early embryonic structures such as thyroglossal duct undergo atrophy during fetal development.  Uterus decreases in size shortly after parturition. 2/21/2023 30
  • 31.
    Pathologic atrophy  ItCan be local or generalized Common causes of atrophy  Decreased work load (Atrophy of disuse)  Loss of innervations (denervation atrophy)  Diminished blood supply  Inadequate nutrition  Loss of endocrine stimulation  Aging  Pressure Mechanisms of Atrophy  Atrophy results from decreased protein synthesis and increased protein degradation in cells.  Protein synthesis decreases because of reduced metabolic activity.  The degradation of cellular proteins 2/21/2023 31
  • 32.
    Figure Atrophy. A,Normal brain of a young adult. B, Atrophy of the brain in CVA 2/21/2023 32
  • 33.
  • 34.
    D. Metaplasia  Itis a reversible change in which one adult cell type (epithelial or mesenchymal) is replaced by another adult cell type.  It may represent an adaptive substitution of cells that are sensitive to stress by cell types better able to withstand the adverse environment  Change inphenotype of differentiated cells, often in response to chronic irritation, that makes cells better able to withstand the stress; usually induced by altered differentiation pathway of tissue stem cells; may result in reduced functions or increased propensity for malignant transformation 2/21/2023 34
  • 35.
    …  The mostcommon metaplasia is columnar to squamous, as occurs in the respiratory tract in response to chronic irritation  The normal ciliated columnar epithelial cells of the trachea & bronchi are often replaced focally or widely by stratified squamous epithelial cells in cigarette smokers  The influences that predispose to metaplasia , if persistent, may induce malignant transformation in metaplastic epithelium 2/21/2023 35
  • 36.
  • 37.
    …  Metaplasia fromsquamous to columnar type (Barret esophagus) may also occur.  Esophageal squamous epithelium is replaced by intestinal - like columnar under the influence of refluxed gastric acid  Cancers may arise that are typically glandular carcinoma (adenocarcinoma) 2/21/2023 37
  • 38.
    …. Mechanisms of Metaplasia Metaplasia does not result from a change in the phenotype of an already differentiated cell type  Instead it is the resulted from a reprogramming of stem cells that are known to exist in normal tissues  Or from undifferentiated mesenchymal cells present in connective tissue. 2/21/2023 38
  • 39.
    Question! 3. True aboutmechanism of metaplasia A. Resulted from a change in the phenotype of an already differentiated cell type B. Resulted from a reprogramming of stem cells that are known to exist in normal tissues C. Resulted from undifferentiated mesenchymal cells present in connective tissue D. B & C E. A & B 2/21/2023 39
  • 40.
    Figure Metaplasia ofcolumnar to squamous epithelium. A, Schematic diagram. B, Metaplasia of columnar epithelium (left) to squamous epithelium (right) in a bronchus. 2/21/2023 40
  • 41.
    Note  Reversible =Injury  Irreversible = Death  Apoptosis = Normal death  Necrosis = Premature or untimely death due to causes Note again  Reversible = injury  Irreversible injury  Apoptosis  Necrosis Death 2/21/2023 41
  • 42.
    Cell Injury  Cellinjury results when cells are stressed so severely that they no longer able to adapt or the cells are exposed to inherently damaging agents .  If the limits of adaptive responses are exceeded or if cells are exposed to injurious agents or stress, deprived of essential nutrients, or become compromised by mutations that affect essential cellular constituents, a sequence of events follows that is termed cell injury 2/21/2023 42
  • 43.
    Types of CellInjury  Cell injury can be reversible or irreversible injury. Reversible changes  Reduced oxidative phosphorylation  ATP depletion  Cellular swelling Irreversible changes  Mitochondrial irreversibility  Irreversible membrane defects  Lysosomal digestion 2/21/2023 43
  • 44.
    …  These alterationsmay be divided into two stages Reversible cell injury  Is manifested as functional & morphologic changes that are reversible if the damaging stimulus is removed in early stages or mild forms of injury.  The hallmarks of reversible injury are reduced oxidative phosphorylation with resultant depletion of energy (ATP) 2/21/2023 44
  • 45.
    … Irreversible injury (celldeath )  With continuing damage , the injury becomes irreversible at which time the cell cannot recover and it dies.  Historically, two principal types of cell death, necrosis & apoptosis, which differ in their morphology, mechanisms, and roles in physiology and disease, have been recognized. 2/21/2023 45
  • 46.
    Causes of cellinjury o Oxygen deprivation  Hypoxia is a deficiency of oxygen , which causes cell injury by reducing aerobic oxidative respiration.  It should be distinguished from ischemia , which is loss of blood supply from impeded arterial flow or reduced venous drainage in tissue .  Causes of hypoxia include cardio-respiratory failure, anemia, carbon monoxide poisoning o Physical agents  Mechanical trauma, extremes of temperature, sudden changes in atmospheric pressure o Chemical agents & Drugs o Infectious agents o Immunologic reactions o Genetic derangements o Nutritional imbalance 2/21/2023 46
  • 47.
    Mechanisms of cellinjury Principles that are relevant to most forms of cell injury:-  The cellular response to injurious stimuli depends on the type of injury, its duration & its severity  The consequences of cell injury depend on the type, state, & adaptability of the injured cell 2/21/2023 47
  • 48.
    Morphology of cellinjury & Necrosis Reversible injury  Two patterns of reversible cell injury can be recognized under the light microscope 1. Cell swelling  This is the first manifestation of almost all forms of injury to cell injury  It appears whenever the cells are incapable of maintaining ionic & fluid homeostasis & is result of loss of function of plasma membrane energy- dependent ion pumps. 2/21/2023 48
  • 49.
    …. 2. Fatty change -It is manifested by the appearance of small & large lipid vacuoles in the cytoplasm & occurs in hypoxic & various toxic injury. - It is principally seen in cells involved in & dependent on fat metabolism such as hepatocytes & myocardial cell 2/21/2023 49
  • 50.
    Irreversible injury  Alsocalled cell death 1. Necrosis 2. Apoptosis 2/21/2023 50
  • 51.
    A. Necrosis - Itrefers to a spectrum of morphologic changes that follow cell death in a living tissue resulting from the progressive degradative action of enzymes in lethally injured cells. - Necrosis is cell death occurring in the setting of irreversible exogenous injury. - Necrotic cells aren’t able to maintain membrane integrity & their content leak out & elicit inflammation in the surrounding tissue 2/21/2023 51
  • 52.
    Morphology of necrosis -The morphologic features of necrosis is the result of denaturation of intracellular proteins & enzymatic digestion of the lethargic injury cell. - These processes require hrs to develop so there would be no detectable change immediately. 2/21/2023 52
  • 53.
    Morphology…  Necrotic cellsshow increased eosinophilia due to loss of the normal basophilia imparted by RNA in the cytoplasm 1.Nuclear changes-appear in one of three patterns, all due to nonspecific breakdown of DNA A. Karyolysis – The basophilia of the nucleus fades B. Pyknosis- Nuclear shrinkage & increased basophilia C. Karyorrhexis – Nuclear fragmentation 2/21/2023 53
  • 54.
  • 55.
    2. Morphologic patternsof necrosis A. Coagulative necrosis  Most often results from sudden interruption of blood supply to an organ.  It is, in early stages, characterized by g preservation of tissue architecture when denaturation is the primary pattern  Is a form of necrosis in which the architecture of dead tissues is preserved for a span of at least some days 2/21/2023 55
  • 56.
    Figure- Coagulative necrosis A.wedge-shaped kidney infarct (yellow). 2/21/2023 56
  • 57.
    B. Microscopic viewof the edge of the infarct, with normal kidney 2/21/2023 57
  • 58.
    B. Liquefactive necrosis It is characterized by digestion of tissue.  It shows softening & liquefaction of tissue.  Characteristically results from ischemic injury to the CNS.  Also occurs in suppurative infections characterized by formation of pus.  Is contrast to Coagulative necrosis, is characterized by digestion of the dead cells, 2/21/2023 58
  • 59.
    Figure - Liquefactivenecrosis. An infarct in the brain, showing dissolution of the tissue. 2/21/2023 59
  • 60.
  • 61.
  • 62.
    C. Gangrenous necrosis It is due to vascular occlusion & most affects the lower extremities & the bowel.  Is not a specific pattern of cell death, but the term is commonly used in clinical practice.  When there is more Liquefactive necrosis because of the actions of degradative enzymes in the bacteria and the attracted leukocytes (giving rise to so called wet gangrene). 2/21/2023 62
  • 63.
  • 64.
    D. Caseous necrosis It is type of necrosis most often seen in foci of tuberculosis infection.  The term Caseous is derived from the cheesy white gross appearance of the area of necrosis  On microscopic examination, the necrotic focus appears as amorphous granular debris enclosed within a distinctive inflammatory border known as a granulomatous reaction 2/21/2023 64
  • 65.
