HỆ SINH DỤC 
ThS. BS. Nguyễn Xuân Trung Dũng
• Chức năng chính: sinh sản, duy trì nòi giống. 
– Hoàn tất quá trình dậy thì 
– Sản xuất giao tử 
Cơ quan sinh dục nam và nữ đều phát triển từ 1 cơ 
quan chung: tuyến sinh dục trung tính, có sự 
tương đồng nhất định. 
Cơ quan sinh dục nam: ống trung thận 
Cơ quan sinh dục nữ: ống cận trung thận
Cơ quan sinh dục nữ Cơ quan sinh dục nam 
Buồng trứng Tinh hoàn 
Vòi trứng Hệ thống ống dẫn tinh 
Tử cung Túi bầu dục tiền liệt tuyến 
Âm đạo Niệu đạo xốp 
Trụ âm vật Trụ vật hang 
Hành tiền đình Vật xốp 
Môi lớn Bìu 
Môi bé Rãnh gian bìu
Cơ quan sinh dục nữ 
• Nếp phúc mạc phủ phía trên cơ quan sinh dục 
nữ (trừ buồng trứng) tạo thành 2 túi cùng: 
– Phía trước: túi cùng bàng quang tử cung. 
– Phía sau: túi cùng tử cung trực tràng – túi cùng 
Douglas. 
Cơ quan chính: buồng trứng 
Cơ quan phụ: 
• vòi tử cung – vòi trứng 
• Tử cung 
• Âm đạo 
• Âm hộ 
• Tuyến vú
Cơ quan sinh dục Nữ 
– Có các nhiệm vụ: 
• Tạo ra giao tử cái (trứng) 
• Nhận giao tử đực (tinh trùng) 
• Tạo môi trường thuận lợi cho thụ tinh 
• Tạo điều kiện để phôi thai làm tổ (N6-7) 
• Chứa – nuôi dưỡng phôi thai trong thai kỳ 
• Tống suất thai trưởng thành để chấm dứt thai kỳ 
(chuyển dạ sanh)
BUỒNG TRỨNG: 
• Hình hạt đậu. 
• 2 phần: vỏ và tủy, ranh giới không rỏ ràng 
• Vỏ: mô LK + nhiều nang trứng. 
• Tủy: ở giữa, là MLK có nhiều cơ trơn, thần kinh, 
m/máu,mạch bạch huyết. 
• BM vuông đơn: biểu mô mầm. 
• Dưới BM mầm là mô liên kết mỏng: màng trắng.
• 2 buồng trứng 
– Hình hạt đậu, 3cm x 1,5cm 
– Treo vào thành sau bụng bởi các dây chằng 
– Nang trứng: 
• Có 400.000 nang trứng phôi thai 
• Mỗi chu kỳ: >500 trứng huy động,1 trứng trưởng thành 
• Có 400-500 nang trứng trưởng thành/đời người 
– Hoàng thể: 
• Hình thành từ túi nang trứng 
• Tồn tại trong chu kỳ kinh (<15 ngày) 
• Nếu thụ tinh -> kéo dài hoàng thể -> hoàng thể thai nghén 
(khoảng 2-3 tháng)
Bộ phận sinh dục nữ
CÁC NANG TRỨNG 
• Nằm vùi trong lớp đệm vỏ, dưới màng trắng. 
• Hình cầu: 1 noãn bào + nhiều tế bào nang. 
• Phụ nữ trẻ có khoảng 400.000 NT. Chỉ có 400-450 
NT tiến triển đến chín. 
• Thoái hóa NT phần lớn xảy ra trước lúc sanh. 
• NT tiến triển qua các giai đoạn: NT nguyên thủy, NT 
sơ cấp, NT thứ cấp, NT có hốc và NT chín.
Các giai đoạn phát triển của nang trứng
a. Nang trứng nguyên thủy: 
• Ở vùng ngoại vi buồng trứng (400.000). 
• Noãn + 1 hàng TB nang dẹt. 
• Noãn bào là TB lớn hình cầu, ĐK: 25micron. 
• Nhân ít nhuộm màu có 1 hạt nhân lớn.
BM mầm và nang trứng nguyên thủy
b. Nang trứng sơ cấp: 
• Giai đoạn tiếp theo của NT nguyên thủy. 
• Noãn + 1 hàng TB nang vuông. 
• Các TB nang gián phân, tạo thành 1 lớp gọi 
là lớp hạt. 
• Giữa lớp hạt và TB trứng bắt đầu hình thành 
màng trong suốt (zona pellucida).
c. Nang trứng thứ cấp (đặc): 
• Nhiều hàng TB nang. 
• Màng trong suốt rõ hơn.
d. Nang trứng có hốc: 
• TB nang phát triển và chế tiết, làm xuất hiện 
những hốc chứa dịch NT. 
• Các hốc nang lớn dần và kết hợp với nhau. 
• Những TB liên kết bao quanh NT biệt hoá để tạo 
thành lớp vỏ NT.
Nang trứng có hốc
e. Nang trứng chín: 
• Lớn, ĐK: 2,5 cm, đội bề mặt buồng trứng nhô lên. 
• Chứa nhiều nước, trương to, lớp hạt mỏng dần, đẩy 
khối TB nang bọc noãn bào về 1 phía (gò noãn). 
• TB nang sát màng trong suốt cao hơn vòng tia 
(vẫn tồn tại sau khi rụng trứng)
Sơ đồ cấu tạo buồng trứng
SỰ RỤNG TRỨNG: 
• Vỡ NT chín nước NT, noãn bào, vòng tia 
thóat ra ngoài. 
• Thường xảy ra vào khoảng giữa của chu kì 
kinh (ngày thứ 14 / chu kì 28 ngày).
CÁC NANG TRỨNG THOÁI TRIỂN 
• Hầu hết NT thoái hóa ở các giai đoạn khác nhau. 
• Các thực bào ăn và xử lý. 
• Nang T nguyên thủy: không để lại vết tích. 
• NT sơ cấp và có hốc: còn màng trong suốt. 
• TB lớp vỏ của các NT thứ cấp, có hốc trở thành 
TB kẽ tuyến kẽ tiết androgen buồng trứng.
HOÀNG THỂ: 
• Là TB nang và TB lớp vỏ trong không phân chia 
nữa (sau khi thoát noãn) 
• Tuyến nội tiết kiểu lưới tạm thời 
• TB hoàng thể hạt (từ TB nang)chế tiết progesteron. 
• TB hoàng thể từ lớp vỏ tổng hợp và chế tiết 
estrogen. 
• Không có thai: tồn tại khoảng 15 ngày (hoàng thể 
chu kỳ). 
• Có thai: tiếp tục hoạt động hoàng thể thai 
nghén (khoảng 3 tháng).
DÒNG NOÃN 
• Noãn nguyên bào I (2n) gián phân nguyên số cho ra 
noãn bào I (2n). 
• Noãn bào I gián phân giảm số lần 1 cho ra noãn bào 
II và 1cực cầu, gián phân lần 2 cho ra noãn chín và 
1 cực cầu. 
Một noãn bào I cho ra 1 trứng chín và 3 cực cầu.
Noãn nguyên 
bào I (2n) 
Noãn bào I (2n) 
Noãn bào II (n) 
Noãn chín (n) 
Cực cầu
Cơ quan sinh dục Nữ 
• 2 buồng trứng
Cơ quan sinh dục Nữ 
• Vòi tử cung 
– Ống dẫn trứng, 12cm 
– 4 phần: phễu vòi, bóng vòi, eo vòi, cận tử cung 
– Chức năng 
• Dẫn trứng đến tử cung 
• Tạo điều kiện thuận lợi cho thụ tinh
III. VÒI TRỨNG 
• Cấu tạo gồm 3 tầng mô: tầng niêm mạc, tầng 
cơ và vỏ ngoài.
a. Tầng niêm mạc: 
• Có những nếp gấp dọc do lớp đệm đội biểu 
mô lên. 
• Là biểu mô trụ đơn gồm: 
• TB có LC (hình trụ): vận chuyển. 
• TB không LC: chế tiết. 
b. Tầng cơ: 
• Tầng cơ: 2 lớp, trong xếp vòng hoặc xoắn ốc, 
ngoài xếp hướng dọc. 
c. Vỏ ngoài: mô liên kết, lá tạng phủ bên ngoài.
