DURGADEVI S
(16MG33)
M.TECH BIOTECHNOLOGY
PSG COLLEGE OF TECHNOLOGY
HARVESTING AND
DOWNSTREAM PRODUCT
PURIFICATION
Introduction
2
 Extraction and purification of product from
fermentation is known as Downstream
Processing ( DSP) or Product Recovery
 It is an essential step in the manufacture of
pharmaceuticals product
 Cost of the product is determined by the DSP
involved
[
3 Source - Glick
Upstrea
m
process
Downstream
process
4
Source – Nandakisor et.a
1. Harvesting Microbial Cells
5
 Separation of cells from the culture
medium solid-liquid separation
 Typical operations to achieve this:
 Filtration
 Centrifugation
 Sedimentation
 Flocculation
 Gravity settling
Membrane filtration
Dead end filtration Cross flow filtration
6 Source - Glick
Types of Filtration
7
 Based on the particle sizes to be separated
Source – Nandakisor et.al.
Centrifugation
8
 Principle - density differences between the
particles to be separated
 Separating solid particles from liquid phase
Source – Nandakisor et.al.
2. Disrupting Microbial Cells
9
Source – Nandakisor et.al.
Mechanical cell disruption
10
Source - Glick
Disadvantages
11
 Whole cell contents are released out which
makes it difficult to separate out product of
interest from the mixture.
 Cell lysis increases viscosity of the solution
making it difficult to process in the further steps.
 Product released into harsh environment causing
the product to lose stability or activity.
 Enzymatic cell-disruption in large scale can be
expensive
3. Concentration
12
 The commonly used techniques for concentrating
biological products are,
 Evaporation
 Liquid-liquid extraction
 Membrane filtration
 Precipitation
 Adsorption
4.Purification by chromatography
13
 Stationary phase – porous solid matrix
 Mobile phase
Source – Nandakisor et.al.
Affinity chromatography
Hydrophobic interaction chromatography
14
5.Formulation
15
 Maintenance of activity and stability of a
biotechnological products during storage and
distribution
 Stabilizing additives - prolong the shelf life of
protein. (stabilizers include sugars , salts,
polymers and polyhydric alcohols)
 Proteins may be formulated in the form of
solutions, suspensions or dry powders
16
Source - Vasiliki Tsakaloudi
et.al.,
Problems in DSP of rDNA
product
17
S.N
o
Problems Solutions
1 Protein stability - depends
on the susceptibility of the
protein for proteolytic
decomposition
•lon-minus mutants from E.Coli k12 strains
•Synthesis of fusion protein
2
Recombinant proteins are
often found as insoluble
aggregates in the
cytoplasm. These
accumulations of solid
insoluble proteins are
called inclusion bodies
•Force protein secretion
•Changing the specific properties of the target
protein
•Distribution of the charge
•Fusion of heterologous gene with soluble
protein
•Fusion of heterologous gene with chaperon
3
Separation of Cells and
Cell Disruption – loss of
the target protein
•kil-gene of the plasmid ColE1 may yield
complete lyses of the cells. kil-gene, under the
control of the lac-promoter may lyse the cells
Contd.
18
S.N
o
Problems Solutions
4 Localization – recombinant
protein may be lethal to the
host when overproduced in
cytoplasmic region
•Target protein coupled with Signal sequences
(malE, ompA ,phoA )
•Human growth hormone which accumulated
in the periplasm of E. coli was able to be
exported into the medium upon induction of
bacteriocin release protein BRP
5 Cleavage of fusion protein –
some recombinant protein
with fusion protein are toxic
to the cells
•Fusion protein has to be constructed with a
specific cleavage side. (cleavage proteins –
Thrombin, blood coagulation factor Xa,
enterokinase)
•Oligonucleotide linker
•Intein
6 Plasmid instability •Strong and inducible promoter
7 Modification of proteins for
improvement of separation
•Altering certain physico-chemical properties
of the target protein by means of sitedirected
Fusion protein
19
 Fusion proteins - protects the cloned gene
product from attack by host cell proteases
Source - Glick
20 Source - Glick
Cleavage of fusion protein
21
 Oligonucleotide linker encoding the amino acid
sequence Ile-Glu-Gly-Arg can be joined to the
cloned gene.
