HÜCRE
ORGANELLER Hücre organellerini ve bölümlerini ilk tanımlayan kişiler ve tanımladıkları yıllar,  şu şekilde: 1. Çekirdek: Robert Brown, 1831 2. Nükleik asitler: James Watson ve Francis Crick, 1953 (ikili sarmal yapısı) 3. Mitokondri: Richard Altmann, 1890 4. Golgi: Camillo Golgi, 1898 5. Endoplazmik retikulum: Keith Porter, 1953 6. Ribozom: George Palade ve Philip Siekevitz, 1955 7. Lizozom: Rene de Duve, 1950 8. Siller: Jan Purkinje ve Gabriel Gustav Valentin, 1831
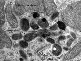
LİZOZOM
 
 
ÖZELLİKLERİ Golgi cisimciğinden  meydana gelirler. Hücre içi  sindirim enzimlerini taşıyan keseciklerdir . Hücreye  fagositoz  yada  pinositoz  ile alınmış yada hücre içinde oluşturulmuş her türlü büyük moleküller lizozom tarafından sindirilir. Hücrelerdeki protein, polisakkarit ve nükleik asitler gibi bileşikleri parçalayabilen enzimler bir zarla çevresinden ayrılarak lizozom içinde  etkisiz halde bulunmaktadır. Hücre yaşlanınca lizozomlar patlar ve hücre kendini sindirir. Buna  otoliz  denir. Sperm ucundaki  akrozom kesesi  de özelleşmiş bir lizozomdur ve yumurta zarının eritilmesine yardımcı olan enzimlerin salgılanmasında görevlidir.
Kurbağa larvalarında  kuyruğun kaybolması , ölmüş cesetlerin daha çabuk  çürümesi  bu intihar kesecikleri yardımı ile olmaktadır. Hücre  organellerinin yenilenmesinde  de lizozomların önemli görevleri vardır. Eskiyen hücreler ve organeller lizozomlarda otoliz olayı ile sindirilirler. Örneğin 1 gram karaciğer dokusunda bir saate, 1 milyar mitokondri sindirilip yenileri yapılır.
LİZOZOM ENZİMLERİ ve SUBSTRATLARI NÜKLEAZLAR    NÜKLEİK ASİTLER PROTEAZLAR    PROTEİNLER GLİKOZİDAZLAR    POLİSAKKARİTLER LİPAZLAR   LİPİTLER FOSFATAZLAR    ORGANİK BAZLI  FOSFATLAR
 
LİZOZOMUN ÇALIŞMASI Endositoz, bir hücrenin dışarıdan bir maddeyi, istemli olarak hücre içine almasıdır. Hücrenin içine alınacak olan madde, hücre zarından bir kısımla kaplanır. Bir kesecik (fagozom) içinde hücreye giren bu madde, daha sonra lizozom etkinliğiyle karşı karşıya kalır. Burada hemen önemli bir ayrıntıyı hatırlatmak istiyorum: hücre içinde yeni oluşturulan ve sitoplazma içinde durağan halde bulunan lizozomlar, “birincil lizozomlar” olarak adlandırılıyorlar. Hücreye bir fagozom alındığında, bu birincil lizozom kesecikleri fagozomun etrafında toplanıyorlar, zarlarını fagozom zarıyla birleştiriyorlar ve artık sindirim işlevini gerçekleştirebilecek olan bu bileşik yapı, “ikincil lizozom” adını alıyor. Birincil lizozomlar, hücreye yabancı olan maddeleri tanıyor ve onlara doğru itiliyorlar. Ancak, bunun mekanizması henüz kesin ve net bir şekilde açıklanmış değil. Lizozomların sindirim işlevini gerçekleştirebilmeleri için gerekli olan bir diğer koşul da, ortamın asit özelliği taşıması. Bu nedenle, sindirim işlevinin başlayabilmesi için, lizozom zarında bulunan proton pompaları, ATP harcayarak organel içine H+ iyonları pompalıyor. Bu nedenle de, durağan haldeyken her an her şeyi sindirebilir bir nitelik taşımıyorlar.
PARMAK OLUŞUMU Lizozomun hücredeki görevi hücre içine alınan kimi molekülleri parçalamaktır. Fakat kimi zaman programlanmış hücre ölümü denilen durumlarda lizozom açılarak içinde bulundurduğu sindirim enzimlerini hücreyi sindirmek üzere boşaltır. Bu duruma örneğin embriyonik gelişim sırasında parmak oluşumu aşamasında rastlıyoruz. Başta perdeli yapıda olan elimiz, aradaki hücrelerin programlı ölümüyle parmaklardan oluşan yapısına sahip oluyor.
ENDOPLAZMİK RETİKULUM
 
ÖZELLİKLERİ Hücre zarı ile çekirdek zarı arasında uzanan  kanalcıklardan  meydana gelmiştir. ER yi çevreleyen zar  hücre zarı özelliğinde  olmasına rağmen ondan daha incedir. Embriyonik hücrelerde, yumurtalarda, çekirdek bulundurmayan eritrositler ve trombositler  dışındaki tüm ökaryotik hücrelerde bulunur. ER kanalcıkları  hücre bölünürken kaybolur , daha sonra tekrar oluşur.
 
