IMPLANTS IN BRUXISM
1
DEPARTMENT OF PROSTHODONTICS
Dr. Sreeram.v.vijay
Post-Graduate Trainee
Contents
 Introduction
 Consequences Of Overload Of Dental Implants
 Causes Of Overload Of Implants
 Bruxism
 Occlusal Considerations For Implant Prostheses
 Occlusal Material For The Suprastructure In Implant Prostheses
 Management Of Bruxism
 Conclusion
2
Introduction
What Is An Implant ?
 “A prosthetic device made of alloplastic biomaterial, surgically implanted
into the oral tissues beneath the mucosa, and/ or within the bone to provide
retention and support for a fixed or removable prosthesis”.
GPT - 8
Osseointegration
 The apparent direct attachment or connection of osseous tissue to an inert,
alloplastic material without intervening connective tissue.
GPT - 8
3
4
OVERLOAD
BIOLOGICAL BIOMECHANICAL
Consequences of overload of dental implants
Biological complications5
Early failures Late failures
Insufficient osseointegration Pathological bone loss after
complete osseointegration
Clinical Management of Implant Prostheses in Patients with Bruxism
Osamu Komiyama,Frank Lobbezoo International Journal of
Biomaterials ,Volume 2012
Biomechanical complications
 Screw loosening
 Implant fracture
 Uncemented restoration
6
 Component fracture
 Porcelain fracture
 Prosthesis fracture
7
Causes of overload of implants
 Poor bone density/quality
 Inadequate number of implants
 Large occlusal table
 Steep cusp inclination
8
Occlusal consideration in implant therapy,
Kim Y, Oh T-J, Misch CE ; Clin. Oral Impl.
Res. 16, 2005 / 26–35
 Excessive premature contacts
 >180 µm in monkey studies
 >100 µm in human
 Overextended cantilever
 >15 mm in the mandible
 >10–12 mm in the maxilla
 Parafunctional habits/Heavy bite force
 Bruxism
 Clenching
9
Occlusal consideration in implant therapy,
Kim Y, Oh T-J, Misch CE ; Clin. Oral Impl.
Res. 16, 2005 / 26–35
What Is Bruxism ?
 Bruxism is a movement disorder of the masticatory system that is
expressed, among others, by tooth grinding and clenching, during
sleep as well as during wakefulness.
10
Bruxism - Diagnosis
Lavigne et al. proposed sleep bruxism research diagnostic criteria
(SB-RDC)
 A history of frequent tooth grinding occurring at least 3 nights per
week for the preceding 6 months, as confirmed by a sleep partner
 Clinical presence of tooth wear
 Masseter muscle hypertrophy
 Report of jaw muscle fatigue or tenderness in the morning
11
 Bruxism has also been suggested to cause excessive (occlusal) load
of dental implants and their suprastructures
 Bruxism is often considered as contraindication for implant
treatment.