 Following synthesis and purification of the fusion
protein, a blood coagulation factor called Xa -
release the target protein
Source - Glick
22
 Additional purification
steps in order to
separate both the
protein and the fusion
protein from the
protein of interest.
 This system has been
used to purify α-1-
antitrypsin and basic
human fibroblast
growth factor
Source - Glick
High recovery
23
 Histidine-tagged protein - passed over an
affinity column of nickel–nitrilotriacetic acid -
eluted – imidazole
 Greater than 90% recovery
24
 Human interleukin-2 gene - the marker peptide
sequence Asp-Tyr-Lys-Asp-Asp-Asp-Asp-Lys
 Dual function of reducing the degradation of the
expressed interleukin-2 gene product and then
enabling the product to be purified.
 Single step by immunoaffinity chromatography
 Bovine intestinal enterokinase
25 Source - Glick
Secretion
26
 Directing a foreign
protein to the
periplasm or the
growth medium
makes its purification
easier and less costly
 Secretion into the,
 Periplasm
 Medium
Secretion into periplasum
27
Secretion into the medium
28
 Gram-negative bacteria can secrete a
bacteriocidal protein called a bacteriocin into the
medium.
 A bacteriocin release protein activates
phospholipase A
 Cleaves membrane phosopholipids so that both
the inner and outer membranes are
permeabilized.
 Some cytoplasmic and periplasmic proteins are
released into the culture medium
29
30
Objective
31
 In this paper they deal with different factors
influencing protein maturation and export, such
as
(i) the nature of the signal peptide (OmpA or PhoA),
(ii) the role of charge distribution near the leader
peptidase cleavage site,
(iii) the influence of chaperones (GroES and GroEL),
(iv) the incubation temperature and inducer
concentration
(v) the use of lysis proteins and
(vi) fusion to a known, secreted protein (preMBP)
32
33
Methods
34
 The plasmid-containing strains were grown in rich
medium at 37 ˚C Gene expression was induced by the
addition of 01-1 mM IPTG
 Cells in late exponential growth were harvested and
washed in TE
 The cell pellet was gently resuspended
 After 10 min at room temperature, the suspension was
centrifuged for 5 min at 6000g.
 The sucrose solution was carefully drained from the
tube and the pellet was resuspended in a same volume
of cold water
 The resuspended cells remained on ice for 10 min and
centrifuged at 15000 g for 10 min at 4 ˚C. The
35
 The pellet was resuspended, freeze-thawed six
times and centrifuged for 5 min at 15000 g.
 The pellet and the supernatant are referred to as
the membrane and cytoplasmic fraction,
respectively. All samples were resuspended in
SDS loading buffer
 Analyzed by 14%SDS PAGE
 Visualized by immunodetection with monoclonal
antibodies directed against IL-2.
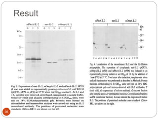
Result
36
Electron microscopy image
37
Reasons
38
 The signal peptides may have become buried
very soon after synthesis and were unable to
direct the protein to the export machinery
 Altered the charge distribution near the cleavage
site – Site-directed mutagenesis was performed
substitution lysines (K8/K9) of IL-2 by glutamic
acid (E), the K8E and substitution of cysteine
125 (C125) by alanine 125 (A125)
 Early folding or aggregation of the precursor
leads to loss translocation - chaperone factors,
GroEL, GroES, DnaK and SecB appear to be
required to prevent early protein folding
39
Expression, secretion and purification of the
MBP-IL-2 hybrid protein
IL-2 bioassay
40
 Biological activity of human
IL-2 was tested using the
IL-2-dependent murine T
lymphocyte cell line CTLL-2
 Both recombinant proteins
were found to be active in
the assay. Interestingly,
 FXa cleavage yielded
aprotein with higher specific
activity which was very
 Similar to that of a
preparation of Chinese
Hamster ovary-derived
recombinant IL-2
41
Introduction
42
 Human G-CSF - single chain polypeptide
containing 174 amino acid residues
(MW=18.8kDa, pI=6.1)
 One of the hemopoietic growth factors which
plays an important role in stimulating,
proliferation, differentiation, and functional
activation of blood cells.
