OSCEs
C L I N I C A L S K I L L S F O R
5 T H
E D I T I O N
5
5
00-OCSEs-Prelims_5e ccp.indd 1 19/03/2015 12:12
Life is short, the art long, opportunity fleeting,
experiment treacherous, judgement difficult.
Hippocrates (c. 460–370 BC). Aphorisms, Aph. 1.
00-OCSEs-Prelims_5e ccp.indd 2 19/03/2015 12:12
SENIOR EDITOR
Neel Burton
BSc (Hons), MBBS, MRCPsych, MA (Phil), AKC
Tutor in Psychiatry
Green Templeton College
University of Oxford
STUDENT EDITOR
John Lee Allen
3rd Year GEM Student
Imperial College London
OSCEs
C L I N I C A L S K I L L S F O R
5 T H
E D I T I O N
00-OCSEs-Prelims_5e ccp.indd 3 19/03/2015 12:12
Fifth edition © Neel Burton, 2015
Fifth edition published in 2015 by Scion Publishing Ltd
ISBN 978 1 907904 66 0
First edition published in 2003 by BIOS Scientific Publishers
Second edition published in 2006 by Informa Healthcare
Third edition published in 2009 by Scion Publishing Ltd
Fourth edition published in 2011 by Scion Publishing Ltd
All rights reserved. No part of this book may be reproduced or transmitted, in any form or by
any means, without permission.
A CIP catalogue record for this book is available from the British Library.
Scion Publishing Limited
The Old Hayloft, Vantage Business Park, Bloxham Rd, Banbury OX16 9UX, UK
www.scionpublishing.com
Important Note from the Publisher
The information contained within this book was obtained by Scion Publishing Ltd from sources
believed by us to be reliable. However, while every effort has been made to ensure its accuracy,
no responsibility for loss or injury whatsoever incurred from acting or refraining from action as
a result of the information contained herein can be accepted by the authors or publishers.
Readers are reminded that medicine is a constantly evolving science and while the authors
and publishers have ensured that all dosages, applications, and procedures are based on
current best practice, there may be specific practices which differ between communities. You
should always follow the guidelines laid down by the manufacturers of specific products and
the relevant authorities in the region or country in which you are practising.
Although every effort has been made to ensure that all owners of copyright material have
been acknowledged in this publication, we would be pleased to acknowledge in subsequent
reprints or editions any omissions brought to our attention.
Registered names, trademarks, etc. used in this book, even when not marked as such, are not
to be considered unprotected by law.
Cover design by Andrew Magee Design Limited
Typeset by Phoenix Photosetting, Chatham, Kent, UK
Printed in the UK
OSCEs_5e_PGS.indd 4 06/03/2015 15:04
00-OCSEs-Prelims_5e ccp.indd 4 19/03/2015 12:12
v
Contents
Contributors ix
Preface xi
OSCE tips xiii
I. GENERAL SKILLS
1. Hand washing 1
2. Scrubbing up for theatre 3
3. Venepuncture/phlebotomy5
4. Cannulation and setting up a drip 7
5. Blood cultures 10
6. Blood transfusion 12
7. Intramuscular, subcutaneous, and intradermal drug injection 14
8. Intravenous drug injection 16
9. Examination of a superficial mass and of lymph nodes 18
II. CARDIOVASCULAR AND RESPIRATORY MEDICINE
10. Chest pain history 21
11. Cardiovascular risk assessment 24
12. Blood pressure measurement 26
13. Cardiovascular examination 28
14. Peripheral vascular system examination 33
15. Ankle-brachial pressure index (ABPI) 36
16. Breathlessness history 38
17. Respiratory system examination 41
18. PEFR meter explanation 46
19. Inhaler explanation 48
20. Drug administration via a nebuliser 50
III. GI MEDICINE AND UROLOGY
21. Abdominal pain history 52
22. Abdominal examination 55
23. Rectal examination 60
24. Hernia examination 62
25. Nasogastric intubation 65
26. Urological history 67
27. Male genitalia examination 69
28. Male catheterisation 71
29. Female catheterisation 73
15:04
00-OCSEs-Prelims_5e ccp.indd 5 19/03/2015 12:12
vi Contents
IV. NEUROLOGY
30. History of headaches 75
31. History of ‘funny turns’ 78
32. Cranial nerve examination 81
33. Motor system of the upper limbs examination 86
34. Sensory system of the upper limbs examination 89
35. Motor system of the lower limbs examination 91
36. Sensory system of the lower limbs examination 95
37. Gait, co-ordination, and cerebellar function examination 97
38. Speech assessment 100
V. PSYCHIATRY
39. General psychiatric history 103
40. Mental state examination 106
41. Cognitive testing 111
42. Dementia diagnosis 113
43. Depression history 116
44. Suicide risk assessment 118
45. Alcohol history 120
46. Eating disorders history 123
47. Weight loss history 125
48. Assessing capacity (the Mental Capacity Act) 127
49. Common law and the Mental Health Act 130
VI. OPHTHALMOLOGY, ENT AND DERMATOLOGY
50. Ophthalmic history 134
51. Vision and the eye examination (including fundoscopy) 136
52. Hearing and the ear examination 140
53. Smell and the nose examination 145
54. Lump in the neck and thyroid examination 147
55. Dermatological history 151
56. Dermatological examination 153
57. Advice on sun protection 156
VII. PAEDIATRICS AND GERIATRICS
58. Paediatric history 157
59. Developmental assessment 159
60. Neonatal examination 162
61. The six-week surveillance review 166
62. Paediatric examination: cardiovascular system 169
63. Paediatric examination: respiratory system 173
64. Paediatric examination: abdomen 176
65. Paediatric examination: gait and neurological function 179
66. Infant and child Basic Life Support 181
67. Child immunisation programme 184
68. Geriatric history 186
69. Geriatric physical examination 188
00-OCSEs-Prelims_5e ccp.indd 6 19/03/2015 12:12
vii
Contents
VIII. OBSTETRICS, GYNAECOLOGY, AND SEXUAL HEALTH
70. Obstetric history 189
71. Obstetric examination 192
72. Gynaecological history 195
73. Gynaecological (bimanual) examination 198
74. Speculum examination and liquid based cytology test 200
75. Breast history 203
76. Breast examination 207
77. Sexual history 210
78. HIV risk assessment 214
79. Condom explanation 215
80. Combined oral contraceptive pill (COCP) explanation 217
81. Pessaries and suppositories explanation 220
IX. ORTHOPAEDICS AND RHEUMATOLOGY
82. Rheumatological history 222
83. The GALS screening examination 226
84. Hand and wrist examination 229
85. Elbow examination 232
86. Shoulder examination 233
87. Spinal examination 236
88. Hip examination 239
89. Knee examination 242
90. Ankle and foot examination 245
X. EMERGENCY MEDICINE AND ANAESTHESIOLOGY
91. Adult Basic Life Support 247
92. Choking250
93. In-hospital resuscitation 252
94. Advanced Life Support 255
95. The primary and secondary surveys 258
96. Management of medical emergencies 260
– acute asthma 260
– acute pulmonary oedema 260
– acute myocardial infarction 261
– massive pulmonary embolism 262
– status epilepticus 262
– diabetic ketoacidosis 262
– acute poisoning 263
97. Bag-valve mask (BVM/’Ambu bag’) ventilation 266
98. Laryngeal mask airway (LMA) insertion 267
99. Pre-operative assessment 269
100. Syringe driver operation 273
101. Patient-Controlled Analgesia (PCA) explanation 275
102. Epidural analgesia explanation 276
103. Wound suturing 278
00-OCSEs-Prelims_5e ccp.indd 7 19/03/2015 12:12
viii Contents
XI. DATA INTERPRETATION
104. Blood glucose measurement 280
105. Urine sample testing/urinalysis 282
106. Blood test interpretation 284
107. Arterial blood gas (ABG) sampling 290
108. ECG recording and interpretation 294
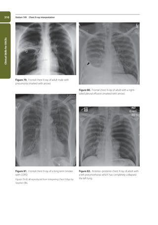
109. Chest X-ray interpretation 306
110. Abdominal X-ray interpretation 311
XII. PRESCRIBING AND ADMINISTRATIVE SKILLS
111. Requesting investigations 315
112. Drug and controlled drug prescription 318
113. Oxygen prescription 323
114. Death confirmation 325
115. Death certificate completion 326
XIII. COMMUNICATION SKILLS
116. Explaining skills 330
117. Imaging tests explanation 333
118. Endoscopies explanation 337
119. Obtaining consent 339
120. Breaking bad news 340
121. The angry patient or relative 341
122. The anxious or upset patient or relative 342
123. Cross-cultural communication 343
124. Discharge planning and negotiation 344
00-OCSEs-Prelims_5e ccp.indd 8 19/03/2015 12:12
ix
Contributors
Sara Ahmadi
4th Year Medical Student
University of Oxford
John Lee Allen
3rd Year GEM student
Imperial College London
Daniel Ashmore
5th Year Medical Student
University of Leeds
Vartan Balian
House Officer (FY1)
Warrington  Halton NHS Foundation Trust
Daniel Campbell
5th Year Medical Student
Barts and the London School of Medicine and
Dentistry (QMUL)
Anthony Carver
House Officer (FY1)
East Kent Hospitals University NHS Foundation
Trust
Mohsin Chaudhary
5th Year Medical Student
St George’s Hospital Medical School
Christopher Chopdar
Independent Psychiatrist
Oxford
Akbar de’ Medici
Associate Director
Institute of Sport, Exercise and Health (UCL)
Patrick Elder
2nd Year Medical Student
University of Warwick
Naomi Foster
4th Year Medical Student
University of Dundee
Jay Goel
2nd Year Medical Student
Barts and the London School of Medicine and
Dentistry (QMUL)
Ali Rezaei Haddad
2nd Year Medical Student
University of Warwick
Jane Hamilton
4th Year Medical Student
University of Glasgow
Randeep Singh Heer
3rd Year Medical Student
King’s College London
Patrick Holden
3rd Year Medical Student
University of Cambridge
Benjamin Huggon
1st Year Medical Student
University of Oxford
Sadhia Khan
5th Year Medical Student
University of Manchester
Guglielmo La Torre
2nd Year Medical Student
Brighton and Sussex Medical School
Lilian Lau
3rd Year Medical Student
University of Leicester
Lucy Li
5th Year Medical Student
University of Edinburgh
David Liddiard
Osteopath
Function Health, New Zealand
Katherine Mackay
5th Year Medical Student
University of Oxford
Genevieve Marsh-Feiley
2nd Year Medical Student
University of Aberdeen
Jacob Matthews
5th Year Medical Student
University of Birmingham
Jonathan Mayes
4th Year Medical Student
Newcastle University
Philip McElnay
NIHR Academic Clinical Fellow in Cardiothoracic
Surgery
Newcastle University
00-OCSEs-Prelims_5e ccp.indd 9 19/03/2015 12:12
x Contributors
Charlotte McIntyre
Core Surgical Trainee
Imperial College Healthcare NHS Trust
Shu Ng
1st Year Medical Student
University of Leeds
Gedalyah Shalom
5th Year Medical Student
University of Liverpool
Abigail Shaw
4th Year Medical Student
University of Bristol
Katherine Stagg
5th Year Medical Student
University of Oxford
Anthony Starr
5th Year Medical Student
University of Lancaster
Tom Stockmann
Fellow in Medical Education
North East London NHS Foundation Trust 
Honorary Research Fellow
Barts and the London School of Medicine and
Dentistry (QMUL)
Amy Szuman
3rd Year Medical Student
Hull York Medical School
Abigail Taylor
5th Year Medical Student
University of Oxford
Daniah Thomas
3rd Year Medical Student
Cardiff University
Rachel E. Wamboldt
4th Year Medical Student
Norwich Medical School, UEA
00-OCSEs-Prelims_5e ccp.indd 10 19/03/2015 12:12
xi
Preface
The first edition of Clinical Skills for OSCEs came out in 2003, a slim volume formed from my revision
notes together with a few contributions from my then housemates. At the time, OSCEs had suddenly
become very big, but medical publishing lagged behind, leaving our generation of medical students
to scramble for preparation materials.
All the big houses rejected my publishing proposal, mostly, I think, because it came from a 23-year-old
medical student. I persisted, and in the end, a small publishing house called Bios took a chance on the
book. Today Bios, having been bought out, is no more. But, remarkably, the book is still here, having
been through no less than three publishers and five editions.
Back in 2003, I could not have dreamt that in 12 years’ time I would be working alongside a team of
40 medical students, junior doctors, publishers, designers, etc. to produce the fifth edition of my little
‘recipe book’. Of course, the book is not so little any more, and, in truth, contains much more than I
ever knew as a medical student or even a house officer – a testament (I hope) to the rising standards
of medical education.
To me, this fifth edition very much represents a return to the roots. The first edition boasted having
been ‘written by students for students’, and with the fifth edition this is once again the case. I am
hugely indebted to each and every student contributor and to the student editor, John Allen, for
having reinvigorated these pages, advising on everything from the broad topics covered to the specific
language used.
Students are the lifeblood of this book, which, to remain useful and relevant, has to be alive to their needs
and concerns. I do not just mean the student contributors, but all students, including – of course – you.
Please do get in touch with me if you have any ideas, however small or large, for improving this book, or
if you would like to form part of the team for the next edition.
Good luck with your exams!
Neel Burton
www.neelburton.com
00-OCSEs-Prelims_5e ccp.indd 11 19/03/2015 12:12
00-OCSEs-Prelims_5e ccp.indd 12 19/03/2015 12:12
OSCE tips
• Don’t panic. Be philosophical about your exams. Put them into perspective. And remember
that as long as you do your bit, you are statistically very unlikely to fail. Book a holiday to a sunny
Greek island starting on the day after your exams to help focus your attention.
• Read the instructions carefully and stick to them. Sometimes it’s just possible to have
revised so much that you no longer ‘see’ the instructions and just fire out the bullet points like
an automatic gun. If you forget the instructions or the actor looks at you like Caliban in the mir-
ror, ask to read the instructions again. A related point is this: pay careful attention to the facial
expression of the actor or examiner. Just as an ECG monitor provides live indirect feedback
on the heart’s performance, so the actor or examiner’s facial expression provides live indirect
feedback on your performance, the only difference being – I’m sure you’ll agree – that facial
expressions are far easier to read than ECG monitors.
• Quickly survey the cubicle for the equipment and materials provided. You can be sure that
items such as hand disinfectant, a tendon hammer, a sharps bin, or a box of tissues are not just
random objects that the examiner later plans to take home.
• First impressions count. You never get a second chance to make a good first impression. As
much of your future career depends on it, make sure that you get off to an early start. And who
knows? You might even fool yourself.
• Prefer breadth to depth. Marks are normally distributed across a number of relevant domains,
such that you score more marks for touching upon a large number of domains than for
exploring any one domain in great depth. Do this only if you have time, if it seems particularly
relevant, or if you are specifically asked. Perhaps ironically, touching upon a large number of
domains makes you look more focused, and thereby safer and more competent.
• Don’t let the examiners put you off or hold you back. If they are being difficult, that’s their
problem, not yours. Or at least, it’s everyone’s problem, not yours. And remember that all that
is gold does not glitter; a difficult examiner may be a hidden gem.
• Be genuine. This is easier said than done, but then even actors are people. By convincing your-
self that the OSCE stations are real situations, you are much more likely to score highly with
the actors, if only by ‘remembering’ to treat them like real patients. This may hand you a merit
over a pass and, in borderline situations, a pass over a fail. Although they never seem to think
so, students usually fail OSCEs through poor communications skills and lack of empathy, not
through lack of studying and poor memory.
• Enjoy yourself. After all, you did choose to be there, and you probably chose wisely. If you
do badly in one station, try to put it behind you. It’s not for nothing that psychiatrists refer to
‘repression’ as a ‘defence mechanism’, and a selectively bad memory will do you no end of
good.
• Keep to time but do not appear rushed. If you don’t finish by the first bell, simply tell the
examiner what else needs to be said or done, or tell him indirectly by telling the patient,
for example, “Can we make another appointment to give us more time to go through your
treatment options?” Then summarise and conclude. Students often think that tight protocols
impress examiners, but looking slick and natural and handing over some control to the patient
is often far more impressive. And probably easier.
xiii
00-OCSEs-Prelims_5e ccp.indd 13 19/03/2015 12:12
xiv OSCE tips
• Be nice to the patient. Have I already said this? Introduce yourself, shake hands, smile, even
joke if it seems appropriate – it makes life easier for everyone, including yourself. Remember to
explain everything to the patient as you go along, to ask him about pain before you touch him,
and to thank him on the second bell. The patient holds the key to the station, and he may hand
it to you on a silver platter if you seem deserving enough. That having been said, if you reach
the end of the station and feel that something is amiss, there’s no harm in gently reminding
him, for example, “Is there anything else that you feel is important but that we haven’t had time
to talk about?” Nudge-nudge.
• Take a step back to jump further. Last minute cramming is not going to magically turn you
into a good doctor, so spend the day before the exam relaxing and sharpening your mind. Go
to the country, play some sports, stream a film. And make sure that you are tired enough to fall
asleep by a reasonable hour.
• Finally, remember to practise, practise, and practise. Look at the bright side of things: at
least you’re not going to be alone, and there are going to be plenty of opportunities for good
conversations, good laughs, and good meals. You might even make lifelong friends in the proc-
ess. And then go off to that Greek island.
00-OCSEs-Prelims_5e ccp.indd 14 19/03/2015 12:12
1
General
skills
Station 1
Hand washing
Hands must be washed before every episode of care that involves direct contact with a patient’s skin,
their food or medication, invasive devices, or dressings, and after any activity or contact that potentially
contaminates the hands.
The procedure
• Your arms should be bare below the elbows: roll up your sleeves, remove your watch, any jewel-
lery, and fake nails or nail varnish (fingernails should be kept short, ideally not exceeding 1mm
from the edge of the nail bed).
• Turn on the hot and cold taps with your elbows and thoroughly wet your hands once the water
is warm.
• Apply liquid soap (used in most hospital situations) or disinfectant from the dispenser (used
in the operating theatre). Disinfectants include pink aqueous chlorhexidine (‘Hibiscrub’) and
brown povidone iodine (‘Betadine’). Alcohol hand rubs offer a quicker alternative to liquid
soaps and disinfectants, though they should be applied for at least 20–30 seconds. Mere soap
bars are to be avoided.
• Wash your hands using the Ayliffe hand washing technique (see Figure 1 overleaf):
➀ palm to palm
➁ right palm over left dorsum and left palm over right dorsum
➂ palm to palm with fingers interlaced
➃ back of fingers to opposing palms with fingers interlocked
➄ rotational rubbing of right thumb clasped in left palm and left thumb clasped in right palm
➅ rotational rubbing, backwards and forwards, with clasped fingers of right hand in left palm
and clasped fingers of left hand in right palm
• Rinse your hands thoroughly.
• Turn the taps off with your elbows.
• Dry your hands with a paper towel and discard it in the foot-operated bin, remembering to use
the pedal rather than your clean hands!
• Consider applying an emollient if you have dry skin.
[Note] Alcohol hand rubs are ineffective against spores and should be avoided if there is contamination with biological
remnantssuchasfaeces,blood,orurine;ifthereisvisibledirt;orifthepatientisinfectedwithClostridiumdifficile.
01-OCSEs-General_Skills_5e ccp.indd 1 18/03/2015 13:18
Clinical
Skills
for
OSCEs
2 Station 1 Hand washing
Figure 1. 
Ayliffe hand washing technique:
1 Palm to palm
2 Right palm over left dorsum and left palm over right dorsum
3 Palm to palm fingers interlaced
4 Backs of fingers to opposing palms with fingers interlocked
5 Rotational rubbing of right thumb clasped in left palm and vice versa
6 
Rotational rubbing, backwards and forwards with clasped fingers of right hand in left palm and vice
versa
5 6
3 4
1 2
01-OCSEs-General_Skills_5e ccp.indd 2 18/03/2015 13:18
3
General
skills
Station 2
Scrubbing up for theatre
The equipment
• Scrubs • Sterile gown pack
• Theatre clogs or plastic overshoes • Sterile gloves
• Theatre cap • Brush packet containing a nail brush and
• Surgical mask		 nail pick
Before handwashing
State that you would:
• Change into scrubs and ensure that your arms are bare below the elbows.
• Exchange your shoes for theatre clogs or use plastic overshoes.
• Don a theatre cap, tucking all your hair underneath it.
• Enter the scrubbing room and put on a surgical mask, ensuring that it covers both your nose
and mouth.
• Depending on the clinical situation, consider wearing eye protection (goggles/visor).
• Open out a sterile gown pack on a clean, flat surface without touching the gown.
• Open out a pair of sterile gloves (in your size) using a sterile technique, letting them drop into
the sterile field created by the gown pack.
Handwashing
• Open a brush packet containing a nail brush and nail pick.
• Turn on the hot and cold taps and wait until the water is warm.
From here on, keep your hands above your elbows at all times.
The social wash
• Wash your hands with liquid disinfectant, either pink chlorhexidine (‘Hibiscrub’) or brown
povidone iodine (‘Betadine’), lathering up your arms to 2 cm above your elbows.
The second wash
• Use the nail pick from the brush packet to clean under your fingernails.
• Dispense soap onto the sponge side of the brush and use the sponge to scrub from your
fingertips to 2 cm above your elbows (30 seconds per arm).
Dispense soap using your elbow or a foot pedal, not your hands.
• To rinse, start from your hands and move down to your elbows so that the rinse water drips
away/down from your hands without re-contaminating them.
The third wash
• Using the brush side of the brush, scrub your fingernails (30 seconds per arm).
01-OCSEs-General_Skills_5e ccp.indd 3 18/03/2015 13:18
Clinical
Skills
for
OSCEs
4 Station 2 Scrubbing up for theatre
• Using the sponge side of the brush, scrub:
–
– each finger and interdigital space in turn (30 seconds per arm)
–
– the palm and back of your hands (30 seconds per arm)
–
– your forearms, moving up circumferentially to 2 cm above your elbows (30 seconds per arm)
Remember to keep the brush well-soaped at all times.
• To rinse, start from your hands and move down to your elbows.
• Turn the taps off with your elbows.
After handwashing
• Use the two towels in the gown pack to dry your arms from the fingertips down (one towel
per arm).
• Pick up the gown from the inside and shake it open, ensuring that it does not touch anything.
• Put your arms through the sleeves, but do not put your hands through the cuffs.
• Put on the gloves without touching the outside of the gloves. Practise this – it’s not easy!
• Ask an assistant to tie up the inside of the gown, and to hold on to one side of the card (attached
to the front of the gown) while you rotate to tie up the outside of the gown yourself.
After scrubbing up, keep your hands in front of your chest and do not touch any non-sterile
areas, including your mask and hat.
01-OCSEs-General_Skills_5e ccp.indd 4 18/03/2015 13:18
5
General
skills
Station 3
Venepuncture/phlebotomy
Specifications: The station consists of an anatomical arm and all the equipment that might be
required. Assume that the anatomical arm is a patient and take blood from it.
Before starting
• Introduce yourself to the patient.
• Confirm his name and date of birth.
• Explain the procedure and obtain his consent. For example, “I would like to take a blood sample
from you to check how your kidneys are working. This is a quick, simple, and routine procedure
which involves inserting a small needle into one of the veins on your arm. You will feel a sharp
scratch when the needle is inserted, and there may be a little bit of bleeding afterwards. Do you have
any questions?”.
• Ask him from which arm he prefers to have (or normally has) blood taken.
• Ask him to expose this arm.
• Gather the equipment in a clean tray.
The equipment
In a clean tray, gather:
• A pair of non-sterile gloves
• A tourniquet
• Alcohol wipes (sterets)
• A 23G (blue) needle/‘butterfly’ and Vacutainer holder
• The bottles appropriate for the tests that you are sending for (these vary from hospital to
hospital, but are generally yellow for biochemistry/UEs, purple for haematology, pink for
group and save and crossmatch, blue for clotting/coagulation, grey for glucose, and black
for ESR)
• Cotton wool, swab, or gauze
• Tape or plaster
Make sure you have a yellow sharps box close at hand. The key to passing this station is
to be seen to be safe.
The procedure
• Wash your hands (see Station 1).
• Position the patient so that his arm is fully extended. Ensure that he is comfortable.
• Apply the tourniquet proximal to the venepuncture site.
• Select a vein by palpation: the bigger and straighter the better. The vein selected is most com-
monly the median cubital vein in the antecubital fossa.
• Don a pair of non-sterile gloves.
• Clean the venepuncture site with an alcohol steret. Explain that this may feel a little cold.
• Once the alcohol has dried off, attach the needle to the Vacutainer holder.
• Tell the patient to expect a ‘sharp scratch’.
• Retract the skin to stabilise the vein and insert the needle into the vein at an angle of 30–45
degrees to the skin.
01-OCSEs-General_Skills_5e ccp.indd 5 18/03/2015 13:18
Clinical
Skills
for
OSCEs
6 Station 3 Venepuncture/phlebotomy
• Keeping the needle still, place a Vacutainer tube on the holder and let it fill.
• Once all the necessary tubes are filled, release the tourniquet. Remember that the tubes need
to be filled in a certain order (bottles with no additives first). See the guide to Vacutainer tubes
in Station 111.
• Remove the needle from the vein and apply pressure on the puncture site for at least 30
seconds (the patient may assist with this, or you may use tape or plaster).
• Immediately dispose of the needle in the sharps box.
• Remove and dispose of the gloves in the clinical waste bin.
Ensure that you release the tourniquet before removing the needle, and that you
immediately dispose of the needle in the sharps box.
After the procedure
• Ensure that the patient is comfortable.
• Thank the patient.
• Label the tubes (at least: patient’s name, date of birth, and hospital number; date and time of
blood collection).
• Fill in the blood request form (at least: patient’s name, date of birth, and hospital number; date
of blood collection; tests required).
• Document the blood tests that have been requested in the patient’s notes.
Examiner’s questions
If the veins are not apparent
• Lower the arm over the bedside.
• Ask the patient to exercise his arm by repeatedly clenching his fist.
• Gently tap the venepuncture site with two fingers.
• Apply a warm compress to the venepuncture site.
• Do not cause undue pain to the patient by trying over and over again (more than 2–3 times) –
call a more experienced colleague instead.
• Use femoral stab only as a last resort (usually in CPR situations).
In the event of a needlestick injury
• Encourage bleeding, wash with soap and running water.
• Immediately report the injury to your supervisor or the occupational health service.
• If there is a significant risk of HIV, post-exposure prophylaxis should be started as soon as
possible.
• Fill out an incident form.
For more information on the management of needlestick injury, refer to local or national protocols.
01-OCSEs-General_Skills_5e ccp.indd 6 18/03/2015 13:18
7
General
skills
Station 4
Cannulation and setting up a drip
Specifications: The station is likely to require you either to cannulate an anatomical arm and to put
up a drip, or simply to cannulate the anatomical arm. This chapter covers both scenarios.
Before starting
• Introduce yourself to the patient.
• Confirm his name and date of birth.
• Explain the procedure and obtain his consent. For example, “I would like to insert a thin plastic
tube into one of the veins on your arm. The tube will enable you to receive intravenous fluids and
prevent you from becoming dehydrated. You may feel a sharp scratch when the needle is inserted,
but only the plastic tube will remain in the vein. Do you have any questions?”
• Ask him on which arm he would prefer to have the cannula.
• Ask him to expose this arm.
• Gather the equipment in a clean tray.
It is important to read the instructions for the station carefully. If, for example, the
instructions specify that the patient is under general anaesthesia, you are probably not
going to gain any marks for explaining the procedure.
Cannulation only
The equipment
In a clean tray, gather:
• A pair of non-sterile gloves
• A tourniquet
• Alcohol sterets or prepackaged chlorhexidine and alcohol sponge
• An IV cannula of appropriate size (Table 1). Size is primarily determined by the viscosity of
the fluid to be infused (e.g. blood requires pink or larger) and the required rate of infusion
• A pre-filled 5 ml syringe containing saline flush
• An adhesive plaster/transparent film dressing
• A sharps box
The procedure
• Wash your hands (see Station 1).
• Position the patient so that his arm is fully extended. Ensure that he is comfortable.
• Apply the tourniquet proximal to the venepuncture site.
• Select a vein by palpation: the bigger and straighter the better. Try to avoid the dorsum of the
hand and the antecubital fossa if possible (may be uncomfortable on flexion).
• Don a pair of non-sterile gloves.
• Clean the skin with an alcohol steret and let it dry.
• Remove the cannula from its packaging and remove its needle cap.
• Tell the patient to expect a ‘sharp scratch’.
• Anchor the vein by stretching the skin and insert the cannula at an angle of approximately 30
degrees.
• Once a flashback is seen, advance the whole cannula and needle by about 2 mm.
01-OCSEs-General_Skills_5e ccp.indd 7 18/03/2015 13:18
Clinical
Skills
for
OSCEs
8 Station 4 Cannulation and setting up a drip
• Pull back slightly on the needle and continue to hold the needle while advancing only the
cannula into the vein.
• Release the tourniquet.
• Occlude the vein by pressing on the vein over the tip of the cannula.
• Remove the needle completely, and immediately put it into the sharps box.
• Cap the cannula with the same cap that was on the end of the needle.
• Apply the adhesive plaster or transparent film dressing to secure the cannula.
• Flush the cannula with 5 ml normal saline to prevent blood from occluding it.
Table 1. IV cannulae
Colour Size Water flow (ml/min)*
Blue
Pink (most common)
Green
Grey
Orange
22G
20G
18G
16G
14G
33
54
80
180
270
* Approximate values. According to Poiseuille’s Law, the velocity of a
Newtonian fluid through a cylindrical tube is directly proportional to the
fourth power of its radius.
After the procedure
• Dispose of clinical waste in a clinical waste bin.
• Ensure that the patient is comfortable and inform him of possible complications (e.g. pain,
erythema).
• Thank the patient.
Setting up a drip
The equipment
In a clean tray, gather:
• A pair of gloves • An adhesive plaster
• A tourniquet • A sharps box
• Alcohol sterets • An appropriate fluid bag
• An IV cannula of appropriate size • A giving set
The procedure
• Check the fluid prescription chart (if appropriate).
• Check the fluid in the bag (solution type and concentration) and its expiry date.
• Remove the fluid bag from its packaging and hang it up on a drip stand.
• Remove the giving set from its packaging. The regulating clamp for the IV line should be closed.
• Remove the protective covering from the exit port at the bottom end of the fluid bag.
• Remove the plastic cover from the large, pointed end of the giving set.
• Drive the large, pointed end of the giving set into the exit port at the bottom end of the fluid
bag.
• Remove the protective cap from the other end of the giving set.
• Squeeze and release the collecting chamber of the giving set until it is about half full.
01-OCSEs-General_Skills_5e ccp.indd 8 18/03/2015 13:18
General
skills
9
Station 4 Cannulation and setting up a drip
• Open the regulating clamp and run fluid through the giving set to expel any air/bubbles.
• Close the regulating clamp.
• If using an extension ‘octopus’ connector, open and flush with normal saline so that no air
remains.
• Wash your hands (see Station 1) and follow the cannulation procedure above.
• Rather than capping the cannula immediately after removing the needle, connect the giving
set directly and flush with fluid from the bag.
• Apply the adhesive plaster or transparent film dressing to secure the cannula.
• Adjust the drip-rate (1 drop per second is equivalent to about 1 litre per 6 hours).
• Check that there is no swelling of the subcutaneous tissue i.e. that the line has not ‘tissued’.
• Tape the tubing to the arm.
After the procedure
• Discard clinical waste appropriately.
• Ensure that the patient is comfortable and inform him of possible complications (e.g. pain,
erythema).
• Thank the patient.
• Sign the fluid chart and record the date and time.
Examiner’s questions: complications of cannula insertion
• Infiltration of the subcutaneous tissue. • Phlebitis.
• Nerve damage. • Thrombophlebitis.
• Haematoma. • Septic thrombophlebitis.
• Embolism. • Local infection.
01-OCSEs-General_Skills_5e ccp.indd 9 18/03/2015 13:18
Clinical
Skills
for
OSCEs
10 Station 5
Blood cultures
Before starting
• Introduce yourself to the patient, and confirm his name and date of birth.
• Explain the procedure and obtain his consent.
• Ask him which arm he prefers to have blood taken from.
• Ask him to expose this arm.
• Wash your hands.
• Gather the equipment in a clean tray.
The equipment
In a clean tray, gather:
• Aerobic and anaerobic blood culture bottles
• Winged collection set (or 18g needle and 20ml syringe)
• Apron
• Non-sterile or sterile gloves
• Disposable tourniquet
• Alcohol sterets (x2)
• Chlorhexidine sponge
• Sterile gauze
• Sharps bin
• For the blood culture bottles, check types (aerobic and anaerobic) and expiry dates, and ensure
that the broth is clear. Do not remove the barcodes.
Every effort to use aseptic technique should be made. If blood is being collected for other
tests, the blood culture sample should be collected first. Do not use existing peripheral lines
to obtain blood cultures. The most common skin contaminants include Staphyloccus
epidermidis, Corynebacterium spp., Propionibacterium spp., and Bacillus spp.
The procedure
• Decontaminate your hands.
• Position the patient so that his arm is fully extended. Ensure that he is comfortable.
• Select a vein by palpation: the bigger and straighter the better. The vein selected is most com-
monly the median cubital vein in the antecubital fossa.
• Release the tourniquet.
• Decontaminate your hands.
• Clean the venepucture site with the chlorhexidine sponge.
• Decontaminate your hands.
• Remove the flip tops from the culture bottles and disinfect the rubber caps each with a fresh
alcohol steret.
• Decontaminate your hands and don the apron and gloves.
• Warn the patient to expect a ‘sharp scratch’.
• Retract the skin to stabilise the vein and insert the butterfly needle into the vein.
• Fill each bottle with at least 10ml of blood, as per the markings on the bottle (let the vacuum in
the bottles do the job for you). Fill the aerobic bottle first to minimise the amount of air in the
anaerobic sample. If using a needle and syringe, collect at least 20ml of blood into the syringe
01-OCSEs-General_Skills_5e ccp.indd 10 18/03/2015 13:18
General
skills
11
Station 5 Blood cultures
so as to inject a minimum of 10ml of blood into each bottle. (It is advised not to change needles
between drawing blood and injecting into culture bottles since the risk of needlestick injury
outweighs that of contamination of the sample with skin flora.)
• Release the tourniquet.
• Withdraw the needle and apply pressure to the puncture site.
• Unscrew the adaptor and immediately dispose of the needle in the sharps bin.
After the procedure
• Ensure that the patient is comfortable.
• Thank him.
• Dispose of clinical waste in a clinical waste bin.
• Decontaminate your hands.
• Label the bottles, including clinically relevant information e.g. the puncture site and any
antibiotics that the patient has been taking (ideally, blood cultures should be taken before the
administration of antibiotics; if not, they should be taken immediately before the next dose,
with the exception of children).
• Fill in a blood request form.
• Convey the samples to the microbiology laboratory without delay (or else incubate the bottles).
• Document the procedure.
01-OCSEs-General_Skills_5e ccp.indd 11 18/03/2015 13:18
Clinical
Skills
for
OSCEs
12 Station 6
Blood transfusion
Specifications: This station requires you either to cannulate an anatomical arm and set up a blood
transfusion, or, more likely, simply to set up a blood transfusion. You may be instructed to talk through
parts of the procedure.
Before starting
• Introduce yourself to the patient.
• Confirm his name and date of birth.
• Explain the requirement for a blood transfusion, explain the risks, and obtain his consent.
• Ensure that baseline observations have been recorded (pulse rate, blood pressure, and
­temperature).
Cannulation
See Station 4.
Blood transfusion
1. Sample collection
• Re-confirm the patient’s name and date of birth and check his identity bracelet.
• Extract 10 ml of blood into a pink tube (some hospitals may require two tubes for new patients).
• Immediately label the tube and request form with the patient’s identifying data: name, date of
birth, and hospital number.
• Fill out a blood transfusion form, specifying the total number of units required.
• Ensure that the tube reaches the laboratory promptly.
2. Blood transfusion prescription
• Prescribe the number of units of blood required in the intravenous infusion section of the
patient’s prescription chart. Each unit of blood should be prescribed separately and be admin-
istered over a period of 4 hours.
• If the patient is elderly or has a history of heart failure, consider prescribing furosemide (loop
diuretic) with the second and fourth units of blood.
• Arrange for the blood bag to be delivered. The blood transfusion must start within 30 minutes
of the blood leaving the blood refrigerator.
3. Checking procedures
Ask a registered nurse or another doctor to go through the following checking procedures with you:
A. Positively identify the patient by asking him for his name, date of birth, and address.
B. Confirm the patient’s identifying data and ensure that they match those on his identity bracelet,
case notes, prescription chart, and blood compatibility report.
C. Record the blood group and serial number on the unit of blood and make sure that they match
the blood group and serial number on the blood compatibility report and the blood compat-
ibility label attached to the blood unit.
D. Check the expiry date on the unit of blood.
E. Inspect the blood bag for leaks or blood clots or discoloration.
01-OCSEs-General_Skills_5e ccp.indd 12 18/03/2015 13:18
General
skills
13
Station 6 Blood transfusion
4. Blood administration
• Attach one end of the transfusion giving set to the blood bag and run it through to ensure that
any air in the tubing has been expelled. Note that a transfusion giving set has an integral filter
and is not the same as a standard fluid giving set.
• Attach the other end of the giving set to the IV cannula which should be a grey (16G), wide-bore
cannula (minimum pink/20G, or larger for resuscitation situations).
• Adjust the drip rate so that the unit of blood is administered over 4 hours. Because one unit of
blood is 300 ml, and because 15 drops are equivalent to about 1 ml, this amounts to about 19
drops per minute.
• Sign the prescription chart and the blood compatibility report recording the date and time the
transfusion was started. The prescription chart and blood compatibility report should also be
signed by your checking colleague.
5. Patient monitoring
• Record the patient’s pulse rate, blood pressure, and temperature at 0, 15, and 30 minutes, and
then hourly thereafter.
• Ensure that the nursing staff observe the patient for signs of adverse transfusion reactions such
as fever, tachycardia, hypotension, urticaria, nausea, chest pain, and breathlessness.
• Make an entry in the patient’s notes, specifying the reason for the transfusion, the rate of the
transfusion, the total number of units given, and any adverse transfusion reactions.
Examiner’s questions: complications of blood transfusion
Immune • Acute haemolytic reaction, (usually due to ABO incompatibility).
• Delayed haemolytic reaction, (usually due to Rhesus, Kell, Duffy,
etc., incompatibility).
• Non-haemolytic reactions such as febrile reactions, urticarial
reactions, and anaphylaxis.
Infectious • Hepatitis.
• HIV/AIDS.
• Other viral agents.
• Bacteria.
• Parasites.
Cardiovascular • Left ventricular failure from volume overload.
Complications of massive
transfusion (10 U)
• Hypothermia.
• Coagulopathy (from dilution of platelets and clotting factors).
• Acid–base disturbances.
• Hyperkalaemia.
• Citrate toxicity (from additive in bag of packed red blood cells).
• Iron overload.
Other • Air embolism.
• Thrombophlebitis.
01-OCSEs-General_Skills_5e ccp.indd 13 18/03/2015 13:18
Clinical
Skills
for
OSCEs
14 Station 7
Intramuscular, subcutaneous, and intradermal
drug injection
Specifications: A model or skin pad in lieu of a patient.
Before starting
• Introduce yourself to the patient.
• Confirm his name and date of birth.
• Discuss the procedure and obtain consent.
• Ask the patient if he has any allergies and what happens when he develops a reaction.
• Gather the appropriate equipment.
The equipment
• Patient’s drug chart • Non-sterile gloves
• British National Formulary (BNF) • Alcohol steret
• Drug • Cotton wool
• Diluent (usually sterile water or saline) • Plaster
• Appropriately sized syringe (e.g. 1 or 2 ml) • Sharps box
• 21G (green) needle and 23G (blue) or 25G (orange) needle*
*Note that the colour scheme for needles is not the same as that for cannulae (see Station 4)
The procedure
• Consult the prescription chart and check:
–
– the identity of the patient
–
– the prescription: validity, drug, dose, diluent (if appropriate), route of administration, date
and time of administration
–
– drug allergies, anticoagulation
• Consult the BNF and check the form of the drug, whether it needs reconstituting, the type and
volume of diluent required, and the speed of administration.
• Check the name, dose and expiry date of the drug on the vial, and ask another member of the
healthcare team to countercheck them.
• Wash your hands and don the gloves.
• Attach a 21G needle to the syringe and draw up the correct volume of the drug, making sure to
tap out and expel any air. For a powder, inject the appropriate type and volume of diluent into
the ampoule and shake until the powder has dissolved.
• Dispose of the needle and attach a new 23G needle to the syringe for IM/SC administration or
a 25G needle for ID administration.
• Ask the patient to expose his upper arm or leg and ensure that the target muscle is completely
relaxed.
• Identify landmarks in an attempt to avoid injuring nerves and vessels.
• Clean the exposed site with an alcohol steret and allow it to dry.
• Warn the patient to expect a ‘sharp scratch’.
Intramuscular (IM) injection technique
• For older children and adults, the densest portion of the deltoid muscle (above the armpit and
below the acromion) is the preferred IM injection site. The gluteal muscle is best avoided as the
01-OCSEs-General_Skills_5e ccp.indd 14 18/03/2015 13:18
General
skills
15
Station 7 Intramuscular, subcutaneous, and intradermal drug injection
needle may not reach the muscle and there is a risk of damage to the sciatic nerve, not to mention
the general embarrassment of the thing. In infants and toddlers, the vastus lateralis muscle in the
anterolateral aspect of the middle or upper thigh is the preferred IM injection site.
• With your free hand, slightly stretch the skin at the site of injection.
• Introduce the needle at a 90 degree angle to the patient’s skin in a quick, firm motion.
• Pull on the syringe’s plunger to ensure that you have not entered a blood vessel. If you aspirate
blood, you need to start again with a new needle, and at a different site.
• Slowly inject the drug and quickly remove the needle.
Subcutaneous (SC) injection technique
• Bunch the skin between thumb and forefinger, thereby lifting the adipose tissue from the
underlying muscle (‘tenting’).
• Insert the needle, bevel uppermost, at a 45 degree angle in a quick, firm motion. You are aiming
for the tip of the needle to be in the ‘tent’.
• Release the skin.
• Pull on the syringe’s plunger to ensure that you have not entered a blood vessel.
• Slowly inject the drug.
Intradermal (ID) injection technique
• Stretch the skin taut between thumb and forefinger.
• Hold the needle so that the bevel is uppermost.
• Insert the needle at a 15 degree angle, almost parallel to the skin.
• Ensure that the needle is visible beneath the surface of the epidermis.
• Slowly inject the drug.
• A visible (and uncomfortable) bleb should form. If not, immediately withdraw the needle and
start again – you may have inserted the needle too deeply.
After the procedure
• Immediately dispose of the needle in the sharps box.
• Apply gentle pressure over the injection site with some cotton wool (the patient may assist
with this).
• Ensure that the patient is comfortable.
• Ask him if he has any questions or concerns.
• Thank him.
• Sign the prescription chart and record the date, time, drug, dose, and injection site of the injec-
tion in the medical records.
Figure 2. Intramuscular, subcutaneous, and intradermal injection techniques.
Intramuscular Subcutaneous Intradermal
Epidermis
Adipose tissue
Dermis
Muscle
90° 45° 15°
01-OCSEs-General_Skills_5e ccp.indd 15 18/03/2015 13:18
Clinical
Skills
for
OSCEs
16 Station 8
Intravenous drug injection
Specifications: Anatomical arm in lieu of a patient. This station is likely to require you to demonstrate
and/or talk through the administration of an intravenous (IV) drug with a needle and syringe.There may
be a cannula in situ, enabling the drug to be administered through the cannula.
Before starting
• Introduce yourself to the patient.
• Confirm his name and date of birth.
• Discuss the procedure and obtain consent.
• Ask the patient whether he has any allergies and what happens when he develops a reaction.
• Gather the appropriate equipment.
The equipment
• Patient’s drug chart • Non-sterile gloves
• British National Formulary (BNF) • Tourniquet
• Drug • Alcohol sterets
• Diluent (usually sterile water) • Cotton wool
• Appropriately sized syringes • Sharps box
• 21G (green) needle (×2)
The procedure
• Consult the prescription chart and check:
–
– the identity of the patient
–
– the prescription: validity, drug, dose, diluent (if appropriate), route of administration, date
and time of administration
–
– drug allergies
• Consult the BNF and check the form of the drug, whether it needs reconstituting, the type and
volume of diluent required, and the speed of administration.
• Check the name, dose and expiry date of the drug on the vial and the name and expiry date of
the diluent. Ask another member of the healthcare team to countercheck them.
• Wash your hands and don the gloves.
• Attach a 21G (green) needle to a syringe and draw up the correct volume of the diluent.
• Reconstitute the drug by injecting the diluent into the ampoule and shaking it until it is com-
pletely dissolved.
• Draw up the reconstituted drug into the same syringe, making sure to tap out and expel any air.
• Remove the needle and attach a new 21G needle to the syringe.
• Apply a tourniquet to the model arm and select a suitable vein.
• Clean the venepuncture site with an alcohol steret.
• Retract the skin with your non-dominant hand to stabilise the vein, tell the patient to expect a
‘sharp scratch’, and insert the needle into the vein until a flashback is seen.
• Undo the tourniquet.
• Administer the drug at the correct speed (too fast may cause adverse reactions such as emesis).
• Withdraw the needle and immediately dispose of it in the sharps box.
• Apply gentle pressure over the injection site using a piece of cotton wool.
• Remove the gloves.
01-OCSEs-General_Skills_5e ccp.indd 16 18/03/2015 13:18
General
skills
17
Station 8 Intravenous drug injection
After the procedure
• Ensure that the patient is comfortable and ask him to notify a member of the healthcare team
if he notices any adverse effects (it may be necessary to monitor the patient).
• Ask him if he has any questions or concerns.
• Thank him.
• Sign the prescription chart and record the date, time, drug, dose, and injection site of the intra-
venous injection in the medical records.
• Indicate that you would have your checking colleague countersign it.
01-OCSEs-General_Skills_5e ccp.indd 17 18/03/2015 13:18
Clinical
Skills
for
OSCEs
18 Station 9
Examination of a superficial mass and of lymph
nodes
Before starting
• Introduce yourself to the patient.
• Confirm his name and date of birth.
• If allowed, take a brief history from him, for example, onset, course, effect on everyday life.
• Explain the examination and obtain consent.
• Consider the need for a chaperone.
• Ask the patient to expose the lump completely; for example, by undoing the top button of his shirt.
• Position him appropriately and ensure that he is comfortable.
The examination (IPPA: Inspection, Palpation, Percussion, Auscultation)
• Inspect the patient from the end of the bed, looking for other lumps and any other signs.
• Inspect the lump and note its site, colour, and any changes to the overlying skin such as
inflamma­
tion or tethering. Note also the presence or absence of a punctum.
• Ask the patient if the lump is painful before you palpate it. Is the pain only brought on by palpa-
tion or is it a more constant pain?
• Wash and warm your hands.
• Assess the temperature of the lump with the back of your hand.
• Palpate the lump with the pads of your fingers; if possible, from behind the patient. Consider:
–
– number: solitary or multiple
–
– size: estimate length, width, and height, or use a ruler or measuring tape
–
– shape: spherical, ovoid, irregular, other
–
– edge: well or poorly defined
–
– surface: smooth or irregular
–
– consistency: soft, firm, hard, rubbery
–
– fluctuance:resttwofingersofyourlefthandoneithersideofthelumpandpressonthelumpwith
the index finger of your right hand: if your left hand fingers are displaced, the lump is fluctuant
–
– pulsatility: rest a finger of each hand on either side of the lump: if your fingers are displaced,
the lump is pulsatile
–
– mobility or fixation: consider the mobility of the lump in relation both to the overlying skin
and the underlying muscle
–
– compressibility and reducibility: press firmly on the lump to see if it disappears; if it immediately
reappears, it is compressible; if it only reappears upon standing or coughing, it is reducible
• Percuss the lump for dullness or resonance.
• Auscultate the lump for bruits or bowel sounds.
• Transilluminate the lump by holding it between the fingers of one hand and shining a pen torch to it
with the other. A bright red glow indicates fluid whereas a dull or absent glow suggests a solid mass.
• Examine the draining lymph nodes (see below), or indicate that you would do so.
After examining the lump
• Ensure that the patient is comfortable.
• Ask him if he has any questions or concerns.
• Thank him.
• Wash your hands.
• Summarise your findings and offer a differential diagnosis.
• If appropriate, suggest further investigations, e.g. fine needle aspirate cytology (FNAc), biopsy,
ultrasound, CT.
01-OCSEs-General_Skills_5e ccp.indd 18 18/03/2015 13:18
General
skills
19
Station 9 Examination of a superficial mass and of lymph nodes
Lymph node examination
Head and neck
The patient should be sitting up and examined from behind. With the fingers of both hands, palpate
the submental, submandibular, parotid, and pre- and post-auricular nodes. Next palpate the anterior
and posterior cervical nodes and the occipital nodes.
Submental
Anterior cervical
Submandibular
Parotid
Preauricular
Posterior
auricular
Occipital
Posterior
cervical
Figure 3. Lymph nodes in the head and neck.
Upper body
• Palpate the supraclavicular and infraclavicular nodes on either side of the clavicle.
• Expose the right axilla by lifting and abducting the arm and supporting it at the wrist with
your right hand.
• With your left hand, palpate the following lymph node groups:
–
– the apical
–
– the anterior
–
– the posterior
–
– the nodes of the medial aspect of the humerus
• Now expose the left axilla by lifting and abducting the left arm and supporting it at the wrist
with your left hand.
• With your right hand, palpate the lymph node groups, as listed above.
01-OCSEs-General_Skills_5e ccp.indd 19 18/03/2015 13:18
Clinical
Skills
for
OSCEs
20 Station 9 Examination of a superficial mass and of lymph nodes
Anterior
group
Apical
group
Posterior
group
Supraclavicular
and infraclavicular
groups
Figure 4. Lymph nodes of the upper body.
Lower body
Palpate the superficial inguinal nodes (horizontal and vertical), which lie below the inguinal ligament
and near the great saphenous vein respectively, then the popliteal node in the popliteal fossa.
Conditions most likely to come up in a lump examination station
Epidermoid (sebaceous) cyst:
• Results from obstruction of sebaceous gland.
• May be red, hot, and tender.
• Spherical, smooth.
• Attached to the skin but not to the
underlying muscle.
• May have a punctum which may exude a
cottage cheese discharge.
Fibroma:
• Common and benign fibrous tissue tumour.
• Skin-coloured and painless.
• Can be sessile or pedunculated, ‘hard’ or
‘soft’.
• Situated in the skin and so unattached to
underlying structures.
Lipoma:
• Common and benign soft tissue tumour.
• Skin-coloured and painless.
• Spherical, soft and sometimes fluctuant.
• Not attached to the skin and therefore
mobile and ‘slippery’.
Skin abscess:
• Collection of pus in the skin.
• Very likely to be red, hot, and tender.
• May be indurated.
01-OCSEs-General_Skills_5e ccp.indd 20 18/03/2015 13:18
21
Cardiovascular
and
respiratory
medicine
Station 10
Chest pain history
Before starting
• Introduce yourself to the patient.
• Confirm his name and date of birth.
• Explain that you are going to ask him some questions to uncover the nature of his chest pain,
and obtain his consent.
• Ensure that he is comfortable.
The history
• Name, age, occupation, and ethnic origin.
Presenting complaint and history of presenting complaint
• Ask about the nature of the chest pain. Use open questions and give the patient the time to
tell his story. Also remember to be empathetic: chest pain can be a very frightening experience.
• Elicit the patient’s ideas, concerns and expectations (ICE).
• As with any pain history, the mnemonic SOCRATES can help develop your differential diagnosis:
–
– Site: where exactly is the pain?
–
– Onset and progression: when did the pain start and how has it changed or evolved?
–
– Character: what type of pain is it (e.g. dull, sharp, or crushing)?
–
– Radiation: does the pain move anywhere (e.g. into the jaw, arm, or back)?
–
– Associated symptoms and signs: ask specifically about sweating, nausea and vomiting, short-
ness of breath, cough, haemoptysis, dizziness, and palpitations
–
– Timing and duration: does the pain occur at particular times of the day? How long does each
episode last?
–
– Exacerbating and alleviating factors: does anything make the pain better or worse (e.g. exer-
cise, movement, deep breathing, coughing, cold air, large or spicy meals, alcohol, rest, GTN,
sitting up in bed)?
–
– Severity: “How would you rate the pain on a scale of 1 to 10, with 1 being no pain at all and 10
being the worst pain you have ever experienced?”
–
– effect on everyday life: ask in particular about exercise tolerance and sleep
• Ask about any previous episodes of chest pain.
Past medical history
• Current, past, and childhood illnesses.
• In particular, ask about risk factors: coronary heart disease, myocardial infarction, stroke, pneu-
monia, pulmonary embolism, deep vein thrombosis, hypertension, hyperlipidaemia, diabetes,
smoking, alcohol use, and recent long-haul travel.
• Recent trauma or injury.
• Surgery.
Drug history
• Prescribed medication, including the oral contraceptive pill if female.
• Over-the-counter medication.
• Illicit drugs.
• Allergies.
02-OCSEs-Cardio__Resp_Med_5e ccp.indd 21 18/03/2015 13:21
Clinical
Skills
for
OSCEs
22 Station 10 Chest pain history
Family history
• Parents, siblings, and children. Ask specifically about heart disease, hypertension, and other
heritable cardiovascular risk factors.
Social history
• Employment.
• Housing.
• Hobbies.
After taking the history
• Ask the patient if there is anything else that he might add that you have forgotten to ask. This is
an excellent question to ask in clinical practice, and an even better one to ask in exams.
• Thank the patient.
• Summarise your findings and offer a differential diagnosis.
• State that you would like to examine the patient and possibly order some investigations, in
particular:
• ECG to look for or help rule out ischaemic heart disease.
• Blood tests including
–
– troponins to look for or help rule out myocardial infarction
–
– D-dimers for suggestion of a DVT/pulmonary embolism (a negative result excludes the
diagnosis but a positive result does not confirm it)
–
– inflammatory markers such as white cell count and CRP for suggestion of pneumonia
• Chest X-ray for signs of pneumonia or pneumothorax.
• CTPA or V/Q scan if the history is suggestive of a pulmonary embolism.
Conditions most likely to come up in a chest pain history station
Angina:
• Heavy retrosternal pain which may radiate into the neck or left arm
• Brought on by effort or emotion and relieved by rest and nitrates
• Risk factors for ischaemic heart disease are likely
• A family history of ischaemic heart disease is likely
Myocardial infarction (MI):
• Pain typically comes on over a few minutes
• Pain is similar to that of angina but is typically severe, long-lasting ( 20 minutes), and
unresponsive to nitrates
• Often associated with sweating, nausea, and breathlessness
• Risk factors for ischaemic heart disease are likely
• A family history of ischaemic heart disease is likely
02-OCSEs-Cardio__Resp_Med_5e ccp.indd 22 18/03/2015 13:21
Cardiovascular
and
respiratory
medicine
23
Station 10 Chest pain history
Pleuritic pain:
• Sharp, stabbing, ‘catching’ pain
• May radiate to the back or shoulder
• Typically aggravated by deep breathing and coughing
• Can be caused by pleurisy which can occur with pneumonia, pulmonary embolus, and
pneumothorax, or by pericarditis which can occur post-MI, in viral infections, and in autoimmune
diseases
• Pleural pain is localised to one side of the chest and is not position dependent
• Pericardial pain is central and positional, aggravated by lying down and alleviated by sitting up or
leaning forward
• Dressler’s syndrome (post-MI syndrome) is characterised by pleuritic chest pain from pericarditis
accompanied by a low-grade fever, and can occur up to three months following an MI
Pulmonary embolus:
• Sharp, stabbing pain that is of sudden onset
• May be associated with shortness of breath, haemoptysis, and/or pleurisy
• Typically aggravated by deep breathing and coughing
• May be a history of recent surgery, prolonged bed rest, or long-haul travel
Gastro-oesophageal reflux disease:
• Retrosternal burning
• Clear relationship with food and alcohol, but no relationship with effort
• May be associated with odynophagia and nocturnal asthma
• Aggravated by lying down and alleviated by sitting up and by antacids such as Gaviscon or milk
Musculoskeletal complaint e.g. costochondritis:
• May be associated with a history of physical injury or unusual exertion
• Pain is aggravated by movement, but is not reliably alleviated by rest
• The site of the pain is tender to touch
Panic attack:
• Rapid onset of severe anxiety lasting for about 20–30 minutes
• Associated with chest tightness and hyperventilation
Aortic dissection:
• Sudden onset, sharp, tearing pain that is maximal at the time of onset
• Radiates to the back
If you cannot differentiate angina from gastro-oesophageal reflux disease and there are
no signs of ischaemia on the ECG, advise an exercise ECG stress test. If this is negative,
consider a therapeutic trial of an antacid or a nitrate.
02-OCSEs-Cardio__Resp_Med_5e ccp.indd 23 18/03/2015 13:21
Clinical
Skills
for
OSCEs
24 Station 11
Cardiovascular risk assessment
Cardiovascular risk factors can usefully be divided into fixed (non-modifiable) and modifiable risk
factors. Fixed risk factors include older age, male gender, family history, and a South Asian background.
Modifiable risk factors include hypertension, hyperlipidaemia, diabetes, smoking, alcohol, exercise,
and stress. Having one or more of these risk factors does not mean that a person is going to develop
cardiovascular disease, but merely that he is at increased probability of developing it. Conversely,
having no risk factors is not a guarantee that a person is not going to develop cardiovascular disease.
Before starting
• Introduce yourself to the patient.
• Confirm his name and date of birth.
• Explain that you are going to ask him some questions to assess his risk of cardiovascular disease
(coronary heart disease, cerebrovascular disease, vascular disease) and obtain consent.
Remember to be tactful in your questioning, and to respond sensitively to the patient’s
ideas, concerns and expectations (ICE).
The risk assessment
If this information has not already been provided or disclosed, find out the patient’s reason for
attending. Then note or enquire about:
Fixed risk factors
1. Age and sex.
2. Ethnic background. People from a South Asian background are at a notably higher risk of
cardiovascular disease.
3. Past cardiovascular events, e.g. MI or stroke. If the patient has a history of past cardiovascular
events, you are assessing him for secondary rather than primary prevention.
4. Family history. Ask about a family history of cardiovascular disease and risk factors for
­
cardiovascular disease such as hypertension, hyperlipidaemia and diabetes mellitus.
Modifiable risk factors
5. Hypertension. If hypertensive, ask about latest blood pressure measurement, time since first
diagnosis, and any medication being taken.
6. Hyperlipidaemia. If hyperlipidaemic, ask about latest serum cholesterol level, time since first
diagnosis, and any medication being taken.
7. Diabetes mellitus. If diabetic, ask about medication being taken, level of diabetes control
being achieved, time since first diagnosis, and presence of complications.
8. Cigarette smoking. If a smoker or ex-smoker, ask about number of years spent smoking and
average number of cigarettes smoked per day. Does the patient also smoke roll-ups and can-
nabis? Does he use illicit drugs such as cocaine?
9. Alcohol. Ask about the number of units of alcohol consumed in a day and typical week. Note
that depending on the amount and type that is drunk, alcohol can be either protective or a
risk factor.
10. Diet. In particular, ask about fried food and takeaways.
11. Lack of exercise. Ask about amount of exercise taken in a day or week. Does the patient walk
to work or walk to the shops?
12. Stress. Ask about occupational history and home life.
02-OCSEs-Cardio__Resp_Med_5e ccp.indd 24 18/03/2015 13:21
Cardiovascular
and
respiratory
medicine
25
Station 11 Cardiovascular risk assessment
Table 2. Desirable lipid levels
Total cholesterol  5.0 mmol/l
LDL ‘bad’ cholesterol (fasting)  3.0 mmol/l
HDL ‘good’ cholesterol  1.2 mmol/l
Total cholesterol/HDL cholesterol  4.5
Tryglycerides (fasting)  1.5 mmol/l
NB. Patients at high risk of cardiovascular disease should aim
for even better than these figures.
After the assessment
• If you have time, assess the extent of any cardiovascular disease.
• Ask the patient if there is anything he would like to add that you may have forgotten to ask
about.
• Give him feedback on his cardiovascular risk (e.g. low, medium, high), and, if appropriate,
indicate a further course of action (e.g. further investigations or further appointment to discuss
reducing modifiable risk factors).
• Address any remaining concerns.
• State to the examiner that appropriate investigations include:
–
– BMI (should be between 18.5kg/m2
and 24.9kg/m2
)
–
– waist circumference (should be less than 102cm for men and 89cm for women)
–
– blood pressure (should be under 140/90mmHg)
–
– fasting blood glucose levels (should be under 6.0mmol/L)
–
– fasting lipid levels (see Table 2)
• Suggest calculating the patient’s 10-year cardiovascular risk score using the Framingham risk
equation, which takes into account a number of risk factors including gender, age, total choles-
terol, HDL cholesterol, smoking status, and blood pressure.
• Indicate that the management of cardiovascular risk factors includes lifestyle modification and,
if appropriate, medical intervention (see Table 3).
Table 3. Management of cardiovascular disease
Lifestyle modification Medical intervention
Advise patient to:
• Stop smoking.
• Reduce alcohol intake (to 3–4 units/day
in men and 2–3 in women, and avoid
binges).
• Lose weight.
• Adopt a healthy diet: reduce saturated
fatty acids, trans-fatty acids and
cholesterol; increase fibre and omega-3
fatty acids, e.g. from fish.
• Take 30–60 minutes of exercise per day.
• Consider statin for secondary prevention
or for primary prevention if 10-year risk is
20%.
• Consider anti-platelet drugs e.g. aspirin.
• Consider anti-hypertensive agents.
• If necessary, seek to optimise blood sugar
control.
02-OCSEs-Cardio__Resp_Med_5e ccp.indd 25 18/03/2015 13:21
Clinical
Skills
for
OSCEs
26 Station 12
Blood pressure measurement
Before starting
• Introduce yourself to the patient.
• Confirm his name and date of birth.
• Explain the procedure and obtain his consent.
• Tell him that he might feel some discomfort as the cuff is inflated, and that the blood pressure
measurement may have to be repeated.
Avoid white coat hypertension by putting the patient at ease. Briefly discuss a non-
threatening subject, such as the patient’s journey to the clinic, or the weather.
The procedure
• Select an appropriately sized cuff and attach it to the BP machine. This is usually a standard cuff
in all but children and the obese.
• Position the BP machine so that it is roughly at the level of the patient’s heart.
• Position the measurement column/dial so that it is at eye level (avoids parallax error).
• Position the patient’s right arm so that it is horizontal at the level of the mid-sternum and free
from obstructive clothing.
• Locate the brachial artery at about 2 cm above the antecubital fossa.
• Apply the cuff to the arm, ensuring that the arterial point/arrow is over the brachial artery.
• Inflate the cuff to 20–30 mmHg higher than the estimated systolic blood pressure. You can es-
timate the systolic blood pressure by palpating the brachial or radial artery pulse and inflat­
ing
the cuff until you can no longer feel it.
• Place the stethoscope over the brachial artery pulse, ensuring that it does not touch the cuff.
• Reduce the pressure in the cuff at a rate of 2–3 mmHg per second.
–
– the first consistent Korotkov sounds indicate the systolic blood pressure
–
– the muffling and disappearance of the Korotkov sounds indicate the diastolic blood pres­
sure
• Record the blood pressure as the systolic reading over the diastolic reading. Do not at­
tempt
to ‘round off’ your readings; to an examiner’s ear, 144/88 usually rings more true than 140/90.
• If the blood pressure is higher than 140/90, indicate that you need to take a second reading
after giving the patient a one minute rest.
• In some situations, it may be appropriate to record the blood pressure in both arms (to inves-
tigate coarctation or dissection of the aorta), and also with the patient lying and standing (to
investigate for postural hypotension: a drop in BP on standing of ≥20mmHg).
After the procedure
• Ensure that the patient is comfortable.
• Tell the patient his blood pressure and explain its significance. Hypertension can only be con-
firmed by several blood pressure measurements taken over an extended period of time.
• Thank the patient.
• Document the blood pressure recording in the patient’s notes.
02-OCSEs-Cardio__Resp_Med_5e ccp.indd 26 18/03/2015 13:21
Cardiovascular
and
respiratory
medicine
27
Station 12 Blood pressure measurement
Examiner’s questions
Causes of secondary hypertension:
• Endocrine causes:
– high catecholamines, e.g.
phaeochromocytoma
– high glucocorticoids, e.g. Cushing’s
syndrome
– high mineralocorticoids, e.g. Conn’s
syndrome
– high growth hormone, e.g. acromegaly
– hyper- or hypo-thyroidism
– hyperparathyroidism
• Renal disease
• Vascular causes:
– renal artery stenosis
– coarctation of the aorta
• Pregnancy:
– gestational hypertension
– pre-eclampsia (+ oedema and proteinuria)
• Drugs:
– NSAIDs, steroids, oestrogen, illicit drugs
Complications of hypertension:
• Cerebrovascular accident (haemorrhage or
ischaemic infarct).
• Retinopathy.
• Ischaemic heart disease.
• Left ventricular failure.
• Renal failure.
• Atherosclerosis.
• Aneurysm.
Investigations in hypertension:
• Confirming hypertension.
• Assessing for a possible secondary cause.
• Assessing for complications/end-organ
damage (see above) e.g. fundoscopy, ECG,
blood tests such as urea and electrolytes.
Artery
Stethoscope
Sphygmomanometer
Right arm
Cuff
Figure 5. Positioning of the cuff and head
of the stethoscope.
02-OCSEs-Cardio__Resp_Med_5e ccp.indd 27 18/03/2015 13:21
Clinical
Skills
for
OSCEs
28 Station 13
Cardiovascular examination
Before starting
• Introduce yourself to the patient.
• Confirm his name and date of birth.
• Explain the examination and obtain his consent.
• Position him at 45 degrees, and ask him to remove his top(s).
• Ensure that he is comfortable.
• Wash your hands.
The examination (IPPA)
General inspection
• From the end of the couch, observe the patient’s general appearance (age, state of health,
nutritional status, and any other obvious signs). Is he breathless or cyanosed? Is he coughing?
Does he have the malar flush of mitral stenosis?
• Observe the patient’s surroundings, looking in particular for items such as a nitrate spray, an
oxygen mask, ECG electrodes, and IV lines and infusions.
• Inspect the chest for any scars and the precordium for any abnormal pulsation. A median
sternotomy scar could indicate coronary artery bypass graft­
ing (CABG), valve repair or replace-
ment, or the repair of a congenital defect. A left submammary scar most likely indicates repair
or replacement of the mitral valve. Do not miss a pacemaker if it is there!
Inspection and examination of the hands
• Take both hands noting:
–
– temperature: feel with the back of your hand
–
– colour, in particular the blue of peripheral cyanosis and the orange of nicotine stains
–
– nail bed capillary refill time: press the nail for 5 seconds; it should refill within 2 seconds
–
– any presence of clubbing (endocarditis, cyanotic congenital heart disease)
–
– any presence of Osler nodes and Janeway lesions (subacute infective endocarditis)
–
– any presence of splinter haemorrhages (subacute infective endocarditis)
–
– any presence of koilonychia or ‘spoon nails’ (iron deficiency)
• Determine the rate, rhythm, volume, and character of the radial pulse. A regularly irregular
rhythm suggests second degree heart block, whereas an irregularly irregular rhythm suggests
atrial fibrillation or multiple ectopics.
• Raise the patient’s arm above his head to assess for a collapsing/water hammer pulse (aortic
regurgitation). Ask the patient whether he has any shoulder pain first.
• Simultaneously take the pulse in both arms to exclude radio-radial delay (aortic arch aneurysm).
Indicate that you would also exclude radio-femoral delay (coarctation of the aorta).
• As you move up the arm, look for bruising, which may indicate that the patient is on an anti­
coagulant, and for evidence of intravenous drug use, which is a risk factor for acute infective
endocarditis.
• Indicate that you would like to record the blood pressure (see Station 12). A wide pulse pressure
is typically seen in aortic regurgitation; a narrow pulse pressure in aortic stenosis.
02-OCSEs-Cardio__Resp_Med_5e ccp.indd 28 18/03/2015 13:21
Cardiovascular
and
respiratory
medicine
29
Station 13 Cardiovascular examination
Inspection and examination of the head and neck
• Inspect the eyes, looking for peri-orbital xanthelasma and corneal arcus, both of which indicate
hyperlipidaemia.
• Gently retract an eyelid and ask the patient to look up. Inspect the conjunctivus for pallor, which
is indicative of anaemia.
• Ask the patient to open his mouth, and look for signs of central cyanosis, dehydration, poor
dental hygiene (subacute bacterial endocarditis), and a high arched palate (Marfan’s syndrome).
• Palpate the carotid artery and assess its volume and character. A slow-rising pulse is suggestive
of aortic stenosis, a collapsing pulse of aortic regurgitation. Never palpate both carotid arteries
simultaneously.
• Assess the jugular venous pressure (see Figure 6) and, if possible, the jugular venous pulse form:
ask the patient to turn his head slightly to one side, and look at the internal vein medial to the
clavicular head of sternocleidomastoid. Assuming that the patient is reclining at 45 degrees,
the vertical height of the jugular distension from the angle of Louis (sternal angle) should be
no greater than 4 cm: if it is greater than 4cm, this suggests right heart failure, fluid overload,
or tricuspid valve disease.
Palpation of the heart
Ask the patient if he has any chest pain.
• Determine the location and character of the apex beat. It is normally located in the fifth inter-
costal space at the mid­
clavicular line. The apex may be:
–
– impalpable: obesity, dextrocardia, situs inversus…
–
– displaced, suggesting volume overload (mitral or aortic regurgitation)
–
– heaving, suggesting pressure overload and left ventricular hypertrophy (aortic stenosis)
–
– ‘tapping’, suggesting mitral stenosis
• Place the flat of your hands over either side of the sternum and feel for any heaves and thrills.
Heaves result from right ventricular hypertrophy (cor pulmonale) and thrills from transmitted
murmurs.
45°
Height of jugular
venous distention
Angle of Louis
(sternal angle)
4 cm
Figure 6. Assessing
the jugular venous
pressure.
02-OCSEs-Cardio__Resp_Med_5e ccp.indd 29 18/03/2015 13:21
Clinical
Skills
for
OSCEs
30 Station 13 Cardiovascular examination
Auscultation of the heart
• Listen for heart sounds, additional sounds, murmurs, and pericardial rub. Using the stetho-
scope’s diaphragm, listen in the:
–
– aortic area
right second intercostal space near the sternum
–
– pulmonary area
left second intercostal space near the sternum
–
– tricuspid area
left third, fourth, and fifth intercostal spaces near the sternum
–
– mitral area (use the stethoscope’s bell)
left fifth intercostal space in the mid-clavicular line
• Manoeuvres and points to remember:
–
– ask the patient to bend forward and to hold his breath at end-expiration. Using the stetho-
scope’s diaphragm, listen at the left sternal edge in the fourth intercostal space for the mid-
diastolic murmur of aortic regurgitation
–
– ask the patient to turn onto his left side and to hold his breath at end-expiration. Using the
stethoscope’s bell, listen in the mitral area for the mid-diastolic murmur of mitral stenosis
–
– listen over the carotid arteries for any bruits and the radiation of the murmur of aortic
­
stenosis
–
– listen in the left axilla for the radiation of the murmur of mitral regurgitation
For any murmur, determine its location and radiation, and its duration (early, mid, late, ‘pan’ or
throughout) and timing (diastolic, systolic) in relation to the cardiac cycle. This is best done by
palpating the carotid or brachial artery to determine the start of systole. Grade the murmur on a scale
of I to VI according to its intensity (see Table 4). Common conditions associated with murmurs are listed
in Table 5.
A P
T
M
Mid-clavicular
line
Auscultation points
C C
Ax
Figure 7. Auscultation points.
02-OCSEs-Cardio__Resp_Med_5e ccp.indd 30 18/03/2015 13:21
Cardiovascular
and
respiratory
medicine
31
Station 13 Cardiovascular examination
Table 4. Grading murmurs
I Barely audible murmur
II Soft and localised murmur
III Murmur of moderate intensity that is immediately audible
IV Murmur of loud intensity with a palpable thrill
V As above, murmur audible with only stethoscope rim on chest wall
VI As above, murmur audible even as stethoscope is lifted from chest wall
Table 5. Common conditions associated with murmurs
Aortic stenosis Slow-rising pulse, heaving cardiac apex, ejection/early-systolic murmur best
heard in the aortic area and radiating to the carotids and cardiac apex
Mitral regurgitation Displaced thrusting cardiac apex, pan-systolic murmur best heard in the
mitral area and radiating to the axilla, patient may be in atrial fibrillation
Aortic regurgitation Collapsing pulse, thrusting cardiac apex, diastolic murmur best heard at the
lower left sternal edge
Mitral valve prolapse Mid-systolic click, late-systolic murmur best heard in the mitral area
RILE: Right-sided murmurs are heard loudest on Inspiration whereas Left-sided murmurs are heard
loudest on Expiration
Chest examination
• Percuss and auscultate the chest, especially at the bases of the lungs. Heart failure can cause
pulmonary oedema and pleural effusions.
Abdominal examination
• Palpate the abdomen to exclude ascites and/or hepatomegaly.
• Check for the presence of an aortic aneurysm.
• Ballot the kidneys and listen for any renal artery bruits.
Examination of the ankles and legs
• Inspect the legs for scars that might be indicative of vein harvesting for a CABG.
• Palpate for the ‘pitting’ oedema of cardiac failure: check for pain and then press for 5 seconds
on the patient’s legs. If oedema is present, assess how far it extends. In some cases, it may
extend all the way up to the sacrum or even the torso (‘anasarca’).
• Assess the temperature of the feet, and check the posterior tibial and dorsalis pedis pulses in
both feet.
02-OCSEs-Cardio__Resp_Med_5e ccp.indd 31 18/03/2015 13:21
Clinical
Skills
for
OSCEs
32 Station 13 Cardiovascular examination
After the examination
• Indicate that you would look at the observation chart, dipstick the urine, examine the retina
with an ophthalmoscope (for hypertensive changes and the Roth’s spots of subacute infective
endocarditis), and, if appropriate, order some key investigations, e.g. FBC, ECG, CXR, echocar-
diogram.
• Cover the patient up and ensure that he is comfortable.
• Thank the patient.
• Summarise your findings and offer a differential diagnosis.
Conditions most likely to come up in a cardiovascular examination station
• Murmurs (see Table 5).
• Heart failure.
• Median sternotomy scar, with or without scar on the lower leg (vein harvesting).
• Pacemaker.
02-OCSEs-Cardio__Resp_Med_5e ccp.indd 32 18/03/2015 13:21
33
Cardiovascular
and
respiratory
medicine
Station 14
Peripheral vascular system examination
In this station you may be asked to restrict your examination to the arterial or venous system only. You
must therefore be able to separate out the signs for either (see Table 6).
Before starting
• Introduce yourself to the patient.
• Confirm his name and date of birth.
• Explain the examination and obtain his consent.
• After checking for any pain, ask him to expose his feet and legs and to lie down on the couch.
The examination
Inspection
• General appearance: body habitus, missing limbs or digits, surrounding paraphernalia such as
walking aids, oxygen, cigarettes.
• Skin changes: pallor, shininess, loss of body hair, atrophie blanche (ivory-white areas), haemo­
siderin ­
pigmentation, inflammation, eczema, lipodermatosclerosis.
• Thickened dystrophic nails.
• Scars.
• Signs of gangrene: blackened skin, nail infection, amputated toes.
• Venous and arterial ulcers. Remember to look in the interdigital spaces.
• Oedema.
• Varicose veins (ask the patient to stand up). Varicose veins are often associated with incompe-
tent valves in the long and short saphenous veins.
Do not make the common mistake of asking the patient to stand up before having
examined for varicose veins.
Palpation and special tests
• Ask about any pain in the legs and feet.
• Assess skin temperature by running the back of your hand along the leg and the sole of the
foot. Compare both legs.
• Capillary refill. Compress a nail bed for 5 seconds and let go. It should take less than 2 seconds
for the nail bed to return to its normal colour.
• Peripheral pulses (compare both sides).
–
– femoral pulse at the inguinal ligament
–
– popliteal pulse in the popliteal space (flex the knee)
–
– posterior tibial pulse behind the medial malleolus
–
– dorsalis pedis pulse over the dorsum of the foot, just lateral to the extensor tendon of the
great toe
• Buerger’s test:
–
– lift both of the patient’s legs to a 15 degree angle and note any collapse of the veins (‘venous
guttering’), which is indicative of arterial insufficiency
–
– lift both of the patient’s legs up to the point where they turn white (this is Buerger’s angle);
if there is no arterial insufficiency, the legs will not turn white, not even at a 90 degree angle
02-OCSEs-Cardio__Resp_Med_5e ccp.indd 33 18/03/2015 13:21
Clinical
Skills
for
OSCEs
34 Station 14 Peripheral vascular system examination
–
– ask the patient to dangle his legs over the edge of the couch; in chronic limb ischaemia,
rather than returning to its normal colour, the skin will slowly turn red like a cooked lobster
(reactive hyperaemia)
• Oedema. Firm ‘non-pitting’ oedema is a sign of chronic venous insufficiency (compare to the
‘pitting’ oedema of cardiac failure).
• Varicose veins. Tenderness on palpation suggests thrombophlebitis.
• Trendelenburg’s test:
–
– elevate the leg to 90 degrees to drain the veins of blood
–
– occlude the sapheno-femoral junction (SFJ) with two fingers
–
– keep your fingers in place and ask the patient to stand up
–
– remove your fingers: if the superficial veins refill, this indicates incompetence at the SFJ
• Tourniquet test:
–
– elevate the leg to 90 degrees to drain the veins of blood
–
– apply a tourniquet to the upper thigh
–
– ask the patient to stand up: if the superficial veins below the tourniquet refill, this indicates
incompetent perforators below the tourniquet
–
– release the tourniquet: sudden additional filling of the veins is a sign of sapheno-femoral
incompetence
[Note] The tourniquet test can be repeated further and further down the leg, until the superficial veins below the
tourniquet no longer refill.
Auscultation
• Femoral arteries.
• Abdominal aorta.
• Renal arteries.
After the examination
• Thank the patient.
• Ensure that he is comfortable.
• Summarise your findings and offer a differential diagnosis.
• If appropriate, indicate that you might also measure the ABPI (see Station 15) and examine the
cardiovascular system and abdomen (aortic aneurysm).
02-OCSEs-Cardio__Resp_Med_5e ccp.indd 34 18/03/2015 13:21
Cardiovascular
and
respiratory
medicine
35
Station 14 Peripheral vascular system examination
Table 6. Examination of the arterial or venous system only
Arterial system Venous system
Pallor
Shininess
Dystrophic nails
Loss of body hair
Arterial ulcers
Signs of gangrene
Skin temperature
Capillary refill
Peripheral pulses
Buerger’s test
Auscultation of femoral arteries and aorta
ABPI (if time permits, see Station 15)
Atrophie blanche
Pigmentation
Inflammation
Eczema
Lipodermatosclerosis
Oedema (non-pitting)
Venous ulcers
Varicose veins
Scars due to varicose vein surgery
Trendelenburg test
Perthes’ test (if after the gold medal)
[Note] The 6 Ps of limb ischaemia: pain, pallor, pulselessness, paraesthesia, paralysis, and perishingly cold.
02-OCSEs-Cardio__Resp_Med_5e ccp.indd 35 18/03/2015 13:21
Clinical
Skills
for
OSCEs
36 Station 15
Ankle-brachial pressure index (ABPI)
Specifications: You are most likely to be requested to measure the ABPI for one arm and ankle only.
Calculating and interpreting ABPI
Figure 8. Calculating ABPI.
Table 7. ABPI interpretation
ABPI Interpretation
 0.95
0.5–0.9
 0.5
 0.2
Normal
Claudication pain
Rest pain
Ulceration and gangrene
Higher of the two right ankle pressures
Higher of the two arm pressures
Higher of the two left ankle pressures
Higher of the two arm pressures
Right arm
systolic pressure
Left arm
systolic pressure
Right ankle
systolic
pressure
Left ankle
systolic
pressure
Posterior tibial
Dorsalis pedis
Posterior tibial
Dorsalis pedis
Right ABPI Left ABPI
02-OCSEs-Cardio__Resp_Med_5e ccp.indd 36 18/03/2015 13:21
Cardiovascular
and
respiratory
medicine
37
Station 15 Ankle-brachial pressure index (ABPI)
Before starting
• Introduce yourself to the patient.
• Confirm his name and date of birth.
• Explain the procedure and obtain his consent.
• Position him at 45° with his sleeves and trousers rolled up.
• Ensure that he is comfortable.
• Wash your hands.
• State that you would allow him 5 minutes resting time before taking measurements.
The procedure
Brachial systolic pressure
• Place an appropriately sized cuff around the arm, as for any blood pressure recording.
• Locate the brachial pulse by palpation and apply contact gel at this site.
• Angle the hand-held Doppler probe at 45° to the skin and locate the best possible signal. Apply
only gentle pressure, or else you risk occluding the artery.
• Inflate the cuff until the signal disappears.
• Progressively deflate the cuff and record the pressure at which the signal reappears.
• Repeat the procedure for the other arm or state that you would do so.
• Retain the higher of the two readings.
Take care not to allow the probe to slide away from the line of the artery.
Ankle systolic pressure
• Place an appropriately sized cuff around the ankle immediately above the malleoli.
• Locate the dorsalis pedis pulse by palpation or with the hand-held Doppler probe and apply
contact gel at this site.
• Angle the hand-held Doppler probe at 45° to the skin and locate the best possible signal. Apply
only gentle pressure, or else you risk occluding the artery.
• Inflate the cuff until the signal disappears.
• Progressively deflate the cuff, and record the pressure at which the signal reappears.
• Repeat the procedure for the posterior tibial pulse, which is posterior and inferior to the medial
malleolus.
• Repeat the procedure for the dorsalis pedis and posterior tibial pulses of the other ankle or state
that you would do so.
• For each ankle, retain the higher of the two readings.
After the procedure
• Clean the patient’s skin of contact gel and allow him time to restore his clothing.
• Clean the hand-held Doppler probe of contact gel.
• Wash your hands.
• Calculate the ABPI and explain its significance to the patient.
• Ask the patient if he has any questions or concerns.
• Thank the patient.
02-OCSEs-Cardio__Resp_Med_5e ccp.indd 37 18/03/2015 13:21
Clinical
Skills
for
OSCEs
38 Station 16
Breathlessness history
Before starting
• Introduce yourself to the patient.
• Confirm his name and date of birth.
• Explain that you are going to ask him some questions to uncover the nature of his breathless-
ness, and obtain his consent.
• Ensure that he is comfortable.
The history
• Name, age, and occupation.
Presenting complaint
• Ask about the nature of the breathlessness. Use open questions.
• Elicit the patient’s ideas, concerns and expectations (ICE).
History of presenting complaint
Ask about:
• Onset, duration, and variability of breathlessness.
• Provoking and relieving factors. Provoking factors include stress, exercise, cold weather, pets,
dust, and pollen; relieving factors include rest and use of inhaler or GTN spray.
• Severity:
–
– exercise tolerance: “How far can you walk before you get breathless? How far could you walk
before?”
–
– sleep disturbance: “Do you get more breathless when you lie down? How many pillows do you
use?”
–
– paroxysmal nocturnal dyspnoea: “Do you wake up in the middle of the night feeling breathless?”
• Associated symptoms (wheeze, cough, sputum, haemoptysis, fever, night sweats, anorexia, loss
of weight, lethargy, chest pain, dizziness, pedal oedema).
• Effect on everyday life.
• Previous episodes of breathlessness.
• Smoking and alcohol.
Past medical history
• Current, past, and childhood illnesses. Ask specifically about atopy (asthma/eczema/hay fever),
PE/DVT, pneumonia, bronchitis, and tuberculosis.
• Previous investigations (e.g. bronchoscopy, chest X-ray).
• Previous hospital admissions and previous surgery.
Drug history
• Prescribed medication (especially bronchodilators, NSAIDs, b-blockers, ACE inhibitors,
­
amiodarone, and steroids) and route (e.g. inhaler, home nebuliser).
• Over-the-counter medication.
• Recreational drugs.
• Allergies.
02-OCSEs-Cardio__Resp_Med_5e ccp.indd 38 18/03/2015 13:21
Cardiovascular
and
respiratory
medicine
39
Station 16 Breathlessness history
Family history
• Parents, siblings, and children. Focus especially on respiratory diseases such as atopy, cystic
fibrosis, tuberculosis, and emphysema (a1-antitrypsin deficiency).
Social history
• Smoking: 1 pack year is equivalent to 20 cigarettes per day for 1 year.
• Recent long-haul travel.
• Exposure to tuberculosis.
• Contact with asbestos (mesothelioma).
• Contact with work-place allergens involved in, for example, baking, soldering, spray painting.
• Contact with animals, especially cats, dogs, and birds (bird fancier’s lung).
After taking the history
• Ask the patient if there is anything else he might add that you have forgotten to ask.
• Thank the patient.
• Summarise your findings and offer a differential diagnosis.
• State that you would like to examine the patient and carry out some investigations to confirm
your diagnosis.
Conditions most likely to come up in a breathlessness history station
Asthma:
• Breathlessness, chest tightness, wheezing and coughing.
• Symptoms worse at night and in the early morning, and exacerbated by irritants, cold air,
exercise, and emotion.
• Symptoms respond to bronchodilators.
• There may be a history and family history of atopy.
Chronic obstructive pulmonary disease:
• Breathlessness, cough, wheeze.
• Chronic progressive disorder characterised by fixed or only partially reversible airway
obstruction (cf. asthma).
• History of smoking.
Pneumonia:
• Breathlessness accompanied by fever, cough, and yellow sputum, and in some cases by
haemoptysis and pleuritic chest pain.
02-OCSEs-Cardio__Resp_Med_5e ccp.indd 39 18/03/2015 13:21
Clinical
Skills
for
OSCEs
40 Station 16 Breathlessness history
Tuberculosis:
• Breathlessness, cough, haemoptysis, weight loss, malaise, fever, night sweats, pleural pain,
symptoms of extrapulmonary disease.
• More likely in certain high-risk groups such as immigrants, the homeless and the
immunocompromised.
Pulmonary embolism:
• Breathlessness, sometimes with pleural pain and haemoptysis.
• There may be predisposing factors such as recent surgery, immobility, or long-haul travel.
Lung cancer:
• Symptoms may include breathlessness, stridor, cough, haemoptysis, anorexia, weight loss,
lethargy, pleural pain, hoarseness, Horner’s syndrome, effects of distant metastases.
• History of smoking in most cases.
Heart failure:
• Left ventricular failure leads to pulmonary oedema.
• Symptoms include breathlessness, orthopnoea, paroxysmal nocturnal dyspnoea, pedal
oedema.
• There is a cough which produces pink frothy sputum.
Panic attack:
• Rapid onset of severe anxiety lasting for about 20–30 minutes.
• Associated with chest tightness and hyperventilation.
