Histiocytic  sarcoma  
or  osteosarcoma...	
That is the question
Jerri  McIntosh	
•  10yo FN Rottweiler
•  Referred to the SAH Oncology
service for “treatment/mgmt of
an osteosarcoma”
•  A month ago: suddenly yelped &
became non-weight bearing
lame whilst running about
•  At local vet’s: radiographs (& referral) + tramadol +
advised strict rest
History	
•  EDDU all fine
•  had adhered to rest instructions - only let out to
garden
•  left forelimb lameness improved but not entirely
•  generally happy at home though the tramadol
made her quite sedated
•  known right forelimb osteoarthritis of 3 years
duration
•  has meloxicam for that
Clinical  exam	
•  bright & alert
•  visibly lame on left fore but mostly weight-bearing
•  feeling the limb, noted a firm swelling of muscle-&-
soft-tissue consistency
•  local draining lymph nodes (prescaps, axillary) not
palpably enlarged or firm
•  NAD on chest auscultation and abdominal
palpation
Radiographs  sent	
Ulna involvement - unusual
Radiographs  sent	
No pulmonary metastatic nodules were seen on chest radiographs
Our  plan  of  action	
o  routine bloodwork (haem & biochem)
o  CT scan of elbows (both)
o  CT scan of thorax
o  Abdominal ultrasound scan
o  FNA of the swelling
•  in-house + sent up to the clinical pathology unit
•  multiple slides to account for variation within the
lesion
The obligatory metcheck
Test  results  /  findings	
•  Routine blood work
o  Haematology unremarkable.
o  Biochemistry mild elevation of AST but no increase in ALP (often seen with
OSAs)
•  Abdominal ultrasound scan
NAD
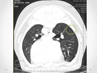
CT  thorax  (lung  window)
Diagnostic imaging dx:
Large aggressive soft tissue lesion with invasion and destruction of
proximal left ulna - likely neoplastic.
CT  forelimbs  (bone  &  soft  tissue  windows)
Right elbow also showed aggressive lytic change,
Centred especially on right medial humeral condyle.
CT  forelimbs  (bone  &  soft  tissue  windows)
FNAs  &  cytology	
•  High numbers of roundish/polygonal cells, many
with multiple nuclei
•  Anisocytosis and anisokaryosis
•  Some spindle cells, many of which were binucleate
and had multiple nucleoli
•  Monomorphic population of mesenchymal cells
exfoliating individually and in aggregates…
•  Associated with amorphous, pink extracellular matrix
(osteoid or collagen)…
•  Cells ranging in shape from oval to polygonal to
spindle…
•  Nucleus round to oval, often eccentrically located…
Types  of  tumours  that  can  
affect  bone  in  dogs	
•  Osteosarcoma
•  Chondrosarcoma
•  Fibrosarcoma
•  Haemangiosarcoma
•  Rhabdomyosarcoma
•  Histiocytic sarcoma
Metastatic tumors that
may present clinically as
bone tumors:
•  Carcinomas
•  Plasma cell myeloma
Osteosarcomas	
•  85-90% of primary bone tumours
•  Appendicular skeleton > axial skeleton
•  large and giant breeds >> small breeds
•  Predilection sites:
away from
the elbow,
towards the
knee
Osteosarcomas	
•  Transformed malignant cell is the osteoblast
•  Neoplastic cells often round/ovoid
Cowell  &  Tyler  –  cells  from  a  canine  osteosarcoma	
and not
Histiocytic  sarcomas  	
•  transformed malignant cells
are interstitial dendritic
antigen-presenting cells
(APCs)
•  Uncommon in dog
population as a whole
•  But tremendously common in
certain breeds Cowell  &  Tyler  –  aspirate  from  a  histiocytic  sarcoma	
Round,  discrete  cells!
Histiocytic  sarcomas	
•  2 forms
o  Localised
•  deep limb musculature and periarticular
•  Highly malignant and metastatic
o  Disseminated
•  both localised and disseminated forms carry quite a
guarded prognosis
Back  to  Jerri…	
Histiocytic  sarcoma?	
Osteosarcoma?
Jerri’s  FNA  slides  -­‐‑  
discussion	
•  Cytology can be rewarding but also confusing,
especially to the unpractised eye
•  Special cytochemical stains available
o  BCIP/NBT solution stains ALP in osteoblasts
o  ANBE stains intracellular esterase enzymes that are present in cells of dendritic/
monocytic origin
•  Variation amongst different sites of the lesion sampled
Provisional diagnosis:
Lytic bone tumour of left ulna.
