IMAGING IN BILIARY SYSTEM AND Gb
PATHOLOGIES
BY DR PAUL JOY
MODERATOR:
DR GURURAJ SHARMA
ROLE OF IMAGING IN
OBSTRUCTIVE JAUNDICE
OBSTRUCTIVE JAUNDICE
• Aetiology
▫ Benign disease (76%)
 Post operative stricture
 Calculi in biliary tree
 Chronic pancreatitis
 Sclerosing cholangitis
 Recurrent pyogenic cholangitis
 Hepato-biliary ascariasis
 Papillary stenosis
 Liver cysts
• Aetiology
▫ Malignancy (24%)
 Pancreatic carcinoma
 Periampullary Ca
 Cholangiocarcinoma
 Metastatic disease
 Site of obstruction Causes
Extrahepatic
 Distal CBD Choledocholithiasis
(90%) Peri- ampullary tumours
Strictures
 Suprapancreatic CBD Cholangiocarcinoma
(5%) Metastatic lymph nodes
 At Porta Cholangiocarcinoma
(5%) Strictures
Hepatic tumours
GB carcinoma
Lymph nodes
Intrahepatic
 Intrahepatic tumours
 Caroli’s disease
 Cholangitis
 Haemobilia
Role of Imaging
• Identify dilatation of intra and extra-hepatic biliary
channels
• Identify level of obstruction
• Identify possible cause of obstruction
• If obstruction appears to be malignant
a)Is there evidence of non resecetablility ?
b)In those with malignant hilar obstruction
unsuitable for surgery , what approach should be
taken for palliative stenting ?
MODALITIES AVAILABLE
 Plain Radiographs
 Oral Cholecystography
 Intravenous Cholangiogram
 Ultrasonography
 Computed Tomography
 MRI and MRCP
 Radionuclide Imaging
 Percutaneous Transhepatic Cholangiogram
 Endoscopic Retrograde Cholangiopancreatography
PLAIN RADIOGRAPHS
 Detect calcified gall stones only (20-30%)
gall stones could be mixture of Cholesterol , Pigment ,and calcium bile salts The
densest stones is pure Calcium bicarbonate stone called as mulberry stone.
If radiopaque , it may show stellate faced appearance with gas containing fissures
( Mercedez Benz sign)
 Limy bile :
Bile with high calcium content . A layering effect is seen on a horizontal ray
projection
 Mural calcification :
Galll bladder wall undergoing calcification as a sequelae to Choninc
inflammatory change , producing porcelain gall bladder
 Mural Gas :
Emphysematous Cholecystitis
 Gas in biliary tree:
▫ Central distribution of gas and anterior distribution in left and anterior sectoral
right duct system .
▫ Portal venous gas : Peripheral distribution
ORAL CHOLECYSTOGRAPHY
• For an OCG, the patient takes iodine-containing tablets (telepaque-iopanoic
acid) by mouth for one night or two nights in a row.
• The iodine is absorbed from the intestine into the bloodstream, removed from
the blood by the liver, and excreted by the liver ( Enterohepatic recirculation )
and into the bile.
• The iodine, together with the bile, is highly concentrated in the gall bladder.
• The bile ducts themselves cannot be seen on the x-ray in an OCG because the
iodine is not concentrated in the ducts. Therefore, any gallstones lodged in the
ducts will go undetected on OCG.
• Contraindications:
▫ Pregnancy
▫ Acute cholecystitis
▫ Acute renal failure
▫ Allergy to contrast medium
ORAL CHOLECYSTOGRAPHY
Opacified Gall
Bladder
INTRAVENOUS CHOLANGIOGRAPHY
• An Xray examination of the bile ducts.
• Contrast medium (cholograffin-iopamide meglutimine) injected into a vein
is excreted through the liver and the bile ducts are opacified.
• The procedure can be used to locate gallstones within these bile ducts.
• IVC also can be used to identify other causes of obstruction to the flow of
bile, for example, narrowings (strictures) of the bile ducts and cancers that
may impair the normal flow of bile.
Radionuclide Imaging
• This scan is also known as a HIDA (tc 99m hepatobiliary
iminodiacetic acid) scan.
• Its role is to demonstrate the flow of bile in the body.
• Indications-
• Gallbladder inflammation (cholecystitis)
• Bile duct obstruction
• Congenital abnormalities in the bile ducts, such as biliary atresia
• Postoperative complications, such as bile leaks and fistulas
• Assessment of liver transplant
• A small amount of radioactive tracer, known as Tc-99m is given intravenously.
• Following this, when the gall bladder has filled sufficiently an intravenous infusion
of cholecystokinin is commenced and run slow through the cannula over an
additional 60 minutes. This will cause the gall bladder to contract.
• The difference in volume of the gallbladder before and after the cholecystokinin
can be determined and expressed as what is known as the ejection fraction.
• Normally an ejection fraction greater than 35-40% indicates that the gall
bladder is contracting normally.
• Sometimes a gall bladder may not contract well when it has been subject to
chronic inflammation.
• The dynamics of the bile ducts can also be measured by means of computer
analysis to indicate whether the sphincter of Oddi is functioning normally, or if
other problems exist further upstream.
PERCUTANEOUS TRANS-HEPATIC CHOLANGIOGRAPHY
• Percutaneous transhepatic cholangiography (PTC) is a radiographic technique
employed in visualisation of the biliary tract, and can be used as the first step in
a number of percutaneous biliary interventions(e.g.  percutaneous transhepatic
biliary stent placement)
• Indications
• Failed ERCP / ERCP not feasible (e.g. patients with gastrojejunostomy)
• Biliary system delineation in presence of intra and extrahepatic biliary calculi
• To identify obstructive cause of jaundice; and differentiate from medically
treatable cause
• Anatomic evaluation of complications of ERCP
• Delineating bile leaks
• Contraindications
• bleeding diathesis
• gross ascites
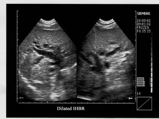
ULTRASONOGRAPHY
• Dilated IHBR seen as linear branching anechoic
structures parallel to the portal venous radicles
• IHBR more than 40 % of diameter of accompanying
portal vein or more than 2 mm in diameter is
considered dilated
• Normal CBD ranges from 5to 8 mm. Wider in
elderly and post cholecystectomy(upto 12) patients
MAGNETIC RESONANCE CHOLANGIO-
PANCREATOGRAPHY (MRCP)
Normal anatomy
Dilated CBD
on MRI
Dilated IHBR and
CBD on MRCP
ERCP
• Endoscopic retrograde cholangiopancreatography (ERCP) is a
technique that combines the use of endoscopy and fluoroscopy to
diagnose and treat certain problems of the biliary or pancreatic
ductal systems.
• Through the endoscope, the physician can see the inside of
the stomach  and duodenum , and inject radiographic contrast into
the ducts in the biliary tree and pancreas so they can be seen on X-
rays.
• ERCP is used primarily to diagnose and treat conditions of the bile
ducts and main pancreatic duct, including gallstones, inflammatory
strictures (scars), leaks (from trauma and surgery), and cancer.
ERCP can be performed for diagnostic and therapeutic reasons
Causes of Obstructive Jaundice
• Congenital
- Choledochal cyst - Pancreas Divisum - Annular pancreas
• Benign
▫ Biliary calculi
▫ Hepatolithiais
▫ Benign Biliary strictures :
a)Post op strictures b) Primary Sclerosing Cholangitis
c) Mirizzi s Syndrome d) Pancreatitis
e) IG4 related sclerosing dis e) HIV Cholangiopathy
f) Acute bacterial Cholangitis g) Recurrent pyogenic cholangitis
▫ Parasitic infections
▫ Biliary leak and bile duct injury
▫ Biliary cystic disease
• Malignant
▫ Gall bladder carcinoma
▫ Cholangio carcinoma
▫ Carcinoma head of Pancreas
Choledochal cysts
• Choledochal cysts represent congenital disproportionate
cystic dilatations of the biliary tree.
• Often diagnosed in children . Mostly asymptomatic , but
can present with non specific abdominal pain , right
upper quad mass and jaundice.
• Diagnosis relies on the exclusion of other conditions as a
cause of biliary duct dilatation: (i.e. tumour, gallstone or
inflammation as the cause).
• USG :
▫ Cystic or fusiform dilatation of CBD
• MRCP :
▫ Modality of choice
▫ Delineates type & extent of cyst, Pancreatico-biliary junction &
associated complication if any
▫ Depicts cystic or fusiform dilatation of part or whole of CBD
•  Todani et al has classified into 5 main types
• I: most common (80-90%)
(this type can present in utero)
• Sacccular /fusiform dilatation of all or part of extrahepatic bile duct with normal
intrahepatic ducts
▫ Ia: dilatation of extrahepatic bile duct (entire)
▫ Ib: dilatation of extrahepatic bile duct (focal segment)
▫ Ic: dilatation of the common bile duct portion of extrahepatic bile duct
• II: true diverticulum from extra hepatic bile duct
• III: dilatation of extra-hepatic bile duct within duodenal wall (choledochocoele)
Ectasia of intramural CBD .
• IV: Multiple intra and extrahepatic biliary cyst (next most common )
▫ IVa: cysts involving both intra and extrahepatic ducts
▫ IVb: multiple dilatations/cysts of extra hepatic ducts only
• V: multiple dilatations/cysts of intra hepatic ducts only (Caroli disease)
CHOLEDOCHAL CYST
CAROLI S DISEASE
• Typical cholangiographic features are those of an irregular
intrahepatic duct system , which may be total , lobar or segmental
in distribution
• Stone formation and cholangitis develops
• Its associated with congenital hepatic fibrosis and cystic disease of
kidneys ie autosomal recessive Fibropolycystic disease
• ARFPD: Chronic renal failure/Renal duct ectasia
Minor bile duct dilatation
Portal hypertension
severe cirrhosis
Biliary atresia
• Biliary atresia (BA) is a congenital biliary disorder,
which is characterised by an absence or severe deficiency
of the extra-hepatic biliary tree.
