ER/ICUにおける
薬剤師の目線
獨協医科大学越谷病院 薬剤部 佐野邦明
始める前に
獨協医科大学越谷病院
• 病院機能評価認定 Ver.5
• 病床数:723床
• 平均入院患者数:585人
• 入院処方箋:330枚/日
• 入院注射箋:470枚/日
• 院外処方箋発行率:98.5%
『私』
•東邦大学大学院修了
•薬剤師歴 13年目
•ER/ICU担当 2.5年
救急医療体制
初期救急
二次救急
三次救急
埼玉県の三次救急施設
埼玉医大総合
埼玉医大国際
さいたま赤十字
深谷赤十字
防衛医大
川口市立
獨協越谷
獨協越谷の守備範囲
人口170万人
ここ
救命救急認定医
整形外科医
内科医
レジデント
研修医
初期治療室
患者が運ばれると
OPE室もあります
緊急OPE!
CT室
ICU 集中治療室
ベッド周辺
後方支援病棟
病床数
•ICU:10床
•後方支援病棟:24床
診療体制
研修医
スタッフ
指導医
前菜
メイン
Cafe
デザート
私の一日
情報収集
ER
知識と情報
私の一日
hors d’oeuvres
カンファレンス
朝回診
色々確認 提案 問合せ
記録
夕回診
カンファレンス
回診
カンファ&回診
新患のプレゼン
夜間帯の状況
治療方針
医師目線の患者状態
検査値 & 細菌培養
検査値
医師も確認していますが…
副作用の有無
見落としはないか
細菌培養
医師も確認していますが…
標的細菌の同定
高度耐性菌の早期発見
バイタル & 投与薬剤
バイタルモニター
検温板
体表面
CV刺入部
蜂窩織炎?
配合変化、投与速度
三方活栓 輸液ポンプ
尿の色と混濁
排泄物
バイタルなどなど
医師も看護師も確認していますが…
確認する『目』はいくつあってもよい
情報提供と問合せ
67%
33%
薬剤師→医師 医師→薬剤師
年間:約500件
夕回診
情報収集
main dishes
ICUの患者
•意思の疎通が取れない
•急性期
•人工呼吸器管理
•24時間管理
•カンファ、回診
•看護師から
•バイタル
•検査値、細菌検査
•体外ルート
患者の状態は
項目別に
収集する
呼吸 循環
意識
感染 栄養
呼吸
main dishes
目線
呼吸回数
人工呼吸器の設定
血液ガス分析
肺
•酸素化 = P/F
•換気 = PaCO2と呼吸数
•酸素化と換気は別物
酸素化?
•PaO2 / 吸入酸素濃度(FIO2)
•FIO2:21% で PaO2:100
•P/F = 100/0.21 = 476
•肺炎などで悪化
PaO2:100 FIO2:40%
PaO2:120 FIO2:60%
①
②
PaO2:100 FIO2:40%
P/F = 250
PaO2:120 FIO2:60%
P/F = 200
①
②
人工呼吸器
•通常呼吸 → 陰圧換気
•人工呼吸 → 陽圧換気
モードとパラメータ
モード
パラメータ
VC-SIMV
血ガス分析
6.7
6.8
6.9
7
7.1
7.2
7.3
7.4
7.5
7.6
7.7
正常範囲
アシデミア
アルカレミア
死亡
死亡
7.45
7.35
体内の酸塩基
PaCO2
HCO3
アシドーシス
アシドーシス
PaCO2↑
or
HCO3↓
アルカローシス
アルカローシス
PaCO2↓
or
HCO3↑
呼吸に関わる薬
7% NaHCO3
•pH<7.20 HCO3<12
•投与量(mL) = -BE 体重 0.3
•十分な換気を確保して投与
•Naの負荷!(1本 = 208mEq)
シベレスタット
•ARDSに対する唯一の薬剤!
•しかも、国産!
•1V = ¥5,435 通常 3V / day
•別ルートで
効果は否定的
□ ORIGINAL ARTICLE □
Effect of Neutrophil Elastase Inhibitor (Sivelestat Sodium)
in the Treatment of Acute Lung Injury (ALI) and Acute
Respiratory Distress Syndrome (ARDS):
A Systematic Review and Meta-Analysis
Kentaro Iwata1,2
, Asako Doi3,4
, Goh Ohji1,2
, Hideaki Oka2
, Yuichiro Oba2
, Kohei Takimoto2
,
Wataru Igarashi2
, David H. Gremillion5
and Toshihiko Shimada3
Abstract
Introduction Sivelestat is neutrophil elastase inhibitor, which is widely used in Japan for the treatment of
acute lung injury. However, the clinical efficacy of the medication has not been convincingly demonstrated.