Cơ quan sinh dục Nữ 
• Vòi tử cung
Cơ quan sinh dục Nữ 
• Tử cung 
– 3 phần: cổ, thân, đáy 
– Bề dầy: 3 lớp: 
• Nội mạc tử cung: tạo điều kiện sống cho phôi thai 
• Cơ tử cung: co thắc đẩy đôi thai (chuyển dạ) 
• Bao vỏ ngoài: gắn liền với màng phúc mạc 
– Chức năng: 
• Bảo vệ phôi thai 
• Nuôi dưỡng phôi thai 
• Đẩy phôi thai ra ngoài (chuyển dạ) 
– Là nơi chính tạo máu kinh (hành kinh)
Cơ quan sinh dục Nữ 
• Tử cung
TỬ CUNG 
• Thành TC có 3 lớp: nội mạc, cơ và vỏ ngoài. 
• Vỏ ngoài: 1/2 trên là MLK và phúc mạc, 1/2 
dưới là MLK.
Cơ tử cung: 
• 4 lớp không phân định rõ rệt. 
• Sự sắp xếp các bó cơ đều hòa lượng 
máu lưu thông. 
• Khi có thai tử cung to lên do TB cơ dài ra 
khoảng 10lần và tăng về số lượng.
Nội mạc tử cung 
• Biểu mô trụ đơn gồm: 
+ TB có lông: tập trung quanh các bờ miệng của 
tuyến tử cung. 
+ TB chế tiết. 
• Lớp đệm: MLK chứa tuyến. 
• Các tuyến tử cung: tuyến ống đơn, có thể phân nhánh ở 
phần sau gần cơ tử cung. 
• Nội mạc chia làm 2 lớp: lớp chức năng, lớp đáy. 
• Nội mạc vùng cổ không biến đổi rõ rệt/chu kỳ kinh.
Cơ quan sinh dục Nữ 
• Âm đạo 
– Tạng dạng ống (ảo), bề mặt có nhiều nếp nhăn 
– Tiết chất dịch nhầy, nhiều glycogen 
– Vi trùng phân hủy glycogen -> môi trường acid
Cơ quan sinh dục Nữ 
• Âm đạo
V. ÂM ĐẠO 
• Biểu mô lát tầng không sừng hóa
Cơ quan sinh dục Nữ 
• Bộ phận sinh dục ngoài 
– Gồm có: 
• Âm hộ 
• Tiền đình: có màng trinh, giống âm đạo 
• Môi lớn: là nếp da, nhiều thần kinh 
• Môi nhỏ: là nếp da, nhiều thần kinh 
• Âm vật: tương đương dương vật, nhiều thần kinh 
• Các tuyến phụ thuộc: Bartholin
Cơ quan sinh dục Nữ 
• Bộ phân sinh dục ngoài
Cơ quan sinh dục Nữ 
• Bộ phận sinh dục phụ 
– Tuyến vú 
• Chỉ phát triển ở nữ (nam vẫn có) 
• Phát triển mạnh sau dậy thì 
• Cấu trúc: 
– Nang tuyến: 15-25 nang tuyến riêng lẻ 
– Mô mỡ và mô xơ đệm 
– Núm vú: có nhiều thần kinh, melanin 
• Tiết sữa: ngoại tiết kiểu bán hủy đầu 
• Sữa: protein, hạt mỡ, đường, muối, nước
Cơ quan sinh dục Nữ 
• Tuyến vú
CHU KỲ KINH NGUYỆT 
Hành 
kinh 
Rụng trứng 
1 3 14 28 (Ngày) 
Kỳ sau kinh Kỳ trước kinh
1. Kỳ hành kinh 
+ Hoàng thể thoái hóa 
+ Progesteron giảm 
2. Kỳ sinh sản = Kỳ sau kinh 
+ Niêm mạc tử cung khôi phục 
+ Rụng trứng 
3. Kỳ trước kinh = chế tiết = chức năng = hoàng thể 
+ Xung huyết và xuất huyết 
+ Trong buồng trứng hoàng thể được hình thành 
- Có thai hoàng thể được giữ lại 
- Không có thai: hoàng thể thoái hóa vào đầu kỳ sau.
Chu kỳ kinh nguyệt, chu kỳ hormon và chu kỳ nang trứng
•Kinh nguyệt: thể vàng xuất hiện→↑mạch máu → chuẩn bị nuôi 
hợp tử. Không thụ tinh → thể vàng teo → mất nguồn dinh dưỡng → 
hoại tử niêm mạc tử cung → bong thành từng mảng, vỡ mạch → ứ 
máu → hành kinh 
Một số kinh nghiệm phát hiện động dục 
• Màu sắc, kích thước âm hộ: đỏ tươi (nhót chín) → chuyển sang 
sẫm như mận chín (sự chuyển màu → rụng trứng) 
•Độ dính niêm dịch: dính, kéo thành sợi → rụng trứng 
• Độ mở tử cung: 1,2 – 2cm → rụng trứng 
• Thân nhiệt: nhiệt độ cao hơn bình thường 0,7–1,20C 
•Điện trở âm đạo: động dục điện trở giảm (200-300Ω)
Người (28) 
 
0 3 7 14 21 28 
Dễ thụ thai 
Chú ý: nhiều yếu tố 
Theo dõi chu kỳ, nhiệt độ có đều hay không 
Thuốc ngừa thai, đặt vòng…
Cơ quan sinh dục nam
• Tổng quan 
– Bộ phận chính tinh hoàn 
– Tiết tinh trùng (ngoại tiết) và testosteron (nội tiết) 
– Bộ phận khác: nâng đỡ, dự trữ và dẫn tinh trùng 
• Bìu 
• Tinh hoàn 
• Các ống dẫn tinh 
• Các tuyến 
• Dương vật
Cơ quan sinh dục nam 
• Tổng quan
Cơ quan sinh dục nam 
• Tinh hoàn 
– 2 tinh hoàn, nằm trong bìu (ngoài cơ thể-> giảm 
T0) 
– Kích thước: 4cm x 3cm x 2cm (11-17g) 
– Nhiều thùy (150-200) 
– Mỗi thùy=1-5 ống sinh tinh
TINH HOÀN 
- Sản xuất tinh trùng và hormon sinh dục nam. 
- Những đường dẫn tinh và các tuyến phụ thuộc. 
- KT: 4 x 2,5 cm, hình trứng / bìu. 
- Vỏ liên kết xơ bọc ở ngoài = là màng trắng. Ở mặt sau trên của 
tinh hoàn, màng trắng dày lên gọi là thể Highmore. 
- Nhiều tiểu thùy (150 200 tiểu thùy) qui tụ về phía thể Highmore. 
- 15 ống sinh tinh cong queo 30 150 cm một đầu kín.Tổng chiều 
dài các ống sinh tinh 250 m. 
- Giữa các ống sinh tinh có nhiều tế bào kẽ = tế bào Leydig. 
- Ống sinh tinh ----- ống thẳng ngắn, tiến về thể Highmore. ----- 
lưới tinh hoàn = lưới Haller ---- ống ra - - - ống mào tinh.
Sơ đồ cấu tạo tinh hoàn
1 Ống sinh tinh 
- Biểu mô tinh: tế bào Sertoli và tế bào dòng 
tinh 
-Tế bào dòng tinh: sinh sản, biệt hóa thành 
tinh nguyên bào, tinh bào I, tinh bào II, tinh tử 
(tiền tinh trùng) và cuối cùng thành tinh trùng. 
-Tinh nguyên bào nằm sát màng đáy, có hai 
loại: A và B.
Tế bào Sertoli: lớn, hình tháp kéo dài, có 
đáy tựa trên màng đáy và cực ngọn hướng vào 
lòng ống sinh tinh 
Có 3 chức năng : 
- nâng đỡ và bảo vệ các tế bào dòng 
tinh, tạo thành hàng rào máu tinh hoàn, 
- thực bào các phần bào tương dư thừa 
của tinh tử 
- tiết chất dịch lỏng
2 Mô kẽ tinh hoàn 
- Nằm xung quanh các ống sinh tinh, - Tế bào 
kẽ = TB Leydig. 
- Tuyến kẽ: tế bào Leydig + các mao mạch
Tuyến kẽ
NHỮNG ỐNG DẪN TINH: 
Gồm ống thẳng, lưới tinh hoàn, ống ra, ống 
mào tinh, ống tinh, ống phóng tinh. 
