Presentor:
Dr Kapil Takhar
CORONAVIRUS : INTRODUCTION
AND PATHOPHYSIOLOGY
1
Moderator:
Dr. Utkarsh Sharma
INTRODUCTION
• The coronavirus disease-19 (COVID-19)
 Also known as novel coronavirus pneumonia.
 First occurred in Wuhan, China in early December 2019.
 The first case of COVID-19 in India was reported on 30
January 2020, in Kerala.
 World Health Organization declared the outbreak a
Public Health Emergency of International Concern on 30
January 2020 and a pandemic on March 11, 2020 - the
first pandemic caused by a coronavirus.
 11,79,78,628 confirmed cases with 26,18,403 fatal
cases, globally by 11th march 2021, 00:47 GMT 2
 Possibly emerged from a bat-borne virus.
 Horseshoe bats show a 80% resemblance
to SARS-CoV-2 while the pangolin
coronavirus has up to 92% resemblance.
 Studies indicate that pangolins are a
reservoir host of SARS-CoV-2-like
coronaviruses. However, currently no
evidence to link pangolins as an
intermediate host.
3
SARS-CoV-2 STRUCTURE
50–200 nm in diameter
+ssRNA
4
INFECTION AND TRANSMISSION
 Transmission occurs primarily via large respiratory droplets
(≥5 μm) from coughs and sneezes.
 Airborne transmission- possible in specific circumstances
and settings in which procedures that generate aerosols are
performed; example: endotracheal intubation,
bronchoscopy, open suctioning, administration of nebulized
treatment.
 The basic (without control measures) reproduction number
(R0) of the virus has been estimated to be 3.28 and median
R0 2.79.
5
Source: Lippi et al.: Biosafety measures for COVID-19
6
Respiratory droplets produced when a man sneezes, visualised using Tyndall scattering
7
• As per the available data, infectivity of various samples-
 Sputum:97.7%
 Nasopharyngeal swab:88.6%
 Throat swab:60%
 Post throat saliva:88.6%
 Oral swabs:46.7%
 Stool:70.8%
 Anal swabs:20.5%
 Rectal swabs:17.4%
 Blood:12.3%
 Conjunctival swab:1.1%
 Urine:00% , Vaginal swabs:00% , Semen sample:00% 8
 Infection from fomites is less common and virus could be
detected on-
 Metal, Glass, Ceramics- upto 5 days
 Wood- 4 days
 Paper money- 4 days
 Plastic and stainless steel- 2 to 3 days
 Cardboard- 24 hours
 Copper- 4 hours
 Aluminum- 2 to 8 hours
 Print paper, tissue paper- 3 hours
 Interestingly, infectious virus could be detected on the
outer layer of a surgical mask on day 7.
 Virus has been found to be highly stable at 4°C after
2 weeks, but could be deactivated after 5 min at 70°C. 9
 COVID-19 is an enveloped virus and is deactivated by
most environmental disinfectants. Chin et al. concluded
that virus could be killed by 5-min incubation with
various disinfectants, including –
Household bleach- 1:50 or Sodium hypochlorite (0.1%)-
[1 min sufficient in another study]
Ethanol- 60%–70%
Povidone-iodine - 7.5%
Chloroxylenol or chlorhexidine- 0.05%
Benzalkonium chloride- 0.2%–0.4%
10
PATHOPHYSIOLOGY
• SARS-CoV-2 accesses host cells via the enzyme
angiotensin-converting enzyme 2 (ACE2), using special
surface glycoprotein called as "spike" (peplomer). ACE2 is
most abundant in type II alveolar cells and hence lung is
the most affected organ.
Source: caymanchem.com
11
• The ACE2 protein has been identified in various human
organs, including
 Respiratory System
 GI Tract
 Lymph Nodes
 Thymus
 Bone Marrow
 Spleen
 Liver
 Kidney
 Brain
A molecular model of the spike proteins (red) of SARS-CoV-2
binding to the angiotensin-converting enzyme 2 (ACE2) protein,
the receptor (blue) which is its the entry route to the target cell.
Source: Juan Gaertner/Science Photo Library 12
 In preliminary studies, findings included extensive lung
infiltration by macrophages and other immune cells
leading to diffuse alveolar damage, features of which are-
Hyaline membrane formation
Fibrin exudates
Epithelial damage
Diffuse type II pneumocyte hyperplasia
 There was observed super-imposed bacterial pneumonia
in some patients.
