“Limb Weakness”
Part I
Osama Shukir Muhammed Amin
MBChB, MD, MRCP, FACP, FAHA, FCCP(USA), FRCP(Edin),
FRCP(Glasg), FRCP(Ire), FRCP(Lond)
Associate Professor of Neurology
School of Medicine, International Medical University, Malaysia
Pepe: Neurology…I hate you!
Neurology: Good…
Move Your
Limb!
We will discuss upper
motor neuron
lesion’s weakness,
i.e., central.
The Cortico-Spinal
(Pyramidal) Tract
• Originates from large (so-
called pyramidal) neurons
of Betz, layer V (internal
pyramidal layer) of the
cerebral cortex.
• Therefore, this tract
represents the descending
“efferent” axons of
cortical neurons.
Cortical areas involved?
• The tract arises from Brodmann’s areas:
- 4 (primary motor area), about 30% contribution.
- 6 (premotor cortex and supplementary motor cortex),
about 30%.
- 3, 1, and 2 (primary somatosensory cortex) and 5
(parietal lobule), about 40%.
Journey? After leaving the cerebral cortex…
• At the lower part of the medulla, 80-90% will decussate to the
contralateral side (lateral cortico-spinal tract), while the remaining will
continue descending uncrossed (as the anterior cortico-spinal tract).
• Both tracts, lateral and anterior, will descend through the spinal cord
to the frontal horns (grey matter of the spinal cord). The latter will
send efferent fibers through the nerve roots (ventral rami), plexuses,
and peripheral nerves to supply skeletal muscles at the motor end-
plate (acetylcholine is the neurotransmitter).
Corona
radiata
Posterior
limb of
internal
capsule
Crus
cerebri of
the
midbrain
Basis
pontis
Ventral
medulla
oblongata
Function?
• The cortico-spinal tract is involved in the volitional activity of
skeletal muscle movements of the contralateral side.
• Antigravity muscles and movements?
- upper limbs: shoulder abduction, as well as elbow, wrist, and
fingers extensions.
- Lower limbs: hip and knee flexion, as well as ankle dorsi-
flexion and planter eversion.
• These movements are further controlled/modulated by the
extrapyramidal and cerebellar systems, with respect to initiation,
coordination, speed, tone, etc.
Cortical motor homunculus? Map?
Lesions of cortico-spinal tract?
This would result in loss of function of that tract
with secondary dominance of extrapyramidal
and other tracts’ functions, e.g., rubrospinal,
vestibulospinal, etc.
The resulting clinical features depend on the
etiology of the lesion, onset, severity,
multiplicity, and association with other lesions
within and outside the CNS (i.e., peripheral
nervous system).
Pyramidal system damage would result in…?
Weakness or paresis of
the targeted movement
(there is no complete
paralysis).
Reduced control of
volitional movements,
especially of fine
dexterity, e.g., buttoning
and unbuttoning.
Hypertonia of clasp-knife
spasticity and
“sustained” clonus.
Exaggerated deep
tendon reflexes.
Extensor planter reflex
(Babinski sign), Hoffman
sign, pronator drift, etc.
No or very minimal
atrophy. Disuse atrophy
occurs in longstanding
cases.
That is to say, signs of
upper motor neuron
lesion!
Any lesion from the
cerebral cortex down to
the anterior horn cells of
the spinal cord!
Clinically?
Muscle Power
The Medical Research Council (MRC) Scale of Muscle Strength/Power
6 Grades, from:
 0 (no movement at all).
 1 (flickering or trace of movement)
 2 (active movement with gravity eliminated).
 3 (active movement against gravity but not resistance).
 4 (active movement against gravity but not full resistance)
 5 (full movement against full resistance).
Distribution of
weakness?
Whole limb. The weakness can be:
One limb: monoparesis.
Two limbs, same side: hemiparesis.
Both lower limbs: paraparesis.
All four limbs: quadriparesis (or tetrapartesis).
Two (contralateral to each other) or three limbs
(upper and lower limbs): e.g., right upper limb and
left lower limb or left arm and both legs, both arms
and one leg.
Patterned
weakness?
YES!
The pattern of pyramidal weakness
is weakness of upper limbs’
extensors and lower limbs’ flexors.
For instance, left-sided pyramidal
weakness, grade 3 power in both
upper and lower limbs.
Other
patterned
weakness?
Yes, but non-pyramidal
patterns!
Will be discussed in the 2nd
lecture.
Factors
influencin
g
weakness?
In long-standing cases:
Spasticity (which is usually painful)
may be overshadow the weakness.