    Figure-Caseous necrosis. Tuberculosisof the lung, with a large area of Caseous necrosis containing yellow-white & cheesy debris. 2/21/2023 65
  • 66.
  • 67.
    E. Fat necrosis Focal areas of fat destruction, typically occurring as a result of release of activated pancreatic lipases into the substance of the pancreas & the peritoneal cavity.  This occurs in acute pancreatitis.  The activated enzymes liquefy fat cell membranes & the lipases split the triglyceride contained with in fat cells.  Does not in reality denote a specific pattern of necrosis. 2/21/2023 67
  • 68.
  • 69.
  • 70.
  • 71.
    …  Necrosis canbe followed by release of intracellular enzymes into the blood (creatinine kinase or troponin in myocardial infarction),inflammation or dystrophic calcification (if necrotic cells are not phagocytosed, they tend to attract calcium salts) 2/21/2023 71
  • 72.
    F. Fibrinoid necrosis???? Is a special form of necrosis usually seen in immune reactions involving blood vessels.  This pattern of necrosis typically occurs when complexes of antigens and antibodies are deposited in the walls of arteries  In fibrinoid necrosis, the inside lining of your blood vessels becomes damaged. It occurs in the small arteries that carry blood to all areas of your body.  When blood vessels become damaged, they can breakdown, causing lesions in the blood vessels, bleeding and bruises. 2/21/2023 72
  • 73.
    B. Apoptosis  Itis a pathway of cell death that is induced by tightly regulated intracellular program in which cells destined to die activate enzymes that degrade the cells’ own nuclear DNA & nuclear & cytoplasmic proteins.  Apoptotic cells break up into fragments, called apoptotic bodies  Apoptosis is sometimes referred to as programmed cell death, as certain forms of necrosis, called necroptosis, are also genetically programmed, but by a distinct set of genes 2/21/2023 73
  • 74.
    Causes of Apoptosis Normal(Preprogrammed) • Apoptosis occurs normally both during development and throughout adulthood, and serves to remove unwanted, aged, or potentially harmful cells. Pathologic (Associated with Necrosis) • It is also a pathologic event when diseased cells become damaged beyond repair and are eliminated 2/21/2023 74
  • 75.
    Apoptosis in physiologicsituations (Normal) Programmed destruction of cells during o Embryogenesis o Death of host cells o Cell loss in proliferating cell population o Elimination of potentially harmful self-reactive lymphocytes Hormonal involution  Endometrial cell breakdown during menstrual cycle  The regression of the lactating breast after weaning 2/21/2023 75
  • 76.
    Apoptosis in physiologicsituations (Normal)… • Embryogenesis • Hormonal “involution” • Cell population control, e.g., “crypts” • Post inflammatory “clean-up” • Elimination of “harmful” cells • Cytotoxic t-cells cleaning up NB: Cell death by apoptosis is a normal phenomenon that serves to eliminate cells that are no longer needed, and to maintain a steady number of various cell populations in tissues. 2/21/2023 76
  • 77.
    Apoptosis in Pathologicconditions Apoptosis eliminates cells that are injured beyond repair without eliciting a host reaction, thus limiting collateral tissue damage. Death by apoptosis is responsible for loss of cells in a variety of pathologic states:-  Cell death produced by a variety of injurious stimuli such as radiation & cytotoxic anticancer drugs  Cell injury in certain viral diseases such as viral hepatitis  Pathologic atrophy in parenchymal organs after duct obstruction, such as occurs in the pancreas, parotid gland, and kidney.  Cell death in tumors. Accumulation of misfolded protein. 2/21/2023 77
  • 78.
    Morphology The following morphologicfeatures characterize cells undergoing apoptosis  Cell shrinkage- The cell is smaller in size, the cytoplasm is dense and the organelles, although relatively normal.  Chromatin condensation-This is the most characteristic feature of apoptosis.  Formation of cytoplasmic blebs (bulge) & apoptotic bodies-The apoptotic cell undergoes fragmentation into membrane bound apoptotic bodies  Phagocytosis of apoptotic cells or cell bodies usually by macrophages 2/21/2023 78
  • 79.
    PHAGOCYTOSIS  Is theprocess by which a phagocyte ( a type of white blood cell) surrounds and destroys foreign substances such as bacteria and remove dead cells.  Types of phagocytes: o Monocytes o Macrophages o Neutrophils o Tissue dendritic cells,& o Mast cells 2/21/2023 79
  • 80.
    … • The twomain cells which clean up dead cell fragments are macrophages (histiocytes) & neutrophils • Macrophages & neutrophils are common types of white blood cells that work against an infection. • Neutrophils are the most abundant white blood cells. • Macrophages are the large specialized cells that are known as big eaters 2/21/2023 80
  • 81.
  • 82.
    Features of Necrosisand Apoptosis Feature Necrosis Apoptosis Cell size Enlarged (swelling) Reduced (shrinkage) Nucleus Pyknosis, karyorrhexis, karyolysis Fragmentation into nucleosome size fragments Plasma membrane Disrupted Intact; altered structure, especially orientation of lipids Cellular contents Enzymatic digestion; may leak out of cell Intact; may be released in apoptotic bodies Adjacent inflammation Frequent No Physiologic or pathologic role Invariably pathologic (culmination of irreversible cell injury) Often physiologic, means of eliminating unwanted cells; may be pathologic after some forms of cell injury, especially DNA damage 2/21/2023 82
  • 83.
    Acute and ChronicInflammation 2/21/2023 83
  • 84.
    Acute and ChronicInflammation 84 • General features of inflammation (introduction) • Acute inflammation • Chronic inflammation • Causes • Systemic effects of inflammation 2/21/2023
  • 85.
    Introduction: 85  “Inflame” –to set fire.  Inflammation is “dynamic response of vascularized and living tissue to injury.”.  Inflammation is a response of vascularized tissues to infections and damaged tissues that brings cells to injury  Is a protective, physiologic response.  Inflammation is intended to  Contain and isolate injury,  Destroy invading microorganisms and inactivate toxins, and  Prepare the tissue for healing and repair 2/21/2023
  • 86.
    Introduction…. 86 The ultimate goal Torid the organism of both the initial cause of cell injury E.g., microbes, toxins and the consequences of such injury  E.g., necrotic cells and tissues Without inflammation, Infections would go unchecked, Wounds would never heal, and Injured organs might remain permanent festering sores. 2/21/2023
  • 87.
    Introduction… 87  The twomain components inflammatory response A vascular reaction and A cellular response  Tissues and cells involved in these reactions, include The fluid and proteins of plasma Circulating cells Blood vessels, and Cellular and extracellular constituents of connective tissue 2/21/2023
  • 88.
    Introduction… 88  The circulatingcells  Neutrophils- Bacterial Infection Monocytes ( Acute leukemia & Bone marrow disorder) , lymphocytes-vial infection  Eosinophil-Parasite & allergic reaction Basophils (chronic CA of blood, leukemia )and platelets  The connective tissue cells are The mast cells-intimately surround blood vessels  Fibroblasts;  Resident macrophages; and lymphocytes. 2/21/2023
  • 89.
     The extracellularmatrix consists[ECM] The structural fibrous proteins (collagen, elastin), Adhesive glycoproteins (fibronectin, laminin, nonfibrillar collagen, Tenascin, and others)  Proteoglycans. 2/21/2023 89
  • 90.
    Introduction… 90 • Inflammation isdivided into acute and chronic patterns. • Acute inflammation-is the initial, rapid response to infections and tissue damage  Rapid in onset (seconds or minutes)  Relatively of short duration, lasting for minutes, several hours, or a few days;  Main characteristics are : oThe exudation of fluid and plasma proteins (edema) oThe emigration of leukocytes oPredominantly Neutrophils 2/21/2023
  • 91.
    Chronic inflammation  Isof longer duration  Associated histologically with the presence of lymphocytes and macrophages, the proliferation of blood vessels, fibrosis, and tissue necrosis. 2/21/2023 91
  • 92.
    Acute Inflammation 92  Itis a rapid response to an injurious agent that serves to deliver mediators of host defense (leukocytes and plasma proteins) to the site of injury. Has three major components 1. Alterations in vascular caliber (dilation of small vessels)  An increase in blood flow 2. Structural changes in the microvasculature  Plasma proteins and leukocytes leave the circulation 3. Emigration of the leukocytes from microcirculation  Their accumulation in the focus of injury, and their activation to eliminate the offending agent. 2/21/2023
  • 93.