1. Ống thẳng: 
- Hướng về thể Highmore, dài 1mm, 
- Hình thành từ một vài ống sinh tinh. 
- Biểu mô vuông đơn không đều.
2. Lưới tinh hoàn 
+ Nằm trong thể Highmore, Kích thước không 
đều - biểu mô vuông đơn. 
3. Ống ra 
+ 1020 ống ra nối giữa lưới tinh hoàn với 
ống mào tinh. 
+ TB biểu mô gồm TB vuông xen kẻ với TB trụ 
có lông chuyển.
Tế bào biểu mô của ống ra
4. Ống mào tinh 
+ Nằm trong thừng tinh, đoạn đầu ngắn và hơi 
quanh co, đoạn sau dài, tương đối thẳng. 
+ Đi qua ống bẹn và hố chậu rồi uốn cong về 
phía đáy bàng quang. 
+ Đoạn cuối phình ra thành một cái túi gọi là 
bóng của ống tinh. 
+ 3 tầng mô: tầng niêm mạc, tầng cơ và tầng vỏ 
ngoài 
+ BM trụ giả tầng có lông chuyển.
Tế bào biểu mô của ống mào tinh
5. Ống tinh (gồm 3 tầng mô): tầng niêm mạc (BM trụ giả tầng 
có LC), tầng cơ và tầng vỏ ngoài
Ống tinh
6. Ống phóng tinh 
Khoảng 2 cm, giống như bóng của túi tinh. 
Đoạn trong tuyến tiền liệt không có cơ. 
Biểu mô không có lông giả.
Cơ quan sinh dục nam 
Các ống dẫn tinh 
Ống thẳng 
Lưới tinh hoàn 
Ống ra 
Ống mào tinh (5-7m) 
Ống tinh (40cm) 
Tinh trùng trưởng thành 
trong quá trình di chuyển 
qua các ống
• Tinh trùng đi từ ống sinh tinh  ống thẳng  
lưới tinh hoàn  ống ra ống mào tinh hoàn 
 ống dẫn tinh. 
• Ống dẫn tinh nối tiếp mào tinh hoàn  ống 
bẹn  sau bàng quang  niệu đạo.
Cơ quan sinh dục nam 
• Các ống dẫn tinh
Cơ quan sinh dục nam 
• Tuyến túi tinh
Cơ quan sinh dục nam 
• Dương vật 
– Là cơ quan giao cấu 
– Dương vật cương nhờ tích máu 
– Điều khiển bởi thần kinh tự chủ 
– Kích thích bởi xúc giác - tâm lý
CẤU TẠO DƯƠNG VẬT 
• Thân: da bao ngoài 
• Qui đầu: tận cùng của vật xốp 
• 2 vật hang 
• Vật xốp: bao quanh niệu đạo
DƯƠNG VẬT: 
+ Thể hang là mô liên kết xơ, trong có 
nhiều hốc máu, màng trắng bọc quanh thể hang CT 
từ 2 lớp sợi keo và sợi chun chắc chắn. 
+ Thể xốp: khối trụ chứa niệu đạo trước, có hai 
chổ phình, một ở đầu trước gọi là qui đầu, một ở 
đầu sau gọi là hành niệu đạo. Màng trắng của thể 
xốp mỏng. 
+ Phần lớn biểu mô niệu đạo trước là biểu mô 
trụ giả tầng.
Sơ đồ cấu tạo của dương vật
Cơ quan sinh dục nam 
• Dương vật
NHỮNG TUYẾN PHỤ THUỘC: 
Gồm: túi tinh, tuyến tiền liệt, tuyến hành niệu 
đạo.
Cơ quan sinh dục nam 
– Tuyến túi tinh 
• 2 túi, dài 15cm, phía sau ống tinh 
• Không dùng chứa tinh 
• Túi tinh tiết chất dịch màu hơi vàng, nhớt (tinh dịch) 
• 70% tinh dịch là từ túi tinh 
 hình trứng, trong xoang chậu, trên b/quang và ống dẫn tinh. 
+Tiết chất keo gặp dịch tiền liệt tạo nút cổ tử cung sau giao phối (k0 cho tinh 
trùng chảy ngược ra) 
+Chất tiết cung cấp glucose, A.béo tăng hoạt lực tinh trùng.
Cơ quan sinh dục nam 
– Tuyến tiền liệt 
• 30-50 tuyến ống túi 
• Mỗi tuyến ống túi = mỗi thùy 
• Tiết ra: amylase, acid citric, lipid, khoáng chất 
 cuối ống dẫn tinh, đầu niệu đạo, chứa H2CO3 (s’p trao đổi tinh trùng) 
+Men fibrinolizin, aminopeptitdaza chống đông vón tinh dịch 
+PGF2α→↑co bóp cơ trơn đường s/d cái→tinh trùng tiến thẳng nhanh.
Cơ quan sinh dục nam 
• Các tuyến 
– Tuyến hành niệu đạo (Cowper) 
• Tiết chất giống tuyến tiền liệt dịch trong suốt, trung 
tính, làm trơn niệu đạo trước phóng tinh. 
• Nằm tại niệu đạo màng, trong gốc thể hang dương vật.
SINH LÝ SINH SẢN NAM 
• Sản xuất tinh trùng: từ lúc dậy thì  suốt đời. 
• Mỗi ngày có ~100-300 triệu tinh trùng được sản 
xuất 
• Tinh dịch: tinh trùng + chất tiết của túi tinh, tuyến 
tiền liệt, tuyến Cowper và tuyến niệu đạo. 
• Mỗi lần phóng tinh ~2,5-3,5ml tinh dịch 
• Tinh dịch bình thường chứa 100 triệu tinh 
trùng/ml. 
• Tinh dịch chứa < 20 triệu tinh trùng/ml  vô sinh
Một số hiện tượng sinh lý 
• Hiện tượng cương: KT  dãn tiểu động mạch  
máu đổ đầy mô xốp  chèn ép các TM  ứ máu 
 DV cương cứng. Trung khu phối hợp nằm ở 
đoạn tủy lưng nhận xung động từ TKTW và CQSD 
• Hiện tượng phóng tinh: 
– Là 1 phản xạ tủy có 2 giai đoạn 
• Tiết tinh dịch và di chuyển vào niệu đạo 
• Cơ bầu hang co thắt  phóng ra khỏi niệu 
đạo/cực khoái.
Hormon sinh dục nam: 
• Testosteron: tế bào Leydig – tuyến kẽ ở tinh 
hoàn (chủ yếu) và vỏ tuyến thượng thận tiết 
ra (1 lượng ít) 
• Một số androgen khác: androstenedion, 
dihydrotestosteron
TINH DỊCH 
+ Lỏng, hơi đặc, nhớt, có màu trắng đục, PH vào 
khoảng 78,7. 
+ 20.000 200.000 tinh trùng/1 mm3 
+ Khả năng thụ tinh phụ thuộc vào số lượng tinh 
trùng (≥ 40.000/mm3) + khả năng chuyển động cấu 
tạo của chúng.
TINH TRÙNG 
1.Cấu tạo 
*Đầu: 
+nhân (n), thể đinh (hyaluronidaza phá 
màng p/xạ (không đặc trưng loài) 
*Cổ: 
+Khớp cổ trước, cổ sau lỏng lẻo 
+Chứa ty thể cấp E đuôi h/đ 
*Đuôi: sợi xoắn và dọck/năng tiến 
thẳng 
*Màng: lipoprotein (bán thấm chọn lọc)
2.Sinh trưởng, thành thục của tinh trùng (ống sinh tinh, 4 gđ) 
-tăng sinh: 1 TB tinh nguyên thủy→2nTB 
-sinh trưởng: đồng hóa tích lũy dinh dưỡng →TB to ra 
-giảm nhiễm: 1TB (2n)→4TB (n) (giao tử đực) 
-hoàn thiện: đến phụ dịch hoàn (có thể sống vài tháng) 
*Vai trò phụ dịch hoàn: lưu trữ, đk thích hợp ↑và thành thục 
+pH axit yếu→kìm hãm v/đ 
+T0< thân nhiệt 3 -40C 
+Yếm khí, Ptt ổn định 
+Nhiều K+(278mg%) t/d ức chế h/đ tinh trùng, Na+(115mg%) 
+Có k/năng hấp thu ion+ (Mg2+, Ca2+) →chống trung hòa điện tích. 