• Most common causes of neonatal cholestasis, often
causing cirrhosis immediately and leading to death and
accounts for over half of children who undergo liver
transplantation. 
• It is thought to result from idiopathic destructive
inflammatory process which leads to fibrotic remnants at
porta hepatis.
• Ultrasonography:
- Technique: fasting at least 4 hours before examination
- The gallbladder ghost triad: a gallbladder length less than
1.5cm( 1.9cm), a thin or indistinct gall bladder wall, and an irregular
and lobular contour.
- The triangular cord sign( TC sign): a circumscribed, focal, triangular
or tubular echogenic density more than 3 mm thick located cranial
to the portal vein bifurcation.
- Central biliary cysts and choledochal cysts may be associated with
biliary atresia.
Gallblader
Gallbladder ghost triad in
babies with biliary atresia.
A short gallbladder, an
irregular or lobulated
contour, and a relatively
indistinct lining and wall
Hepatobiliary scintigraphy
A technetium-labeled iminodiacetic acid
(IDA) analogue is typically used, include99m
Tc (technetium-99m) DISIDA (di
isopropyl-iminodiacetic acid) and99m
Tc
mebrofenin (trimethylbromo-
iminodiacetic acid).
 Infants with biliary atresia usually have
normal hepatocyte uptake of the
radiotracer if they are younger than 2
months of age.
If excretion of radiotracer into the bowel is
seen, biliary atresia is virtually excluded. If
radiotracer excretion is absent after 24
hours (as it is in the image below), biliary
atresia is suspected.
Primary Sclerosing Cholangitis
• PSC is an idiopathic disuse , fibrosing inflammatory process of the the
intrahepatic and extraheptic bile ducts . Commony seen in males (70%)
and with median age of onset of 40 years.
• Thought to be autoimmune disease and can be seen associated with
Ulcerative colitis , Riedel s struma , orbital pseudotumour retroperitoneal
fibrosis , mediastinal fibrosis , Sjogren s syndrome
• 15 % of cases are complicated with Cholangiocarcinoma and acute infectious
cholangitis (due to biliary stasis)
Radiological features
• Ultrasound
• Ultrasound is able to demonstrate both the changes of cirrhosis and
irregularity of bile duct calibre.
• USG diagnosis is difficult because bile duct dilatation in PSC is minimal due
to surrounding fibrotic reaction
• CT
• Duct wall thickenening with marked post Con Enhancment , skip dilatation ,
stenosis and mural webs can be seen.
• Multiple linear discontinuous low density regions representing dilated intra-
hepatic bile duct segments 
• Rounded with lobulated contour of liver and atrophy ( lateral segments of
left lobe and posterior segments of right hepatic lobe )
• Marked caudate lobe hypertrophy
• The atrophied liver is of lower density than the hypertrophied caudate lobe.
• Cholangiography / ERCP
• ERCP remains the gold standard for the depiction of the biliary tree, and
also offers the ability to perform cholangioplasty if necessary.
• The characteristic findings on direct imaging of the biliary tree are 2-3,5
:
• multiple segmental strictures of both intra and extra hepatic bile ducts
▫ typically short segment band like stricture ( 1-2mm)
▫ intervening segments are of normal calibre or slightly dilated (beading)
• biliary dilatation: may be present in ~85% of cases 9
▫ general: ~35%
▫ segmental: ~50%
• biliary diverticula ( 1 mm to 1 cm ) in extra hep bile ducts and intraluminal
webs.
• Fibrous obliteration of peripheral bile ducts can result in pruned tree
appearance
• PSC bile duct irregularity cn be seen as subtle brush border like appearance
to shaggy or frankly nodular appearance
• distortion of the biliary tree due to associated cirrhosis
MRCP
• There is good correlation between ERCP and MRCP in diagnosis of PSC
• MRCP will show all the finding earlier described
• Additional findings :
• Duct wall thickeneing and Enhancement
• Morphological changes to (Liver post cirrhosis )
• Randomly distributed T1 hyperintense areas , reticular or peripheral wedge
shaped T2 hyperintense areas and large nodular lesions (>3cm)
(which are isointense on T1 and hypointense on T2 ) predominantly in
central part of liver.
PSC results in atrophy of peripheral wedge shaped areas in the liver
which appear Hypo on T1 and Hyper on T2 and shows delayed enhancement .
CHOLANGIO CA with PSC will show : Markerd duct dilation , progressive stricture
and the prescence of intraluminal polypoidal mass 1cm or more in diameter
PSC with thickening of the wall of the bile
duct (arrow)
Primary sclerosing cholangitis: MRCP and
ERCP
Primary sclerosing cholangitis (PSC) with multiple
intrahepatic strictures.
• MRI 3D MIP showing Primary
sclerosing cholangitis (PSC)
with multiple intrahepatic
strictures.
Mirizzi Syndrome
• Complication of long standing Cholelithiasis Charecterised by Common hepatic
duct or CBD obstruction due to extrinsic compression from an impacted gall stone
in cystic duct or gall bladder neck or from associated inflammatory changes .
• Complications :
Fistula formation between the gall bladder and the CHD/CBD secondary to
eroding stone .
• IMPORTANCE:
Identification is crucial preoperatively since there is increased risk of extrahepatic
bile duct injury due to dense fibrosis around the hepatoduodenal ligament
• HALLMARK FEATURE :
Cholelithiasis with IHBR and Dilated Common Duct till the porta hepatis beyond
which CDB is normal in calibre
Mirizzi syndrome—MRCP. Coronal
thick-slab MIP image from MRCP
shows a gallstone in the gb neck
causing dilatation of the gb and
obstruction of the common
hepatic duct
CHOLANGIOCARCINOMA
• Cholangiocarcinoma is the most common malignant tumor arising from the
epithelium of the bile ducts.
• RISK FACTORS :
Primary sclerosing Cholangitis
Carolis disease
Choledochal cyst
Familial Polyposis
Congenital hepatic fibrosis
Biliary enteric anastomosis
History of exposure to thoradust
• Peak incidence :
6th
to 7th
decade
More common in males
95% are adenocarcinoma s of bile duct epithelium and have abundant fibrous
storma
CLASSIFICATION
• ANATOMICALLY :
• Intrahepatic peripheral chol –
ngioarcinoma , arises peripheral to
secondary confluence .
• Hilar Cholangioarcinoma : Arises
from right or left hepatic ducts or
fron primary biliary confluence .
• Extrahepatic Cholangiocarcinoma
• MOPHOLOGICALLY :
• Mass forming cholangiocarcinoma
• Periductal cholangiocarcinoma
• Intraductal chollangiocarcinoma
INTRAHEPATIC CHOLANGIO CA
• Late presentation with either a) large well defined mass with
lobular margins b)Purely periductal infiltrating c) Mixed with mass
forming and periductal infiltrating.
• USG:
• Hypoechoic , isoechoic or hyperechoic mass which may be
homogenous or heterogenous .
• CT:
Hypodense solitary mas with satellite nodules
Post con : Thin rim/Thick band of peripheral and patchy
enhancement . The central area of tumour , which contains fibrous
tissues does not enhance during early phase but shows progressive
centripetal enhacement and retension on delayed images during
delayed phase 4-20min ( Helps to dfferenciae from HCC )
• Vascular invasion
• Focal intrahepatic biliary duct dilatation and atrophy
of the segment of the liver drained by these ducts with capsular retraction .
• Since cholangiocarcinoma has no capsule their margins are infiltrative and
difficult to predict on imaging
• MRI:
Irregular heteroechoic mass hypointense on T1 and Hyperintense on T2 wt images
HILAR CHOLANGIOCARCINOMA(klatskin tumour)
• Mostly periductal infiltrating type and most often arise at the
primary confluence or in the proximal common hepatic duct .
• USG:
• IHBR with/without isolation of left and right sided ducts and lobar
atrophy
• Defnitive mass is rarely seen on USG , so IHBR without evidence of
extrahepatic dilatation alone should raise suspicion of Hilar
cholangiocarcinoma
• CT :
• Tumour might appear hypodense to liver in both unenhanced and Enhanced
images , But Focally thickened bile duct wall due to infiltrating tumour may
appear hyperdense to the liver in the arterial and portal venous phase .
Delayed enhancement can be seen in 8-15 min post Contrast injection.
• MRI
• Iso/hypointese on T1 and Hyperintense on T2
• Lobar hepatic atrophy due to long standing biliary obstruction/portal venous
invmt and results in crowding of dilated biliary ducts and Volume loss mostly of
left lobe of liver
• Biliary dilatation .
• Contigous invasion of liver parenchyma and hepatoduodenal ligament is a
feature of KLASKIN TUMOUR
• Lymphnodal metastasis can be seen in Periportal and
peripancreatic regions
• Complications:
Retroperitoneal lymphadenopathy
Proximal intestinal obstruction
Peritoneal dissemination
Unresectable lesions:
• If they involve bilateral secondary confluence or main
portal vein or hepatic artery or bilateral vascular
involvement or vascular involvement on one side and
extensive bile duct involvement on the other side
CLASSIFICATION
• Determine the exact location of the tumor mass and can be
used in preoperative assessment. The 
Bismuth-Corlette system is one classification:
• type I: ​the lesion is limited to the common hepatic duct
distal to the confluence of right and left ducts
• type II:  the tumor involves the confluence of right and left
hepatic ducts
• type III: the tumor involves one of the hepatic ducts
• type IV: the tumor invades the right and left hepatic ducts
and hence it becomes unresectable
tumor at the confluens of the left and right hepatic duct.
