Glands
Competencies
• AN70.1 - Identify exocrine gland under the microscope
& distinguish between serous, mucous and mixed acini
• AN52.1 Describe & identify the microanatomical
features of ……. Suprarenal gland
Objectives
• Introduction of Glands
• General Features
• Development
• Classifications
• Examples
• Applied
Gland - Introduction
• Some epithelial cells converted in to specialized
cells to perform a secretory function - form glands
• Definition:
An organ of secretion made up of specialized
secretory cells; derived from surface epithelium
on which it opens
General Features of Glands
• Can be present as “Discrete Organ” or “ in the
layers of viscera”
• Epithelial in origin (Derived from surface
epithelium)
• Functional unit of gland is formed by specialized
secretory cells known as – Secretory End Piece
• Fluid secreted by glands contain enzymes, mucus,
hormones, protein, fat etc…
General Features of Glands
• Rate of secretion is modulated by Nervous &
Hormonal influence
• Secretory end piece of some exocrine glands is
surrounded by star shaped contractile cells that lies
between cells & basement membrane
–Called Myo-epithelial cells
–Share features of both
epithelium & muscle cell
–Help in expulsion of
secretions
Glandular Epithelium
Development of Glands
Developed as cords of
epithelial cells from the
surface of membrane
Invaginates in to underlying
Connective tissue &
Form 2 parts
Proximal
Part
Distal Part
Development of Glands
Form duct
Connect secretory end piece
with surface of epithelium
Proximal Part
Distal Part
Exocrine Glands
Differentiated in to
the secretory cells
Secretory End Piece
Pours the secretion through ducts / directly on
surface of the glands or epithelium
Development of Glands
DisappearProximal Part
Distal Part
Endocrine Glands
Form islands of the secretory
cells permeated / surrounded
by the blood capillaries
Pours their secretion in to directly in to blood
through the blood capillaries
Ductless Gland *
Based on Site of Secretion
Exocrine
With Ducts
Endocrine
Ductless
Exocrine +
Endocrine
Paracrine
Classification of Glands
Unicellular /
Multicellular
Cord & Clump type/
Follicular Type
Pancreas &
Liver
APUD &
DNES
APUD – Amine Precursor Uptake & Decarboxylation
DNES - Diffuse NeuroEndocrine System
Classifications of Exocrine Glands
Based on numbers of cell
Unicellular Multicellular
Goblet Cell
Multicellular Exocrine Glands
1. Based on branching pattern of ducts
Simple
No Branching
Compound
Branched
Multicellular Exocrine Glands
2. Based on Shape of Secretory End Piece
Tubular Alveolar /
Acinar
Tubulo-
alveolar
Multicellular Exocrine Glands
3. Based on Nature of Secretion
Mucous Serous Mixed /
Sero-mucous
Multicellular Exocrine Glands
4. Based on Manner of Secretion
Merocrine Apocrine Holocrine Cytocrine
Multicellular Exocrine Glands
5. Based on Development of gland
Ectodermal Endodermal Mesodermal
Exocrine glands
Based on number of ducts
• Simple(single duct)
• Compound(minor & major ducts)
Based on shape of secretory piece:
• Simple tubular/ alveolar
• Simple branched tubular/ alveolar
• Simple coiled tubular
• Compound tubular/ acinar
• Compound tubulo-alveolar / acinar
• Simple:
– Secretion poured to surface by
un-branched duct
• Compound:
– Duct divides in to branches to form
elaborated / complex duct system;
– Each smaller terminal duct receive
secretion from it’s own secretory end
piece
– These ducts unite to form larger
ducts which finally drain on to surface
Based on Number of Ducts:
• Tubular: (Simple / Compound)
– Secretory end piece is like tubule