Methods We conducted a systematic review and meta-analysis of randomized controlled trials on sivelestat
for the treatment of acute lung injury and acute respiratory distress syndrome. Studies were identified using
Intern Med 49: 2423-2432, 2010 DOI:
treatment of ALI with systemic inflammatory response syn-
drome (SIRS), and it is widely used in this country. How-
z
a
Figure 4. Subgroup analysis of 28-30 day mortality of sivelestat v control for treatment of ALI/
ARDS. Only studies conducted in Japan were included in this analysis. RR: relative risks, CI: confi-
dent intervals. Studies ordered by weight. Random effect model.
Intern Med 49: 2423-2432, 2010 DOI: 10.2169/internalmedicine.49.4010
Figure 4. Subgroup analysis of 28-30 day mortality of sivelestat v control for treatment of ALI/
ARDS. Only studies conducted in Japan were included in this analysis. RR: relative risks, CI: confi-
dent intervals. Studies ordered by weight. Random effect model.
Intern Med 49: 2423-2432, 2010
循環
main dishes
目線
血圧、心拍数
モニター心電図
尿
循環作動薬
変わりはないか?
•ショックの早期発見
•心電図の異常
•尿量の変化
バイタルモニター
ショック
ショック
血圧低下を主徴とし
細胞・臓器の機能障害をもたらす
全身性の急性末梢循環不全状態
ショックの状態
•収縮期血圧の低下 (<80-90)
•頻脈 (100<) 微弱な脈拍
•脈圧の低下 (<30)
•時間尿量の低下 (<0.5mL/kg/hr)
•患者に現れる症状
•ショックを疑う
ショックの5P
蒼白
Pallor
虚脱・無欲・無関心
Prostration
冷汗・発汗
Perspiration
脈拍触知不可
Pulselessness
呼吸困難
Pulmonary deficiency
ショックの5P
蒼白
虚脱・無気力
冷汗
脈拍触知不能
呼吸困難
ショックの5P
心電図異常
QT延長に注意
尿
量:0.5-1mL/kg/hr
色:黄色
濁:なし
循環作動薬
•カテコラミン類
•A NA DOA DOB
•降圧剤
•ニカルジピン ジルチアゼム
•利尿剤
カテコラミン類
至急NAください!
ノルアドレナリン
カテコラミン類
•A:アドレナリン(ボスミン®)
•NA:ノルアドレナリン
•DOA:ドパミン(イノバン®)
•DOB:ドブタミン(ドブトレックス®)
薬理作用
α作用
DOB > DOA > A > NA
β作用
NA > A > DOA > DOB
•A:心肺蘇生時
•NA:敗血症性ショック
•DOA:ショック
•DOB:心機能低下時
至急、DOAを
5ガンマで!
γ ガンマ
•µg/kg/min
•変換式の活用
100 x mL/min x mg/mL
6 x BW (kg)
γ =
6 x γ x BW
100 x mg/mL
mL/min =
0.3%製剤
体重 50kg
mL/min = γ
mL/min = γ
*0.3%製剤のみ
mL/min = γ
*0.3%製剤のみ
薬剤の希釈
3A/50mL
自施設の割合を確認!
薬品名 調製⽅方法 濃度度 作⽤用* 投与範囲
DA作⽤用 2mL/h 2γ
β>α作⽤用 5mL/h 5γ