 Researchers use bruxism as an exclusion criterion for the selection
of their participants in clinical studies concerning treatment
modalities with dental implants
12 Bruxism – Contraindication for implants ?
 In a study of 379 patients who had used implant prostheses for many
years, occlusal wear had no statistically significant impact on
vertical peri-implant bone loss
 Occlusal wear was closely related to bruxism, and thus bruxism did
not seem to be a risk factor for the examined variables
13 Bruxism – Insignificant in implant therapy !
Occlusal considerations for implant prostheses
 Natural tooth is attached through periodontal ligaments and osseointegrated
implant has a rigid bone contact
 A natural tooth can be intruded about 28 to100 μm by a light force (20 N)
compared to only 2 to 5 μm for an osseointegrated implant
14
Clinical Management of Implant Prostheses in Patients with Bruxism Osamu
Komiyama,Frank Lobbezoo International Journal of Biomaterials ,Volume
2012
 Occlusal perception level is higher for implant prostheses than for natural
teeth
 Occlusal scheme for an implant prosthesis should be designed to decrease
cuspal interferences, centralize forces along the long axis, and minimize
lateral forces
15
Clinical Management of Implant Prostheses in Patients with Bruxism Osamu
Komiyama,Frank Lobbezoo International Journal of Biomaterials ,Volume 2012
Clinical trials regarding the influence of bruxism on
implant prostheses are limited16
Clinical Management of Implant Prostheses in Patients with Bruxism Osamu
Komiyama,Frank Lobbezoo International Journal of Biomaterials ,Volume 2012
Authors’ views on the same
 Taylor et al
The damaging effects of bruxism are created through lateral
friction between the occlusal surfaces of maxilla and mandible
 Miyata et al
The relationship between occlusal overload and peri-implant
tissue and suggested that peri-implant bone resorption occurred under
occlusal overload
17
 Heitz-Mayfield et al
A period of 8 months of excessive occlusal load on titanium
implants did not result in loss of osseointegration or marginal bone loss
when compared with nonloaded implants in animal study
18
Occlusal material for the suprastructure in
implant prostheses19
Materials Advantages Disadvantages
Acrylic resin Shock absorbing material No wear resistance
Metal ceramic Withstand maximum
occlusal forces
Chipping or a fracture of
ceramic portion
Ceramic Superior esthetics and wear
resistance
Maximum forces transmitted
to the implant – bone
interface
Zirconia Long lasting and good
esthetics
Cause friction against the
root of the tooth as well as
other teeth
Clinical Management of Implant Prostheses in Patients with Bruxism Osamu
Komiyama,Frank Lobbezoo International Journal of Biomaterials ,Volume 2012
Management of bruxism
Night Guard And Pharmacological Approach For Bruxism
Night Guard
20
CONSEQUENCES OF NOCTURNAL
PARAFUNCTIONAL HABITS MAY
BE PREVENTED BY ACRYLIC
RESIN NIGHT GUARDS
21
22
 A night guard should promote even occlusal contacts around the arch in
centric-related occlusion
 The consequences or intensity of the bruxism habit may be directly
observed
 Night guard is hollowed out at the implant sites so no occlusal force is
transmitted to the implant prostheses
 A soft material may also be placed around the crowns for stress relief and
to decrease the impact force on the crowns
23
Pharmacological Approach
 Low doses of the dopamine D1/D2 receptor agonist pergolide
finally resulted in a substantial and lasting reduction in the bruxism
 The use of acetylcholine-inhibiting formulations such as botulinum
toxin
 Benzodiazepam–type drugs and muscle relaxants have been
prescribed by clinicians in an attempt to reduce nocturnal bruxism
 Dopaminergic medication also appears to demonstrate potential
utility in reducing nocturnal bruxism
24
[Guideline] Kato T, Thie NM, Montplaisir JY, Lavigne GJ. Bruxism
and orofacial movements during sleep.Dent Clin North Am. 2001
Oct. 45(4):657-84
Conclusion25
The lack of well-designed clinical trials regarding the
consequence of bruxism on implant prostheses poses a serious
problem.
At present, expert opinion and cautionary approaches are still
considered the best available sources for suggesting good
practice indicators.
There is an urgent need for those actively engaged in clinical
research centers and university research institutes to provide
evidence on whether the subjective feeling of clinicians
regarding the approach of bruxism in implant patients is correct
or not.
References
 T. D. Taylor, J. Wiens, and A. Carr, “Evidence-based considerations for removable
prosthodontic and dental implant occlusion: a literature review,” Journal of Prosthetic
Dentistry, vol. 94, no. 6, pp. 555–560, 2005
 T. Haraldson, G. E. Carlsson, and B. Ingervall, “Functional state, bite force and
postural muscle activity in patients with osseointegrated oral implant bridges,”
ActaOdontologica Scandinavica, vol. 37, no. 4, pp. 195–206, 1979
 J. van der Zaag, F. Lobbezoo, P. G. G. L. van der Avoort, D. J. Wicks, H. L.
Hamburger, and M. Naeije, “Effects of pergolide on severe sleep bruxism in a patient
experiencing oral implant failure,” Journal of Oral Rehabilitation, vol. 34, no. 5, pp.