02-OCSEs-Cardio__Resp_Med_5e ccp.indd 40 18/03/2015 13:21
41
Cardiovascular
and
respiratory
medicine
Station 17
Respiratory system examination
Before starting
• Introduce yourself to the patient.
• Confirm his name and date of birth.
• Explain the examination and obtain his consent.
• Position him at 45°, and ask him to remove his top(s).
• Ask him if he is in any pain or distress.
• Ensure that he is comfortable.
• Wash your hands.
The examination (IPPA)
General inspection
• From the end of the couch, observe the patient’s general appearance (age, state of health, nu-
tritional status, and any other obvious signs). In particular, is he visibly breathless or cyanosed?
Does he have to sit up to breathe? Is his breathing audible? Are there any added sounds (cough,
wheeze, stridor)?
• Note:
–
– the rate, depth, and regularity of his breathing
–
– any deformities of the chest (barrel chest, pectus excavatum, pectus carinatum) and spine
–
– any asymmetry of chest expansion
–
– the use of accessory muscles of respiration and planting of hands
–
– the presence of operative scars, including in the axillae and around the back
• Next observe the surroundings. Is the patient on oxygen? If so, note the device (see Tables 40
and 41 in Station 113), the concentration (%), and the flow rate. Look in particular for inhalers,
nebulisers, peak flow meters, intravenous lines, chest drains, and chest drain contents. If there
is a sputum pot, make sure to inspect its contents.
Inspection and examination of the hands
• Take both hands and assess them for temperature and colour. Peripheral cyanosis is indicated
by a bluish discoloration of the fingertips.
• Test capillary refill by compressing a nail bed for 5 seconds and letting go. It should take less
than 2 seconds for the nail bed to return to its normal colour.
• Look for tar staining and finger clubbing. When the dorsum of a finger from one hand is opposed
to the dorsum of a finger from the other hand, a diamond-shaped window (Schamroth’s
window) is formed at the base of the nailbeds. In clubbing, this diamond-shaped window is
obliterated, and a distal angle is created between the fingers (see Figure 9). Respiratory causes
of clubbing include carcinoma, fibrosing alveolitis, and chronic suppurative lung disease (see
Table 8).
• Inspect and feel the thenar and hypothenar eminences, which can be wasted if there is an
apical lung tumour that is invading or compressing the roots of the brachial plexus.
• Test for asterixis (see Table 9), the coarse flapping tremor of carbon dioxide retention, by asking
the patient to extend both arms with the wrists in dorsiflexion and the palms facing forwards.
Ideally, this position should be maintained for a full 30 seconds. Note that generalised fine
tremor may be related to excessive use of B2
agonist.
• During this time, assess the radial pulse and determine its rate, rhythm, and character. Is it the
bounding pulse of carbon dioxide retention?
• Indicate that you would like to measure the blood pressure.
02-OCSEs-Cardio__Resp_Med_5e ccp.indd 41 18/03/2015 13:21
Clinical
Skills
for
OSCEs
42 Station 17 Respiratory system examination
Table 8. The principal causes of clubbing
Respiratory causes
Bronchial carcinoma
Fibrosing alveolitis
Chronic suppurative lung disease
Cardiac causes
Infective endocarditis
Cyanotic heart disease
Gastrointestinal causes
Cirrhosis
Ulcerative colitis
Crohn’s disease
Coeliac disease
Familial
Table 9. The principal causes of asterixis
Hepatic failure
Renal failure
Cardiac failure
Respiratory failure
Electrolyte abnormalities (hypoglycaemia, hypokalaemia, hypomagnesaemia)
Drug intoxication, e.g. alcohol, phenytoin
CNS causes
Inspection and examination of the head and neck
• Inspect the patient’s eyes. Look for a ptosis (an upper lid that encroaches upon the pupil) and
for anisocoria (pupillary asymmetry). Ipsilateral ptosis, miosis, enophthalmos, and anhidrosis
are strongly suggestive of Horner’s syndrome, which may result from compression of the sym-
pathetic chain by an apical lung tumour.
• Next inspect the sclera and conjunctivae for signs of anaemia.
• Ask the patient to open his mouth and inspect the underside of the tongue for the blue discol-
oration of central cyanosis.
• Assess the jugular venous pressure (JVP) and the jugular venous pulse form (see Station 13). A
raised JVP is suggestive of right-sided heart failure.
Figure 9. Clubbing. When the dorsum of a finger from one hand is opposed to the dorsum of a finger from the
other hand, a diamond-shaped window is formed at the base of the nailbeds. In clubbing, this diamond-shaped
window is obliterated, and a distal angle is created between the fingers.
02-OCSEs-Cardio__Resp_Med_5e ccp.indd 42 18/03/2015 13:21
Cardiovascular
and
respiratory
medicine
43
Station 17 Respiratory system examination
• Examine the lymph nodes from behind with the patient sitting up. Have a systematic routine
for examining all of the submental, submandibular, parotid, pre- and post-auricular, occipital,
anterior cervical, posterior cervical, supra- and infra-clavicular, and axillary lymph nodes (see
Station 9).
• Palpate for tracheal deviation by placing the index and middle fingers of one hand on either
side of the trachea in the suprasternal notch. Alternatively, place the index and annular fingers
of one hand on either clavicular head and use your middle finger (called the Vulgaris in Latin)
to palpate the trachea.
Palpation of the chest
Ask the patient if he has any chest pain.
• Inspect the chest more carefully, looking for asymmetries, deformities, and scars.
• Inspect the precordium and palpate for the position of the cardiac apex. Difficulty palpating for
the position of the cardiac apex may indicate hyperexpansion, although this is not a specific
sign.
[Note] Carry out all subsequent steps on the front of the chest and, once finished, repeat them on the back of the chest.
This is far more elegant than to keep asking the patient to bend forwards and backwards like a Jack-in-the-box.
Pulmonary anatomy is such that examination of the back of the chest yields information about the lower lobes,
whereas examination of the front of the chest yields information about the upper lobes and, on the right-side,
also the middle lobe (Figure 10).
• Palpate for equal chest expansion, comparing one side to the other. Reduced unilateral chest
expansion might be caused by pneumonia, pleural effusion, pneumothorax, and lung collapse.
If there is a measuring tape, measure the chest expansion.
Figure 10. A right lateral view demonstrating lobar
anatomy. Posterior assessment gives information
about the lower lobes, whereas examination from
the front looks at the upper and middle lobes (the
latter only on the right).
Upper lobe
Lower lobe
Middle lobe
02-OCSEs-Cardio__Resp_Med_5e ccp.indd 43 18/03/2015 13:21
Clinical
Skills
for
OSCEs
44 Station 17 Respiratory system examination
Percussion of the chest
• Percuss the chest. Start at the apex of one lung, and compare one side to the other. Do not
forget to percuss over the clavicles and on the sides of the chest. For any one area, is the reso­
nance increased or decreased? A hyper-resonant or tympanic note may indicate emphysema
or pneumothorax, whereas a dull or stony dull note may indicate consolidation, fibrosis, fluid,
or lung collapse. If you uncover any variation in the percussion note, be sure to map out its
geographical extent.
• Test for tactile fremitus by placing the flat of the hands on the chest and asking the patient to
say “ninety nine”.
Auscultation of the chest
• Ask the patient to take deep breaths through the mouth and, using the diaphragm of the steth-
oscope, auscultate the chest in the same locations as for percussion. Start at the apex of one
lung, in the supraclavicular fossa, and compare one side to the other. Normal breath sounds
are described as ‘vesicular’ and have a low pitched and rustling quality. Reduced breath sounds
may indicate consolidation. Listen carefully for added sounds such as wheezes (rhonchi), crack-
les (crepitations), bronchial breathing, and pleural friction rubs.
• Test for vocal resonance by asking the patient to say “ninety nine”. Both consolidation and
pleural effusions can lead to a dull percussion note, but in consolidation vocal resonance is
increased whereas in pleural effusion it is decreased. Both vocal resonance and tactile fremitus
(see above) provide the same sort of information.
Inspection and examination of the legs
• Inspect the legs for erythema and swelling. Palpate for tenderness and pitting oedema. A
unilateral red, swollen, and tender calf suggests a DVT, whereas bilateral swelling may indicate
right-sided heart failure.
Figure 11. Palpating for equal chest expansion: upper, middle and lower lobes.
02-OCSEs-Cardio__Resp_Med_5e ccp.indd 44 18/03/2015 13:21
Cardiovascular
and
respiratory
medicine
45
Station 17 Respiratory system examination
After the examination
• Indicate that you would look at the observations chart, examine a sputum sample, measure the
peak expiratory flow rate, and order some simple investigations such as a chest X-ray and a full
blood count.
• Cover the patient up and ensure that he is comfortable.
• Thank the patient.
• Wash your hands.
• Summarise your findings and offer a differential diagnosis.
Conditions most likely to come up in a respiratory system examination station
Chronic obstructive pulmonary oedema (COPD):
• Signs may include breathlessness, breathing through pursed lips, cough, hyperinflated chest,
cyanosis, warm hands, tar staining, asterixis, bounding pulse, rhonchi, reduced breath sounds,
signs of right heart failure (cor pulmonale).
Cryptogenic fibrosing alveolitis:
• Signs may include breathlessness, dry cough, cyanosis, clubbing, reduced chest expansion,
fine late inspiratory crackles, signs of right heart failure (cor pulmonale).
Lobectomy
• Look carefully for a scar and listen for reduced or absent breath sounds.
02-OCSEs-Cardio__Resp_Med_5e ccp.indd 45 18/03/2015 13:21
Clinical
Skills
for
OSCEs
46 Station 18
PEFR meter explanation
Read in conjunction with Station 116: Explaining skills.
Before starting
• Introduce yourself to the patient.
• Confirm his name and date of birth.
• Check his understanding of asthma and of the PEFR meter.
• Explain the importance of using a PEFR (Peak Expiratory Flow Rate) meter and the importance
of using it correctly.
• Explain that the PEFR meter is to be used first thing in the morning and at any time he has
symptoms of asthma.
Explain the use of a PEFR meter
Demonstrate and ask the patient to:
• Attach a clean mouthpiece to the meter.
• Slide the marker to the bottom of the numbered scale.
• Stand or sit up straight.
• Hold the peak flow meter horizontal, keeping his fingers away from the marker.
• Take as deep a breath as possible and hold it.
• Insert the mouthpiece into his mouth, sealing his lips around the mouthpiece.
• Exhale as hard as possible into the meter.
• Read and record the meter reading.
• Repeat the procedure three to six times, recording only the highest score.
• Check this score against the peak flow chart or his previous readings.
• Check the patient’s understanding by asking him to carry out the procedure.
• Ask him if he has any questions or concerns.
02-OCSEs-Cardio__Resp_Med_5e ccp.indd 46 18/03/2015 13:21
Cardiovascular
and
respiratory
medicine
47
Station 18 PEFR meter explanation
Interpret a PEFR reading
Figure 12. Expected peak flow rates in litres per minute according to age, sex, and height.
If the patient has been given a diary or chart to track PEFR variation:
• Explain that he must record a reading (best of three attempts) in the morning, afternoon, and
evening.
• Show him how to plot readings on the chart.
Height
Men
190 cm
183 cm
175 cm
167 cm
160 cm
Height
Women
183 cm
175 cm
167 cm
160 cm
152 cm
20 25 30 35 40 45 50
Age (years)
55 60 65 70 75 80 85
15
320
340
360
380
400
420
440
460
480
500
520
540
560
580
600
620
640
660
680
300
PEFR
(litres
per
minute)
02-OCSEs-Cardio__Resp_Med_5e ccp.indd 47 18/03/2015 13:21
Clinical
Skills
for
OSCEs
48 Station 19
Inhaler explanation
Read in conjunction with Station 116: Explaining skills.
The traditional pressure Metre Dose Inhaler (pMDI) is most likely to feature in an OSCE, but you could
also be examined on other common inhalers.
Before starting
• Introduce yourself to the patient.
• Confirm his name and date of birth.
• Check his understanding of asthma and of the inhaler.
• Explain to him that an inhaler device delivers aerosolised bronchodilator medication for inhala-
tion. If used correctly, it provides fast and efficient relief from bronchospasm (airway irritation
and narrowing). He can take up to two puffs from the inhaler, as required, up to four times a day.
If he finds himself using the inhaler more frequently than this, he should speak to his doctor.
Possible side-effects are a fast heart rate, shakiness, and headaches.
• Ask him if he has any concerns.
Pressure Metre Dose Inhaler (pMDI)
Demonstrate and ask the patient to:
• Vigorously shake the inhaler to mix the drug.
• Remove the cap from the mouthpiece.
• Hold the inhaler between index finger and thumb.
• Breathe out completely.
• Place the inhaler in the mouth such as to make an airtight seal with lips.
• Breathe in steadily and deeply, and simultaneously activate the inhaler once only.
• Remove the inhaler, hold breath for 10 seconds, and then breathe out slowly.
• Repeat the procedure after 1 minute if relief is insufficient.
• Check the patient’s understanding by asking him to carry out the procedure in front of you.
• Ask if he has any questions or concerns.
If the patient has difficulty co-ordinating breathing in and inhaler activation, he may
benefit from a breath-activated inhaler or the added use of a spacer.
Breath-activated pressure Metre Dose Inhaler
The procedure is the same as above, except that the medication is automatically released on inspiration.
Note that a breath-activated pMDI cannot be used with a spacer.
Pressure Metre Dose Inhaler with spacer
Spacers increase the amount of medication delivered to the lungs if the patient is limited by poor
technique or respiratory effort.
• Assemble the spacer.
• Vigorously shake the inhaler to mix the drug.
• Remove the cap from the mouthpiece.
• Fit the inhaler into the spacer.
• Sit up straight and breathe out completely.
• Place the spacer in the mouth such as to make an airtight seal with lips.
02-OCSEs-Cardio__Resp_Med_5e ccp.indd 48 18/03/2015 13:21
Cardiovascular
and
respiratory
medicine
49
Station 19 Inhaler explanation
• Activate the inhaler as normal.
• Breathe in steadily and deeply, hold breath for 10 seconds, and then breathe out slowly.
• Advise the patient that the spacer should be washed every month with soap and warm water
and left to air dry. It should be replaced every six months.
Dry Powder devices (Accuhaler)
• Open the device using the thumb-grip, exposing the mouthpiece and the dose lever.
• Press down on the lever to dose the device (this produces a click).
• Breathe out completely and continue as per the pMDI technique, although there is no need to
co-ordinate activation and inhalation. Inhalation must be relatively hard and deep to produce
enough force to break up the powder and draw it into the lungs.
• Shut the device and note the number of remaining doses on the counter.
02-OCSEs-Cardio__Resp_Med_5e ccp.indd 49 18/03/2015 13:21
Clinical
Skills
for
OSCEs
50 Station 20
Drug administration via a nebuliser
A nebuliser transforms a drug solution into a fine mist for inhalation via a mouthpiece or face mask.
Drugs used in nebulisers include bronchodilators, corticosteroids, and antibiotics (e.g. colistin).
Before starting
• Introduce yourself to the patient.
• Confirm his name and date of birth.
• Explain the need for a nebuliser and the procedure involved, and ensure consent.
• Explain the drug in the nebuliser, most likely salbutamol, and its common side-effects (for
salbutamol, tremor).
• Obtain consent.
The equipment
• An air compressor and tubing • Drug or drug solution (e.g. salbutamol 2.5 ml)
• A nebuliser cup in a vial
• A mouthpiece or mask • Diluent (e.g. sodium chloride 0.9%) if needed
• A syringe
The procedure
• Consult the prescription chart and check:
–
– the identity of the patient
–
– the prescription: validity, drug, dose, diluent, route of administration, date and time of
­
starting
–
– drug allergies
• Ask a colleague (registered nurse or doctor) to confirm the name, dose, and expiry date of the
drug on the vial.
• Place the air compressor on a sturdy surface and plug it into the mains.
Match the compressor unit gas flow rate with that recommended on the nebuliser
chamber. When treating hypercapnic or acidotic patients (for example, patients with
COPD), use compressed air not oxygen. If required, therapeutic oxygen can be delivered
simultaneously via nasal cannulae.
Nebuliser
cup
Tubing
Compressor
Mouthpiece
Figure 13. Nebuliser set-up.
02-OCSEs-Cardio__Resp_Med_5e ccp.indd 50 18/03/2015 13:21
Cardiovascular
and
respiratory
medicine
51
Station 20 Drug administration via a nebuliser
• Wash your hands.
• Open the vial of drug solution by twisting off the top.
• With the syringe, carefully draw up the correct amount of drug solution.
• Remove the top part of the nebuliser cup and place the drug solution into it.
• Re-attach the top part of the nebuliser cup and connect the mouthpiece or face mask to the
nebuliser cup.
• Connect the tubing from the air compressor to the bottom of the nebuliser cup.
• Switch on the air compressor and ensure that a fine mist is being produced.
• Ask the patient to sit up straight.
• If using a mouthpiece, ask him to clasp it between his teeth and to seal his lips around it. If using
a mask, position it comfortably and securely over his face.
• Ask him to take slow, deep breaths through the mouth and, if possible, to hold each breath for
2–3 seconds before breathing out.
• Continue until there is no drug left and the nebuliser begins to splutter (about 10 minutes).
• Turn the compressor off.
• Ask the patient to take several deep breaths and to cough up any secretions.
• Ask him to rinse his mouth with water.
• Wash your hands.
• Sign the prescription chart.
If the patient feels dizzy, he should interrupt the treatment and rest for about 5 minutes.
After resuming the treatment, he should breathe more slowly through the mouthpiece.
After the procedure
• Tell the examiner that you would clean and disinfect the equipment.
• Sign the drug chart and record the diluent used, and the date, time, and dose of the drug in
the medical records.
• Indicate that you would have your checking colleague countersign it.
• Ask the patient if he has any questions or concerns.
• Ensure that he is comfortable.
02-OCSEs-Cardio__Resp_Med_5e ccp.indd 51 18/03/2015 13:21
Clinical
Skills
for
OSCEs
52 Station 21
Abdominal pain history
Before starting
• Introduce yourself to the patient.
• Confirm his name and date of birth.
• Explain that you are going to ask him some questions to uncover the cause of his abdominal
pain, and obtain his consent.
• Ensure that he is comfortable.
Ensure that the patient is nil by mouth (NBM). Acute abdomen is a surgical complaint
and the patient must therefore be kept nil by mouth until the need for surgery has been
excluded.
The history
• Name, age, and occupation.
Presenting complaint and history of presenting complaint
Determine:
• Site of pain e.g. right iliac fossa.
• Onset and progression.
• Character e.g. sharp, dull, aching, burning – allow the patient to use his own words.
• Radiation.
• Associated symptoms and signs.
• Timing and duration.
• Exacerbating and alleviating factors.
• Severity on a scale of 1 to 10.
Ask about:
• Systemic signs and symptoms: fever, jaundice, loss of weight or anorexia, effect on everyday
life.
• Upper GI signs and symptoms: dysphagia, indigestion (heartburn), nausea, vomiting, haemat­
emesis.
• Lower GI signs and symptoms: diarrhoea or constipation, melaena or rectal bleeding, steator­
rhoea.
• Genitourinary signs and symptoms: frequency, dysuria, haematuria.
• Gynaecological signs and symptoms: length of menstrual period, amount of bleeding, pain,
intermenstrual bleeding, last menstrual period.
Ensure that you explore, and respond to, the patient’s ideas, concerns and expectations (ICE).
Past medical history
• Previous episodes of abdominal pain.
• Current, past, and childhood illnesses.
• Previous hospital admissions and surgery.
03-OCSEs-GI_Medicine_and_Urology_5e ccp.indd 52 19/03/2015 12:31
GI
medicine
and
urology
53
Station 21 Abdominal pain history
Drug history
• Prescribed medications. Ask specifically about corticosteroids, NSAIDs, antibiotics, and the
contraceptive pill.
• Over-the-counter medication and herbal remedies.
• Recreational drugs.
• Allergies.
Family history
• Parents, siblings, and children. Ask specifically about colon cancer, irritable bowel syndrome,
inflammatory bowel disease, jaundice, peptic ulceration, and polyps.
Social history
• Alcohol consumption.
• Smoking.
• Recent overseas travel.
• Tattoos and piercings.
• Employment, past and present.
• Housing.
• Contact with jaundiced patients.
After taking the history
• Ask the patient if there is anything that he might add that you have forgotten to ask.
• Ask the patient if he has any questions or concerns.
• Thank the patient.
• State that you would carry out a full abdominal examination and order some key investigations
such as urinalysis, serum analysis, and an abdominal X-ray, as appropriate.
• Summarise your findings and offer a differential diagnosis.
Conditions most likely to come up in an abdominal pain history station
Appendicitis:
• More common in younger adults.
• Diffuse central pain that then shifts into the right iliac fossa.
• Aggravated by movement, touch, coughing.
• Associated with nausea and vomiting, fever, anorexia.
Gastro-oesophageal reflux disease:
• Retrosternal burning.
• Clear relationship with food and alcohol, but no relationship with effort.
• Aggravated by lying down and alleviated by sitting up and by antacids or milk.
• May be associated with odynophagia (pain on swallowing) and nocturnal asthma.
03-OCSEs-GI_Medicine_and_Urology_5e ccp.indd 53 19/03/2015 12:31
Clinical
Skills
for
OSCEs
54 Station 21 Abdominal pain history
Peptic ulceration:
• Severe epigastric pain, during meals in the case of gastric ulcers, and between meals and at
night in the case of duodenal ulcers.
• Aggravated by spicy food, alcohol, stress.
• Associated with bloating, heartburn, nausea and vomiting, anorexia, haematemesis, melaena.
• Predisposed to by NSAIDs, alcohol, and smoking.
Biliary colic:
• Constant but episodic epigastric or right upper quadrant pain that may radiate to the back
and shoulders.
• Can be provoked by eating a large, fatty meal.
• Associated with nausea and vomiting and diarrhoea.
• Presence of fever may indicate biliary tract infection (cholecystitis).
• Risk factors for gall stones are fat, forty, female, and pregnant or fertile (‘the 4 Fs’), the
contraceptive pill, and HRT.
Acute pancreatitis:
• Acute, severe epigastric pain radiating to the back.
• May be alleviated by sitting forward (‘pancreatic position’) or by remaining still.
• Associated with nausea and vomiting, diarrhoea, anorexia, fever.
Ureteric colic:
• Severe pain in the loin that radiates to the groin.
• Often colicky but may be constant.
• Associated with nausea and vomiting.
• Predisposed to by dehydration.
Diverticulitis:
• Left iliac fossa pain and tenderness.
• Aggravated by movement.
• Associated with fever, nausea, anorexia, constipation, diarrhoea.
• More common in the elderly.
Colorectal cancer:
• Signs and symptoms may include change in bowel habit, tenesmus, change in stool shape,
rectal bleeding, melaena, bowel obstruction leading to constipation, abdominal pain,
abdominal distension, and vomiting, fatigue, anorexia, weight loss.
Irritable bowel syndrome:
• Chronic abdominal pain or discomfort.
• Associated with frequent diarrhoea or constipation, bloating, urgency for bowel movements,
tenesmus.
Remember that basal pneumonia, diabetic ketoacidosis, and an inferior myocardial
infarct can also present as abdominal pain.
03-OCSEs-GI_Medicine_and_Urology_5e ccp.indd 54 19/03/2015 12:31
55
GI
medicine
and
urology
Station 22
Abdominal examination
Before starting
• Introduce yourself to the patient.
• Confirm his name and date of birth.
• Obtain consent to examine his abdomen.
• Say to the examiner that you would normally expose the patient from nipples to knees, but that
in this case you are going to limit yourself to exposing the patient to the groins.
• Position the patient so that he is lying flat on the couch, with his arms at his side and his head
supported by a pillow.
• Ensure that the patient is comfortable.
The examination
General inspection
• From the end of the couch, observe the patient’s general appearance (age, state of health,
nutritional status, and any other obvious signs).
• Next observe the surroundings, looking in particular for the presence of a nasogastric tube,
intravenous infusion, urinary catheter, drain, or stoma bag.
• Inspect the abdomen for its contours and any obvious distension, localised masses, scars, and
skin changes. Ask the patient to lift his head up and to cough. This makes hernias more visible
and, if the patient has difficulty complying with your instructions, suggests peritonism.
Inspection and examination of the hands
• Take both hands, noting their temperature and looking for:
–
– clubbing
–
– palmar erythema (liver disease)
–
– nail signs: leukonychia/‘white dash’ (hypoalbuminaemia) and koilonychia/‘spoon-shaped
nails’ (iron deficiency)
–
– Dupuytren’s contracture (cirrhosis, old age; see Figure 15)
• Test for asterixis or ‘liver flap’ (hepatic failure) by showing the patient how to extend both arms
with the wrists dorsiflexed and the palms facing forwards. Ask him to hold this posture for at
least 10 and ideally 30 seconds.
Subcostal
Flank/loin
Lanz
Grid iron
Mercedes ( )
Roof top/gable ( )
Midline
Paramedian
Pfannenstiel
Hernia
J-shaped/’hockey stick’
Figure 14. Abdominal scars.
03-OCSEs-GI_Medicine_and_Urology_5e ccp.indd 55 19/03/2015 12:31
Clinical
Skills
for
OSCEs
56 Station 22 Abdominal examination
• Next, feel the pulse for at least 15 seconds and measure the respiratory rate.
• Moving up, inspect the arms for bruising, scratch marks, injection track marks, and tattoos
(risk of hepatitis).
Inspection and examination of the head, neck, and upper body
• Ask the patient to look up and then inspect the sclera for jaundice.
• Gently retract the eyelid and inspect the conjunctiva for pallor.
• Ask the patient to open his mouth, and note any odour on the breath (alcohol, foetor hepaticus,
ketones). Inspect the mouth, looking for signs of dehydration, furring of the tongue (loss of
appetite), angular stomatitis (nutritional defi­
ciency), atrophic glossitis (iron deficiency, vitamin
B12 deficiency, folate deficiency), ulcers (Crohn’s disease), and the state of the dentition.
• If you suspect alcoholism or an eating disorder, feel for enlargement of the parotid glands.
• Assess the jugular venous pressure (JVP).
• Palpate the neck for lymphadenopathy, making sure to take in the left supraclavicular fossa
(Virchow’s node, gastric carcinoma).
• Examine the upper body for signs of chronic liver disease: gynaecomastia, caput medusae, and
spider naevi (more than five is considered abnormal).
Palpation of the abdomen
Before you begin, ask the patient to identify any area of pain or tenderness.
• Sit or kneel beside the patient and use the palmar surface of your fingers to lightly palpate in
all nine regions of the abdomen (Figure 16), beginning with the region furthest away from any
pain or tenderness. By flexing and extending your metacarpophalangeal joints, palpate for
tenderness, rebound tenderness, guarding, and rigidity. Keep looking at the patient’s face for
any signs of discomfort.
• Repeat the procedure, this time palpating more deeply so as to localise and describe any
masses.
Figure 15. Dupuytren’s contracture.
03-OCSEs-GI_Medicine_and_Urology_5e ccp.indd 56 19/03/2015 12:31
GI
medicine
and
urology
57
Station 22 Abdominal examination
Palpation of the organs
• Liver – Ask the patient to breathe in and out and, starting in the right iliac fossa, feel for the
­
inferior liver edge using the radial aspect of your index finger. Each time the patient inspires,
move your hand closer to the costal margin and press your fingers firmly into the abdominal
wall. The inferior liver edge may be felt as the liver descends upon inspiration, and can be
­
described in terms of regularity, nodularity, and tenderness.
• Gallbladder – Palpate for tenderness over the tip of the right ninth rib. Positive Murphy’s sign
(cholecystitis) is cessation of breathing on inspiration, and wincing, as the tender gallbladder
comes into contact with your fingers.
• Spleen – Palpate for the spleen as for the liver, once again starting in the right iliac fossa. Press
the tips of your fingers firmly against the abdominal wall so that your hand is pointing up and
leftwards. If the spleen is enlarged, the splenic notch may be ‘caught’ as the spleen descends
upon inspiration.
• Kidneys – Position the patient close to the edge of the bed and ballot each kidney using the
technique of deep bimanual palpation. Place one hand flat over the anterior aspect of the flank
(right hand for left kidney, left hand for right kidney), and press down whilst using the other
hand to push the kidney up from below.
Midclavicular line
Transpyloric plane
Intertubercular plane
16.1
16.6
16.5
16.4
16.3
16.2
Figure 16. Regions of the abdomen.
16.1 Epigastric
16.2 Left hypochondriac
16.3 Left lumbar
16.4 Left iliac fossa
16.5 Suprapubic/hypogastric
16.6 Umbilical
03-OCSEs-GI_Medicine_and_Urology_5e ccp.indd 57 19/03/2015 12:31
Clinical
Skills
for
OSCEs
58 Station 22 Abdominal examination
• Aorta – Palpate the descending aorta with the tips of your fingers on either side of the midline,
just above the umbilicus. Pressing your fingers firmly into the abdominal wall, assess whether
the aorta is pulsatile and whether it is expansile, i.e. whether it causes the fingers of your right
and left hands to move apart.
Percussion
• Liver – Percuss out the entire craniocaudal extent of the liver. In the mid-clavicular line, start
above the right fifth intercostal space and progress downwards. The normal liver represents an
area of dullness which typically extends from the fifth intercostal space to the edge of the costal
margin. Beyond this point, the abdomen should be resonant to percussion.
• Spleen – As for the liver, percuss the spleen to determine its size.
• Bladder – Percuss the suprapubic area for the undue dullness of bladder distension.
• ‘Shifting dullness’ – this sign indicates ascites. Percuss down the right side of the abdomen. If an
area of dullness is detected, keep two fingers on it and ask the patient to roll over onto his left.
After about 30 seconds, re-percuss the area which should now sound resonant. The change in
the percussion note reflects the redistribution of ascitic fluid under the effect of gravity.
• ‘Fluid thrill’ – this sign indicates severe ascites. Ask the patient to place his hand along the mid­
line of his abdomen. Then place one hand on one flank, and flick the opposite flank with your
other hand in an attempt to elicit a thrill.
Auscultation
Auscultate over:
• The mid-abdomen or ileocaecal valve for bowel sounds (Table 10). Listen for 30 seconds before
concluding that they are normal, hyperactive, hypoactive, or absent.
• The abdominal aorta for aortic bruits suggestive of arteriosclerosis or an aneurysm.
• 2.5 cm above and lateral to the umbilicus for renal artery bruits suggestive of renal artery
­
stenosis.
Table 10. Principal causes of altered bowel sounds
Hypoactive • Constipation.
• Drugs such as anticholinergics and opiates.
• General anaesthesia.
• Abdominal surgery.
• Paralytic ileus (absent bowel sounds).
Hyperactive • Diarrhoea of any cause.
• Inflammatory bowel disease.
• GI bleeding.
• Mechanical bowel obstruction (high pitched bowel sounds).
After the examination
• Cover up the patient and thank him. Enquire about and address any concerns that he may have.
• Indicate to the examiner that you would normally test for pedal oedema, examine the hernia
orifices and the external genitalia, and carry out a digital rectal examination. You would also
look at the observations chart, dipstick the urine, and consider investigations such as ultra­
sound scan, FBC, LFTs, UEs, clotting screen, pregnancy test, and urine drug screen.
• Summarise your findings and offer a differential diagnosis.
03-OCSEs-GI_Medicine_and_Urology_5e ccp.indd 58 19/03/2015 12:31
GI
medicine
and
urology
59
Station 22 Abdominal examination
Conditions most likely to come up in an abdominal examination station
Chronic liver disease:
Wilson’s disease
• May result from alcoholic liver disease, viral hepatitis, right heart failure, haemochromatosis,
Wilson’s disease.
• Signs may include clubbing, palmar erythema, leukonychia, metabolic flap, hyperventilation,
bruising, jaundice, gynaecomastia, spider naevi, caput medusae, scratch marks, hepatomegaly,
ascites, pedal oedema, Dupuytren’s contracture (alcohol), tattoos (hepatitis C), signs of right
heart failure such as raised JVP and pedal oedema, bronzing of the skin (haemochromatosis),
Kayser–Fleischer rings (Wilson’s disease).
Splenomegaly:
• Causes include portal hypertension (usually complicating liver cirrhosis), lymphoproliferative
and myeloproliferative diseases, haemolytic anaemias, and infections such as infectious
mononucleosis/glandular fever and malaria.
Polycystic kidney
Renal transplant
Scars
Hernias (see Station 24)
03-OCSEs-GI_Medicine_and_Urology_5e ccp.indd 59 19/03/2015 12:31
Clinical
Skills
for
OSCEs
60 Station 23
Rectal examination
Rectal examination is commonly indicated in cases of rectal or GI bleeding (suspected or actual), severe
constipation, faecal or urinary incontinence, anal or rectal pain, suspected enlargement of the prostate
gland, and urethral discharge or bleeding. It can also be used to screen for cancers of the rectum, colon,
and prostate.
Specifications: A plastic model in lieu of a patient.
Before starting
• Introduce yourself to the patient.
• Confirm his name and date of birth.
• Explain the procedure to him, emphasising that it might be uncomfortable but that it should
not be painful, and obtain his consent.
• Ask for a chaperone.
• Ensure privacy.
• Ask the patient to lower his trousers and underpants.
• Ask him to lie on his left side, to bring his buttocks to the side of the couch, and to bring his
knees up to his chest (Sims’ or left lateral recumbent position).
The examination
• Put on a pair of gloves.
• Gently separate the buttocks and inspect the anus and surrounding skin. In particular, look out
for skin tags, excoriations, ulcers, fissures, external haemorrhoids, prolapsed haemorrhoids, and
mucosal prolapse.
• Lubricate the index finger of your right hand.
• Position the finger over the anus, as if pointing to the genitalia.
• Ask the patient to bear down so as to relax the anal sphincter.
• Gently insert the finger into the anus, through the anal canal, and into the rectum (Figure 17).
Anal canal
Prostate
Rectum
Bladder
Penis
Urethra
Scrotum Figure 17. Digital rectal
examination.
03-OCSEs-GI_Medicine_and_Urology_5e ccp.indd 60 19/03/2015 12:31
GI
medicine
and
urology
61
Station 23 Rectal examination
Note any pain upon insertion.
• Test anal tone by asking the patient to squeeze your finger.
• Rotate the finger so as to palpate the entire circumference of the anal canal and rectum. Feel
for any masses, ulcers, or induration and for faeces in the rectum. If there are any faeces in the
rectum, assess their consistency.
–
– in males, pay specific attention to the size, shape, surface, and consistency of the prostate
gland. Assess whether the midline groove is palpable
–
– in females, the cervix and uterus may be palpable
• Remove the finger and examine the glove. In particular look at the colour of any stool, and for
the presence of any mucus or blood.
• Remove and dispose of the gloves.
After the examination
• Clean off any lubricant or faeces on the anus or anal margin.
• Give the patient time to put his clothes back on.
• Ensure that he is comfortable.
• Address any questions or concerns that he may have.
• Present your findings to the examiner, and offer a differential diagnosis.
Conditions most likely to come up in a rectal examination station
Benign prostatic hypertrophy (BPH):
• In BPH the prostate is enlarged in size (3.5 cm) and slightly distorted in shape, but it is still
rubbery and firm, with a smooth surface and a palpable midline groove.
Prostate carcinoma
• In prostate carcinoma, the prostate is also enlarged and asymmetrical, but this time it is hard
and irregular/nodular and the midline groove may no longer be palpable.
03-OCSEs-GI_Medicine_and_Urology_5e ccp.indd 61 19/03/2015 12:31
Clinical
Skills
for
OSCEs
62 Station 24
Hernia examination
Inguinal anatomy
Figure 18. The inguinal canal runs along the inguinal ligament, from the internal (deep) ring to the external
(superficial) ring. The inguinal ligament stretches from the anterior superior iliac spine to the pubic tubercle. The
internal ring lies approximately 1.5 cm superior to the femoral pulse, itself in the midline of the inguinal ligament.
The external ring lies immediately superior and medial to the pubic tubercle. NAVY: Nerve, Artery, Vein, Y-fronts.
Definition of a hernia
A hernia is defined as the protrusion of an organ or part thereof through a deficiency in the wall of the
cavity in which it is contained. There are many different types of hernia but the ones that are most likely
to be examined and discussed in an OSCE are indirect and direct inguinal hernias and femoral hernias.
Their principal differentiating features are summarised in Table 11. The differential diagnosis of a lump
in the groin is listed in Table 12.
Table 11. Principal differentiating features of indirect and direct inguinal and femoral hernias
Indirect hernia (through
inguinal canal)
Direct hernia (through
Hesselbach’s triangle)
Femoral hernia (below inguinal
ligament)
• Neck of hernia is superior to
the inguinal ligament/pubic
tubercle and lateral to the
inferior epigastric vessels.
• Accounts for 80% of inguinal
hernias.
• Irreducible.
• Can strangulate.
• Neck of hernia is superior to
the inguinal ligament/ pubic
tubercle and medial to the
inferior epigastric vessels.
• Accounts for 20% of inguinal
hernias.
• Easily reducible.
• Rarely strangulates.
• Neck of hernia is inferior
and lateral to the inguinal
ligament pubic tubercle.
• Higher incidence in females,
but still less common overall.
• Often irreducible.
• Frequently strangulates.
Indirect inguinal hernia
Femoral hernia
Vein
Artery
Nerve
Muscle
Inguinal ligament
External inguinal ring
Internal inguinal ring
03-OCSEs-GI_Medicine_and_Urology_5e ccp.indd 62 19/03/2015 12:31
GI
medicine
and
urology
63
Station 24 Hernia examination
Table 12. Differential diagnosis of a lump in the groin
Superior to the inguinal ligament Inferior to the inguinal ligament
• Indirect or direct inguinal hernia.
• Incisional hernia.
• Sebaceous cyst.
• Lipoma.
• Undescended testis.
• Femoral hernia.
• Lymph node.
• Sebaceous cyst.
• Lipoma.
• Saphena varix.
• Femoral artery aneurysm.
• Psoas abscess (rare).
• Undescended testis.
• Scrotal mass (see Station 27).
Before starting
• Introduce yourself to the patient.
• Explain the examination and obtain consent.
• Ask for a chaperone.
• Ask the patient to lie on the couch and to expose his abdomen from the umbilicus to the knees.
• Ensure that he is comfortable.
• Warm up your hands.
Ensure the patient’s dignity at all times.
The examination
Inspection and palpation
• Inspect the groins (both sides!) for an obvious lump. If a lump is visible, determine its location in
relation to its surrounding anatomical landmarks. Also determine its size, shape, colour, consist­
ency, and mobility. Is it tender to touch? Can it be transilluminated? (See Station 9: Examination
of a superficial mass and of lymph nodes.)
• Look for old surgical scars (incisional hernia).
• Ask the patient to stand up and look again.
Cough impulse and cough tests
(The patient is still standing.)
• Ask the patient to cough and look again.
• Test the lump for a cough impulse. Place two fingers over the lump and ask the patient to
cough once more.
• If you are satisfied that the lump is an inguinal hernia, ask the patient to reduce the lump. Once
the lump is fully reduced, place two fingers over the internal ring and ask the patient to cough.
–
– if the lump does not reappear it is an indirect inguinal hernia. Release your fingers and ask
the patient to cough again
–
– if the lump reappears medially it is a direct inguinal hernia
• Once again ask the patient to reduce the lump. This time place two fingers over the external
ring and ask the patient to cough.
03-OCSEs-GI_Medicine_and_Urology_5e ccp.indd 63 19/03/2015 12:31
Clinical
Skills
for
OSCEs
64 Station 24 Hernia examination
–
– if the lump does not reappear it is a direct inguinal hernia. Release your fingers and ask the
patient to cough again
–
– if the lump reappears laterally it is an indirect inguinal hernia
• Percuss the lump for resonance (bowel involvement).
• Auscultate the lump for bowel sounds (bowel involvement).
Figure 19. The cough test with two fingers over the internal ring (A) and then over the external ring (B).
After the examination
• Indicate that you would also examine the femoral pulses, inguinal lymph nodes, and scrotum.
• Cover up the patient.
• Ensure that he is comfortable.
• Thank him.
• Summarise your findings and offer a differential diagnosis. Don’t fret over your diagnosis as
even experienced surgeons are notoriously poor at differentiating between indirect and direct
inguinal hernias. Apart from inguinal and femoral hernias, other (more rare) types of hernia are
epigastric hernias that occur in the epigastric area in the midline, Spigelian or semilunar her­
nias that occur on the outer border of the rectus muscles, umbilical and paraumbilical hernias
that occur at or around the navel, and incisional hernias that occur at the site of an old surgical
incision.
• Wash your hands.
Direct hernia
(A) (B)
Indirect hernia Direct hernia Indirect hernia
03-OCSEs-GI_Medicine_and_Urology_5e ccp.indd 64 19/03/2015 12:31
65
GI
medicine
and
urology
Station 25
Nasogastric intubation
Specifications: A mannequin in lieu of a patient.
Choice of NG tube
Nasogastric (NG or Ryle’s) tubes can be used for feeding or drug administration, to decompress the
stomach, to obtain a sample of gastric fluid, or to drain the stomach’s contents (e.g. after an overdose
or if emergency surgery is required). If the tube is being used for aspiration or drainage, a gauge of 10
or greater is required. If not, a fine bore tube should be preferred.
The equipment
• A pair of non-sterile gloves • Tape
• An NG tube of appropriate size • Stethoscope
• K-Y/lubricant jelly • A 20 ml syringe and some pH paper
• Xylocaine spray • A spigot or catheter bag
• A glass of water with a straw • A vomit bowl
Before starting
• Introduce yourself to the patient.
• Explain the need for an NG tube and the procedure for inserting it, and ensure consent.
• Position the patient upright and ask about nostril preference/examine the nostrils.
• Ensure that the patient is comfortable.
The procedure
• Gather the equipment.
• Wash your hands and don the gloves.
• Measure the length of NG tube to be inserted by placing the tip of the tube at the nostril and
extending the tube behind the ear and then to two fingerbreadths above the umbilicus.
• Lubricate the tip of the NG tube with K-Y jelly.
• Spray the preferred nostril with xylocaine or indicate that you would do so.
• Insert the NG tube into the preferred nostril and slide it along the floor of the nose into the
nasopharynx (aim straight back towards the occiput).
• Ask the patient to tilt his head forward and to swallow some water through a straw as you con­
tinue to advance the tube through the pharynx and oesophagus and into the stomach. Each
time the patient swallows, advance the tube a little bit further.
• If the patient coughs or gags, slightly withdraw the tube and leave him some time to recover.
• Insert the tube to the required length.
• Ensure that the tip of the tube is in the stomach.
–
– inject 20 ml of air into the tube and listen over the epigastrium with your stethoscope
–
– pull back on the plunger to aspirate stomach contents. Test the aspirate with pH paper to
confirm its acidity (pH  6). If a fine-bore tube has been inserted, it may not be possible to
aspirate stomach contents
–
– request a chest X-ray or indicate that you would do so
• Tape the tube to the nose and to the side of the face.
• Attach a spigot or catheter bag to the NG tube.
03-OCSEs-GI_Medicine_and_Urology_5e ccp.indd 65 19/03/2015 12:31
Clinical
Skills
for
OSCEs
66 Station 25 Nasogastric intubation
After the procedure
• Ask the patient if he has any questions or concerns.
• Ensure that he is comfortable.
• Thank him.
• Make an entry in the patient’s notes confirming that the NG tube has been successfully placed.
[Note] The principal complications of NG tube insertion are aspiration and tissue trauma.
03-OCSEs-GI_Medicine_and_Urology_5e ccp.indd 66 19/03/2015 12:31
67
GI
medicine
and
urology
Station 26
Urological history
Before starting
• Introduce yourself to the patient.
• Confirm his name and date of birth.
• Explain that you are going to ask him some questions to uncover the nature of his urological
complaint, and obtain consent.
• Ensure that he is comfortable.
The history
• Name, age, and occupation.
Presenting complaint and history of presenting complaint
• Ask about the main presenting complaint. Ask open questions.
• Elicit the patient’s ideas, concerns, and expectations.
• Determine the time course of events and the severity of the problem.
• Ask specifically about:
–
– pain: for any pain, ask about site, onset, character, radiation, associated factors, timing
(duration), exacerbating and relieving factors, and severity
–
– fever
–
– frequency: “Are you passing water more often than usual?”
–
– nocturia: “Do you find yourself waking up in the middle of the night to pass water?” “How often?”
–
– urgency: “When you need to pass water, how long can you wait?”
–
– incontinence: “Are there times when it can no longer wait and you end up going there and then?”
–
– dysuria: “When you pass water, is there any pain or burning?”
–
– haematuria: “When you pass water, is there any blood in your urine? Does it colour all of your
urine or only some of it?”
–
– hesitancy, poor stream and terminal dribbling (if male): “When you are standing at the toilet do
you have to wait before you are able to pass water? Is the jet as strong as it ever was? What about
after, does urine continue to trickle out?”
–
– back pain, leg weakness, fatigue, weight loss, nausea, anorexia, itching
–
– vaginal/urethral discharge, genital sores
–
– testicular masses, testicular pain
–
– sexual dysfunction
–
– sexual contacts
Past medical history
• Past urological problems.
• Ask specifically about UTI, renal colic, diabetes mellitus, hypertension and vascular disease, and
gout.
• Current, past, and childhood illnesses.
• Surgery.
Drug history
• Prescribed medication including anticholinergics and anticoagulants.
• Over-the-counter medication.
• Recreational drugs.
• Allergies.
03-OCSEs-GI_Medicine_and_Urology_5e ccp.indd 67 19/03/2015 12:31
Clinical
Skills
for
OSCEs
68 Station 26 Urological history
Family history
• Parents, siblings, and children. In particular, has anyone in the family had a similar problem?
• Ask specifically about polycystic kidney disease and bladder cancer.
Social history
• Employment. Has the patient ever worked with chemicals or dyes?
• Housing.
• Travel.
• Alcohol consumption.
• Smoking.
After taking the history
• Ask the patient if there is anything he might add that you have forgotten to ask about.
• Thank the patient.
• State that you would carry out abdominal and genital examinations and order some key inves­
tigations, e.g. urine dipstick, urine microscopy and culture, UEs, PSA levels, cystoscopy, CT KUB
(Kidney, Ureter, Bladder).
• Summarise your findings and offer a differential diagnosis.
Conditions most likely to come up in a urological history station
Urinary tract infection:
• Most common in young females.
• Common symptoms are frequency, urgency,
dysuria, haematuria, and a pressure above the
pubic bone.
• If the infection is above the bladder, there
may be fever, nausea, and back pain.
• There may be a history of recent sexual
intercourse.
Benign prostatic hypertrophy:
• Most common in elderly males.
• Common symptoms are frequency, nocturia,
urgency, incontinence, hesitancy, poor stream
and intermittency, and terminal dribbling.
Prostate carcinoma:
• Most common in elderly males.
• Symptoms, when present, are similar to those
seen in benign prostatic hypertrophy with
the possible addition of dysuria, haematuria,
sexual dysfunction, weight loss, and bone
pain.
• There may be a family history.
Bladder carcinoma:
• Three to four times more common in males
than in females.
• More common in the elderly.
• Painless haematuria is characteristic, but
there may also be dysuria and/or frequency.
• Associated with smoking and occupational
exposure to chemicals and dyes.
Renal calculus:
• More common in males than in females.
• Severe pain in the loin that radiates to the
groin.
• the pain is often colicky but it may be
constant.
• The pain may be associated with nausea and
vomiting.
• Haematuria is a common finding.
• Dehydration is a common predisposing factor.
03-OCSEs-GI_Medicine_and_Urology_5e ccp.indd 68 19/03/2015 12:31
69
GI
medicine
and
urology
Station 27
Male genitalia examination
Specifications: You may be asked to examine the male genitalia on a real patient or, more likely, on
a pelvic mannequin.
Before starting
• Introduce yourself to the patient.
• Confirm his name and date of birth.
• Explain the examination and obtain consent.
• Ask for a chaperone.
• Ask the patient to lie on the couch and expose his groin area.
• Ensure that he is comfortable.
Ensure the patient’s comfort and dignity at all times.
The examination
General inspection
• From the end of the couch observe the patient’s general appearance. The patient’s age can give
you an indication of the most likely pathology.
• In particular, note the distribution of facial, axillary, and pubic hair.
• Look for gynaecomastia.
Inspection and examination of the male genitalia
Penis
• Inspect the penis for lesions and ulcers.
• Retract the foreskin and examine the glans penis and the external urethral meatus for red
patches and vesicles. Is there a discharge? Can a discharge be expressed? If there is a discharge,
indicate that you would swab it for microscopy and culture. Remember to replace the foreskin.
Scrotum
• Inspect the scrotum for redness, swelling, and ulcers. Are the testicles present? Is their lie nor­
mal? If a testicle is absent, is it retracted or undescended? If you find a scar, the absent testicle
may have been surgically removed.
• Be conscious of the patient’s face in case of pain, and palpate:
–
– the testis
–
– the epididymis
–
– the spermatic cord
• If you locate a mass, try to get above it. If you cannot, it is likely to be a hernia so test for a cough
impulse (see Station 24). Determine the size, shape and consistency of the mass.
• Next, transilluminate the mass using a pen torch. Is it a cyst or a solid mass? If it is a cyst, is it a
hydrocoele or an epididymal cyst? If it is a solid mass, is it tender? Is it testicular or epididymal?
• If you suspect a varicocoele, a collection of varicosities in the pampiniform venous plexus, ex­
amine the patient in the standing position and test for a cough impulse. Note that varicocoeles
are almost invariably left-sided.
03-OCSEs-GI_Medicine_and_Urology_5e ccp.indd 69 19/03/2015 12:31
Clinical
Skills
for
OSCEs
70 Station 27 Male genitalia examination
Figure 20. Normal testis and appendages (A), hydrocoele (B), epididymal cyst (C), and varicocoele (D).
Examination of the lymphatics
• Palpate the inguinal nodes in the inguinal crease. Remember that only the penis and scrotum
drain to the inguinal nodes, as the testicles drain to the para-aortic lymph nodes.
After the examination
• Cover up the patient.
• Thank the patient.
• Ensure that he is comfortable.
• Summarise your findings and offer a differential diagnosis.
• Consider a rectal examination to examine the prostate.
• Consider an ultrasound scan if you detect a bulky or painful mass in the scrotum or cannot
palpate the testes.
[Note] Incasesofanacutelytendertesticle,testiculartorsion,whichisasurgicalemergency,mustberuledout.Epididymo-
orchitis also presents as an acutely tender testicle, with the patient requiring admission for IV antibiotics.
Conditions most likely to come up in a male genitalia examination station
Hydrocoele:
• collection of fluid in the tunica vaginalis
surrounding the testis.
• presents as unilateral (or less commonly bilateral)
scrotal swelling.
• not tender.
• fluctuant.
• transilluminant.
Epididymal cyst:
• arises in the epididymis.
• epididymal cysts may be multiple and bilateral.
• unlike in a hydrocoele, the testis is palpable quite
separately from the cyst.
• smooth and fluctuant.
• transilluminant.
Varicocoele:
• dilated veins along the spermatic
cord.
• almost invariably left-sided.
• ‘bag of worms’ upon palpation.
• there may be a cough impulse.
• likely to disappear upon lying down.
Direct inguinal hernia (see Station 24)
(B)
Spermatic
artery
vein
(A)
Epididymis
Tunica
vaginalis
(C) (D)
03-OCSEs-GI_Medicine_and_Urology_5e ccp.indd 70 19/03/2015 12:31
71
GI
medicine
and
urology
Station 28
Male catheterisation
Specifications: A male anatomical model in lieu of a patient.
Before starting
• Introduce yourself to the patient.
• Confirm his name and date of birth.
• Explain the procedure and obtain his consent.
• Position him flat on the couch with legs apart and groin exposed.
The equipment
On a clean trolley, gather:
• A catheterisation pack • A 12–16 french Foley catheter
• Saline solution • A catheter bag
• Two pairs of sterile gloves • A 10 ml syringe containing sterile water
• A 10 ml pre-filled syringe • Adhesive tape
containing 2% lignocaine gel
(Instillagel®)
The procedure
• Gather the equipment (a male catheter is longer than a female one).
• Check the expiry date of the catheter.
• Open the catheter pack aseptically onto a trolley, attach the yellow bag to the side of the trolley,
and pour saline solution into the receiver.
• If pre-filled syringes are not provided with the pack, draw up 10 ml sterile water and 10 ml
lignocaine gel into separate syringes.
• Wash and dry your hands.
• Put on sterile gloves.
• Drape the patient. Some recommend tearing an appropriately sized hole into the drape and
passing the penis through it.
• Place a collecting vessel in the patient’s entre-jambes/crotch.
• With your non-dominant hand, hold the penis with a sterile swab.
• With your dominant hand, retract the foreskin and clean the area around the urethral meatus
with saline-soaked swabs.
• Instil 10 ml of lignocaine gel into the urethra. Hold the urethral meatus closed.
• Indicate that the anaesthetic needs about 5 minutes to work.
• Change into a new pair of sterile gloves.
• Hold the penis so that it is vertical.
• Holding the catheter by its sleeve, gently and progressively insert it into the urethra. Upon feel­
ing resistance from the prostate, hold the penis horizontally so as to facilitate insertion.
• Once a stream of urine is obtained, inject 10 ml of sterile water to inflate the catheter’s balloon,
continually ensuring that this does not cause the patient any pain.
• Gently retract the catheter until a resistance is felt.
• Attach the catheter bag.
• Reposition the foreskin.
• Tape the catheter to the thigh.
03-OCSEs-GI_Medicine_and_Urology_5e ccp.indd 71 19/03/2015 12:31
Clinical
Skills
for
OSCEs
72 Station 28 Male catheterisation
After the procedure
• Ensure that the patient is comfortable.
• Thank the patient.
• Discard any rubbish.
• Record the date and time of catheterisation, type and size of catheter used, and volume of urine
in the catheter bag.
Examiner’s questions
Indications for catheterisation:
• hygienic care of bedridden patients.
• monitoring of urine output.
• acute urinary retention.
• chronic obstruction.
• collection of a specimen of uncontaminated urine.
• irrigation of the bladder.
• imaging of the urinary tract.
Contraindications:
• pelvic trauma.
• previous stricture.
• previous failure to catheterise.
• severe phimosis.
Complications:
• paraphimosis (from failure to reposition the foreskin).
• urethral perforation and creation of false passages.
• bleeding.
• infection.
• urethral strictures.
03-OCSEs-GI_Medicine_and_Urology_5e ccp.indd 72 19/03/2015 12:31
73
GI
medicine
and
urology
Station 29
Female catheterisation
Specifications: A female anatomical model in lieu of a patient.
Before starting
• Introduce yourself to the patient.
• Confirm her name and date of birth.
• Explain the procedure and obtain her consent.
• Ask her to undress from the waist down and place a sheet over her.
The equipment
On a clean trolley, gather:
• Two pairs of sterile gloves • A 10 ml pre-filled syringe containing 2% lignocaine gel
• A catheterisation pack (Instillagel)®
• Saline solution • A 10 ml syringe containing sterile water
• A 12–16 french Foley catheter • A catheter bag
• Adhesive tape
The procedure
• Gather the equipment.
• Open the catheter pack aseptically onto a trolley, attach the yellow bag to the side of the trolley,
and pour antiseptic solution into the receiver.
• If pre-filled syringes are not provided with the pack, draw up 10 ml sterile water and 10 ml
lignocaine into separate syringes.
• Wash and dry your hands.
• Put on a pair of sterile gloves.
• Ask the patient to remove her sheet and lie flat on the couch, bringing her heels to her buttocks
and then letting her knees flop out.
• Drape the patient.
• Place a collecting vessel in the patient’s entre-jambes/crotch.
• Use your non-dominant hand to separate the labia minora.
• Clean the area around the urethral meatus with saline-soaked swabs.
• Coat the end of the catheter with lignocaine gel and instil 5 ml of lignocaine into the urethra.
• Indicate that the anaesthetic needs about 5 minutes to work.
• Change into a new pair of sterile gloves.
• Holding the catheter by its sleeve, gently and progressively insert it into the urethra.
• Once a stream of urine is obtained, inject 10 ml of sterile water to inflate the catheter’s ­
balloon,
continually ensuring that this does not cause the patient any pain.
• Gently retract the catheter until a resistance is felt.
• Attach the catheter bag.
• Tape the catheter to the thigh.
03-OCSEs-GI_Medicine_and_Urology_5e ccp.indd 73 19/03/2015 12:31
Clinical
Skills
for
OSCEs
74 Station 29 Female catheterisation
After the procedure
• Ensure that the patient is comfortable.
• Thank the patient.
• Discard any rubbish.
• Record the date and time of catheterisation, type and size of catheter used, volume of water
used to inflate the balloon, and volume of urine in the catheter bag.
Figure 21. Preparing to insert the
catheter.
03-OCSEs-GI_Medicine_and_Urology_5e ccp.indd 74 19/03/2015 12:31
75
Neurology
Station 30
History of headaches
‘I’m very brave generally’, he went on in a low voice: ‘only today I happen to have a headache’.
Lewis Carroll, Through the Looking Glass
Before starting
• Introduce yourself to the patient.
• Confirm his name and date of birth.
• Explain that you are going to ask him some questions to uncover the nature of his headaches,
and obtain consent.
• Ensure that he is comfortable.
The history
• Name, age, and occupation.
Presenting complaint and history of presenting complaint
First use open questions to get the patient’s history, and elicit his ideas, concerns, and expectations.
Rule out head injury before enquiring about the pain:
• Site. Ask the patient to point to the site of the pain.
• Onset.
• Character, for example, sharp, dull, throbbing, band-like constriction.
• Radiation.
• Associated factors:
–
– nausea and vomiting
–
– visual disturbances such as double vision and fortification spectra
–
– photophobia
–
– fever, chills
–
– weight loss
–
– rash
–
– scalp tenderness
–
– neck pain, stiffness
–
– myalgia
–
– rhinorrhoea, lacrimation
–
– altered mental status
–
– neurological deficit (weakness, numbness, ‘pins and needles’)
• Timing and duration.
• Exacerbating and relieving factors; for example, activity, stress, eye strain, caffeine, alcohol,
dehydration, hunger, certain foods, coughing/sneezing).
• Severity. Ask the patient to rate the pain on a scale of 1 to 10, and determine the effect that it
is having on his life.
04-OCSEs-Neurology_5e ccp.indd 75 19/03/2015 12:34
Clinical
Skills
for
OSCEs
76 Station 30 History of headaches
Past medical history
• Current, past, and childhood illnesses.
• Ask specifically about headache, migraine, hypertension, cardiovascular disease, and travel
sickness as a child.
• Surgery.
Drug history
• Prescribed medication. Ask specifically about withdrawal from NSAIDs, opioids, glyceryl
trinitrate, and calcium channel blockers.
• Over-the-counter medication.
• Recreational drugs.
• Allergies.
Family history
• Parents, siblings, and children.
• Ask about migraine and travel sickness.
Social history
• Employment, past and present.
• Housing.
• Mood. Depression is a common cause of headaches.
• Smoking.
• Alcohol use. Alcohol is a common cause of headaches.
• Diet: tea and coffee, cheese and yoghurt, chocolate.
After taking the history
• Ask the patient if there is anything he might like to add that you have forgotten to ask about.
• Ask him if he has any questions or concerns.
• Thank him.
• Summarise your findings and offer a differential diagnosis.
• State that you would like to carry out a physical examination and some investigations to con-
firm your diagnosis and exclude life-threatening causes of headaches (see box below).
04-OCSEs-Neurology_5e ccp.indd 76 19/03/2015 12:34
Neurology
77
Station 30 History of headaches
Conditions most likely to come up in a history of headaches station
Tension headaches:
• constant pressure, ‘as if the head were being
squeezed in a vice’.
• pain typically last 4–6 hours but this is highly
variable.
• may be precipitated by stress, eye strain,
sleep deprivation, bad posture, irregular meal
times.
Cluster headaches (‘suicide headaches’):
• excruciating unilateral headache that is of
rapid onset.
• located in the periorbital or temple area, may
radiate to the neck or shoulder.
• associated with autonomic symptoms such as
ptosis, conjunctival injection, lacrimation.
• each headache lasts from 15 minutes to 3
hours.
• headaches most often occur in ‘clusters’: once
or more every day, often at the same time of
day, for a period of several weeks.
Migraines:
• unilateral, dull, throbbing headache lasting
from 4 to 72 hours.
• may be aggravated by activity.
• associated with nausea, vomiting,
photophobia, phonophobia.
• about half experience prodromal symptoms
such as altered mood, irritability, or fatigue
several hours or days before the headache.
• about one-third experience an aura,
commonly consisting of visual disturbances or
neurological symptoms, before or along with
the headache.
• frequency of headaches varies considerably,
but average is about 1–3 a month.
Cranial arteritis:
• unilateral pain in the temporal region.
• associated with scalp tenderness, jaw
claudication, blurred vision, and tinnitus.
• three times more common in females.
• mean age of onset is 70 years.
• urgent treatment is required to prevent
sudden loss of vision.
Cervical spondylosis:
• occipital headaches associated with cervical
pain.
• cervical pain may radiate to the base of the
skull, shoulder, or hand and fingers.
• may be associated with weakness, numbness,
or pins and needles in the arms and hands.
Meningitis:
• severe and bilateral headache.
• may be associated with high fever, neck
stiffness, photophobia, phonophobia, altered
mental status.
Subarachnoid haemorrhage:
• thunderclap headache (‘like being kicked in
the head’) that is of very rapid onset.
• may be associated with vomiting, altered
mental status, neck stiffness, photophobia,
visual disturbances, seizures.
Raised intracranial pressure
• dull, throbbing headache associated with
vomiting, ocular palsies, visual disturbances,
altered mental status.
• may be worse in the morning and may wake
the patient up from sleep.
• aggravated by coughing and head
movement.
• alleviated by standing.
Sinusitis:
• dull and constant headache or facial pain
over the sinuses.
• may be associated with flu-like symptoms and
facial tenderness.
• may be aggravated by bending over or lying
down.
Trigeminal neuralgia:
• intense unilateral facial pain (‘like stabbing
electric shocks’) lasting from seconds to
minutes.
• may occur several times a day.
• triggered by common activities such as
eating, talking, shaving, and tooth-brushing.
• may be associated with a trigger area on the
face.
04-OCSEs-Neurology_5e ccp.indd 77 19/03/2015 12:34
Clinical
Skills
for
OSCEs
78 Station 31
History of ‘funny turns’
Before starting
• Introduce yourself to the patient.
• Confirm his name and date of birth.
• Explain that you are going to ask him some questions to uncover the cause of his collapse, and
obtain consent.
• Ensure that he is comfortable.
The history
• Name, age, and occupation.
Presenting complaint and history of presenting complaint
First use open questions to get the patient’s story, and elicit their ideas, concerns and expectations.
Think about the common causes of a funny turn, as these should inform your line of questioning.
Ask about:
• Whether the patient remembers falling.
• If the fall was witnessed and if a collateral history is available.
• The circumstances of the fall:
–
– had the patient just arisen from bed? (postural hypotension)
–
– had the patient just suffered an intense emotion? (vasovagal syncope)
–
– had the patient been coughing or straining? (situational syncope)
–
– had the patient been turning or extending his neck? (carotid sinus syncope)
–
– had the patient been exercising? (arrhythmia)
–
– did the patient have any palpitations, chest pain, or shortness of breath? (arrhythmia)
• Any loss of consciousness and its duration.
• Prodromal symptoms such as aura, change in mood, strange feeling in the gut, sensation of
déjà vu.
• Fitting, frothing at the mouth, tongue biting, incontinence.
• Headache or confusion, or amnesia upon recovery.
• Injuries sustained, especially head injury.
• Previous episodes.
Past medical history
• Current, past, and childhood illnesses. Ask specifically about epilepsy, hypertension, heart prob-
lems, stroke, diabetes (autonomic neuropathy), cervical spondylosis, and arthritis.
• Surgery.
Drug history
• Prescribed medication. Drugs such as antipsychotics, tricyclic antidepressants, and antihyper-
tensives can cause postural hypotension. Insulin can cause hypoglycaemia.
• Over-the-counter medication.
• Recreational drugs.
• Recent changes in medication.
04-OCSEs-Neurology_5e ccp.indd 78 19/03/2015 12:34
Neurology
79
Station 31 History of ‘funny turns’
Family history
• Parents, siblings, and children.
• Ask specifically about epilepsy and heart problems.
Social history
• Smoking.
• Alcohol use.
• Employment, past and present.
• Housing.
• Effect of falls on patient’s life.
After taking the history
• Ask the patient if there is anything he might add that you have forgotten to ask about.
• Ask him if he has any questions or concerns.
• Thank him.
• Summarise your findings and offer a differential diagnosis.
• State that you would like to carry out a physical examination and some investigations to con-
firm your diagnosis.
Conditions most likely to come up in a history of ‘funny turns’ station
Simple faint:
• loss of consciousness lasting from a few
seconds to a few minutes is preceded by
nausea, sweatiness, dizziness or tightness
in the throat.
• provoked by stressful, anxiety-provoking,
or painful situations (vasovagal syncope),
by coughing or straining (situational
syncope), or by applying pressure upon
the carotid sinus, for example, by wearing
a tight collar, turning the head, or shaving
(carotid sinus syncope).
Postural hypotension:
• loss of consciousness preceded by
dizziness, light-headedness, confusion, or
blurry vision.
• provoked by postural change.
• causes include hypovolaemia (e.g.
dehydration, bleeding, diuretics,
vasodilators), drugs (e.g. tricyclic
antidepressants, antipsychotics, alpha
blockers), and certain medical conditions
(e.g. diabetes, Addison’s disease).
04-OCSEs-Neurology_5e ccp.indd 79 19/03/2015 12:34
Clinical
Skills
for
OSCEs
80 Station 31 History of ‘funny turns’
Arrhythmia (cardiac syncope):
• may be either a bradycardia or
tachycardia.
• may be provoked by exertion.
• may be associated with palpitations, chest
pain, shortness of breath, fatigue.
• history of heart disease/risk factors for
heart disease are very likely.
• patient should be hospitalised and
placed on a cardiac monitor to rule out
ventricular tachycardia, which can result
in sudden death.
• less commonly, cardiac syncope can be
caused by an obstructive cardiac lesion
such as aortic or mitral stenosis.
Generalised tonic-clonic seizure:
• sudden loss of consciousness
accompanied by fitting, frothing at the
mouth, tongue biting, incontinence.
• seizure lasts for about 2 minutes.
• seizure is followed by confusion and
amnesia.
• seizure may be preceded by an aura
which may involve déjà vu, dizziness,
unusual emotions, altered sense
perceptions, or other symptoms.
Transient ischaemic attack:
• most frequent symptoms include loss of
vision, aphasia, unilateral hemiparesis,
and unilateral paraesthesia.
• symptoms last for a few seconds to a few
minutes and never for more than 24 hours
(by definition).
• loss of consciousness can occur, although
it is very uncommon.
04-OCSEs-Neurology_5e ccp.indd 80 19/03/2015 12:34
81
Neurology
Station 32
Cranial nerve examination
Specifications: You may be asked to limit your examination to certain cranial nerves only, e.g. I–VI,
VII–XII.
Before starting
• Introduce yourself to the patient.
• Confirm his name and date of birth.
• Explain the examination and obtain his consent.
• Ensure that he is comfortable.
The examination
The olfactory nerve (CN I)
• Ask the patient if he has noticed a change in his sense of smell or taste. If he has, indicate that
you would perform an olfactory examination by asking him to smell different scents, such as
mint or coffee. Otherwise, the olfactory nerve is not formally tested.
The optic nerve (CN II)
(See Station 51: Vision and the eye examination for more details.)
• Ask the patient whether he wears glasses. If he does, ask him to put them on.
• Ask about any changes in vision and the time frame over which they have occurred. Use the
mnemonic AFRO C (Acuity, Fields, Reflexes, Ophthalmoscopy/Fundoscopy, and Colour vision)
to guide you through the following steps.
• Acuity: Use a Snellen chart from a distance of 6 metres and test near vision by asking the patient
to read test types (or a page in a book).
• Fields: Sit directly opposite the patient, at the same level as him. Ask him to look straight at
you and to cover his right eye with his right hand. Cover your left eye with your left hand, and
test the visual field of his left eye with your right hand. Bring a wiggly finger into the upper left
quadrant, asking the patient to say when he sees the finger. Repeat for the lower left quadrant.
Then swap hands and test the upper and lower right quadrants. Now ask the patient to cover
his left eye with his left hand. Cover your right eye with your right hand and test the visual field
of his right eye with your left hand. Bring a wiggly finger into the upper right quadrant, asking
the patient to say when he sees the finger. Repeat for the lower right quadrant. Then swap
hands and test the upper and lower left quadrants.
• Indicate that you could use a red hat pin to uncover the blind spot and the presence of a central
scotoma.
• Reflexes: See under CN III, IV and VI testing.
• Indicate that you could examine the eyes by direct ophthalmoscopy/fundoscopy.
• Indicate that you could test red/green colour vision with Ishihara plates.
04-OCSEs-Neurology_5e ccp.indd 81 19/03/2015 12:34
Clinical
Skills
for
OSCEs
82 Station 32 Cranial nerve examination
Figure 22. Visual field defects and their origins.
The oculomotor, trochlear, and abducens nerves (CN III, IV, and VI)
(See Station 51: Vision and the eye examination for more details.)
• Inspect the eyes, paying particular attention to the size and symmetry of the pupils, and exclud-
ing a visible ptosis (Horner’s syndrome) or squint.
• Test the direct and consensual pupillary light reflexes. Explain that you are going to shine a
bright light into the patient’s eye and that this may feel uncomfortable. Bring the light in onto
his left eye and look for pupil constriction. Bring the light in onto his left eye once again, but
this time look for pupil constriction in his right eye (consensual reflex). Repeat for the right eye.
• Perform the swinging flashlight test to detect a relative afferent pupillary defect. Swing the light
from one eye to another and look for sustained pupil constriction in both eyes. Intermittent
pupil constriction in one eye (Marcus Gunn pupil) suggests a lesion of the optic nerve anterior
to the optic chiasm.
• Perform the cover test. Ask the patient to fixate on a point and cover one eye. Observe the
movement of the uncovered eye. Repeat the test for the other eye.
• Examine eye movements. Ask the patient to keep his head still and to follow your finger with
his eyes. Ask him to report any pain or double vision at any point. Draw an ‘H’ shape with your
finger. Observe for nystagmus at the extremes of gaze.
• Test the accommodation reflex. Ask the patient to follow your finger in to his nose. As the eyes
converge, the pupils should constrict.
Optic
radiation
Lateral
geniculate
body
Optic
tract
Optic
chiasm
Left Right
Left eye
 Loss of vision
1
2
3
4
5
6
Right eye
Optic
nerve
5
6
3
4
2
1
04-OCSEs-Neurology_5e ccp.indd 82 19/03/2015 12:34
Neurology
83
Station 32 Cranial nerve examination
The trigeminal nerve (CN V)
Sensory part
• Using cotton wool, test light touch in the three branches of the trigeminal nerve. Compare
both sides.
• Indicate that you could test the corneal reflex, but that this is likely to cause the patient some
discomfort.
Motor part
• Test the muscles of mastication (the temporalis, masseter, and pterygoid muscles) by asking
the patient to:
–
– clench his teeth (palpate his temporalis and masseter muscles bilaterally)
–
– open and close his mouth against resistance (place your fist under his chin)
• Indicate that you could test the jaw jerk. Ask the patient to let his mouth fall open slightly. Place
your fingers on the top of his mandible and tap them lightly with a tendon hammer.
The facial nerve (CN VII)
• Look for facial asymmetry. Note that the nasolabial folds and the angle of the mouth are espe-
cially indicative of facial asymmetry.
Sensory part
• Indicate that you could test the anterior two-thirds of the tongue for taste.
Motor part
• Test the muscles of facial expression by asking the patient to:
–
– lift his eyebrows as far as they will go
–
– close his eyes as tightly as possible (try to open them)
–
– blow out his cheeks
–
– purse his lips or whistle
–
– show his teeth
Ophthalmic
branch
Maxillary
branch
Mandibular
branch
Gasserian
ganglion
Trigeminal
nerve
Figure 23. The three branches
of the trigeminal nerve.
‘Trigeminal’ means ‘three twins’.
04-OCSEs-Neurology_5e ccp.indd 83 19/03/2015 12:34
Clinical
Skills
for
OSCEs
84 Station 32 Cranial nerve examination
The acoustic nerve (CN VIII)
(See Station 52: Hearing and the ear examination for more details.)
• Test hearing sensitivity in each ear by occluding one ear and rubbing your thumb and fingers
together in front of the other.
• Indicate that you could carry out the Rinne and Weber tests and examine the ears by auroscopy
(see Station 52).
The glossopharyngeal nerve (CN IX)
• Indicate that you could test the gag reflex by touching the tonsillar fossae on both sides with a
tongue depressor, but that this is likely to cause the patient some discomfort.
The vagus nerve (CN X)
• Ask the patient to phonate (say ‘aah’) and, aided by a pen torch, look for deviation of the uvula
to the opposite side of the lesion. Use a tongue depressor if necessary.
The hypoglossal nerve (CN XII)
• Aided by a pen torch, inspect the tongue for wasting and fasciculation.
• Ask the patient to stick out his tongue and look for deviation to the side of the lesion. Now ask
him to wiggle it from side to side.
The accessory nerve (CN XI)
• Look for wasting of the sternocleidomastoid and trapezius muscles.
• Ask the patient to:
–
– shrug his shoulders against resistance
–
– turn his head to either side against resistance
After the examination
• Thank the patient.
• Ensure that he is comfortable.
• If appropriate, state that you would order some key investigations, e.g. a CT or MRI.
• Summarise your findings and offer a differential diagnosis.
Conditions most likely to come up in a cranial nerve examination station
Third nerve palsy:
• the eye is depressed and abducted (down and out).
• elevation, adduction, and depression are limited, but abduction and intortion are normal.
• there is a ptosis (drooping of the upper eyelid).
• the pupil may be dilated and unreactive to light or accommodation.
04-OCSEs-Neurology_5e ccp.indd 84 19/03/2015 12:34
Neurology
85
Station 32 Cranial nerve examination
Bell’s (facial nerve) palsy:
• facial drooping and paralysis on the affected half.
• if the forehead muscles are spared, it is a central rather than a peripheral palsy.
Horner’s syndrome:
• signs of Horner’s syndrome are ptosis, miosis, enophthalmos, and facial anhidrosis.
Cavernous sinus syndrome:
• the cavernous sinus contains the carotid artery and its sympathetic plexus, CN III, IV, and VI,
and the ophthalmic and maxillary branches of CN V.
• signs of a cavernous sinus lesion may include (generally unilateral) proptosis, chemosis,
ophthalmoplegia, and loss of sensation in the first and second divisions of the trigeminal
nerve.
Cerebellopontine angle syndrome:
• lesions in the area of the cerebellopontine angle can cause compression of CN V, VII, and VIII.
• signs may include palsies of CN V and VII, nystagmus, ipsilateral deafness, and ipsilateral
cerebellar signs.
Bulbar palsy:
• lower motor neurone lesion in the medulla oblongata leads to bilateral impairment of
function of CN IX–XII.
• signs include speech difficulties, dysphagia, wasting and fasciculation of the tongue, absent
palatal movements, absent gag reflex.
Pseudo-bulbar palsy:
• upper motor neurone lesion in the corticobulbar pathways in the pyramidal tract leads to
impairment of function of CN IX–XII and also CN V and VII.
• signs include speech difficulties, dysphagia, conical and spastic tongue, brisk jaw jerk,
emotional lability.
04-OCSEs-Neurology_5e ccp.indd 85 19/03/2015 12:34
Clinical
Skills
for
OSCEs
86 Station 33
Motor system of the upper limbs examination
Before starting
• Introduce yourself to the patient.
• Confirm his name and date of birth.
• Explain the examination and obtain his consent.
• Position him and ask him to expose his arms completely.
• Ask if he is currently experiencing any pain.
The examination
Inspection
• Look for abnormal posturing.
• Look for abnormal movements such as tremor, fasciculation, dystonia, athetosis.
• Assess the muscles of the hands, arms, and shoulder girdle for size, shape, and symmetry. You
can also measure the circumference of the arms.
Tone
• Ensure that the patient is not in any pain.
• Ask the patient to relax the muscles in his arms.
• Test the tone in the upper limbs by holding the patient’s hand and simultaneously pronating
and supinating and flexing and extending the forearm. If you suspect increased tone, ask the
patient to clench his teeth and re-test. Is the increased tone best described as spasticity (clasp-
knife) or as rigidity (lead pipe)? Spasticity suggests a pyramidal lesion, rigidity suggests an
extra-pyramidal lesion.
Power
• Test muscle strength for shoulder abduction, elbow flexion and extension, wrist flexion and
extension, finger flexion, extension, abduction, and adduction, and thumb abduction and oppo-
sition. Compare muscle strength on both sides, and grade it on the MRC muscle strength scale:
0 No movement.
1 Feeble contractions.
2 Movement, but not against gravity.
3 Movement against gravity, but not against resistance.
4 Movement against resistance, but not to full strength.
5 Full strength.
Table 13. Important root values in the upper limb – muscle strength
• Shoulder abduction C5
• Elbow flexion C6
• Elbow extension C7
• Wrist extension C6, C7
• Wrist flexion C7, C8
• Finger extension C7 (radial nerve)
• Finger flexion C8
• Finger abduction/adduction T1 (ulnar nerve)
• Thumb abduction/opposition T1 (median nerve)
04-OCSEs-Neurology_5e ccp.indd 86 19/03/2015 12:34
Neurology
87
Station 33 Motor system of the upper limbs examination
Reflexes
• Test biceps, supinator, and triceps reflexes with a tendon hammer (see Figure 24). Compare both
sides. If an upper limb reflex cannot be elicited, ask the patient to clench his teeth and re-test.
Table 14. Important root values
in the upper limb – reflexes
• Biceps C5, C6
• Supinator C6
• Triceps C7
Figure 24. Testing (A) biceps, (B) supinator, and (C) triceps
reflexes.
Cerebellar signs
• Test for intention tremor, dysynergia, and dysmetria (past-pointing) by asking the patient to
carry out the finger-to-nose test.
–
– place your index finger at about 2 feet from the patient’s face. Ask him to touch the tip of his
nose and then the tip of your finger with the tip of his index finger. Once he is able to do this,
ask him to do it as fast as he can. And remember that he has two hands!
• Then test for dysdiadochokinesis.
–
– ask the patient to clap and then show him how to clap by alternating the palmar and dorsal
surfaces of one hand. Once he is able to do this, ask him to do it as fast as he can. Ask him to
repeat the test with his other hand
(A)
(B)
(C)
(A)
(B)
(C)
04-OCSEs-Neurology_5e ccp.indd 87 19/03/2015 12:34
Clinical
Skills
for
OSCEs
88 Station 33 Motor system of the upper limbs examination
After the examination
• Thank the patient.
• Ensure that he is comfortable.
• Ask to carry out a full neurological examination.
• If appropriate, indicate that you would order some key investigations, e.g. CT, MRI, nerve con-
duction studies, electromyography, etc.
• Summarise your findings and offer a differential diagnosis.
Conditions most likely to come up in a motor system of the upper limbs examination station
Parkinson’s disease:
• motor signs include forward-flexed posture, mask-like facial expression, speech difficulties,
resting tremor, cogwheel rigidity, bradykinesia.
Cerebellar lesion:
• motor signs depend on the anatomy of the lesion, and may include nystagmus, slurred
or staccato speech, hypotonia, hyporeflexia, intention tremor, dysmetria, dysynergia,
dysdiadochokinesis, ataxia.
Ulnar nerve lesion:
• wasting, weakness, numbness, and tingling in the fifth finger and in the medial half of the
fourth finger.
• curling up of the fifth and fourth fingers (‘ulnar claw’) indicates that the nerve is severely
affected.
Median nerve lesion:
• a lesion at the level of the wrist produces wasting of the thenar muscles, weakness of
abduction and opposition of the thumb, and numbness over the palmar aspect of the thumb,
index finger, third finger, and lateral half of the fourth finger.
• a lesion at the level of the forearm produces additional weakness of flexion of the distal and
middle phalanges.
• a lesion at the level of the elbow or above produces additional weakness of pronation of the
forearm and ulnar deviation of the wrist on wrist flexion.
Radial nerve lesion:
• a lesion at the level of the axilla or above produces weakness of elbow extension and flexion,
weakness of wrist and finger extension with attending wrist drop and finger drop, weakness of
thumb abduction and extension, and sensory loss over the dorsoradial aspect of the hand and
the dorsal aspect of the radial 3½ fingers (usually circumscribed to a small, triangular area over
the first dorsal web space).
• inferior lesions are likely to spare triceps (elbow extension), brachioradialis (elbow flexion),
and extensor carpi radialis longus (wrist extension and radial abduction, but this muscle is
only one of five wrist extensors).
Radiculopathy, affecting a single root nerve (see Table 14)
Hemiplegia/hemiparesis:
• paralysis or weakness on one side of the body accompanied by decreased movement control,
spasticity, and hyper-reflexia (upper motor neurone syndrome).
Myopathy:
• symmetrical weakness predominantly affecting proximal muscle groups.
• in contrast to neuropathy, in myopathy muscle atrophy and hyporeflexia occur very late.
04-OCSEs-Neurology_5e ccp.indd 88 19/03/2015 12:34
89
Neurology
Station 34
Sensory system of the upper limbs examination
Before starting
• Introduce yourself to the patient.
• Confirm his name and date of birth.
• Explain the examination and obtain his consent.
• Position him so that he is comfortably seated and ask him to expose his arms and to position
them so that the palms are facing towards you.
• Ask if he is currently experiencing any pain.
The examination
To examine the sensory system, test light touch, pain, vibration sense, and proprioception.
Do not forget to inspect the arms before you start. In particular, look for muscle wasting,
fasciculation, scars and other obvious signs.
• Light touch (not light rub or stroke). Ask the patient to close his eyes and to say ‘yes’ each time he
is touched with a wisp of cotton wool. Apply the cotton wool to his sternum as a test. Then apply
it to each of the dermatomes of the arm, moving from the hand and up along the arm. Remember
to compare both sides against each other, asking, “Does it feel the same on both sides?”.
• Pain. Ask the patient to close his eyes and apply a sharp object – ideally a neurological pin – to
the sternum and then to each of the dermatomes of the arm, as above. Compare both sides
against each other. If there is any loss of or difference in sensation, map out the area affected.
Figure 25. Dermatomes of the arm.
C4
C5
C5
POSTERIOR
ASPECT
ANTERIOR
ASPECT
C6
C8
C7
C4
C6
C8
C7
T3
T2
T1
T1
T3
T2
04-OCSEs-Neurology_5e ccp.indd 89 19/03/2015 12:34
Clinical
Skills
for
OSCEs
90 Station 34 Sensory system of the upper limbs examination
• Vibration. Ask the patient to close his eyes and apply a vibrating 128 Hz tuning fork (not the
smaller 512 Hz tuning fork used in hearing tests) to the sternum and then over the bony promi-
nences of the arm, starting with the interphalangeal joint of the thumb and moving up to the
wrist and then the elbow (only if not felt more distally). Compare both sides against each other,
asking the patient to tell you when he feels the vibration stop (you can hasten this by touching
the tuning fork).
• Proprioception. Ensure that the patient does not suffer from arthritis or some other painful con-
dition of the hand. Ask him to close his eyes. Hold the distal interphalangeal joint of his index
finger between the thumb and index finger of one hand. With the other hand, move the distal
phalanx up and down at the joint, asking him to identify the direction of each movement. Hold
the joint and phalanx from the sides, i.e. from their lateral and medial aspects. Tell the patient
something like, “I’m going to move your finger up and down. Is this up or down?” “What about this?
And that?” Again, compare both sides.
After the examination
• Thank the patient.
• Ensure that he is comfortable.
• Ask to carry out a full neurological examination.
• Summarise your findings and offer a differential diagnosis.
Conditions most likely to come up in a sensory system of the upper limbs examination station
Mononeuropathy:
• lesion affecting a single nerve, e.g. ulnar, median, or radial nerve (see Station 33).
Polyneuropathy:
• lesion affecting multiple nerves in a glove and stocking distribution, such as in diabetic
neuropathy.
Radiculopathy:
• lesion affecting a single root nerve, e.g. C6.
Brown–Séquard syndrome:
• numbness to touch and vibration and loss of proprioception (and weakness) on same side of
the lesion, and loss of pain and temperature sensation on the opposite side.
• caused by lateral hemisection or injury of the spinal cord.
Syringomyelia:
• loss of pain and temperature sensation but not of other sensory modalities.
04-OCSEs-Neurology_5e ccp.indd 90 19/03/2015 12:34
91
Neurology
Station 35
Motor system of the lower limbs examination
Before starting
• Introduce yourself to the patient.
• Confirm his name and date of birth.
• Explain the examination and obtain his consent.
• Position him and ask him to expose his legs.
• Ask if he is currently experiencing any pain.
The examination
Inspection
• Look for deformities of the foot.
• Look for abnormal posturing.
• Look for fasciculation.
• Assess the muscles of the legs for size, shape, and symmetry. You can also measure the circum-
ference of the quadriceps or calves.
Tone
• Ensure that the patient is not in any pain.
• Ask the patient to relax the muscles in his legs.
• Test the tone in the legs by rolling the leg on the bed, by flexing and extending the knee, and/
or by abruptly lifting the leg at the knee.
Power
• Test muscle strength for hip flexion, extension, abduction and adduction, knee flexion and ex-
tension, plantar flexion and dorsiflexion of the foot and big toe, and inversion and eversion of
the forefoot. Compare muscle strength on both sides, and grade it on the MRC scale for muscle
strength:
0 No movement.
1 Feeble contractions.
2 Movement, but not against gravity.
3 Movement against gravity, but not against resistance.
4 Movement against resistance, but not to full strength.
5 Full strength.
Table 15. Important root values in the lower limb – muscle strength
• Hip flexion (femoral nerve and iliopsoas muscle) L1, L2
• Hip extension (inferior gluteal nerve and gluteus maximus muscle) S1
• Hip adduction (obturator nerve and adductor muscles) L2
• Knee flexion (sciatic nerve and hamstrings) L5, S1
• Knee extension (femoral nerve and quadriceps) L3, L4
• Foot dorsiflexion (deep peroneal nerve and tibialis anterior muscle) L4, L5
• Foot plantar flexion (tibial nerve and gastrocnemius muscle) S1
• Big toe dorsiflexion (deep peroneal nerve and extensor hallucis longus) L5
04-OCSEs-Neurology_5e ccp.indd 91 19/03/2015 12:34
Clinical
Skills
for
OSCEs
92 Station 35 Motor system of the lower limbs examination
Reflexes
• Test the knee jerk and ankle jerk with a tendon hammer (see Figure 26). Test the knee jerk by
raising and supporting the knee with one arm and striking the patellar tendon with the other.
To test the ankle jerk, abduct and externally rotate the hip and flex the knee and ankle. Then
strike at the Achilles’ tendon. Compare both sides. If a lower limb reflex cannot be elicited, ask
the patient to hook flexed fingers and pull apart while you re-test.
Figure 26. Testing the knee (A) and
ankle (B) reflexes.
