Disorders of Neurological
function
Mr. AMJAD ALI.
BSN from KHYBER MEDICAL UNIVERSITY
Peshawar
MSN (SiP) from UNIVERSITY OF LAHORE ,Lahore
Unit No : 03.B
Pathophysiology II
BSN
• Stroke (CVA)
• Transient Ischemic Attacks
(TIAS).
Objectives
At the completion of this unit learners will be
able to:
1. Review the major vessels in the cerebral circulation.
2. Review the, blood brain, & brain cerebrospinal fluid
barrier.
3. Explain the degeneration of the nervous tissue that
cause alteration in cerebral blood flow (stroke).
• Risk factors and types of stroke
• Transient Ischemic Attacks (TIAS).
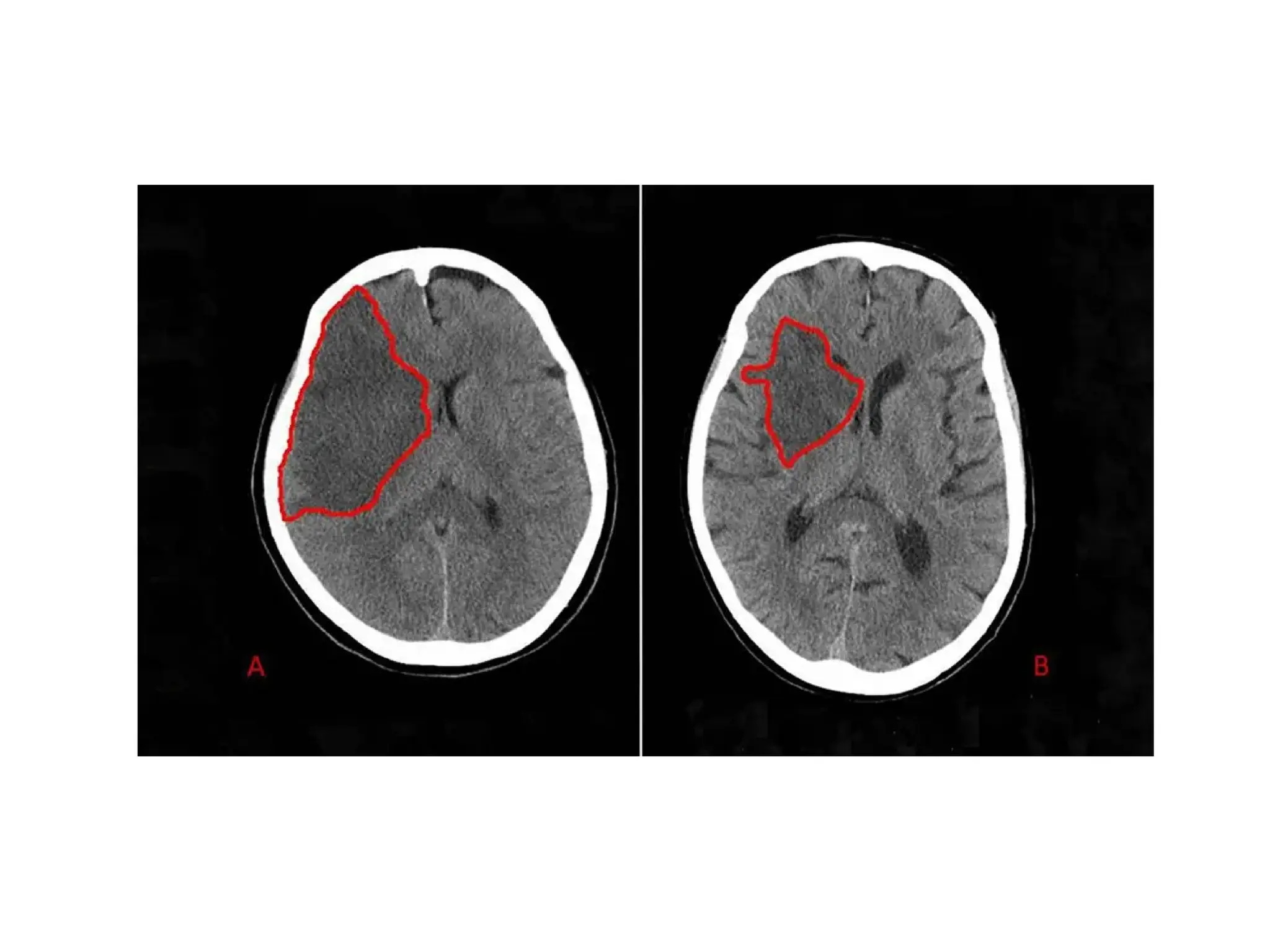
Stroke
Occurs when a blood vessel that carries oxygen and
nutrients to the brain is either blocked by a clot or
ruptures.