– Straight, branched or coiled
Based on Shape of Secretory End Piece:
Simple
Straight
Intestinal Crypts
Simple
Coiled
Sweat Gland
Simple Branched
Uterine gland
Fundic & pyloric
glands of stomach
Compound
Cardiac glands
of stomach &
Brunner’s gland
of duodenum
• Alveolar: (Simple / Compound)
– Secretory end piece Flask shaped
with large lumen
– Un-branched or branched
Simple
Un-branched
Urethral Glands
Simple Branched
Sebaceous &
Tarsal Glands
Compound
Mammary gland betn
puberty & 1st Pregnancy
Based on Shape of Secretory End Piece:
• Acinar: (Mostly Compound)
– Secretory end piece Round shaped
with small lumen
– Mostly branched
Compound Acinar
Pancreas
Parotid
Based on Shape of Secretory End Piece:
• Tubulo – Alveolar / Acinar:
– Combination of both Tubular &
alveolar / Acinar
– Mostly branched
Compound
Tubulo – Alveolar / Acinar
Sublingual gland
Submandibular gland
Lactating mammary gland
Based on Shape of Secretory End Piece:
Simple Glands
Compound Glands
According to Mode of secretion:
• Merocrine
• Apocrine
• Holocrine
• Cytocrine
Exocrine glands
• Merocrine:
– A.K.A.: Eccrine / Epicrine
– Secretion discharged through intact
cell membrane
– By Exocytosis
– No loss of cytoplasm
Based on Mode of Secretion:
E.G.
Protein content of mammary gland
Parotid
Pancreas
Typical & Atypical sweat glands
Merocrine
Exocytosis
Exocrine glands
• Apocrine:
– Apical portion (luminal) of cell
disintegrate to discharge its secretion
– Nucleus & basal portion remain intact
from which cell can regenerate
– Partial loss of cytoplasm
Based on Mode of Secretion:
E.G.
Lipid content of mammary gland
Ceruminous gland of Ear
Moll’s Gland in Eyelid
Modified Sweat
gland
Exocrine glands
Apocrine
• Holocrine:
– Entire cell disintegrate to discharge
its secretion
– Result in death of cell
– Complete loss of cytoplasm
Based on Mode of Secretion:
E.G.
Sebaceous gland
Tarsal Glands in Eyelid
Exocrine glands
Holocrine
• Cytocrine:
– Cell are released
as secretion
Based on Mode of Secretion:
E.G.
Spermatozoa from Testis
Ovum from Ovary
Bone Marrow
Exocrine glands
Cytocrine
Exocrine glands
Cytocrine
According to Nature of secretion:
• Serous
• Mucous
• Mixed
Exocrine glands
Mucous Serous Mixed
Serous
Thin, watery
Proteinaceous
Zymogen granules
Central rounded
Small Lumen
Indistinct
Darkly stained
Enzymatic action
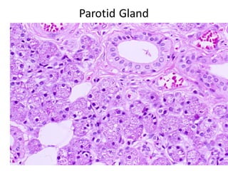
Parotid Gland
Mucous
Thick, viscous
Mucopolysaccharides
Mucinogen droplets
Flat & peripheral
Large Lumen
Distinct
Lighly stained
Protection & lubrication
Sublingual gland
Consistency
Content
Cytoplasm
Nucleus
Lumen
Cell boundaries
H&E Staining
Function
Examples
Serous Acinus / Gland
• Secretion: Thin, watery,
– Rich in enzymes, protein in nature
• Cells: Pyramidal & Small with
Indistinct boundaries
• Cytoplasm: Granular (Zymogen)
– Rich in rER
– Stain darkly with H/E stain
• Nuclei: rounded & basal / central
• Size of lumen: Small
• Function: Enzymatic
• E.G.: Parotid & Lacrimal glands
• Secretion: Thick Viscous
– Which collects in the apical part
• Cells: Low Columnar & Large with
distinct boundaries
• Cytoplasm: Mucinogen droplets
– Stain very lightly with H/E stain &
– Looks empty
• Nuclei: Flattened & basal
(mucoid pushes nuclei towards base)
• Size of lumen: Large
• Function: Protection & Lubrication
• E.G.: Sublingual glands
Mucous Acinus / Gland
• Contain both serous & mucous
secretory units
• Sometimes serous cells form
crescentic caps on mucous acini
called as Serous Demilunes
Mixed Acinus / Gland
Serous Acini Mucous Acini
Serous Acini Mucous Acini
Salivary Glands
• Exocrine: with Ducts / Externally secretory gland