• Test for clonus by holding up the ankle and rapidly dorsiflexing the foot (2–3 beats is normal).
• Test for the Babinsky sign (extensor plantar reflex) by scraping the side of the foot with your
thumbnail or, ideally, with an orange stick. The sign is positive if there is extension of the big
toe at the MTP joint, so-called ‘upgoing plantars’.
Table 16. Important root values
in the lower limb – reflexes
Knee jerk L3, L4
Ankle jerk S1
(A)
(B)
04-OCSEs-Neurology_5e ccp.indd 92 19/03/2015 12:34
Neurology
93
Station 35 Motor system of the lower limbs examination
Cerebellar signs
• Carry out the heel-to-shin test.
–
– lie the patient on a couch. Ask him to run the heel of one leg down the shin of the other,
and then to bring the heel back up to the knee and to start again. Ask him to repeat the test
with his other leg
Gait
• If he can, ask the patient to walk to the end of the room and to turn around and walk back. (See
Station 37: Gait, co-ordination, and cerebellar function examination.)
After the examination
• Thank the patient.
• Ensure that he is comfortable.
• Ask to carry out a full neurological examination.
• If appropriate, indicate that you would order some key investigations, e.g. CT, MRI, nerve con-
duction studies, electromyography, etc.
• Summarise your findings and offer a differential diagnosis.
[Note] An upper motor neuron lesion is suggested by spastic tone, reduced power, brisk reflexes, up-going plantars,
reduced co-ordination, and clonus. A lower motor neuron lesion is suggested by normal or reduced tone, reduced
power, reduced reflexes, down-going plantars, normal co-ordination, wasting, and fasciculations.
Figure 27. Testing for the Babinsky or extensor plantar sign.
04-OCSEs-Neurology_5e ccp.indd 93 19/03/2015 12:34
Clinical
Skills
for
OSCEs
94 Station 35 Motor system of the lower limbs examination
Conditions most likely to come up in a motor system of the lower limbs examination station
Mononeuropathy:
• lesion affecting a single nerve, most commonly the
common peroneal nerve (resulting in foot drop).
Polyneuropathy:
• lesion affecting multiple nerves in a glove and
stocking distribution as in diabetic neuropathy.
Radiculopathy:
• lesion affecting a single root nerve (see Table 16).
Hemiplegia/hemiparesis:
• paralysis or weakness on one side of the body
accompanied by decreased movement control,
spasticity, and hyperreflexia (upper motor neurone
syndrome).
Cauda equina lesion:
• signs include unilateral or bilateral lower
limb motor and/or sensory deficits.
• the ankle jerks are usually absent on both
sides.
• upper motor neurone signs such as
Babinsky sign and clonus are absent.
Myopathy:
• symmetrical weakness predominantly
affecting proximal muscle groups.
• in contrast to neuropathy, in myopathy
muscle atrophy and hyporeflexia occur
very late.
04-OCSEs-Neurology_5e ccp.indd 94 19/03/2015 12:34
95
Neurology
Station 36
Sensory system of the lower limbs examination
Before starting
• Introduce yourself to the patient.
• Confirm his name and date of birth.
• Explain the examination and ask for his permission to carry it out.
• Position him on a couch and ask him to expose his legs.
• Ask if he is currently experiencing any pain.
The examination
To examine the sensory system, test light touch, pain, vibration sense, and proprioception.
• Do not forget to inspect the legs before you start. In particular, look for muscle wasting, fascicu-
lation, scars, and any other obvious signs.
• Light touch (not light rub). Ask the patient to close his eyes and to say ‘yes’ each time he is
touched with a wisp of cotton wool. Apply the cotton wool to his sternum as a test. Then apply
it to each of the dermatomes of the leg, moving from the foot and up along the leg. Remember
to compare both sides against each other, asking, “Does it feel the same on both sides?”.
• Pain. Ask the patient to close his eyes and apply a sharp object – ideally a neurological pin – to
the sternum and then to each of the dermatomes of the leg, as above. Compare both sides
against each other. If there is any loss of or difference in sensation, map out the area affected.
• Vibration. Ask the patient to close his eyes and apply a vibrating 128 Hz tuning fork (not the
smaller 512 Hz tuning fork used in hearing tests) to the sternum and then over the bony promi-
nences of the leg, starting with the interphalangeal joint of the big toe (test more proximally
only if not felt distally). Compare both sides against each other, asking the patient to tell you
when he feels the vibration stop (you can hasten this by touching the tuning fork).
L3
POSTERIOR
ASPECT
ANTERIOR
ASPECT
S1
L3
L4
L5
L2
L2
L1
L3
S2
L5
L4
L5
S1
S3
Figure 28. Dermatomes of the leg.
04-OCSEs-Neurology_5e ccp.indd 95 19/03/2015 12:34
Clinical
Skills
for
OSCEs
96 Station 36 Sensory system of the lower limbs examination
• Proprioception. Ensure that the patient does not suffer from arthritis, gout, or some other pain-
ful condition of the foot. Ask him to close his eyes. Hold the interphalangeal joint of his big toe
between the thumb and index finger of one hand. With the other hand, move the distal phalanx
up and down at the joint, asking him to identify the direction of each movement. Hold the joint
and phalanx from the sides i.e. from their lateral and medial aspects. Tell the patient something
like, “I’m going to move your toe up and down. Is this up or down?” “What about this? And that?”
Again, compare both sides. If the patient is able to stand, you can also perform Romberg’s test
(see Station 37: Gait, co-ordination, and cerebellar function examination).
After the examination
• Thank the patient.
• Ensure that he is comfortable.
• Ask to carry out a full neurological examination.
• If appropriate, indicate that you would order some key investigations, e.g. CT, MRI, nerve con-
duction studies, electromyography, etc.
• Summarise your findings and offer a differential diagnosis.
Conditions most likely to come up in a sensory system of the lower limbs examination station
Mononeuropathy:
• lesion affecting a single nerve.
Polyneuropathy:
• lesion affecting multiple nerves as in alcoholic or diabetic neuropathy.
Radiculopathy:
• lesion affecting a single root nerve (see Figure 28).
Cauda equina lesion:
• signs include unilateral or bilateral lower limb motor and/or sensory deficits, including ‘saddle
anaesthesia’ (loss of sensation in the area of the buttocks and perineum).
Hemisensory loss:
• loss of sensation including light, pain, temperature, vibration, and proprioception on one side
of the body.
• normally accompanied by hemiplegia/hemiparesis with attendant spasticity and hyper-
reflexia (upper motor neurone syndrome).
Brown–Séquard syndrome:
• numbness to touch and vibration and loss of proprioception (and weakness) on same side of
the lesion, and loss of pain and temperature sensation on the opposite side.
• caused by lateral hemisection or injury of the spinal cord.
Posterior column disease:
• loss of proprioception and vibration but not of other sensory modalities.
04-OCSEs-Neurology_5e ccp.indd 96 19/03/2015 12:34
97
Neurology
Station 37
Gait, co-ordination, and cerebellar function
examination
Before starting
• Introduce yourself to the patient.
• Confirm his name and date of birth.
• Explain the examination and obtain his consent.
• Ask if he is currently experiencing any pain.
Examination of gait
• Inspection. Inspect the patient in the sitting position, noting any abnormalities of posture. Ask
him to stand up and ensure that he is steady on his feet. Truncal ataxis suggests a midline cer-
ebellar lesion. Inspect posture from both front and side.
• Gait and arm swing. Ask him to walk to the end of the room and to turn around and walk back.
If he normally uses a stick or frame, he should not be prevented from doing so. Note the gait
and also the arm swing and any difficulty in standing or turning.
• Heel-to-toe test/tandem gait. Ask him to walk heel-to-toe, ‘as if on a tightrope’. Ataxia on a
narrow-based gait suggests a cerebellar or vestibular lesion.
• Romberg’s test. Ask him to stand unaided with his feet together and his arms by his sides.
Assess with his eyes open and then with his eyes closed. If he sways and threatens to lose his
balance when his eyes are closed, the test is said to be positive, indicating posterior column
disease.
You must be in a position to steady the patient should he threaten to fall.
Examination of co-ordination
• Resting tremor. Ask the patient to sit down, to rest his hands in his lap, and to close his eyes.
Resting tremor is a sign of Parkinson’s disease.
• Intention tremor. Ask the patient to do something, e.g. remove his watch or write a ­
sentence.
• Muscle tone in the arms. Examine muscle tone in the elbow (flexion and extension) and wrist
(flexion and extension, abduction and adduction) joints. Compare both sides.
• Dysdiadochokinesis. Ask the patient to clap and then show him how to clap by alternating the
palmar and dorsal surfaces of one hand. Once he is able to do this, ask him to do it as fast as he
can. Ask him to repeat the test with his other hand.
• Finger-to-nose test. Place your index finger at about 2 feet from the patient’s face. Ask him to
touch the tip of his nose and then the tip of your finger with the tip of his index finger. Once he
is able to do this, ask him to do it as fast as he can. And remember that he has two hands! Look
for intention tremor and dysmetria (past-pointing), both signs of cerebellar disease.
• Fine finger movements. Ask the patient to oppose his thumb with each of his other fingers in
turn. Once he is able to do this, ask him to do it as fast as he can. Again, remember that he has
two hands.
• Muscle tone in the legs. Ask the patient to lie down on a couch and, if possible, to relax the
muscles in his legs. Test the tone in his legs by rolling the leg on the bed, by flexing and extend-
ing the knee, and/or by abruptly lifting the leg at the knee.
• Heel-to-shin test. Ask the patient to run the heel of one leg down the shin of the other, and
then to bring the heel back up to the knee and to start again. Ask him to repeat the test with
his other leg.
04-OCSEs-Neurology_5e ccp.indd 97 19/03/2015 12:34
Clinical
Skills
for
OSCEs
98 Station 37 Gait, co-ordination, and cerebellar function examination
Assessment of cerebellar function
• If you are specifically asked to assess cerebellar function, carry out the above plus test
eye movements (nystagmus) and ask the patient to say ‘baby hippopotamus’ (slurred/
staccato speech). If you are then asked to list cerebellar signs, remember the mnemonic
DANISH:
–
– Dysdiadochokinesis and dysmetria (finger overshoot)
–
– Ataxia
–
– Nystagmus – test eye movements
–
– Intention tremor
–
– Slurred/staccato speech – ask the patient to say ‘baby hippopotamus’ or ‘British constitution’
–
– Hypotonia/hyporeflexia
After the examination
• Ask the patient if he has any questions or concerns.
• Thank the patient.
• Ensure that he is comfortable.
• Ask to carry out a full neurological examination.
• Summarise your findings and offer a differential diagnosis.
Conditions most likely to come up in a gait, co-ordination, and cerebellar function examination
station
Hemiplegic gait:
• the pelvis tilts upwards, the hip is abducted, and the leg is swung forwards in a semi-circular
movement.
• the leg is stiff and extended but the arm may be held in flexion and adduction with minimal
swing.
Scissor gait:
• a spastic gait seen in cerebral palsy and resulting from muscle contractures.
• the hips, knees, and ankles are flexed, producing a crouching and tiptoeing appearance.
• in addition, the hips are adducted and internally rotated, such that the knees cross or hit each
other in a scissor-like movement.
Festinating gait:
• seen in Parkinson’s disease.
• short shuffling steps with stiff arms and legs and stooped posture; difficulty starting and
turning.
Ataxic gait:
• seen in spinal and cerebellar lesions and in alcohol intoxication.
• unsteady, broad-based gait with a lurching quality.
Neuropathic gait:
• seen in peripheral neuropathies.
• weak foot dorsiflexors result in a high-stepping gait with foot-slapping; the high-stepping is
an attempt to prevent the foot from dragging and being injured; also called ‘high-stepping
gait’ or ‘foot-slapping gait’.
04-OCSEs-Neurology_5e ccp.indd 98 19/03/2015 12:34
Neurology
99
Station 37 Gait, co-ordination, and cerebellar function examination
Trendelenburg gait:
• seen in weakness of the hip abductors or in an inability or reluctance to abduct the hip, e.g.
due to a fractured neck of femur or to arthritic pain.
• the pelvis tilts to the unaffected side in the stance phase; as a result, the trunk lurches to the
affected side in an attempt to maintain a level pelvis.
• bilateral Trendelenburg results in a typical waddling gait.
Antalgic gait:
• seen in arthritis and trauma.
• avoidance of motions that trigger pain.
• often quick, short, and light footsteps.
• not to be confused with a Trendelenburg gait.
Myopathic gait:
• in muscular diseases the proximal pelvic girdle muscles are most affected, such that the
patient is unable to stabilise the pelvis in the stance phase.
• the pelvis drops to the side of the leg being raised, and this results in a broad-based, waddling
gait.
04-OCSEs-Neurology_5e ccp.indd 99 19/03/2015 12:34
Clinical
Skills
for
OSCEs
100 Station 38
Speech assessment
The patient is likely to find the assessment difficult and distressing, so remember to be especially
empathetic. In particular, do not rush the examination or keep on interrupting the patient, but move
at a pace that feels comfortable for him.
Table 17. Definitions
Dysphonia Motor impairment of ability to vocalise speech
Dysarthria Motor impairment of ability to articulate speech
Dysphasia Cognitive impairment of ability to comprehend or express language
Aphasia Complete inability to comprehend or express language
Note: Expressive dysphasia (Broca’s area, in the inferolateral dominant frontal lobe) and receptive
dysphasia (Wernicke’s area, in the posterior superior dominant temporal lobe) often co-exist.
Before starting
• Introduce yourself to the patient.
• Confirm his name and date of birth.
• Explain the assessment and obtain his consent.
• Check that he speaks English and that he can hear you.
• Ask him to try to describe his current problems.
The assessment
Orientation in time and place
Time
Name: (year) (season) (month) (date) (day)
Place
Name: (country) (county/region) (town) (hospital) (floor)
Dysphasia
Expressive
Assess whether the patient has difficulty in finding the right words whilst in conversation with you.
You could ask directly, “It seems like you know what you want to say but you’re struggling to get the
words out. Am I right?”
Nominal
Nominal dysphasia is a common form of expressive dysphasia. Ask the patient to name some common
objects such as a watch, pen, or badge; then to name the components of some of these objects, e.g.
hour hand, winder, strap, picture. If he is unable to name the object, ask him what it does: a correct
answer can help to distinguish nominal from receptive dysphasia.
04-OCSEs-Neurology_5e ccp.indd 100 19/03/2015 12:34
Neurology
101
Station 38 Speech assessment
Receptive
Assess whether the patient has difficulty understanding you by asking him to carry out some simple
instructions such as ‘shut your eyes’, ‘touch your nose’, and ‘point to the door’. If appropriate, try out
a more complex three-stage command, for example, “Using your left hand, touch your nose and then
touch my finger.”
Conductive
Conductive aphasia is the inability to repeat words or phrases despite intact understanding. Ask the
patient to repeat, “No ifs, ands or buts.”
Dysarthria
Ask the patient to repeat some of the following: ‘British constitution’, ‘West Register Street’, ‘Baby
hippopotamus’, ‘Biblical criticism’, ‘Artillery’.
Assess the structures involved in phonation and articulation by asking the patient to repeat:
• ‘Me, me, me’ Lips.
• ‘La, la, la’ Tongue.
• ‘Ah’ Palate, larynx, and expiratory muscles.
Dysphonia
• Make a note of the patient’s volume of speech, which may be low if there is weakness of the
vocal cords or respiratory muscles. Ask him to cough, and look out for ‘bovine’ cough, which
would suggest a lesion of cranial nerve X impairing the closure of the vocal cords.
Dyslexia
• Correct the patient’s vision and ask him to read a short paragraph from a newspaper or maga-
zine, and bear in mind that not all people who can’t read are dyslexic!
Dyscalculia
• Ask the patient to carry out simple sums and subtractions.
Dysgraphia
• Ask the patient to write a sentence.
After the assessment
• Ask the patient if he has any questions or concerns.
• Thank him.
• Summarise your findings, offer a differential diagnosis, and state the probable area of the lesion.
• Suggest a plan for further investigations and management, for example, mental state examina-
tion, full neurological examination, and speech and language therapy assessment (including an
assessment of swallowing).
04-OCSEs-Neurology_5e ccp.indd 101 19/03/2015 12:34
Clinical
Skills
for
OSCEs
102 Station 38 Speech assessment
Conditions most likely to come up in a speech assessment station
Dsyphasia:
• Expressive dysphasia results from damage to Broca’s area in the left inferior frontal gyrus:
–
– ‘telegraphic’ speech with omission of unimportant words such as ‘to’ and ‘the’
–
– difficulty finding words
–
– inaccurate grammar and syntax
• Receptive dysphasia results from damage to Wernicke’s area in the left superior posterior
temporal gyrus:
–
– inability to understand language and follow commands
–
– speech sounds fluent with normal rhythm but content is meaningless
• Global dysphasia results from widespread damage to the language areas, for example, owing
to a middle cerebral artery infarct in the dominant (usually left) hemisphere:
–
– both expression and comprehension of language are impaired, making communication
very challenging
• Nominal dysphasia results from damage to the parietal lobe:
–
– difficulty naming objects
–
– still able to describe what the object does
• Conductive dysphasia results from damage to the arcuate fasciculus:
–
– isolated difficulty in repeating words and phrases
–
– language and speech are otherwise intact
Dysarthria:
• Pseudobulbar palsy or spastic dysarthria results from bilateral lesions of the upper motor
neurons in the corticobulbar tracts:
–
– increased tone of oropharyngeal muscles
–
– harsh-sounding ‘Donald Duck’ speech
• Ataxic dysarthria results from lesions of the cerebellum:
–
– dysmetric ‘scanning’ speech
–
– slurred speech (the patient may sound drunk)
• Hypo- or hyper-kinetic dysarthria results from lesions of the basal ganglia:
–
– slow, monotonous speech in Parkinson’s disease
–
– loud and erratically stressed speech in Huntington’s disease
• Bulbar palsy or flaccid dysarthria results from lesions of the lower motor neurons in the
medulla and cranial nerves:
–
– hypernasal speech owing to decreased tone of the oropharyngeal muscles
–
– hoarse ‘breathy’ voice owing to paralysis of the vocal cords
Dysphonia:
• Dysphonia is a hoarse voice resulting from vocal cord pathology:
–
– neurological causes include vagus nerve lesions leading to vocal paresis, and
neuromuscular disease, such as myasthenia gravis, leading to vocal fatigue
–
– non-neurological causes include laryngitis, vocal cord nodules, corticosteroid inhalation,
laryngeal cancer, and vocal straining
Dyslexia, dyscalculia, dysgraphia:
• These symptoms result from lesions in the dominant parietal lobe.
04-OCSEs-Neurology_5e ccp.indd 102 19/03/2015 12:34
103
Psychiatry
Station 39
General psychiatric history
Specifications: The instructions for this station are likely to ask you to focus on one part of the history.
Family, social, and personal history are particularly relevant to psychiatry.
In taking a psychiatric history, it is especially important to put the patient at ease and to
be seen to be sensitive, tactful, and empathetic.
Before starting
• Introduce yourself to the patient.
• Confirm his name and date of birth.
• Ensure that he is comfortable.
The history
• Name, age, and mode of referral.
Presenting symptoms and history of presenting symptoms
• Start with open questions and listen attentively without interrupting:
–
– “Can you tell me why you came to the hospital today?”
–
– “How have you been feeling lately?”
• For each symptom identified, cover:
–
– onset and duration
–
– course
–
– effect on everyday life
–
– exacerbating and relieving factors, including any treatments
• Ask screening questions about mood, abnormal beliefs, and abnormal perceptions (see
Station 40: Mental state examination).
• Try to form a diagnostic hypothesis and to validate or falsify it through further questioning.
Past psychiatric history
• Previous episodes of mental illness.
• Previous psychiatric admissions, formal (under a section) and informal.
• Previous physical and psychological treatments and their outcomes.
• History of self-harm and attempted suicide.
Past medical history
• Current illness:
–
– acute illness
–
– chronic illness
–
– vascular risk factors
• Past and childhood illnesses, including head injury.
• Past hospital admissions and surgery.
05-OCSEs-Psychiatry_5e ccp.indd 103 19/03/2015 12:37
Clinical
Skills
for
OSCEs
104 Station 39 General psychiatric history
Drug history
• Current psychological treatments.
• Prescribed medication.
• Recent changes in prescribed medication.
• Over-the-counter drugs and herbal remedies.
• Allergies.
Substance use
• Alcohol.
• Tobacco.
• Illicit drugs.
[Note] Further questioning to establish dependence may be required if alcohol use and/or illicit drug use is high (see
Station 45: Alcohol history).
Family history
• Determine if anyone in the family has suffered from psychiatric illness or attempted suicide, e.g.
“Has anyone in the family ever had a nervous breakdown?”
• Enquire about family structure and relationships:
–
– “Do you have a partner or spouse?” If ‘yes’, ask about their age, occupation, and health
–
– “Do you have any children?” If ‘yes’, ask about their age, health, where they live, and who is
caring for them
–
– “Have there been any recent events or changes in the family?”
Social history
• Ask about social support and care:
–
– “Who lives with you at home?”
–
– “Who else are you close to?”
–
– “Do you feel like you have enough support?”
• Determine adequacy of housing and finances:
–
– “Do you live in your own house?”
–
– “Are you getting any help with your housing?”
–
– “Do you have any money worries?”
• Map out activities and interests:
–
– “How do you spend a typical day?”
–
– “What sorts of things do you enjoy doing?”
Personal history
• Early life:
–
– “Are you aware of any problems when you were a baby?”
–
– “How would you describe your childhood?”
–
– “Were both your parents around when you were growing up?”
• Educational achievement:
–
– “How did you get on at school?”
–
– “What qualifications did you leave with?”
• Occupational history:
–
– “Tell me about your work.”
–
– “What jobs have you had in the past?”
–
– “Why did you leave each job?”
05-OCSEs-Psychiatry_5e ccp.indd 104 19/03/2015 12:37
Psychiatry
105
Station 39 General psychiatric history
• Forensic history:
–
– “Have you ever had any trouble with the police or the law?”
–
– “Have you ever been convicted of any offence?”
–
– “Have you spent time in prison?”
–
– “How did that go?”
• Psychosexual history:
–
– “I’m going to ask you some sensitive questions which we ask everyone. Do you have any problems
in your love or sex life?”
–
– “Have you ever experienced violence or abuse from your partner or anyone else?”
• Religious or spiritual orientation:
–
– “Is religion or spirituality important to you?”
After taking the history
• Ask the patient if there is anything he might add that you have forgotten to ask about.
• Indicate that you could check the patient’s psychiatric records (if any) and take an informant/
collateral history, for example, from a relative, friend, carer, police officer, GP, or other health-
care ­professional.
• Summarise your findings and offer a differential diagnosis.
• Thank the patient.
Common conditions most likely to come up in a general psychiatric history station
• Depressive disorder.
• Anxiety disorder, e.g. agoraphobia, social phobia, panic disorder, generalised anxiety disorder.
• Mixed depression–anxiety.
• Obsessive–compulsive disorder.
• Eating disorder.
• Mania and bipolar affective disorder.
• Schizophrenia and other delusional disorders.
NB. For descriptions of these conditions, see Table 18 at the end of Station 40.
05-OCSEs-Psychiatry_5e ccp.indd 105 19/03/2015 12:37
Clinical
Skills
for
OSCEs
106 Station 40
Mental state examination
Specifications: The MSE is roughly analogous to the physical examination, and provides a snapshot
of the patient’s mental state at that moment in time. Instructions for this station are likely to ask you to
focus on one part of the mental state examination only, or to omit cognitive assessment. In some places,
the patient–actor might by replaced by a real patient on a video recording.
Before starting
• Introduce yourself to the patient.
• Confirm his name and date of birth.
• Explain that you would like to explore his thoughts and feelings, and ask him if this is OK.
Assessing the mental state
The mental state can be assessed under 7 main headings:
1. Appearance and behaviour.
2. Speech.
3. Mood.
4. Abnormal thoughts.
5. Abnormal perceptions.
6. Cognition.
7. Insight.
Appearance and behaviour
Begin by asking the patient some open questions, and focusing your attention on his appearance and
behaviour.
• Level of consciousness.
• Appearance: body build, posture, general physical condition, grooming and hygiene, dress,
physical stigmata such as scars, piercings, and tattoos.
• Behaviour and attitude to the examiner. In particular note: facial expression, degree of eye
contact, and quality of rapport.
• Motor activity/disorders of movement, e.g. agitation, retardation, tremor, dystonias, manner-
isms.
Speech
Note:
• Amount, rate, volume, and tone of speech, e.g. logorrhoea (large amount of speech), pressure
of speech (increased rate of speech), poverty of speech (small amount of speech), speech retar-
dation (decreased rate of speech), mutism (no speech).
• Form of speech, e.g. circumstantiality, tangentiality, clang associations, puns, rhymes, neolo-
gisms, perse­
verations. In circumstantiality, speech is organised and goal-oriented but cramped
by excessive or irrelevant detail and parenthetical remarks. In tangentiality, speech is organised
but not goal-oriented in that it is only very indirectly related to the questions being asked.
05-OCSEs-Psychiatry_5e ccp.indd 106 19/03/2015 12:37
Psychiatry
107
Station 40 Mental state examination
Mood
Note or ask about:
• Current mood state and severity. If there is the suggestion of depression, ask the patient to rate
his mood on a scale of 1 to 10, with 1 being the worst that he has ever felt and 10 being normal.
• Biological symptoms: sleep, appetite, libido, energy.
• Ideas of harm to self, e.g. “People with problems similar to those that you have been describing
often feel that life is no longer worth living. Have you felt that life is no longer worth living?” If yes,
then this should be explored further: “Have you ever thought of killing yourself?” “Have you made
any plans?” “Would you carry out those plans?” “What stops/would stop you?”.
• Ideas of harm to others.
• Anxiety and anxiety symptoms, e.g. butterflies, giddiness, clamminess, palpitations, difficulty
catching breath. If there is the suggestion of an anxiety disorder, this should be explored
further.
You are likely to fail this station if you do not ask about ideas of harm in an at-risk patient.
Abnormal thoughts
Note or ask about:
• Stream of thought, e.g. pressure of thought, poverty of thought, thought blocking.
• Form of thought, e.g. flight of ideas, loosening of associations, over-inclusive thinking.
• Content of thought:
–
– preoccupations, ruminations, obsessions, and compulsive acts, e.g. for obsessions, “Do cer-
tain things keep coming into your mind even though you try hard to keep them out?” And for
compulsive acts, “Do you ever find yourself spending a lot of time doing the same thing over and
over again even though you’ve already done it well enough?”
–
– phobias, e.g. “Do you have any special fears, like some people are afraid of spiders or snakes?”
–
– delusions and overvalued ideas. For obvious reasons, you cannot easily ask directly about
delusions. Begin by an introductory statement and general questions, such as “I would like to
ask you some questions that might seem a little bit strange. These are questions that we ask to
everyone who comes to see us. Is that all right with you? Do you have any ideas that your friends
and family do not share?” Explore any delusions and in particular ask about their onset, their
effect on the patient’s life, and the patient’s explanation for them (degree of insight). If
necessary, ask specifically about common delusional themes, e.g. delusions of persecution,
reference, control, guilt, grandeur
Abnormal perceptions
Ask about:
• Illusions and hallucinations. Again, begin by an introductory statement and general questions,
such as “I gather that you have been under quite some pressure recently. When people are under
pressure they sometimes find that their imagination plays tricks on them. Have you had any such ex-
periences? Have you seen things which other people cannot see? Have you heard things which other
people cannot hear?” Ask about all five modalities and explore any positive findings for content,
onset, frequency, duration, and effect on the patient’s life. Exclude pseudohallucinations and
hypnogogic and hypnopompic hallucinations. For auditory hallucinations of voices, determine
if there is more than one voice, and if the voices talk to the patient (second person) or about him
(third person). If the voices talk to him, do they command him to do dangerous things and, im-
portantly, is he likely to act on these commands? If the voices talk about him, do they comment
on his every thought and action (running commentary)? Other forms of auditory hallucinations
are écho de la pensée and gedankenlautwerden, both first rank symptoms of schizophrenia.
05-OCSEs-Psychiatry_5e ccp.indd 107 19/03/2015 12:37
Clinical
Skills
for
OSCEs
108 Station 40 Mental state examination
Differentiating between true hallucinations and pseudo-hallucinations
A pseudo-hallucination may differ from a true hallucination in that:
• it is perceived to arise from the mind (inner space) rather than the sense organs (outer space).
• it is less vivid.
• it is less distressing.
• the patient may have some degree of control over it.
True hallucinations tend to be a feature of functional disorders, whereas pseudo-hallucinations tend
to be a feature of personality disorder. This is, however, not a hard and fast rule.
• Depersonalisation and derealisation, e.g. for depersonalisation “Have you ever felt unreal?” And
for derealisation, “Have you ever felt that things around you are unreal?”
Cognition
Generally speaking, a quick and informal cognitive assessment can be carried out by recording the
following:
• Orientation in time, place, and person.
• Attention and concentration, e.g. serial sevens test, spelling ‘world’ backwards. Record the time
taken and the number of errors.
• Memory:
–
– short-term memory: ask the patient to name and remember three objects, then carry out the
serial sevens test, then ask him to recall the three objects
–
– recent memory: ask him how he came to the clinic this morning/afternoon
–
– remote memory: ask him where he was born, where he grew up, etc.
• Grasp: ask the patient to name the prime minister and reigning monarch.
If cognitive impairment is suspected, you can carry out the Mini-Mental State Examination (MMSE) or, freely
available, the Montreal Cognitive Assessment (MoCA). Both the MMSE and MoCA are scored out of 30.
[Note] The result is invalid if the patient is delirious or has an affective disorder, or is simply not co-operating!
Insight
To determine degree of insight, ask the patient:
• “Do you think there is anything wrong with you?”
If no,
• “Why did you come to hospital?”
If yes,
• “What do you think is wrong with you?”
• “What do you think the cause of it is?”
• “Do you think you need treatment?”
• “What are you hoping treatment will do for you?”
After the mental state examination
• Thank the patient.
• Ensure that he is comfortable.
• Summarise your findings. Note that mood should be reported as subjective mood and objec-
tive mood. Do not omit to comment upon risk.
• Offer a differential diagnosis.
05-OCSEs-Psychiatry_5e ccp.indd 108 19/03/2015 12:37
Psychiatry
109
Station 40 Mental state examination
Table 18. Principal features of key psychiatric disorders
See ICD-10 or DSM-IV for detailed diagnostic criteria.
Depressive disorder See Station 43
Mania • Garish clothing, accessories, and makeup
• Hyperactive, flirtatious, hypervigilant, assertive, and/or aggressive
behaviour
• Pressured speech; abnormalities of the form of speech
• Euphoric or irritable or labile mood
• Grandiose thoughts with flight of ideas and loosening of
associations; mood congruent delusions
• Hallucinations
• Poor concentration
• Poor insight
Schizophrenia • Delusions
• Hallucinations
• Disorganised speech
• Disorganised or catatonic behaviour
• Negative symptoms
Agoraphobia Persistent irrational fear of places difficult or embarrassing to escape
from, such as places that are confined, crowded, or far from home.
Increased reliance on trusted companions for accompaniment or, in
severe cases, restriction to the home.
Social phobia Persistent irrational fear of being scrutinised by others and of being
embarrassed or humiliated, either in most social situations or in specific
social situations such as public speaking.
Specific phobia Persistent irrational fear of one or more objects or situations. Common
specific phobias include heights, darkness, enclosed spaces, storms,
animals, flying, driving, blood, injections, and dental and medical
procedures.
Panic disorder Panic attacks are characterised by rapid onset of severe anxiety lasting
for about 20–30 minutes. They may occur in the phobic anxiety
disorder listed above or in other disorders such as OCD, PTSD, and
organic disorders.
In panic disorder, panic attacks occur recurrently and unexpectedly.
There is fear of the implications and consequences of an attack, e.g.
having a heart attack, losing control, ‘going crazy’. Anticipatory fear
of panic attacks develops and may itself lead to further panic attacks
and to significant behavioural changes such as the development of
agoraphobia.
continued
05-OCSEs-Psychiatry_5e ccp.indd 109 19/03/2015 12:37
Clinical
Skills
for
OSCEs
110 Station 40 Mental state examination
Table 18. Principal features of key psychiatric disorders – continued
Generalised anxiety
disorder (GAD)
Long-standing free-floating anxiety that may fluctuate but that is
neither situational (phobic anxiety disorders) nor episodic (panic
disorder). There is apprehension about a number of events far out
of proportion to the actual likelihood or impact of the feared events.
Other common symptoms include symptoms of autonomic arousal,
irritability, poor concentration, muscle tension, tiredness, and sleep
disturbances.
Obsessive compulsive
disorder (OCD)
An obsessional thought is a recurrent idea, image, or impulse that is
perceived as being senseless, that is unsuccessfully resisted, and that
results in marked anxiety and distress.
A compulsive act is a recurrent stereotyped behaviour that is not
useful or enjoyable but that reduces anxiety and distress. It is
usually perceived as being senseless and is unsuccessfully resisted.
A compulsive act may be a response to an obsessive thought or
according to rules that must be applied rigidly.
Post-traumatic stress
disorder (PTSD)
A protracted and sometimes delayed response to a highly threatening
or catastrophic experience characterised by numbing, detachment,
flashbacks, nightmares, partial or complete amnesia for the event,
avoidance of (and distress at) reminders of the event, and prominent
anxiety symptoms. Associated psychiatric disorders are very common,
especially depressive disorders, anxiety disorders, and alcohol and
substance misuse.
Adjustment disorder A protracted response to a significant life change or life event
characterised by depressive symptoms and/or anxiety symptoms that
are not severe enough to meet a diagnosis of depressive disorder or
anxiety disorder, but that nevertheless lead to an impairment of social
functioning.
Somatisation disorder
(Briquet’s syndrome)
A long history of multiple and severe physical symptoms that cannot
be accounted for by a physical disorder or other psychiatric disorder.
Compare to factitious disorders such as Münchausen syndrome and to
malingering.
Hypochondriacal disorder
(hypochondriasis)
A fear or belief of having a serious physical disorder despite medical
reassurance to the contrary.
Eating disorders See Station 46.
Alcohol dependence See Station 45.
05-OCSEs-Psychiatry_5e ccp.indd 110 19/03/2015 12:37
111
Psychiatry
Station 41
Cognitive testing
Testing of higher cerebral function begins by the bedside, opening the door to more formal
neuropsychological assessments.
• Introduce yourself to the patient.
• Make sure that the conditions are optimised, e.g. you are in a quiet room, the patient is neither
sedated nor suffering from side-effects, he is wearing his glasses or hearing aid.
• Explain the procedure: “I would like to ask you a few questions to test your memory and concentra-
tion. It should take about five or ten minutes in all. Is that OK?”
• Check orientation in time and place. “What day of the week is it today?” “What’s the date?” “What
town are we in?” “What building are we in?” If the patient is disoriented, give him the correct
information.
• If the patient is disoriented in time and place, check orientation in person.
• Test insight. “People seem quite concerned about you. Why is that?” “Why are you here?”
Dominant hemisphere
[Note] The dominant cerebral hemisphere is usually, although not always, the one on the left.
• Note the patient’s use of language. In the presence of an impaired ability to communicate
(dysphasia), fluency suggests receptive or Wernicke’s dysphasia, whereas hesitancy suggests
expressive or Broca’s dysphasia (see Station 38: Speech assessment).
• If receptive dysphasia is a possibility, test ability to understand commands, e.g. “Raise both
arms.” “Touch your left ear with your right thumb.”
• You can also test for nominal aphasia, a common form of expressive dysphasia, by asking the
patient to name some common objects such as a watch, pen, or penny coin; then to name the
components of some of these objects, e.g. hour hand, winder, strap.
• Having ascertained that the patient is literate, test for dyslexia by asking him to read a couple
of sentences, and for dysgraphia by asking him to write a sentence.
• Test for dyscalculia with ‘serial sevens’, e.g. “What’s 100 minus 7? What’s 93 minus 7? Can you
keep on going?”
• Test ability to recognise objects (agnosia) by, for example, placing a pen, paper, and name
badge on a table and asking the patient to pick up the pen.
In summary, assess the dominant hemisphere by testing for receptive dysphasia, expressive and
nominal dysphasia, dyslexia, dysgraphia, dyscalculia, and agnosia.
Non-dominant hemisphere
Test for:
• Geographical agnosia, e.g. “Show me how you would go to the bathroom and return to your bed.”
• Dressing apraxia, e.g. “Can you please button up your cardigan?”
• Constructional apraxia, e.g. “Can you draw a clock for me?”
05-OCSEs-Psychiatry_5e ccp.indd 111 19/03/2015 12:37
Clinical
Skills
for
OSCEs
112 Station 41 Cognitive testing
Memory
The following memory tests may be of use in an alert patient who is neither confused nor dysphasic.
• Immediate memory (digit span): “Can you repeat after me, 5438879?”
• Recent memory: “Can you tell me how long you’ve been in hospital?”
• Remote memory: “Where did you live 10 years ago?” “Who was the last Prime Minister?”
• Verbal memory: “I would like you to repeat the following sentence, ‘The quick brown fox jumps
over the lazy dog.’ Now, I would like you to remember that sentence, because I’m going to ask you
to repeat it again in 15 minutes’ time.”
• Visual memory: “I have placed a few objects on the table. I’m going to ask you to name these ob-
jects in 15 minutes’ time, so please could you remember them?”
[Note] You also ought to be aware of retrograde amnesia, which is memory loss for events up to an insult; and post-
traumatic amnesia, which is memory loss for events after an insult.
05-OCSEs-Psychiatry_5e ccp.indd 112 19/03/2015 12:37
113
Psychiatry
Station 42
Dementia diagnosis
According to ICD-10, dementia is: “a syndrome due to disease of the brain, usually of a chronic or
progressive nature, in which there is disturbance of multiple higher cortical functions, including
memory, thinking, orientation, comprehension, calculation, learning capacity, language, and
judgement. Consciousness is not clouded… Dementia produces an appreciable decline in intellectual
functioning, and usually some interference with personal activities of daily living…”.
The more important risk factors for dementia are listed in Table 19.
Table 19: Risk factors for dementia
• Advanced age
• Mild cognitive impairment (MCI)
• Family history
• Genetic mutations
• Cerebrovascular disease
• Hyperlipidaemia
• Head injury
The primary requirement for diagnosis, again according to ICD-10, is “evidence of a decline in both
memory and thinking sufficient to impair personal activities of daily living… The impairment of memory
typically affects the registration, storage, and retrieval of new information, but previously learned and
familiar material may also be lost, particularly in later stages. Dementia is more than dysmnesia: there
is also impairment of thinking and reasoning capacity, and a reduction in the flow of ideas”.
The diagnosis of the type of dementia (e.g. Alzheimer’s disease versus vascular dementia or mixed
dementia) is made on clinical grounds, and, strictly speaking, can only be verified by brain biopsy at
post-mortem. In some cases, owing to the progressive nature of disease, an observation time of 6–12
months may be required to make a diagnosis. The order in which symptoms develop can be suggestive
as to the type of dementia involved.
In the first instance, the patient is usually seen by their GP, who attempts to rule out other causes for
cognitive impairment and conducts a basic dementia screen. This includes a bedside standardised test
such as the Mini-Mental State Examination (MMSE), the General Practitioner Assessment of Cognition
(GPCOG), or the Montreal Cognitive Assessment (MoCA), the latter being particularly useful if the
patient is in the early stages of disease. At this (normally) early stage, the physical examination is
usually unremarkable. However, it may reveal an underlying reversible cause, or complications such as
malnutrition, burns, or falls.
Routine blood tests and investigations include:
• FBC and serum vit-B12 and folate to rule out anaemia.
• Metabolic panel to exclude dyshomeostasis of electrolytes and glucose.
• Serum TSH to exclude hyper- or hypothyroidism.
• Serum lipids.
• Urine dipstick to exclude UTI (if delirium is a possibility).
• CT or MRI scan to exclude reversible causes such as tumour, subdural haematoma, and hydro-
cephalus, and to ascertain structural changes such as hippocampal atrophy in Alzheimer’s disease.
[Note] Further investigations should be ordered on a case-by-case basis and might include HIV
testing; syphilis serology; vasculitic, autoimmune, neoplastic, and toxicological screens;
copper studies; cerebrospinal fluid examination; and genetic testing. Brain biopsy itself
is rarely indicated.
05-OCSEs-Psychiatry_5e ccp.indd 113 19/03/2015 12:37
Clinical
Skills
for
OSCEs
114 Station 42 Dementia diagnosis
The diagnosis of dementia subtypes is made on the basis of disparate sets of diagnostic criteria,
including DSM-IV for Alzheimer’s disease, the NINDS-AIREN criteria for vascular dementia, the
International Consensus Consortium Criteria for dementia with Lewy bodies, and the Lund–Manchester
criteria for fronto-temporal dementia. Detailed neurocognitive testing by a clinical psychologist can be
helpful in identifying cognitive impairments and in confirming a diagnosis.
Common types of dementia
Clinical features vary not only according to the severity of the dementia, but also according to the
type, with different types affecting different parts of the brain. They include (in approximate order
of progression for Alzheimer’s disease) memory loss, impaired thinking, language impairments,
deterioration in personal functioning, disturbed personality and behaviour, perceptual abnormalities,
and motor impairments.
Alzheimer’s disease Insidiously progressive memory loss and personality changes. Other
spheres of cognitive and non-cognitive impairment are added over the
course of several years.
Dementia with Lewy
bodies
A recently recognised entity that overlaps with Alzheimer’s
disease and parkinsonian dementias. It is the second commonest
cause of dementia, and is characterised by marked fluctuations in
cognitive impairment and alertness, vivid visual hallucinations, early
parkinsonism, and frequent falls.
Vascular dementia Classically marked by an abrupt onset and step-wise progression.
Clinical features are variable and depend on the location of infarcts,
but mood and behavioural changes are common. Significantly,
comorbidity leads to a shorter survival than in Alzheimer’s disease.
Pick’s disease A frontotemporal dementia characterised by early and prominent
personality changes and behavioural disturbances, eating
disturbances, mood changes, cognitive impairment, language
impairment, and motor signs. Onset is in middle-age and loss of
memory may not be a prominent feature.
Principles of management
If the dementia cannot be reversed, the aim of management is to improve quality of life of both patient
and carers. This involves treating symptoms and complications of dementia, addressing functional
problems, and providing education and support to carers. Anticholinesterase inhibitors such as
donepezil, rivastigmine, galantamine, and tacrine act by increasing cholinergic neurotransmission
and can modestly and temporarily ameliorate cognitive performance and behavioural problems in
some patients with Alzheimer’s disease and dementia with Lewy bodies. Owing to their serious and
debilitating side-effects, antipsychotic drugs should only ever be used as a last resort, and, even then,
mostly on a time-limited basis.
05-OCSEs-Psychiatry_5e ccp.indd 114 19/03/2015 12:37
Psychiatry
115
Station 42 Dementia diagnosis
Examiner’s questions
Principal differential diagnosis of dementia
• Mild cognitive impairment (MCI).
• Delirium (including delirium superimposed upon dementia).
• Depressive disorder (‘pseudodementia’) – although note that depressive and anxiety disorders
affect about 50% of dementia sufferers.
• Late-onset schizophrenia (paraphrenia).
• Learning difficulties.
• Amnestic syndrome e.g. Wernicke–Korsakoff syndrome.
• Substance misuse.
• Iatrogenic causes, particularly drugs.
• Dissociative disorder.
• Factitious disorder.
• Malingering.
05-OCSEs-Psychiatry_5e ccp.indd 115 19/03/2015 12:37
Clinical
Skills
for
OSCEs
116 Station 43
Depression history
For this station, it is especially important to put the patient at ease and to be sensitive,
tactful, and empathetic.
Before starting
• Introduce yourself to the patient.
• Confirm his name and date of birth.
• Explain that you are going to ask him some questions about his feelings, and obtain consent.
• Ensure that he is comfortable.
The interview
• Ask open questions about the patient’s current mood, listening attentively and gently encour-
aging him to open up.
• Ask about the onset of illness, and about its triggers and causes.
Ensure that you ask about:
• The core features of depression:
–
– depressed mood
–
– loss of interest
–
– fatiguability
• Other common features of depression:
–
– poor concentration
–
– poor self-esteem and self-confidence
–
– guilt
–
– pessimism/hopelessness
• The somatic (i.e. biological) features of depression:
–
– sleep disturbance
–
– early morning waking
–
– morning depression
–
– loss of appetite and/or weight loss
–
– loss of libido
–
– anhedonia
–
– agitation and/or retardation
• Screen for possible anxiety, hallucinations, delusions, and mania, so as to exclude other possible
psychiatric diagnoses.
• Take brief past medical, drug, family, and social histories. Remember that drugs and alcohol are
commonly associated with depression.
• Assess the severity of the illness and its effect on the patient’s life.
Ask about suicidal ideation and potential risk to any dependants, or you may fail this
station.
05-OCSEs-Psychiatry_5e ccp.indd 116 19/03/2015 12:38
Psychiatry
117
Station 43 Depression history
Asking about suicidal ideation
Asking about suicide can feel uncomfortable for some. Use a formulation such as, “People with
problems similar to those that you have been describing often feel that life is no longer worth living. Have
you felt that life is no longer worth living?” If yes, then this should be explored further: “Have you ever
thought of killing yourself?” “Have you made any plans?” “Do you have the means to carry out those
plans?” “Would you carry out those plans?” “What stops/would stop you?”
After finishing
• Ask the patient whether he has any questions, and whether there is anything that you have
forgotten to ask about.
• Thank the patient.
• Summarise your findings and suggest a further course of action, for example, further assess-
ment of suicidal risk (see Station 44), collateral history, follow-up by the Community Mental
Health Team, intensive support from the Crisis Team, admission to a psychiatric unit.
05-OCSEs-Psychiatry_5e ccp.indd 117 19/03/2015 12:38
Clinical
Skills
for
OSCEs
118 Station 44
Suicide risk assessment
And so it was I entered the broken world
To trace the visionary company of love, its voice
An instant in the wind (I know not whither hurled)
But not for long to hold each desperate choice.
From Broken Tower, by Hart Crane (b. 1899; d. 1932, by suicide)
Before starting
• Introduce yourself to the patient.
• Confirm his name and date of birth.
• Explain that you are going to ask him some difficult questions about his thoughts, and ask if
this is OK.
Do not hesitate to ask about suicide for fear of planting the idea into the patient’s head.
There is nothing to suggest that asking about suicide increases its risk.
The assessment
Ask about:
• The history of the current episode of self-harm (if any) to determine degree of suicidal intent
(higher intent/lower intent – guidelines only):
–
– what was the precipitant for the attempt? (serious precipitant/trivial precipitant)
–
– was it planned? (planned/unplanned)
–
– what was the method of self-harm, and did he expect this to be lethal? (violent method/
non-violent method)
–
– did he make a will or leave a suicide note? (suicide note/no suicide note)
–
– was he alone? (alone/not alone)
–
– did he take any precautions against discovery? (precautions/no precautions)
–
– was he intoxicated?
–
– did he seek help after the attempt? (sought help/did not seek help)
–
– how did he feel when help arrived? (angry or disappointed/relieved)
• Assess risk factors for suicide:
–
– previous suicide attempt(s)
–
– recent life crisis
–
– male sex, especially if between the ages of 25 and 44
–
– divorced, widowed, or single
–
– unemployed or in certain occupations, e.g. medicine, farming
–
– poor level of social support
–
– physical illness
–
– psychiatric illness
–
– substance misuse
–
– family history of depression, substance misuse, or suicide
• Mental state: assess current mood and exclude psychosis.
• Will he be returning to the same situation? What has changed? Are there any important protec-
tive factors?
• Ask about current suicidal ideation. Has he made any plans?
05-OCSEs-Psychiatry_5e ccp.indd 118 19/03/2015 12:38
Psychiatry
119
Station 44 Suicide risk assessment
After the assessment
• Thank the patient.
• Summarise your findings and state your opinion of the patient’s suicide risk.
• Suggest a plan of action, e.g. review by a senior colleague, formal psychiatric assessment, refer-
ral to the crisis team, admission to hospital.
05-OCSEs-Psychiatry_5e ccp.indd 119 19/03/2015 12:38
Clinical
Skills
for
OSCEs
120 Station 45
Alcohol history
Before starting
• Introduce yourself to the patient.
• Confirm his name and date of birth.
• Establish rapport.
• Explain to the patient that you would like to ask him some questions to evaluate his drinking
habits, and ask if that is OK; as he may be reluctant, it is particularly important that you be gentle
and tactful.
Screening for an alcohol problem
Use the CAGE questionnaire to screen for an alcohol problem. A positive response to one or more of
the four questions ought to trigger further questioning.
• “Have you ever felt that you should Cut down on your drinking?”
• “Have people Annoyed you by criticising your drinking?”
• “Have you ever felt Guilty about your drinking?”
• ”Have you ever had a drink first thing in the morning (Eye opener) to steady your nerves or get rid
of a hangover?”
The alcohol history
Ask about:
• Alcohol intake:
–
– what type or types
–
– how much (try to quantify in units of alcohol; see Figure 29)
–
– where
–
– when
–
– with whom
• Onset and duration of alcohol problem, e.g. “How old were you when you first started drinking?“
“When do you think it got out of hand?” “Have you ever tried going dry?” “How did that go?”
• Features of alcohol dependence:
1. compulsion to drink/craving
2. primacy of drinking over other activities
3. stereotyped pattern of drinking, e.g. narrowing of drinking repertoire
4. increased tolerance to alcohol, i.e. needing more and more to produce same effect
5. withdrawal symptoms, e.g. anxiety, sweating, tremor (‘the shakes’), nausea, fits, delirium
tremens
6. relief drinking to avoid withdrawal symptoms, e.g. ‘eye opener’ first thing in the morning
7. reinstatement after abstinence
[Note] For a diagnosis of alcohol dependence to be made, ICD-10 requires at least three from a similar list of features
occurring at any time during a 12-month period.
05-OCSEs-Psychiatry_5e ccp.indd 120 19/03/2015 12:38
Psychiatry
121
Station 45 Alcohol history
Medical history
Ask about the psychological and physical complications of alcohol abuse:
• Psychological: depression, anxiety
• Neurological: peripheral neuropathy, Wernicke–Korsakoff syndrome
• Gastrointestinal: peptic ulceration, oesophageal varices, pancreatitis, cirrhosis
• Cardiovascular: ischaemic heart disease, MI, stroke
Drug history
Ask about prescription and illicit drug use. Co-morbid abuse of illicit substances is common in
alcoholics, as is abuse of certain prescription drugs such as benzodiazepines. Moreover, alcohol
interacts with many prescription drugs including NSAIDs, antiepileptics, antidepressants, antibiotics,
and warfarin.
Family and social history
Ask about:
• Alcohol abuse in other members of the family.
• The effect of alcohol abuse on relationships, particularly with the partner and children (if need
be, carry out a risk assessment).
• The effect of alcohol abuse on employment, finances, and housing.
• Whether the patient has come into any trouble with the police or law.
After finishing
• Give the patient feedback on his drinking habits (e.g. number of units drunk versus recom-
mended number of units) and, if appropriate, suggest ways for him to cut down his alcohol use.
• Ask him if he has any questions or concerns.
• Thank him for his co-operation.
• Summarise your findings to the examiner and suggest a further course of action, e.g. physical
examination, referral to a self-help group, detox planning.
One
unit
1/2 pint of
ordinary
strength beer,
lager or cider
One
unit
1 very
small glass
of wine
One
unit
1 single
measure
of spirits
One
unit
1 small
glass of
sherry
One
unit
1 single
measure
of aperitifs
Figure 29. Equivalences for one unit of alcohol. Note that one bottle of wine is equivalent to approximately 10
units, and one bottle of spirits to approximately 30 units.
05-OCSEs-Psychiatry_5e ccp.indd 121 19/03/2015 12:38
Clinical
Skills
for
OSCEs
122 Station 45 Alcohol history
Motivational interviewing
Scenario A
Doctor: According to your blood tests, you appear to be drinking rather too much alcohol.
Patient: I suppose I do enjoy the odd drink.
Doctor: Are you sure it is just the odd drink? Alcohol is very bad for you and I think that if you are
drinking too much then you really need to stop.
Patient: You sound like my wife.
Doctor: Well, she’s right you know. Alcohol can cause liver and heart problems and many other things
besides. So you really need to stop drinking, OK?
Patient: Yes, doctor, thank you. (Patient never returns.)
Scenario B (using motivational interviewing)
Doctor: We all enjoy a drink now and then, but sometimes alcohol can do us a lot of harm. What do
you know about the harmful effects of alcohol?
Patient: Quite a bit, I’m afraid. My best friend, well he used to drink a lot. Last year he spent three
months in hospital. I visited him often, but most of the time he wasn’t with it. Then he died from
internal bleeding.
Doctor: I’m sorry to hear that, alcohol can really do us a lot of damage.
Patient: It does a lot of damage to the liver, doesn’t it?
Doctor: That’s right, but it doesn’t just do harm to our body, it also does harm to our lives: our work,
our finances, our relationships.
Patient: Funny you should say that. My wife’s been at my neck…
(…)
Doctor: So, you’ve told me that you’re currently drinking about 16 units of alcohol a day. This has
placed severe strain on your marriage and on your relationship with your daughter Emma, not to
mention that you haven’t been to work since last Tuesday and have started to fear for your job. But
what you fear most is ending up lying on a hospital bed like your friend Tom. Is that a fair summary of
things as they stand?
Patient: Things are completely out of hand, aren’t they? If I don’t stop drinking now, I might lose
everything I’ve built over the past 20 years: my job, my marriage, even my daughter.
Doctor: I’m afraid you might be right.
Patient: I really need to quit drinking.
Doctor: You sound very motivated to stop drinking. Why don’t we make another appointment to talk
about the ways in which we might support you? (…)
Excerpted from Psychiatry 2e, by Neel Burton (Wiley-Blackwell, 2010)
05-OCSEs-Psychiatry_5e ccp.indd 122 19/03/2015 12:38
123
Psychiatry
Station 46
Eating disorders history
Before starting
• Introduce yourself to the patient.
• Confirm her name and date of birth.
• Explain that you are going to ask some questions about her eating habits, and ask for her con-
sent to do this.
• Ensure that she is comfortable.
Most patients with eating disorders are reluctant to seek help, so it is especially important
to be sensitive and non-judgmental. Here the patient is spoken of as female, but at least 1
in 10 patients with an eating disorder are male.
Screening for an eating disorder
Use the SCOFF questionnaire to screen for an eating disorder. A positive response to two or more
of the four questions (or a suspicion that the patient is not being forthright) ought to trigger further
questioning.
• “Have you ever felt so uncomfortably full that you have had to make yourself Sick?”
• “Do you worry that you have lost Control Over how much you eat?”
• “Do you believe yourself to be Fat when others say that you are too thin?”
• “Would you say that Food dominates your life?”
The history
Weight and perception of weight
Determine:
• Her current weight and height.
• The amount of weight that she has lost, and over what period. Was the weight loss intentional?
• Whether she still considers that she is overweight.
• How often she weighs herself/looks at herself in the mirror.
Diet and compensatory behaviours
Ask about:
• Amount and type of food eaten in an average day. What foods are avoided and why? Does she
engage in ritualised eating behaviours such as cutting food into little pieces and prolonged
chewing? Is she able to eat in front of other people? Beyond this, does she ever diet or fast?
• Binge eating: what, how much, how often. How does she feel after bingeing?
• Vomiting: how often, how induced. How does she feel after vomiting?
• Use of laxatives, diuretics, emetics, appetite suppressants, and stimulants.
• Physical exercise.
Impact on health and quality of life
Ask about:
• Effect on patient’s life:
–
– school or work
–
– housing and finances
05-OCSEs-Psychiatry_5e ccp.indd 123 19/03/2015 12:38
Clinical
Skills
for
OSCEs
124 Station 46 Eating disorders history
–
– relationships
–
– psychiatric complications, especially substance misuse, depression, and self harm
–
– physical complications, e.g. dizziness/syncope, peptic ulceration, constipation
–
– menstrual periods
• Past medical, drug, and family history (briefly and only if you have time left).
[Note] Signs of eating disorder include emaciation, lanugo (fine face and body hair), Russell’s sign (knuckle scars from
induced vomiting), parotid gland swelling, and proximal muscle weakness. Other clinical features include
anaemia, leukopaenia, electrolyte disturbances (especially hypokalaemia), abnormal ECG, and osteopaenia.
After finishing
• Ask the patient if there is anything she might add that you have forgotten to ask about.
• Determine the patient’s level of insight into her problem.
• Thank her.
• Summarise your findings.
• Suggest a further course of action:
–
– collateral history
–
– physical examination and investigations
–
– management, e.g. dietary advice, psychotherapy, antidepressants, day- or in-patient admis-
sion
Table 20. Anorexia nervosa vs. bulimia nervosa
DSM-V diagnostic criteria
Anorexia
• Restriction of energy intake leading to significantly low body weight for age, sex, developmental
trajectory, and physical health.
• Intense fear of gaining weight or becoming fat, or persistent behaviour that interferes with weight
gain (even though significantly underweight).
• Disturbed perception of body weight or shape, undue influence of body weight and shape on self-
evaluation, or persistent lack of recognition of the seriousness of low body weight.
Bulimia
• Recurrent episodes of binge eating together with a sense of lack of control.
• Recurrent inappropriate compensatory behaviour to prevent weight gain.
• Episodes of binge eating and compensatory behaviour both occur, on average, at least once a
week for three months.
• Self-evaluation is unduly influenced by body shape and weight.
• The disturbance does not occur exclusively during periods of anorexia nervosa.
NB. Patients with an eating disorder may ‘migrate’ between anorexia, bulimia, and atypical eating
disorders.
05-OCSEs-Psychiatry_5e ccp.indd 124 19/03/2015 12:38
125
Psychiatry
Station 47
Weight loss history
Before starting
• Introduce yourself to the patient, and confirm his name and date of birth.
• Explain that you are going to ask him some questions to uncover the cause of his weight loss,
and obtain consent.
• Ensure that he is comfortable.
The history
Presenting complaint and history of presenting complaint
• Begin with open questions to get the patient’s story and to elicit his ideas, concerns, and ex-
pectations (ICE).
• Establish how much weight he has lost. How did he discover the weight loss?
• Establish the time frame of the weight loss (i.e. acute or chronic).
• Did the patient intend to lose weight? If so, how much weight did he intend to lose and how did
he set out to achieve this (e.g. diet, exercise, purgatives, diuretics, stimulants…)? Does he still con-
sider himself overweight? If so, how often does he weigh himself or look at himself in the mirror?
• Enquire about the patient’s appetite and establish his dietary habits and intake, e.g. “What did
you have for breakfast this morning? What about for lunch?” “Did you enjoy your food?”
• Ask about pain. If the patient reports any pain, use the SOCRATES mnemonic to fully charac-
terise the pain.
• Ask about any other associated symptoms. Specifically enquire about lethargy, weakness, fever
and night sweats, palpitations, cough, shortness of breath, vomiting (and relationship with eat-
ing), bowel opening and stools, urinary frequency, polyuria and thirst, haematuria, and bone pain.
• Enquire about current and recent mood, and life events and stressors such as bereavement or
redundancy.
• If this seems appropriate, briefly assess mental state (see Station 40).
Past medical history
• Current, past, and childhood illnesses.
• Surgery.
Drug history
• Prescribed medication.
• Over-the-counter medication, including natural remedies.
• Recreational drugs, especially stimulant drugs.
• Allergies.
Family history
• Parents, sibling, and children.
• Ask about e.g. diabetes, thyroid disease, TB, malignancy.
Social history
• Recent foreign travel.
• Unprotected sexual intercourse.
• Smoking.
05-OCSEs-Psychiatry_5e ccp.indd 125 19/03/2015 12:38
Clinical
Skills
for
OSCEs
126 Station 47 Weight loss history
• Alcohol.
• Employment, past and present.
• Housing and living arrangements.
After taking the history
• Ask the patient if there is anything that you have forgotten to ask about.
• Ask him if he has any questions or concerns.
• Thank him.
• Summarise your findings and offer a differential diagnosis.
• State that you would like to obtain a collateral history, and carry out a physical examination and
some investigations to confirm your diagnosis.
Examiner’s questions: Principal differential of weight loss
Due to reduced intake
• Depression.
• Stress.
• Eating disorder.
• Alcohol or drug abuse.
• Mania.
• Paranoid psychosis.
• Dementia.
With increased calorie consumption
• Diabetes.
• Hyperthyroidism.
• Malabsorption e.g. coeliac disease, IBD.
Due to chronic condition
• Heart failure.
• COPD.
• Malignancy.
• Chronic renal failure.
• Infection e.g. TB, HIV, parasitic infection.
05-OCSEs-Psychiatry_5e ccp.indd 126 19/03/2015 12:38
127
Psychiatry
Station 48
Assessing capacity (the Mental Capacity Act)
The Mental Capacity Act 2005 (MCA) is a piece of legislation intended to protect people who lack the
ability to make decisions about their health, welfare, and finances. It replaces Part 7 of the Mental
Health Act 1983 and the Enduring Powers of Attorney Act 1985, and was introduced to clarify legal
uncertainties around decision-making on behalf of adults with mental incapacity, and to create new
safeguards.
Main principles
1. Presumption of capacity: a person is presumed to have capacity to make a decision unless it
is established otherwise.
2. Maximising capacity: before a person is deemed to lack capacity, all practicable steps must
have been taken to help that person make his own decisions.
3. Right to make unwise decisions: a person must not be treated as unable to make a decision
merely because the decision appears unwise to others.
4. Best interests: decisions made on behalf of a person who lacks capacity must be made in their
best interests.
5. Least restrictive option: those courses of action that are less restrictive to the person’s rights
and freedom must be considered first.
Definition of capacity
Section 2 of the MCA defines capacity as follows:
‘a person lacks capacity in relation to a matter if at the material time he is unable to make a
decision for himself in relation to the matter because of an impairment of, or a disturbance in the
functioning of, the mind or brain.’
Capacity v. competence
• Capacity refers to the natural ability to make decisions: a person has a certain degree of capacity
in relation to a particular decision at a particular time.
• Competence is the legal right to have one’s decision regarding treatment respected. It is a binary
concept: a person is either ‘competent’ or not.
• Competence is informed by capacity: if capacity is beyond a certain threshold, the person is
deemed ‘competent’ to make a decision. This threshold varies according to the seriousness of the
decision at hand.
Capacity is contextual and should not simply be inferred from the patient’s diagnosis or
from previous assessments of his capacity.
According to Section 3 of the MCA, a person has capacity to make a particular decision if he:
• Understands the information relevant to decision-making.
• Retains the information for long enough to make a decision.
• Weighs up the information and understands the consequences of a decision.
• Communicates this decision by whatever means necessary.
05-OCSEs-Psychiatry_5e ccp.indd 127 19/03/2015 12:38
Clinical
Skills
for
OSCEs
128 Station 48 Assessing capacity (the Mental Capacity Act)
Assessment of capacity in adults
Stage 1: Diagnostic test
Assess whether there is a disturbance or impairment of the mind (e.g. intoxication, head injury, learning
disabilities, or dementia) which may affect decision-making at this point in time. Your assessment must
lean on standardised criteria such as the ICD-10 or DSM-V diagnostic criteria.
Stage 2: Functional test
Assess by the four criteria in Section 3 of the MCA whether this disturbance or impairment renders the
person unable to make a decision about the matter in hand. Your assessment should be made on the
‘balance of the probabilities’, meaning that it is more likely than not that the person lacks capacity to
make that decision.
Efforts to optimise capacity might include:
• Making your explanations easier to understand, e.g. by using diagrams.
• Seeing the patient at his best time of day.
• Seeing him with one of his friends or relatives.
• Improving his environment, e.g. finding a quiet side-room.
• Adjusting his medication, e.g. decreasing the dose of sedative drugs.
Remember to document your assessment and to outline your reasoning.
Assessment of capacity in children and adolescents
As far as possible, minors ought to be involved in decisions about their care, whether or not they are
deemed competent.
• Decisions on behalf of a minor can be made by a person with parental responsibility or by a
High Court.
• 16- and 17-year-olds are deemed competent by the same standards as adults (Family Law
Reform Act 1969). However, they cannot refuse treatment if it has been agreed by a person with
parental responsibility or the Court and it is in their best interests.
• Under-16s may be deemed competent to accept an intervention if they are mature enough
to fully understand what is proposed (‘Gillick competency’, after Gillick v. West Norfolk and
Wisbech Area Health Authority, 1986). Much will depend on the relationship between the clini-
cian and the child and the family, and also on what intervention is being proposed.
• Ideally, the consent of a person with parental responsibility should also be sought. However,
the decision of a competent minor to accept treatment cannot be overruled by a parent.
• A court order may be obtained to overrule the decision of a competent minor or parent if it is
considered in the best interests of the minor.
Deprivation of Liberty Safeguards
The Deprivation of Liberty Safeguards (DoLS) is an amendment to the MCA intended to protect
vulnerable adults in care from arbitrary or excessive restrictions on their freedom, and also to give them
the right to legally challenge their detention.
In practice, DoLS is pertinent to most mentally incapacitated adults living in care who, for the sake of
their own welfare, are prevented from leaving. In such cases, the hospital or care home must apply for
authorisation from a DoLS supervisory authority, whether or not the patient (who lacks capacity) is
‘agreeing’ to the arrangements.
DoLS is not applicable to people detained under the Mental Health Act (MHA).
05-OCSEs-Psychiatry_5e ccp.indd 128 19/03/2015 12:38
Psychiatry
129
Station 48 Assessing capacity (the Mental Capacity Act)
MHA or MCA DoLS?
The MHA applies to people with a mental disorder who need to be detained for assessment or
treatment in their interests of their own health and safety or the safety of others (see Station 49).
DoLS is used for people with mental disorders such as dementia and learning disabilities who do not
require assessment and for whom there is no medical treatment (for the mental disturbance), and who
therefore do not meet the MHA criteria, but who nevertheless require deprivation of liberty for their
wellbeing, including for the treatment of physical illness.
Table 21. MHA v. DoLS
MHA MCA DoLS
Section 2 Assessment is required in the interests of
the person’s own health and safety or the
safety of others.
Assessment has already been performed
and DoLS is called for in the interests of the
person’s health and safety.
Section 3 Appropriate medical treatment for the
mental disorder is available.
The purpose of DoLS is to provide general
care and treatment of physical illness, not
treatment of mental disorder.
Detention is appropriate to the degree or severity of
mental disturbance.
DoLS is only appropriate after less restrictive
alternatives have been exhausted.
The person might have capacity to consent but refuses
the care or treatment required.
The person lacks capacity to consent to the
care or treatment required.
Does not include treatment of physical illnesses unless
they are a direct result or consequence of the mental
disorder.
Allows for treatment of physical illnesses
against the person’s will.
Applies to people of all ages. Applies to people aged 18 and over.
Appeals are made to a Mental Health Tribunal. Appeals are made to the Court of Protection.
Advance decisions
Formerly known as advance directives or living wills, advance decisions enable a person to make
decisions about their future care in the event that they come to lack the capacity to make these
decisions. An advance decision can only be used to refuse, not to demand. It is valid if it is unambiguous,
applicable to the circumstances, and written without coercion at a time when the person had an
appropriate level of capacity. If related to life-sustaining treatments, it must also be dated and signed
by an adult witness.
Lasting Power of Attorney (LPA)
An LPA is a legal document stating that one person has chosen another to make decisions about
his welfare on his behalf, should he lose capacity. There are two types of LPA, personal welfare and
property and affairs.
Court of Protection
The Court of Protection can rule upon whether a person has capacity, and, if not, appoint deputies
(usually relatives or friends) to make decisions on his behalf. It usually has the final say in the event of
a dispute about the best interests of the person who lacks capacity.
The full text of the MCA is available at http://www.legislation.gov.uk/ukpga/2005/9/section/1
05-OCSEs-Psychiatry_5e ccp.indd 129 19/03/2015 12:38
Clinical
Skills
for
OSCEs
130 Station 49
Common law and the Mental Health Act
Treatment under common law
Common law is the law that is based on previous court rulings (case law, such as Re. C), in
contradistinction to the law that is enacted by parliament (statute law, such as the Mental Health
Act). Under common law, adults have a right to refuse treatment, even when doing so may result
in permanent physical injury or death. If a competent adult refuses consent or lacks the capacity to
provide consent, no one can provide consent on his behalf, not even his next of kin. That having been
said, treatment without consent can be given under common law:
• If serious harm or death is likely to occur and there is doubt about the patient’s capacity at the
time and no advance directive (or ‘living will’) has been made; and the clinician is able to justify
that he or she is acting in the patient’s best interests and in accordance with established medi-
cal practice (‘Bolam’s test’).
• In an emergency to prevent serious harm to the patient or to others or to prevent a crime.
The Mental Health Act
In England and Wales, the Mental Health Act 1983 (amended in 2007) is the principal Act governing
not only the compulsory admission and detention of people to a psychiatric hospital, but also their
treatment, discharge from hospital, and aftercare. People with a mental disorder as defined by the
Act can be detained under the Act in the interests of their health or safety or in the interests of the
safety of others. To minimize the potential for abuse, the Act specifically excludes as mental disorder
dependence on alcohol or drugs. Note that Scotland is governed by the Mental Health (Care and
Treatment) (Scotland) Act 2003 and Northern Ireland by the Mental Health (Northern Ireland) Order
1986.
Two of the most common ‘Sections’ of the Mental Health Act used to admit people with a mental
disorder to a psychiatric hospital are the so-called Sections 2 and 3.
Section 2
Section 2 allows for an admission for assessment and treatment that can last for up to 28 days. An
application for a Section 2 is usually made by an Approved Mental Health Professional (AMHP) with
special training in mental health, and recommended by two doctors, one of whom must have special
experience in the diagnosis and treatment of mental disorders. Under a Section 2, treatment can be
given, but only if this treatment is aimed at treating the mental disorder or conditions directly resulting
from the mental disorder (so, for example, treatment for an inflamed appendix cannot be given under
the Act, although treatment for deliberate self-harm probably can be). A Section 2 can be ‘discharged’
or revoked at any time by the Responsible Clinician (usually the consultant psychiatrist in charge), by
the hospital managers, or by the nearest relative. Furthermore, a patient under a Section 2 can appeal
against the Section, in which case his or her appeal is heard by a specially constituted tribunal. The
claimant is represented by a solicitor who helps him or her to make a case in favour of discharge to the
tribunal. The tribunal is by nature adversarial, and it falls upon members of the detained patient’s care
team to argue the case for continued detention. This can be quite trying for both the claimant and his
or her care team, and it can at times undermine the claimant’s trust in his or her care team. Section 2 is
broadly equivalent to Section 26 of the Mental Health (Care and Treatment) (Scotland) Act 2003, except
that Section 26 cannot be used to admit a patient to hospital. Instead, Section 26 tags onto Section 24
(Emergency admission to hospital) or Section 25 (Detention of patients already in Hospital).
05-OCSEs-Psychiatry_5e ccp.indd 130 19/03/2015 12:38
Psychiatry
131
Station 49 Common law and the Mental Health Act
Section 3
A patient can be detained under a Section 3 after a conclusive period of assessment under a Section
2. Alternatively, he or she can be detained directly under a Section 3 if his or her diagnosis has already
been established by the care team and is not in reasonable doubt. Section 3 corresponds to an
admission for treatment and lasts for up to 6 months. As for a Section 2, it is usually applied for by an
AMHP with special training in mental health and approved by two doctors, one of whom must have
special experience in the diagnosis and treatment of mental disorders. Treatment can only be given
under a Section 3 if it is aimed at treating the mental disorder or conditions directly resulting from the
mental disorder. After the first 3 months, any treatment requires either the consent of the patient being
treated or the recommendation of a second doctor. A Section 3 can be discharged at any time by the
Responsible Clinician (usually the consultant psychiatrist in charge), by the hospital managers, or by the
nearest relative. Furthermore, the patient under a Section 3 can appeal against the Section, in which
case his or her appeal is heard by a specially constituted tribunal, as explained above. If the patient still
needs to be detained after six months, the Section 3 can be renewed for further periods. Section 3 is
broadly similar to Section 18 of the Health (Care and Treatment) (Scotland) Act 2003.
Aftercare
If a patient has been detained under Section 3 of the Mental Health Act, he or she is automatically
placed under a ‘Section 117’ at the time of his or her discharge from the Section 3. Section 117
corresponds to ‘aftercare’ and places a duty on the local health authority and local social services
authority to provide the patient with a care package aimed at rehabilitation and relapse prevention.
Although the patient is under no obligation to accept aftercare, in some cases he or she may also be
placed under a ‘Supervised Community Treatment’ or ‘Guardianship’ to ensure that he or she receives
aftercare. Under Supervised Community Treatment, the patient is made subject to certain conditions
and if these conditions are not met, he or she can be recalled into hospital.
Other civil Sections
Commonly used civil Sections of the Mental Health Act are summarised in Table 22.
Police Sections
Section 135 enables the removal of a person from his premises to a place of safety, and is valid for 72
hours. Section 136 enables the removal of a person from a public place to a place of safety by a police
officer, and is also valid for 72 hours. The person must appear to the police officer to have a mental
disorder.
Criminal Sections
The principal criminal Sections are Sections 35 and 36, and Sections 37 and 41.
Sections 35 and 36 mirror Sections 2 and 3 (above), but are used for persons suffering from a mental
disorder and awaiting trial for a serious offence. Section 35 can be enacted by a Crown Court or
Magistrates’ Court on the evidence of a Section 12 approved doctor. Section 36 can only be enacted by
a Crown Court on the evidence of two doctors, one of whom must be Section 12 approved. In contrast
to Section 36, Section 35 does not enable treatment, and is used solely for the purpose of remanding
a person to hospital for a report on his or her mental state. Both Sections 35 and 36 have an initial
duration of 28 days, but can be extended for up to 28 days at a time for up to 12 weeks.
05-OCSEs-Psychiatry_5e ccp.indd 131 19/03/2015 12:38
Clinical
Skills
for
OSCEs
132 Station 49 Common law and the Mental Health Act
Table 22. Commonly used Sections of the Mental Health Act
Section Description Duration Treatment Application/
recommendation
Discharge/
renewal
2 Admission for
assessment
28 days Can be given,
but note that
the MHA only
authorizes
treatment of
the mental
disorder itself
or conditions
directly resulting
from the mental
disorder
Application
by AMHP or
nearest relative.
Recommendation
by two doctors
(at least one must
be Section 12
approved)
Patient may appeal
to tribunal. Can be
discharged by RC,
hospital managers,
or nearest relative.
Usually converted
to Section 3 if
longer period
of detention is
required
3 Admission for
treatment
6 months Can be given for
first 3 months,
then consent or
second opinion
is needed
Application
by AMHP or
nearest relative.
Recommendation
by two doctors
(at least one must
be Section 12
approved)
Patient may appeal
to tribunal. Can be
discharged by RC,
hospital managers,
or nearest relative.
Can be renewed if
needed
4 Emergency
admission for
assessment
(usually used in
lieu of a Section
2)
72 hours Consent needed
unless treatment
is being given
under common
law
Application
by AMHP or
nearest relative.
Recommendation
by any doctor
Patient cannot
appeal. Can be
discharged by RC
only
5(2) Emergency
holding order
(patient already
admitted to
hospital on an
informal basis)
72 hours Consent needed
unless treatment
is being given
under common
law
Recommendation
from the doctor
or AC in charge of
the patient’s care
or their nominated
deputy
Patient cannot
appeal. Can be
discharged by RC
only
5(4) Emergency
holding order
(patient already
admitted to
hospital on an
informal basis)
6 hours Consent needed
unless treatment
is being given
under common
law
Recommendation
from a registered
mental nurse
Patient cannot
appeal
117 Automatically applies if a patient has been detained under Section 3. Under Section 117
it is the duty of the local health authority and the local social services authority to provide
aftercare. Unlike under Supervised Community Treatment, there is no obligation for the
patient to accept it.
AC, Approved Clinician; AMHP, Approved Mental Health Professional; RC, Responsible Clinician, usually the consultant
in charge. Section 12 approval is usually granted to psychiatrists having obtained Membership of the Royal College of
Psychiatrists (MRCPsych) or having more than 3 years of relevant experience.
05-OCSEs-Psychiatry_5e ccp.indd 132 19/03/2015 12:38
Psychiatry
133
Station 49 Common law and the Mental Health Act
Section 37 is used for the detention and treatment of persons suffering from a mental disorder and
convicted of a serious offence which is punishable by imprisonment. It is enacted by a Crown Court
or Magistrates’ Court on the evidence of two Section 12 approved doctors. Section 37 has an initial
duration of 6 months, and can be either discharged or extended. Sometimes a Section 41 or ‘restriction
order’ is added onto a Section 37, such that leave and discharge can only be granted with the approval
of the Ministry of Justice.
Consent to treatment
Patients on a long-term treatment order can be treated with standard psychiatric drugs with or without
consent for up to 3 months, after which an additional order is required for their continued treatment.
This additional order is a Section 58, which requires either the patient’s consent or a second opinion.
Examiner’s questions: Mental disorders and driving
The following advice applies to mania, schizophrenia and other schizophrenia-like psychotic disorders,
and more severe forms of anxiety and depression.
Patients should stop driving during a first episode or relapse of their illness, because driving while
ill can seriously endanger lives. In the UK, the patient must notify the Driver and Vehicle Licensing
Authority (DVLA). Failure to do so makes it illegal for them to drive and invalidates their insurance.
The DVLA then sends the patient a medical questionnaire to fill in, and a form asking for permission
to contact their psychiatrist. The patient’s driving licence can generally be reinstated if the psychiatrist
can confirm that:
• their illness has been successfully treated with medication for a certain amount of time,
typically at least 3 months.
• the patient is conscientious about taking his medication.
• the side-effects of the medication are not likely to impair the patient’s driving.
• the patient is not misusing drugs.
People who suffer from substance misuse or dependence should also stop driving, as should some
people who suffer from other mental disorders such as dementia, learning disability, or personality
disorder.
Further information can be obtained from the DVLA website at www.dvla.gov.uk. Note that the rules
for professional driving are different from and more strict than those described above.
05-OCSEs-Psychiatry_5e ccp.indd 133 19/03/2015 12:38
Clinical
Skills
for
OSCEs
134 Station 50
Ophthalmic history
• Introduce yourself to the patient, and confirm his name and date of birth.
• Explain that you are going to ask him some questions to uncover the nature of his eye problem,
and obtain his consent.
• Ensure that he is comfortable.
With loss of vision, be ready to assist or guide the patient to his seat. Although body
language and non-verbal communication is bound to be less effective, avoid speaking too
loudly or otherwise patronising the patient.
The history
Presenting complaint and history of presenting complaint
• Ask open questions to establish or confirm the problem, e.g. red eye, pain, and/or loss of vision
and to elicit the patient’s ideas, concerns, and expectations (ICE). Is the problem unilateral or
bilateral? If unilateral, have there been problems with the ‘good’ eye? If bilateral, which eye is
worse affected?
• For any problem, establish onset (sudden or gradual), duration, timing, progression, and any
aggravating or alleviating factors. For pain, use the SOCRATES mnemonic. Is the pain in or
around the eye? Is it associated with eye movement? For loss of vision, establish the extent
and pattern of the loss, and, if appropriate, the fields of vision that are affected (e.g. bitemporal
hemianopia suggests compression or lesion at the optic chiasm).
• If not already covered, ask specifically about:
–
– red eye
–
– dry or gritty eye (often aggravated by e.g. reading or watching TV)
–
– sticky eye (e.g. bacterial conjunctivitis, blepharitis)
–
– eye discharge or watering (e.g. allergic conjunctivitis)
–
– swelling around the eye
–
– restricted eye movements
–
– pain
–
– photophobia
–
– glare in sunlight or difficulty driving at night due to glare from headlights (cataracts)
–
– floaters and flashing lights (associated with retinal tears and detachment)
–
– haloes (associated with an acute rise in intraocular pressure)
–
– curtains of darkness
–
– blurred vision
–
– double vision (not the same as blurred vision)
–
– loss of vision
• Ask about the following systemic symptoms: headaches and scalp tenderness, migraine,
nausea and vomiting, fever, joint pain, rashes and other skin problems, urethral discharge.
06-OCSEs-Ophthalmology_5e ccp.indd 134 19/03/2015 07:23
Ophthalmology,
ENT,
and
dermatology
135
Station 50 Ophthalmic history
Past medical history
• Previous problems with the eyes/vision.
–
– Does the patient wear glasses or contact lenses? How long since? Is he having any problems
with them?
–
– Has he ever seen an eye specialist?
–
– Has he ever had laser or other eye surgery?
–
– Has he ever suffered any eye trauma (blunt trauma, chemical trauma, foreign body)?
• Current, past, and childhood illnesses. Specifically ask about hypertension (retinopathy, retinal
vein occlusion), diabetes (retinopathy, maculopathy, retinal and vitreous haemorrhage), thyroid
disease, systemic inflammatory disease, infections (e.g. herpes, TB, HIV), and allergic rhinitis/atopy.
• Surgery.
Drug history
• Prescribed medication including any treatments so far. Ask specifically about steroids, beta-
blockers, and any eye drops.
• Over-the-counter medication, including herbal remedies.
• Recreational drugs.
• Allergies (may present as a red eye).
Family history
• Parents, siblings, and children. Among others, viral conjunctivitis is communicable.
• Remember to ask about conditions that may be indirectly linked to the eyes, such as hyperten-
sion and diabetes.
Social history
• Employment, past and present: the eye problem might be caused by the work environment,
and may affect ability to work.
• Hobbies such as contact sports that might have led to the eye problem.
• Driving: how is the eye problem affecting ability to drive? Note that the DVLA issues guidelines
on visual requirements for driving.
• Housing and living arrangements: how is the eye problem impacting on living arrangements?
Is the patient at particular risk of falls or injuries?
• Smoking.
• Alcohol use.
• Unprotected sexual intercourse.
After taking the history
• Ask the patient if there is anything else that you have forgotten to ask about.
• Ask him if he has any questions.
• Thank him.
• Summarise your findings and offer a differential diagnosis. State that the next step is to examine
the eye.
06-OCSEs-Ophthalmology_5e ccp.indd 135 19/03/2015 07:23
Clinical
Skills
for
OSCEs
136 Station 51
Vision and the eye examination
(including fundoscopy)
Before starting
• Introduce yourself to the patient.
• Confirm his name and date of birth.
• Explain the examination and obtain his consent.
• Ensure that he is comfortable.
The examination
1. Visual acuity
• Snellen chart. Assess each eye individually, either from a distance of 6 m or 3 m, correcting for
any refractive errors (glasses, pinhole). If the patient cannot read the Snellen chart, either move
him closer or ask him to count fingers. If he fails to count fingers, test whether he can see hand
movements and, if he cannot, test whether he can see light.
• Test types (or fine print). Assess each eye individually, correcting for any refractive errors.
• Ishihara plates. Indicate that you could use Ishihara plates to test colour vision specifically.
2. Visual fields
• Confrontation test. Test the visual fields by confrontation. Sit directly opposite the patient, at the
same level as him. Ask him to look straight at you and to cover his right eye with his right hand.
Cover your left eye with your left hand, and test the visual field of his left eye with your right
hand. Bring a wiggly finger into the upper left quadrant, asking the patient to say when he sees
the finger. Repeat for the lower left quadrant. Then swap hands and test the upper and lower
right quadrants. Now ask the patient to cover his left eye with his left hand. Cover your right eye
with your right hand and test the visual field of his right eye with your left hand. Bring a wiggly
finger into the upper right quadrant, asking the patient to say when he sees the finger. Repeat
for the lower right quadrant. Then swap hands and test the upper and lower left quadrants.
• Mapping of central visual field defects. Indicate that you could use a red pin to delineate the
patient’s blind spot and any central visual field defects.
• Visual inattention test. Ask the patient to fix his gaze upon you and simultaneously bring a
moving finger into each of the patient’s right and left visual fields. In some parietal lobe lesions,
only the ipsilateral finger is perceived by the patient.
3. Pupillary reflexes
• Inspection. Inspect the eyes, paying particular attention to the size and symmetry of the pupils,
and excluding a visible ptosis or squint.
• Test the direct and consensual pupillary light reflexes. Explain that you are going to shine a
bright light into the patient’s eye and that this may feel uncomfortable. Bring the light in onto
his left eye and look for pupil constriction. Bring the light in onto his left eye once again, but
this time look for pupil constriction in his right eye (consensual reflex). Repeat for the right eye.
• Perform the swinging flashlight test. Swing the light from one eye to another and look for sus-
tained pupil constriction in both eyes. Intermittent pupil constriction in one eye (Marcus Gunn
pupil) suggests a lesion of the optic nerve anterior to the optic chiasm.
• Test the accommodation reflex. Ask the patient to follow your finger in to his nose. As the eyes
converge, the pupils should constrict.
06-OCSEs-Ophthalmology_5e ccp.indd 136 19/03/2015 07:23
Ophthalmology,
ENT,
and
dermatology
137
Station 51 Vision and the eye examination(including fundoscopy)
4. Eye movements
• Perform the cover test. Ask the patient to fixate on a point and cover one eye. Observe the
movement of the uncovered eye. Repeat the test for the other eye.
• Examine eye movements. Ask the patient to keep his head still and to follow your finger with
his eyes. Ask him to report any pain or double vision at any point. Draw an ‘H’ shape with your
finger.
• Nystagmus. Look out for nystagmus at the extremes of gaze. You can do this as part of eye
movements or separately by fixing the patient’s head and asking him to track your finger
through a cross pattern.
Figure 30. Holding the ophthalmoscope.
5. Fundoscopy
Explain the procedure, mentioning that it may be uncomfortable. Darken the room and ask the patient
to fixate on a distant object (or to ‘look over my shoulder’). State to the examiner that, ideally, the pupils
should have been dilated using a solution of 1% cyclopentolate or 0.5% tropicamide.
• Red reflex. Test the red reflex in each eye from a distance of about 10 cm. An absent red reflex
is usually caused by a cataract.
• Fundoscopy. Use your right eye to examine the patient’s right eye, and your left eye to exam­
ine
the patient’s left eye. If you use your left eye to examine the patient’s right eye, you may appear
more caring than the examiner might like to see. Look at the optic disc, the blood vessels, and
the macula. To find the macula, ask the patient to look directly into the light. Describe any
features according to protocol, e.g. “There are soft exu­dates at 3 o’clock, two disc diameters away
from the disc.”
If the station is examining fundoscopy alone, the patient is likely to be replaced by a model
in which the retinas are very easy to visualise. Before the exam, it is a good idea to look at
as many retinas as you can, both in patients and in textbooks/on the internet.
06-OCSEs-Ophthalmology_5e ccp.indd 137 19/03/2015 07:23
Clinical
Skills
for
OSCEs
138 Station 51 Vision and the eye examination(including fundoscopy)
Figure 31. 
Findings on fundoscopy of the right eye.
1. Normal.
2. Senile macular degeneration.
3. Hypertensive retinopathy.
4. Pre-proliferative diabetic retinopathy.
5. Central retinal vein occlusion.
6. Papilloedema.
1
3
5
2
4
6
Macula
Optic disc
Periphery
Blood vessels
06-OCSEs-Ophthalmology_5e ccp.indd 138 19/03/2015 07:23
Ophthalmology,
ENT,
and
dermatology
139
Station 51 Vision and the eye examination(including fundoscopy)
After the examination
• Ask the patient if he has any questions or concerns.
