DISTRACTION
OSTEOGENESIS
Dr. Afaf Mohammed Rafiq
Contents
1. Introduction
2. Definition
3. Evolution of DO
4. Classification of DO
5. Principles of DO
• Fracture Healing
• Molecular biology of distraction osteogenesis
• Stages- Distraction Osteogenesis
6. Effects of DO on soft tissue
7. Indications
8. Diagnosis and treatment planning
9. Classification of DO Appliances
10. Vectors of DO
11. DO procedure in the Craniofacial Region
• Cranial and Midface
• Maxilla
• Mandible
12. DO and orthognathic surgery
13. Advantages
14. Disadvantages
15. Treatment timings
16. Recent advances
17. Conclusion
18. Bibliography
Introduction
Despite the fact that conventional orthognathic surgery and craniofacial
reconstruction have experienced widespread success, but in recent years the practice
of surgery has been altered by an increased understanding and manipulation of
biological systems; for example, induction of the native tissue.
Distraction osteogenesis of the craniofacial skeleton serves as an example of this
most recent paradigm shift.
Definition
• Distraction osteogenesis is a process of new bone formation between the surfaces
of osteotomized bone segments that are separated gradually by incremental
traction.
(Cope and Samchukov 2005 )
Synonyms: Callus distraction/ Callotasis/ Osteo-distraction.
• Distraction histiogenesis: This stretching activity induces new bone formation
with adaptive soft tissue changes such as the formation of mucosa, muscle, nerve,
vascular structures, connective tissue, and lymphatic vessels.
(Murray and Fitch 1996 ; Swennen et al. 2002 ; Wiltfang et al. 2002 )
Evolution of distraction
osteogenesis
Dr. Gavril Ilizarov in his practice
Hippocrates
(19th
century)
Alessandro
Codivilla
(1905)
Abbott
(1927)
Distraction Osteogenesis on Long Bones
Repositioning and
stabilization of
bone fractures.
Femoral
extension using
axial forces of
distraction.
Incorporated pins
instead of casts; tibia
extension.
Gavril
Ilizarov
(1969)
Developed a technique for
repairing complex fractures
or nonunion of the long
bones.
Ilizarov’s procedure was
based on the biology of
bone and the ability of the
surrounding soft-tissues to
regenerate under tension.
Distraction Osteogenesis on craniofacial skeleton
Fauchard
(1728)
Expansion of arch in
craniofacial skeleton
Wescott
(1859)
Mechanical forces on maxilla for
correction of cross bite.
He used two double clasps
separated by a telescopic bar.
Dr. Angell
(1860)
Palatal expansion: Performed
a similar procedure with a
threaded jackscrew
connected to the premolars.
Goddard
(1893)
Standardized the palatal expansion
protocol. He activated the device twice a
day for 3 weeks followed by a stabilization
period to allow the deposition of “osseous
material” in the created gap.
Rosenthal
(1927)
Kazanjian
(1941)
“Over the face”
appliance for gradual
advancement of
mandible.
Allan
(1948)
Crawford
(1948)
Allan (1948) incorporated a
screw device to control the
rate of distraction.
Crawford (1948) applied
gradual incremental traction
to the fracture callus of the
mandible.
Rosenthal performed the
first mandibular
osteodistraction procedure
The first report
demonstrating the
application of Ilizarov’s
principles to the mandible
of a canine.
Snyder et al.
(1973)
Michieli and
Miotti (a few
years later)
Demonstrated the
feasibility of intraoral
mandibular lengthening.
Panikarovski
et al
Karp et al
(1982)
Comprehensive analysis of distraction regenerates.
These studies provided a scientific basis for clinical
adaptation of the distraction osteogenesis technique to
the craniofacial complex.
McCarthy et al
(1989)
First to clinically apply the
technique of extraoral
osteodistraction on four
children with congenital
craniofacial anomalies.
Molina and
Ortiz-
Monasterio
Semirigid extraoral fixation system:
Simplified the methods established by McCarthy
et al.
Their technique used a corticotomy, which left
the medial cortical plate intact.
Only one fixation pin was inserted on either side
of the corticotomy and secured to the distraction
device.
First to use bidirectional
osteodistraction in the
mandible.
Molina and
Ortiz-
Monasterio
Molina and
Ortiz-
Monasterio
Guerrero et al (1990)
Different tooth-borne,
bone-borne, and hybrid
intraoral devices for
mandibular lengthening and
widening.
Cohen et al (1995)
1st one to perform distraction of
midface.
McCarthy et al (1992)
McCarthy et al. published
the first series that involved
successful distraction of
human mandibles.
Chin and Toth (1996)
Vertical alveolar distraction
technique.
Constantino et al (1993)
Augment and close canines’ lower
jaw defects using DO.
Polley and
Figueroa (1997) Developed a series of tooth-borne
and hybrid devices (ROD)
Razdolsky et al (1997)
Ortiz
Monasterio
& Molina
(1999)
Introduced a technique
of distraction in both
maxilla and mandible by
using mandibular
devices alone.
Use of rigid extraoral
device in the
treatment of severe
maxillary deficiency
and cleft problems.
Liou and Huang
(1998)
Performed rapid canine retraction through
DO of the periodontal ligament which acts
a ‘suture’ between alveolar bone and tooth
with similar osteogenic potential.
Liou et al(2000)
Horizontal alveolar bone
distraction: to close the
residual orofacial fistula
in cleft palate cases for the
first time.
Isaacson et al. (2001)
Successfully attempted to move an
ankylosed central incisor using
orthodontics, surgery and DO.
Işeri et al. (2001) and
Kişnişci et al. (2002)
‘Dentoalveolar Distraction’ (DAD) for rapid canine
distilization.
Osteotomies were performed around the canines.
This surgical technique does not rely on the stretching and
widening of the periodontal ligament, thus prevents
overloading and stress accumulation in the periodontal
tissues.
Cohen et al (2000)
Published his initial work using
a maxillary distraction device
made of a resorbable polymer.
Sayin et al. (2004)
Concluded that rapid canine
distraction procedure reduced the
net orthodontic treatment time.
Kodof et al. (2005)
Demonstrated the effectiveness of
treating ankylosed tooth and the
surrounding alveolar ridge defect by a
simple DO apparatus.
Dolanmaz, Karaman, Pampu & Topkara;
Kim, Park, Son, Kim, Kim & Mah. (2010)
More recent case reports have emphasized the evolutionary
role of DO in attaining orthodontic correction of ankylosed
anterior teeth.
Presently craniofacial DO is implemented in the lower face (mandible),
mid face (maxilla, orbits), upper face (fronto-orbital, cranial vault), and in
congenital and acquired anomalies.
Craniofacial anomalies account for most applications of distraction.
Classification of Distraction Osteogenesis
Distraction epiphysiolysis: It involves the relatively rapid rate of bone segment
separation.
• Ranging from 1 to 1.5 mm/day.
• The increased tension between the growth plates produces fracture of the physis.
Chondrodiatasis: It utilizes a very slow rate of bone segment separation.
• It is generally less than 0.5 mm/day.
• Hence, the growth plate is stretched without fracture (Sledge et al 1978; Aldegheri
et al 1989).
Mechanism of ossification- endochondral ossification.
The physeal distraction technique has certain
disadvantages like difficulty in fixation of a
very short epiphyseal segment and the physis
frequently gets damaged resulting in premature
cessation of growth.
(Peltonen et al 1984; De Pablos et al 1990).
Callotasis:
• It is the gradual stretching of the reparative callus forming around bone segments
interrupted by osteotomy or fracture.
(Ilizarov 1989; Al-Aqs et al 2008)
Mechanism of ossification- Intramembraneous ossification
Based on the number of foci at which osteogenesis occurs:
A: Monofocal distraction is used to lengthen abnormally shortened bones and
involves separation of 2 bone segments across a single osteotomy.
B: Bifocal distraction is used to repair a segmental defect and requires creation of a
transport disk, which is then distracted across the defect until it docks with the
opposing bony segment.
C: Trifocal distraction is similar to bifocal distraction attempts to halve the
distraction time by transporting 2 disks from opposite ends of a defect to dock in the
middle.
Sophy Barber Lachlan Carter, Christopher Mannion, and Claire Bates. Distraction Osteogenesis Part 1:
History and Uses in the Craniofacial Region. Ortho Update 2018; 11: 14–20
Principles of Distraction Osteogenesis
• To understand the mechanism of distraction osteogenesis, one should
first know the details of fracture healing.
• Since distraction osteogenesis is a kind of fracture healing process
directed in a beneficial manner.
Molecular biology of distraction osteogenesis
PROINFLAMMATORY CYTOKINES ENDORSES
1 Interleukins IL-1 Primary callus formation
Angiogenesis.
2 Interleukins IL-6 Angiogenesis
VEGF production
Differentiation of osteoblasts and osteoclasts.
3 Tumor Necrosis Factor -α (TNF- α) Recruitment of MSCs
Stimulate osteoclastic function
4 Fibroblast growth factor (FGF) Growth and differentiation of a variety of cells such as fibroblasts,
myocytes, osteoblasts, and chondrocytes.
5 Insulin - like growth factor (IGF) IGF-I endorses bone matrix formation.
6 Platelet - derived growth factor
(PDGF)
Chemotactic stimulator for inflammatory cells
Proliferative and migrative stimulus for MSCs and osteoblasts.
7 Vascular endothelial growth factor
(VEGF)
Mediators of neoangiogenesis and endothelial cell-specific mitogen.
GROWTH AND
DIFFERENTIATION FACTORS
ENDORSES
1 Bone Morphogenic Proteins (BMPs) Control growth, differentiation and apoptosis
of osteoblasts, chondroblasts, neural cells, and
epithelial cells.
2 Transforming Growth Factor -β (TGF-
β):
Cellular maturation and differentiation
3 Growth differentiation factors (GDFs) GDF 1, 5, 8 & 10- Promote various stages of
intramembranous and endochondral bone
ossification during healing
Pieffenberger M et al. Fracture Healing Research—Shift towards In Vitro Modeling?
Biomedicines 2021:9(7);748.
Schematic description of the four phases of fracture healing
DO differs from normal bone healing in two basic aspects:
(1) It has the advantage of having a controlled microtrauma.
(2) The ossification mechanism is intramembranous.
(Bouletreau et al. 2002)
Although small amounts of cartilage are occasionally observed bone
formation during DO occurs primarily through an intramembranous process.
This characteristic distinguishes it from the large induction of endochondral
bone formation as is observed in most settings of fracture healing.
It should be noted that, increased blood flow, a greater overall extent of
vascularization is observed during DO as compared with fracture healing,
numerous investigators have speculated that it is this characteristic that
drives bone formation through the intramembranous pathway.
• Distraction osteogenesis procedure consists of three sequential
phases after the osteotomy and distraction appliance fixation:
(1) Latency phase.
(2) Distraction phase.
(3) Consolidation phase.
Osteotomy
• First stage of distraction osteogenesis.
• Relevant bone area is osteotomized
similar to a fracture line.
• This intervention triggers the healing
process of the bone.
Although DO of long bones usually involves a corticotomy, where the external compact bone is
sectioned while maintaining the medullary cortex and periosteum, in the craniofacial region a
osteotomy is usually accepted due to the narrowness of the bones.
Despite a number of studies that showed that osteotomy does not
have an adverse effect on the final outcome of distraction
osteogenesis, the present data suggests that corticotomy is beneficial
in obtaining optimal bone regeneration after mandibular lengthening.
Distraction osteogenesis usually takes a long time, which may result
in many problems.
The use of corticotomy may be a way to induce earlier bone
regeneration and better remodeling for distraction osteogenesis.
Latency Phase
It is the period waited for primary bone callus formation, between the osteotomy
and the activation of the device.
• Ilizarov suggested 5–7 days of latency period.
• Latency period should be set not too long to permit calcification, and also not too
short to inhibit the callus formation.
There are some controversial studies on animals, which report
that latency period may not be required before distraction
procedure.
However, there is no such evidence or study that represents the
effect of latency period on humans.
Latency period is still accepted as a crucial stage for the
distraction osteogenesis procedure.
Distraction Phase
• The bone segments are
mechanically distracted.
• The soft callus between the two
bone segments is elongated.
• Creating pressure, fluid flow,
tensile strain, and tissue dilatation
within and around the distraction
area.
In the original Ilizarov concept, optimal distraction rate was set as 1 mm every day as
a golden standard for the procedure.
Fast distraction rates- local ischemia and therefore delayed ossification in the
distraction gap.
Slow distraction rates- prevent the formation of fibrotic tissue.
On the other hand, slower rates may cause early ossification and consolidation in
young children and neonates.
In young children, the rate of distraction should be 0.5 to 2.0 mm per day.
In addition, the increased frequency of distraction procedure accelerates regenerated
bone formation.
A distraction rate of 1 mm/day in two to four equal increments is accepted as the ideal rate for clinically
successful bone regeneration.
Consolidation Phase
• Consolidation is the last period, where the
distractors are kept on the region to let the newly
formed bone mature.
• Bone trabeculae continue to grow at the centre of
the regenerate toward each other until they fuse.
• The distraction gap ossifies gradually, and a bone
bridge fills the gap
• In adults, the consolidation period should be at least 3 months.
• In children, a shorter period may be indicated.
• The length of this phase varies from 4 to 12 weeks, 8 weeks on average for bone
maturation.
• Typically, the consolidation stage involves twice as long as the time required for
activation.
Swennen et al. suggested longer periods would be necessary when DO is applied to the
midface of the patient (Swennen et al. 2001 ).
Removal of the distraction device
• Confirmation of ossification of the bone is done by
basic radiography or other imaging modalities such
as computed tomography.
• After which the distraction device can be removed.
The most extensively studied is the Lacto
Sorb (Biomet Corporation, Indianapolis, IN),
which is a random linear copolymer
consisting of 82% poly L-lactide and 18%
PGA (pure polyglycolic acid).
This compound resorbs during 12 months and
loses strength during 3 to 4 months.
It has intermediate resorption characteristics,
which allow gradual resorption through
hydrolysis and phagocytosis.
The phases of distraction
osteogenesis
(a)Hematoma formation following
osteotomy- later replaced by
granulation tissue.
(b)Bone gap is progressively increased
with osteogenesis taking place at the
margins.
(c)Osteogenesis extend to the Centre of
the gap.
(d)Maturation of the ossification in the
distraction site.
(e)Bone remodeling and continuity of
alveolar canal after completion of
distraction osteogenesis.
Effect of Distraction Osteogenesis on Soft
Tissues
• Distraction osteogenesis affects not only the involved bones but also the soft
tissues that surround them.
• Growth changes and development occur in the muscles, vascular structures,
nerves, connective tissues, and lymphatic vessels.
(Ilizarov 1989a )
Muscles
• In muscle cells, not only cellular hypertrophy but also hyperplasia occurs.
• Initial atrophy of the stretched muscles during and shortly after distraction and
subsequent regeneration in the consolidation period occurs.
• During distraction, the muscles lengthen throughout the entire muscle, not only at
the level of osteotomy.
(Nakamura and Matsushita 1997 )
A. Apaydin, B. Yazdirduyev, T. Can, N. Keklikoglu: Soft tissue changes during distraction
osteogenesis. Int. J. Oral Maxillofac. Surg. 2011; 40: 408–412.
• Muscle in the same vector of distraction adapts to the elongation with
compensatory regeneration and hypertrophy, whereas muscles lying in a different
vector show prolonged evidence of atrophy.
(Fisher et al 1997)
• It also appears that, beyond a certain rate of distraction, the regeneration is
insufficient to replace the contractile material that has been damaged by
overstretching (exceeding rates of 2 mm per day, or distances larger than 20 mm).
{Van der Meulen et al (2005), Fisher et al (1997), Tüz et al (2003)}
Thorsten Grünheid. The adaptive response of jaw muscles to varying functional demands. European Journal of
Orthodontics.31;2009:596–612.
Nerves
• Nerves elongate by distraction of the bone too.
• However, if the application of the distraction osteogenesis procedure is onto the
mandibular area because the inferior alveolar nerve is located inside a bony canal,
the risk of nerve damage during the osteotomy or fixation of the pins is greater.
• Therefore, the osteotomies and the pin fixation should be carefully carried out.
During distraction phase
Normal neuron structure
Regeneration of nerve fibers
during consolidation.
It was concluded that the distraction rate was
strongly associated with the inferior alveolar nerve
function, and the distraction rates of 1.0 and 1.5
mm/d had regenerative effects on the inferior
alveolar nerve.
Adult subjected to DO showed a 50% loss in tetanic and twitch tension
whereas those in young animals did not.
This correlated with partial denervation of adult but not young muscle, as
judged by morphological criteria.
These experiments indicate that adaptation to DO depends not only on
mechanical variables but also on skeletal maturity.
Oral Structures
• Gingiva responds favorably to gradual stretching
during distraction.
• Initially, mild inflammation is observed during
distraction osteogenesis.
• However, after the first few weeks of consolidation,
regenerative changes with neohistiogenesis are
observed, by which the structural and functional
integrity is restored.
(Kunimori et al. 2007; Cope and Samchukov 2005)
• The reaction of the periodontal ligament changes due to the design of the
distraction device.
• If the device is bone-borne, then the load on the periodontal ligament decreases.
• If the device is a tooth-borne device, then the periodontal ligament around the
involved teeth reacts as in orthodontic loads.
Indication
• Congenital deformities
1. Orofacial clefting syndromes e.g.: Cleft palate, Pierre- Robin Syndrome.
2. Severe retrognathic syndrome e.g.: Treachers Collins and Goldenhar syndrome.
3. Craniosynostosis e.g.: Crouzon Syndrome, Apert Syndrome, Pfeiffer Syndrome.
4. Non-syndromic congenital micrognathia.
5. Severely constricted mandible/ maxilla.
6. Craniofacial microsomia unilateral/bilateral.
7. Midfacial hypoplasia.
8. Obstructive sleep apnea (OSA)
9. Facial asymmetry.
• Acquired conditions
1. Post-traumatic growth disturbances of the mandible, e.g. temporomandibular
joint ankylosis.
2. Non-union fractures.
3. Atrophy of edentulous segments.
4. Oncologic mandibular osseous defects.
• Others
1. Rapid canine distraction for rapid distalization of canine to reduce orthodontic
treatment time
2. Distraction for ankylosed teeth to create optimum height of alveolar bone.
Diagnosis and treatment planning
Key stages in distraction osteogenesis
The team approach
• Unlike cleft lip and palate management, the care pathway for craniofacial
deformity care has not been formalized and the team composition differs across
the UK
• Diagnosis and planning tend to be undertaken by the Maxillofacial Surgeon and
the Orthodontist together.
• Nursing staff familiar with craniofacial anomalies and the specific techniques
associated with DO are invaluable in providing advice and support for patients.
carers to activate the distractor and reviewing progress in the activation period
may be lessened by the judicious use of a trained nurse.
• It is generally advised that any patients who have not already been given
psychological support through attendance at craniofacial clinics should be offered
ongoing support.
• An evaluation of speech changes after mandibular distraction in patients with
hemifacial microsomia found a temporary deterioration in articulation and nasal
resonance.18 For this reason, a speech assessment and expert advice is
recommended for all patients being considered for DO.
• Finally, input from a dietitian may be desirable to help patients maintain sufficient
nutritional intake before, during and after treatment. Difficulties in eating can
arise from a limited masticatory ability caused by the original craniofacial
abnormality or by treatment. Satisfactory nourishment improves post-operative
recovery and consideration should be given to dietary supplements, if indicated.
Planning and preparation
• Identifying which structure is abnormal and the likely aetiology is essential to
successful management.
• A combination of photographs, conventional radiographs, such as
orthopantomographs and lateral cephalograms, and 3D images are used for
diagnosis and treatment planning.
“3D virtual visualization paradigm,”
• The “3D virtual visualization paradigm” allows
one to set up a virtual treatment goal and to
compare, in an unprecedented objective way, the
pretreatment status, treatment goal, and outcome.
• Different 3D imaging acquisition techniques have
been developed and allow unprecedented 3D
virtual diagnosis of maxillofacial deformity.
Tan A et al., Computer-assisted surgery in therapeutic strategy distraction osteogenesis of hemifacial microsomia:
Accuracy and predictability, Journal of Cranio-Maxillo-Facial Surgery. 2018:1;014.
• Advances in 3D printing from CBCT images has enabled the production of highly
accurate 3D models of the craniofacial hard tissues, known as stereolithographic
models.
• Stereolithographic models can be used to aid visualization for diagnosis and for
counselling patients.
• Detailed surgical planning and mock-distractor placement can be undertaken on
models and used to produce a surgical stent that then accurately transfers the
planning to the patient.
• The mock-up can also guide preparatory bending of distractors, reducing surgery
time.
