COPD
Chronic Obstructive Pulmonary disease
Dr. Fahad
1.Proper understanding of COPD
2.How to diagnose COPD
3.How to manage COPD
4.How to manage COPD in an Emergency Setting
Aims of this Presentation
COPD
Emphysema Chronic Bronchitis
Old….
Pink Puffers Blue Bloaters
Clinical syndrome of:
• Chronic respiratory symptoms,
• Structure pulmonary abnormalities (airway or alveoli), and
• Impaired lung functioning,
rising from multiple cause that result in airflow limitation that is not fully
reversible and is often Progressive
Evolved to….
Lets manage a case….
A 62-year-old male walks into the outpatient department (OPD).
Chief Complaint:
• Progressive shortness of breath during activity and rest
• cough for the past 2 years,
• occasional sputum production.
Vitals on Presentation
• Temperature: 98.4°F (afebrile)
• Pulse: 102 beats per minute (tachycardia)
• Respiratory Rate: 36 breaths per minute
(tachypnea)
• Blood Pressure: 130/80 mmHg
• Oxygen Saturation: 90% on room air
History
• Smoking history: 30 pack-years (currently smokes).
• Frequent episodes of cough and breathlessness, worse in winter.
• Denies tuberculosis exposure.
Relevant Examination
1.Inspection:
Barrel shaped chest,
• refers to the paradoxical inspiratory
retraction of the rib cage and lower
intercostal
• In COPD with hyperinflation the normal
outward movement of the lower ribs on
inspiration is replaced by paradoxical
inward movement, caused by
contraction of the abnormally low flat
diaphragm (Paradoxical Rib Movement)
Hoover’s sign
Hoover’s sign
Dahl’s sign
• A dermititis due to patient
staying in tripod position
for too long
Tripod Position Dahl’s sign
Campbell Sign or Tracheal Descent
• Campbell sign is a physical sign that indicates a downward displacement
of the trachea (Adam’s Apple) during inhalation
Using Accessory Muscles of Respiration
2. Palpation
• Reduced chest expansion
bilaterally.
Chest Expansion
Chest Asymmetry : Normal
3. Percussion
• Either resonant or hyper-resonant
TECHNIQUE
PROPER
4. AUSCULTATION
Wheeze
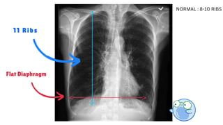
• CBC (Complete Blood Count)
• Chest X ray
• ABG (Commonly respiratory acidosis)
• ECG
• Serum Electrolytes (transient hyperkalemia)
• Spi`rometry ( Diagnostic )
Investigations
11 Ribs
Flat Diaphragm
NORMAL : 8-10 RIBS
Spirometry FEV1: FVC <0.7
The global initiative for chronic obstructive
lung disease (GOLD) staging system
• Stage I: mild, FEV1 > 80% of normal
• Stage II: moderate, FEV1 = 50-79% of normal
• Stage III: severe, FEV1 = 30-49% of normal
• Stage IV: very severe, FEV1 <30% of normal or <50% of normal
with presence of chronic respiratory failure present
MANAGEMENT
• Smoking cessation (All Grades ) single most important intervention
• Oxygen Therapy (LTOT) 1-3 liter O2 (Stage 4 resting hypoxia)
therapeutic atleast 16 hours of continous oxygen therapy, ideally 24 hours
• Management according to Gold criteria
• Pulmonary Rehabilitation Walking 20 Min. 3 times weekly or bicycling
• Surgical Intervention:
1.Lung Transplant
2.Lung volume reduction surgery
3.Bullectomy
Expectorants- Mucolytics therapy is unhelpful. Cough suppressants
and sedatives are avoided
SABA: Albuterol/ Salbutamol(rapid
Action, less expensive )
LAMA: Tiotropium( first line in mild
disease and no exacerbation)
LABA: Formoterol , Salmeterol
SAMA: Ipratropium (slow onset, longer
duration, less side effects)
Long term Oral steroid are not
recommended
PDE-4 inhibitor:
Roflumilast,
reduce exacerbation
When and What Antibiotic to give ?
When ?
