HEÄ SINH DUÏC NAM
ThS. BS. HUỲNH NGỌC LINH
TINH HOAØN
THAØNH PHAÀN CAÁU TAÏO
ÑÖÔØNG DAÃN TINH
TUYEÁN SINH DUÏC PHUÏ
DÖÔNG VAÄT
TINH HOAØN, ÑÖÔØNG DAÃN TINH, TUYEÁN SINH DUÏC PHUÏ VAØ DÖÔNG VAÄT
TINH HOAØN
- MAØNG TRAÉNG - TRUNG THAÁT TINH HOAØN
- VAÙCH XÔ - TIEÅU THUØY TINH HOAØN
- OÁNG SINH TINH – BIEÅU MOÂ TINH
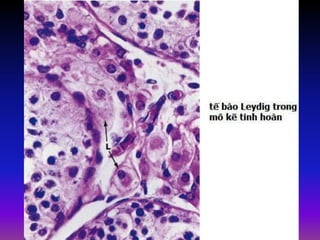
- TUYEÁN KEÕ - TEÁ BAØO LEYDIG
- OÁNG THAÚNG - LÖÔÙI TINH - OÁNG RA - OÁNG MAØO
TINH
- OÁNG TINH – OÁNG PHOÙNG TINH
OÁNG SINH TINH CAÉT NGANG, XEN
GIÖÕA LAØ MOÂ KEÕ
BIEÅU MOÂ TINH
VÔÙI CAÙC TEÁ BAØO DAÏNG CÔ VAØ TEÁ BAØO KEÕ
SÖÏ TAÏO TINH TRUØNG
- NGUYEÂN TINH BAØO A: nguyeân phaân taïo nguyeân
tinh baøo A vaø B
- NGUYEÂN TINH BAØO B: Tinh baøo I, tinh baøo II, tinh
töû, tinh truøng
- CAÙC TEÁ BAØO DOØNG TINH CUØNG TEÁ BAØO NGUOÀN
THÌ LIEÂN KEÁT NHAU
- SÖÏ TAÏO TINH TRUØNG XAÛY RA KHOÂNG ÑOÀNG BOÄ
VAØ KHOÂNG ÑOÀNG THÔØI ÔÛ TÖØNG OÁNG SINH TINH
VAØ TOAØN BOÄ CAÙC OÁNG SINH TINH
BIEÅU MOÂ TINH: caùc teá baøo doøng tinh + teá baøo Sertoli
Bieåu moâ tinh vôùi caùc teá baøo doøng
tinh vaø teá baøo Sertoli Tinh baøo vaø tinh töû
Dieãn bieán söï taïo tinh truøng
Dieãn bieán söï bieät hoùa tinh töû
Haøng raøo maùu - tinh hoaøn
Baûo veä teá baøo doøng tinh
- KHU VÖÏC ÑAÙY
- KHU VÖÏC LOØNG
Söï ñieàu hoøa hoaït ñoäng sinh tinh
OÁng maøo tinh
BM truï giaû taàng vôùi loâng giaû
OÁng tinh
BM truï giaû taàng vôùi loâng giaû
TUÙI TINH
Coù hoaït ñoäng cheá tieát
Bieåu moâ vuoâng-truï
giaû taàng
TUYEÁN TIEÀN LIEÄT
Tuyeán oáng phöùc taïp
Lôùp trung taâm – lôùp chuyeån tieáp – lôùp ngoaïi vi
The normal prostate
contains several distinct
regions, including a
central zone (CZ), a
peripheral zone (PZ), a
transitional zone (TZ),
and a periurethral zone.
Most carcinomas arise
from the peripheral
glands of the organ and
may be palpable during
digital examination of the
rectum.
Nodular hyperplasia, in
contrast, arises from
more centrally situated
glands and is more likely
to produce urinary
obstruction early than is
Sơ đồ phân vùng
trong tuyến tiền
liệt và các bệnh lý
liên quan
TUYEÁN TIEÀN LIEÄT
Benign prostate gland with basal cell and secretory cell layer.