317– 322, 2007
26
 Occlusal consideration in implant therapy, Kim Y, Oh T-J, Misch CE ; Clin. Oral Impl. Res.
16, 2005 / 26–35
 Effects Of Pergolide On Severe Sleep Bruxism In A Patient Experiencing Oral Implant
Failure, Jac. Van Der Zaag, Frank Lobbezoo, J Oral Rehabil. 2007;34(5):317-322.
 Bruxism: Its Multiple Causes And Its Effects On Dental Implants – An Updated Review* F.
Lobbezoo, J. Van Der Zaag & M. NAEIJE, Journal Of Oral Rehabilitation 2006 33; 293–
300
 [Guideline] Kato T, Thie NM, Montplaisir JY, Lavigne GJ. Bruxism and orofacial
movements during sleep.Dent Clin North Am. 2001 Oct. 45(4):657-84
 Does bruxism contribute to dental implant failure? Zhou Y, Gao J, Luo L, Wang Y. A
systematic review and meta-analysis. Clinical Implant Dentistry and Related Research 2015
 Management of Abutment Screw Loosening: Review of Literature and Report of a Case
Vinod Krishnan, C. Tony Thomas & Ipe Sabu Volume 14 Number 3 J Indian Prosthodont
Soc (2014) 14:208-214
27
THANK YOU
28

IMPLANTS IN BRUXISM

  • 1.
    IMPLANTS IN BRUXISM 1 DEPARTMENTOF PROSTHODONTICS Dr. Sreeram.v.vijay Post-Graduate Trainee
  • 2.
    Contents  Introduction  ConsequencesOf Overload Of Dental Implants  Causes Of Overload Of Implants  Bruxism  Occlusal Considerations For Implant Prostheses  Occlusal Material For The Suprastructure In Implant Prostheses  Management Of Bruxism  Conclusion 2
  • 3.
    Introduction What Is AnImplant ?  “A prosthetic device made of alloplastic biomaterial, surgically implanted into the oral tissues beneath the mucosa, and/ or within the bone to provide retention and support for a fixed or removable prosthesis”. GPT - 8 Osseointegration  The apparent direct attachment or connection of osseous tissue to an inert, alloplastic material without intervening connective tissue. GPT - 8 3
  • 4.
  • 5.
    Biological complications5 Early failuresLate failures Insufficient osseointegration Pathological bone loss after complete osseointegration Clinical Management of Implant Prostheses in Patients with Bruxism Osamu Komiyama,Frank Lobbezoo International Journal of Biomaterials ,Volume 2012
  • 6.
    Biomechanical complications  Screwloosening  Implant fracture  Uncemented restoration 6
  • 7.
     Component fracture Porcelain fracture  Prosthesis fracture 7
  • 8.
    Causes of overloadof implants  Poor bone density/quality  Inadequate number of implants  Large occlusal table  Steep cusp inclination 8 Occlusal consideration in implant therapy, Kim Y, Oh T-J, Misch CE ; Clin. Oral Impl. Res. 16, 2005 / 26–35
  • 9.
     Excessive prematurecontacts  >180 µm in monkey studies  >100 µm in human  Overextended cantilever  >15 mm in the mandible  >10–12 mm in the maxilla  Parafunctional habits/Heavy bite force  Bruxism  Clenching 9 Occlusal consideration in implant therapy, Kim Y, Oh T-J, Misch CE ; Clin. Oral Impl. Res. 16, 2005 / 26–35
  • 10.
    What Is Bruxism?  Bruxism is a movement disorder of the masticatory system that is expressed, among others, by tooth grinding and clenching, during sleep as well as during wakefulness. 10
  • 11.