Surgical-Orthodontic Considerations in Subcranial and Frontofacial Distraction. Hopper R A, Kapadia H, Susarla
S M. Oral Maxillofacial Surg Clin N Am. 2020
Pre-surgical orthodontics
• Much like preparation for conventional orthognathic surgery, the orthodontic tooth
movement may include levelling and aligning, decompensation, correction of
curve of spee and co-ordination of the arches, with the aim of positioning the teeth
in the ideal position in the basal bone.
• Supplementary appliances, such as a Quadhelix appliance, may be required to
gain maxillary arch expansion.
• If osteotomy cuts are planned in tooth-bearing regions, pre-distraction divergence
of the roots may be necessary.
Lauwers et al. Maxillofacial intraoral distraction osteogenesis followed by elastic traction in cleft maxillary deformity. Int. J. Oral
Maxillofac. Surg. 2005; 34: 85–88
Lauwers et al. Maxillofacial intraoral distraction osteogenesis followed by elastic traction in cleft maxillary deformity. Int. J. Oral
Maxillofac. Surg. 2005; 34: 85–88
• The fixed appliances are left in place during the distraction phase with passive
stainless steel archwires.
• This provides a method for attaching inter-arch elastic traction during the
distraction and consolidation phases.
• If the distraction will result in intra-arch expansion, the fixed appliances must be
sectioned or carefully monitored and regularly adjusted to prevent interferences to
arch lengthening.
• However, in younger patients with craniofacial discrepancies who are undergoing
DO as an interceptive measure to attempt to normalize growth and development,
orthodontic treatment may not be necessary at the time of distraction.
• In these patients DO is planned to maximize the skeletal benefit, and correction of
the occlusal discrepancies is postponed until the permanent dentition is
established.
• Alternatively, a hybrid functional appliance is sometimes used.
Pre-distraction surgery
• The preliminary surgical procedure has
two purposes; to section the bone and
place the distractor.
• The bone is sectioned in the optimum
position and direction to allow separation
of the fragments in the desired vector.
• During surgery, placement and securing
of the distractor before the final
osteotomy ensures optimum positioning.
Orthodontics during the distraction and consolidation phase
• Orthodontic traction can be used to guide the
tooth-bearing regions and mould the regenerate
into the ideal post distraction position.
• Inter-arch elastic traction can be used with an
anteroposterior, vertical or transverse vector to
correct Class II or Class III discrepancies, reduce
open bites or correct cross bites and cants.
• Occlusal bite-block can be used
during the consolidation and post-
consolidation phase to supra-erupt
posterior dentition to correct the cant
and open bite.
• Light vertical elastics from the
maxillary arch to the lower arch
would help in controlling the
clockwise rotation of the mandible
and open bite.
Post-distraction phase
• The rigid distractor is left in situ during the consolidation phase to allow the callus
to calcify and transform into haversian bone.
• Bony healing is monitored clinically and with regular radiographic examination.
• Once adequate bone healing is evident, the distractor is removed.
• The patient is reviewed long term to monitor further growth and continued
assessment of function and aesthetics.
• Orthodontic retention is provided to maintain post-distraction tooth positions.
Post-distraction orthodontics
• Post-distraction orthodontics should be initiated after the consolidation phase
which is aimed at finishing and settling the occlusion.
Maheshwari S, Verma SK, Tariq M, Prabhat KC, Kumar S. Biomechanics and orthodontic treatment protocol in maxillofacial distraction
osteogenesis. Natl J Maxillofac Surg 2011;2:120-8.
Orthodontic retention
• Essix-type retainers may not be sufficiently rigid to maintain the increased
transverse dimension.
• If an Essix retainer is required for patient esthetics and compliance, it should only
be used during the day and a Hawley retainer used for evening and night time
wear.
• Fixed lower canine-to-canine wire will adequately maintain the canine width and
anterior alignment, but cannot be expected to aid in maintaining any posterior
expansion.
• Consequently, a Hawley retainer with integral lingual support wire is a good
form of mandibular retention.
Maheshwari S, Verma SK, Tariq M, Prabhat KC, Kumar S. Biomechanics and orthodontic treatment protocol in maxillofacial distraction
osteogenesis. Natl J Maxillofac Surg 2011;2:120-8.
Classification of DO
appliances
Types of distractors
• Distractors are manufactured from a lightweight titanium alloy or
surgical steel and must be rigid enough to prevent distortion and
flexing in the distraction site.
• A number of designs are available to suit different functions.
Classification
Based on the site
1. Mandibular distractors
2. Maxillary distractors
3. Midface and cranium distractors
4. Alveolar ridge distractor
5. Bone Transport (Reconstruction of neo-mandible/ neo-condyle)
(Samchukov et al., 1999)
Based on design
• External distractor
1. Unidirectional (activated in one plane of space)
2. Bidirectional (activated in two planes of space)
3. Multiplanner (activated in three planes of space)
• Intraoral distractor
1. Tooth-borne devices
2. Tissue-borne devices
3. Hybrid (tooth and tissue borne) devices
Dheeraj K. Modern practice in orthognathic and reconstructive surgery – Craniofacial distraction osteogenesis. International
Scholars Journals . 2020. 8 (1) 1-9.
Dheeraj K. Modern practice in orthognathic and reconstructive surgery – Craniofacial distraction osteogenesis. International
Scholars Journals . 2020. 8 (1) 1-9.
Surgical-Orthodontic Considerations in Subcranial and Frontofacial Distraction. Hopper R A,
Kapadia H, Susarla S M. Oral Maxillofacial Surg Clin N Am. 2020
Surgical-Orthodontic Considerations in Subcranial and Frontofacial Distraction. Hopper R A,
Kapadia H, Susarla S M. Oral Maxillofacial Surg Clin N Am. 2020
Indicated:
Correction of craniofacial
malformations such as
syndromic craniosynostosis and
congenital deficiencies
It is used for patients requiring
facial advancement (Le Fort III/
monobloc)
Indicated:
Where gradual bone
lengthening is
required, particularly
as a result of
congenital and
acquired
malformations,
deficits and
hypoplasia.
Indications:
Suitable for distracting the lateral
mandibular body in cases where
gradual bone lengthening is required,
especially for correction of congenital
or acquired malformation and
hypoplasia
Indication:
•Correction of congenital or acquired
malformation and hypoplasia
•Reconstruction of the mandibular
ramus.
•Congenital malformation
Indication:
The Wood Distractor is an intraoral,
bidirectional device for the simultaneous
lengthening of the ascending ramus and
horizontal mandibular body
Indications:
Molina distractors are used for treating congenital or
acquired mandibular malformation, deficits and
hypoplasia in cases where extraoral approach is
required.
Unidirectional Molina distractor:
•Distraction of the ascending ramus/ the body of the
mandible.
Bidirectional Molina distractor:
•Simultaneous distraction of the ascending ramus and
the mandibular body of children and adults.
Indications:
The distraction system is indicated for the following
defects:
•Mandibular continuity defects caused by trauma or
resection
•Mandibular defects caused by tumors (after
hyperbaric oxygen therapy and completed radiation)
•Enables reconstruction of big defects
Herford Transport Distractors
Since the distractor has no fixed connection to the
reconstruction plate it is particularly suitable for
bone transports in a curved motion
Indication:
Devices for transport distraction of the condylar head
•Reconstruction of the mandibular condyle.
Maxillomandibular Advancement DO
Transverse palatine distraction
Indications:
•Extreme transversal constriction, unilateral or bilateral
•Maxillally anterior crowding in syndromic and non-
syndromic patients.
 Traditionally, the distractors for
expansion are tooth-borne devices, i.e.
hyrax appliances, which may have
some serious disadvantages such as
tooth tipping, cortical fenestration,
skeletal relapse and loss of anchorage.
 In contrast, with bone-borne
distractors most of the maxillary
expansion is orthopedic and at a more
mechanically desired level with less
dental side effects.
Mommaerts. M Y. Transpalatal distraction as a method of maxillary expansion. British Journal of Oral and
Maxillofacial Surgery (1999) 37, 268–272
Indications:
Distraction osteogenesis of the
mandibular symphysis in cases
of severe crowding of the
mandibular region and
transversal mandibular
deficits.
Indication:
Distraction of the alveolar ridge- mandible and maxilla
•Periodontal diseases with severe localized bone loss.
•Localized atrophy of the alveolar crest.
Tooth Borne
+Razdolsky’s tooth borne
ROD Appliance
+ Guerrero’s et al intraoral
distractor (Hybrid)
+ Hyrax (SARME)
Razdolsky’s toothborne ROD Appliance intraoral
distractor
Hyrax
Guerrero’s et al intraoral distractor
It is attached superiorly to teeth by orthodontic bands and
inferiorly to bone by bendable forked arms.
Vectors of Distraction Osteogenesis:
Biological and Mechanical
• Various factors combine to determine the ultimate selection and placement of the
distraction device.
Key elements in determining appliance position:
1. The biological forces: Arise from the surrounding neuromuscular envelope.
2. The mechanical forces: The mechanical forces under the clinician's control.
Originate from the activation of the distraction devices, their specific orientation to
skeletal anatomy, the application of intermaxillary elastics during the active phase of
distraction, and the intercuspation of the dentition.
• These forces shape the regenerate (the newly formed bone during the active period
of distraction osteogenesis)
Vertical Device Placement
• Vertical device placement results in an increase in
the vertical dimension of the mandibular ramus.
• During activation, a change occurs in appliance
orientation that appears to be caused by the
nonlinear molding effect of the neuromusculature on
the regenerate.
• The mandible autorotates in a counterclockwise
direction and the lower incisors take a more
advanced position.
• A posterior open bite may occur on the side that
has undergone vertical distraction in the ramus.
• Bilateral vertical lengthening of the ramus
results in counterclockwise uprighting of the
mandibular symphysis.
• When combined with the sagittal advancement
of the mandibular body, the increased
prominence of the lower third of the face is
evident.
• The unilateral vertical ramal
lengthening is usually associated with
transverse correction of the chin
position and the cant correction of the
mandibular occlusal plane.
Horizontal Device Placement
• The most efficient approach for
achieving sagittal projection of the
mandibular body and symphysis is by
placement of the distraction device in
a horizontal position in relation to the
mandibular body.
• There is a tendency in the horizontal
distraction of the mandibular body to
rotate in a clockwise direction, resulting
in an open bite.
• The suprahyoid musculature, in balance
with the muscles of mastication and the
distraction device itself, has a role in this
occurrence.
Various methods have been proposed and used to control bite opening during
mandibular distraction.
Oblique Device Placement
• Oblique device placement results in an
increase in both the vertical and horizontal
dimensions of the ramus and body.
• The effect of oblique device placement is a
combination of the vertical and horizontal
changes previously described.
• Overjet and both ramal and body size
deficiency may be addressed by oblique
device placement.
The biomechanical effects of distraction device
orientation during mandibular lengthening.
• In this chapter, the biomechanical effects of the distraction device
orientation relative to the anatomic axis of the mandible, desired
direction of distraction, and the maxillary occlusal plane are presented
using computer models, in vitro studies and animal experiment's.
Samchukov, Mikhail & Cope, J.B. & Cherkashin, Alexander. Craniofacial distraction osteogenesis. Chapter 13-
The biomechanical effects of distraction device orientation during mandibular lengthening. 2001
• Transverse plane
TMJ considerations
Once the distractor is activated, reciprocal forces are placed
on the glenoid fossa by the condyle.
Flattening of the condyle, thinning and even perforation of
the cartilaginous disc, subcondylar bone formation, and loss
of the superior and inferior joint space have been reported.
Some clinicians think that it is fundamental to unload the
joints before distraction.
It is recommended that during the presurgical orthodontic
phase, the joints should be unloaded by Class II elastics, 6
oz per side.
The unloading forces are continued during the distraction
and consolidation phases and later discontinued by the
orthodontist.
Sagittal plane
Osteotomy site
Distraction Osteogenesis in the
Craniofacial Region
•The application of this technique has become a treatment, alternative to
conventional orthognathic surgery, after McCarthy et al. introduced it to the
craniofacial region.
•Children have nearly twice as fast healing speed compared to adults, during
distraction. The reason is thought to be related to higher mesenchymal cell numbers
which are capable of rapid cellular differentiation and osteoblast formation.
•Therefore, distraction treatment is a good option in the treatment of children with
craniofacial deformities.
•However, decreased speed of bone regeneration is not a contraindication for
distraction treatment in adults, and it is being applied very successfully to
craniofacial abnormalities for all age groups.
•Midface and cranial distraction osteogenesis
•Distraction osteogenesis has gained popularity for the advancement of the midface
using a Le Fort II or III procedure as greater movements are possible and pleasing
repositioning of the lips, cheeks, and eyelids often results.
•Advancement of the maxilla and nasal complex will occur with a Le Fort II
approach and is therefore preferred for those with an acceptable position of the
zygomatic complex and orbits.
•A Le Fort III approach will result in the advancement of the whole zygomaxillary
complex and is commonly reported for the management of Apert’s and Crouzon’s
syndrome and to reduce relative globe proptosis, preventing potential ophthalmic
complications.
Sites for maxillary and mid-face distraction.
Le Fort I osteotomy to enable maxillary advancement (red); sectioning of the midpalatal suture allows transverse
expansion of the maxilla;
Le Fort II cut facilitates advancement of the maxilla and nasal bones (yellow);
Le Fort III cut allows advancement of the entire midface (green); zygomatic distraction to allow movement of the
zygoma (blue);
fronto-orbital bandeau enables 3D repositioning of the forehead (green dashed);
alveolar blocks for vertical distraction to increase alveolar ridge height (red dashed)
• A 5-year-old girl with Crouzon syndrome was referred to the clinic because of midface
deficiency and an anterior crossbite.
• Before visiting the hospital, fronto-orbital advancement with Le Fort III osteotomy and strabismus
surgery was performed at the age of 4 years to improve her intracranial pressure and exorbitism.
• At the time of the first visit to the hospital, the chief complaint was a concave facial profile and an
anterior reverse overjet.
• The patient exhibited severe midfacial deficiency with skeletal Class III malocclusion and total
crossbite.
• During the first phase of orthodontic treatment at 5 years of age, maxillary lateral expansion and
protraction using a reverse headgear were performed to improve midfacial deficiency for 4 years.
Sayuri Yamamotoet al. Long-term follow-up of a patient diagnosed with Crouzon syndrome who underwent Le Fort I and III
distraction osteogenesis using a rigid external distractor system. Angle Orthod.
Case Report 1
Case
Report
1
Case
Report
1
• Before beginning Phase II treatment, an extraoral examination of the patient at the age of 14 years
and 10 months revealed severe midfacial deficiency, moderate exorbitism, and a concave facial
profile with a protruding forehead.
• The occlusion consisted of anterior and posterior crossbites.
• The occlusion was classified as Class III dental relationships on both sides, with an overjet of 3.8
mm and an overbite of 3.9 mm.
• The maxillary dental arch showed lateral constriction and severe crowding, with a labially blocked
right canine, whereas the mandibular dental arch exhibited moderate crowding.
• Panoramic radiography revealed congenitally missing second and third molars bilaterally in the
maxillary arch.
• Cephalometric analysis showed a skeletal Class III relationship (ANB, 8.98) with a retrusive
maxilla (SNA, 74.08). The maxillary incisors were proclined (U1-FH, 129.18) and the mandibular
incisors showed normal inclination (L1-MP, 90.58)
• Neither the maxilla nor the mandible showed further growth from the end of Phase I treatment,
which allowed initiation of Phase II treatment at this time.
Case
Report
1
Case
Report
1
• The following treatment plan was proposed:
(1) maxillary lateral expansion with a quad-helix appliance,
(2) placement of preadjusted edgewise appliances in both dental arches to level and
align the dentition,
(3) simultaneous Le Fort I and III osteotomies with DO,
(4) obtaining ideal occlusion by detailing, and
(5) retention.
A plan was made to move the upper and lower halves of the midface by 12.0 mm
and 10.0 mm, respectively.
Case
Report
1
• Treatment Progress At 5 years of age, reverse headgear was used to protract the maxilla to correct
a skeletal discrepancy and midfacial deficiency for 4 years.
• Phase II orthodontic treatment was initiated at 14 years and 10 months of age by lateral expansion
of the maxilla using a quadhelical appliance.
• The intermolar width was increased 3.0 mm by improving the mesial rotation of the maxillary first
molars.
• The mandibular third molars were removed and the dental tubercles on the palatal side of the
maxillary lateral incisors were reduced.
• Subsequently, 0.022-inch pre-adjusted fixed appliances were placed on the maxillary and
mandibular teeth for leveling and alignment.
• The maxillary incisors showed proclination prior to orthognathic surgery.
• After 1 year of presurgical orthodontic preparation, combined Le Fort I and III DO was performed
at the age of 15 years and 10 months to improve exorbitism by forward movement of the orbital
rim, while limiting forward movement of the maxillary incisor
Case
Report
1
Case
Report
1
• Distraction was performed at two levels to produce different advancements in the orbital rim and maxilla.
• Both segments were distracted 1.0 mm/d.
• After 12 days, the lower half of the midface reached its planned position with a positive overjet.
• Four days later, the upper half of the midface reached the planned position, resulting in the preferred facial
profile with improved exorbitism and midfacial deficiency.
• With periodic assessment of facial and intraoral occlusions, the position of the device was adjusted to change
the vector of bone movement.
• Use of extraoral devices may cause significant discomfort; however, they greatly facilitate the manipulation
of the vector direction.
• The intermaxillary elasticity can also be used to change the direction of bone movement.
• After active distraction, intermaxillary consolidation with an occlusal splint was performed for 1 week.
• A slight enlargement of the upper airway was observed upon superimposition of the presurgical and
postsurgical cephalograms.
• After 2 years of postoperative orthodontic treatment, all appliances were removed and replaced with Begg-
type retainers in both arches.
• No obvious root resorption was detected on the panoramic radiographs.
• The facial profile and occlusion did not undergo significant relapse and maintained a favorable status even 8
years after DO surgery.
Case
Report
1
Treatment Results
• In the present report, combined Le Fort I and III DO resulted in forward movement of the
medial maxillary buttress and point A by 12.0 mm and 9.0 mm, respectively, which
substantially improved the facial profile and occlusion.
• Post-treatment facial photographs revealed a straight facial profile.
• Intraoral photographs showed normal overjet and overbite with favorable occlusion.
• The molar relationship was Class I on both sides.
• Maxillary and mandibular crowding were eliminated to achieve proclination of the
incisors.
• Posttreatment cephalometric analysis revealed a skeletal Class I relationship with an ANB
angle of 0.78. The interincisal angle (110.88) was smaller than the ideal value at the end
of the treatment.
Case
Report
1
Simultaneous Le Fort I and III DO postoperative records (age,
15 years, 10 months): (A) Profile photograph, lateral and
posteroanterior cephalograms;
Case
Report
1
Superimposed cephalometric tracings: presurgery (black),
postsurgery (blue).
Case
Report
1
Case
Report
1
Case
Report
1
Superimposed cephalometric tracings: pretreatment (black),
posttreatment (red), postretention (green).
Case
Report
1
Case Report 2
• The treatment of a patient with Crouzon syndrome who presented with a severe Class III anterior
open bite malocclusion and midface deformity is demonstrated.
• Following the orthodontic alignment of her dental arches, the patient’s midface was advanced by
means of an extraoral distractor.
• The midface was advanced by 12 mm; however, the occlusion was not corrected.
• The occlusion was finally corrected 6 months after the removal of the distraction device by means
of a Le Fort I maxillary osteotomy, and the facial contour was improved by means of an
advancement genioplasty.
(a) Cephalometric tracing of a patient with a severe Class III open bite malocclusion and midface
deficiency.
(b) The prediction tracing for the first treatment stage consisting of the distraction of the midface.
(c) The prediction tracing of the second surgical stage consisting of superior repositioning of the maxilla
to close the open bite and advancement of the chin by means of a sliding genioplasty.
Case
Report
2
Case
Report
2
Presurgical profile (d), postsurgical profile (e), pretreatment malocclusion (f), and posttreatment occlusion
(g).
Maxillary distraction osteogenesis:
1. Maxillary advancement
Severe hypoplasia of the maxilla often occurs in syndromic patients and/or patients with cleft lip and
palate.
The maxillary skeletal hypoplasia in patients with cleft lip and palate is usually a manifestation of
impaired growth as a result of multiple previous surgeries and related scar tissue formation.
These patients often require large advancements of the maxilla with bone grafting and extensive
rigid fixation.
Anterior distraction of the maxilla should be considered as the preferred method of treatment in
patients with obstructive sleep apnea.
2. Transverse expansion:
A more familiar distraction osteogenesis procedure for orthodontists is Surgical Assisted Rapid
Palatal Expansion (SARPE), which is routinely used alone or as an adjunct to conventional
orthognathic surgery.
3. Vertical distraction:
As with mandibular applications, alveolar height can be developed through distraction of a block of
alveolar bone.
Note:
• Intraoral devices can be used for distraction of the maxilla on the modified Le Fort I and modified
Le Fort III levels; it is recommended that extraoral distractors be used to advance the midface on
the classic Le Fort III level.
Example of maxillary DO hypoplastic maxilla.