• Thank the patient.
• Summarise your findings and offer a differential diagnosis.
Conditions most likely to come up in a vision and the eye examination station
Cataract:
• absent red reflex; on approaching ophthalmoscope the lens may look like cracked ice.
Senile macular degeneration:
• drusen (characteristic yellow deposits) in the macula, exudative changes resulting from blood
and fluid under the macula.
Hypertensive retinopathy:
• stage I: arteriolar narrowing and tortuosity.
• stage II: AV nicking, silver-wiring.
• stage III: dot, blot, and flame haemorrhages, microaneurysms, soft exudates (cotton wool
spots), hard exudates.
• stage IV: papilloedema.
Diabetic retinopathy:
• background: microaneurysms, macular oedema, hard exudates, haemorrhages.
• pre-proliferative: cotton-wool spots, venous beading.
• proliferative: neovascularisation, vitreous haemorrhage.
Glaucoma:
• increased cup-to-disc ratio ( 0.5), haemorrhages.
Central retinal artery occlusion:
• pale retina with swelling or oedema, markedly decreased vascularity, cherry red spot in the
central fovea.
Central retinal vein occlusion:
• widespread haemorrhages throughout the retina with swelling and oedema, sometimes
described as a ‘stormy sunset’.
Papilloedema:
• blurring of disc margins, cupping and swelling of the disc, haemorrhages, exudates, distended
veins.
06-OCSEs-Ophthalmology_5e ccp.indd 139 19/03/2015 07:23
Clinical
Skills
for
OSCEs
140 Station 52
Hearing and the ear examination
Before starting
• Introduce yourself to the patient.
• Confirm his name and date of birth.
• Explain the examination and obtain his consent.
• Sit him so that he is facing you and ensure that he is comfortable.
The history
Ask the patient if there has been any loss of, or change in, hearing. If there has, assess its:
• Characteristics (bilaterality, onset, duration, severity, impact on the patient’s life).
• Associated features (tinnitus, vertigo, pain, discharge, weight loss).
• Possible causes (noise exposure, trauma, infection, antibiotics, family history).
• Impact on the patient’s life.
• Previous ear problems and ear surgery.
The examination
Hearing
Assess hearing by whispering a number and letter into the ear at a distance of 30cm, while distracting
the other ear by rubbing the contralateral tragus. If the patient gets it wrong, try again, but this time
slightly louder. If you suspect hearing loss, seek out a full audiological assessment.
Tuning fork tests
Use a 512 Hz tuning fork, and not the larger 128 Hz or 256 Hz tuning forks used for
neurological examinations.
• The Rinne test. Place the base of the vibrating tuning fork on the mastoid process of each ear.
Once the patient can no longer ‘hear’ the vibration, move the tuning fork in front of the ear.
If the tuning fork can be heard, air conduction is better than bone conduction, and there is
therefore no conductive hearing loss. The test is said to be positive. If the tuning fork cannot be
heard, there is a conductive hearing loss, and the test is said to be negative.
The false negative Rinne test: if the Rinne test is performed on a deaf ear, it may appear
negative because the vibration is transmitted to the opposite ear.
• The Weber test. Place the vibrating tuning fork in the middle of forehead, just inferior to the
hairline. If hearing is normal, or if hearing loss is symmetrical, the vibration should be heard
equally in both ears, that is, in the centre of the head. The Weber test is most informative in
patients presenting with a ‘good’ and a ‘problem’ ear.
Note:
• If there is conductive deafness in one ear, the vibration is best heard in that same ear (try block-
ing one ear and speaking: your speech will seem louder in that ear).
• If there is sensorineural deafness in one ear, obviously, the vibration is best heard in the other
ear.
06-OCSEs-Ophthalmology_5e ccp.indd 140 19/03/2015 07:23
Ophthalmology,
ENT,
and
dermatology
141
Station 52 Hearing and the ear examination
Auroscopy/otoscopy
• Examine the pinnae for size, shape, deformities, pre-auricular sinuses.
• Look behind the ears for any scars.
• Palpate the pre-auricular, post-auricular, and infra-auricular lymph nodes.
• Affix a speculum of appropriate size onto the auroscope.
• Using your thumb and the proximal part of your index finger, gently pull the pinna upwards
and backwards so as to straighten the ear canal and, holding the auroscope like a pen (see
Figure 33), introduce it into the external auditory meatus.
If examining the right ear, use your right hand to hold the auroscope/otoscope.
If examining the left ear, use your left hand. This is so that your little finger (also called
digitus auricularis because historically it was used to clean out the ear) can act as a guard,
preventing you from plunging your tool too deep into the ear canal.
• Through the auroscope, inspect the ear canal (discharge, foreign body, wax, exotosis, otitis
externa) and the tympanic membrane (normal anatomy, colour (normally pearly grey), shape
(normally concave), light reflex (normally present), effusions, cholesteatoma, perforations,
grommets).
(C)
(B)
(A)
Figure 32. The Rinne (A, B) and Weber (C) tests.
06-OCSEs-Ophthalmology_5e ccp.indd 141 19/03/2015 07:23
Clinical
Skills
for
OSCEs
142 Station 52 Hearing and the ear examination
Figure 33. Holding the auroscope.
Figure 34. The normal right ear drum.
After examining the ear
• Ask the patient if he has any questions or concerns.
• Thank him.
• Summarise your findings and offer a differential diagnosis, e.g. excessive ear wax, otitis media
with effusion (‘glue ear’), perforated ear drum.
Umbo
Manubrium
(handle)
Short process
of malleus
Junction
of incus
and stapes
Pars flaccida
Light reflex
Right ear drum
Pars tensa
06-OCSEs-Ophthalmology_5e ccp.indd 142 19/03/2015 07:23
Ophthalmology,
ENT,
and
dermatology
143
Station 52 Hearing and the ear examination
Figure 35. Common ear problems.
(A) Wax: excess or impacted wax, can occlude the ear canal.
(B) Exostoses: bony swellings in the ear canal due to chronic cold water exposure, can cause pain and predispose
to infection or occlusion of the ear canal.
(C) Otitis externa: inflammation of the outer ear and ear canal, associated with pain, can cause swelling and
discharge and occlusion of the ear canal – pain is typically exacerbated by pulling on the pinna or pushing on the
tragus.
(D) Acute otitis media: inflammation of the middle ear due to infection, associated with pain, redness and bulging
of the tympanic membrane, disintegration of the light reflex, effusions, perforation.
(E) Tympanosclerosis: calcium deposits in the ear drum due to trauma or infection, can lead to impairment of
hearing.
(F) Cholesteatoma: destructive growth of keratinising squamous epithelium in the middle ear, often due to a tear
or retraction of the ear drum, can lead to impairment of hearing.
Reproduced with permission from Michael Saunders, Bristol Royal Infirmary.
(A) (B)
(D)
(C)
(E) (F)
06-OCSEs-Ophthalmology_5e ccp.indd 143 19/03/2015 07:23
Clinical
Skills
for
OSCEs
144 Station 52 Hearing and the ear examination
Conditions most likely to come up in a hearing and the ear examination station
Conductive hearing loss:
• commonly caused by wax, foreign bodies, exostoses, otitis externa, otitis media, trauma or
damage to the ear drum or ossicles.
Sensorineural hearing loss:
• may be caused by noise exposure, degenerative changes (presbyacusis), trauma, infection,
aminoglycoside drugs such as gentamicin, Ménière’s disease, acoustic neuroma.
Figure 35. Common ear problems – continued.
(G) Perforation.
(H) Grommet: small tube inserted in chronic otitis media to drain and ventilate the middle ear.
Reproduced with permission from Michael Saunders, Bristol Royal Infirmary.
(G) (H)
06-OCSEs-Ophthalmology_5e ccp.indd 144 19/03/2015 07:23
145
Ophthalmology,
ENT,
and
dermatology
Station 53
Smell and the nose examination
Specifications: This station may involve a model of a nose in lieu of a patient.
Before starting
• Introduce yourself to the patient.
• Confirm his name and date of birth.
• Explain the examination and obtain his consent.
• Position him so that he is sitting in a chair facing you.
• Ensure that he is comfortable.
The history
• Briefly establish the nature of the problem.
• If there is obstruction of the nasal passages, determine its:
–
– characteristics (nasal passage affected, onset, duration, timing, severity)
–
– associated symptoms (facial pain, inflammation, itching, rhinorrhoea, sneezing, snoring,
anosmia)
–
– possible causes (asthma, hay fever, other allergies, trauma, surgery, other)
–
– impact on everyday life e.g. difficulty breathing, changes in smell or taste
The examination
Inspection
• Observe the external appearance of the nose from the front, from the side, and from above.
Look for evidence of deformity, inflammation, nasal discharge, skin disease, and scars.
• Examine the nasal vestibule, anterior end of the septum, and anterior ends of the inferior tur-
binates. Do this first by elevating the tip of the nose (ideally with a gloved thumb), and then
with the help of a Thudicum speculum and head or pen torch. Hold the speculum at the bend
with the thumb and index finger of your non-dominant hand, and place your middle and ring
fingers on either side of the limbs. Holding this position, insert the speculum into the nostril,
moving your middle and ring fingers apart to spread the flanges and open up the nasal cavity.
• Look into the mouth — a large nasal tumour can sometimes be visible at the back oropharynx.
Otoscopy
• Use an otoscope to assess the nasal septum and the inferior and middle turbinates. Make sure
that the otoscope has the largest disposable aural speculum attached. Look for septal devia-
tion, mucosal inflammation, bleeding, polyps, and foreign objects.
A more detailed view of the nasal cavities can be obtained using a flexible (fibre-optic)
nasendoscope.
Nasal airflow
• Ask the patient to breathe out through his nose onto a mirror or cold tongue depressor posi-
tioned under the nose. If the nasal passages are not obstructed, there should be condensation
under both nostrils.
• Assess inspiratory flow by occluding one nostril and asking the patient to sniff. Repeat for the
other side.
06-OCSEs-Ophthalmology_5e ccp.indd 145 19/03/2015 07:23
Clinical
Skills
for
OSCEs
146 Station 53 Smell and the nose examination
Smell
• Assess sense of smell by asking the patient to identify fragrances from a series of bottles con-
taining different odours.
Sinuses
• With your thumb, press over the supra- and infra-orbital areas to elicit tenderness. Tenderness
in these areas is likely to indicate inflammation of the frontal and maxillary sinuses (sinusitis).
After examining the nose
• Ask the patient if he has any questions or concerns.
• Thank the patient.
• Offer to examine the throat and ears.
• Summarise your findings and offer a differential diagnosis.
Figure 36. Nasal polyp. Swollen turbinates are often mistaken for polyps. However, swollen turbinates differ from
polyps in that they tend to be pink rather than grey/yellow in colour, and in that they tend to be sensitive rather
than insensitive to touch.
Reproduced from www.askdrshah.com with permission from Dr Rajesh Shah.
Conditions most likely to come up in a smell and the nose examination station
• Congenital or trauma-induced deviated nasal septum.
• Septum perforation secondary to cocaine use, nose picking, or granulomatous disease.
• Chronic rhinitis.
• Nasal polyps.
• Anosmia secondary to viral infection or head injury.
06-OCSEs-Ophthalmology_5e ccp.indd 146 19/03/2015 07:23
147
Ophthalmology,
ENT,
and
dermatology
Station 54
Lump in the neck and thyroid examination
Before starting
• Introduce yourself to the patient.
• Confirm his name and date of birth. Bear in mind that age and sex have an important bearing
on the differential diagnosis of a goitre.
• Explain the examination and obtain his consent.
• Ask him to expose his neck, including unbuttoning his shirt and tying back long hair to fully
expose the neck and clavicles.
• Sit him in a chair positioned such that you can stand behind it.
• Ask for a glass of water for the patient to sip from when required.
The examination
Inspection
• Inspect the neck from the front and side, looking for goitre and other lumps, tethering (indica-
tive of an underlying malignancy), scars, and any other abnormalities. Thyroidectomy scars are
horizontal and may be hidden in a skin crease.
• Assess whether any lump is in the anterior or posterior triangle of the neck, i.e. anterior or pos-
terior to sternocleidomastoid.
A goitre, or enlarged thyroid gland, is seen as a swelling below the cricoid cartilage, on
either side of the trachea.
• Ask the patient to take a sip of water. The following structures move upon swallowing: ­
thyroid
gland, thyroid cartilage, cricoid cartilage, thyroglossal cyst, lymph nodes.
• Ask him to stick his tongue out. A midline swelling which moves upwards when the tongue is
protruded is a thyroglossal cyst.
Palpation
• Ask the patient whether there is any tenderness in the neck area.
• Stand behind him.
• Putting one hand on either side of his neck, examine the anterior and posterior triangles with
your fingertips. For any lump, assess its site, size, shape, surface, consistency, and fixity. Is the
lump tender to touch? Note that the normal thyroid gland is often not palpable.
• Ask him to take a sip of water and then to swallow while you feel for any movement of the lump.
• If a palpable midline lump is present, ask him to stick his tongue out while you feel for upward
movement of the lump.
• Palpate the regional lymph nodes in the following order: submental, submandibular, pre-auric-
ular, post-auricular, anterior cervical chain, supraclavicular, posterior cervical chain, occipital.
• Palpate for tracheal deviation in the suprasternal notch (see Station 17: Respiratory system
examination).
Percussion
• Percuss for the dullness of a retrosternal goitre over the sternum and upper chest.
06-OCSEs-Ophthalmology_5e ccp.indd 147 19/03/2015 07:23
Clinical
Skills
for
OSCEs
148 Station 54 Lump in the neck and thyroid examination
Auscultation
• Auscultate over the thyroid for bruits. Ask the patient to hold his breath as you listen; a soft bruit
is sometimes heard in thyrotoxicosis.
Assessment of thyroid function/status
If you are asked to examine the thyroid, a recommended approach is to perform a full examination of
the neck paying particular attention to the thyroid gland, and then to ask the examiner whether you
should also assess the patient’s thyroid function. Alternatively, you may be asked simply to assess the
patient’s thyroid function.
Inspection
• Inspect the patient generally, in particular looking for any signs of thyroid disease such as inap-
propriate clothing for the temperature.
• Ask him to hold out his hands and inspect for a fine resting tremor.
• Inspect his face. Does he have dry skin or brittle hair? Has he lost the outer third of his eyebrows?
• Inspect his eyes for the eye signs of Graves’ disease: exophthalmos, lid retraction, and chemosis
(conjunctival oedema). Exophthalmos is protrusion of the eyeballs from the orbit such that the
rim of the sclera is visible below the cornea. With lid retraction, the rim of the sclera is also vis-
ible above the cornea.
• Now ask him to keep his head still and follow your finger with his eyes. As he does this, look out
for lid lag (lagging of the upper eyelid on downward rotation of the eye) and ophthalmoplegia
(indicated by reduced eye movements). These too are signs of Graves’ ophthalmopathy.
Palpation
• Ask to take the patient’s hands and notice if they are warm and sweaty, or cold and dry.
• Look for clubbing of the nails associated with Graves’ disease (thyroid acropachy).
• Palpate the radial pulse, assessing for tachycardia and atrial fibrillation (pulse is irregularly
irregular).
• Elicit reflexes: hyperthyroidism is associated with hyper-reflexia, hypothyroidism with slow
relaxing reflexes.
• Palpate the lower legs for pre-tibial myxoedema (discoloured induration on the anterior
aspects of the lower legs), which is also associated with Graves’ disease.
Auscultation
• Auscultate the heart, listening specifically for a systolic flow murmur (hyper-dynamic circulation
associated with hyperthyroidism).
06-OCSEs-Ophthalmology_5e ccp.indd 148 19/03/2015 07:23
Ophthalmology,
ENT,
and
dermatology
149
Station 54 Lump in the neck and thyroid examination
After the examination
• Offer to help the patient to put his clothes back on.
• Ensure that he is comfortable.
• Ask him if he has any questions or concerns.
• Thank him.
• Offer a diagnosis or differential diagnosis.
• Offer suggestions for further management, e.g. thyroid function tests, thyroid antibodies, ultra-
sound examination of the thyroid, iodine thyroid scan, fine needle aspiration cytology.
Goitres and thyroid disease
Signs of hyperthyroidism: enlarged thyroid gland or thyroid nodules, thyroid bruit, hyperthermia,
diaphoresis, dehydration, tremor, tachycardia, arrhythmia, congestive cardiac failure, onycholysis.
• Graves’ disease (commonest cause of hyperthyroidism): uniformly enlarged smooth thyroid
gland usually in a younger patient; lid retraction, lid lag, chemosis, periorbital oedema,
proptosis, diplopia, pre-tibial myxoedema (non-pitting oedema and skin thickening, seen in
5% of cases), thyroid acropachy (finger clubbing, seen in 1% of cases).
• Toxic multinodular goitre: enlarged multinodular goitre in a middle-aged patient.
• Toxic nodule and de Quervain’s thyroiditis are less common.
Signs of hypothyroidism: hypothermia and cold intolerance, weight gain, slowed speech and
movements, hoarse voice, dry skin, hair loss, coarse facial features and facial puffiness, hypotension,
bradycardia, and hyporeflexia.
• Hashimoto’s thyroiditis (commonest cause of hypothyroidism): moderately enlarged rubbery
thyroid gland, usually in a female patient aged 30–50 years; initial hyperthyroidism that
progresses to hypothyroidism and, if untreated, to myxoedema.
[Note] Iodine deficiency can also cause a goitre but this is rarely seen in developed countries.
Thyroid cartilage
Thyroid gland
Trachea
Figure 37. Anatomy of the normal thyroid gland.
06-OCSEs-Ophthalmology_5e ccp.indd 149 19/03/2015 07:23
Clinical
Skills
for
OSCEs
150 Station 54 Lump in the neck and thyroid examination
Conditions most likely to come up in a lump in the neck and thyroid examination station
Toxic goitre:
• diffuse (Graves’ disease), multinodular, toxic nodule (see above).
Hashimoto’s thyroiditis (see above)
Physiological goitre of puberty or pregnancy (or both)
Thyroglossal cyst:
• fibrous cyst that forms from a persistent thyroglossal duct.
• midline lump in the region of the hyoid bone that is smooth and cystic and usually painless.
• moves upwards upon swallowing and upon tongue protrusion.
Enlarged lymph nodes
NB. Other, less likely, possibilities include thyroid carcinoma, branchial cyst, cystic hygroma
(lymphangioma), carotid body tumour, and sternocleidomastoid tumour.
06-OCSEs-Ophthalmology_5e ccp.indd 150 19/03/2015 07:23
151
Ophthalmology,
ENT,
and
dermatology
Station 55
Dermatological history
Before starting
• Introduce yourself to the patient.
• Confirm his name and date of birth.
• Explain that you are going to ask him some questions to uncover the nature of his skin problem,
and obtain consent.
• Ensure that he is comfortable.
The history
• Name and age.
Presenting complaint
• Use an open question to ask the patient to describe his skin problem.
History of presenting complaint
Ask about:
• When, where, and how the problem started.
• What the initial lesions looked like and how they have evolved. Are the hair and nails also
involved?
• Symptoms: especially, pain, pruritus (itching), blistering, and bleeding.
• Aggravating factors such as sunlight, heat, soaps, etc.
• Relieving factors, including any treatments so far.
• Effect on everyday life.
• Details of previous episodes, if any.
Past medical history
• Previous skin disease.
• Atopy (asthma, allergic rhinitis, childhood eczema).
• Present and past medical illnesses.
• Surgery.
Drug history
• Prescribed and OTC/complementary medications, including topical applications such as gels
and creams.
• Cosmetics and moisturising creams.
• Relationship of symptoms to use of medication.
• Allergies.
Family history
• Has anyone in the family had a similar problem?
• Medical history of parents, siblings, and children, focusing on skin problems.
• Sexual contacts.
06-OCSEs-Ophthalmology_5e ccp.indd 151 19/03/2015 07:23
Clinical
Skills
for
OSCEs
152 Station 55 Dermatological history
Social history
• Occupation (in some detail). Has the patient’s occupation exposed him to any allergens or
irritants? Have colleagues been suffering from similar symptoms? Do the symptoms improve
during holiday periods?
• Hobbies (in some detail). Have the patient’s hobbies exposed him to any allergens or irritants?
Has he been using sunbeds?
• Home circumstances.
• Alcohol use.
• Smoking.
• Recent travel, especially to the tropics.
Systems review
(If appropriate.)
After taking the history
• Ask the patient if there is anything that he might add that you have forgotten to ask about.
• Thank him.
• Summarise your findings and offer a differential diagnosis.
• State that you would like to carry out a dermatological examination.
06-OCSEs-Ophthalmology_5e ccp.indd 152 19/03/2015 07:23
153
Ophthalmology,
ENT,
and
dermatology
Station 56
Dermatological examination
Before starting
• Introduce yourself to the patient.
• Confirm his name and date of birth.
• Explain the examination and obtain his consent.
• Ask him to undress to his undergarments and temporarily cover him up with a sheet or blanket.
• Ensure that he is comfortable.
• Ask him to report any pain or discomfort during the examination.
• Ensure that there is adequate lighting.
The examination
• Describe the distribution of the lesions: are they generalised or localised, symmetrical or asym-
metrical, affecting only certain areas, e.g. flexor or extensor surfaces. Make a point of looking at
all parts of the body.
• Describe the morphology of the individual lesions, commenting upon their colour, size, shape,
borders, elevation, and spatial relationship. Use precise dermatological terms. The ‘Handbook
for medical students and junior doctors’ by the British Society of Dermatologists (freely available
online) contains a useful glossary of dermatological terms with accompanying images.
• Note any secondary skin lesions such as scaling, lichenification, crusting, excoriation, erosion,
ulceration, and scarring.
• Palpate the lesions (ask the patient if this is OK first). Assess their consistency. Do they blanch?
• Examine the finger nails and toe nails.
• Examine the hair and scalp.
• Examine the mucous membranes.
• Check for lymphadenopathy, if appropriate (e.g. if considering infection or malignancy).
• Check the pedal pulses, if appropriate (e.g. if considering vascular insufficiency or diabetic foot).
After the examination
• Offer to help the patient to put his clothes back on.
• Thank him.
• Ensure that he is comfortable.
• Wash your hands.
• Summarise your findings and offer a differential diagnosis.
Examiner’s questions: Differentiating skin cancers
BCC (75% of skin cancers) most often looks like a pearly bump or nodule on sun-exposed areas of skin.
Bleeding or crusting may develop in the centre of the tumour, as in the photograph below. In contrast,
squamous cell carcinoma (SCC, 20% of all skin cancers) most often looks like a red, scaling, thickened
patch, sometimes with bleeding, crusting, or ulceration. Although less common than either BCC or SCC,
malignant melanoma is more commonly fatal. Pigmented lesions of the skin should be suspected to
be malignant melanomas if they are asymmetrical, if they have irregular borders, if their colour varies
from one area to another, or if their diameter is larger than that of a pencil eraser (6 mm). This is easily
remembered as A, B, C, D.
06-OCSEs-Ophthalmology_5e ccp.indd 153 19/03/2015 07:23
Clinical
Skills
for
OSCEs
154 Station 56 Dermatological examination
Figure 38. (A) Basal cell carcinoma (BCC). Reproduced under a Creative Commons License from: http://commons.
wikimedia.org/wiki/Category:Basal-cell_carcinoma#mediaviewer/File:Basaliom_am_Nasenrücken_2.JPG. (B)
Squamous cell carcinoma. Reproduced from http://commons.wikimedia.org/wiki/Category:Squamous-cell_
carcinoma_of_the_skin#mediaviewer/File:Squamous_Cell_Carcinoma.jpg
Conditions most likely to come up in a dermatological examination station
Psoriasis:
• chronic, autoimmune skin disease.
• plaque psoriasis is most common type (c. 90%).
• red plaques with silvery scales due to inflammation and excessive skin production.
• frequently on the extensor aspects of elbows or knees, but can also affect any area including
the scalp, palms, and soles.
• may be accompanied by nail dystrophy.
• may be accompanied by joint inflammation (psoriatic arthritis).
• may be aggravated by stress, alcohol, smoking, and certain drugs, e.g. lithium, beta blockers,
chloroquinine.
(A)
(B)
06-OCSEs-Ophthalmology_5e ccp.indd 154 19/03/2015 07:23
Ophthalmology,
ENT,
and
dermatology
155
Station 56 Dermatological examination
Eczema:
• most common types are atopic or flexural eczema and irritant-induced contact dermatitis.
• recurrent dryness, itching, and skin rashes that may be accompanied by redness,
inflammation, cracking, weeping, blistering, crusting, flaking, and skin discoloration.
• frequently on the flexor aspects of joints (cf. psoriasis).
Acne vulgaris:
• changes in the pilosebaceous units as a result of increased androgen stimulation.
• comedones (blackheads), inflammatory papules, pustules, and nodules that affect the face
and neck and also the chest, back, and shoulders, and that can result in scarring.
• usually appears during adolescence and may persist into early adulthood.
Rosacea:
• chronic condition that primarily affects fair-skinned people and that is 2–3 times more
common in women.
• peak age of onset is 30–50.
• typically begins as flushing and redness centrally on the face.
• may be accompanied by telangiectasia, red domed papules and pustules, red gritty eyes,
burning and stinging sensations, and, in some advanced cases, a red lobulated nose
(rhinophyma).
• may be aggravated by stress, sunlight, cold weather, alcohol.
Skin cancer (see Examiner’s questions above)
06-OCSEs-Ophthalmology_5e ccp.indd 155 19/03/2015 07:23
Clinical
Skills
for
OSCEs
156 Station 57
Advice on sun protection
Read in conjunction with Station 116: Explaining skills.
Before starting
• Introduce yourself to the patient.
• Confirm his name and date of birth.
• Tell him what you are going to explain, and determine how much he already knows.
• Enquire about and explore any concerns that he may have.
The advice
Explain that there are three types of ultraviolet radiation from the sun: UVA, UVB, and UVC.
• UVA and UVB can cause skin cancer (think UV-’Bad’).
• UVC does not reach the surface of the earth and is therefore of no concern.
Explain that, other than causing skin cancer, UV radiation can also cause the skin to burn and (horror!)
to age prematurely.
UV levels depend on a number of factors such as the time of day, time of year, latitude, altitude, cloud
cover, and ozone cover.
Explain that there are three principal methods of protecting against the sun’s rays:
1. Avoid the outdoors and seek shade. The sun’s rays are most direct around midday and so one
should avoid being outdoors from around 11 am to 3 pm.
2. Cover up (clothing should include a wide-brimmed hat and sunglasses that conform to British
and European Standard BS EN 1836:2005).
3. Use sunscreen.
• A sunscreen’s star rating is a measure of its level of protection against UVA.
• A sunscreen’s sun protection factor is a measure of its level of protection against UVB.
• Use a sunscreen that has a star rating of at least three stars *** and an SPF of at least 15.
• The sunscreen should be applied thickly over all sun-exposed areas, and re-applied regu-
larly.
It is important to stress that sunscreens should not simply be used as a means of spending
more time in the sun.
Finally advise the patient to report any moles that change in size, shape, colour, or texture.
After giving the advice
• Summarise the information and ensure that the patient has understood it.
• Tell him that, if anything, he can remember ‘Slip, slap, slop’ – slip on some clothes, slap on a hat,
and slop on sunscreen.
• Ask him if he has any questions or concerns.
• Give him a leaflet on sun protection.
06-OCSEs-Ophthalmology_5e ccp.indd 156 19/03/2015 07:23
157
Paediatrics
and
geriatrics
Station 58
Paediatric history
General points:
• As a rule of thumb, the older the child the more he should be involved in the history-taking
process. Try to surreptitiously (indirectly) assess the child’s capacity.
• Observe the child’s behaviour and interaction with the parent as you take the history.
• The parent’s concerns and the child’s concerns are likely to differ: try as much as possible to
address both.
Before starting
• Introduce yourself to the parent and child (in that order), and confirm the child’s name and
date of birth.
• Explain that you are going to ask some questions and obtain consent.
• Ensure that the patient is comfortable; younger children may need some toys to keep them
distracted.
The history
• Verify the sex, and preferred name of the child.
• Confirm the relationship of the accompanying adult or adults.
Presenting complaint and history of presenting complaint
• Ask about the nature of the presenting complaint and how it has affected the child’s daily rou-
tine. Start by using open questions and then explore the symptoms as you might in any other
history. Ask about onset, duration, previous episodes, pain, associated symptoms (e.g. nausea,
vomiting, diarrhoea, urinary frequency, constipation, altered consciousness), and treatments.
Do not under any circumstances denigrate, or omit to address, the parent’s concerns.
Systems review
• The major systems should be covered briefly, placing the emphasis on areas of particular rel-
evance.
– general health: liveliness, change in behaviour, feeding, fever
– ENT: sore throat, earache, infections, deafness, nose bleeds
– CVS and RS: breathing problems (feeding problems in young infants), shortness of breath,
exercise tolerance, colour changes (blue attacks, pallor), cough, croup, wheeze, stridor, chest
infections, heart murmurs
– GIS: weight gain, feeding, vomiting, diarrhoea, constipation, jaundice, abdominal pain
– GUS: frequency, discharge, enuresis
– NS: headaches, fits, visual disturbances, balance and coordination, muscle problems
– MSS: limps, joint stiffness, pain, swelling, redness
– skin: rash, eczema
Past medical history
Use the mnemonic ‘BINDS’, trying to be as age-appropriate as possible.
• Birth history:
–
– Maternal obstetric history: gestation at delivery, mode of delivery, place of delivery, com-
plications before, during, and after delivery, drug history and smoking and drinking during
pregnancy
07-OCSEs-Paediatrics__Geriatrics_5e ccp.indd 157 19/03/2015 13:05
Clinical
Skills
for
OSCEs
158 Station 58 Paediatric history
–
– Early paediatric history: birth weight, neonatal problems, admission to special care or neo-
natal unit
• Immunisations: are immunisations up to date? Have there been any problems?
• Nutrition and growth: is the child eating and drinking? For an infant, enquire whether he is
breast- or bottle-fed, how much he consumes (quantify), and how often. Ask for the child health
record or ‘red book’ and survey the growth charts, immunisation history, and any other entries.
• Development: do not ask whether the child is ‘developing normally’. Ask instead, “Do you have
any concerns with his/her development?”
• Social: is the child sleeping through the night? Is he playing as he usually does? Is he thriving at
nursery or school?
• Medical: asthma, diabetes, epilepsy, previous hospital admissions and surgery.
Drug history
• Prescribed and over-the-counter medications.
• Allergies.
Family history
• Health of parents and siblings, especially if an infective aetiology is being considered.
• Congenital/genetic abnormalities (“Are there any illnesses that run in the family?”).
• Consanguinity (“Prior to getting married, were you and your partner related in any way?”).
Social history
• Parental occupation.
• Details of home life, siblings.
• Behaviour at home and at school.
• Pets and smokers in the home (if relevant).
After taking the history
• Asktheparentandchildifthereisanythingthattheymightaddthatyouhaveforgottentoaskabout.
• Ask the parent and child if they have any specific questions or concerns.
• Thank the parent and child.
• Summarise your findings and offer a differential diagnosis.
Conditions most likely to come up in a paediatric history station
• Respiratory conditions, e.g. asthma, upper respiratory tract infection.
• Headache.
• Behavioural problems, e.g. enuresis.
• Fits, e.g. febrile convulsions, epilepsy.
• Childhood infections/rashes and immunisation compliance (see Station 67: Child immunisation
programme).
07-OCSEs-Paediatrics__Geriatrics_5e ccp.indd 158 19/03/2015 13:05
159
Paediatrics
and
geriatrics
Station 59
Developmental assessment
Development in the early years of life is fairly consistent from child to child. Any significant deviation
from this pattern requires further investigation or at least close follow-up.
The developmental assessment is usually performed alongside a general paediatric history (see Station
58). However, in an OSCE setting, you may simply be asked to watch a short video and answer some
questions about it. If you are asked to carry out a developmental assessment, remember to tailor your
assessment to the age of the child, and that much of the assessment can be carried out by observation
alone.
Key stages for developmental assessment
• Newborn
• Supine infant (1.5–2 months)
• Sitting infant (6–9 months)
• Toddler (18–24 months)
• Communicating child (3–4 years)
The four areas in which development is assessed
• Gross motor skills
• Vision and fine movement
• Hearing and language
• Social behaviour
Before starting
• Introduce yourself to the parent and child, and confirm the child’s name and date of birth.
• Explain that you would like to ask a few questions about how the child is doing, and obtain
consent.
• Ensure that the child is comfortable. Younger children may need toys to keep them distracted.
• Ask to look at the child health record or ‘red book’.
The assessment
• Confirm the sex and preferred name of the child.
• Do not ask whether the child is ‘developing normally’. Ask instead, “Do you have any concerns
with his development?”
• Be sure to verify whether any delay is in just one area or all four (gross developmental delay).
07-OCSEs-Paediatrics__Geriatrics_5e ccp.indd 159 19/03/2015 13:05
Clinical
Skills
for
OSCEs
160 Station 59 Developmental assessment
Table 23. Average age for the acquisition of milestones
Key stages Age Gross motor
skills
Vision  fine
movement
Hearing and
language
Social
behaviour
Newborn Birth –
1/12
Symmetrical
movements,
limbs flexed,
head lag on
pulling up
Looks at light/
faces in direct
line of vision
Startles to
noises and
voices, cries
Responds
to parents,
endogenous
smile
Supine infant 2/12 Raises head in
prone position
Eyes ‘fix and
follow’ to
midline
Coos and grunts Exogenous
smile, i.e. at
faces or objects
3–4/12 Rolls over
from supine to
prone, sits with
support
Eyes follow past
midline
Laughs
Sitting infant 6/12 Rolls over
from prone
to supine, sits
unsupported
Transfers
objects from
hand to hand
Babbles, single
syllable words
(yes, no)
Separation
anxiety
9/12 Crawls and,
from 10/12,
‘cruises’ (walks
holding on to
furniture)
Pincer grasp Double syllable
words (mama,
bye-bye)
Stranger
anxiety, plays
pat-a-cake and
peek-a-boo
Toddler 1 year Takes first steps Starts to feed
himself
Uses 10 words Onlooker and
parallel play
18/12 Runs, walks
carrying a toy
Stacks 3 cubes Uses 10–20
words
Temper
tantrums
2 years Ascends stairs
in child-like
manner, arm
throws a ball
Copies a line,
stacks 6 cubes
Uses 200 words,
pronouns,
2-word
sentences
Alone play
continued
07-OCSEs-Paediatrics__Geriatrics_5e ccp.indd 160 19/03/2015 13:05
Paediatrics
and
geriatrics
161
Station 59 Developmental assessment
Table 23. Average age for the acquisition of milestones – continued
Key stages Age Gross motor
skills
Vision  fine
movement
Hearing and
language
Social
behaviour
Communicating
child
3 years Climbs stairs
like an adult,
descends stairs
in child-like
manner, jumps
in one place,
rides tricycle,
catches ball
with arms
Copies a circle,
stacks 9 cubes,
builds bridge
with cubes
Uses 900
words and
understands
many more,
uses compound
sentences
Knows own
name and
gender,
understands
‘taking turns’,
i.e. co-operates
4 years Climbs down
stairs like
an adult,
hops on one
foot, throws
overhand
Copies a cross
and, from 4.5
years, a square
Tells stories Imitates
parents, has
imaginary
friends
5 years Stands on one
leg, catches ball
with hands
Copies a
triangle
Asks the
meaning of
words
Conforms with
peers
Red flags
• ‘Red flags’ that call for further investigation include the absence of:
–
– smiling at 2/12
–
– good eye contact at 3/12
–
– sitting at 9/12
–
– walking at 18/12
–
– 2–3 word sentence construction at 2.5 years
After the assessment
• Ask the parent if there is anything they might add that you have forgotten to ask about.
• Ask the parent if they have any specific questions or concerns.
• Thank the parent and child.
• Summarise your findings and offer a differential diagnosis.
Conditions most likely to come up in a developmental assessment station
• Late walker (18 months).
• Visual or hearing impairment.
• Developmental disorder, e.g. autism.
• Emotional disorder, e.g. enuresis (5 years), elective mutism, sleep disorder.
• Behavioural disorder, e.g. conduct disorder, ADHD.
• Gross developmental delay from e.g. mental retardation, genetic abnormality, brain injury,
congenital infection, endocrine disorder.
07-OCSEs-Paediatrics__Geriatrics_5e ccp.indd 161 19/03/2015 13:05
Clinical
Skills
for
OSCEs
162 Station 60
Neonatal examination
Specifications: A mannequin in lieu of a baby. The baby’s‘mother’is also in the room.
Before starting
• Introduce yourself to the mother, and confirm the baby’s name and date of birth.
• Explain the examination, and ask for consent.
• Wash your hands.
• Ask the mother about:
– complications of the pregnancy, if any
– type of delivery and any complications
– the baby’s gestational age at the time of birth
– the baby’s birth weight
– the baby’s feeding, urination, and defecation
– any concerns that she might have about the baby
– how she herself is coping with the new arrival
The examination
General inspection
• Although it is important to be systematic, an opportunistic approach to the examination may
be necessary.
• Note size, colour (e.g. cyanosis, jaundice), posture, tone, movements, skin abnormalities (e.g.
birth marks, petechiae, rash, haemangioma, Mongolian blue spot), and any other obvious
abnormalities (e.g. dysmorphic features or birth trauma such as forceps marks or chignon). Are
there any signs of pain or respiratory distress?
Head
• Gently palpate the anterior and posterior fontanelles for bulging (raised intracranial pressure)
or depression (dehydration).
• Measure the head circumference with the tape measure passing above the ears. Head circum-
ference in the neonate should be 33–38 cm.
Figure 39. Neonatal examination, general order of the
examination.
07-OCSEs-Paediatrics__Geriatrics_5e ccp.indd 162 19/03/2015 13:05
Paediatrics
and
geriatrics
163
Station 60 Neonatal examination
Face
• Inspect the face for dysmorphological features, e.g. dysplastic or folded ears, upward slanting
palpebral fissures, and a flat nasal bridge (all may be seen in Down syndrome).
• Inspect the sclerae for redness (subconjunctival haemorrhage related to birth trauma) and the
irises for Brushfield spots (Down syndrome).
• Using an ophthalmoscope, test the red reflex (congenital cataracts if the red reflex is absent,
retinoblastoma if instead there is a white reflex) and pupillary reflexes.
• Test eye movements (squint).
• Check the patency of the ears and nostrils.
• Elicit the rooting reflex by lightly touching a corner of the baby’s mouth.
• Introduce a finger into the baby’s mouth and palpate the roof of the mouth with the finger pulp
to assess the sucking reflex and soft palate (cleft palate).
• Also examine the soft palate using a torch and spatula.
Chest
• Inspect the chest for signs of laboured breathing and for deformities, e.g. pectus carinatum,
pectus excavatum, shield-shaped chest with widely-spaced nipples (Turner syndrome).
• Take the brachial and femoral pulses, one after the other and then both at the same time
(brachio-femoral delay). Pulse rate in the neonate should be 100–160.
• Palpate the precordium and locate the apex beat.
• Auscultate the heart using the bell of your stethoscope (congenital heart defects).
• Auscultate the lungs using the diaphragm of your stethoscope. Turn the infant over and listen
over the back. The respiratory rate should be less than 60 breaths per minute.
Back
• Examine the spine, focusing on the sacral pit (neural tube defects).
• Check the position and patency of the anus (anal atresia).
• Enquire as to when the baby first passed stool. Ideally, this should have been within 24 hours
of birth.
Abdomen
• Inspect the abdomen and the umbilical stump.
• Palpate the abdomen.
• Palpate specifically for the spleen, liver, and kidneys (thumb in front, finger in the loin), and for
any masses.
• Auscultate for bowel sounds.
• Feel in the inguinoscrotal region for inguinal hernias.
• Examine the genitalia, in male infants note the position of the urethral meatus (hypospadias)
and feel for the testicles (undescended testes).
• Feel for the femoral pulses (coarctation of the aorta).
Hips
• Ortolani test. With your thumbs on the inner aspects of the thighs and your index and middle
fingers over the greater trochanters, flex the hips and knees to 90 degrees and then abduct the
hips (an audible and palpable clunk indicates relocation of a dislocated hip).
• Barlow test. Next, adduct them whilst applying downward pressure with your thumbs (an audi-
ble and palpable clunk indicates an unstable hip that can be dislocated).
07-OCSEs-Paediatrics__Geriatrics_5e ccp.indd 163 19/03/2015 13:05
Clinical
Skills
for
OSCEs
164 Station 60 Neonatal examination
Arms and hands
• Inspect the arms and hands, paying particular attention to the palmar creases (Simian crease –
Down syndrome).
• Count the number of digits on each hand (polydactyly).
Feet
• Inspect the feet for deformities such as club foot and ‘sandal gap’ and test their range of move-
ment.
• Count the number of digits on each foot (polydactyly).
Posture and reflexes
• Head lag. Lay the baby supine and pull up the upper body by the arms – the head should first
‘lag’ back, then straighten and fall forward.
• Ventral suspension. Hold the baby prone – the head should lie above the midline.
• Moro or startle reflex. Lift the head and shoulders and then suddenly drop them back – the
arms and legs should abduct and extend symmetrically, and then adduct and flex (NB. This test
should be conducted as safely and sensitively as possible. For instance, it could be carried out
with the baby only slightly raised from the cot mattress.).
• Grasp reflex. Place a finger in the baby’s hand – the hand should close around your finger.
Ortolani test
Barlow test Figure 40. The Ortolani and Barlow tests.
07-OCSEs-Paediatrics__Geriatrics_5e ccp.indd 164 19/03/2015 13:05
Paediatrics
and
geriatrics
165
Station 60 Neonatal examination
After the neonatal examination
• State that you would also measure and weigh the baby and record your findings on a growth
centile chart.
• Summarise your findings.
• Reassure the mother, and tell her that you are going to have the baby examined by a senior
colleague.
Figure 41. Eliciting the Moro reflex.
07-OCSEs-Paediatrics__Geriatrics_5e ccp.indd 165 19/03/2015 13:05
Clinical
Skills
for
OSCEs
166 Station 61
The six-week surveillance review
Specifications: A mannequin in lieu of a baby. The six-week ‘baby check’is part of the Newborn and
Infant Physical Examination programme. It involves a physical examination and review of development.
However, it is also an opportunity to give health promotion advice and for the parent or parents to
express concerns.
Before starting
• Introduce yourself to the parent, and confirm the baby’s name and date of birth.
• Explain the nature of the examination and obtain consent.
• Ask for the child health record or ‘red book’.
The history
• Ask for the exact age, sex, and preferred name of the child.
Main concerns
• Ask if the parent has any specific concerns.
Past medical history
• Birth history:
– pregnancy
– gestation
– delivery
– birth weight
– neonatal history
• Present health:
– current health status, including feeding regimen and weight gain
– medication
– social history
The examination
PART 1 – DEVELOPMENTAL ASSESSMENT
Motor skills
• Symmetrical limb movements.
• Head lag.
Vision and fine movement
• Looks at light/faces.
• Follows an object.
Hearing and language
• Responds to noises/voices.
• Normal cry.
• Ask parent if they are concerned about the baby’s hearing.
07-OCSEs-Paediatrics__Geriatrics_5e ccp.indd 166 19/03/2015 13:05
Paediatrics
and
geriatrics
167
Station 61 The six-week surveillance review
Social behaviour
• Smiles responsively.
PART 2 – PHYSICAL EXAMINATION
• Wash your hands
General inspection
• Overall size and colour, i.e. is the baby cyanosed or jaundiced?
• Skin abnormalities such as birth marks, petechiae, or rash.
• Other obvious abnormalities such as dysmorphic features.
• Posture, tone, and movements.
• Signs of respiratory distress
Growth
• Weight.
• Length.
• Head circumference.
• Plot findings on a centile chart.
Head
• Palpate the fontanelles.
Face
• Eyes: red reflex, pupillary reflexes, and eye movements (squints).
• Ears.
• Mouth – use a pen torch (high arched or cleft palate).
Chest
• Feel for the radial and femoral pulses.
• Auscultate the heart.
• Auscultate the lungs.
Back
• Examine the spine, particularly the sacral pit.
Abdomen
• Inspect and palpate the abdomen.
• Examine the external genitalia.
Hips
• Abduct the hips (Ortolani test, see Figure 40).
• Next, adduct them whilst applying downward pressure with your thumbs (Barlow test, see
Figure 40).
07-OCSEs-Paediatrics__Geriatrics_5e ccp.indd 167 19/03/2015 13:05
Clinical
Skills
for
OSCEs
168 Station 61 The six-week surveillance review
After the surveillance review
• Discuss your findings with the parent.
• Use the opportunity for health promotion, e.g. immunisations, breastfeeding, car safety, acci-
dent prevention, risks of passive smoking, reducing the risk of sudden infant death syndrome,
services available for the parents of young children.
• Consider maternal mental health. How is mum coping? Is there any suggestion of postnatal
depression?
• Elicit any remaining concerns that the parent may have.
• Thank the parent.
07-OCSEs-Paediatrics__Geriatrics_5e ccp.indd 168 19/03/2015 13:05
169
Paediatrics
and
geriatrics
Station 62
Paediatric examination: cardiovascular system
Read in conjunction with Station 13.
If you are asked to examine the cardiovascular system of a younger child (an unlikely event), be
prepared to change the order of your examination and to modify your technique as appropriate. For
example, you may need to examine the child on his parent’s knees or auscultate his heart as soon
as he stops crying. As in all paediatric stations, the quality of your rapport with the child will be of
considerable importance.
Before starting
• Introduce yourself to the child and the parent, and confirm the child’s name and date of birth.
• Explain the examination and ask for consent to carry it out.
• Position the child at 45 degrees, and ask him to remove his top(s).
• Ensure that he is comfortable.
The examination
General inspection
• From the end of the couch, inspect the child carefully, looking for any obvious abnormalities
in his general appearance and in particular for any dysmorphic features suggestive of Down
syndrome (e.g. oblique eye fissures, epicanthic folds, Brushfield spots, flat nasal bridge, Simian
crease), Turner syndrome (e.g. short stature, low-set ears, webbed neck, shield chest), or Marfan
syndrome (e.g. tall stature, elongated limbs, pectus carinatum or pectus excavatum).
• Does the child look his age? Ask to look at the growth chart.
• Is he breathless or cyanosed?
• Look around the child for clues such as a oxygen, PEFR meter, inhalers, etc.
• Inspect the precordium and the chest for any scars and pulsations. A median sternotomy or
thoracotomy scar under the axillae may indicate the repair of a congenital heart defect such as
a patent ductus arteriosus or a ventricular septal defect.
Inspection and examination of the hands
• Take both hands and assess them for:
– colour and temperature
– clubbing (cyanotic congenital heart disease)
– nail signs
• Determine the rate, rhythm, and character of both radial pulses (in younger infants, the brachial
pulses). Take both femoral pulses at the same time to exclude a radiofemoral delay (coarctation
of the aorta).
• Indicate that you would record the blood pressure in both arms. If you are asked to record the
blood pressure, remember to use a cuff of appropriate size.
07-OCSEs-Paediatrics__Geriatrics_5e ccp.indd 169 19/03/2015 13:05
Clinical
Skills
for
OSCEs
170 Station 62 Paediatric examination: cardiovascular system
Table 24. Normal pulse rates in children
Age in years Pulse (beats per minute)
 1 100–160
2–4 90–140
4–10 80–140
 10 65–100
Inspection and examination of the head and neck
• Inspect the conjunctivae for signs of anaemia or jaundice.
• Inspect the mouth and tongue for signs of central cyanosis and a high arched palate (Marfan
syndrome).
• Assess the jugular venous pressure (difficult in very young infants).
• Locate the carotid pulse and assess its character.
Palpation of the heart
Ask the child if he has any pain in the chest.
• Determine the location and character of the apex beat. In children (up to 8 years), this is found
in the fourth intercostal space in the mid-clavicular line.
• Palpate the precordium for thrills and heaves.
Auscultation of the heart
Warm up the diaphragm of your stethoscope.
• Listen for heart sounds, additional sounds, and murmurs. Using the stethoscope’s diaphragm,
listen in:
– the aortic area
– the pulmonary area
– the tricuspid area
– the mitral area
(See Station 13, Figure 7.)
• Any murmur heard must be classified according to:
– timing (systolic or diastolic)
– grading (I–VI)
– site (aortic, pulmonary, tricuspid, or mitral)
– radiation (carotids or axilla, or no radiation)
Innocent murmurs are common in childhood
Innocent murmurs are:
• Systolic.
• Low-grade.
• Heard over only a relatively small area.
• Asymptomatic.
07-OCSEs-Paediatrics__Geriatrics_5e ccp.indd 170 19/03/2015 13:05
Paediatrics
and
geriatrics
171
Station 62 Paediatric examination: cardiovascular system
Chest examination
Auscultate the bases of the lungs and check for sacral oedema.
Abdominal examination
Palpate the abdomen to exclude ascites and/or an enlarged liver (congestive heart failure). Note that
the liver edge can usually be palpated in younger infants.
Peripheral pulses
Feel the temperature of the feet, palpate the femoral pulses, and check for pedal oedema.
After the examination
• Cover the child.
• Ask the child and parent if they have any questions or concerns.
• Thank the child and parent.
• Indicate that you would test the urine, examine the retina with an ophthalmoscope and, if
appropriate, order some key investigations, e.g. a CXR, ECG, echocardiogram.
• Summarise your findings and offer a differential diagnosis.
Conditions most likely to come up in a paediatric cardiovascular examination station
Ventricular septal defect (VSD)
• Pansystolic murmur best heard over the left lower sternal edge and possibly accompanied
by a palpable thrill, parasternal heave, and displaced apex beat. Most VSDs are small and
asymptomatic and may close spontaneously within the first year of life. However, a large VSD
may progressively lead to higher pulmonary resistance and, finally, to irreversible pulmonary
vascular changes, producing the so-called Eisenmenger syndrome (reversal of shunt to right-
to-left shunt). Eisenmenger syndrome can also result from atrial septal defect and patent
ductus arteriosus.
Patent ductus arteriosus (PDA)
• Continuous machine-like murmur best heard over the pulmonary area and possibly
accompanied by a left subclavicular thrill, displaced apex beat, and collapsing pulse. The first
heart sound is normal but the second is often obscured by the murmur. The ductus arteriosus
is a shunt that runs from the pulmonary artery to the descending aorta and which enables
blood to bypass the closed lungs in utero. A small PDA may cause no signs or symptoms and
may go undetected into adulthood, but a large one can cause signs and symptoms of heart
failure soon after birth.
Atrial septal defect
• Ejection systolic murmur best heard in the pulmonary area due to increased blood flow across
the pulmonary valve with an associated mid-diastolic murmur best heard in the tricuspid area
due to increased blood flow across the tricuspid valve. These murmurs, neither of which is
particularly loud, are accompanied by a wide fixed splitting of the second heart sound (S2
) and
a displaced apex beat. The patient is often asymptomatic.
07-OCSEs-Paediatrics__Geriatrics_5e ccp.indd 171 19/03/2015 13:05
Clinical
Skills
for
OSCEs
172 Station 62 Paediatric examination: cardiovascular system
Pulmonary stenosis
• Loud ejection systolic murmur with an ejection click that is best heard in the pulmonary area.
This murmur may be accompanied by a widely split second heart sound, and by a systolic
thrill and parasternal heave. The patient is often asymptomatic.
Aortic stenosis
• Ejection systolic murmur with an ejection click best heard in the aortic area and radiating to
the carotids. The murmur may be accompanied by a slow-rising pulse and a heaving cardiac
apex. The patient is often asymptomatic.
Coarctation of the aorta
• Arterial hypertension in the right arm with normal to low blood pressure in the legs. There is
radio-femoral delay between the right arm and the femoral artery and, in severe cases, a weak
or absent femoral artery pulse. In contrast, mild cases may go undetected into adulthood.
Tetralogy of Fallot
• The tetralogy refers to VSD, pulmonary stenosis, overriding aorta, and right ventricular
hypertrophy, and there may also be other anatomical abnormalities. There is cyanosis from
birth or developing in the first year of life.
07-OCSEs-Paediatrics__Geriatrics_5e ccp.indd 172 19/03/2015 13:05
173
Paediatrics
and
geriatrics
Station 63
Paediatric examination: respiratory system
Read in conjunction with Station 17.
If you are asked to examine the respiratory system of a younger child (an unlikely event), be prepared
to change the order of your examination and to modify your technique as appropriate. For example,
you may need to examine the child on his parent’s knees or auscultate his chest as soon as he stops
crying. As in all paediatric stations, the quality of your rapport with the child will be of considerable
importance.
Before starting
• Introduce yourself to the child and parent, and confirm the child’s name and date of birth.
• Explain the examination and ask for consent to carry it out.
• Position the child at 45 degrees, and ask him to remove his top(s).
• Ensure that he is comfortable.
The examination
General inspection
• From the end of the couch inspect the child carefully, looking for any obvious abnormalities in
his general appearance.
• Does the child look his age? Ask to look at the growth chart.
• Is he breathless or cyanosed?
• Is his breathing audible?
• Note the rate, depth, and regularity of his breathing.
• Look around the child for clues such as a PEFR meter, inhalers, etc.
Table 25. Normal respiratory rates in children
Age in years Respiratory rate (breaths per minute)
Premature infant 40–60
Term infant 30–50
6 years 19–24
12 years 16–21
Look for:
• Deformities of the chest (barrel chest, pectus excavatum, pectus carinatum) and spine.
• Asymmetry of chest expansion.
• Signs of respiratory distress such as the use of accessory muscles of respiration, suprasternal, inter-
costal, and/or subcostal recession, nasal flaring, grunting, tracheal tug, and difficulty speaking.
• Added sounds such as cough, croup, wheeze, stridor.
• Harrison’s sulcus (horizontal subcostal groove; in a child, suggestive of asthma).
• Operative scars.
Inspection and examination of the hands
• Take both hands and assess them for colour and temperature.
• Look for clubbing.
07-OCSEs-Paediatrics__Geriatrics_5e ccp.indd 173 19/03/2015 13:05
Clinical
Skills
for
OSCEs
174 Station 63 Paediatric examination: respiratory system
• Determine the rate, rhythm, and character of the radial pulse (in younger infants, the brachial
pulse).
• State that you would record the blood pressure.
Inspection and examination of the head and neck
• Inspect the conjunctivae for signs of anaemia.
• Inspect the mouth for signs of central cyanosis.
• Assess the jugular venous pressure and jugular venous pulse form.
• Palpate the cervical, supraclavicular, infraclavicular, and axillary lymph nodes.
Palpation of the chest
Ask the child if he has any pain in the chest.
• Palpate for tracheal deviation by placing the index and middle fingers of one hand on either
side of the trachea in the suprasternal notch. (As this may be uncomfortable, it is probably best
omitted in younger children.)
• Palpate for the position of the cardiac apex.
[Note] Carry out all subsequent steps on the front of the chest and, once this is done, repeat them on the back of the
chest.
• Palpate for equal chest expansion, comparing one side to the other.
• Palpate for tactile fremitus.
Percussion of the chest
• Percuss the chest. Start at the apex of one lung and compare one side to the other. Do not
forget to percuss over the clavicles and on the sides of the chest. Note that percussion of the
chest is not useful in young infants.
Auscultation of the chest
Warm up the diaphragm of your stethoscope.
• If old enough, ask the child to take deep breaths through the mouth and, using the diaphragm
of the stethoscope, auscultate the chest. Start at the apex of one lung, and compare one side to
the other. Are the breath sounds vesicular or bronchial? Are there any added sounds?
Oedema
• Assess for sacral and pedal oedema.
After the examination
• Cover the child.
• Ask the child and parent if they have any questions or concerns.
• Thank the child and parent.
• Indicate that you would like to look at the sputum pot, measure the PEFR and, if appropriate,
order some key investigations, e.g. a CXR, FBC, etc.
• Summarise your findings and offer a differential diagnosis.
07-OCSEs-Paediatrics__Geriatrics_5e ccp.indd 174 19/03/2015 13:05
Paediatrics
and
geriatrics
175
Station 63 Paediatric examination: respiratory system
Conditions most likely to come up in a paediatric respiratory examination station
Cystic fibrosis
• Autosomal recessive progressive multisystem disease that is related to a mutation in the CFTR
gene and that leads to viscous secretions.
• In terms of the respiratory system, findings on physical examination may include delayed
growth and development, finger clubbing, nasal polyps, recurrent chest infections, shortness
of breath, coughing with copious phlegm production, haemoptysis, hyper-inflated chest, cor
pulmonale.
Broncho-pulmonary dysplasia (BPD)
• Chronic lung disorder that involves inflammation and scarring in the lungs and which is
most common among children who were born prematurely and who received prolonged
mechanical ventilation for respiratory distress syndrome.
• Findings on physical examination may include delayed growth and development, shortness of
breath, crackles, wheezes and decreased breath sounds, hyper-inflated chest, cor pulmonale.
Pneumonia
• Findings on physical examination may include signs of consolidation accompanied by
fever, lethargy, poor feeding, shortness of breath, productive cough, and, in some cases,
haemoptysis and pleuritic chest pain.
Asthma
• Findings on physical examination may include shortness of breath, chest tightness, wheezing
and coughing, signs of respiratory distress such as the use of accessory muscles of respiration
and intercostal recession, hyper-inflated chest.
07-OCSEs-Paediatrics__Geriatrics_5e ccp.indd 175 19/03/2015 13:05
Clinical
Skills
for
OSCEs
176 Station 64
Paediatric examination: abdomen
Read in conjunction with Station 22.
Before starting
• Introduce yourself to the child and parent, and confirm the child’s name and date of birth.
• Explain the examination and ask for consent to carry it out.
• Position the child so that he is lying flat and expose his abdomen as much as possible (custom-
arily ‘nipples to knees’, although this is not appropriate in an OSCE setting).
• Ensure that he is comfortable.
The examination
General inspection
• From the end of the couch, observe the child’s general appearance:
–
– does the child look his age? Ask to look at the growth chart
–
– nutritional status
–
– state of health/other obvious signs
• Inspect the abdomen noting any:
–
– distension
–
– localised masses
–
– scars and skin changes
• Look around the child for clues such as oxygen, tubes, drains, etc.
A distended abdomen is often a normal finding in younger infants.
Inspection and examination of the hands
• Take both hands looking for:
–
– temperature and colour
–
– clubbing (malabsorption, inflammatory bowel disease, primary biliary cirrhosis)
–
– nail signs
• Take the pulse.
Inspection and examination of the head, neck, and upper body
• Inspect the sclera and conjunctivae for signs of jaundice or anaemia.
• Inspect the mouth, looking for ulcers (Crohn’s disease), angular stomatitis (nutritional defi-
ciency), atrophic glossitis (iron deficiency, vitamin B12 deficiency, folate deficiency), furring of
the tongue (loss of appetite), and the state of the dentition.
• Examine the neck for lymphadenopathy.
Palpation of the abdomen
• Abdominal palpation can be difficult in children if they do not relax the abdominal muscles.
Attempt to distract the child by handing him a toy or try to make him relax by coaxing him into
palpating his abdomen and then copying his actions.
07-OCSEs-Paediatrics__Geriatrics_5e ccp.indd 176 19/03/2015 13:05
Paediatrics
and
geriatrics
177
Station 64 Paediatric examination: abdomen
Ask the child if he has any tummy pain and keep your eyes on his face as you begin
palpating his abdomen.
• Light palpation – begin by palpating furthest from the area of pain or discomfort and systemati-
cally palpate in the four quadrants and the umbilical area. Look for tenderness, guarding, and
any masses.
• Deep palpation – for greater precision. Describe and localise any masses.
Palpation of the organs
• Liver – starting in the right lower quadrant, feel for the liver edge using the flat of your hand.
Note that in younger infants the liver edge is normally palpable (1cm).
• Spleen – palpate for the spleen as for the liver, starting in the right lower quadrant.
• Kidneys – position the child close to the edge of the bed and ballot each kidney using the tech-
nique of deep bimanual palpation. Beyond the neonatal period, it is unlikely that you should
be able to feel a normal kidney.
Percussion
• Percuss the liver area, also remembering to detect its upper border.
• Percuss the suprapubic area for dullness (bladder distension).
• If the abdomen is distended, test for shifting dullness (ascites).
Auscultation
• Auscultate in the mid-abdomen for abdominal sounds. Listen for 30 seconds at least before
concluding that they are hyperactive, hypoactive, or absent.
Examination of the groins and genitalia
• Inspect the groins for hernias and, in boys, examine the testes (this is particularly important in
younger infants).
• Note that examination of the groins and genitalia may only need to be mentioned, as it is not
usually carried out in the OSCE setting.
Rectal examination
• PR is not routine practice in paediatrics and should be avoided unless specifically indicated.
After the examination
• Ask to test the urine.
• Cover the child.
• Ask the child and parent if they have any questions or concerns.
• Indicate that you would test the urine and order some key investigations, e.g. ultrasound scan,
FBC, LFTs, UEs, and clotting screen.
• Thank the child and parent.
• Summarise your findings and offer a differential diagnosis.
07-OCSEs-Paediatrics__Geriatrics_5e ccp.indd 177 19/03/2015 13:05
Clinical
Skills
for
OSCEs
178 Station 64 Paediatric examination: abdomen
Conditions most likely to come up in a paediatric abdomen station
Constipation
• The majority of children with constipation do not have a medical disorder causing the
constipation. Many things can contribute to constipation such as avoidance of the toilet (for
various reasons), changes in diet or poor diet, and dehydration.
• Medical disorders that can cause chronic constipation include hypothyroidism, diabetes, cystic
fibrosis, and disorders of the nervous system such as cerebral palsy and mental retardation.
Constipation since birth may be from Hirschsprung disease (a.k.a. congenital aganglionic
megacolon).
• Other causes of chronic constipation include depression, drug side-effects, coercive toilet
training, and sexual abuse.
Coeliac disease
• An autoimmune disorder of the small intestine that occurs in genetically predisposed people
of all ages, but often from infancy. It is caused by a reaction to gliadin, a prolamin (gluten
protein) found in wheat, barley, and rye, and results in villous atrophy.
• Symptoms include abdominal pain and cramping, diarrhoea, steatorrhoea, failure to thrive,
and fatigue. Signs include short stature, a distended abdomen, wasted buttocks, mouth ulcers,
and signs of anaemia.
Kidney transplant
• A kidney transplant has been required as a consequence of end-stage renal failure, which
may itself have been a consequence of a birth defect, a structural malformation, a hereditary
disease such as polycystic kidney disease or Alport syndrome, a glomerular disease, or a
systemic disease such as diabetes or lupus.
07-OCSEs-Paediatrics__Geriatrics_5e ccp.indd 178 19/03/2015 13:05
179
Paediatrics
and
geriatrics
Station 65
Paediatric examination: gait and neurological
function
Before starting
• Introduce yourself to the child and parent, and confirm the child’s name and date of birth.
• Explain the examination and ask for consent to carry it out.
• Ensure that he is comfortable.
Examination of neurological function in children is principally a matter of observation.
If the child is old enough to obey commands, a more formal assessment of gait and
neurological function can be carried out, as in adults.
The examination
Neurological overview
• A brief developmental assessment should be performed to enable you to gauge the child’s
subsequent performance. Ask the parent the child’s age and if there are any concerns about
the child’s vision and/or hearing.
Gait and movement
• If the child is too young to walk, observe him crawling or playing. Is he using all his limbs
equally?
• If possible, observe the child walking and running. Common abnormalities of gait in children
include:
–
– scissoring or tiptoeing gait: suggestive of cerebral palsy or of Duchenne muscular dystrophy
–
– broad-based gait: suggestive of a cerebellar disorder
–
– limp: limps have many causes including dislocated hip, trauma, sepsis, and arthritis
• If possible, observe the child rising from the floor. The Gower sign (the child rising from the floor
by ‘climbing’ up his legs) is suggestive of Duchenne muscular dystrophy.
Inspection
• Inspect all four limbs, in particular looking for muscle wasting or hypertrophy. Hypertrophy of
the calves is suggestive of Duchenne muscular dystrophy.
Tone
• Assess tone and range of movement in all four limbs.
• In younger children also assess truncal tone by trying to get the child to sit unsupported.
• In young infants test head lag by lying the infant supine and pulling up his upper body by the
arms.
Power
• Observe the child playing, and look for appropriate anti-gravity movement. A more formal
assessment can be carried out if the child is old enough to follow instructions.
Reflexes
• Check all reflexes as in the adult. In a younger child, prefer your finger to a tendon hammer.
Practice is the key!
07-OCSEs-Paediatrics__Geriatrics_5e ccp.indd 179 19/03/2015 13:05
Clinical
Skills
for
OSCEs
180 Station 65 Paediatric examination: gait and neurological function
• Note that eliciting the Babinsky sign (extensor plantar reflex) is not very discriminative
in children.
Co-ordination
• If the child is old enough to carry out instructions, assess co-ordination by the finger-to-nose
test or just by asking the child to jump or hop. If the child cannot carry out instructions, give him
toys or some bricks and assess his co-ordination by observing him at play.
Sensation
• Indicate that you would test sensation.
Cranial nerves
• Indicate that you would test the cranial nerves – where possible this is done as in the adult.
After the examination
• Thank the parent and child.
• If appropriate, indicate that you would order some key investigations, e.g. CT, MRI, nerve con-
duction studies, electromyography, etc.
• Summarise your findings and offer a differential diagnosis.
Conditions most likely to come up in a paediatric gait and neurological function station
Cerebral palsy
• In most cases of cerebral palsy there is a spastic, scissoring gait. The hips, knees, and ankles
are flexed, producing a crouching and tiptoeing demeanour. In addition, the hips are
adducted and internally rotated, such that the knees cross or hit each other in a scissor-like
movement. There is a similar pattern of flexion and adduction in the upper limbs.
Duchenne muscular dystrophy
• Severe recessive X-linked form of muscular dystrophy.
• There is rapid progression of muscle degeneration leading to generalised and symmetrical
weakness of the proximal muscles.
• Symptoms and signs include muscle wasting, pseudohypertrophy of the calves, waddling gait,
toe walking, frequent falls, poor endurance, difficulties running, jumping, or climbing stairs,
difficulties standing unaided, and positive Gower’s sign, with the child ‘walking’ his hands up
his legs to stand upright.
Myotonic dystrophy
• Autosomal dominant progressive and highly variable multisystemic disease characterised by
muscle wasting, myotonia (delayed relaxation of the muscles after voluntary contraction),
cataracts, heart conduction defects, endocrine defects, and cognitive abnormalities, amongst
others.
• The first muscles to be affected by wasting and weakness are typically those of the face and
neck (leading to a ‘fish face’ and ‘swan neck’ appearance), hands, forearms, and feet.
• The disease commonly affects adults but it has several forms and can also present as early as
birth.
Ex-premature infant
07-OCSEs-Paediatrics__Geriatrics_5e ccp.indd 180 19/03/2015 13:05
181
Paediatrics
and
geriatrics
Station 66
Infant and child Basic Life Support
Specifications: A mannequin in lieu of an infant or child.
[Note] For the purposes of Basic Life Support, an infant is defined as being under 1 year, and a child as being between 1
year and puberty.
Figure 42. Paediatric Basic Life Support algorithm. Resuscitation Guidelines 2010.
• Ensure the safety of the rescuer and child
• Check the child’s responsiveness by gently stimulating the child and asking loudly, ‘Are you all
right?’
Do not shake infants or children with suspected cervical spine injuries.
UNRESPONSIVE ?
Shout for help
Shout for help
Open airway
NOT BREATHING NORMALLY ?
NO SIGNS OF LIFE?
5 rescue breaths
15 chest compressions
2 rescue breaths
15 compressions
Call resuscitation team
07-OCSEs-Paediatrics__Geriatrics_5e ccp.indd 181 19/03/2015 13:05
Clinical
Skills
for
OSCEs
182 Station 66 Infant and child Basic Life Support
• If the child responds by answering or moving:
–
– leave the child in the position in which you find him (provided he is not in further danger)
–
– check his condition and get help if needed
–
– reassess him regularly
• If the child does not respond:
–
– shout for help
–
– turn the child onto his back and open his airway by using the head-tilt, chin-lift technique
(see Station 91); if you have difficulty opening the airway using the head-tilt, chin-lift tech-
nique, try the jaw-thrust technique (see Station 93)
If you suspect that there may have been injury to the neck, try to open the airway using
chin lift or jaw thrust alone. If this is unsuccessful, add head tilt a small amount at a time
until the airway is open.
• Holding the child’s airway open, put your face close to his mouth and look along his chest.
Listen, feel, and look for breathing for no more than 10 seconds.
• If the child is breathing normally:
–
– turn him into the recovery position
–
– send for help
–
– check for continued breathing
• If he is not breathing normally or is making agonal gasps (infrequent, irregular breaths):
–
– carefully remove any obvious airway obstruction
–
– give 5 initial rescue breaths
• While performing the rescue breaths, note any gag or cough response to your action.
• To deliver rescue breaths to a child over 1 year:
–
– ensure head tilt and chin lift
–
– pinch the soft part of his nose closed with the index finger and thumb of the hand on his
forehead
–
– allow his mouth to open, but maintain chin lift
–
– take a breath and place your lips around his mouth, making sure that you have a good seal
–
– blow steadily into his mouth over 1–1.5 seconds, watching for his chest to rise
–
– maintaining head tilt and chin lift, take your mouth away from the victim and watch for his
chest to fall
–
– take another breath and repeat this sequence 4 more times
• To deliver rescue breaths to an infant:
–
– ensure a neutral position of the head and apply chin lift
–
– take a breath and cover the mouth and nasal apertures of the infant with your mouth,
making sure you have a good seal
–
– blow steadily into the infant’s mouth and nose over 1–1.5 seconds so that the chest rises
visibly
–
– maintaining head tilt and chin lift, take your mouth away from the victim and watch for his
chest to fall
–
– take another breath and repeat this sequence 4 more times
• If you have difficulty achieving an effective breath, the airway may be obstructed.
–
– open the child’s mouth and remove any visible obstruction
–
– ensure that there is adequate head tilt and chin lift, but also that the neck is not over
extended
–
– if the head-tilt, chin-lift method has not opened the airway, try the jaw thrust method
–
– make up to 5 attempts to achieve effective rescue breaths. If still unsuccessful, move on to
chest compression
• Check for signs of a circulation (signs of life).
–
– take no more than 10 seconds to check for signs of circulation such as movement, coughing,
or normal breathing (but not agonal gasps)
07-OCSEs-Paediatrics__Geriatrics_5e ccp.indd 182 19/03/2015 13:05
Paediatrics
and
geriatrics
183
Station 66 Infant and child Basic Life Support
–
– check the pulse but take no longer than 10 seconds to do this. In a child check the carotid
pulse, in an infant check the brachial pulse
• If you are confident that you have detected signs of circulation:
–
– continue rescue breathing, if necessary, until the child starts breathing effectively on his own
–
– turn the child into the recovery position if he remains unconscious
–
– reassess the child frequently
• If there are no signs of life, unless you are CERTAIN that you can feel a definite pulse of greater
than 60 beats per minute within 10 seconds, start chest compression. To deliver chest compres-
sions to all children, compress the lower third of the sternum.
–
– locate the xiphisternum and compress the sternum one finger’s breadth above this
–
– compress the sternum by one-third of the depth of the chest or more. In infants, use the tips
of two fingers or, if there are two or more rescuers, use the encircling technique with two
thumbs. In children, use the heel of one hand or, in larger children, the heels of both hands,
as in adults
–
– aim for a rate of 100–120 compressions per minute
• After 15 compressions, tilt the head, lift the chin, and give two effective breaths.
• Continue compressions and breaths in a ratio of 15:2.
• Continue resuscitation until the child shows signs of life (spontaneous respiration, pulse, move-
ment) or further help arrives or you become exhausted.
When to go for assistance
• If more than one rescuer is present, one rescuer begins resuscitation whilst another goes for
assistance.
• If only one rescuer is present, he should undertake resuscitation for 1 minute before going for
assistance. It may be possible for him to carry the infant or child whilst going for assistance.
• The exception to this rule is in the case of a child with a witnessed, sudden collapse when the
rescuer is alone. In this case the cause is likely to be an arrhythmia and the child may need
defibrillation. Go for assistance immediately if there is no one to go for you.
Adapted from Resuscitation Council (UK), 2010 Guidelines.
07-OCSEs-Paediatrics__Geriatrics_5e ccp.indd 183 19/03/2015 13:05
Clinical
Skills
for
OSCEs
184 Station 67
Child immunisation programme
The instructions for this station may involve explaining the immunisation programme to a parent, or
talking to an anxious parent about the pros and cons of the MMR vaccine. This station covers the facts,
see Station 116: Explaining skills for the method.
Table 26. The UK Immunisation Schedule
Age Vaccine Specifications
2 months DTP triple vaccine (diphtheria, tetanus and
pertussis)
Hib (Haemophilus influenzae type b)
Polio
1 injection
PCV (pneumococcal conjugate vaccine) 1 injection
Rotavirus Oral
3 months DTP + Hib + polio (2nd dose) 1 injection
MenC (meningitis C) 1 injection
Rotavirus (2nd dose) Oral
4 months DTP + Hib + polio (3rd dose) 1 injection
PCV (2nd dose) 1 injection
12–13 months Hib/MenC (4th dose of Hib and 2nd dose of
MenC)
1 injection
MMR (measles, mumps, and rubella) 1 injection
PCV (3rd dose) 1 injection
2 and 3 years H. influenzae Nasal spray, annual
Around 3 years,
4 months (pre-school
age booster)
DTP  polio (booster) 1 injection
MMR (2nd dose) 1 injection
Around 12–13 years
(girls)
HPV (human papillomavirus) 3 injections over 6 months
Around 13–15 years MenC (booster) 1 injection
Around 13–18 years Diphtheria (low dose) + tetanus + polio 1 injection
Adults H. influenzae 1 injection annually if aged
≥65 or in a high-risk group
PPV (pneumococcal polysaccharide vaccine) 1 injection at/after age 65
Shingles 1 injection at age 70
A vaccine is a small sample of an attenuated pathogen, the function of which is to prime the body’s
immune system to recognise the pathogen and to mount a successful defence against it. Vaccines are
very effective both at the individual and at the population level. As a result of the UK immunisation
programme, a number of potentially deadly infectious diseases have become uncommon in the UK.
07-OCSEs-Paediatrics__Geriatrics_5e ccp.indd 184 19/03/2015 13:05
Paediatrics
and
geriatrics
185
Station 67 Child immunisation programme
That having been said, they are still very common in some other countries, from where they may be
reintroduced to unvaccinated children in the UK. Vaccines can and often do have side-effects, but
these are usually very mild. They include redness and swelling at the injection site, flu-like symptoms,
and a fever. Some vaccines are given together in a single injection so as to minimise the number of
injections required and to prevent delayed or missed vaccinations. There is no added benefit to giving
them separately.
The MMR controversy
• Measles can cause pneumonia, fits, encephalitis, sub-acute sclerosing panencephalitis, and
death.
• Mumps can cause meningitis, encephalitis, deafness, and sterility.
• Rubella in pregnancy can cause severe damage to the foetus.
• The MMR vaccine is safe and effective, and more than 500 million doses of the vaccine have
been given since 1972.
• Common side-effects of the MMR vaccine are a sore injection site and flu-like symptoms. Very
rarely, an allergic reaction can occur.
• There is no evidence to support a distinct syndrome of MMR-induced autism or inflammatory
bowel disease.
• Separate administration of the measles, mumps, and rubella vaccines provides no added
benefit over administration of the combined MMR vaccine, but means three injections and
potentially delayed or missed vaccinations.
07-OCSEs-Paediatrics__Geriatrics_5e ccp.indd 185 19/03/2015 13:05
Clinical
Skills
for
OSCEs
186 Station 68
Geriatric history
Before starting
• Introduce yourself to the patient and confirm his name and date of birth.
• Explain that you are going to ask him some questions to determine the nature of his problems,
and obtain consent.
• Ensure that he is comfortable.
• If he has glasses or a hearing aid, ensure that these are being worn.
• If appropriate, ask if you can take a collateral history from a carer.
The history
Presenting complaint
• Enquire about the patient’s presenting complaint, if any. Use open questions and active listen-
ing.
• Explore any symptoms, e.g. onset, duration, previous episodes, pain, associated symptoms.
• Enquire about the effects that his symptoms are having on his everyday life.
• Elicit his ideas, concerns, and expectations.
[Note] Elderly patients may attribute symptoms to normal ageing and may not offer them unless specifically asked.
Then aim to cover:
• Physical independence, e.g. describe a typical day.
• Functional assessment: can he stand up and walk, climb the stairs, get on and off the toilet, get
in and out of the bathtub, dress, cook/clean/shop, and manage his finances and administration?
• Daily diet, including nausea, vomiting, and change in appetite or weight.
• Urinary and faecal incontinence.
• Mood (e.g. “How are you keeping in your spirits?”). Also ask about sleep and appetite.
• Memory and cognitive impairment.
• Dizziness/falls (see Station 31: History of ‘funny turns’).
• Vision (corrective aids, accidents, difficulty reading, feeding, dressing, grooming, driving, and
recognising pills or items).
Past medical history
• Current, past, and childhood illnesses. Ask about rheumatic fever and polio.
• Surgery.
Drug history
• Prescribed medication and compliance (note that polypharmacy can lead to adverse interactions).
• Over-the-counter drugs.
• Smoking and alcohol use.
• Allergies.
Family history
• Parents, siblings, and children. Ask specifically about diabetes, Alzheimer’s disease, and cancer.
07-OCSEs-Paediatrics__Geriatrics_5e ccp.indd 186 19/03/2015 13:05
Paediatrics
and
geriatrics
187
Station 68 Geriatric history
Social history
• Occupation or previous occupation.
• Living arrangements: housing, heating, lighting, stairs, toileting, cooker and smoke alarm, slip-
pery bathtubs, loose rugs, adaptive or home safety aids, e.g. grab bars in the bathroom, stair lift,
raised toilet seat, shower stool, bedside commode.
• Carers and support services.
• Social interaction: family, friends, clubs, etc. If appropriate, ask, “Who will help you if you become
ill?” and, “Who should make decisions for you if you become too ill to speak for yourself?”
After taking the history
• Ask the patient if there is anything that he might add that you have forgotten to ask about.
• Ask if he has any questions or concerns.
• Thank him.
• Indicate that you would like to examine the patient and order some investigations.
• Formulate a problem list and suggest treatment options.
07-OCSEs-Paediatrics__Geriatrics_5e ccp.indd 187 19/03/2015 13:05
Clinical
Skills
for
OSCEs
188 Station 69
Geriatric physical examination
Examining a patient in old age (65 years old) is very similar to examining a patient at any other age.
If asked to examine a patient in old age, important features to look out for or aspects to consider are:
Observations
Temperature, pulse, blood pressure (lying and standing), respiratory rate, height, weight.
General inspection
Nutritional status, posture, tremor, gait, aids, e.g. for walking or hearing.
Skin
Pressure sores, senile keratoses, senile purpura, scars, bruises, pre-malignant or malignant lesions.
Eyes, ears, nose and throat
Vision (including fundoscopy), hearing, mouth, throat.
Musculoskeletal system
Arthritis, muscle wasting, contractures, tenderness, bone pain, range of motion in different joints.
Cardiovascular system
Arrhythmias, added sounds, murmurs, carotid bruits, pedal or peripheral oedema, absent peripheral
pulses, gangrene.
Respiratory system
Chest expansion, basal crackles (may be difficult to hear because of basilar rales/crackles).
Abdomen
Organomegaly, bladder distension, abdominal aortic aneurysm, frequency and quality of abdominal
sounds, rectal examination.
Breast and genitourinary
Malignancy.
Neurological examination
Tone, power, sensation, reflexes, gait, co-ordination.
07-OCSEs-Paediatrics__Geriatrics_5e ccp.indd 188 19/03/2015 13:05
189
Obstetrics,
gynaecology,
and
sexual
health
Station 70
Obstetric history
Specifications: You may be asked to focus on only a certain aspect or certain aspects of the obstetric
history.
Before starting
• Introduce yourself to the patient, and confirm her name and date of birth.
• Explain that you are going to ask her some questions to uncover the nature and background of
her obstetric complaint, and obtain consent.
• Ensure that she is comfortable.
The history
Presenting problem (presenting complaint)
Ask about the presenting problem (if any) in some detail, e.g. onset, duration, pain, bleeding, associated
symptoms, previous occurrences.
History of the present pregnancy
• Determine the duration of gestation and calculate the expected due date (EDD).
–
– ask about the date of the patient’s last menstrual period (LMP)
–
– ask if her periods had been regular prior to her LMP
–
– ask if she had been on the oral contraceptive pill (OCP): if yes, determine when she stopped
taking it and the number of periods she had before becoming pregnant
–
– determine the duration of gestation and calculate the EDD (to calculate the EDD, add 9
months and 7 days to the date of the LMP)
• Ask about foetal movements and, if present, about any changes in their frequency.
• Take a detailed history of the pregnancy, enquiring about:
First trimester
–
– date and method of pregnancy confirmation
–
– was the pregnancy planned or unplanned? If it was unplanned, is it desired?
–
– symptoms of pregnancy (e.g. sickness, indigestion, headaches, dizziness…)
–
– bleeding during pregnancy
–
– ultrasound scan (10–12/52)
–
– chorionic villus sampling (10–13/52)
–
– type of antenatal care (e.g. shared care, midwife-led care, domino scheme, consultant-led
scheme)
Second trimester
–
– amniocentesis (16–18/52)
–
– anomaly scan (18–20/52)
–
– quickening (16–18/52)
08-OCSEs-Obstet_Gynae_5e ccp.indd 189 19/03/2015 13:13
Clinical
Skills
for
OSCEs
190 Station 70 Obstetric history
Third trimester
–
– antenatal clinic findings – you must ask about blood pressure and proteinuria
–
– vaginal bleeding
–
– hospital admissions
History of previous pregnancies (past reproductive history)
• Ask the patient if she has had any previous pregnancies.
• For each previous pregnancy, ask about:
The pregnancy, including
–
– the date (year) of birth
–
– the duration of the pregnancy and any problems e.g. placenta praevia, abruption, pre-
eclampsia
–
– the mode of delivery and any problems e.g. ventouse or forceps delivery
–
– the outcome
The child, including
–
– birth weight
–
– problems after birth
–
– present condition
Do not forget to also ask about miscarriages, stillbirths, and terminations.
Gynaecological history
• Take a focused gynaecological history
• Ask about the date and result of the last cervical smear test.
Past medical history
• Current, past, and childhood illnesses. Ask specifically about hypertension, epilepsy, diabetes
and DVT.
• Surgery.
• Recent visits to the doctor.
Drug history
• Prescribed medication.
• Over-the-counter drugs.
• Folic acid supplements (should be taken from 3 months prior to conception to 3 months into
pregnancy).
• Rhesus antibody injections (if required).
• Smoking.
• Alcohol use.
• Recreational drug use.
• Allergies.
Family history
• Parents, siblings, and children. Has anyone in the family ever had a similar problem?
• Is there a family history of hypertension, heart disease, or diabetes?
• “Is there a history of twins or triplets in your family or in your partner’s family?”
08-OCSEs-Obstet_Gynae_5e ccp.indd 190 19/03/2015 13:13
Obstetrics,
gynaecology,
and
sexual
health
191
Station 70 Obstetric history
Social history
• Support from the partner and/or family.
• Employment.
• Income and financial support.
• Housing.
After taking the history
• Ask the patient if there is anything she might add that you have forgotten to ask about.
• Thank the patient.
• If asked, summarise your findings and offer a differential diagnosis.
Conditions most likely to come up in an obstetric history station
Ectopic pregnancy
• In about 1% of pregnancies the fertilised egg implants outside the uterine cavity, most often
in the Fallopian tube, but also in the cervix, ovaries, and abdomen. Clinical presentation occurs
at a mean of about 7 weeks after the LMP, with a range of 5–8 weeks. Symptoms principally
involve lower abdominal pain which may be worse upon moving and straining, and vaginal
and internal bleeding which can be life-threatening. The principal differential is from normal
pregnancy and miscarriage.
Miscarriage
• In about 15–20% of all recognised pregnancies, the pregnancy ends spontaneously at a stage
when the embryo or foetus is incapable of surviving (before approximately 20–22 weeks
of gestation, although most miscarriages occur prior to 13 weeks of gestation). The most
common symptoms, which can range from very mild to severe, are cramping and vaginal
bleeding with blood clots. The principal differential is from ectopic pregnancy.
Placenta praevia
• In about 0.5% of pregnancies, usually during the second or third trimester, the placenta
attaches to the uterine wall close to or covering the cervix. This classically leads to painless,
bright red vaginal bleeding that increases in frequency and intensity over a period of weeks.
Placental abruption
• In about 1% of pregnancies the placenta partially or completely separates from the uterus,
depriving the baby of oxygen and nutrients and causing heavy bleeding in the mother.
Placental abruption can begin at any time after 20 weeks of gestation, classically with variable
amounts of vaginal bleeding, abdominal pain, back pain, uterine tenderness and contraction,
and rapid and repetitive uterine contractions.
False labour (Braxton Hicks contractions)
Normal pregnancy
08-OCSEs-Obstet_Gynae_5e ccp.indd 191 19/03/2015 13:13
Clinical
Skills
for
OSCEs
192 Station 71
Obstetric examination
Specifications: Most likely an anatomical model in lieu of a patient.
Before examining the patient
• Introduce yourself to the patient, and confirm her name and date of birth.
• Explain the examination and obtain consent.
• Indicate that you would weigh the patient, take her blood pressure (pre-eclampsia), dipstick her
urine (pre-eclampsia, gestational diabetes) and ask her to empty her bladder.
• Position the patient so that she is lying supine (she can sit up if she finds lying supine uncom-
fortable).
• Ask her to expose her abdomen.
• Ensure that she is comfortable.
The examination
General inspection
Carry out a general inspection from the end of the couch.
Inspection of the abdomen
• Abdominal distension and symmetry. Is the umbilicus everted?
• Foetal movements (after 24 weeks).
• Linea nigra (brownish streak running vertically along the midline from the umbilicus to the
pubis).
• Striae gravidarum (purplish stretch marks from the current pregnancy).
• Striae albicans (silvery stretch marks from previous pregnancies).
• Scars.
Palpation of the abdomen
• Enquire about pain before palpating the abdomen.
• Then, facing the mother, determine the:
–
– size of the uterus
–
– liquor volume (normal, polyhydramnios, oligohydramnios)
–
– number of foetuses
–
– size of the foetus(es)
–
– lie
–
– presenting part
• Turning to face the mother’s feet, determine the:
–
– engagement
08-OCSEs-Obstet_Gynae_5e ccp.indd 192 19/03/2015 13:13
Obstetrics,
gynaecology,
and
sexual
health
193
Station 71 Obstetric examination
Table 27. Some important obstetric definitions
Lie. The relationship of the long axis of the foetus to that of the uterus, described as longitudinal,
transverse, or oblique.
Presenting part. The part of the foetus that is in relation with the pelvic inlet, e.g. cephalic/breech for
a longitudinal lie or shoulder/arm for a transverse/oblique lie.