(1) to treat an acute exacerbation,
(2) to treat acute bronchitis, and
(3) to prevent acute exacerbations of chronic bronchitis (prophylactic antibiotics)
Antibiotic to consider
1.Doxycycline (100mg BD)
2.Trimethoprim-sulfamethoxazole (160/800 mg BD),
3.Cephalosporin (eg, cefpodoxime 200 mg BD or cefprozil 500 mg BD),
4.Macrolide (eg, azithromycin 500 mg followed by 250 mg daily for 5 days),
5.Fluoroquinolone (eg, ciprofloxacin 500 mg BD, Moxifloxacin 400 mg OD),
and
6.Moxicillin-clavulanate (875/125 mg BD).
Suggested duration of therapy is 3–5 days and depends on response to therapy
(1) Supplemental oxygen (Sao2 between 90% and 94%)
(2) Inhaled beta-2-agonists or ipratropium bromide
(3) Corticosteroids (prednisone 0.5 mg/kg/day orally for 7–10 days is usually
sufficient, and even 5 days may be adequate)
(4) Broad-spectrum antibiotics; and
(5) Chest physiotherapy. in selected cases
Hospitilized patient
Without Pseudomonas
• Fluoroquinolone (eg, levofloxacin 750 mg orally or I/V OD)
• Moxifloxacin (400 mg orally or I/V OD)
• 3rd generation cephalosporin (eg, ceftriaxone 1 g I/V OD, or Cefotaxime (1 g I/V
TDS).
Risk factors for Pseudomonas
• Piperacillin-tazobactam (4.5 g I/V QID),
• Ceftazidime (1 g I/V TDS),
• Cefepime (1 g I/V BD),
• Evofloxacin (750 mg orally or intravenously per day for 3–7 days).
How Manage COPD
Exacerbation
In a emergency setting always do an ABCDE assessment to make
sure patient is stable or Unstable;
• Airway
• Breathing
• Circulation
Prognosis
An important predictor of survival:
• median survival of patients with FEV1 of 1 L or less is about 4 years.
Multidimensional index (the BODE index);
• BMI,
• Airway Obstruction (FEV1),
• Dyspnea (modified Medical Research Council dyspnea score), and
• Exercise capacity,
is a tool that predicts death and hospitalization better than FEV1 alone
“Half of what you are taught in medical school
will be wrong in 10 years’ time. The trouble is,
nobody knows which half”.
Dr. Sidney Burwell
Finally !!!
we are done
References used

COPD Presentation by Muhammad Fahad OMEF

  • 1.
  • 2.
    1.Proper understanding ofCOPD 2.How to diagnose COPD 3.How to manage COPD 4.How to manage COPD in an Emergency Setting Aims of this Presentation
  • 5.
  • 6.
    Clinical syndrome of: •Chronic respiratory symptoms, • Structure pulmonary abnormalities (airway or alveoli), and • Impaired lung functioning, rising from multiple cause that result in airflow limitation that is not fully reversible and is often Progressive Evolved to….
  • 7.
    Lets manage acase…. A 62-year-old male walks into the outpatient department (OPD). Chief Complaint: • Progressive shortness of breath during activity and rest • cough for the past 2 years, • occasional sputum production. Vitals on Presentation • Temperature: 98.4°F (afebrile) • Pulse: 102 beats per minute (tachycardia) • Respiratory Rate: 36 breaths per minute (tachypnea) • Blood Pressure: 130/80 mmHg • Oxygen Saturation: 90% on room air
  • 8.
    History • Smoking history:30 pack-years (currently smokes). • Frequent episodes of cough and breathlessness, worse in winter. • Denies tuberculosis exposure. Relevant Examination 1.Inspection: Barrel shaped chest,
  • 9.
    • refers tothe paradoxical inspiratory retraction of the rib cage and lower intercostal • In COPD with hyperinflation the normal outward movement of the lower ribs on inspiration is replaced by paradoxical inward movement, caused by contraction of the abnormally low flat diaphragm (Paradoxical Rib Movement) Hoover’s sign Hoover’s sign
  • 10.
    Dahl’s sign • Adermititis due to patient staying in tripod position for too long Tripod Position Dahl’s sign
  • 11.
    Campbell Sign orTracheal Descent • Campbell sign is a physical sign that indicates a downward displacement of the trachea (Adam’s Apple) during inhalation Using Accessory Muscles of Respiration
  • 12.
    2. Palpation • Reducedchest expansion bilaterally. Chest Expansion Chest Asymmetry : Normal
  • 13.