Hücrelerde iki çeşit ER vardır. GRANÜLLÜ ER:  Zarları üzerinde ribozom bulunur. Ribozomlar protein sentezi ile ilgilidir ve ER zarı üzerinde düzenli olarak dizilmiştir. Özellikle  protein sentezinin hızlı  olduğu hücrelerde oldukça gelişmiştir. Proteince zengin salgı içeren bez epitel hücrelerinde Granüllü ER oldukça gelişmiştir. Granüllü ER zarları üzerindeki ribozomlarda sentezlenen proteinler ER kanalına geçerek golgi cisimciği tarafından hücre dışına salgılanabilir yada hücre içinde kullanılabilir.
Granülsüz ER ER oluşturan tüpler üzerinde  ribozom bulunmaz. Karaciğer, testis, ovaryum, böbrek üstü bezi, bağırsak epiteli, mide ve çizgili kas hücreleri gibi işlevleri çok farklı olan hücrelerde rastlanmaktadır. Çoğu zaman aynı hücre içerisinde granüllü ve granülsüz ER birlikte bulunur. Granüllü ER daha çok  protein sentezi  yapan hücrelerde görülmesine rağmen, granülsüz ER daha çok  yağ sentezi  yapan hücrelerde görülür.
 
ER nin GÖREVLERİ Sitoplazma ile birlikte hücreye desteklik sağlar. Hücre içi  madde taşınmasında  görev alır. Çekirdek zarının oluşmasında görev alır. Çizgili kaslarda kasın kasılmasında ve gevşemesinde görev alır. Hücrede asidik ve bazik tepkimelerin birbirini etkilemeden meydana gelmesini sağlar. Zarların üzerinde bulunan  ribozomların sentezlediği proteinleri golgi cisimciğine taşır .