 It contains a free cysteine at position 17 and two
intramolecular disulfide bonds
Objective
43
 To development of an efficient and scalable
procedure for production and purification of
recombinant human (rh-GCSF) of E. coli
Materials and methods
44
 Microorganism
E.Coli BL21 strain
 pET23 inducible
expression vector
Steps
45
 Batch cultivation
 Cell lysis and IB recovery – high pressure
homogenizer at 800bar
 Inclusion Bodies (IBs) washing –1Xtriton X -
centrifugation at 25–28°C for 30 min at 8000 g
 IB solubilization and refolding – urea
 Anion Exchange Chromatography - FPLC (Fast
Protein Liquid Chromatography)
 Detection - SDS-PAGE
 Conformation - Western blotting
Result and discussion
46
Western blotting
47
Conclusion
48
 2.2 g lˉ¹ rh-GCSF was produced in batch
cultivation with recovery yield about 40% and with
purity over than 99%.
 The process established in this study may be
functional in the recovery of other proteins
expressed in E. coli as cytoplasmic IBs.
References
49
1. Erwin Flaschel et.al., 1993 Improvement of Downstream
Processing of Recombinant Proteins By Means of
Genetic Engineering Methods Vol. 11, Pp. 31-78
2. http://www.biologydiscussion.com/biotechnology/downstr
eam-processing/stages-in-downstream-processing-5-
stages/10160
3. Bernard R. Glick, Jack J. Pasternak, and Cheryl L.
Patten. Molecular biotechnology : principles and
applications of recombinant DNA
4. Gabrielhea Lfmann et.al., 1993, Targeting of interleukin-2
to the periplasm of Escherichia coli, Journal of General
Microbiology, 139, 2465-2473.
5. S. Abolghasemi Dehaghani et.al., June 2010 An efficient
purification method for high recovery of Recombinant
Human Granulocyte Colony Stimulating Factor from
recombinant E.coli International Journal of
Environmental Science and Development, Vol. 1, 111-

Harvesting and downstream product purification

  • 1.
    DURGADEVI S (16MG33) M.TECH BIOTECHNOLOGY PSGCOLLEGE OF TECHNOLOGY HARVESTING AND DOWNSTREAM PRODUCT PURIFICATION
  • 2.
    Introduction 2  Extraction andpurification of product from fermentation is known as Downstream Processing ( DSP) or Product Recovery  It is an essential step in the manufacture of pharmaceuticals product  Cost of the product is determined by the DSP involved
  • 3.
    [ 3 Source -Glick Upstrea m process Downstream process
  • 4.
  • 5.
    1. Harvesting MicrobialCells 5  Separation of cells from the culture medium solid-liquid separation  Typical operations to achieve this:  Filtration  Centrifugation  Sedimentation  Flocculation  Gravity settling
  • 6.
    Membrane filtration Dead endfiltration Cross flow filtration 6 Source - Glick
  • 7.
    Types of Filtration 7 Based on the particle sizes to be separated Source – Nandakisor et.al.
  • 8.
    Centrifugation 8  Principle -density differences between the particles to be separated  Separating solid particles from liquid phase Source – Nandakisor et.al.
  • 9.
    2. Disrupting MicrobialCells 9 Source – Nandakisor et.al.
  • 10.
  • 11.
    Disadvantages 11  Whole cellcontents are released out which makes it difficult to separate out product of interest from the mixture.  Cell lysis increases viscosity of the solution making it difficult to process in the further steps.  Product released into harsh environment causing the product to lose stability or activity.  Enzymatic cell-disruption in large scale can be expensive
  • 12.
    3. Concentration 12  Thecommonly used techniques for concentrating biological products are,  Evaporation  Liquid-liquid extraction  Membrane filtration  Precipitation  Adsorption
  • 13.
    4.Purification by chromatography 13 Stationary phase – porous solid matrix  Mobile phase Source – Nandakisor et.al.
  • 14.
  • 15.
