OSTEOARTHRITIS AND TOTAL
JOINT REPLACEMENT
R. Scott Meyer, M.D.
Section Chief, Orthopaedic Surgery
VA San Diego Healthcare System
Clinical Professor
Department of Orthopaedic Surgery
UC San Diego Health System
Disclosures
• None
Overview of Osteoarthritis
• 27 million Americans with osteoarthritis
• 1/3 adults >age 60 have knee OA
• #1/#2 cause of disability
• Limits activities of daily living (ADL’s)
• $128 billion to US economy
–Medical care
–Lost wages/productivity
Overview of Osteoarthritis
• OA is a disease with NO cure
• No disease modifying drugs
• Treatment for early OA
–Prevent disease progression
• Late disease is NOT just a cartilage problem
–Deformity
–Ligaments
–Bone loss
–Stiffness
Overview of Osteoarthritis
• Causes
–Hereditary (genetic predisposition)
–OBESITY
–Post-traumatic
–Aging
Workup
• Plain xrays
– Knee
»STANDING AP!!!!!
»Lateral
»Merchant/Sunrise
»Consider Rosenberg view
Workup
• Plain xrays
– Hip
»AP pelvis
»AP/Lateral hip
»Not typically weight bearing
AP Pelvis
AP Pelvis
AP Pelvis
Weight-Bearing Xrays
Weight-Bearing Xrays
Merchant View
Rosenberg View
30 deg
Rosenberg View
Workup
• MRI is NOT indicated in moderate/severe OA
• MRI is RARELY indicated in mild OA
– Symptomatic meniscus tear
»Difficult to distinguish clinically
»Common, incidental finding
»Even if meniscal tear is diagnosis still
require standing plain xrays of knee
• MRI report
– ACL tear
– Macerated, complex tear of the medial meniscus
– Complex tear of the lateral meniscus
– Signal change in the MCL consistent with partial tear
– Subchondral bone edema and cysts
– Ganglion cyst adjacent to the PCL
– Large popliteal cyst
– Multiple intra-articular bodies
– Large joint effusion
– Diffuse synovial hypertrophy
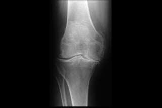
SEVERE OSTEOARTHRITIS
OF THE KNEE
Management of OA
Management of OA
Management of OA
• OARSI
– Non-pharmacologic
» Patient education – self help, patient driven
» P.T. – HEP, strength training
» Aerobic exercise – JUST LIKE LBP!!
» Aqua exercise
» Weight loss
» Bracing/Sleeves/Shoe inserts
» Cane
» Tens
» Acupuncture
Appropriate
Appropriate
Appropriate
Appropriate
Appropriate
Appropriate
Appropriate
Uncertain
Uncertain
Management of OA
• OARSI
– Pharmacologic
» Acetaminophen
» NSAIDS
» Topical NSAIDS
» IA steroid injections
» IA hyaluronate injections
» Glucosamine/CS
» Weak opioids
• Only if non-opioids failed
• Stronger opioids only in exceptional
circumstances
Appropriate
Appropriate
Appropriate
Appropriate
Uncertain
Uncertain
Uncertain
Management of OA
Management of OA
• AAOS Guidelines SOR
1. Self-management educational program Strong
2. Weight loss Moderate
3. Against use of acupuncture/tens/manual Strong
4. Bracing Inconcl.
5. NO lateral heel wedge Moderate
6. No glucosamine/CS Strong
7a. NSAIDS or Tramadol Strong
7b. Tylenol, opioids, pain patches Inconcl.
8. Intra-articular steroids Inconcl.
Management of OA
• AAOS Guidelines SOR
9. No HA injections Strong
10. PRP or growth factor injections Inconcl.
11. No needle lavage Moderate
12. No arthroscopy for debridement Strong
13. Arthroscopic meniscectomy Inconcl.
14. Osteotomy Limited
15. No uni-spacer Consensus
Management of OA
• HA injections
– AAOS recommends against
» Older supportive studies flawed – publication bias
» MCII (minimum clinically important improvement)
» Recommendation controversial, criticized
• Works for my patients!
• Many studies show efficacy
– 10 CPG: 30% yes, 30% no, 40% inconcl.
– Better studies needed
– Still used widely by surgeons and others
Management of OA
• Obesity and OA
–Direct link, particularly with knee OA
–Forces across knee 3X BW with
walking, 6X BW with stairs
–Mal-alignment magnifies the problem
–NOT JUST MECHANICAL
Management of OA
• Obesity and OA
–Systemic component
–Fat is an endocrine organ
»Pro-inflammatory cytokines (adipokines)
»Elevated crp, IL-6, etc..
