Introduction to OperativeIntroduction to Operative
DentistryDentistry
Dr. Ashraf Y. ShamiaDr. Ashraf Y. Shamia
Al-Azhar University –Gaza
Dr.Haydar Abd El-Shafi Faculty of Dentistry
 is that branch of dentistry which deals with the
esthetic and functional restorationof the hard
tissues of individual teeth.
 Such treatment should result in the restoration of
proper tooth form, function, and esthetics while
maintaining the physiologic integrity of the teeth
in harmonious relationship with the adjacent hard
and soft tissues.
 Prevalence in U.S. population for 1988 to 1994
indicated that 45% of children (aged 5 to 17) had
carious teeth. In adults, almost 94% had evidence
of past or present coronal caries. Thus, caries will
be of major importance for the foreseeable future.
 Operative dentistry includes:
1. Diagnosis of the original insult of caries,
erosion, attrition, traumatic fracture,
hypoplasia, tissue discoloration, changes of
tooth form, size, position, alignment or
occlusion.
2. Planning of treatment in logical sequential
steps of procedures and determination of
possible cooperation of other allied disciplines
such as endodontics, periodontitics,
orthodontics or maxillofacial surgery.
3. Execution of operative and restorative
procedures.
 The indications for operative procedures are
numerous. However, they can be categorized
into three primary treatment needs:
1. Caries.
2. Malformed, discolored, nonesthetic, or fractured
teeth.
3. Restoration replacement or repair.
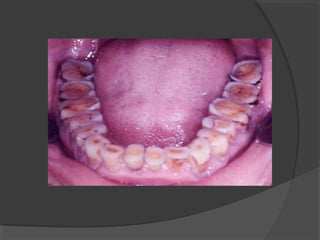
 Dental caries (tooth decay) and periodontal disease
are probably the most common chronic diseases in
the world. Although caries has affected humans
since prehistoric times, the prevalence of this
disease has greatly increased in modern times on a
worldwide basis, an increase strongly associated
with dietary change.
The classification devised by G.V. Black, which
is based upon the site of onset of the carious
process, and the relative frequency of the various
sites involved, is most widely adopted. Black
classified cavities into five classes:
a) Class I Cavities:
Those cavities originating in anatomical pits and
fissures. They are found in the occlusal surface of
molars and premolars.
b) Class II Cavities:
Are smooth surfaces lesions that occur in the
proximal surfaces i.e., mesial or distal of molars
and premolars.
c) Class III Cavities:
These cavities occur in the proximal surfaces
(mesial and distal) of incisors and canines; but do
not involve or include the incisal angle.
d) Class IV Cavities:
Cavities that originate on the mesial and distal
surfaces of incisor and canine teeth, but caries is so
extensive that the incisal angle is involved.
e) Class V Cavities:
Are smooth surface cavities occurring in the
gingival third of the buccal and lingual surfaces of
all teeth, excluding cavities occurring in anatomical
pits in the palatal surfaces of upper incisors, where
they are grouped with Class I cavity.
 ENAMEL.
 DENTIN.
 PULP.
 CEMENTUM.
1. Dental Caries.
2. Attrition (wear).
3. Abrasion.
4. Discoloration.
5. Fractures.
It is an infectious microbiological disease of the
teeth that results in localized demineralization and
destruction of the calcified tissues.
This is the disease that dentists deal with more than
90% of the time in operative dentistry. Several
theories were postulated concerning the cause of
caries, of these theories the acidogenic theory is
considered the most microbial enzymatic action on
ingested carbohydrates. These acids will decalcify the
inorganic portion of the teeth; then the organic portion
is disintegrated. This destructive process progresses
more rapidly in dentin than in enamel.
It is surface tooth structure loss resulting from
direct frictional forces between contacting teeth.
It is a continuous, age dependant process, usually
physiological. Attrition is accelerated by
parafunctional mandibular movement noticeably
bruxism. Attrition affects occluding surfaces.
It is surface loss of tooth structure resulting
from direct frictional forces between the teeth and
external objects, or from frictional forces between
contacting teeth components in the presence of an
abrasive medium. Abrasion is a pathologic
process.
It is deviation from the normal orthodox tooth
shade. Although it is not destructive, yet it has a far-
reaching effect on the affected individual, both
socially and psychologically. According to its
etiology, discoloration can be either extrinsic due to
surface staining, calculus or surface deposits that can
be removed by proper scaling and polishing - or
intrinsic created from changes in one or more of the
tooth tissues.