Engagement. During engagement, the presenting part descends into the pelvic inlet in readiness for
labour. Engagement is usually described in fifths of head palpable above the pelvic inlet, although
sometimes the presenting part may not be the head. Engagement usually occurs after 37 weeks of
gestation, before which the foetus is said to be ‘floating’ or ‘ballotable’.
Although not usually performed until labour, indicate that you could also determine the position,
station, and attitude of the foetus. Position refers to the relationship of a point of reference on the
foetus to the quadranted pelvis; station (see Figure 43) refers to the depth of the presenting part in
relation to the ischial spines (from -5 to +5); attitude refers to the degree of flexion of the foetus’ body
parts.
Figure 43. Measurement of station.
Symphyseal–fundal height (SFH)
Using a tape measure, measure from the mid-point of the symphysis pubis to the top of the uterus.
From 20 to 38 weeks of gestation, the SFH in centimetres approximates to the number of weeks of
gestation ± 2 (see Figure 44).
Auscultation
Listen to the foetal heart by placing a Pinard stethoscope over the foetus’ anterior shoulder and
estimate the heart rate (usually 110–160 bpm). Ensure that your hands are free from the abdomen.
5
cm
Perineum
Ischial
spine
4
3
2
1
1
2
3
4
5
0
08-OCSEs-Obstet_Gynae_5e ccp.indd 193 19/03/2015 13:13
Clinical
Skills
for
OSCEs
194 Station 71 Obstetric examination
After the examination
• Ask to record the blood pressure (pre-eclampsia) and to test the urine for protein (pre-
eclampsia) and glucose (gestational diabetes).
• Cover the patient up.
• Thank her and offer to help her up.
• Summarise your findings.
38
36
32
28
22
20
(weeks)
Figure 44. Expansion
of the uterus during
pregnancy.
08-OCSEs-Obstet_Gynae_5e ccp.indd 194 19/03/2015 13:13
195
Obstetrics,
gynaecology,
and
sexual
health
Station 72
Gynaecological history
Specifications: You may be asked to circumscribe your questioning to certain aspects of the
gynaecological history only.
Before starting
• Introduce yourself to the patient, and confirm her name and date of birth.
• Explain that you are going to ask her some questions to uncover the nature and background of
her gynaecological complaint, and obtain consent.
• Ensure that she is comfortable.
The history
Presenting complaint and history of presenting complaint
• Ask about the presenting problems (if any) in some detail, e.g. onset, duration, pain, bleeding,
associated symptoms, previous occurrences. Explore the patient’s ideas, concerns and expecta-
tions (ICE). Then use the mnemonic ‘MOSS’ to ask about:
• Menstruation:
–
– age at menarche
–
– regularity of the menses
–
– dysmenorrhoea
–
– date of LMP – did it seem normal?
–
– inter-menstrual, post-menopausal, post-coital bleeding
• Obstetric history
• Sexual/Smear:
–
– coitus, e.g. “Are you sexually active?” “When was the last time you had sexual intercourse?”
–
– dyspareunia
–
– use of contraception
–
– date and result of the last cervical smear test
• Symptoms:
–
– vaginal discharge – for any discharge, ask about amount, colour, smell, itchiness
–
– vaginal prolapse
–
– urinary incontinence
Past medical history
• Past gynaecological history.
• Past reproductive history: previous pregnancies in chronological order, including terminations
and miscarriages.
• Past medical history:
–
– current, past, and childhood illnesses
–
– surgery
–
– recent visits to the doctor
08-OCSEs-Obstet_Gynae_5e ccp.indd 195 19/03/2015 13:13
Clinical
Skills
for
OSCEs
196 Station 72 Gynaecological history
Drug history
• Prescribed medication, including, if appropriate, oral contraceptives and HRT.
• Over-the-counter medication.
• Recreational drug use.
• Allergies.
Family history
• Ask about parents, siblings, children. Has anyone in the family had a similar problem? In the
case of a suspected STD, don’t forget to ask about the partner.
Social history
• Employment.
• Housing and home-help.
• Travel.
• Smoking.
• Alcohol use.
After taking the history
• Ask the patient if there is anything she might add that you have forgotten to ask about.
• Thank the patient.
• Summarise your findings and offer a differential diagnosis.
Conditions most likely to come up in a gynaecological history station
Menopause
• The permanent cessation of the primary functions of the ovaries, namely, the ripening and
release of ova and the release of hormones that cause both the creation and the subsequent
shedding of the uterine lining. It normally occurs gradually over a period of years during the
late 40s or early 50s.
• Signs and symptoms may include irregular menses, hot flushes and night sweats, increased
stress, mood changes, sleep disturbances, atrophy of genitourinary tissue, vaginal dryness, and
breast tenderness.
Amenorrhoea
• The absence of a menstrual period in a pre-menopausal woman for a period of 3 months (or 9
months in women with a history of oligomenorrhoea). It is a sign with many causes including
normal pregnancy, lactation, and oral contraceptives.
• Primary amenorrhoea (menstruation has not started by age 16 or age 14 if there is a lack
of secondary sexual characteristics) is often related to chromosomal or developmental
abnormalities.
• Secondary amenorrhoea (menstruation has started but then stops) is often related to
disturbances in the hypothalamo–pituitary axis due to, for example, stress, excessive dieting or
exercising, PCOS, or a prolactin-secreting pituitary tumour; hypothyroidism; certain drugs such
as antipsychotics and corticosteroids; intrauterine scar formation; premature menopause.
08-OCSEs-Obstet_Gynae_5e ccp.indd 196 19/03/2015 13:13
Obstetrics,
gynaecology,
and
sexual
health
197
Station 72 Gynaecological history
Dysmenorrhoea
• Severe uterine pain possibly radiating to the back and thighs either preceding menstruation
by several days or accompanying it. Associated symptoms might include menorrhagia, nausea
and vomiting, diarrhoea, headache, dizziness, fainting, and fatigue.
• Secondary dysmenorrhoea is diagnosed in the presence of an underlying cause, commonly
endometriosis or uterine fibroids.
Menorrhagia
• Abnormally heavy (80 ml) and/or prolonged (7 days) menstrual period at regular intervals
possibly associated with dysmenorrhoea and signs and symptoms of anaemia. In many
cases, no cause can be found. However, common causes include hormonal imbalance, pelvic
inflammatory disease, endometriosis, uterine polyps or fibroids, adenomyosis, intrauterine
device, coagulopathy, and certain drugs such as NSAIDs and anticoagulants.
Inter-menstrual bleeding
• Bleeding between periods may be associated with sexual intercourse or may occur
spontaneously. Causes of spontaneous inter-menstrual bleeding include physiological
hormone fluctuations, oral contraceptives, cervical smear test, certain drugs such as
anticoagulants and corticosteroids, vaginitis, infection (e.g. chlamydia), cervicitis, cervical
polyps, uterine polyps or fibroids, and adenomyosis. It is particularly important to consider
cervical cancer, endometrial adenocarcinoma, threatened miscarriage, and ectopic pregnancy.  
Vaginal discharge (see Station 77)
Dyspareunia (see Station 77)
08-OCSEs-Obstet_Gynae_5e ccp.indd 197 19/03/2015 13:13
Clinical
Skills
for
OSCEs
198 Station 73
Gynaecological (bimanual) examination
Specifications: A pelvic model in lieu of a patient.
Before starting
• Introduce yourself to the patient, and confirm her name and date of birth.
• Explain the examination, reassuring the patient that, although it may feel uncomfortable, it
should not cause any pain.
• Obtain consent.
• Ask for a female chaperone.
• Confirm that the patient has emptied her bladder.
• Indicate that you would normally carry out an abdominal examination prior to a gynaecological
examination.
• Once undressed, ask the patient to lie flat on the couch, bringing her heels to her buttocks and
then letting her knees flop out.
• Ensure that she is comfortable, specifically enquiring about any areas of pain, and cover her up
with a drape.
The examination
Always tell the patient what you are about to do.
• Don a pair of non-sterile gloves and adjust the light source to ensure maximum visibility.
• Inspect the vulva, paying close attention to the pattern of hair distribution, the labia majora,
and the clitoris. Note any redness, ulceration, masses, or prolapse.
• Inspect the perineum, looking for episiotomy scars or perineal tears (fine white lines).
• Palpate the labia majora for any masses.
• Try to palpate Bartholin’s gland (the structure is not normally palpable).
• Lubricate the index and middle fingers of your gloved right hand.
• Use the thumb and index finger of your left hand to separate the labia minora.
• Insert the index and middle fingers of your right hand into the vagina at an angle of 45 degrees.
• Palpate the vaginal walls for any masses and for tenderness.
• Use your fingertips to palpate the cervix. Assess the cervix for size, shape, consistency, and
mobility. Is the cervix tender? Is it open?
• Palpate the uterus: place the palmar surface of your left hand about 5 cm above the symphysis
pubis and the internal fingers of your right hand behind the cervix and gently try to appose
your fingers in an attempt to ‘catch’ the uterus. Assess the uterus for size, position, consistency,
mobility, and tenderness. Can you feel any masses?
08-OCSEs-Obstet_Gynae_5e ccp.indd 198 19/03/2015 13:13
Obstetrics,
gynaecology,
and
sexual
health
199
Station 73 Gynaecological (bimanual) examination
• Palpate the right adnexae: place the palmar surface of your left hand in the right iliac fossa and
the internal fingers of your right hand in the right fornix and gently try to appose your fingers
in an attempt to ‘catch’ the ovary. Assess the ovary for any masses and for excitation tenderness
(look at the patient’s face).
• Use a similar technique for palpating the left adnexae.
• Once you have removed your internal fingers, inspect the glove for any blood or discharge.
After the examination
• Dispose of the gloves and wash your hands.
• Offer the patient a box of tissues and give her the opportunity to dress.
• Thank the patient.
• Ensure that she is comfortable.
• Indicate that you could also have carried out a speculum examination and taken a cervical
smear (see Station 74: Speculum examination and liquid based cytology test).
• Summarise your findings and offer a differential diagnosis.
Conditions most likely to come up in a gynaecological examination station
Uterine fibroids
• Common and often multiple benign tumour of the smooth muscle (myometrium) of the
uterus, typically found during the middle and later reproductive years. In most cases uterine
fibroids are asymptomatic, but in some cases they can cause menorrhagia, dysmenorrhoea,
inter-menstrual bleeding, dyspareunia, urinary frequency and urgency, and fertility problems.
Ovarian cyst
• Functional fluid-filled sacs within or on the surface of an ovary. Ovarian cysts are very
common, particularly in women of reproductive age, and are generally benign and
asymptomatic. Symptoms can include pelvic pain, pain during urination, defecation, or sexual
intercourse, urinary frequency, nausea and vomiting, abdominal fullness, breast tenderness,
and menstrual irregularities.
Figure 45. Technique for
bimanual examination
08-OCSEs-Obstet_Gynae_5e ccp.indd 199 19/03/2015 13:13
Clinical
Skills
for
OSCEs
200 Station 74
Speculum examination and
liquid based cytology test
Specifications: An anatomical model in lieu of a patient.
Before starting
• Introduce yourself to the patient, and confirm her name and date of birth.
• Explain the procedure, specifying that it may be uncomfortable but should not be painful.
• Obtain consent.
• Ask for a female chaperone.
• Gather the appropriate equipment.
• Confirm that the patient has emptied her bladder.
• Once undressed (from the waist down), ask her to lie flat on the couch, bringing her heels to her
buttocks and then letting her knees flop out.
• Ensure that she is comfortable, and cover her up with a drape.
The equipment
On a trolley, gather:
• Non-sterile gloves • Lubricant (K-Y jelly)
• Bivalve (Cusco) speculum • Cervical brush
• Pot of preservative solution
The procedure
• Verify the expiry date on the pot and indicate that you would label it, together with the cytol-
ogy request form, with the patient’s name, date of birth, and hospital number.
• Adjust the light source to ensure maximum visibility.
• Wash your hands and don the gloves.
• Inspect the vulva, paying close attention to the pattern of hair distribution, the labia majora,
and the clitoris. Note any redness, ulceration, masses, or prolapse.
• Warm the speculum’s blades in your palm or under warm water (unnecessary with plastic
blades).
• Place a small amount of K-Y jelly on either side of the speculum near the tip.
• Tell the patient that you are about to start, and ask her to relax and take deep breaths.
• With your non-dominant hand, part the labia to ensure all hair and skin are out of the way.
• With your other hand, slowly and gently insert the speculum with the screw facing sideways,
rotating it into position (screw upwards) and then opening it.
• Place the back of your non-dominant hand against her pubic area and gently open the specu-
lum to identify the cervix.
• Fix the speculum in the open position by tightening the screw.
A smear should not be taken if there is any bleeding or vaginal discharge.
• Insert the central bristles of the cervical brush into the endocervical canal and rotate it by 360
degrees in a clockwise direction five times.
08-OCSEs-Obstet_Gynae_5e ccp.indd 200 19/03/2015 13:13
Obstetrics,
gynaecology,
and
sexual
health
201
Station 74 Speculum examination and liquid based cytology test
• Immediately rinse the brush in the preservative solution by pushing it into the bottom of the
pot ten times, forcing the bristles apart. Then swirl the brush vigorously to further release
material.
• Inspect the brush to ensure that it is free of material.
• Discard the brush.
• Carefully remove the speculum. Hold it in the open position and completely unscrew it. Then
slowly withdraw it, rotating it sideways and allowing it to close as it is withdrawn.
After the procedure
• Dispose of the speculum and the gloves.
• Offer the patient a box of tissues and give her the opportunity to dress.
• Meanwhile, tighten the cap on the pot and place it in a specimen bag, along with the request
form.
• Warn the patient about the possibility of spotting/bleeding after the test.
• Tell her when and how she will receive the test results and the possible outcomes:
–
– normal test – do nothing
–
– inadequate or unsatisfactory test (e.g. due to inadequate number of cells in sample, infec-
tion, inflammation, menstruation) – repeat the test
–
– borderline or mild dyskaryosis – repeat the test in 6 months
–
– moderate or severe dyskaryosis – refer for colposcopy
• Tell her when her next screening test should take place (the test is carried out 3-yearly if
between 25 and 49 years old, and 5-yearly if between 50 and 64 years old).
• Ask her if she has any questions or concerns.
• Thank her.
08-OCSEs-Obstet_Gynae_5e ccp.indd 201 19/03/2015 13:13
Clinical
Skills
for
OSCEs
202 Station 74 Speculum examination and liquid based cytology test
Examiner’s questions
Staging of Cervical Intraepithelial Neoplasia (CIN)
CIN (cervical dysplasia) is the potentially premalignant transformation and abnormal growth
(dysplasia) of squamous cells of the surface of the cervix.
CIN I Mild dysplasia confined to basal 1/3 of the epithelium.
CIN II Moderate dysplasia confined to basal 2/3 of the epithelium.
CIN III Severe dysplasia that spans more than 2/3 of the epithelium (carcinoma in situ).
Staging of cervical cancer
Stages are described in terms of the International Federation of Gynecology and Obstetrics (FIGO)
system, which is based on clinical rather than surgical findings.
Stage 0 Carcinoma in situ. Tumour is present only in epithelium.
Stage I Invasive cancer with tumour strictly confined to cervix.
Stage II Invasive cancer with tumour extending beyond cervix or upper two-thirds of vagina, but
not onto pelvic wall.
Stage III Invasive cancer with tumour spreading to lower third of vagina or onto pelvic wall.
Stage IV Invasive cancer with tumour spreading to other parts of the body.
NB: Various sub-stages are also described.
08-OCSEs-Obstet_Gynae_5e ccp.indd 202 19/03/2015 13:13
203
Obstetrics,
gynaecology,
and
sexual
health
Station 75
Breast history
Before starting
• Introduce yourself to the patient, and confirm her name and date of birth.
• Explain that you are going to ask her some questions to uncover the nature of her complaint,
and obtain consent.
• Ensure that she is comfortable.
The history
• Is the patient pregnant or lactating?
Presenting complaint and history of presenting complaint
• Use open questions to ask about the presenting complaint. Explore the patient’s ideas, con-
cerns, and expectations (ICE).
• Ask specifically about pain, a lump in the breast, and nipple discharge.
For pain, use the mnemonic ‘SOCRATES’ to determine:
• Site.
• Onset.
• Character.
• Radiation.
• Associated signs and symptoms:
–
– local, e.g. lump, discharge, bleeding, skin changes (e.g. dimpling, peau d’orange, erythema,
ulceration), nipple retraction/inversion, change in breast size
–
– systemic e.g. fatigue, fever, night sweats, weight loss, chest or back pain
• Timing/cyclicity.
• Exacerbating and alleviating factors.
• Severity from 1 to 10.
For a lump, determine:
• Onset.
• Duration.
• Site (also ask about any lumps in the other breast, neck, or armpits).
• Size.
• Cyclicity.
• Texture, e.g. hard or soft, smooth or bumpy.
• Mobility.
• Temperature.
• Pain.
• Associated symptoms (local and systemic).
For nipple discharge, determine:
• Unilateral or bilateral.
• One duct or several.
• Amount.
• Colour, e.g. clear, milky, green.
• Blood.
• Consistency.
• Spontaneity.
08-OCSEs-Obstet_Gynae_5e ccp.indd 203 19/03/2015 13:13
Clinical
Skills
for
OSCEs
204 Station 75 Breast history
• Timing/cyclicity.
• Exacerbating and alleviating factors.
• Associated symptoms (local and systemic).
• Has the patient been breast-feeding?
Past medical history
• Previous breast problems and their outcomes.
• Breast tattoos/piercings.
• Breast implants.
• Regularity of menses and date and character of LMP.
• Current, past, and childhood illnesses.
• Surgery.
Drug history
• Prescribed medication, especially oral contraceptives and HRT. Note that certain drugs, e.g.
antipsychotics, can cause hyperprolactinaemia and galactorrhoea.
• Over-the-counter medications.
• Recreational drug use.
• Allergies.
Family history
• Parents, siblings, and children. Ask specifically about breast problems and cancers.
Social history
• Lifestyle, e.g. diet, exercise.
• Smoking.
• Alcohol use.
• Employment, past and present.
• Housing.
Systems enquiry
• If metastases are a possibility, be sure to enquire about systemic symptoms such as fatigue,
weight loss, breathlessness, bone pain, and jaundice.
After taking the history
• Ask the patient if there is anything that she might add that you have forgotten to ask about.
• Thank her.
• Summarise your findings and offer a differential diagnosis.
• State that you would like to examine the patient and, if appropriate, refer her to the one-stop
breast clinic for ‘Triple Assessment’:
1. History and examination.
2. Imaging: ultrasound (35 years), or mammography and ultrasound (35 years).
3. Histology/cytology: fine needle aspiration (FNAc) or core biopsy.
08-OCSEs-Obstet_Gynae_5e ccp.indd 204 19/03/2015 13:13
Obstetrics,
gynaecology,
and
sexual
health
205
Station 75 Breast history
Conditions most likely to come up in a breast history station
Fibroadenoma
• Non-cancerous mass of fibrous and glandular breast tissue.
• Most commonly affects young women (30 years old).
• Presents as a painless, smooth, solitary, firm (‘rubbery hard’), and highly mobile lump.
• Can be multiple and bilateral.
Fibrocystic disease
• Common condition characterised by non-cancerous lumps in the breast.
• Usually affects women aged 20–40 years.
• Can sometimes cause persistent or cyclical discomfort that peaks just before the menses.
• Lumps are smooth with defined edges, usually free-moving, and most often found in the
upper, outer quadrant of the breast.
• Lumps can be associated with a nipple discharge that is clear, white, or green in colour.
• The condition usually subsides after the menopause.
Breast cyst
• Benign, fluid-filled lumps in the breast tissue.
• Common in women aged 35 years or older, especially around the menopause.
• May be painful.
Mastitis
• Bacterial infection (often S. aureus) of the breast tissue, often in connection with pregnancy
and breast-feeding (puerperal mastitis).
• Signs and symptoms include fever, malaise, breast swelling and tenderness, skin redness
(often in a wedge-shaped pattern), and pain or a burning sensation either persistently or
specifically while breast-feeding.
• The most serious complication is breast abscess.
Breast abscess
• The lump and nearby area are red, hot, tender, and painful.
• Other signs and symptoms can include fever, purulent nipple discharge, and axillary
lymphadenopathy.
• Principal complications are gangrene and septicaemia.
Mammary duct ectasia
• Dilatation and inflammation of a milk duct.
• Most common in women in their 40s and 50s.
• Often asymptomatic. However, some women may have nipple discharge and breast
tenderness or inflammation in the area near the nipple.
Carcinoma
• Cancer originating from breast tissue, most commonly from the inner lining of milk ducts
(ductal carcinoma) or the lobules (lobular carcinoma).
• Signs and symptoms include an irregular breast lump or thickening, a change in the size or
shape of the breast, changes to the skin over the breast such as dimpling, inverted nipple,
bloody nipple discharge, and lymphadenopathy.
continued
08-OCSEs-Obstet_Gynae_5e ccp.indd 205 19/03/2015 13:13
Clinical
Skills
for
OSCEs
206 Station 75 Breast history
Conditions most likely to come up in a breast history station – continued
Intraductal papilloma
• Benign proliferation of duct epithelial cells that may present as a small painful lump in the
area of the nipple.
• Most common cause of a bloody nipple discharge in young women.
Examiner’s questions: Risk factors for breast cancer
• Female sex.
• Increasing age.
• History of breast cancer.
• Family history of breast or ovarian cancer.
• Smoking.
• Obesity.
• HRT.
• Uninterrupted oestrogen exposure:
–
– early menarche
–
– late menopause
–
– nulliparity
–
– first child after age 30
[Note] Breast-feeding is protective
08-OCSEs-Obstet_Gynae_5e ccp.indd 206 19/03/2015 13:13
207
Obstetrics,
gynaecology,
and
sexual
health
Station 76
Breast examination
Specifications: In this station you may be asked to examine a patient wearing synthetic breasts. You
may also be asked to take a brief history beforehand.
A full breast examination involves inspection, palpation of the breast tissue, palpation of the nipple,
and palpation of the lymph nodes.
Before starting
• Introduce yourself to the patient, and confirm her name and date of birth.
• Explain the examination, and obtain consent.
• Request a chaperone.
• Ask the patient to undress from the waist up and hand her a drape or blanket to cover herself
up with.
• Ask her to sit on the edge of the couch, and ensure that she is comfortable.
• Ask her whether she has had any pain or nipple discharge.
The examination
General inspection
• From a distance, observe the patient’s general appearance (age, state of health, any obvious
signs).
Inspection of the breasts
• Note the size, symmetry, contour, and colour of the breast; also note the pattern of venous
drainage. In particular, look for the important signs of nipple inversion or retraction and peau
d’orange (breast carcinoma). Is there a visible discharge? Are there any scars? Also remember to
look under the breasts (ask the patient to lift up her breasts for you).
• Now ask the patient to put her hands atop her head and then to press them against her hips.
Look for tethering and asymmetrical changes in the breast contour.
Palpation of the breasts
• Ask the patient to sit back on the couch, reclining at 45 degrees.
• Ask her to put the arm ipsilateral to the breast to be examined behind her head.
• Warm up your hands.
• Before palpating the breasts, ask if there is any breast or chest pain.
• Starting with the normal breast, palpate the breast tissue with the palmar surface of the middle
three fingers, using an even rotary movement to compress the breast tissue gently towards the
chest wall. If the breasts are large, use one hand to steady the breast on its lower border.
• Examine each breast following a circular, concentric trail (Figure 46). Alternatively, use the
­
vertical strip or wedge palpation techniques.
• Palpate the tail of Spence between thumb and forefinger.
08-OCSEs-Obstet_Gynae_5e ccp.indd 207 19/03/2015 13:13
Clinical
Skills
for
OSCEs
208 Station 76 Breast examination
Assess any lump for location, size, shape, colour, consistency, mobility, surface, temperature, tethering,
and tenderness.
Don’t forget that there are two breasts that need examining, a common enough oversight
in the artificial and anxiety-provoking OSCE situation.
Palpation of the nipple
• Hold the nipple between thumb and forefinger and gently compress it in an attempt to express
a discharge (or ask the patient to do this). A discharge could signify normal lactation, galactor-
rhoea, duct ectasia, a carcinoma, or an intraductal papilloma. Any fluid expressed should be
smeared for cytology and swabbed for microbiology.
Palpation of the lymph nodes
• Expose the right axilla by lifting and abducting the arm and supporting it at the wrist with your
right hand.
• With your left hand, palpate the following lymph node groups (See Figure 4 in Station 9):
–
– apical
–
– anterior
–
– posterior
–
– infraclavicular and supraclavicular
–
– nodes of the medial aspect of the humerus
• Now expose the left axilla by lifting and abducting the left arm and supporting it at the wrist
with your left hand.
• With your right hand, palpate the lymph node groups, as listed above.
Assess any nodes for size, shape, consistency, mobility, and tenderness.
Directions of palpation over breast surface
Figure 46. The circular palpation
technique. Other palpation techniques
include the vertical strip and wedge
techniques.
08-OCSEs-Obstet_Gynae_5e ccp.indd 208 19/03/2015 13:13
Obstetrics,
gynaecology,
and
sexual
health
209
Station 76 Breast examination
After the examination
Indicate that you could also:
–
– palpate the liver edge for an enlarged liver (liver metastases)
–
– palpate the spine for tenderness (spinal metastases)
–
– auscultate the lung bases (pleural effusions)
• Cover up the patient.
• Thank her.
• Ensure that she is comfortable.
• Summarise your findings and offer a differential diagnosis.
• Offer further investigations if appropriate, e.g. mammogram, USS, or FNAc.
Conditions most likely to come up in a breast examination station
• Fibroadenoma.
• Fibrocystic disease.
• Mastitis.
• Breast abscess.
• Mammary duct ectasia.
• Carcinoma.
• Interductal papilloma.
• See Station 75 for a description of these
conditions.
08-OCSEs-Obstet_Gynae_5e ccp.indd 209 19/03/2015 13:13
Clinical
Skills
for
OSCEs
210 Station 77
Sexual history
This is a history that students often find difficult because of the highly personal nature of
the questions involved. The trick is to remain formal and professional throughout, yet to
exert tact and, if the patient becomes uncomfortable, a measure of restraint. The OSCE
may ask you to focus on either risk assessment or sexual function. If the latter, do not
forget that sexual dysfunction often results from medical and psychiatric disorders and/or
their treatments, e.g. antihypertensives, antidepressants.
Before starting
• Introduce yourself to the patient, and confirm his name and date of birth.
• Set the scene: “I’d like to ask you a few standard questions about your sex life. I don’t mean to
embarrass you, and it’s alright if you’d rather not answer some of my questions. May I begin?”
• Reassure the patient about confidentiality.
• Explore the patient’s ideas, concerns and expectations.
The history
Would you describe yourself as heterosexual, homosexual, or bisexual?
Who
• “Who did you last have sex with, and when was this?”
• “Who else have you had sex with in the last three months?”
• “Were they male or female?”
• “Were they regular or casual partners?”
How
• “Did you have vaginal/oral/anal sex?”
• “If oral or anal sex, did you give or receive it?”
• “Did you use protection on each occasion?”
• If yes, “did you have any problems with it?”
• “Have you ever been injured or abused by your partner?”
• “Have you ever paid or been paid for sex?”
Where
• “Have you had sex whilst abroad? Whom with?”
• “Where are your partners from?”
• “Is it possible that they have had sex whilst abroad?”
Sexually transmitted diseases
Ask about:
• Any sores, discharge, bleeding, itching, rashes, dysuria, and abdominal pain (in females).
Explore any positive findings.
• History of sexually transmitted diseases (including HIV and hepatitis B) in both the patient and
his partner(s).
• Other risk factors for HIV and hepatitis B, e.g. blood transfusions, intravenous drug use, tattoos.
• In females, date and result of the last cervical smear test.
08-OCSEs-Obstet_Gynae_5e ccp.indd 210 19/03/2015 13:13
Obstetrics,
gynaecology,
and
sexual
health
211
Station 77 Sexual history
Sexual function
• “‘Do you have any problems with, or concerns about, having sex?” You may ask specifically about
erectile dysfunction and ejaculatory dysfunction in males, and about hypoactive sexual desire,
anorgasmia, vaginismus, and dyspareunia in females.
• Determine the onset, course, and duration of the problem. Is the problem primary or ­secondary?
• Determine the frequency and timing of the problem. Is the problem partial or situational? In
situational erectile dysfunction, the patient is still able to have morning erections.
• Assess the effect that the problem is having on the patient’s life.
Table 28. Types of sexual dysfunction (common types are in bold)
Type of sexual dysfunction Male Female
Sexual desire disorders Hypoactive sexual desire
Sexual aversion (rare)
Hypoactive sexual desire (F  M)
Sexual aversion (rare)
Sexual arousal disorders Erectile dysfunction* Failure of genital response
Sexual pain disorders Dyspareunia Dyspareunia (F  M)
Vaginismus§
Orgasm disorders Ejaculatory impotence
Premature ejaculation**
Anorgasmia (F  M)
*Erectile dysfunction or impotence is more common in elderly males.
**Premature ejaculation is more common in young males engaging in their first sexual relationships.
§
Vaginismus describes involuntary vaginal contractions in response to attempts at penetration.
Past medical history
• History of sexually transmitted diseases.
• History of sexual problems.
• Menstrual history: regularity of menses and date and character of LMP.
• Medical conditions and previous hospital admissions.
Obstetric and gynaecological history (if appropriate)
• Menstrual history: regularity of menses and date and character of LMP.
• Past pregnancies, deliveries, miscarriages, and terminations.
• “Is it possible that you might be pregnant?”
Drug history
• Contraceptives.
• Recent antibiotic use.
• Smoking and alcohol.
• Drug use (including needle sharing).
Social history
• Occupation.
• Living arrangements.
08-OCSEs-Obstet_Gynae_5e ccp.indd 211 19/03/2015 13:13
Clinical
Skills
for
OSCEs
212 Station 77 Sexual history
After taking the history
• Ask if there is anything that the patient would like to add which you may have forgotten to ask
about.
• Thank the patient.
• Summarise your findings and offer a further course of action, e.g. physical examination, micro-
biological testing, contact tracing.
Conditions most likely to come up in a sexual history station
Candidiasis
• Common fungal infection involving any of the Candida species. Infection of the vagina or
vulva is often asymptomatic but may cause severe itching, burning, soreness, irritation, and a
whitish or whitish-grey ‘cottage cheese’ discharge.
• In men, there may be red and itchy or painful sores on the penile head or foreskin.
• Candidiasis is not classified as an STD.
Bacterial vaginosis (BV)
• Common bacterial infection involving, among others, Gardnerella vaginalis.
• Results from disruption in the balance of bacteria in the vagina.
• Although BV is not classified as an STD, it is more common in women who are sexually active
and increases their susceptibility to STDs.
• It may be asymptomatic or there may be a thin, homogeneous, off-white, and malodorous
vaginal discharge, usually in the absence of redness, itchiness, or pain.
Chlamydia
• One of the most common STDs involving the bacterium Chlamydia trachomatis.
• In women it is symptomatic in around 20–30% of cases, presenting with a yellow and
odourless mucopurulent cervical discharge, dysuria, and frequency.
• In men, it is symptomatic in around 50% of cases, presenting with a white penile discharge
with or without dysuria.
• Major complications are pelvic inflammatory disease in women, epididymitis in men, and
Reiter’s syndrome (triad of arthritis, conjunctivitis, and urethritis) in both.
Gonorrhoea
• A common STD caused by Neisseria gonorrhoeae.
• In women it is symptomatic in around 50% of cases, presenting with a greenish–yellow
malodorous vaginal discharge, dysuria, and frequency.
• In men, it presents with a yellow–white penile discharge and dysuria. Symptoms typically
occur 4–6 days after being infected.
• Major complications are pelvic inflammatory disease in women and epididymitis in men, or
systemic spread to affect the joints and heart valves.   
Trichomoniasis
• STD caused by the protozoan parasite Trichomonas vaginalis.
• Typically, only women experience symptoms but even they may be asymptomatic.
• Symptoms typically occur 5–28 days after being infected and include copious amounts of a
frothy, foul-smelling greenish–yellow mucopurulent discharge, itchiness, dysuria, and frequency.
• Discomfort may increase during intercourse and upon micturition.
08-OCSEs-Obstet_Gynae_5e ccp.indd 212 19/03/2015 13:13
Obstetrics,
gynaecology,
and
sexual
health
213
Station 77 Sexual history
Syphilis
• STD caused by the bacteria Treponema pallidum.
• The disease can also be transmitted from mother to foetus, resulting in congenital syphilis.
• Signs and symptoms depend on which of the four stages it presents in:
–
– primary stage presents at an average of 21 days after initial exposure, typically with a single
lesion (chancre)
–
– secondary stage presents with a diffuse rash and other symptoms such as fever, malaise,
headache
–
– in the latent stage, there is serological proof of infection but few if no symptoms
–
– tertiary stage supervenes 3–15 years after initial infection with gummas and neurological
and cardiac symptoms
Genital herpes
• Genital infection by Herpes simplex virus (HSV) that may lead to clusters of inflamed papules
and vesicles on the outer surface of the genitals or on surrounding skin.
• These usually appear 4–7 days after sexual exposure to HSV.
• Other common symptoms include pain, itching, discharge, fever, and myalgia. After 2–3
weeks, the lesions progress into ulcers and then crust and heal.
Genital warts
• Highly contagious STD caused by some sub-types of human papillomavirus (HPV), and spread
through direct skin-to-skin contact during oral, genital, or anal sex.
• Approximately 70% of those who have sexual contact with a partner with an active infection
develop genital warts, and while less than 1% of those become symptomatic, those infected
can still transmit the virus.
• Usually painless and benign, but can be unsightly.
Sexual dysfunction
• Sexual dysfunction can occur at any stage of sexual intercourse: initiation, arousal, penetration,
and orgasm (see Table 28).
• It can result from organic causes (such as diabetes, angina, prostate surgery, antihypertensives,
antidepressants, antipsychotics) or from psychological causes (e.g. depression, anxiety,
sexual inexperience, traumatic sexual experience, relationship difficulties, stress), or from a
combination of either.
• In secondary dysfunction there is a history of normal function, but in primary dysfunction such
a history is lacking. The epidemiology of sexual dysfunction is difficult to establish, but erectile
dysfunction and premature ejaculation are common in males, and anorgasmia and hypoactive
sexual desire in females.
08-OCSEs-Obstet_Gynae_5e ccp.indd 213 19/03/2015 13:13
Clinical
Skills
for
OSCEs
214 Station 78
HIV risk assessment
Before starting
• Introduce yourself to the patient, and confirm his name and date of birth.
• Explain that you are going to ask him some questions to determine his likelihood of having
contracted HIV, and obtain consent.
• Reassure him about confidentiality.
• Remember to be especially sensitive, tactful, and empathetic.
The risk assessment
• Explore the patient’s reason for attendance, e.g. ideas, concerns, and expectations.
Sexual behaviour
• Does the patient have sex with men, women, or both?
• Does he have unprotected anal, vaginal, or oral sex? If so, when, where, how often, and with
how many different partners? Unprotected receptive anal intercourse is especially high risk.
• Has he had sex outside the UK or with partners from outside the UK?
• Has he ever paid or been paid for sex?
• What are the sexual practices of his partners? Are any of them HIV positive?
• Has he recently contracted any sexually transmitted diseases?
Illicit drug use
• Does the patient inject himself? If so, has he been sharing needles?
• Do any of his partners inject themselves?
Piercing and tattoos
• Has the patient had any piercings or tattoos performed outside of the UK?
• Does he have any concerns about the needles that were used?
Blood products and transfusions
• Is the patient a haemophiliac?
• Has he received blood products or transfusions prior to about 1985 or outside of the UK?
Occupational risk
• Ask about the patient’s occupation to determine whether he poses an occupational risk.
After the risk assessment
• Ask the patient if there is anything that he might add that you have forgotten to ask about.
• Give him feedback on his HIV risk and, if appropriate, indicate a further course of action, e.g.
an HIV test.
• Address his concerns.
• Thank him.
08-OCSEs-Obstet_Gynae_5e ccp.indd 214 19/03/2015 13:13
215
Obstetrics,
gynaecology,
and
sexual
health
Station 79
Condom explanation
Male and female condoms are barrier methods of contraception and prevent sperm from reaching
the ovum. They are very effective at preventing sexually transmitted infections but less effective than
methods such as the pill in preventing pregnancy.
There are many different types of male condoms available on the market. These include plain-end
or teat-end, shaped/ribbed or straight-sided, and lubricated (e.g. with inert silicone or nonoxynol-9
spermicide) condoms. Femidom is the only female condom available in the UK.
Spermicidal condoms are no longer recommended as evidence suggests that nanoxynol-9 may
increase the risk of HIV and other sexually transmitted infections such as chlamydia and gonorrhoea.
Before starting
• Introduce yourself to the patient, and confirm his name and date of birth.
• Establish how much he already knows about using condoms. If correctly used, the male condom
is 98% effective, and the female condom 95% effective. Condoms also protect against STDs.
The equipment
• Two condoms
• A model of a penis
• An information booklet on condom use
Explain the use of a condom
• Condom use should be discussed with the partner(s).
• The condom should be put on before any genital contact takes place.
• Principal side-effects are due to latex allergy and spermicide sensitivity.
• Principal contraindications are oil-based lubricants such as Vaseline, hormonal vaginal creams,
and antifungal preparations (Canesten is safe to use).
• Explain/demonstrate the use of a condom:
–
– check for the British Kite mark (Figure 47) or equivalent symbol, a guarantee of quality
–
– check the expiry date
–
– carefully tear open the pack and remove the condom – do not use teeth or sharp nails
–
– position the condom on the tip of the erect penis
–
– squeeze out the air from the tip of the condom and gently roll it out to the base of the penis
–
– hold the condom at the base of the penis during penetration
–
– after intercourse, remove the condom ensuring that semen is not spilt
–
– dispose of the condom in the bin – condoms must never be re-used
• Ask the patient to repeat the procedure.
  Figure 47. British kite mark.
Explain that condoms can occasionally tear and that, in this event, the patient and his
partner should consult a GP or family planning clinic.
08-OCSEs-Obstet_Gynae_5e ccp.indd 215 19/03/2015 13:13
Clinical
Skills
for
OSCEs
216 Station 79 Condom explanation
After the explanation
• Ask if the patient has any questions or concerns. (He may ask you about other methods of
contraception.)
• Tell him to return should he have any further questions.
• Give him an information booklet on condom use.
08-OCSEs-Obstet_Gynae_5e ccp.indd 216 19/03/2015 13:13
217
Obstetrics,
gynaecology,
and
sexual
health
Station 80
Combined oral contraceptive pill (COCP)
explanation
Before starting
• Introduce yourself to the patient, and confirm her name and date of birth.
• Confirm the reason for her attendance and her understanding of the COCP.
• Has she considered other methods of contraception?
Explaining the COCP – items to cover
Efficacy
99.9% if used correctly, 97% in practice.
It is important to emphasise that the pill does not protect against STDs.
Principal benefits
• Easy to take, reversible, and non-invasive.
• More regular periods, less blood loss, fewer period pains.
• Decreased risk of ovarian cancer, endometrial cancer, ovarian cysts, and benign breast disease.
• Acne often improves.
Principal risks
• Increased risk of deep vein thrombosis and pulmonary embolism.
• Increased risk of myocardial infarction.
• Increased risk of breast cancer and cervical adenocarcinoma.
Principal adverse effects
• Headache.
• Nausea.
• Dizziness.
• Hypertension.
• Breast tenderness.
• Weight gain.
• Depression.
Principal contraindications
Absolute
• Age over 50.
• BMI over 35.
• Thrombophlebitis, thromboembolitic disorder, or history of thromboembolism.
• Severe migraine with focal aura/neurology.
• Stroke.
• Ischaemic heart disease.
• Liver disease.
08-OCSEs-Obstet_Gynae_5e ccp.indd 217 19/03/2015 13:13
Clinical
Skills
for
OSCEs
218 Station 80 Combined oral contraceptive pill (COCP) explanation
• Kidney disease.
• History of breast cancer or other oestrogen-dependent cancers of the reproductive organs.
• Pregnancy.
Relative
• Uncontrolled hypertension.
• Smoking ( 15 cigarettes a day and over the age of 35).
• Abnormal vaginal bleeding.
• Sickle cell disease.
• Breast-feeding.
• Family history of hyperlipidaemia, heart disease, or kidney disease.
Remember to take a quick drug history, as enzyme-inducing drugs – including anti-
psychotics, anti-depressants, anti-epileptics, and some antibiotics – can alter the
effectiveness of the pill.
How to take the pills
• Start taking the pill on the first day of your period. If you start on any other day of your cycle,
you need to use barrier contraception for the first 7 days.
• Take one pill a day at the same time every day for either 21 or 28 days, depending on the
number of pills in the pack.
• After finishing the 28-day pack, start another one immediately (the last seven pills in the 28-day
pack are ‘dummy pills’).
• After finishing the 21-day pack, stop taking the pill for 7 days and then start another pack.
• If you develop vomiting or diarrhoea, use barrier contraception until your next period.
• If you take a course of antibiotics, use barrier contraception during the course and for
2–3 days after.
SUN MON TUES WED THU FRI SAT
28 Day
  
Figure 48. A 28-day pack.
What if pills are missed
• If one pill is missed:
–
– take a pill as soon as you can remember to do so
–
– take the next pill at the regular time
• If two or more pills are missed:
–
– take a pill as soon as you can remember to do so (earlier missed pills should not be taken)
–
– continue taking one pill a day, as per usual
–
– use barrier contraception for 7 days
• If there are fewer than seven pills left in the pack (after the missed pill), start on the next pack
without taking a break
08-OCSEs-Obstet_Gynae_5e ccp.indd 218 19/03/2015 13:13
Obstetrics,
gynaecology,
and
sexual
health
219
Station 80 Combined oral contraceptive pill (COCP) explanation
Before finishing
• Summarise and check understanding.
• Hand out a leaflet on the COCP.
• Tell the patient to report any severe or unexpected symptoms.
Examiner’s questions: Other forms of contraception
Combined hormonal contraceptives are also available as a skin patch, worn for 3 out of every 4 weeks.
Low-dose progestogen-only contraceptives such as the traditional progestogen-only pill (POP,
‘mini-pill’), subdermal implants (e.g. Norplant), and intrauterine systems (e.g. Mirena) inconsistently
inhibit ovulation but thicken the cervical mucus and reduce sperm penetration, and also make the
endometrium unsuitable for implantation. Intermediate-dose progestogen-only contraceptives such
as the Cerazette® pill are much more reliable at inhibiting ovulation, and high-dose progestogen-only
contraceptives such as the injectable Depo-Provera inhibit ovulation completely (in the case of Depo-
Provera, for up to 3 months).
The POP is taken continuously without any breaks. Whereas the COCP can be taken within a window
of 12 hours, the mini-pill has a much shorter window of 3 hours. Thus, whilst the efficacy of the mini-
pill is similar to that of the COCP, it is more dependent on user compliance. The POP is not affected by
broad-spectrum antibiotics, and can often be used when the COCP is contraindicated, e.g. in smokers
above the age of 35. It is contraindicated in cardiovascular disease, liver disease, breast cancer, ovarian
cysts, and migraine. Side-effects, if any, are generally mild and transient. There is a small increased risk
of ectopic pregnancy and breast cancer. Unlike the COCP, the POP does not regulate menstruation and
can lead to either irregular menstruation or amenorrhoea.
Emergency post-coital contraception comes either in the form of an intrauterine device (IUD) or an
emergency contraceptive pill (ECP, ‘morning-after pill’) that, in contrast to medical abortion methods,
act before implantation, either by postponing ovulation or by preventing implantation. The Levonelle
brand contains levonorgestrel which is a progestogen hormone, and is licensed for use up to 72 hours
after intercourse. There is an approximate 80% reduction in the risk of pregnancy, to about 1–2% (this
compares to virtually 0% for the IUD). Generally speaking, the advantages of using the ECP outweigh
any theoretical or proven risks, and harm to a foetus that has already implanted is thought to be very
unlikely. Side-effects include nausea, vomiting, abdominal pain, fatigue, headache, and dizziness. The
ECP should not be confused with the ‘abortion pill’ (high dose mifepristone, RU 486).
08-OCSEs-Obstet_Gynae_5e ccp.indd 219 19/03/2015 13:13
Clinical
Skills
for
OSCEs
220 Station 81
Pessaries and suppositories explanation
Read in conjunction with Station 116: Explaining skills.
Like tablets, pessaries and suppositories are medication. Suppositories are for rectal use, common
examples being pain-killers and steroids, whereas pessaries are for vaginal use, common examples
being antibiotics and progesterone.
They are used if oral drugs cannot be given, for example, in the post-operative period or if the patient
is vomiting, and if the site of action of the drug is the rectum or vagina, or near enough, for example,
the colon or cervix.
In this station you may be asked to explain the use of a pessary and/or a suppository to a patient. Both
scenarios have been described here.
Before starting
• Introduce yourself to the patient and verify her name and date of birth.
• Confirm the reason for attendance.
• Ask her if she has ever used a pessary or suppository before, and whether she has any questions
or concerns.
The explanation: items to cover
Be sensitive to the psychological and sociocultural issues involved in placing a finger into
the vagina or rectum, and be sympathetic and understanding.
Pessaries
• Pessaries are bullet-shaped medicines designed for easy insertion into the vagina using your
fingers or an applicator. Your body temperature will slowly dissolve the pessary and release the
medicine into your vagina.
• Before using a pessary, check its expiry date.
• Wash and dry your hands.
• Remove the pessary and applicator (if supplied) from its foil or wrapper.
• If an applicator is supplied, push the pessary into the hole at its end.
• Lie down with your knees bent and legs apart.
• Carefully push the pessary high up into your vagina, pointed end first, using either your fingers
or the applicator.
• If using an applicator, push the plunger to release the pessary and then remove the applicator.
• Wash your hands afterwards.
• The pessary may leak from your vagina, so it may be best to insert it before bedtime and to use
a sanitary towel to avoid staining of the clothes.
• If you miss a dose, insert the pessary as soon as you remember, and then carry on as normal.
• Store in a cool, dry place and out of children’s reach.
• Continue using your pessaries until the course is completed, even if this means inserting them
during your monthly period.
08-OCSEs-Obstet_Gynae_5e ccp.indd 220 19/03/2015 13:13
Obstetrics,
gynaecology,
and
sexual
health
221
Station 81 Pessaries and suppositories explanation
Suppositories
• Suppositories are bullet-shaped medicines designed for easy insertion into the lower bowel
(rectum) using your fingers. Your body temperature will slowly dissolve the suppository and
release the medicine across your rectum and into the bloodstream.
• Before using a suppository, check its expiry date
• Empty your bowels if necessary.
• Wash and dry your hands.
• Remove the suppository from its foil or wrapper.
• Lie down on your side with one leg bent and the other straight.
• Carefully push the suppository 2–3 cm up your bottom, pointed end first, using your finger.
Some people may prefer to wear a glove, but this is not necessary.
• Close your legs and lie still for a few minutes.
• Wash your hands afterwards.
• If you open your bowels within 2 hours of inserting the suppository, you need to insert another.
• The suppository may leak from your rectum, so it may be best to insert it before bedtime and
(if female) to use a sanitary towel to avoid staining of the clothes.
• If you miss a dose, insert the suppository as soon as you remember, and then carry on as normal.
• Store in a cool, dark place and out of children’s reach.
• Continue using your suppositories until the course is completed.
After the explanation
• Summarise and check the patient’s understanding.
• Ask if she has any questions or concerns.
• Offer her a leaflet.
08-OCSEs-Obstet_Gynae_5e ccp.indd 221 19/03/2015 13:13
Clinical
Skills
for
OSCEs
222 Station 82
Rheumatological history
Before starting
• Introduce yourself to the patient, and confirm his name and date of birth.
• Explain that you are going to ask him some questions to uncover the nature of his complaint,
and obtain consent.
• Ensure that he is comfortable.
The history
Name, age, and occupation, if this information has not already been supplied.
Presenting complaint
Ask the patient about the nature of his complaint. Use open questions.
Pain
Determine site (joints affected), severity, and timing (e.g. is it worse in the morning or later in the day?).
Stiffness
Determine site, severity and timing.
Swelling
Determine site, severity and timing.
History of presenting complaint
Ask about:
• Onset and any provoking factors such as trauma or infection.
• Progression.
• Any associated features:
–
– local: swelling or inflammation, deformity, cracking, clicking, locking, loss of movement
–
– systemic: skin problems, eye problems, GI disturbances, urethral discharge
–
– general: Raynaud’s phenomenon (peripheral vasospasm), fever, night sweats, weight loss
• Any aggravating or relieving factors such as activity, rest, NSAIDs, steroids.
Social history
Ask about:
• Difficulty in completing everyday tasks and the effect that this is having on his life. If need be,
you can get him to describe a typical day: getting out of bed, toileting, dressing, etc. What did
he used to do that he can no longer do?
• Housing and home-help. Are there stairs to climb?
• Mood. Screen for the core features of depression: low mood, fatigability, and loss of interest.
• Recent travel. If appropriate, ask about vaccines, gastroenteritis, and unprotected sexual inter-
course (reactive arthritis/Reiter’s syndrome).
09-OCSEs-Orthopaedics_5e ccp.indd 222 19/03/2015 07:45
Orthopaedics
and
rheumatology
223
Station 82 Rheumatological history
Past medical history
• Current, past, and childhood illnesses.
• Surgery.
• Recent visits to the doctor.
Drug history
• Prescribed medication, e.g. NSAIDs, steroids, immunosuppressants.
• Over-the-counter medications.
• Allergies.
• Smoking, alcohol use, and recreational drug use.
Family history
• Parents, siblings, children. Has anyone in the family ever had similar problems?
After taking the history
• Ask the patient if there is anything he might add that you have forgotten to ask about.
• Thank the patient.
Conditions most likely to come up in a rheumatological history station
Rheumatoid arthritis:
• Chronic, systemic inflammatory disorder that may affect many tissues and organs, but
principally the synovial joints, leading to destruction of articular cartilage and ankylosis of the
joints.
• Women are three times more commonly affected than men.
• Onset is often at age 40–50, but can be at any age.
• Affects multiple joints, often in a symmetrical fashion, and most commonly the small joints of
the hands, feet, and cervical spine.
• Affected joints are swollen, warm, painful, and stiff, particularly early in the morning, on
waking, or following prolonged activity.
• In time, there is decreased range of movement and deformity, e.g. ulnar deviation,
boutonnière deformity, swan neck deformity, Z-thumb.
Osteoarthritis:
• ‘Wear and tear’ arthritis.
• Commonly affects the hands, feet, spine, and the large weight-bearing joints.
• Affected joints are painful, tender, and stiff, with symptoms worsening throughout the day
and after exercise.
• There may be hard bony enlargements called Heberden’s nodes on the distal interphalangeal
joints and Bouchard’s nodes on the proximal interphalangeal joints.
• There may be crepitus upon movement, restricted range of movement, joint mal-alignment,
and effusions.
09-OCSEs-Orthopaedics_5e ccp.indd 223 19/03/2015 07:45
Clinical
Skills
for
OSCEs
224 Station 82 Rheumatological history
Psoriatic arthritis:
• Systemic inflammatory disorder associated with psoriasis.
• Asymmetrical or relatively asymmetrical arthritis most commonly affecting the distal joints in
the hands and feet.
• Symptoms of inflammation, pain, and stiffness typically wax and wane.
• There may be swelling of an entire finger or toe (dactylitis) as well as fingernail and toenail
involvement.
Gout:
• Caused by elevated levels of urate in the blood.
• More common in men.
• Presents as recurrent attacks of acute inflammatory arthritis.
• Commonly (but not exclusively) affects the metatarsal–phalangeal joint at the base of the big
toe.
• The joint is red, tender, hot, and swollen.
• May be associated with hard, painless deposits of uric acid called tophi.
• Pseudogout can be difficult to distinguish from gout; it involves calcium pyrophosphate
dihydrate rather than urate deposition, and it normally affects the knee and larger joints rather
than the foot.
Ankylosing spondylitis:
• Chronic, inflammatory disorder principally affecting the axial skeleton and sacroiliac joints and
potentially leading to fusion of the spine (‘bamboo spine’) and to damage of the spinal cord,
roots, and nerves.
• There is a strong genetic component.
• It is more common and tends to be more severe in males.
• Commonly presents at ages 20–40.
• Morning stiffness is characteristic, and pain improves with physical activity.
• May be associated with systemic features such as fever and weight loss and extra-articular
manifestations such as uveitis.
Septic arthritis:
• Septic arthritis is a medical emergency.
• Results from direct invasion of one or several joint spaces by various microorganisms, with the
knee being the joint that is most commonly affected.
• Acute onset of joint pain with possible systemic symptoms and possible history of underlying
joint disease or trauma, unprotected sexual intercourse or intravenous drug use.
• The joint itself is red, tender, hot, and swollen, and there is often an effusion.
09-OCSEs-Orthopaedics_5e ccp.indd 224 19/03/2015 07:45
Orthopaedics
and
rheumatology
225
Station 82 Rheumatological history
Polymyositis and dermatomyositis:
• Polymyositis is an inflammatory myopathy related to dermatomyositis.
• It commonly presents in early adulthood with bilateral and progressive proximal muscle
weakness.
• The muscles may be painful and tender and there may be systemic symptoms such as fatigue
and fever.
• In dermatomyositis there is also a skin rash.
• The cause or causes of polymyositis and dermatomyositis is unknown.
Polymyalgia rheumatica:
• Muscle pain and stiffness in the neck, shoulders, and hips, especially in the morning or after
inactivity.
• The disorder may develop either rapidly or gradually.
• Systemic symptoms may include fatigue, fever, and anorexia.
• There is an association with temporal arteritis.
• Usually affects older adults, more commonly females.
• The cause of polymyalgia rheumatica is unknown.
• Prognosis is good, especially with corticosteroid treatment.
Tendon rupture
Complications of steroid treatment
09-OCSEs-Orthopaedics_5e ccp.indd 225 19/03/2015 07:45
Clinical
Skills
for
OSCEs
226 Station 83
The GALS screening examination
GALS: ‘Gait, arms, legs, and spine’. Remember that GALS is a screening test and that a detailed
examination is therefore not called upon.
Before starting
• Introduce yourself to the patient, and confirm his name and date of birth.
• Explain the examination and obtain his consent.
• Ask him to undress to his undergarments.
• Ensure that he is comfortable.
The GALS screening examination
Brief history
• Name, age, and occupation, if this information has not already been supplied.
• “Do you have any pain or stiffness in your muscles, back, or joints?”
• “Do you have any difficulty in climbing stairs?”
• “Do you have any difficulty washing or dressing?”
The examination
General inspection
Inspect the patient standing. Note any obvious scars, swellings, deformities, and/or unusual posturing.
Spine
Look
• From the front.
• From behind, looking in particular for list, scoliosis and lumbar lordosis.
• From the side, looking in particular for kyphos, kyphosis and fixed flexion deformity.
Feel
• Press on each vertebral body in turn, trying to elicit tenderness.
Move
• Ask the patient to bend forwards and touch his toes. Look for lumbar lordosis and for scoliosis,
which should become more pronounced.
Ask him to sit down on the couch.
• Lateral flexion of the neck. Ask him to put his ear on his shoulder and then do the same on the
other side.
• Flexion and extension of the neck. Ask him to put his chin on his chest and then look up towards
the ceiling.
• Spinal rotation. Ask him to turn his upper body to either side.
Demonstrate each of these movements to the patient. In particular, look for restricted range of
movement and pain on movement.
09-OCSEs-Orthopaedics_5e ccp.indd 226 19/03/2015 07:45
Orthopaedics
and
rheumatology
227
Station 83 The GALS screening examination
Arms
Look
• Skin: rashes, nodules, nail signs
• Muscles: wasting, fasciculation
• Joints: swelling, asymmetry, deformity
Do not forget to inspect both surfaces of the hands.
Feel
• Skin: temperature
• Muscles: general muscle bulk
• Joints: 
tenderness and warmth; squeeze each hand at the level of the carpal and meta-
carpal joints, and try to localise any tenderness by squeezing each individual joint
in turn
Move
• Hands: 
ask the patient to squeeze your finger (grip strength); then ask him to make a
pinch and attempt to ‘break’ his pinch (precision pinch)
• Wrists: 
ask him to put his hands in the prayer position and then in the reverse prayer posi-
tion
• Elbows: 
ask him to bring up his forearms as if he were lifting weights and then to straighten
out his arms alongside his body
• Shoulders: 
ask him to raise his arms above his head (abduction) and to then to put his hands
behind his head (internal rotation); coming from below, ask him to touch his back
between the shoulder blades (external rotation).
Demonstrate these movements to the patient. Look for restricted range of movement and pain on
movement.
Legs
Now ask the patient to lie on the couch.
Look
• Skin: rashes, nodules, callosities on the soles of the feet
• Muscles: wasting, fasciculation
• Joints: swelling, asymmetry, deformity
Feel
• Skin: temperature
• Joints: 
tenderness, warmth, and swelling; palpate each knee along the joint margin;
squeeze each foot, and try to localise any tenderness by squeezing each individual
joint in turn
Move
• Ask the patient to bring his heels to his bottom.
• Hold the knee and hip at 90 degrees of flexion and internally and externally rotate the hip. Keep
an eye on the patient’s face as you do this and ensure that you do not cause him unnecessary
pain.
• Next, place one hand on the knee joint and extend it, feeling for any crepitus as you do so.
• Repeat on the other side.
09-OCSEs-Orthopaedics_5e ccp.indd 227 19/03/2015 07:45
Clinical
Skills
for
OSCEs
228 Station 83 The GALS screening examination
Gait
Ask the patient to walk, observing:
• General features: rhythm, speed, stride length, limp.
• The phases of gait: heel-strike, stance, push-off, and swing.
• Arm swing.
• Turning.
• Transfer ability: sitting and standing from a chair (note that you should already have had a
chance to observe this).
After the examination
• Thank the patient.
• Offer to help him dress.
• Ensure that he is comfortable.
• Summarise your findings.
• If appropriate, indicate that you would perform a more detailed physical examination.
09-OCSEs-Orthopaedics_5e ccp.indd 228 19/03/2015 07:45
229
Orthopaedics
and
rheumatology
Station 84
Hand and wrist examination
Before starting
• Introduce yourself to the patient, and confirm his name and date of birth.
• Explain the examination and obtain his consent.
• Ask him to expose his arms.
• Ensure that he is comfortable.
The examination
Look
First inspect the dorsum and then the palmar surfaces of the hands.
• Skin: colour, rheumatoid nodules, scars, nail changes such as pitting or loosening.
• Joints: swelling, Heberden’s nodes (on DIP joints), Bouchard’s nodes (on PIP joints).
• Shape and position: normal resting position of the hand, ulnar deviation, boutonnière and swan
neck deformity of the fingers, mallet finger, finger droop, Z-deformity of the thumb, muscle
wasting in the thenar or hypothenar eminences, Dupuytren’s contracture.
• Elbows: psoriatic plaques, gouty tophi, rheumatoid nodules.
Figure 49. The arthritic hand. Boutonnière and swan neck deformity of the fingers.
Feel
Ask if there is any pain before you start.
• Skin: temperature.
• Finger and wrist joints: swelling, synovial thickening, tenderness.
• Anatomical snuff box (fractured scaphoid).
• Tip of the radial styloid (de Quervain’s disease) and head of the ulna (extensor carpi ulnaris
tendinitis).
Move
Test active and passive movements, looking for limitation in the normal range of movement. Ask the
patient to report any pain.
Wrist
• Flexion and extension.
• Ulnar and radial deviation.
• Pronation and supination.
Boutonnière deformity Swan neck deformity
09-OCSEs-Orthopaedics_5e ccp.indd 229 19/03/2015 07:45
Clinical
Skills
for
OSCEs
230 Station 84 Hand and wrist examination
Thumb
• Extension. “Stick your thumb out to the side.”
• Abduction. “Point your thumb up to the ceiling.”
• Adduction. “Collect your thumb in your palm.”
• Opposition. “Appose the tip of your thumb to the tip of your little finger.”
Fingers
Each finger should be fully extended and flexed. Look at the movements of the metacarpophalangeal
and interphalangeal joints. Test the grip strength by asking the patient to make a fist and try to squeeze
your fingers. Try to open the fist. Test the pincer strength by trying to break the pinch between his
thumb and first finger.
Special tests
• Carpal tunnel tests:
–
– try to elicit Tinel’s sign by extending the hand and tapping on the median nerve in the
carpal tunnel
–
– try to elicit Phalen’s sign by holding the hand in forced flexion for 30–60 seconds
Figure 50. An alternative and quicker method for
eliciting Phalen’s sign.
• Flexor profundus: hold a finger extended at the proximal interphalangeal joint and ask the
patient to flex the distal interphalangeal joint of that same finger.
• Flexor superficialis: ask the patient to flex a finger whilst holding all the other fingers on the same
hand extended.
• Assess function by asking the patient to make use of an everyday object such as a pen or cup.
After the examination
• State that you would also like to examine the vascular and neurological systems of the upper
limb.
• If appropriate, indicate that you would order some tests, e.g. X-ray (AP and lateral), FBC, ESR,
rheumatoid factor, etc.
• Thank the patient.
• Ensure that he is comfortable.
• Offer to help the patient put his clothes back on.
• Offer a differential diagnosis.
09-OCSEs-Orthopaedics_5e ccp.indd 230 19/03/2015 07:45
Orthopaedics
and
rheumatology
231
Station 84 Hand and wrist examination
Conditions most likely to come up in a hand and wrist examination station
Osteoarthritis (see Station 82)
Rheumatoid arthritis (see Station 82)
Psoriatic arthritis (see Station 82)
Lesions of the median, radial, or ulnar nerves
(see Station 33)
Gout (see Station 82)
Carpal tunnel syndrome:
• Compression of the median nerve in the
carpal tunnel.
• More common in females.
• Burning pain, tingling, and numbness in
the distribution of the median nerve.
• Possible wasting of the thenar eminence
and weakness of the abductor pollicis
brevis.
• Tinel’s sign and Phalen’s sign are
positive.
Dupuytren’s disease:
• Fixed flexion contracture of the hand
with the ring and little fingers most
commonly affected.
• Scar tissue palpable beneath the skin of
the palm with dimpling and puckering
of the skin over that area.
De Quervain’s tenosynovitis:
• Idiopathic inflammation of the tendons of
extensor pollicis brevis and abductor pollicis
longus muscles concerned with radial
abduction of the thumb.
• Accompanied by difficulty gripping and
pain, tenderness, and swelling over the
radial styloid.
• The diagnosis is verified by holding the
thumb inside a clenched fist and ulnar
deviating the wrist; this stretches the
inflamed tendons over the radial styloid,
thereby exacerbating the patient’s pain
(Finkelstein’s test).
Trigger finger:
• Idiopathic catching, snapping, or locking of
the involved finger flexor tendon.
• Associated with pain and loss of function.
• Middle and ring finger most commonly
affected.
• The finger clicks when it is flexed and gets
stuck in the flexed position.
• Overcoming this resistance leads to the
finger snapping straight, hence the name
‘trigger finger’.
09-OCSEs-Orthopaedics_5e ccp.indd 231 19/03/2015 07:45
Clinical
Skills
for
OSCEs
232 Station 85
Elbow examination
This station is unlikely to come up on its own but may be asked as part of a hand and wrist examination,
and is included here for the sake of completeness.
Before starting
• Introduce yourself to the patient, and confirm his name and date of birth.
• Explain the examination and obtain his consent.
• Ask him to expose his arms.
• Ensure that he is comfortable.
The examination
Look
Ask the patient to hold his arms by his side.
• Overall impression: 
varus or valgus deformities (look from behind), effusions, inflammation
of the olecranon bursa
• Skin: rheumatoid nodules, gouty tophi, scars
• Muscle wasting: biceps, triceps, forearm
Feel
Ask if there is any pain before you start.
• Skin: temperature, psoriatic plaques, rheumatoid nodules, gouty tophi
• Joints: tenderness, effusions, synovial thickening
• Bones: tenderness of the lateral and medial epicondyles
Move
• Flexion and extension:
–
– tennis elbow: ask about pain at the lateral epicondyle on elbow extension and forced wrist
extension
–
– golfer’s elbow: ask about pain at the medial epicondyle on elbow flexion and forced wrist
flexion
• Pronation and supination. Show the patient how to tuck his elbows into his sides and to turn his
arms so that the palm of his hands face up and down (a bit like the gesture for ‘I don’t know’).
After the examination
• State that you would also like to examine the wrist and hand.
• State that you would also like to examine the vascular and neurological systems of the upper
limb.
• If appropriate, indicate that you would order some tests, e.g. X-ray (AP and lateral), FBC, ESR,
rheumatoid factor, etc.
• Thank the patient.
• Offer to help him put his clothes back on.
• Ensure that he is comfortable.
• Summarise your findings and offer a differential diagnosis.
Conditions most likely to come up in an elbow examination station
• Osteoarthritis         • Rheumatoid arthritis         • Olecranon bursitis
09-OCSEs-Orthopaedics_5e ccp.indd 232 19/03/2015 07:45
233
Orthopaedics
and
rheumatology
Station 86
Shoulder examination
Before starting
• Introduce yourself to the patient, and confirm his name and date of birth.
• Explain the examination and obtain his consent.
• Ask him to undress from the waist upward.
• Ensure that he is comfortable.
The examination
Look
Inspect from front and back.
• Overall impression: alignment, symmetry, position of the arms, axillae, prominence of the
acromioclavicular and sternoclavicular joints
• Skin: colour, sinuses, scars
• Muscle wasting: deltoid, periscapular muscles (supraspinatus and infraspinatus)
Feel
Ask if there is any pain before you start.
• Skin: temperature – compare both sides
• Bones and joints: palpate the bony landmarks of the shoulder, starting at the sternocla-
vicular joint and moving laterally along the clavicle. Try to localise any
tenderness. Can you feel any effusions?
• Biceps tendon: ask the patient to flex his arms and palpate the biceps tendon in the
bicipital groove. Tenderness suggests biceps tendinitis
Figure 51. Anatomy of the shoulder joint.
Clavicle
Acromioclavicular
joint/ligament
Sternoclavicular
joint/ligament
Scapula
Sternum
Glenohumeral
joint
Humerus
Acromion
Coracoid
process
09-OCSEs-Orthopaedics_5e ccp.indd 233 19/03/2015 07:45
Clinical
Skills
for
OSCEs
234 Station 86 Shoulder examination
Move
Demonstrate these movements to the patient. Ask him to tell you if he feels any pain at any point. Note
where the pain starts and stops, and any restriction in movement.
• Abduction: 
“Raise your arms above your head, making the palms of your
hands touch.”
• Adduction: “Cross your arms across the front of your body.”
• Flexion: “Raise your arms forwards.”
• Extension: “Pull your arms backwards.”
• External rotation: 
“With your arms bent and your elbows tucked into your sides
separate your hands.”
• Internal rotation: 
“With your arms bent and your elbows tucked into your sides
bring your hands together.”
• Internal rotation in adduction: “Reach up your back and touch your shoulder blades.”
• External rotation in abduction: 
“Hold your hands behind your neck, like you do at the end of the
day.”
If any one movement is limited, also test the passive range of movement.
Serratus anterior function
Ask the patient to put his hands against a wall and to push against it. Observe the scapulae from
behind, looking for asymmetry or winging.
After the examination
• State that you would also like to examine the vascular and neurological systems of the upper
limb.
• If appropriate, indicate that you would order some tests, e.g. X-ray (AP and lateral), FBC, ESR,
rheumatoid factor, etc.
• Thank the patient.
• Offer to help him put his clothes back on.
• Ensure that he is comfortable.
• Summarise your findings and offer a differential diagnosis.
09-OCSEs-Orthopaedics_5e ccp.indd 234 19/03/2015 07:45
Orthopaedics
and
rheumatology
235
Station 86 Shoulder examination
Conditions most likely to come up in a shoulder examination station
Frozen shoulder (adhesive capsulitis):
• The shoulder capsule becomes inflamed, resulting in pain and stiffness.
• Range of active movements is almost the same as that of passive movements.
• The movement that is most severely restricted is external rotation.
• Often idiopathic.
• More common in females.
• Rarely presents under the age of 40.
Calcific tendinitis:
• Pain and restricted movement result from deposits of hydroxyapatite in any tendon of the
body, but most commonly in those of the rotator cuff.
• Pain is aggravated by elevation of the arm.
• Calcific deposits are visible on X-ray.
• Calcific tendinitis predisposes to frozen shoulder.
Rotator cuff tear:
• Tears of one or more of the four tendons of the rotator cuff muscles, particularly that of
supraspinatus.
• Often asymptomatic, but may cause tenderness and pain that may radiate along the arm.
• The movement that is most severely restricted is abduction; however, if the arm is passively
abducted beyond 90°, the patient can abduct his arm further using the deltoid muscle.
Impingement syndrome:
• Impingement of the supraspinatus tendon between the acromion and the humeral head.
• There is pain, weakness, and restricted movement with a painful arc of movement from 60 to
120° of abduction.
• Impingement syndrome predisposes to rotator cuff tear.
Shoulder dislocation:
• Separation of the humerus from the scapula at the glenohumeral joint.
• Partial separation is referred to as subluxation.
• 95% of shoulder dislocations are anterior.
• Anterior dislocations are usually caused by the arm being forced into abduction and external
rotation.
• Apart from a visibly displaced shoulder, there is severe pain that may radiate along the arm
and a severely restricted range of movement.
Bicipital tendinitis:
• Inflammation of the long head of the biceps tendon, often associated with trauma or overuse.
• There is shoulder pain that is exacerbated by overhead activity and by lifting.
• There is tenderness over the bicipital groove.
• In cases of rupture of the long head of the biceps tendon, the retracted muscle belly bulges
over the anterior upper arm (Popeye sign).
Osteoarthritis (see Station 82)
Winging of the scapula
Referred pain from the cervical spine or the heart
09-OCSEs-Orthopaedics_5e ccp.indd 235 19/03/2015 07:45
Clinical
Skills
for
OSCEs
236 Station 87
Spinal examination
Before starting
• Introduce yourself to the patient, and confirm his name and date of birth.
• Explain the examination and obtain his consent.
• Ask him to undress to his undergarments.
• Ensure that he is comfortable.
The examination
Look
Inspect from front and back.
• General inspection: ask the patient to stand and assess posture. Are there any obvious malfor-
mations?
• Skin: scars, pigmentation, abnormal hair, unusual skin creases.
• Shape and posture.
• Spine:
–
– lateral curvature of the spine – scoliosis (observe from the back)
–
– abnormal increase in the kyphotic curvature of the thoracic spine – kyphosis (observe from
the side)
–
– sharp, angular bend in the spine – a kyphos (observe from the side)
–
– loss or exaggeration of lumbar lordosis
• Asymmetry or malformation of the chest.
• Asymmetry of the pelvis.
Feel
Ask if there is any pain before you start.
• Palpate and percuss the spinous processes and interspinous ligaments. Then palpate the para-
vertebral/paraspinal muscles. Note any pain or tenderness.
Move
Ask the patient to copy your movements, looking for any limitation of range of movement. Ask him to
indicate if any of the movements are painful.
Gait
Cervical spine
• Flexion: “Put your chin on your chest.”
• Extension: “Look at the ceiling.”
• Lateral flexion: “Put your ear onto your shoulder without lifting your shoulder.”
• Rotation (normal range is about 80 degrees to each side): “Look back over each shoulder.”
Thoracic spine
• Rotation. “Please sit down” (to stabilise the pelvis) “and twist from side to side”.
Measure chest expansion. It should be at least 5 cm.
09-OCSEs-Orthopaedics_5e ccp.indd 236 19/03/2015 07:45
Orthopaedics
and
rheumatology
237
Station 87 Spinal examination
Lumbar spine
• Flexion: “Touch your toes, keep your knees straight.”
• Extension: “Lean back, keep your knees straight.”
• Lateral flexion: “Slide your hand alongside the outside of your leg.”
Schober’s test: measure lumbar excursion by drawing a line from 10 cm above L5 to 5 cm below it
and asking the patient to bend fully forwards. Extension of the line by 5 cm indicates movement
restriction. (Rather than drawing a line, you can just use two fingers or a measuring tape.)
Special tests
Ask the patient to lie prone.
• Palpate the sacroiliac joints for tenderness.
• Press on the mid-line of the sacrum to test if movement of the sacroiliac joints is painful.
• Femoral stretch test (L2–L4):
–
– with the patient lying prone, raise the leg so as to flex the knee
–
– if this does not trigger any pain, raise the leg further so as to extend the hip – pain suggests
irritation of the second, third, or fourth lumbar root of that side
Ask the patient to lie supine.
• Straight leg raise (L5–S2):
–
– with the patient lying supine, flex the hip while maintaining the knee in extension: pain in
the thigh, buttock, and back suggests sciatica
–
– the response can be amplified by concomitant dorsiflexion of the foot (Bragard’s test)
–
– if you’re after a gold medal, perform Lasègue’s test: flex the knee and then flex the hip to 90
degrees; with your left hand on the knee, gradually extend the knee with your right hand
until the pain is reproduced
After the examination
• State that you would also like to carry out neurological and vascular examinations.
• If appropriate, indicate that you would order some tests, e.g. X-ray, MRI, DEXA, FBC, ESR, bone
profile, etc.
• Thank the patient.
• Offer to help the patient put his clothes back on.
• Ensure that he is comfortable.
• Summarise your findings and offer a differential diagnosis.
Figure 52. The femoral stretch test.
09-OCSEs-Orthopaedics_5e ccp.indd 237 19/03/2015 07:45
Clinical
Skills
for
OSCEs
238 Station 87 Spinal examination
Conditions most likely to come up in a spinal examination station
Osteoarthritis (see Station 82)
Ankylosing spondylitis (see Station 82)
Prolapsed disc:
• Part of the nucleus pulposus herniates through the outer part of the disc with attending
inflammation and nerve root compression.
• Most cases occur in the lumbar spine, most commonly at L4/L5 and L5/S1.
• Symptoms may include back pain that is aggravated by coughing, sneezing, or straining and
relieved by lying flat; nerve root pain (often involving the sciatic nerve, ‘sciatica’); other nerve
root symptoms such as numbness and paraesthesiae; cauda equina syndrome.
• The distribution of the symptoms helps to identify the level of the lesion.
• Straight leg raise, Bragard’s test, and Lasègue’s test are positive.
• Commonest in men and in middle age.
Muscular back pain
Scoliosis
09-OCSEs-Orthopaedics_5e ccp.indd 238 19/03/2015 07:45
239
Orthopaedics
and
rheumatology
Station 88
Hip examination
Before starting
• Introduce yourself to the patient, and confirm his name and date of birth.
• Explain the examination and obtain his consent.
• Ask him to undress to his undergarments.
• Ensure that he is comfortable.
The examination
Look
Inspect from front and back.
• General inspection: posture, symmetry of legs and pelvis, deformity, muscle wasting (especially
the gluteals), scars.
• Gait (observe from the front and back): note any limp – antalgic, short leg, or Trendelenberg (see
Station 37).
• Trendelenberg’s test: ask the patient to stand on each leg in turn, lifting the other one off the
ground by bending it at the knee. Face the patient and support him by the index fingers of his
outstretched hands. The sign is positive if the pelvis drops on the non-weight bearing side.
Ask the patient to lie supine.
• Skin: colour, sinuses, scars.
• Position: limb shortening, limb rotation, abduction or adduction deformity, flexion ­
deformity.
• Limb length.
–
– to measure true leg length, position the pelvis so that the iliac crests lie in the same hori-
zontal plane, at right angles to the trunk (this is not possible if there is a fixed abduction or
adduction deformity) and then measure the distance from the anterior superior iliac spine
(ASIS) to the medial malleolus. True leg shortening suggests pathology of the hip joint
Figure 53. Negative (left) and positive Trendelenberg’s test.
A positive Trendelenberg’s test suggests weakness of the
abduction of the weight-bearing hip, and hence a problem in
that hip.
09-OCSEs-Orthopaedics_5e ccp.indd 239 19/03/2015 07:45
Clinical
Skills
for
OSCEs
240 Station 88 Hip examination
–
– to measure apparent leg length, measure the distance from the xiphisternum to the medial
malleolus. Apparent leg shortening suggests pelvic tilt, most often due to an adduction
deformity of the hip
• Circumference of the quadriceps muscles at a fixed point.
Feel
Ask if there is any pain.
• Skin: temperature, effusions (difficult to feel).
• Bones and joints: bony landmarks of the hip joint, inguinal ligament.
Move
Look for limitation of the normal range of movement, and ask the patient to report any pain.
• Flexion and Thomas’ test:
–
– flex both hips and place your hand in the small of the back to ensure that the lumbar lordosis
has been eliminated
–
– hold one hip flexed and straighten the other leg, maintaining your hand in the small of the
back – if the leg cannot be straightened and the knee is unable to rest on the couch, a fixed
flexion deformity is present
–
– repeat for the other leg
• Abduction and adduction:
–
– drop one leg over the edge of the couch to fix the pelvis
–
– place one hand on the anterior superior iliac spine of the other leg and carry it through
abduction and adduction
–
– repeat for the other leg
• Rotation:
–
– flex the hip and knee to 90 degrees
–
– hold the knee in the left hand and the ankle in the right hand
–
– using your right hand, rotate the hip internally and externally (approximately 45 degrees in
each direction)
–
– repeat for the other leg
Ask the patient to lie prone.
• Look for scars, etc.
• Feel for tenderness.
• Extend each hip in turn. Keep a hand under a bent knee and extend the hip by pulling the leg
up at the ankle.
After the examination
• State that you would also like to examine the vascular and neurological systems of the lower
limbs.
• If appropriate, indicate that you would order some tests, e.g. hip and knee X-ray, DEXA, FBC,
ESR, bone profile, etc.
• Thank the patient.
• Offer to help the patient put his clothes back on.
• Ensure that he is comfortable.
• Summarise your findings and offer a differential diagnosis.
09-OCSEs-Orthopaedics_5e ccp.indd 240 19/03/2015 07:45
Orthopaedics
and
rheumatology
241
Station 88 Hip examination
Conditions most likely to come up in a hip examination station
Osteoarthritis:
• The hip is held in flexion, external rotation, and adduction.
• This is accompanied by pain and restricted movement.
• There is apparent limb shortening.
• There are other signs of osteoarthritis, e.g. Heberden’s nodes on the distal interphalangeal
joints.
Slipped upper femoral epiphysis:
• Fracture through the physis resulting in slippage of the overlying epiphysis, producing a
‘melting ice-cream cone’ on X-ray.
• Limited movement of the hip, particularly internal rotation and abduction, and pain in the hip,
groin, or knee.
• External rotation and shortening of the affected leg.
• Often presents in obese prepubescent males.
Trendelenburg gait (see Station 37)
Antalgic gait (see Station 37)
Hip replacement
Hip arthrodesis
Trochanteric bursitis
09-OCSEs-Orthopaedics_5e ccp.indd 241 19/03/2015 07:45
Clinical
Skills
for
OSCEs
242 Station 89
Knee examination
Before starting
• Introduce yourself to the patient, and confirm his name and date of birth.
• Explain the examination and obtain his consent.
• Ask him to undress from the waist downwards.
• Ensure that he is comfortable.
The examination
Ask the patient to stand.
Look
• Gait: observe from in front and behind, looking for instability, limp, and limited range of move-
ment.
• Position: neutral, varus, valgus, fixed flexion, hyperextension (recurvatum).
• Squat test (avoid in elderly patients).
Ask the patient to lie supine.
• Skin: colour, sinuses, scars (including arthroscopic scars).
• Shape: alignment, effusion, patellar alignment.
• Position: hyperextension, varus, valgus (distal portion is displaced laterally).
Measure quadriceps circumference a hand breadth above the patella.
Feel
Ask if there is any pain.
• Skin: temperature (compare both sides).
• Effusions: cross fluctuation, patellar tap test, and bulge test.
–
– cross fluctuation: place the thumb and index finger of one hand on the joint line just below
the patella and with the other hand empty the suprapatellar pouch. If an impulse is transmit-
ted across the joint line, this indicates a large effusion
–
– patellar tap test: empty the suprapatellar pouch with one hand and dip the patella with
the thumb, index finger, and middle finger of the other hand. If the patella is felt to tap the
underlying bone and to bounce back up, this indicates a medium sized effusion
–
– bulge test: empty the medial parapatellar fossa by stroking the medial aspect of the joint;
then empty either the suprapatellar pouch or the lateral parapatellar fossa. If the medial
parapatellar fossa is seen to bulge out, this indicates a small effusion
• Joint line at 90 degrees of flexion. Feel for any synovial thickening.
• Surrounding structures: ligaments, tibial tuberosity, femoral condyles.
• Patella: note size and height of patella and carry out patellar apprehension tests. Displace the
patella laterally while flexing the knee. If the patella is unstable, the patient will either contract
the quadriceps muscle or discontinue the test.
Move
• Active:
–
– flexion
–
– extension
09-OCSEs-Orthopaedics_5e ccp.indd 242 19/03/2015 07:45
Orthopaedics
and
rheumatology
243
Station 89 Knee examination
• Passive:
– flexion (to 140 degrees), feeling for crepitus and clicks
– extension (to 0 to -10 degrees)
Special tests
• Collateral ligament tears.
– apply varus and valgus stresses at 0 degrees and 20 degrees of flexion. Hold the leg under
one arm and apply pressure on the medial/lateral side of the knee joint
• Cruciate ligament tears.
– posterior sag test: flex the knee to 90 degrees and look for a sag across the knee. The pres-
ence of a sag indicates a posterior cruciate ligament tear
– anterior and posterior drawer tests: flex the knee to 90 degrees, sit on the foot (ask the
patient first!), and pull the tibia back and forth. Exaggerated anterior displacement indicates
that the anterior cruciate ligament is probably torn, whereas exaggerated posterior displace-
ment indicates that the posterior cruciate ligament is probably torn
– Lachman’s test (Figure 54): flex the knee to 30 degrees and, holding the thigh in one hand
and the proximal tibia in the other, attempt to make the joint surfaces slide upon one
another. Exaggerated anterior displacement of the tibia indicates that the anterior cruciate
ligament is probably torn
• Meniscal tears.
– McMurray’s test (Figure 55): place one hand on the knee and the other on the ankle. Flex the
hip and knee. To test the medial meniscus, palpate the posteromedial margin of the joint.
Then hold the leg in external rotation and extend the knee. To test the lateral meniscus, pal-
pate the posterolateral margin of the joint. Then hold the leg in internal rotation and extend
the knee. A positive test is one that elicits pain, resistance, or a reproducible click
– Apley’s grinding test (not usually performed)
Figure 54. Lachman’s test.
09-OCSEs-Orthopaedics_5e ccp.indd 243 19/03/2015 07:45
Clinical
Skills
for
OSCEs
244 Station 89 Knee examination
Lie the patient prone.
• Popliteal fossa:
–
– inspect the popliteal fossa
–
– palpate the popliteal fossa for a Baker’s (popliteal) cyst
After the examination
• State that you would also like to examine the vascular and neurological systems of the lower
limbs.
• If appropriate, indicate that you would order some tests, e.g. X-ray (AP and lateral), FBC, ESR,
bone profile, rheumatoid factor, etc.
• Thank the patient.
• Offer to help the patient put his clothes back on.
• Ensure that he is comfortable.
• Summarise your findings and offer a differential diagnosis.
The age and sex of the patient have a strong bearing on the differential diagnosis.
Conditions most likely to come up in a knee examination station
• Recurrent subluxation of the patella.
• Chrondromalacia patellae.
• Collateral ligament tears.
• Cruciate ligament tears.
• Meniscal tears.
• Osteoarthritis.
• Rheumatoid arthritis.
• Prepatellar and infrapatellar bursitis.
• Baker’s (popliteal) cyst.
• Tibial apophysitis (Osgood–Schlätter’s disease).
Figure 55. McMurray’s test.
09-OCSEs-Orthopaedics_5e ccp.indd 244 19/03/2015 07:45
245
Orthopaedics
and
rheumatology
Station 90
Ankle and foot examination
Before starting
• Introduce yourself to the patient, and confirm his name and date of birth.
• Explain the examination and obtain his consent.
• Ask him to undress from the waist downwards.
• Ensure that he is comfortable.
The examination
The patient is standing.
Look
• General inspection: posture, symmetry, and any obvious deformities. Look for clues such as
walking aids and abnormal wear on shoes. Ask the patient to turn around.
• Gait: observe from front and back. Pay particular attention to height of step, ankle movement,
and foot strike. Ask the patient to stand on his tiptoes and then on his heels.
Ask the patient to lie on the couch.
• Skin: colour, sinuses, scars, corns, calluses, ulcers, bunions (big toe), Tailor’s bunion/bunionette
(little toe).
• Shape: alignment, pes planus (flat foot), pes cavus (arched foot), deformities of the toes (hallux
valgus, claw, hammer, and mallet toes).
• Position: varus or valgus hindfoot deformity.
Feel
Ask about any pain.
• Skin: temperature (compare both sides), abnormal thickening on the soles of the feet.
• Pulses: dorsalis pedis, posterior tibial.
• Bone and joints: palpate the joint margin, forefoot (metatarsals and metatarsophalangeal
joints) and hindfoot, and localise any tenderness. Remember to keep looking at the patient’s
face.
Move (active and passive)
Look for restriction of the normal range of movement. Ask the patient to report any pain.
Figure 56. Claw, mallet (DIP
joints), and hammer toes
(PIP joints).
09-OCSEs-Orthopaedics_5e ccp.indd 245 19/03/2015 07:45
Clinical
Skills
for
OSCEs
246 Station 90 Ankle and foot examination
Ankle joint
• Hold the heel in the left hand and the forefoot in the right hand.
• Plantarflex the foot (normal range 40 degrees).
• Dorsiflex the foot (normal range 25 degrees).
• Compare range of movement to that in the other foot.
Subtalar joint
• Hold the heel in the left hand and the forefoot in the right hand, as above, with the ankle fixed
at 90 degrees.
• Invert the foot (normal range 30 degrees).
• Evert the foot (normal range 15 degrees).
• Compare the range of movement to that in the other foot.
Midtarsal joint
• Hold the heel in the left hand and the forefoot in the right hand.
• Flex, extend, invert, and evert the forefoot.
Toes
• Flex and extend each toe in turn. If there is any tenderness, try to localise it to a particular joint.
Ask the patient to lie prone.
• Look for any scars and for wasting of the calves.
• Palpate the calf muscle and the Achilles tendon.
• Simmond’s test: squeeze the calf – if the foot plantarflexes, the Achilles tendon is intact.
After the examination
• State that you would also like to examine the vascular and neurological systems of the lower
limbs.
• If appropriate, indicate that you would order some tests, e.g. foot and ankle X-ray (AP and lat-
eral), FBC, ESR, bone profile, rheumatoid factor, etc.
• Thank the patient.
• Offer to help him put his socks and shoes back on.
• Ensure that he is comfortable.
• Summarise your findings and offer a differential diagnosis.
Conditions most likely to come up in an ankle and foot examination station
• Osteoarthritis.
• Rheumatoid arthritis.
• Ankle injuries.
• Deformities of the foot.
• Plantar fasciitis.
