GAUCHER DISEASE – AN
OVERVIEW OF RECENT
ADVANCES.
Presenter – Dr. Urshlla Kaul
Moderator – Dr. Hoogar M.B
GAUCHER DISEASE :
TYPESTYPE – I : CHRONIC NON-NEURONOPATHIC FORM (ADULT)
BRAIN INVOLVEMENT SPARED
DOMINANT SPLENIC & SKELETAL INVOLVEMENT
LOW DETECTABLE LEVELS OF GLUCOCEREBROSIDASE
TYPE – II : ACUTE NEURONOPATHIC FORM (INFANTILE)
COMPLETE DEFICIENCY OF GLUCOCEREBROSIDASE
INFANTILE ACUTE CEREBRAL INVOLVEMENT
HEPATOSPLENOMEGALY – VARIABLE
TYPE – III : JUVENILE or INTERMEDIATE FORM
CHARACTERISTIC SYSTEMIC INVOLVEMENT
PROGRESSIVE CNS INVOLVEMENT BEGINS IN TEENAGE
CLINICAL FEATURES
HEPATOSPLENOMEGALY
GENERALISED LYMPHADENOPATHY
BONE MARROW INVOLVEMENT
TONSILS,THYMUS,PAYER PATCHES ENLARGED
LUNG INVOLVEMENT
CEREBRAL INVOLVEMENT
PATHOPHYSIOLOGY
CERAMIDEGLUCOSE
SENESCENT CELL MEMBRANES
CATABOLISM OF GLYCOLIPIDS
GLUCOCEREBROSIDES
ACCUMULATION OF GLUCOCEREBROSIDE
IN PHAGOCYTIC CELLS
GAUCHER CELL
GENE MUTATION
DEF’ GLUCOCEREBROSIDASE
GLUCOCEREBROSIDASE
CLEAVING
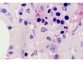
GAUCHER CELL :
• Distended (phagocytic cells) Gaucher cells are found in
Spleen, Liver, Bone marrow, Lymph nodes, Tonsils, Thymus,
Payers patches, alveolar septa & air spaces in Lung.
• It has a fibrillary type of cytoplasm (crumpled tissue paper).
• Gaucher cell is a large cell 100 micron in diameter bearing
one or more eccentrically placed nuclei. PAS staining is
positive
• EM finding: Fib cyto is elongated, distended lysosomes
containing stored lipid in stacks of bilayers.
GAUCHER CELL
BONE MARROW : PAS STAIN
FINDINGS IN ORGANS
SPLEEN
• Earliest sign of GD is Splenomegaly leading to Hypersplenism
(functional hyperactivity)
• Extent of enlargement depends on the mutation genotype.
(1226G / 84GG)
• Most common presenting – Bleeding manifestations ( Epistaxis,
Bruising & Prolonged Bleeding time)
• Mechanical obstruction due to massive Splenomegaly (Abd
discomfort, Pain ,Splenic Infarcts, nodules, subcapsular infarcts,
wedge shaped areas)
• Growth retardation in children – few cases
SPLEEN : GAUCHER’S DISEASE
LIVER:
•Hepatomegaly : Portal & Sinusoidal infiltration of
Gaucher cells along with Fibrosis, Inflammation
and/or Ischemia.
•Oesophageal varices in few cases.
•Liver failure/Portal hypertention uncommon.
•Hepatocytes not affected
•LFT normal / slightly abnormal(SGOT<SGPT may be
elevated).
BONE: Types of Orthopaedic
complications
•Nonspecific Bone pain episodic
•Pseudoosteomyelitis accompanied by with fever,
leukocytosis & Increased ESR.
•Pyogenic Osteomyelitis
•Chronic pain a/w stiffness of large joints.
•Aseptic necrosis of head of Femur
•Pathologic fractures.
•Spinal malalignment
•Growth & Stature reduction due to spinal deformity
BONE cont:
•WIDE metaphyseal-diaphyseal region (ERLENMEYER
FLASK) deformity – bilateral
•Epiphyses are unaffected.
•Bone density reduced diffuse or localized
•RARER:
• Compression /collapse of vertebral bodies
• Spinal cord /Nerve involvement.