    Fluid changes invascular flow 93 Exudates – Is the escape of fluid, proteins, and blood cells from the vascular system into the interstitial tissue or body cavities – An inflammatory extravascular fluid has a high protein concentration, cellular debris – A specific gravity above 1.020. – Vasodilation and stasis, Fluid and protein leakage – Significant alteration in the normal permeability of small b/vessels in the area of injury. – An exudate is formed in inflammation, because vascular permeability increases as a result of increased inter endothelial spaces 2/21/2023
  • 94.
    . Transudate- Is afluid with low protein content (most of which is albumin) and little or no cellular material – a specific gravity of less than 1.012. – It is essentially an ultrafiltrate of blood plasma that results from osmotic or hydrostatic imbalance across the vessel wall without an increase in vascular permeability. – A Transudate is formed when fluid leaks out because of increased hydrostatic pressure ( E.g. CHF) or decreased osmotic pressure ( E.g. LD, RD) Normal, increased hydrostatic pressure and decreased colloid osmotic pressure of tissues. Therefore, the net flow of fluid across the vascular bed is almost nil. 2/21/2023 94
  • 95.
    Edema- is anexcess of fluid in the interstitial or serous cavities -It can be either an exudate or a Transudate. Pus- is a purulent exudate  An inflammatory exudate rich in leukocytes (mostly Neutrophils), the debris of dead cells and, in many cases, microbes. 2/21/2023 95
  • 96.
  • 97.
    Stimuli for AcuteInflammation 97 • Acute inflammatory reactions are triggered by a variety of stimuli:  Infections:- bacterial, viral, parasitic  Microbial toxins  Trauma (blunt and penetrating)  Physical and chemical agents (thermal injury, E.g., Burns or frostbite; irradiation; some environmental chemicals)  Tissue necrosis (from any cause)  Foreign bodies (splinters, dirt, sutures)  Immune reactions (also called hypersensitivity 2/21/2023
  • 98.
    A. Vascular Changes 98 Changesin Vascular Flow and Caliber ;- It begins early after injury and develop at varying rates depending on the severity of the injury. Vasodilation -is one of the earliest manifestations of acute inflammation; sometimes, it follows a transient constriction of arterioles, lasting a few seconds.  Is the first involves the arterioles and then results in opening of new capillary beds in the area. 2/21/2023
  • 99.
    VASCULAR CHANGES… 99 Vasodilation – Isinduced by the action of several mediators, notably histamine and nitric oxide, on vascular smooth muscle. – Is quickly followed by increased permeability of the microvasculature, with the outpouring of protein-rich fluid into the extravascular tissues(exudate) – Is the loss of fluid results in;-concentration of red cells in small vessels and, increased viscosity of the blood, reflected by the presence of dilated small vessels packed with red cells and slower blood flow, a condition termed stasis. 2/21/2023
  • 100.
    Vasodilation.. -As stasis develops,leukocytes, principally Neutrophils, accumulate along the vascular endothelium. -stick to the endothelium, and soon afterward they migrate through the vascular wall into the interstitial tissue. 2/21/2023 100
  • 101.
  • 102.
    B. Cellular Events:Leukocyte Extravasation and Phagocytosis 102 The sequence of events in the journey of leukocytes from the vessel lumen to the interstitial tissue, called extravasation, can be divided into the following steps: 1.In the lumen: margination, rolling, and adhesion to endothelium. 2.Transmigration across the endothelium (also called diapedesis). 3.Migration in interstitial tissues toward a chemotactic stimulus 2/21/2023
  • 103.
    Chemotaxis 103 • After extravasation,leukocytes emigrate in tissues toward the site of injury by a process called chemotaxis, defined most simply as locomotion oriented along a chemical gradient. • All granulocytes, monocytes and, to a lesser extent, lymphocytes respond to chemotactic stimuli with varying rates of speed. 2/21/2023
  • 104.
    Mechanism :… 104 • Bothexogenous and endogenous substances can act as chemo attractants. • The most common exogenous agents are bacterial products. 2/21/2023
  • 105.
    Chemotaxis… 105 Endogenous chemo attractants,include several chemical mediators: 1. Components of the complement system, particularly C5a; 2. Products of the lipoxygenase pathway, mainly leukotriene B4 (LTB4); and 3. Cytokines, particularly those of the chemokine family (e.g., IL-8) In short  C5a  LTB4  IL-8 2/21/2023
  • 106.
    Cont… 106 • The vascularand cellular reactions of both acute and chronic inflammation are mediated by chemical factors that are derived from – Plasma proteins or cells and – Are produced in response to or activated by the inflammatory stimulus. • Such mediators, acting singly, in combinations, or in sequence, then amplify the inflammatory response and influence its evolution. 2/21/2023
  • 107.
    Termination of theAcute Inflammatory Response When • The offending agent is eliminated • The secreted mediators are removed & • Active anti-inflammatory mechanisms are also involved 2/21/2023 107
  • 108.
    Chemical Mediators ofInflammation 108 • The mediators of inflammation are the substances that initiate and regulate inflammatory reactions. • Many mediators have been identified and targeted therapeutically to limit inflammation. • Many mediators have been identified, and how they function in a coordinated manner is still not fully understood. • Some of the major mediators: 2/21/2023
  • 109.
    Chemical Mediators ofInflammation… 109 2/21/2023
  • 110.
    Chemical Mediators ofInflammation… 110 2/21/2023
  • 111.
    Leukocyte activation resultsin the enhancement of the following functions:  Phagocytosis of particles  Intracellular destruction of phagocytosed microbes and dead cells by • Oxygen dependent mechanisms with the formation of ROS or • Oxygen independent mechanisms using leukocytic granules 2/21/2023 111
  • 112.
    – Liberation ofsubstances that destroy extracellular microbes and dead tissues, which are largely the same as the substances produced within phagocytic vesicles. – Production of mediators, including arachidonic acid metabolites and cytokines, that amplify the inflammatory reaction, by recruiting and activating 2/21/2023 112
  • 113.
    Phagocytosis consists ofthree steps: 1. Recognition and attachment of the particle to the ingesting leukocyte; 2. Engulfment, with subsequent formation of a phagocytic vacuole; and 3. killing and degradation of the ingested material. 2/21/2023 113
  • 114.
    Cardinal Signs ofInflammation 114  Rubor : Redness – Hyperaemia.  Calor : Warm – Hyperaemia.  Dolor : Pain – Nerve, Chemical med.  Tumor: Swelling – Exudation  Loss of Function: 2/21/2023
  • 115.
    Heat Redness SwellingPain Loss of function The 5 Cardinal Signs of acute 115 2/21/2023
  • 116.
    Morphologic types ofacute inflammation 116 A. Exudative Inflammation: is excess fluid. E.g TB lung. B. Suppuration/Purulent Inflammation, abscess– the collection of large amounts of purulent exudate (pus) consisting of neutrophils, necrotic cells, and edema fluid. The most frequent cause of infection with bacteria that cause liquefactive tissue necrosis. E.g S.aures C. Fibrinous Inflammation– occurs as a consequence of more severe injuries, resulting in greater vascular permeability that allows large molecules (such as fibrinogen) to pass the endothelial barrier . 2/21/2023
  • 117.
    D. Serous Inflammation–characterizedby the outpouring of a watery, relatively protein-poor fluid.  Serous inflammation is marked by the exudation of cell poor fluid into spaces created by cell injury or into body cavities lined by the peritoneum, pleura, or pericardium.  Typically, the fluid in serous inflammation is not infected by destructive organisms and does not contain large numbers of leukocytes E. Haemorrhagic – blood vessel damage 2/21/2023 117
  • 118.
    F. Ulcer --isa local defect, or excavation, of the surface of an organ or tissue that is produced by necrosis of cells and sloughing (shedding) of necrotic and inflammatory tissue . • Ulceration can occur only when tissue necrosis and resultant inflammation exist on or near a surface. • Most commonly encountered in  Mucosa of the mouth, stomach, intestines, or genitourinary tract &  Subcutaneous tissues of the lower extremities in older persons who have circulatory disturbances predisposing affected tissue to extensive necrosis. 2/21/2023 118
  • 119.
  • 120.
    Outcomes of AcuteInflammation All acute inflammatory reactions typically have one of three outcomes 1. Complete resolution:-Clearance of injurious stimuli, Clearance of mediators and acute inflammatory cells, Replacement of injured cells , Normal function 2. Healing by connective tissue replacement (scarring, or fibrosis):- Loss of function 3. Progression of the response to chronic inflammation ;-Angiogenesis , Mononuclear cell infiltrate, Fibrosis (scar) 2/21/2023 120
  • 121.
  • 122.
    Chronic Inflammation 122  Althoughdifficult to define precisely, chronic inflammation is considered to be Inflammation of prolonged duration (weeks or months) in which active inflammation, tissue destruction, and attempts at repair are proceeding simultaneously.  It frequently begins insidiously, as a low-grade, smoldering, often asymptomatic response or may follow acute inflammation  Cause of tissue damage in some of the most common and disabling human diseases, such as Rheumatoid arthritis, atherosclerosis, tuberculosis, and chronic lung diseases. 2/21/2023
  • 123.