13
 Subsequent observations suggest that COVID-19 has
clinical features distinct from typical ARDS, i.e COVID-19-
related severe respiratory distress can be manifested by
relatively well-preserved lung mechanics, despite the
severity of hypoxemia.
 This pathologic pattern is accompanied by extensive
deposition of Alternate and Lectin complement
components within the lung septal microvasculature.
 Membrane attack complex mediated microvascular
endothelial cell injury and subsequent activation of the
clotting pathway, leading to fibrin deposition.
14
 Elevated D-dimer concentrations at presentation-
indicate increased activation of coagulation pathway,
which is also an independent risk factor for death.
 Severe COVID-19 sepsis is associated with a marked
Macrophage activation syndrome (MAS) -type picture,
increased inflammatory markers and ferritin
concentrations that undoubtedly result in local activation
of pulmonary vasculature endothelial cells.
 A cytokine storm can be a complication in the later
stages of severe COVID-19, resulting in multiorgan
failure. HCQ and IL-6 receptor antagonist (Tocilizumab)
may be useful in controlling cytokine storms in late-phase
severe forms of the disease.
15
 Three distinctive angiocentric features of Covid19
1. Severe endothelial injury associated with intracellular
SARS-CoV-2 virus and disrupted endothelial cell
membranes.
2. The lungs from patients with Covid-19 had widespread
vascular thrombosis with microangiopathy and
occlusion of alveolar capillaries.
3. The lungs from patients with Covid-19 had significant
new vessel growth through a mechanism of
intussusceptive angiogenesis.
16
Pulmonary intravascular coagulopathy in COVID-19 pneumonia 17
18
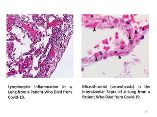
Lymphocytic Inflammation in a
Lung from a Patient Who Died from
Covid-19.
Microthrombi (arrowheads) in the
Interalveolar Septa of a Lung from a
Patient Who Died from Covid-19.
19
20
 The virus can cause acute myocardial injury (found in
12% of infected people admitted to the hospital in
Wuhan, China) and chronic damage to the cardiovascular
system- Heart failure, arrhythmias and blood clots.
 Approximately 20-30% of people who present with
COVID-19 have elevated liver enzymes.
 Upto 30% of hospitalized patients in both China and New
York experienced renal complications.
 Following the infection, children may develop paediatric
multisystem inflammatory syndrome with symptoms
similar to Kawasaki disease, which can be fatal.
21
 The typical incubation period for COVID-19 is 5-6 days,
but it can range from 1 to 14 days.
 Patients are most infectious when they show symptoms
(even mild or non-specific symptoms) but upto 41% of
transmission may be asymptomatic.
 Patients remain infectious for 7-12 days in moderate
cases and an average of 2 weeks in severe cases.
22
CLINICAL FEATURES
23
DIAGNOSIS
 Standard method of testing is real-time reverse
transcription polymerase chain reaction (rRT-PCR),
typically done on respiratory samples obtained by a
nasopharyngeal swab.
 Chest CT scans may be helpful to diagnose COVID-19-
Bilateral multilobar ground-glass opacities.
Demonstration of a nasopharyngeal
swab for COVID-19 testing. 24
Important Predictive biomarkers of severity of
Covid-19
 Inflammatory: IL 6, CRP, Ferritin, Platelet count,
Lymphopenia, Increased Neutrophil lymphocyte ratio
(NLR), increased platelet lymphocyte ratio (PLR)
 Coagulation related: PT, APTT, Fibrinogen, D-Dimer
 Sepsis related: Procalcitonin
25
PREVENTION
• WHO recommends 1 metre of social distance; the U.S.
CDC recommends 2 metres.
• Washing hands with soap and water often and for at least
20 seconds or using an alcohol-based hand sanitiser with
at least 60% alcohol.
• Practicing good respiratory hygiene, and avoiding
touching the eyes, nose, or mouth with unwashed hands.
• Use of air conditioners should be avoided at all times.
26
USING FACE MASKS
• Surgical masks and N95 masks are identical in overall
retention of aerosol particles expelled inside the mask.
(97.14% and 99.98% retention respectively)
• Barrier of toward inward protection is considerably
higher for N95 than for surgical masks.