»MES (obesity, HTN, IR, dyslipidemia – now
add OA)
–Obesity linked with PAIN
»Tendons, fascia, FM
Management of OA
• Weight loss
–For 1 lb weight loss, 4 lb reduction knee load
»Messier et al. Arth & Rheum 2005
–Losing 11 lbs can reduce your risk of OA by 50%
»Felson et al. Ann Int Med 1992
–Losing 15 lbs can reduce pain by 50%
»Bartlett et al. Arth & Rheum 2004
Management of OA
• Weight loss
–Obesity is associated with other co-morbidities
which increase surgical risk
»DM, CAD, etc..
–Obesity increases perioperative risk of
»Infection
»Wound healing
»DVT/PE
Management of OA
• Opioid therapy
–OARSI - uncertain
–AAOS - Inconclusive
–Cochrane Review – da Costa et. al. 2009
»“The small mean benefit of non-tramadol
opioids are contrasted by significant
increases in the risk of adverse events.”
»“For the pain outcome in particular,
observed effects were of questionable
clinical relevance…” No MCID.
Management of OA
• Opioid therapy
–Surgery recommended in most cases of
severe OA
–VERY difficult postoperative care
–Many significant side effects
–Negative prognostic indicator for outcome
–Detox prior to surgery recommended
Management of OA
• Role for arthroscopy of the knee?
–Loose body
–“Intra-articular” bodies are incidental
–NOT for meniscus tears
if significant OA
Management of OA
• No benefit to arthroscopy compared to P.T.
and medical therapy
Management of OA
• Mensicus tears COMMON in OA of the knee
–81% of surgical patients had debridement of
meniscus
Management of OA
• Attributing pain to meniscus tear is difficult
–52% had catching/locking
–88% joint line pain
Management of OA
• No difference at 6 months
• 30% cross-over
• Bottom line – try physical therapy first
Management of OA
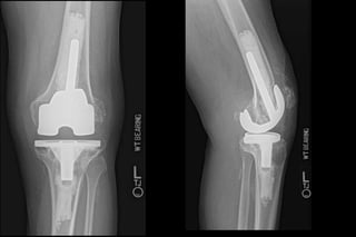
• Total Joint Arthroplasty
Overview of Total Joint Replacement
• 650,000 TKA per year (2010)
• 290,000 THA per year (2010)
–Kurtz et. al. JBJS AM 2014;96:624-630.
• Very high success rate (>90%)
• Significant positive impact on quality of life
Overview of Total Joint Replacement
• Low major complication rate (1%)
• Only 10% of patients will require revision
surgery
–10% of 1 million is 100,000 revisions
–Revisions are expensive and less
predictable outcome
Overview of Total Joint Replacement
• Future demand?
–By 2020:
»1.4 million TKA
»500,000 THA
»200,000 revisions
–By 2030:
»4.5 million total joints!
Total Joint Arthroplasty
• Widely successful
• Rapid improvement in pain/function (90%)
• Durable
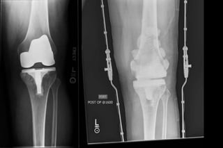
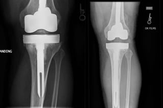
68 yo male
6 weeks postop
Overview of Total Joint
Replacement
The Perfect Operation?
How long do they last?
How long do they last?
How long do they last?
How long do they last?
• In general total hips and knees fail
about 0.5% to 1% per year (durable!)
Why do they fail?
• Knee
–Infection 25%
–Implant loosening/breakage 20%
• Hip
–Dislocation 22%
–Implant loosening 20%
–Infection 15%
Are patients happy?
• Outcomes THA
–90% patient satisfaction
–95% would undergo same operation again
• Outcomes TKA
–80% patient satisfaction
–90% would undergo same operation again
TKA Outcomes
• Patient satisfaction – why not everyone?
–Expectations
–Persistent pain
From: Scott et al. JBJS(B) 2010;92(9):1253-58
Bourne et al. CORR 2010;468:57-63
Overview of Total Joint
Replacement
• Patients must be properly indicated
• Not for everyone
• Still have not solved long term failures and need
for revisions
–Prosthetic joint infection
–Revisions are complicated
–Revisions have poorer outcomes
• Risks uncommon but can be devastating
Referral Criteria
• Osteoarthritis Hip and Knee
–Total Joint Arthroplasty (TKA, THA)
»Significant OA (complete JS loss)
»BMI <35 – 40 (depends)
»Failed reasonable non-operative treatments
»Non smoker
»Active and conditioned
Referral Criteria
• Osteoarthritis Hip and Knee
–Total Joint Arthroplasty (TKA, THA)
»Minimal opioid use - detox
»Stable medical conditions
»Stable psychiatric conditions – motivated
»Patient desire!