α>β作⽤用 10mL/h 10γ
0.3%ドブポン そのまま 3mg/mL β>>α作⽤用 5mL/h 5γ
2-‐‑‒20γ
(2-20mL/h)
ノルアドレナリン
1A:1mg/1mL
3A/50mL 0.06mg/mL α>>β作⽤用 2mL/h 0.04γ
0.02-‐‑‒0.3γ
(1-15mL/h)
ボスミン
1A:1mg/1mL
3A/50mL 0.06mg/mL α、β作⽤用 2mL/h 0.04γ
0.02-‐‑‒0.3γ
(1-15mL/h)
ピトレシン
1A:20単位/1mL
1A/20mL 1単位/mL V1、V2 1mL/h
0.02
U/kg/hr
Warm shock
の時のみ使⽤用
ミルリノン
1A:10mg/10mL
1A/50mL 2mg/mL
PDEⅢ阻害
⼼心拍出量量↑
1.5mL/h 0.1γ
0.1-‐‑‒0.5γ
(1.5-7.5mL/h)
*ピトレシンはNAが不不応なWarm  shock時のみ使⽤用する。
⾎血管拡張薬等
カテコラミン類等
体重50kgでの
初期投与速度度
*DA作⽤用:腎動脈の拡張、α作⽤用:⾎血管収縮  β作⽤用:⼼心収縮・拍出量量↑、⾎血管拡張
*DOAの1-‐‑‒3γのいわゆるRenal  Doseは腎機能改善、腎保護にはつながらない
0.3%イノバン
ドパミン注キット600
そのまま 3mg/mL
1-‐‑‒20γ
(1-20mL/h)
*ピトレシンはNAが不不応なWarm  shock時のみ使⽤用する。
薬品名 調製⽅方法 濃度度 作⽤用 投与範囲
ニカルジピン
1A:10mg/10mL
そのまま 1mg/mL 後負荷↓↓HR↑ 2mL/h 0.67γ
0.5-‐‑‒6γ
(1.5-18mL/h)
後負荷↓HR↓ 5mL/h 5γ 5-‐‑‒15γ(5-‐‑‒15mL/h)
狭⼼心症 3mL/h 3γ 1-‐‑‒5γ(1-‐‑‒5mL/h)
ハンプ
1V:1000μg
3V/50mL* 0.06mg/mL 前後負荷↓尿尿↑ 0.6mL/h 0.0125γ
0.0125-‐‑‒0.1γ
(0.6-5mL/h)
前負荷↓⼼心↑ 3mL/h 0.5γ
急性⼼心不不全 1mL/h 0.17γ
前後負荷↓⼼心↑
狭⼼心症
1%オリベス そのまま 10mg/mL VTの予防 6mL/h 1mg/min
60-240mg/hr
(6-24mL/h)
Af,  PSVTでの
レートコントロール
初期投与速度度は、臨臨床症状を優先 体重は標準体重を⽤用いる(⾝身⻑⾧長×⾝身⻑⾧長×22)
*必要に応じて溶解量量は変更更する。原則、注射⽤用⽔水にて
**1V=6486と⾮非常に⾼高価なため、急性期を脱した場合にはメインテート等の内服βブロッカーへ変更更する
オノアクト
1V:50mg**
3V/50mL 3mg/mL 3mL/h 3γ
3-‐‑‒10γ
(3-10mL/h)
2-6mg/hr
(2-6mL/h)
⾎血管拡張薬等
体重50kgでの
初期投与速度度
ミオコール
50mg/100mL
そのまま 0.5mg/mL
0.5-‐‑‒5γ
(3-30mL/h)
シグマート
1V:48mg
1V/48mL 1mg/mL 2mL/h 2mg/hr
ジルチアゼム
1V:50mg
3V/50mL 3mg/mL
意識
main dishes
目線
意識レベル
鎮静、鎮痛剤
抗てんかん薬
意識レベル
•JCS
•GCS
•RASS Scale
JCS
•わかりやすい
•3-3-9度方式
JCS 0
6月6日木曜日
今日は何日?
ここはどこ?
病院です
© Kumamoto Pref.
私は誰ですか?
先生です
JCS Ⅰ-1
うーん、病院
ぼややーん…
ここ、どこか
わかる?
大丈夫?
大丈夫…かな
ポ∼
© Kumamoto Pref.
おうち…
ここ、どこか
わかる?
私、誰だか
わかる?
お姉ちゃん…
ポ∼
JCS Ⅰ-2
© Kumamoto Pref.
うーん、
わかんない‥
お名前は?
ポ∼
JCS Ⅰ-3
© Kumamoto Pref.
JCS Ⅱ-10
くまモン
起きてー
ムニャムニャ
© Kumamoto Pref.
JCS Ⅱ-20
ムニャムニャ
くまモン!
起きて!
© Kumamoto Pref.
JCS Ⅱ-30
ムニャムニャ
くまモン!
起きて!起きて!
ギュウゥ∼
© Kumamoto Pref.
JCS Ⅲ
ギュウゥ∼
モ
ゾ
モ
ゾ
100
200
300
( ̄
人
 ̄
)
© Kumamoto Pref.