• Secrete its products on to the surface through it’s duct
• Produce saliva and pour their secretion in the oral cavity
• Contain water, mucus, proteins, salts, salivary
amylase(ptyalin) and IgA
• Functions:
• Moisten food
• Lubricate & moisten oral cavity
• Initiate digestion of carbohydrates
Salivary Glands
Two types:
• Major (paired)
• Parotid
• Submandibular
• Sublingual
• Minor
• Lingual in tongue
• Palatine in palate &
tonsil
• Labial in lips and
• Buccal in cheeks
Salivary Glands
• Consist of 3 components
– Secretory end piece
– Duct System
– Supporting Connective
tissues
Salivary Glands
Parenchyma
Stroma
Parenchyma
Structural Organization of Salivary Glands
Lobes
Lobules
Blood Vessels & Nerves
Parenchyma Stroma
Inter-lobar
Septa
Capsule
Ducts
Inter-lobular Septa
General Architecture of a Salivary Glands
• Parenchyma-
– Secretory part- Acini / tubules / tubulo-acinar
– Conducting part: Ducts- Intralobular, interlobular, main
excretory duct
• Stroma-
– Capsule
– Septa (interlobular, interlobar)
– Loose inter-lobular connective tissue supporting the
parenchyma
– Divide the gland into lobes and lobules.
Salivary Glands :- Parenchyma - Secretory part
• Compound tubulo-alveolar
glands – Racemose gland
• Blind sac composed of
secretory cells
• Acini / tubules / tubulo-
acinar
• Based on nature of secretion
3 Types:
– Serous
– Mucous
– Mixed
Salivary Glands:- Parenchyma -Conducting part
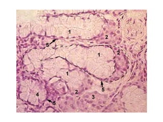
Secretory Acinus
Intercalated ducts
Low cuboidal / Squamous epithelium
Secrete HCO3 ¯ &
Absorb Cl ¯
Prominent in serous glands
Parenchyma - Conducting part
Secretory Acinus
Intercalated duct
Simple Columnar epithelium
Regulates of water and
electrolyte contents of saliva
Presence of basal striation
Striated duct
Cell of Striated Duct
Infoldings of basal plasma
membrane
Occupied by mitochondria
Basal Striation
Parenchyma - Conducting part
Secretory Acinus
Intercalated duct
Simple columnar to
Pseudo-stratified Columnar
Striated duct
Inter-lobular duct
Stratified Columnar / cuboidal
Lobular & Main Excretory duct
Near opening Stratified squamous
Parenchyma - Conducting part
Low cuboidal /
Squamous
epithelium
Simple Columnar
epithelium
Stratified
Columnar
/ cuboidal
Intercalated duct
SD
Lu
Striated duct
Excretory duct
• Development of duct system of the salivary gland
depends on the nature of secretion
• Predominantly serous secreting gland: well
developed duct system
–Modification of secretion occurs
• Predominantly mucous secreting gland: poorly
developed duct system
–No modification of secretion
Parenchyma - Conducting part
Salivary Glands - Section
Large number of closely
packed acini with ducts
scattered between them
Supported by connective
tissue septa containing
blood vessels, lymphatics
and nerves
Homocrine &
Heterocrine ?
Salivary Glands
Both acini and ducts
surrounded by contractile cells
Myo-epithelial cells
• Star shaped / Basket
shaped around acini &
• Fusiform around ducts
Salivary Glands - Classification
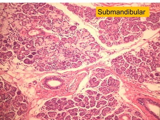
• Parotid gland:
– Only serous acini
• Submandibular & sublingual:
– Submandibular:
• Predominantly serous secreting
• Serous + mucous + mixed acini
– Sublingual:
• Predominantly mucous secreting
• Mucous + mixed acini (Pure serous acini are rare)
Purely serous
Mixed glands
Parotid
Parotid
Serous
Submandibular Gland
Submandibular
Submandibular
Clinical
• ADENOMA: Benign tumors arising in the
gland
• ADENOCARCINOMA: Malignant growth in the
gland
Exocrine glands histology

Exocrine glands histology

  • 1.