(a) Application of internal distractor device following osteotomy.
(b) Distracted maxilla in AP direction.
• A 17-year-old female patient with cleft lip and palate on the left side was referred to us for
correction of Class III malocclusion and dentofacial deformity before the start of Phase II
orthodontic treatment.
• She had undergone cheiloplasty and palatoplasty at the ages of 4 months and 14 months,
respectively.
• During Phase I orthodontic treatment, maxillary lateral expansion using the quad helix appliance
was initiated at the age of 7 years.
• At the age of 12 years, a 0.022-inch preadjusted edgewise appliance was placed in the upper dental
arch; this was followed by alveolar bone grafting at 13 years of age.
Yoko Takigawaa. Maxillary advancement using distraction
Case Report 3
• Once leveling of the upper dental arch was completed, all appliances were removed at 14 years of
age, and growth of the mandible was monitored until 17 years of age.
• At the start of Phase II treatment, clinical examination showed a concave-type soft tissue facial
profile with a retrusive maxillary-type facial deformity due to the hypoplastic maxilla.
• Soft tissue analysis showed that the upper lip was 4.8 mm behind and the lower lip was 4.3 mm
forward relative to the E-line at the resting position.
• Intraoral examination revealed a Class III malocclusion with an incisor overjet of 25.2 mm and an
overbite of 1.3 mm.
• The upper left lateral incisor, which was a microdont tooth, was in palatoversion.
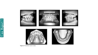
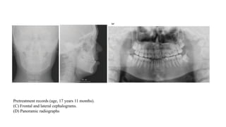
Pretreatment records
(age, 17 years 11 months).
(A) Facial photographs.
(B) Intraoral photographs.
Pretreatment records (age, 17 years 11 months).
(C) Frontal and lateral cephalograms.
(D) Panoramic radiographs
• The upper right lateral incisor and the upper left second premolar tooth were found to be
congenitally missing in the panoramic radiograph (Figure 1D). The upper dental midline was
deviated 2.3 mm toward the left from the facial midline because of the cant of the maxillary
occlusal plane (Figures 1A through D and 7A). The lower skeletal and dental midlines coincided
with the facial midline.
• Furthermore, lateral cephalometric analysis showed a skeletal Class III jaw relationship (ANB 5
21.4 degrees) with horizontal maxillary hypoplasia in comparison with the normative Japanese
mean.
• Maxillary anterior-posterior length was short, and the maxilla was located in a significantly
retrognathic position (SNA 5 72.0 degrees, A-Ptm/PP 5 43.0 mm.
• Mandibular body length and mandibular plane angle were normal, but the mandible was relatively
retropositioned (SNB 5 73.4 degrees).
• The upper incisors were lingually inclined (U1 to FH 5 101.8 degrees); the lower incisors,
however, showed a normal inclination.
• Examination of nasopharyngeal function by a speech therapist revealed risks of language
deterioration, moderate hypernasality, and incomplete velopharyngeal closure after maxillary
advancement.
• Treatment Plan And Progress
• The objective was to correct the Class III malocclusion and the retrusive maxillary-type facial
deformity caused by maxillary hypoplasia.
• The two-jaw surgical method (ie, maxillary advancement using DO and mandibular setback
osteotomy) was considered.
• An intraoral distractor (Zurich Pediatric Maxillary Distractor; KLS Martin, Tuttlingen, Germany)
was selected for maxillary distraction because the patient refused to wear a large external device
and to remain hospitalized for a prolonged period.
• The treatment plan proposed was as follows:
(1) extraction of the upper left lateral incisor (a microdont tooth),
(2) presurgical orthodontic treatment to align both dental arches using preadjusted edgewise
appliances,
(3) surgical advancement of the maxilla using DO,
(4) mandibular setback by a sagittal split osteotomy,
(5) postsurgical orthodontic treatment to achieve tight intercuspation of teeth, using occlusal
adjustment, and
(6) retention to stabilize the occlusion.
• Presurgical orthodontic treatment began after the upper left lateral incisor was extracted.
• When the patient was 17 years 11 months old, 0.022-inch preadjusted edgewise attachments were
placed in both dental arches, omitting the upper left second deciduous molar.
• After 16 months of orthodontic treatment, surgical intervention was performed.
• The distraction started 7 days postoperatively with an elongation of 1.0 mm per day.
• After the start of the maxillary advancement, the patient became reluctant to undergo the planned
mandibular setback surgery.
• Consequently, the alternative treatment plan using only maxillary DO was proposed, including the
explanation about possible limitation of vector control and distraction distance with the intraoral
distractor. The maxillary advancement required was estimated to be 7.0 mm forward from the edge
of the upper central incisors and 2.0 mm lateral toward the right side to make the upper and lower
dental midlines distractor, use of a maxillary-protraction headgear appliance was planned.
• After an explanation was given, informed consent was obtained from the patient.
• After completion of this advancement as planned, the maxilla showed evidence of a relapse
because at some point after the maxillary distraction, the left-side intraoral device had broken
unexpectedly at the weak joint of the device. Therefore, the planned amount of advancement was
not attained.
• The occlusion resulted in an undesirable consequence with an edge-to-edge interincisal
relationship.
• However, because immediate resetting of the left distractor by surgical means was rejected by the
patient, maxillary advancement was continued with the use of a maxillary-protraction headgear
appliance with elastics attached to the face mask.
• Class III and vertical intermaxillary elastics were prescribed 24 hours a day for 3 weeks to
stabilize the maxillary midline and to increase the overbite and overjet.
• Removal of both distractors and fixation of the maxilla were done surgically, 1 month after the
DO.
• Bone securing was achieved by titanium miniplates to fix the maxillary position.
• The postoperative course was uneventful, and jaw function and facial esthetics improved.
Cephalograms and panoramic radiographs during distraction, and intraoral photographs after
distraction. (A) During advancement. (B) After advancement © ) 2 months after advancement.
Orthodontic elastic traction after advancement
• After completion of the fixation, face mask therapy with the titanium miniplate anchorage
continued to stabilize the position of the maxilla without dentoalveolar compensation.
• The patient was instructed to wear the face mask for protraction regularly during the night for 2
months after completion of the maxillary advancement.
• Postsurgical orthodontic treatment was performed to achieve an acceptable overbite and overjet
with tight intercuspation of teeth.
• All appliances were removed at the age of 20 years 2 months, and Begg-type retainers were placed
in both dental arches.
• Titanium plates were removed 1 year after the fixation.
• The retainers were to be used full time for the first 12 months and at night only for the subsequent
12 months.
TREATMENT RESULTS
• The maxillary retrusive facial profile improved, and an acceptable interincisal relationship was
obtained.
• A good interincisal relationship was established without an increase in the mandibular plane angle.
• The distraction moved the maxilla to its normal position, resulting in an improved sagittal jaw
relationship and facial profile.
• The negative overjet was corrected by forward movement of the upper incisors with elastics and
the face mask after the distraction.
• Postoperative speech evaluation showed that the DO could prevent a decline in nasopharyngeal
function after maxillary advancement.
•The maxilla was advanced 5.4 mm
horizontally and was displaced 1.5 mm
downward at Point A relative to the
sella-nasion (SN) plane and its
perpendicular line.
•The upper incisors were tipped labially
2.0 mm anteriorly, and the molars were
moved to the mesial 1.4 mm.
•The lower incisors were slightly rotated
lingually and extruded.
• At the end of the orthodontic treatment, an overjet of 2.9 mm and an overbite of 2.3 mm were
achieved.
• Class II molar relationships with tight intercuspation of the teeth were established.
• Deviation of the upper dental midline was corrected to coincide with the facial midline, as the cant
of the upper occlusal plane was slightly improved.
• A remarkable change in facial form from a maxillary retrusive-type facial profile to a straight-type
profile was noted.
• The positions of the upper and lower lips relative to the esthetic line had improved
• Twenty-four months later, a follow-up examination showed a well proportioned soft tissue profile.
• The occlusion remained stable with normal overjet and overbite, and the retained deciduous molar
showed no mobility.
• SARME
• A 53-year-old male patient sought orthodontic treatment because he often bit his mucosa when
chewing certain foods.
• At the time, he made it clear that he would not want to undergo surgeries or extractions, and that
treatment involving two-stage surgery had already been offered to him by another dentist.
• Facial analysis revealed an increase in LAFH, a dolichofacial pattern, poor lip seal, concave
profile, maxillary deficiency, mandibular prognathism, no gingival display on smiling and wide
buccal corridors.
• Dental examination revealed a very narrow maxillary arch and an expanded mandibular arch with
vertically positioned posterior teeth, bilateral posterior crossbite, non-coinciding midlines,
maxillary (2 mm) and mandibular (4 mm) crowding, asymmetric maxillary and mandibular
canines and molars, Class III positioning of canines on both sides, reduced overjet and overbite,
and retroclined mandibular incisors.
Case Report 4
• Radiographs showed endodontic treatment of teeth #26 and #46, discrete generalized horizontal
alveolar bone loss, generalized gingival recession, missing teeth #16, #28 and #38, and tooth
migrations in the right maxillary side.
• Functional assessment revealed a slight deviation between CR and CO, and inadequate functional
guidances.
• Respiratory pattern was mixed (mouth and nose breathing) and associated with nocturnal snoring.
• Skeletal analysis revealed skeletal Class III pattern (ANB= 0°) and maxillary retrusion
(SNA=80°, SNB=80°, Wits =-2.5 mm), severe transverse maxillary deficiency, increased
mandibular plane and a vertical pattern (SN.GoGn=36°, FMA=28°, Y-axis = 61°).
Treatment planning and orthodontic mechanics
• Treatment plan consisted of orthodontic camouflage combined with mini-implant anchorage in the
mandibular arch for sagittal and vertical correction, and previous SARME to correct the transverse
discrepancy.
• Treatment objectives were: correct PCB; preserve facial characteristics, to avoid an LAFH
increase and favour passive lip seal; improve smile arc, extrude and increase exposure of maxillary
incisors, and increase overbite; move maxillary teeth mesially; move mandibular teeth distally and
tip them lingually, to gain adequate overjet and sagittal correction.
• Treatment started with the placement of a Hyrax expander and SARME surgery.
• Activation protocol was ¼ of a turn once a day for the first week, and then ¼ of a turn twice a day.
• However, the gingiva between teeth #11 and #21 showed signs of changes, an indication of
gingival recession.
• At that moment, the expander was partially deactivated and the patient was asked to discontinue
activations.
• Five days later, the patient was told to resume activations at ¼ of a turn once a day for two days,
and to discontinue activation at the next day, for 10 days.
• This protocol was kept for 27 more days, with a favorable response of gingiva, without any
recession.
• After PCB overcorrection, screw opening of 8.25mm and achievement of a 7-mm interincisal
diastema.
• One month after SARME, still during activation, a fixed appliance was bonded to maxillary
incisors to stabilize tooth #21.
• It was anchored to the left side of the expander using a tie-together to ensure that only tooth #11
moved mesially.
Treatment objectives were achieved.
• The smile arc improved and the buccal corridors were reduced, as the distances between maxillary
canines increased from 29mm to 34mm, and between maxillary molars, from 45mm to 51mm.
Despite the fact that orthodontic camouflage was limited, final occlusion was highly satisfactory,
with Class I molar and canine relationships, adequate overjet and overbite, and proper functional
guidance free of interferences, which were a result of occlusal adjustment (Fig 5). The patient’s
facial profile remained concave, but the upper lip gained better support because of the type of
orthodontic camouflage conducted: maxillary incisor protrusion and mandibular incisor retrusion.
Sagittal and vertical
• The patient reported a significant improvement in breathing immediately after SARME.
• Total superimposition of cephalometric tracings showed few changes.
• Partial superimposition of the maxilla showed distal movement and slight extrusion of molars, as
well as extrusion and increased tipping of incisors.
• Partial superimposition of the mandible revealed very little movement of molars, as well as
extrusion and retroclination of incisors.
Lívia Loriato. Surgically-assisted rapid maxillary expansion
(SARME): indications, planning and treatment of severe
maxillary deficiency in an adult patient. Dental Press J Orthod.
2020 May-June;25(3):73-84
Total (A) and partial (B) superimpositions of initial (black) and
final (red) cephalometric tracings.
Mandibular Distraction Osteogenesis
1. Vertical lengthening
• Transporting the condyle up into the glenoid fossa
• Increasing the ramus length.
• More recently, alveolar distraction has been proposed as an alternative to block
grafts for vertical augmentation of the alveolar ridge.
2. Horizontal lengthening
• Distraction along the body of the mandible
3. Lengthening in both a vertical and horizontal plane
• An oblique osteotomy at the angle of the mandible with the placement of a
multidirectional distractor
4. Transverse expansion
• A vertical osteotomy in the symphyseal region and activation of a tooth-borne
distractor
Example of mandibular DO for hypoplastic mandible.
(a) Application of internal distractor device in
parallelism for bilateral mandibular lengthening. (b)
Distracted mandible in AP direction.
Mandibular lengthening by distraction osteogenesis
• A 22-year-old man visited the orthodontic department at Yonsei University Dental Hospital in
Seoul, Korea, with a chief complaint of facial asymmetry.
• The clinical and radiographic examination results indicated that he had Pruzansky-Kaban type I
left hemifacial microsomia with well-formed but small temporomandibular joint and ramus.
• His medical history included a right orbital wall fracture 3 years previously and removal of a skin
tag on his left ear during childhood.
• He had no family history of craniofacial deformities and no temporomandibular joint-related
symptoms.
Adult patient with hemifacial microsomia treated with combined orthodontics and distraction osteogenesis Sung-Hwan Choi. (Am J
Orthod Dentofacial Orthop 2014;145:72-84)
Case Report 5
•The pretreatment facial photographs
showed that his face was asymmetrical with
a mildly underdeveloped left side, a chin
point that was deviated 8.0 mm toward the
affected side, and a retrusive chin in profile
view, in addition to lip canting and
incompetence.
•There was no significant difference
between the levels of his right and left eyes.
•The intraoral examination showed frontal
canting of the occlusal plane and a
mandibular midline deviation of 2.0 mm to
the left.
•He had severe Class II canine and molar
relationships, with an 11.0-mm overjet, a
3.0-mm overbite, and a transverse
deficiency with a narrow V-shaped
maxillary arch.
The lateral cephalometric analysis
•SNA angle of 82.2
•SNB angle of 75.0
•ANB angle of 7.2.
•Mandibular plane angle was 47.6
•Ramus height was 45.4 mm
•The maxillary incisors were labially inclined at an angle
of 120.6 to the SN plane.
•The upper and lower lips were protrusive with respect to
the E-line.
•The posteroanterior cephalometric analysis showed that
the maxillary molars were extruded by 3.1 mm more on
the right side compared with the left, and the chin was
deviated by 12.0 mm to the left.
•The panoramic radiograph showed differences in the
sizes of the ramus, condyle, and coronoid between the
left and right sides as well as impaction of all 4 third
molars with complete root formation
• Three-dimensional computed tomography
images showed deficiencies of the left
condylar and coronoid processes, along
with ramus hypoplasia and chin deviation.
• The angle of the mandible was also
underdeveloped.
• TREATMENT OBJECTIVES
(1) correct the patient's facial asymmetry by lengthening the affected ramus, and coordinate the
facial, maxillary, and mandibular dental midlines;
(2) correct the skeletal Class II anteroposterior jaw relationship;
(3) coordinate the widths of the dental arches;
(4) correct the canted occlusal plane and achieve dental Class I canine and molar relationships; and
(5) relieve the proclined incisor position and achieve an ideal overjet and overbite relationship.
TREATMENT ALTERNATIVES
(1) maxillary and mandibular orthognathic surgery with anteroposterior impaction, with or without
segmental surgeries;
(2) maxillary orthognathic surgery with anteroposterior impaction, with or without segmental
surgeries, and distraction osteogenesis to advance the mandibular body and lengthen the shorter
ramus;
(3) an iliac bone graft to level the canting of the maxillary left side, and distraction osteogenesis to
advance the mandibular body and lengthen the shorter ramus; or
(4) combined orthodontic treatment, with or without extraction of the 4 first premolars, and
distraction osteogenesis. The patient did not want to undergo orthognathic surgery and wanted
minimal surgeries and bone grafting. He did not agree to extraction of the 4 first premolars
because he was not concerned about lip protrusion.
Therefore, the fourth option without extractions was chosen
• TREATMENT PROGRESS
• The treatment plan was to correct the mandibular asymmetry and the occlusal plane canting by
distraction osteogenesis of the ramus on the affected side,
• followed by orthodontic treatment to align the teeth and establish a functional occlusion.
• Through an intraoral incision, a horizontal ramus osteotomy was performed on the left at the level of the
occlusal plane.
• The distractor was placed with a vector parallel to the posterior border of the ramus.
• After 7 days of latency, the distraction device was activated by 1 mm per day for 24 days, until the
mandibular midline deviation was overcorrected by up to one third of the initial discrepancy.
• The distraction device was maintained for 90 days.
• In the consolidation phase, a resin occlusal bite-block was placed on each arch because of a surgically
created posterior unilateral open bite on the elongated side.
• At the end of this consolidation phase, the patient had a posterior open bite and a crossbite on both sides.
• After removal of the distractor, orthodontic treatment with miniscrew-assisted rapid palatal expansion
was initiated.
• A custom hyrax-type rapid palatal expander with an 0.8-mm stainless steel wire hook for placement of
miniscrew implants was delivered.
• Under local anesthesia, 4 miniscrews were placed perpendicular to the palate in the parasagittal area,
where sufficient bone width could be obtained.
• The appliance was activated at 0.25 mm per day.
• After achieving correction of the transverse maxillary deficiency, the appliance was maintained for 3
months without activation.
• After removal of the appliance, brackets were placed on the maxillary and mandibular arches for tooth
alignment and correction of the posterior open bite.
• During fixed orthodontic treatment, vertical elastics were used to close the posterior open bite.
• After 18 months of post distraction orthodontic treatment, the fixed orthodontic appliances were
removed.
• The total treatment period lasted 27 months.
• Fixed lingual retainers were bonded to the lingual surfaces of the anterior teeth in both arches.
• Maxillary and mandibular circumferential retainers were delivered with instructions to use them 24
hours per day for the next 6 months.
RESULTS
• The posttreatment photographs and radiographs showed that facial symmetry and an ideal occlusion
with proper overjet and overbite were achieved.
• The mandibular dental midline coincided with the facial and maxillary midlines, and the occlusion
was finished to Angle Class I canine and molar relationships.
• The panoramic radiograph showed that new bone with the same characteristics as adjacent bone was
created on the affected side by gradual separation of the 2 bony segments that were surgically severed
• Superimposition of 3-dimensional computed tomographs showed that after distraction osteogenesis
and the consolidation phase, the shorter ramus was lengthened to 54.5 mm, the mandible was
advanced compared with pretreatment, and the ANB angle decreased to 2.3.
• However, the overall superimposition showed that some relapse occurred during orthodontic
treatment: an ANB angle of 4.3 and ramus height of 53.0 mm were observed at the end of treatment.
• At 1 year after debond, the results were stable, and the patient was satisfied with his facial esthetics.
Mandibular symphysis by distraction osteogenesis
• One of the things that cannot be done with orthognathic surgery is widening the
mandibular symphysis, because there is not enough soft tissue to cover a bone
graft in that area.
• Distraction makes this possible and provides additional space in the incisor area.
Does that make it an acceptable method for nonextraction treatment
of lower incisor crowding? Usually, no.
To date, there is no evidence that expansion with distraction is more
stable than conventional expansion,.
As with distraction for mandibular advancement, symphysis
distraction has been abandoned except for patients with what
amounts to a midline cleft, with both missing incisors and the bone
to support them
John W. King. Unilateral Brodie bite treated with distraction osteogenesis. (Am J Orthod Dentofacial Orthop 2004;125:500-9)
• A girl, aged 11 years 10 months, was referred by her general dentist for evaluation of her posterior
buccal crossbite.
• Although the patient had the sickle cell anemia trait, she was in excellent physical and dental
health.
• Pretreatment facial photographs showed a convex profile, mildly protrusive lips, and facial
symmetry with competent lips.
• The maxillary dental midline was 1.0 mm to the left of the facial midline; the mandibular dental
midline was 1.6 mm to the left of the facial midline.
• The patient had a Class I malocclusion, 3 mm of overjet, a 75% overbite, and a mild curve of
Spee.
• Both the maxillary and the mandibular arches were symmetrical, with 7.0 mm of maxillary arch
length excess and 5.4 mm of mandibular arch length excess.
• A left posterior buccal crossbite was present, without any lateral shift detected between centric
relation and centric occlusion.
• To confirm this unilateral position, a full-coverage maxillary splint was constructed.
• One week after delivery of this appliance, study models were mounted in centric relation.