»Age NOT contraindication
•Younger – more strict criteria
Referral Criteria
It is apparent that the risk of infection, morbidity
and mortality is markedly increased by co-morbid
conditions. Any of the following conditions will
typically render a patient not eligible for an elective
total joint replacement due to the high risk of
complications.
Referral Criteria
1. Morbid obesity – BMI over 40 (although most
patients will be counseled to have BMI <35)
2. Uncontrolled diabetes mellitus: Hgb A1c > 8
3. Active smoking – patients should be willing to quit
at least 4-6 weeks prior to surgery (in most cases)
and must be tobacco free for 6 weeks postop
4. Drug/Alcohol abuse – must clean/sober for 6
months
5. Homelessness – must have a clean and safe
environment in which to recover
Referral Criteria
6. Patients on large doses of opioids for arthritis (must
be willing to taper off). Patients on chronic opioid
therapy for other chronic pain syndromes are
typically not included in this group
7. Active infection elsewhere – dental (broken, loose,
infected teeth or periodontal disease), skin, urinary
tract, etc
8. Malnutrition and/or significant de-conditioned state
9. Active malignancy undergoing chemotherapy
10. HIV with CD-4 count < 200 and/or high viral load
Referral Criteria
11. Severe COPD
12. Skin lesions at or near the operative site
13. Venous stasis with recurrent ulcerations or cellulitis
14. Alzheimer’s disease (most cases)
Summary
• OA is chronic disease with no cure or modifying
treatments
• Need good plain xrays to determine disease
severity
• MRI not warranted in workup of OA
• Arthroscopic treatment for knee OA is rare
• Use published CPG for non-operative treatments
Summary
• Total joint arthroplasty is a “powerful” operation
with predictable results in most patients
• Exhaust all reasonable non-operative treatments
• Patients should be “in shape” for surgery
– No smoking
– Weight loss
– Drug and alcohol free
– Medical co-morbidities stable – able to participate in rehab
– Stable psychiatric and social situation
– Motivated
• Complications/poor outcomes can be disastrous
Thank You!
Questions?

2015: Osteoarthritis and Total Joint Replacement-Meyer

  • 1.
    OSTEOARTHRITIS AND TOTAL JOINTREPLACEMENT R. Scott Meyer, M.D. Section Chief, Orthopaedic Surgery VA San Diego Healthcare System Clinical Professor Department of Orthopaedic Surgery UC San Diego Health System
  • 2.
  • 3.
    Overview of Osteoarthritis •27 million Americans with osteoarthritis • 1/3 adults >age 60 have knee OA • #1/#2 cause of disability • Limits activities of daily living (ADL’s) • $128 billion to US economy –Medical care –Lost wages/productivity
  • 4.
    Overview of Osteoarthritis •OA is a disease with NO cure • No disease modifying drugs • Treatment for early OA –Prevent disease progression • Late disease is NOT just a cartilage problem –Deformity –Ligaments –Bone loss –Stiffness
  • 5.
    Overview of Osteoarthritis •Causes –Hereditary (genetic predisposition) –OBESITY –Post-traumatic –Aging
  • 6.
    Workup • Plain xrays –Knee »STANDING AP!!!!! »Lateral »Merchant/Sunrise »Consider Rosenberg view
  • 7.
    Workup • Plain xrays –Hip »AP pelvis »AP/Lateral hip »Not typically weight bearing
  • 8.
  • 9.
  • 10.
  • 11.
  • 12.
  • 13.
  • 14.
  • 15.
  • 16.
    Workup • MRI isNOT indicated in moderate/severe OA • MRI is RARELY indicated in mild OA – Symptomatic meniscus tear »Difficult to distinguish clinically »Common, incidental finding »Even if meniscal tear is diagnosis still require standing plain xrays of knee
  • 18.
    • MRI report –ACL tear – Macerated, complex tear of the medial meniscus – Complex tear of the lateral meniscus – Signal change in the MCL consistent with partial tear – Subchondral bone edema and cysts – Ganglion cyst adjacent to the PCL – Large popliteal cyst – Multiple intra-articular bodies – Large joint effusion – Diffuse synovial hypertrophy SEVERE OSTEOARTHRITIS OF THE KNEE
  • 19.