Contractures and “disuse atrophy”
may further complicate the picture.
Etiology,
onset,
course?
Any lesion to
the pyramidal
tract from the
cerebral
cortex down
to the ventral
grey horns of
the spinal
cord can
result in
weakness.
The resulting
weakness can
be:
Acute, subacute, or chronic.
Reversible, stable non-reversible, fluctuating,
stuttering or step-ladder, or progressive.
Associated signs and symptoms (such as severe
cerebellar dysfunction or involuntary movements?
All depend on where is the lesion, what is the
lesion, and why?
Onset?
• Acute: something of a sudden or abrupt onset,
typically vascular (stroke), inflammatory,
demyelination, trauma, etc.
• Subacute: usually few days to few weeks (the
definition depends on the etiology, e.g., subacute
subdural hematoma is from 3 days to 21 days).
• Chronic: usually more than few weeks (?etiology)
typically degenerative, benign tumors, etc.
Course?
• Variable degree of improvement in
muscle power may appear through out
the course, depending on the
underlying etiology and compensatory
mechanisms.
• Or else, the course is relentlessly
progressive.
Always look for other signs and
symptoms?
These help localize the
lesion (hemispheric,
brainstem, and/or spinal
cord).
Choose the appropriate
diagnostic investigation(s)
(e.g., brain versus spinal
MRI; cervical MRI versus
dorsal MRI).
Guide the priority in the
managing plan (rapid life-
saving treatment,
physiotherapy, follow-up,
etc.).
Localization of the weakness?
• Hemiparesis: depends on whether facial weakness is present or not.
• No facial weakness the lesion is below the lower pons.
(Remember, brainstem lesions can result in “crossed signs”)
Signs ipsilateral and contralateral to the lesion
(out of the scope for undergraduate students)
Upper and lower limbs on one side?
Say, left hemiparesis
Contralateral to the lesion Ipsilateral to the lesion
From the cerebral cortex down to Below pyramidal decussation to C5 cord
just before the medullary
(pyramidal) decussation
NB: Lesions at the level of the pyramidal decussation, e.g., foramen magnum lesions,
are beyond undergraduates!
Causes of hemiparesis?
Unilateral
lesions:
Stroke,
trauma,
tumor,
abscess, etc.
Both lower
limbs, .e.g.,
spastic
paraparesis
• Right and left halves of the spinal cord,
from T2 downwards to L1/2. Lesions
within the cord from L2 downwards will
cause more distal weakness.
• The lesion could be symmetrical or
asymmetrical.
• Etiology: demyelination, tumor, abscess,
trauma, central disc prolapse, anterior
spinal artery occlusion, etc.
• Look for sphincter disturbances and
sensory level on the trunk!
NB: Uncommon causes (beyond localization
of T2 to L1/2): e.g., anterior midline frontal
mass (both leg cortical areas will be
damaged), degenerative (e.g., hereditary
spastic paraparesis), and spastic diplegia (of
cerebral palsy), vitamin B12 deficiency
(subacute combined degeneration of the
cord).
Spastic monoparesis?
• The lesion is a small one, inflicting the upper or lower limb’s cortical area
(map). This will cause contralateral spastic monoparesis.
• Hemisectioning of the spinal cord (Brown-Séquard syndrome), due to
trauma, tumors, etc. There is ipsilateral spastic leg weakness.
• Other causes: yes, beyond you!
Spastic quadriparesis?
• Bilateral corticospinal lesions above C5 spinal cord.
• Most of these lesions damage the pyramidal tracts when they become close to each other,
e.g., at the brainstem or high cervical cord.
• Etiology: Brainstem stroke and brainstem (posterior fossa) tumors.
Two (apart from hemiparesis or paraparesis) or three limbs?
Beyond undergraduates!
Investigations(s)?
• The 3 questions are, after taking a thorough history
and doing neurological examination?
Where is the lesion?
What is the lesion?
And why?
The list of “diagnostic
investigations” in upper
motor neuron lesions?
• Depends on the overall clinical presentation and neuroligcal
findings.
• Whether there is/was any prior neurological insult (e.g., old
stroke).
• And your provisional diagnosis!
Some investigations :
- Are unsuitable for clinically unstable critical patients, e.g.
brain MRI in patients with delirium.
- Rapid access, availability, cost, etc.
- Remember contraindications of certain tests, e.g. contrast
use in brain CT scan in patients with mild renal impairment or
cervical spine MRI for a patient with hip prosthesis.
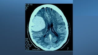
Paresis, where?