    3. Percussion • Eitherresonant or hyper-resonant TECHNIQUE PROPER
  • 14.
  • 15.
  • 16.
    • CBC (CompleteBlood Count) • Chest X ray • ABG (Commonly respiratory acidosis) • ECG • Serum Electrolytes (transient hyperkalemia) • Spi`rometry ( Diagnostic ) Investigations
  • 17.
  • 18.
  • 19.
    The global initiativefor chronic obstructive lung disease (GOLD) staging system • Stage I: mild, FEV1 > 80% of normal • Stage II: moderate, FEV1 = 50-79% of normal • Stage III: severe, FEV1 = 30-49% of normal • Stage IV: very severe, FEV1 <30% of normal or <50% of normal with presence of chronic respiratory failure present
  • 20.
    MANAGEMENT • Smoking cessation(All Grades ) single most important intervention • Oxygen Therapy (LTOT) 1-3 liter O2 (Stage 4 resting hypoxia) therapeutic atleast 16 hours of continous oxygen therapy, ideally 24 hours • Management according to Gold criteria • Pulmonary Rehabilitation Walking 20 Min. 3 times weekly or bicycling • Surgical Intervention: 1.Lung Transplant 2.Lung volume reduction surgery 3.Bullectomy Expectorants- Mucolytics therapy is unhelpful. Cough suppressants and sedatives are avoided
  • 21.
    SABA: Albuterol/ Salbutamol(rapid Action,less expensive ) LAMA: Tiotropium( first line in mild disease and no exacerbation) LABA: Formoterol , Salmeterol SAMA: Ipratropium (slow onset, longer duration, less side effects)
  • 22.
    Long term Oralsteroid are not recommended PDE-4 inhibitor: Roflumilast, reduce exacerbation
  • 24.
    When and WhatAntibiotic to give ? When ? (1) to treat an acute exacerbation, (2) to treat acute bronchitis, and (3) to prevent acute exacerbations of chronic bronchitis (prophylactic antibiotics) Antibiotic to consider 1.Doxycycline (100mg BD) 2.Trimethoprim-sulfamethoxazole (160/800 mg BD), 3.Cephalosporin (eg, cefpodoxime 200 mg BD or cefprozil 500 mg BD), 4.Macrolide (eg, azithromycin 500 mg followed by 250 mg daily for 5 days), 5.Fluoroquinolone (eg, ciprofloxacin 500 mg BD, Moxifloxacin 400 mg OD), and 6.Moxicillin-clavulanate (875/125 mg BD). Suggested duration of therapy is 3–5 days and depends on response to therapy
  • 25.
    (1) Supplemental oxygen(Sao2 between 90% and 94%) (2) Inhaled beta-2-agonists or ipratropium bromide (3) Corticosteroids (prednisone 0.5 mg/kg/day orally for 7–10 days is usually sufficient, and even 5 days may be adequate) (4) Broad-spectrum antibiotics; and (5) Chest physiotherapy. in selected cases Hospitilized patient
  • 26.
    Without Pseudomonas • Fluoroquinolone(eg, levofloxacin 750 mg orally or I/V OD) • Moxifloxacin (400 mg orally or I/V OD) • 3rd generation cephalosporin (eg, ceftriaxone 1 g I/V OD, or Cefotaxime (1 g I/V TDS). Risk factors for Pseudomonas • Piperacillin-tazobactam (4.5 g I/V QID), • Ceftazidime (1 g I/V TDS), • Cefepime (1 g I/V BD), • Evofloxacin (750 mg orally or intravenously per day for 3–7 days).
  • 27.
    How Manage COPD Exacerbation Ina emergency setting always do an ABCDE assessment to make sure patient is stable or Unstable; • Airway • Breathing • Circulation
  • 31.
    Prognosis An important predictorof survival: • median survival of patients with FEV1 of 1 L or less is about 4 years. Multidimensional index (the BODE index); • BMI, • Airway Obstruction (FEV1), • Dyspnea (modified Medical Research Council dyspnea score), and • Exercise capacity, is a tool that predicts death and hospitalization better than FEV1 alone
  • 32.
    “Half of whatyou are taught in medical school will be wrong in 10 years’ time. The trouble is, nobody knows which half”. Dr. Sidney Burwell
  • 33.
  • 34.