    Bruxism - Diagnosis Lavigneet al. proposed sleep bruxism research diagnostic criteria (SB-RDC)  A history of frequent tooth grinding occurring at least 3 nights per week for the preceding 6 months, as confirmed by a sleep partner  Clinical presence of tooth wear  Masseter muscle hypertrophy  Report of jaw muscle fatigue or tenderness in the morning 11
  • 12.
     Bruxism hasalso been suggested to cause excessive (occlusal) load of dental implants and their suprastructures  Bruxism is often considered as contraindication for implant treatment.  Researchers use bruxism as an exclusion criterion for the selection of their participants in clinical studies concerning treatment modalities with dental implants 12 Bruxism – Contraindication for implants ?
  • 13.
     In astudy of 379 patients who had used implant prostheses for many years, occlusal wear had no statistically significant impact on vertical peri-implant bone loss  Occlusal wear was closely related to bruxism, and thus bruxism did not seem to be a risk factor for the examined variables 13 Bruxism – Insignificant in implant therapy !
  • 14.
    Occlusal considerations forimplant prostheses  Natural tooth is attached through periodontal ligaments and osseointegrated implant has a rigid bone contact  A natural tooth can be intruded about 28 to100 μm by a light force (20 N) compared to only 2 to 5 μm for an osseointegrated implant 14 Clinical Management of Implant Prostheses in Patients with Bruxism Osamu Komiyama,Frank Lobbezoo International Journal of Biomaterials ,Volume 2012
  • 15.
     Occlusal perceptionlevel is higher for implant prostheses than for natural teeth  Occlusal scheme for an implant prosthesis should be designed to decrease cuspal interferences, centralize forces along the long axis, and minimize lateral forces 15 Clinical Management of Implant Prostheses in Patients with Bruxism Osamu Komiyama,Frank Lobbezoo International Journal of Biomaterials ,Volume 2012
  • 16.
    Clinical trials regardingthe influence of bruxism on implant prostheses are limited16 Clinical Management of Implant Prostheses in Patients with Bruxism Osamu Komiyama,Frank Lobbezoo International Journal of Biomaterials ,Volume 2012
  • 17.
    Authors’ views onthe same  Taylor et al The damaging effects of bruxism are created through lateral friction between the occlusal surfaces of maxilla and mandible  Miyata et al The relationship between occlusal overload and peri-implant tissue and suggested that peri-implant bone resorption occurred under occlusal overload 17
  • 18.
     Heitz-Mayfield etal A period of 8 months of excessive occlusal load on titanium implants did not result in loss of osseointegration or marginal bone loss when compared with nonloaded implants in animal study 18
  • 19.
    Occlusal material forthe suprastructure in implant prostheses19 Materials Advantages Disadvantages Acrylic resin Shock absorbing material No wear resistance Metal ceramic Withstand maximum occlusal forces Chipping or a fracture of ceramic portion Ceramic Superior esthetics and wear resistance Maximum forces transmitted to the implant – bone interface Zirconia Long lasting and good esthetics Cause friction against the root of the tooth as well as other teeth Clinical Management of Implant Prostheses in Patients with Bruxism Osamu Komiyama,Frank Lobbezoo International Journal of Biomaterials ,Volume 2012
  • 20.
    Management of bruxism NightGuard And Pharmacological Approach For Bruxism Night Guard 20 CONSEQUENCES OF NOCTURNAL PARAFUNCTIONAL HABITS MAY BE PREVENTED BY ACRYLIC RESIN NIGHT GUARDS
  • 21.
  • 22.
  • 23.
     A nightguard should promote even occlusal contacts around the arch in centric-related occlusion  The consequences or intensity of the bruxism habit may be directly observed  Night guard is hollowed out at the implant sites so no occlusal force is transmitted to the implant prostheses  A soft material may also be placed around the crowns for stress relief and to decrease the impact force on the crowns 23
  • 24.