Hemiparesis with facial weakness: brain CT scan or brain MRI, with or
without contrast. Hemiparesis without facial weakness: Brain/upper
cervical MRI, with or without contrast.
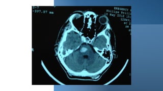
NB: Urgent non-contrast brain CT scan is the most suitable imaging
modality in patients with acute hemiparesis because of its availability in
Emergency Departments (usually), and it is rapid (the period of the test is
very brief (compared to MRI). Drawback: poor visualization of posterior
fossa structures because of boney artifacts, except in posterior fossa
hemorrhages.
Paraparesis: dorsal spine MRI, with or without contrast or in some cases,
brain/cervical MRI (with or without contrast).
Other pareses?
Quadriparesis: brain/high cervical cord MRI, with or without contrast. Brain CT
scan can also be used in the acute setting; depending on the etiology, it may
reveal a diagnosis, e.g., pontine hemorrhage.
Other pareses: Beyond undergraduates!
Other investigations to consolidate the
diagnosis?
• Brain MRV (magnetic resonance venography) and MRA (magnetic resonance
angiography).
• Conventional (4-vessel) cerebral angiography.
• CSF analysis.
• Evoked potentials (e.g., visual evoked potentials in multiple sclerosis).
• …etc.
Treatment of upper motor neuron weakness?
• Depends on the etiology: specific or symptomatic.
• Treatment of spasticity and contractures: medications, physiotherapy, surgical
intervention, intrathecal baclofen pump, etc.
• Treatment of associated features, e.g., hyper-reflexic urinary bladder,
dysthesic pain, dystonia/chorea, etc.
Examples…
Get ready!
True or false?
 The cortico-spinal tract contains fibers from the premotor cerebral cortex only?
 The corticospinal tracts connect the cerebral cortex with the posterior grey horn of the spinal cord?
 Lesions of the corticospinal tracts result in early and prominent muscle atrophy?
 Early in the course of corticospinal tracts, muscle contractures overshadow the accompanying weakness?
 The resulting upper motor neuron signs should be contralateral to the culprit lesion?
 Quadriparesis indicates a lesion below T2 of the spinal cord?
 MRI of the cervico-dorsal spine may be unremarkable in slowly progressive spastic paraparesis?
 Brain CT is the first-line investigation in patients with acute hemiparesis?
Cuneiform inscriptions
on gold earrings stating
that these earrings were
gifts from King Shulgi of
Ur. Ur III Dynasty, circa
2100 BCE. From
Mesopotamia, Southern
Iraq. The Sulaymaniyah
Museum, Iraq.

Limb Weakness (Part 1), with some clinical examples and imaging

  • 1.
    “Limb Weakness” Part I OsamaShukir Muhammed Amin MBChB, MD, MRCP, FACP, FAHA, FCCP(USA), FRCP(Edin), FRCP(Glasg), FRCP(Ire), FRCP(Lond) Associate Professor of Neurology School of Medicine, International Medical University, Malaysia
  • 2.
    Pepe: Neurology…I hateyou! Neurology: Good…
  • 3.
  • 4.
    We will discussupper motor neuron lesion’s weakness, i.e., central.
  • 5.
    The Cortico-Spinal (Pyramidal) Tract •Originates from large (so- called pyramidal) neurons of Betz, layer V (internal pyramidal layer) of the cerebral cortex. • Therefore, this tract represents the descending “efferent” axons of cortical neurons.
  • 6.
    Cortical areas involved? •The tract arises from Brodmann’s areas: - 4 (primary motor area), about 30% contribution. - 6 (premotor cortex and supplementary motor cortex), about 30%. - 3, 1, and 2 (primary somatosensory cortex) and 5 (parietal lobule), about 40%.
  • 7.
    Journey? After leavingthe cerebral cortex… • At the lower part of the medulla, 80-90% will decussate to the contralateral side (lateral cortico-spinal tract), while the remaining will continue descending uncrossed (as the anterior cortico-spinal tract). • Both tracts, lateral and anterior, will descend through the spinal cord to the frontal horns (grey matter of the spinal cord). The latter will send efferent fibers through the nerve roots (ventral rami), plexuses, and peripheral nerves to supply skeletal muscles at the motor end- plate (acetylcholine is the neurotransmitter). Corona radiata Posterior limb of internal capsule Crus cerebri of the midbrain Basis pontis Ventral medulla oblongata
  • 9.
    Function? • The cortico-spinaltract is involved in the volitional activity of skeletal muscle movements of the contralateral side. • Antigravity muscles and movements? - upper limbs: shoulder abduction, as well as elbow, wrist, and fingers extensions. - Lower limbs: hip and knee flexion, as well as ankle dorsi- flexion and planter eversion. • These movements are further controlled/modulated by the extrapyramidal and cerebellar systems, with respect to initiation, coordination, speed, tone, etc.