• Although the patient’s profile was convex and her lips were full, the lateral cephalometric
radiograph indicated that the maxillary and mandibular incisors were in upright positions in their
respective apical bases and that there was a moderate skeletal Class II discrepancy with an ANB
angle of 7°. With a Frankfort-mandibular plane angle (FMA) of 36.5°, the patient demonstrated a
hyperdivergent skeletal pattern.
• Despite evidence of a significant airway deficiency and enlarged adenoids, there was no clinical
evidence of mouth breathing.
• The anteroposterior cephalometric radiograph and tracing showed a normal maxilla, as measured
by interjugale distance (J-J).
• There was a severe mandibular transverse deficiency as measured at biantigonion (AGo-AGo).
• This maxillomandibular relationship seemed to be the primary underlying cause of the Brodie bite
Treatment objectives
• To correct the left-side posterior buccal crossbite and establish occlusal interdigitation.
• Because the patient’s smile was attractive and the maxillary width was normal, we would attempt
to maintain this width.
• The overbite and overjet would be reduced to an ideal relationship.
• Interdental spacing—the patient’s chief complaint—would be eliminated.
• Although the maxillary and mandibular incisors were in acceptable positions, some uprighting
would be needed to eliminate the arch length excess.
Treatment alternatives
1) The first treatment option was to use intermaxillary crossbite elastics to tip the mandibular left
posterior teeth labially and the maxillary left posterior teeth lingually. This would effectively
correct the posterior buccal crossbite. (Because the diagnosis indicated the crossbite was primarily
a skeletal problem, long-term stability was a concern).
• In addition, lingual tipping of the maxillary left posterior teeth might alter the pleasing
pretreatment smile.
2) The second option was to place a Hyrax expander in an “open” position, to produce palatal
constriction and narrow the maxilla bilaterally.
• It'll correct the left buccal crossbite but might also create a right posterior crossbite.
• Also, there was some concern about changing the preexisting broad smile.
3. The third option involved closing the mandibular interdental spacing and maintaining the
mandibular intercanine and intermolar widths.
• A maxillary segmental osteotomy could be used to correct the crossbite.
4. The fourth option involved maintaining the maxillary width and closing the interdental spaces.
• The left posterior buccal crossbite would be corrected through mandibular widening by
midsymphyseal distraction osteogenesis.
• Because the buccal crossbite was a true unilateral problem, the widening would have to be
primarily on the left side while the right occlusion was maintained.
The patient and her mother selected the fourth option, which targeted the primary orthodontic
problem (the mandibular transverse deficiency).
Treatment progress
• Preadjusted appliances (.018 .022 in) were placed in the maxillary arch for leveling and alignment.
• Three months later, a biteplate was constructed, and the mandibular appliances were placed.
• Because the midsymphyseal osteotomy would be made between the mandibular central incisors, the
orthodontic brackets were angulated. The resulting root divergence reduced the chance of root and
periodontal ligament damage.
• A “figure 8” .014-in ligature wire was placed on each side of the osteotomy site, connecting the
central incisor, the lateral incisor, and the canine to prevent “walking teeth” during the distraction
period.
• A .016 .022-in stainless-steel arch wire was placed before the osteotomy.
• The archwire was cut at the osteotomy site at the initiation of distraction.
• This provided segmental anchorage during the distraction phase.
• Before the midsymphyseal osteotomy, a full-coverage maxillary splint was constructed on an
articulator that was mounted in centric relation.
• The splint was modified by creating a deep intercuspation on the mandibular right side and a flat
plane occlusion on the left.
• This stabilized the occlusion on the right side and allowed for transverse widening on the left.
• Before surgery, crimp-on surgical hooks were placed in both arches between the brackets on the
patient’s right side.
• A hybrid distractor (bone-borne and tooth-borne) was constructed before the midsymphyseal
osteotomy.
• The midsymphyseal osteotomy was performed as described by Conley and Legan.
• During the 7-day latency period, the patient was prescribed antibiotics and used a .012%
chlorhexidine rinse.
• After the latency period, she returned to our office, and we initiated distraction by making 0.5-mm
turns twice per day, 1 in the morning and 1 at night.
• During the distraction period, the patient was instructed to wear the maxillary splint and right-side
intermaxillary elastics full time, except for eating and brushing.
• Distraction was stopped when the canines were in an ideal transverse relationship and the buccal
crossbite was corrected.
• The total distraction, measured by the distraction screw expansion, was 6.0 mm.
• A denture tooth was placed in the distraction site on an anterior segmental archwire from the right
lateral incisor to the left lateral incisor.
• This tooth was placed for cosmetic purposes and to prevent premature movement of the adjacent
teeth.
• Crimp-on surgical hooks were added on the patient’s left side, and she was instructed to
discontinue using the splint.
• She wore bilateral intermaxillary elastics full time for an additional week and then just while at
home through the consolidation period.
• A soft diet was prescribed for 4 weeks.
• Periapical radiographs were taken every 4 weeks during the consolidation period to monitor the
osteogenesis.
• During the 10-week consolidation period, no tooth movement was attempted.
Mandibular symphysis distraction to provide greater width to the anterior
mandible.
(A)Placement of the distraction device. After the device has been
contoured to fit and screwed in place, cuts are made through the facial
and lingual cortical plates of the mandible, usually extending all the
way through the symphysis. Distraction begins after a 5- to 7-day
latency period, with the screw activated 2 turns (0.5 mm) twice a day.
(B) Intraoperative view when the distractor was removed 16 weeks after
the initial surgical procedure.
Note the normal appearance of the regenerate bone across the distraction
site.
• At the end of the consolidation period, the distractor was removed.
• The removal was performed in the oral surgeon’s office with the patient under local anesthesia.
• Bony bridging was observed before removal.
• When the mandibular central incisor brackets had been repositioned and the roots realigned, space
closure proceeded with stainless steel wires and sliding mechanics.
• Power chains were used to close the distraction space.
• Once the distraction was completed and the arches were coordinated, no attempt was made to either
expand or contract the arches.
• The maxillary and mandibular dental midlines were aligned with the patient’s facial midline.
• Throughout the entire treatment, the patient was extremely cooperative.
• The orthodontic appliances were removed after 26 months of active treatment.
• Removable Hawley retainers were constructed for the patient and delivered 1 week after appliance
removal.
Treatment results
• The Brodie bite was successfully corrected, and the excellent right posterior occlusion was
maintained.
• At the end of treatment, the shift from centric relation to centric occlusion was less than 0.5 mm;
this was verified through bilateral manipulation.
• During the mandibular distraction osteogenesis, significant widening occurred, from 6.04 mm at
the intercanine position to 2.59 mm at the intermolar position
• Mandibular symphyseal distraction with the hybrid distractor produced a greater transverse
increase in the anterior part of the arch than in the posterior.
• During the postdistraction phase of orthodontic treatment, the mandibular interdental arch
dimensions were reduced to near predistraction amounts. This was apparently due to space closure
mechanics.
• As the mandibular posterior teeth moved mesially during the reciprocal space closure, the intra-
arch dimensions were reduced.
• In the final analysis, the intercanine distance decreased slightly (0.34 mm), whereas the intermolar
width increased (1.07 mm).
• Thus, most of the Brodie bite correction was a result of a decrease in maxillary intermolar width of
5.83 mm.
• As in the mandibular arch, this reduction occurred during space-closure mechanics in the
postdistraction orthodontic phase.
Alveolar DO for alveolar lengthnening
Alveolar DO for Crest widening
Alveolar DO for atrophic mandibular anterior ridge.
(a) Application of internal device for vertical
distraction.
(b) New height of distracted alveolar ridge.
An ankylosed tooth can be moved only by moving the bone to which it is attached. Distraction osteogenesis allows that to be
done. (A) Age 21, maxillary central incisor that ankylosed after an accident at age 8 (the lateral incisor was lost at that time).
(B) Creation of the bony segment to be moved. (C) Closure of the wound. A period of initial healing, usually 5 to 7 days, is
allowed before the archwire is activated to begin movement of the segment. (D) The tooth nearly in final position, 3 weeks
later. (E) Treatment completed, with prosthetic replacement of the missing lateral incisor
• Could distraction osteogenesis (discussed in detail later) be used to move teeth in a patient who
had been taking bisphosphonates for a long time? The situation then would be similar to ankylosis
of all the teeth, and presumably could be approached by moving alveolar bone segments.
• But bone healing in patients taking bisphosphonates is problematic, and distraction osteogenesis
would be a risky procedure, probably unacceptably.
• In short, distraction osteogenesis to reposition an isolated ankylosed tooth or teeth is acceptable;
when all or many of the teeth are affected by bisphosphonates or a syndrome, it rarely would be
useful.
Distraction Osteogenesis and Orthognathic
Surgery
• A major advantage of distraction osteogenesis is that it provides solutions for the
correction of severe and previously untreatable deficiencies of the craniofacial
region.
• Distraction is advantageous because the surgeon can achieve large skeletal
movements; in addition, the distraction of soft tissue makes it an impressive and
dynamic treatment modality that has become an essential part of the orthognathic
surgeon’s armamentarium.
• With the distraction, the mandible or maxilla can be moved forward, but there is
no way to position the jaw or teeth in exactly a preplanned place, as can be done
routinely with orthognathic procedures.
• This means that patients with craniofacial syndromes are the prime candidates for
distraction of the jaws.
• They are likely to need intervention at early ages and large distances of
movement, and precision in establishing the posttreatment jaw relationship is not
so critical for them.
• Moderately severe hemifacial microsomia, in which a rudimentary ramus is
present on the affected side, is a major indication for distraction because it is the
only way to generate new bone to replace the missing part.
• For less severe maxillary or mandibular deficiency, however, distraction offers no
advantage over a sagittal split or Le Fort I osteotomy.The orthognathic procedures
allow the teeth and jaws to be precisely positioned, and an excellent clinical result
can be anticipated.
• Distraction is not needed in the milder forms of this syndrome in which
mandibular asymmetry exists but the mandible is reasonably complete.
• It cannot be used as the initial stage of treatment in patients so severely affected
that the entire distal portion of the mandible is absent. For them, a bone graft is
necessary, and distraction later can be one way to lengthen the graft.
Distraction osteogenesis to lengthen the deficient
mandibular ramus in a girl with hemifacial microsomia.
(A) Facial appearance before treatment.
(B) Distractor fitted on stereolithographic models made
from a computed tomography scan.
(C) Distractor placed at operation.
(D) Panoramic view during distraction showing the opening
created by stretching of the healing bone callus.
(E) Panoramic view 3 months later, at the end of the
postdistraction stabilization period during which the newly
formed bone is remodeled and becomes normally calcified.
(F) Facial appearance at the completion of treatment
Advantages
1. Greater bony movements are possible, reported to be up to 20 mm in the mandible
2. Avoidance of bone grafts
3. Gradual soft tissue stretch − reduced nerve damage, preservation of the vascular
supply
4. Soft tissue adaptation, reducing the risk of relapse caused by soft tissue recoil
5. Suitable for both growing and nongrowing patients.
6. Shorter surgical time with lower surgical risks.
7. Wide range of applications due to flexibility in distractor site and activation vector.
8. New bone formed in distraction osteogenesis is more native and permits orthodontic
tooth movement.
Disadvantages
1. Precise movements are not possible.
2. Risk of premature bone formation, resulting in failure of bone
lengthening.
3. Risk of distracting too fast, resulting in nonunion.
4. Higher rate of postoperative infection at the surgical site.
5. Risk of distraction device failure.
6. Difficulty of vector control, resulting in inaccurate segment positioning.
7. Removal of the distraction device requiring a second surgical procedure.
8. Patient discomfort during distraction.
9. Patient co-operation must be adequate to enable the activation of the device.
10. Treatment planning is complex.
11. Surgery is technique sensitive.
12. Distractor must function adequately.
13. Adequate bone quality is required for attachment of the distraction device
and for generating a healing callus.
14. Distraction devices with extra-oral components can be unsightly, pose a risk
of infection, and leave small scars
15. The treatment is expensive due to equipment costs and surgical and clinical
time.
Potential complications arising from
distraction osteogenesis
Treatment timing
• Timing
• The timing of treatment for patients with moderately severe hemifacial problems
remains controversial, but social acceptability becomes a factor in the decision.
• To improve the child’s facial appearance, intervention to advance the mandible on
the affected side often is considered at ages 6 to 8, and at that time both of its
advantages make distraction a frequent choice.
• Early distraction, however, is unlikely to be followed by normal growth of the
distracted area, and later orthognathic surgery or a second round of distraction
probably will be required.
• In our view, mandibular advancement before the adolescent growth spurt, with
surgery or distraction, is not indicated for patients who do not have a progressive
deformity or psychosocial problems severe enough to warrant a second operation
later.
• On the other hand, if facial growth declines to adult levels at the end of the
adolescent growth spurt, there would seem to be no reason to delay mandibular
advancement.
• The timing of intervention is determined through longitudinal monitoring of
development and informed decision-making between the clinical team and family
about when it is best to intervene.
• The benefits of early intervention for normalizing development must be weighed
against the impact of the procedure on the patient and family and the risk of
relapse and repeat procedures.
• Distraction osteogenesis is also used in non-growing patients where conventional
orthognathic methods are judged to be unsuitable or have poor prognosis.
• In these patients, timing has little impact on the outcome from treatment and
scheduling is therefore based on timing of patient presentation, patient wishes and
service factors.
• Recent research has shown two interesting findings for patients who underwent
mandibular advancement before age 18 compared with those who underwent the
surgical procedure at a later age
1. Some of the adolescent patients had downward and backward rotation of the
mandible, which led to a decrease in chin prominence, and a few had shortening
of mandibular length that had the same effect. It appears that delaying
advancement probably does increase the chance of long-term stability.
2. Both the younger and older patients had high satisfaction levels at 5 years after
surgery, but those who had early surgery were even more satisfied with their
treatment than those who had surgical treatment at an older age. This was true
even though they often recognized that their chin was no longer as prominent as
it was shortly after surgery
Research and advances
Automated continuous DO
• Currently available distraction devices are patient and surgeon dependent. The
patient must adjust the manual control two or more times daily, often over long
periods.
Hariri F, Yoong Chin S, Rengarajoo J, Chao Foo Q, Nur Nabihah Zainul Abidin S, Fadhli Ahmad Badruddin A. Distraction Osteogenesis in
Oral and Craniomaxillofacial Reconstructive Surgery [Internet]. Osteogenesis and Bone Regeneration. IntechOpen; 2019.
• Because non-compliance and device failure are the leading causes of treatment
failure, the patient requires numerous clinical visits to ensure proper distractor
activation.
• Considering these drawbacks, many research groups are working to design novel
distraction devices that expand automatically and continuously. An automated
mechanism would eliminate the need for patient compliance and decrease the
frequency of post-operative visits for patient supervision.
• At the moment, the types of these devices are classified into three categories
based on the method of power: hydraulic, motor-driven and spring-mediated
Hariri F, Yoong Chin S, Rengarajoo J, Chao Foo Q, Nur Nabihah Zainul Abidin S, Fadhli Ahmad Badruddin A. Distraction Osteogenesis in
Oral and Craniomaxillofacial Reconstructive Surgery [Internet]. Osteogenesis and Bone Regeneration. IntechOpen; 2019.
Titanium nickel shape memory alloy (TiNi-SMA) distraction device
• One such example is the titanium nickel shape memory alloy (TiNi-SMA)
distraction device that is self-activated at implantation.
• It bypasses the latency period and thus allows a quicker distraction. Xie et al
sought to determine the most effective osteotomy for distraction with the TiNi-
SMA device on the adult mongrel canine.
Administration of growth factors to enhance bone healing
• The major disadvantage of DO is the long distraction and consolidation period,
which contributes to the risk of complications such as local infection which may
jeopardize the effectiveness of DO application clinically.
• The major objectives in current DO research focus on the acceleration of new
bone formation and shortening the treatment period.
• Great efforts have been made by researchers and clinicians to promote bone
formation via local and systematic administration of angiogenic and osteogenic
growth factors or cytokines, including bone morphogenic protein (BMP),
transforming growth factor beta (TGF-β), platelet-derived growth factor (PDGF),
vascular endothelial growth factor (VEGF), and fibroblast growth factor (FGF).
• Among all these growth factors and cytokines, BMPs play the most important role
in bone healing and regeneration by inducing the osteogenic differentiation of
mesenchymal stem cells and have a synergistic effect with the angiogenic growth
factor, VEGF
• On a rabbit model of mandibular lengthening, recombinant human (rh) BMP-2
has been demonstrated to enhance bone ossification at both routine and rapid
distraction rates.
• The addition of rhBMP-2 was able to compensate for the rapid distraction rate in
DO.
• Nevertheless, the effectiveness of delivery method, cost and biological safety still
require further investigation.
Development in distraction devices
• In a case of complex mandibular deformities, a complex multivector extraoral
device with multiple joints is used in order to achieve movements in all desired
plane. This device may be difficult for the patient and surgeon to manage and
errors often occur during active distraction. The use of a semi-buried curvilinear
distraction device (Synthes CMF, West Chester, PA), with 3-dimensional
treatment planning, is a potentially powerful tool to correct complex mandibular
deformities
Conclusion
In conclusion, DO is a reliable technique to regenerate new bone and can be
considered as an effective alternative in oral and craniomaxillofacial
reconstructive surgery. The technique application requires comprehensive
understanding of its principles, appropriate pre-surgical planning, expert technical
handling, reasonably good surgical skills, and a holistic post-surgical care in
preventing potential complications.
Bibliography
1.Samchukov, mikhail & cope, J.B. & Cherkashin, alexander. The biomechanical effects of
distraction device orientation during mandibular lengthening. 2001
2.Abbott L, saunders J. The operative lengthening of the tibia and fibula: a preliminary report
on the further development of the principles and technic. Ann surg. 1939;110(6):961-991.
3.Ilizarov g. The principles of the ilizarov method. Bull hosp jt dis orthop inst. 1988;48(1):1-
11.
4.Ilizarov g. The possibilities offered by our method for lengthening various segments in
upper and lower limbs. Basic life sci. 1988;48:323-324.
5.Karp n, thorne c, mccarthy j, sissons h. Bone lengthening in the craniofacial skeleton. Ann
plast surg. 1990;24(3):231-237.
6.Karp n, mccarthy j, schreiber j, sissons h, thorne c. Membranous bone lengthening: a serial
histological study. Ann plast surg. 1992;29(1):2-7.
• Kazunori Hayatsu, Patrick G De Deyne. Muscle adaptation during distraction
osteogenesis in skeletally immature and mature rabbits. Journal of Orthopaedic
Research. 19(5);2001:897-905.
• Swennen et al. suggested longer periods would be necessary when DO is applied
to the midface of the patient (Swennen et al. 2001 ).
• Apaydin, B. Yazdirduyev, T. Can, N. Keklikoglu: Soft tissue changes during distra
ction osteogenesis. Int. J. Oral Maxillofac. Surg. 2011; 40: 408–412.
• Thorsten Grünheid. The adaptive response of jaw muscles to varying functional
demands. European Journal of Orthodontics.31;2009:596–612.
• Surgical-Orthodontic Considerations in Subcranial and Frontofacial Distraction.
Hopper R A, Kapadia H, Susarla S M. Oral Maxillofacial Surg Clin N Am. 2020.
• Lauwers et al. Maxillofacial intraoral distraction osteogenesis followed by elastic
traction in cleft maxillary deformity. Int. J. Oral Maxillofac. Surg. 2005; 34: 85–88.
• Dheeraj K. Modern practice in orthognathic and reconstructive surgery –
Craniofacial distraction osteogenesis. International Scholars Journals . 2020. 8 (1)
1-9.
• E. Perez Fern andez, M. Ayats Soler, M. G omez Chiari et al. 3D surgical planning
of neonatal mandibular distraction osteogenesis in children with Pierre-Robin
sequence. Annals of 3D Printed Medicine. 2022:6;3-7.
• Tan A et al., Computer-assisted surgery in therapeutic strategy distraction
osteogenesis of hemifacial microsomia: Accuracy and predictability, Journal of
Cranio-Maxillo-Facial Surgery. 2018:1;014.
THANK YOU!!

Distraction Osteogenesis- orthodontics.pptx

  • 1.
  • 2.
    Contents 1. Introduction 2. Definition 3.Evolution of DO 4. Classification of DO 5. Principles of DO • Fracture Healing • Molecular biology of distraction osteogenesis • Stages- Distraction Osteogenesis 6. Effects of DO on soft tissue 7. Indications 8. Diagnosis and treatment planning 9. Classification of DO Appliances
  • 3.
    10. Vectors ofDO 11. DO procedure in the Craniofacial Region • Cranial and Midface • Maxilla • Mandible 12. DO and orthognathic surgery 13. Advantages 14. Disadvantages 15. Treatment timings 16. Recent advances 17. Conclusion 18. Bibliography
  • 4.
    Introduction Despite the factthat conventional orthognathic surgery and craniofacial reconstruction have experienced widespread success, but in recent years the practice of surgery has been altered by an increased understanding and manipulation of biological systems; for example, induction of the native tissue. Distraction osteogenesis of the craniofacial skeleton serves as an example of this most recent paradigm shift.