09-OCSEs-Orthopaedics_5e ccp.indd 246 19/03/2015 07:45
247
Emergency
medicine
and
anaesthesiology
Station 91
Adult Basic Life Support
• Make sure you, the victim, and any bystanders are safe.
• Check the victim for a response. Gently shake his shoulders and ask loudly, “Are you all right?”
If he responds:
• Leave him in the position in which you find him provided there is no further danger.
• Try to find out what is wrong with him and get help if needed.
• Reassess him regularly.
If he does not respond:
• Shout for help.
• Turn him onto his back and open the airway using the head-tilt, chin-lift technique:
–
– place your hand on his forehead and gently tilt his head back
–
– with your fingertips under the point of his chin, lift the chin to open the airway
–
– holding his airway open, put your ear to his mouth. Listen, feel, and look for breathing for no
more than 10 seconds. If you have any doubt about whether breathing is normal, assume
that it is not
Agonal breathing (occasional gasps, slow, laboured, or noisy breathing) is common in the
early stages of cardiac arrest and should not be mistaken for a sign of life.
2 rescue breaths
30 compressions
30 chest
compressions
UNRESPONSIVE ?
Adult Basic Life Support
Shout for help
Open airway
NOT BREATHING NORMALLY ?
Call 999
Figure 57. Basic Life Support algorithm.
10-OCSEs-Emergency_Medicine_5e ccp.indd 247 19/03/2015 13:32
Clinical
Skills
for
OSCEs
248 Station 91 Adult Basic Life Support
If he is breathing normally:
• Turn him into the recovery position.
• Call for an ambulance by mobile phone or, if this is not possible, send a bystander to call. Leave
the victim only if there is no other way of obtaining help.
• Check for continued breathing.
If he is not breathing normally:
• Ask someone to call for an ambulance and bring an automated external defibrillator (AED) if
available. If you are on your own, use your mobile phone to call for an ambulance. Leave the
victim only if there is no other way of obtaining help.
• Deliver 30 chest compressions followed by 2 rescue breaths. To deliver chest compressions:
–
– kneel by the side of the victim
–
– place the heel of one hand in the centre of the victim’s chest
–
– place the heel of the other hand on top of the first hand
–
– interlock the fingers of your hands and ensure that pressure is not applied on the victim’s
ribs, bottom end of his chest bone, or upper abdomen
–
– position yourself vertically above the victim’s chest and, with your arms straight, press down
on the sternum 5–6 cm
–
– after each compression, release all the pressure on the chest without losing contact between
your hands and the sternum – repeat at a rate of about 100–120 per minute
–
– compression and release should take an equal amount of time
To deliver rescue breaths:
–
– after 30 compressions, again open the airway using head-tilt and chin-lift
–
– pinch the soft part of the victim’s nose closed using the index finger and thumb of the hand
on his forehead
–
– allow his mouth to open, but maintain chin lift
–
– take a normal breath and place your lips around his mouth, making sure that you have a
good seal
–
– blow steadily into his mouth whilst watching for his chest to rise – take about 1 second to
make his chest rise
–
– maintaining head-tilt and chin-lift, take your mouth away from him and watch for his chest
to fall
–
– deliver a second rescue breath and return to chest compressions without delay
• Continue with chest compressions and rescue breaths at a ratio of 30:2.
• Stop to re-check the victim only if he starts to show signs of regaining consciousness, such as
coughing, opening his eyes, speaking or moving purposefully AND starts to breathe normally;
otherwise do not interrupt resuscitation.
Figure 58. The head-tilt, chin-lift technique.
10-OCSEs-Emergency_Medicine_5e ccp.indd 248 19/03/2015 13:32
Emergency
medicine
and
anaesthesiology
249
Station 91 Adult Basic Life Support
• If your rescue breaths do not make the chest rise as in normal breathing, check the victim’s
mouth and remove any obstruction and re-check that there is adequate head-tilt and chin-lift.
Do not attempt more than 2 rescue breaths each time before returning to chest ­
compressions.
• If there is more than one person present, the person providing chest compressions should
change every 1–2 minutes with no interruption to the chest compressions.
If the rescuer is unable or unwilling to give rescue breaths, he can give chest compressions
at a rate of 100–120 compressions per minute, stopping only to recheck the victim if he
shows signs of regaining consciousness AND starts to breathe normally.
Continue resuscitation until qualified help arrives or until the victim shows signs of regaining
consciousness AND starts to breathe normally or until exhaustion.
The recovery position
• Remove the victim’s spectacles, if any.
• Kneel beside her and make sure that both her legs are straight.
• Place the arm nearest to you out at right angles to her body, elbow bent, with the hand palm
uppermost.
• Bring the far arm across the chest, and hold the back of the hand against the cheek nearest to
you.
• With your other hand, grasp the far leg just above the knee and pull it up, keeping the foot on
the ground.
• Keeping her hand pressed against her cheek, pull on the far leg to roll her towards you and
onto her side.
• Adjust the upper leg so that both the hip and knee are bent at right angles.
• Tilt the head back to ensure that the airway remains open.
• Adjust the hand under the cheek, if necessary, to keep the head tilted.
   Figure 59. The recovery position.
10-OCSEs-Emergency_Medicine_5e ccp.indd 249 19/03/2015 13:32
Clinical
Skills
for
OSCEs
250 Station 92
Choking
Choking is a physiological response to obstruction of the airways by a foreign object, and can lead
to asphyxia (oxygen starvation) and brain hypoxia, and, ultimately, loss of consciousness and death.
Victims of choking are likely to grab or point at their neck. Young children are prone to choking on
food and small objects, so eating or playing prior to the episode is strongly suggestive of choking.
Differentials of choking include fainting, heart attack, seizure, and other conditions that may cause
sudden respiratory distress, cyanosis, or loss of consciousness.
The first step is to ask the victim, “Are you choking?”
Mild airway obstruction
The victim is able to breathe, speak, or cough forcefully.
• Encourage the victim to cough, and intervene only if the situation begins to deteriorate.
Severe airway obstruction
The victim is unable to breathe or speak, or his breathing sounds wheezy, or his attempts at coughing
are silent or ineffective. He may simply respond by nodding.
• Apply the ‘five-and-five’ protocol.
• Deliver up to five back blows:
–
– stand to the side and slightly behind the victim
–
– support the chest with one hand and lean him well forwards so that, if it is dislodged, the
object falls out of the mouth rather than further down the airway
–
– with the heel of your other hand, deliver up to five back blows between the shoulder blades,
checking between each blow whether the obstruction has been relieved
• If obstruction persists, deliver up to five abdominal thrusts (Heimlich manoeuvre):
–
– stand behind the victim
–
– wrap your arms around his waist and lean him forward
–
– clench your fist and place it between the umbilicus and xiphisternum
–
– grasp this fist firmly with your other hand and pull sharply inwards and upwards
–
– repeat up to five times
• If, after five abdominal thrusts, the obstruction still has not been cleared, repeat the ‘five-and-
five’ protocol.
Unconscious victim
• Support the victim carefully to the ground. Call an ambulance immediately. Begin CPR (see
Station 91). Initiate chest compressions even if a pulse is present.
Pregnant or obese victim
• Adapt the Heimlich manoeuvre by placing your clenched fist just above where the lowest
ribs meet.
Infants below the age of one
• Place the child in a head-down, prone position over your forearm or on your lap.
• Hold the jaw with one hand to support the head.
• Deliver up to five back blows between the shoulder blades.
10-OCSEs-Emergency_Medicine_5e ccp.indd 250 19/03/2015 13:32
Emergency
medicine
and
anaesthesiology
251
Station 92 Choking
• If the obstruction has not cleared, place the child in a head-down, supine position and deliver
chest compressions using the two-finger technique (see Station 66).
• If the obstruction still has not been cleared, repeat the ‘five-and-five’ protocol.
• If the child is unconscious, open the airway, deliver 5 rescue breaths, and start CPR (see
Station 66).
[Note] Followingsuccessfultreatmentforchoking,victimswithapersistentcough,difficultyswallowing,orwithasense
of something still stuck in the throat should seek immediate medical attention.
10-OCSEs-Emergency_Medicine_5e ccp.indd 251 19/03/2015 13:32
Clinical
Skills
for
OSCEs
252 Station 93
In-hospital resuscitation
This sequence should be followed for a collapsed patient in hospital.
• Ensure personal safety.
• Shout for help.
• Check the patient for a response – gently shake his shoulders and loudly ask “Are you all right?”
• If the patient responds:
–
– urgent medical assessment is required – depending on local protocols, this may be by the
resuscitation team
–
– while awaiting the arrival of this team, assess the patient using the ABCDE approach
–
– give the patient oxygen
–
– attach basic monitoring
–
– obtain venous access
Handover to
resuscitation team
Advanced Life Support
when resuscitation team
arrives
Apply pads/monitor
Attempt defibrillation
if appropriate
CPR 30:2
with oxygen and airway
adjuncts
Shout for help and assess patient
Collapsed/sick patient
Call Resuscitation Team
e.g. dial ‘2222’
Assess ABCDE
Recognise and treat
Oxygen, monitoring,
IV access
Call resuscitation team
if appropriate
Signs
of life? YES
NO
Figure 60 In-hospital resuscitation
algorithm.
10-OCSEs-Emergency_Medicine_5e ccp.indd 252 19/03/2015 13:32
Emergency
medicine
and
anaesthesiology
253
Station 93 In-hospital resuscitation
• If the patient does not respond:
–
– turn the patient onto his back
–
– open the airway using the head-tilt, chin-lift technique
[Note] if there is a risk of C-spine injury, use the jaw-thrust or chin-lift technique with manual in-line stabilisation (MILS)
of the head and neck by an assistant (if sufficient staff are available). If airway obstruction persists despite jaw
thrustorchinlift,addheadtiltasmallamountatatime.Establishinganairwayshouldtakepriorityoverconcerns
about a potential C-spine injury.
• Holding the patient’s airway open, put your ear to his mouth. Listen, feel, and look for breathing
for no more than 10 seconds. Inspect the oropharynx for a foreign body or vomitus.
• Assess the carotid pulse at the same time or after the breathing check.
Agonal breathing (occasional gasps, slow, laboured, or noisy breathing) is common in the
early stages of cardiac arrest and should not be mistaken for a sign of life.
• If the patient has a pulse or other signs of life:
–
– urgent medical assessment is required. Depending on local protocols, this may be by the
resuscitation team
–
– while awaiting the arrival of this team, assess the patient using the ABCDE approach
–
– give the patient oxygen
–
– attach monitoring
–
– obtain venous access
• If there is no pulse or other signs of life:
–
– one person should start CPR as others call the resuscitation team and collect the resuscita-
tion equipment. If only one member of staff is present, this will mean leaving the patient
–
– give 30 chest compressions followed by 2 ventilations. Place your interlocked hands in the
middle of the lower half of the sternum and depress the chest by 5–6 cm, aiming for a rate
of 100–120 compressions per minute. The person providing the chest compressions should
change every 2 minutes or earlier, with only minimal interruption to the chest compressions
–
– maintain the airway and ventilate the lungs with the most appropriate equipment imme-
diately at hand. A pocket mask, which may be supplemented by an oral airway, is usually
readily available. If no equipment is immediately at hand, give mouth-to-mouth ventilation
unless there are clinical reasons to avoid mouth-to-mouth contact (e.g. TB or SARS)
–
– use an inspiratory time of 1 second and give enough volume to produce a chest rise as in
normal breathing. Add supplemental oxygen as soon as possible
–
– once the airway has been secured, continue chest compressions uninterrupted at a rate of
100–120 compressions per minute and ventilate the lungs at approximately 10 breaths per
minute. Only stop compressions for defibrillation or pulse checks
Figure 61. The head-tilt jaw-thrust technique.
10-OCSEs-Emergency_Medicine_5e ccp.indd 253 19/03/2015 13:32
Clinical
Skills
for
OSCEs
254 Station 93 In-hospital resuscitation
–
– upon arrival of the defibrillator, apply self-adhesive defibrillation pads to the patient without
interrupting chest compressions
–
– if using an automated external defibrillator (AED), switch on the machine and follow the
visual prompts
–
– for manual defibrillation, minimise the interruption to CPR to deliver a shock
–
– pause briefly to assess the heart rhythm. With a manual defibrillator, if the rhythm is VF or
pulseless VT (VF/VT), charge the defibrillator and restart chest compressions
–
– once the defibrillator is charged, oxygen sources have been removed, and all the rescuers
apart from the one doing the chest compressions are clear, pause the chest compressions,
rapidly check that everyone is clear (tell the remaining rescuer to “stand clear”), and deliver
the shock. Restart the chest compressions immediately. This sequence should be planned
before stopping the chest compressions
–
– continue resuscitation until the resuscitation team arrives or until the patient shows signs
of life. If using an AED, follow the voice prompts. If using a manual defibrillator, follow the
algorithm for ALS (see Station 94)
–
– prepare intravenous cannulae and drugs likely to be used by the resuscitation team (e.g.
adrenaline)
–
– identify one person to be responsible for handover to the resuscitation team leader and
locate the patient’s notes
• If the patient is not breathing but has a pulse (respiratory arrest):
–
– ventilate the patient’s lungs as described above, checking for a pulse after every 10 breaths
(about every minute)
–
– if there are any doubts about the presence of a pulse, start chest compressions until more
experienced help arrives
• If a patient has a monitored and witnessed cardiac arrest:
–
– confirm cardiac arrest and shout for help
–
– if the initial rhythm is VF/VT, give up to three quick successive (stacked) shocks. Start chest
compressions immediately after the third shock and continue CPR for 2 minutes
–
– a pre-cordial thump in these settings works rarely and may succeed only if given within
seconds of the onset of a shockable rhythm. It should not delay calling for help or accessing
a defibrillator
Adapted from Resuscitation Council (UK) 2010 Guidelines.
10-OCSEs-Emergency_Medicine_5e ccp.indd 254 19/03/2015 13:32
255
Emergency
medicine
and
anaesthesiology
Station 94
Advanced Life Support
Specifications: A mannequin in lieu of a patient.
Figure 62. Advanced Life Support algorithm.
Unresponsive?
Not breathing or
only occasional gasps
Return of
spontaneous
circulation
Immediate post cardiac
arrest treatment
Call
resuscitation team
CPR 30:2
Attach defibrillator/monitor
Minimise interruptions
Assess
rhythm
Shockable
(VF/pulseless VT)
1 Shock
Immediately resume
CPR for 2 min
Minimise interruptions
Non Shockable
(PEA/Asystole)
During CPR
Ensure high-quality CPR: rate, depth, recoil
Plan actions before interrupting CPR
Give oxygen
Consider advanced airway and capnography
Continuous chest compressions when
advanced airway in place
Vascular access (intravenous, intraosseous)
Give adrenaline every 3–5 min
Correct reversible causes
Use ABCDE approach
Controlled oxygenation
and ventilation
12-lead ECG
Treat precipitating cause
Temperature control/
therapeutic hypothermia
Reversible Causes
Hypoxia
Hypovolaemia
Hypo-/hyperkalaemia/metabolic
Hypothermia
Thrombosis (coronary or pulmonary)
Tamponade, cardiac
Toxins
Tension pneumothorax
Immediately resume
CPR for 2 min
Minimise interruptions
10-OCSEs-Emergency_Medicine_5e ccp.indd 255 19/03/2015 13:32
Clinical
Skills
for
OSCEs
256 Station 94 Advanced Life Support
The patient has arrested and CPR is under way. The defibrillator/monitor has just been attached.
• Assess the rhythm.
• Pause briefly to check the monitor, confirm VF or pulseless VT from the ECG, and resume the
chest compressions immediately.
• Select the appropriate energy on the defibrillator (150–200 J biphasic for the first shock and
150–360 J biphasic for subsequent shocks) and press the charge button.
• Once the defibrillator is charged, oxygen sources have been removed, and all the rescuers apart
from the one doing the chest compressions are clear, pause the chest compressions, rapidly
check that everyone is clear (tell the remaining rescuer to “stand clear”), and deliver the shock.
Restart the chest compressions immediately. This sequence should be planned before stopping
the chest compressions.
• Continue CPR for 2 minutes at a ratio of 30:2.
• Pause briefly to check the monitor and take the carotid pulse. If VF or pulseless VT persists,
repeat the relevant steps above to deliver a second shock.
• If VF or pulseless VT still persists repeat the relevant steps above to deliver a third shock.
Ventricular tachycardia
Ventricular fibrillation
Figure 63. Positioning of the defibrillator paddles or pads.
One paddle goes under the right clavicle and the other in the V6
position in the mid-axillary line.
Figure 64. ECG traces of ventricular fibrillation
and ventricular tachycardia.
10-OCSEs-Emergency_Medicine_5e ccp.indd 256 19/03/2015 13:32
Emergency
medicine
and
anaesthesiology
257
Station 94 Advanced Life Support
• Resume chest compressions immediately and perform CPR for a further 2 minutes, during
which time give adrenaline 1 mg IV and amiodarone 300 mg IV.
• Keep on repeating this 2 minute CRP – rhythm/pulse check – defibrillation sequence for as long
as VF/VT persists.
• Give further adrenaline 1 mg IV after alternate shocks, i.e. after every 3–5 minutes.
• If organised electrical activity compatible with a cardiac output is seen during a rhythm check
(and not otherwise), check for central pulse. If a pulse is present, start post-resuscitation care. If
a pulse is absent, continue CPR and switch to the non-shockable algorithm.
Precordial thump
A single precordial thump has a very low success rate for cardioversion of a shockable rhythm and
is only likely to succeed if given within the first few seconds of the onset of a shockable rhythm.
Delivery of a precordial thump must not delay calling for help or accessing a defibrillator. It is therefore
appropriate therapy only when several clinicians are present at a witnessed, monitored arrest, and
when a defibrillator is not immediately to hand. Using the ulnar edge of a tightly clenched fist, deliver
a sharp impact to the lower half of the sternum from a height of about 20 cm, then retract the fist
immediately to create an impulse-like stimulus. A precordial thump is most likely to be successful in
converting VT to sinus rhythm.
Non-shockable rhythms (PEA and asystole)
Survival after cardiac arrest with PEA or asystole is unlikely unless a reversible cause can be found and
treated successfully.
Sequence of actions for PEA (cardiac electrical activity in the absence of any palpable pulse).
• Start CPR 30:2.
• Give adrenaline 1 mg IV as soon as IV access is achieved.
• Continue CPR 30:2 until the airway is secured, then continue chest compressions without paus-
ing during ventilation.
• Consider possible reversible causes of PEA and correct any that are identified.
• Recheck the patient after 2 minutes.
• If there is still no pulse and no change in the ECG appearance:
–
– continue CPR
–
– recheck the patient after 2 minutes and proceed accordingly
–
– give further adrenaline 1 mg IV after every 3–5 minutes (alternate loops)
• If VF/VT, change to the shockable rhythm algorithm
• If a pulse is present, start post-resuscitation care.
Sequence of actions for asystole and slow PEA (rate  60 per minute).
• Start CPR 30:2.
• Without stopping CPR, check that the leads are attached correctly.
• Give adrenaline 1 mg IV as soon as IV access is achieved.
• Give atropine 3 mg IV (once only).
• Continue CPR 30:2 until the airway is secured, then continue chest compressions without paus-
ing during ventilation.
• Consider possible reversible causes of PEA and correct any that are identified.
• Recheck the patient after 2 minutes and proceed accordingly.
• If VF/VT, change to the shockable rhythm algorithm.
• Give further adrenaline 1 mg IV after every 3–5 minutes (alternate loops).
Adapted from Resuscitation Council (UK) 2010 Guidelines, which can be found at www.resus.org.uk/
pages/als.pdf and which you are encouraged to read.
10-OCSEs-Emergency_Medicine_5e ccp.indd 257 19/03/2015 13:32
Clinical
Skills
for
OSCEs
258 Station 95
The primary and secondary surveys
In this station, you are going to be asked to assess a patient with a medical emergency or who has
suffered severe trauma (e.g. from a road traffic accident). What follows is a general outline of the areas
that you are going to need to cover.
Primary survey
The quick look
• Inspect the patient.
• Introduce yourself to him. Is he responsive? Try to elicit a response by shouting out his name.
Airway and cervical spine
• Assess the airway for obstruction.
• If necessary, clear and secure the airway. If there is suspicion of a cervical spine injury, use the
jaw-thrust technique.
• If there is suspicion of cervical spine injury, immobilise the cervical spine in a stiff collar. Place
sandbags on either side of the head and tape them across the forehead.
Breathing
• Assess breathing: look, listen, feel.
• Expose the chest.
• Note the rate and depth of respiration.
• Look for asymmetries of chest expansion.
• Look for chest injuries.
• Palpate for tracheal deviation. Palpate, percuss, and auscultate the chest. Try to exclude flail
segments, pneumothorax, or haemothorax.
• Attach a pulse oximeter.
• If appropriate, ventilate using a bag, mask, and oropharyngeal airway or endotracheal tube.
Circulation and haemorrhage control
• Control any visible haemorrhage by direct pressure.
• Look for clinical signs of shock: assess the pulse, skin colour, capillary refill time, JVP, heart
sounds, and blood pressure. Try to exclude cardiac tamponade.
• Attach an ECG monitor.
• Place two large-bore (grey) cannulas into large peripheral veins.
• Take a sample of blood for group and cross-match.
• Start fluid replacement.
Disability (neurological assessment)
• Assess neurological function on the AVPU scale:
–
– A Alert
–
– V Voice elicits a response
–
– P Pain elicits a response
–
– U Unresponsive
• Assess the pupils for size and reactivity.
• Check that all limb extremities can be moved.
10-OCSEs-Emergency_Medicine_5e ccp.indd 258 19/03/2015 13:32
Emergency
medicine
and
anaesthesiology
259
Station 95 The primary and secondary surveys
Exposure and environmental control
• Remove the patient’s remaining clothing and inspect both his front and back. Log-roll him (with
the help of others) so that his spine remains immobilised.
• Cover him with a blanket.
Secondary survey
Once the patient is stable:
• Take a short, AMPLE history:
–
– Allergies
–
– Medications and tetanus immunity
–
– Previous medical history
–
– Last meal
–
– Events leading to the injury
• Carry out a head-to-toe physical examination.
• Monitor ECG, BP, oxygen saturation, and core temperature.
• Insert a urinary catheter and, if necessary, a naso-gastric tube (to aspirate stomach contents).
• Order investigations: full blood count, urea and electrolytes, liver function tests, amylase,
glucose, coagulation profile, arterial blood gases, toxicology screen, and X-rays of the lateral
cervical spine, chest, and pelvis.
• Encourage questions from the patient and address his concerns.
10-OCSEs-Emergency_Medicine_5e ccp.indd 259 19/03/2015 13:32
Clinical
Skills
for
OSCEs
260 Station 96
Management of medical emergencies
Acute asthma
You are called to see a 28 year old man in AE. The patient is in obvious respiratory distress, and
is struggling to speak. The nurse tells you that the patient has a history of asthma. PEFR is 40% of
predicted, and oxygen saturation is 91%. What is your immediate course of action?
• Assess the severity of the attack by carrying out a brief physical examination, including ABCs.
A severe attack is indicated by:
–
– PEFR 50% of predicted or best
–
– respiratory rate 25/min
–
– pulse rate of 110 beats/min
–
– inability to complete sentences
A life-threatening attack is suggested by:
–
– oxygen saturation 92%
–
– silent chest, cyanosis, poor respiratory effort
–
– bradycardia, arrhythmia, or hypotension
–
– exhaustion, confusion, or coma
• If this is a severe attack, call for senior or specialist help and inform an anaesthetist and the ITU.
Begin treatment immediately.
• Sit the patient up and give 100% oxygen through a non-rebreather mask with a reservoir bag.
• Give 5 mg salbutamol and 0.5 mg ipratropium bromide nebulised with oxygen.
• Give a corticosteroid such as hydrocortisone 100 mg IV, or prednisolone 30–60 mg PO (if the
patient is not too distressed to take tablets).
• Once the patient is stable, carry out investigations including arterial blood gases (ABGs) and
a chest X-ray. A life-threatening attack can be confirmed on ABGs by a PaO2
 8 kPa, a PaCO2
 5 kPa (due to poor respiratory effort), and a pH  7.35 (due to CO2
retention or lactic acidosis
from tissue ischaemia). ABGs can also be used to monitor serum electrolytes, particularly K+
which may be decreased. Chest X-ray is helpful in excluding differentials such as inhalation of a
foreign body, pneumothorax, pulmonary oedema, and acute exacerbation of COPD.
• If initial measures fail, add magnesium sulphate 1.2–2 g IV over 20 minutes and give salbutamol
nebulisers every 15 minutes.
• Continue monitoring the patient at regular intervals. If he is still not improving, consider ami-
nophylline IV. Discuss with your seniors and with the ITU registrar.
Acute pulmonary oedema
You are called to the ward to see a 55 year old lady with acute shortness of breath. She was admitted
with severe diarrhoea and vomiting, and was therefore being aggressively rehydrated. An old ECG
suggests left ventricular damage. On physical examination you find a raised JVP, gallop rhythm, and
bilateral crackles. What is your immediate course of action?
• Sit the patient up.
• Give 100% oxygen through a non-rebreather mask with a reservoir bag. Care must be taken if
the patient has COPD.
• Obtain IV access and attach an ECG monitor. Treat any arrhythmias as appropriate.
• Give GTN spray 2 puffs SL, unless the patient is hypotensive.
• Give diamorphine 2.5–5 mg IV slowly. Care must be taken if the patient has COPD.
• Give frusemide 40–80 mg IV slowly. Note that both diamorphine and frusemide are primarily
acting as vasodilators in this context.
10-OCSEs-Emergency_Medicine_5e ccp.indd 260 19/03/2015 13:32
Emergency
medicine
and
anaesthesiology
261
Station 96 Management of medical emergencies
• Once the patient has stabilised, further investigations can be carried out such as arterial blood
gases, chest X-ray, cardiac enzymes, and UEs. Continue monitoring the patient at regular
intervals.
• Start a nitrate infusion, e.g. isosorbide dinitrate 2–10 mg/h (titrated to BP) unless the patient is
hypotensive. (If systolic BP is  100 mmHg, treat as cardiogenic shock.)
• If the patient deteriorates, discuss with your seniors and with ITU. Consider increasing the
nitrate infusion or giving more frusemide. Re-consider alternative diagnoses such as asthma,
COPD, pneumonia, and pulmonary embolism.
• As this patient has left ventricular failure, an ACE-I is indicated once her condition has stabilised.
Acute myocardial infarction
You are tending to a 65 year old gentleman with known cardiovascular disease when he suddenly
clutches his chest in severe pain. You look up at the cardiac monitor and see prominent ST elevation.
What is your immediate course of action?
• Assess ABCs.
• Give 100% oxygen through a non-rebreather mask with a reservoir bag.
• If not already in place, set up continuous cardiac monitoring and obtain a 12-lead ECG.
• Gain IV access and take blood for baseline troponins, FBC, UEs, glucose, and lipids.
• If possible, carry out a brief assessment of the patient, including brief history and focused physi-
cal examination.
• Give morphine 5–10 mg IV with an antiemetic. Two puffs of sublingual GTN can be given to
provide further relief if the patient is not hypotensive.
• Give aspirin 300 mg PO.
• If the patient is diabetic or the blood glucose is 11 mmol/l, an insulin sliding scale may be
indicated.
• Call the cardiology registrar. For a STEMI, thrombolysis should ideally be given within 90
minutes, e.g. streptokinase 1.5 million units in 100 ml saline IVI over 1 hour. Alteplase may be
indicated if the patient has previously received streptokinase. In equipped centres, primary per-
cutaneous coronary angioplasty/intervention (PCI) is carried out in preference to thrombolysis.
The indications for thrombolysis are:
–
– ST elevation of 2 mm in 2 or more chest leads
–
– ST elevation of 1 mm in 2 or more limb leads
–
– New onset LBBB
–
– Posterior MI, as evidenced by dominant R waves and ST depression in leads V1–3
Ensure that there are no contraindications to thrombolysis such as internal bleeding or severe liver
disease. If so, consider urgent angioplasty instead of thrombolysis.
• Following thrombolysis, give a beta blocker such as atenolol 5 mg IV and an ACE inhibitor such
as lisinopril 2.5 mg (unless contraindicated).
• For a NSTEMI, give LMWH, a beta blocker such as atenolol 5 mg IV, and IV nitrates (unless con-
traindicated). Medium and high risk patients should be given an infusion of GPIIb/IIIa inhibitor,
e.g. abciximab and urgent angiography. Low risk patients may be discharged following a stress
test (exercise ECG/stress echo).
• Following an MI, unless there are any contraindications, the patient should receive:
–
– long term low-dose aspirin (75mg OD)
–
– clopidogrel (4 weeks for STEMI, 3 months for NSTEMI)
–
– long term statin
–
– long term beta blocker
–
– long term ACE inhibitor
10-OCSEs-Emergency_Medicine_5e ccp.indd 261 19/03/2015 13:32
Clinical
Skills
for
OSCEs
262 Station 96 Management of medical emergencies
Massive pulmonary embolism
You are fast-bleeped to the ward, where a 48 year old lady who had surgery for ovarian carcinoma 12
days ago has collapsed on the toilet. She has developed acute dyspnoea with pleuritic chest pain. You
assess ABCs and carry out a brief physical examination and find tachycardia, hypotension, and signs of
right ventricular strain. What is your immediate course of action?
• Give 100% oxygen through a non-rebreather mask with a reservoir bag.
• Obtain IV access. Take blood for FBC, clotting screen, D-dimers, cardiac enzymes, UEs, and cre-
atinine. ABGs should also be taken and may reveal reduced PaO2
, reduced PaCO2
, and acidosis.
• Give morphine 10 mg IV with an anti-emetic.
• Start unfractionated heparin 10000 U IV bolus, then 18 U/kg/h IVI as guided by APTT. Low
molecular weight heparin can be given as an alternative.
• If systolic BP is 90 mmHg, confirm the diagnosis by carrying out ECG, chest X-ray, and com-
puted tomographic pulmonary angiogram (CTPA) which is the gold standard for diagnosing
PE. Chest X-ray is most often normal, but is useful in excluding other chest disease such as
pneumothorax and pneumonia. ECG may reveal sinus tachycardia or AF, right ventricular strain,
RBBB, and, uncommonly, the SI
, QIII
, TIII
pattern: deep S waves in lead I, Q waves in lead III, and
inverted T waves in lead III.
• Start warfarin 10 mg OD PO. Stop heparin once INR is in the range 2–3.
• If systolic BP is 90 mmHg, give a rapid colloid infusion and call for senior help. The patient
may require inotropic support and thrombolysis. Surgical embolectomy is an alternative if
immediately available.
Status epilepticus
You are the duty AE doctor when a fitting patient is brought in by ambulance. You establish that the
fitting started more than 20 minutes ago. What is your immediate course of action?
• Assess ABCs.
• Secure the airway.
• Place the patient in the recovery position.
• Give 100% oxygen through a non-rebreather mask with a reservoir bag to prevent cerebral
hypoxia from seizure activity. Regular suctioning may also be required.
• Record and monitor blood pressure.
• Obtain IV access.
• Take bloods for ABGs, glucose, UEs, calcium, magnesium, LFTs, FBC, toxicology screen, and
anticonvulsant levels to try to determine the cause of the seizures, e.g. hypoglycaemia, metabolic
disturbance, alcohol, drugs, inadequate anticonvulsant dose, cerebral lesion or infection, and, if
the patient is pregnant, eclampsia. Pseudo-seizures are a possibility to bear in mind. Obtain some
information about the patient, e.g. from an accompanying relative, if at all possible.
• If hypoglycaemia is suspected to be the cause, give 50 ml of 50% dextrose IV. If alcohol is sus-
pected to be the cause, give thiamine 250 mg IV over 10 minutes.
• To stop the seizures, give a benzodiazepine such as lorazepam 4 mg IV slowly or diazepam
10 mg IV/PR. IV benzodiazepines should only be given if resuscitation facilities are available.
• If this measure is unsuccessful, the next step is a phenytoin IV infusion. With a blood pressure
and ECG monitor attached, give 15–18 mg/kg, at less than 50 mg/min.
• If this is unsuccessful, call for senior help and for an anaesthetist. General anaesthesia in ITU
may be required.
Diabetic ketoacidosis
A 17 year old boy with no previous medical history presents to AE complaining of vomiting and
abdominal pain. When you see him, he appears severely dehydrated and is breathing heavily. You can
smell ketones on his breath. What is your immediate course of action?
10-OCSEs-Emergency_Medicine_5e ccp.indd 262 19/03/2015 13:32
Emergency
medicine
and
anaesthesiology
263
Station 96 Management of medical emergencies
• Assess ABCs.
• Obtain a rapid blood glucose and urine dipstick for urinary ketones.
• Establish IV access and take blood for laboratory glucose, osmolality, UEs, HCO3
–
, amylase, FBC,
and blood cultures. Obtain an arterial sample for blood gases.
• Give IV fluids. Be careful, as one of the commonest causes of death in DKA (diabetic ketoacido-
sis) is from cerebral oedema from over-rapid rehydration. One regimen is to give 1 l of normal
saline over 30 min followed by 1 l over 1 hour, 1 l over 2 hour, 1 l over 4 hour, and 1 l over 6
hours. Change to 5% dextrose once blood glucose is 10–15 mmol/l.
• Start a sliding scale of insulin via an IVI pump. Add 50 U of Actrapid to 50 ml of saline in a
syringe, and give insulin at an initial rate of 4–8 U/h (4–8 ml/h).
• Monitor vital signs, ECG, glucose, UEs, and HCO3
–
. Aim for a fall in glucose of 5 mmol/h. Plasma
K+
falls as K+
enters cells, so KCl should be added to IV fluids as appropriate.
• Investigate the cause of the episode and treat any precipitating factors such as infection.
• Other measures:
–
– give unfractionated heparin 5000 units TDS SC for venous thromboembolism prophylaxis
–
– consider a naso-gastric tube if the patient is nauseated, vomiting, or unconscious
–
– consider a urinary catheter if there is persistent hypotension, cardiac failure, renal failure, or
no urine output for 2 hours
–
– consider a CVP line in the frail and elderly or if there is cardiac failure or renal failure
Acute poisoning
• Carry out ABCs and take action as appropriate. Nurse in semi-prone position if unconscious.
• If possible, take a focussed history from the patient or friends/relatives concentrating in
particular on:
–
– the drugs ingested and their quantities
–
– associated alcohol or drug use
–
– symptoms, including vomiting
–
– other aspects of the history, particularly past medical history, past psychiatric history, and
drug history
Carry out a full physical examination. If no history is available, try to identify the ingested drug from
your findings.
Table 29. Acute poisoning – identifying the ingested drug
Drug Signs and symptoms
Paracetamol Initially: none or nausea, vomiting, and RUQ pain
Later: jaundice, hypoglycaemia, encephalopathy, renal failure
Salicylates Vomiting, dehydration, increased respiratory rate, hyperventilation, sweating, warm
extremities, bounding pulse, tinnitus, vertigo, deafness, metabolic disturbances,
pulmonary oedema, renal failure, seizures, coma
Opiates Pin-point pupils (sometimes absent if other drugs are involved), nausea, vomiting,
drowsiness, respiratory depression, coma
• Obtain IV access and take blood for FBC, UEs, creatinine, LFTs, INR/PT/clotting screen, blood
glucose, paracetamol and salicylate levels, other specific drug levels (as appropriate, contact
senior colleagues or the National Poisons Information Service if unsure). Other investigations
that need to be carried out include urine/serum toxicology screen, ABGs, and an ECG.
• Monitor vital signs such as respiratory rate, oxygen saturation, pulse rate, blood pressure, and
temperature. Consider attaching a cardiac monitor to monitor ECG and inserting a urinary cath-
eter to monitor urinary output.
10-OCSEs-Emergency_Medicine_5e ccp.indd 263 19/03/2015 13:32
Clinical
Skills
for
OSCEs
264 Station 96 Management of medical emergencies
• If appropriate, consider
–
– gastric emptying and lavage (NB. gastric lavage alone is rarely used)
–
– activated charcoal (50 g in 200 ml water) to reduce the absorption of, for example, paraceta-
mol or salicylates from the gut
Paracetamol
• Specialist help from the gastroenterology team should be sought early if severe liver damage is
likely. In adults, 150 mg/kg or more may be fatal.
• Transfer to a specialist unit if systolic BP  80 mmHg, blood pH  7.3, INR  2, creatinine  200,
or there are signs of encephalopathy or increased intracranial pressure.
• Repeat paracetamol level, ideally at 4 hours post-ingestion.
• If  8 hours post-ingestion and paracetamol level is above the normal treatment line, give
N-acetylcysteine (NAC, Parvolex) IVI as per protocol. If the patient is malnourished (e.g. in ano-
rexia or alcoholism), or on an enzyme-inducing drug, prefer the high-risk treatment line instead
(Figure 65).
• If8hourspost-ingestionandthepatienthastakenasignificantoverdose,startN-acetylcysteine
and stop if paracetamol level returns below the treatment line and INR/ALT is normal. Note that
paracetamol level is unreliable after 15 hours or in the event of a staggered overdose; simply
treat according to the initial amount ingested.
200
190
180
170
160
150
140
130
120
110
100
90
80
70
60
50
40
30
20
10
0
1.3
1.2
1.1
1.0
0.9
0.8
0.7
0.6
0.5
0.4
0.3
0.2
0.1
0.0
0 2 4 6 8 10 12
Time (h)
Plasma
paracetamol
concentration
(mg/l)
Plasma
paracetamol
concentration
(mmol/l)
14 16 18 20 22 24
High-risk treatment line
Normal treatment line
Figure 65. Paracetamol poisoning: normal and high-risk treatment lines.
10-OCSEs-Emergency_Medicine_5e ccp.indd 264 19/03/2015 13:32
Emergency
medicine
and
anaesthesiology
265
Station 96 Management of medical emergencies
• Continue monitoring vital signs at regular intervals and repeat UEs, creatinine, LFTs, and INR/
PT on the next day.
Salicylates
• IV fluids to correct any dehydration, with particular attention to K+ supplements.
• Give 1.26% sodium bicarbonate IVI to correct any metabolic acidosis.
• Repeat salicylate levels at 2 hours post-ingestion. Levels above 700 mg/l are potentially fatal:
call for senior or specialist help.
• If plasma level  700 mg/l or severe acidosis, renal failure, heart failure, or seizures, consider
haemodialysis.
• Monitor salicylate levels, ABGs, blood glucose, UEs, and urinary output.
Opiates
• Naloxone, e.g. 0.4–2 mg IV, titrated to response.
• As naloxone has a shorter half-life than opiates, it may need to be given often or as an intrave-
nous infusion to prevent re-occurrence of signs and symptoms. If the patient is threatening to
self-discharge, it can be given IM.
• Naloxone may precipitate severe withdrawal in high-dose opiate misusers, who may be very
angry at you for ruining their ‘trip’.
Once the patient is medically stable, he should be referred for a psychiatric assessment.
10-OCSEs-Emergency_Medicine_5e ccp.indd 265 19/03/2015 13:32
Clinical
Skills
for
OSCEs
266 Station 97
Bag-valve mask (BVM/’Ambu bag’) ventilation
Specifications: A mannequin in lieu of a patient.
• Open the airway using the head-tilt, chin-lift method. Remove any visible obstruction from the
mouth.
• Identify the need for a Guedel airway (e.g. if the airway is obstructed or the patient is uncon-
scious).
• Size the Guedel airway by measuring the distance from the incisors to the angle of the jaw. The
most commonly used sizes are 2 for a small adult, 3 for a medium adult, and 4 for a large adult.
• Insert the Guedel airway so that its concave side faces away from the tongue. After inserting it
almost to the back of the pharynx, rotate it 180 degrees and slide it in to its full extent.
• Choose an appropriately sized bag-valve mask.
• Attach the bag-valve mask to an oxygen supply. Adjust the flow rate to 15 l per minute.
• Hold the mask over the face with your dominant hand. Place your thumb over the nose and
support the jaw with the middle and ring fingers (Figure 66). Ensuring a tight seal is difficult, so
make sure you get sufficient practice.
• Maintain the head-tilt, chin-lift position.
• Use your free hand to compress the bag.
• Look for a rise in the chest.
If a second person is available (e.g. the examiner), use both hands to hold the mask and
get him to squeeze the bag.
• Ventilate at a rate of 10 compressions per minute until the patient starts breathing or until the
patient can be intubated and put on a ventilator.
Figure 66. Bag-valve mask ventilation
technique.
10-OCSEs-Emergency_Medicine_5e ccp.indd 266 19/03/2015 13:32
267
Emergency
medicine
and
anaesthesiology
Station 98
Laryngeal mask airway (LMA) insertion
Specifications: A mannequin in lieu of a patient.
Table 30. Laryngeal mask sizes
Size 1 Infant
Size 2 Child
Size 3 Small adult
Size 4 Normal adult
Size 5 Large adult
The equipment
Gather in a tray:
• A pair of non-sterile gloves • An air-filled syringe
• Laryngeal mask of appropriate size (see Table 30) • A bandage
• Lubricant
Before inserting the laryngeal mask
• Don the gloves.
• Assemble the equipment.
• Check inflation and deflation of the laryngeal mask airway (LMA).
• Lubricate the laryngeal mask.
• Ensure that the patient has received adequate anaesthesia (the cough reflex should be sup-
pressed).
• Ensure that the patient has been pre-oxygenated, or pre-oxygenate him by bag ventilation for
1 minute.
• Use the head-tilt, chin-lift technique to ensure that the mouth is fully open.
• Check the state of the dentition.
Inserting the laryngeal mask
• Insert the tip of the LMA into the mouth, ensuring that the aperture is facing the tongue.
• Press the tip of the LMA against the hard palate as you introduce it into the pharynx.
• Use your index finger to guide the tube into the pharynx until resistance can be felt.
• Check that the black line on the tube is facing the upper lip.
If you do not succeed in inserting the laryngeal mask within 30 seconds, you must pre-
oxygenate the patient a second time before you try again.
10-OCSEs-Emergency_Medicine_5e ccp.indd 267 19/03/2015 13:32
Clinical
Skills
for
OSCEs
268 Station 98 Laryngeal mask airway (LMA) insertion
After inserting the laryngeal mask
• Inflate the cuff, ensuring that you do not over-inflate it. A size 3 LMA needs 20 ml of air, a size
4 30 ml, and a size 5 40 ml.
• Attach the breathing system and check that the patient is being satisfactorily ventilated.
• Secure the cuff in place by means of a length of bandage.
Larynx
Trachea
Epiglottis
Cuff
Oesophagus
Figure 67. Laryngeal mask insertion.
10-OCSEs-Emergency_Medicine_5e ccp.indd 268 19/03/2015 13:32
269
Emergency
medicine
and
anaesthesiology
Station 99
Pre-operative assessment
The surgical pre-assessment is about half the job of a surgical house officer, so is not unlikely to be
examined in a final year OSCE. The aims of the pre-operative assessment are primarily to:
• Ascertain that the patient is fit for surgery and anaesthesia.
• Take appropriate action if he is not.
• Ensure that he fully understands the proposed procedure.
• Ensure that he fully understands the peri-operative process and any special requirements of the
proposed procedure.
• Minimise any remaining fears or anxieties.
[Note] The responsibility for gaining informed consent from the patient is no longer that of the junior house officer, but
that of the operating surgeon.
Specifications: In this station you may be asked to talk through or carry out a part or parts of the
pre-operative assessment.
Before starting
• Introduce yourself to the patient, and confirm his name and date of birth.
• Explain that you are going to ask him some questions and carry out a physical examination to
assess his fitness for surgery.
• Ensure that he is comfortable.
The assessment
History
• Medical history, in particular:
–
– previous surgery and anaesthesia – ask specifically about history of anaesthetic complica-
tions, e.g. suxamethonium apnoea, malignant hyperpyrexia
–
– previous hospital admissions
–
– cardiovascular: hypertension, palpitations, angina, myocardial infarction, cardiac failure,
orthopnoea, other ‘heart problems’, stroke or TIA
–
– respiratory: dyspnoea, asthma, cough, tuberculosis
–
– GI and renal: dysphagia, heartburn, liver disease, renal failure
–
– other: diabetes, sickle cell anaemia, epilepsy, neuromuscular problems
• Drug history:
–
– prescribed medication – ask specifically about recent changes in medication, insulin, and
anticoagulants
–
– over-the-counter and alternative medication
–
– recreational drugs (especially cocaine, ecstasy, and narcotics)
• Allergies including to antiseptic, plaster, and latex.
• Smoking.
• Alcohol.
[Note] Most drugs should be taken as normal on the day of the surgery, although special advice is needed for insulin and
anticoagulants.
• Family history of allergic reactions, anaesthetic complications, and medical and surgical conditions.
• Social history, e.g. level of support in post-operative period.
10-OCSEs-Emergency_Medicine_5e ccp.indd 269 19/03/2015 13:32
Clinical
Skills
for
OSCEs
270 Station 99 Pre-operative assessment
Physical examination
• Record height and weight and calculate the patient’s body mass index as given by weight in
kilograms/(height in metres)2
, e.g. 70 kg/(1.8 m)2
= 21.6 (normal 18.5–25).
• Examine the cardiovascular, respiratory, gastrointestinal, and neurological systems.
• Assess neck mobility by asking the patient to flex and extend his neck.
• Assess jaw mobility by asking him to open and close his mouth.
• Inspect the state of the dentition.
• Carry out a Mallampati pharyngeal assessment. To do this you need to ask the patient to open
his mouth as wide as possible and to extend his tongue (Figure 68).
Figure 68. 
Mallampati pharyngeal assessment:
III – Pharyngeal pillars, soft palate, and uvula visible;
III – Soft palate and uvula visible;
III – Soft palate and the base of the uvula visible;
IV – Soft palate not visible
NB: Mallampati scores of III or IV are relative contraindications to surgery
• Determine the ASA physical status rating, a health index at the time of surgery (Table 31).
Table 31. The ASA physical status rating
1*   Healthy, no systemic disturbance
2*   Mild/moderate systemic disease. No activity limitation.
3*   Severe systemic disturbance. Some activity limitation.
4*   Life-threatening systemic disturbance. Severe activity limitation.
5*   Moribund with limited chance of survival.
* Add suffix E for emergency.
I III IV
II
10-OCSEs-Emergency_Medicine_5e ccp.indd 270 19/03/2015 13:32
Emergency
medicine
and
anaesthesiology
271
Station 99 Pre-operative assessment
Pre-operative investigations
Table 32. Indications for pre-operative investigations
Group and save/cross-
match
Group and save for e.g. cholecystectomy, ERCP, mastectomy, amputation
Cross-match for e.g. laparotomy (2 units), TURP (3 units), hip replacement (4
units), liver surgery (6 units), aneurysm repair (4 units if elective, 10 units if
emergency)
FBC Cardiorespiratory disease, anaemia, blood loss, chronic disease, blood
disorders, on an oral anticoagulant, alcohol misuse, female patients, male
patients  40 years
Clotting screen Liver disease, alcohol misuse, on an anticoagulant
Sickle cell screening Patients from Africa, the Caribbean, and the Mediterranean
UEs Hypertension, heart failure, renal failure, liver disease, diabetes, dehydration,
starvation, on diuretics, digoxin, steroids, or lithium, age  60 and having
major surgery
Glucose Diabetes, obesity, on steroids
LFTs (including
clotting screen)
Liver disease, alcohol misuse, malignancy, malnutrition
ECG Arrhythmias, angina, myocardial infarction, heart murmurs, heart failure,
cardiovascular risk factors, age  50
CXR Hypertension, cardiorespiratory disease or symptoms, malignancy, age  60
and having major surgery, recent immigrant
Cervical spine X-ray Severe chronic rheumatoid arthritis, cervical spondylosis
Other TFTs in thyroid disease
Amylase in abdominal pain or hepatobiliary surgery
Lung function tests in severe respiratory disease
Drug levels, e.g. if on digoxin or lithium
HIV
Peri-operative management
Explain about:
• Fasting, in most cases:
–
– stop solids from 6 hours before the operation
–
– stop clear fluids (and chewing gum) from 2 hours
• Pre-medication:
–
– benzodiazepines can be given before the operation to help the patient feel sleepy or less
anxious
• The anaesthetic procedure:
–
– patient information about different anaesthetic procedures can be found on the website of
the Royal College of Anaesthetists: http://www.rcoa.ac.uk/patientinfo
• Post-operative pain relief:
–
– oral analgesia, e.g. paracetamol, cocodamol, NSAIDs such as diclofenac and ibuprofen,
tramadol, opiates
–
– parenteral analgesia
10-OCSEs-Emergency_Medicine_5e ccp.indd 271 19/03/2015 13:32
Clinical
Skills
for
OSCEs
272 Station 99 Pre-operative assessment
–
– suppositories
–
– local anaesthetics and regional blocks
–
– patient-controlled analgesia
–
– patches
• Post-operative nausea and vomiting:
–
– explain to the patient that he may feel sick after the operation and reassure him that this is
quite normal and that he can be given an anti-sickness tablet or injection
• Going home and driving.
After the procedure
• Ask the patient if he has any remaining questions or concerns.
• Thank him.
• Order the appropriate investigations (Table 32) and remember to check up on the results!
• Talk to the anaesthetist if you have any concerns.
10-OCSEs-Emergency_Medicine_5e ccp.indd 272 19/03/2015 13:32
273
Emergency
medicine
and
anaesthesiology
Station 100
Syringe driver operation
There are two different sorts of syringe driver: the 50 ml syringe pump, frequently used for heparin,
glyceryl trinitrate, and insulin infusions, and for epidural and patient-controlled analgesia; and the
Graseby syringe driver, which installs a 10 ml or 20 ml syringe and is frequently used in palliative care.
There are two varieties of the Graseby syringe driver: the blue Graseby MS 16A, which is designed to be
programmed at an hourly rate, and the green Graseby MS 26, which is designed to be programmed at
a 12, 24, or 48 hourly rate. In this station, you may be required to set up and operate a Graseby syringe
driver for two drugs, e.g. diamorphine and cyclizine.
Figure 69. The blue Graseby MS 16A, designed to be programmed at an hourly rate.
Before starting
• Introduce yourself to the patient.
• Explain the need for a syringe driver and the procedure involved, and gain consent.
• Gather the appropriate equipment.
The equipment
• Non-sterile gloves
• Graseby syringe driver (check the battery is in place and the device is functioning)
• Luer-lock syringe (10 ml or 20 ml)
• Subcutaneous giving set
• Drug
• Diluent (sterile water or normal saline)
10-OCSEs-Emergency_Medicine_5e ccp.indd 273 19/03/2015 13:32
Clinical
Skills
for
OSCEs
274 Station 100 Syringe driver operation
The procedure
• Consult the prescription chart and check:
–
– the identity of the patient
–
– the prescription: drug(s), dose(s), diluent, route of administration, duration of the infusion,
date and time of starting
–
– drug allergies
• Check the name, dose, and expiry date of the drug(s) on the vial(s).
• Ask a colleague (registered nurse or doctor) to confirm the name, dose, and expiry date of the
drug(s) on the vial(s).
• Don a pair of non-sterile gloves.
• Draw up the correct doses of the drugs into the Luer-lock syringe.
• Draw up the correct diluent to make up the requested volume (stated on the prescription chart)
and shake the syringe with the needle capped.
• Connect the giving set to the syringe and run the infusion through it.
• Calculate the rate of infusion by measuring the length of liquid in the syringe in millimetres
and dividing it by the number of hours (Graseby 16A) or days (Graseby MS 26) over which the
infusion should be given.
• Label the syringe with:
–
– the patient’s name, date of birth, and hospital number
–
– the date and time of preparation
–
– drugs used and their doses
–
– diluent used and its volume
–
– rate of infusion
–
– your name
• Place the syringe into the syringe driver and secure the device.
• Set the syringe driver to the rate required.
• Place the giving set subcutaneously and start the infusion.
After the procedure
• Sign the drug chart, and have your checking colleague countersign it.
• Ask the patient if he has any questions or concerns.
• Ensure that he is comfortable.
10-OCSEs-Emergency_Medicine_5e ccp.indd 274 19/03/2015 13:32
275
Emergency
medicine
and
anaesthesiology
Station 101
Patient-Controlled Analgesia (PCA) explanation
In PCA, the patient presses a button to activate an infusion pump and receive a pre-prescribed
intravenous bolus of analgesic, most commonly morphine or another opioid such as diamorphine,
pethidine, or fentanyl.  
Advantages
• Prevents delays in analgesic administration and thereby minimises pain. In the post-operative
period this may forestall a number of adverse events such as disability, pressure sores, DVT, PE,
atelectasis, and constipation.
• Minimises the amount of analgesic used, as the patient only activates the pump if he is actually
in pain. Other people, such as relatives, should be told not to activate the pump.
• Provides a reliable indication of the patient’s pain, and its evolution over time.
• Reduces the chance of dangerous medication errors, as the pump is programmed according to
a set prescription and ‘locks out’ if the patient tries to activate it too often. A typical dose regi-
men is a 0.5–2.0 mg bolus of morphine with a lock-out of 10–15 minutes.
Disadvantages
• Patients may not receive enough analgesia (see later). In particular, patients may wake up in
pain, as they cannot press the button when they are asleep.
• Patients may be physically or mentally unable to press a button.
• The pumps are expensive and may malfunction, especially if the battery is not adequately
charged.
Side-effects
Side-effects of morphine include:
• Respiratory depression.
• Sedation.
• Nausea and vomiting.
• Constipation.
• Urinary retention.
• Pruritus.
Some of these side-effects can be controlled by additional prescriptions of, for example, anti-emetics,
laxatives, or antihistamines. If the patient is suffering from significant respiratory depression or
sedation, the dose should be decreased and alternative analgesia considered. (Remember that
respiratory depression or sedation can also be caused by important post-operative complications, so
do not omit to exclude these.)
Monitoring
Patients should be reviewed at regular intervals for pain, analgesic usage, and side-effects; observations
should be made of the patient’s pain score, analgesic usage, pulse, blood pressure, respiratory rate, and
oxygen saturation. If pain relief is inadequate, the dose regime should be altered. In some cases, a
continuous ‘background’ infusion might be considered.
10-OCSEs-Emergency_Medicine_5e ccp.indd 275 19/03/2015 13:32
Clinical
Skills
for
OSCEs
276 Station 102
Epidural analgesia explanation
Epidural analgesia, or ‘epidural’, is a form of regional anaesthesia involving the injection of local
anaesthetics and/or opioids through a catheter inserted into the epidural space. Epidurals can be
indicated for analgesia in labour (often simply as a matter of patient choice), for surgical anaesthesia
in certain operations, e.g. Caesarean section, and as an adjunct to general anaesthesia in others, e.g.
laparatomy, hysterectomy, hip replacement. They can also be indicated for post-operative analgesia,
back pain, and palliative care.
Advantages
• Permits analgesia to be delivered as a continuous infusion and/or to be patient-controlled.
• Effective and safe, with a mortality of only about 1 in 100000.
• In post-operative analgesia, reduces the risk of certain post-operative complications such as
nausea and vomiting, chest infections, and constipation.
Disadvantages
• 5% failure rate.
• In labour, increases the risk of an assisted delivery.
Contraindications
Absolute
• Raised intracranial pressure.
• Coagulopathy/anticoagulation.
• Hypovolaemia.
• Skin infection at epidural site.
• Septicaemia.
Relative
• Un-cooperative patient.
• Anatomical abnormalities or previous spinal surgery.
• Certain neurological disorders.
• Certain heart-valve problems.
Procedure
Epidurals are normally performed by a trained anaesthetist with the patient either in the preferred
sitting position or in the left lateral position. The planned entry site is identified and marked. After the
skin is cleaned and local anaesthetic administered, a Tuohy needle is advanced until a loss of resistance
is felt anterior to the ligamentum flavum. The cathether, a fine plastic tube, is then threaded through the
needle and the needle is removed, leaving the catheter in place. As epidurals are usually carried out in
the mid-lumbar region, there is very little risk of injuring the spinal cord.
10-OCSEs-Emergency_Medicine_5e ccp.indd 276 19/03/2015 13:32
Emergency
medicine
and
anaesthesiology
277
Station 102 Epidural analgesia explanation
Side-effects and complications
• Side-effects of opioids.
• In higher doses can result in loss of other modalities of sensation (such as touch and proprio-
ception) and motor function.
• Hypotension, most often resulting from loss of sympathetic function.
• Urinary retention.
• Accidental dural puncture resulting in a leak and a severe headache that is exacerbated by rais-
ing the head above horizontal.
• Accidental infusion into the CSF resulting in a high block or, more rarely, a total spinal involving
profound hypotension, respiratory paralysis, and unconsciousness.
• Epidural haematoma that can cause spinal compression.
• Abscess formation.
Monitoring
Patients receiving epidural analgesia should be monitored for pain intensity, drug-related side-effects,
and signs of complications due to the epidural procedure.
Dura
Epidural space
Skin
Interspinous ligament
Spinous process
Ligamentum flavum
Epidural needle
Catheter
Figure 70. Anatomy of the
epidural space.
10-OCSEs-Emergency_Medicine_5e ccp.indd 277 19/03/2015 13:32
Clinical
Skills
for
OSCEs
278 Station 103
Wound suturing
Specifications: A pad of ‘skin’ in lieu of a patient. This station most likely requires you to talk through
the parts of the procedure and then to demonstrate your suturing technique. For this second part,
there can be no substitute for practice, practice, and more practice!
Before starting
• Introduce yourself to the patient, and confirm his name and date of birth.
• Explain the procedure and obtain consent.
• Examine the wound, looking for debris, dirt, and tendon damage.
• Indicate that you would request an X-ray to exclude a foreign body.
• Assess distal motor, sensory, and vascular function.
• Position the patient appropriately and ensure that he is comfortable.
The equipment
• A pair of sterile gloves
• A suture pack
• A suture of appropriate type (monofilament non-absorbable for superficial wounds, absorb-
able for deep wounds) and size (3/0 for scalp and trunk, 4/0 for limbs, 5/0 for hands, 6/0 for
face)
• A 5 ml syringe, 21G and 25G needles, and a vial of local anaesthetic (e.g. 1% lignocaine)
• Antiseptic solution
• A sharps bin
The procedure
• Wash your hands.
• Open the suture pack, thus creating a sterile field.
• Pour antiseptic solution into the receptacle.
• Open the suture, the syringe, and both needles onto the sterile field.
• Wash your hands using sterile technique.
• Don the non-sterile gloves.
• Attach a 21G needle to the syringe.
• Ask an assistant (the examiner) to open the vial of local anaesthetic and draw up 5 ml of local
anaesthetic. For an average 70 kg adult, up to 20 ml of 1% lignocaine can be safely used,
although 5–10 ml is usually sufficient. Epinephrine may be used with lignocaine to minimise
bleeding. The maximum safe dose of lignocaine with or without epinephrine is 7 mg/kg and
3 mg/kg respectively. However, avoid injecting epinephrine when anaesthetising the extremi-
ties due to the risk of ischaemic tissue necrosis.
• Discard the needle into the sharps bin and attach the 25G needle to the syringe.
• Clean the wound (use forceps) with antiseptic-soaked cotton wool and drape the field. Dirty
wounds may benefit from cleansing with povidone iodine, whereas normal saline can be used
to cleanse and irrigate ‘clean’ wounds.
• Inject the local anaesthetic into the apices and edges of the wound. Make sure to pull back on
the plunger before injecting to make sure that you are not injecting into a vessel.
• Discard the needle into the sharps bin.
• Indicate that you would give the anaesthetic 5–10 minutes to operate (or as long as it takes for
sensation to a needle prick to be lost).
10-OCSEs-Emergency_Medicine_5e ccp.indd 278 19/03/2015 13:32
Emergency
medicine
and
anaesthesiology
279
Station 103 Wound suturing
• Apply the sutures approximately 3 mm from the wound edge and 5–10 mm apart. Use needle-
holding forceps to hold the needle and toothed forceps to pick up the skin margins. Knot the
sutures around the needle-holding forceps.
Figure 72. Suggested approach for suturing. Knot the sutures around the needle-holding forceps: loop the suture
twice around the nose of the needle-holding forceps using your hand. Then take hold of the short end of the
suture with the needle-holding forceps and carry it through the loops, gently pulling the knot tight. Two further
single loops are then added in a similar fashion to secure the knot. Each loop is pulled in the opposite direction
across the wound edge.
After the procedure
• Clean the wound and indicate that you would apply a dressing.
• Assess the need for a tetanus injection.
• Giveappropriateinstructionsforwoundcare(inparticular,ifthewoundbecomespainfulorinflamed,
itshouldbebroughtbacktomedicalattention),andindicatethedateonwhichthesuturesshouldbe
removed (e.g. face 3–4 days, scalp 5 days, trunk 7 days, limbs 7–10 days, feet 10–14 days).
• Ask if the patient has any questions or concerns.
• Thank him.
Figure 71. Use needle-holding forceps to
hold the needle approximately two-thirds
from the needle tip.
10-OCSEs-Emergency_Medicine_5e ccp.indd 279 19/03/2015 13:32
Clinical
Skills
for
OSCEs
280 Station 104
Blood glucose measurement
Specifications: In this station you are far more likely to be asked to talk through a blood glucose
measurement or ‘BM’ (Boehringer Mannheim) than carry it out on a patient or actor.
Before starting
• Introduce yourself to the patient, and confirm his name and date of birth.
• Explain the procedure and obtain his consent.
• Establish when he last ate (fasting blood glucose is usually carried out in the morning before
the patient has had anything to eat or drink).
The equipment
In a tray, gather:
• A pair of non-sterile gloves • A spring-loaded pricker
• An alcohol wipe • A lancet
• A glucose monitor • Cotton wool
• Test strips • A sharps bin
The procedure
• Ask the patient to wash and dry his hands, or use an alcohol wipe to clean the finger that you
are going to prick.
• Wash your hands and don the gloves.
• Massage the finger from its base to its tip to increase its perfusion.
• Turn on the glucose monitor and ensure that it is calibrated.
• Check that the test strips have not expired.
• Insert a test strip into the glucose monitor.
• Load the lancet into the pricker and prick the side of the finger.
It is less painful to prick the side rather than the tip of a finger because there are
comparatively fewer nerve endings there.
• Dispose of the lancet/pricker in the sharps bin.
• Squeeze the finger to obtain a droplet of blood. If no or insufficient blood is obtained, prick the
finger again and be sympathetic to the patient’s plight!
• Place the droplet of blood on the test strip, so as to cover the sensor entirely.
• Give the patient some cotton wool to stop any bleeding.
• Record the reading on the monitor. Units are in millimoles per litre.
• Dispose of the test strip and gloves in a clinical waste bin.
After the procedure
• Tell that patient their blood glucose and explain its significance and any further action that
needs to be taken, e.g. fasting blood glucose, oral glucose tolerance test (OGTT), laboratory
measurement. Note that the diagnosis of diabetes in a symptomatic patient should never be
made on the basis of a single abnormal blood glucose measurement.
• Ask the patient if he has any questions or concerns.
• Thank him.
11-OCSEs-Data_interpretation_5e ccp.indd 280 19/03/2015 13:39
Data
interpretation
281
Station 104 Blood glucose measurement
Table 33. Blood glucose measurement: interpretation of result (normal results vary from lab to
lab)
Units are in millimoles per litre
Normal
fasting glucose
non-fasting glucose*
 6.0
 7.8
Impaired glucose tolerance
fasting glucose
non-fasting glucose
6–7
7.8–11.1
Diabetes mellitus
fasting glucose
non-fasting glucose
≥ 7.0
≥ 11.1
* 2-h post 75 g glucose.
Examiner’s questions: Complications of type II diabetes
Acute:
• Hyperosmolar non-ketotic coma (HONK).
• Hypoglycaemia.
• Respiratory infections.
Microvascular:
• Retinopathy and cataracts.
• Nephropathy progressing to renal failure.
• Neuropathy, most frequently distal symmetric sensorimotor polyneuropathy in a glove-and-
stocking distribution and oculomotor mononeuropathy.
Macrovascular:
• Cardiovascular disease and MI.
• Cerebrovascular disease and CVA/stroke.
• Peripheral vascular disease: foot ulcers progressing to diabetic foot disease, impotence.
11-OCSEs-Data_interpretation_5e ccp.indd 281 19/03/2015 13:39
Clinical
Skills
for
OSCEs
282 Station 105
Urine sample testing/urinalysis
Before starting
• Introduce yourself to the patient, and confirm his name and date of birth.
• Take a very brief history from him.
• Explain the procedure and obtain consent.
• Ensure that the urine specimen is fresh and that it has been appropriately collected (genitalia
have been cleaned, bottle has not come into contact with body, only mid-stream urine has
been collected).
The equipment
• Urine dipstick and urine dipstick bottle
• A pair of non-sterile gloves
• A pen and paper (or the patient’s case notes)
The procedure
• Wash your hands and don the gloves.
• Inspect the colour and appearance of the urine. In particular, is it cloudy or bloody?
• Stir the urine bottle to ensure that the urine is mixed.
• Check the expiry date on the urine dipstick jar.
• Briefly immerse the urine dipstick into the urine specimen.
• Tap off any excess urine from the dipstick.
• Hold the strip horizontally.
• After 2 minutes, read each colour pad using the colour chart on the dipstick bottle.
• Report and record the results.
• Discard the used urine dipstick and the gloves.
• Wash your hands.
Specific gravity 60 sec
pH 60 sec
Leukocytes 60–120 sec
Blood 60 sec
Nitrite 60 sec
Ketones 60 sec
Bilirubin 60 sec
Urobilinogen 60 sec
Protein 60 sec
Glucose 60 sec Figure 73. The colour chart on
the urine dipstick bottle.
11-OCSEs-Data_interpretation_5e ccp.indd 282 19/03/2015 13:39
Data
interpretation
283
Station 105 Urine sample testing/urinalysis
After testing the urine
• Explain the results to the patient.
• Document the results in the patient’s notes.
• If abnormal, suggest obtaining a second sample of urine or sending the urine for laboratory
analysis, i.e. microscopy, cytology, and sensitivity (MCS).
• Thank the patient.
Table 34. Urine dipstick: interpretation of results
Leukocytes Urinary tract infection
Nitrites Bacteriuria, contaminated sample
Protein Kidney damage or disease, standing upright for prolonged periods, exercise, fever,
pregnancy, rarer causes, e.g. leukaemia, multiple myeloma, pre-eclampsia
Blood Kidney damage or disease, urinary calculi, urinary tract infection, contaminated sample,
exercise, dehydration, myoglobinuria
Ketones Diabetic ketoacidosis, starvation, alcohol intoxication
Glucose Diabetes mellitus, pregnancy
11-OCSEs-Data_interpretation_5e ccp.indd 283 19/03/2015 13:39
Clinical
Skills
for
OSCEs
284 Station 106
Blood test interpretation
1. Reference ranges are based on a Gaussian or normal distribution, and usually include about
95% of the population. This means that a result only slightly outside the reference range is
not necessarily ‘abnormal’.
2. Reference ranges do vary from one laboratory to another – don’t let this confuse you!
Full blood count (FBC/CBC)
Normal range
Hb 13–18 g/dl (males); 11.5–16 g/dl (females)
RCC 4.5–6.5 ¥ 1012
/l (males); 3.9–5.6 ¥ 1012
/l (females)
PCV 0.4–0.54 (males); 0.37–0.47 (females)
MCV 76–96 fl
MCHC 30–36 g/dl
WCC 4.0–11.0 ¥ 109
/l
neutrophils	 2.0–7.5 ¥ 109
/l (40–75% WCC)
lymphocytes	 1.3–3.5 ¥ 109
/l (20–45%)
eosinophils	 0.04–0.44 ¥ 109
/l (1–6%)
basophils	 0–0.10 ¥ 109
/l (0–1%)
monocytes	 0.2–0.8 ¥ 109
/l (2–10%)
Platelets 150–400 ¥ 109
/l
• Haemoglobin (Hb) and red cell count (RCC) are increased in dehydration, chronic hypoxia,
and polycythaemia. The term ‘anaemia’ describes a Hb of  13 g/dl in males and  11.5 g/dl in
females. Anaemia has many causes, including iron deficiency, folate or vitamin B12 deficiency,
chronic illness, blood loss, and blood cell destruction.
• Packed cell volume (PCV) or ‘haematocrit’ is the fraction of total blood volume occupied by red
cells; it decreases in anaemia and increases in dehydration, chronic hypoxia, and polycythaemia.
• Mean corpuscular volume (MCV) is the average volume of a red blood cell, and is thus equiva-
lent to PCV/RCC; it decreases in iron deficiency, chronic disease, thalassaemia, and sidero­
blastic
anaemia and increases in folate or vitamin B12 deficiency, alcoholism, liver disease, hypothy-
roidism, pregnancy, reticulocytosis (e.g. in haemolysis), and other haematological diseases.
• Mean corpuscular haemoglobin concentration (MCHC) is the average concentration of hae-
moglobin in red cells, and decreases in iron deficiency, chronic disease, and chronic blood loss.
• A raised white cell count (WCC) or leukocytosis may indicate infection, inflammation, major
tissue damage, or certain lymphoproliferative disorders. The differential white cell count is
useful in determining the probable cause of a leukocytosis. For example, a raised neutrophil
count or neutrophilia may indicate acute bacterial infection, acute inflammation, or major
tissue damage; a raised eosinophil count or eosinophilia may indicate an allergic reaction or
parasitic infection; and a raised lymphocyte count may indicate an acute viral infection, lym-
phoma, or an infection such as TB or pertussis. A depressed WCC may indicate overwhelming
sepsis, bone marrow failure/damage, or myelodysplastic disorder.
• A raised platelet count or thrombocytosis may result from haemorrhage, chronic inflammatory
conditions, hyposplenism, and certain myeloproliferative disorders, e.g. chronic myelogenous
leukaemia. A low platelet count or thrombocytopaenia may result from decreased platelet pro-
duction (e.g. folate or vitamin B12 deficiency, infection, cancer treatment), increased platelet
destruction (e.g. immune thrombocytopaenic purpura, disseminated intravascular coagulation,
systemic lupus erythematosus), or certain drugs.
11-OCSEs-Data_interpretation_5e ccp.indd 284 19/03/2015 13:39
Data
interpretation
285
Station 106 Blood test interpretation
Iron studies (haematinics)
Normal range
Serum iron 14–31 μmol/l (males); 11–30 μmol/l (females)
Ferritin 12–200 μg/l
TIBC 54–75 μg/l
Folate 2.1 μg/l
Vitamin B12 0.13–0.68 nmol/l
• Ferritin is the main protein that stores iron, and so serum ferritin reflects the body’s iron stores.
• Total iron binding capacity (TIBC) reflects the amount of transferrin, a protein that transfers
iron from the gut, in the serum.
• Iron deficiency and chronic disease may both lead to a decrease in serum iron, and therefore
to a microcytic anaemia. In investigating the cause of a microcytic anaemia, serum iron must be
looked at in conjuction with serum ferritin and TIBC. In iron deficiency anaemia, serum ferritin
is decreased and TIBC is increased. In contrast, in anaemia of chronic disease, serum ferritin is
often increased and TIBC often decreased. Note that, in some cases, anaemic of chronic disease
can also present with a normal MCV. Other causes of a normocytic anaemia include acute blood
loss and renal failure.
• By contrast, folate and vitamin B12 deficiency result in a macrocytic anaemia. Folate levels
decrease if dietary intake of folate is inadequate or if demand for folate is increased (e.g.
pregnancy, increased cell turnover) and in alcoholism, malabsorption, pernicious anaemia,
and treatment with certain drugs such as phenytoin and sodium valproate. Vitamin B12 levels
decrease if dietary intake of vitamin B12 is inadequate, and in malabsorption and pernicious
anaemia.
Coagulation/clotting tests
Normal range
PT 10–14 s
APTT 35–45 s
TT 10–15 s
INR 0.9–1.2
D-dimers 0.5 mg/l
• A lack of factors I, II, V, VII, and X or fibrinogen leads to an increase in prothrombin time (PT).
PT thus tests the extrinsic system and is prolonged by warfarin treatment, vitamin K deficiency,
liver disease, and DIC.
• A lack of factors I, II, V, VIII, IX, XI, or XII leads to an increase in activated partial thromboplas-
tin time (APTT). APTT thus tests the intrinsic system and is prolonged by heparin treatment,
haemophilia, liver disease, and DIC.
• Thrombin time (TT) is prolonged by a deficiency of factor I (fibrinogen), heparin treatment, and
DIC.
• INR is the ratio of PT to mean PT in a normal population, and should thus be around 1. Target
INR for DVT and PE prophylaxis is 2–3 (3.5 if recurrent), but 3–4 for prosthetic metallic heart
valves.
• D-dimers are a fibrin degradation product, and are raised in DVT, PE, and DIC, but also in inflam-
matory states.
11-OCSEs-Data_interpretation_5e ccp.indd 285 19/03/2015 13:39
Clinical
Skills
for
OSCEs
286 Station 106 Blood test interpretation
ESR
Normal range
ESR  20 mm/h
Or, for males, (age in years)/2, and for females (age in years + 10)/2
• A raised erythrocyte sedimentation rate (ESR) is a non-specific finding that often results from
inflammation, but sometimes also from injury or malignancy. Serial ESR measurements can be
used to monitor disease severity and treatment response in inflammatory disorders such as
rheumatoid arthritis and temporal arteritis.
Thyroid function tests
Normal range
TSH 0.5–5.7 mU/l
Thyroxine (T4) 70–140 nmol/l
Free T4 9–22 pmol/l
Tri-iodothyronine (T3) 1.2–3 nmol/l
TBG 7–17 mg/l
• Typical findings in hyperthyroidism are decreased TSH (thyroid-stimulating hormone) and
increased (or normal) T4, free T4, and T3.
• Typical findings in hypothyroidism are increased TSH and decreased (or normal) T4 and free T4.
• Increased TSH and increased T4 suggest a TSH-secreting tumour.
• Decreased TSH, T4, and T3 suggest pituitary disease or ‘sick euthyroidism’, which can be seen
in any systemic illness.
• T4 and T3 are increased if TBG (thyroxine-binding globulin) is increased (e.g. in pregnancy or
oestrogen therapy) and vice versa.
Liver function tests
Normal range
Bilirubin 3–17 μmol/l
ALT 5–35 U/l
AST 5–35 U/l
ALP 30–150 U/l
GGT 11–51 U/l (males); 7–33 U/l (females)
Albumin 35–50 g/l
• The amount of bilirubin in the blood reflects the balance between that produced by red
cell destruction and that removed by the liver. A raised bilirubin level results either from
­
diseases causing increased red blood cell destruction, diseases causing hepatocellular damage,
or diseases causing biliary obstruction and thereby restricting the excretion of bilirubin. The
latter is suggested by a high ratio of conjugated bilirubin to unconjugated bilirubin.
• Raised ALT and AST suggest hepatocellular damage. ALT (alanine aminotransferase) is a rela-
tively specific marker of hepatocellular damage, and is most raised in the acute phase. Although
ALT is also present in cardiac muscle, the rises seen in myocardial infarction are comparatively
small. AST is a less specific marker of hepatocellular damage than ALT and may also be raised
in myocardial infarction, skeletal muscle damage, haemolysis, shock, pregnancy, and exercise.
11-OCSEs-Data_interpretation_5e ccp.indd 286 19/03/2015 13:39
Data
interpretation
287
Station 106 Blood test interpretation
• Raised ALP and GGT suggest biliary obstruction. ALP (alkaline phosphatise) is raised in biliary
obstruction, hepatocellular damage, some bone diseases, and pregnancy. GGT (gamma-
glutamyl transferase) is raised in alcohol consumption, and also in biliary obstruction and
hepatocellular damage.
• Albumin is a genuine test of liver function and falls in chronic liver disease. Other causes for a fall
in albumin include malnutrition, malabsorption, nephrotic syndrome, burns, ­
pregnancy, and
overhydration, e.g. with IV fluids. A rise in albumin is usually the consequence of dehydration.
Urea and electrolytes
Normal range
Sodium 135–145 mmol/l
Potassium 3.5–5.0 mmol/l
Calcium (total) 2.12–2.65 mmol/l
Bicarbonate 24–28 mmol/l
Urea 2.5–6.7 mmol/l
Creatinine 70–150 μmol/l
Hyponatraemia
• Hyponatraemia is commonly caused by the syndrome of inappropriate secretion of antidiuretic
hormone (SIADH), which itself has a large number of causes including malignancy, pulmonary
disorders, central nervous system disorders, and drugs. Other common causes of hyponatrae-
mia are inappropriate fluid therapy, diuretic treatment, diarrhoea and vomiting, and cardiac
and renal failure. For the causes of hyponatraemia, see Figure 74. Note that high serum glucose,
urea, proteins, or lipids can increase serum volume and result in a pseudohyponatraemia.
Yes
Yes No No Yes
Yes No
No
Is the patient dehydrated?
Hyponatraemia
Renal Na+
loss
• Addison’s
• Renal failure
• Diuretic excess
• Osmolar diuresis
Loss elsewhere
• Diarrhoea
• Vomiting
• Fistulae
• Burns
• Small-bowel obstruction
• Trauma
• CF
• Heat exposure
• Nephrotic syndrome
• Renal failure
• Cardiac failure
• Cirrhosis
• Water overload
• Glucocorticoid insufficiency
• Severe hypothyroidism
• SIADH
Urine osmolality
500 mmol/kg?
Is the patient oedematous?
Is urinary Na  20 mmol/l?
Figure 74. Causes of hyponatraemia.
11-OCSEs-Data_interpretation_5e ccp.indd 287 19/03/2015 13:39
Clinical
Skills
for
OSCEs
288 Station 106 Blood test interpretation
• Hyponatraemia may be asymptomatic or may produce nausea, vomiting, headache, con­
fusion,
convulsions, and coma.
• Treat the cause. It is important to determine the volume status of the patient. If the patient is
hypovolaemic, a normal saline infusion may be indicated. Particularly in chronic hyponatrae-
mia, correction should be cautious and gradual (a maximum of 15 mmol/day) so as to avoid
the complication of central pontine myelinosis. If the patient is hypervolaemic, fluid restriction
(with or without frusemide) may be indicated. Hypertonic saline should only be used in emer-
gency situations.
Hypernatraemia
• Causes include:
–
– insufficient water intake
–
– inappropriate fluid therapy
–
– fluid loss, e.g. through diarrhoea, vomiting, and burns
–
– diuretic treatment
–
– osmotic diuresis, e.g. in hyperglycaemia
–
– diabetes insipidus
–
– mineralocorticoid excess as in Conn’s syndrome or Cushing’s syndrome
• Symptoms include thirst, confusion, convulsions, and coma.
• Treat through oral rehydration or a 5% dextrose infusion, e.g. 4 litres over 24 hours. Note that
over-rapid correction of hypernatraemia can lead to cerebral oedema and convulsions, brain
damage, and death.
Hypokalaemia
• Causes include:
–
– gastrointestinal losses as in vomiting, diarrhoea, laxative use, villous adenoma
–
– renal losses as in thiazide or loop diuretic treatment (most common cause), mineralo­
corticoid excess (e.g. Conn’s syndrome, Cushing’s syndrome), and renal tubular acidosis
–
– shift into cells as in insulin treatment, metabolic alkalosis, high catecholamines (e.g. due to
pain)
–
– poor intake as in prolonged fasting, eating disorders
–
– re-feeding syndrome
–
– hypomagnesaemia
• In mild cases, hypokalaemia is often asymptomic. In severe cases, the clinical picture is domi-
nated by muscle weakness which can progress to flaccid paralysis and, rarely, respiratory failure.
ECG changes may include T wave flattening, ST segment depression, appearance of U waves,
and tachyarrhythmias.
• Treatment involves addressing the cause and supplementing potassium, either orally or as an
intravenous infusion, depending on severity. Note that too concentrated an infusion is painful
and damages peripheral veins, and too fast an infusion predisposes to ventricular tachyar-
rhythmias.
Hyperkalaemia
• Causes include:
–
– artefact due to haemolysis of the blood sample (repeat the measurement)
–
– excessive intake, most likely in the form of potassium supplements
–
– impaired excretion as in renal insufficiency, Addison’s disease (reduced mineralocorticoids),
treatment with potassium-sparing diuretics and NSAIDs
–
– shift out of cells as in diabetic ketoacidosis and other metabolic acidoses
–
– excessive release from cells, as in burns, rhabdomyolysis, tumour lysis, massive blood trans-
fusion
11-OCSEs-Data_interpretation_5e ccp.indd 288 19/03/2015 13:39
Data
interpretation
289
Station 106 Blood test interpretation
• Although hyperkalaemia is usually asymptomatic, it can lead to cardiac arrhythmia and sudden
death. For this reason, an ECG should be carried out as soon as hyperkalaemia is suggested. ECG
findings include tall, tented T waves, broadened QRS complex, prolonged PR interval, P wave
flattening, and a sine wave appearance.
• In mild hyperkalaemia, potassium intake should be restricted. In severe hyperkalaemia, or if
there are ECG changes, IV calcium gluconate should be administered to stabilise the myo­
cardium. IV insulin with glucose, the potassium-binding resin calcium resonium, and dialysis
can then be used to reduce potassium.
Calcium
• Calcium (total) needs to be adjusted for albumin by adding 0.1 mmol/l for every 4 g/l that albumin
is below 40 g/l, and subtracting 0.1 mmol/l for every 4 g/l that albumin is above 40 g/l.
• Hypocalcaemia may be caused by hypomagnesaemia, hyperphosphataemia, hypoparathy-
roidism, pseudohypoparathyroidism (failure of cells to respond to parathyroid hormone),
vitamin D deficiency, and chronic renal failure. Symptoms include depression, perioral paraes­
thesiae, carpo-pedal spasm (hence Trousseau’s sign), neuromuscular excitability (hence
Chvostek’s sign), tetany, laryngospasm, and cardiac arrhythmias. Treatment involves treating
the cause and, depending on severity, oral or IV calcium replacement.
• 90% of cases of hypercalcaemia are accounted for by either malignancy or hyperpara­
thyroidism. Symptoms include fatigue, confusion, depression, anorexia, nausea and vomiting,
constipation, abdominal pain, polyuria, renal calculi, and cardiac arrest. Management involves
treating the hypercalcaemia and its underlying cause. Treating the hypercalcaemia involves
fluids (normal saline), frusemide, and bisphonates, e.g. pamidronate.
For acid–base disturbances, see Station 107.
Urea and creatinine
• Urea is increased in renal disease, renal hypoperfusion (e.g. in severe dehydration), and urinary
tract obstruction. It is also increased by a high-protein diet, bleeding into the GI tract, tissue
damage, and certain drugs. It is decreased in overhydration, advanced liver disease, malnutri-
tion, and eating disorders.
• Serum creatinine provides a crude estimate of glomerular filtration. It is increased in renal
disease, renal hypoperfusion, urinary tract obstruction, and rhabdomyolysis. It is decreased in
advanced liver disease, malnutrition, eating disorders, and muscle loss. A better estimate of
glomerular filtration is creatinine clearance.
11-OCSEs-Data_interpretation_5e ccp.indd 289 19/03/2015 13:39
Clinical
Skills
for
OSCEs
290 Station 107
Arterial blood gas (ABG) sampling
Specifications: An anatomical arm in lieu of a patient.
Before starting
• Introduce yourself to the patient and confirm his name and date of birth.
• Explain the procedure and obtain consent.
• Check the case notes for anticoagulant treatment or platelet or clotting abnormalities.
• Note the patient’s oxygen requirements and body temperature.
• Gather the required equipment in a tray.
The equipment
• Non-sterile gloves • Heparinised 2 ml ABG syringe pack with cap
• Alcohol wipes • 23G (blue) needle (¥4)
• Lignocaine 1% • Gauze
• Syringe for lignocaine • Sharps bin
The procedure
• Wash and dry your hands or cleanse them with alcohol gel.
• Position the patient’s arm so that the wrist is extended.
• Palpate the radial artery over the head of the radius and locate the site of maximum pulsation.
This is important, so take as much time as you need.
• Don the gloves.
• Cleanse the site with an alcohol wipe.
• Inject lignocaine intradermally to form a bleb around the chosen area, taking care not to punc-
ture the vessel or mask its pulsation. (This step can be omitted depending on patient preference.)
• If you do not have a heparinised syringe, attach a 23G needle to the 2 ml syringe and draw up a
little heparin into the syringe (ensure that there is no air in the syringe prior to ABG sampling).
• Discard the needle into the sharps bin.
• Attach a second 23G needle to the syringe.
• Fix the chosen area between the index and middle fingers of your non-dominant hand.
• Warn the patient to expect a ‘sharp scratch’ or some other gross euphemism.
• Directing it proximally up the arm, insert the needle at 45 degrees to the skin.
• Advance the needle a few millimetres in line with the direction of the artery until you obtain a
flashback of bright red arterial blood into the syringe. The syringe should fill from the patient’s
pulse, but gentle aspiration may in some cases be required.
• Allow the syringe to fill with 2 ml of arterial blood.
• Pick up a gauze with your non-dominant hand.
• Withdraw the needle and press firmly over the puncture site with the gauze. State that the
pressure ought to be maintained for 5 minutes, with regular checking for the formation of a
haematoma.
• Discard the needle into a sharps bin.
• Expel any air bubbles from the syringe and cap it.
• State that you would immediately take the blood to a blood gas machine for analysis. At this
point the examiner may hand you a print out from the machine.
11-OCSEs-Data_interpretation_5e ccp.indd 290 19/03/2015 13:39
Data
interpretation
291
Station 107 Arterial blood gas (ABG) sampling
Allen’s test
The radial artery (lateral wrist) is at risk of damage from ABG sampling, leaving only the ulnar artery
(medial wrist) to supply the hand. Allen’s test aims to ensure that the ulnar artery is patent, so as to
minimise the risk of critical hand ischaemia.
• Ask the patient to make a fist and elevate his hand for 15–30 seconds.
• Occlude both the ulnar and radial arteries with your fingers.
• Ask the patient to open his hand: it should appear pale or blanched.
• Release the pressure on the ulnar artery (but not the radial artery). If the ulnar artery is
patent, the hand should return to its normal colour within 6 seconds.
After the procedure
• Ensure that the patient is comfortable.
• Interpret the print-out, if any (see Table 35). If the patient is on oxygen, write this on the print-out.
• Feedback to the patient/examiner.
• Ask the patient if he has any questions or concerns.
• Clear up.
Arterial blood gas interpretation (suggested approach for an OSCE station)
1. Assess PaO2
(10 kPa, higher readings may indicate that the patient is receiving oxygen).
2. Assess pH
• ≤ 7.35 is acidosis.
• ≥ 7.45 is alkalosis.
3. Assess PaCO2
• If  6.0 kPa there is either respiratory acidosis or respiratory compensation for metabolic
alkalosis.
• If  4.7 kPa there is either respiratory alkalosis or respiratory compensation for metabolic
acidosis.
4. Assess standardised HCO3
*
• If  22 there is metabolic acidosis or renal compensation for respiratory alkalosis.
• If  28 there is a metabolic alkalosis or renal compensation for respiratory acidosis.
5. Combine information from 2, 3, and 4 above to determine the primary disturbance and
whether there is any renal or respiratory compensation occurring (see Table 35).
Example
pH = 7.30
PaO2
= 6.8
PaCO2
= 7.45
HCO3
= 26.0 mmol/l
This is uncompensated respiratory acidosis due to abruptly impaired ventilation, e.g. asthma
attack.