• Hence, widespread use of relatively inexpensive surgical
masks is regarded as a valuable public health
intervention that can help intercept transmission of the
virus in the general population.
27
• As of March 2021, 308 vaccine candidates were in various stages of
development, with 73 in clinical research, including 24 in Phase I
trials, 33 in Phase I–II trials, and 16 in Phase III development.
• In Phase III trials, several COVID-19 vaccines have
demonstrated efficacy as high as 95% in preventing symptomatic
COVID-19 infections.
• As of March 2021, 12 vaccines were authorized by at least one
national regulatory authority for public use: two RNA
vaccines (the Pfizer–BioNTech vaccine and the Moderna vaccine),
four conventional inactivated vaccines (BBIBP-
CorV, Covaxin, CoronaVac, and CoviVac [ru]), four viral
vector vaccines (Sputnik V, the Oxford–AstraZeneca
vaccine, Convidicea, and the Johnson & Johnson vaccine), and
two protein subunit vaccines (EpiVacCorona and RBD-Dimer).
28
VACCINE
VACCINES:INDIA
• India has administered over 17 million doses
till date.
• In phase I health care workers and frontline
workers have been vaccinated.
• Now second phase of vaccination is going on
in which citizens above 60 years of age will be
vaccinated.
29
• COVID-19 vaccines with approval for emergency
or conditional usage
• Covishield
On 1 January 2021, the Drug Controller General of
India, approved the emergency or conditional use
of AstraZeneca’s COVID-19
vaccine AZD1222 (marketed as
Covishield). Covishield is developed by
the University of Oxford and its spin-out
company, Vaccitech. It’s a viral vector vaccine based
on replication-deficient Adenovirus that causes cold
in Chimpanzees. It can be stored, transported and
handled at normal refrigerated conditions (two-eight
degrees Celsius/ 36-46 degrees Fahrenheit). It has a
shelf-life of at least six months.
30
• Covaxin
• On 2 January 2021, BBV152 (marketed as Covaxin),
first indigenous vaccine, developed by Bharat
Biotech in association with the Indian Council of
Medical Research and National Institute of
Virology received approval from the Drug Controller
General of India for its emergency or conditional
usage.However, this approval was met with some
concern as the vaccine had not then completed
phase-3 trials. On 3 March 2021, Bharat Biotech
announced that interim results of covaxin showed the
81% efficacy. Trail was conducted on the 25,800
people in India.
31
32
33
Variants
• Several variants of SARS-CoV-2 have
emerged that are spreading globally. The
most currently prevalent, all of which share
the D614G mutation, are:
• B.1.1.7, first detected in the UK, which has
spread to over 70 countries
• P.1, first detected in Brazil, which has spread
to more than 4 countries
• B.1.351, first detected in South Africa, which
has spread to over 30 countries
34
PROGNOSIS
• The severity of COVID-19 varies and may range from mild
respiratory distress to progressive life threatening
pneumonia.
• Mild cases typically recover within 2 weeks, while those
with critical diseases may take 3 to 6 weeks to recover.
• In those < 50 years the risk of death is < 0.5%, while in
those > 70 years it is > 8%.
• Pregnant women, hypertensives, diabetics, obese, those
with renal disease and smokers may be at higher risk of
severe COVID-19 infection.
35
Indian academy of cytologists national guidelines for
cytopathology laboratories for handling suspected and
positive COVID-19 patient sample
1. Fine needle aspiration in COVID-19 suspected or
confirmed cases
2. Sample processing in the laboratory
3. Sample discarding
4. Management of spills in the laboratory
5. Surface disinfection and equipment decontamination
6. Care of the laboratory staff
7. Reporting of the cytology samples
8. Training of the cytopathology residents.
36
FNA in COVID-19 confirmed / suspected cases
 Complete set of PPE including laboratory gown, gloves,
goggles, face shield, and N95.
 Donning and doffing only in a specifically designated zone.
 Following FNA procedure, material should NOT be
expelled at all from the needle as it invariably leads to the
generation of droplets and aerosol. However, if inevitable,
should be expelled very gently from the needle.
 While making a smear, it is recommended that slides are
held as far as possible from oneself.
37
 Drying of the smears by shaking them or blowing air
should not be done as this can lead to the generation of
aerosol.
 The used needles should be discarded in sharp-resistant
waste containers.