  • 10.
  • 11.
    Lesions of cortico-spinaltract? This would result in loss of function of that tract with secondary dominance of extrapyramidal and other tracts’ functions, e.g., rubrospinal, vestibulospinal, etc. The resulting clinical features depend on the etiology of the lesion, onset, severity, multiplicity, and association with other lesions within and outside the CNS (i.e., peripheral nervous system).
  • 12.
    Pyramidal system damagewould result in…? Weakness or paresis of the targeted movement (there is no complete paralysis). Reduced control of volitional movements, especially of fine dexterity, e.g., buttoning and unbuttoning. Hypertonia of clasp-knife spasticity and “sustained” clonus. Exaggerated deep tendon reflexes. Extensor planter reflex (Babinski sign), Hoffman sign, pronator drift, etc. No or very minimal atrophy. Disuse atrophy occurs in longstanding cases. That is to say, signs of upper motor neuron lesion! Any lesion from the cerebral cortex down to the anterior horn cells of the spinal cord!
  • 13.
    Clinically? Muscle Power The MedicalResearch Council (MRC) Scale of Muscle Strength/Power 6 Grades, from:  0 (no movement at all).  1 (flickering or trace of movement)  2 (active movement with gravity eliminated).  3 (active movement against gravity but not resistance).  4 (active movement against gravity but not full resistance)  5 (full movement against full resistance).
  • 14.
    Distribution of weakness? Whole limb.The weakness can be: One limb: monoparesis. Two limbs, same side: hemiparesis. Both lower limbs: paraparesis. All four limbs: quadriparesis (or tetrapartesis). Two (contralateral to each other) or three limbs (upper and lower limbs): e.g., right upper limb and left lower limb or left arm and both legs, both arms and one leg.
  • 15.
    Patterned weakness? YES! The pattern ofpyramidal weakness is weakness of upper limbs’ extensors and lower limbs’ flexors. For instance, left-sided pyramidal weakness, grade 3 power in both upper and lower limbs.
  • 16.
  • 17.
    Factors influencin g weakness? In long-standing cases: Spasticity(which is usually painful) may be overshadow the weakness. Contractures and “disuse atrophy” may further complicate the picture.
  • 18.
    Etiology, onset, course? Any lesion to thepyramidal tract from the cerebral cortex down to the ventral grey horns of the spinal cord can result in weakness. The resulting weakness can be: Acute, subacute, or chronic. Reversible, stable non-reversible, fluctuating, stuttering or step-ladder, or progressive. Associated signs and symptoms (such as severe cerebellar dysfunction or involuntary movements? All depend on where is the lesion, what is the lesion, and why?
  • 19.
    Onset? • Acute: somethingof a sudden or abrupt onset, typically vascular (stroke), inflammatory, demyelination, trauma, etc. • Subacute: usually few days to few weeks (the definition depends on the etiology, e.g., subacute subdural hematoma is from 3 days to 21 days). • Chronic: usually more than few weeks (?etiology) typically degenerative, benign tumors, etc.
  • 20.
    Course? • Variable degreeof improvement in muscle power may appear through out the course, depending on the underlying etiology and compensatory mechanisms. • Or else, the course is relentlessly progressive.
  • 21.
    Always look forother signs and symptoms? These help localize the lesion (hemispheric, brainstem, and/or spinal cord). Choose the appropriate diagnostic investigation(s) (e.g., brain versus spinal MRI; cervical MRI versus dorsal MRI). Guide the priority in the managing plan (rapid life- saving treatment, physiotherapy, follow-up, etc.).
  • 22.
    Localization of theweakness? • Hemiparesis: depends on whether facial weakness is present or not. • No facial weakness the lesion is below the lower pons. (Remember, brainstem lesions can result in “crossed signs”) Signs ipsilateral and contralateral to the lesion (out of the scope for undergraduate students)
  • 23.
    Upper and lowerlimbs on one side? Say, left hemiparesis Contralateral to the lesion Ipsilateral to the lesion From the cerebral cortex down to Below pyramidal decussation to C5 cord just before the medullary (pyramidal) decussation NB: Lesions at the level of the pyramidal decussation, e.g., foramen magnum lesions, are beyond undergraduates!
  • 24.
  • 25.