  • 124.
    Causes of chronicinflammation 124 Chronic inflammation arises in the following settings: 1. Persistent infections by certain microorganisms, such as tubercle bacilli, Treponema pallidum (the causative organism of syphilis), and certain viruses, fungi, and parasites. These organisms are of low toxicity and evoke an immune reaction called delayed type hypersensitivity. 2. Hypersensitivity disease 2/21/2023
  • 125.
    3.The inflammatory responsesometimes takes a specific pattern called a granulomatous reaction. 4. Prolonged exposure to potentially toxic agents, either exogenous or endogenous. 5. Autoimmunity. • Under certain conditions, immune reactions develop against the individual's own tissues, leading to autoimmune diseases. 2/21/2023 125
  • 126.
    Morphologic features 126 • Chronicinflammation is characterized by:  Infiltration with mononuclear cells, which include macrophages, lymphocytes, and plasma cells.  Tissue destruction, induced by the persistent offending agent or by the inflammatory cells.  Attempts at healing by connective tissue replacement of damaged tissue, accomplished by proliferation of small blood vessels 2/21/2023
  • 127.
    Morphologic features…. 127 1.Non specificchronic inflammation 2. Specific – granulomatous chronic inflammation. 2/21/2023
  • 128.
    Morphologic features… 128 Granulomatous inflammation –It is a distinctive pattern of chronic inflammatory reaction characterized by focal accumulations of activated macrophages, which often develop an epithelial-like (epithelioid) appearance. – Encountered in a limited number of immunologically mediated, infectious and some non-infectious conditions. – Tuberculosis is the prototype of the granulomatous diseases, sarcoidosis, leprosy, brucellosis, syphilis, some mycotic infections…. 2/21/2023
  • 129.
    Granulomatous inflammation … 129 AGranuloma- is a focus of chronic inflammation consisting of a microscopic aggregation of macrophages that are transformed into epithelium-like cells surrounded by a collar of mononuclear leukocytes, principally lymphocytes and occasionally plasma cells. 2/21/2023
  • 130.
    Granuloma: 130 • H andE stained tissue section, – the epithelioid cells have a pale pink granular cytoplasm with indistinct cell boundaries, often appearing to merge into one another. 2/21/2023
  • 131.
  • 132.
    Conditions for formationof granulomas There are two types of granulomas, which differ in their pathogenesis • Presence of indigestible foreign body (material ) derived from bacteria or other sources • Cell-mediated immune reaction against the injurious agent (type IV hypersensitivity reaction)=> interferon gamma transforms, macrophage into epithelioid cells 2/21/2023 132
  • 133.
  • 134.
    Systemic Effects ofInflammation 134  Fever :- Characterized by an elevation of body temperature, usually by 1° to 4°C, Is one of the most prominent manifestations of the acute phase response, especially when inflammation is associated with infection.  Acute-phase proteins are plasma proteins, mostly synthesized in the liver, whose plasma concentrations may increase several hundred-fold as part of the response to inflammatory stimuli.  ESR  Fibrinogen 2/21/2023
  • 135.
    Systemic Effects ofInflammation,,,,, • Leukocytosis is a common feature of inflammatory reactions, especially those induced by bacterial infection. • The leukocyte count usually climbs to 15,000 or 20,000 cells/mL, but sometimes it may reach extraordinarily high levels of 40,000 to 100,000 cells/mL. – Neutropilia-------- Acute infection (bacterial) – Lymphocytosis-------------chronic infections ( viral) – Monocytosis------------ ‘’ – Eosinophilia------------parasites, allergy • Leucopenia (occasional) 2/21/2023 135
  • 136.
    Cont… 136 Other manifestations ofthe acute phase response include  Increased pulse and blood pressure;  Decreased sweating, mainly because of redirection of blood flow from cutaneous to deep vascular beds, to minimize heat loss through the skin;  Rigors (shivering), chills (search for warmth), anorexia, somnolence, and malaise, probably because of the actions of cytokines on brain cells.  In severe bacterial infections (sepsis) 2/21/2023
  • 137.
    Consequences of Inflammation 137 Theclinical and pathological consequences of too much or too little inflammation.  Defective inflammation typically results in – Increased susceptibility to infections and – Delayed healing of wounds and tissue damage. 2/21/2023
  • 138.
    Consequences of Inflammation… Excessive inflammation is the basis of many categories of human disease.  Allergies, in which individuals mount unregulated immune responses against commonly encountered environmental antigens,  Autoimmune diseases, in which immune responses develop against normally tolerated self-antigens.  Abscess formation Fistula Sinus sepsis 2/21/2023 138
  • 139.
    Acute Vs Chronic 139 Flush, Flare & Weal  Acute inflammatory cells - Neutrophils  Vascular damage  More exudation  Little or no fibrosis  Little signs  Chronic inflammatory cells – Lymphocytes,macropha ges  Neo-vascularization  No/less exudation; abscess.  Prominent fibrosis 2/21/2023
  • 140.
  • 141.
    Tissue Renewal andRepair 2/21/2023 141
  • 142.
    Introduction • The body'sability to replace injured or dead cells & • To repair tissues after inflammation is critical to survival. • When injurious agents damage cells and tissues, the host responds by setting in motion a series of events that serve  To eliminate these agents,  Contain the damage, and  Prepare the surviving cells for replication. 142 2/21/2023
  • 143.
    Processes of woundhealing 1.Regeneration 2.Repair, scar formation, fibrosis 143 2/21/2023
  • 144.
    Cont… A. Regeneration -proliferationof cells and tissues to replace lost structures E.g. -liver growth after partial resection or necrosis, but these processes consist of compensatory growth rather than true regeneration. 2/21/2023 144
  • 145.
    Cont… B. Repair -most often consists of a combination of regeneration and scar formation by the deposition of collagen  Relative contribution of regeneration and scarring in tissue repair depends on the ability of the tissue to regenerate and the extent of the injury 2/21/2023 145
  • 146.
    Cont… Scar formation isthe predominant healing process that occurs when the extracellular matrix (ECM) framework is damaged by severe injury ECM components are essential for wound healing, because They provide the framework for cell migration, Maintain the correct cell polarity for the re-assembly of multilayer structures, and  Participate in the formation of new blood vessels (angiogenesis). 2/21/2023 146
  • 147.
    Cont…  cells inthe ECM (fibroblasts, macrophages, and other cell types) produce growth factors, cytokines, and chemokines that are critical for regeneration and repair. 2/21/2023 147
  • 148.
  • 149.
    Proliferative Capacities ofTissues • The ability of tissues to repair themselves is critically influenced by their intrinsic proliferative capacity. • Based on this criterion, the tissues of the body are divided into three groups. A. Continuously Dividing Tissues(Labile tissues)  Continuously being lost and replaced by maturation from stem cells and by proliferation of mature cells E.G. 1. Hematopoietic cells in the bone marrow 2/21/2023 149
  • 150.
    Labile Tissues.. 2. Surfaceepithelia, such as the stratified squamous surfaces of the skin, oral cavity, vagina, and cervix; 3. Cuboidal epithelia of the ducts draining exocrine organs E.g., Salivary glands, pancreas, biliary tract); 4. The columnar epithelium of the gastrointestinal tract, uterus, and fallopian tubes 5. Transitional epithelium of the urinary tract. These tissues can readily regenerate after injury as long as the pool of stem cells is preserved. 2/21/2023 150
  • 151.
    B. Stable Tissues Cells of these tissues are quiescent (in the G0 stage of the cell cycle) and have only minimal replicative activity in their normal state.  However, these cells are capable of proliferating in response to injury or loss of tissue mass.  Stable cells constitute the parenchyma of most solid tissues, such as liver, kidney, and pancreas.  They also include endothelial cells, fibroblasts, and smooth muscle cells; the proliferation of these cells is particularly important in wound healing.  With the exception of liver, stable tissues have a limited capacity to regenerate after injury. 2/21/2023 151
  • 152.
    C. Permanent Tissues The cells of these tissues are considered to be terminally differentiated and non proliferative in postnatal life.  The majority of neurons and cardiac muscle cells belong to this category.  Thus, injury to brain or heart is irreversible and results in a scar, because neurons and cardiac myocytes do not divide. 2/21/2023 152
  • 153.
    Regeneration  Regeneration refersto growth of cells and tissues to replace lost structures.  In mammals, whole organs and complex tissues rarely regenerate after healing, and the term is usually applied to processes such as liver and kidney growth after, respectively, partial hepatectomy and unilateral nephrectomy. 153 2/21/2023
  • 154.