• Ischemia /cortical necrosis due to intraosseous
pressure caused by the lipid laden cells.
•MECHANISM IS STILL UNEXPLAINED!!!
ERLENMEYER FLASK
DEFORMITY -
LUNGS:
•Findings are grouped in 3 categories:
•Interstitial infiltration of Gaucher cells.
•Capillary plugging leading to Pulmonary
Hypertention
•Alveolar consolidation reminiscent of Pneumonia
(type2GD)
•X-ray shows Miliary pattern/or reticular nodular
infiltrate
KIDNEY:
•Gaucher cells have been found in glomeruli, cortex,
medulla & interstitium without significant renal
complications.
•Kidney involvement in GD is uncommon .
HEART:
•Constrictive Pericarditis &Rheumatic aortic Valve
Disease
•Infiltration of myocardial interstitium by Gaucher
cells.
•Calcification of mitral/aortic valves & ascending
aorta
SKIN:
• ICHTHYOSES (Type-2 GD)
• Pterygium & Pingueculae in the conjuctiva
CNS:
•Type 2GD - Cranial nerve/extrapyramidal tract
involvement are common
•Classic triad (Trismus, Strabismus & Retroflexion)
•Type3- in the 1st
year of life children present with
(Spasticity, Hyperreflexia, positive Babinski sign &
Seizures
HAEMATOLOGICAL
MANIFESTATIONS:
•Anemia & Thrombocytopenia due to Hypersplenism &
infiltration of Gaucher cells in Bone marrow.
•Pancytopenia
•Iron def Anemia due to bleeding ASSO of GD with
Autoimmune disorders &Hematologic malignancies
•PT / APPT prolonged
IMMUNE SYSTEM
•Impaired chemotaxis of neutrophils
•T lymphocyte deficiencies in spleen and blood
including NKT cells.
•Hypergammaglobulinemia
•Monoclonal gammopathies
•Diffuse immunoglobulin elevation
•Change of IgM to IgG and IgA as disease progresses.
•Multiple myeloma
•Other concomitant malignancies
•Hodgkin’s, Acute leukemias, CLL, CML
OBGY
•Delay of puberty
•Heavy menstrual bleeding
•Spontaneous abortions
•Stillbirths, neonatal deaths
•Aggravation of thrombocytopenia and anemia
during pregnancy.
OTHER
•Hypocholesterolemia due to increased catabolism of
LDL and HDL.
•Serum level elevations of –
• Angiotensin converting enzyme (ACE)
• Chititriosidase
• Macophage colony stimulating factor
• Soluble CD 14
• Ferritin
• Transcobalamin II
• Beta hexosaminidase
• Lysozyme
MOLECULAR BASIS -
•Glucocerebrosidase gene is located on Chromosome 1 at
band q21.
•Just downstream the active gene is a highly homologous
pseudogene.
•More than 50 mutations in the active gene.
•Most common is Point mutation.
•Others are inserions, deletions, splicing, gene
conversion, crossing over between the functional gene
and pseudogene.
MUTATION 1226: A G
•Point mutation in exon 9
•Mild type of mutation
•75% Ashkenazi Jews and 36% non-Jews
•Late age of onset
•Protective against CNS involvement.
MUTATION 1448: T C
•Point mutation in exon 10
•Severe type of mutation
•Seen in all 3 types and Norbottnian variant
•Most common in type 2 and 3
•Gene conversion, unequal crossing over
MUTATION 84GG
•Extra guanine inserted into the cDNA at position 84
•Lethal type of mutation
•Second most common in Ashkenazi Jews
MUTATION IVS2 (+1)
•Splice site mutation where adenine is substituted by
guanine between exon 2 and intron 2.
•Lethal mutation
MUTATION 1604: G A
•Point mutation in exon 11
•Mild mutation, non neuronopathic
THERAPY
ENZYME REPLACEMENT THERAPY (ERT) WITH
RECOMBINANT ENZYMES – cerezyme, vpriv
BONE MARROW TRANSPLANTATION
GENE TRANSFER THERAPY
SUBSTRATE REPLACEMENT THERAPY (SRT) –
GLUCOSYLCERAMIDE SYNTHASE INHIBITORS.
