ORAL HABITSORAL HABITS
 Presented By:Presented By:
Benju SharmaBenju Sharma
BDS 4BDS 4THTH
YearYear
Roll no. 35Roll no. 35
 Guided By:Guided By:
DR. Deep MeisheriDR. Deep Meisheri
Contents:Contents:
 Mouth BreathingMouth Breathing
DefinitionDefinition
ClassificationClassification
EtiologyEtiology
Clinical FeaturesClinical Features
DiagnosisDiagnosis
TreatmentTreatment
 Nail BitingNail Biting
IntroductionIntroduction
EtiologyEtiology
EffectsEffects
ManagementManagement
 Self Injurious HabitsSelf Injurious Habits
 IntroductionIntroduction
 EtiologyEtiology
 ClassificationClassification
 Clinical FeaturesClinical Features
 TreatmentTreatment
Other HabitsOther Habits
 Bobby Pin OpeningBobby Pin Opening
Mouth BreathingMouth Breathing
 Definition:Definition:
Sassouni(1971)Sassouni(1971)defined mouth breathing as habitualdefined mouth breathing as habitual
respiration through the mouth instead of noserespiration through the mouth instead of nose..
 Classification:Classification:
Given byGiven by FinnFinn in 1987.in 1987.
1.1. ObstructiveObstructive
2.2. HabitualHabitual
3.3. AnatomicalAnatomical
 EtiologyEtiology ::
Enlarged turbinatesEnlarged turbinates
Deviated nasal septumDeviated nasal septum
Allergies and prolonged nasopharyngeal infectionsAllergies and prolonged nasopharyngeal infections
Enlarged adenoids and tonsilsEnlarged adenoids and tonsils
Short upper lipShort upper lip
Sleep apneaSleep apnea
Obstruction in bronchial tree and larynxObstruction in bronchial tree and larynx
Genetic predisposition: ectomorphic children havingGenetic predisposition: ectomorphic children having
having tapering face and nasopharynx have morehaving tapering face and nasopharynx have more
chances of having nasal obstructionschances of having nasal obstructions..
Thumb sucking and other habitsThumb sucking and other habits
 Tonsils and adenoidsTonsils and adenoids
At birth: small in size, present as cluster of white-At birth: small in size, present as cluster of white-
yellow follicles with erythematous borders, regressyellow follicles with erythematous borders, regress
after few days of birth.after few days of birth.
 11stst
few months: enlarge in size as the lymphoidfew months: enlarge in size as the lymphoid
tissue proliferate are bigger in presence of infection.tissue proliferate are bigger in presence of infection.
6 months - 2 years: maximum growth as primary6 months - 2 years: maximum growth as primary
physiologic enlargement.physiologic enlargement.
 At 6 year: enlargement after a period of inactivityAt 6 year: enlargement after a period of inactivity
as the child gets exposed to infections at school thisas the child gets exposed to infections at school this
is secondary physiologic enlargement.is secondary physiologic enlargement.
At puberty: regression of nasopharyngeal lymphoidAt puberty: regression of nasopharyngeal lymphoid
tissue.tissue.
 Diagnosis:Diagnosis:
1.1. HistoryHistory
2.2. ObserveObserve
3.3. Mirror test or fog testMirror test or fog test
4.4. Massler’s water holding testMassler’s water holding test
5.5. Jwemen’s butterfly testJwemen’s butterfly test
6.6. Rhynometry or inductive plethysmographyRhynometry or inductive plethysmography
7.7. CephalometryCephalometry
Inductive pletysmography
Butterfly test
Mirror test
Water holding test
cephalograph
Clinical FeaturesClinical Features
 General Features:General Features:
The child adopts a neck forward position to breath.The child adopts a neck forward position to breath.
 Pigeon chest appearance.Pigeon chest appearance.
 Prolonged low-grade oesophagitis.Prolonged low-grade oesophagitis.
 Narrow nasal cavity.Narrow nasal cavity.
Narrow and long faceNarrow and long face
Tired appearanceTired appearance
 Nasal tone while speaking.Nasal tone while speaking.
Pigeon shaped chest
 Appearance:Appearance:
Adenoid facies.Adenoid facies.
 Lips are held wide apart.Lips are held wide apart.