 The syringe hub should be cut and the entire syringe
should be disinfected followed by discarding in biohazard
waste bags specifically labeled as COVID-19.
 There should be access to soap and water and an
alcohol-based sanitizer at the crucial locations within the
laboratory.
38
Sample processing in the cytopathology
laboratory
 Hospital information system (HIS) where online request
forms are supported is recommended. However, when HIS
is not available, digital workflow (e-requisition forms) using
email/whatsapp is suggested.
 The samples should be collected in appropriately labeled,
tightly-capped, sterile containers.
 All samples should be packed in triple layer: using primary
container, secondary container and zip lock pouch.
 Cytotechnician should wear protective gear.
 All fresh cytology samples received in the laboratory should
be considered potentially infectious.
39
 A number of steps involved in routine sample processing
including the opening of the sample containers,
removing tightly fitted caps of the tubes, diluting,
shaking, vortexing, and centrifugation may lead to
aerosol generation.
 Care should be taken to minimize the exposure to the
aerosol generated during the sample processing by using
adequate PPE and performing these steps in class II BSCs.
 In case of non-availability of class II BSCs, centrifugation
should be undertaken using capped tubes. Following
centrifugation, the samples should be rested for full 5
min followed by gentle removal of the caps.
40
Sample discarding
 All the residual samples should be discarded in
appropriate disinfectants (as previously recommended)
with confirmed virucidal activity against enveloped
viruses.
 The sample tubes and containers should also be
disinfected by adding in 0.1-1% hypochlorite solution (to
be prepared fresh each day), followed by discarding in
separate biohazard waste bags labeled as COVID-19.
41
 Management of sample spills in the laboratory: should
be done by 1% sodium hypochlorite solution.
 Surface disinfection and equipment decontamination:
should be done multiple times a day.
 Biomedical waste management: the full PPE is to be
discarded into appropriately designated bins labeled as
COVID and as per hospital policy.
42
Care of the laboratory Staff
 The staff can be divided into a minimum of 2–3 teams which
can be posted for fixed periods.
 The laboratory personnel needs to be continuously trained
and educated regarding the precautions to be taken while
processing the potentially infectious samples.
 They need to be trained regarding proper donning and
doffing of PPE.
 All the laboratory personnel should be advocated to
frequently and thoroughly wash their hands with soap and
water (for at least 20 s).
 The potential exposure and health status of the laboratory
personnel should be monitored daily. 43
Reporting of the cytopathology samples
 Cytopathologists may wear non-sterile gloves while
reporting to avoid direct contact with the slides.
 Microscopes to be sanitized by 70% alcohol/hand
sanitizer solution before initiating the reporting.
 Reporting cytopathologists may report independently
rather than with the entire team of
cytotechnologists/residents/trainees/fellows.
 All pathologists must wash their hands at the end of
reporting for >20 s and/or hand sanitizer application.
44
Training of the cytopathology
residents/fellows
 Teaching rooms should be well ventilated with adequate
fresh airflow. Teaching activities, involving the gathering
of more than 10 people in a limited closed space, may be
suspended temporarily.
 Alternatively, online teaching resources, such as Webex
meet app can be explored for conducting resident and
fellow teaching sessions.
 Online CMEs and webinars, avoiding contact, and
maintain social distancing may be encouraged and
adopted. 45
IAPM guidelines for Hematology section
 Use vacutainers ONLY and do not open them, if opening
is necessary then in BSC.
 Blood smears should be prepared in class II BSC.
 Smears should be immediately fixed in methanol by
putting slides in a methanol jar for at least one minute.
Staining may be done later.
 Run 2 tubes of 1% Hypochlorite solution before shutting
down the analyzer equipment used.
 The used needles should be discarded in sharp-resistant
waste containers. 46
IAPM guidelines for Histopathology Lab
• Specimens should be properly fixed (at least 24 hours) in
10% formalin.
• At 37°C, Formalin significantly decreased the infectivity
of SARS-CoV on day 1, while Glutaraldehyde inactivated it
after incubation of 1–2days.
• Formalin significantly decreases the infectivity of the
virus on day 1 at a temperature of 37°C Temperature of
56°C for 90min, 67°C for 60min, or 75°C for 30min
rendered the virus non-infectious.
47
• While grossing use mask, face shield, head cover and
impervious aprons.