Physical, cognitive, emotional, & financial impact
Stroke– Risk Factors
MENINGES OF THE BRAIN
Anatomy of Cerebral Circulation
The blood-brain barrier is the barrier between the cerebral
capillary blood and the interstitial fluid of the brain. It is made
up of capillary endothelial cells and basement membrane,
neuroglial membrane, and glial podocytes,
Cerebrovascular Accident
Anatomy of Cerebral Circulation
Blood Supply
Anterior: Carotid Arteries – middle & anterior cerebral
arteries
frontal, parietal, temporal lobes; basal ganglion; part of the
diencephalon (thalamus & hypothalamus)
Posterior: Vertebral Arteries – basilar artery
Mid and lower temporary & occipital lobes, cerebellum,
brainstem, & part of the diencephalon
Circle of Willis – connects the anterior & posterior cerebral
circulation
Cerebrovascular Accident
Anatomy of Cerebral Circulation
Blood Supply
20% of cardiac output—750-1000ml/min
>30 second interruption– neurologic
metabolism is altered; metabolism stops in 2
minutes; brain cell death < 5 mins.
Type of stroke
Based on underlying pathophysiologic findings
Stroke Type
Ischemic Stroke
Thrombotic
Embolic
Hemorrhagic Stroke
Intracerebral Hemorrhage
Subarachnoid Hemorrhage
Aneurysm
Berry or Saccular
Cerebrovascular Accident
Classifications
 Ischemic Stroke—inadequate blood flow to the brain from partial or
complete occlusions of an artery--85% of all strokes
– Extent of a stroke depends on:
• Rapidity of onset
• Size of the lesion
• Presence of collateral circulation
– Symptoms may progress in the first 72 hours as infarction &
cerebral edema increase
Types of Ischemic Stroke:
Thrombotic Stroke Embolic Stroke
Cerebrovascular Accident
Ischemic – Thrombotic Stroke
 Lumen of the blood vessels narrow – then
becomes occluded – infarction
Associated with HTN and Diabetes Mellitus
>60% of strokes
Lacunar Stroke: development of cavity in place of
infarcted brain tissue – results in considerable
deficits – motor hemiplegia, contralateral loss of
sensation or motor ability
Cerebrovascular Accident
Ischemic – Embolic Stroke
Embolus lodges in and occludes a cerebral artery
Results in infarction & cerebral edema of the area
supplied by the vessel
Second most common cause of stroke – 24%
Emboli originate in endocardial layer of the heart – atrial
fibrillation, MI, infective endocarditis, rheumatic heart
disease, valvular prostheses
Rapid occurrence with severe symptoms – body does
not have time to develop collateral circulation
Any age group
Recurrence common if underlying cause not treated
Cerebrovascular Accident
Hemorrhagic Stroke
Hemorrhagic Stroke
15% of all strokes
Result from bleeding into the brain tissue
itself
Intracerebral
Subarachnoid
Cerebrovascular Accident
Hemorrhage Stroke
Intracerebral Hemorrhage
Rupture of a vessel
Hypertension – most important cause
Others: vascular malformations, coagulation disorders,
anticoagulation, trauma, brain tumor, ruptured
aneurysms
Sudden onset of symptoms with progression
Neurological deficits, headache, nausea, vomiting,
decreased LOC, and hypertension
Prognosis: poor – 50% die within weeks
20% functionally independent at 6 months
Cerebrovascular Accident
Hemorrhagic-Subarachnoid
Hemorrhagic Stroke–Subarachnoid Hemorrhage
Intracranial bleeding into the cerebrospinal fluid-filled
space between the arachnoid and pia mater
membranes on the surface of the brain
Cerebrovascular Accident
Hemorrhagic-Subarachnoid
Commonly caused by rupture of cerebral aneurysm
(congenital or acquired)
Saccular or berry – few to 20-30 mm in size
Majority occur in the Circle of Willis
Other causes: Arteriovenous malformation (AVM),
trauma, illicit drug abuse
Incidence: 6-16/100,000
Increases with age and more common in women
Cerebrovascular Accident
Hemorrhagic-Subarachnoid
Cerebral Aneurysm
Warning Symptoms: sudden onset of a severe
headache – “worst headache of one’s life”
Change of LOC, Neurological deficits, nausea,
vomiting, seizures, stiff neck
Despite improvements in surgical techniques,
many patients die or left with significant cognitive
difficulties
Cerebral Aneurysm
Stroke
or
Cerebrovascular Accident
Clinical Manifestations
Right Brain – Left Brain Damage
Cerebrovascular Accident
Treatment Goals
Prevention – Health Maintenance Focus:
Healthy diet
Weight control
Regular exercise
No smoking
Limit alcohol consumption
Route health assessment
Control of risk factors
Cerebrovascular Accident
Treatment Goals
Prevention
Drug Therapy
Surgical Therapy
Rehabilitation
Transient ischemic attack (TIA)
• A transient ischemic attack (TIA) is a
temporary period of symptoms similar
to those of a stroke. A TIA usually lasts
only a few minutes and doesn't cause
permanent damage.
