DIAGNOSTIC TOOLS IN DENTISTRY
• English Activity
Valencia, Spain.
M51
18-5-17
INDEX OF WORK
• Introduction
• Saliva
• X-Ray
• Biopsy
• Bibliography
INTRODUCTION
• Diagnosis
Is the identification of the nature and cause of a certain phenomenon.
It’s used in medicine, science and business.
SALIVA
• Saliva is a watery substance secreted by the salivary glands.
• Comprises:
a. water 99,5%.
b. electrolytes.
c. mucus.
d. glycoproteins.
e. enzymes.
f. antimicrobial agents.
g. epithelial cells.
h. White blood cells.
SALIVA
• Saliva can be seen in many cases as a reflection of the physiological
function of the body.
• It’s useful for early diagnosis.
SALIVA
SALIVA
• Cardiovascular disease.
• Atherosclerosis, the leading etiological factor, is
triggered by the presence of inflammation, which
results in deposition of lipids in the arterial walls and
progressive narrowing of the arterial lumen.
• People with increased C-reactive protein (CRP) are
more likely to be unaware of their susceptibility to
develop cardio- vascular disease.
SALIVA
• Cardiovascular disease.
• Salivary CRP levels were found to
correlate with plasma CRP levels
obtained from blood samples of a
population at risk for cardiovascular
complications.
• Detect cardiac troponin (cTn), a
biomarker for the detection of AMI.
SALIVA
• HIV / AIDS
• Human immune deficiency virus (HIV) affects the
immune system.
• It is a sexually-transmitted disease that also
spreads through infected blood transfusions and
from diseased mothers to infants.
SALIVA
• HIV / AIDS
• HIV Test can detect both HIV-1 and HIV-2 viruses with an oral swab.
• A swab is left in place for 2–5 min between the lower gingival and
buccal mucosa to collect antibodies in the saliva.
SALIVA
• Oral Cancer.
• Oral squamous cell carcinoma (OSCC) is
the most common form of oral cancer.
• Research groups have found that salivary
levels of specific proteins are increased in
whole saliva of patients with OSCC (CD44).
SALIVA
• Salivary tests will pave the way for chair-side diagnosis of multiple
oral and systemic diseases at the dental office.
• The advent of sensitive and specific salivary diagnostic tools and the
establishment of defined guidelines will make salivary diagnostics a
reality in the near future.
Dental X-rays
• Dental X-rays are a type of image of the teeth and mouth.
• Are used in dentistry as a fundamental diagnostic tool.
• With them we can see pathologies that at first sight we can not
detect.
• In them we see the structures of the oral cavity reflected according to
their density.
INTRODUCTION
CLASSIFICATION
Dental x ray machine
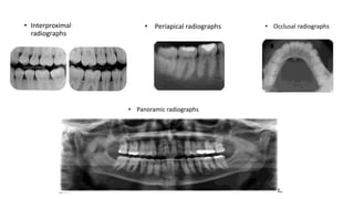
• Interproximal
radiographs
• Periapical radiographs • Occlusal radiographs
• Panoramic radiographs
OBJECTIVES
• Quantity, size and position of teeth.
• Teeth that have not come out or teeth impacted.
• Dental caries.
• Bone damage (such as that produced by periodontitis).
• Dental abscesses.
• Fractured jaw.
• Problems in the way the upper and lower teeth fit Other anomalies of
mandibular teeth and bones.
Parallel technique:
• The radiograph is placed in a position parallel to the longitudinal axis
of the tooth to be examined, in a central beam directed perpendicular
to the radiograph and the longitudinal axis of the tooth
Bisector technique:
• At the point where the radiograph has contact with the tooth, the
plane of the radiograph, and the longitudinal axis of the tooth form
an angle, the radiologist must imagine a plane that divides by half
the angle formed by the film and the longitudinal axis of the tooth,
this plane is called bisector, which creates two equal angles
RISKS
• Exposure to radiation from dental
radiographs is very low.
• A lead apron may be used to cover the
body and reduce radiation exposure.
• Pregnant women should not be given x-
rays unless absolutely necessary.