    Pharmacological Approach  Lowdoses of the dopamine D1/D2 receptor agonist pergolide finally resulted in a substantial and lasting reduction in the bruxism  The use of acetylcholine-inhibiting formulations such as botulinum toxin  Benzodiazepam–type drugs and muscle relaxants have been prescribed by clinicians in an attempt to reduce nocturnal bruxism  Dopaminergic medication also appears to demonstrate potential utility in reducing nocturnal bruxism 24 [Guideline] Kato T, Thie NM, Montplaisir JY, Lavigne GJ. Bruxism and orofacial movements during sleep.Dent Clin North Am. 2001 Oct. 45(4):657-84
  • 25.
    Conclusion25 The lack ofwell-designed clinical trials regarding the consequence of bruxism on implant prostheses poses a serious problem. At present, expert opinion and cautionary approaches are still considered the best available sources for suggesting good practice indicators. There is an urgent need for those actively engaged in clinical research centers and university research institutes to provide evidence on whether the subjective feeling of clinicians regarding the approach of bruxism in implant patients is correct or not.
  • 26.
    References  T. D.Taylor, J. Wiens, and A. Carr, “Evidence-based considerations for removable prosthodontic and dental implant occlusion: a literature review,” Journal of Prosthetic Dentistry, vol. 94, no. 6, pp. 555–560, 2005  T. Haraldson, G. E. Carlsson, and B. Ingervall, “Functional state, bite force and postural muscle activity in patients with osseointegrated oral implant bridges,” ActaOdontologica Scandinavica, vol. 37, no. 4, pp. 195–206, 1979  J. van der Zaag, F. Lobbezoo, P. G. G. L. van der Avoort, D. J. Wicks, H. L. Hamburger, and M. Naeije, “Effects of pergolide on severe sleep bruxism in a patient experiencing oral implant failure,” Journal of Oral Rehabilitation, vol. 34, no. 5, pp. 317– 322, 2007 26
  • 27.
     Occlusal considerationin implant therapy, Kim Y, Oh T-J, Misch CE ; Clin. Oral Impl. Res. 16, 2005 / 26–35  Effects Of Pergolide On Severe Sleep Bruxism In A Patient Experiencing Oral Implant Failure, Jac. Van Der Zaag, Frank Lobbezoo, J Oral Rehabil. 2007;34(5):317-322.  Bruxism: Its Multiple Causes And Its Effects On Dental Implants – An Updated Review* F. Lobbezoo, J. Van Der Zaag & M. NAEIJE, Journal Of Oral Rehabilitation 2006 33; 293– 300  [Guideline] Kato T, Thie NM, Montplaisir JY, Lavigne GJ. Bruxism and orofacial movements during sleep.Dent Clin North Am. 2001 Oct. 45(4):657-84  Does bruxism contribute to dental implant failure? Zhou Y, Gao J, Luo L, Wang Y. A systematic review and meta-analysis. Clinical Implant Dentistry and Related Research 2015  Management of Abutment Screw Loosening: Review of Literature and Report of a Case Vinod Krishnan, C. Tony Thomas & Ipe Sabu Volume 14 Number 3 J Indian Prosthodont Soc (2014) 14:208-214 27
  • 28.

Editor's Notes

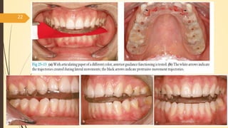
  • #9 when two implants are used instead of one to replace a missing tooth
  • #22 An acrylic bur is used to wear out all the premature contact points. This procedure is repeated as many times as necessary, until all the vestibular cusps and incisal edges simultaneously occlude on the surface of the splint
  • #23 the anterior guidance should prevent premolar and molar cusps from coming into contact with the surface of the splint
  • #25 Another drug that affects muscle function, by exerting a paralytic effect through an inhibition of acetylcholine release at the neuromuscular junction, is botulinum toxin