  • 5.
    Definition • Distraction osteogenesisis a process of new bone formation between the surfaces of osteotomized bone segments that are separated gradually by incremental traction. (Cope and Samchukov 2005 ) Synonyms: Callus distraction/ Callotasis/ Osteo-distraction. • Distraction histiogenesis: This stretching activity induces new bone formation with adaptive soft tissue changes such as the formation of mucosa, muscle, nerve, vascular structures, connective tissue, and lymphatic vessels. (Murray and Fitch 1996 ; Swennen et al. 2002 ; Wiltfang et al. 2002 )
  • 6.
    Evolution of distraction osteogenesis Dr.Gavril Ilizarov in his practice
  • 7.
    Hippocrates (19th century) Alessandro Codivilla (1905) Abbott (1927) Distraction Osteogenesis onLong Bones Repositioning and stabilization of bone fractures. Femoral extension using axial forces of distraction. Incorporated pins instead of casts; tibia extension. Gavril Ilizarov (1969) Developed a technique for repairing complex fractures or nonunion of the long bones. Ilizarov’s procedure was based on the biology of bone and the ability of the surrounding soft-tissues to regenerate under tension.
  • 8.
    Distraction Osteogenesis oncraniofacial skeleton Fauchard (1728) Expansion of arch in craniofacial skeleton Wescott (1859) Mechanical forces on maxilla for correction of cross bite. He used two double clasps separated by a telescopic bar. Dr. Angell (1860) Palatal expansion: Performed a similar procedure with a threaded jackscrew connected to the premolars. Goddard (1893) Standardized the palatal expansion protocol. He activated the device twice a day for 3 weeks followed by a stabilization period to allow the deposition of “osseous material” in the created gap.
  • 9.
    Rosenthal (1927) Kazanjian (1941) “Over the face” appliancefor gradual advancement of mandible. Allan (1948) Crawford (1948) Allan (1948) incorporated a screw device to control the rate of distraction. Crawford (1948) applied gradual incremental traction to the fracture callus of the mandible. Rosenthal performed the first mandibular osteodistraction procedure
  • 10.
    The first report demonstratingthe application of Ilizarov’s principles to the mandible of a canine. Snyder et al. (1973) Michieli and Miotti (a few years later) Demonstrated the feasibility of intraoral mandibular lengthening. Panikarovski et al Karp et al (1982) Comprehensive analysis of distraction regenerates. These studies provided a scientific basis for clinical adaptation of the distraction osteogenesis technique to the craniofacial complex.
  • 11.
    McCarthy et al (1989) Firstto clinically apply the technique of extraoral osteodistraction on four children with congenital craniofacial anomalies. Molina and Ortiz- Monasterio Semirigid extraoral fixation system: Simplified the methods established by McCarthy et al. Their technique used a corticotomy, which left the medial cortical plate intact. Only one fixation pin was inserted on either side of the corticotomy and secured to the distraction device. First to use bidirectional osteodistraction in the mandible. Molina and Ortiz- Monasterio Molina and Ortiz- Monasterio
  • 12.
    Guerrero et al(1990) Different tooth-borne, bone-borne, and hybrid intraoral devices for mandibular lengthening and widening. Cohen et al (1995) 1st one to perform distraction of midface. McCarthy et al (1992) McCarthy et al. published the first series that involved successful distraction of human mandibles. Chin and Toth (1996) Vertical alveolar distraction technique. Constantino et al (1993) Augment and close canines’ lower jaw defects using DO.
  • 13.
    Polley and Figueroa (1997)Developed a series of tooth-borne and hybrid devices (ROD) Razdolsky et al (1997) Ortiz Monasterio & Molina (1999) Introduced a technique of distraction in both maxilla and mandible by using mandibular devices alone. Use of rigid extraoral device in the treatment of severe maxillary deficiency and cleft problems. Liou and Huang (1998) Performed rapid canine retraction through DO of the periodontal ligament which acts a ‘suture’ between alveolar bone and tooth with similar osteogenic potential.
  • 14.
    Liou et al(2000) Horizontalalveolar bone distraction: to close the residual orofacial fistula in cleft palate cases for the first time. Isaacson et al. (2001) Successfully attempted to move an ankylosed central incisor using orthodontics, surgery and DO. Işeri et al. (2001) and Kişnişci et al. (2002) ‘Dentoalveolar Distraction’ (DAD) for rapid canine distilization. Osteotomies were performed around the canines. This surgical technique does not rely on the stretching and widening of the periodontal ligament, thus prevents overloading and stress accumulation in the periodontal tissues. Cohen et al (2000) Published his initial work using a maxillary distraction device made of a resorbable polymer.
  • 15.
    Sayin et al.(2004) Concluded that rapid canine distraction procedure reduced the net orthodontic treatment time. Kodof et al. (2005) Demonstrated the effectiveness of treating ankylosed tooth and the surrounding alveolar ridge defect by a simple DO apparatus. Dolanmaz, Karaman, Pampu & Topkara; Kim, Park, Son, Kim, Kim & Mah. (2010) More recent case reports have emphasized the evolutionary role of DO in attaining orthodontic correction of ankylosed anterior teeth. Presently craniofacial DO is implemented in the lower face (mandible), mid face (maxilla, orbits), upper face (fronto-orbital, cranial vault), and in congenital and acquired anomalies. Craniofacial anomalies account for most applications of distraction.
  • 16.
  • 17.
    Distraction epiphysiolysis: Itinvolves the relatively rapid rate of bone segment separation. • Ranging from 1 to 1.5 mm/day. • The increased tension between the growth plates produces fracture of the physis. Chondrodiatasis: It utilizes a very slow rate of bone segment separation. • It is generally less than 0.5 mm/day. • Hence, the growth plate is stretched without fracture (Sledge et al 1978; Aldegheri et al 1989). Mechanism of ossification- endochondral ossification.
  • 18.
    The physeal distractiontechnique has certain disadvantages like difficulty in fixation of a very short epiphyseal segment and the physis frequently gets damaged resulting in premature cessation of growth. (Peltonen et al 1984; De Pablos et al 1990).
  • 19.
    Callotasis: • It isthe gradual stretching of the reparative callus forming around bone segments interrupted by osteotomy or fracture. (Ilizarov 1989; Al-Aqs et al 2008) Mechanism of ossification- Intramembraneous ossification
  • 20.
    Based on thenumber of foci at which osteogenesis occurs: A: Monofocal distraction is used to lengthen abnormally shortened bones and involves separation of 2 bone segments across a single osteotomy. B: Bifocal distraction is used to repair a segmental defect and requires creation of a transport disk, which is then distracted across the defect until it docks with the opposing bony segment. C: Trifocal distraction is similar to bifocal distraction attempts to halve the distraction time by transporting 2 disks from opposite ends of a defect to dock in the middle.
  • 22.
    Sophy Barber LachlanCarter, Christopher Mannion, and Claire Bates. Distraction Osteogenesis Part 1: History and Uses in the Craniofacial Region. Ortho Update 2018; 11: 14–20
  • 23.
    Principles of DistractionOsteogenesis • To understand the mechanism of distraction osteogenesis, one should first know the details of fracture healing. • Since distraction osteogenesis is a kind of fracture healing process directed in a beneficial manner.
  • 25.
    Molecular biology ofdistraction osteogenesis
  • 26.
    PROINFLAMMATORY CYTOKINES ENDORSES 1Interleukins IL-1 Primary callus formation Angiogenesis. 2 Interleukins IL-6 Angiogenesis VEGF production Differentiation of osteoblasts and osteoclasts. 3 Tumor Necrosis Factor -α (TNF- α) Recruitment of MSCs Stimulate osteoclastic function 4 Fibroblast growth factor (FGF) Growth and differentiation of a variety of cells such as fibroblasts, myocytes, osteoblasts, and chondrocytes. 5 Insulin - like growth factor (IGF) IGF-I endorses bone matrix formation. 6 Platelet - derived growth factor (PDGF) Chemotactic stimulator for inflammatory cells Proliferative and migrative stimulus for MSCs and osteoblasts. 7 Vascular endothelial growth factor (VEGF) Mediators of neoangiogenesis and endothelial cell-specific mitogen.
  • 27.
    GROWTH AND DIFFERENTIATION FACTORS ENDORSES 1Bone Morphogenic Proteins (BMPs) Control growth, differentiation and apoptosis of osteoblasts, chondroblasts, neural cells, and epithelial cells. 2 Transforming Growth Factor -β (TGF- β): Cellular maturation and differentiation 3 Growth differentiation factors (GDFs) GDF 1, 5, 8 & 10- Promote various stages of intramembranous and endochondral bone ossification during healing
  • 28.
    Pieffenberger M etal. Fracture Healing Research—Shift towards In Vitro Modeling? Biomedicines 2021:9(7);748. Schematic description of the four phases of fracture healing
  • 29.
    DO differs fromnormal bone healing in two basic aspects: (1) It has the advantage of having a controlled microtrauma. (2) The ossification mechanism is intramembranous. (Bouletreau et al. 2002)
  • 31.
    Although small amountsof cartilage are occasionally observed bone formation during DO occurs primarily through an intramembranous process. This characteristic distinguishes it from the large induction of endochondral bone formation as is observed in most settings of fracture healing. It should be noted that, increased blood flow, a greater overall extent of vascularization is observed during DO as compared with fracture healing, numerous investigators have speculated that it is this characteristic that drives bone formation through the intramembranous pathway.
  • 32.
    • Distraction osteogenesisprocedure consists of three sequential phases after the osteotomy and distraction appliance fixation: (1) Latency phase. (2) Distraction phase. (3) Consolidation phase.
  • 33.
    Osteotomy • First stageof distraction osteogenesis. • Relevant bone area is osteotomized similar to a fracture line. • This intervention triggers the healing process of the bone. Although DO of long bones usually involves a corticotomy, where the external compact bone is sectioned while maintaining the medullary cortex and periosteum, in the craniofacial region a osteotomy is usually accepted due to the narrowness of the bones.
  • 35.
    Despite a numberof studies that showed that osteotomy does not have an adverse effect on the final outcome of distraction osteogenesis, the present data suggests that corticotomy is beneficial in obtaining optimal bone regeneration after mandibular lengthening. Distraction osteogenesis usually takes a long time, which may result in many problems. The use of corticotomy may be a way to induce earlier bone regeneration and better remodeling for distraction osteogenesis.
  • 36.
    Latency Phase It isthe period waited for primary bone callus formation, between the osteotomy and the activation of the device. • Ilizarov suggested 5–7 days of latency period. • Latency period should be set not too long to permit calcification, and also not too short to inhibit the callus formation.
  • 37.
    There are somecontroversial studies on animals, which report that latency period may not be required before distraction procedure. However, there is no such evidence or study that represents the effect of latency period on humans. Latency period is still accepted as a crucial stage for the distraction osteogenesis procedure.
  • 38.
    Distraction Phase • Thebone segments are mechanically distracted. • The soft callus between the two bone segments is elongated. • Creating pressure, fluid flow, tensile strain, and tissue dilatation within and around the distraction area.
  • 39.
    In the originalIlizarov concept, optimal distraction rate was set as 1 mm every day as a golden standard for the procedure. Fast distraction rates- local ischemia and therefore delayed ossification in the distraction gap. Slow distraction rates- prevent the formation of fibrotic tissue. On the other hand, slower rates may cause early ossification and consolidation in young children and neonates. In young children, the rate of distraction should be 0.5 to 2.0 mm per day. In addition, the increased frequency of distraction procedure accelerates regenerated bone formation. A distraction rate of 1 mm/day in two to four equal increments is accepted as the ideal rate for clinically successful bone regeneration.
  • 40.
    Consolidation Phase • Consolidationis the last period, where the distractors are kept on the region to let the newly formed bone mature. • Bone trabeculae continue to grow at the centre of the regenerate toward each other until they fuse. • The distraction gap ossifies gradually, and a bone bridge fills the gap
  • 41.
    • In adults,the consolidation period should be at least 3 months. • In children, a shorter period may be indicated. • The length of this phase varies from 4 to 12 weeks, 8 weeks on average for bone maturation. • Typically, the consolidation stage involves twice as long as the time required for activation. Swennen et al. suggested longer periods would be necessary when DO is applied to the midface of the patient (Swennen et al. 2001 ).
  • 42.
    Removal of thedistraction device • Confirmation of ossification of the bone is done by basic radiography or other imaging modalities such as computed tomography. • After which the distraction device can be removed.
  • 44.
    The most extensivelystudied is the Lacto Sorb (Biomet Corporation, Indianapolis, IN), which is a random linear copolymer consisting of 82% poly L-lactide and 18% PGA (pure polyglycolic acid). This compound resorbs during 12 months and loses strength during 3 to 4 months. It has intermediate resorption characteristics, which allow gradual resorption through hydrolysis and phagocytosis.
  • 45.
    The phases ofdistraction osteogenesis (a)Hematoma formation following osteotomy- later replaced by granulation tissue. (b)Bone gap is progressively increased with osteogenesis taking place at the margins. (c)Osteogenesis extend to the Centre of the gap. (d)Maturation of the ossification in the distraction site. (e)Bone remodeling and continuity of alveolar canal after completion of distraction osteogenesis.
  • 46.
    Effect of DistractionOsteogenesis on Soft Tissues • Distraction osteogenesis affects not only the involved bones but also the soft tissues that surround them. • Growth changes and development occur in the muscles, vascular structures, nerves, connective tissues, and lymphatic vessels. (Ilizarov 1989a )
  • 47.
    Muscles • In musclecells, not only cellular hypertrophy but also hyperplasia occurs. • Initial atrophy of the stretched muscles during and shortly after distraction and subsequent regeneration in the consolidation period occurs. • During distraction, the muscles lengthen throughout the entire muscle, not only at the level of osteotomy. (Nakamura and Matsushita 1997 ) A. Apaydin, B. Yazdirduyev, T. Can, N. Keklikoglu: Soft tissue changes during distraction osteogenesis. Int. J. Oral Maxillofac. Surg. 2011; 40: 408–412.
  • 48.
    • Muscle inthe same vector of distraction adapts to the elongation with compensatory regeneration and hypertrophy, whereas muscles lying in a different vector show prolonged evidence of atrophy. (Fisher et al 1997) • It also appears that, beyond a certain rate of distraction, the regeneration is insufficient to replace the contractile material that has been damaged by overstretching (exceeding rates of 2 mm per day, or distances larger than 20 mm). {Van der Meulen et al (2005), Fisher et al (1997), Tüz et al (2003)} Thorsten Grünheid. The adaptive response of jaw muscles to varying functional demands. European Journal of Orthodontics.31;2009:596–612.
  • 49.
    Nerves • Nerves elongateby distraction of the bone too. • However, if the application of the distraction osteogenesis procedure is onto the mandibular area because the inferior alveolar nerve is located inside a bony canal, the risk of nerve damage during the osteotomy or fixation of the pins is greater. • Therefore, the osteotomies and the pin fixation should be carefully carried out.
  • 50.
    During distraction phase Normalneuron structure Regeneration of nerve fibers during consolidation.
  • 52.
    It was concludedthat the distraction rate was strongly associated with the inferior alveolar nerve function, and the distraction rates of 1.0 and 1.5 mm/d had regenerative effects on the inferior alveolar nerve.
  • 54.
    Adult subjected toDO showed a 50% loss in tetanic and twitch tension whereas those in young animals did not. This correlated with partial denervation of adult but not young muscle, as judged by morphological criteria. These experiments indicate that adaptation to DO depends not only on mechanical variables but also on skeletal maturity.
  • 55.
    Oral Structures • Gingivaresponds favorably to gradual stretching during distraction. • Initially, mild inflammation is observed during distraction osteogenesis. • However, after the first few weeks of consolidation, regenerative changes with neohistiogenesis are observed, by which the structural and functional integrity is restored. (Kunimori et al. 2007; Cope and Samchukov 2005)
  • 56.
    • The reactionof the periodontal ligament changes due to the design of the distraction device. • If the device is bone-borne, then the load on the periodontal ligament decreases. • If the device is a tooth-borne device, then the periodontal ligament around the involved teeth reacts as in orthodontic loads.
  • 57.
    Indication • Congenital deformities 1.Orofacial clefting syndromes e.g.: Cleft palate, Pierre- Robin Syndrome. 2. Severe retrognathic syndrome e.g.: Treachers Collins and Goldenhar syndrome. 3. Craniosynostosis e.g.: Crouzon Syndrome, Apert Syndrome, Pfeiffer Syndrome. 4. Non-syndromic congenital micrognathia. 5. Severely constricted mandible/ maxilla. 6. Craniofacial microsomia unilateral/bilateral. 7. Midfacial hypoplasia. 8. Obstructive sleep apnea (OSA) 9. Facial asymmetry.
  • 58.
    • Acquired conditions 1.Post-traumatic growth disturbances of the mandible, e.g. temporomandibular joint ankylosis. 2. Non-union fractures. 3. Atrophy of edentulous segments. 4. Oncologic mandibular osseous defects.
  • 59.
    • Others 1. Rapidcanine distraction for rapid distalization of canine to reduce orthodontic treatment time 2. Distraction for ankylosed teeth to create optimum height of alveolar bone.
  • 60.
  • 61.
    Key stages indistraction osteogenesis
  • 62.
    The team approach •Unlike cleft lip and palate management, the care pathway for craniofacial deformity care has not been formalized and the team composition differs across the UK • Diagnosis and planning tend to be undertaken by the Maxillofacial Surgeon and the Orthodontist together. • Nursing staff familiar with craniofacial anomalies and the specific techniques associated with DO are invaluable in providing advice and support for patients. carers to activate the distractor and reviewing progress in the activation period may be lessened by the judicious use of a trained nurse.
  • 63.
    • It isgenerally advised that any patients who have not already been given psychological support through attendance at craniofacial clinics should be offered ongoing support. • An evaluation of speech changes after mandibular distraction in patients with hemifacial microsomia found a temporary deterioration in articulation and nasal resonance.18 For this reason, a speech assessment and expert advice is recommended for all patients being considered for DO. • Finally, input from a dietitian may be desirable to help patients maintain sufficient nutritional intake before, during and after treatment. Difficulties in eating can arise from a limited masticatory ability caused by the original craniofacial abnormality or by treatment. Satisfactory nourishment improves post-operative recovery and consideration should be given to dietary supplements, if indicated.
  • 64.
    Planning and preparation •Identifying which structure is abnormal and the likely aetiology is essential to successful management. • A combination of photographs, conventional radiographs, such as orthopantomographs and lateral cephalograms, and 3D images are used for diagnosis and treatment planning.
  • 65.
    “3D virtual visualizationparadigm,” • The “3D virtual visualization paradigm” allows one to set up a virtual treatment goal and to compare, in an unprecedented objective way, the pretreatment status, treatment goal, and outcome. • Different 3D imaging acquisition techniques have been developed and allow unprecedented 3D virtual diagnosis of maxillofacial deformity. Tan A et al., Computer-assisted surgery in therapeutic strategy distraction osteogenesis of hemifacial microsomia: Accuracy and predictability, Journal of Cranio-Maxillo-Facial Surgery. 2018:1;014.
  • 66.
    • Advances in3D printing from CBCT images has enabled the production of highly accurate 3D models of the craniofacial hard tissues, known as stereolithographic models. • Stereolithographic models can be used to aid visualization for diagnosis and for counselling patients. • Detailed surgical planning and mock-distractor placement can be undertaken on models and used to produce a surgical stent that then accurately transfers the planning to the patient. • The mock-up can also guide preparatory bending of distractors, reducing surgery time. Surgical-Orthodontic Considerations in Subcranial and Frontofacial Distraction. Hopper R A, Kapadia H, Susarla S M. Oral Maxillofacial Surg Clin N Am. 2020
  • 72.
    Pre-surgical orthodontics • Muchlike preparation for conventional orthognathic surgery, the orthodontic tooth movement may include levelling and aligning, decompensation, correction of curve of spee and co-ordination of the arches, with the aim of positioning the teeth in the ideal position in the basal bone. • Supplementary appliances, such as a Quadhelix appliance, may be required to gain maxillary arch expansion. • If osteotomy cuts are planned in tooth-bearing regions, pre-distraction divergence of the roots may be necessary. Lauwers et al. Maxillofacial intraoral distraction osteogenesis followed by elastic traction in cleft maxillary deformity. Int. J. Oral Maxillofac. Surg. 2005; 34: 85–88
  • 73.
    Lauwers et al.Maxillofacial intraoral distraction osteogenesis followed by elastic traction in cleft maxillary deformity. Int. J. Oral Maxillofac. Surg. 2005; 34: 85–88
  • 74.
    • The fixedappliances are left in place during the distraction phase with passive stainless steel archwires. • This provides a method for attaching inter-arch elastic traction during the distraction and consolidation phases. • If the distraction will result in intra-arch expansion, the fixed appliances must be sectioned or carefully monitored and regularly adjusted to prevent interferences to arch lengthening.
