Embed presentation
Downloaded 38 times






































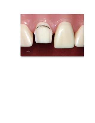
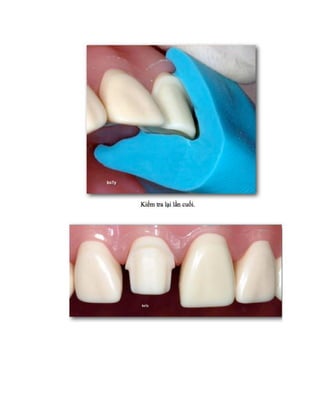
Tài liệu hướng dẫn về kỹ thuật mài cùi răng sứ - kim loại. Nội dung tập trung vào các phương pháp và kỹ thuật mài cơ bản trong lĩnh vực nha khoa. Đây là phần 1 của tài liệu, có khả năng cung cấp kiến thức cần thiết cho việc mài cùi răng.





