Lipoprotein bao quanh→cùng tích điệnΘ →chống ngưng kết 
→↓h/đ, ↓tiêu tốn E→tiềm sinh→2 tháng còn k/năng thụ tinh
3.Đặc điểm sinh lý tinh trùng 
a.Vận động và sức sống 
*Vận động 
+v/đ độc lập, tiến thẳng trong môi trường tinh dịch và 
đường sinh dục cái, v/đ ngược dòng chảy 
+V, k/năng v/đ Є độ thành thục tinh trùng và môi trường 
*Sức sống: Є môi trường 
T0, pH, Ptt, a/s (đ.biệt a/s chiếu thẳng)….
b.Hô hấp & trao đổi E: sử dụng E qua 3 hình thức 
+Hiếu khí: chủ yếu glucose (máu, pha loãng), fructose (tinh dịch) 
C6H12O6 + O2 
 6CO2+ 6H2O + 674Kcal 
(đường s.dục cái, tiếp xúc với không khí) 
bảo quản cần hạn chế tiếp xúc không khí 
+Yếm khí: Fructose  Axit lactic + CO2 + 27,7 Kcal 
(xảy ra trong dịch hoàn phụ, túi tinh) 
+Phân giải ATP: cổ đuôi chứa ATP-aza t/d phân giải ATP 
ATP ADP + 7 -10(kcal)+ H3PO4 
E do hô hấp hiếu và yếm khí một phần tái tạo ATP
SỰ DI ĐỘNG TRONG ĐƯỜNG SINH DỤC CÁI 
1.Sự di động do: 
-V/đ bản thân tinh trùng: lợn 15-16mm/phút, bò 4mm/phút 
-Động tác giao phối: phóng tinh 
-Co bóp tử cung tạo áp lực âm (đ.biệt lúc chịu đực) →giao phối 
đúng→↑k/năng vận động→↑tỷ lệ thụ thai 
Thực tế: trộn oxytoxin vào hoặc cho đực thắt ống dẫn tinh giao 
phối trước→KT co bóp tử cung→tăng h/quả 
-Ngoài ra ống dẫn trứng tiết peptitlizin có t/d hút tinh trùng về phía 
trứng (hóa hướng động)
SỰ THỤ TINH 
đồng hóa giữa trứng + tinh trùng 
→hợp tử (2n) có k/năng gián phân 
liên tiếp→phôi. Kết quả sự tái tổ hợp 
gen từ 2 nguồn KHÁC NHAU
Sự thụ tinh gồm 3 giai đoạn 
1.Phá màng phóng xạ: hyaluronidaza (thể đỉnh) phân giải 
hyaluronic (gắn TB p/xạ) → tinh trùng vào (không đặc trưng loài) 
2.Phá màng trong suốt: men zonalizin (đầu). Đặc trưng loài, chỉ vài 
chục tinh trùng lọt vào tiếp cận màng noãn hoàng 
3.Phá màng noãn hoàng: đầu tiết muraminidaza phân giải 1 điểm 
màng noãn hoàng → chỉ 1 có sức sống cao nhất qua (đầu lọt vào, 
đuôi ngoài), hình thành màng ngăn không cho tinh trùng khác vào 
(cần Ca++ vì vậy nếu khử Ca++ → nhiều tinh trùng vào)
SINH LÝ THAI KỲ 
1.Sinh lý phôi thai phát triển trong tử cung (2 gđ) 
-Phôi: thụ tinh → 1/3 thời gian, 3 lá phôi 
-Thai: cuối kỳ phôi → đẻ, 3 lá phôi phân hóa thành các cơ quan bộ 
phận → con non 
(Voi 610 ngày, Trâu 310, Bò 280, cừu 117, Lợn 114, dê 158 – 165, 
mèo 58, chó 62, thỏ 60) 
a.Sự điều tiết TK-TD thai kỳ 
*THẦN KINH: sau thụ thai → vỏ não hình thành vùng HF trội tiếp 
nhận các biến đổi hóa và cơ học từ các thụ quan ở tử cung →đảm 
bảo: máu nhiều, niêm mạc tử cung tăng sinh,↑ tiết dịch. HF mạnh 
nhất tháng thứ 2 → dễ sẩy
*THỂ DỊCH: 
+Progesteron (thể vàng, nhau) → an thai (↓co bóp tử cung) 
Xúc tiến hợp tử làm tổ 
Kích thích và duy trì sự phát triển nhau thai 
KT TB thượng bì bao tuyến vú phát triển 
Ức chế tiết FSH, LH →ứ/c thải trứng 
+H.tuyến giáp: ảnh hưởng sự phát triển thai 
+PGF2α do tử cung tiết cuối kỳ chửa → phá thể vàng 
+Oestrogen (cuối kỳ chửa) →↑ mẫn cảm tử cung với oxytoxin 
+Relaxin (nhau tiết cuối thời kỳ chửa) →giãn dây chằng xương chậu, 
mở cổ tử cung.
b.Biến đổi trên cơ thể mẹ trong thai kỳ 
•Duy trì thể vàng →an thai + ức chế động dục 
•Hình thành nhau → TĐC giữa mẹ + thai và tiết các Hocmon 
•Niêm mạc tử cung tăng sinh, máu đến nhiều →cung cấp d.dưỡng, E 
•TĐC↑ (đồng hóa↑, dị hóa↓)→thời kỳ đầu mẹ béo →cuối gầy 
•Tim, tần số mạch tăng 
•Hô hấp ngực,↑tần số. Đặc biệt cuối kỳ chửa (thai ép cơ hoành) 
•Ảnh hưởng cơ năng tiêu hóa, tiết niệu (thai chèn ép)→táo bón, đái dắt 
•[Ca],[P] máu ↓(cấp cho thai). Nếu thiếu Ca, P→mẹ huy động Ca 
xương duy trì [Ca],[P] máu →chứng xốp xương. Thiếu trầm trọng 
→yếu liệt sau đẻ 
•Miễn dịch: số lượng bạch cầu thực bào,[KT] tự nhiên tăng
2.Sinh lý chuyển dạ 
Trước sanh: giãn dây chằng xg chậu, nút cổ tử cung tan. Trước đẻ 12 
-48h →T0giảm, cổ tử cung mở, sữa bắt đầu tiết… 
a.Quá trình sinh: 3 giai đoạn 
•Chuẩn bị: cổ tử cung mở, tử cung bắt đầu co bóp. Thời gian co bóp 
= nghỉ→vỡ màng ối→dịch ối tràn ra ngoài 
•Đưa thai ra: tử cung co bóp mãnh liệt, thời gian co bóp > nghỉ → 
đau dữ dội. Kết hợp cơ hoành, cơ bụng tạo cơn rặn đẻ đẩy thai ra. 
•Đẩy nhau thai ra: tử cung tiếp tục co bóp đẩy nhau thai ra, thời gian 
co bóp < nghỉ.
b.Cơ chế sinh: TK – TD và tác động cơ giới của thai 
+Thai thành thục →KT cơ giới và gây áp lực lên tử cung→ HF về 
trung khu s/dục (tủy sống vùng chậu)→ phản xạ đẻ 
+Nội tiết: cuối kỳ chửa, vỏ thượng thận tiết cocticosteron→KT nhau 
thai sinh PGF2α→thoái hóa thể vàng →↓[progesteron] máu. 
Đồng thời nhau thai tiết relaxin → giãn dây chằng xương chậu → mở 
cổ tử cung → ↑tiết oestrogen →↑độ mẫn cảm của tử cung với 
oxytoxin trước đẻ 
+Về mối quan hệ giữa mẹ (nhau) và thai: không cần thiết nữa → thai 
như 1 ngoại vật trong tử cung →cần đẩy ra.
c.Sinh khó 
•Xương chậu bé (di truyền, suy d.dưỡng→thiếu Ca, P…) 
•Mẹ yếu do bệnh trước khi đẻ hoặc d.dưỡng kém 
•Thai quá to, thai ngược hoặc oxytoxin quá thấp (ít) 
d.Chậm sinh, vô sinh 
•D.dưỡng: thiếu protein, khoáng hoặc nhiều tinh bột, chất béo →buồng 
trứng tích mỡ… 
•Nội tiết: thiếu hocmon s/dục hoặc rối loạn nội tiết 
•Chế độ sử dụng khai thác: cày bừa, kéo xe quá sức 
•Tuổi : già 
•Bẩm sinh→cấu tạo và ch/năng cquan s/dục (tử cung quá nhỏ, buồng 
trứng không phát triển…) 
•Bệnh sản khoa, kỹ thuật phối khg đúng, stress (khí hậu, v/chuyển…)
The end 
• http://www.slideshare. 
net/nguyendung186590 
4/h-sinh-dc

Hệ sinh dục

  • 1.