  • 75.
    • However, inyounger patients with craniofacial discrepancies who are undergoing DO as an interceptive measure to attempt to normalize growth and development, orthodontic treatment may not be necessary at the time of distraction. • In these patients DO is planned to maximize the skeletal benefit, and correction of the occlusal discrepancies is postponed until the permanent dentition is established. • Alternatively, a hybrid functional appliance is sometimes used.
  • 76.
    Pre-distraction surgery • Thepreliminary surgical procedure has two purposes; to section the bone and place the distractor. • The bone is sectioned in the optimum position and direction to allow separation of the fragments in the desired vector. • During surgery, placement and securing of the distractor before the final osteotomy ensures optimum positioning.
  • 77.
    Orthodontics during thedistraction and consolidation phase • Orthodontic traction can be used to guide the tooth-bearing regions and mould the regenerate into the ideal post distraction position. • Inter-arch elastic traction can be used with an anteroposterior, vertical or transverse vector to correct Class II or Class III discrepancies, reduce open bites or correct cross bites and cants.
  • 79.
    • Occlusal bite-blockcan be used during the consolidation and post- consolidation phase to supra-erupt posterior dentition to correct the cant and open bite. • Light vertical elastics from the maxillary arch to the lower arch would help in controlling the clockwise rotation of the mandible and open bite.
  • 80.
    Post-distraction phase • Therigid distractor is left in situ during the consolidation phase to allow the callus to calcify and transform into haversian bone. • Bony healing is monitored clinically and with regular radiographic examination. • Once adequate bone healing is evident, the distractor is removed. • The patient is reviewed long term to monitor further growth and continued assessment of function and aesthetics. • Orthodontic retention is provided to maintain post-distraction tooth positions.
  • 81.
    Post-distraction orthodontics • Post-distractionorthodontics should be initiated after the consolidation phase which is aimed at finishing and settling the occlusion. Maheshwari S, Verma SK, Tariq M, Prabhat KC, Kumar S. Biomechanics and orthodontic treatment protocol in maxillofacial distraction osteogenesis. Natl J Maxillofac Surg 2011;2:120-8.
  • 82.
    Orthodontic retention • Essix-typeretainers may not be sufficiently rigid to maintain the increased transverse dimension. • If an Essix retainer is required for patient esthetics and compliance, it should only be used during the day and a Hawley retainer used for evening and night time wear. • Fixed lower canine-to-canine wire will adequately maintain the canine width and anterior alignment, but cannot be expected to aid in maintaining any posterior expansion. • Consequently, a Hawley retainer with integral lingual support wire is a good form of mandibular retention. Maheshwari S, Verma SK, Tariq M, Prabhat KC, Kumar S. Biomechanics and orthodontic treatment protocol in maxillofacial distraction osteogenesis. Natl J Maxillofac Surg 2011;2:120-8.
  • 83.
  • 84.
    Types of distractors •Distractors are manufactured from a lightweight titanium alloy or surgical steel and must be rigid enough to prevent distortion and flexing in the distraction site. • A number of designs are available to suit different functions.
  • 85.
    Classification Based on thesite 1. Mandibular distractors 2. Maxillary distractors 3. Midface and cranium distractors 4. Alveolar ridge distractor 5. Bone Transport (Reconstruction of neo-mandible/ neo-condyle) (Samchukov et al., 1999)
  • 86.
    Based on design •External distractor 1. Unidirectional (activated in one plane of space) 2. Bidirectional (activated in two planes of space) 3. Multiplanner (activated in three planes of space) • Intraoral distractor 1. Tooth-borne devices 2. Tissue-borne devices 3. Hybrid (tooth and tissue borne) devices Dheeraj K. Modern practice in orthognathic and reconstructive surgery – Craniofacial distraction osteogenesis. International Scholars Journals . 2020. 8 (1) 1-9.
  • 87.
    Dheeraj K. Modernpractice in orthognathic and reconstructive surgery – Craniofacial distraction osteogenesis. International Scholars Journals . 2020. 8 (1) 1-9.
  • 90.
    Surgical-Orthodontic Considerations inSubcranial and Frontofacial Distraction. Hopper R A, Kapadia H, Susarla S M. Oral Maxillofacial Surg Clin N Am. 2020
  • 91.
    Surgical-Orthodontic Considerations inSubcranial and Frontofacial Distraction. Hopper R A, Kapadia H, Susarla S M. Oral Maxillofacial Surg Clin N Am. 2020
  • 94.
    Indicated: Correction of craniofacial malformationssuch as syndromic craniosynostosis and congenital deficiencies It is used for patients requiring facial advancement (Le Fort III/ monobloc)
  • 96.
    Indicated: Where gradual bone lengtheningis required, particularly as a result of congenital and acquired malformations, deficits and hypoplasia.
  • 98.
    Indications: Suitable for distractingthe lateral mandibular body in cases where gradual bone lengthening is required, especially for correction of congenital or acquired malformation and hypoplasia
  • 99.
    Indication: •Correction of congenitalor acquired malformation and hypoplasia •Reconstruction of the mandibular ramus. •Congenital malformation
  • 100.
    Indication: The Wood Distractoris an intraoral, bidirectional device for the simultaneous lengthening of the ascending ramus and horizontal mandibular body
  • 101.
    Indications: Molina distractors areused for treating congenital or acquired mandibular malformation, deficits and hypoplasia in cases where extraoral approach is required. Unidirectional Molina distractor: •Distraction of the ascending ramus/ the body of the mandible. Bidirectional Molina distractor: •Simultaneous distraction of the ascending ramus and the mandibular body of children and adults.
  • 102.
    Indications: The distraction systemis indicated for the following defects: •Mandibular continuity defects caused by trauma or resection •Mandibular defects caused by tumors (after hyperbaric oxygen therapy and completed radiation) •Enables reconstruction of big defects Herford Transport Distractors Since the distractor has no fixed connection to the reconstruction plate it is particularly suitable for bone transports in a curved motion
  • 103.
    Indication: Devices for transportdistraction of the condylar head •Reconstruction of the mandibular condyle.
  • 105.
  • 107.
    Transverse palatine distraction Indications: •Extremetransversal constriction, unilateral or bilateral •Maxillally anterior crowding in syndromic and non- syndromic patients.  Traditionally, the distractors for expansion are tooth-borne devices, i.e. hyrax appliances, which may have some serious disadvantages such as tooth tipping, cortical fenestration, skeletal relapse and loss of anchorage.  In contrast, with bone-borne distractors most of the maxillary expansion is orthopedic and at a more mechanically desired level with less dental side effects.
  • 108.
    Mommaerts. M Y.Transpalatal distraction as a method of maxillary expansion. British Journal of Oral and Maxillofacial Surgery (1999) 37, 268–272
  • 109.
    Indications: Distraction osteogenesis ofthe mandibular symphysis in cases of severe crowding of the mandibular region and transversal mandibular deficits.
  • 111.
    Indication: Distraction of thealveolar ridge- mandible and maxilla •Periodontal diseases with severe localized bone loss. •Localized atrophy of the alveolar crest.
  • 112.
    Tooth Borne +Razdolsky’s toothborne ROD Appliance + Guerrero’s et al intraoral distractor (Hybrid) + Hyrax (SARME)
  • 113.
    Razdolsky’s toothborne RODAppliance intraoral distractor Hyrax Guerrero’s et al intraoral distractor It is attached superiorly to teeth by orthodontic bands and inferiorly to bone by bendable forked arms.
  • 114.
    Vectors of DistractionOsteogenesis: Biological and Mechanical • Various factors combine to determine the ultimate selection and placement of the distraction device. Key elements in determining appliance position: 1. The biological forces: Arise from the surrounding neuromuscular envelope. 2. The mechanical forces: The mechanical forces under the clinician's control. Originate from the activation of the distraction devices, their specific orientation to skeletal anatomy, the application of intermaxillary elastics during the active phase of distraction, and the intercuspation of the dentition. • These forces shape the regenerate (the newly formed bone during the active period of distraction osteogenesis)
  • 118.
    Vertical Device Placement •Vertical device placement results in an increase in the vertical dimension of the mandibular ramus. • During activation, a change occurs in appliance orientation that appears to be caused by the nonlinear molding effect of the neuromusculature on the regenerate.
  • 119.
    • The mandibleautorotates in a counterclockwise direction and the lower incisors take a more advanced position. • A posterior open bite may occur on the side that has undergone vertical distraction in the ramus.
  • 120.
    • Bilateral verticallengthening of the ramus results in counterclockwise uprighting of the mandibular symphysis. • When combined with the sagittal advancement of the mandibular body, the increased prominence of the lower third of the face is evident.
  • 121.
    • The unilateralvertical ramal lengthening is usually associated with transverse correction of the chin position and the cant correction of the mandibular occlusal plane.
  • 122.
    Horizontal Device Placement •The most efficient approach for achieving sagittal projection of the mandibular body and symphysis is by placement of the distraction device in a horizontal position in relation to the mandibular body.
  • 123.
    • There isa tendency in the horizontal distraction of the mandibular body to rotate in a clockwise direction, resulting in an open bite. • The suprahyoid musculature, in balance with the muscles of mastication and the distraction device itself, has a role in this occurrence.
  • 126.
    Various methods havebeen proposed and used to control bite opening during mandibular distraction.
  • 127.
    Oblique Device Placement •Oblique device placement results in an increase in both the vertical and horizontal dimensions of the ramus and body. • The effect of oblique device placement is a combination of the vertical and horizontal changes previously described. • Overjet and both ramal and body size deficiency may be addressed by oblique device placement.
  • 128.
    The biomechanical effectsof distraction device orientation during mandibular lengthening. • In this chapter, the biomechanical effects of the distraction device orientation relative to the anatomic axis of the mandible, desired direction of distraction, and the maxillary occlusal plane are presented using computer models, in vitro studies and animal experiment's. Samchukov, Mikhail & Cope, J.B. & Cherkashin, Alexander. Craniofacial distraction osteogenesis. Chapter 13- The biomechanical effects of distraction device orientation during mandibular lengthening. 2001
  • 129.
  • 130.
    TMJ considerations Once thedistractor is activated, reciprocal forces are placed on the glenoid fossa by the condyle. Flattening of the condyle, thinning and even perforation of the cartilaginous disc, subcondylar bone formation, and loss of the superior and inferior joint space have been reported. Some clinicians think that it is fundamental to unload the joints before distraction. It is recommended that during the presurgical orthodontic phase, the joints should be unloaded by Class II elastics, 6 oz per side. The unloading forces are continued during the distraction and consolidation phases and later discontinued by the orthodontist.
  • 134.
  • 136.
  • 137.
    Distraction Osteogenesis inthe Craniofacial Region •The application of this technique has become a treatment, alternative to conventional orthognathic surgery, after McCarthy et al. introduced it to the craniofacial region. •Children have nearly twice as fast healing speed compared to adults, during distraction. The reason is thought to be related to higher mesenchymal cell numbers which are capable of rapid cellular differentiation and osteoblast formation. •Therefore, distraction treatment is a good option in the treatment of children with craniofacial deformities. •However, decreased speed of bone regeneration is not a contraindication for distraction treatment in adults, and it is being applied very successfully to craniofacial abnormalities for all age groups.
  • 138.
    •Midface and cranialdistraction osteogenesis •Distraction osteogenesis has gained popularity for the advancement of the midface using a Le Fort II or III procedure as greater movements are possible and pleasing repositioning of the lips, cheeks, and eyelids often results. •Advancement of the maxilla and nasal complex will occur with a Le Fort II approach and is therefore preferred for those with an acceptable position of the zygomatic complex and orbits. •A Le Fort III approach will result in the advancement of the whole zygomaxillary complex and is commonly reported for the management of Apert’s and Crouzon’s syndrome and to reduce relative globe proptosis, preventing potential ophthalmic complications.
  • 139.
    Sites for maxillaryand mid-face distraction. Le Fort I osteotomy to enable maxillary advancement (red); sectioning of the midpalatal suture allows transverse expansion of the maxilla; Le Fort II cut facilitates advancement of the maxilla and nasal bones (yellow); Le Fort III cut allows advancement of the entire midface (green); zygomatic distraction to allow movement of the zygoma (blue); fronto-orbital bandeau enables 3D repositioning of the forehead (green dashed); alveolar blocks for vertical distraction to increase alveolar ridge height (red dashed)
  • 140.
    • A 5-year-oldgirl with Crouzon syndrome was referred to the clinic because of midface deficiency and an anterior crossbite. • Before visiting the hospital, fronto-orbital advancement with Le Fort III osteotomy and strabismus surgery was performed at the age of 4 years to improve her intracranial pressure and exorbitism. • At the time of the first visit to the hospital, the chief complaint was a concave facial profile and an anterior reverse overjet. • The patient exhibited severe midfacial deficiency with skeletal Class III malocclusion and total crossbite. • During the first phase of orthodontic treatment at 5 years of age, maxillary lateral expansion and protraction using a reverse headgear were performed to improve midfacial deficiency for 4 years. Sayuri Yamamotoet al. Long-term follow-up of a patient diagnosed with Crouzon syndrome who underwent Le Fort I and III distraction osteogenesis using a rigid external distractor system. Angle Orthod. Case Report 1
  • 141.
  • 142.
  • 143.
    • Before beginningPhase II treatment, an extraoral examination of the patient at the age of 14 years and 10 months revealed severe midfacial deficiency, moderate exorbitism, and a concave facial profile with a protruding forehead. • The occlusion consisted of anterior and posterior crossbites. • The occlusion was classified as Class III dental relationships on both sides, with an overjet of 3.8 mm and an overbite of 3.9 mm. • The maxillary dental arch showed lateral constriction and severe crowding, with a labially blocked right canine, whereas the mandibular dental arch exhibited moderate crowding. • Panoramic radiography revealed congenitally missing second and third molars bilaterally in the maxillary arch. • Cephalometric analysis showed a skeletal Class III relationship (ANB, 8.98) with a retrusive maxilla (SNA, 74.08). The maxillary incisors were proclined (U1-FH, 129.18) and the mandibular incisors showed normal inclination (L1-MP, 90.58) • Neither the maxilla nor the mandible showed further growth from the end of Phase I treatment, which allowed initiation of Phase II treatment at this time. Case Report 1
  • 144.
  • 145.
    • The followingtreatment plan was proposed: (1) maxillary lateral expansion with a quad-helix appliance, (2) placement of preadjusted edgewise appliances in both dental arches to level and align the dentition, (3) simultaneous Le Fort I and III osteotomies with DO, (4) obtaining ideal occlusion by detailing, and (5) retention. A plan was made to move the upper and lower halves of the midface by 12.0 mm and 10.0 mm, respectively. Case Report 1
  • 146.
    • Treatment ProgressAt 5 years of age, reverse headgear was used to protract the maxilla to correct a skeletal discrepancy and midfacial deficiency for 4 years. • Phase II orthodontic treatment was initiated at 14 years and 10 months of age by lateral expansion of the maxilla using a quadhelical appliance. • The intermolar width was increased 3.0 mm by improving the mesial rotation of the maxillary first molars. • The mandibular third molars were removed and the dental tubercles on the palatal side of the maxillary lateral incisors were reduced. • Subsequently, 0.022-inch pre-adjusted fixed appliances were placed on the maxillary and mandibular teeth for leveling and alignment. • The maxillary incisors showed proclination prior to orthognathic surgery. • After 1 year of presurgical orthodontic preparation, combined Le Fort I and III DO was performed at the age of 15 years and 10 months to improve exorbitism by forward movement of the orbital rim, while limiting forward movement of the maxillary incisor Case Report 1
  • 147.
  • 148.
    • Distraction wasperformed at two levels to produce different advancements in the orbital rim and maxilla. • Both segments were distracted 1.0 mm/d. • After 12 days, the lower half of the midface reached its planned position with a positive overjet. • Four days later, the upper half of the midface reached the planned position, resulting in the preferred facial profile with improved exorbitism and midfacial deficiency. • With periodic assessment of facial and intraoral occlusions, the position of the device was adjusted to change the vector of bone movement. • Use of extraoral devices may cause significant discomfort; however, they greatly facilitate the manipulation of the vector direction. • The intermaxillary elasticity can also be used to change the direction of bone movement. • After active distraction, intermaxillary consolidation with an occlusal splint was performed for 1 week. • A slight enlargement of the upper airway was observed upon superimposition of the presurgical and postsurgical cephalograms. • After 2 years of postoperative orthodontic treatment, all appliances were removed and replaced with Begg- type retainers in both arches. • No obvious root resorption was detected on the panoramic radiographs. • The facial profile and occlusion did not undergo significant relapse and maintained a favorable status even 8 years after DO surgery. Case Report 1
  • 149.
    Treatment Results • Inthe present report, combined Le Fort I and III DO resulted in forward movement of the medial maxillary buttress and point A by 12.0 mm and 9.0 mm, respectively, which substantially improved the facial profile and occlusion. • Post-treatment facial photographs revealed a straight facial profile. • Intraoral photographs showed normal overjet and overbite with favorable occlusion. • The molar relationship was Class I on both sides. • Maxillary and mandibular crowding were eliminated to achieve proclination of the incisors. • Posttreatment cephalometric analysis revealed a skeletal Class I relationship with an ANB angle of 0.78. The interincisal angle (110.88) was smaller than the ideal value at the end of the treatment. Case Report 1
  • 150.
    Simultaneous Le FortI and III DO postoperative records (age, 15 years, 10 months): (A) Profile photograph, lateral and posteroanterior cephalograms; Case Report 1
  • 151.
    Superimposed cephalometric tracings:presurgery (black), postsurgery (blue). Case Report 1
  • 152.
  • 153.
  • 154.
    Superimposed cephalometric tracings:pretreatment (black), posttreatment (red), postretention (green). Case Report 1
  • 155.
    Case Report 2 •The treatment of a patient with Crouzon syndrome who presented with a severe Class III anterior open bite malocclusion and midface deformity is demonstrated. • Following the orthodontic alignment of her dental arches, the patient’s midface was advanced by means of an extraoral distractor. • The midface was advanced by 12 mm; however, the occlusion was not corrected. • The occlusion was finally corrected 6 months after the removal of the distraction device by means of a Le Fort I maxillary osteotomy, and the facial contour was improved by means of an advancement genioplasty.
  • 156.
    (a) Cephalometric tracingof a patient with a severe Class III open bite malocclusion and midface deficiency. (b) The prediction tracing for the first treatment stage consisting of the distraction of the midface. (c) The prediction tracing of the second surgical stage consisting of superior repositioning of the maxilla to close the open bite and advancement of the chin by means of a sliding genioplasty. Case Report 2
  • 157.
    Case Report 2 Presurgical profile (d),postsurgical profile (e), pretreatment malocclusion (f), and posttreatment occlusion (g).
  • 158.
    Maxillary distraction osteogenesis: 1.Maxillary advancement Severe hypoplasia of the maxilla often occurs in syndromic patients and/or patients with cleft lip and palate. The maxillary skeletal hypoplasia in patients with cleft lip and palate is usually a manifestation of impaired growth as a result of multiple previous surgeries and related scar tissue formation. These patients often require large advancements of the maxilla with bone grafting and extensive rigid fixation. Anterior distraction of the maxilla should be considered as the preferred method of treatment in patients with obstructive sleep apnea.
  • 159.
    2. Transverse expansion: Amore familiar distraction osteogenesis procedure for orthodontists is Surgical Assisted Rapid Palatal Expansion (SARPE), which is routinely used alone or as an adjunct to conventional orthognathic surgery. 3. Vertical distraction: As with mandibular applications, alveolar height can be developed through distraction of a block of alveolar bone.
  • 160.
    Note: • Intraoral devicescan be used for distraction of the maxilla on the modified Le Fort I and modified Le Fort III levels; it is recommended that extraoral distractors be used to advance the midface on the classic Le Fort III level.
  • 161.
    Example of maxillaryDO hypoplastic maxilla. (a) Application of internal distractor device following osteotomy. (b) Distracted maxilla in AP direction.
  • 162.
    • A 17-year-oldfemale patient with cleft lip and palate on the left side was referred to us for correction of Class III malocclusion and dentofacial deformity before the start of Phase II orthodontic treatment. • She had undergone cheiloplasty and palatoplasty at the ages of 4 months and 14 months, respectively. • During Phase I orthodontic treatment, maxillary lateral expansion using the quad helix appliance was initiated at the age of 7 years. • At the age of 12 years, a 0.022-inch preadjusted edgewise appliance was placed in the upper dental arch; this was followed by alveolar bone grafting at 13 years of age. Yoko Takigawaa. Maxillary advancement using distraction Case Report 3
  • 163.
    • Once levelingof the upper dental arch was completed, all appliances were removed at 14 years of age, and growth of the mandible was monitored until 17 years of age. • At the start of Phase II treatment, clinical examination showed a concave-type soft tissue facial profile with a retrusive maxillary-type facial deformity due to the hypoplastic maxilla. • Soft tissue analysis showed that the upper lip was 4.8 mm behind and the lower lip was 4.3 mm forward relative to the E-line at the resting position. • Intraoral examination revealed a Class III malocclusion with an incisor overjet of 25.2 mm and an overbite of 1.3 mm. • The upper left lateral incisor, which was a microdont tooth, was in palatoversion.