    5.Formulation 15  Maintenance ofactivity and stability of a biotechnological products during storage and distribution  Stabilizing additives - prolong the shelf life of protein. (stabilizers include sugars , salts, polymers and polyhydric alcohols)  Proteins may be formulated in the form of solutions, suspensions or dry powders
  • 16.
    16 Source - VasilikiTsakaloudi et.al.,
  • 17.
    Problems in DSPof rDNA product 17 S.N o Problems Solutions 1 Protein stability - depends on the susceptibility of the protein for proteolytic decomposition •lon-minus mutants from E.Coli k12 strains •Synthesis of fusion protein 2 Recombinant proteins are often found as insoluble aggregates in the cytoplasm. These accumulations of solid insoluble proteins are called inclusion bodies •Force protein secretion •Changing the specific properties of the target protein •Distribution of the charge •Fusion of heterologous gene with soluble protein •Fusion of heterologous gene with chaperon 3 Separation of Cells and Cell Disruption – loss of the target protein •kil-gene of the plasmid ColE1 may yield complete lyses of the cells. kil-gene, under the control of the lac-promoter may lyse the cells
  • 18.
    Contd. 18 S.N o Problems Solutions 4 Localization– recombinant protein may be lethal to the host when overproduced in cytoplasmic region •Target protein coupled with Signal sequences (malE, ompA ,phoA ) •Human growth hormone which accumulated in the periplasm of E. coli was able to be exported into the medium upon induction of bacteriocin release protein BRP 5 Cleavage of fusion protein – some recombinant protein with fusion protein are toxic to the cells •Fusion protein has to be constructed with a specific cleavage side. (cleavage proteins – Thrombin, blood coagulation factor Xa, enterokinase) •Oligonucleotide linker •Intein 6 Plasmid instability •Strong and inducible promoter 7 Modification of proteins for improvement of separation •Altering certain physico-chemical properties of the target protein by means of sitedirected
  • 19.
    Fusion protein 19  Fusionproteins - protects the cloned gene product from attack by host cell proteases Source - Glick
  • 20.
  • 21.
    Cleavage of fusionprotein 21  Oligonucleotide linker encoding the amino acid sequence Ile-Glu-Gly-Arg can be joined to the cloned gene.  Following synthesis and purification of the fusion protein, a blood coagulation factor called Xa - release the target protein Source - Glick
  • 22.
    22  Additional purification stepsin order to separate both the protein and the fusion protein from the protein of interest.  This system has been used to purify α-1- antitrypsin and basic human fibroblast growth factor Source - Glick
  • 23.
    High recovery 23  Histidine-taggedprotein - passed over an affinity column of nickel–nitrilotriacetic acid - eluted – imidazole  Greater than 90% recovery
  • 24.
    24  Human interleukin-2gene - the marker peptide sequence Asp-Tyr-Lys-Asp-Asp-Asp-Asp-Lys  Dual function of reducing the degradation of the expressed interleukin-2 gene product and then enabling the product to be purified.  Single step by immunoaffinity chromatography  Bovine intestinal enterokinase
  • 25.
  • 26.
    Secretion 26  Directing aforeign protein to the periplasm or the growth medium makes its purification easier and less costly  Secretion into the,  Periplasm  Medium
  • 27.
  • 28.
    Secretion into themedium 28  Gram-negative bacteria can secrete a bacteriocidal protein called a bacteriocin into the medium.  A bacteriocin release protein activates phospholipase A  Cleaves membrane phosopholipids so that both the inner and outer membranes are permeabilized.  Some cytoplasmic and periplasmic proteins are released into the culture medium
  • 29.
  • 30.
  • 31.
    Objective 31  In thispaper they deal with different factors influencing protein maturation and export, such as (i) the nature of the signal peptide (OmpA or PhoA), (ii) the role of charge distribution near the leader peptidase cleavage site, (iii) the influence of chaperones (GroES and GroEL), (iv) the incubation temperature and inducer concentration (v) the use of lysis proteins and (vi) fusion to a known, secreted protein (preMBP)
  • 32.
  • 33.
  • 34.