    Both lower limbs, .e.g., spastic paraparesis •Right and left halves of the spinal cord, from T2 downwards to L1/2. Lesions within the cord from L2 downwards will cause more distal weakness. • The lesion could be symmetrical or asymmetrical. • Etiology: demyelination, tumor, abscess, trauma, central disc prolapse, anterior spinal artery occlusion, etc. • Look for sphincter disturbances and sensory level on the trunk! NB: Uncommon causes (beyond localization of T2 to L1/2): e.g., anterior midline frontal mass (both leg cortical areas will be damaged), degenerative (e.g., hereditary spastic paraparesis), and spastic diplegia (of cerebral palsy), vitamin B12 deficiency (subacute combined degeneration of the cord).
  • 26.
    Spastic monoparesis? • Thelesion is a small one, inflicting the upper or lower limb’s cortical area (map). This will cause contralateral spastic monoparesis. • Hemisectioning of the spinal cord (Brown-Séquard syndrome), due to trauma, tumors, etc. There is ipsilateral spastic leg weakness. • Other causes: yes, beyond you!
  • 27.
    Spastic quadriparesis? • Bilateralcorticospinal lesions above C5 spinal cord. • Most of these lesions damage the pyramidal tracts when they become close to each other, e.g., at the brainstem or high cervical cord. • Etiology: Brainstem stroke and brainstem (posterior fossa) tumors.
  • 28.
    Two (apart fromhemiparesis or paraparesis) or three limbs? Beyond undergraduates!
  • 29.
    Investigations(s)? • The 3questions are, after taking a thorough history and doing neurological examination? Where is the lesion? What is the lesion? And why?
  • 30.
    The list of“diagnostic investigations” in upper motor neuron lesions? • Depends on the overall clinical presentation and neuroligcal findings. • Whether there is/was any prior neurological insult (e.g., old stroke). • And your provisional diagnosis! Some investigations : - Are unsuitable for clinically unstable critical patients, e.g. brain MRI in patients with delirium. - Rapid access, availability, cost, etc. - Remember contraindications of certain tests, e.g. contrast use in brain CT scan in patients with mild renal impairment or cervical spine MRI for a patient with hip prosthesis.
  • 31.
    Paresis, where? Hemiparesis withfacial weakness: brain CT scan or brain MRI, with or without contrast. Hemiparesis without facial weakness: Brain/upper cervical MRI, with or without contrast. NB: Urgent non-contrast brain CT scan is the most suitable imaging modality in patients with acute hemiparesis because of its availability in Emergency Departments (usually), and it is rapid (the period of the test is very brief (compared to MRI). Drawback: poor visualization of posterior fossa structures because of boney artifacts, except in posterior fossa hemorrhages. Paraparesis: dorsal spine MRI, with or without contrast or in some cases, brain/cervical MRI (with or without contrast).
  • 32.
    Other pareses? Quadriparesis: brain/highcervical cord MRI, with or without contrast. Brain CT scan can also be used in the acute setting; depending on the etiology, it may reveal a diagnosis, e.g., pontine hemorrhage. Other pareses: Beyond undergraduates!
  • 33.
    Other investigations toconsolidate the diagnosis? • Brain MRV (magnetic resonance venography) and MRA (magnetic resonance angiography). • Conventional (4-vessel) cerebral angiography. • CSF analysis. • Evoked potentials (e.g., visual evoked potentials in multiple sclerosis). • …etc.
  • 34.
    Treatment of uppermotor neuron weakness? • Depends on the etiology: specific or symptomatic. • Treatment of spasticity and contractures: medications, physiotherapy, surgical intervention, intrathecal baclofen pump, etc. • Treatment of associated features, e.g., hyper-reflexic urinary bladder, dysthesic pain, dystonia/chorea, etc.
  • 35.
  • 41.
    True or false? The cortico-spinal tract contains fibers from the premotor cerebral cortex only?  The corticospinal tracts connect the cerebral cortex with the posterior grey horn of the spinal cord?  Lesions of the corticospinal tracts result in early and prominent muscle atrophy?  Early in the course of corticospinal tracts, muscle contractures overshadow the accompanying weakness?  The resulting upper motor neuron signs should be contralateral to the culprit lesion?  Quadriparesis indicates a lesion below T2 of the spinal cord?  MRI of the cervico-dorsal spine may be unremarkable in slowly progressive spastic paraparesis?  Brain CT is the first-line investigation in patients with acute hemiparesis?
  • 42.
    Cuneiform inscriptions on goldearrings stating that these earrings were gifts from King Shulgi of Ur. Ur III Dynasty, circa 2100 BCE. From Mesopotamia, Southern Iraq. The Sulaymaniyah Museum, Iraq.