• Often called a ministroke, a TIA may
be a warning. About 1 in 3 people who
has a TIA will eventually have a stroke,
with about half occurring within a year
after the TIA.
References
1. Carol, P. M. (2000). Pathophysiology concept of altered health
states. Philadelphia:J. B. Lippincott
2. Author D. Fluid & electrolyte made incredibly easy. (2002). 2
nd ed). Pennsylvania springhouse.
3. Sue, Huether E. (2000). Understanding pathophysiology New
York: Mosby.
4.Tortora, G. J., & Anagnostakos, N. P. (2000). Principles of
anatomy and physiology New York:Harper & Row.
5. Wilson, S. A. P & LM. (1997). Clinical concepts of disease
processes (5th ed). Mosby
• 1. What is another name for a stroke?
• A. Heart attack
• B. Brain attack
• C. Myocardial infarction
• D. None of the above
• Correct B
• Which of these is a symptom of stroke?
• A. Sudden confusion
• B. Sudden weakness in an arm or leg
• C. Sudden severe headache with no cause
• D. Sudden trouble seeing
• E. All of the above
• Correct E
• If a person has an ischemic stroke, how
quickly should the person be treated to
minimize long-term problems?
• A. Within 30 minutes
• B. Within 1 hour
• C. Within 2 hours
• D. Within 3 hours
• Correct A
Neurological disorder(stroke). presentation

Neurological disorder(stroke). presentation

  • 1.
    Disorders of Neurological function Mr.AMJAD ALI. BSN from KHYBER MEDICAL UNIVERSITY Peshawar MSN (SiP) from UNIVERSITY OF LAHORE ,Lahore Unit No : 03.B Pathophysiology II BSN
  • 2.
    • Stroke (CVA) •Transient Ischemic Attacks (TIAS).
  • 3.
    Objectives At the completionof this unit learners will be able to: 1. Review the major vessels in the cerebral circulation. 2. Review the, blood brain, & brain cerebrospinal fluid barrier. 3. Explain the degeneration of the nervous tissue that cause alteration in cerebral blood flow (stroke). • Risk factors and types of stroke • Transient Ischemic Attacks (TIAS).
  • 4.
    Stroke Occurs when ablood vessel that carries oxygen and nutrients to the brain is either blocked by a clot or ruptures. Physical, cognitive, emotional, & financial impact
  • 5.
  • 7.
  • 8.
  • 9.
    The blood-brain barrieris the barrier between the cerebral capillary blood and the interstitial fluid of the brain. It is made up of capillary endothelial cells and basement membrane, neuroglial membrane, and glial podocytes,
  • 10.
    Cerebrovascular Accident Anatomy ofCerebral Circulation Blood Supply Anterior: Carotid Arteries – middle & anterior cerebral arteries frontal, parietal, temporal lobes; basal ganglion; part of the diencephalon (thalamus & hypothalamus) Posterior: Vertebral Arteries – basilar artery Mid and lower temporary & occipital lobes, cerebellum, brainstem, & part of the diencephalon Circle of Willis – connects the anterior & posterior cerebral circulation
  • 11.
    Cerebrovascular Accident Anatomy ofCerebral Circulation Blood Supply 20% of cardiac output—750-1000ml/min >30 second interruption– neurologic metabolism is altered; metabolism stops in 2 minutes; brain cell death < 5 mins.
  • 14.
    Type of stroke Basedon underlying pathophysiologic findings
  • 15.
    Stroke Type Ischemic Stroke Thrombotic Embolic HemorrhagicStroke Intracerebral Hemorrhage Subarachnoid Hemorrhage Aneurysm Berry or Saccular
  • 16.
    Cerebrovascular Accident Classifications  IschemicStroke—inadequate blood flow to the brain from partial or complete occlusions of an artery--85% of all strokes – Extent of a stroke depends on: • Rapidity of onset • Size of the lesion • Presence of collateral circulation – Symptoms may progress in the first 72 hours as infarction & cerebral edema increase Types of Ischemic Stroke: Thrombotic Stroke Embolic Stroke
  • 17.
    Cerebrovascular Accident Ischemic –Thrombotic Stroke  Lumen of the blood vessels narrow – then becomes occluded – infarction Associated with HTN and Diabetes Mellitus >60% of strokes Lacunar Stroke: development of cavity in place of infarcted brain tissue – results in considerable deficits – motor hemiplegia, contralateral loss of sensation or motor ability
  • 18.