MIGLUSTAT
ELIGLUSTAT
THANK YOU

Gaucher's disease - Pathology

  • 1.
    GAUCHER DISEASE –AN OVERVIEW OF RECENT ADVANCES. Presenter – Dr. Urshlla Kaul Moderator – Dr. Hoogar M.B
  • 4.
    GAUCHER DISEASE : TYPESTYPE– I : CHRONIC NON-NEURONOPATHIC FORM (ADULT) BRAIN INVOLVEMENT SPARED DOMINANT SPLENIC & SKELETAL INVOLVEMENT LOW DETECTABLE LEVELS OF GLUCOCEREBROSIDASE TYPE – II : ACUTE NEURONOPATHIC FORM (INFANTILE) COMPLETE DEFICIENCY OF GLUCOCEREBROSIDASE INFANTILE ACUTE CEREBRAL INVOLVEMENT HEPATOSPLENOMEGALY – VARIABLE TYPE – III : JUVENILE or INTERMEDIATE FORM CHARACTERISTIC SYSTEMIC INVOLVEMENT PROGRESSIVE CNS INVOLVEMENT BEGINS IN TEENAGE
  • 6.
    CLINICAL FEATURES HEPATOSPLENOMEGALY GENERALISED LYMPHADENOPATHY BONEMARROW INVOLVEMENT TONSILS,THYMUS,PAYER PATCHES ENLARGED LUNG INVOLVEMENT CEREBRAL INVOLVEMENT
  • 10.
    PATHOPHYSIOLOGY CERAMIDEGLUCOSE SENESCENT CELL MEMBRANES CATABOLISMOF GLYCOLIPIDS GLUCOCEREBROSIDES ACCUMULATION OF GLUCOCEREBROSIDE IN PHAGOCYTIC CELLS GAUCHER CELL GENE MUTATION DEF’ GLUCOCEREBROSIDASE GLUCOCEREBROSIDASE CLEAVING
  • 11.
    GAUCHER CELL : •Distended (phagocytic cells) Gaucher cells are found in Spleen, Liver, Bone marrow, Lymph nodes, Tonsils, Thymus, Payers patches, alveolar septa & air spaces in Lung. • It has a fibrillary type of cytoplasm (crumpled tissue paper). • Gaucher cell is a large cell 100 micron in diameter bearing one or more eccentrically placed nuclei. PAS staining is positive • EM finding: Fib cyto is elongated, distended lysosomes containing stored lipid in stacks of bilayers.
  • 12.
  • 13.
    BONE MARROW :PAS STAIN
  • 18.
  • 19.
    SPLEEN • Earliest signof GD is Splenomegaly leading to Hypersplenism (functional hyperactivity) • Extent of enlargement depends on the mutation genotype. (1226G / 84GG) • Most common presenting – Bleeding manifestations ( Epistaxis, Bruising & Prolonged Bleeding time) • Mechanical obstruction due to massive Splenomegaly (Abd discomfort, Pain ,Splenic Infarcts, nodules, subcapsular infarcts, wedge shaped areas) • Growth retardation in children – few cases
  • 20.
  • 22.
    LIVER: •Hepatomegaly : Portal& Sinusoidal infiltration of Gaucher cells along with Fibrosis, Inflammation and/or Ischemia. •Oesophageal varices in few cases. •Liver failure/Portal hypertention uncommon. •Hepatocytes not affected •LFT normal / slightly abnormal(SGOT<SGPT may be elevated).
  • 23.
    BONE: Types ofOrthopaedic complications •Nonspecific Bone pain episodic •Pseudoosteomyelitis accompanied by with fever, leukocytosis & Increased ESR. •Pyogenic Osteomyelitis •Chronic pain a/w stiffness of large joints. •Aseptic necrosis of head of Femur •Pathologic fractures. •Spinal malalignment •Growth & Stature reduction due to spinal deformity
  • 24.
    BONE cont: •WIDE metaphyseal-diaphysealregion (ERLENMEYER FLASK) deformity – bilateral •Epiphyses are unaffected. •Bone density reduced diffuse or localized •RARER: • Compression /collapse of vertebral bodies • Spinal cord /Nerve involvement. • Ischemia /cortical necrosis due to intraosseous pressure caused by the lipid laden cells. •MECHANISM IS STILL UNEXPLAINED!!!