GCS
•世界標準
•正常 15点
•深昏睡 3点
Eye Opening
Verbal Response
Motor Response
Eye Opening
Verbal Response
Motor Response
4
Eye Opening
Verbal Response
Motor Response
4
5
Eye Opening
Verbal Response
Motor Response
4
5
6
E4V2M4
E4:開眼している
V2:意味不明な言葉
M4:痛みから逃れる
JCS 0
E4V5M6
=
JCS Ⅲ-300
E1V1M1
=
RASS
•鎮静の深度
•0 -2 が良い
•使いやすい
表1 スケール導入までの経過
年 スケール 普及するための方法 勉強会の内容
2007 RASS
医師と共有
勉強会
看護研究(せん妄発生率
と見落としの実態)
Surviving Sepsis
Campaign guidelinesの紹介
鎮静の目的と方法
病態アセスメント
せん妄発生の疫学
予防的介入
鎮痛管理
概日リズム
2008 CAM-ICU
カンファレンス
事例検討
ヒヤリハット分析
2009 BPS
記録用紙に新設
術前訪問用紙の作成
2010 各スケール
活用2011
西村祐枝:CAM-ICUを使用したせん妄の評価.看護技術,57(2):128∼132,2011.より引用・改変
表 2 RASSとその利用法
スコア 用語 説明
+4 好戦的な
明らかに好戦的な,暴力的
な,スタッフに対する差し
迫った危険
+3
非常に興
奮した
チューブ類またはカテーテ
ル類を自己抜去;攻撃的な
+2 興奮した
頻繁な非意図的な運動,人
工呼吸器ファイティング
+1
落ち着き
のない
不安で絶えずそわそわして
いる,しかし動きは攻撃的
でも活発でもない
0 意識清明な 落ち着いている
−1 傾眠状態
完全に清明ではないが,呼
びかけに 10 秒以上の開眼,
およびアイコンタクトで応
答する
呼びかけ
刺激
−2
軽い鎮静
状態
呼びかけに 10 秒未満のア
イ・コンタクトで応答
呼びかけ
刺激
−3
中等度鎮
静
状態呼びかけに動きまたは
開眼で応答するがアイ・コ
ンタクトなし
呼びかけ
刺激
−4
深い鎮静
状態
呼びかけに無反応,しかし,
身体刺激で動きまたは開眼
身体刺激
−5 昏睡
呼びかけにも身体刺激にも
無反応
身体刺激
日本呼吸療法医学会:人工呼吸中の鎮静のためのガイドライン.人工呼吸中
の鎮静ガイドライン作成委員会,2007.より引用
ステップ1:30秒間,患者を観察する.これ(視診のみ)によりスコア0∼+
4 を判定する.
ステップ 2: 1)大声で名前を呼ぶか,開眼するように言う.
2)10秒以上アイ・コンタクトができなければ繰り返す.以上2
項目(呼びかけ刺激)によりスコアー1∼ー3 を判定する.
3)動きが見られなければ,肩を揺するか,胸骨を摩擦する.
これ(身体刺激)によりスコアー4,ー5 を判定する.
せん妄である
評価終了
RASS= 0 以外
いいえ
CAM-ICU
評価
スタート
RASS
による
基準線
評価
RASS
ー3∼
+4
RASS
ー4,
ー5
せん妄ではない
評価終了
せん妄ではない
評価終了
0∼7点
RASS=0
はい
所見 1:急性発症または変動性の経過
基準値からの精神状態の急性変化があるか?
(異常な)行動が過去24時間に変動したか?
所見 4:意識レベルの変化
RASSにより判定可能
8 点以上
所見 2:注意力欠如
ASE(注意力スクリーニングテスト):聴覚・視覚いずれか
を実施
聴覚ASE:例)1のときに手を握ってくださいと指示する.
      → 6153191124(十分な声の大きさで)
視覚ASE:先に5 枚の絵を見せ(3 秒ずつ),次に異な
る5 枚の絵を加えた10 枚の絵を順に示し,
先の5 枚に含まれるかを問う.
鎮静剤と鎮痛剤
鎮静
効果
鎮痛
効果
健忘
効果
鎮静剤
鎮痛剤
鎮静剤
•ミダゾラム(ドルミカム®)
•プロポフォール(ディプリバン®)
•デクスメデトミジン(プレセデックス®)
ミダゾラム
•ベンゾジアゼピン系
•2分以内に効果発現
•48-72hr以上継続で効果遷延
•循環動態にあまり影響しない
5A/50mL
2mL/h
プロポフォール
•脂肪乳剤 1mL = 1kcal
•1分以内に効果発現
•中止後、15分以内に覚醒
•ルート管理注意
10mg/mL
5mL/h
デクスメデトミジン
•弱い鎮痛と鎮静
•呼吸抑制とせん妄が少ない
•低血圧、徐脈に注意
1V/50mL
5mL/h
鎮静剤
薬品名 調製⽅方法 濃度度 作⽤用発現 投与範囲
ディプリバン
プロポフォール
そのまま 10mg/mL ≦1分 5mL/h 1mg/kg/h
0.3-3.0
(2-15mL/h)
ミダゾラム
10A/100mL
1A=2mL
1mg/mL ≦2分 2mL/h 0.04mg/kg/h
0.03-0.18
(1-9mL/h)
プレセデックス
1V/50mL
1V=2mL
4μg/mL ≦15分 5mL/h 0.4μg/kg/h*
0.2-0.7
(2-9mL/h)
*添付⽂文書記載の負荷投与は⾏行行わない⽅方がベター
筋弛緩剤
薬品名 調製⽅方法 濃度度 作⽤用発現 投与範囲
マスキュレート 5V/50mL 1mg/mL ≦5分 2mL/h 0.04mg/kg/h
0.04-0.08
(2-4mL/h)
エスラックス
そのまま
(5mL)
10mg/mL ≦2分 2mL/h 7μg/kg/min
4-10
(1-3mL/h)
*筋弛緩剤の投与は⼗十分な鎮静と鎮痛を⾏行行ってから!