 Discoloring changes of dentin may result either from
non-vitality or from pigmentation and staining e.g.
metallic restorations, medicaments, microbial
metabolites etc. Tetracycline discoloration
(tetracycline administered during tooth formation) is
a sort of permanent staining of dentin and to some
extent to enamel.
It is separation and/or loss of tooth structure as a
result of trauma. Trauma that leads to these
mishaps can be from substantial impact forces
from a fall, a blow or sudden biting on a hard
substance.
 Traumatic injuries to natural teeth crowns range
from simple fractures of enamel (chipping), to
fracture of enamel and dentin with or without pulp
involvement, to total loss of crown structures.
Trauma can also lead to total avulsion of the tooth.
enamel and dentin without pulp > with pulp Loos of crown structuers
According to Black, cavity preparation is outlined
in six steps of procedures based on biological,
physical and mechanical fundamental principles. This
enables systematization and standardization of these
procedures so that each step will be completed
perfectly and consistently thus successful results will
be obtained.
1. Obtaining of the outline form.
2. Obtaining of the resistance and retention forms.
3. Obtaining of the required convenience form.
4. Removal of all carious dentin.
5. Finishing of the enamel walls and margins.
6. Performing of the toilet of the cavity.
PostPost
 Operative procedures should be performed with
due exactness and refinement because of the
heroic clinical oral conditions to which the
restorations are subjected. Because the extreme
inaccessibility that often exists, and the obligation
of avoiding tissue damage, the operator should
develop a special degree of skill in using the
different instruments. He must also be familiar
with the various types of instruments, their design
and material characteristics, sterilization,
sharpening, and ordering on the instrument table.
CarverCarver
Rotary Cutting InstrumentsRotary Cutting Instruments
 Ideal requirements of base materials:
In order to provide the protective and
medicating effects on the pulp-dentine organ of the
tooth tissue, the following ideal requirements of
these materials should be met.
Although no available material possesses all of
these properties some of them have most of the
properties and can be used effectively. However by
combining materials all ideal requirements can be
achieved.
1. It should improve the marginal sealing and the
adaptation to the cavity walls, preferably having
adhesive potential to tooth structure.
2. It must be non irritant to vital pulpal tissues.
3. It must provide thermal insulation against the
highly conductive metallic restorations.
4. It should reduce the galvanic action of metallic
restorations.
5. It should have minimal effective film thickness
without compromising the bulk needed for the future
restoration.
6. It must be strong enough to withstand condensation
forces and future masticatory forces without
distortion.
7. Compatible with overlying restorative material and
other intermediary base materials, i.e. it should not
react with the material or interfere with its setting
reaction or cause or predispose to its future
deterioration.
8. The material should resist degradation in the oral
fluids.
9. The material should be easy to apply.
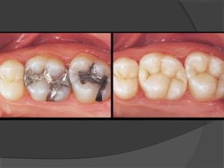
 Advantages & Disadvantages.
 Indications and Contraindications.
 Classification, Composition and Types.
 Manipulation of Amalgam.
 Amalgam has been an accepted part of dental
therapeutics for more than 150 years and is still used
for more than 75% of direct posterior restorations.
The reasons for its popularity lie in its ease of
manipulation, relatively low cost, and long life.
Some concern has been raised about mercury
toxicity from both a biologic and an environmental
point of view; however, it is believed that dental
amalgam presents an acceptable risk-to-benefit ratio
when properly used.
CapsulesCapsules
 Amalgam could be defined as an alloy of mercury
together with one or more metallic elements.
Dental amalgam is a metallic alloy that results
from mixing mercury together with a specially
formulated alloy that is based on the silver-tin
compound. Mercury has a unique characteristic; It
is the only metal which is liquid at room
temperature. It is thus used to liquefy and react
with dental amalgam alloy constituents producing
a workable plastic mass that solidifies at body
temperature maintaining the form and size of the
restoration.
 The high rate of success and longevity of
amalgam restorations is owed to its inherent
superior characteristics which comply, to a great
extent, with the rigid requirements of the oral
environment. Its performance is considered to be
a standard for comparison of new materials.
 Importance of proper position
Operator posture during work whether
standing or sitting provides correct performance
and influences operator's health. Improper chair
adjustment leads to loss of patient's cooperation
and comfort with reduction of his resistive
powers before the completion of work.
 Patient Assessment:
All the collected data from the patient must be
registered in the patient chart which should be
uncomplicated, comprehensive, accessible and
current update. The chart is divided into sections
deals with:
1. Personal data of the patient (name, age, sex,
occupation, address and telephone number).