The margins of the tumor however are imperceptible because of the
infiltrative growth.
GALL BLADDER
Elliptical organ.
Location: between anatomical Rt & Lt lobe of liver.
Parts:
Fundus
Body
Infundibulum (Hartmann’s pouch)
Neck
INTERIOR OF GALL
BLADDER AND BILE
DUCTS
VARIATIONS OF MULTIPLE GB
NORMAL GB – ORAL CHOLECYSTOGRAM
NORMAL GALL BLADDER-US
NORMAL GB ANATOMY - CT
MRCP –NORMAL GB AND BILE DUCT
GALL STONES
• About 70 % of gall stones are predominantly/purely Cholestrol type
• About 30 % of gal stones are Black pigment stones composed of Calcium bilirubinate and Calcium
carbonate
• IMAGING MODALITIES :
• X ray : Less than 10 % stones are Opaque on plain Radiograph
• large stones shows lamellated , peripheral/Central calcification.
• USG : Highly sensitive in detecting gall stones and it’s the preferred imaging modality
• Non Impacted stones tend to mobile , echogenic foci in dependent portion with
• posterior acoustic shadowing . (small stones may not shadow ).
• Shadowing can differentiate Gall stones from polyps.
• In order to evaluate Gall stone mobility patient ca be rolled into new position , left lateral
decubitus. Mobile gall stone will roll into the most dependant position. Gall stones adherent to the wall
may not show mobility and don’t show shadowing , can mimic polyp.
• GB filled with Gall stones show DOUBLE ARC SHADOW (Wall Echo Shadow )sign in Gb fossa .
• It consists of Two parallel curved echogenic lines separated by a thin anechoic space with dense
acoustic shadowing distal to the deeper echogenic line.
•
• CT :
• Detects 75% of stones and its seen as intraluminal hyperdense foci . Sensitivity
depends on the make of stones .
• Non calcified stones may be isodense to the bile and may not be
visualized/seen as subtle filling defects with a density slightly higher or lower than
the surrounding bile. Cholesterol stones may float when Spe Gra of the bile is
higher than that of stones .
• target sign: central rounded density: stone surrounding lower attenuating bile or
mucosa.
• crescent sign: bile eccentrically outlines luminal stone, creating a low attenuation
crescent
• Gall stones with calcium or gas , they can be readily identified. Gall stones
containing Gas ( Nitrogen ) within fissures may display A Mercedes Benz sign,
which refers to the triradiate appearance of gas density.
• MRI:
• Gall stones are recognized as Hypointense filling defects but may appear
hyperintese on T1 weighted imaging. Stones upto 2mm can be detected.
•
• Gall stone Spillage :
• Its also called dropped gall stones .
• Its complication of Lap Chole and may occur when GB is perforated during
dissection from the liver bed or during the extraction of the GB through the
narrow port
• The spilled gall stone may remain in the peritoneal cavity adjacent to the liver
or it may migrate to distant sites such as pelvis or pleural space. It can form
abscess .It is seen mostly with Bilirubinate stones with viable bacteria.
• Diagnosis on CT is straight forward if the stone is radiopaque (history of lap
chole)
Calculus in CBD
CBD Calculi on MRCP
Calculi in GB and CBD
On MRI
GALL BLADDER POLYP
Lesions that project from the gall bladder wall into the gallbladder lumen are
called gallbladder polyps .
They include neoplasms such as adenomas or adenocarcinomas and nonneoplastic
lesions such as cholesterol polyps (most common), infl ammatory polyps, and
hyperplastic polyps.
Many lesions identified as polyps on USG prove to be small gallstones upon
cholecystectomy . Gallstones that are adherent to the gallbladder wall and do not
show clear shadowing may mimic polyps .
Features of malignant polyp :
•Size greater than 10 mm
•sessile, are single,
•adjacent wall thickening, or are found in patients older
•Seen in Pts with age > 50yrs
• Gallbladder adenomas
• Uncommon benign epithelia l neoplasms considered to have malignant
potential.
• They are more commonly found in women and may be associated with Peutz-
Jeghers or familial polyposis syndromes .
• They are usually solitary (90 %) and may be sessile or pedunculated
• Cholesterolosis
• An accumulation of lipid-laden macrophages in the lamina propria of the
gallbladder, may result in the formation of excrescences called cholesterol polyps.
• Single/Multiple
• typically smaller than 10 mm, and enhance with IV contrast.
• They may appear to float in the gallbladder lumen on CT due to a thin stalk
that may be imperceptible on CT. They have no malignant potential.
Imaging
 USG:
• Single or multiple, immobile, nonshadowing lesions arising from the gallbladder
wall.
• Ultrasonography is unable to reliably differentiate benign from malignant
polyps . Multiplicity and polyps smaller than 10 mm are more suggestive of
benignity.
• Gallbladder polyps are differentiated from gallstones by their lack of shadowing
and mobility.
 CT is signifi cantly less sensitive for detecting polyps compared to ultrasound and
it may not be possible to distinguish a polyp from a noncalcified gallstone on CT.
 MRI:
• polyps are low in signal on both T1- and T2-weighted imaging.
• Both benign and malignant polyps may show early enhancement; however, on 5-
min delayed imaging, malignant polyps tend to demonstrate prolonged
enhancement, whereas benign polyps show washout.
Acute cholecystitis
• Its acute inflammation of the gallbladder. It is the primary complication
of cholelithiasis and the most common cause of acute pain in the right upper
quadrant (RUQ).
• Ultrasound
• The most sensitive US finding in acute cholecystitis is the presence of cholelithiasis
in combination with the sonographic Murphy sign. Both diffuse gallbladder wall
thickening (>3 mm) , wall hyperemia and pericholecystic fluid are secondary
findings. 
• CT
• Less sensitive for dectecting cholecystitis compared to US but may show a
distended gall bladder with wall thickening ( >3-5 mm)
• Mucosal /mural hyperenhancement , pericholecytic Inflammatory fat stranding or
fluid and gall stones
• Gall stones might be missed on CT if they are isodense to bile ( cholesterol stones )
• CT is more sensitive for dectection of Calcified or gas containing stones
• Liver around Gb fossa may show Transcient Hyperenhancement on post Con
• Arterial phase image owing to reactive hyperemia from acute inflammmation
• This finding can help in differenciating ACUTE Vs CHRONIC Cholecystitis.
• MRI :
• In equivocal situations MRI may be helpful
• Due to its superior ability to dectect gall stones in bladder neck or cystic duct
• In Young or Pregnant patients with Equivocal signs , MRI is preffered due to its
Lack of ionizing radiation
• Features on MRI
 Distended gall bladder with a thickened , hyperenhancing wall , gall stones ,
pericholecystic fat signal intensity changes

 HIGLY SPECIFIC FINDING :
 Intraluminal wall membranes and wall irregularity indicating Gangrenous /
Necrotic Gb and pericholecystic abscess.
 Presence of gall bladder wall hyper enhancement and the presence of Focal
Transient liver enhancement adjacent to GB ( Helps to Diff ACUTE vs CHRONIC )
MRI/MRCP:
• Higher sensitivity than US
• Post Con T1 : Enhancement of thickened GB wall and pericholecystic fluid
• T2 : High signal Edematous GB wall , pericholecystic fluid
• MRCP : May see stone obstructing the cystic duct.
ACUTE ACALCULOUS CHOLECYSTITIS
• Acute inflammation of gb in absence of stones (10% of all cases of AC CHOLE )
• Ususally seen in Post operative , trauma , Burn patients in ICU setting , Patient
on Total parenteral nutrition
• Imaging features are similar to AC CALCULOUS CHOLECYSTITIS with absence
of stones
• CHOLESCNTIGRAPHY:
Cholesyntigraphy followed by IV infusion of Cholecystokinin (CCK ) or one of its
analogue s , can be used to assess Gb contractibility. An ejection fraction of <35%
on CCK- Cholesyntigraphy is taken to be an indicator of Gb dysfunction.
• Nuclear medicine
• 99m
Tc-HIDA scintigraphy
• HIDA cholescintigraphy in acute cholecystitis will
demonstrate nonvisualization of the gallbladder.  
Distended gall bladder shows odematous
wall, calculi and sludge
Chronic cholecystitis
• Refers to prolonged inflammatory condition that affects the gallbladder. It is almost
always seen in the setting of cholelithiasis (95%), caused by intermittent obstruction
of the cystic duct or infundibulum or dysmotility.
• IMAGING :
GB wall thickeningin the presence of gall stones
GB may appear normal in size or distended with gall stones
Chronic Cholecystitis can be differenciated from acute by the absence of
a)GB wall enhancement
b) Inceased transcient pericholecysitc hepatic enhancement
c) Pericholecystic inflammation
d) wall hyperemia
e) Murphy s sign
• Nuclear medicine
• Hepatobiliary scintigraphy may be required to distinguish acute from chronic
cholecystitis and to evaluate gallbladder dysmotility by calculation of the
gallbladder ejection fraction.
Chronic cholecystitis. Longitudinal
sonogram of the gallbladder shows slight
wall thickening (arrow) and an
intraluminal .stone
COMPLICATION OF CHOLECYSTITIS
• Gangrenous cholecystitis
• Emphysematous Cholecystitis
• Hemorrhagic Cholecystitis
• GB perforation
• GB fistula
GANGRENOUS CHOLECYSTITS
• Gangrenous/Necrotising Cholecystitis is a severe form of ACC due to the result of
increased GB distension and ischemic mural necrosis caused by vascular
compromise.