  • 164.
    Pretreatment records (age, 17years 11 months). (A) Facial photographs. (B) Intraoral photographs.
  • 165.
    Pretreatment records (age,17 years 11 months). (C) Frontal and lateral cephalograms. (D) Panoramic radiographs
  • 167.
    • The upperright lateral incisor and the upper left second premolar tooth were found to be congenitally missing in the panoramic radiograph (Figure 1D). The upper dental midline was deviated 2.3 mm toward the left from the facial midline because of the cant of the maxillary occlusal plane (Figures 1A through D and 7A). The lower skeletal and dental midlines coincided with the facial midline. • Furthermore, lateral cephalometric analysis showed a skeletal Class III jaw relationship (ANB 5 21.4 degrees) with horizontal maxillary hypoplasia in comparison with the normative Japanese mean. • Maxillary anterior-posterior length was short, and the maxilla was located in a significantly retrognathic position (SNA 5 72.0 degrees, A-Ptm/PP 5 43.0 mm. • Mandibular body length and mandibular plane angle were normal, but the mandible was relatively retropositioned (SNB 5 73.4 degrees). • The upper incisors were lingually inclined (U1 to FH 5 101.8 degrees); the lower incisors, however, showed a normal inclination. • Examination of nasopharyngeal function by a speech therapist revealed risks of language deterioration, moderate hypernasality, and incomplete velopharyngeal closure after maxillary advancement.
  • 168.
    • Treatment PlanAnd Progress • The objective was to correct the Class III malocclusion and the retrusive maxillary-type facial deformity caused by maxillary hypoplasia. • The two-jaw surgical method (ie, maxillary advancement using DO and mandibular setback osteotomy) was considered. • An intraoral distractor (Zurich Pediatric Maxillary Distractor; KLS Martin, Tuttlingen, Germany) was selected for maxillary distraction because the patient refused to wear a large external device and to remain hospitalized for a prolonged period.
  • 169.
    • The treatmentplan proposed was as follows: (1) extraction of the upper left lateral incisor (a microdont tooth), (2) presurgical orthodontic treatment to align both dental arches using preadjusted edgewise appliances, (3) surgical advancement of the maxilla using DO, (4) mandibular setback by a sagittal split osteotomy, (5) postsurgical orthodontic treatment to achieve tight intercuspation of teeth, using occlusal adjustment, and (6) retention to stabilize the occlusion.
  • 170.
    • Presurgical orthodontictreatment began after the upper left lateral incisor was extracted. • When the patient was 17 years 11 months old, 0.022-inch preadjusted edgewise attachments were placed in both dental arches, omitting the upper left second deciduous molar. • After 16 months of orthodontic treatment, surgical intervention was performed. • The distraction started 7 days postoperatively with an elongation of 1.0 mm per day.
  • 172.
    • After thestart of the maxillary advancement, the patient became reluctant to undergo the planned mandibular setback surgery. • Consequently, the alternative treatment plan using only maxillary DO was proposed, including the explanation about possible limitation of vector control and distraction distance with the intraoral distractor. The maxillary advancement required was estimated to be 7.0 mm forward from the edge of the upper central incisors and 2.0 mm lateral toward the right side to make the upper and lower dental midlines distractor, use of a maxillary-protraction headgear appliance was planned. • After an explanation was given, informed consent was obtained from the patient. • After completion of this advancement as planned, the maxilla showed evidence of a relapse because at some point after the maxillary distraction, the left-side intraoral device had broken unexpectedly at the weak joint of the device. Therefore, the planned amount of advancement was not attained.
  • 173.
    • The occlusionresulted in an undesirable consequence with an edge-to-edge interincisal relationship. • However, because immediate resetting of the left distractor by surgical means was rejected by the patient, maxillary advancement was continued with the use of a maxillary-protraction headgear appliance with elastics attached to the face mask. • Class III and vertical intermaxillary elastics were prescribed 24 hours a day for 3 weeks to stabilize the maxillary midline and to increase the overbite and overjet. • Removal of both distractors and fixation of the maxilla were done surgically, 1 month after the DO. • Bone securing was achieved by titanium miniplates to fix the maxillary position. • The postoperative course was uneventful, and jaw function and facial esthetics improved.
  • 174.
    Cephalograms and panoramicradiographs during distraction, and intraoral photographs after distraction. (A) During advancement. (B) After advancement © ) 2 months after advancement.
  • 175.
  • 176.
    • After completionof the fixation, face mask therapy with the titanium miniplate anchorage continued to stabilize the position of the maxilla without dentoalveolar compensation. • The patient was instructed to wear the face mask for protraction regularly during the night for 2 months after completion of the maxillary advancement. • Postsurgical orthodontic treatment was performed to achieve an acceptable overbite and overjet with tight intercuspation of teeth. • All appliances were removed at the age of 20 years 2 months, and Begg-type retainers were placed in both dental arches. • Titanium plates were removed 1 year after the fixation. • The retainers were to be used full time for the first 12 months and at night only for the subsequent 12 months.
  • 177.
    TREATMENT RESULTS • Themaxillary retrusive facial profile improved, and an acceptable interincisal relationship was obtained. • A good interincisal relationship was established without an increase in the mandibular plane angle. • The distraction moved the maxilla to its normal position, resulting in an improved sagittal jaw relationship and facial profile. • The negative overjet was corrected by forward movement of the upper incisors with elastics and the face mask after the distraction. • Postoperative speech evaluation showed that the DO could prevent a decline in nasopharyngeal function after maxillary advancement.
  • 179.
    •The maxilla wasadvanced 5.4 mm horizontally and was displaced 1.5 mm downward at Point A relative to the sella-nasion (SN) plane and its perpendicular line. •The upper incisors were tipped labially 2.0 mm anteriorly, and the molars were moved to the mesial 1.4 mm. •The lower incisors were slightly rotated lingually and extruded.
  • 181.
    • At theend of the orthodontic treatment, an overjet of 2.9 mm and an overbite of 2.3 mm were achieved. • Class II molar relationships with tight intercuspation of the teeth were established. • Deviation of the upper dental midline was corrected to coincide with the facial midline, as the cant of the upper occlusal plane was slightly improved. • A remarkable change in facial form from a maxillary retrusive-type facial profile to a straight-type profile was noted. • The positions of the upper and lower lips relative to the esthetic line had improved • Twenty-four months later, a follow-up examination showed a well proportioned soft tissue profile. • The occlusion remained stable with normal overjet and overbite, and the retained deciduous molar showed no mobility.
  • 183.
    • SARME • A53-year-old male patient sought orthodontic treatment because he often bit his mucosa when chewing certain foods. • At the time, he made it clear that he would not want to undergo surgeries or extractions, and that treatment involving two-stage surgery had already been offered to him by another dentist. • Facial analysis revealed an increase in LAFH, a dolichofacial pattern, poor lip seal, concave profile, maxillary deficiency, mandibular prognathism, no gingival display on smiling and wide buccal corridors. • Dental examination revealed a very narrow maxillary arch and an expanded mandibular arch with vertically positioned posterior teeth, bilateral posterior crossbite, non-coinciding midlines, maxillary (2 mm) and mandibular (4 mm) crowding, asymmetric maxillary and mandibular canines and molars, Class III positioning of canines on both sides, reduced overjet and overbite, and retroclined mandibular incisors. Case Report 4
  • 185.
    • Radiographs showedendodontic treatment of teeth #26 and #46, discrete generalized horizontal alveolar bone loss, generalized gingival recession, missing teeth #16, #28 and #38, and tooth migrations in the right maxillary side. • Functional assessment revealed a slight deviation between CR and CO, and inadequate functional guidances. • Respiratory pattern was mixed (mouth and nose breathing) and associated with nocturnal snoring. • Skeletal analysis revealed skeletal Class III pattern (ANB= 0°) and maxillary retrusion (SNA=80°, SNB=80°, Wits =-2.5 mm), severe transverse maxillary deficiency, increased mandibular plane and a vertical pattern (SN.GoGn=36°, FMA=28°, Y-axis = 61°).
  • 187.
    Treatment planning andorthodontic mechanics • Treatment plan consisted of orthodontic camouflage combined with mini-implant anchorage in the mandibular arch for sagittal and vertical correction, and previous SARME to correct the transverse discrepancy. • Treatment objectives were: correct PCB; preserve facial characteristics, to avoid an LAFH increase and favour passive lip seal; improve smile arc, extrude and increase exposure of maxillary incisors, and increase overbite; move maxillary teeth mesially; move mandibular teeth distally and tip them lingually, to gain adequate overjet and sagittal correction.
  • 188.
    • Treatment startedwith the placement of a Hyrax expander and SARME surgery. • Activation protocol was ¼ of a turn once a day for the first week, and then ¼ of a turn twice a day. • However, the gingiva between teeth #11 and #21 showed signs of changes, an indication of gingival recession. • At that moment, the expander was partially deactivated and the patient was asked to discontinue activations. • Five days later, the patient was told to resume activations at ¼ of a turn once a day for two days, and to discontinue activation at the next day, for 10 days. • This protocol was kept for 27 more days, with a favorable response of gingiva, without any recession. • After PCB overcorrection, screw opening of 8.25mm and achievement of a 7-mm interincisal diastema. • One month after SARME, still during activation, a fixed appliance was bonded to maxillary incisors to stabilize tooth #21. • It was anchored to the left side of the expander using a tie-together to ensure that only tooth #11 moved mesially.
  • 190.
    Treatment objectives wereachieved. • The smile arc improved and the buccal corridors were reduced, as the distances between maxillary canines increased from 29mm to 34mm, and between maxillary molars, from 45mm to 51mm. Despite the fact that orthodontic camouflage was limited, final occlusion was highly satisfactory, with Class I molar and canine relationships, adequate overjet and overbite, and proper functional guidance free of interferences, which were a result of occlusal adjustment (Fig 5). The patient’s facial profile remained concave, but the upper lip gained better support because of the type of orthodontic camouflage conducted: maxillary incisor protrusion and mandibular incisor retrusion. Sagittal and vertical
  • 191.
    • The patientreported a significant improvement in breathing immediately after SARME. • Total superimposition of cephalometric tracings showed few changes. • Partial superimposition of the maxilla showed distal movement and slight extrusion of molars, as well as extrusion and increased tipping of incisors. • Partial superimposition of the mandible revealed very little movement of molars, as well as extrusion and retroclination of incisors.
  • 192.
    Lívia Loriato. Surgically-assistedrapid maxillary expansion (SARME): indications, planning and treatment of severe maxillary deficiency in an adult patient. Dental Press J Orthod. 2020 May-June;25(3):73-84
  • 193.
    Total (A) andpartial (B) superimpositions of initial (black) and final (red) cephalometric tracings.
  • 194.
    Mandibular Distraction Osteogenesis 1.Vertical lengthening • Transporting the condyle up into the glenoid fossa • Increasing the ramus length. • More recently, alveolar distraction has been proposed as an alternative to block grafts for vertical augmentation of the alveolar ridge.
  • 195.
    2. Horizontal lengthening •Distraction along the body of the mandible 3. Lengthening in both a vertical and horizontal plane • An oblique osteotomy at the angle of the mandible with the placement of a multidirectional distractor 4. Transverse expansion • A vertical osteotomy in the symphyseal region and activation of a tooth-borne distractor
  • 198.
    Example of mandibularDO for hypoplastic mandible. (a) Application of internal distractor device in parallelism for bilateral mandibular lengthening. (b) Distracted mandible in AP direction.
  • 199.
    Mandibular lengthening bydistraction osteogenesis • A 22-year-old man visited the orthodontic department at Yonsei University Dental Hospital in Seoul, Korea, with a chief complaint of facial asymmetry. • The clinical and radiographic examination results indicated that he had Pruzansky-Kaban type I left hemifacial microsomia with well-formed but small temporomandibular joint and ramus. • His medical history included a right orbital wall fracture 3 years previously and removal of a skin tag on his left ear during childhood. • He had no family history of craniofacial deformities and no temporomandibular joint-related symptoms. Adult patient with hemifacial microsomia treated with combined orthodontics and distraction osteogenesis Sung-Hwan Choi. (Am J Orthod Dentofacial Orthop 2014;145:72-84) Case Report 5
  • 200.
    •The pretreatment facialphotographs showed that his face was asymmetrical with a mildly underdeveloped left side, a chin point that was deviated 8.0 mm toward the affected side, and a retrusive chin in profile view, in addition to lip canting and incompetence. •There was no significant difference between the levels of his right and left eyes. •The intraoral examination showed frontal canting of the occlusal plane and a mandibular midline deviation of 2.0 mm to the left. •He had severe Class II canine and molar relationships, with an 11.0-mm overjet, a 3.0-mm overbite, and a transverse deficiency with a narrow V-shaped maxillary arch.
  • 201.
    The lateral cephalometricanalysis •SNA angle of 82.2 •SNB angle of 75.0 •ANB angle of 7.2. •Mandibular plane angle was 47.6 •Ramus height was 45.4 mm •The maxillary incisors were labially inclined at an angle of 120.6 to the SN plane. •The upper and lower lips were protrusive with respect to the E-line. •The posteroanterior cephalometric analysis showed that the maxillary molars were extruded by 3.1 mm more on the right side compared with the left, and the chin was deviated by 12.0 mm to the left. •The panoramic radiograph showed differences in the sizes of the ramus, condyle, and coronoid between the left and right sides as well as impaction of all 4 third molars with complete root formation
  • 202.
    • Three-dimensional computedtomography images showed deficiencies of the left condylar and coronoid processes, along with ramus hypoplasia and chin deviation. • The angle of the mandible was also underdeveloped.
  • 203.
    • TREATMENT OBJECTIVES (1)correct the patient's facial asymmetry by lengthening the affected ramus, and coordinate the facial, maxillary, and mandibular dental midlines; (2) correct the skeletal Class II anteroposterior jaw relationship; (3) coordinate the widths of the dental arches; (4) correct the canted occlusal plane and achieve dental Class I canine and molar relationships; and (5) relieve the proclined incisor position and achieve an ideal overjet and overbite relationship.
  • 204.
    TREATMENT ALTERNATIVES (1) maxillaryand mandibular orthognathic surgery with anteroposterior impaction, with or without segmental surgeries; (2) maxillary orthognathic surgery with anteroposterior impaction, with or without segmental surgeries, and distraction osteogenesis to advance the mandibular body and lengthen the shorter ramus; (3) an iliac bone graft to level the canting of the maxillary left side, and distraction osteogenesis to advance the mandibular body and lengthen the shorter ramus; or (4) combined orthodontic treatment, with or without extraction of the 4 first premolars, and distraction osteogenesis. The patient did not want to undergo orthognathic surgery and wanted minimal surgeries and bone grafting. He did not agree to extraction of the 4 first premolars because he was not concerned about lip protrusion. Therefore, the fourth option without extractions was chosen
  • 205.
    • TREATMENT PROGRESS •The treatment plan was to correct the mandibular asymmetry and the occlusal plane canting by distraction osteogenesis of the ramus on the affected side, • followed by orthodontic treatment to align the teeth and establish a functional occlusion. • Through an intraoral incision, a horizontal ramus osteotomy was performed on the left at the level of the occlusal plane. • The distractor was placed with a vector parallel to the posterior border of the ramus. • After 7 days of latency, the distraction device was activated by 1 mm per day for 24 days, until the mandibular midline deviation was overcorrected by up to one third of the initial discrepancy. • The distraction device was maintained for 90 days. • In the consolidation phase, a resin occlusal bite-block was placed on each arch because of a surgically created posterior unilateral open bite on the elongated side. • At the end of this consolidation phase, the patient had a posterior open bite and a crossbite on both sides.
  • 209.
    • After removalof the distractor, orthodontic treatment with miniscrew-assisted rapid palatal expansion was initiated. • A custom hyrax-type rapid palatal expander with an 0.8-mm stainless steel wire hook for placement of miniscrew implants was delivered. • Under local anesthesia, 4 miniscrews were placed perpendicular to the palate in the parasagittal area, where sufficient bone width could be obtained. • The appliance was activated at 0.25 mm per day. • After achieving correction of the transverse maxillary deficiency, the appliance was maintained for 3 months without activation. • After removal of the appliance, brackets were placed on the maxillary and mandibular arches for tooth alignment and correction of the posterior open bite. • During fixed orthodontic treatment, vertical elastics were used to close the posterior open bite. • After 18 months of post distraction orthodontic treatment, the fixed orthodontic appliances were removed. • The total treatment period lasted 27 months. • Fixed lingual retainers were bonded to the lingual surfaces of the anterior teeth in both arches. • Maxillary and mandibular circumferential retainers were delivered with instructions to use them 24 hours per day for the next 6 months.
  • 212.
    RESULTS • The posttreatmentphotographs and radiographs showed that facial symmetry and an ideal occlusion with proper overjet and overbite were achieved. • The mandibular dental midline coincided with the facial and maxillary midlines, and the occlusion was finished to Angle Class I canine and molar relationships. • The panoramic radiograph showed that new bone with the same characteristics as adjacent bone was created on the affected side by gradual separation of the 2 bony segments that were surgically severed • Superimposition of 3-dimensional computed tomographs showed that after distraction osteogenesis and the consolidation phase, the shorter ramus was lengthened to 54.5 mm, the mandible was advanced compared with pretreatment, and the ANB angle decreased to 2.3. • However, the overall superimposition showed that some relapse occurred during orthodontic treatment: an ANB angle of 4.3 and ramus height of 53.0 mm were observed at the end of treatment. • At 1 year after debond, the results were stable, and the patient was satisfied with his facial esthetics.
  • 215.
    Mandibular symphysis bydistraction osteogenesis • One of the things that cannot be done with orthognathic surgery is widening the mandibular symphysis, because there is not enough soft tissue to cover a bone graft in that area. • Distraction makes this possible and provides additional space in the incisor area. Does that make it an acceptable method for nonextraction treatment of lower incisor crowding? Usually, no. To date, there is no evidence that expansion with distraction is more stable than conventional expansion,. As with distraction for mandibular advancement, symphysis distraction has been abandoned except for patients with what amounts to a midline cleft, with both missing incisors and the bone to support them John W. King. Unilateral Brodie bite treated with distraction osteogenesis. (Am J Orthod Dentofacial Orthop 2004;125:500-9)
  • 216.
    • A girl,aged 11 years 10 months, was referred by her general dentist for evaluation of her posterior buccal crossbite. • Although the patient had the sickle cell anemia trait, she was in excellent physical and dental health. • Pretreatment facial photographs showed a convex profile, mildly protrusive lips, and facial symmetry with competent lips. • The maxillary dental midline was 1.0 mm to the left of the facial midline; the mandibular dental midline was 1.6 mm to the left of the facial midline. • The patient had a Class I malocclusion, 3 mm of overjet, a 75% overbite, and a mild curve of Spee. • Both the maxillary and the mandibular arches were symmetrical, with 7.0 mm of maxillary arch length excess and 5.4 mm of mandibular arch length excess.
  • 217.
    • A leftposterior buccal crossbite was present, without any lateral shift detected between centric relation and centric occlusion. • To confirm this unilateral position, a full-coverage maxillary splint was constructed. • One week after delivery of this appliance, study models were mounted in centric relation. • Although the patient’s profile was convex and her lips were full, the lateral cephalometric radiograph indicated that the maxillary and mandibular incisors were in upright positions in their respective apical bases and that there was a moderate skeletal Class II discrepancy with an ANB angle of 7°. With a Frankfort-mandibular plane angle (FMA) of 36.5°, the patient demonstrated a hyperdivergent skeletal pattern. • Despite evidence of a significant airway deficiency and enlarged adenoids, there was no clinical evidence of mouth breathing.
  • 219.
    • The anteroposteriorcephalometric radiograph and tracing showed a normal maxilla, as measured by interjugale distance (J-J). • There was a severe mandibular transverse deficiency as measured at biantigonion (AGo-AGo). • This maxillomandibular relationship seemed to be the primary underlying cause of the Brodie bite
  • 220.
    Treatment objectives • Tocorrect the left-side posterior buccal crossbite and establish occlusal interdigitation. • Because the patient’s smile was attractive and the maxillary width was normal, we would attempt to maintain this width. • The overbite and overjet would be reduced to an ideal relationship. • Interdental spacing—the patient’s chief complaint—would be eliminated. • Although the maxillary and mandibular incisors were in acceptable positions, some uprighting would be needed to eliminate the arch length excess.
  • 221.