催眠剤
5mg(5mL)
(0.1-0.2mg/kg)
30mg(3mL)
(0.6-1.2mg/kg)
特徴
⾎血圧低下あり
中⽌止後、15分以内に覚醒
1mL=1.1kcal
⾎血⾏行行動態に影響しない
48hr以上の投与で
中⽌止後も作⽤用が遷延
⾎血圧低下・除脈あり
呼吸抑制なし,  弱い鎮痛
⾃自然の眠りに近い
体重50kgでの
挿管時の単回投与量量
体重50kgでの
初期投与速度度
体重50kgでの
初期持続投与速度度
鎮痛剤
モルヒネ
フェンタニル
鎮痛剤
血管拡張作用あり
腎障害では作用遷延
血管拡張作用なし
速効性で短時間作用
鎮痛剤
0.1mg/2mL
1-2mL/h
呼吸抑制
便秘
フェンタニル
縮瞳
ICUでの鎮静
ガイドラインSpecial Article
Clinical Practice Guidelines for the Management
of Pain, Agitation, and Delirium in Adult Patients
in the Intensive Care Unit
Juliana Barr, MD, FCCM1
; Gilles L. Fraser, PharmD, FCCM2
; Kathleen Puntillo, RN, PhD, FAAN, FCCM3
;
E. Wesley Ely, MD, MPH, FACP, FCCM4
; Céline Gélinas, RN, PhD5
; Joseph F. Dasta, MSc, FCCM, FCCP6
;
Judy E. Davidson, DNP, RN7
; John W. Devlin, PharmD, FCCM, FCCP8
; John P. Kress, MD9
;
Aaron M. Joffe, DO10
; Douglas B. Coursin, MD11
; Daniel L. Herr, MD, MS, FCCM12
;
Avery Tung, MD13
; Bryce R. H. Robinson, MD, FACS14
; Dorrie K. Fontaine, PhD, RN, FAAN15
;
Michael A. Ramsay, MD16
; Richard R. Riker, MD, FCCM17
; Curtis N. Sessler, MD, FCCP, FCCM18
;
Brenda Pun, MSN, RN, ACNP19
; Yoanna Skrobik, MD, FRCP20
; Roman Jaeschke, MD21
Crit Care Med 2013; 41:263‒306
ICUでの鎮静
ガイドラインSpecial Article
Clinical Practice Guidelines for the Management
of Pain, Agitation, and Delirium in Adult Patients
in the Intensive Care Unit
Juliana Barr, MD, FCCM1
; Gilles L. Fraser, PharmD, FCCM2
; Kathleen Puntillo, RN, PhD, FAAN, FCCM3
;
E. Wesley Ely, MD, MPH, FACP, FCCM4
; Céline Gélinas, RN, PhD5
; Joseph F. Dasta, MSc, FCCM, FCCP6
;
Judy E. Davidson, DNP, RN7
; John W. Devlin, PharmD, FCCM, FCCP8
; John P. Kress, MD9
;
Aaron M. Joffe, DO10
; Douglas B. Coursin, MD11
; Daniel L. Herr, MD, MS, FCCM12
;
Avery Tung, MD13
; Bryce R. H. Robinson, MD, FACS14
; Dorrie K. Fontaine, PhD, RN, FAAN15
;
Michael A. Ramsay, MD16
; Richard R. Riker, MD, FCCM17
; Curtis N. Sessler, MD, FCCP, FCCM18
;
Brenda Pun, MSN, RN, ACNP19
; Yoanna Skrobik, MD, FRCP20
; Roman Jaeschke, MD21
Crit Care Med 2013; 41:263‒306痛み、不穏、せん妄
痙攣
抗てんかん薬
TDM
相互作用
副作用
バルプロ酸 フェノバルビタール カルバマゼピン フェニトイン ゾニサミド レベチラスタム ガバペンチン トピラマート ラモトリギン クロナゼパム クロバザム
薬剤の併⽤用
デパケン
セレニカ
フェノバール テグレトール
フェニトイン
アレビアチン
エクセグラン イーケプラ ガバペン トピナ ラミクタール ランドセン マイスタン