• USG :
Pronounced irregularity or asymmetrical thickening of the gall bladder wall ,
internal membrane echoes resulting from sloughed mucosa and pericholecystic
fluid.
Echogenic foci with dirty shadowing consistent with gas within the GB lumen ,
frank disruption of the GB wall and pericholecystic abscess
• CT:
Gas in lumen or wall , discontinuous and or irregular mucosal enhancement,
sloughed intraluminal membranes , irregular or abscent GB wall and
pericholecusytic abscess .
• MRI:
Lack of GB wall enhancement on contrast enhanced T1 images suggests
gangrenous change.
Gangrene produces ulceration , haemorrhage or micro abscess formation within
the GB wall resulting in asymmetry and focal intramural hyperintensity on fat
supressed T2 images.
EMPHYSEMATOUS CHOLECYSTITS
• Common in men and of that 50 % are diabetics
• They result from ischemia of the GB wall associated with proliferation of gas
forming bacteria , including Clostridium perfringes , E Coli
• X ray : intramural and intraluminal gas in distended gall bladder
• USG: Intramural gas appears as focal or diffuse bright echogenic lines.
Intraluminal gas , in the non dependant portion of the gall bladder causes a
curvilinear , brightly echogenic band with shadowing.
Small foci of intramural gas can cause ring down artefact and mimic
adenomyosis .
• CT: Intramural and/or intraluminal gas caused by the gas forming organisms.
• MRI : intramural signal void , which can also be mistaken for calcification or/and
fliud level in gb lumen
GALL BLADDER FISTULE
• GB fistulae results from acute cholecystitis coupled with adhesions
and abscess formation.
• Fistulae may form between the gall bladder and neighbouring
organs namely
Duodenum (Cholecystoduodenal fistula)
Transverse colon (Cholecystocoilc fistula)
Common bile duct (Cholecystocholedochal fistula)
Stomach (Cholecystogastric fistula)
Bile duct and duodenum Choledochoduodenal fistula
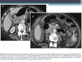
GALL STONE ILEUS
• Its associated with Cholecytsoduodenal fistula
• The gall stone passes into the duodenum by eroding the inflamed gall bladder
wall and leads to small bowel obstruction
• Clinical symptoms : RIGLERS TRIAD
 Pneumobilia
 Small bowel obstruction
 Ectopic gall stone usually in right iliac fossa
 Gas in biliary tree can be recognised by its branching pattern with gas being
more prominent centrally
 Gas in portal vein tends to be peripherally located in small veins around the
edge of the liver
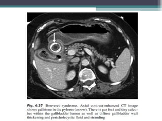
 BOUVERET SYNDROME : Gastric outlet obstruction due to gall stones impacted
in the distal stomach or proximal duodenum
Xanthogranulomatous cholecystitis
• Xanthogranulomatous cholecystitis is an unusual variant of chronic cholecystitis,
characterized by a lipid-laden benign , destructive , inflammatory process
comparable to xanthogranulomatous pyelonephritis.
• Etiology : Rupture of occluded RAS ( Rokitansky –Aschoff Sinuses ) with extrusion
of bile into the gall bladder wall that elicits an inflammatory reaction .
• The inflammatory reaction can obliterate soft tissue planes and extend into
nearby structures, mimicking tumour invasion.
• IMAGING :
• USG : Cholelithiasis and gall bladder wall thickening ( focal or diffuse )
Most characteristic finding : Presence of hypoechogenic nodules or bands in the
Gall bladder wall .
• CT : Show marked gallbladder wall thickening, often containing intramural
nodules that are hypoechoic at sonography and hypoattenuating representing
abscesses or foci of xanthogranulomatous inflammation. 
• MRI: focal or diffuse areas of T2 and low T1 signal which shows delayed
enhancement with gadolinium.
• It is important for the radiologist to distinguish xanthogranulomatous cholecystitis
from gallbladder cancer.
• FEATURES TO DIFFERENCIATE XGN CCS Vs GB CARCINOMA :
• The characteristic CT and MRI fi ndings of xanthogranulomatous cholecystitis—
including a patent mucosal line or luminal surface enhancement on CT, and
intramural nodules with hypoattenuation on CT or very high signal intensity on
T2-weighted images—can be helpful in differentiating the two conditions
Xanthogranulomatous cholecystitis. LEFT: US shows marked wall
thickening with intramural hypoechoic nodules (arrowheads), and an
intraluminal stone (arrow).RIGHT: Contrast-enhanced CT shows a
deformed and thickened gallbladder wall containing hypoattenuating
nodules
ADENOMYOSIS
Adenomyomatosis of the gallbladder is a common benign condition characterized
by proliferation of the gallbladder wall mucosa, which invaginates into the
thickened muscular layer and thereby forms intramural diverticula known as
Rokitansky-Aschoff sinuses (RAS).
Adenomyomatosis can manifest as focal (usually affecting the fundus), segmental
(such as an annular configuration resulting in an “hourglass”), or diffuse gallbladder
wall thickening .
IMAGING :
USG: Depicts gallbladder wall thickening well. The characteristic, highly specific
feature is tiny intramural echogenic foci with “comet tail” reverberation artifact or
color Doppler twinkling artifact thought to arise from cholesterol crystals within the
RAS.
CT :
•Nonspecific abnormal gallbladder wall thickening and enhancement .
•If RAS are large enough to resolve, a CT “rosary sign” may appear, formed by
mucosal enhancement within the diverticula surrounded by unenhanced
hypertrophied gallbladder wall muscle.
•CT is limited in the differentiation of adenomyomatosis from gallbladder
carcinoma.
•SPECIFIC FINDING : The presence of small cystic spaces within the thickened
gallbladder wall .
MRI :
•The Rokitansky-Aschoff sinuses appear as nonenhancing T1-hypointense, T2-
hyperintense intramural lesions .
•The “pearl necklace sign” can be identified consisting of small round foci of bright
T2 signal within the thickened gallbladder wall.
• Postcontrast MRI shows early linear mucosal enhancement of the gallbladder wall
in the involved segments. Focal involvement is often present at the gallbladder.
GALLBLADDER CARCINOMA
• Adenocarcinoma is the most common histologic type, accounting for 85% to 90%
of cases. Other types are squamous or adenosquamous cell carcinoma
 
• The risk factors : Gallstones, congenital abnormal pancreaticobiliary ductal union,
porcelain gallbladder , Chronic cholecystitis , Chronic typhoid infection and UC
 
• MODE OF SPREAD
• a)Direct extension into adjacent structures such as the liver, hepatoduodenal
ligament, colon, and duodenum . The liver is the most common site of invasion
because of its proximity and the lack of serosa in the gallbladder wall where it is
adjacent to the liver.
• b)Lymphatic spread to regional and distant lymph nodes is also common in
gallbladder carcinoma.
•
• Foramen of Winslow lymph node and the superior pancreaticoduodenal node are
the most frequent sites of nodal metastases
• The other pathways of tumor spread c)Hematogenous metastasis to the liver,
• d) intraductal tumor spread e) peritoneal seeding .
• Biliary obstruction can be in present gallbladder carcinoma, because of direct
invasion of the bile duct in the porta hepatis, to metastatic lymphadenopathy, or
to intraductal spread of tumor .
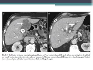
• IMAGING :
• CT :Typical finding include three patterns:
• 1)a mass replacing the gallbladder fossa (most common)
• 2)an intraluminal polypoid mass
• 3)gallbladder wall thickening.
• The mass fills most of the enlarged and deformed gallbladder, obscuring the
peripheral enhancement in the early phase and progressive enhancement in the
late phase.
• This type of gallbladder carcinoma often invades adjacent structures, including
the liver .
• An intraluminal polypoid mass is less common; differentiation ofpolypoid gb
carcinoma from benign polyps is based on size, with polypoid gallbladder
carcinoma typically larger than 1 cm .
• Most benign polyps, such as cholesterol polyps, and adenomas are small,
measuring less than 1 cm.
• The gallbladder wall thickening type of carcinoma may be difficult to distinguish
from adenomyomatosis and cholecystitis (especially chronic cholecystitis and
xanthogranulomatous cholecystitis)
• MRI :
• GB Ca usually have increased signal intensity and poorly delineated contours on
T2- weighted images and either isointense or hypointense signal on T1-weighted
images compared with the liver.
• DWI : High b value DWI MRI helps in differenciating Benign from malignant
lesions . Malignant lesions shows Higher signal than benign lesions at b value of
1000 s/mm2
• MR cholangiography is especially useful for gallbladder carcinoma associated with
anomalous pancreaticobiliary ductal union . Otherwise, the enhancment pattern
of gallbladder carcinoma on dynamic MRI is similar to that reported with CT.
• Identifying invasion into adjacent organs , lymphadenopathy or liver mets helps in
differenciating GB ca from Infectious/inflammatory causes.
• FDG PET:
• Using dual–time point FDG PET Delayed scan shows
• Increased lesion uptake and increased lesion-to-background contrast
• They also indicated that the diagnostic performance depends on Creactive
protein levels.
• False-positive diagnoses of gallbladder carcinoma are still possible with FDG
PET, because benign lesions such as adenomyomatosis and tuberculosis may
appear as hot lesions.
Thank You
111
SPOTTER 2
• MENINGIOMA: INCREASED VASCULAR
SUPPLY TO PARTIALLY CALCIFIED MASSS.