 Short upper lip.Short upper lip.
 Superiorly tipped nose.Superiorly tipped nose.
 Long and narrow face.Long and narrow face.
 Flat nasal bridge.Flat nasal bridge.
 Receded chinReceded chin
V shaped lower face.V shaped lower face.
 Dental and skeletalDental and skeletal
Narrow maxillary arch.Narrow maxillary arch.
Low tongue position.Low tongue position.
Protrusion of maxillary and mandibular incisors.Protrusion of maxillary and mandibular incisors.
High palatal vault.High palatal vault.
Anterior open bite.Anterior open bite.
Posterior crossbitePosterior crossbite
Chronic marginal gingivitis.Chronic marginal gingivitis.
Excessive tenacious plaque formationExcessive tenacious plaque formation
Increased incidence of cariesIncreased incidence of caries
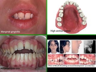
Marginal gingivitis High arched palate
Anterior open bite
 Blood gas constituentsBlood gas constituents
> Studies reveal that mouth breathers have> Studies reveal that mouth breathers have
20% more CO2 and 20% less O2 in their20% more CO2 and 20% less O2 in their
blood.blood.
TreatmentTreatment
 Symptomatic treatment by use of preventiveSymptomatic treatment by use of preventive
measures.measures.
 Elimination of the cause (basically nasal obstruction)Elimination of the cause (basically nasal obstruction)
either surgical or by use of medication.either surgical or by use of medication.
 Treatment of nasopharyngeal infections.Treatment of nasopharyngeal infections.
 Interception of the habit through physical exercises, lipInterception of the habit through physical exercises, lip
exercises and maxillothorax myotherapy.exercises and maxillothorax myotherapy.
Continued…Continued…
 Use of Macaray activator with which dentalUse of Macaray activator with which dental
arch relationship could be corrected at thearch relationship could be corrected at the
same time mouth breathing could besame time mouth breathing could be
discouraged.discouraged.
•Use of oral screen.Use of oral screen.
•Correction of malocclusion;Correction of malocclusion;
Class I: Oral shield applianceClass I: Oral shield appliance
Class II div 1: Monobloc activatorClass II div 1: Monobloc activator
Class III: Chin cap, interceptive methods.Class III: Chin cap, interceptive methods.
Monobloc activator
Chin cup Chin strap
Maxillary arch expansion
Snore mask
Oral screen Oral shield appliance
Mouth strap
Nail BitingNail Biting
 Introduction:Introduction:
Nail biting is one ofNail biting is one of
the most commonthe most common
habits seen in 43%habits seen in 43%
adolescents andadolescents and
25% in college25% in college
students. It is a signstudents. It is a sign
of stress.of stress.
 Etiology:Etiology:
> Insecurity> Insecurity
> Psychosomatic successor> Psychosomatic successor
of thumb sucking.of thumb sucking.
> Stress or nervousness> Stress or nervousness
 Effects:Effects:
 Crowding, rotation and alteration of incisal edges ofCrowding, rotation and alteration of incisal edges of
incisors.incisors.
 Inflammation of nail bed.Inflammation of nail bed.
 Management:Management:
 Avoid punitive methods like scolding, nagging, andAvoid punitive methods like scolding, nagging, and
threatening.threatening.
 Treat the basic emotional or stress factor causing it.Treat the basic emotional or stress factor causing it.
 Encourage outdoor activities to reduce stress.Encourage outdoor activities to reduce stress.
 Application of nail polish as a reminder.Application of nail polish as a reminder.
Self-Injurious HabitsSelf-Injurious Habits
 Introduction:Introduction:
In this kind of habits patient enjoys harming him/herself.In this kind of habits patient enjoys harming him/herself.
This kind of habits are mostly seen in mentally retardedThis kind of habits are mostly seen in mentally retarded
children and in those with psychological abnormalities.children and in those with psychological abnormalities.
 EtiologyEtiology::
 Organic: associated with Lesch-Nyhan disease and DeOrganic: associated with Lesch-Nyhan disease and De
Lange’s syndrome.Lange’s syndrome.
 Functional: Given byFunctional: Given by Steward and kernohan in 1912.Steward and kernohan in 1912.