MÔ HỌC TUYẾN TiỀN LiỆT
DÖÔNG VAÄT CAÉT NGANG

MÔ HỌC HỆ SINH DỤC NAM

  • 1.
    HEÄ SINH DUÏCNAM ThS. BS. HUỲNH NGỌC LINH
  • 2.
    TINH HOAØN THAØNH PHAÀNCAÁU TAÏO ÑÖÔØNG DAÃN TINH TUYEÁN SINH DUÏC PHUÏ DÖÔNG VAÄT
  • 3.
    TINH HOAØN, ÑÖÔØNGDAÃN TINH, TUYEÁN SINH DUÏC PHUÏ VAØ DÖÔNG VAÄT
  • 4.
    TINH HOAØN - MAØNGTRAÉNG - TRUNG THAÁT TINH HOAØN - VAÙCH XÔ - TIEÅU THUØY TINH HOAØN - OÁNG SINH TINH – BIEÅU MOÂ TINH - TUYEÁN KEÕ - TEÁ BAØO LEYDIG - OÁNG THAÚNG - LÖÔÙI TINH - OÁNG RA - OÁNG MAØO TINH - OÁNG TINH – OÁNG PHOÙNG TINH
  • 6.
    OÁNG SINH TINHCAÉT NGANG, XEN GIÖÕA LAØ MOÂ KEÕ BIEÅU MOÂ TINH VÔÙI CAÙC TEÁ BAØO DAÏNG CÔ VAØ TEÁ BAØO KEÕ
  • 8.
    SÖÏ TAÏO TINHTRUØNG - NGUYEÂN TINH BAØO A: nguyeân phaân taïo nguyeân tinh baøo A vaø B - NGUYEÂN TINH BAØO B: Tinh baøo I, tinh baøo II, tinh töû, tinh truøng - CAÙC TEÁ BAØO DOØNG TINH CUØNG TEÁ BAØO NGUOÀN THÌ LIEÂN KEÁT NHAU - SÖÏ TAÏO TINH TRUØNG XAÛY RA KHOÂNG ÑOÀNG BOÄ VAØ KHOÂNG ÑOÀNG THÔØI ÔÛ TÖØNG OÁNG SINH TINH VAØ TOAØN BOÄ CAÙC OÁNG SINH TINH
  • 10.
    BIEÅU MOÂ TINH:caùc teá baøo doøng tinh + teá baøo Sertoli
  • 11.
    Bieåu moâ tinhvôùi caùc teá baøo doøng tinh vaø teá baøo Sertoli Tinh baøo vaø tinh töû
  • 12.
    Dieãn bieán söïtaïo tinh truøng
  • 13.
    Dieãn bieán söïbieät hoùa tinh töû
  • 14.
    Haøng raøo maùu- tinh hoaøn Baûo veä teá baøo doøng tinh - KHU VÖÏC ÑAÙY - KHU VÖÏC LOØNG
  • 15.
    Söï ñieàu hoøahoaït ñoäng sinh tinh
  • 16.
    OÁng maøo tinh BMtruï giaû taàng vôùi loâng giaû
  • 17.
    OÁng tinh BM truïgiaû taàng vôùi loâng giaû
  • 18.
    TUÙI TINH Coù hoaïtñoäng cheá tieát Bieåu moâ vuoâng-truï giaû taàng
  • 19.
    TUYEÁN TIEÀN LIEÄT Tuyeánoáng phöùc taïp Lôùp trung taâm – lôùp chuyeån tieáp – lôùp ngoaïi vi
  • 20.
    The normal prostate containsseveral distinct regions, including a central zone (CZ), a peripheral zone (PZ), a transitional zone (TZ), and a periurethral zone. Most carcinomas arise from the peripheral glands of the organ and may be palpable during digital examination of the rectum. Nodular hyperplasia, in contrast, arises from more centrally situated glands and is more likely to produce urinary obstruction early than is Sơ đồ phân vùng trong tuyến tiền liệt và các bệnh lý liên quan
  • 21.
  • 22.
    Benign prostate glandwith basal cell and secretory cell layer. MÔ HỌC TUYẾN TiỀN LiỆT
  • 23.