  • 25.
  • 27.
    LUNGS: •Findings are groupedin 3 categories: •Interstitial infiltration of Gaucher cells. •Capillary plugging leading to Pulmonary Hypertention •Alveolar consolidation reminiscent of Pneumonia (type2GD) •X-ray shows Miliary pattern/or reticular nodular infiltrate
  • 28.
    KIDNEY: •Gaucher cells havebeen found in glomeruli, cortex, medulla & interstitium without significant renal complications. •Kidney involvement in GD is uncommon .
  • 29.
    HEART: •Constrictive Pericarditis &Rheumaticaortic Valve Disease •Infiltration of myocardial interstitium by Gaucher cells. •Calcification of mitral/aortic valves & ascending aorta
  • 30.
    SKIN: • ICHTHYOSES (Type-2GD) • Pterygium & Pingueculae in the conjuctiva
  • 31.
    CNS: •Type 2GD -Cranial nerve/extrapyramidal tract involvement are common •Classic triad (Trismus, Strabismus & Retroflexion) •Type3- in the 1st year of life children present with (Spasticity, Hyperreflexia, positive Babinski sign & Seizures
  • 32.
    HAEMATOLOGICAL MANIFESTATIONS: •Anemia & Thrombocytopeniadue to Hypersplenism & infiltration of Gaucher cells in Bone marrow. •Pancytopenia •Iron def Anemia due to bleeding ASSO of GD with Autoimmune disorders &Hematologic malignancies •PT / APPT prolonged
  • 33.
    IMMUNE SYSTEM •Impaired chemotaxisof neutrophils •T lymphocyte deficiencies in spleen and blood including NKT cells. •Hypergammaglobulinemia •Monoclonal gammopathies •Diffuse immunoglobulin elevation •Change of IgM to IgG and IgA as disease progresses. •Multiple myeloma •Other concomitant malignancies •Hodgkin’s, Acute leukemias, CLL, CML
  • 34.
    OBGY •Delay of puberty •Heavymenstrual bleeding •Spontaneous abortions •Stillbirths, neonatal deaths •Aggravation of thrombocytopenia and anemia during pregnancy.
  • 35.
    OTHER •Hypocholesterolemia due toincreased catabolism of LDL and HDL. •Serum level elevations of – • Angiotensin converting enzyme (ACE) • Chititriosidase • Macophage colony stimulating factor • Soluble CD 14 • Ferritin • Transcobalamin II • Beta hexosaminidase • Lysozyme
  • 36.
    MOLECULAR BASIS - •Glucocerebrosidasegene is located on Chromosome 1 at band q21. •Just downstream the active gene is a highly homologous pseudogene. •More than 50 mutations in the active gene. •Most common is Point mutation. •Others are inserions, deletions, splicing, gene conversion, crossing over between the functional gene and pseudogene.
  • 38.
    MUTATION 1226: AG •Point mutation in exon 9 •Mild type of mutation •75% Ashkenazi Jews and 36% non-Jews •Late age of onset •Protective against CNS involvement.
  • 39.
    MUTATION 1448: TC •Point mutation in exon 10 •Severe type of mutation •Seen in all 3 types and Norbottnian variant •Most common in type 2 and 3 •Gene conversion, unequal crossing over
  • 40.
    MUTATION 84GG •Extra guanineinserted into the cDNA at position 84 •Lethal type of mutation •Second most common in Ashkenazi Jews
  • 41.
    MUTATION IVS2 (+1) •Splicesite mutation where adenine is substituted by guanine between exon 2 and intron 2. •Lethal mutation
  • 42.
    MUTATION 1604: GA •Point mutation in exon 11 •Mild mutation, non neuronopathic
  • 43.
    THERAPY ENZYME REPLACEMENT THERAPY(ERT) WITH RECOMBINANT ENZYMES – cerezyme, vpriv BONE MARROW TRANSPLANTATION GENE TRANSFER THERAPY SUBSTRATE REPLACEMENT THERAPY (SRT) – GLUCOSYLCERAMIDE SYNTHASE INHIBITORS. MIGLUSTAT ELIGLUSTAT
  • 45.