• Reduce the use of fresh-frozen sections to a strict
necessity basis.
48
THANK YOU
49

COVID-19.pptx

  • 1.
    Presentor: Dr Kapil Takhar CORONAVIRUS: INTRODUCTION AND PATHOPHYSIOLOGY 1 Moderator: Dr. Utkarsh Sharma
  • 2.
    INTRODUCTION • The coronavirusdisease-19 (COVID-19)  Also known as novel coronavirus pneumonia.  First occurred in Wuhan, China in early December 2019.  The first case of COVID-19 in India was reported on 30 January 2020, in Kerala.  World Health Organization declared the outbreak a Public Health Emergency of International Concern on 30 January 2020 and a pandemic on March 11, 2020 - the first pandemic caused by a coronavirus.  11,79,78,628 confirmed cases with 26,18,403 fatal cases, globally by 11th march 2021, 00:47 GMT 2
  • 3.
     Possibly emergedfrom a bat-borne virus.  Horseshoe bats show a 80% resemblance to SARS-CoV-2 while the pangolin coronavirus has up to 92% resemblance.  Studies indicate that pangolins are a reservoir host of SARS-CoV-2-like coronaviruses. However, currently no evidence to link pangolins as an intermediate host. 3
  • 4.
  • 5.
    INFECTION AND TRANSMISSION Transmission occurs primarily via large respiratory droplets (≥5 μm) from coughs and sneezes.  Airborne transmission- possible in specific circumstances and settings in which procedures that generate aerosols are performed; example: endotracheal intubation, bronchoscopy, open suctioning, administration of nebulized treatment.  The basic (without control measures) reproduction number (R0) of the virus has been estimated to be 3.28 and median R0 2.79. 5
  • 6.
    Source: Lippi etal.: Biosafety measures for COVID-19 6
  • 7.
    Respiratory droplets producedwhen a man sneezes, visualised using Tyndall scattering 7
  • 8.
    • As perthe available data, infectivity of various samples-  Sputum:97.7%  Nasopharyngeal swab:88.6%  Throat swab:60%  Post throat saliva:88.6%  Oral swabs:46.7%  Stool:70.8%  Anal swabs:20.5%  Rectal swabs:17.4%  Blood:12.3%  Conjunctival swab:1.1%  Urine:00% , Vaginal swabs:00% , Semen sample:00% 8
  • 9.
     Infection fromfomites is less common and virus could be detected on-  Metal, Glass, Ceramics- upto 5 days  Wood- 4 days  Paper money- 4 days  Plastic and stainless steel- 2 to 3 days  Cardboard- 24 hours  Copper- 4 hours  Aluminum- 2 to 8 hours  Print paper, tissue paper- 3 hours  Interestingly, infectious virus could be detected on the outer layer of a surgical mask on day 7.  Virus has been found to be highly stable at 4°C after 2 weeks, but could be deactivated after 5 min at 70°C. 9
  • 10.
     COVID-19 isan enveloped virus and is deactivated by most environmental disinfectants. Chin et al. concluded that virus could be killed by 5-min incubation with various disinfectants, including – Household bleach- 1:50 or Sodium hypochlorite (0.1%)- [1 min sufficient in another study] Ethanol- 60%–70% Povidone-iodine - 7.5% Chloroxylenol or chlorhexidine- 0.05% Benzalkonium chloride- 0.2%–0.4% 10
  • 11.
    PATHOPHYSIOLOGY • SARS-CoV-2 accesseshost cells via the enzyme angiotensin-converting enzyme 2 (ACE2), using special surface glycoprotein called as "spike" (peplomer). ACE2 is most abundant in type II alveolar cells and hence lung is the most affected organ. Source: caymanchem.com 11
  • 12.
    • The ACE2protein has been identified in various human organs, including  Respiratory System  GI Tract  Lymph Nodes  Thymus  Bone Marrow  Spleen  Liver  Kidney  Brain A molecular model of the spike proteins (red) of SARS-CoV-2 binding to the angiotensin-converting enzyme 2 (ACE2) protein, the receptor (blue) which is its the entry route to the target cell. Source: Juan Gaertner/Science Photo Library 12
  • 13.