    Regeneration …  Tissueswith high proliferative capacity, such as the hematopoietic system and the epithelia of the skin and gastrointestinal tract, renew themselves continuously and can regenerate after injury, as long as the stem cells of these tissues are not destroyed.  Regeneration involves the restitution of tissue components identical to those removed or killed. 154 2/21/2023
  • 155.
    Question! 4. Is nottissues with high proliferative capacity A. Hematopoietic cells B. Surface epithelium of the skin C. Columnar epithelium of the gastrointestinal tract D. The parenchymal cells of the kidney 5. If injury causes damage to both parenchymal and the stromal cells of tissue, healing can be accomplished through A. Regeneration B. Repair by deposition of collagen & ECM components C. Proliferation D. Degradation 2/21/2023 155
  • 156.
    Repair by Healing,Scar Formation, & Fibrosis • By contrast, healing is a fibro proliferative response. • If tissue injury is severe or chronic, and results in damage of both parenchymal cells and the stromal framework of the tissue, healing can not be accomplished by regeneration. • Under these conditions, the main healing process is repair by deposition of collagen and other ECM components, causing the formation of a scar 156 2/21/2023
  • 157.
    Repair …  Itis a complex but orderly phenomenon involving a number of processes: Induction of an inflammatory process in response to the initial injury 1. Proliferation and migration of parenchymal and connective tissue cells 2. Formation of new blood vessels (angiogenesis) and granulation tissue 3. Synthesis of ECM proteins and collagen deposition 4. Tissue remodeling 5. Wound contraction 6. Acquisition of wound strength 157 2/21/2023
  • 158.
    Repair by connectivetissue • Occurs when repair by parenchymal regeneration alone cannot be accomplished • Involves production of Granulation Tissue-  Replacement of parenchymal cells with proliferating fibroblasts and  Vascular endothelial cells. 158 2/21/2023
  • 159.
    Cont… The repair processis influenced by many factors including The tissue env”t and extent of tissue damage Intensity and duration of tissue damage Conditions that affect tissue repair like foreign body, decreased blood supply Various diseases that inhibit repair E.g. DM, and treatment with steroids 2/21/2023 159
  • 160.
    Cutaneous Wound Healing… Cutaneouswound healing is generally divided into three phases: 1. Inflammation (early and late); 2. Granulation tissue formation and re-epithelialization 3. Wound contraction, ECM deposition, & remodeling. • These phases overlap, and their separation is somewhat arbitrary 160 2/21/2023
  • 161.
    Phases Cont…  Theinitial injury causes platelet adhesion and aggregation and the formation of a clot in the surface of the wound, leading to inflammation.  In the proliferative phase there is formation of granulation tissue, proliferation and migration of connective tissue cells, and reepithelialization of the wound surface  Maturation involves ECM deposition, tissue remodeling, and wound contraction. 2/21/2023 161
  • 162.
  • 163.
  • 164.
    Healing by firstintention (wounds with opposed edges) • Skin wounds are classically described to heal by primary or secondary intention. • This distinction is based on the nature of the wound rather than the healing process itself. • The least complicated example of wound repair is the healing of a clean, uninfected surgical incision approximated by surgical sutures. 164 2/21/2023
  • 165.
    Pattern of woundhealing cont… Such healing is referred to as primary union or healing by first intention. The incision causes death of a limited number of epithelial and connective tissue cells as well as disruption of epithelial basement membrane continuity. 165 2/21/2023
  • 166.
    Sequence of eventsin primary wound healing Day1. Neutrophils appear at the margin of the incision, move towards the Fibrin clot Day 2. Epithelial cells move from the wound edge along the cut margins of dermis and deposit basement membrane Day3. neutrophils are replaced by macrophages Granulation tissue formation Collagen fiber formation begin Epithelial cell proliferation thickens the epidermal 2/21/2023 166
  • 167.
    Day5 .  theincisional space is filled with granulation tissue  Maximal neovascularization  More abundant collagen fibers which start to bridge the incision  The epidermis recovers its normal thickness Week 2.  continuous accumulation of collagen and proliferation of fibroblasts  Leukocyte infiltration , edema, and increased vascularity subside End of first month; the scar is made up of a cellular connective tissue devoid of inflammatory infiltrates 2/21/2023 167
  • 168.
  • 169.
    Healing by FirstIntention -Focal disruption of basement membrane and loss of only a few epithelial cells E.g. Surgical Incision 169 2/21/2023
  • 170.
    Healing by secondintention (wounds with separated edges) • When there is more extensive loss of cells and tissue, as in surface wounds that create large defects, the reparative process is more complicated. • Regeneration of parenchymal cells cannot completely restore the original architecture, and hence abundant granulation tissue grows in from the margin to complete the repair. • This form of healing is referred to as secondary union or healing by second intention. 170 2/21/2023
  • 171.
    Second intention… Secondary healingdiffers from primary healing in several respects: The inflammatory reaction is more intense. Much larger amounts of granulation tissue are formed. Wound contraction, perhaps the feature that most clearly differentiates primary from secondary healing. Contraction of these cells at the wound site decreases the gap between the dermal edges of the wound. 171 2/21/2023
  • 172.
    Question 6. Which oneof the following feature clearly differentiates primary from secondary wound healing process? A. More intensified inflammatory reaction B. Much larger amounts of granulation tissue C. Wound contraction D. Restoration of cell through regeneration 7. What differs secondary from primary healing? In secondary healing: A. More intensified inflammatory reaction B. Much larger amounts of granulation tissue C. Wound contraction D. All 2/21/2023 172
  • 173.
    Healing by SecondIntention -Larger injury, abscess, infarction -Process is similar but -Results in much larger scar and then contraction 173 2/21/2023
  • 174.
    Factors affecting Healing: Systemic Nutrition  Vitamin def.(particularly vit c)  Age  Immune status  Metabolic status (e.g DM)  Circulatory status (e.g in arteriosclerosis, varicose vein)  Hormones (e.g glucocorticoids) inhibit collagen synthesis  Other diseases Local  necrosis  Infection  apposition  Blood supply  Mobility  Foreign body 174 2/21/2023
  • 175.
    Overview of RepairResponses After Injury and Inflammation 175 2/21/2023
  • 176.
    Complications in cutaneouswound healing/ Pathologic aspects of healng Complications in wound healing can arise from abnormalities in any of the basic components of the repair process. These aberrations can be grouped into three general categories: 1. Deficient scar formation (wound dehiscence, ulcers) 2. Excessive formation of the repair components (hypertrophic scar, Keloid, exuberant granulation) 176 2/21/2023
  • 177.
    Deficient scar formation Inadequateformation of granulation tissue or assembly of a scar can lead to two types of complications: 1.Wound dehiscence and 2.Ulceration  Dehiscence or rupture of a wound- is most common after abdominal surgery and is due to increased abdominal pressure. 177 2/21/2023
  • 178.
    Excessive formation ofthe repair components  The accumulation of excessive amounts of collagen may give rise to a raised scar known as a hypertrophic scar  If the scar tissue grows beyond the boundaries of the original wound and does not regress, it is called a Keloid.  Keloid formation appears to be an individual predisposition, and for unknown reasons this aberration is somewhat more common in african-americans. 178 2/21/2023
  • 179.
    Note  Contraction inthe size of a wound is an important part of the normal healing process.  An exaggeration of this process is called a contracture and results in deformities of the wound and the surrounding tissues.  Contractures are particularly prone to develop on the palms, the soles, and the anterior aspect of the thorax.  Contractures are commonly seen after serious burns and can compromise the movement of joints. 179 2/21/2023
  • 180.
  • 181.
    Deficient scar Formation UlcerationWound Dehiscence 2/21/2023 181
  • 182.
  • 183.
  • 184.
  • 185.
    Neoplasia  Definitions  Classification Nomenclature  Characteristics of: oBenign and oMalignant neoplasms 2/21/2023 185
  • 186.
    Neoplasia • Cancer isone of the leading causes of death worldwide. • Emotional and physical suffering by the patient. • Different mortality rate ….. – Some are curable – Others are fatal 2/21/2023 186
  • 187.
    Neoplasia • Neoplasia =new growth • Neoplasm = tumor • Tumor = swelling • The study of tumors = Oncology – Oncos = tumor + ology = study of 2/21/2023 187
  • 188.
    Neoplasia • Definition: – isan abnormal mass of tissue, – the growth of which is uncoordinated with that of normal tissues, – and that persists in the same excessive manner after the cessation of the stimulus which evoked the change – With the loss of responsiveness to normal growth controls 2/21/2023 188
  • 189.
    Non-Neoplastic Proliferation: *Controlled &Reversible • Hypertrophy – Size • Hyperplasia – Number • Metaplasia – Change • Dysplasia – Disordered 2/21/2023 189
  • 190.