VPA PB CBZ PHT ZNS LEV GBP TPM LTG CZP CLB
VPA *1 *2 LTG減量量
PB *3
CBZ
PHT
ZNS *1
LEV
GBP
TPM
LTG
CZP
CLB
カルバペネム系 ブイフェンド・アドシルカ ブイフェンド アドシルカ
ワソラン・マクロライド系 ザイロリック・バクタ
ヘルベッサー・オメプラール アンカロン・アゾール系
↑↑ 著増 ↑ 増加 → 不不変 ↓ 減少 ↓↓ 著減 酵素誘導で減少
増加  or  不不変 減少  or  不不変
VPA PB CBZ PHT ZNS LEV GBP TPM LTG CZP CLB
デパケン フェノバール テグレトール フェニトイン エクセグラン イーケプラ ガバペン トピナ ラミクタール ランドセン マイスタン
剤型 散・錠・液 散・錠・液・注 散・錠 散・錠・注 散・錠 錠 錠 錠 錠 散・錠 散・錠
全般てんかん 1st 強直間代 症候性 ミオクロニー(併⽤用) 強直間代(併⽤用) 強直間代(併⽤用) ミオクロニー・症候性 他剤と併⽤用
部分てんかん 症候性 1st 2nd 2nd 他剤と併⽤用 他剤と併⽤用 他剤と併⽤用 他剤と併⽤用
初期投与量量
800-1200mg
2x-3x
ノーベルバールで
負荷投与可能
200-400mg
2x
ホストインで
負荷投与可能
200mg 2x 1000mg 2x
Day1
600mg 3x
50mg
x1-x2
添付⽂文書参照 1mg 2x 10mg 2x
30-200mg 1x-2x 2週間以上開けて 1週間毎に漸増 VPAの有無で 効果出るまで漸増
1-2mg/kg 1x-2x 漸増する 200-400mg 2x ⽤用量量変化あり 2-6mg 2x
増量量幅 200mg 30mg 100-200mg 25-50mg 100mg 500-1000mg 200-400mg 50mg 25-100mg 0.5-1mg 5-10mg
最⼤大投与量量 2000mg 2x-3x 1200mg 2x 600mg 2x-3x 3000mg 2x 2400mg 3x 600mg 2x 投与時注意 40mg 2x
代謝経路路 肝 肝 肝 肝 腎 腎 腎 肝/腎 肝/腎 肝 肝
CLcr:50-80 CLcr:30-59
*2:⼀一過性に減少するが不不変 *3:やや増減するが、実質は不不変
薬剤情報
維持投与量量
投与量量の投与量量の
*1:CBZの活性代謝物は増加
⾎血中濃度度の影響を受ける抗てんかん薬
200-300mg
3x
Day2以降降
1200mg 3x
10-30mg
2x
200-400mg
2x
同上同上
アスピリン Al含制酸剤
←抗てんかん薬の⾎血中濃度度を顕著に低下させるため併⽤用禁忌
投与量量の
主な抗てんかん薬⼀一覧
他の薬剤
⾎血中濃度度減少
⾎血中濃度度増加
投与量量の 投与量量の
感染
main dishes
目線
患者
抗生剤 細菌
挿管チューブ
経鼻胃管
CVルート
Aライン
透析
尿道カテーテル
熱傷
褥瘡
術後
ICUの感染症
55%30%
15%
JANIS 2010年
人工呼吸器関連肺炎
カテーテル関連血流感染
尿路感染
敗血症
Sepsis
敗血症 菌血症
敗血症
とは
感染症によるSIRS
体温 >38℃ or <36℃
心拍数 >90回/分
呼吸
>20回/分 or
PaCO2<32
WBC
>12,000 or
<4,000
*2項目以上=SIRS
感染 SIRS
膵炎
熱傷
外傷
その他
敗血症
重症敗血症
敗血症性
ショック
SIRS
体温:
<36℃ or >38℃
心拍数:
>90/min
呼吸数:
>20/min PCO2<32
白血球
>12,000 or <4,000
敗血症
SIRS
2項目以上
+
感染の確定
or
疑い
重症
敗血症
敗血症
+
臓器障害
or
臓器灌流障害
or
低血圧
敗血症性
ショック
重症敗血症
の継続
+
急速輸液
に無反応
要NAD
低栄養による意識障害で搬送
一旦改善するが呼吸悪化にて
再挿管となりICU入室
体温
心拍数
血圧
呼吸数
体温
心拍数
血圧
呼吸数
体温
心拍数
血圧
呼吸数
体温
心拍数
血圧
呼吸数
HR:140
BT:39.9
BP:100/65
RR:30
SIRS
3項目!
末梢冷感なし
輸液負荷の開始
DRPM開始
ノルアドレナリン開始
血液培養採取
5%アルブミンの開始
敗血症性ショック
SURVIVING SEPSIS
CAMPAIGN BUNDLES
3時間以内にすべきこと
① 乳酸値の測定
② 抗菌薬投与前の血液培養採取
③ 広域スペクトラムの抗菌薬を投与
④ 血圧低下または乳酸 4mmol/L以上であれば
晶質液を30mL/kgで投与
*乳酸 4mM = 36mg/dL
抗生剤の選択
感染臓器
重症度 起因菌
抗生剤の選択
感染臓器
重症度 起因菌
医師とのDiscussion
どの抗生剤を、
どれくらいの量で、
これだけの期間を!