CT ABDOMENBARIUM UGI
113
SPOTTER 23
• ANNULAR PANCREAS : NARROWING D2 &
CT SHOW GLAND ENCIRCLING D2.
• From left to right: straight flush; pigtail;
cobra; and sidewinder. Note the side-
ports in some of the catheters.

Gb nd biliary tree imaging

  • 1.
    IMAGING IN BILIARYSYSTEM AND Gb PATHOLOGIES BY DR PAUL JOY MODERATOR: DR GURURAJ SHARMA
  • 2.
    ROLE OF IMAGINGIN OBSTRUCTIVE JAUNDICE
  • 3.
    OBSTRUCTIVE JAUNDICE • Aetiology ▫Benign disease (76%)  Post operative stricture  Calculi in biliary tree  Chronic pancreatitis  Sclerosing cholangitis  Recurrent pyogenic cholangitis  Hepato-biliary ascariasis  Papillary stenosis  Liver cysts • Aetiology ▫ Malignancy (24%)  Pancreatic carcinoma  Periampullary Ca  Cholangiocarcinoma  Metastatic disease
  • 4.
     Site ofobstruction Causes Extrahepatic  Distal CBD Choledocholithiasis (90%) Peri- ampullary tumours Strictures  Suprapancreatic CBD Cholangiocarcinoma (5%) Metastatic lymph nodes  At Porta Cholangiocarcinoma (5%) Strictures Hepatic tumours GB carcinoma Lymph nodes Intrahepatic  Intrahepatic tumours  Caroli’s disease  Cholangitis  Haemobilia
  • 5.
    Role of Imaging •Identify dilatation of intra and extra-hepatic biliary channels • Identify level of obstruction • Identify possible cause of obstruction • If obstruction appears to be malignant a)Is there evidence of non resecetablility ? b)In those with malignant hilar obstruction unsuitable for surgery , what approach should be taken for palliative stenting ?
  • 6.
    MODALITIES AVAILABLE  PlainRadiographs  Oral Cholecystography  Intravenous Cholangiogram  Ultrasonography  Computed Tomography  MRI and MRCP  Radionuclide Imaging  Percutaneous Transhepatic Cholangiogram  Endoscopic Retrograde Cholangiopancreatography
  • 7.
    PLAIN RADIOGRAPHS  Detectcalcified gall stones only (20-30%) gall stones could be mixture of Cholesterol , Pigment ,and calcium bile salts The densest stones is pure Calcium bicarbonate stone called as mulberry stone. If radiopaque , it may show stellate faced appearance with gas containing fissures ( Mercedez Benz sign)  Limy bile : Bile with high calcium content . A layering effect is seen on a horizontal ray projection  Mural calcification : Galll bladder wall undergoing calcification as a sequelae to Choninc inflammatory change , producing porcelain gall bladder  Mural Gas : Emphysematous Cholecystitis  Gas in biliary tree: ▫ Central distribution of gas and anterior distribution in left and anterior sectoral right duct system . ▫ Portal venous gas : Peripheral distribution
  • 8.
    ORAL CHOLECYSTOGRAPHY • Foran OCG, the patient takes iodine-containing tablets (telepaque-iopanoic acid) by mouth for one night or two nights in a row. • The iodine is absorbed from the intestine into the bloodstream, removed from the blood by the liver, and excreted by the liver ( Enterohepatic recirculation ) and into the bile. • The iodine, together with the bile, is highly concentrated in the gall bladder. • The bile ducts themselves cannot be seen on the x-ray in an OCG because the iodine is not concentrated in the ducts. Therefore, any gallstones lodged in the ducts will go undetected on OCG. • Contraindications: ▫ Pregnancy ▫ Acute cholecystitis ▫ Acute renal failure ▫ Allergy to contrast medium
  • 9.
  • 10.
    INTRAVENOUS CHOLANGIOGRAPHY • AnXray examination of the bile ducts. • Contrast medium (cholograffin-iopamide meglutimine) injected into a vein is excreted through the liver and the bile ducts are opacified. • The procedure can be used to locate gallstones within these bile ducts. • IVC also can be used to identify other causes of obstruction to the flow of bile, for example, narrowings (strictures) of the bile ducts and cancers that may impair the normal flow of bile.
  • 11.
    Radionuclide Imaging • Thisscan is also known as a HIDA (tc 99m hepatobiliary iminodiacetic acid) scan. • Its role is to demonstrate the flow of bile in the body. • Indications- • Gallbladder inflammation (cholecystitis) • Bile duct obstruction • Congenital abnormalities in the bile ducts, such as biliary atresia • Postoperative complications, such as bile leaks and fistulas • Assessment of liver transplant
  • 12.
    • A smallamount of radioactive tracer, known as Tc-99m is given intravenously. • Following this, when the gall bladder has filled sufficiently an intravenous infusion of cholecystokinin is commenced and run slow through the cannula over an additional 60 minutes. This will cause the gall bladder to contract. • The difference in volume of the gallbladder before and after the cholecystokinin can be determined and expressed as what is known as the ejection fraction. • Normally an ejection fraction greater than 35-40% indicates that the gall bladder is contracting normally. • Sometimes a gall bladder may not contract well when it has been subject to chronic inflammation. • The dynamics of the bile ducts can also be measured by means of computer analysis to indicate whether the sphincter of Oddi is functioning normally, or if other problems exist further upstream.
  • 16.
    PERCUTANEOUS TRANS-HEPATIC CHOLANGIOGRAPHY •Percutaneous transhepatic cholangiography (PTC) is a radiographic technique employed in visualisation of the biliary tract, and can be used as the first step in a number of percutaneous biliary interventions(e.g.  percutaneous transhepatic biliary stent placement) • Indications • Failed ERCP / ERCP not feasible (e.g. patients with gastrojejunostomy) • Biliary system delineation in presence of intra and extrahepatic biliary calculi • To identify obstructive cause of jaundice; and differentiate from medically treatable cause • Anatomic evaluation of complications of ERCP • Delineating bile leaks • Contraindications • bleeding diathesis • gross ascites
  • 18.
    ULTRASONOGRAPHY • Dilated IHBRseen as linear branching anechoic structures parallel to the portal venous radicles • IHBR more than 40 % of diameter of accompanying portal vein or more than 2 mm in diameter is considered dilated • Normal CBD ranges from 5to 8 mm. Wider in elderly and post cholecystectomy(upto 12) patients
  • 20.
  • 21.
  • 22.
  • 23.
    ERCP • Endoscopic retrogradecholangiopancreatography (ERCP) is a technique that combines the use of endoscopy and fluoroscopy to diagnose and treat certain problems of the biliary or pancreatic ductal systems. • Through the endoscope, the physician can see the inside of the stomach  and duodenum , and inject radiographic contrast into the ducts in the biliary tree and pancreas so they can be seen on X- rays. • ERCP is used primarily to diagnose and treat conditions of the bile ducts and main pancreatic duct, including gallstones, inflammatory strictures (scars), leaks (from trauma and surgery), and cancer. ERCP can be performed for diagnostic and therapeutic reasons
  • 25.
    Causes of ObstructiveJaundice • Congenital - Choledochal cyst - Pancreas Divisum - Annular pancreas • Benign ▫ Biliary calculi ▫ Hepatolithiais ▫ Benign Biliary strictures : a)Post op strictures b) Primary Sclerosing Cholangitis c) Mirizzi s Syndrome d) Pancreatitis e) IG4 related sclerosing dis e) HIV Cholangiopathy f) Acute bacterial Cholangitis g) Recurrent pyogenic cholangitis ▫ Parasitic infections ▫ Biliary leak and bile duct injury ▫ Biliary cystic disease • Malignant ▫ Gall bladder carcinoma ▫ Cholangio carcinoma ▫ Carcinoma head of Pancreas
  • 26.
    Choledochal cysts • Choledochalcysts represent congenital disproportionate cystic dilatations of the biliary tree. • Often diagnosed in children . Mostly asymptomatic , but can present with non specific abdominal pain , right upper quad mass and jaundice. • Diagnosis relies on the exclusion of other conditions as a cause of biliary duct dilatation: (i.e. tumour, gallstone or inflammation as the cause).
  • 27.
    • USG : ▫Cystic or fusiform dilatation of CBD • MRCP : ▫ Modality of choice ▫ Delineates type & extent of cyst, Pancreatico-biliary junction & associated complication if any ▫ Depicts cystic or fusiform dilatation of part or whole of CBD
  • 28.
    •  Todani etal has classified into 5 main types • I: most common (80-90%) (this type can present in utero) • Sacccular /fusiform dilatation of all or part of extrahepatic bile duct with normal intrahepatic ducts ▫ Ia: dilatation of extrahepatic bile duct (entire) ▫ Ib: dilatation of extrahepatic bile duct (focal segment) ▫ Ic: dilatation of the common bile duct portion of extrahepatic bile duct • II: true diverticulum from extra hepatic bile duct • III: dilatation of extra-hepatic bile duct within duodenal wall (choledochocoele) Ectasia of intramural CBD . • IV: Multiple intra and extrahepatic biliary cyst (next most common ) ▫ IVa: cysts involving both intra and extrahepatic ducts ▫ IVb: multiple dilatations/cysts of extra hepatic ducts only • V: multiple dilatations/cysts of intra hepatic ducts only (Caroli disease)
  • 29.
  • 31.
    CAROLI S DISEASE •Typical cholangiographic features are those of an irregular intrahepatic duct system , which may be total , lobar or segmental in distribution • Stone formation and cholangitis develops • Its associated with congenital hepatic fibrosis and cystic disease of kidneys ie autosomal recessive Fibropolycystic disease • ARFPD: Chronic renal failure/Renal duct ectasia Minor bile duct dilatation Portal hypertension severe cirrhosis
  • 32.