    Question! 8. Which oneof the following expresses neoplastic activity? A. Hypertrophy B. Hyperplasia C. Metaplasia D. Dysplasia E. All F. None 9. Is prone to undergo neoplastic proliferation A. Hypertrophy B. Hyperplasia C. Metaplasia D. Atrophy 2/21/2023 190
  • 191.
  • 192.
    Neoplasia • Benign tumors: – Will remain localized – Cannot spread to distant sites – Generally can be locally excised – Patient generally survives 2/21/2023 192
  • 193.
    Neoplasia • Malignant neoplasms: –Can invade and destroy adjacent structure – Can spread to distant sites – Cause death (if not treated ) 2/21/2023 193
  • 194.
    Neoplasia • All tumorsbenign and malignant have two basic components: –Parenchyma: made up of neoplastic cells –Stroma: made up of non-neoplastic, host- derived connective tissue and blood vessels 2/21/2023 194
  • 195.
    Neoplasia The parenchyma • Determinesthe biological behavior of the tumor from which the tumor derives its name 2/21/2023 195
  • 196.
    Neoplasia The stroma • Carriesthe blood supply • Provides support for the growth of the parenchyma 2/21/2023 196
  • 197.
    • In sometumors, the stromal support is scant and so the neoplasm is soft and fleshy. • In other cases the parenchymal cells stimulate the formation of an abundant collagenous stroma, referred to as desmoplasia. • Is causing or forming adhesions or fibrous connective tissue within a tumor 2/21/2023 197
  • 198.
  • 199.
  • 200.
    Nomenclature Benign tumors: • prefix+ suffix • Type of cell + (-oma) 2/21/2023 200
  • 201.
    • Benign tumorsarising from mesenchymal tissue, • cell of origin + oma – Benign tumor arising in fibrous tissue: Fibro + oma = Fibroma - Benign tumor arising in fatty tissue: Lipo + oma = lipoma 2/21/2023 201
  • 202.
    • Benign tumorarising in cartilage chondro + oma = chondroma • Benign tumor arising in smooth muscle Leiomyo + oma = leiomyoma • Benign tumor arising in skeletal muscle Rhabdomyo + oma = rhabdomyoma 2/21/2023 202
  • 203.
    Question! 1. Is benigntumor arising in smooth muscle A. Chondroma B. Leiomyoma C. Rhabdomyoma D. Fibroma 2/21/2023 203
  • 204.
    • epithelial benigntumors are classified on the basis of : – The cell of origin – Microscopic pattern – Macroscopic pattern 2/21/2023 204
  • 205.
    – Adenoma :benign epithelial neoplasms producing gland pattern….OR … derived from glands but not necessarily exhibiting gland pattern – Papilloma : benign epithelial neoplasms growing on any surface that produce microscopic or macroscopic finger-like pattern 2/21/2023 205
  • 206.
  • 207.
  • 208.
    … Polyp  A massthat projects above a mucosal surface to form a macroscopically visible structure.  e.g. colonic polyp, nasal polyp 2/21/2023 208
  • 209.
  • 210.
  • 211.
    • Examples : –Respiratory airways: Bronchial adenoma – Renal epithelium: Renal tubular adenoma – Liver cell : Liver cell adenoma – Squamous epithelium: squamous papilloma 2/21/2023 211
  • 212.
    Question! 2. Which isnot benign tumor? A. Adenoma B. Papilloma C. Polyp D. Fibroma E. Fibrosarcoma 3. Is malignant tumor arising in mesenchymal tissue A. Sarcoma B. Adenoma C. Papilloma D. Polyp E. Carcinoma 2/21/2023 212
  • 213.
    Malignant tumors  Malignanttumor arising in mesenchymal tissue : sarcoma  Cell of origin + sarcoma o From fibrous tissue: Fibrosarcoma o From bone : Osteosarcoma o From cartilage : chondrosarcoma 2/21/2023 213
  • 214.
    Question! 4. Which Isnot malignant tumor? A. Fibrosarcoma B. Osteosarcoma C. chondrosarcoma D. Lipoma 5. Which of following malignant tumor is originated from epithelial cell? A. Sarcoma B. Carcinoma 2/21/2023 214
  • 215.
    Malignant neoplasm ofepithelial cells origin derived from any of the three germ layer , are called Carcinomas. Cell of origin + Carcinoma Squamous cells + carcinoma = squamous cell carcinoma Adenocarcinoma: One with a glandular growth pattern microscopically. 2/21/2023 215
  • 216.
  • 217.
  • 218.
    Adenocarcinoma: One witha glandular growth pattern microscopically. 2/21/2023 218
  • 219.
  • 220.
    Clear Cells RenalCarcinoma 2/21/2023 220
  • 221.
    3) Special nomenclature ①Blastoma  Tumors rigging in immature tissue or nervous tissue, most of them are malignant  e.g. Medulloblastoma- brain tumor originating from cerebellum  Retinoblastoma- of the retina, hereditary condition found mostly in children  Nephroblastoma- tumor affecting kidney  Neuroblastoma- Cancer affecting ganglia in various parts of the body 2/21/2023 221
  • 222.
    Question! 6. Is hereditaryneoplasm or tumor mostly found in children A. Retinoblastoma B. Medulloblastoma C. Neuroblastoma D. Nephroblastoma 7. Are tumors that originate in immature tissue or nervous tissue A. Blastomas B. Sarcomas C. Carcinamas D. None 2/21/2023 222
  • 223.
    … ② Some tumorsattaching the suffix-oma, but malignant  Seminoma- A form of testicular cancer  Lymphoma-Tumor from lymphoid tissue  Melanoma-tumor arising from melanocyte  Dysgerminoma- Cancer from germ cells in female, it mostly occurs in ovaries,but can also occur in other areas of the body including CNS  Glioma-Tumor arising from brain or spinal cord  Hepatoma - Also called hepatocellular carcinoma- most common type of primary liver cancer 2/21/2023 223
  • 224.
    Question! 8. Is tumorarising from brain or spinal cord A. Dysgerminoma B. Melanoma C. Glioma D. Blastoma 9. Which one of the following is considered a hallmark feature of tumor? A. Anaplasia B. Metastasis C. Differentiation D. Rate of growth E. Local invasion 2/21/2023 224
  • 225.
    Question! 10. Is aglandular malignant tumour A. Adenosarcoma B. Adenocarcinoma 11. Is a rare malignancy of female genital tract A. Adenosarcoma B. Adenocarcinoma 12. Which is not malignant tumor? A. Seminoma B. Lymphoma C. Melanoma D. Dysgerminoma E. Glioma F. Hepatoma G. None 2/21/2023 225
  • 226.
    ③ Some malignanttumors, but called disease. e. g. leukemias, paget’s disease ④ Some malignant tumors nominated by scientists’ name e. g. Hodgkin’s disease, Ewing’s tumor ⑤ Mixed tumors: tumors which derived from one germ layer may undergo divergent differentiation creating mixed tumors e. g. mixed tumor of salivary gland 2/21/2023 226
  • 227.
    Question! 14. Is notamong the three types of bone cancer A. Chondrosarcoma B. Ewing’s sarcoma C. Osteosarcoma D. Hodgkin’s disease 2/21/2023 227
  • 228.
    Neoplasia  Characteristics ofbenign and malignant neoplasms Differentiation Anaplasia Rate of growth Local invasion Metastasis  Anaplasia-Lack of cellular differentiation, considered a hallmark of cancer 2/21/2023 228
  • 229.
    Neoplasia 1. Differentiation andanaplasia Differentiation means the extent to which the parenchymal cells of the tumor resemble their normal counterparts morphologically and functionally 2/21/2023 229
  • 230.
    Neoplasia • Well differentiated= closely resemble their normal counterparts • Moderately differentiated • Poorly differentiated • Undifferentiated ( Anaplasia ) 2/21/2023 230
  • 231.
    Neoplasia  Benign tumors= well differentiated, encapsulated  Malignant tumors = Poorly differentiated, no capsule  Anaplastic tumor = Undifferentiated 2/21/2023 231
  • 232.
  • 233.
  • 234.
  • 235.
    Neoplasia Characteristics of benignand malignant neoplasms • Differentiation and anaplasia • Rate of growth • Local invasion • metastasis 2/21/2023 235
  • 236.
    Neoplasia • Rate ofgrowth: – Benign tumors: • grows slowly • are affected by blood supply, hormonal effects , location – Malignant tumors : • grows faster • Correlate with the level of differentiation 2/21/2023 236
  • 237.
    Neoplasia Characteristics of benignand malignant neoplasms • Differentiation and anaplasia • Rate of growth • Local invasion • metastasis 2/21/2023 237
  • 238.