2. Past and present medical history.
3. Past dental history.
4. Current dental problems and chief complaint.
LoupesLoupes
Dental MicroscopesDental Microscopes
Intraoral CameraIntraoral Camera
 General considerations:
A sound treatment plan depends on thorough
patient evaluation, dental expertise, understanding
of indications and contraindications, and prediction
of the patient's response to treatment. Basically
there are two types of treatment plans: an ideal plan
and an optimal plan.
 Ideal Treatment Plan:
It is developed for situations in which patient
constraints or dentist limitations do not
compromise treatment and the best forms of
treatment available are delivered. In reality,
however, ideal treatment plans rarely occur.
Instead they are modified by patient motivation,
systemic health, priorities, emotional status, and
financial capabilities.
 Also the dentist's knowledge, experience, and
training, laboratory support, dentist-patient
compatibility, and the availability of specialists,
and other functional, esthetic, and technical
demands modify treatment plans. Clearly, one or
more of these modifiers act to change an ideal plan
to an optimal treatment plan.
 Optimal Treatment Plan:
Even when modification is necessary, the
practitioner is ethically and professionally
responsible for providing the best level of care
possible. For example, if a tooth ideally should be
treated with a cast restoration, but the patient is
unable to afford this care, then optimal treatment
would consist of a large, complex, amalgam
restoration.
Sterilization
Moisture Control of the Operative
Field
Management of Deep Carious
1. It should stop further progress of the
present lesion such as caries, abrasion,
attrition or fracture.
2. It should restore normal function of the
affected tooth which may be cutting,
tearing or mastication of food.
3. It should restore any speech defects due to
missing parts of the hard tooth structures.
4. It should restore normal esthetic.
5. It should restore and maintain the integrity of
the dental arch and its surrounding
periodontium.
6. It should sustain the normal physiologic
occlusal load without fracture and it should
protect the remaining hard sound tooth
structures from fracture.
7. It should protect and maintain pulp vitality.
 Dental fear refers to the fear of dentistry and of
receiving dental care. A pathological form of this
fear is variously called dental phobia,
odontophobia, dentophobia, dentist phobia, or
dental anxiety.
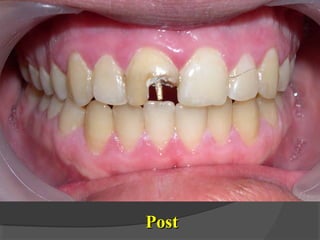
 Temporary restorations are those restorations,
which are inserted into the prepared cavity, only
for a certain period of time till replaced by a
permanent restoration. In indirect restorations, it
serves as a substitute restoration while a
permanent restoration is being fabricated in the
laboratory. They can be also called intermediate
or provisional restorations.
Introduction to Dentistry 3

Introduction to Dentistry 3

  • 1.
    Introduction to OperativeIntroductionto Operative DentistryDentistry Dr. Ashraf Y. ShamiaDr. Ashraf Y. Shamia Al-Azhar University –Gaza Dr.Haydar Abd El-Shafi Faculty of Dentistry
  • 2.
     is thatbranch of dentistry which deals with the esthetic and functional restorationof the hard tissues of individual teeth.
  • 4.
     Such treatmentshould result in the restoration of proper tooth form, function, and esthetics while maintaining the physiologic integrity of the teeth in harmonious relationship with the adjacent hard and soft tissues.
  • 6.
     Prevalence inU.S. population for 1988 to 1994 indicated that 45% of children (aged 5 to 17) had carious teeth. In adults, almost 94% had evidence of past or present coronal caries. Thus, caries will be of major importance for the foreseeable future.
  • 7.
     Operative dentistryincludes: 1. Diagnosis of the original insult of caries, erosion, attrition, traumatic fracture, hypoplasia, tissue discoloration, changes of tooth form, size, position, alignment or occlusion. 2. Planning of treatment in logical sequential steps of procedures and determination of possible cooperation of other allied disciplines such as endodontics, periodontitics, orthodontics or maxillofacial surgery. 3. Execution of operative and restorative procedures.
  • 8.
     The indicationsfor operative procedures are numerous. However, they can be categorized into three primary treatment needs: 1. Caries. 2. Malformed, discolored, nonesthetic, or fractured teeth. 3. Restoration replacement or repair.
  • 11.
     Dental caries(tooth decay) and periodontal disease are probably the most common chronic diseases in the world. Although caries has affected humans since prehistoric times, the prevalence of this disease has greatly increased in modern times on a worldwide basis, an increase strongly associated with dietary change.
  • 13.
    The classification devisedby G.V. Black, which is based upon the site of onset of the carious process, and the relative frequency of the various sites involved, is most widely adopted. Black classified cavities into five classes:
  • 14.
    a) Class ICavities: Those cavities originating in anatomical pits and fissures. They are found in the occlusal surface of molars and premolars.