  • 2.
    Competencies • AN70.1 -Identify exocrine gland under the microscope & distinguish between serous, mucous and mixed acini • AN52.1 Describe & identify the microanatomical features of ……. Suprarenal gland
  • 4.
    Objectives • Introduction ofGlands • General Features • Development • Classifications • Examples • Applied
  • 5.
    Gland - Introduction •Some epithelial cells converted in to specialized cells to perform a secretory function - form glands • Definition: An organ of secretion made up of specialized secretory cells; derived from surface epithelium on which it opens
  • 6.
    General Features ofGlands • Can be present as “Discrete Organ” or “ in the layers of viscera” • Epithelial in origin (Derived from surface epithelium) • Functional unit of gland is formed by specialized secretory cells known as – Secretory End Piece • Fluid secreted by glands contain enzymes, mucus, hormones, protein, fat etc…
  • 7.
    General Features ofGlands • Rate of secretion is modulated by Nervous & Hormonal influence • Secretory end piece of some exocrine glands is surrounded by star shaped contractile cells that lies between cells & basement membrane –Called Myo-epithelial cells –Share features of both epithelium & muscle cell –Help in expulsion of secretions
  • 8.
  • 9.
    Development of Glands Developedas cords of epithelial cells from the surface of membrane Invaginates in to underlying Connective tissue & Form 2 parts Proximal Part Distal Part
  • 10.
    Development of Glands Formduct Connect secretory end piece with surface of epithelium Proximal Part Distal Part Exocrine Glands Differentiated in to the secretory cells Secretory End Piece Pours the secretion through ducts / directly on surface of the glands or epithelium
  • 11.
    Development of Glands DisappearProximalPart Distal Part Endocrine Glands Form islands of the secretory cells permeated / surrounded by the blood capillaries Pours their secretion in to directly in to blood through the blood capillaries Ductless Gland *
  • 12.
    Based on Siteof Secretion Exocrine With Ducts Endocrine Ductless Exocrine + Endocrine Paracrine Classification of Glands Unicellular / Multicellular Cord & Clump type/ Follicular Type Pancreas & Liver APUD & DNES APUD – Amine Precursor Uptake & Decarboxylation DNES - Diffuse NeuroEndocrine System
  • 13.
    Classifications of ExocrineGlands Based on numbers of cell Unicellular Multicellular Goblet Cell
  • 14.
    Multicellular Exocrine Glands 1.Based on branching pattern of ducts Simple No Branching Compound Branched
  • 15.
    Multicellular Exocrine Glands 2.Based on Shape of Secretory End Piece Tubular Alveolar / Acinar Tubulo- alveolar
  • 16.
    Multicellular Exocrine Glands 3.Based on Nature of Secretion Mucous Serous Mixed / Sero-mucous
  • 17.
    Multicellular Exocrine Glands 4.Based on Manner of Secretion Merocrine Apocrine Holocrine Cytocrine
  • 18.
    Multicellular Exocrine Glands 5.Based on Development of gland Ectodermal Endodermal Mesodermal
  • 19.
    Exocrine glands Based onnumber of ducts • Simple(single duct) • Compound(minor & major ducts) Based on shape of secretory piece: • Simple tubular/ alveolar • Simple branched tubular/ alveolar • Simple coiled tubular • Compound tubular/ acinar • Compound tubulo-alveolar / acinar
  • 20.
    • Simple: – Secretionpoured to surface by un-branched duct • Compound: – Duct divides in to branches to form elaborated / complex duct system; – Each smaller terminal duct receive secretion from it’s own secretory end piece – These ducts unite to form larger ducts which finally drain on to surface Based on Number of Ducts:
  • 21.