    Biliary atresia • Biliaryatresia (BA) is a congenital biliary disorder, which is characterised by an absence or severe deficiency of the extra-hepatic biliary tree. • Most common causes of neonatal cholestasis, often causing cirrhosis immediately and leading to death and accounts for over half of children who undergo liver transplantation.  • It is thought to result from idiopathic destructive inflammatory process which leads to fibrotic remnants at porta hepatis.
  • 34.
    • Ultrasonography: - Technique:fasting at least 4 hours before examination - The gallbladder ghost triad: a gallbladder length less than 1.5cm( 1.9cm), a thin or indistinct gall bladder wall, and an irregular and lobular contour. - The triangular cord sign( TC sign): a circumscribed, focal, triangular or tubular echogenic density more than 3 mm thick located cranial to the portal vein bifurcation. - Central biliary cysts and choledochal cysts may be associated with biliary atresia.
  • 35.
    Gallblader Gallbladder ghost triadin babies with biliary atresia. A short gallbladder, an irregular or lobulated contour, and a relatively indistinct lining and wall
  • 36.
    Hepatobiliary scintigraphy A technetium-labelediminodiacetic acid (IDA) analogue is typically used, include99m Tc (technetium-99m) DISIDA (di isopropyl-iminodiacetic acid) and99m Tc mebrofenin (trimethylbromo- iminodiacetic acid).  Infants with biliary atresia usually have normal hepatocyte uptake of the radiotracer if they are younger than 2 months of age. If excretion of radiotracer into the bowel is seen, biliary atresia is virtually excluded. If radiotracer excretion is absent after 24 hours (as it is in the image below), biliary atresia is suspected.
  • 37.
    Primary Sclerosing Cholangitis •PSC is an idiopathic disuse , fibrosing inflammatory process of the the intrahepatic and extraheptic bile ducts . Commony seen in males (70%) and with median age of onset of 40 years. • Thought to be autoimmune disease and can be seen associated with Ulcerative colitis , Riedel s struma , orbital pseudotumour retroperitoneal fibrosis , mediastinal fibrosis , Sjogren s syndrome • 15 % of cases are complicated with Cholangiocarcinoma and acute infectious cholangitis (due to biliary stasis)
  • 38.
    Radiological features • Ultrasound •Ultrasound is able to demonstrate both the changes of cirrhosis and irregularity of bile duct calibre. • USG diagnosis is difficult because bile duct dilatation in PSC is minimal due to surrounding fibrotic reaction • CT • Duct wall thickenening with marked post Con Enhancment , skip dilatation , stenosis and mural webs can be seen. • Multiple linear discontinuous low density regions representing dilated intra- hepatic bile duct segments  • Rounded with lobulated contour of liver and atrophy ( lateral segments of left lobe and posterior segments of right hepatic lobe ) • Marked caudate lobe hypertrophy • The atrophied liver is of lower density than the hypertrophied caudate lobe.
  • 39.
    • Cholangiography /ERCP • ERCP remains the gold standard for the depiction of the biliary tree, and also offers the ability to perform cholangioplasty if necessary. • The characteristic findings on direct imaging of the biliary tree are 2-3,5 : • multiple segmental strictures of both intra and extra hepatic bile ducts ▫ typically short segment band like stricture ( 1-2mm) ▫ intervening segments are of normal calibre or slightly dilated (beading) • biliary dilatation: may be present in ~85% of cases 9 ▫ general: ~35% ▫ segmental: ~50% • biliary diverticula ( 1 mm to 1 cm ) in extra hep bile ducts and intraluminal webs. • Fibrous obliteration of peripheral bile ducts can result in pruned tree appearance • PSC bile duct irregularity cn be seen as subtle brush border like appearance to shaggy or frankly nodular appearance • distortion of the biliary tree due to associated cirrhosis
  • 40.
    MRCP • There isgood correlation between ERCP and MRCP in diagnosis of PSC • MRCP will show all the finding earlier described • Additional findings : • Duct wall thickeneing and Enhancement • Morphological changes to (Liver post cirrhosis ) • Randomly distributed T1 hyperintense areas , reticular or peripheral wedge shaped T2 hyperintense areas and large nodular lesions (>3cm) (which are isointense on T1 and hypointense on T2 ) predominantly in central part of liver. PSC results in atrophy of peripheral wedge shaped areas in the liver which appear Hypo on T1 and Hyper on T2 and shows delayed enhancement . CHOLANGIO CA with PSC will show : Markerd duct dilation , progressive stricture and the prescence of intraluminal polypoidal mass 1cm or more in diameter
  • 41.
    PSC with thickeningof the wall of the bile duct (arrow)
  • 42.
  • 43.
    Primary sclerosing cholangitis(PSC) with multiple intrahepatic strictures.
  • 44.
    • MRI 3DMIP showing Primary sclerosing cholangitis (PSC) with multiple intrahepatic strictures.
  • 45.
    Mirizzi Syndrome • Complicationof long standing Cholelithiasis Charecterised by Common hepatic duct or CBD obstruction due to extrinsic compression from an impacted gall stone in cystic duct or gall bladder neck or from associated inflammatory changes . • Complications : Fistula formation between the gall bladder and the CHD/CBD secondary to eroding stone . • IMPORTANCE: Identification is crucial preoperatively since there is increased risk of extrahepatic bile duct injury due to dense fibrosis around the hepatoduodenal ligament • HALLMARK FEATURE : Cholelithiasis with IHBR and Dilated Common Duct till the porta hepatis beyond which CDB is normal in calibre
  • 46.
    Mirizzi syndrome—MRCP. Coronal thick-slabMIP image from MRCP shows a gallstone in the gb neck causing dilatation of the gb and obstruction of the common hepatic duct
  • 47.
    CHOLANGIOCARCINOMA • Cholangiocarcinoma isthe most common malignant tumor arising from the epithelium of the bile ducts. • RISK FACTORS : Primary sclerosing Cholangitis Carolis disease Choledochal cyst Familial Polyposis Congenital hepatic fibrosis Biliary enteric anastomosis History of exposure to thoradust • Peak incidence : 6th to 7th decade More common in males 95% are adenocarcinoma s of bile duct epithelium and have abundant fibrous storma
  • 48.
    CLASSIFICATION • ANATOMICALLY : •Intrahepatic peripheral chol – ngioarcinoma , arises peripheral to secondary confluence . • Hilar Cholangioarcinoma : Arises from right or left hepatic ducts or fron primary biliary confluence . • Extrahepatic Cholangiocarcinoma • MOPHOLOGICALLY : • Mass forming cholangiocarcinoma • Periductal cholangiocarcinoma • Intraductal chollangiocarcinoma
  • 49.
    INTRAHEPATIC CHOLANGIO CA •Late presentation with either a) large well defined mass with lobular margins b)Purely periductal infiltrating c) Mixed with mass forming and periductal infiltrating. • USG: • Hypoechoic , isoechoic or hyperechoic mass which may be homogenous or heterogenous . • CT: Hypodense solitary mas with satellite nodules Post con : Thin rim/Thick band of peripheral and patchy enhancement . The central area of tumour , which contains fibrous tissues does not enhance during early phase but shows progressive centripetal enhacement and retension on delayed images during delayed phase 4-20min ( Helps to dfferenciae from HCC )
  • 50.
    • Vascular invasion •Focal intrahepatic biliary duct dilatation and atrophy of the segment of the liver drained by these ducts with capsular retraction . • Since cholangiocarcinoma has no capsule their margins are infiltrative and difficult to predict on imaging • MRI: Irregular heteroechoic mass hypointense on T1 and Hyperintense on T2 wt images
  • 52.
    HILAR CHOLANGIOCARCINOMA(klatskin tumour) •Mostly periductal infiltrating type and most often arise at the primary confluence or in the proximal common hepatic duct . • USG: • IHBR with/without isolation of left and right sided ducts and lobar atrophy • Defnitive mass is rarely seen on USG , so IHBR without evidence of extrahepatic dilatation alone should raise suspicion of Hilar cholangiocarcinoma
  • 53.
    • CT : •Tumour might appear hypodense to liver in both unenhanced and Enhanced images , But Focally thickened bile duct wall due to infiltrating tumour may appear hyperdense to the liver in the arterial and portal venous phase . Delayed enhancement can be seen in 8-15 min post Contrast injection. • MRI • Iso/hypointese on T1 and Hyperintense on T2 • Lobar hepatic atrophy due to long standing biliary obstruction/portal venous invmt and results in crowding of dilated biliary ducts and Volume loss mostly of left lobe of liver • Biliary dilatation . • Contigous invasion of liver parenchyma and hepatoduodenal ligament is a feature of KLASKIN TUMOUR
  • 54.
    • Lymphnodal metastasiscan be seen in Periportal and peripancreatic regions • Complications: Retroperitoneal lymphadenopathy Proximal intestinal obstruction Peritoneal dissemination Unresectable lesions: • If they involve bilateral secondary confluence or main portal vein or hepatic artery or bilateral vascular involvement or vascular involvement on one side and extensive bile duct involvement on the other side
  • 55.
    CLASSIFICATION • Determine theexact location of the tumor mass and can be used in preoperative assessment. The  Bismuth-Corlette system is one classification: • type I: ​the lesion is limited to the common hepatic duct distal to the confluence of right and left ducts • type II:  the tumor involves the confluence of right and left hepatic ducts • type III: the tumor involves one of the hepatic ducts • type IV: the tumor invades the right and left hepatic ducts and hence it becomes unresectable
  • 57.
    tumor at theconfluens of the left and right hepatic duct. The margins of the tumor however are imperceptible because of the infiltrative growth.