Hucre Organeller 1

  • 1.
  • 2.
    ORGANELLER Hücre organellerinive bölümlerini ilk tanımlayan kişiler ve tanımladıkları yıllar, şu şekilde: 1. Çekirdek: Robert Brown, 1831 2. Nükleik asitler: James Watson ve Francis Crick, 1953 (ikili sarmal yapısı) 3. Mitokondri: Richard Altmann, 1890 4. Golgi: Camillo Golgi, 1898 5. Endoplazmik retikulum: Keith Porter, 1953 6. Ribozom: George Palade ve Philip Siekevitz, 1955 7. Lizozom: Rene de Duve, 1950 8. Siller: Jan Purkinje ve Gabriel Gustav Valentin, 1831
  • 3.
  • 4.
  • 5.
  • 6.
    ÖZELLİKLERİ Golgi cisimciğinden meydana gelirler. Hücre içi sindirim enzimlerini taşıyan keseciklerdir . Hücreye fagositoz yada pinositoz ile alınmış yada hücre içinde oluşturulmuş her türlü büyük moleküller lizozom tarafından sindirilir. Hücrelerdeki protein, polisakkarit ve nükleik asitler gibi bileşikleri parçalayabilen enzimler bir zarla çevresinden ayrılarak lizozom içinde etkisiz halde bulunmaktadır. Hücre yaşlanınca lizozomlar patlar ve hücre kendini sindirir. Buna otoliz denir. Sperm ucundaki akrozom kesesi de özelleşmiş bir lizozomdur ve yumurta zarının eritilmesine yardımcı olan enzimlerin salgılanmasında görevlidir.
  • 7.
    Kurbağa larvalarında kuyruğun kaybolması , ölmüş cesetlerin daha çabuk çürümesi bu intihar kesecikleri yardımı ile olmaktadır. Hücre organellerinin yenilenmesinde de lizozomların önemli görevleri vardır. Eskiyen hücreler ve organeller lizozomlarda otoliz olayı ile sindirilirler. Örneğin 1 gram karaciğer dokusunda bir saate, 1 milyar mitokondri sindirilip yenileri yapılır.
  • 8.
    LİZOZOM ENZİMLERİ veSUBSTRATLARI NÜKLEAZLAR  NÜKLEİK ASİTLER PROTEAZLAR  PROTEİNLER GLİKOZİDAZLAR  POLİSAKKARİTLER LİPAZLAR  LİPİTLER FOSFATAZLAR  ORGANİK BAZLI FOSFATLAR
  • 9.
  • 10.
    LİZOZOMUN ÇALIŞMASI Endositoz,bir hücrenin dışarıdan bir maddeyi, istemli olarak hücre içine almasıdır. Hücrenin içine alınacak olan madde, hücre zarından bir kısımla kaplanır. Bir kesecik (fagozom) içinde hücreye giren bu madde, daha sonra lizozom etkinliğiyle karşı karşıya kalır. Burada hemen önemli bir ayrıntıyı hatırlatmak istiyorum: hücre içinde yeni oluşturulan ve sitoplazma içinde durağan halde bulunan lizozomlar, “birincil lizozomlar” olarak adlandırılıyorlar. Hücreye bir fagozom alındığında, bu birincil lizozom kesecikleri fagozomun etrafında toplanıyorlar, zarlarını fagozom zarıyla birleştiriyorlar ve artık sindirim işlevini gerçekleştirebilecek olan bu bileşik yapı, “ikincil lizozom” adını alıyor. Birincil lizozomlar, hücreye yabancı olan maddeleri tanıyor ve onlara doğru itiliyorlar. Ancak, bunun mekanizması henüz kesin ve net bir şekilde açıklanmış değil. Lizozomların sindirim işlevini gerçekleştirebilmeleri için gerekli olan bir diğer koşul da, ortamın asit özelliği taşıması. Bu nedenle, sindirim işlevinin başlayabilmesi için, lizozom zarında bulunan proton pompaları, ATP harcayarak organel içine H+ iyonları pompalıyor. Bu nedenle de, durağan haldeyken her an her şeyi sindirebilir bir nitelik taşımıyorlar.
  • 11.
    PARMAK OLUŞUMU Lizozomunhücredeki görevi hücre içine alınan kimi molekülleri parçalamaktır. Fakat kimi zaman programlanmış hücre ölümü denilen durumlarda lizozom açılarak içinde bulundurduğu sindirim enzimlerini hücreyi sindirmek üzere boşaltır. Bu duruma örneğin embriyonik gelişim sırasında parmak oluşumu aşamasında rastlıyoruz. Başta perdeli yapıda olan elimiz, aradaki hücrelerin programlı ölümüyle parmaklardan oluşan yapısına sahip oluyor.
  • 12.
  • 13.
  • 14.
    ÖZELLİKLERİ Hücre zarıile çekirdek zarı arasında uzanan kanalcıklardan meydana gelmiştir. ER yi çevreleyen zar hücre zarı özelliğinde olmasına rağmen ondan daha incedir. Embriyonik hücrelerde, yumurtalarda, çekirdek bulundurmayan eritrositler ve trombositler dışındaki tüm ökaryotik hücrelerde bulunur. ER kanalcıkları hücre bölünürken kaybolur , daha sonra tekrar oluşur.
  • 15.
  • 16.
    Hücrelerde iki çeşitER vardır. GRANÜLLÜ ER: Zarları üzerinde ribozom bulunur. Ribozomlar protein sentezi ile ilgilidir ve ER zarı üzerinde düzenli olarak dizilmiştir. Özellikle protein sentezinin hızlı olduğu hücrelerde oldukça gelişmiştir. Proteince zengin salgı içeren bez epitel hücrelerinde Granüllü ER oldukça gelişmiştir. Granüllü ER zarları üzerindeki ribozomlarda sentezlenen proteinler ER kanalına geçerek golgi cisimciği tarafından hücre dışına salgılanabilir yada hücre içinde kullanılabilir.
  • 17.
    Granülsüz ER ERoluşturan tüpler üzerinde ribozom bulunmaz. Karaciğer, testis, ovaryum, böbrek üstü bezi, bağırsak epiteli, mide ve çizgili kas hücreleri gibi işlevleri çok farklı olan hücrelerde rastlanmaktadır. Çoğu zaman aynı hücre içerisinde granüllü ve granülsüz ER birlikte bulunur. Granüllü ER daha çok protein sentezi yapan hücrelerde görülmesine rağmen, granülsüz ER daha çok yağ sentezi yapan hücrelerde görülür.
  • 18.
  • 19.
    ER nin GÖREVLERİSitoplazma ile birlikte hücreye desteklik sağlar. Hücre içi madde taşınmasında görev alır. Çekirdek zarının oluşmasında görev alır. Çizgili kaslarda kasın kasılmasında ve gevşemesinde görev alır. Hücrede asidik ve bazik tepkimelerin birbirini etkilemeden meydana gelmesini sağlar. Zarların üzerinde bulunan ribozomların sentezlediği proteinleri golgi cisimciğine taşır .