* You can also assess the base excess (BE, either an excess or a deficit), which represents a more accurate
assessment of the metabolic component of acid–base balance than HCO3
. The normal range is -2 to 2mmol/l.
 -2 indicates metabolic acidosis or compensated respiratory alkalosis; 2 indicates metabolic alkalosis or
compensated respiratory acidosis.
11-OCSEs-Data_interpretation_5e ccp.indd 291 19/03/2015 13:39
Clinical
Skills
for
OSCEs
292 Station 107 Arterial blood gas (ABG) sampling
Table 35. Arterial blood gas interpretation
pH PaCO2
HCO3
Respiratory acidosis Ø ≠ Æ, ≠*
Respiratory alkalosis ≠ Ø Æ, Ø*
Metabolic acidosis Ø Æ, Ø** Ø
Metabolic alkalosis ≠ Æ, ≠** ≠
Mixed acidosis Ø ≠ Ø
Mixed alkalosis ≠ Ø ≠
* Renal compensation occurring.
** Respiratory compensation occurring.
Examiner’s questions: Disorders of acid–base balance
Respiratory
acidosis
• Results from alveolar hypoventilation.
• Common causes include airway obstruction, respiratory disease, impaired lung
motion, neuromuscular disease, central nervous system depression, and obesity
(Pickwickian syndrome).
• Symptoms are often those of the underlying cause. Respiratory acidosis does not
have a marked effect on serum electrolytes.
• Management involves oxygen therapy, but particular care must be taken in patients
with COPD as oxygen can reduce hypoxic drive. Where possible, treat the cause.
Respiratory
alkalosis
• Results from alveolar hyperventilation.
• Common causes include anxiety, pyrexia, CNS causes such as stroke and
subarachnoid haemorrhage, liver failure, drugs such as salicylic acid and nicotine,
high altitude, and mechanical ventilation.
• There may be signs and symptoms of hypocalcaemia (including positive Trousseau
and Chvostek signs) without a fall in total serum calcium levels (due to increased
binding of calcium).
• Management involves treating the cause.
Metabolic
acidosis
• Results from increased hydrogen ion concentration or decreased bicarbonate
concentration.
• Causes are various: some increase the anion gap (see box) and others do not.
• Causes that increase the anion gap include renal failure, massive rhabdomyolysis,
diabetic ketoacidosis, lactic acidosis, and intoxication with ethanol, methanol,
ethylene glycol, or salicylic acid.
• Causes that do not increase the anion gap include chronic diarrhoea and renal
tubular acidosis.
• Symptoms are various and non-specific. Extreme cases may lead to cardiac
arrhythmias, and coma and seizures.
• Depending on severity, management may involve IV bicarbonate or dialysis.
11-OCSEs-Data_interpretation_5e ccp.indd 292 19/03/2015 13:39
Data
interpretation
293
Station 107 Arterial blood gas (ABG) sampling
Metabolic
alkalosis
• Results from decreased hydrogen ion concentration or increased bicarbonate
concentration.
• Principal causes include vomiting, diuretic treatment, hypokalaemia (due to
intracellular shift of hydrogen ions), hyperaldosteronism, base ingestion, and over-
compensation of respiratory acidosis.
• Symptoms include symptoms of hypocalcaemia (due to increased binding of
calcium), symptoms of hypokalaemia (due to intracellular shift of potassium),
hypoventilation, arrhythmias, and seizures.
• Metabolic alkalosis involving the loss of chloride ions is termed chloride responsive,
because it typically corrects with IV administration of normal saline, whereas
chloride-unresponsive metabolic alkalosis does not and typically involves severe
hypokalaemia or mineralocorticoid excess.
• Treat the cause. Correct hypovolaemia and hypokalaemia. In severe cases, consider
dialysis.
Examiner’s questions: The anion gap
• Blood ought to have a neutral charge, with the concentration of cations (+) equal to that of
anions (-).
• Blood tests do not measure the concentrations of all ions in the blood: usually, only [Na+
], [K+
],
[Cl-
], and [HCO3
-
] are provided.
• These measurements include the majority of the cations in the blood, but leave out a larger
proportion of the anions, including negatively charged proteins and organic acids.
• This gap, the anion gap, is given by:
([Na+
] + [K+
]) – ([Cl–
] + [HCO3
–
])
• In clinical practice, [K+
] is typically omitted from the equation.
• The normal range is 10–18mmol/l.
• The anion gap, which may be normal or increased, can help to identify the cause of metabolic
acidosis.
• Metabolic acidosis involves a decrease in [HCO3
-
], which, to maintain electroneutrality, ought
to be compensated for by an increase in the concentration of other anions.
• If the anion gap is normal, decreased [HCO3
-
] is the primary pathology and [Cl-
], the only other
major buffering anion, has increased in compensation (hyperchloraemic acidosis).
• If the anion gap is increased, electroneutrality has been maintained by an increase in the con-
centration of unmeasured anions. This occurs when the acidosis is caused by the introduc-
tion of excess acid (but not HCl) into the blood. A good example is lactic acidosis: increased
lactic acid decreases pH and thereby decreases the concentration of HCO3
-
ions, which are
replaced by lactate ions. As lactate ions are unmeasured, the anion gap is increased.
11-OCSEs-Data_interpretation_5e ccp.indd 293 19/03/2015 13:39
Clinical
Skills
for
OSCEs
294 Station 108
ECG recording and interpretation
Before starting
• Introduce yourself to the patient, and confirm his name and date of birth.
• Explain the indication and procedure, specifying that it is not painful, and obtain his consent.
• Position him so that he is lying on a couch.
• Ask him to expose his upper body and ankles.
The equipment
• A 12-lead ECG machine • Electrode sticky pads (check expiry date)
The procedure
• Indicate that you may need to shave the patient’s chest to abrade and clean the skin prior to
applying the electrode pads.
• Having verified that the skin is dry, attach the electrode pads as per the leads.
• Attach the limb leads, one on each limb. The longest leads attach to the legs, above the ankles,
and the mid-length leads attach to the upper arms.
Table 36. Colour codes for ECG limb and chest leads
Limb leads Chest leads
Red Right arm
Yellow Left arm
Green Left leg
Black Right leg
Red V1
Yellow V2
Green V3
Brown V4
Black V5
Violet V6
Figure 75. Lead placement.
11-OCSEs-Data_interpretation_5e ccp.indd 294 19/03/2015 13:39
Data
interpretation
295
Station 108 ECG recording and interpretation
• Place the chest leads (the shortest leads) such that (see Figure 75):
–
– V1 is in the fourth intercostal space at the right sternal margin
–
– V2 is in the fourth intercostal space at the left sternal margin
–
– V3 is midway between V2 and V4
–
– V4 is in the fifth intercostal space in the left mid-clavicular line
–
– V5 is at the same horizontal level as V4, but in the anterior axillary line
–
– V6 is at the same horizontal level as V4 and V5, but in the mid-axillary line
• Turn the ECG machine on and check calibration (1 mV = 1 cm in height) and paper speed
(25 mm/s).
• Ensure that the patient is relaxed and comfortable, and ask him to remain as still and silent as
possible.
• Press on ‘Analyse ECG’ or a similar button.
See Figure 76 for an example of a normal ECG trace.
After recording the ECG
• Analyse the ECG for any life-threatening abnormalities.
• Remove the leads.
• Discard the electrode pads.
• Ensure that the patient is comfortable.
• Thank him.
Figure 76. Normal ECG.
I aVR V1 V4
aVL V2 V5
aVF V3 V6
II
III
II
150 Hz 25.0 mm/s 10.0 mm/mV 4 by 2.5s  1 rhythm ld MAC5K 005A 12SLTMv231


o
Technician
Vent. rate 66 bpm
PR intervel 134ms
QRS duration 88ms
QT/QTc 388/406 ms
Referred by:
Normal sinus rhythm
Normal ECG
Unconfirmed
11-OCSEs-Data_interpretation_5e ccp.indd 295 19/03/2015 13:39
Clinical
Skills
for
OSCEs
296 Station 108 ECG recording and interpretation
ECG interpretation in 10 steps (suggested approach for an OSCE station)
R
ST T
P
Q
S
QRS
Q-T
PR
0.20 sec.
0.5 mV
Figure 77. The basic ECG complex.
1. Check labelling (name, date, calibration, paper speed, etc.) and eyeball the ECG.
2. Rate: divide 300 by the number of large squares between consecutive R waves.
3. Rhythm: ensure that each P wave is followed by a QRS complex (i.e. sinus rhythm). Use a
pen and card to determine whether the rhythm is regular or irregular. If it is irregular, is it
regularly irregular or irregularly irregular?
4. Axis:
• Normal axis: the QRS complexes are predominantly positive in both leads I and II.
• Left axis deviation: the QRS complex is predominantly positive in lead I but is
predominantly negative in lead II.
• Right axis deviation: the QRS complexes are predominantly negative in both leads I and II.
5. P waves: normal is less than 2.5 mm in height and 0.12 s in width in lead II.
6. PR interval: normal is 0.12–0.20 s or 3–5 small squares in duration.
7. QRS complex:
• Normal is  0.12 s or 3 small squares in duration.
• The sum of the S wave in V2 and an R wave in V5 or V6 should not be greater than 35 mm.
• Q waves should not be deeper than two small squares or 25% of the following R wave, or
broader than one small square.
8. ST segment: the ST segment should not be elevated or depressed.
9. T waves: T waves should not be tall, flattened, or inverted. T wave inversion in leads I, II, and
V4–6 is always abnormal.
10. QT interval: normal is less than 400 ms or 2 large squares or half the R–R interval.
11-OCSEs-Data_interpretation_5e ccp.indd 296 19/03/2015 13:39
Data
interpretation
297
Station 108 ECG recording and interpretation
ECG interpretation in 10 easy steps – in more detail
1. Check labelling (name, date, indication, calibration 1 cm/mV, paper speed 25 mm/s).
2. Rate: either divide 300 by the number of large squares between consecutive R waves (1 large
square = 0.2 s, 1 small square = 0.04 s) or count the number of R waves in the rhythm strip and
multiply by 6 (as the rhythm strip/lead II is 10 s long).
Sinus bradycardia (60 bpm and regular): athletes, hypothermia, hypothyroidism, raised ICP,
obstructive jaundice, SA node disease or ischaemia, beta blockade.
Sinus tachycardia (100 bpm and regular): exercise, pain, fever, hypovolaemia, anaemia, preg-
nancy, thyrotoxicosis, vasodilators, vagolytics such as atropine.
3. Rhythm: ensure that each P wave is followed by a QRS complex. Use a pen and card to
determine whether rhythm is regular or irregular. If it is irregular, is it regularly irregular or
irregularly irregular? Sinus arrhythmia describes an increase in heart rate upon inspiration and
fall upon expiration.
4. Axis
a. Normal axis: the QRS complexes are predominantly positive in both leads I and II.
b. Leftaxisdeviation: the QRS complex is predominantly positive in lead I but is predominantly
negative in leads II and III. Left axis deviation may indicate left anterior fascicular block and
a number of other conditions, but not usually left ventricular hypertrophy.
c. Right axis deviation: the QRS complexes are predominantly negative in both leads I and
II. Right axis deviation may indicate right ventricular hypertrophy due to pulmonary
conditions or congenital heart disease.
120
120 60
150
150
III
aVR
aVL
aVF
Right
axis
Normal
axis
Left
axis
II
30
±180
30
0
60
90
90
I
Explanation: normally the depolarising wave spreads towards leads I, II, and III and is therefore
associated with a predominantly upward QRS deflection in all these leads, but greatest in lead II.
–
– in right axis deviation, the axis swings to the right so that the QRS deflection in lead I
becomes negative and the deflection in lead III becomes most positive
–
– in left axis deviation, the axis swings to the left, so that the deflection in lead III becomes nega-
tive. Left axis deviation is not significant until the deflection is also negative in lead II
5. P waves: normal is less than 2.5 mm in height and 0.12 s in width in lead II. An inverted P
wave in V1 is likely to indicate an incorrect recording. A tall P wave (P pulmonale) is due to
right atrial enlargement and is seen most commonly in lung disease but also in tricuspid valve
stenosis. A broad, bifid P wave (P mitrale) is due to left atrial enlargement and is seen most
commonly in mitral stenosis. The most common cause of absent P waves is atrial fibrillation.
11-OCSEs-Data_interpretation_5e ccp.indd 297 19/03/2015 13:39
Clinical
Skills
for
OSCEs
298 Station 108 ECG recording and interpretation
6. PR interval: normal is 0.12–0.20 s (3–5 small squares) in duration. Prolonged in heart block,
shortened in conditions involving an abnormality on the fibrous insulating ring such that sig-
nals get past the AV node more quickly, e.g. Wolff–Parkinson–White syndrome.
AV node blocks
• First degree block: atrial conduction to the ventricles is delayed such that the PR interval
is consistently prolonged. This may be a sign of coronary artery disease, acute rheumatic
carditis, digitalis toxicity, or electrolyte disturbances.
• Second degree block: excitation completely fails to pass through the AV node. The causes
of second degree heart block are the same as for first degree heartblock.
–
– Mobitz type I (Wenckebach phenomenon): there is progressive lengthening of the PR inter-
val and then regular failure of conduction of an atrial beat, followed by a conducted beat
with a short PR interval and then a repetition of this cycle
–
– Mobitz type II: most beats are conducted with a constant PR interval but occasionally
there is an atrial contraction without a subsequent ventricular contraction. May herald
complete heart block
–
– 2:1 (or 3:1) conduction: there are alternate conducted and non-conducted atrial beats,
giving twice (or three times) as many P waves as QRS complexes. May herald complete
heart block in patients with MI
• Third degree (complete) block: atrial contraction is normal but no beats are conducted
to the ventricles. A ventricular escape rhythm takes hold, such that there is no relation
between P and QRS. May occur after an MI (usually transient) or due to fibrosis around the
bundle of His.
11-OCSEs-Data_interpretation_5e ccp.indd 298 19/03/2015 13:39
Data
interpretation
299
Station 108 ECG recording and interpretation
[Note] HeartblockthatisMobitztypeIIoraboveismuchmorelikelytoinvolvehaemodynamiccompromise,andrequires
pacing. The choice between a temporary or permanent pacemaker depends on whether the underlying cause is
transient or permanent.
SA node blocks can also occur but they are uncommon and usually asymptomatic (due to the
establishment of a ventricular escape rhythm). SA node block is not to be confused with SA node
suppression, which occurs when an arrhythmia prevents the SA node from generating an impulse.
7. QRS complex:
a. Normal is 0.12 s or 3 small squares in duration. A broad QRS results either from
depolarisation by a focus in the ventricular muscle or from a bundle branch block (BBB).
i. Right BBB: can be normal, or may be caused by IHD, PE, or ASD.
ii. Left BBB: LBBB invariably reflects underlying heart disease, but its presence precludes
further interpretation of the ECG.
RBBB
characteristics
LBBB
characteristics
V1
rSR’ qRs
V6 V1
rS
R
V6
b. The sum of the S wave in V2 and an R wave in V5 or V6 should not be greater than 35 mm.
If it is, this indicates ventricular hypertrophy.
c. Q waves should not be deeper than two small squares or 25% of the following R wave. If
they are, this indicates an old MI.
11-OCSEs-Data_interpretation_5e ccp.indd 299 19/03/2015 13:39
Clinical
Skills
for
OSCEs
300 Station 108 ECG recording and interpretation
8. ST segment: the ST segment should not be elevated or depressed. Elevation of 1 mm in two
adjacent limb leads, or 2mm in two adjacent chest leads, indicates full thickness infarction
of the myocardium (ST-elevation MI/STEMI).
Depression of 0.5 mm in two adjacent leads indicates ischaemia, e.g. angina. In the presence
of raised cardiac enzymes (e.g. troponin I) ST depression is indicative of MI (non-ST elevation
MI). Saddle elevation in most leads indicates pericarditis.
9. T waves: T waves should not be tall, flattened, or inverted. Tall, tented T waves indicate hyper-
kalaemia, flattened T waves indicate hypokalaemia. T wave inversion in leads I, II, and V4–6 is
always abnormal, and indicates subendocardial (partial thickness) infarction, i.e. non-ST eleva-
tion MI, angina, or digoxin administration.
10. QT interval: normal is less than 400 ms (2 large squares) or half the R–R interval (ideally, cor-
rected QT (QTc) should be calculated to account for the change with heart rate). Prolongation
is usually secondary to drugs, e.g. antipsychotics, toxins, and electrolyte disturbances, and
predisposes to potentially dangerous ventricular arrhythmias.
Abnormal rhythms
Supraventricular tachyarrhythmias (SVTs)
In SVTs the depolarisation spreads to the ventricles in the normal way via the His bundle so the QRS
complex is normal and the same whether depolarisation was triggered by the SA node, the atrial
muscle, or the junctional region.
Atrial extrasystoles
This example of atrial extrasystoles can be described as non-compensated atrial quadrigeminy:
‘quadrigeminy’ because there is one extrasystole after every three normal beats; ‘non-compensated’
because there is no compensatory pause after the extrasystole. Atrial extrasystoles are common in
healthy people with normal hearts, and also occur in certain conditions such as cardiac failure and
mitral valve disease.
11-OCSEs-Data_interpretation_5e ccp.indd 300 19/03/2015 13:39
Data
interpretation
301
Station 108 ECG recording and interpretation
Atrial tachycardia
In atrial tachycardia, there is a heart rate of about 150 with P waves superimposed on preceding
T waves. Atrial tachycardia typically arises from an ectopic source in the atrial muscle and is often
paroxysmal in nature. Although it is sometimes seen in patients with diseased hearts, it is nearly always
benign.
Atrial flutter
In atrial flutter, the atrial rate is commonly 300 bpm and there is usually a 2:1 block, resulting in a
ventricular rate of 150 bpm. Can occur spontaneously in people with normal hearts, but most often
occurs in people with cardiovascular disease. Frequently degenerates into AF.
Atrial flutter with variable (2:1 and 3:1) block. Fast P waves produce a ‘saw-tooth’ appearance.
Atrial fibrillation (AF)
AF is associated with any disease affecting the heart. There is an ‘irregularly irregular’ ventricular rate
with no true P waves but baseline irregularities representing atrial activation.
AV nodal re-entrant tachycardia (AV ‘junctional’ tachycardia)
A re-entrant circuit is set up in the atria, causing the ventricles to depolarise at fast rates of up to
200 bpm. P waves are often absent, hidden in the QRS.
11-OCSEs-Data_interpretation_5e ccp.indd 301 19/03/2015 13:39
Clinical
Skills
for
OSCEs
302 Station 108 ECG recording and interpretation
AV re-entrant tachycardia, via an accessory pathway e.g. Wolff–Parkinson–White syndrome
In WPW syndrome, some of the atrial depolarisation passes quickly to the ventricle via an accessory
pathway before it can get through the AV node. The early depolarisation of the ventricle leads to a
shortened PR interval and a slurred start to the QRS wave (delta wave).
Ventricular tachyarrhythmias
Ventricular extrasystole (VE)
Ventricular extrasystoles arise from an ectopic focus leading to a broad and atypical QRS complex that
is unrelated to a preceding P wave. If a VE occurs early in the T wave of a preceding beat it can induce
ventricular fibrillation.
Ventricular trigeminy.
Parasystole refers to a lack of coupling between VEs and the sinus rhythm. This may result in a number
of fusion beats, in which a VE merges into the sinus beat.
Ventricular tachycardia (VT)
Two ventricular extrasystoles are termed a couplet but three or more are termed VT. Sustained VT can
degenerate into ventricular fibrillation and death. Note the obvious dissociation between atria and
ventricles.
11-OCSEs-Data_interpretation_5e ccp.indd 302 19/03/2015 13:39
Data
interpretation
303
Station 108 ECG recording and interpretation
* Accelerated idioventricular rhythm can look like VT, but the rate is 120 and the condition is benign.
For this reason, VT should not be diagnosed unless the heart rate is 120.
** VT can be very difficult to differentiate from SVT with a BBB (as the BBB produces a broad QRS
complex).
Ventricular fibrillation (VF)
Ventricular fibrillation is a chaotic ventricular rhythm which rapidly results in death.
Ventricular flutter
Ventricular flutter is a relatively uncommon and short-lived sine-wave like rhythm that usually
degenerates into VF.
Bradycardias
Most abnormal rhythms are tachycardias, but they can also be bradycardias. The heart rate is normally
controlled by the SA node. However, if the SA node fails to depolarise, the heart rate is taken over by
a focus in the atrial muscle or in the region around the AV node (the junctional region) both of which
have spontaneous depolarisation frequencies of about 50 beats per min. If these also fail, or if the His
bundle is blocked, the heart rate is taken over by a ventricular rhythm of about 30 beats per min. These
slow, protective rhythms are collectively referred to as ‘escape rhythms’. It is important to recognise
them as such, because trying to suppress them can have dire consequences. The trace below shows a
junctional escape rhythm.
11-OCSEs-Data_interpretation_5e ccp.indd 303 19/03/2015 13:39
Clinical
Skills
for
OSCEs
304 Station 108 ECG recording and interpretation
ECG patterns
Myocardial infarction (MI) and unstable angina
STEMI: ST elevation of 1mm in two adjacent limb leads, or 2mm in two adjacent chest leads, is
the main criterion. In the ‘hyperacute’ phase, there are tall R waves and ST elevation which is sloped
upwards and which often merges into tall, broad T waves. In established MI, there are prominent Q
waves, elevated ST segments, and inverted ‘arrowhead’ T waves.
NSTEMI and unstable angina: ST depression of 0.5mm in two adjacent leads and T wave inversion,
without Q wave changes. NB. NSTEMI and unstable angina cannot be distinguished by ECG findings
alone; a cardiac enzyme test is required.
In posterior MI, posterior wall changes are mirrored in the leads opposite the lesion, i.e. V1
and V2, leading to a tall R, ST depression, and upright ‘arrowhead’ T waves. Note that there
may be no ECG changes in MI, so don’t rely solely on the ECG!
Stable angina
The ECG typically looks normal, although stable angina might, like unstable angina and NSTEMI, be
reflected by ST segment depression and T wave inversion.
Prinzmetal’s angina
ST elevation during an attack.
Myocarditis
Tachycardia, atrial and ventricular extrasystoles, first degree and LAHB (left anterior hemi-block) heart
blocks, ST changes.
Pericarditis
Sinus tachycardia, widespread ‘saddle’ (concave) elevation of the ST segment, T wave abnormalities.
Pericardial effusion
Diminished amplitude of ECG deflections and possibly also T wave inversion and electrical alternans
(alternating QRS amplitude = tall one beat, short the next, and so on).
11-OCSEs-Data_interpretation_5e ccp.indd 304 19/03/2015 13:39
Data
interpretation
305
Station 108 ECG recording and interpretation
Pulmonary embolism
Sinus tachycardia. Other ECG abnormalities are uncommon and the classical SI
QIII
TIII
syndrome only
occurs in under 10% (prominent S in lead I, Q and inverted T in lead III). There may also be right atrial
enlargement, atrial tachyarrhythmias, right ventricular hypertrophy or ischaemia, and RBBB.
Hyperkalaemia
Initially, tall tented T waves, then disappearance of P waves and, finally, broadened and distorted QRS
complexes leading to ventricular arrhythmia or cardiac standstill.
Hypokalaemia
Flattened T waves and more prominent U waves which may be falsely interpreted as QT prolongation.
There may also be first or second degree AV heart block.
Hypothermia
Sinus bradycardia, prominent ‘J’ wave (upward deflection just after the QRS complex), and QRS and QT
prolongation, leading to blocks, ventricular extrasystoles and, finally, VF.
Try to familiarise yourself with different patterns of ECG, e.g. left ventricular
hypertrophy, ischaemic heart disease, acute myocardial infarct, atrial fibrillation, heart
block, pulmonary embolus. Study ECG libraries such as the one that can be found at
www.ecglibrary.com/ecghome.html.
11-OCSEs-Data_interpretation_5e ccp.indd 305 19/03/2015 13:39
Clinical
Skills
for
OSCEs
306 Station 109
Chest X-ray interpretation
A systematic approach to interpreting X-rays not only fills out the time and impresses the examiner, but
also minimises your chances of missing any abnormalities. Before saying anything, it is an excellent idea
to spend one minute looking at the X-ray, rubbing your chin and organising your thoughts.
Figure 78. Normal chest X-ray.
1. The X-ray
• Name and age of the patient.
• Date of the X-ray.
• Projection: PA, AP, or lateral? AP films are normally labelled, but PA films (the most common
type of projection) are often left unmarked. If in doubt, examine the scapulae. With PA films, the
patient lifts his arms, thereby withdrawing the scapulae from the lung fields.
• Erect or supine? (see box)
• Rotation – if there is no rotation, the distances from the vertebral spines to the medial ends of
the clavicles should be equal.
• Penetration – if penetration is normal, the lower thoracic vertebral bodies should be just discern-
ible through the heart shadow. If they cannot be discerned, the film is under-penetrated and the
lungs will appear more opaque than they ought. If, on the other hand, they are very clear, the
film is over-penetrated and the lungs will appear more translucent (blacker) than they ought.
• Inspiration – if the chest is appropriately inflated, five or six ribs should be visible above the dia-
phragm anteriorly, and ten posteriorly. A greater number of ribs above the diaphragm suggests
hyperinflation, as in COPD.
11-OCSEs-Data_interpretation_5e ccp.indd 306 19/03/2015 13:39
Data
interpretation
307
Station 109 Chest X-ray interpretation
Erect or supine?
An X-ray can be confirmed as having been taken in the erect position if the gastric air bubble is found
lying under the left hemidiaphragm.
AP films are almost invariably taken supine, and this has major implications for interpretation. A
supine film differs from an erect film in that:
• there is an enlarged heart size.
• the diaphragm is higher, resulting in an apparent decrease in lung volume.
• pleural fluid levels lie vertically, resulting in an opacification of the lung field.
• any prominence of upper zone vessels does not suggest left heart failure.
2. Obvious abnormalities and interventions
Scan the film and comment on any obvious abnormality or abnormalities. Make a note of any visible
chest drains, ECG pads, etc.
3. The skeleton
Inspect the ribs, shoulder girdles, and spine. Bones may be more translucent in older people. Check for
irregular edges suggestive of fracture, especially in the ribs. Check for areas of relative translucency or
opacity in the bones, suggestive of, respectively, lytic and sclerotic bony metastases. Note any extra or
missing ribs, e.g. a cervical rib.
4. The soft tissues
Inspect the breasts, the chest wall, and the soft tissues of the neck. Look for any distortion, and for any
opacities and translucencies. In a female, check for both breast shadows. With unilateral mastectomy,
one lung field may appear more translucent than the other.
5. The lungs and hila
The lungs: check the lung volumes, then carefully inspect the lung fields for any opacity (e.g. masses,
collapse, consolidation, and pleural effusion) or radiolucency (e.g. pneumothorax and bullae).
The hila: inspect the hila, the densities created by the pulmonary arteries and the superior pulmonary
veins of each lung for any abnormal opacities. The hila ought to be of similar size, shape, and density.
Causes of increased size and density (either unilaterally or bilaterally) include lymphadenopathy (e.g.
from infection, neoplasia, sarcoidosis) and pulmonary hypertension. Check the positions of the hila: the
left hilum should be 2–3 cm higher than its right counterpart. If not, this may suggest lung collapse or
dextrocardia.
6. The pleura
Systematically check all lung margins, looking for pleural opacity, pleural displacement, and loss of
clarity of the pleural edge (the so-called silhouette sign).
7. The diaphragm
Inspect the diaphragm and the area underneath it (the pneumoperitoneum). The right hemidiaphragm
should be higher than the left. Blunting of the costophrenic angles suggests pleural effusion and/or
consolidation.
11-OCSEs-Data_interpretation_5e ccp.indd 307 19/03/2015 13:39
Clinical
Skills
for
OSCEs
308 Station 109 Chest X-ray interpretation
8. The mediastinum and heart
Mediastinal shift: inspect the trachea for deviation to one side along with the rest of the mediastinum.
An area of collapse draws in the mediastinum; tension pneumothorax pushes it away.
Cardiothoracic ratio (CTR): divide the maximal diameter of the heart by the maximal diameter of the
chest. In a PA film the CTR should be 0.5 or less.
Mediastinum:inspectthetracheaandrightandleftmainbronchi.Theninspecttheaorticarch,thepulmonary
artery, and the heart. Are there any abnormal opacities (masses) or translucencies (pneumomediastinum)?
Widening of the aorta and pulmonary arteries suggests, respectively, aortic aneurysm and pulmonary
hypertension. Blurred or indistinguishable heart borders suggest collapse or consolidation. Remember to
look behind the heart shadow for lung masses, a hiatus hernia, and left lower lobe collapse.
9. Summarise your findings
Conditions most likely to come up in a chest X-ray interpretation station
Pneumonia (see Figure 79)
• Consolidation (opacification of variable density), possibly interspersed with air bronchograms
(pockets of translucency corresponding to airways that are still filled with air). Unlike with an
effusion or collapse, the outline of an area of consolidation is often poorly defined. Air space
filling with pus is the hallmark of bacterial pneumonias; viral pneumonias tend to cause a
more interstitial pattern and predominantly hazy ground glass opacification. Pneumonia may
be accompanied by a pleural effusion.
Pleural effusion (see Figure 80)
• Depending on the size of the effusion: blunting of the costophrenic angle; obscuring of the
outline of the hemidiaphragm; opacification of the inferior hemithorax associated with a
meniscus shape of the fluid at its upper, lateral margin; opacification of the entire hemithorax;
displacement of the mediastinum to the contralateral side.
Pulmonary oedema
• In cardiogenic pulmonary oedema, the pattern may include cephalization of the pulmonary
vessels, Kerley B lines or septal lines, peribronchial cuffing, perihilar haziness and blurring of
the normally sharp hilar vessels, ‘bat’s wing’ haziness, cardiomegaly, pleural effusion.
COPD (see Figure 81)
• Hyperinflated lungs with flattened hemi-diaphragms, hyperlucent lungs, bullae.
Interstitial pulmonary fibrosis
• Bilateral reticular or reticulo-nodular pattern, loss of lung volume, honeycomb lung in late
stages.
Collapse
• May be limited to a single lobe. Like pleural effusion, associated with an area of opacity. Loss
of lung volume distorts appearance of other structures (including trachea, mediastinum, and
diaphragm), which are drawn towards the area of collapse.
Pneumothorax (see Figure 82)
• Radiolucent area beyond collapsed lung with absence of pulmonary vessel markings beyond
the white line of the pleura; in tension pneumothorax, displacement of the mediastinum to
the contralateral side, flattening of the hemi-diaphragm, soft tissue emphysema.
continued
11-OCSEs-Data_interpretation_5e ccp.indd 308 19/03/2015 13:39
Data
interpretation
309
Station 109 Chest X-ray interpretation
Conditions most likely to come up in a chest X-ray interpretation station – continued
Tuberculosis
• Can manifest as multifocal consolidation or nodules, round relatively opaque areas that are
less than 3cm in diameter, with spread to regional lymph nodes. This leads to subsequent
scarring with calcification of the lung parenchyma and lymph nodes. Cavitation of the
lesions tends to occur late, with the lesions marked by dense walls and dark air-filled centres,
sometimes with a fluid level. Miliary TB is associated with small (1–5mm in diameter) miliary
nodules throughout the lungs.
Lung cancer
• May present as a single lesion (primary malignancy or single metastasis) or as multiple lesions
(multiple metastases) which can vary greatly in size. Compared to other differentials such as
pneumonia, TB, abscess, and benign tumours, malignant lesions are likely to be irregular in
shape. They may be associated with collapse, mediastinal shift, and lymphadenopathy. Note
that, like TB lesions, malignancies, abscesses, and (occasionally) rheumatoid nodules can
cavitate.
Rib fractures
11-OCSEs-Data_interpretation_5e ccp.indd 309 19/03/2015 13:39
Clinical
Skills
for
OSCEs
310 Station 109 Chest X-ray interpretation
Figure 80. Frontal chest X-ray of adult with a right-
sided pleural effusion (marked with arrow).
Figure 82. Anterior–posterior chest X-ray of adult with
a left pneumothorax which has completely collapsed
the left lung.
Figure 81. Frontal chest X-ray of a long term smoker
with COPD.
Figures 79–82 all reproduced from Interpreting Chest X-Rays by
Stephen Ellis.
Figure 79. Frontal chest X-ray of adult male with
pneumonia (marked with arrow).
11-OCSEs-Data_interpretation_5e ccp.indd 310 19/03/2015 13:39
311
Data
interpretation
Station 110
Abdominal X-ray interpretation
A systematic approach to interpreting X-rays not only fills out time and impresses the examiner, but
also minimises your chances of missing any abnormalities. Before saying anything, it is an excellent idea
to spend one minute looking at the X-ray and organising your thoughts.
Figure 83. Normal adult supine AP abdominal X-ray.
1. The X-ray
• Name, age, and sex of the patient.
• Date of the X-ray.
• Confirm size of area covered.
• PA or AP? (They are usually AP.)
• Supine (usual), erect, or lateral decubitus? (Look at gastric air bubble and fluid levels.)
• Area covered: the entire length (from diaphragm to pubic symphysis) and breadth of the abdo-
men should be visible.
• Penetration (lumbar vertebrae should be visible).
• Rotation (not normally an issue as most films are taken supine).
11-OCSEs-Data_interpretation_5e ccp.indd 311 19/03/2015 13:39
Clinical
Skills
for
OSCEs
312 Station 110 Abdominal X-ray interpretation
2. Obvious abnormalities, interventions, and artefacts
• Scan the film and comment on any obvious abnormality or abnormalities.
• Make a note of any clearly visible interventions or artefacts (Table 37).
Table 37. Abdominal X-ray: interventions and artefacts
Interventions Surgical clips, retained surgical instruments or swabs, nasogastric tube, CVP line,
intrauterine contraceptive device, renal or biliary stents, endoluminal aortic stent,
inferior vena caval filter
Artefacts/other Pyjama bottoms, coins in pockets, body piercings, bullets, drugs (‘bodypackers’),
even, unfortunately, small animals
3. Skeleton
Inspect the:
• Lower rib cage.
• Lumbar vertebrae (scoliosis).
• Sacrum and sacroiliac joints (sacroiliitis, indicated by blurring, sclerosis, and ankylosis of the
sacroiliac joint).
• Pelvis.
• Hip joints and femora (fractured neck of femur).
4. Organs
Inspect the:
• Liver (hepatomegaly).
• Spleen: usually not visualised.
• Kidneys and urinary tract: about three vertebrae in size, the left kidney is higher than the right.
• Bladder: not visualised if empty.
• Prostate: only visualised if calcified.
• Uterus: often not visualised unless it is calcified or an IUD is present.
• Psoas muscles: should be visible either side of the vertebral column
• Stomach.
• Small bowel.
• Large bowel.
The small and large bowels can be distinguished by their respective sizes, positions, and
mucosal markings. The large bowel has a larger diameter and usually sits peripherally,
framing a central area containing small bowel loops, not all of which are likely to be
visible. Large bowel haustra do not completely traverse the diameter of the large bowel; in
contrast, small bowel valvulae conniventes traverse the full diameter of the small bowel. If
in any doubt, the large bowel can easily be traced through the hepatic and splenic flexures.
5. Gas, fluid levels, and faecal matter
• Gas: depending on its amount and distribution, intraluminal gas may be normal, but intramural
or extraluminal gas should be considered abnormal. Intramural gas in an adult usually indicates
ischaemic bowel. Free intraperitoneal gas usually indicates bowel perforation. The small bowel
should not be greater than 3 cm in diameter, the colon 5 cm in diameter, and the caecum 9 cm
in diameter. Look for gas under the diaphragm (pneumoperitoneum), even though this is best
visualised on an erect chest X‑ray.
11-OCSEs-Data_interpretation_5e ccp.indd 312 19/03/2015 13:39
Data
interpretation
313
Station 110 Abdominal X-ray interpretation
• Fluid levels: a fluid level in the stomach and caecum is a normal finding, but multiple fluid levels
in the colon should be considered abnormal.
• Faecal matter: the amount and distribution of faecal matter, which is of a mottled grey appear-
ance, can be revealing of underlying pathology.
6. Abnormal calcification
• Calculi in the kidneys, ureters, bladder, gall bladder, and biliary tree.
• Pancreas (chronic pancreatitis).
• Kidneys.
• Abdominal aorta and arteries. Look for aneurysms.
• Costal cartilages, although note that calcification of the costal cartilages is a benign finding in
the elderly.
• Lymph nodes.
7. Summarise your findings
Conditions most likely to come up in an abdominal X-ray interpretation station
Faecal impaction or overload
• Faecal matter, which is solid, liquid, and gas, has a grey and mottled appearance.
Obstruction (mass, stricture, volvulus, intussusception)
• Large bowel: proximal dilatation (5cm, and 9cm for the caecum) owing to the
accumulation of gas or faeces. An erect or decubitus X-ray may reveal a small number of long
fluid levels proximal to the obstruction. Unless the ileocaecal valve is defective, the small
bowel is not involved.
• Small bowel: proximal dilatation (3cm) owing to the accumulation of gas or fluid. An erect
or decubitus X-ray may reveal a large number of short fluid levels at different heights (‘step-
ladder’ appearance) proximal to the obstruction.
• Volvulus: may yield a grossly distended inverted U-shaped colonic loop, loss of haustra, and
the ‘coffee bean’ sign from a doubled-up loop of distended, oedematous sigmoid colon.
Introduction of contrast medium may produce the ‘bird’s beak’ sign, which corresponds to
tapering of the section of bowel leading to the point of torsion. Volvulus can occur anywhere
in the abdominal GI tract but most commonly affects the sigmoid colon.
• Intussusception: usually associated with signs of small bowel obstruction. It is commoner in
children.
• Apple-core sign: not seen without contrast. Produced by a stenosing carcinoma of the colon
which causes narrowing at a specific point, reducing the flow of faeces at that point.
Paralytic ileus
• Shares a similar appearance to mechanical obstruction. However, in many cases, both the
small and large bowels are distended.
• Can also appear very similar to pseudo-obstruction.
Perforation
• On an erect abdominal X-ray, there may be sub-diaphragmatic gas especially visible on the
right side. This is best visualised on an erect chest X-ray.
• On an abdominal X-ray, there may be a circular gas lucency in the central abdomen (football sign).
• Normally, only the inner surface of the bowel wall is visible. However, when there is air on
both sides of the wall, the outer surface also becomes visible, producing a 3D appearance
(Rigler’s sign).
11-OCSEs-Data_interpretation_5e ccp.indd 313 19/03/2015 13:39
Clinical
Skills
for
OSCEs
314 Station 110 Abdominal X-ray interpretation
Biliary, renal, or bladder calculi
• Gallstones may be seen as laminated, faceted, and often multiple radio-opacities in the right
upper quadrant, although only in 10–20% of cases.
• Renal calculi may be seen in 80–90% of cases as small, round radio-opacities along the urinary
tract; they often obstruct at the level of the pelviureteric junction, pelvic brim or vesicoureteric
junction. The urinary tract is visualised by looking along the transverse processes of the
vertebrae, across the sacroiliac joint to the level of the ischial spine.
• Bladder calculi may be seen as often large and multiple radio-opacities in the pelvic region.
• Note that calcified costal cartilages, pelvic phleboliths (areas of calcification in veins in the
pelvis), and calcified lymph nodes can all be mistaken for calculi.
Appendicolith
• Small, round, calcified radio-opacity in the region of the right Iliac fossa.
Inflammatory bowel disease
• Both Crohn’s disease and ulcerative colitis result in inflammation and oedema of the bowel
wall and thus, in general, thickening. In the large bowel, this increases the size of the haustral
folds, leading to ‘thumbprinting’.
• Note that infection and ischaemic colitis can also lead to thumbprinting.
Abdominal aortic aneurysm
• The aorta is not normally visible, but with age can become calcified. Bulging on one or both
sides may indicate an aneurysm.
Artefacts (see Table 37)
Learn their signs, especially the barn-door ones such as apple-core and bird’s beak.
11-OCSEs-Data_interpretation_5e ccp.indd 314 19/03/2015 13:39
315
Prescribing
and
administrative
skills
Station 111
Requesting investigations
Request forms for laboratory investigations (biochemistry, haematology, blood grouping and
transfusion, microbiology, cellular pathology, immunology) and radiological investigations differ
considerably from one hospital trust to another, so try to familiarise yourself with your local ones.
Once you have seen the forms, they are actually pretty self-explanatory. Note that in most hospitals,
investigations are ordered on a computer screen and paper forms are only used as a back-up.
On most forms you typically need to provide details about the:
Patient
• Last and first names.
• Sex (usually ‘M’ or ‘F’, but sometimes ‘U’ for ‘unknown’).
• Date of birth.
• Hospital number and NHS number.
Use the patient’s full name, e.g. ‘Dorothy’, not ‘Dot or ‘Dottie’. It is usually possible to omit the patient’s
hospital number and NHS number, but this is not best practice.
Request
• The ward or department that the report needs to go to (‘Location for report’). Sometimes you
are also able to specify a ward or department for a second copy of the report to go to (‘Copy
report’).
• The speciality on behalf of which you are ordering the investigation, e.g. AE, surgery.
• The name of the patient’s consultant. If this is unclear, you can normally write the name of the
consultant on take or on call.
• The patient’s category (e.g. NHS, private, trial).
• The requesting doctor’s name and signature.
• The requesting doctor’s bleep or telephone number.
Specimen
• The type of specimen, e.g. blood, urine, sputum, other.
• Date and time of collection.
• The (anatomical) site of collection.
Clinical details
• The patient’s clinical details, e.g.
–
– chest pain, SOB, ECG changes, ? MI
–
– pyrexia of unknown origin, ? cause
–
– acute psychosis, due to start antipsychotic medication
• If the investigations are urgent, you can write ‘Urgent please’. If the investigations are really
urgent, take the sample and request form to the laboratory and speak to the technician in
person.
12-OCSEs-Prescribing_Admin_5e ccp.indd 315 19/03/2015 10:37
Clinical
Skills
for
OSCEs
316 Station 111 Requesting investigations
On radiology request forms, you generally need to provide more precise clinical details,
and write down what questions the examination should answer. You also need to specify
the patient’s transport (e.g. walking, chair, stretcher, bed) and other (e.g. oxygen, drip,
escort) needs, and fill in a short risk assessment that is often in the form of a tick box list of
questions (e.g. pregnancy, breast-feeding, allergies – yes/no).
Investigations requested
This obviously depends on the clinical situation. Commonly ordered laboratory and radiological
investigations include FBC, haematinics, group and save, UEs, LFTs, TFTs, glucose, lipids, CRP, ESR,
amylase, D-dimers, blood cultures, MCS, CXR, and AXR.
Figure 84. A typical request form for laboratory investigations. Note that, in this hospital, biochemistry and
haematology investigations are requested on the same form.
After completing the request form
Before you take the specimen, confirm the patient’s name and date of birth. For blood specimens,
most hospitals use a purple specimen tube for haematology, a pink tube for group and save and cross-
matching, a yellow tube for biochemistry (e.g. UEs, LFTs, TFTs, CRP, lipids), a grey tube for glucose,
and a light blue tube for coagulation screen. Label the specimen tubes using a black ball-point pen,
ensuring that the information on the label matches that on the request form. Place the labelled
specimen tube into the bag on the reverse of the request form, remove the protective strip, and fold
the flap onto the bag so as to seal it. Note that blood cultures require two ‘blood bottles’ with specific
media for aerobic and anaerobic organisms (see Station 5).
PATIENT
REQUEST
SPECIMEN
BLOOD URINE CSF
NHS
M F U
CAT 2 PRIVATE TRIAL OTHER...
OTHER...
CLINICAL DETAILS RISK
LABORATORY
USE
HAEMATOLOGY INVESTIGATIONS
BIOCHEMISTRY INVESTIGATIONS
TYPE
FOR COPY REPORT
REQUESTING DR.
PATIENT CATEGORY
CONSULTANT/G.P.
SPECIALITY/PRACTICE
LOCATION FOR REPORT
LAST NAME
FBC Other:
Warfarin Control
Heparin Control
Phoned:
Time:
FIRST NAME
DATE OF BIRTH SEX
NHS NUMBER
BLEEP/PHONE
DATE TIME
12-OCSEs-Prescribing_Admin_5e ccp.indd 316 19/03/2015 10:37
Prescribing
and
administrative
skills
317
Station 111 Requesting investigations
VACUTAINER TUBE GUIDE – Draw tubes in the order given
Haemoguard Stopper Tube Content Determinations
SODIUM
CITRATE 1:9
Coagulation Screen, Prothrombin Time (INR), APTT,
Thrombophilia Screen, Lupus Anticoagulant Screen
PLAIN
(No Additive)
Anti-Cardiolipin antibodies
SST
All Biochemistry Tests not mentioned elsewhere (1
Tube), Microbiology (1 Tube)
HEPARIN Chromosome Studies, Lead, Amino Acids, Troponin
EDTA
FBC, Reticulocytes, Sickle Screen, Haemoglobinopathy
Screen, G6PD, GF Test, Viscosity, Malarial Parasites,
RBC Folate, ZPP, Marker Studies, Lead, Mercury
Complement, Glycosylated Haemoglobin
EDTA
(cross match)
Blood Group, Save Serum, Crossmatch, Antibody
Screening, Cord Blood Samples
FLUORIDE/
OXALATE
Glucose, Ethanol (Alcohol), Lactate
SODIUM
HEPARIN
Copper, Selenium, Zinc
Figure 85. Specimen tube guide. Note that the colours used may differ from one hospital trust to another.
12-OCSEs-Prescribing_Admin_5e ccp.indd 317 19/03/2015 10:37
Clinical
Skills
for
OSCEs
318 Station 112
Drug and controlled drug prescription
Before prescribing a drug
• Look at the patient’s medical notes. In particular, is there any hepatic or renal impairment/
failure?
• Find out if he is on any other drugs, and consider possible interactions.
• Ask him if he has any allergies and document these in the medical notes.
• Explain to him the reason for recommending the drug, its likely beneficial effects, and its
common or dangerous side-effects.
Prescribing a drug
• Write legibly and in black ink.
• Avoid all abbreviations other than those that are in common usage (see Table 38).
• Use generic names (unless a particular drug preparation is required).
Table 38. Latin abbreviations commonly used in prescribing drugs
Abbreviation Latin English
OD omni die once a day
BD bis in die twice a day
TDS ter die sumendus three times a day
QDS quarter die sumendus four times a day
QQH quarta quaque horae every four hours
AC ante cibum before food
PC post cibum after food
OM omni mane every morning
ON omni nocte every night
PRN pro re nata as required
Stat. statim at once
Include:
• The date.
• The full name, address, and date of birth of the patient.
• The age of the patient if he is a child under the age of 12.
• The generic name and formulation of the drug – prefer generic names unless a particular prepa-
ration is required.
• The dose and frequency – avoid decimal points, e.g. 500 mg and not 0.5 g, and superfluous
zeros, e.g. 4 mg and not 4.0 mg; if prescribing in micrograms, spell out ‘micrograms’ in full.
• For PRN or ‘as required’ drugs, the minimum dose interval, e.g. cyclizine 5 mg 8 hourly.
• The quantity to be supplied.
• The signature of a registered medical practitioner. Any alterations or mistakes should also be
signed (or at least initialled).
12-OCSEs-Prescribing_Admin_5e ccp.indd 318 19/03/2015 10:37
Prescribing
and
administrative
skills
319
Station 112 Drug and controlled drug prescription
Prescribing a controlled drug
In your own handwriting, include:
• The date.
• The full name, address, and date of birth of the patient.
• The generic name of the drug.
• The formulation and strength of the preparation.
• The required dose of the drug, frequency, and number of days it is to be taken.
• The total amount of the preparation, or the total number of dose units in both words and figures.
• Your signature and address.
December 12, 2015.
Mr John Adam Smith
42 West Register Street
London XXXX XXX
Date of birth: 01/09/1972
Methadone 10mg tablets
10mg TDS for 7 days
210mg, two hundred and ten milligrams in total.
Signed: Dr Peter Brown
The Best Hospital
London XXXX XXX
Prescribing on a hospital drug chart
• Hospital drug charts vary slightly from one hospital to another, so be familiar with your local
ones. Most drug charts have four main sections, for regular drugs, PRN drugs, ‘once-only’ drugs,
and fluids.
• Always write in black ink and in block capitals.
• Write at least the patient’s name, date of birth, and any allergies/adverse reactions on every
page of the drug chart.
• If prescribing a set course of medication, e.g. a 7-day course of antibiotics, cross off subsequent
days so as to ‘gate’ the prescription.
• Sign and date every prescription. If re-writing a drug chart, the date is not the date today, but the
date on which the drug was first prescribed.
• Record any changes you have made in the patient’s case notes.
• Fluids and drugs such as oxygen, insulin and anticoagulants are sometimes prescribed on sepa-
rate documents, and it is important to ensure that these documents do not become separated
from the drug chart.
Avoidprescribingdrugsyouareunfamiliarwith,highriskdrugssuchasanticoagulantsand
sedatives, and parenteral drugs without first consulting the British National Formulary
and senior colleagues.
SPECIMEN
12-OCSEs-Prescribing_Admin_5e ccp.indd 319 19/03/2015 10:37
Clinical
Skills
for
OSCEs
320 Station 112 Drug and controlled drug prescription
Example for a regular drug
PRESCRIPTION
Patient’s
Own
Medicine
For use
Date
Time
6
8
12
14
18
22
Medicine (Approved Name)
Quantity
Route
Dose
Date
Notes Start Date
Pharmacy
Prescriber – sign + print
LANZOPRAZOLE
30 mg ORAL
AB AB AB AB AB AB
1
/7
/08
2
/7
/08
3
/7
/08
4
/7
/08
5
/7
/08
6
/7
/08
7
/7
/08
8
/7
/08
1/7/15
ADoctor A DOCTOR
Example for a PRN drug
PRESCRIPTION
AS REQUIRED THERAPY
Patient’s
Own
Medicine
For use Date
Time
Dose
/Route
Initials
Date
Time
Dose
/Route
Initials
Medicine (Approved Name)
Quantity
Route
Dose + Frequency
Date
Notes Start Date
Pharmacy
Prescriber – sign + print
PARACETAMOL
1 g 4–6 hourly
Max 4 g/24 hrs
FOR PAIN
PO/BR
1/7/15
ADoctor A DOCTOR
Example for a once-only drug
Date Time Medicine (Approved Name) Dose Route Prescriber – Sign + Print Time
Given
Given
By
ONCE ONLY
1/7/15
1/7/15
0800
0800
1.5 g
500 mg
IV
IV
ADoctor A DOCTOR
ADoctor A DOCTOR
CEFUROXIME
METRONIDAZOLE
0800
0800
AB
AB
12-OCSEs-Prescribing_Admin_5e ccp.indd 320 19/03/2015 10:37
Prescribing
and
administrative
skills
321
Station 112 Drug and controlled drug prescription
Example for fluids
INFUSION THERAPY
Date Infusion solution Additives and dose Volume Rate Route Sign Time
Given
Given
By
1/07/15
1/07/15
1/07/15
1 l
1 l
1 l
8º
8º
8º
IV
IV
IV
A Doctor
A Doctor
A Doctor
0800 AB
Normal saline
Normal saline
5% Dextrose
None
None
20 mmol KCI
After prescribing a drug
• If you haven’t done so already, give the patient instructions for taking the drug.
• Ask the patient is he has any questions or concerns.
Table 39. Some commonly prescribed drugs and their adult dosages
Name Dose Frequency Route(s)
Analgesics
Paracetamol 1 g 4–6 h, max 4 g/24 h PO/PR
Diclofenac 50 mg TDS PO/PR
Ibuprofen 400 mg QDS PO
Cocodamol 8/500 or 30/500 2 tabs QDS PO
Codeine phosphate 30–60 mg 4 h, max 240 mg/24 h PO/IM
Tramadol 50–100 mg 4 h PO/IM/IV
Morphine 5–10 mg 4 h PO/IM/SC
Antibiotics
Trimethoprim 200 mg BD PO
Penicillin V 250–500 mg QDS PO
Penicillin G 300–600 mg QDS IV
Amoxycillin 250–500 mg TDS PO
Co-amoxiclav 250/125 or 500/125 1 tab TDS PO
Flucloxacillin 25–500 mg QDS PO
Cefuroxime 250–500 mg BD PO
Cefuroxime 750 mg–1.5 g TDS IV/IM
Ciprofloxacin 250–750 mg BD PO
Clarithromycin 250–500 mg BD PO
Erythromycin 250–500 mg QDS PO
Metronidazole 400 mg TDS PO
continued
12-OCSEs-Prescribing_Admin_5e ccp.indd 321 19/03/2015 10:37
Clinical
Skills
for
OSCEs
322 Station 112 Drug and controlled drug prescription
Table 39. Some commonly prescribed drugs and their adult dosages – continued
Name Dose Frequency Route(s)
Anticoagulants
Tinzaparin DVT prophylaxis 3500 U OD SC
Tinzaparin DVT/PE treatment 175 U/kg OD SC
Dalteparin DVT prophylaxis 2500–5000 U OD SC
Dalteparin DVT/PE treatment 200 U/kg OD SC
Warfarin As per hospital protocol and INR monitoring
Antiemetics
Cyclizine 50 mg TDS PO/IM/IV
Metoclopramide 10 mg TDS PO/IM/IV
Antihistamines
Desloratadine 5 mg OD PO
Cetirizine 5–10 mg OD PO
Hypnotics
Temazepam 10–20 mg ON PO
Zopiclone 3.75–7.5 mg ON PO
Proton pump inhibitors and antacids
Lansoprazole 15–30 mg OD PO
Omeprazole 20–40 mg OD PO
Gaviscon® 10–20 ml TDS PO
Triple therapy (7 days)
Lanzoprazole 30 mg BD PO
Amoxicillin 1 g BD PO
Clarithromycin 500 mg BD PO
Laxatives
Lactulose 15 mls BD PO
Senna 2 tabs ON PO
Glycerin suppository 1–2 PRN PR
Phosphate enema 1 PRN PR
Movicol 1–3 sachets/day Divided doses PO
Other drugs
Aspirin prophylaxis 75 mg OD PO
Simvastatin 10–40 mg ON PO
Bendrofluazide 2.5 mg OD PO
Lisinopril 2.5–20 mg OD PO
¸
˝
˛
12-OCSEs-Prescribing_Admin_5e ccp.indd 322 19/03/2015 10:37
323
Prescribing
and
administrative
skills
Station 113
Oxygen prescription
Table 40. Guide to oxygen masks
Type of mask Oxygen concentration Indications
Low flow masks
Deliver a variable
concentration of oxygen
Nasal cannula
Simple face mask
Partial rebreather mask
Non-rebreather mask
24–44% depending on the
flow rate*
Up to 60% at 6–10 l/min
60–80% at 10 l/min
Up to 95% at 15 l/min
Patients with mild hypoxia
who are otherwise stable;
long-term domiciliary
treatment
Acutely breathless patients
As above
As above
High flow (Venturi) masks
Deliver a fixed concentration
of oxygen
24–60% in steps depending on
the valve used (see Table 41)
‘Carbon dioxide retainers’ in
whom oxygen control is a
requirement**
* For every litre of flow delivered up to 6 litres, the oxygen concentration increases by about 4%, e.g. at 4 l/min,
oxygen concentration is 36%.
**Note that the commonest cause of a high PaCO2
is not carbon dioxide retention but ventilatory failure, in which
the patient requires a high concentration of oxygen.
Table 41. Venturi mask valves
Valve colour Flow rate (l/min) Oxygen delivered (%)
Blue
White
Yellow
Red
Green
2
4
6
8
12
24
28
35
40
60
Before starting
• Introduce yourself to the patient, and confirm his name and date of birth.
• Explain the need for oxygen and obtain consent.
• Quickly eyeball the equipment around you. There should be a selection of oxygen masks and
Venturi valves.
The procedure
• Determine the patient’s oxygen saturation using a pulse oximeter, and comment upon it.
• Tell the examiner that you would like to take an arterial blood gas sample. At this point, the
examiner is likely to provide you with an arterial blood gas reading.
12-OCSEs-Prescribing_Admin_5e ccp.indd 323 19/03/2015 10:37
Clinical
Skills
for
OSCEs
324 Station 113 Oxygen prescription
• Interpret the arterial blood gas reading (see Station 107).
• Select the appropriate piece of equipment and assemble it by connecting one end of the
tubing to the piece of equipment and the other end to the oxygen source.
• Adjust the oxygen flow rate as appropriate.
• Apply the equipment to the patient, ensuring a tight yet comfortable fit.
• Tell the examiner that you would like to take a second arterial blood gas sample after a certain
period of time. If the examiner provides you with a second arterial blood gas reading, interpret
it and make the appropriate changes (if any).
After the procedure
• Record the instructions and sign the prescription chart.
• Ask the patient if he has any questions or concerns.
• Thank the patient.
12-OCSEs-Prescribing_Admin_5e ccp.indd 324 19/03/2015 10:37
325
Prescribing
and
administrative
skills
Station 114
Death confirmation
Specifications: A mannequin in lieu of a cadaver (!)
• Take a history from a nurse (or indicate that you would do so) and consider the need for resus-
citation.
• Ask for the patient’s notes.
• Confirm the patient’s identity: check his name tag.
• Observe the patient’s general appearance and note the absence of respiratory movements.
• Ascertain that the patient does not rouse to verbal or tactile stimuli, such as pressure on a nail-
bed.
• Confirm that the pupils are fixed and dilated.
• Use an ophthalmoscope to examine the fundi for segmentation of the retinal columns (‘rail-
roading’ or ‘palisading’).
• Feel for the carotid pulses on both sides.
• Feel for the radial pulses.
• Feel for the femoral pulses.
• Auscultate over the precordium. Indicate that you would listen for one minute. Note whether
the patient has a pacemaker or not (you can always look at a recent chest X-ray if you are
unsure).
• Auscultate over the lungs. Indicate that you would listen for 3 minutes.
• Wash your hands.
If any of your findings are non-corroboratory, you must consider the need for resuscitation.
• Make an entry in the patient’s notes. Remember to include the time and date of death, and your
examination findings.
• Indicate that you would:
–
– consider the need for a post-mortem (see Station 115: Death certificate completion)
–
– complete a death certificate (see Station 115)
–
– inform the patient’s GP and next of kin of the patient’s death
12-OCSEs-Prescribing_Admin_5e ccp.indd 325 19/03/2015 10:37
Clinical
Skills
for
OSCEs
326 Station 115
Death certificate completion
Legally, you can only fill in the death certificate if you have seen the patient in his last 14
days. Once the certificate is completed, it should be taken to the Registrar of Births and
Deaths, usually by the patient’s next of kin.
Before starting
You should understand the patient’s history and the circumstances surrounding his death. You should
have seen the patient’s cadaver to confirm his death (or had the cadaver seen by a medically qualified
colleague), noted if he had a pacemaker or radioactive implant, phoned his GP, and considered the
need for a post-mortem examination (see Table 42).
Filling in the death certificate
In black ink, and as clearly and precisely as possible:
• Fill in the patient’s:
–
– name
–
– date of death
–
– age
–
– place of death
• Fill in the date on which you last saw the patient alive.
• Circle one of the following statements:
1. the certified cause of death takes account of information obtained from post-mortem
2. information from post-mortem may be available later
3. post-mortem not being held
4. I have reported this death to the Coroner for further action
• Circle one of the following statements:
a) seen after death by me
b) seen after death by another medical practitioner but not by me
c) not seen after death by a medical practitioner
• Fill in the cause of death: the disease that led directly to the patient’s death is entered in Section
I (a). The diseases that led to the disease entered in Section I (a) are entered in Sections I (b) and
I (c).
• Fill in other significant diseases contributing to the death but not related to the disease having
caused it in Section II.
• Tick the box if the death is related to employment.
• Sign the death certificate, fill in the date of issue, and print your name and medical
qualification(s).
• Fill in the name of the consultant responsible for the overall care of the patient.
• Fill in the Counterfoil: record the patient’s details and circumstances of death.
• Fill in the Note to Informant, and give it to the next of kin.
12-OCSEs-Prescribing_Admin_5e ccp.indd 326 19/03/2015 10:37
Prescribing
and
administrative
skills
327
Station 115 Death certificate completion
Table 42. Some reasons for referral to the coroner
• The cause of death is uncertain.
• The cause of death is due to industrial disease.
• The cause of death is suspicious.
• The cause of death is accidental.
• The cause of death is violent.
• The death is related to surgery or anaesthesia.
• A doctor has not attended in the 14 days prior to the patient’s death.
12-OCSEs-Prescribing_Admin_5e ccp.indd 327 19/03/2015 10:37
Clinical
Skills
for
OSCEs
328 Station 115 Death certificate completion
12-OCSEs-Prescribing_Admin_5e ccp.indd 328 19/03/2015 10:37
Prescribing
and
administrative
skills
329
Station 115 Death certificate completion
Figure
86.
Copy
of
death
certificate.
12-OCSEs-Prescribing_Admin_5e ccp.indd 329 19/03/2015 10:38
Clinical
Skills
for
OSCEs
330 Station 116
Explaining skills
These skills can be used to explain a common condition, to explain an investigation, or to explain a
procedure or treatment. They can also be used in your private life, although it may then be unwise to
draw a diagram or hand out a leaflet.
What to do
• Introduce yourself.
• Summarise the patient’s presenting symptoms.
• Tell the patient what you are going to explain.
• Determine how much the patient already knows.
• Determine how much the patient would like to know.
• Elicit the patient’s main concerns (ICE).
• Deliver the information.
–
– for a medical disorder: aetiology, epidemiology, clinical features, investigations/treatment,
prognosis
–
– for a pharmacological treatment: name, mechanism of action, procedure involved (dose,
route of administration, frequency, precautions), principal benefits, principal side-effects,
principal contraindications, alternatives including no treatment
–
– for an investigative procedure: purpose, description of the procedure, principal risks, alterna-
tives including no investigation, preparation required, results
–
– for a surgical procedure: purpose, description of the procedure, principal risks, alternatives
including no surgery, preparation required, anaesthetic procedure, post-operative care (e.g.
recovery room, oxygen, blood pressure monitoring, etc.), analgesia
• Summarise and check understanding.
• Encourage and address questions.
How to do it
• Be empathetic.
• Explore the patient’s feelings.
• Give the most important information first.
• Be specific.
• Regularly check understanding.
• Pitch the explanation at the patient’s level. Use simple language and short sentences. If using a
medical or technical term, explain it in layman’s terms.
• Use diagrams, if appropriate.
• Use props or anatomical models, if appropriate.
• Hand out a leaflet.
• Be honest. If you are unsure about something, say you will find out later and get back to the
patient.
What not to do
• Hurry.
• Reassure too soon.
• Be patronising.
• Give too much information.
• Use medical jargon.
• Confabulate (make things up).
13-OCSEs-Communication_skills_5e ccp.indd 330 19/03/2015 08:34
Communication
skills
331
Station 116 Explaining skills
“Really, now you ask me,” said Alice, very much confused, “I don’t think –”
“Then you shouldn’t talk,” said the Hatter.
Alice’s Adventures in Wonderland: A Mad Tea-Party
Lewis Carroll
Some of the medical disorders, pharmacological treatments, investigative procedures, and
surgical procedures that you may be asked to explain in an OSCE
Information can be obtained from websites such as:
www.patient.co.uk
http://besthealth.bmj.com/
Medical disorders
• Asthma.
• Diabetes.
• Hypertension.
• Angina.
• Dementia.
• Miscarriage.
• Osteoarthritis/rheumatoid arthritis.
Pharmacological treatments
• Statins.
• Antibiotics.
• Asthma inhalers.
• Corticosteroids.
• Insulin.
• Antihypertensives.
• Antidepressants.
• Analgesics.
• Glyceryl trinitrate.
• Contraceptive pill (emergency pill, combined pill, progestogen-only preparations).
• Pessaries and suppositories.
• Skin preparations, e.g. emollient, steroid cream, sunscreen.
Investigative procedures
• Chest or abdominal X-ray.
• CT scan.
• MRI scan.
• Ultrasound scan.
• Echocardiography.
• Flexible bronchoscopy.
• Ventilation/perfusion scan.
• Spirometry.
• Oesophagogastroduodenoscopy (OGD).
13-OCSEs-Communication_skills_5e ccp.indd 331 19/03/2015 08:34
Clinical
Skills
for
OSCEs
332 Station 116 Explaining skills
• Barium swallow/meal/follow-through.
• Barium enema.
• Flexible sigmoidoscopy.
• Colonoscopy.
• Cystoscopy.
Surgical procedures
• Angioplasty.
• Laparoscopic cholecystectomy.
• Endoscopic retrograde cholangiopancreatography (ERCP).
• Inguinal hernia repair.
• Transurethral resection of the prostate (TURP).
• Hip/knee replacement.
• Varicose vein stripping.
13-OCSEs-Communication_skills_5e ccp.indd 332 19/03/2015 08:34
333
Communication
skills
Station 117
Imaging tests explanation
Read in conjunction with Station 116: Explaining skills.
• Introduce yourself to the patient, and confirm his name and date of birth.
• State the imaging test required and its indication, e.g. “We ought to take an X-ray of your leg to
see if it’s broken.”
• Check the patient’s current understanding, e.g. “Have you ever had an X-ray before?”
• Explain what the test involves (see below).
• Highlight any special preparation involved, e.g. fasting for a certain period prior to the test.
• Check the patient’s understanding.
• Ask whether he has any questions or concerns.
• If possible, tell him where and when the test will take place.
• If possible, give him a leaflet.
• Thank him.
• Document your conversation.
X-ray
What the patient should know
• An X-ray is a picture of the bones and surrounding tissues that is produced by exposure to a
small amount of radiation.
• We are all exposed to sources of natural radiation throughout our lives. A chest X-ray or an X-ray
of your arm or leg is the equivalent of a few days’ worth of background radiation, and has a less
than 1 in 1000000 chance of causing cancer.
• The radiographer will ask you to stand against a flat surface or lie on a table.
• He or she will then stand behind another screen and take a picture of e.g. your leg with the
X-ray machine.
• The procedure takes 5–10 minutes, but your leg will only be exposed to X-rays for a fraction of
a second. It is completely painless.
• You must tell the radiographer if there is any chance that you are pregnant. X-rays are not
thought to pose a risk to an unborn baby, but, out of precaution, X-rays that target the womb
are not recommended unless there’s a clear need for them.
• A radiologist will study your X-ray and discuss it with you or send a report to your GP.
What you should also know
• X-rays have a higher frequency than light and pass through the human body.
• Radiographs are produced by directing X-rays through the relevant part of the body, which is
placed in front of a photographic plate.
• In the past, the photographic plate used the same type of film as a traditional camera, but
nowadays the plate is more often connected to a computer so that a digital image can be taken.
• Radiographs are commonly used to detect bone fractures, and to investigate cardiac, respira-
tory, and abdominal conditions, among others.
• As X-rays pass through the body, energy particles (photons) are absorbed at different rates.
Metalwork absorbs most radiation so appears bright white. Bone appears white, soft tissues
(e.g. organs) appear grey, fat appears dark grey, and air appears black.
• Contrast material can be used to improve visibility of internal organs, e.g. iodine to look at ves-
sels in the heart (angiogram) or barium to look at the GI tract (barium swallow for the oesopha-
gus, barium meal for the stomach, barium follow-through for the stomach and small bowel, and
barium enema for the large bowel).
13-OCSEs-Communication_skills_5e ccp.indd 333 19/03/2015 08:34
Clinical
Skills
for
OSCEs
334 Station 117 Imaging tests explanation
• A radiograph that uses contrast material involves the equivalent of a few years’ worth of back-
ground radiation (considerably more than a chest radiograph), and has a 1 in 1000–10000
chance of causing cancer.
Ultrasound scan (USS)
What the patient should know
• A USS uses high-frequency sound waves to create an image of part of the inside of the body.
Radiation is not used.
• The test will take place in the X-ray department (usually) and be performed either by a doctor
or a sonographer.
• The operator will ask you to lie on a bed and move a handheld transducer over the area of the
body to be examined.
• Prior to that, he or she will apply some lubricating gel over the skin. The gel improves contact
between the transducer and the skin and also enables the transducer to move more smoothly.
• The transducer is connected to a computer and monitor. Pulses of sound are sent from the
transducer into your body. They then bounce back from the structures inside your body to be
displayed as a moving image on the monitor.
• The procedure takes 15–45 minutes.
• It is completely painless and harmless (both to you and your baby).
• A report will be sent to your GP.
What you should also know
• Commonly used for antenatal scans; to image the heart (echocardiogram) and other organs,
e.g. liver, breast, thyroid; and to guide biopsies.
• Depending on the scan, it may be necessary for the patient to be fasted or to have a full bladder.
• Some parts of the body are not suitable for ultrasound scanning since ultrasound waves cannot
pass through bone, air, or gas.
• There are different types of scan:
–
– external ultrasound (US)
–
– internal US: to look more closely at certain organs, e.g. prostate, ovaries
–
– endoscopic US: to look more closely at certain areas, e.g. oesophagus, stomach
–
– Doppler US: to assess flow of blood through vessels
–
– duplex US: combines grey scale and colour Doppler ultrasound to look at both the structure
of the vessels and the flow of blood through them
Computerised tomography (CT) scan
What the patient should know
• A CT scan involves taking a series of X-rays and using a computer to build up detailed images
of the inside of the body.
• This does involve exposure to radiation, but the potential benefits of the scan outweigh the
potential risks.
• You may be asked to change into a gown and to remove metallic objects such as jewellery,
dentures, hairpins, and so on.
• The radiographer will ask you to lie on your back on a bed that will be moved in and out of the
scanner. The scanner resembles a large ring or doughnut and contains an X-ray unit that will
rotate around you.
• You must keep as still as possible during the scan. At certain times, you might be asked to
breathe in, breathe out, or hold your breath.
• The radiographer will be operating the scanner from an adjacent room. However, he or she
13-OCSEs-Communication_skills_5e ccp.indd 334 19/03/2015 08:34
Communication
skills
335
Station 117 Imaging tests explanation
will be able to see you and communicate with you through an intercom. You can also ask for a
friend or relative to be with you in the same room.
• The procedure takes 5–10 minutes.
• It is completely painless.
• You must tell the radiographer if there is any chance that you are pregnant.
• Your scan will be examined by a radiologist and may be discussed by other specialists. A report
will be sent to the doctor who ordered the scan and to your GP.
What you should also know
• With CT scanning, digital geometry processing is used to generate a three-dimensional image
of the inside of the body from a large series of two-dimensional radiographic images (‘slices’)
taken around a single axis of rotation.
• CT scans are often used after serious accidents to look for internal injuries, and to prepare for
further tests and treatment.
• Common types of CT scan include head (e.g. for investigating brain tumours, haemorrhages, or
stroke), abdominal, vascular, and bone scans.
• Contrast material can be given through various routes, and might be used to highlight certain
structures.
• CT scans can expose the patient to significant radiation: a whole body scan is equivalent to 4.5
years’ background radiation.
Magnetic resonance imaging (MRI)
What the patient should know
• An MRI uses strong magnets and radio waves to create detailed images of inside the body.
Radiation is not used.
• You will most likely be asked to change into a gown. Because of the strong magnets, it’s impor-
tant to remove any metal objects from your body, including piercings, dentures, and hearing
aids.
• The scanner looks like a tube or tunnel.
• The radiographer will ask you to lie on a bed which slides into the scanner. You may find this
uncomfortable if you suffer from claustrophobia, particularly if you have to go head first into
the scanner.
• The scanner may be quite noisy so you will be given earplugs or headphones to wear.
• In some cases, a frame containing receivers may be placed over the part of the body being
scanned. The purpose of the frame is to improve image quality.
• You must keep as still as possible during the scan. At certain points, you might also be asked
to hold your breath.
• The radiographer will be operating the scanner from an adjacent room. However, he or she
will be able to see you and communicate with you through an intercom. You can also ask for a
friend or relative to be with you in the same room.
• The procedure takes 15–90 minutes.
• It is completely painless and harmless.
• Your scan will be examined by a radiologist and may be discussed by other specialists. A report
will be sent to the doctor who ordered the scan and to your GP.
What you should also know
• Often used as a second-line when other imaging tests have been unable to provide sufficient
information.
• The magnetic field causes protons in hydrogen atoms in the body to align. Short bursts of
radio waves then knock the protons out of alignment. When the radio waves are turned off, the
13-OCSEs-Communication_skills_5e ccp.indd 335 19/03/2015 08:34
Clinical
Skills
for
OSCEs
336 Station 117 Imaging tests explanation
­
protons realign, and, in doing so, emit radio signals which are picked up by receivers. Protons
in different tissue types realign at different speeds, producing distinct signals.
• MRI can be used to examine almost any part of the body, but, because of the strong magnets,
may be contraindicated in people with an IUD, pacemaker, artificial heart valve, prosthetic joint,
or other metal-containing implants and fragments. As a precaution, MRI scans are not usually
recommended during pregnancy, although there is no evidence to suggest that they are harm-
ful to the embryo or foetus.
• Sedatives can be provided for people with claustrophobia and general anaesthetic for young
children and babies.
• Depending on the scan, the patient may be asked not to eat and drink for up to four hours
beforehand, or to drink a large amount of water.
• In some cases, a contrast material, typically gadolinium, may be injected intravenously to
enhance the appearance of certain details.
• Functional MRI (fMRI) measures the haemodynamic response to transient neural activity result-
ing from a change in the ratio of oxyhaemoglobin and deoxyhaemoglobin, and is used to map
neural activity in the brain or spinal cord.
13-OCSEs-Communication_skills_5e ccp.indd 336 19/03/2015 08:34
337
Communication
skills
Station 118
Endoscopies explanation
Read in conjunction with Station 116: Explaining skills.
• Introduce yourself to the patient, and confirm his name and date of birth.
• State the test required and its indication, e.g. “To help ascertain the cause of your bleeding, we
would like to look at the inside of your stomach with a small telescopic camera.”
• Check the patient’s current understanding, e.g. “Have you ever had this done before?”
• Explain what the test involves (see below).
• Highlight any special preparation involved, e.g. fasting for a certain period prior to the test.
• Check the patient’s understanding.
• Ask whether he has any questions or concerns.
• If possible, tell him where and when the test will take place.
• If possible, give him a leaflet.
• Thank him.
• Document your conversation.
[Note] The most common endoscopies to come up in OSCEs are oesophagogastroduodenoscopy and colonoscopy.
Oesophagogastroduodenoscopy (OGD, gastroscopy, upper
endoscopy)
What the patient should know
• The procedure involves passing a thin, flexible tube or scope down into the stomach.
• This is often carried out under sedation, meaning that you may be very drowsy. In addition or
alternatively, your throat may be numbed with a local anaesthetic spray.
• You will be asked to lie down on your left-hand side.
• The endoscopist will place the scope in the back of your mouth and require your co-operation
as he or she gently guides it down your gullet and into your stomach.
• The scope carries a light and camera and relays images back to a monitor. If need be, it can also
be used to take tissue samples and even to stretch the gullet or stop bleeding.
• The procedure itself usually takes about 15 minutes and is very safe. (For a diagnostic OGD, seri-
ous complications such as bleeding occur in fewer than 1 in 1000 cases; for a therapeutic OGD,
in fewer than 1 in 100 cases.)
• After the procedure, you will be taken to a recovery room where you can remain until the effects
of the sedation have worn off.
• If you are discharged, as is likely, you should arrange for someone to take you home and stay
with you for a day or so. If any complications arise, he or she should take you to AE. Owing
to the sedative, do not drive, operate heavy machinery, or drink alcohol for 24 hours after the
procedure.
• The results of the procedure will be discussed with you by your referring doctor or your GP, who
will be sent a copy of the results.
• Prior to the procedure, you should not eat or drink anything for at least four hours. If you are on
any prescribed medicines for indigestion, you should stop taking them for at least two weeks
(this does not also apply to antacids). Also, do let the endoscopy unit know if you are on any
diabetes or blood-thinning medication.
13-OCSEs-Communication_skills_5e ccp.indd 337 19/03/2015 08:34
Clinical
Skills
for
OSCEs
338 Station 118 Endoscopies explanation
What you should also know
• OGD is used to look for lesions in the oesophagus, stomach, or duodenum. It can also be used
to take biopsies and perform therapeutic and palliative interventions e.g. repair bleeding ulcers
or veins, dilate the oesophagus, remove polyps and early-stage tumours, or provide nutrients.
• Common indications include dysphagia, dyspepsia, haematemesis, melaena, malabsorption,
persistent abdominal pain, and unexplained weight loss.
• Complications include pain, bleeding, perforation, infection, and sore throat.
Colonoscopy
What the patient should know
• Colonoscopy involves passing a thin, flexible tube or scope through the back passage and into
the colon or large bowel.
• This is often carried out under sedation, meaning that you may be very drowsy.
• You will be asked to lie down on your left-hand side.
• After performing a digital rectal examination, the operator will gently push the scope through
the back passage and into the colon.
• Air will be passed up a channel in the scope to make the colon easier to visualise. This may make
you feel cramped or bloated, which is normal.
• The scope carries a light and camera and relays images back to a monitor. If need be, it can
also be used to take tissue samples and even to remove small lumps of tissue or stop bleeding.
• The procedure itself usually takes about 20–30 minutes and is very safe.
• After the procedure, you will be taken to a recovery room where you can remain until the effects
of the sedation have worn off.
• If you are discharged, as is likely, you should arrange for someone to take you home and stay
with you for a day or so. If any complications arise (for example, pain, passing blood, or fever),
he or she should take you to AE. Owing to the sedative, do not drive, operate heavy machin-
ery, or drink alcohol for 24 hours after the procedure.
• The results of the procedure will be discussed with you by your referring doctor or your GP, who
will be sent a copy of the results.
• The colon needs to be empty for the procedure, and you will have to go on a special diet for the
few days leading up to the test. You will also be given some laxatives to take.
What you should also know
• Colonoscopy is used to look for pathology in the colon as far as the terminal ileum. It enables
the operator to take biopsies and perform therapeutic and palliative interventions, e.g. remove
polyps, stop bleeding, insert a stent.
• Colonoscopy is also used for surveillance in those at risk of colorectal cancer or patients with
IBD.
• Common indications for colonoscopy include PR bleeding, positive faecal occult blood test,
persistent lower abdominal pain, persistent diarrhoea, and change in bowel habit.
• Complications include pain, bleeding, perforation, and infection.
• Flexible sigmoidoscopy is used to look at the rectum and lower colon (up to about 60cm),
sometimes as precursor to a full colonoscopy. The procedures are similar.
13-OCSEs-Communication_skills_5e ccp.indd 338 19/03/2015 08:34
339
Communication
skills
Station 119
Obtaining consent
Common questions
The purpose of gaining consent
Consent is needed on every occasion a doctor wishes to initiate an investigation or treatment or
any other intervention, except in emergencies or where the law dictates otherwise (such as where
compulsory treatment is authorised under the Mental Health Act).
How long is consent valid for?
Consent should be seen as a continuing process rather than a one-off decision. When there has been
a significant period of time between the patient agreeing to a procedure and its start, consent should
be reaffirmed.
Refusal of treatment
Competent adult patients are entitled to refuse treatment even when doing so may result in permanent
physical injury or death. For example, a competent Jehovah’s Witness can refuse a blood transfusion
even if he will surely die as a result. An adult patient is competent if he can:
• Understand what the intervention is.
• Understand why the intervention is being proposed.
• Understand the alternatives to the intervention, including no intervention.
• Understand the principal benefits and risks of the intervention and of its alternatives.
• Understand the consequences of the intervention and of its alternatives.
• Retain the information for long enough to weigh it in the balance and reach a reasoned deci-
sion, whatever that decision might be. In some cases, the patient may not have the cognitive
ability or emotional maturity to reach a reasoned decision, or may be unduly affected by mental
illness.
Obtaining consent
When seeking to obtain consent, it is important not to be seen to be rattling through a list
of ‘must dos’. Try instead to elicit the patient’s ideas, concerns, and expectations, and tailor
your explanations accordingly.
• The type of information that should be provided to obtain consent includes:
–
– what the intervention is (use diagrams if this is helpful)
–
– why the intervention is being proposed
–
– alternatives to the intervention, including no intervention
–
– the principal benefits and risks of the intervention and of its alternatives
–
– the consequences of the intervention and of its alternatives
• Ask the patient to summarise the above information, and be certain that he is competent to
give consent.
• Remind the patient that he does not have to make an immediate decision and that he can
change his mind at any time.
13-OCSEs-Communication_skills_5e ccp.indd 339 19/03/2015 08:34
Clinical
Skills
for
OSCEs
340 Station 120
Breaking bad news
What to do
• Introduce yourself.
• Look to comfort and privacy.
• Determine what the patient already knows.
• Determine what the patient would like to know.
• Warn the patient that bad news is coming.
• Break the bad news.
• Identify the patient’s main concerns.
• Summarise and check understanding.
• Offer realistic hope or appropriate reassurance.
• Arrange follow-up.
• Try to ensure there is someone with the patient when he leaves.
How to do it
• Be sensitive.
• Be empathetic.
• Maintain eye contact.
• Give information in small chunks.
• Repeat and clarify.
• Regularly check understanding.
• Give the patient time to respond. Do not be afraid of silence or of tears.
• Explore the patient’s emotions.
• Use physical contact if this feels natural to you.
• Be honest. If you are unsure about something, say you will find out later and get back to the
patient.
What not to do
• Hurry.
• Give all the information in one go, or give too much information.
• Use euphemisms or medical jargon.
• Lie or be economical with the truth.
• Be blunt. Words are like loaded pistols, as Jean-Paul Sartre once said.
• Prognosticate (“She’s got six months, maybe seven”).
13-OCSEs-Communication_skills_5e ccp.indd 340 19/03/2015 08:34
341
Communication
skills
Station 121
The angry patient or relative
I was angry with my friend:
I told my wrath, my wrath did end.
I was angry with my foe:
I told it not, my wrath did grow.
William Blake
The ‘angry person’ station can be rather unnerving, if only because medical students – and especially
medical students in the earlier years of their training – are relatively sheltered from such persons.
The aim of the game is to diffuse the person’s anger, not to ignore, placate or rationalise it. You should
therefore try to be as empathetic and non-confrontational as possible.
What to do
• Introduce yourself.
• Acknowledge the person’s anger e.g. “I can see that you’re angry”.
• Try to find out the reason for his anger, e.g. frustration, fear, guilt.
• Validate his feelings e.g. “I understand that you’re angry”.
• Let him vent his anger, or any feelings that led to his anger, e.g. frustration, fear, guilt. Be careful
not to interrupt him.
• Offer to do something or for him to do something.
People usually get angry because they feel that they are not being heard – so be sure to
hear them out.
How to do it
• Sit at the same level as the person, not too close but not too far either.
• Make eye contact.
• Speak calmly and do not raise your voice.
• Avoid dismissive or threatening body language.
• Encourage the person to speak. Ask open rather than closed questions, and use verbal and non-
verbal cues to show that you are listening.
• Empathise as far as you can.
What not to do
• Glare at the person.
• Confront him.
• Interrupt him.
• Patronise him.
• Get too close to or touch him.
• Block his exit route.
• Put the blame on others/seek to exonerate yourself.
• Make unreasonable promises.
If the angry person is a patient’s relative, be mindful of potential confidentiality issues.
13-OCSEs-Communication_skills_5e ccp.indd 341 19/03/2015 08:34
Clinical
Skills
for
OSCEs
342 Station 122
The anxious or upset patient or relative
What to do
• Look to comfort and privacy.
• Introduce yourself and try to establish rapport.
• Acknowledge the person’s emotional state, e.g. “You seem to be very upset.”
• Explore his feelings, e.g. “What’s making you so upset?”
• Validate his feelings, e.g. “I think that most people would feel that way in your situation.”
• Provide honest and accurate information about the situation.
• Offer to do something or for him to do something.
• Summarise, reassure as far as you can, and conclude.
How to do it
• Encourage him to speak, e.g. by asking open rather than closed questions and by prompting
him on, e.g. “Can you tell me more about that?”
• Show that you are listening, e.g. by making appropriate eye contact, adjusting your body pos-
ture, and using appropriate verbal and non-verbal cues.
• Be empathetic.
• Use silence at appropriate times. If the person sheds tears, give him the time and space to do
so and hand him a tissue.
• Use physical contact if this feels natural to you.
• Remain poised: speak calmly, use simple sentences, and pace the information that you give.
• Repeat and clarify the information that you give, and check understanding.
• Encourage questions.
What not to do
• Ask only closed questions.
• Interrupt or rush him.
• Do all the talking.
• Dismiss or trivialise his feelings.
• Reassure too soon.
• Offer inappropriate reassurance or false hope, e.g.
–
– “There’s absolutely nothing to be afraid of, everything will be just fine.”
–
– “Sure she’s dead, but you’ll get over her much sooner than you think.”
–
– “I’m sure your father’s in a better place now.”
If the anxious or upset person is a patient’s relative, be mindful of potential confidentiality
issues.
13-OCSEs-Communication_skills_5e ccp.indd 342 19/03/2015 08:34
343
Communication
skills
Station 123
Cross-cultural communication
You do not need to have a Masters in anthropology from the School of Oriental and African Studies to
score highly in this station. All you need to do is use some basic communication strategies, as detailed
here. It is also important that you are seen to respect the patient’s beliefs and/or values.
• Introduce yourself to the patient, and ensure that he is comfortable.
• Confirm his name, age, and occupation.
• Determine his reason for attending.
• Elicit his:
–
– Ideas
–
– Concerns
–
– Expectations
(ICE)
• Establish:
–
– his cultural or religious group
–
– the implications that this has on his reason for attending
–
– his individual beliefs and values
• Check that you have understood his problems.
• Explore possible solutions, and agree a mutually satisfactory course of action.
• Summarise the consultation.
• Check the patient’s understanding.
• Thank him.
13-OCSEs-Communication_skills_5e ccp.indd 343 19/03/2015 08:34
Clinical
Skills
for
OSCEs
344 Station 124
Discharge planning and negotiation
Discharging a patient involves discussing and agreeing the various aspects of discharge with both the
patient and the team, providing the patient with appropriate advice and instructions, ensuring that the
relevant services and prescriptions have been put into place, and writing a discharge summary for the
benefit of the patient’s GP and others. The form that has come to emblematise this process goes by a
number of Stalinist names, including discharge summary (DSUM), electronic discharge communication
(EDC), To Take Away (TTA), and To Take Out (TTO).
Setting the scene
• Introduce yourself to the patient, and confirm his name and date of birth.
• Summarise the situation to him.
• Explore the impact that the illness/hospitalisation has had on him.
• Explore his current mood and disposition.
Going home and after
• Explain that you are considering for the patient to go home.
• Elicit and address any concerns that he may have about going home. Reassure him that trans-
port can be organised, if need be.
• Explore his home situation and support system.
• In people who are elderly or disabled, assess Activities of Daily Living (ADL): grooming, bathing,
dressing, feeding, bladder, bowels, toilet use, transfer, mobility, stairs.
• Consider any extra help that can be offered to the patient, for example, social services, home
help, meals on wheels, health visitor, district nurse, specialist nurses, palliative care team, dieti-
cian, occupational therapist, speech (language) therapist, physiotherapist, psychologist, conti-
nence advisor, self-help group, day centre.