    • Tubular: (Simple/ Compound) – Secretory end piece is like tubule – Straight, branched or coiled Based on Shape of Secretory End Piece: Simple Straight Intestinal Crypts Simple Coiled Sweat Gland Simple Branched Uterine gland Fundic & pyloric glands of stomach Compound Cardiac glands of stomach & Brunner’s gland of duodenum
  • 22.
    • Alveolar: (Simple/ Compound) – Secretory end piece Flask shaped with large lumen – Un-branched or branched Simple Un-branched Urethral Glands Simple Branched Sebaceous & Tarsal Glands Compound Mammary gland betn puberty & 1st Pregnancy Based on Shape of Secretory End Piece:
  • 23.
    • Acinar: (MostlyCompound) – Secretory end piece Round shaped with small lumen – Mostly branched Compound Acinar Pancreas Parotid Based on Shape of Secretory End Piece:
  • 24.
    • Tubulo –Alveolar / Acinar: – Combination of both Tubular & alveolar / Acinar – Mostly branched Compound Tubulo – Alveolar / Acinar Sublingual gland Submandibular gland Lactating mammary gland Based on Shape of Secretory End Piece:
  • 25.
  • 26.
  • 27.
    According to Modeof secretion: • Merocrine • Apocrine • Holocrine • Cytocrine Exocrine glands
  • 28.
    • Merocrine: – A.K.A.:Eccrine / Epicrine – Secretion discharged through intact cell membrane – By Exocytosis – No loss of cytoplasm Based on Mode of Secretion: E.G. Protein content of mammary gland Parotid Pancreas Typical & Atypical sweat glands
  • 29.
  • 30.
    • Apocrine: – Apicalportion (luminal) of cell disintegrate to discharge its secretion – Nucleus & basal portion remain intact from which cell can regenerate – Partial loss of cytoplasm Based on Mode of Secretion: E.G. Lipid content of mammary gland Ceruminous gland of Ear Moll’s Gland in Eyelid Modified Sweat gland
  • 31.
  • 32.
    • Holocrine: – Entirecell disintegrate to discharge its secretion – Result in death of cell – Complete loss of cytoplasm Based on Mode of Secretion: E.G. Sebaceous gland Tarsal Glands in Eyelid
  • 33.
  • 34.
    • Cytocrine: – Cellare released as secretion Based on Mode of Secretion: E.G. Spermatozoa from Testis Ovum from Ovary Bone Marrow
  • 35.
  • 36.
  • 37.
    According to Natureof secretion: • Serous • Mucous • Mixed Exocrine glands Mucous Serous Mixed
  • 38.
    Serous Thin, watery Proteinaceous Zymogen granules Centralrounded Small Lumen Indistinct Darkly stained Enzymatic action Parotid Gland Mucous Thick, viscous Mucopolysaccharides Mucinogen droplets Flat & peripheral Large Lumen Distinct Lighly stained Protection & lubrication Sublingual gland Consistency Content Cytoplasm Nucleus Lumen Cell boundaries H&E Staining Function Examples
  • 39.
    Serous Acinus /Gland • Secretion: Thin, watery, – Rich in enzymes, protein in nature • Cells: Pyramidal & Small with Indistinct boundaries • Cytoplasm: Granular (Zymogen) – Rich in rER – Stain darkly with H/E stain • Nuclei: rounded & basal / central • Size of lumen: Small • Function: Enzymatic • E.G.: Parotid & Lacrimal glands
  • 40.
    • Secretion: ThickViscous – Which collects in the apical part • Cells: Low Columnar & Large with distinct boundaries • Cytoplasm: Mucinogen droplets – Stain very lightly with H/E stain & – Looks empty • Nuclei: Flattened & basal (mucoid pushes nuclei towards base) • Size of lumen: Large • Function: Protection & Lubrication • E.G.: Sublingual glands Mucous Acinus / Gland
  • 41.