Type A: Injuries superimposed on pre existing lesions.Type A: Injuries superimposed on pre existing lesions.
Type B: Injuries secondary to another establishedType B: Injuries secondary to another established
habit.habit.
Type C: Injuries of unknown etiology.Type C: Injuries of unknown etiology.
Lesch-Nyhan syndrome De Lange’s syndrome
Different self-injuring habitsDifferent self-injuring habits
Biting of fingers, knee, lips, shoulders.Biting of fingers, knee, lips, shoulders.
 Frenum thrustingFrenum thrusting
 Picking of gingivaPicking of gingiva
 Insertion of sharp objects into oral cavity.Insertion of sharp objects into oral cavity.
 Treatment:Treatment:
Psychological therapy.Psychological therapy.
The primary attempts should be given toThe primary attempts should be given to
understand the emotional factor underlying theunderstand the emotional factor underlying the
habit.habit.
 Reduce concern to the habit may be helpful.Reduce concern to the habit may be helpful.
 Palliative treatment by bandaging the selfPalliative treatment by bandaging the self
-inflicted wounds which will favor healing and act-inflicted wounds which will favor healing and act
as a reminder.as a reminder.
 Mechanotherapy: use of protective padding andMechanotherapy: use of protective padding and
mouth guards.mouth guards.
Bobby Pin OpeningBobby Pin Opening
 Usually seen in teen girls who open the bonnyUsually seen in teen girls who open the bonny
pins with the help of their maxillary anteriors.pins with the help of their maxillary anteriors.
 Effect is generally seen on the incisal edges ofEffect is generally seen on the incisal edges of
maxillary incisors that is notching.maxillary incisors that is notching.
 So educating about the effect of this habit maySo educating about the effect of this habit may
prove to be helpful.prove to be helpful.
THANK YOUTHANK YOU
 Refrences:Refrences:
Shobha Tandon 2Shobha Tandon 2ndnd
editionedition
Nikhil Marwah 3Nikhil Marwah 3rdrd
editionedition
InternetInternet

Mouth breathing

  • 1.
    ORAL HABITSORAL HABITS Presented By:Presented By: Benju SharmaBenju Sharma BDS 4BDS 4THTH YearYear Roll no. 35Roll no. 35  Guided By:Guided By: DR. Deep MeisheriDR. Deep Meisheri
  • 2.
    Contents:Contents:  Mouth BreathingMouthBreathing DefinitionDefinition ClassificationClassification EtiologyEtiology Clinical FeaturesClinical Features DiagnosisDiagnosis TreatmentTreatment  Nail BitingNail Biting IntroductionIntroduction EtiologyEtiology EffectsEffects ManagementManagement
  • 3.
     Self InjuriousHabitsSelf Injurious Habits  IntroductionIntroduction  EtiologyEtiology  ClassificationClassification  Clinical FeaturesClinical Features  TreatmentTreatment Other HabitsOther Habits  Bobby Pin OpeningBobby Pin Opening
  • 4.
    Mouth BreathingMouth Breathing Definition:Definition: Sassouni(1971)Sassouni(1971)defined mouth breathing as habitualdefined mouth breathing as habitual respiration through the mouth instead of noserespiration through the mouth instead of nose..  Classification:Classification: Given byGiven by FinnFinn in 1987.in 1987. 1.1. ObstructiveObstructive 2.2. HabitualHabitual 3.3. AnatomicalAnatomical
  • 5.
     EtiologyEtiology :: EnlargedturbinatesEnlarged turbinates Deviated nasal septumDeviated nasal septum Allergies and prolonged nasopharyngeal infectionsAllergies and prolonged nasopharyngeal infections Enlarged adenoids and tonsilsEnlarged adenoids and tonsils Short upper lipShort upper lip Sleep apneaSleep apnea Obstruction in bronchial tree and larynxObstruction in bronchial tree and larynx Genetic predisposition: ectomorphic children havingGenetic predisposition: ectomorphic children having having tapering face and nasopharynx have morehaving tapering face and nasopharynx have more chances of having nasal obstructionschances of having nasal obstructions.. Thumb sucking and other habitsThumb sucking and other habits
  • 7.