  • 58.
    GALL BLADDER Elliptical organ. Location:between anatomical Rt & Lt lobe of liver. Parts: Fundus Body Infundibulum (Hartmann’s pouch) Neck
  • 59.
  • 60.
  • 61.
    NORMAL GB –ORAL CHOLECYSTOGRAM
  • 62.
  • 63.
  • 64.
    MRCP –NORMAL GBAND BILE DUCT
  • 65.
    GALL STONES • About70 % of gall stones are predominantly/purely Cholestrol type • About 30 % of gal stones are Black pigment stones composed of Calcium bilirubinate and Calcium carbonate • IMAGING MODALITIES : • X ray : Less than 10 % stones are Opaque on plain Radiograph • large stones shows lamellated , peripheral/Central calcification. • USG : Highly sensitive in detecting gall stones and it’s the preferred imaging modality • Non Impacted stones tend to mobile , echogenic foci in dependent portion with • posterior acoustic shadowing . (small stones may not shadow ). • Shadowing can differentiate Gall stones from polyps. • In order to evaluate Gall stone mobility patient ca be rolled into new position , left lateral decubitus. Mobile gall stone will roll into the most dependant position. Gall stones adherent to the wall may not show mobility and don’t show shadowing , can mimic polyp. • GB filled with Gall stones show DOUBLE ARC SHADOW (Wall Echo Shadow )sign in Gb fossa . • It consists of Two parallel curved echogenic lines separated by a thin anechoic space with dense acoustic shadowing distal to the deeper echogenic line. •
  • 66.
    • CT : •Detects 75% of stones and its seen as intraluminal hyperdense foci . Sensitivity depends on the make of stones . • Non calcified stones may be isodense to the bile and may not be visualized/seen as subtle filling defects with a density slightly higher or lower than the surrounding bile. Cholesterol stones may float when Spe Gra of the bile is higher than that of stones . • target sign: central rounded density: stone surrounding lower attenuating bile or mucosa. • crescent sign: bile eccentrically outlines luminal stone, creating a low attenuation crescent • Gall stones with calcium or gas , they can be readily identified. Gall stones containing Gas ( Nitrogen ) within fissures may display A Mercedes Benz sign, which refers to the triradiate appearance of gas density. • MRI: • Gall stones are recognized as Hypointense filling defects but may appear hyperintese on T1 weighted imaging. Stones upto 2mm can be detected. •
  • 67.
    • Gall stoneSpillage : • Its also called dropped gall stones . • Its complication of Lap Chole and may occur when GB is perforated during dissection from the liver bed or during the extraction of the GB through the narrow port • The spilled gall stone may remain in the peritoneal cavity adjacent to the liver or it may migrate to distant sites such as pelvis or pleural space. It can form abscess .It is seen mostly with Bilirubinate stones with viable bacteria. • Diagnosis on CT is straight forward if the stone is radiopaque (history of lap chole)
  • 68.
  • 72.
  • 73.
    Calculi in GBand CBD On MRI
  • 74.
    GALL BLADDER POLYP Lesionsthat project from the gall bladder wall into the gallbladder lumen are called gallbladder polyps . They include neoplasms such as adenomas or adenocarcinomas and nonneoplastic lesions such as cholesterol polyps (most common), infl ammatory polyps, and hyperplastic polyps. Many lesions identified as polyps on USG prove to be small gallstones upon cholecystectomy . Gallstones that are adherent to the gallbladder wall and do not show clear shadowing may mimic polyps . Features of malignant polyp : •Size greater than 10 mm •sessile, are single, •adjacent wall thickening, or are found in patients older •Seen in Pts with age > 50yrs
  • 75.
    • Gallbladder adenomas •Uncommon benign epithelia l neoplasms considered to have malignant potential. • They are more commonly found in women and may be associated with Peutz- Jeghers or familial polyposis syndromes . • They are usually solitary (90 %) and may be sessile or pedunculated • Cholesterolosis • An accumulation of lipid-laden macrophages in the lamina propria of the gallbladder, may result in the formation of excrescences called cholesterol polyps. • Single/Multiple • typically smaller than 10 mm, and enhance with IV contrast. • They may appear to float in the gallbladder lumen on CT due to a thin stalk that may be imperceptible on CT. They have no malignant potential.
  • 76.
    Imaging  USG: • Singleor multiple, immobile, nonshadowing lesions arising from the gallbladder wall. • Ultrasonography is unable to reliably differentiate benign from malignant polyps . Multiplicity and polyps smaller than 10 mm are more suggestive of benignity. • Gallbladder polyps are differentiated from gallstones by their lack of shadowing and mobility.  CT is signifi cantly less sensitive for detecting polyps compared to ultrasound and it may not be possible to distinguish a polyp from a noncalcified gallstone on CT.  MRI: • polyps are low in signal on both T1- and T2-weighted imaging. • Both benign and malignant polyps may show early enhancement; however, on 5- min delayed imaging, malignant polyps tend to demonstrate prolonged enhancement, whereas benign polyps show washout.
  • 78.
    Acute cholecystitis • Itsacute inflammation of the gallbladder. It is the primary complication of cholelithiasis and the most common cause of acute pain in the right upper quadrant (RUQ). • Ultrasound • The most sensitive US finding in acute cholecystitis is the presence of cholelithiasis in combination with the sonographic Murphy sign. Both diffuse gallbladder wall thickening (>3 mm) , wall hyperemia and pericholecystic fluid are secondary findings.  • CT • Less sensitive for dectecting cholecystitis compared to US but may show a distended gall bladder with wall thickening ( >3-5 mm) • Mucosal /mural hyperenhancement , pericholecytic Inflammatory fat stranding or fluid and gall stones • Gall stones might be missed on CT if they are isodense to bile ( cholesterol stones ) • CT is more sensitive for dectection of Calcified or gas containing stones
  • 79.
    • Liver aroundGb fossa may show Transcient Hyperenhancement on post Con • Arterial phase image owing to reactive hyperemia from acute inflammmation • This finding can help in differenciating ACUTE Vs CHRONIC Cholecystitis. • MRI : • In equivocal situations MRI may be helpful • Due to its superior ability to dectect gall stones in bladder neck or cystic duct • In Young or Pregnant patients with Equivocal signs , MRI is preffered due to its Lack of ionizing radiation • Features on MRI  Distended gall bladder with a thickened , hyperenhancing wall , gall stones , pericholecystic fat signal intensity changes 
  • 80.
     HIGLY SPECIFICFINDING :  Intraluminal wall membranes and wall irregularity indicating Gangrenous / Necrotic Gb and pericholecystic abscess.  Presence of gall bladder wall hyper enhancement and the presence of Focal Transient liver enhancement adjacent to GB ( Helps to Diff ACUTE vs CHRONIC ) MRI/MRCP: • Higher sensitivity than US • Post Con T1 : Enhancement of thickened GB wall and pericholecystic fluid • T2 : High signal Edematous GB wall , pericholecystic fluid • MRCP : May see stone obstructing the cystic duct.
  • 81.
    ACUTE ACALCULOUS CHOLECYSTITIS •Acute inflammation of gb in absence of stones (10% of all cases of AC CHOLE ) • Ususally seen in Post operative , trauma , Burn patients in ICU setting , Patient on Total parenteral nutrition • Imaging features are similar to AC CALCULOUS CHOLECYSTITIS with absence of stones • CHOLESCNTIGRAPHY: Cholesyntigraphy followed by IV infusion of Cholecystokinin (CCK ) or one of its analogue s , can be used to assess Gb contractibility. An ejection fraction of <35% on CCK- Cholesyntigraphy is taken to be an indicator of Gb dysfunction.
  • 82.
    • Nuclear medicine •99m Tc-HIDA scintigraphy • HIDA cholescintigraphy in acute cholecystitis will demonstrate nonvisualization of the gallbladder.  
  • 83.
    Distended gall bladdershows odematous wall, calculi and sludge
  • 84.
    Chronic cholecystitis • Refersto prolonged inflammatory condition that affects the gallbladder. It is almost always seen in the setting of cholelithiasis (95%), caused by intermittent obstruction of the cystic duct or infundibulum or dysmotility. • IMAGING : GB wall thickeningin the presence of gall stones GB may appear normal in size or distended with gall stones Chronic Cholecystitis can be differenciated from acute by the absence of a)GB wall enhancement b) Inceased transcient pericholecysitc hepatic enhancement c) Pericholecystic inflammation d) wall hyperemia e) Murphy s sign
  • 85.
    • Nuclear medicine •Hepatobiliary scintigraphy may be required to distinguish acute from chronic cholecystitis and to evaluate gallbladder dysmotility by calculation of the gallbladder ejection fraction.
  • 86.
    Chronic cholecystitis. Longitudinal sonogramof the gallbladder shows slight wall thickening (arrow) and an intraluminal .stone
  • 87.
    COMPLICATION OF CHOLECYSTITIS •Gangrenous cholecystitis • Emphysematous Cholecystitis • Hemorrhagic Cholecystitis • GB perforation • GB fistula
  • 88.
    GANGRENOUS CHOLECYSTITS • Gangrenous/NecrotisingCholecystitis is a severe form of ACC due to the result of increased GB distension and ischemic mural necrosis caused by vascular compromise. • USG : Pronounced irregularity or asymmetrical thickening of the gall bladder wall , internal membrane echoes resulting from sloughed mucosa and pericholecystic fluid. Echogenic foci with dirty shadowing consistent with gas within the GB lumen , frank disruption of the GB wall and pericholecystic abscess • CT: Gas in lumen or wall , discontinuous and or irregular mucosal enhancement, sloughed intraluminal membranes , irregular or abscent GB wall and pericholecusytic abscess .