  • 18.
    b) Class IICavities: Are smooth surfaces lesions that occur in the proximal surfaces i.e., mesial or distal of molars and premolars.
  • 21.
    c) Class IIICavities: These cavities occur in the proximal surfaces (mesial and distal) of incisors and canines; but do not involve or include the incisal angle.
  • 24.
    d) Class IVCavities: Cavities that originate on the mesial and distal surfaces of incisor and canine teeth, but caries is so extensive that the incisal angle is involved.
  • 27.
    e) Class VCavities: Are smooth surface cavities occurring in the gingival third of the buccal and lingual surfaces of all teeth, excluding cavities occurring in anatomical pits in the palatal surfaces of upper incisors, where they are grouped with Class I cavity.
  • 30.
     ENAMEL.  DENTIN. PULP.  CEMENTUM.
  • 32.
    1. Dental Caries. 2.Attrition (wear). 3. Abrasion. 4. Discoloration. 5. Fractures.
  • 33.
    It is aninfectious microbiological disease of the teeth that results in localized demineralization and destruction of the calcified tissues.
  • 34.
    This is thedisease that dentists deal with more than 90% of the time in operative dentistry. Several theories were postulated concerning the cause of caries, of these theories the acidogenic theory is considered the most microbial enzymatic action on ingested carbohydrates. These acids will decalcify the inorganic portion of the teeth; then the organic portion is disintegrated. This destructive process progresses more rapidly in dentin than in enamel.
  • 36.
    It is surfacetooth structure loss resulting from direct frictional forces between contacting teeth. It is a continuous, age dependant process, usually physiological. Attrition is accelerated by parafunctional mandibular movement noticeably bruxism. Attrition affects occluding surfaces.
  • 38.
    It is surfaceloss of tooth structure resulting from direct frictional forces between the teeth and external objects, or from frictional forces between contacting teeth components in the presence of an abrasive medium. Abrasion is a pathologic process.
  • 42.
    It is deviationfrom the normal orthodox tooth shade. Although it is not destructive, yet it has a far- reaching effect on the affected individual, both socially and psychologically. According to its etiology, discoloration can be either extrinsic due to surface staining, calculus or surface deposits that can be removed by proper scaling and polishing - or intrinsic created from changes in one or more of the tooth tissues.
  • 43.
     Discoloring changesof dentin may result either from non-vitality or from pigmentation and staining e.g. metallic restorations, medicaments, microbial metabolites etc. Tetracycline discoloration (tetracycline administered during tooth formation) is a sort of permanent staining of dentin and to some extent to enamel.
  • 45.
    It is separationand/or loss of tooth structure as a result of trauma. Trauma that leads to these mishaps can be from substantial impact forces from a fall, a blow or sudden biting on a hard substance.
  • 46.
     Traumatic injuriesto natural teeth crowns range from simple fractures of enamel (chipping), to fracture of enamel and dentin with or without pulp involvement, to total loss of crown structures. Trauma can also lead to total avulsion of the tooth.
  • 47.
    enamel and dentinwithout pulp > with pulp Loos of crown structuers
  • 49.
    According to Black,cavity preparation is outlined in six steps of procedures based on biological, physical and mechanical fundamental principles. This enables systematization and standardization of these procedures so that each step will be completed perfectly and consistently thus successful results will be obtained.
  • 50.
    1. Obtaining ofthe outline form. 2. Obtaining of the resistance and retention forms. 3. Obtaining of the required convenience form. 4. Removal of all carious dentin. 5. Finishing of the enamel walls and margins. 6. Performing of the toilet of the cavity.
  • 54.
  • 56.
     Operative proceduresshould be performed with due exactness and refinement because of the heroic clinical oral conditions to which the restorations are subjected. Because the extreme inaccessibility that often exists, and the obligation of avoiding tissue damage, the operator should develop a special degree of skill in using the different instruments. He must also be familiar with the various types of instruments, their design and material characteristics, sterilization, sharpening, and ordering on the instrument table.
  • 64.
  • 66.
  • 74.
     Ideal requirementsof base materials: In order to provide the protective and medicating effects on the pulp-dentine organ of the tooth tissue, the following ideal requirements of these materials should be met. Although no available material possesses all of these properties some of them have most of the properties and can be used effectively. However by combining materials all ideal requirements can be achieved.
  • 75.
    1. It shouldimprove the marginal sealing and the adaptation to the cavity walls, preferably having adhesive potential to tooth structure. 2. It must be non irritant to vital pulpal tissues. 3. It must provide thermal insulation against the highly conductive metallic restorations. 4. It should reduce the galvanic action of metallic restorations.