     Tonsils andadenoidsTonsils and adenoids At birth: small in size, present as cluster of white-At birth: small in size, present as cluster of white- yellow follicles with erythematous borders, regressyellow follicles with erythematous borders, regress after few days of birth.after few days of birth.  11stst few months: enlarge in size as the lymphoidfew months: enlarge in size as the lymphoid tissue proliferate are bigger in presence of infection.tissue proliferate are bigger in presence of infection.
  • 8.
    6 months -2 years: maximum growth as primary6 months - 2 years: maximum growth as primary physiologic enlargement.physiologic enlargement.  At 6 year: enlargement after a period of inactivityAt 6 year: enlargement after a period of inactivity as the child gets exposed to infections at school thisas the child gets exposed to infections at school this is secondary physiologic enlargement.is secondary physiologic enlargement. At puberty: regression of nasopharyngeal lymphoidAt puberty: regression of nasopharyngeal lymphoid tissue.tissue.
  • 9.
     Diagnosis:Diagnosis: 1.1. HistoryHistory 2.2.ObserveObserve 3.3. Mirror test or fog testMirror test or fog test 4.4. Massler’s water holding testMassler’s water holding test 5.5. Jwemen’s butterfly testJwemen’s butterfly test 6.6. Rhynometry or inductive plethysmographyRhynometry or inductive plethysmography 7.7. CephalometryCephalometry
  • 10.
  • 11.
    Butterfly test Mirror test Waterholding test cephalograph
  • 12.
    Clinical FeaturesClinical Features General Features:General Features: The child adopts a neck forward position to breath.The child adopts a neck forward position to breath.  Pigeon chest appearance.Pigeon chest appearance.  Prolonged low-grade oesophagitis.Prolonged low-grade oesophagitis.  Narrow nasal cavity.Narrow nasal cavity. Narrow and long faceNarrow and long face Tired appearanceTired appearance  Nasal tone while speaking.Nasal tone while speaking. Pigeon shaped chest
  • 14.
     Appearance:Appearance: Adenoid facies.Adenoidfacies.  Lips are held wide apart.Lips are held wide apart.  Short upper lip.Short upper lip.  Superiorly tipped nose.Superiorly tipped nose.  Long and narrow face.Long and narrow face.  Flat nasal bridge.Flat nasal bridge.  Receded chinReceded chin V shaped lower face.V shaped lower face.
  • 16.
     Dental andskeletalDental and skeletal Narrow maxillary arch.Narrow maxillary arch. Low tongue position.Low tongue position. Protrusion of maxillary and mandibular incisors.Protrusion of maxillary and mandibular incisors. High palatal vault.High palatal vault. Anterior open bite.Anterior open bite. Posterior crossbitePosterior crossbite Chronic marginal gingivitis.Chronic marginal gingivitis. Excessive tenacious plaque formationExcessive tenacious plaque formation Increased incidence of cariesIncreased incidence of caries
  • 17.
    Marginal gingivitis Higharched palate Anterior open bite
  • 18.
     Blood gasconstituentsBlood gas constituents > Studies reveal that mouth breathers have> Studies reveal that mouth breathers have 20% more CO2 and 20% less O2 in their20% more CO2 and 20% less O2 in their blood.blood.
  • 19.
    TreatmentTreatment  Symptomatic treatmentby use of preventiveSymptomatic treatment by use of preventive measures.measures.  Elimination of the cause (basically nasal obstruction)Elimination of the cause (basically nasal obstruction) either surgical or by use of medication.either surgical or by use of medication.  Treatment of nasopharyngeal infections.Treatment of nasopharyngeal infections.  Interception of the habit through physical exercises, lipInterception of the habit through physical exercises, lip exercises and maxillothorax myotherapy.exercises and maxillothorax myotherapy.
  • 20.
    Continued…Continued…  Use ofMacaray activator with which dentalUse of Macaray activator with which dental arch relationship could be corrected at thearch relationship could be corrected at the same time mouth breathing could besame time mouth breathing could be discouraged.discouraged. •Use of oral screen.Use of oral screen. •Correction of malocclusion;Correction of malocclusion; Class I: Oral shield applianceClass I: Oral shield appliance Class II div 1: Monobloc activatorClass II div 1: Monobloc activator Class III: Chin cap, interceptive methods.Class III: Chin cap, interceptive methods.