     In preliminarystudies, findings included extensive lung infiltration by macrophages and other immune cells leading to diffuse alveolar damage, features of which are- Hyaline membrane formation Fibrin exudates Epithelial damage Diffuse type II pneumocyte hyperplasia  There was observed super-imposed bacterial pneumonia in some patients. 13
  • 14.
     Subsequent observationssuggest that COVID-19 has clinical features distinct from typical ARDS, i.e COVID-19- related severe respiratory distress can be manifested by relatively well-preserved lung mechanics, despite the severity of hypoxemia.  This pathologic pattern is accompanied by extensive deposition of Alternate and Lectin complement components within the lung septal microvasculature.  Membrane attack complex mediated microvascular endothelial cell injury and subsequent activation of the clotting pathway, leading to fibrin deposition. 14
  • 15.
     Elevated D-dimerconcentrations at presentation- indicate increased activation of coagulation pathway, which is also an independent risk factor for death.  Severe COVID-19 sepsis is associated with a marked Macrophage activation syndrome (MAS) -type picture, increased inflammatory markers and ferritin concentrations that undoubtedly result in local activation of pulmonary vasculature endothelial cells.  A cytokine storm can be a complication in the later stages of severe COVID-19, resulting in multiorgan failure. HCQ and IL-6 receptor antagonist (Tocilizumab) may be useful in controlling cytokine storms in late-phase severe forms of the disease. 15
  • 16.
     Three distinctiveangiocentric features of Covid19 1. Severe endothelial injury associated with intracellular SARS-CoV-2 virus and disrupted endothelial cell membranes. 2. The lungs from patients with Covid-19 had widespread vascular thrombosis with microangiopathy and occlusion of alveolar capillaries. 3. The lungs from patients with Covid-19 had significant new vessel growth through a mechanism of intussusceptive angiogenesis. 16
  • 17.
    Pulmonary intravascular coagulopathyin COVID-19 pneumonia 17
  • 18.
  • 19.
    Lymphocytic Inflammation ina Lung from a Patient Who Died from Covid-19. Microthrombi (arrowheads) in the Interalveolar Septa of a Lung from a Patient Who Died from Covid-19. 19
  • 20.
  • 21.
     The viruscan cause acute myocardial injury (found in 12% of infected people admitted to the hospital in Wuhan, China) and chronic damage to the cardiovascular system- Heart failure, arrhythmias and blood clots.  Approximately 20-30% of people who present with COVID-19 have elevated liver enzymes.  Upto 30% of hospitalized patients in both China and New York experienced renal complications.  Following the infection, children may develop paediatric multisystem inflammatory syndrome with symptoms similar to Kawasaki disease, which can be fatal. 21
  • 22.
     The typicalincubation period for COVID-19 is 5-6 days, but it can range from 1 to 14 days.  Patients are most infectious when they show symptoms (even mild or non-specific symptoms) but upto 41% of transmission may be asymptomatic.  Patients remain infectious for 7-12 days in moderate cases and an average of 2 weeks in severe cases. 22
  • 23.
  • 24.
    DIAGNOSIS  Standard methodof testing is real-time reverse transcription polymerase chain reaction (rRT-PCR), typically done on respiratory samples obtained by a nasopharyngeal swab.  Chest CT scans may be helpful to diagnose COVID-19- Bilateral multilobar ground-glass opacities. Demonstration of a nasopharyngeal swab for COVID-19 testing. 24
  • 25.
    Important Predictive biomarkersof severity of Covid-19  Inflammatory: IL 6, CRP, Ferritin, Platelet count, Lymphopenia, Increased Neutrophil lymphocyte ratio (NLR), increased platelet lymphocyte ratio (PLR)  Coagulation related: PT, APTT, Fibrinogen, D-Dimer  Sepsis related: Procalcitonin 25
  • 26.
    PREVENTION • WHO recommends1 metre of social distance; the U.S. CDC recommends 2 metres. • Washing hands with soap and water often and for at least 20 seconds or using an alcohol-based hand sanitiser with at least 60% alcohol. • Practicing good respiratory hygiene, and avoiding touching the eyes, nose, or mouth with unwashed hands. • Use of air conditioners should be avoided at all times. 26
  • 27.
    USING FACE MASKS •Surgical masks and N95 masks are identical in overall retention of aerosol particles expelled inside the mask. (97.14% and 99.98% retention respectively) • Barrier of toward inward protection is considerably higher for N95 than for surgical masks. • Hence, widespread use of relatively inexpensive surgical masks is regarded as a valuable public health intervention that can help intercept transmission of the virus in the general population. 27
  • 28.