    Neoplasia  Local invasion oBenign tumors • Remain localized • Cannot invade • Usually capsulated o Malignant tumors • Progressive invasion • Destruction • Usually not capsulated 2/21/2023 238
  • 239.
  • 240.
  • 241.
  • 242.
  • 243.
    Neoplasia Characteristics of benignand malignant neoplasms • Differentiation and anaplasia • Rate of growth • Local invasion • metastasis 2/21/2023 243
  • 244.
    Neoplasia Metastasis Definition : thedevelopment of secondary implants discontinuous with the primary tumor, possibly in remote tissues. 2/21/2023 244
  • 245.
  • 246.
    Neoplasia Metastasis  Cancers havedifferent ability to metastasize  Approximately 30% patients present with clinically evident metastases.  Generally, the more anaplastic and the larger the primary tumor, the more likely is metastasis 2/21/2023 246
  • 247.
    Benign Malignant: • Slowgrowing, • capsulated, • Non-invasive • do not metastasize, • well differentiated, • suffix “oma” eg. Fibroma. • Fast growing, • non capsulated, • Invasive & Infiltrate • Metastasize. • poorly differentiated, • Suffix “Carcinoma” or “Sarcoma” 2/21/2023 247
  • 248.
    Modes of spread Metastasis Three pathways  Lymphatic spread  Hematogenous spread  Seeding of the body cavities o Pleural o Peritoneal o Cerebral ventricles 2/21/2023 248 Cavities &
  • 249.
    Neoplasia Lymphatic spread  Favoredby carcinomas  Breast carcinoma - axillary lymph nodes  Lung carcinomas - bronchial lymph nodes 2/21/2023 249
  • 250.
    … Hematogenous spread • Favoredby sarcomas • Also used by carcinomas • Veins are more commonly invaded • The liver and lungs are the most frequently involved secondary sites. 2/21/2023 250
  • 251.
    Dysplasia Definition  Dysplasia isdefined as a loss in the uniformity of the individual cells and a loss in their architectural orientation. • Occurs mainly in the epithelia • Dysplastic cells shows a degree of pleomorphism, hyperchromasia, increased mitosis and loss of polarity. 2/21/2023 251
  • 252.
    …  Dysplasia doesnot mean cancer  Dysplasia does not necessarily progress to cancer  Dysplasia may be reversible  If dysplastic changes involve the entire thickness of the epithelium it is called carcinoma in-situ 2/21/2023 252
  • 253.
  • 254.
    Carcinoma in-situ Definition  Anintraepithelial malignancy in which malignant cells involve the entire thickness of the epithelium without penetration of the basement membrane.  Applicable only to epithelial neoplasms. 2/21/2023 254
  • 255.
  • 256.
  • 257.
    Teratoma • Teratoma containsrecognizable mature or immature cells or tissues representative of more than one germ-cell layer and some times all three. • Teratomas originate from totipotential cells such as those normally present in the ovary and testis. 2/21/2023 257
  • 258.
    … • Such cellshave the capacity to differentiate into any of the cell types found in the adult body. • So they may give rise to neoplasms that mimic bone, epithelium, muscle, fat, nerve and other tissues. • Most common sites are: ovary & testis 2/21/2023 258
  • 259.
    Epidemiology – Will helpto discover aetiology – Planning of preventive measures – To know what is common and what is rare. – Development of screening methods for early diagnosis 2/21/2023 259
  • 260.
  • 261.
    Neoplasia • Factors affectingincidence of cancer – Geographic and Environmental – Age – Heredity – Acquired preneoplastic disorders 2/21/2023 261
  • 262.
    Neoplasia Geographic and Environmentalfactors  Asbestos-mesothelioma  Smoking - lung cancer  Multiple sexual partners-cervical cancer  Fatty diets-colonic cancer 2/21/2023 262
  • 263.
    Neoplasia Age • Generally, thefrequency of cancer increases with age. • Most cancer mortality occurs between 55 & 75. • Cancer mortality is also increased during childhood • Most common tumors of children: Leukemia, tumors of CNS, Lymphomas, soft tissue and bone sarcomas. 2/21/2023 263
  • 264.
    Neoplasia • Heredity---BRCA 1&2 mutation – Inherited Cancer Syndromes – Familial Cancers – Autosomal Recessive Syndromes of Defective DNA repair 2/21/2023 264
  • 265.
    Heredity Inherited Cancer Syndromes Inheritance of a single mutant gene greatly increases the risk of developing neoplasm o E.g. Retinoblastoma in children o 40% of Retinoblastomas are familial o Carriers of the gene have 10000 fold increase in the risk of developing Retinoblastoma o E.g. multiple endocrine neoplasia 2/21/2023 265
  • 266.
    Heredity Familial Cancers • Allcommon types of cancers occur in familial form • E.g. breast, colon, ovary, brain • Familial cancers usually have unique features – Start at early age – Multiple or bilateral – Two or more relatives 2/21/2023 266
  • 267.
    Heredity  Autosomal RecessiveSyndromes of Defective DNA repair o Small group of autosomal recessive disorders o Characterized by DNA instability 2/21/2023 267
  • 268.
    Neoplasia Acquired preneoplastic disorders SomeClinical conditions that predispose to cancer • Dysplastic bronchial mucosa in smokers lung carcinoma • Atypical endometrial hyperplasia endometrial carcinoma • Liver cirrhosis  liver cell carcinoma • Margins of chronic skin fistula  squamous cell carcinoma 2/21/2023 268
  • 269.
    • Molecular basisof cancer(carcinogenesis) • Clinical manifestation of neoplasms • Laboratory diagnosis of tumors 2/21/2023 269
  • 270.
  • 271.
    Female Reproductive System Lowergenital tract & cervix Uterus Tubes and ovaries Disorders of pregnancy infertility 2/21/2023 271
  • 272.
    Clinical Presentations • Lowerabdominal and pelvic pain. • Vaginal bleeding. • Vaginal discharge • Abdominal mass • Complications of pregnancy • Infertility. 2/21/2023 272
  • 273.
    Infections Clinical importance Anatomical classification Lower Upperand lower (PID). Causative classification Viral Bacterial Parasitic  .... 2/21/2023 273
  • 274.
    Diseases of Endometrium Infections Endometriosis Endometrialhyperplasia / polyps Endometrial carcinoma 2/21/2023 274
  • 275.
    Endometriosis Endometrial tissue outsidethe uterine cavity Sites: myometrium, tubes , ovary, bowel . Pathology : Glands + stroma ( hormone responding ) Clinically : bleeding, pain, adhesion Pathogenesis menstrual blood flows back through the fallopian tubes and into the pelvic cavity Metaplasia  Hormonal imbalance In the body • Surgical scars: from surgeries such as a Cesarean (C-section) or hysterectomy • Immune system problems 2/21/2023 275
  • 276.
    Endometrial hyperplasia ↑↑ ofendometrial glands and stroma Due to ↑↑ ostrogen as in : ..... (no balance between the female hormones, estrogen and progesterone) Clinical effect : postmenopausal bleeding Pathology : 3 types 1- simple : dilated glands 2- complex: irregular glands 2- atypical : cellular atypia 2/21/2023 276
  • 277.
    Endometrial polyps • Localizedprojections • Pathology : hyperplasia • Bleeding , pain , infertility 2/21/2023 277
  • 278.
    Endometrial carcinoma Common Age 55– 65 years Risk factors Any cause of ↑estrogen Clinically : general, local 2/21/2023 278
  • 279.
  • 280.
  • 281.
    Leiomyoma ( fibroid) Benigntumors of smooth muscles Very common 20 – 40 yrs Clinically : pain , bleeding , asymptomatic Complications: 1- infertility 2- Torsion 3- necrosis , degeneration & infection 4- malignancy ( 1%) 2/21/2023 281
  • 282.
  • 283.
    Disorders of uterinecervix Cervicitis Cervical intraepithelial neoplasia (CIN) Ca Cx 2/21/2023 283
  • 284.
    Cervicitis Acute  Viral  bacterial Chronic columnar metaplasia???  of the extocervic, cervical erosion 2/21/2023 284
  • 285.
    Cervical intraepithelial neoplasia(C I N )  Non invasive carcinoma  Caused by HPV (16, 18, 45, 31)  Clinically : silent or mild bleeding Screening o Pap smear ( Papanecoulao) o Biopsy 2/21/2023 285
  • 286.
  • 287.
  • 288.
    Invasive Ca Cx Verycommon , NO 2 in females Mortality : No 8 Risk factors 1- HPV (16, 18, 4) 2- CIN 3- sexual activity , parity , smoking 2/21/2023 288
  • 289.
  • 290.
  • 291.
    Entopic pregnancy • Definition •Causes • Sites • Clinical effects • Diagnosis 2/21/2023 291
  • 292.