  • 20.
  • 21.
    Management of OA •OARSI – Non-pharmacologic » Patient education – self help, patient driven » P.T. – HEP, strength training » Aerobic exercise – JUST LIKE LBP!! » Aqua exercise » Weight loss » Bracing/Sleeves/Shoe inserts » Cane » Tens » Acupuncture Appropriate Appropriate Appropriate Appropriate Appropriate Appropriate Appropriate Uncertain Uncertain
  • 22.
    Management of OA •OARSI – Pharmacologic » Acetaminophen » NSAIDS » Topical NSAIDS » IA steroid injections » IA hyaluronate injections » Glucosamine/CS » Weak opioids • Only if non-opioids failed • Stronger opioids only in exceptional circumstances Appropriate Appropriate Appropriate Appropriate Uncertain Uncertain Uncertain
  • 23.
  • 24.
    Management of OA •AAOS Guidelines SOR 1. Self-management educational program Strong 2. Weight loss Moderate 3. Against use of acupuncture/tens/manual Strong 4. Bracing Inconcl. 5. NO lateral heel wedge Moderate 6. No glucosamine/CS Strong 7a. NSAIDS or Tramadol Strong 7b. Tylenol, opioids, pain patches Inconcl. 8. Intra-articular steroids Inconcl.
  • 25.
    Management of OA •AAOS Guidelines SOR 9. No HA injections Strong 10. PRP or growth factor injections Inconcl. 11. No needle lavage Moderate 12. No arthroscopy for debridement Strong 13. Arthroscopic meniscectomy Inconcl. 14. Osteotomy Limited 15. No uni-spacer Consensus
  • 26.
    Management of OA •HA injections – AAOS recommends against » Older supportive studies flawed – publication bias » MCII (minimum clinically important improvement) » Recommendation controversial, criticized • Works for my patients! • Many studies show efficacy – 10 CPG: 30% yes, 30% no, 40% inconcl. – Better studies needed – Still used widely by surgeons and others
  • 27.
    Management of OA •Obesity and OA –Direct link, particularly with knee OA –Forces across knee 3X BW with walking, 6X BW with stairs –Mal-alignment magnifies the problem –NOT JUST MECHANICAL
  • 28.
    Management of OA •Obesity and OA –Systemic component –Fat is an endocrine organ »Pro-inflammatory cytokines (adipokines) »Elevated crp, IL-6, etc.. »MES (obesity, HTN, IR, dyslipidemia – now add OA) –Obesity linked with PAIN »Tendons, fascia, FM
  • 29.
    Management of OA •Weight loss –For 1 lb weight loss, 4 lb reduction knee load »Messier et al. Arth & Rheum 2005 –Losing 11 lbs can reduce your risk of OA by 50% »Felson et al. Ann Int Med 1992 –Losing 15 lbs can reduce pain by 50% »Bartlett et al. Arth & Rheum 2004
  • 30.
    Management of OA •Weight loss –Obesity is associated with other co-morbidities which increase surgical risk »DM, CAD, etc.. –Obesity increases perioperative risk of »Infection »Wound healing »DVT/PE
  • 31.
    Management of OA •Opioid therapy –OARSI - uncertain –AAOS - Inconclusive –Cochrane Review – da Costa et. al. 2009 »“The small mean benefit of non-tramadol opioids are contrasted by significant increases in the risk of adverse events.” »“For the pain outcome in particular, observed effects were of questionable clinical relevance…” No MCID.
  • 32.
    Management of OA •Opioid therapy –Surgery recommended in most cases of severe OA –VERY difficult postoperative care –Many significant side effects –Negative prognostic indicator for outcome –Detox prior to surgery recommended
  • 33.
    Management of OA •Role for arthroscopy of the knee? –Loose body –“Intra-articular” bodies are incidental –NOT for meniscus tears if significant OA
  • 34.
    Management of OA •No benefit to arthroscopy compared to P.T. and medical therapy
  • 35.
    Management of OA •Mensicus tears COMMON in OA of the knee –81% of surgical patients had debridement of meniscus
  • 36.
    Management of OA •Attributing pain to meniscus tear is difficult –52% had catching/locking –88% joint line pain
  • 37.
    Management of OA •No difference at 6 months • 30% cross-over • Bottom line – try physical therapy first
  • 38.
    Management of OA •Total Joint Arthroplasty
  • 39.