    HỆ SINH DỤC ThS. BS. Nguyễn Xuân Trung Dũng
  • 2.
    • Chức năngchính: sinh sản, duy trì nòi giống. – Hoàn tất quá trình dậy thì – Sản xuất giao tử Cơ quan sinh dục nam và nữ đều phát triển từ 1 cơ quan chung: tuyến sinh dục trung tính, có sự tương đồng nhất định. Cơ quan sinh dục nam: ống trung thận Cơ quan sinh dục nữ: ống cận trung thận
  • 5.
    Cơ quan sinhdục nữ Cơ quan sinh dục nam Buồng trứng Tinh hoàn Vòi trứng Hệ thống ống dẫn tinh Tử cung Túi bầu dục tiền liệt tuyến Âm đạo Niệu đạo xốp Trụ âm vật Trụ vật hang Hành tiền đình Vật xốp Môi lớn Bìu Môi bé Rãnh gian bìu
  • 7.
    Cơ quan sinhdục nữ • Nếp phúc mạc phủ phía trên cơ quan sinh dục nữ (trừ buồng trứng) tạo thành 2 túi cùng: – Phía trước: túi cùng bàng quang tử cung. – Phía sau: túi cùng tử cung trực tràng – túi cùng Douglas. Cơ quan chính: buồng trứng Cơ quan phụ: • vòi tử cung – vòi trứng • Tử cung • Âm đạo • Âm hộ • Tuyến vú
  • 8.
    Cơ quan sinhdục Nữ – Có các nhiệm vụ: • Tạo ra giao tử cái (trứng) • Nhận giao tử đực (tinh trùng) • Tạo môi trường thuận lợi cho thụ tinh • Tạo điều kiện để phôi thai làm tổ (N6-7) • Chứa – nuôi dưỡng phôi thai trong thai kỳ • Tống suất thai trưởng thành để chấm dứt thai kỳ (chuyển dạ sanh)
  • 11.
    BUỒNG TRỨNG: •Hình hạt đậu. • 2 phần: vỏ và tủy, ranh giới không rỏ ràng • Vỏ: mô LK + nhiều nang trứng. • Tủy: ở giữa, là MLK có nhiều cơ trơn, thần kinh, m/máu,mạch bạch huyết. • BM vuông đơn: biểu mô mầm. • Dưới BM mầm là mô liên kết mỏng: màng trắng.
  • 12.
    • 2 buồngtrứng – Hình hạt đậu, 3cm x 1,5cm – Treo vào thành sau bụng bởi các dây chằng – Nang trứng: • Có 400.000 nang trứng phôi thai • Mỗi chu kỳ: >500 trứng huy động,1 trứng trưởng thành • Có 400-500 nang trứng trưởng thành/đời người – Hoàng thể: • Hình thành từ túi nang trứng • Tồn tại trong chu kỳ kinh (<15 ngày) • Nếu thụ tinh -> kéo dài hoàng thể -> hoàng thể thai nghén (khoảng 2-3 tháng)
  • 13.
    Bộ phận sinhdục nữ
  • 14.
    CÁC NANG TRỨNG • Nằm vùi trong lớp đệm vỏ, dưới màng trắng. • Hình cầu: 1 noãn bào + nhiều tế bào nang. • Phụ nữ trẻ có khoảng 400.000 NT. Chỉ có 400-450 NT tiến triển đến chín. • Thoái hóa NT phần lớn xảy ra trước lúc sanh. • NT tiến triển qua các giai đoạn: NT nguyên thủy, NT sơ cấp, NT thứ cấp, NT có hốc và NT chín.
  • 15.
    Các giai đoạnphát triển của nang trứng
  • 16.
    a. Nang trứngnguyên thủy: • Ở vùng ngoại vi buồng trứng (400.000). • Noãn + 1 hàng TB nang dẹt. • Noãn bào là TB lớn hình cầu, ĐK: 25micron. • Nhân ít nhuộm màu có 1 hạt nhân lớn.
  • 17.
    BM mầm vànang trứng nguyên thủy
  • 18.
    b. Nang trứngsơ cấp: • Giai đoạn tiếp theo của NT nguyên thủy. • Noãn + 1 hàng TB nang vuông. • Các TB nang gián phân, tạo thành 1 lớp gọi là lớp hạt. • Giữa lớp hạt và TB trứng bắt đầu hình thành màng trong suốt (zona pellucida).
  • 20.
    c. Nang trứngthứ cấp (đặc): • Nhiều hàng TB nang. • Màng trong suốt rõ hơn.
  • 21.
    d. Nang trứngcó hốc: • TB nang phát triển và chế tiết, làm xuất hiện những hốc chứa dịch NT. • Các hốc nang lớn dần và kết hợp với nhau. • Những TB liên kết bao quanh NT biệt hoá để tạo thành lớp vỏ NT.
  • 22.
  • 23.
    e. Nang trứngchín: • Lớn, ĐK: 2,5 cm, đội bề mặt buồng trứng nhô lên. • Chứa nhiều nước, trương to, lớp hạt mỏng dần, đẩy khối TB nang bọc noãn bào về 1 phía (gò noãn). • TB nang sát màng trong suốt cao hơn vòng tia (vẫn tồn tại sau khi rụng trứng)
  • 24.
    Sơ đồ cấutạo buồng trứng
  • 25.
    SỰ RỤNG TRỨNG: • Vỡ NT chín nước NT, noãn bào, vòng tia thóat ra ngoài. • Thường xảy ra vào khoảng giữa của chu kì kinh (ngày thứ 14 / chu kì 28 ngày).
  • 26.
    CÁC NANG TRỨNGTHOÁI TRIỂN • Hầu hết NT thoái hóa ở các giai đoạn khác nhau. • Các thực bào ăn và xử lý. • Nang T nguyên thủy: không để lại vết tích. • NT sơ cấp và có hốc: còn màng trong suốt. • TB lớp vỏ của các NT thứ cấp, có hốc trở thành TB kẽ tuyến kẽ tiết androgen buồng trứng.
  • 27.
    HOÀNG THỂ: •Là TB nang và TB lớp vỏ trong không phân chia nữa (sau khi thoát noãn) • Tuyến nội tiết kiểu lưới tạm thời • TB hoàng thể hạt (từ TB nang)chế tiết progesteron. • TB hoàng thể từ lớp vỏ tổng hợp và chế tiết estrogen. • Không có thai: tồn tại khoảng 15 ngày (hoàng thể chu kỳ). • Có thai: tiếp tục hoạt động hoàng thể thai nghén (khoảng 3 tháng).
  • 28.
    DÒNG NOÃN •Noãn nguyên bào I (2n) gián phân nguyên số cho ra noãn bào I (2n). • Noãn bào I gián phân giảm số lần 1 cho ra noãn bào II và 1cực cầu, gián phân lần 2 cho ra noãn chín và 1 cực cầu. Một noãn bào I cho ra 1 trứng chín và 3 cực cầu.
  • 29.
    Noãn nguyên bàoI (2n) Noãn bào I (2n) Noãn bào II (n) Noãn chín (n) Cực cầu
  • 30.
    Cơ quan sinhdục Nữ • 2 buồng trứng
  • 31.
    Cơ quan sinhdục Nữ • Vòi tử cung – Ống dẫn trứng, 12cm – 4 phần: phễu vòi, bóng vòi, eo vòi, cận tử cung – Chức năng • Dẫn trứng đến tử cung • Tạo điều kiện thuận lợi cho thụ tinh
  • 32.
    III. VÒI TRỨNG • Cấu tạo gồm 3 tầng mô: tầng niêm mạc, tầng cơ và vỏ ngoài.
  • 33.
    a. Tầng niêmmạc: • Có những nếp gấp dọc do lớp đệm đội biểu mô lên. • Là biểu mô trụ đơn gồm: • TB có LC (hình trụ): vận chuyển. • TB không LC: chế tiết. b. Tầng cơ: • Tầng cơ: 2 lớp, trong xếp vòng hoặc xoắn ốc, ngoài xếp hướng dọc. c. Vỏ ngoài: mô liên kết, lá tạng phủ bên ngoài.