    • Contain bothserous & mucous secretory units • Sometimes serous cells form crescentic caps on mucous acini called as Serous Demilunes Mixed Acinus / Gland
  • 42.
  • 43.
  • 44.
  • 45.
    • Exocrine: withDucts / Externally secretory gland • Secrete its products on to the surface through it’s duct • Produce saliva and pour their secretion in the oral cavity • Contain water, mucus, proteins, salts, salivary amylase(ptyalin) and IgA • Functions: • Moisten food • Lubricate & moisten oral cavity • Initiate digestion of carbohydrates Salivary Glands
  • 46.
    Two types: • Major(paired) • Parotid • Submandibular • Sublingual • Minor • Lingual in tongue • Palatine in palate & tonsil • Labial in lips and • Buccal in cheeks Salivary Glands
  • 48.
    • Consist of3 components – Secretory end piece – Duct System – Supporting Connective tissues Salivary Glands Parenchyma Stroma Parenchyma
  • 49.
    Structural Organization ofSalivary Glands Lobes Lobules Blood Vessels & Nerves Parenchyma Stroma Inter-lobar Septa Capsule Ducts Inter-lobular Septa
  • 50.
    General Architecture ofa Salivary Glands • Parenchyma- – Secretory part- Acini / tubules / tubulo-acinar – Conducting part: Ducts- Intralobular, interlobular, main excretory duct • Stroma- – Capsule – Septa (interlobular, interlobar) – Loose inter-lobular connective tissue supporting the parenchyma – Divide the gland into lobes and lobules.
  • 51.
    Salivary Glands :-Parenchyma - Secretory part • Compound tubulo-alveolar glands – Racemose gland • Blind sac composed of secretory cells • Acini / tubules / tubulo- acinar • Based on nature of secretion 3 Types: – Serous – Mucous – Mixed
  • 52.
    Salivary Glands:- Parenchyma-Conducting part Secretory Acinus Intercalated ducts Low cuboidal / Squamous epithelium Secrete HCO3 ¯ & Absorb Cl ¯ Prominent in serous glands
  • 53.
    Parenchyma - Conductingpart Secretory Acinus Intercalated duct Simple Columnar epithelium Regulates of water and electrolyte contents of saliva Presence of basal striation Striated duct
  • 54.
    Cell of StriatedDuct Infoldings of basal plasma membrane Occupied by mitochondria Basal Striation
  • 55.
    Parenchyma - Conductingpart Secretory Acinus Intercalated duct Simple columnar to Pseudo-stratified Columnar Striated duct Inter-lobular duct Stratified Columnar / cuboidal Lobular & Main Excretory duct Near opening Stratified squamous
  • 56.
    Parenchyma - Conductingpart Low cuboidal / Squamous epithelium Simple Columnar epithelium Stratified Columnar / cuboidal
  • 57.
  • 58.
    • Development ofduct system of the salivary gland depends on the nature of secretion • Predominantly serous secreting gland: well developed duct system –Modification of secretion occurs • Predominantly mucous secreting gland: poorly developed duct system –No modification of secretion Parenchyma - Conducting part
  • 59.
    Salivary Glands -Section Large number of closely packed acini with ducts scattered between them Supported by connective tissue septa containing blood vessels, lymphatics and nerves Homocrine & Heterocrine ?
  • 60.
    Salivary Glands Both aciniand ducts surrounded by contractile cells Myo-epithelial cells • Star shaped / Basket shaped around acini & • Fusiform around ducts
  • 62.
    Salivary Glands -Classification • Parotid gland: – Only serous acini • Submandibular & sublingual: – Submandibular: • Predominantly serous secreting • Serous + mucous + mixed acini – Sublingual: • Predominantly mucous secreting • Mucous + mixed acini (Pure serous acini are rare) Purely serous Mixed glands
  • 63.
  • 64.
  • 67.
  • 68.
  • 71.
  • 74.
    Clinical • ADENOMA: Benigntumors arising in the gland • ADENOCARCINOMA: Malignant growth in the gland