  • 89.
    • MRI: Lack ofGB wall enhancement on contrast enhanced T1 images suggests gangrenous change. Gangrene produces ulceration , haemorrhage or micro abscess formation within the GB wall resulting in asymmetry and focal intramural hyperintensity on fat supressed T2 images.
  • 90.
    EMPHYSEMATOUS CHOLECYSTITS • Commonin men and of that 50 % are diabetics • They result from ischemia of the GB wall associated with proliferation of gas forming bacteria , including Clostridium perfringes , E Coli • X ray : intramural and intraluminal gas in distended gall bladder • USG: Intramural gas appears as focal or diffuse bright echogenic lines. Intraluminal gas , in the non dependant portion of the gall bladder causes a curvilinear , brightly echogenic band with shadowing. Small foci of intramural gas can cause ring down artefact and mimic adenomyosis . • CT: Intramural and/or intraluminal gas caused by the gas forming organisms. • MRI : intramural signal void , which can also be mistaken for calcification or/and fliud level in gb lumen
  • 91.
    GALL BLADDER FISTULE •GB fistulae results from acute cholecystitis coupled with adhesions and abscess formation. • Fistulae may form between the gall bladder and neighbouring organs namely Duodenum (Cholecystoduodenal fistula) Transverse colon (Cholecystocoilc fistula) Common bile duct (Cholecystocholedochal fistula) Stomach (Cholecystogastric fistula) Bile duct and duodenum Choledochoduodenal fistula
  • 92.
    GALL STONE ILEUS •Its associated with Cholecytsoduodenal fistula • The gall stone passes into the duodenum by eroding the inflamed gall bladder wall and leads to small bowel obstruction • Clinical symptoms : RIGLERS TRIAD  Pneumobilia  Small bowel obstruction  Ectopic gall stone usually in right iliac fossa  Gas in biliary tree can be recognised by its branching pattern with gas being more prominent centrally  Gas in portal vein tends to be peripherally located in small veins around the edge of the liver  BOUVERET SYNDROME : Gastric outlet obstruction due to gall stones impacted in the distal stomach or proximal duodenum
  • 95.
    Xanthogranulomatous cholecystitis • Xanthogranulomatouscholecystitis is an unusual variant of chronic cholecystitis, characterized by a lipid-laden benign , destructive , inflammatory process comparable to xanthogranulomatous pyelonephritis. • Etiology : Rupture of occluded RAS ( Rokitansky –Aschoff Sinuses ) with extrusion of bile into the gall bladder wall that elicits an inflammatory reaction . • The inflammatory reaction can obliterate soft tissue planes and extend into nearby structures, mimicking tumour invasion. • IMAGING : • USG : Cholelithiasis and gall bladder wall thickening ( focal or diffuse ) Most characteristic finding : Presence of hypoechogenic nodules or bands in the Gall bladder wall .
  • 96.
    • CT :Show marked gallbladder wall thickening, often containing intramural nodules that are hypoechoic at sonography and hypoattenuating representing abscesses or foci of xanthogranulomatous inflammation.  • MRI: focal or diffuse areas of T2 and low T1 signal which shows delayed enhancement with gadolinium. • It is important for the radiologist to distinguish xanthogranulomatous cholecystitis from gallbladder cancer. • FEATURES TO DIFFERENCIATE XGN CCS Vs GB CARCINOMA : • The characteristic CT and MRI fi ndings of xanthogranulomatous cholecystitis— including a patent mucosal line or luminal surface enhancement on CT, and intramural nodules with hypoattenuation on CT or very high signal intensity on T2-weighted images—can be helpful in differentiating the two conditions
  • 97.
    Xanthogranulomatous cholecystitis. LEFT:US shows marked wall thickening with intramural hypoechoic nodules (arrowheads), and an intraluminal stone (arrow).RIGHT: Contrast-enhanced CT shows a deformed and thickened gallbladder wall containing hypoattenuating nodules
  • 98.
    ADENOMYOSIS Adenomyomatosis of thegallbladder is a common benign condition characterized by proliferation of the gallbladder wall mucosa, which invaginates into the thickened muscular layer and thereby forms intramural diverticula known as Rokitansky-Aschoff sinuses (RAS). Adenomyomatosis can manifest as focal (usually affecting the fundus), segmental (such as an annular configuration resulting in an “hourglass”), or diffuse gallbladder wall thickening . IMAGING : USG: Depicts gallbladder wall thickening well. The characteristic, highly specific feature is tiny intramural echogenic foci with “comet tail” reverberation artifact or color Doppler twinkling artifact thought to arise from cholesterol crystals within the RAS.
  • 99.
    CT : •Nonspecific abnormalgallbladder wall thickening and enhancement . •If RAS are large enough to resolve, a CT “rosary sign” may appear, formed by mucosal enhancement within the diverticula surrounded by unenhanced hypertrophied gallbladder wall muscle. •CT is limited in the differentiation of adenomyomatosis from gallbladder carcinoma. •SPECIFIC FINDING : The presence of small cystic spaces within the thickened gallbladder wall . MRI : •The Rokitansky-Aschoff sinuses appear as nonenhancing T1-hypointense, T2- hyperintense intramural lesions . •The “pearl necklace sign” can be identified consisting of small round foci of bright T2 signal within the thickened gallbladder wall. • Postcontrast MRI shows early linear mucosal enhancement of the gallbladder wall in the involved segments. Focal involvement is often present at the gallbladder.
  • 101.
    GALLBLADDER CARCINOMA • Adenocarcinomais the most common histologic type, accounting for 85% to 90% of cases. Other types are squamous or adenosquamous cell carcinoma   • The risk factors : Gallstones, congenital abnormal pancreaticobiliary ductal union, porcelain gallbladder , Chronic cholecystitis , Chronic typhoid infection and UC   • MODE OF SPREAD • a)Direct extension into adjacent structures such as the liver, hepatoduodenal ligament, colon, and duodenum . The liver is the most common site of invasion because of its proximity and the lack of serosa in the gallbladder wall where it is adjacent to the liver. • b)Lymphatic spread to regional and distant lymph nodes is also common in gallbladder carcinoma. •
  • 102.
    • Foramen ofWinslow lymph node and the superior pancreaticoduodenal node are the most frequent sites of nodal metastases • The other pathways of tumor spread c)Hematogenous metastasis to the liver, • d) intraductal tumor spread e) peritoneal seeding . • Biliary obstruction can be in present gallbladder carcinoma, because of direct invasion of the bile duct in the porta hepatis, to metastatic lymphadenopathy, or to intraductal spread of tumor . • IMAGING : • CT :Typical finding include three patterns: • 1)a mass replacing the gallbladder fossa (most common) • 2)an intraluminal polypoid mass • 3)gallbladder wall thickening. • The mass fills most of the enlarged and deformed gallbladder, obscuring the peripheral enhancement in the early phase and progressive enhancement in the late phase.
  • 103.
    • This typeof gallbladder carcinoma often invades adjacent structures, including the liver . • An intraluminal polypoid mass is less common; differentiation ofpolypoid gb carcinoma from benign polyps is based on size, with polypoid gallbladder carcinoma typically larger than 1 cm . • Most benign polyps, such as cholesterol polyps, and adenomas are small, measuring less than 1 cm. • The gallbladder wall thickening type of carcinoma may be difficult to distinguish from adenomyomatosis and cholecystitis (especially chronic cholecystitis and xanthogranulomatous cholecystitis) • MRI : • GB Ca usually have increased signal intensity and poorly delineated contours on T2- weighted images and either isointense or hypointense signal on T1-weighted images compared with the liver. • DWI : High b value DWI MRI helps in differenciating Benign from malignant lesions . Malignant lesions shows Higher signal than benign lesions at b value of 1000 s/mm2
  • 104.
    • MR cholangiographyis especially useful for gallbladder carcinoma associated with anomalous pancreaticobiliary ductal union . Otherwise, the enhancment pattern of gallbladder carcinoma on dynamic MRI is similar to that reported with CT. • Identifying invasion into adjacent organs , lymphadenopathy or liver mets helps in differenciating GB ca from Infectious/inflammatory causes. • FDG PET: • Using dual–time point FDG PET Delayed scan shows • Increased lesion uptake and increased lesion-to-background contrast • They also indicated that the diagnostic performance depends on Creactive protein levels. • False-positive diagnoses of gallbladder carcinoma are still possible with FDG PET, because benign lesions such as adenomyomatosis and tuberculosis may appear as hot lesions.
  • 108.
  • 111.
  • 112.
    • MENINGIOMA: INCREASEDVASCULAR SUPPLY TO PARTIALLY CALCIFIED MASSS.
  • 113.
  • 114.
    • ANNULAR PANCREAS: NARROWING D2 & CT SHOW GLAND ENCIRCLING D2.
  • 116.
    • From leftto right: straight flush; pigtail; cobra; and sidewinder. Note the side- ports in some of the catheters.

Editor's Notes

  • #18 22 guage cheeba needle
  • #29 Choledochocoele can present as biliary coic , jaundice and pancreatitis
  • #51 Irregular high grade narrowing , shouldered margins , rapid progression of strictures , marked duct dilatation proximal to strictures
  • #66 TO increase detection Rate : Adjust the image to the centre of the beam Use a higher frequency transducer and narrow beam width
  • #82 ITS DUE TO THE BILE STATIS WITH SLUGE FORMATION AND THEY IMPARING THE DRAINING OF THE BILE FROM CYSTIC DUCT , HYPOPERFUSION , ISCHEMIA