  • 21.
  • 22.
    Chin cup Chinstrap Maxillary arch expansion Snore mask
  • 23.
    Oral screen Oralshield appliance
  • 24.
  • 26.
    Nail BitingNail Biting Introduction:Introduction: Nail biting is one ofNail biting is one of the most commonthe most common habits seen in 43%habits seen in 43% adolescents andadolescents and 25% in college25% in college students. It is a signstudents. It is a sign of stress.of stress.  Etiology:Etiology: > Insecurity> Insecurity > Psychosomatic successor> Psychosomatic successor of thumb sucking.of thumb sucking. > Stress or nervousness> Stress or nervousness
  • 27.
     Effects:Effects:  Crowding,rotation and alteration of incisal edges ofCrowding, rotation and alteration of incisal edges of incisors.incisors.  Inflammation of nail bed.Inflammation of nail bed.
  • 28.
     Management:Management:  Avoidpunitive methods like scolding, nagging, andAvoid punitive methods like scolding, nagging, and threatening.threatening.  Treat the basic emotional or stress factor causing it.Treat the basic emotional or stress factor causing it.  Encourage outdoor activities to reduce stress.Encourage outdoor activities to reduce stress.  Application of nail polish as a reminder.Application of nail polish as a reminder.
  • 29.
    Self-Injurious HabitsSelf-Injurious Habits Introduction:Introduction: In this kind of habits patient enjoys harming him/herself.In this kind of habits patient enjoys harming him/herself. This kind of habits are mostly seen in mentally retardedThis kind of habits are mostly seen in mentally retarded children and in those with psychological abnormalities.children and in those with psychological abnormalities.  EtiologyEtiology::  Organic: associated with Lesch-Nyhan disease and DeOrganic: associated with Lesch-Nyhan disease and De Lange’s syndrome.Lange’s syndrome.  Functional: Given byFunctional: Given by Steward and kernohan in 1912.Steward and kernohan in 1912. Type A: Injuries superimposed on pre existing lesions.Type A: Injuries superimposed on pre existing lesions. Type B: Injuries secondary to another establishedType B: Injuries secondary to another established habit.habit. Type C: Injuries of unknown etiology.Type C: Injuries of unknown etiology.
  • 30.
    Lesch-Nyhan syndrome DeLange’s syndrome
  • 32.
    Different self-injuring habitsDifferentself-injuring habits Biting of fingers, knee, lips, shoulders.Biting of fingers, knee, lips, shoulders.  Frenum thrustingFrenum thrusting  Picking of gingivaPicking of gingiva  Insertion of sharp objects into oral cavity.Insertion of sharp objects into oral cavity.
  • 33.
     Treatment:Treatment: Psychological therapy.Psychologicaltherapy. The primary attempts should be given toThe primary attempts should be given to understand the emotional factor underlying theunderstand the emotional factor underlying the habit.habit.  Reduce concern to the habit may be helpful.Reduce concern to the habit may be helpful.  Palliative treatment by bandaging the selfPalliative treatment by bandaging the self -inflicted wounds which will favor healing and act-inflicted wounds which will favor healing and act as a reminder.as a reminder.  Mechanotherapy: use of protective padding andMechanotherapy: use of protective padding and mouth guards.mouth guards.
  • 34.
    Bobby Pin OpeningBobbyPin Opening  Usually seen in teen girls who open the bonnyUsually seen in teen girls who open the bonny pins with the help of their maxillary anteriors.pins with the help of their maxillary anteriors.  Effect is generally seen on the incisal edges ofEffect is generally seen on the incisal edges of maxillary incisors that is notching.maxillary incisors that is notching.  So educating about the effect of this habit maySo educating about the effect of this habit may prove to be helpful.prove to be helpful.
  • 35.
    THANK YOUTHANK YOU Refrences:Refrences: Shobha Tandon 2Shobha Tandon 2ndnd editionedition Nikhil Marwah 3Nikhil Marwah 3rdrd editionedition InternetInternet

Editor's Notes

  • #10 Mouth breathers will have lip appart Nasal breathers lip seal will be good Mouth breathers will have no change in size of external nares Nose breathers will have good control over there alar muscles