    Methods 34  The plasmid-containingstrains were grown in rich medium at 37 ˚C Gene expression was induced by the addition of 01-1 mM IPTG  Cells in late exponential growth were harvested and washed in TE  The cell pellet was gently resuspended  After 10 min at room temperature, the suspension was centrifuged for 5 min at 6000g.  The sucrose solution was carefully drained from the tube and the pellet was resuspended in a same volume of cold water  The resuspended cells remained on ice for 10 min and centrifuged at 15000 g for 10 min at 4 ˚C. The
  • 35.
    35  The pelletwas resuspended, freeze-thawed six times and centrifuged for 5 min at 15000 g.  The pellet and the supernatant are referred to as the membrane and cytoplasmic fraction, respectively. All samples were resuspended in SDS loading buffer  Analyzed by 14%SDS PAGE  Visualized by immunodetection with monoclonal antibodies directed against IL-2.
  • 36.
  • 37.
  • 38.
    Reasons 38  The signalpeptides may have become buried very soon after synthesis and were unable to direct the protein to the export machinery  Altered the charge distribution near the cleavage site – Site-directed mutagenesis was performed substitution lysines (K8/K9) of IL-2 by glutamic acid (E), the K8E and substitution of cysteine 125 (C125) by alanine 125 (A125)  Early folding or aggregation of the precursor leads to loss translocation - chaperone factors, GroEL, GroES, DnaK and SecB appear to be required to prevent early protein folding
  • 39.
    39 Expression, secretion andpurification of the MBP-IL-2 hybrid protein
  • 40.
    IL-2 bioassay 40  Biologicalactivity of human IL-2 was tested using the IL-2-dependent murine T lymphocyte cell line CTLL-2  Both recombinant proteins were found to be active in the assay. Interestingly,  FXa cleavage yielded aprotein with higher specific activity which was very  Similar to that of a preparation of Chinese Hamster ovary-derived recombinant IL-2
  • 41.
  • 42.
    Introduction 42  Human G-CSF- single chain polypeptide containing 174 amino acid residues (MW=18.8kDa, pI=6.1)  One of the hemopoietic growth factors which plays an important role in stimulating, proliferation, differentiation, and functional activation of blood cells.  It contains a free cysteine at position 17 and two intramolecular disulfide bonds
  • 43.
    Objective 43  To developmentof an efficient and scalable procedure for production and purification of recombinant human (rh-GCSF) of E. coli
  • 44.
    Materials and methods 44 Microorganism E.Coli BL21 strain  pET23 inducible expression vector
  • 45.
    Steps 45  Batch cultivation Cell lysis and IB recovery – high pressure homogenizer at 800bar  Inclusion Bodies (IBs) washing –1Xtriton X - centrifugation at 25–28°C for 30 min at 8000 g  IB solubilization and refolding – urea  Anion Exchange Chromatography - FPLC (Fast Protein Liquid Chromatography)  Detection - SDS-PAGE  Conformation - Western blotting
  • 46.
  • 47.
  • 48.
    Conclusion 48  2.2 glˉ¹ rh-GCSF was produced in batch cultivation with recovery yield about 40% and with purity over than 99%.  The process established in this study may be functional in the recovery of other proteins expressed in E. coli as cytoplasmic IBs.
  • 49.
    References 49 1. Erwin Flaschelet.al., 1993 Improvement of Downstream Processing of Recombinant Proteins By Means of Genetic Engineering Methods Vol. 11, Pp. 31-78 2. http://www.biologydiscussion.com/biotechnology/downstr eam-processing/stages-in-downstream-processing-5- stages/10160 3. Bernard R. Glick, Jack J. Pasternak, and Cheryl L. Patten. Molecular biotechnology : principles and applications of recombinant DNA 4. Gabrielhea Lfmann et.al., 1993, Targeting of interleukin-2 to the periplasm of Escherichia coli, Journal of General Microbiology, 139, 2465-2473. 5. S. Abolghasemi Dehaghani et.al., June 2010 An efficient purification method for high recovery of Recombinant Human Granulocyte Colony Stimulating Factor from recombinant E.coli International Journal of Environmental Science and Development, Vol. 1, 111-