  • 34.
    Cơ quan sinhdục Nữ • Vòi tử cung
  • 35.
    Cơ quan sinhdục Nữ • Tử cung – 3 phần: cổ, thân, đáy – Bề dầy: 3 lớp: • Nội mạc tử cung: tạo điều kiện sống cho phôi thai • Cơ tử cung: co thắc đẩy đôi thai (chuyển dạ) • Bao vỏ ngoài: gắn liền với màng phúc mạc – Chức năng: • Bảo vệ phôi thai • Nuôi dưỡng phôi thai • Đẩy phôi thai ra ngoài (chuyển dạ) – Là nơi chính tạo máu kinh (hành kinh)
  • 36.
    Cơ quan sinhdục Nữ • Tử cung
  • 37.
    TỬ CUNG •Thành TC có 3 lớp: nội mạc, cơ và vỏ ngoài. • Vỏ ngoài: 1/2 trên là MLK và phúc mạc, 1/2 dưới là MLK.
  • 38.
    Cơ tử cung: • 4 lớp không phân định rõ rệt. • Sự sắp xếp các bó cơ đều hòa lượng máu lưu thông. • Khi có thai tử cung to lên do TB cơ dài ra khoảng 10lần và tăng về số lượng.
  • 39.
    Nội mạc tửcung • Biểu mô trụ đơn gồm: + TB có lông: tập trung quanh các bờ miệng của tuyến tử cung. + TB chế tiết. • Lớp đệm: MLK chứa tuyến. • Các tuyến tử cung: tuyến ống đơn, có thể phân nhánh ở phần sau gần cơ tử cung. • Nội mạc chia làm 2 lớp: lớp chức năng, lớp đáy. • Nội mạc vùng cổ không biến đổi rõ rệt/chu kỳ kinh.
  • 40.
    Cơ quan sinhdục Nữ • Âm đạo – Tạng dạng ống (ảo), bề mặt có nhiều nếp nhăn – Tiết chất dịch nhầy, nhiều glycogen – Vi trùng phân hủy glycogen -> môi trường acid
  • 41.
    Cơ quan sinhdục Nữ • Âm đạo
  • 42.
    V. ÂM ĐẠO • Biểu mô lát tầng không sừng hóa
  • 43.
    Cơ quan sinhdục Nữ • Bộ phận sinh dục ngoài – Gồm có: • Âm hộ • Tiền đình: có màng trinh, giống âm đạo • Môi lớn: là nếp da, nhiều thần kinh • Môi nhỏ: là nếp da, nhiều thần kinh • Âm vật: tương đương dương vật, nhiều thần kinh • Các tuyến phụ thuộc: Bartholin
  • 44.
    Cơ quan sinhdục Nữ • Bộ phân sinh dục ngoài
  • 45.
    Cơ quan sinhdục Nữ • Bộ phận sinh dục phụ – Tuyến vú • Chỉ phát triển ở nữ (nam vẫn có) • Phát triển mạnh sau dậy thì • Cấu trúc: – Nang tuyến: 15-25 nang tuyến riêng lẻ – Mô mỡ và mô xơ đệm – Núm vú: có nhiều thần kinh, melanin • Tiết sữa: ngoại tiết kiểu bán hủy đầu • Sữa: protein, hạt mỡ, đường, muối, nước
  • 46.
    Cơ quan sinhdục Nữ • Tuyến vú
  • 47.
    CHU KỲ KINHNGUYỆT Hành kinh Rụng trứng 1 3 14 28 (Ngày) Kỳ sau kinh Kỳ trước kinh
  • 48.
    1. Kỳ hànhkinh + Hoàng thể thoái hóa + Progesteron giảm 2. Kỳ sinh sản = Kỳ sau kinh + Niêm mạc tử cung khôi phục + Rụng trứng 3. Kỳ trước kinh = chế tiết = chức năng = hoàng thể + Xung huyết và xuất huyết + Trong buồng trứng hoàng thể được hình thành - Có thai hoàng thể được giữ lại - Không có thai: hoàng thể thoái hóa vào đầu kỳ sau.
  • 50.
    Chu kỳ kinhnguyệt, chu kỳ hormon và chu kỳ nang trứng
  • 51.
    •Kinh nguyệt: thểvàng xuất hiện→↑mạch máu → chuẩn bị nuôi hợp tử. Không thụ tinh → thể vàng teo → mất nguồn dinh dưỡng → hoại tử niêm mạc tử cung → bong thành từng mảng, vỡ mạch → ứ máu → hành kinh Một số kinh nghiệm phát hiện động dục • Màu sắc, kích thước âm hộ: đỏ tươi (nhót chín) → chuyển sang sẫm như mận chín (sự chuyển màu → rụng trứng) •Độ dính niêm dịch: dính, kéo thành sợi → rụng trứng • Độ mở tử cung: 1,2 – 2cm → rụng trứng • Thân nhiệt: nhiệt độ cao hơn bình thường 0,7–1,20C •Điện trở âm đạo: động dục điện trở giảm (200-300Ω)
  • 52.
    Người (28)  0 3 7 14 21 28 Dễ thụ thai Chú ý: nhiều yếu tố Theo dõi chu kỳ, nhiệt độ có đều hay không Thuốc ngừa thai, đặt vòng…
  • 53.
    Cơ quan sinhdục nam
  • 54.
    • Tổng quan – Bộ phận chính tinh hoàn – Tiết tinh trùng (ngoại tiết) và testosteron (nội tiết) – Bộ phận khác: nâng đỡ, dự trữ và dẫn tinh trùng • Bìu • Tinh hoàn • Các ống dẫn tinh • Các tuyến • Dương vật
  • 55.
    Cơ quan sinhdục nam • Tổng quan
  • 56.
    Cơ quan sinhdục nam • Tinh hoàn – 2 tinh hoàn, nằm trong bìu (ngoài cơ thể-> giảm T0) – Kích thước: 4cm x 3cm x 2cm (11-17g) – Nhiều thùy (150-200) – Mỗi thùy=1-5 ống sinh tinh
  • 57.
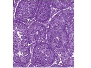
    TINH HOÀN -Sản xuất tinh trùng và hormon sinh dục nam. - Những đường dẫn tinh và các tuyến phụ thuộc. - KT: 4 x 2,5 cm, hình trứng / bìu. - Vỏ liên kết xơ bọc ở ngoài = là màng trắng. Ở mặt sau trên của tinh hoàn, màng trắng dày lên gọi là thể Highmore. - Nhiều tiểu thùy (150 200 tiểu thùy) qui tụ về phía thể Highmore. - 15 ống sinh tinh cong queo 30 150 cm một đầu kín.Tổng chiều dài các ống sinh tinh 250 m. - Giữa các ống sinh tinh có nhiều tế bào kẽ = tế bào Leydig. - Ống sinh tinh ----- ống thẳng ngắn, tiến về thể Highmore. ----- lưới tinh hoàn = lưới Haller ---- ống ra - - - ống mào tinh.
  • 60.
    Sơ đồ cấutạo tinh hoàn
  • 63.
    1 Ống sinhtinh - Biểu mô tinh: tế bào Sertoli và tế bào dòng tinh -Tế bào dòng tinh: sinh sản, biệt hóa thành tinh nguyên bào, tinh bào I, tinh bào II, tinh tử (tiền tinh trùng) và cuối cùng thành tinh trùng. -Tinh nguyên bào nằm sát màng đáy, có hai loại: A và B.
  • 71.
    Tế bào Sertoli:lớn, hình tháp kéo dài, có đáy tựa trên màng đáy và cực ngọn hướng vào lòng ống sinh tinh Có 3 chức năng : - nâng đỡ và bảo vệ các tế bào dòng tinh, tạo thành hàng rào máu tinh hoàn, - thực bào các phần bào tương dư thừa của tinh tử - tiết chất dịch lỏng
  • 72.
    2 Mô kẽtinh hoàn - Nằm xung quanh các ống sinh tinh, - Tế bào kẽ = TB Leydig. - Tuyến kẽ: tế bào Leydig + các mao mạch
  • 73.
  • 74.