Laboratory tests of interest in dentistry
• Haematological
• Hemostasis
• Blood biochemistry
• saliva
Blood count
• Erythrocyte series: number of red blood cells, hematocrit,
hemoglobin
• Leukocyte series: Total count, neutrophils, monocytes…
• Platelet series: normal value : 150.000-400.000 mm3
Blood chemistry
• Blood glucose
• Creatinine
• alkaline phosphatase
• Transaminases
Infections diseases:
• VIH
• Hepatitis
• TBC
It is better to prevent a complication through
diagnosis than to resolve it intraoperatively
BIOPSY
• A biopsy is a medical test which consists in a
sample of tissue taken from the body in order to
examine it more closely.
• To determine the presence or extent of a disease.
• The tissue is generally examined under
a microscope by a pathologist, and can also be
analysed chemically.
BIOPSY
• Excisional biopsy: entire lump or suspicious area is removed,
including healthy tissue around
• Incisional biopsy: only a sample of tissue is removed with
preservation of the histological architecture of the tissue’s cells.
WHY IS IT IMPORTANT?
• Biopsies are most commonly performed for
insight into possible cancerous and
inflammatory conditions.
• Lesion with similar clinical or radiological
morphology.
• Provides definitive diagnosis, prognosis and
treatment information.
BIOPSY
• Contraindications:
1. Patients with conditions that can preclude the safe use of
local anaesthetic and those with severe bleeding diseases
and coagulopathies.
1. Invasive procedures on the bone: NO in patients with
bisphosphonates treatment.
2. Risk for metastasis.
BIOPSY
• In most cases biopsies are carried out under local anaesthesia (an
injection into the area to numb it).
• The injection takes a couple of minutes to work and means that the
biopsy will be painless.
BIOPSY
• The biopsy usually leaves a small hole that often requires stitching.
• In the majority of cases the stitches used are dissolvable and take
around two weeks to disappear.
• The whole process (local anaesthetic injection, biopsy and stitching)
usually takes around 15 minutes from start to finish.
BIOPSY
BIBLIOGRAPHY
• http://emedicine.medscape.com/article/1079770-overview.
• https://www.baoms.org.uk/patients/procedures/1/oral_mouth_biop
sy.
• https://www.ncbi.nlm.nih.gov/pmc/articles/PMC4756071/.
• http://www.ada.org/en/member-center/oral-health-topics/x-rays.
DIAGNOSTIC TOOLS IN DENTISTRY

DIAGNOSTIC TOOLS IN DENTISTRY

  • 1.
    DIAGNOSTIC TOOLS INDENTISTRY • English Activity Valencia, Spain. M51 18-5-17
  • 2.
    INDEX OF WORK •Introduction • Saliva • X-Ray • Biopsy • Bibliography
  • 3.
    INTRODUCTION • Diagnosis Is theidentification of the nature and cause of a certain phenomenon. It’s used in medicine, science and business.
  • 4.
    SALIVA • Saliva isa watery substance secreted by the salivary glands. • Comprises: a. water 99,5%. b. electrolytes. c. mucus. d. glycoproteins. e. enzymes. f. antimicrobial agents. g. epithelial cells. h. White blood cells.
  • 5.
    SALIVA • Saliva canbe seen in many cases as a reflection of the physiological function of the body. • It’s useful for early diagnosis.
  • 6.
  • 7.
    SALIVA • Cardiovascular disease. •Atherosclerosis, the leading etiological factor, is triggered by the presence of inflammation, which results in deposition of lipids in the arterial walls and progressive narrowing of the arterial lumen. • People with increased C-reactive protein (CRP) are more likely to be unaware of their susceptibility to develop cardio- vascular disease.
  • 8.
    SALIVA • Cardiovascular disease. •Salivary CRP levels were found to correlate with plasma CRP levels obtained from blood samples of a population at risk for cardiovascular complications. • Detect cardiac troponin (cTn), a biomarker for the detection of AMI.
  • 9.
    SALIVA • HIV /AIDS • Human immune deficiency virus (HIV) affects the immune system. • It is a sexually-transmitted disease that also spreads through infected blood transfusions and from diseased mothers to infants.
  • 10.
    SALIVA • HIV /AIDS • HIV Test can detect both HIV-1 and HIV-2 viruses with an oral swab. • A swab is left in place for 2–5 min between the lower gingival and buccal mucosa to collect antibodies in the saliva.
  • 11.