    • As ofMarch 2021, 308 vaccine candidates were in various stages of development, with 73 in clinical research, including 24 in Phase I trials, 33 in Phase I–II trials, and 16 in Phase III development. • In Phase III trials, several COVID-19 vaccines have demonstrated efficacy as high as 95% in preventing symptomatic COVID-19 infections. • As of March 2021, 12 vaccines were authorized by at least one national regulatory authority for public use: two RNA vaccines (the Pfizer–BioNTech vaccine and the Moderna vaccine), four conventional inactivated vaccines (BBIBP- CorV, Covaxin, CoronaVac, and CoviVac [ru]), four viral vector vaccines (Sputnik V, the Oxford–AstraZeneca vaccine, Convidicea, and the Johnson & Johnson vaccine), and two protein subunit vaccines (EpiVacCorona and RBD-Dimer). 28 VACCINE
  • 29.
    VACCINES:INDIA • India hasadministered over 17 million doses till date. • In phase I health care workers and frontline workers have been vaccinated. • Now second phase of vaccination is going on in which citizens above 60 years of age will be vaccinated. 29
  • 30.
    • COVID-19 vaccineswith approval for emergency or conditional usage • Covishield On 1 January 2021, the Drug Controller General of India, approved the emergency or conditional use of AstraZeneca’s COVID-19 vaccine AZD1222 (marketed as Covishield). Covishield is developed by the University of Oxford and its spin-out company, Vaccitech. It’s a viral vector vaccine based on replication-deficient Adenovirus that causes cold in Chimpanzees. It can be stored, transported and handled at normal refrigerated conditions (two-eight degrees Celsius/ 36-46 degrees Fahrenheit). It has a shelf-life of at least six months. 30
  • 31.
    • Covaxin • On2 January 2021, BBV152 (marketed as Covaxin), first indigenous vaccine, developed by Bharat Biotech in association with the Indian Council of Medical Research and National Institute of Virology received approval from the Drug Controller General of India for its emergency or conditional usage.However, this approval was met with some concern as the vaccine had not then completed phase-3 trials. On 3 March 2021, Bharat Biotech announced that interim results of covaxin showed the 81% efficacy. Trail was conducted on the 25,800 people in India. 31
  • 32.
  • 33.
  • 34.
    Variants • Several variantsof SARS-CoV-2 have emerged that are spreading globally. The most currently prevalent, all of which share the D614G mutation, are: • B.1.1.7, first detected in the UK, which has spread to over 70 countries • P.1, first detected in Brazil, which has spread to more than 4 countries • B.1.351, first detected in South Africa, which has spread to over 30 countries 34
  • 35.
    PROGNOSIS • The severityof COVID-19 varies and may range from mild respiratory distress to progressive life threatening pneumonia. • Mild cases typically recover within 2 weeks, while those with critical diseases may take 3 to 6 weeks to recover. • In those < 50 years the risk of death is < 0.5%, while in those > 70 years it is > 8%. • Pregnant women, hypertensives, diabetics, obese, those with renal disease and smokers may be at higher risk of severe COVID-19 infection. 35
  • 36.
    Indian academy ofcytologists national guidelines for cytopathology laboratories for handling suspected and positive COVID-19 patient sample 1. Fine needle aspiration in COVID-19 suspected or confirmed cases 2. Sample processing in the laboratory 3. Sample discarding 4. Management of spills in the laboratory 5. Surface disinfection and equipment decontamination 6. Care of the laboratory staff 7. Reporting of the cytology samples 8. Training of the cytopathology residents. 36
  • 37.
    FNA in COVID-19confirmed / suspected cases  Complete set of PPE including laboratory gown, gloves, goggles, face shield, and N95.  Donning and doffing only in a specifically designated zone.  Following FNA procedure, material should NOT be expelled at all from the needle as it invariably leads to the generation of droplets and aerosol. However, if inevitable, should be expelled very gently from the needle.  While making a smear, it is recommended that slides are held as far as possible from oneself. 37
  • 38.