    NHỮNG ỐNG DẪNTINH: Gồm ống thẳng, lưới tinh hoàn, ống ra, ống mào tinh, ống tinh, ống phóng tinh. 1. Ống thẳng: - Hướng về thể Highmore, dài 1mm, - Hình thành từ một vài ống sinh tinh. - Biểu mô vuông đơn không đều.
  • 75.
    2. Lưới tinhhoàn + Nằm trong thể Highmore, Kích thước không đều - biểu mô vuông đơn. 3. Ống ra + 1020 ống ra nối giữa lưới tinh hoàn với ống mào tinh. + TB biểu mô gồm TB vuông xen kẻ với TB trụ có lông chuyển.
  • 77.
    Tế bào biểumô của ống ra
  • 78.
    4. Ống màotinh + Nằm trong thừng tinh, đoạn đầu ngắn và hơi quanh co, đoạn sau dài, tương đối thẳng. + Đi qua ống bẹn và hố chậu rồi uốn cong về phía đáy bàng quang. + Đoạn cuối phình ra thành một cái túi gọi là bóng của ống tinh. + 3 tầng mô: tầng niêm mạc, tầng cơ và tầng vỏ ngoài + BM trụ giả tầng có lông chuyển.
  • 79.
    Tế bào biểumô của ống mào tinh
  • 80.
    5. Ống tinh(gồm 3 tầng mô): tầng niêm mạc (BM trụ giả tầng có LC), tầng cơ và tầng vỏ ngoài
  • 81.
  • 82.
    6. Ống phóngtinh Khoảng 2 cm, giống như bóng của túi tinh. Đoạn trong tuyến tiền liệt không có cơ. Biểu mô không có lông giả.
  • 83.
    Cơ quan sinhdục nam Các ống dẫn tinh Ống thẳng Lưới tinh hoàn Ống ra Ống mào tinh (5-7m) Ống tinh (40cm) Tinh trùng trưởng thành trong quá trình di chuyển qua các ống
  • 84.
    • Tinh trùngđi từ ống sinh tinh  ống thẳng  lưới tinh hoàn  ống ra ống mào tinh hoàn  ống dẫn tinh. • Ống dẫn tinh nối tiếp mào tinh hoàn  ống bẹn  sau bàng quang  niệu đạo.
  • 85.
    Cơ quan sinhdục nam • Các ống dẫn tinh
  • 91.
    Cơ quan sinhdục nam • Tuyến túi tinh
  • 92.
    Cơ quan sinhdục nam • Dương vật – Là cơ quan giao cấu – Dương vật cương nhờ tích máu – Điều khiển bởi thần kinh tự chủ – Kích thích bởi xúc giác - tâm lý
  • 93.
    CẤU TẠO DƯƠNGVẬT • Thân: da bao ngoài • Qui đầu: tận cùng của vật xốp • 2 vật hang • Vật xốp: bao quanh niệu đạo
  • 94.
    DƯƠNG VẬT: +Thể hang là mô liên kết xơ, trong có nhiều hốc máu, màng trắng bọc quanh thể hang CT từ 2 lớp sợi keo và sợi chun chắc chắn. + Thể xốp: khối trụ chứa niệu đạo trước, có hai chổ phình, một ở đầu trước gọi là qui đầu, một ở đầu sau gọi là hành niệu đạo. Màng trắng của thể xốp mỏng. + Phần lớn biểu mô niệu đạo trước là biểu mô trụ giả tầng.
  • 95.
    Sơ đồ cấutạo của dương vật
  • 97.
    Cơ quan sinhdục nam • Dương vật
  • 99.
    NHỮNG TUYẾN PHỤTHUỘC: Gồm: túi tinh, tuyến tiền liệt, tuyến hành niệu đạo.
  • 100.
    Cơ quan sinhdục nam – Tuyến túi tinh • 2 túi, dài 15cm, phía sau ống tinh • Không dùng chứa tinh • Túi tinh tiết chất dịch màu hơi vàng, nhớt (tinh dịch) • 70% tinh dịch là từ túi tinh  hình trứng, trong xoang chậu, trên b/quang và ống dẫn tinh. +Tiết chất keo gặp dịch tiền liệt tạo nút cổ tử cung sau giao phối (k0 cho tinh trùng chảy ngược ra) +Chất tiết cung cấp glucose, A.béo tăng hoạt lực tinh trùng.
  • 101.
    Cơ quan sinhdục nam – Tuyến tiền liệt • 30-50 tuyến ống túi • Mỗi tuyến ống túi = mỗi thùy • Tiết ra: amylase, acid citric, lipid, khoáng chất  cuối ống dẫn tinh, đầu niệu đạo, chứa H2CO3 (s’p trao đổi tinh trùng) +Men fibrinolizin, aminopeptitdaza chống đông vón tinh dịch +PGF2α→↑co bóp cơ trơn đường s/d cái→tinh trùng tiến thẳng nhanh.
  • 102.
    Cơ quan sinhdục nam • Các tuyến – Tuyến hành niệu đạo (Cowper) • Tiết chất giống tuyến tiền liệt dịch trong suốt, trung tính, làm trơn niệu đạo trước phóng tinh. • Nằm tại niệu đạo màng, trong gốc thể hang dương vật.
  • 103.
    SINH LÝ SINHSẢN NAM • Sản xuất tinh trùng: từ lúc dậy thì  suốt đời. • Mỗi ngày có ~100-300 triệu tinh trùng được sản xuất • Tinh dịch: tinh trùng + chất tiết của túi tinh, tuyến tiền liệt, tuyến Cowper và tuyến niệu đạo. • Mỗi lần phóng tinh ~2,5-3,5ml tinh dịch • Tinh dịch bình thường chứa 100 triệu tinh trùng/ml. • Tinh dịch chứa < 20 triệu tinh trùng/ml  vô sinh
  • 104.
    Một số hiệntượng sinh lý • Hiện tượng cương: KT  dãn tiểu động mạch  máu đổ đầy mô xốp  chèn ép các TM  ứ máu  DV cương cứng. Trung khu phối hợp nằm ở đoạn tủy lưng nhận xung động từ TKTW và CQSD • Hiện tượng phóng tinh: – Là 1 phản xạ tủy có 2 giai đoạn • Tiết tinh dịch và di chuyển vào niệu đạo • Cơ bầu hang co thắt  phóng ra khỏi niệu đạo/cực khoái.
  • 105.
    Hormon sinh dụcnam: • Testosteron: tế bào Leydig – tuyến kẽ ở tinh hoàn (chủ yếu) và vỏ tuyến thượng thận tiết ra (1 lượng ít) • Một số androgen khác: androstenedion, dihydrotestosteron
  • 106.
    TINH DỊCH +Lỏng, hơi đặc, nhớt, có màu trắng đục, PH vào khoảng 78,7. + 20.000 200.000 tinh trùng/1 mm3 + Khả năng thụ tinh phụ thuộc vào số lượng tinh trùng (≥ 40.000/mm3) + khả năng chuyển động cấu tạo của chúng.
  • 107.
    TINH TRÙNG 1.Cấutạo *Đầu: +nhân (n), thể đinh (hyaluronidaza phá màng p/xạ (không đặc trưng loài) *Cổ: +Khớp cổ trước, cổ sau lỏng lẻo +Chứa ty thể cấp E đuôi h/đ *Đuôi: sợi xoắn và dọck/năng tiến thẳng *Màng: lipoprotein (bán thấm chọn lọc)
  • 108.
    2.Sinh trưởng, thànhthục của tinh trùng (ống sinh tinh, 4 gđ) -tăng sinh: 1 TB tinh nguyên thủy→2nTB -sinh trưởng: đồng hóa tích lũy dinh dưỡng →TB to ra -giảm nhiễm: 1TB (2n)→4TB (n) (giao tử đực) -hoàn thiện: đến phụ dịch hoàn (có thể sống vài tháng) *Vai trò phụ dịch hoàn: lưu trữ, đk thích hợp ↑và thành thục +pH axit yếu→kìm hãm v/đ +T0< thân nhiệt 3 -40C +Yếm khí, Ptt ổn định +Nhiều K+(278mg%) t/d ức chế h/đ tinh trùng, Na+(115mg%) +Có k/năng hấp thu ion+ (Mg2+, Ca2+) →chống trung hòa điện tích. Lipoprotein bao quanh→cùng tích điệnΘ →chống ngưng kết →↓h/đ, ↓tiêu tốn E→tiềm sinh→2 tháng còn k/năng thụ tinh
  • 109.