    SALIVA • Oral Cancer. •Oral squamous cell carcinoma (OSCC) is the most common form of oral cancer. • Research groups have found that salivary levels of specific proteins are increased in whole saliva of patients with OSCC (CD44).
  • 12.
    SALIVA • Salivary testswill pave the way for chair-side diagnosis of multiple oral and systemic diseases at the dental office. • The advent of sensitive and specific salivary diagnostic tools and the establishment of defined guidelines will make salivary diagnostics a reality in the near future.
  • 13.
  • 14.
    • Dental X-raysare a type of image of the teeth and mouth. • Are used in dentistry as a fundamental diagnostic tool. • With them we can see pathologies that at first sight we can not detect. • In them we see the structures of the oral cavity reflected according to their density. INTRODUCTION
  • 15.
  • 16.
    • Interproximal radiographs • Periapicalradiographs • Occlusal radiographs • Panoramic radiographs
  • 17.
    OBJECTIVES • Quantity, sizeand position of teeth. • Teeth that have not come out or teeth impacted. • Dental caries. • Bone damage (such as that produced by periodontitis). • Dental abscesses. • Fractured jaw. • Problems in the way the upper and lower teeth fit Other anomalies of mandibular teeth and bones.
  • 18.
    Parallel technique: • Theradiograph is placed in a position parallel to the longitudinal axis of the tooth to be examined, in a central beam directed perpendicular to the radiograph and the longitudinal axis of the tooth Bisector technique: • At the point where the radiograph has contact with the tooth, the plane of the radiograph, and the longitudinal axis of the tooth form an angle, the radiologist must imagine a plane that divides by half the angle formed by the film and the longitudinal axis of the tooth, this plane is called bisector, which creates two equal angles
  • 19.
    RISKS • Exposure toradiation from dental radiographs is very low. • A lead apron may be used to cover the body and reduce radiation exposure. • Pregnant women should not be given x- rays unless absolutely necessary.
  • 20.
    Laboratory tests ofinterest in dentistry • Haematological • Hemostasis • Blood biochemistry • saliva
  • 21.
    Blood count • Erythrocyteseries: number of red blood cells, hematocrit, hemoglobin • Leukocyte series: Total count, neutrophils, monocytes… • Platelet series: normal value : 150.000-400.000 mm3
  • 22.
    Blood chemistry • Bloodglucose • Creatinine • alkaline phosphatase • Transaminases
  • 23.
    Infections diseases: • VIH •Hepatitis • TBC It is better to prevent a complication through diagnosis than to resolve it intraoperatively
  • 24.
    BIOPSY • A biopsyis a medical test which consists in a sample of tissue taken from the body in order to examine it more closely. • To determine the presence or extent of a disease. • The tissue is generally examined under a microscope by a pathologist, and can also be analysed chemically.
  • 25.
    BIOPSY • Excisional biopsy:entire lump or suspicious area is removed, including healthy tissue around • Incisional biopsy: only a sample of tissue is removed with preservation of the histological architecture of the tissue’s cells.
  • 26.
    WHY IS ITIMPORTANT? • Biopsies are most commonly performed for insight into possible cancerous and inflammatory conditions. • Lesion with similar clinical or radiological morphology. • Provides definitive diagnosis, prognosis and treatment information.
  • 27.
    BIOPSY • Contraindications: 1. Patientswith conditions that can preclude the safe use of local anaesthetic and those with severe bleeding diseases and coagulopathies. 1. Invasive procedures on the bone: NO in patients with bisphosphonates treatment. 2. Risk for metastasis.
  • 28.
    BIOPSY • In mostcases biopsies are carried out under local anaesthesia (an injection into the area to numb it). • The injection takes a couple of minutes to work and means that the biopsy will be painless.
  • 29.
    BIOPSY • The biopsyusually leaves a small hole that often requires stitching. • In the majority of cases the stitches used are dissolvable and take around two weeks to disappear. • The whole process (local anaesthetic injection, biopsy and stitching) usually takes around 15 minutes from start to finish.
  • 30.
  • 31.
    BIBLIOGRAPHY • http://emedicine.medscape.com/article/1079770-overview. • https://www.baoms.org.uk/patients/procedures/1/oral_mouth_biop sy. •https://www.ncbi.nlm.nih.gov/pmc/articles/PMC4756071/. • http://www.ada.org/en/member-center/oral-health-topics/x-rays.