    Treatment alternatives 1) Thefirst treatment option was to use intermaxillary crossbite elastics to tip the mandibular left posterior teeth labially and the maxillary left posterior teeth lingually. This would effectively correct the posterior buccal crossbite. (Because the diagnosis indicated the crossbite was primarily a skeletal problem, long-term stability was a concern). • In addition, lingual tipping of the maxillary left posterior teeth might alter the pleasing pretreatment smile. 2) The second option was to place a Hyrax expander in an “open” position, to produce palatal constriction and narrow the maxilla bilaterally. • It'll correct the left buccal crossbite but might also create a right posterior crossbite. • Also, there was some concern about changing the preexisting broad smile.
  • 222.
    3. The thirdoption involved closing the mandibular interdental spacing and maintaining the mandibular intercanine and intermolar widths. • A maxillary segmental osteotomy could be used to correct the crossbite. 4. The fourth option involved maintaining the maxillary width and closing the interdental spaces. • The left posterior buccal crossbite would be corrected through mandibular widening by midsymphyseal distraction osteogenesis. • Because the buccal crossbite was a true unilateral problem, the widening would have to be primarily on the left side while the right occlusion was maintained. The patient and her mother selected the fourth option, which targeted the primary orthodontic problem (the mandibular transverse deficiency).
  • 223.
    Treatment progress • Preadjustedappliances (.018 .022 in) were placed in the maxillary arch for leveling and alignment. • Three months later, a biteplate was constructed, and the mandibular appliances were placed. • Because the midsymphyseal osteotomy would be made between the mandibular central incisors, the orthodontic brackets were angulated. The resulting root divergence reduced the chance of root and periodontal ligament damage. • A “figure 8” .014-in ligature wire was placed on each side of the osteotomy site, connecting the central incisor, the lateral incisor, and the canine to prevent “walking teeth” during the distraction period. • A .016 .022-in stainless-steel arch wire was placed before the osteotomy. • The archwire was cut at the osteotomy site at the initiation of distraction. • This provided segmental anchorage during the distraction phase.
  • 225.
    • Before themidsymphyseal osteotomy, a full-coverage maxillary splint was constructed on an articulator that was mounted in centric relation. • The splint was modified by creating a deep intercuspation on the mandibular right side and a flat plane occlusion on the left. • This stabilized the occlusion on the right side and allowed for transverse widening on the left. • Before surgery, crimp-on surgical hooks were placed in both arches between the brackets on the patient’s right side. • A hybrid distractor (bone-borne and tooth-borne) was constructed before the midsymphyseal osteotomy.
  • 227.
    • The midsymphysealosteotomy was performed as described by Conley and Legan. • During the 7-day latency period, the patient was prescribed antibiotics and used a .012% chlorhexidine rinse. • After the latency period, she returned to our office, and we initiated distraction by making 0.5-mm turns twice per day, 1 in the morning and 1 at night. • During the distraction period, the patient was instructed to wear the maxillary splint and right-side intermaxillary elastics full time, except for eating and brushing. • Distraction was stopped when the canines were in an ideal transverse relationship and the buccal crossbite was corrected. • The total distraction, measured by the distraction screw expansion, was 6.0 mm.
  • 228.
    • A denturetooth was placed in the distraction site on an anterior segmental archwire from the right lateral incisor to the left lateral incisor. • This tooth was placed for cosmetic purposes and to prevent premature movement of the adjacent teeth. • Crimp-on surgical hooks were added on the patient’s left side, and she was instructed to discontinue using the splint. • She wore bilateral intermaxillary elastics full time for an additional week and then just while at home through the consolidation period. • A soft diet was prescribed for 4 weeks. • Periapical radiographs were taken every 4 weeks during the consolidation period to monitor the osteogenesis. • During the 10-week consolidation period, no tooth movement was attempted.
  • 230.
    Mandibular symphysis distractionto provide greater width to the anterior mandible. (A)Placement of the distraction device. After the device has been contoured to fit and screwed in place, cuts are made through the facial and lingual cortical plates of the mandible, usually extending all the way through the symphysis. Distraction begins after a 5- to 7-day latency period, with the screw activated 2 turns (0.5 mm) twice a day. (B) Intraoperative view when the distractor was removed 16 weeks after the initial surgical procedure. Note the normal appearance of the regenerate bone across the distraction site.
  • 231.
    • At theend of the consolidation period, the distractor was removed. • The removal was performed in the oral surgeon’s office with the patient under local anesthesia. • Bony bridging was observed before removal. • When the mandibular central incisor brackets had been repositioned and the roots realigned, space closure proceeded with stainless steel wires and sliding mechanics. • Power chains were used to close the distraction space. • Once the distraction was completed and the arches were coordinated, no attempt was made to either expand or contract the arches. • The maxillary and mandibular dental midlines were aligned with the patient’s facial midline. • Throughout the entire treatment, the patient was extremely cooperative. • The orthodontic appliances were removed after 26 months of active treatment. • Removable Hawley retainers were constructed for the patient and delivered 1 week after appliance removal.
  • 232.
    Treatment results • TheBrodie bite was successfully corrected, and the excellent right posterior occlusion was maintained. • At the end of treatment, the shift from centric relation to centric occlusion was less than 0.5 mm; this was verified through bilateral manipulation. • During the mandibular distraction osteogenesis, significant widening occurred, from 6.04 mm at the intercanine position to 2.59 mm at the intermolar position • Mandibular symphyseal distraction with the hybrid distractor produced a greater transverse increase in the anterior part of the arch than in the posterior. • During the postdistraction phase of orthodontic treatment, the mandibular interdental arch dimensions were reduced to near predistraction amounts. This was apparently due to space closure mechanics.
  • 233.
    • As themandibular posterior teeth moved mesially during the reciprocal space closure, the intra- arch dimensions were reduced. • In the final analysis, the intercanine distance decreased slightly (0.34 mm), whereas the intermolar width increased (1.07 mm). • Thus, most of the Brodie bite correction was a result of a decrease in maxillary intermolar width of 5.83 mm. • As in the mandibular arch, this reduction occurred during space-closure mechanics in the postdistraction orthodontic phase.
  • 238.
    Alveolar DO foralveolar lengthnening
  • 239.
    Alveolar DO forCrest widening
  • 240.
    Alveolar DO foratrophic mandibular anterior ridge. (a) Application of internal device for vertical distraction. (b) New height of distracted alveolar ridge.
  • 241.
    An ankylosed toothcan be moved only by moving the bone to which it is attached. Distraction osteogenesis allows that to be done. (A) Age 21, maxillary central incisor that ankylosed after an accident at age 8 (the lateral incisor was lost at that time). (B) Creation of the bony segment to be moved. (C) Closure of the wound. A period of initial healing, usually 5 to 7 days, is allowed before the archwire is activated to begin movement of the segment. (D) The tooth nearly in final position, 3 weeks later. (E) Treatment completed, with prosthetic replacement of the missing lateral incisor
  • 242.
    • Could distractionosteogenesis (discussed in detail later) be used to move teeth in a patient who had been taking bisphosphonates for a long time? The situation then would be similar to ankylosis of all the teeth, and presumably could be approached by moving alveolar bone segments. • But bone healing in patients taking bisphosphonates is problematic, and distraction osteogenesis would be a risky procedure, probably unacceptably. • In short, distraction osteogenesis to reposition an isolated ankylosed tooth or teeth is acceptable; when all or many of the teeth are affected by bisphosphonates or a syndrome, it rarely would be useful.
  • 243.
    Distraction Osteogenesis andOrthognathic Surgery • A major advantage of distraction osteogenesis is that it provides solutions for the correction of severe and previously untreatable deficiencies of the craniofacial region. • Distraction is advantageous because the surgeon can achieve large skeletal movements; in addition, the distraction of soft tissue makes it an impressive and dynamic treatment modality that has become an essential part of the orthognathic surgeon’s armamentarium.
  • 244.
    • With thedistraction, the mandible or maxilla can be moved forward, but there is no way to position the jaw or teeth in exactly a preplanned place, as can be done routinely with orthognathic procedures. • This means that patients with craniofacial syndromes are the prime candidates for distraction of the jaws. • They are likely to need intervention at early ages and large distances of movement, and precision in establishing the posttreatment jaw relationship is not so critical for them.
  • 245.
    • Moderately severehemifacial microsomia, in which a rudimentary ramus is present on the affected side, is a major indication for distraction because it is the only way to generate new bone to replace the missing part. • For less severe maxillary or mandibular deficiency, however, distraction offers no advantage over a sagittal split or Le Fort I osteotomy.The orthognathic procedures allow the teeth and jaws to be precisely positioned, and an excellent clinical result can be anticipated. • Distraction is not needed in the milder forms of this syndrome in which mandibular asymmetry exists but the mandible is reasonably complete. • It cannot be used as the initial stage of treatment in patients so severely affected that the entire distal portion of the mandible is absent. For them, a bone graft is necessary, and distraction later can be one way to lengthen the graft.
  • 247.
    Distraction osteogenesis tolengthen the deficient mandibular ramus in a girl with hemifacial microsomia. (A) Facial appearance before treatment. (B) Distractor fitted on stereolithographic models made from a computed tomography scan. (C) Distractor placed at operation. (D) Panoramic view during distraction showing the opening created by stretching of the healing bone callus. (E) Panoramic view 3 months later, at the end of the postdistraction stabilization period during which the newly formed bone is remodeled and becomes normally calcified. (F) Facial appearance at the completion of treatment
  • 248.
    Advantages 1. Greater bonymovements are possible, reported to be up to 20 mm in the mandible 2. Avoidance of bone grafts 3. Gradual soft tissue stretch − reduced nerve damage, preservation of the vascular supply 4. Soft tissue adaptation, reducing the risk of relapse caused by soft tissue recoil 5. Suitable for both growing and nongrowing patients. 6. Shorter surgical time with lower surgical risks. 7. Wide range of applications due to flexibility in distractor site and activation vector. 8. New bone formed in distraction osteogenesis is more native and permits orthodontic tooth movement.
  • 249.
    Disadvantages 1. Precise movementsare not possible. 2. Risk of premature bone formation, resulting in failure of bone lengthening. 3. Risk of distracting too fast, resulting in nonunion. 4. Higher rate of postoperative infection at the surgical site. 5. Risk of distraction device failure. 6. Difficulty of vector control, resulting in inaccurate segment positioning. 7. Removal of the distraction device requiring a second surgical procedure. 8. Patient discomfort during distraction.
  • 250.
    9. Patient co-operationmust be adequate to enable the activation of the device. 10. Treatment planning is complex. 11. Surgery is technique sensitive. 12. Distractor must function adequately. 13. Adequate bone quality is required for attachment of the distraction device and for generating a healing callus. 14. Distraction devices with extra-oral components can be unsightly, pose a risk of infection, and leave small scars 15. The treatment is expensive due to equipment costs and surgical and clinical time.
  • 251.
    Potential complications arisingfrom distraction osteogenesis
  • 252.
    Treatment timing • Timing •The timing of treatment for patients with moderately severe hemifacial problems remains controversial, but social acceptability becomes a factor in the decision. • To improve the child’s facial appearance, intervention to advance the mandible on the affected side often is considered at ages 6 to 8, and at that time both of its advantages make distraction a frequent choice. • Early distraction, however, is unlikely to be followed by normal growth of the distracted area, and later orthognathic surgery or a second round of distraction probably will be required.
  • 253.
    • In ourview, mandibular advancement before the adolescent growth spurt, with surgery or distraction, is not indicated for patients who do not have a progressive deformity or psychosocial problems severe enough to warrant a second operation later. • On the other hand, if facial growth declines to adult levels at the end of the adolescent growth spurt, there would seem to be no reason to delay mandibular advancement.
  • 254.
    • The timingof intervention is determined through longitudinal monitoring of development and informed decision-making between the clinical team and family about when it is best to intervene. • The benefits of early intervention for normalizing development must be weighed against the impact of the procedure on the patient and family and the risk of relapse and repeat procedures. • Distraction osteogenesis is also used in non-growing patients where conventional orthognathic methods are judged to be unsuitable or have poor prognosis. • In these patients, timing has little impact on the outcome from treatment and scheduling is therefore based on timing of patient presentation, patient wishes and service factors.
  • 255.
    • Recent researchhas shown two interesting findings for patients who underwent mandibular advancement before age 18 compared with those who underwent the surgical procedure at a later age 1. Some of the adolescent patients had downward and backward rotation of the mandible, which led to a decrease in chin prominence, and a few had shortening of mandibular length that had the same effect. It appears that delaying advancement probably does increase the chance of long-term stability. 2. Both the younger and older patients had high satisfaction levels at 5 years after surgery, but those who had early surgery were even more satisfied with their treatment than those who had surgical treatment at an older age. This was true even though they often recognized that their chin was no longer as prominent as it was shortly after surgery
  • 257.
    Research and advances Automatedcontinuous DO • Currently available distraction devices are patient and surgeon dependent. The patient must adjust the manual control two or more times daily, often over long periods. Hariri F, Yoong Chin S, Rengarajoo J, Chao Foo Q, Nur Nabihah Zainul Abidin S, Fadhli Ahmad Badruddin A. Distraction Osteogenesis in Oral and Craniomaxillofacial Reconstructive Surgery [Internet]. Osteogenesis and Bone Regeneration. IntechOpen; 2019.
  • 258.
    • Because non-complianceand device failure are the leading causes of treatment failure, the patient requires numerous clinical visits to ensure proper distractor activation. • Considering these drawbacks, many research groups are working to design novel distraction devices that expand automatically and continuously. An automated mechanism would eliminate the need for patient compliance and decrease the frequency of post-operative visits for patient supervision. • At the moment, the types of these devices are classified into three categories based on the method of power: hydraulic, motor-driven and spring-mediated Hariri F, Yoong Chin S, Rengarajoo J, Chao Foo Q, Nur Nabihah Zainul Abidin S, Fadhli Ahmad Badruddin A. Distraction Osteogenesis in Oral and Craniomaxillofacial Reconstructive Surgery [Internet]. Osteogenesis and Bone Regeneration. IntechOpen; 2019.
  • 259.
    Titanium nickel shapememory alloy (TiNi-SMA) distraction device • One such example is the titanium nickel shape memory alloy (TiNi-SMA) distraction device that is self-activated at implantation. • It bypasses the latency period and thus allows a quicker distraction. Xie et al sought to determine the most effective osteotomy for distraction with the TiNi- SMA device on the adult mongrel canine.
  • 260.
    Administration of growthfactors to enhance bone healing • The major disadvantage of DO is the long distraction and consolidation period, which contributes to the risk of complications such as local infection which may jeopardize the effectiveness of DO application clinically. • The major objectives in current DO research focus on the acceleration of new bone formation and shortening the treatment period.
  • 261.
    • Great effortshave been made by researchers and clinicians to promote bone formation via local and systematic administration of angiogenic and osteogenic growth factors or cytokines, including bone morphogenic protein (BMP), transforming growth factor beta (TGF-β), platelet-derived growth factor (PDGF), vascular endothelial growth factor (VEGF), and fibroblast growth factor (FGF). • Among all these growth factors and cytokines, BMPs play the most important role in bone healing and regeneration by inducing the osteogenic differentiation of mesenchymal stem cells and have a synergistic effect with the angiogenic growth factor, VEGF
  • 262.
    • On arabbit model of mandibular lengthening, recombinant human (rh) BMP-2 has been demonstrated to enhance bone ossification at both routine and rapid distraction rates. • The addition of rhBMP-2 was able to compensate for the rapid distraction rate in DO. • Nevertheless, the effectiveness of delivery method, cost and biological safety still require further investigation.
  • 263.
    Development in distractiondevices • In a case of complex mandibular deformities, a complex multivector extraoral device with multiple joints is used in order to achieve movements in all desired plane. This device may be difficult for the patient and surgeon to manage and errors often occur during active distraction. The use of a semi-buried curvilinear distraction device (Synthes CMF, West Chester, PA), with 3-dimensional treatment planning, is a potentially powerful tool to correct complex mandibular deformities
  • 264.
    Conclusion In conclusion, DOis a reliable technique to regenerate new bone and can be considered as an effective alternative in oral and craniomaxillofacial reconstructive surgery. The technique application requires comprehensive understanding of its principles, appropriate pre-surgical planning, expert technical handling, reasonably good surgical skills, and a holistic post-surgical care in preventing potential complications.
  • 265.
    Bibliography 1.Samchukov, mikhail &cope, J.B. & Cherkashin, alexander. The biomechanical effects of distraction device orientation during mandibular lengthening. 2001 2.Abbott L, saunders J. The operative lengthening of the tibia and fibula: a preliminary report on the further development of the principles and technic. Ann surg. 1939;110(6):961-991. 3.Ilizarov g. The principles of the ilizarov method. Bull hosp jt dis orthop inst. 1988;48(1):1- 11. 4.Ilizarov g. The possibilities offered by our method for lengthening various segments in upper and lower limbs. Basic life sci. 1988;48:323-324. 5.Karp n, thorne c, mccarthy j, sissons h. Bone lengthening in the craniofacial skeleton. Ann plast surg. 1990;24(3):231-237. 6.Karp n, mccarthy j, schreiber j, sissons h, thorne c. Membranous bone lengthening: a serial histological study. Ann plast surg. 1992;29(1):2-7.
  • 266.
    • Kazunori Hayatsu,Patrick G De Deyne. Muscle adaptation during distraction osteogenesis in skeletally immature and mature rabbits. Journal of Orthopaedic Research. 19(5);2001:897-905. • Swennen et al. suggested longer periods would be necessary when DO is applied to the midface of the patient (Swennen et al. 2001 ). • Apaydin, B. Yazdirduyev, T. Can, N. Keklikoglu: Soft tissue changes during distra ction osteogenesis. Int. J. Oral Maxillofac. Surg. 2011; 40: 408–412. • Thorsten Grünheid. The adaptive response of jaw muscles to varying functional demands. European Journal of Orthodontics.31;2009:596–612. • Surgical-Orthodontic Considerations in Subcranial and Frontofacial Distraction. Hopper R A, Kapadia H, Susarla S M. Oral Maxillofacial Surg Clin N Am. 2020.
  • 267.
    • Lauwers etal. Maxillofacial intraoral distraction osteogenesis followed by elastic traction in cleft maxillary deformity. Int. J. Oral Maxillofac. Surg. 2005; 34: 85–88. • Dheeraj K. Modern practice in orthognathic and reconstructive surgery – Craniofacial distraction osteogenesis. International Scholars Journals . 2020. 8 (1) 1-9. • E. Perez Fern andez, M. Ayats Soler, M. G omez Chiari et al. 3D surgical planning of neonatal mandibular distraction osteogenesis in children with Pierre-Robin sequence. Annals of 3D Printed Medicine. 2022:6;3-7. • Tan A et al., Computer-assisted surgery in therapeutic strategy distraction osteogenesis of hemifacial microsomia: Accuracy and predictability, Journal of Cranio-Maxillo-Facial Surgery. 2018:1;014.
  • 268.

Editor's Notes

  • #5 A biological process where controlled displacement of surgically created fractures are gradually separated by incremental traction which results in simultaneous new bone formation and adaptive tissue changes.
  • #8 Fauchards- Bandeau- expansion of arch
  • #19 Callotasis (Distraction of the fractured callus)
  • #24 Contact Healing: If the fracture fragments are close to each other (less than 0.01 mm) and the strain is less than 2 %. Gap Healing: Interfragmentary gap of the fracture is more than 0.1 mm and less than 1 mm, strain is less than 2 %. Intramembranous bone
  • #33 The bone is sectioned parallel to the direction of desired expansion
  • #58 Distraction osteogenesis is indicated in all cases of mandibular shortening or maxillary hypoplasia where orthognathic surgery is not first choice.
  • #68 Computer software MIMICS version 18 Digitally designed using computer-aided design (CAD)/computer-aided manufacturing (CAM) software (3-Matic V7.0; Materialise, Leuven, Belgium).
  • #69 Computer software MIMICS version 18 Digitally designed using computer-aided design (CAD)/computer-aided manufacturing (CAM) software (3-Matic V7.0; Materialise, Leuven, Belgium).
  • #70 Computer software MIMICS version 18 Digitally designed using computer-aided design (CAD)/computer-aided manufacturing (CAM) software (3-Matic V7.0; Materialise, Leuven, Belgium).
  • #71 Computer software MIMICS version 18 Digitally designed using computer-aided design (CAD)/computer-aided manufacturing (CAM) software (3-Matic V7.0; Materialise, Leuven, Belgium).
  • #72 Computer software MIMICS version 18 Digitally designed using computer-aided design (CAD)/computer-aided manufacturing (CAM) software (3-Matic V7.0; Materialise, Leuven, Belgium).
  • #81 More recently, ultrasound has been shown to be an effective method for monitoring bone calcification, reducing the number of radiographic exposures required
  • #83 Similar to SARPE Retention
  • #91 External Midface Distractor System llnwd.nethttp://synthes.vo.llnwd.net › LLNWMB8
  • #92 External Midface Distractor System llnwd.nethttp://synthes.vo.llnwd.net › LLNWMB8
  • #93 Dental anchorage
  • #108 SARPE
  • #125 Generate- newly generated osseous tissue.
  • #126 Generate- newly generated osseous tissue.