Sarcoma.
Treatment  options	
•  Amputation + follow-up with chemo = first-line
•  Radiotherapy
•  More analgesics
o  e.g. tramadol , fentanyl patches
•  Bisphosphonates
o  help reduce bone lysis and pain
Palliative intent
Considerations	
•  Tried simulating a left forelimb amputation by
bandaging it up
•  The worrying CT scan findings
o  Pulmonary metastases – prognosis slightly poorer (though early stage
metastatic disease as not detected on radiography yet)
o  Compromised right elbow – arthritic change + possible neoplasm as well
Recommendations  and  
owner’s  decision	
•  Radiotherapy
•  +/- chemotherapy to follow
o  explained would be much less effective as, even though irradiated,
whole mass still there
•  +/- bisphosphonates and additional analgesic
medication
Jerri went home on metacam SID and she’s scheduled
to come in week commencing 15 sept for a 5d course
of radiotherapy (palliative intent)
Updates	
•  Owner has called on 2 occasions
o  Worried about Jerri’s lameness
o  Wondering if can XRT both forelimbs – going to give it a go
•  Jo also thinking of doing a repeat FNA (just for
interest’s sake)
o  Definitive diagnosis more important only if owners decide to follow on with
chemo
o  As would influence choice of agent
•  OSA à carboplatin
•  Histiocytic sarcoma à lomustine
Key  points	
•  Although osteosarcomas are the most
commonly occurring primary bone tumours, if
lesion is not in usual predilection site, then also
consider:
o  Histiocytic sarcomas – particularly in Bernese Mountain
Dogs, Flat coated retrievers, Rottweilers & Golden
Retrievers
o  Secondary mets – esp from mammary/prostatic
carcinomas and multiple myeloma
•  Always take radiographs of (or CT scan)
opposite limb as well !
o  Very helpful for comparison + evaluating patient
suitability for surgery
Julie, who initially saw Jerri
Gawain Hammond, for imaging interpretation advice
Jo Morris, for going over the case with me
Everyone here, for listening J

Histiocytic sarcoma or Osteosarcoma? That is the question.

  • 1.
    Histiocytic  sarcoma   or osteosarcoma... That is the question
  • 2.
    Jerri  McIntosh •  10yoFN Rottweiler •  Referred to the SAH Oncology service for “treatment/mgmt of an osteosarcoma” •  A month ago: suddenly yelped & became non-weight bearing lame whilst running about •  At local vet’s: radiographs (& referral) + tramadol + advised strict rest
  • 3.
    History •  EDDU allfine •  had adhered to rest instructions - only let out to garden •  left forelimb lameness improved but not entirely •  generally happy at home though the tramadol made her quite sedated •  known right forelimb osteoarthritis of 3 years duration •  has meloxicam for that
  • 4.
    Clinical  exam •  bright& alert •  visibly lame on left fore but mostly weight-bearing •  feeling the limb, noted a firm swelling of muscle-&- soft-tissue consistency •  local draining lymph nodes (prescaps, axillary) not palpably enlarged or firm •  NAD on chest auscultation and abdominal palpation
  • 5.
  • 6.
    Radiographs  sent No pulmonarymetastatic nodules were seen on chest radiographs
  • 7.
    Our  plan  of action o  routine bloodwork (haem & biochem) o  CT scan of elbows (both) o  CT scan of thorax o  Abdominal ultrasound scan o  FNA of the swelling •  in-house + sent up to the clinical pathology unit •  multiple slides to account for variation within the lesion The obligatory metcheck
  • 8.
    Test  results  / findings •  Routine blood work o  Haematology unremarkable. o  Biochemistry mild elevation of AST but no increase in ALP (often seen with OSAs) •  Abdominal ultrasound scan NAD
  • 9.
  • 12.
    Diagnostic imaging dx: Largeaggressive soft tissue lesion with invasion and destruction of proximal left ulna - likely neoplastic. CT  forelimbs  (bone  &  soft  tissue  windows)
  • 13.
    Right elbow alsoshowed aggressive lytic change, Centred especially on right medial humeral condyle. CT  forelimbs  (bone  &  soft  tissue  windows)
  • 14.