言いっぱなしはダメ
培養結果の確認
効果の確認
de-escalationの検討
便性状の確認
抗生剤と細菌
苦手…
医者も苦手
•研修医の質問で最多
•感染症は重要
良き相談相手に
薬剤師さんに
聞いてみよう!
そのためにも…
菌を愛でて下さい
抗生剤一覧の活用
栄養
main dishes
目線
種類
熱量
血糖値
経管栄養
『薬剤』のみでなく
『食品』も把握する
血糖値
The new england
journal of medicine
established in 1812 march 26, 2009 vol. 360 no. 13
Intensive versus Conventional Glucose Control
in Critically Ill Patients
The NICE-SUGAR Study Investigators*
ABSTR ACT
The NICE-SUGAR study is a co
tion of the Australian and New
Intensive Care Society Clinica
Group, the George Institute for
tional Health (University of Sydn
Canadian Critical Care Trials Gro
ound
imal target range for blood glucose in critically ill patients remains unclear.
ds
24 hours after admission to an intensive care unit (ICU), adults who were
d to require treatment in the ICU on 3 or more consecutive days were ran-
N Engl J Med 2009; 360: 1283-97
強化血糖コントロール
従来型血糖コントロール
180
144
110
80
NICE-SUGAR Study
N Engl J Med 2009; 360: 1283-97
強化血糖コントロール
180
144
110
80
NICE-SUGAR Study
従来型血糖コントロール
N Engl J Med 2009; 360: 1283-97
NICE-SUGAR Study
90日以内
死亡率
重篤な低血糖
発生率
従来型 24.9% 0.5%
強化型 27.5% 6.8%
N Engl J Med 2009; 360: 1283-97
p=0.02 p<0.001
ICU患者の血糖値
<180mg/dL
品名(EN) 容量(水) 熱量(kcal) 糖質(g) タンパク(g) 脂質(g) NPC/N Na+ K+ Ca2+ mOsm/L
アノム 200(170) 200 26.9 10.0 5.6 98.8 11.3 7.0 6.3 400
メディエフ 400(340) 400 56.8 18.0 11.2 113.9 32.5 13.3 15.6 380
レナウェル 125(94) 200 27.0 3.0 8.9 391.9 2.6 0.5 0.5 340
CZHi 200(167) 200 29.4 10.0 4.4 98.3 7.8 7.7 7.5 380
オキシーパ 250(197) 375 26.5 15.6 23.4 128.0 14.2 12.5 13.3 384
エンジョイゼリー 73(50.9) 100 15.0 3.7 2.8 143.9 2.2 3.5 15.0
アイソカルゼリー 66(46) 80 14.0 4.0 1.2 104.4 2.9 1.5 10.0
明治メイン 200(169) 200 26.6 10.0 5.6 98.0 6.1 4.1 8.0 600
ディムス 200(168) 200 28.6 8.0 5.6 128.8 7.4 3.8 10.5 280
アキュアEN800 (救命サンプル) 200(167) 200 24.8 12.4 5.7 75.9 17.3 7.7 7.0 350
GFO(15g) 水を100 36 6.0 3.6 42.0 400
↑栄養課扱い↑
エンシュアリキッド(半消化態) 250(213) 250 34.3 8.8 8.8 153.7 8.7 9.5 6.5 330
エンシュアリキッドH 250(194) 375 51.5 13.2 13.2 153.8 13.1 14.3 10.0 540
ラコール(半消化態) 200(170) 200 31.2 8.8 4.5 117.4 6.4 7.0 4.4 330
エレンタール(80g)(成分栄養) 水を250 300 63.4 13.1 0.5 123.1 11.3 5.6 7.9 755
アミノレバンEN(50g)(肝不全用) 水を180 210 31.1 13.5 3.6 72.6 1.8 4.5 2.9 600
ヘパンED(80g)(肝不全用) 水を250 310 61.7 11.2 2.8 151.8 8.0 5.6 12.2 633
リーバクト(4.7g) 16 4.0
品名(TPN) 容量 熱量(kcal) 糖質(g) アミノ酸(g) 脂質(g) NPC/N Na+ K+ Ca2+ 浸透圧比