    Overview of TotalJoint Replacement • 650,000 TKA per year (2010) • 290,000 THA per year (2010) –Kurtz et. al. JBJS AM 2014;96:624-630. • Very high success rate (>90%) • Significant positive impact on quality of life
  • 40.
    Overview of TotalJoint Replacement • Low major complication rate (1%) • Only 10% of patients will require revision surgery –10% of 1 million is 100,000 revisions –Revisions are expensive and less predictable outcome
  • 41.
    Overview of TotalJoint Replacement • Future demand? –By 2020: »1.4 million TKA »500,000 THA »200,000 revisions –By 2030: »4.5 million total joints!
  • 42.
    Total Joint Arthroplasty •Widely successful • Rapid improvement in pain/function (90%) • Durable
  • 45.
  • 46.
  • 47.
    Overview of TotalJoint Replacement The Perfect Operation?
  • 48.
    How long dothey last?
  • 49.
    How long dothey last?
  • 50.
    How long dothey last?
  • 51.
    How long dothey last? • In general total hips and knees fail about 0.5% to 1% per year (durable!)
  • 52.
    Why do theyfail? • Knee –Infection 25% –Implant loosening/breakage 20% • Hip –Dislocation 22% –Implant loosening 20% –Infection 15%
  • 53.
    Are patients happy? •Outcomes THA –90% patient satisfaction –95% would undergo same operation again • Outcomes TKA –80% patient satisfaction –90% would undergo same operation again
  • 54.
    TKA Outcomes • Patientsatisfaction – why not everyone? –Expectations –Persistent pain From: Scott et al. JBJS(B) 2010;92(9):1253-58 Bourne et al. CORR 2010;468:57-63
  • 55.
    Overview of TotalJoint Replacement • Patients must be properly indicated • Not for everyone • Still have not solved long term failures and need for revisions –Prosthetic joint infection –Revisions are complicated –Revisions have poorer outcomes • Risks uncommon but can be devastating
  • 56.
    Referral Criteria • OsteoarthritisHip and Knee –Total Joint Arthroplasty (TKA, THA) »Significant OA (complete JS loss) »BMI <35 – 40 (depends) »Failed reasonable non-operative treatments »Non smoker »Active and conditioned
  • 57.
    Referral Criteria • OsteoarthritisHip and Knee –Total Joint Arthroplasty (TKA, THA) »Minimal opioid use - detox »Stable medical conditions »Stable psychiatric conditions – motivated »Patient desire! »Age NOT contraindication •Younger – more strict criteria
  • 58.
    Referral Criteria It isapparent that the risk of infection, morbidity and mortality is markedly increased by co-morbid conditions. Any of the following conditions will typically render a patient not eligible for an elective total joint replacement due to the high risk of complications.
  • 59.
    Referral Criteria 1. Morbidobesity – BMI over 40 (although most patients will be counseled to have BMI <35) 2. Uncontrolled diabetes mellitus: Hgb A1c > 8 3. Active smoking – patients should be willing to quit at least 4-6 weeks prior to surgery (in most cases) and must be tobacco free for 6 weeks postop 4. Drug/Alcohol abuse – must clean/sober for 6 months 5. Homelessness – must have a clean and safe environment in which to recover
  • 60.
    Referral Criteria 6. Patientson large doses of opioids for arthritis (must be willing to taper off). Patients on chronic opioid therapy for other chronic pain syndromes are typically not included in this group 7. Active infection elsewhere – dental (broken, loose, infected teeth or periodontal disease), skin, urinary tract, etc 8. Malnutrition and/or significant de-conditioned state 9. Active malignancy undergoing chemotherapy 10. HIV with CD-4 count < 200 and/or high viral load
  • 61.
    Referral Criteria 11. SevereCOPD 12. Skin lesions at or near the operative site 13. Venous stasis with recurrent ulcerations or cellulitis 14. Alzheimer’s disease (most cases)
  • 81.
    Summary • OA ischronic disease with no cure or modifying treatments • Need good plain xrays to determine disease severity • MRI not warranted in workup of OA • Arthroscopic treatment for knee OA is rare • Use published CPG for non-operative treatments
  • 82.
    Summary • Total jointarthroplasty is a “powerful” operation with predictable results in most patients • Exhaust all reasonable non-operative treatments • Patients should be “in shape” for surgery – No smoking – Weight loss – Drug and alcohol free – Medical co-morbidities stable – able to participate in rehab – Stable psychiatric and social situation – Motivated • Complications/poor outcomes can be disastrous
  • 83.