    FNAs  &  cytology • High numbers of roundish/polygonal cells, many with multiple nuclei •  Anisocytosis and anisokaryosis •  Some spindle cells, many of which were binucleate and had multiple nucleoli •  Monomorphic population of mesenchymal cells exfoliating individually and in aggregates… •  Associated with amorphous, pink extracellular matrix (osteoid or collagen)… •  Cells ranging in shape from oval to polygonal to spindle… •  Nucleus round to oval, often eccentrically located…
  • 15.
    Types  of  tumours that  can   affect  bone  in  dogs •  Osteosarcoma •  Chondrosarcoma •  Fibrosarcoma •  Haemangiosarcoma •  Rhabdomyosarcoma •  Histiocytic sarcoma Metastatic tumors that may present clinically as bone tumors: •  Carcinomas •  Plasma cell myeloma
  • 16.
    Osteosarcomas •  85-90% ofprimary bone tumours •  Appendicular skeleton > axial skeleton •  large and giant breeds >> small breeds •  Predilection sites: away from the elbow, towards the knee
  • 17.
    Osteosarcomas •  Transformed malignantcell is the osteoblast •  Neoplastic cells often round/ovoid Cowell  &  Tyler  –  cells  from  a  canine  osteosarcoma and not
  • 18.
    Histiocytic  sarcomas   • transformed malignant cells are interstitial dendritic antigen-presenting cells (APCs) •  Uncommon in dog population as a whole •  But tremendously common in certain breeds Cowell  &  Tyler  –  aspirate  from  a  histiocytic  sarcoma Round,  discrete  cells!
  • 19.
    Histiocytic  sarcomas •  2forms o  Localised •  deep limb musculature and periarticular •  Highly malignant and metastatic o  Disseminated •  both localised and disseminated forms carry quite a guarded prognosis
  • 20.
    Back  to  Jerri… Histiocytic sarcoma? Osteosarcoma?
  • 21.
    Jerri’s  FNA  slides -­‐‑   discussion •  Cytology can be rewarding but also confusing, especially to the unpractised eye •  Special cytochemical stains available o  BCIP/NBT solution stains ALP in osteoblasts o  ANBE stains intracellular esterase enzymes that are present in cells of dendritic/ monocytic origin •  Variation amongst different sites of the lesion sampled Provisional diagnosis: Lytic bone tumour of left ulna. Sarcoma.
  • 22.
    Treatment  options •  Amputation+ follow-up with chemo = first-line •  Radiotherapy •  More analgesics o  e.g. tramadol , fentanyl patches •  Bisphosphonates o  help reduce bone lysis and pain Palliative intent
  • 23.
    Considerations •  Tried simulatinga left forelimb amputation by bandaging it up •  The worrying CT scan findings o  Pulmonary metastases – prognosis slightly poorer (though early stage metastatic disease as not detected on radiography yet) o  Compromised right elbow – arthritic change + possible neoplasm as well
  • 24.
    Recommendations  and   owner’s decision •  Radiotherapy •  +/- chemotherapy to follow o  explained would be much less effective as, even though irradiated, whole mass still there •  +/- bisphosphonates and additional analgesic medication Jerri went home on metacam SID and she’s scheduled to come in week commencing 15 sept for a 5d course of radiotherapy (palliative intent)
  • 25.
    Updates •  Owner hascalled on 2 occasions o  Worried about Jerri’s lameness o  Wondering if can XRT both forelimbs – going to give it a go •  Jo also thinking of doing a repeat FNA (just for interest’s sake) o  Definitive diagnosis more important only if owners decide to follow on with chemo o  As would influence choice of agent •  OSA à carboplatin •  Histiocytic sarcoma à lomustine
  • 26.
    Key  points •  Althoughosteosarcomas are the most commonly occurring primary bone tumours, if lesion is not in usual predilection site, then also consider: o  Histiocytic sarcomas – particularly in Bernese Mountain Dogs, Flat coated retrievers, Rottweilers & Golden Retrievers o  Secondary mets – esp from mammary/prostatic carcinomas and multiple myeloma •  Always take radiographs of (or CT scan) opposite limb as well ! o  Very helpful for comparison + evaluating patient suitability for surgery
  • 27.
    Julie, who initiallysaw Jerri Gawain Hammond, for imaging interpretation advice Jo Morris, for going over the case with me Everyone here, for listening J