    3.Đặc điểm sinhlý tinh trùng a.Vận động và sức sống *Vận động +v/đ độc lập, tiến thẳng trong môi trường tinh dịch và đường sinh dục cái, v/đ ngược dòng chảy +V, k/năng v/đ Є độ thành thục tinh trùng và môi trường *Sức sống: Є môi trường T0, pH, Ptt, a/s (đ.biệt a/s chiếu thẳng)….
  • 110.
    b.Hô hấp &trao đổi E: sử dụng E qua 3 hình thức +Hiếu khí: chủ yếu glucose (máu, pha loãng), fructose (tinh dịch) C6H12O6 + O2  6CO2+ 6H2O + 674Kcal (đường s.dục cái, tiếp xúc với không khí) bảo quản cần hạn chế tiếp xúc không khí +Yếm khí: Fructose  Axit lactic + CO2 + 27,7 Kcal (xảy ra trong dịch hoàn phụ, túi tinh) +Phân giải ATP: cổ đuôi chứa ATP-aza t/d phân giải ATP ATP ADP + 7 -10(kcal)+ H3PO4 E do hô hấp hiếu và yếm khí một phần tái tạo ATP
  • 111.
    SỰ DI ĐỘNGTRONG ĐƯỜNG SINH DỤC CÁI 1.Sự di động do: -V/đ bản thân tinh trùng: lợn 15-16mm/phút, bò 4mm/phút -Động tác giao phối: phóng tinh -Co bóp tử cung tạo áp lực âm (đ.biệt lúc chịu đực) →giao phối đúng→↑k/năng vận động→↑tỷ lệ thụ thai Thực tế: trộn oxytoxin vào hoặc cho đực thắt ống dẫn tinh giao phối trước→KT co bóp tử cung→tăng h/quả -Ngoài ra ống dẫn trứng tiết peptitlizin có t/d hút tinh trùng về phía trứng (hóa hướng động)
  • 112.
    SỰ THỤ TINH đồng hóa giữa trứng + tinh trùng →hợp tử (2n) có k/năng gián phân liên tiếp→phôi. Kết quả sự tái tổ hợp gen từ 2 nguồn KHÁC NHAU
  • 113.
    Sự thụ tinhgồm 3 giai đoạn 1.Phá màng phóng xạ: hyaluronidaza (thể đỉnh) phân giải hyaluronic (gắn TB p/xạ) → tinh trùng vào (không đặc trưng loài) 2.Phá màng trong suốt: men zonalizin (đầu). Đặc trưng loài, chỉ vài chục tinh trùng lọt vào tiếp cận màng noãn hoàng 3.Phá màng noãn hoàng: đầu tiết muraminidaza phân giải 1 điểm màng noãn hoàng → chỉ 1 có sức sống cao nhất qua (đầu lọt vào, đuôi ngoài), hình thành màng ngăn không cho tinh trùng khác vào (cần Ca++ vì vậy nếu khử Ca++ → nhiều tinh trùng vào)
  • 114.
    SINH LÝ THAIKỲ 1.Sinh lý phôi thai phát triển trong tử cung (2 gđ) -Phôi: thụ tinh → 1/3 thời gian, 3 lá phôi -Thai: cuối kỳ phôi → đẻ, 3 lá phôi phân hóa thành các cơ quan bộ phận → con non (Voi 610 ngày, Trâu 310, Bò 280, cừu 117, Lợn 114, dê 158 – 165, mèo 58, chó 62, thỏ 60) a.Sự điều tiết TK-TD thai kỳ *THẦN KINH: sau thụ thai → vỏ não hình thành vùng HF trội tiếp nhận các biến đổi hóa và cơ học từ các thụ quan ở tử cung →đảm bảo: máu nhiều, niêm mạc tử cung tăng sinh,↑ tiết dịch. HF mạnh nhất tháng thứ 2 → dễ sẩy
  • 115.
    *THỂ DỊCH: +Progesteron(thể vàng, nhau) → an thai (↓co bóp tử cung) Xúc tiến hợp tử làm tổ Kích thích và duy trì sự phát triển nhau thai KT TB thượng bì bao tuyến vú phát triển Ức chế tiết FSH, LH →ứ/c thải trứng +H.tuyến giáp: ảnh hưởng sự phát triển thai +PGF2α do tử cung tiết cuối kỳ chửa → phá thể vàng +Oestrogen (cuối kỳ chửa) →↑ mẫn cảm tử cung với oxytoxin +Relaxin (nhau tiết cuối thời kỳ chửa) →giãn dây chằng xương chậu, mở cổ tử cung.
  • 116.
    b.Biến đổi trêncơ thể mẹ trong thai kỳ •Duy trì thể vàng →an thai + ức chế động dục •Hình thành nhau → TĐC giữa mẹ + thai và tiết các Hocmon •Niêm mạc tử cung tăng sinh, máu đến nhiều →cung cấp d.dưỡng, E •TĐC↑ (đồng hóa↑, dị hóa↓)→thời kỳ đầu mẹ béo →cuối gầy •Tim, tần số mạch tăng •Hô hấp ngực,↑tần số. Đặc biệt cuối kỳ chửa (thai ép cơ hoành) •Ảnh hưởng cơ năng tiêu hóa, tiết niệu (thai chèn ép)→táo bón, đái dắt •[Ca],[P] máu ↓(cấp cho thai). Nếu thiếu Ca, P→mẹ huy động Ca xương duy trì [Ca],[P] máu →chứng xốp xương. Thiếu trầm trọng →yếu liệt sau đẻ •Miễn dịch: số lượng bạch cầu thực bào,[KT] tự nhiên tăng
  • 117.
    2.Sinh lý chuyểndạ Trước sanh: giãn dây chằng xg chậu, nút cổ tử cung tan. Trước đẻ 12 -48h →T0giảm, cổ tử cung mở, sữa bắt đầu tiết… a.Quá trình sinh: 3 giai đoạn •Chuẩn bị: cổ tử cung mở, tử cung bắt đầu co bóp. Thời gian co bóp = nghỉ→vỡ màng ối→dịch ối tràn ra ngoài •Đưa thai ra: tử cung co bóp mãnh liệt, thời gian co bóp > nghỉ → đau dữ dội. Kết hợp cơ hoành, cơ bụng tạo cơn rặn đẻ đẩy thai ra. •Đẩy nhau thai ra: tử cung tiếp tục co bóp đẩy nhau thai ra, thời gian co bóp < nghỉ.
  • 118.
    b.Cơ chế sinh:TK – TD và tác động cơ giới của thai +Thai thành thục →KT cơ giới và gây áp lực lên tử cung→ HF về trung khu s/dục (tủy sống vùng chậu)→ phản xạ đẻ +Nội tiết: cuối kỳ chửa, vỏ thượng thận tiết cocticosteron→KT nhau thai sinh PGF2α→thoái hóa thể vàng →↓[progesteron] máu. Đồng thời nhau thai tiết relaxin → giãn dây chằng xương chậu → mở cổ tử cung → ↑tiết oestrogen →↑độ mẫn cảm của tử cung với oxytoxin trước đẻ +Về mối quan hệ giữa mẹ (nhau) và thai: không cần thiết nữa → thai như 1 ngoại vật trong tử cung →cần đẩy ra.
  • 119.
    c.Sinh khó •Xươngchậu bé (di truyền, suy d.dưỡng→thiếu Ca, P…) •Mẹ yếu do bệnh trước khi đẻ hoặc d.dưỡng kém •Thai quá to, thai ngược hoặc oxytoxin quá thấp (ít) d.Chậm sinh, vô sinh •D.dưỡng: thiếu protein, khoáng hoặc nhiều tinh bột, chất béo →buồng trứng tích mỡ… •Nội tiết: thiếu hocmon s/dục hoặc rối loạn nội tiết •Chế độ sử dụng khai thác: cày bừa, kéo xe quá sức •Tuổi : già •Bẩm sinh→cấu tạo và ch/năng cquan s/dục (tử cung quá nhỏ, buồng trứng không phát triển…) •Bệnh sản khoa, kỹ thuật phối khg đúng, stress (khí hậu, v/chuyển…)
  • 120.
    The end •http://www.slideshare. net/nguyendung186590 4/h-sinh-dc