    2/21/2023 292 Causes  Exactcause is not known  But, the following conditions can cause ectopic Px.  Hormonal factors  Damaged fallopian tubes  Genetic abnormalities  Abnormal development of fallopian tubes Risk factors  Previous ectopic pregnancy  Sexually transmitted infections such as gonorrhea or chlamydia  Undergone fertility treatment  In rare cases, when IUDs are used for birth control  Smoking
  • 293.
  • 294.
    Trophoblastic Diseases Placenta parts Chorionicvilli Decidua space Disorder Hydatidiform mole Invasive mole Choriocarcinoma 2/21/2023 294
  • 295.
    Hydatidiform Mole  Chorionicvilli edema with trophoblastic proliferation Three forms A. Complete : fertilization by two sperms with ova death ( 46 XX or 46 XY from father), no fetal parts. B. Partial: two sperms+ ova (triple), some fetal parts C. Invasive : local invasion with no metastasis 2/21/2023 295
  • 296.
    2/21/2023 296 vaginal bleeding andabsence of fetal heart tones. Laboratory studies; beta-HCG levels – extreme elevations of this pregnancy hormone may suggest molar pregnancy (greater than 100,000 mIU/ml)
  • 297.
    Choriocarcinoma • Malignant trophoblastictumor arising from normal or abnormal pregnancy. Pathology: • large fleshy mass, with cyto and cyncytiotrophoblastic cells, • High metastasis potential 2/21/2023 297
  • 298.
    Ch Ca. • Clinically: –V.bleeding and discharge –Very high HCG –..of malignancy &metastasis 2/21/2023 298
  • 299.
    Disorders of theOvary Oophoritis  Is inflammation of the content of one or both ovaries which leads to enlargement of the ovaries  Often, oophoritis is seen as the manifestation of pelvic inflammatory disease (PID) Causes  Typically caused by bacterial infection  May result from chronic pelvic inflammatory disease (PID)  Ovarian cysts o Non neoplastic( functional) o Neoplastic 2/21/2023 299
  • 300.
    Ovarian Cysts • Cysticstructures lined by epithelium, • Unilocular or multilocular • Types Ovarian Cysts Functional Neoplastic 2/21/2023 300
  • 301.
    Functional cysts • Representsstages of follicle development but ↑size. 2/21/2023 301 1)Follicular cyst 2)Corpus luteaum cyst 3)Theca- leuteal cyst
  • 302.
    A- follicular Cyst Small, unilocular ↑Granulosa cells→ ↑ estrogen In un ovulatory cycles (↓LH,FSH) Endometrial ↑ plasia and carcinoma. If multiple → polycystic ovary ( Stein- leventhal syndrome) 2/21/2023 302
  • 303.
    B-Corpus luteal cyst 3- 8 cm  Filled with brown fluid  Both theca & granulosa cells C- theca- luteal cyst  ↑↑Thecal cells  Associated with ↑HCG 2/21/2023 303
  • 304.
    Ovarian Tumors  3rdfemale genital tumors  No one (1 ) killer Risk factors  Family history  Nulliparty  Genetic mutations (BRCA-1,HER) o Breast cancer -1 o Human epidermal growth factor receptor-2 2/21/2023 304
  • 305.
    WHO Classification 1) Surfaceepithelial tumors 2) Germ cell tumors 3) Sex cord-Stromal tumors 4) Secondary tumors 2/21/2023 305
  • 306.
    1- Surface Epithelialtumors The commonest ( 60%) Age (20-50) and older for malignant According to Embryonic origin Fallopian → Serous cyst adenoma/carcinoma Cervical → Mucinous cystadenoma/ carcinoma Endometrium → Endometriod Urothelium → Brenner tumor 2/21/2023 306
  • 307.
    A- Serous tumors Verycommon ( 35%) 75% benign  Cystadenoma, cystadenocarcinoma, borderline  Uni or multi locular cyst , clear fluid  Signs of malignancy :nodularity, papillary projections, solidity  Mic: like tube 2/21/2023 307
  • 308.
  • 309.
  • 310.
    B- Mucinous tumors Largersize 25% Micro: endocervical cell type Complications 1- Rupture : pseudomyxoma overii 2- Torsion: pain 3- Malignancy 2/21/2023 310
  • 311.
  • 312.
    Other surface epithelialtumors • Endomeriod : usually malignant • Brenner tumors : usually benign 2/21/2023 312
  • 313.
    2- Germ CellTumors 2/21/2023 313 Mature Immature Cystic Teratoma Embryonic Extraembryonic Somatic Trophoblastic Dysgerminoma No Differentiation With Differentiation
  • 314.
    Mature Cystic Teratoma Mature cystic teratoma is Called dermoid cyst  Very common ( 30%)  Large cyst with sebum, hair, teeth  MIC: any mature tissue  May ↑thyroid →stroma ovarii Complications o Rupture o Torsion o malignancy (1%) 2/21/2023 314
  • 315.
  • 316.
    3- Sex cord-Stromal tumors Sex cord cells Granulosa cell tumors ( ↑Estrogen) Theca cells →thecoma Sertoli- leidge cell→ androblastoma Stromal cells fibroma 2/21/2023 316
  • 317.
    4. Secondary Tumors •From any where • Eg . Krukenburge tumors from the stomach 2/21/2023 317
  • 318.
  • 319.
    Penile Diseases 1. Congenitalmalformations  Hypospadias is Ventral orifice  Epispadias is dorsal orifice  Phymosis is small prepuce orifice
  • 320.
  • 321.
    Penile Diseases 2. Inflammations STDs Balanitis- Inflammation of the glans penis  Orchitis- Is inflammation of one or both testicles 3. Tumors  Benign : Condyloma accuminatum (HPV)  Malignant o Ca insitu ( bowen disease) o Squamous cell Ca (HPV 16, 18)
  • 322.
    Question! 13. Which isbenign? A. Condyloma accuminatum B. Ca insitu C. Squamous cell Ca D. None
  • 323.
  • 324.
    Testes and Epididymis •Congenital : Cryptorchidism (clinical importance??) • Atrophy : causes and effects • Inflammation : Epydidymo-orchitis • Causes: • Clinical features • Testicular Torsion: • Testicular Tumors
  • 325.
    Causes of ScrotalSwelling  Testicular tumors  Testicular infections( mumps, TB)  Testicular torsion  Hernia  Varicocele  Hydrocele
  • 326.
    Varicocele  Is anenlargement of the veins in the testicles due to an abnormal blood flow. Hydrocele  Is the presence of fluid in the scrotum, which function is to allow testicular mobility and to absorb the shocks.  A hydrocele is commonly caused by inflammation of the testes.
  • 327.
    Testicular Tumors WHO Classification SingleHistogenic Tumors(40%) Seminomas (30%) Teratoma Embryonal Carcinoma Yolk Sac Tumor Choriocarcinoma Sex cord Tumors Combined Tumors(60%) MIXED
  • 328.
    Seminoma  Is themost common (30%)  Age 20 – 30 years  Clinically : painless lobulated swelling  Histologically : o Large clear cells with central Nuclei o Fibrous stroma o lymphocytic infiltrate  Diagnosis
  • 329.
  • 330.
    Disorders of Prostate Prostatitis oAcute bacterial o Chronic bacterial o Chronic abacterial Benign Nodular Hyperplasia Ca Prostate
  • 331.
    BPH  Very commonin old males Pathogenesis  Increased DHT and estrogen Clinically  Urine retention  Frequency, nocturia, UTI  Bladder hypertrophy Pathology  Middle lobe nodularity,↑↑ glands + fibromuscular stroma
  • 332.
  • 333.
    Prostate Ca  Mostcommon male cancer  2nd causes of male cancer death  65- 75 years Pathogenesis  Hormonal  Environmental  Genetic bases
  • 334.
    Question! 14. Is themost common & 2nd causes of cancer death in female A. Breast cancer B. Lung cancer C. Colorectal cancer D. Prostate cancer 15. Is 1st causes of cancer death in female A. Lung cancer A. Colorectal cancer B. Breast cancer C. Cervical cancer D. Skin cancer
  • 335.
    Question! 16. Is the1st causes of cancer death in male A. Lung cancer B. Prostate cancer C. Colorectal cancer D. Skin cancer 17. Is the most common & the 2nd causes of male cancer death A. Prostate cancer B. Lung cancer C. Colorectal cancer D. Gastric cancer
  • 336.
    Question! 18. Is the4th most common cancer among women globally A. Breast cancer B. Cervical cancer C. Colorectal cancer D. Lung cancer
  • 337.
    Clinical /f • local •General Pathology Macro: ... Site . Shape , color ,.. Micro: Adenocarcinoma
  • 338.
  • 340.
    Diagnosis • Clinical • Radioolgical •Lab - routine - FNA , true-cut, biopsy - tumor markers
  • 341.