     Drying ofthe smears by shaking them or blowing air should not be done as this can lead to the generation of aerosol.  The used needles should be discarded in sharp-resistant waste containers.  The syringe hub should be cut and the entire syringe should be disinfected followed by discarding in biohazard waste bags specifically labeled as COVID-19.  There should be access to soap and water and an alcohol-based sanitizer at the crucial locations within the laboratory. 38
  • 39.
    Sample processing inthe cytopathology laboratory  Hospital information system (HIS) where online request forms are supported is recommended. However, when HIS is not available, digital workflow (e-requisition forms) using email/whatsapp is suggested.  The samples should be collected in appropriately labeled, tightly-capped, sterile containers.  All samples should be packed in triple layer: using primary container, secondary container and zip lock pouch.  Cytotechnician should wear protective gear.  All fresh cytology samples received in the laboratory should be considered potentially infectious. 39
  • 40.
     A numberof steps involved in routine sample processing including the opening of the sample containers, removing tightly fitted caps of the tubes, diluting, shaking, vortexing, and centrifugation may lead to aerosol generation.  Care should be taken to minimize the exposure to the aerosol generated during the sample processing by using adequate PPE and performing these steps in class II BSCs.  In case of non-availability of class II BSCs, centrifugation should be undertaken using capped tubes. Following centrifugation, the samples should be rested for full 5 min followed by gentle removal of the caps. 40
  • 41.
    Sample discarding  Allthe residual samples should be discarded in appropriate disinfectants (as previously recommended) with confirmed virucidal activity against enveloped viruses.  The sample tubes and containers should also be disinfected by adding in 0.1-1% hypochlorite solution (to be prepared fresh each day), followed by discarding in separate biohazard waste bags labeled as COVID-19. 41
  • 42.
     Management ofsample spills in the laboratory: should be done by 1% sodium hypochlorite solution.  Surface disinfection and equipment decontamination: should be done multiple times a day.  Biomedical waste management: the full PPE is to be discarded into appropriately designated bins labeled as COVID and as per hospital policy. 42
  • 43.
    Care of thelaboratory Staff  The staff can be divided into a minimum of 2–3 teams which can be posted for fixed periods.  The laboratory personnel needs to be continuously trained and educated regarding the precautions to be taken while processing the potentially infectious samples.  They need to be trained regarding proper donning and doffing of PPE.  All the laboratory personnel should be advocated to frequently and thoroughly wash their hands with soap and water (for at least 20 s).  The potential exposure and health status of the laboratory personnel should be monitored daily. 43
  • 44.
    Reporting of thecytopathology samples  Cytopathologists may wear non-sterile gloves while reporting to avoid direct contact with the slides.  Microscopes to be sanitized by 70% alcohol/hand sanitizer solution before initiating the reporting.  Reporting cytopathologists may report independently rather than with the entire team of cytotechnologists/residents/trainees/fellows.  All pathologists must wash their hands at the end of reporting for >20 s and/or hand sanitizer application. 44
  • 45.
    Training of thecytopathology residents/fellows  Teaching rooms should be well ventilated with adequate fresh airflow. Teaching activities, involving the gathering of more than 10 people in a limited closed space, may be suspended temporarily.  Alternatively, online teaching resources, such as Webex meet app can be explored for conducting resident and fellow teaching sessions.  Online CMEs and webinars, avoiding contact, and maintain social distancing may be encouraged and adopted. 45
  • 46.
    IAPM guidelines forHematology section  Use vacutainers ONLY and do not open them, if opening is necessary then in BSC.  Blood smears should be prepared in class II BSC.  Smears should be immediately fixed in methanol by putting slides in a methanol jar for at least one minute. Staining may be done later.  Run 2 tubes of 1% Hypochlorite solution before shutting down the analyzer equipment used.  The used needles should be discarded in sharp-resistant waste containers. 46
  • 47.
    IAPM guidelines forHistopathology Lab • Specimens should be properly fixed (at least 24 hours) in 10% formalin. • At 37°C, Formalin significantly decreased the infectivity of SARS-CoV on day 1, while Glutaraldehyde inactivated it after incubation of 1–2days. • Formalin significantly decreases the infectivity of the virus on day 1 at a temperature of 37°C Temperature of 56°C for 90min, 67°C for 60min, or 75°C for 30min rendered the virus non-infectious. 47
  • 48.
    • While grossinguse mask, face shield, head cover and impervious aprons. • Reduce the use of fresh-frozen sections to a strict necessity basis. 48
  • 49.