    Cerebrovascular Accident Ischemic –Embolic Stroke Embolus lodges in and occludes a cerebral artery Results in infarction & cerebral edema of the area supplied by the vessel Second most common cause of stroke – 24% Emboli originate in endocardial layer of the heart – atrial fibrillation, MI, infective endocarditis, rheumatic heart disease, valvular prostheses Rapid occurrence with severe symptoms – body does not have time to develop collateral circulation Any age group Recurrence common if underlying cause not treated
  • 19.
    Cerebrovascular Accident Hemorrhagic Stroke HemorrhagicStroke 15% of all strokes Result from bleeding into the brain tissue itself Intracerebral Subarachnoid
  • 20.
    Cerebrovascular Accident Hemorrhage Stroke IntracerebralHemorrhage Rupture of a vessel Hypertension – most important cause Others: vascular malformations, coagulation disorders, anticoagulation, trauma, brain tumor, ruptured aneurysms Sudden onset of symptoms with progression Neurological deficits, headache, nausea, vomiting, decreased LOC, and hypertension Prognosis: poor – 50% die within weeks 20% functionally independent at 6 months
  • 22.
    Cerebrovascular Accident Hemorrhagic-Subarachnoid Hemorrhagic Stroke–SubarachnoidHemorrhage Intracranial bleeding into the cerebrospinal fluid-filled space between the arachnoid and pia mater membranes on the surface of the brain
  • 24.
    Cerebrovascular Accident Hemorrhagic-Subarachnoid Commonly causedby rupture of cerebral aneurysm (congenital or acquired) Saccular or berry – few to 20-30 mm in size Majority occur in the Circle of Willis Other causes: Arteriovenous malformation (AVM), trauma, illicit drug abuse Incidence: 6-16/100,000 Increases with age and more common in women
  • 25.
    Cerebrovascular Accident Hemorrhagic-Subarachnoid Cerebral Aneurysm WarningSymptoms: sudden onset of a severe headache – “worst headache of one’s life” Change of LOC, Neurological deficits, nausea, vomiting, seizures, stiff neck Despite improvements in surgical techniques, many patients die or left with significant cognitive difficulties
  • 26.
  • 27.
  • 31.
    Cerebrovascular Accident Treatment Goals Prevention– Health Maintenance Focus: Healthy diet Weight control Regular exercise No smoking Limit alcohol consumption Route health assessment Control of risk factors
  • 32.
    Cerebrovascular Accident Treatment Goals Prevention DrugTherapy Surgical Therapy Rehabilitation
  • 34.
    Transient ischemic attack(TIA) • A transient ischemic attack (TIA) is a temporary period of symptoms similar to those of a stroke. A TIA usually lasts only a few minutes and doesn't cause permanent damage. • Often called a ministroke, a TIA may be a warning. About 1 in 3 people who has a TIA will eventually have a stroke, with about half occurring within a year after the TIA.
  • 36.
    References 1. Carol, P.M. (2000). Pathophysiology concept of altered health states. Philadelphia:J. B. Lippincott 2. Author D. Fluid & electrolyte made incredibly easy. (2002). 2 nd ed). Pennsylvania springhouse. 3. Sue, Huether E. (2000). Understanding pathophysiology New York: Mosby. 4.Tortora, G. J., & Anagnostakos, N. P. (2000). Principles of anatomy and physiology New York:Harper & Row. 5. Wilson, S. A. P & LM. (1997). Clinical concepts of disease processes (5th ed). Mosby
  • 42.
    • 1. Whatis another name for a stroke? • A. Heart attack • B. Brain attack • C. Myocardial infarction • D. None of the above • Correct B
  • 43.
    • Which ofthese is a symptom of stroke? • A. Sudden confusion • B. Sudden weakness in an arm or leg • C. Sudden severe headache with no cause • D. Sudden trouble seeing • E. All of the above • Correct E
  • 44.
    • If aperson has an ischemic stroke, how quickly should the person be treated to minimize long-term problems? • A. Within 30 minutes • B. Within 1 hour • C. Within 2 hours • D. Within 3 hours • Correct A

Editor's Notes

  • #29 جذباتی spatial Within the visual domain these include locating points in space, determining the orientation of lines and objects, assessing location in depth, appreciating geometric relations between objects, and processing motion, including motion in depth.
  • #30 neurological disorder characterized by loss of the ability to execute or carry out skilled movements and gestures, despite having the desire and the physical ability to perform them
  • #35 Oral Birth Control, weakness or the inability to move on one side of the body, making it hard to perform everyday activities like eating or dressing. a neurological disorder characterized by loss of the ability to execute or carry out skilled movements and gestures, despite having the desire and the physical ability to perform them. Homonymous hemianopia is a visual field defect involving either the two right or the two left halves of the visual fields of both eyes.