エルネオパ1号(ビタミン・微量元素付) 1000 560 120.0 20 153.0 50 22 4.0 4
エルネオパ2号(ビタミン・微量元素付) 1000 820 175.0 30 149.0 50 27 5.0 5
エルネオパ2号(ビタミン・微量元素付) 1500 1230 262.5 45 149.0 75 41 7.6 5
フルカリック1号(ビタミン付) 903 560 120.0 20 150.0 50 30 8.5 4
経腸栄養剤開始時には3-4日間かけて目標の80%まで徐々に増量する。
補助食品
食品名 量(mL) 熱量(kcal) 糖質(g) タンパク(g) 脂質(g) 経管投与
牛乳 200 128 9.3 6.4 7.2 ○
低脂肪乳 200 105 11.6 7.7 3.1 ○
豆腐 100g 72 1.6 6.6 4.2 ×
納豆 35g 76 5.5 6.0 3.5 ×
ゼリー 100g 66 16.4 0.2 0.0 ×
ジュース 200 100 25.0 0.0 0.0 ○
ヤクルト 65 50 11.5 0.8 0.1 ○
ジョア 125 75 14.5 4.0 0.1 ○
ビフィーネ 100 110 15.7 3.5 3.6 ○
プリン 80g 116 16.1 3.8 4.0 ×
ヨーグルト 100g 91 14.8 3.5 2.0 ×
低糖ヨーグルト 100g 46 6.4 4.0 0.6 ×
チーズ 18g 60 0.3 3.6 4.9 ×
アイス 40g 73 7.3 1.3 3.4 ×
アイソカルゼリー 66g 80 0.0 4.0 1.2 ×
5回食(10時) 216 43.5 4.4 2.7 ×
5回食(15時) 133 47.5 4.5 2.8 ×
*他の経管栄養と混ぜると固まる可能性あり。
通常食
熱量(kcal) 糖質(g) タンパク(g) 脂質(g) 塩分(g) 水分(g)食事区分
後方支援病棟では
•看護師、栄養士とも相談
•患者の嗜好も取り入れる
その他
main dishes
配合変化
三活、ルート内も
確認!
皮膚の変化
清拭の時を狙って!
処置
ER
cafe
何ができるか
何ができるか
できることはなんでもやる!
できること
患者のベッド移動
タイムキーパー
経過記録
投与薬剤の調製
ラインの準備
心リズムを
チェック
薬物療法
静脈路/骨髄路を確保
アドレナリンを 3∼5 分ごとに反復投与
難治性 VF/VT の場合はアミオダロンを投与
高度な気道確保器具を考慮
定量波形によるカプノグラフィ
治療可能な原因を治療
心停止後のケア
CPR を開始
酸素を投与
モニター/除細動器を装着
2 分間
VF/VT
であれば
ショックを実施
自己心拍再開(ROSC)
大声で助けを呼ぶ/救急対応システムの出動を要請する
CPRを続行
CPRを続行
心リズムを
チェック
薬物療法
静脈路/骨髄路を確保
アドレナリンを 3∼5 分ごとに反復投与
難治性 VF/VT の場合はアミオダロンを投与
高度な気道確保器具を考慮
定量波形によるカプノグラフィ
治療可能な原因を治療
心停止後のケア
CPR を開始
酸素を投与
モニター/除細動器を装着
2 分間
VF/VT
であれば
ショックを実施
自己心拍再開(ROSC)
大声で助けを呼ぶ/救急対応システムの出動を要請する
CPRを続行
CPRを続行
アドレナリンを3∼5分毎に反復投与
搬入前の準備
内服薬剤の鑑別
服用量の推定
予測される副作用
薬物中毒
敗血症
感染臓器
重症度 起因菌
早期の抗生剤投与
「MISIA」で確認
患者情報
Medicine
Illnesses
Surgery
Injury
Allergy
:服薬歴
:既往歴
:手術歴
:外傷の有無
:アレルギー
自宅での急変
→ 家族or救急隊が持参
自宅以外での急変
→ 家族が後日持参
身寄りがないと不明のまま
•As soon as possible
•かかりつけ医療機関
•患者へ確認
•『かかりつけ』を確認
意識があれば
知識と情報
dessert
必要な知識
•薬
•病態
•医療機器
•画像
必要な知識
•薬
•病態
•医療機器
•画像
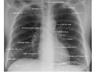
医療機器と画像
医師との
コミュニケーションに
気
胸
縦
横
骨
軟
チュー
気管
胸腔
縦隔
横隔膜
骨
軟部組織
チューブ
日々の医薬情報
日々の医薬情報
アンテナを!
PMDA
FDA
m3.com
MT-Pro
各医薬品メーカー
医療系ブログ
効率よく情報収集
Easy and convenient!
整理整頓
素早く的確に!
詳細は…
本日の
ふりかえり
呼吸状態
酸塩基平衡
循環動態
カテコラミン等の投与速度
意識レベル
鎮静/鎮痛剤の投与速度
敗血症 菌血症
感染臓器 / 起因菌 / 重症度
経管栄養の把握
BS<180
できることをする
MISIAで確認
情報収集を!
整理整頓
患者の変化
薬?
参考資料
https://www.dropbox.com/sh/
79ik0bsbmcza6sn/WOKa61U2w1
本日の資料
↑
ゼロ
↑
オー
ご清聴
ありがとうございました

Er:icuにおける薬剤師の目線