  • 76.
    5. It shouldhave minimal effective film thickness without compromising the bulk needed for the future restoration. 6. It must be strong enough to withstand condensation forces and future masticatory forces without distortion. 7. Compatible with overlying restorative material and other intermediary base materials, i.e. it should not react with the material or interfere with its setting reaction or cause or predispose to its future deterioration. 8. The material should resist degradation in the oral fluids. 9. The material should be easy to apply.
  • 79.
     Advantages &Disadvantages.  Indications and Contraindications.  Classification, Composition and Types.  Manipulation of Amalgam.
  • 81.
     Amalgam hasbeen an accepted part of dental therapeutics for more than 150 years and is still used for more than 75% of direct posterior restorations. The reasons for its popularity lie in its ease of manipulation, relatively low cost, and long life. Some concern has been raised about mercury toxicity from both a biologic and an environmental point of view; however, it is believed that dental amalgam presents an acceptable risk-to-benefit ratio when properly used.
  • 83.
  • 84.
     Amalgam couldbe defined as an alloy of mercury together with one or more metallic elements. Dental amalgam is a metallic alloy that results from mixing mercury together with a specially formulated alloy that is based on the silver-tin compound. Mercury has a unique characteristic; It is the only metal which is liquid at room temperature. It is thus used to liquefy and react with dental amalgam alloy constituents producing a workable plastic mass that solidifies at body temperature maintaining the form and size of the restoration.
  • 85.
     The highrate of success and longevity of amalgam restorations is owed to its inherent superior characteristics which comply, to a great extent, with the rigid requirements of the oral environment. Its performance is considered to be a standard for comparison of new materials.
  • 88.
     Importance ofproper position Operator posture during work whether standing or sitting provides correct performance and influences operator's health. Improper chair adjustment leads to loss of patient's cooperation and comfort with reduction of his resistive powers before the completion of work.
  • 89.
     Patient Assessment: Allthe collected data from the patient must be registered in the patient chart which should be uncomplicated, comprehensive, accessible and current update. The chart is divided into sections deals with: 1. Personal data of the patient (name, age, sex, occupation, address and telephone number). 2. Past and present medical history. 3. Past dental history. 4. Current dental problems and chief complaint.
  • 90.
  • 91.
  • 92.
  • 96.
     General considerations: Asound treatment plan depends on thorough patient evaluation, dental expertise, understanding of indications and contraindications, and prediction of the patient's response to treatment. Basically there are two types of treatment plans: an ideal plan and an optimal plan.
  • 97.
     Ideal TreatmentPlan: It is developed for situations in which patient constraints or dentist limitations do not compromise treatment and the best forms of treatment available are delivered. In reality, however, ideal treatment plans rarely occur. Instead they are modified by patient motivation, systemic health, priorities, emotional status, and financial capabilities.
  • 98.
     Also thedentist's knowledge, experience, and training, laboratory support, dentist-patient compatibility, and the availability of specialists, and other functional, esthetic, and technical demands modify treatment plans. Clearly, one or more of these modifiers act to change an ideal plan to an optimal treatment plan.
  • 99.
     Optimal TreatmentPlan: Even when modification is necessary, the practitioner is ethically and professionally responsible for providing the best level of care possible. For example, if a tooth ideally should be treated with a cast restoration, but the patient is unable to afford this care, then optimal treatment would consist of a large, complex, amalgam restoration.
  • 100.
  • 103.
    Moisture Control ofthe Operative Field
  • 106.
  • 109.
    1. It shouldstop further progress of the present lesion such as caries, abrasion, attrition or fracture. 2. It should restore normal function of the affected tooth which may be cutting, tearing or mastication of food. 3. It should restore any speech defects due to missing parts of the hard tooth structures. 4. It should restore normal esthetic.
  • 110.
    5. It shouldrestore and maintain the integrity of the dental arch and its surrounding periodontium. 6. It should sustain the normal physiologic occlusal load without fracture and it should protect the remaining hard sound tooth structures from fracture. 7. It should protect and maintain pulp vitality.
  • 111.
     Dental fearrefers to the fear of dentistry and of receiving dental care. A pathological form of this fear is variously called dental phobia, odontophobia, dentophobia, dentist phobia, or dental anxiety.
  • 115.
     Temporary restorationsare those restorations, which are inserted into the prepared cavity, only for a certain period of time till replaced by a permanent restoration. In indirect restorations, it serves as a substitute restoration while a permanent restoration is being fabricated in the laboratory. They can be also called intermediate or provisional restorations.