• Discuss medication and compliance. Check that the patient doesn’t have any concerns about
taking his discharge medication and reassure him that the pharmacy can supply a Dosette box/
pill organiser, if need be.
• Address risk factors. Suggest lifestyle changes that the patient may benefit from, such as stop-
ping smoking, reducing alcohol intake, eating a balanced diet, taking regular exercise, etc.
• Offer the patient a follow-up appointment either at his GP surgery or in the Out-Patient
Department.
• Instruct the patient to go to his GP or AE if, after being discharged, he experiences any unex-
pected or severe symptoms.
Before finishing
• Summarise what has been said and offer to provide a written summary or written information.
• Check the patient’s understanding of what has been said.
• Ask the patient if he has any further questions or concerns.
• Thank the patient.
13-OCSEs-Communication_skills_5e ccp.indd 344 19/03/2015 08:34

Clinical-Skills-for-OSCEs.pdf

  • 2.
    OSCEs C L IN I C A L S K I L L S F O R 5 T H E D I T I O N 5 5 00-OCSEs-Prelims_5e ccp.indd 1 19/03/2015 12:12
  • 3.
    Life is short,the art long, opportunity fleeting, experiment treacherous, judgement difficult. Hippocrates (c. 460–370 BC). Aphorisms, Aph. 1. 00-OCSEs-Prelims_5e ccp.indd 2 19/03/2015 12:12
  • 4.
    SENIOR EDITOR Neel Burton BSc(Hons), MBBS, MRCPsych, MA (Phil), AKC Tutor in Psychiatry Green Templeton College University of Oxford STUDENT EDITOR John Lee Allen 3rd Year GEM Student Imperial College London OSCEs C L I N I C A L S K I L L S F O R 5 T H E D I T I O N 00-OCSEs-Prelims_5e ccp.indd 3 19/03/2015 12:12
  • 5.
    Fifth edition ©Neel Burton, 2015 Fifth edition published in 2015 by Scion Publishing Ltd ISBN 978 1 907904 66 0 First edition published in 2003 by BIOS Scientific Publishers Second edition published in 2006 by Informa Healthcare Third edition published in 2009 by Scion Publishing Ltd Fourth edition published in 2011 by Scion Publishing Ltd All rights reserved. No part of this book may be reproduced or transmitted, in any form or by any means, without permission. A CIP catalogue record for this book is available from the British Library. Scion Publishing Limited The Old Hayloft, Vantage Business Park, Bloxham Rd, Banbury OX16 9UX, UK www.scionpublishing.com Important Note from the Publisher The information contained within this book was obtained by Scion Publishing Ltd from sources believed by us to be reliable. However, while every effort has been made to ensure its accuracy, no responsibility for loss or injury whatsoever incurred from acting or refraining from action as a result of the information contained herein can be accepted by the authors or publishers. Readers are reminded that medicine is a constantly evolving science and while the authors and publishers have ensured that all dosages, applications, and procedures are based on current best practice, there may be specific practices which differ between communities. You should always follow the guidelines laid down by the manufacturers of specific products and the relevant authorities in the region or country in which you are practising. Although every effort has been made to ensure that all owners of copyright material have been acknowledged in this publication, we would be pleased to acknowledge in subsequent reprints or editions any omissions brought to our attention. Registered names, trademarks, etc. used in this book, even when not marked as such, are not to be considered unprotected by law. Cover design by Andrew Magee Design Limited Typeset by Phoenix Photosetting, Chatham, Kent, UK Printed in the UK OSCEs_5e_PGS.indd 4 06/03/2015 15:04 00-OCSEs-Prelims_5e ccp.indd 4 19/03/2015 12:12
  • 6.
    v Contents Contributors ix Preface xi OSCEtips xiii I. GENERAL SKILLS 1. Hand washing 1 2. Scrubbing up for theatre 3 3. Venepuncture/phlebotomy5 4. Cannulation and setting up a drip 7 5. Blood cultures 10 6. Blood transfusion 12 7. Intramuscular, subcutaneous, and intradermal drug injection 14 8. Intravenous drug injection 16 9. Examination of a superficial mass and of lymph nodes 18 II. CARDIOVASCULAR AND RESPIRATORY MEDICINE 10. Chest pain history 21 11. Cardiovascular risk assessment 24 12. Blood pressure measurement 26 13. Cardiovascular examination 28 14. Peripheral vascular system examination 33 15. Ankle-brachial pressure index (ABPI) 36 16. Breathlessness history 38 17. Respiratory system examination 41 18. PEFR meter explanation 46 19. Inhaler explanation 48 20. Drug administration via a nebuliser 50 III. GI MEDICINE AND UROLOGY 21. Abdominal pain history 52 22. Abdominal examination 55 23. Rectal examination 60 24. Hernia examination 62 25. Nasogastric intubation 65 26. Urological history 67 27. Male genitalia examination 69 28. Male catheterisation 71 29. Female catheterisation 73 15:04 00-OCSEs-Prelims_5e ccp.indd 5 19/03/2015 12:12
  • 7.
    vi Contents IV. NEUROLOGY 30.History of headaches 75 31. History of ‘funny turns’ 78 32. Cranial nerve examination 81 33. Motor system of the upper limbs examination 86 34. Sensory system of the upper limbs examination 89 35. Motor system of the lower limbs examination 91 36. Sensory system of the lower limbs examination 95 37. Gait, co-ordination, and cerebellar function examination 97 38. Speech assessment 100 V. PSYCHIATRY 39. General psychiatric history 103 40. Mental state examination 106 41. Cognitive testing 111 42. Dementia diagnosis 113 43. Depression history 116 44. Suicide risk assessment 118 45. Alcohol history 120 46. Eating disorders history 123 47. Weight loss history 125 48. Assessing capacity (the Mental Capacity Act) 127 49. Common law and the Mental Health Act 130 VI. OPHTHALMOLOGY, ENT AND DERMATOLOGY 50. Ophthalmic history 134 51. Vision and the eye examination (including fundoscopy) 136 52. Hearing and the ear examination 140 53. Smell and the nose examination 145 54. Lump in the neck and thyroid examination 147 55. Dermatological history 151 56. Dermatological examination 153 57. Advice on sun protection 156 VII. PAEDIATRICS AND GERIATRICS 58. Paediatric history 157 59. Developmental assessment 159 60. Neonatal examination 162 61. The six-week surveillance review 166 62. Paediatric examination: cardiovascular system 169 63. Paediatric examination: respiratory system 173 64. Paediatric examination: abdomen 176 65. Paediatric examination: gait and neurological function 179 66. Infant and child Basic Life Support 181 67. Child immunisation programme 184 68. Geriatric history 186 69. Geriatric physical examination 188 00-OCSEs-Prelims_5e ccp.indd 6 19/03/2015 12:12
  • 8.
    vii Contents VIII. OBSTETRICS, GYNAECOLOGY,AND SEXUAL HEALTH 70. Obstetric history 189 71. Obstetric examination 192 72. Gynaecological history 195 73. Gynaecological (bimanual) examination 198 74. Speculum examination and liquid based cytology test 200 75. Breast history 203 76. Breast examination 207 77. Sexual history 210 78. HIV risk assessment 214 79. Condom explanation 215 80. Combined oral contraceptive pill (COCP) explanation 217 81. Pessaries and suppositories explanation 220 IX. ORTHOPAEDICS AND RHEUMATOLOGY 82. Rheumatological history 222 83. The GALS screening examination 226 84. Hand and wrist examination 229 85. Elbow examination 232 86. Shoulder examination 233 87. Spinal examination 236 88. Hip examination 239 89. Knee examination 242 90. Ankle and foot examination 245 X. EMERGENCY MEDICINE AND ANAESTHESIOLOGY 91. Adult Basic Life Support 247 92. Choking250 93. In-hospital resuscitation 252 94. Advanced Life Support 255 95. The primary and secondary surveys 258 96. Management of medical emergencies 260 – acute asthma 260 – acute pulmonary oedema 260 – acute myocardial infarction 261 – massive pulmonary embolism 262 – status epilepticus 262 – diabetic ketoacidosis 262 – acute poisoning 263 97. Bag-valve mask (BVM/’Ambu bag’) ventilation 266 98. Laryngeal mask airway (LMA) insertion 267 99. Pre-operative assessment 269 100. Syringe driver operation 273 101. Patient-Controlled Analgesia (PCA) explanation 275 102. Epidural analgesia explanation 276 103. Wound suturing 278 00-OCSEs-Prelims_5e ccp.indd 7 19/03/2015 12:12
  • 9.
    viii Contents XI. DATAINTERPRETATION 104. Blood glucose measurement 280 105. Urine sample testing/urinalysis 282 106. Blood test interpretation 284 107. Arterial blood gas (ABG) sampling 290 108. ECG recording and interpretation 294 109. Chest X-ray interpretation 306 110. Abdominal X-ray interpretation 311 XII. PRESCRIBING AND ADMINISTRATIVE SKILLS 111. Requesting investigations 315 112. Drug and controlled drug prescription 318 113. Oxygen prescription 323 114. Death confirmation 325 115. Death certificate completion 326 XIII. COMMUNICATION SKILLS 116. Explaining skills 330 117. Imaging tests explanation 333 118. Endoscopies explanation 337 119. Obtaining consent 339 120. Breaking bad news 340 121. The angry patient or relative 341 122. The anxious or upset patient or relative 342 123. Cross-cultural communication 343 124. Discharge planning and negotiation 344 00-OCSEs-Prelims_5e ccp.indd 8 19/03/2015 12:12
  • 10.
    ix Contributors Sara Ahmadi 4th YearMedical Student University of Oxford John Lee Allen 3rd Year GEM student Imperial College London Daniel Ashmore 5th Year Medical Student University of Leeds Vartan Balian House Officer (FY1) Warrington Halton NHS Foundation Trust Daniel Campbell 5th Year Medical Student Barts and the London School of Medicine and Dentistry (QMUL) Anthony Carver House Officer (FY1) East Kent Hospitals University NHS Foundation Trust Mohsin Chaudhary 5th Year Medical Student St George’s Hospital Medical School Christopher Chopdar Independent Psychiatrist Oxford Akbar de’ Medici Associate Director Institute of Sport, Exercise and Health (UCL) Patrick Elder 2nd Year Medical Student University of Warwick Naomi Foster 4th Year Medical Student University of Dundee Jay Goel 2nd Year Medical Student Barts and the London School of Medicine and Dentistry (QMUL) Ali Rezaei Haddad 2nd Year Medical Student University of Warwick Jane Hamilton 4th Year Medical Student University of Glasgow Randeep Singh Heer 3rd Year Medical Student King’s College London Patrick Holden 3rd Year Medical Student University of Cambridge Benjamin Huggon 1st Year Medical Student University of Oxford Sadhia Khan 5th Year Medical Student University of Manchester Guglielmo La Torre 2nd Year Medical Student Brighton and Sussex Medical School Lilian Lau 3rd Year Medical Student University of Leicester Lucy Li 5th Year Medical Student University of Edinburgh David Liddiard Osteopath Function Health, New Zealand Katherine Mackay 5th Year Medical Student University of Oxford Genevieve Marsh-Feiley 2nd Year Medical Student University of Aberdeen Jacob Matthews 5th Year Medical Student University of Birmingham Jonathan Mayes 4th Year Medical Student Newcastle University Philip McElnay NIHR Academic Clinical Fellow in Cardiothoracic Surgery Newcastle University 00-OCSEs-Prelims_5e ccp.indd 9 19/03/2015 12:12
  • 11.
    x Contributors Charlotte McIntyre CoreSurgical Trainee Imperial College Healthcare NHS Trust Shu Ng 1st Year Medical Student University of Leeds Gedalyah Shalom 5th Year Medical Student University of Liverpool Abigail Shaw 4th Year Medical Student University of Bristol Katherine Stagg 5th Year Medical Student University of Oxford Anthony Starr 5th Year Medical Student University of Lancaster Tom Stockmann Fellow in Medical Education North East London NHS Foundation Trust Honorary Research Fellow Barts and the London School of Medicine and Dentistry (QMUL) Amy Szuman 3rd Year Medical Student Hull York Medical School Abigail Taylor 5th Year Medical Student University of Oxford Daniah Thomas 3rd Year Medical Student Cardiff University Rachel E. Wamboldt 4th Year Medical Student Norwich Medical School, UEA 00-OCSEs-Prelims_5e ccp.indd 10 19/03/2015 12:12
  • 12.
    xi Preface The first editionof Clinical Skills for OSCEs came out in 2003, a slim volume formed from my revision notes together with a few contributions from my then housemates. At the time, OSCEs had suddenly become very big, but medical publishing lagged behind, leaving our generation of medical students to scramble for preparation materials. All the big houses rejected my publishing proposal, mostly, I think, because it came from a 23-year-old medical student. I persisted, and in the end, a small publishing house called Bios took a chance on the book. Today Bios, having been bought out, is no more. But, remarkably, the book is still here, having been through no less than three publishers and five editions. Back in 2003, I could not have dreamt that in 12 years’ time I would be working alongside a team of 40 medical students, junior doctors, publishers, designers, etc. to produce the fifth edition of my little ‘recipe book’. Of course, the book is not so little any more, and, in truth, contains much more than I ever knew as a medical student or even a house officer – a testament (I hope) to the rising standards of medical education. To me, this fifth edition very much represents a return to the roots. The first edition boasted having been ‘written by students for students’, and with the fifth edition this is once again the case. I am hugely indebted to each and every student contributor and to the student editor, John Allen, for having reinvigorated these pages, advising on everything from the broad topics covered to the specific language used. Students are the lifeblood of this book, which, to remain useful and relevant, has to be alive to their needs and concerns. I do not just mean the student contributors, but all students, including – of course – you. Please do get in touch with me if you have any ideas, however small or large, for improving this book, or if you would like to form part of the team for the next edition. Good luck with your exams! Neel Burton www.neelburton.com 00-OCSEs-Prelims_5e ccp.indd 11 19/03/2015 12:12
  • 13.
  • 14.
    OSCE tips • Don’tpanic. Be philosophical about your exams. Put them into perspective. And remember that as long as you do your bit, you are statistically very unlikely to fail. Book a holiday to a sunny Greek island starting on the day after your exams to help focus your attention. • Read the instructions carefully and stick to them. Sometimes it’s just possible to have revised so much that you no longer ‘see’ the instructions and just fire out the bullet points like an automatic gun. If you forget the instructions or the actor looks at you like Caliban in the mir- ror, ask to read the instructions again. A related point is this: pay careful attention to the facial expression of the actor or examiner. Just as an ECG monitor provides live indirect feedback on the heart’s performance, so the actor or examiner’s facial expression provides live indirect feedback on your performance, the only difference being – I’m sure you’ll agree – that facial expressions are far easier to read than ECG monitors. • Quickly survey the cubicle for the equipment and materials provided. You can be sure that items such as hand disinfectant, a tendon hammer, a sharps bin, or a box of tissues are not just random objects that the examiner later plans to take home. • First impressions count. You never get a second chance to make a good first impression. As much of your future career depends on it, make sure that you get off to an early start. And who knows? You might even fool yourself. • Prefer breadth to depth. Marks are normally distributed across a number of relevant domains, such that you score more marks for touching upon a large number of domains than for exploring any one domain in great depth. Do this only if you have time, if it seems particularly relevant, or if you are specifically asked. Perhaps ironically, touching upon a large number of domains makes you look more focused, and thereby safer and more competent. • Don’t let the examiners put you off or hold you back. If they are being difficult, that’s their problem, not yours. Or at least, it’s everyone’s problem, not yours. And remember that all that is gold does not glitter; a difficult examiner may be a hidden gem. • Be genuine. This is easier said than done, but then even actors are people. By convincing your- self that the OSCE stations are real situations, you are much more likely to score highly with the actors, if only by ‘remembering’ to treat them like real patients. This may hand you a merit over a pass and, in borderline situations, a pass over a fail. Although they never seem to think so, students usually fail OSCEs through poor communications skills and lack of empathy, not through lack of studying and poor memory. • Enjoy yourself. After all, you did choose to be there, and you probably chose wisely. If you do badly in one station, try to put it behind you. It’s not for nothing that psychiatrists refer to ‘repression’ as a ‘defence mechanism’, and a selectively bad memory will do you no end of good. • Keep to time but do not appear rushed. If you don’t finish by the first bell, simply tell the examiner what else needs to be said or done, or tell him indirectly by telling the patient, for example, “Can we make another appointment to give us more time to go through your treatment options?” Then summarise and conclude. Students often think that tight protocols impress examiners, but looking slick and natural and handing over some control to the patient is often far more impressive. And probably easier. xiii 00-OCSEs-Prelims_5e ccp.indd 13 19/03/2015 12:12
  • 15.
    xiv OSCE tips •Be nice to the patient. Have I already said this? Introduce yourself, shake hands, smile, even joke if it seems appropriate – it makes life easier for everyone, including yourself. Remember to explain everything to the patient as you go along, to ask him about pain before you touch him, and to thank him on the second bell. The patient holds the key to the station, and he may hand it to you on a silver platter if you seem deserving enough. That having been said, if you reach the end of the station and feel that something is amiss, there’s no harm in gently reminding him, for example, “Is there anything else that you feel is important but that we haven’t had time to talk about?” Nudge-nudge. • Take a step back to jump further. Last minute cramming is not going to magically turn you into a good doctor, so spend the day before the exam relaxing and sharpening your mind. Go to the country, play some sports, stream a film. And make sure that you are tired enough to fall asleep by a reasonable hour. • Finally, remember to practise, practise, and practise. Look at the bright side of things: at least you’re not going to be alone, and there are going to be plenty of opportunities for good conversations, good laughs, and good meals. You might even make lifelong friends in the proc- ess. And then go off to that Greek island. 00-OCSEs-Prelims_5e ccp.indd 14 19/03/2015 12:12
  • 16.
    1 General skills Station 1 Hand washing Handsmust be washed before every episode of care that involves direct contact with a patient’s skin, their food or medication, invasive devices, or dressings, and after any activity or contact that potentially contaminates the hands. The procedure • Your arms should be bare below the elbows: roll up your sleeves, remove your watch, any jewel- lery, and fake nails or nail varnish (fingernails should be kept short, ideally not exceeding 1mm from the edge of the nail bed). • Turn on the hot and cold taps with your elbows and thoroughly wet your hands once the water is warm. • Apply liquid soap (used in most hospital situations) or disinfectant from the dispenser (used in the operating theatre). Disinfectants include pink aqueous chlorhexidine (‘Hibiscrub’) and brown povidone iodine (‘Betadine’). Alcohol hand rubs offer a quicker alternative to liquid soaps and disinfectants, though they should be applied for at least 20–30 seconds. Mere soap bars are to be avoided. • Wash your hands using the Ayliffe hand washing technique (see Figure 1 overleaf): ➀ palm to palm ➁ right palm over left dorsum and left palm over right dorsum ➂ palm to palm with fingers interlaced ➃ back of fingers to opposing palms with fingers interlocked ➄ rotational rubbing of right thumb clasped in left palm and left thumb clasped in right palm ➅ rotational rubbing, backwards and forwards, with clasped fingers of right hand in left palm and clasped fingers of left hand in right palm • Rinse your hands thoroughly. • Turn the taps off with your elbows. • Dry your hands with a paper towel and discard it in the foot-operated bin, remembering to use the pedal rather than your clean hands! • Consider applying an emollient if you have dry skin. [Note] Alcohol hand rubs are ineffective against spores and should be avoided if there is contamination with biological remnantssuchasfaeces,blood,orurine;ifthereisvisibledirt;orifthepatientisinfectedwithClostridiumdifficile. 01-OCSEs-General_Skills_5e ccp.indd 1 18/03/2015 13:18
  • 17.
    Clinical Skills for OSCEs 2 Station 1Hand washing Figure 1. Ayliffe hand washing technique: 1 Palm to palm 2 Right palm over left dorsum and left palm over right dorsum 3 Palm to palm fingers interlaced 4 Backs of fingers to opposing palms with fingers interlocked 5 Rotational rubbing of right thumb clasped in left palm and vice versa 6  Rotational rubbing, backwards and forwards with clasped fingers of right hand in left palm and vice versa 5 6 3 4 1 2 01-OCSEs-General_Skills_5e ccp.indd 2 18/03/2015 13:18
  • 18.
    3 General skills Station 2 Scrubbing upfor theatre The equipment • Scrubs • Sterile gown pack • Theatre clogs or plastic overshoes • Sterile gloves • Theatre cap • Brush packet containing a nail brush and • Surgical mask nail pick Before handwashing State that you would: • Change into scrubs and ensure that your arms are bare below the elbows. • Exchange your shoes for theatre clogs or use plastic overshoes. • Don a theatre cap, tucking all your hair underneath it. • Enter the scrubbing room and put on a surgical mask, ensuring that it covers both your nose and mouth. • Depending on the clinical situation, consider wearing eye protection (goggles/visor). • Open out a sterile gown pack on a clean, flat surface without touching the gown. • Open out a pair of sterile gloves (in your size) using a sterile technique, letting them drop into the sterile field created by the gown pack. Handwashing • Open a brush packet containing a nail brush and nail pick. • Turn on the hot and cold taps and wait until the water is warm. From here on, keep your hands above your elbows at all times. The social wash • Wash your hands with liquid disinfectant, either pink chlorhexidine (‘Hibiscrub’) or brown povidone iodine (‘Betadine’), lathering up your arms to 2 cm above your elbows. The second wash • Use the nail pick from the brush packet to clean under your fingernails. • Dispense soap onto the sponge side of the brush and use the sponge to scrub from your fingertips to 2 cm above your elbows (30 seconds per arm). Dispense soap using your elbow or a foot pedal, not your hands. • To rinse, start from your hands and move down to your elbows so that the rinse water drips away/down from your hands without re-contaminating them. The third wash • Using the brush side of the brush, scrub your fingernails (30 seconds per arm). 01-OCSEs-General_Skills_5e ccp.indd 3 18/03/2015 13:18
  • 19.
    Clinical Skills for OSCEs 4 Station 2Scrubbing up for theatre • Using the sponge side of the brush, scrub: – – each finger and interdigital space in turn (30 seconds per arm) – – the palm and back of your hands (30 seconds per arm) – – your forearms, moving up circumferentially to 2 cm above your elbows (30 seconds per arm) Remember to keep the brush well-soaped at all times. • To rinse, start from your hands and move down to your elbows. • Turn the taps off with your elbows. After handwashing • Use the two towels in the gown pack to dry your arms from the fingertips down (one towel per arm). • Pick up the gown from the inside and shake it open, ensuring that it does not touch anything. • Put your arms through the sleeves, but do not put your hands through the cuffs. • Put on the gloves without touching the outside of the gloves. Practise this – it’s not easy! • Ask an assistant to tie up the inside of the gown, and to hold on to one side of the card (attached to the front of the gown) while you rotate to tie up the outside of the gown yourself. After scrubbing up, keep your hands in front of your chest and do not touch any non-sterile areas, including your mask and hat. 01-OCSEs-General_Skills_5e ccp.indd 4 18/03/2015 13:18
  • 20.
    5 General skills Station 3 Venepuncture/phlebotomy Specifications: Thestation consists of an anatomical arm and all the equipment that might be required. Assume that the anatomical arm is a patient and take blood from it. Before starting • Introduce yourself to the patient. • Confirm his name and date of birth. • Explain the procedure and obtain his consent. For example, “I would like to take a blood sample from you to check how your kidneys are working. This is a quick, simple, and routine procedure which involves inserting a small needle into one of the veins on your arm. You will feel a sharp scratch when the needle is inserted, and there may be a little bit of bleeding afterwards. Do you have any questions?”. • Ask him from which arm he prefers to have (or normally has) blood taken. • Ask him to expose this arm. • Gather the equipment in a clean tray. The equipment In a clean tray, gather: • A pair of non-sterile gloves • A tourniquet • Alcohol wipes (sterets) • A 23G (blue) needle/‘butterfly’ and Vacutainer holder • The bottles appropriate for the tests that you are sending for (these vary from hospital to hospital, but are generally yellow for biochemistry/UEs, purple for haematology, pink for group and save and crossmatch, blue for clotting/coagulation, grey for glucose, and black for ESR) • Cotton wool, swab, or gauze • Tape or plaster Make sure you have a yellow sharps box close at hand. The key to passing this station is to be seen to be safe. The procedure • Wash your hands (see Station 1). • Position the patient so that his arm is fully extended. Ensure that he is comfortable. • Apply the tourniquet proximal to the venepuncture site. • Select a vein by palpation: the bigger and straighter the better. The vein selected is most com- monly the median cubital vein in the antecubital fossa. • Don a pair of non-sterile gloves. • Clean the venepuncture site with an alcohol steret. Explain that this may feel a little cold. • Once the alcohol has dried off, attach the needle to the Vacutainer holder. • Tell the patient to expect a ‘sharp scratch’. • Retract the skin to stabilise the vein and insert the needle into the vein at an angle of 30–45 degrees to the skin. 01-OCSEs-General_Skills_5e ccp.indd 5 18/03/2015 13:18
  • 21.
    Clinical Skills for OSCEs 6 Station 3Venepuncture/phlebotomy • Keeping the needle still, place a Vacutainer tube on the holder and let it fill. • Once all the necessary tubes are filled, release the tourniquet. Remember that the tubes need to be filled in a certain order (bottles with no additives first). See the guide to Vacutainer tubes in Station 111. • Remove the needle from the vein and apply pressure on the puncture site for at least 30 seconds (the patient may assist with this, or you may use tape or plaster). • Immediately dispose of the needle in the sharps box. • Remove and dispose of the gloves in the clinical waste bin. Ensure that you release the tourniquet before removing the needle, and that you immediately dispose of the needle in the sharps box. After the procedure • Ensure that the patient is comfortable. • Thank the patient. • Label the tubes (at least: patient’s name, date of birth, and hospital number; date and time of blood collection). • Fill in the blood request form (at least: patient’s name, date of birth, and hospital number; date of blood collection; tests required). • Document the blood tests that have been requested in the patient’s notes. Examiner’s questions If the veins are not apparent • Lower the arm over the bedside. • Ask the patient to exercise his arm by repeatedly clenching his fist. • Gently tap the venepuncture site with two fingers. • Apply a warm compress to the venepuncture site. • Do not cause undue pain to the patient by trying over and over again (more than 2–3 times) – call a more experienced colleague instead. • Use femoral stab only as a last resort (usually in CPR situations). In the event of a needlestick injury • Encourage bleeding, wash with soap and running water. • Immediately report the injury to your supervisor or the occupational health service. • If there is a significant risk of HIV, post-exposure prophylaxis should be started as soon as possible. • Fill out an incident form. For more information on the management of needlestick injury, refer to local or national protocols. 01-OCSEs-General_Skills_5e ccp.indd 6 18/03/2015 13:18
  • 22.
    7 General skills Station 4 Cannulation andsetting up a drip Specifications: The station is likely to require you either to cannulate an anatomical arm and to put up a drip, or simply to cannulate the anatomical arm. This chapter covers both scenarios. Before starting • Introduce yourself to the patient. • Confirm his name and date of birth. • Explain the procedure and obtain his consent. For example, “I would like to insert a thin plastic tube into one of the veins on your arm. The tube will enable you to receive intravenous fluids and prevent you from becoming dehydrated. You may feel a sharp scratch when the needle is inserted, but only the plastic tube will remain in the vein. Do you have any questions?” • Ask him on which arm he would prefer to have the cannula. • Ask him to expose this arm. • Gather the equipment in a clean tray. It is important to read the instructions for the station carefully. If, for example, the instructions specify that the patient is under general anaesthesia, you are probably not going to gain any marks for explaining the procedure. Cannulation only The equipment In a clean tray, gather: • A pair of non-sterile gloves • A tourniquet • Alcohol sterets or prepackaged chlorhexidine and alcohol sponge • An IV cannula of appropriate size (Table 1). Size is primarily determined by the viscosity of the fluid to be infused (e.g. blood requires pink or larger) and the required rate of infusion • A pre-filled 5 ml syringe containing saline flush • An adhesive plaster/transparent film dressing • A sharps box The procedure • Wash your hands (see Station 1). • Position the patient so that his arm is fully extended. Ensure that he is comfortable. • Apply the tourniquet proximal to the venepuncture site. • Select a vein by palpation: the bigger and straighter the better. Try to avoid the dorsum of the hand and the antecubital fossa if possible (may be uncomfortable on flexion). • Don a pair of non-sterile gloves. • Clean the skin with an alcohol steret and let it dry. • Remove the cannula from its packaging and remove its needle cap. • Tell the patient to expect a ‘sharp scratch’. • Anchor the vein by stretching the skin and insert the cannula at an angle of approximately 30 degrees. • Once a flashback is seen, advance the whole cannula and needle by about 2 mm. 01-OCSEs-General_Skills_5e ccp.indd 7 18/03/2015 13:18
  • 23.
    Clinical Skills for OSCEs 8 Station 4Cannulation and setting up a drip • Pull back slightly on the needle and continue to hold the needle while advancing only the cannula into the vein. • Release the tourniquet. • Occlude the vein by pressing on the vein over the tip of the cannula. • Remove the needle completely, and immediately put it into the sharps box. • Cap the cannula with the same cap that was on the end of the needle. • Apply the adhesive plaster or transparent film dressing to secure the cannula. • Flush the cannula with 5 ml normal saline to prevent blood from occluding it. Table 1. IV cannulae Colour Size Water flow (ml/min)* Blue Pink (most common) Green Grey Orange 22G 20G 18G 16G 14G 33 54 80 180 270 * Approximate values. According to Poiseuille’s Law, the velocity of a Newtonian fluid through a cylindrical tube is directly proportional to the fourth power of its radius. After the procedure • Dispose of clinical waste in a clinical waste bin. • Ensure that the patient is comfortable and inform him of possible complications (e.g. pain, erythema). • Thank the patient. Setting up a drip The equipment In a clean tray, gather: • A pair of gloves • An adhesive plaster • A tourniquet • A sharps box • Alcohol sterets • An appropriate fluid bag • An IV cannula of appropriate size • A giving set The procedure • Check the fluid prescription chart (if appropriate). • Check the fluid in the bag (solution type and concentration) and its expiry date. • Remove the fluid bag from its packaging and hang it up on a drip stand. • Remove the giving set from its packaging. The regulating clamp for the IV line should be closed. • Remove the protective covering from the exit port at the bottom end of the fluid bag. • Remove the plastic cover from the large, pointed end of the giving set. • Drive the large, pointed end of the giving set into the exit port at the bottom end of the fluid bag. • Remove the protective cap from the other end of the giving set. • Squeeze and release the collecting chamber of the giving set until it is about half full. 01-OCSEs-General_Skills_5e ccp.indd 8 18/03/2015 13:18
  • 24.
    General skills 9 Station 4 Cannulationand setting up a drip • Open the regulating clamp and run fluid through the giving set to expel any air/bubbles. • Close the regulating clamp. • If using an extension ‘octopus’ connector, open and flush with normal saline so that no air remains. • Wash your hands (see Station 1) and follow the cannulation procedure above. • Rather than capping the cannula immediately after removing the needle, connect the giving set directly and flush with fluid from the bag. • Apply the adhesive plaster or transparent film dressing to secure the cannula. • Adjust the drip-rate (1 drop per second is equivalent to about 1 litre per 6 hours). • Check that there is no swelling of the subcutaneous tissue i.e. that the line has not ‘tissued’. • Tape the tubing to the arm. After the procedure • Discard clinical waste appropriately. • Ensure that the patient is comfortable and inform him of possible complications (e.g. pain, erythema). • Thank the patient. • Sign the fluid chart and record the date and time. Examiner’s questions: complications of cannula insertion • Infiltration of the subcutaneous tissue. • Phlebitis. • Nerve damage. • Thrombophlebitis. • Haematoma. • Septic thrombophlebitis. • Embolism. • Local infection. 01-OCSEs-General_Skills_5e ccp.indd 9 18/03/2015 13:18
  • 25.
    Clinical Skills for OSCEs 10 Station 5 Bloodcultures Before starting • Introduce yourself to the patient, and confirm his name and date of birth. • Explain the procedure and obtain his consent. • Ask him which arm he prefers to have blood taken from. • Ask him to expose this arm. • Wash your hands. • Gather the equipment in a clean tray. The equipment In a clean tray, gather: • Aerobic and anaerobic blood culture bottles • Winged collection set (or 18g needle and 20ml syringe) • Apron • Non-sterile or sterile gloves • Disposable tourniquet • Alcohol sterets (x2) • Chlorhexidine sponge • Sterile gauze • Sharps bin • For the blood culture bottles, check types (aerobic and anaerobic) and expiry dates, and ensure that the broth is clear. Do not remove the barcodes. Every effort to use aseptic technique should be made. If blood is being collected for other tests, the blood culture sample should be collected first. Do not use existing peripheral lines to obtain blood cultures. The most common skin contaminants include Staphyloccus epidermidis, Corynebacterium spp., Propionibacterium spp., and Bacillus spp. The procedure • Decontaminate your hands. • Position the patient so that his arm is fully extended. Ensure that he is comfortable. • Select a vein by palpation: the bigger and straighter the better. The vein selected is most com- monly the median cubital vein in the antecubital fossa. • Release the tourniquet. • Decontaminate your hands. • Clean the venepucture site with the chlorhexidine sponge. • Decontaminate your hands. • Remove the flip tops from the culture bottles and disinfect the rubber caps each with a fresh alcohol steret. • Decontaminate your hands and don the apron and gloves. • Warn the patient to expect a ‘sharp scratch’. • Retract the skin to stabilise the vein and insert the butterfly needle into the vein. • Fill each bottle with at least 10ml of blood, as per the markings on the bottle (let the vacuum in the bottles do the job for you). Fill the aerobic bottle first to minimise the amount of air in the anaerobic sample. If using a needle and syringe, collect at least 20ml of blood into the syringe 01-OCSEs-General_Skills_5e ccp.indd 10 18/03/2015 13:18
  • 26.
    General skills 11 Station 5 Bloodcultures so as to inject a minimum of 10ml of blood into each bottle. (It is advised not to change needles between drawing blood and injecting into culture bottles since the risk of needlestick injury outweighs that of contamination of the sample with skin flora.) • Release the tourniquet. • Withdraw the needle and apply pressure to the puncture site. • Unscrew the adaptor and immediately dispose of the needle in the sharps bin. After the procedure • Ensure that the patient is comfortable. • Thank him. • Dispose of clinical waste in a clinical waste bin. • Decontaminate your hands. • Label the bottles, including clinically relevant information e.g. the puncture site and any antibiotics that the patient has been taking (ideally, blood cultures should be taken before the administration of antibiotics; if not, they should be taken immediately before the next dose, with the exception of children). • Fill in a blood request form. • Convey the samples to the microbiology laboratory without delay (or else incubate the bottles). • Document the procedure. 01-OCSEs-General_Skills_5e ccp.indd 11 18/03/2015 13:18
  • 27.
    Clinical Skills for OSCEs 12 Station 6 Bloodtransfusion Specifications: This station requires you either to cannulate an anatomical arm and set up a blood transfusion, or, more likely, simply to set up a blood transfusion. You may be instructed to talk through parts of the procedure. Before starting • Introduce yourself to the patient. • Confirm his name and date of birth. • Explain the requirement for a blood transfusion, explain the risks, and obtain his consent. • Ensure that baseline observations have been recorded (pulse rate, blood pressure, and ­temperature). Cannulation See Station 4. Blood transfusion 1. Sample collection • Re-confirm the patient’s name and date of birth and check his identity bracelet. • Extract 10 ml of blood into a pink tube (some hospitals may require two tubes for new patients). • Immediately label the tube and request form with the patient’s identifying data: name, date of birth, and hospital number. • Fill out a blood transfusion form, specifying the total number of units required. • Ensure that the tube reaches the laboratory promptly. 2. Blood transfusion prescription • Prescribe the number of units of blood required in the intravenous infusion section of the patient’s prescription chart. Each unit of blood should be prescribed separately and be admin- istered over a period of 4 hours. • If the patient is elderly or has a history of heart failure, consider prescribing furosemide (loop diuretic) with the second and fourth units of blood. • Arrange for the blood bag to be delivered. The blood transfusion must start within 30 minutes of the blood leaving the blood refrigerator. 3. Checking procedures Ask a registered nurse or another doctor to go through the following checking procedures with you: A. Positively identify the patient by asking him for his name, date of birth, and address. B. Confirm the patient’s identifying data and ensure that they match those on his identity bracelet, case notes, prescription chart, and blood compatibility report. C. Record the blood group and serial number on the unit of blood and make sure that they match the blood group and serial number on the blood compatibility report and the blood compat- ibility label attached to the blood unit. D. Check the expiry date on the unit of blood. E. Inspect the blood bag for leaks or blood clots or discoloration. 01-OCSEs-General_Skills_5e ccp.indd 12 18/03/2015 13:18
  • 28.
    General skills 13 Station 6 Bloodtransfusion 4. Blood administration • Attach one end of the transfusion giving set to the blood bag and run it through to ensure that any air in the tubing has been expelled. Note that a transfusion giving set has an integral filter and is not the same as a standard fluid giving set. • Attach the other end of the giving set to the IV cannula which should be a grey (16G), wide-bore cannula (minimum pink/20G, or larger for resuscitation situations). • Adjust the drip rate so that the unit of blood is administered over 4 hours. Because one unit of blood is 300 ml, and because 15 drops are equivalent to about 1 ml, this amounts to about 19 drops per minute. • Sign the prescription chart and the blood compatibility report recording the date and time the transfusion was started. The prescription chart and blood compatibility report should also be signed by your checking colleague. 5. Patient monitoring • Record the patient’s pulse rate, blood pressure, and temperature at 0, 15, and 30 minutes, and then hourly thereafter. • Ensure that the nursing staff observe the patient for signs of adverse transfusion reactions such as fever, tachycardia, hypotension, urticaria, nausea, chest pain, and breathlessness. • Make an entry in the patient’s notes, specifying the reason for the transfusion, the rate of the transfusion, the total number of units given, and any adverse transfusion reactions. Examiner’s questions: complications of blood transfusion Immune • Acute haemolytic reaction, (usually due to ABO incompatibility). • Delayed haemolytic reaction, (usually due to Rhesus, Kell, Duffy, etc., incompatibility). • Non-haemolytic reactions such as febrile reactions, urticarial reactions, and anaphylaxis. Infectious • Hepatitis. • HIV/AIDS. • Other viral agents. • Bacteria. • Parasites. Cardiovascular • Left ventricular failure from volume overload. Complications of massive transfusion (10 U) • Hypothermia. • Coagulopathy (from dilution of platelets and clotting factors). • Acid–base disturbances. • Hyperkalaemia. • Citrate toxicity (from additive in bag of packed red blood cells). • Iron overload. Other • Air embolism. • Thrombophlebitis. 01-OCSEs-General_Skills_5e ccp.indd 13 18/03/2015 13:18
  • 29.
    Clinical Skills for OSCEs 14 Station 7 Intramuscular,subcutaneous, and intradermal drug injection Specifications: A model or skin pad in lieu of a patient. Before starting • Introduce yourself to the patient. • Confirm his name and date of birth. • Discuss the procedure and obtain consent. • Ask the patient if he has any allergies and what happens when he develops a reaction. • Gather the appropriate equipment. The equipment • Patient’s drug chart • Non-sterile gloves • British National Formulary (BNF) • Alcohol steret • Drug • Cotton wool • Diluent (usually sterile water or saline) • Plaster • Appropriately sized syringe (e.g. 1 or 2 ml) • Sharps box • 21G (green) needle and 23G (blue) or 25G (orange) needle* *Note that the colour scheme for needles is not the same as that for cannulae (see Station 4) The procedure • Consult the prescription chart and check: – – the identity of the patient – – the prescription: validity, drug, dose, diluent (if appropriate), route of administration, date and time of administration – – drug allergies, anticoagulation • Consult the BNF and check the form of the drug, whether it needs reconstituting, the type and volume of diluent required, and the speed of administration. • Check the name, dose and expiry date of the drug on the vial, and ask another member of the healthcare team to countercheck them. • Wash your hands and don the gloves. • Attach a 21G needle to the syringe and draw up the correct volume of the drug, making sure to tap out and expel any air. For a powder, inject the appropriate type and volume of diluent into the ampoule and shake until the powder has dissolved. • Dispose of the needle and attach a new 23G needle to the syringe for IM/SC administration or a 25G needle for ID administration. • Ask the patient to expose his upper arm or leg and ensure that the target muscle is completely relaxed. • Identify landmarks in an attempt to avoid injuring nerves and vessels. • Clean the exposed site with an alcohol steret and allow it to dry. • Warn the patient to expect a ‘sharp scratch’. Intramuscular (IM) injection technique • For older children and adults, the densest portion of the deltoid muscle (above the armpit and below the acromion) is the preferred IM injection site. The gluteal muscle is best avoided as the 01-OCSEs-General_Skills_5e ccp.indd 14 18/03/2015 13:18
  • 30.
    General skills 15 Station 7 Intramuscular,subcutaneous, and intradermal drug injection needle may not reach the muscle and there is a risk of damage to the sciatic nerve, not to mention the general embarrassment of the thing. In infants and toddlers, the vastus lateralis muscle in the anterolateral aspect of the middle or upper thigh is the preferred IM injection site. • With your free hand, slightly stretch the skin at the site of injection. • Introduce the needle at a 90 degree angle to the patient’s skin in a quick, firm motion. • Pull on the syringe’s plunger to ensure that you have not entered a blood vessel. If you aspirate blood, you need to start again with a new needle, and at a different site. • Slowly inject the drug and quickly remove the needle. Subcutaneous (SC) injection technique • Bunch the skin between thumb and forefinger, thereby lifting the adipose tissue from the underlying muscle (‘tenting’). • Insert the needle, bevel uppermost, at a 45 degree angle in a quick, firm motion. You are aiming for the tip of the needle to be in the ‘tent’. • Release the skin. • Pull on the syringe’s plunger to ensure that you have not entered a blood vessel. • Slowly inject the drug. Intradermal (ID) injection technique • Stretch the skin taut between thumb and forefinger. • Hold the needle so that the bevel is uppermost. • Insert the needle at a 15 degree angle, almost parallel to the skin. • Ensure that the needle is visible beneath the surface of the epidermis. • Slowly inject the drug. • A visible (and uncomfortable) bleb should form. If not, immediately withdraw the needle and start again – you may have inserted the needle too deeply. After the procedure • Immediately dispose of the needle in the sharps box. • Apply gentle pressure over the injection site with some cotton wool (the patient may assist with this). • Ensure that the patient is comfortable. • Ask him if he has any questions or concerns. • Thank him. • Sign the prescription chart and record the date, time, drug, dose, and injection site of the injec- tion in the medical records. Figure 2. Intramuscular, subcutaneous, and intradermal injection techniques. Intramuscular Subcutaneous Intradermal Epidermis Adipose tissue Dermis Muscle 90° 45° 15° 01-OCSEs-General_Skills_5e ccp.indd 15 18/03/2015 13:18
  • 31.
    Clinical Skills for OSCEs 16 Station 8 Intravenousdrug injection Specifications: Anatomical arm in lieu of a patient. This station is likely to require you to demonstrate and/or talk through the administration of an intravenous (IV) drug with a needle and syringe.There may be a cannula in situ, enabling the drug to be administered through the cannula. Before starting • Introduce yourself to the patient. • Confirm his name and date of birth. • Discuss the procedure and obtain consent. • Ask the patient whether he has any allergies and what happens when he develops a reaction. • Gather the appropriate equipment. The equipment • Patient’s drug chart • Non-sterile gloves • British National Formulary (BNF) • Tourniquet • Drug • Alcohol sterets • Diluent (usually sterile water) • Cotton wool • Appropriately sized syringes • Sharps box • 21G (green) needle (×2) The procedure • Consult the prescription chart and check: – – the identity of the patient – – the prescription: validity, drug, dose, diluent (if appropriate), route of administration, date and time of administration – – drug allergies • Consult the BNF and check the form of the drug, whether it needs reconstituting, the type and volume of diluent required, and the speed of administration. • Check the name, dose and expiry date of the drug on the vial and the name and expiry date of the diluent. Ask another member of the healthcare team to countercheck them. • Wash your hands and don the gloves. • Attach a 21G (green) needle to a syringe and draw up the correct volume of the diluent. • Reconstitute the drug by injecting the diluent into the ampoule and shaking it until it is com- pletely dissolved. • Draw up the reconstituted drug into the same syringe, making sure to tap out and expel any air. • Remove the needle and attach a new 21G needle to the syringe. • Apply a tourniquet to the model arm and select a suitable vein. • Clean the venepuncture site with an alcohol steret. • Retract the skin with your non-dominant hand to stabilise the vein, tell the patient to expect a ‘sharp scratch’, and insert the needle into the vein until a flashback is seen. • Undo the tourniquet. • Administer the drug at the correct speed (too fast may cause adverse reactions such as emesis). • Withdraw the needle and immediately dispose of it in the sharps box. • Apply gentle pressure over the injection site using a piece of cotton wool. • Remove the gloves. 01-OCSEs-General_Skills_5e ccp.indd 16 18/03/2015 13:18
  • 32.
    General skills 17 Station 8 Intravenousdrug injection After the procedure • Ensure that the patient is comfortable and ask him to notify a member of the healthcare team if he notices any adverse effects (it may be necessary to monitor the patient). • Ask him if he has any questions or concerns. • Thank him. • Sign the prescription chart and record the date, time, drug, dose, and injection site of the intra- venous injection in the medical records. • Indicate that you would have your checking colleague countersign it. 01-OCSEs-General_Skills_5e ccp.indd 17 18/03/2015 13:18
  • 33.
    Clinical Skills for OSCEs 18 Station 9 Examinationof a superficial mass and of lymph nodes Before starting • Introduce yourself to the patient. • Confirm his name and date of birth. • If allowed, take a brief history from him, for example, onset, course, effect on everyday life. • Explain the examination and obtain consent. • Consider the need for a chaperone. • Ask the patient to expose the lump completely; for example, by undoing the top button of his shirt. • Position him appropriately and ensure that he is comfortable. The examination (IPPA: Inspection, Palpation, Percussion, Auscultation) • Inspect the patient from the end of the bed, looking for other lumps and any other signs. • Inspect the lump and note its site, colour, and any changes to the overlying skin such as inflamma­ tion or tethering. Note also the presence or absence of a punctum. • Ask the patient if the lump is painful before you palpate it. Is the pain only brought on by palpa- tion or is it a more constant pain? • Wash and warm your hands. • Assess the temperature of the lump with the back of your hand. • Palpate the lump with the pads of your fingers; if possible, from behind the patient. Consider: – – number: solitary or multiple – – size: estimate length, width, and height, or use a ruler or measuring tape – – shape: spherical, ovoid, irregular, other – – edge: well or poorly defined – – surface: smooth or irregular – – consistency: soft, firm, hard, rubbery – – fluctuance:resttwofingersofyourlefthandoneithersideofthelumpandpressonthelumpwith the index finger of your right hand: if your left hand fingers are displaced, the lump is fluctuant – – pulsatility: rest a finger of each hand on either side of the lump: if your fingers are displaced, the lump is pulsatile – – mobility or fixation: consider the mobility of the lump in relation both to the overlying skin and the underlying muscle – – compressibility and reducibility: press firmly on the lump to see if it disappears; if it immediately reappears, it is compressible; if it only reappears upon standing or coughing, it is reducible • Percuss the lump for dullness or resonance. • Auscultate the lump for bruits or bowel sounds. • Transilluminate the lump by holding it between the fingers of one hand and shining a pen torch to it with the other. A bright red glow indicates fluid whereas a dull or absent glow suggests a solid mass. • Examine the draining lymph nodes (see below), or indicate that you would do so. After examining the lump • Ensure that the patient is comfortable. • Ask him if he has any questions or concerns. • Thank him. • Wash your hands. • Summarise your findings and offer a differential diagnosis. • If appropriate, suggest further investigations, e.g. fine needle aspirate cytology (FNAc), biopsy, ultrasound, CT. 01-OCSEs-General_Skills_5e ccp.indd 18 18/03/2015 13:18
  • 34.
    General skills 19 Station 9 Examinationof a superficial mass and of lymph nodes Lymph node examination Head and neck The patient should be sitting up and examined from behind. With the fingers of both hands, palpate the submental, submandibular, parotid, and pre- and post-auricular nodes. Next palpate the anterior and posterior cervical nodes and the occipital nodes. Submental Anterior cervical Submandibular Parotid Preauricular Posterior auricular Occipital Posterior cervical Figure 3. Lymph nodes in the head and neck. Upper body • Palpate the supraclavicular and infraclavicular nodes on either side of the clavicle. • Expose the right axilla by lifting and abducting the arm and supporting it at the wrist with your right hand. • With your left hand, palpate the following lymph node groups: – – the apical – – the anterior – – the posterior – – the nodes of the medial aspect of the humerus • Now expose the left axilla by lifting and abducting the left arm and supporting it at the wrist with your left hand. • With your right hand, palpate the lymph node groups, as listed above. 01-OCSEs-General_Skills_5e ccp.indd 19 18/03/2015 13:18
  • 35.
    Clinical Skills for OSCEs 20 Station 9Examination of a superficial mass and of lymph nodes Anterior group Apical group Posterior group Supraclavicular and infraclavicular groups Figure 4. Lymph nodes of the upper body. Lower body Palpate the superficial inguinal nodes (horizontal and vertical), which lie below the inguinal ligament and near the great saphenous vein respectively, then the popliteal node in the popliteal fossa. Conditions most likely to come up in a lump examination station Epidermoid (sebaceous) cyst: • Results from obstruction of sebaceous gland. • May be red, hot, and tender. • Spherical, smooth. • Attached to the skin but not to the underlying muscle. • May have a punctum which may exude a cottage cheese discharge. Fibroma: • Common and benign fibrous tissue tumour. • Skin-coloured and painless. • Can be sessile or pedunculated, ‘hard’ or ‘soft’. • Situated in the skin and so unattached to underlying structures. Lipoma: • Common and benign soft tissue tumour. • Skin-coloured and painless. • Spherical, soft and sometimes fluctuant. • Not attached to the skin and therefore mobile and ‘slippery’. Skin abscess: • Collection of pus in the skin. • Very likely to be red, hot, and tender. • May be indurated. 01-OCSEs-General_Skills_5e ccp.indd 20 18/03/2015 13:18
  • 36.
    21 Cardiovascular and respiratory medicine Station 10 Chest painhistory Before starting • Introduce yourself to the patient. • Confirm his name and date of birth. • Explain that you are going to ask him some questions to uncover the nature of his chest pain, and obtain his consent. • Ensure that he is comfortable. The history • Name, age, occupation, and ethnic origin. Presenting complaint and history of presenting complaint • Ask about the nature of the chest pain. Use open questions and give the patient the time to tell his story. Also remember to be empathetic: chest pain can be a very frightening experience. • Elicit the patient’s ideas, concerns and expectations (ICE). • As with any pain history, the mnemonic SOCRATES can help develop your differential diagnosis: – – Site: where exactly is the pain? – – Onset and progression: when did the pain start and how has it changed or evolved? – – Character: what type of pain is it (e.g. dull, sharp, or crushing)? – – Radiation: does the pain move anywhere (e.g. into the jaw, arm, or back)? – – Associated symptoms and signs: ask specifically about sweating, nausea and vomiting, short- ness of breath, cough, haemoptysis, dizziness, and palpitations – – Timing and duration: does the pain occur at particular times of the day? How long does each episode last? – – Exacerbating and alleviating factors: does anything make the pain better or worse (e.g. exer- cise, movement, deep breathing, coughing, cold air, large or spicy meals, alcohol, rest, GTN, sitting up in bed)? – – Severity: “How would you rate the pain on a scale of 1 to 10, with 1 being no pain at all and 10 being the worst pain you have ever experienced?” – – effect on everyday life: ask in particular about exercise tolerance and sleep • Ask about any previous episodes of chest pain. Past medical history • Current, past, and childhood illnesses. • In particular, ask about risk factors: coronary heart disease, myocardial infarction, stroke, pneu- monia, pulmonary embolism, deep vein thrombosis, hypertension, hyperlipidaemia, diabetes, smoking, alcohol use, and recent long-haul travel. • Recent trauma or injury. • Surgery. Drug history • Prescribed medication, including the oral contraceptive pill if female. • Over-the-counter medication. • Illicit drugs. • Allergies. 02-OCSEs-Cardio__Resp_Med_5e ccp.indd 21 18/03/2015 13:21
  • 37.
    Clinical Skills for OSCEs 22 Station 10Chest pain history Family history • Parents, siblings, and children. Ask specifically about heart disease, hypertension, and other heritable cardiovascular risk factors. Social history • Employment. • Housing. • Hobbies. After taking the history • Ask the patient if there is anything else that he might add that you have forgotten to ask. This is an excellent question to ask in clinical practice, and an even better one to ask in exams. • Thank the patient. • Summarise your findings and offer a differential diagnosis. • State that you would like to examine the patient and possibly order some investigations, in particular: • ECG to look for or help rule out ischaemic heart disease. • Blood tests including – – troponins to look for or help rule out myocardial infarction – – D-dimers for suggestion of a DVT/pulmonary embolism (a negative result excludes the diagnosis but a positive result does not confirm it) – – inflammatory markers such as white cell count and CRP for suggestion of pneumonia • Chest X-ray for signs of pneumonia or pneumothorax. • CTPA or V/Q scan if the history is suggestive of a pulmonary embolism. Conditions most likely to come up in a chest pain history station Angina: • Heavy retrosternal pain which may radiate into the neck or left arm • Brought on by effort or emotion and relieved by rest and nitrates • Risk factors for ischaemic heart disease are likely • A family history of ischaemic heart disease is likely Myocardial infarction (MI): • Pain typically comes on over a few minutes • Pain is similar to that of angina but is typically severe, long-lasting ( 20 minutes), and unresponsive to nitrates • Often associated with sweating, nausea, and breathlessness • Risk factors for ischaemic heart disease are likely • A family history of ischaemic heart disease is likely 02-OCSEs-Cardio__Resp_Med_5e ccp.indd 22 18/03/2015 13:21
  • 38.
    Cardiovascular and respiratory medicine 23 Station 10 Chestpain history Pleuritic pain: • Sharp, stabbing, ‘catching’ pain • May radiate to the back or shoulder • Typically aggravated by deep breathing and coughing • Can be caused by pleurisy which can occur with pneumonia, pulmonary embolus, and pneumothorax, or by pericarditis which can occur post-MI, in viral infections, and in autoimmune diseases • Pleural pain is localised to one side of the chest and is not position dependent • Pericardial pain is central and positional, aggravated by lying down and alleviated by sitting up or leaning forward • Dressler’s syndrome (post-MI syndrome) is characterised by pleuritic chest pain from pericarditis accompanied by a low-grade fever, and can occur up to three months following an MI Pulmonary embolus: • Sharp, stabbing pain that is of sudden onset • May be associated with shortness of breath, haemoptysis, and/or pleurisy • Typically aggravated by deep breathing and coughing • May be a history of recent surgery, prolonged bed rest, or long-haul travel Gastro-oesophageal reflux disease: • Retrosternal burning • Clear relationship with food and alcohol, but no relationship with effort • May be associated with odynophagia and nocturnal asthma • Aggravated by lying down and alleviated by sitting up and by antacids such as Gaviscon or milk Musculoskeletal complaint e.g. costochondritis: • May be associated with a history of physical injury or unusual exertion • Pain is aggravated by movement, but is not reliably alleviated by rest • The site of the pain is tender to touch Panic attack: • Rapid onset of severe anxiety lasting for about 20–30 minutes • Associated with chest tightness and hyperventilation Aortic dissection: • Sudden onset, sharp, tearing pain that is maximal at the time of onset • Radiates to the back If you cannot differentiate angina from gastro-oesophageal reflux disease and there are no signs of ischaemia on the ECG, advise an exercise ECG stress test. If this is negative, consider a therapeutic trial of an antacid or a nitrate. 02-OCSEs-Cardio__Resp_Med_5e ccp.indd 23 18/03/2015 13:21
  • 39.
    Clinical Skills for OSCEs 24 Station 11 Cardiovascularrisk assessment Cardiovascular risk factors can usefully be divided into fixed (non-modifiable) and modifiable risk factors. Fixed risk factors include older age, male gender, family history, and a South Asian background. Modifiable risk factors include hypertension, hyperlipidaemia, diabetes, smoking, alcohol, exercise, and stress. Having one or more of these risk factors does not mean that a person is going to develop cardiovascular disease, but merely that he is at increased probability of developing it. Conversely, having no risk factors is not a guarantee that a person is not going to develop cardiovascular disease. Before starting • Introduce yourself to the patient. • Confirm his name and date of birth. • Explain that you are going to ask him some questions to assess his risk of cardiovascular disease (coronary heart disease, cerebrovascular disease, vascular disease) and obtain consent. Remember to be tactful in your questioning, and to respond sensitively to the patient’s ideas, concerns and expectations (ICE). The risk assessment If this information has not already been provided or disclosed, find out the patient’s reason for attending. Then note or enquire about: Fixed risk factors 1. Age and sex. 2. Ethnic background. People from a South Asian background are at a notably higher risk of cardiovascular disease. 3. Past cardiovascular events, e.g. MI or stroke. If the patient has a history of past cardiovascular events, you are assessing him for secondary rather than primary prevention. 4. Family history. Ask about a family history of cardiovascular disease and risk factors for ­ cardiovascular disease such as hypertension, hyperlipidaemia and diabetes mellitus. Modifiable risk factors 5. Hypertension. If hypertensive, ask about latest blood pressure measurement, time since first diagnosis, and any medication being taken. 6. Hyperlipidaemia. If hyperlipidaemic, ask about latest serum cholesterol level, time since first diagnosis, and any medication being taken. 7. Diabetes mellitus. If diabetic, ask about medication being taken, level of diabetes control being achieved, time since first diagnosis, and presence of complications. 8. Cigarette smoking. If a smoker or ex-smoker, ask about number of years spent smoking and average number of cigarettes smoked per day. Does the patient also smoke roll-ups and can- nabis? Does he use illicit drugs such as cocaine? 9. Alcohol. Ask about the number of units of alcohol consumed in a day and typical week. Note that depending on the amount and type that is drunk, alcohol can be either protective or a risk factor. 10. Diet. In particular, ask about fried food and takeaways. 11. Lack of exercise. Ask about amount of exercise taken in a day or week. Does the patient walk to work or walk to the shops? 12. Stress. Ask about occupational history and home life. 02-OCSEs-Cardio__Resp_Med_5e ccp.indd 24 18/03/2015 13:21
  • 40.
    Cardiovascular and respiratory medicine 25 Station 11 Cardiovascularrisk assessment Table 2. Desirable lipid levels Total cholesterol 5.0 mmol/l LDL ‘bad’ cholesterol (fasting)  3.0 mmol/l HDL ‘good’ cholesterol  1.2 mmol/l Total cholesterol/HDL cholesterol 4.5 Tryglycerides (fasting) 1.5 mmol/l NB. Patients at high risk of cardiovascular disease should aim for even better than these figures. After the assessment • If you have time, assess the extent of any cardiovascular disease. • Ask the patient if there is anything he would like to add that you may have forgotten to ask about. • Give him feedback on his cardiovascular risk (e.g. low, medium, high), and, if appropriate, indicate a further course of action (e.g. further investigations or further appointment to discuss reducing modifiable risk factors). • Address any remaining concerns. • State to the examiner that appropriate investigations include: – – BMI (should be between 18.5kg/m2 and 24.9kg/m2 ) – – waist circumference (should be less than 102cm for men and 89cm for women) – – blood pressure (should be under 140/90mmHg) – – fasting blood glucose levels (should be under 6.0mmol/L) – – fasting lipid levels (see Table 2) • Suggest calculating the patient’s 10-year cardiovascular risk score using the Framingham risk equation, which takes into account a number of risk factors including gender, age, total choles- terol, HDL cholesterol, smoking status, and blood pressure. • Indicate that the management of cardiovascular risk factors includes lifestyle modification and, if appropriate, medical intervention (see Table 3). Table 3. Management of cardiovascular disease Lifestyle modification Medical intervention Advise patient to: • Stop smoking. • Reduce alcohol intake (to 3–4 units/day in men and 2–3 in women, and avoid binges). • Lose weight. • Adopt a healthy diet: reduce saturated fatty acids, trans-fatty acids and cholesterol; increase fibre and omega-3 fatty acids, e.g. from fish. • Take 30–60 minutes of exercise per day. • Consider statin for secondary prevention or for primary prevention if 10-year risk is 20%. • Consider anti-platelet drugs e.g. aspirin. • Consider anti-hypertensive agents. • If necessary, seek to optimise blood sugar control. 02-OCSEs-Cardio__Resp_Med_5e ccp.indd 25 18/03/2015 13:21
  • 41.
    Clinical Skills for OSCEs 26 Station 12 Bloodpressure measurement Before starting • Introduce yourself to the patient. • Confirm his name and date of birth. • Explain the procedure and obtain his consent. • Tell him that he might feel some discomfort as the cuff is inflated, and that the blood pressure measurement may have to be repeated. Avoid white coat hypertension by putting the patient at ease. Briefly discuss a non- threatening subject, such as the patient’s journey to the clinic, or the weather. The procedure • Select an appropriately sized cuff and attach it to the BP machine. This is usually a standard cuff in all but children and the obese. • Position the BP machine so that it is roughly at the level of the patient’s heart. • Position the measurement column/dial so that it is at eye level (avoids parallax error). • Position the patient’s right arm so that it is horizontal at the level of the mid-sternum and free from obstructive clothing. • Locate the brachial artery at about 2 cm above the antecubital fossa. • Apply the cuff to the arm, ensuring that the arterial point/arrow is over the brachial artery. • Inflate the cuff to 20–30 mmHg higher than the estimated systolic blood pressure. You can es- timate the systolic blood pressure by palpating the brachial or radial artery pulse and inflat­ ing the cuff until you can no longer feel it. • Place the stethoscope over the brachial artery pulse, ensuring that it does not touch the cuff. • Reduce the pressure in the cuff at a rate of 2–3 mmHg per second. – – the first consistent Korotkov sounds indicate the systolic blood pressure – – the muffling and disappearance of the Korotkov sounds indicate the diastolic blood pres­ sure • Record the blood pressure as the systolic reading over the diastolic reading. Do not at­ tempt to ‘round off’ your readings; to an examiner’s ear, 144/88 usually rings more true than 140/90. • If the blood pressure is higher than 140/90, indicate that you need to take a second reading after giving the patient a one minute rest. • In some situations, it may be appropriate to record the blood pressure in both arms (to inves- tigate coarctation or dissection of the aorta), and also with the patient lying and standing (to investigate for postural hypotension: a drop in BP on standing of ≥20mmHg). After the procedure • Ensure that the patient is comfortable. • Tell the patient his blood pressure and explain its significance. Hypertension can only be con- firmed by several blood pressure measurements taken over an extended period of time. • Thank the patient. • Document the blood pressure recording in the patient’s notes. 02-OCSEs-Cardio__Resp_Med_5e ccp.indd 26 18/03/2015 13:21
  • 42.
    Cardiovascular and respiratory medicine 27 Station 12 Bloodpressure measurement Examiner’s questions Causes of secondary hypertension: • Endocrine causes: – high catecholamines, e.g. phaeochromocytoma – high glucocorticoids, e.g. Cushing’s syndrome – high mineralocorticoids, e.g. Conn’s syndrome – high growth hormone, e.g. acromegaly – hyper- or hypo-thyroidism – hyperparathyroidism • Renal disease • Vascular causes: – renal artery stenosis – coarctation of the aorta • Pregnancy: – gestational hypertension – pre-eclampsia (+ oedema and proteinuria) • Drugs: – NSAIDs, steroids, oestrogen, illicit drugs Complications of hypertension: • Cerebrovascular accident (haemorrhage or ischaemic infarct). • Retinopathy. • Ischaemic heart disease. • Left ventricular failure. • Renal failure. • Atherosclerosis. • Aneurysm. Investigations in hypertension: • Confirming hypertension. • Assessing for a possible secondary cause. • Assessing for complications/end-organ damage (see above) e.g. fundoscopy, ECG, blood tests such as urea and electrolytes. Artery Stethoscope Sphygmomanometer Right arm Cuff Figure 5. Positioning of the cuff and head of the stethoscope. 02-OCSEs-Cardio__Resp_Med_5e ccp.indd 27 18/03/2015 13:21
  • 43.
    Clinical Skills for OSCEs 28 Station 13 Cardiovascularexamination Before starting • Introduce yourself to the patient. • Confirm his name and date of birth. • Explain the examination and obtain his consent. • Position him at 45 degrees, and ask him to remove his top(s). • Ensure that he is comfortable. • Wash your hands. The examination (IPPA) General inspection • From the end of the couch, observe the patient’s general appearance (age, state of health, nutritional status, and any other obvious signs). Is he breathless or cyanosed? Is he coughing? Does he have the malar flush of mitral stenosis? • Observe the patient’s surroundings, looking in particular for items such as a nitrate spray, an oxygen mask, ECG electrodes, and IV lines and infusions. • Inspect the chest for any scars and the precordium for any abnormal pulsation. A median sternotomy scar could indicate coronary artery bypass graft­ ing (CABG), valve repair or replace- ment, or the repair of a congenital defect. A left submammary scar most likely indicates repair or replacement of the mitral valve. Do not miss a pacemaker if it is there! Inspection and examination of the hands • Take both hands noting: – – temperature: feel with the back of your hand – – colour, in particular the blue of peripheral cyanosis and the orange of nicotine stains – – nail bed capillary refill time: press the nail for 5 seconds; it should refill within 2 seconds – – any presence of clubbing (endocarditis, cyanotic congenital heart disease) – – any presence of Osler nodes and Janeway lesions (subacute infective endocarditis) – – any presence of splinter haemorrhages (subacute infective endocarditis) – – any presence of koilonychia or ‘spoon nails’ (iron deficiency) • Determine the rate, rhythm, volume, and character of the radial pulse. A regularly irregular rhythm suggests second degree heart block, whereas an irregularly irregular rhythm suggests atrial fibrillation or multiple ectopics. • Raise the patient’s arm above his head to assess for a collapsing/water hammer pulse (aortic regurgitation). Ask the patient whether he has any shoulder pain first. • Simultaneously take the pulse in both arms to exclude radio-radial delay (aortic arch aneurysm). Indicate that you would also exclude radio-femoral delay (coarctation of the aorta). • As you move up the arm, look for bruising, which may indicate that the patient is on an anti­ coagulant, and for evidence of intravenous drug use, which is a risk factor for acute infective endocarditis. • Indicate that you would like to record the blood pressure (see Station 12). A wide pulse pressure is typically seen in aortic regurgitation; a narrow pulse pressure in aortic stenosis. 02-OCSEs-Cardio__Resp_Med_5e ccp.indd 28 18/03/2015 13:21
  • 44.
    Cardiovascular and respiratory medicine 29 Station 13 Cardiovascularexamination Inspection and examination of the head and neck • Inspect the eyes, looking for peri-orbital xanthelasma and corneal arcus, both of which indicate hyperlipidaemia. • Gently retract an eyelid and ask the patient to look up. Inspect the conjunctivus for pallor, which is indicative of anaemia. • Ask the patient to open his mouth, and look for signs of central cyanosis, dehydration, poor dental hygiene (subacute bacterial endocarditis), and a high arched palate (Marfan’s syndrome). • Palpate the carotid artery and assess its volume and character. A slow-rising pulse is suggestive of aortic stenosis, a collapsing pulse of aortic regurgitation. Never palpate both carotid arteries simultaneously. • Assess the jugular venous pressure (see Figure 6) and, if possible, the jugular venous pulse form: ask the patient to turn his head slightly to one side, and look at the internal vein medial to the clavicular head of sternocleidomastoid. Assuming that the patient is reclining at 45 degrees, the vertical height of the jugular distension from the angle of Louis (sternal angle) should be no greater than 4 cm: if it is greater than 4cm, this suggests right heart failure, fluid overload, or tricuspid valve disease. Palpation of the heart Ask the patient if he has any chest pain. • Determine the location and character of the apex beat. It is normally located in the fifth inter- costal space at the mid­ clavicular line. The apex may be: – – impalpable: obesity, dextrocardia, situs inversus… – – displaced, suggesting volume overload (mitral or aortic regurgitation) – – heaving, suggesting pressure overload and left ventricular hypertrophy (aortic stenosis) – – ‘tapping’, suggesting mitral stenosis • Place the flat of your hands over either side of the sternum and feel for any heaves and thrills. Heaves result from right ventricular hypertrophy (cor pulmonale) and thrills from transmitted murmurs. 45° Height of jugular venous distention Angle of Louis (sternal angle) 4 cm Figure 6. Assessing the jugular venous pressure. 02-OCSEs-Cardio__Resp_Med_5e ccp.indd 29 18/03/2015 13:21
  • 45.
    Clinical Skills for OSCEs 30 Station 13Cardiovascular examination Auscultation of the heart • Listen for heart sounds, additional sounds, murmurs, and pericardial rub. Using the stetho- scope’s diaphragm, listen in the: – – aortic area right second intercostal space near the sternum – – pulmonary area left second intercostal space near the sternum – – tricuspid area left third, fourth, and fifth intercostal spaces near the sternum – – mitral area (use the stethoscope’s bell) left fifth intercostal space in the mid-clavicular line • Manoeuvres and points to remember: – – ask the patient to bend forward and to hold his breath at end-expiration. Using the stetho- scope’s diaphragm, listen at the left sternal edge in the fourth intercostal space for the mid- diastolic murmur of aortic regurgitation – – ask the patient to turn onto his left side and to hold his breath at end-expiration. Using the stethoscope’s bell, listen in the mitral area for the mid-diastolic murmur of mitral stenosis – – listen over the carotid arteries for any bruits and the radiation of the murmur of aortic ­ stenosis – – listen in the left axilla for the radiation of the murmur of mitral regurgitation For any murmur, determine its location and radiation, and its duration (early, mid, late, ‘pan’ or throughout) and timing (diastolic, systolic) in relation to the cardiac cycle. This is best done by palpating the carotid or brachial artery to determine the start of systole. Grade the murmur on a scale of I to VI according to its intensity (see Table 4). Common conditions associated with murmurs are listed in Table 5. A P T M Mid-clavicular line Auscultation points C C Ax Figure 7. Auscultation points. 02-OCSEs-Cardio__Resp_Med_5e ccp.indd 30 18/03/2015 13:21
  • 46.
    Cardiovascular and respiratory medicine 31 Station 13 Cardiovascularexamination Table 4. Grading murmurs I Barely audible murmur II Soft and localised murmur III Murmur of moderate intensity that is immediately audible IV Murmur of loud intensity with a palpable thrill V As above, murmur audible with only stethoscope rim on chest wall VI As above, murmur audible even as stethoscope is lifted from chest wall Table 5. Common conditions associated with murmurs Aortic stenosis Slow-rising pulse, heaving cardiac apex, ejection/early-systolic murmur best heard in the aortic area and radiating to the carotids and cardiac apex Mitral regurgitation Displaced thrusting cardiac apex, pan-systolic murmur best heard in the mitral area and radiating to the axilla, patient may be in atrial fibrillation Aortic regurgitation Collapsing pulse, thrusting cardiac apex, diastolic murmur best heard at the lower left sternal edge Mitral valve prolapse Mid-systolic click, late-systolic murmur best heard in the mitral area RILE: Right-sided murmurs are heard loudest on Inspiration whereas Left-sided murmurs are heard loudest on Expiration Chest examination • Percuss and auscultate the chest, especially at the bases of the lungs. Heart failure can cause pulmonary oedema and pleural effusions. Abdominal examination • Palpate the abdomen to exclude ascites and/or hepatomegaly. • Check for the presence of an aortic aneurysm. • Ballot the kidneys and listen for any renal artery bruits. Examination of the ankles and legs • Inspect the legs for scars that might be indicative of vein harvesting for a CABG. • Palpate for the ‘pitting’ oedema of cardiac failure: check for pain and then press for 5 seconds on the patient’s legs. If oedema is present, assess how far it extends. In some cases, it may extend all the way up to the sacrum or even the torso (‘anasarca’). • Assess the temperature of the feet, and check the posterior tibial and dorsalis pedis pulses in both feet. 02-OCSEs-Cardio__Resp_Med_5e ccp.indd 31 18/03/2015 13:21
  • 47.
    Clinical Skills for OSCEs 32 Station 13Cardiovascular examination After the examination • Indicate that you would look at the observation chart, dipstick the urine, examine the retina with an ophthalmoscope (for hypertensive changes and the Roth’s spots of subacute infective endocarditis), and, if appropriate, order some key investigations, e.g. FBC, ECG, CXR, echocar- diogram. • Cover the patient up and ensure that he is comfortable. • Thank the patient. • Summarise your findings and offer a differential diagnosis. Conditions most likely to come up in a cardiovascular examination station • Murmurs (see Table 5). • Heart failure. • Median sternotomy scar, with or without scar on the lower leg (vein harvesting). • Pacemaker. 02-OCSEs-Cardio__Resp_Med_5e ccp.indd 32 18/03/2015 13:21
  • 48.
    33 Cardiovascular and respiratory medicine Station 14 Peripheral vascularsystem examination In this station you may be asked to restrict your examination to the arterial or venous system only. You must therefore be able to separate out the signs for either (see Table 6). Before starting • Introduce yourself to the patient. • Confirm his name and date of birth. • Explain the examination and obtain his consent. • After checking for any pain, ask him to expose his feet and legs and to lie down on the couch. The examination Inspection • General appearance: body habitus, missing limbs or digits, surrounding paraphernalia such as walking aids, oxygen, cigarettes. • Skin changes: pallor, shininess, loss of body hair, atrophie blanche (ivory-white areas), haemo­ siderin ­ pigmentation, inflammation, eczema, lipodermatosclerosis. • Thickened dystrophic nails. • Scars. • Signs of gangrene: blackened skin, nail infection, amputated toes. • Venous and arterial ulcers. Remember to look in the interdigital spaces. • Oedema. • Varicose veins (ask the patient to stand up). Varicose veins are often associated with incompe- tent valves in the long and short saphenous veins. Do not make the common mistake of asking the patient to stand up before having examined for varicose veins. Palpation and special tests • Ask about any pain in the legs and feet. • Assess skin temperature by running the back of your hand along the leg and the sole of the foot. Compare both legs. • Capillary refill. Compress a nail bed for 5 seconds and let go. It should take less than 2 seconds for the nail bed to return to its normal colour. • Peripheral pulses (compare both sides). – – femoral pulse at the inguinal ligament – – popliteal pulse in the popliteal space (flex the knee) – – posterior tibial pulse behind the medial malleolus – – dorsalis pedis pulse over the dorsum of the foot, just lateral to the extensor tendon of the great toe • Buerger’s test: – – lift both of the patient’s legs to a 15 degree angle and note any collapse of the veins (‘venous guttering’), which is indicative of arterial insufficiency – – lift both of the patient’s legs up to the point where they turn white (this is Buerger’s angle); if there is no arterial insufficiency, the legs will not turn white, not even at a 90 degree angle 02-OCSEs-Cardio__Resp_Med_5e ccp.indd 33 18/03/2015 13:21
  • 49.
    Clinical Skills for OSCEs 34 Station 14Peripheral vascular system examination – – ask the patient to dangle his legs over the edge of the couch; in chronic limb ischaemia, rather than returning to its normal colour, the skin will slowly turn red like a cooked lobster (reactive hyperaemia) • Oedema. Firm ‘non-pitting’ oedema is a sign of chronic venous insufficiency (compare to the ‘pitting’ oedema of cardiac failure). • Varicose veins. Tenderness on palpation suggests thrombophlebitis. • Trendelenburg’s test: – – elevate the leg to 90 degrees to drain the veins of blood – – occlude the sapheno-femoral junction (SFJ) with two fingers – – keep your fingers in place and ask the patient to stand up – – remove your fingers: if the superficial veins refill, this indicates incompetence at the SFJ • Tourniquet test: – – elevate the leg to 90 degrees to drain the veins of blood – – apply a tourniquet to the upper thigh – – ask the patient to stand up: if the superficial veins below the tourniquet refill, this indicates incompetent perforators below the tourniquet – – release the tourniquet: sudden additional filling of the veins is a sign of sapheno-femoral incompetence [Note] The tourniquet test can be repeated further and further down the leg, until the superficial veins below the tourniquet no longer refill. Auscultation • Femoral arteries. • Abdominal aorta. • Renal arteries. After the examination • Thank the patient. • Ensure that he is comfortable. • Summarise your findings and offer a differential diagnosis. • If appropriate, indicate that you might also measure the ABPI (see Station 15) and examine the cardiovascular system and abdomen (aortic aneurysm). 02-OCSEs-Cardio__Resp_Med_5e ccp.indd 34 18/03/2015 13:21
  • 50.
    Cardiovascular and respiratory medicine 35 Station 14 Peripheralvascular system examination Table 6. Examination of the arterial or venous system only Arterial system Venous system Pallor Shininess Dystrophic nails Loss of body hair Arterial ulcers Signs of gangrene Skin temperature Capillary refill Peripheral pulses Buerger’s test Auscultation of femoral arteries and aorta ABPI (if time permits, see Station 15) Atrophie blanche Pigmentation Inflammation Eczema Lipodermatosclerosis Oedema (non-pitting) Venous ulcers Varicose veins Scars due to varicose vein surgery Trendelenburg test Perthes’ test (if after the gold medal) [Note] The 6 Ps of limb ischaemia: pain, pallor, pulselessness, paraesthesia, paralysis, and perishingly cold. 02-OCSEs-Cardio__Resp_Med_5e ccp.indd 35 18/03/2015 13:21
  • 51.
    Clinical Skills for OSCEs 36 Station 15 Ankle-brachialpressure index (ABPI) Specifications: You are most likely to be requested to measure the ABPI for one arm and ankle only. Calculating and interpreting ABPI Figure 8. Calculating ABPI. Table 7. ABPI interpretation ABPI Interpretation 0.95 0.5–0.9 0.5 0.2 Normal Claudication pain Rest pain Ulceration and gangrene Higher of the two right ankle pressures Higher of the two arm pressures Higher of the two left ankle pressures Higher of the two arm pressures Right arm systolic pressure Left arm systolic pressure Right ankle systolic pressure Left ankle systolic pressure Posterior tibial Dorsalis pedis Posterior tibial Dorsalis pedis Right ABPI Left ABPI 02-OCSEs-Cardio__Resp_Med_5e ccp.indd 36 18/03/2015 13:21
  • 52.
    Cardiovascular and respiratory medicine 37 Station 15 Ankle-brachialpressure index (ABPI) Before starting • Introduce yourself to the patient. • Confirm his name and date of birth. • Explain the procedure and obtain his consent. • Position him at 45° with his sleeves and trousers rolled up. • Ensure that he is comfortable. • Wash your hands. • State that you would allow him 5 minutes resting time before taking measurements. The procedure Brachial systolic pressure • Place an appropriately sized cuff around the arm, as for any blood pressure recording. • Locate the brachial pulse by palpation and apply contact gel at this site. • Angle the hand-held Doppler probe at 45° to the skin and locate the best possible signal. Apply only gentle pressure, or else you risk occluding the artery. • Inflate the cuff until the signal disappears. • Progressively deflate the cuff and record the pressure at which the signal reappears. • Repeat the procedure for the other arm or state that you would do so. • Retain the higher of the two readings. Take care not to allow the probe to slide away from the line of the artery. Ankle systolic pressure • Place an appropriately sized cuff around the ankle immediately above the malleoli. • Locate the dorsalis pedis pulse by palpation or with the hand-held Doppler probe and apply contact gel at this site. • Angle the hand-held Doppler probe at 45° to the skin and locate the best possible signal. Apply only gentle pressure, or else you risk occluding the artery. • Inflate the cuff until the signal disappears. • Progressively deflate the cuff, and record the pressure at which the signal reappears. • Repeat the procedure for the posterior tibial pulse, which is posterior and inferior to the medial malleolus. • Repeat the procedure for the dorsalis pedis and posterior tibial pulses of the other ankle or state that you would do so. • For each ankle, retain the higher of the two readings. After the procedure • Clean the patient’s skin of contact gel and allow him time to restore his clothing. • Clean the hand-held Doppler probe of contact gel. • Wash your hands. • Calculate the ABPI and explain its significance to the patient. • Ask the patient if he has any questions or concerns. • Thank the patient. 02-OCSEs-Cardio__Resp_Med_5e ccp.indd 37 18/03/2015 13:21
  • 53.
    Clinical Skills for OSCEs 38 Station 16 Breathlessnesshistory Before starting • Introduce yourself to the patient. • Confirm his name and date of birth. • Explain that you are going to ask him some questions to uncover the nature of his breathless- ness, and obtain his consent. • Ensure that he is comfortable. The history • Name, age, and occupation. Presenting complaint • Ask about the nature of the breathlessness. Use open questions. • Elicit the patient’s ideas, concerns and expectations (ICE). History of presenting complaint Ask about: • Onset, duration, and variability of breathlessness. • Provoking and relieving factors. Provoking factors include stress, exercise, cold weather, pets, dust, and pollen; relieving factors include rest and use of inhaler or GTN spray. • Severity: – – exercise tolerance: “How far can you walk before you get breathless? How far could you walk before?” – – sleep disturbance: “Do you get more breathless when you lie down? How many pillows do you use?” – – paroxysmal nocturnal dyspnoea: “Do you wake up in the middle of the night feeling breathless?” • Associated symptoms (wheeze, cough, sputum, haemoptysis, fever, night sweats, anorexia, loss of weight, lethargy, chest pain, dizziness, pedal oedema). • Effect on everyday life. • Previous episodes of breathlessness. • Smoking and alcohol. Past medical history • Current, past, and childhood illnesses. Ask specifically about atopy (asthma/eczema/hay fever), PE/DVT, pneumonia, bronchitis, and tuberculosis. • Previous investigations (e.g. bronchoscopy, chest X-ray). • Previous hospital admissions and previous surgery. Drug history • Prescribed medication (especially bronchodilators, NSAIDs, b-blockers, ACE inhibitors, ­ amiodarone, and steroids) and route (e.g. inhaler, home nebuliser). • Over-the-counter medication. • Recreational drugs. • Allergies. 02-OCSEs-Cardio__Resp_Med_5e ccp.indd 38 18/03/2015 13:21
  • 54.
    Cardiovascular and respiratory medicine 39 Station 16 Breathlessnesshistory Family history • Parents, siblings, and children. Focus especially on respiratory diseases such as atopy, cystic fibrosis, tuberculosis, and emphysema (a1-antitrypsin deficiency). Social history • Smoking: 1 pack year is equivalent to 20 cigarettes per day for 1 year. • Recent long-haul travel. • Exposure to tuberculosis. • Contact with asbestos (mesothelioma). • Contact with work-place allergens involved in, for example, baking, soldering, spray painting. • Contact with animals, especially cats, dogs, and birds (bird fancier’s lung). After taking the history • Ask the patient if there is anything else he might add that you have forgotten to ask. • Thank the patient. • Summarise your findings and offer a differential diagnosis. • State that you would like to examine the patient and carry out some investigations to confirm your diagnosis. Conditions most likely to come up in a breathlessness history station Asthma: • Breathlessness, chest tightness, wheezing and coughing. • Symptoms worse at night and in the early morning, and exacerbated by irritants, cold air, exercise, and emotion. • Symptoms respond to bronchodilators. • There may be a history and family history of atopy. Chronic obstructive pulmonary disease: • Breathlessness, cough, wheeze. • Chronic progressive disorder characterised by fixed or only partially reversible airway obstruction (cf. asthma). • History of smoking. Pneumonia: • Breathlessness accompanied by fever, cough, and yellow sputum, and in some cases by haemoptysis and pleuritic chest pain. 02-OCSEs-Cardio__Resp_Med_5e ccp.indd 39 18/03/2015 13:21
  • 55.
    Clinical Skills for OSCEs 40 Station 16Breathlessness history Tuberculosis: • Breathlessness, cough, haemoptysis, weight loss, malaise, fever, night sweats, pleural pain, symptoms of extrapulmonary disease. • More likely in certain high-risk groups such as immigrants, the homeless and the immunocompromised. Pulmonary embolism: • Breathlessness, sometimes with pleural pain and haemoptysis. • There may be predisposing factors such as recent surgery, immobility, or long-haul travel. Lung cancer: • Symptoms may include breathlessness, stridor, cough, haemoptysis, anorexia, weight loss, lethargy, pleural pain, hoarseness, Horner’s syndrome, effects of distant metastases. • History of smoking in most cases. Heart failure: • Left ventricular failure leads to pulmonary oedema. • Symptoms include breathlessness, orthopnoea, paroxysmal nocturnal dyspnoea, pedal oedema. • There is a cough which produces pink frothy sputum. Panic attack: • Rapid onset of severe anxiety lasting for about 20–30 minutes. • Associated with chest tightness and hyperventilation. 02-OCSEs-Cardio__Resp_Med_5e ccp.indd 40 18/03/2015 13:21
  • 56.
    41 Cardiovascular and respiratory medicine Station 17 Respiratory systemexamination Before starting • Introduce yourself to the patient. • Confirm his name and date of birth. • Explain the examination and obtain his consent. • Position him at 45°, and ask him to remove his top(s). • Ask him if he is in any pain or distress. • Ensure that he is comfortable. • Wash your hands. The examination (IPPA) General inspection • From the end of the couch, observe the patient’s general appearance (age, state of health, nu- tritional status, and any other obvious signs). In particular, is he visibly breathless or cyanosed? Does he have to sit up to breathe? Is his breathing audible? Are there any added sounds (cough, wheeze, stridor)? • Note: – – the rate, depth, and regularity of his breathing – – any deformities of the chest (barrel chest, pectus excavatum, pectus carinatum) and spine – – any asymmetry of chest expansion – – the use of accessory muscles of respiration and planting of hands – – the presence of operative scars, including in the axillae and around the back • Next observe the surroundings. Is the patient on oxygen? If so, note the device (see Tables 40 and 41 in Station 113), the concentration (%), and the flow rate. Look in particular for inhalers, nebulisers, peak flow meters, intravenous lines, chest drains, and chest drain contents. If there is a sputum pot, make sure to inspect its contents. Inspection and examination of the hands • Take both hands and assess them for temperature and colour. Peripheral cyanosis is indicated by a bluish discoloration of the fingertips. • Test capillary refill by compressing a nail bed for 5 seconds and letting go. It should take less than 2 seconds for the nail bed to return to its normal colour. • Look for tar staining and finger clubbing. When the dorsum of a finger from one hand is opposed to the dorsum of a finger from the other hand, a diamond-shaped window (Schamroth’s window) is formed at the base of the nailbeds. In clubbing, this diamond-shaped window is obliterated, and a distal angle is created between the fingers (see Figure 9). Respiratory causes of clubbing include carcinoma, fibrosing alveolitis, and chronic suppurative lung disease (see Table 8). • Inspect and feel the thenar and hypothenar eminences, which can be wasted if there is an apical lung tumour that is invading or compressing the roots of the brachial plexus. • Test for asterixis (see Table 9), the coarse flapping tremor of carbon dioxide retention, by asking the patient to extend both arms with the wrists in dorsiflexion and the palms facing forwards. Ideally, this position should be maintained for a full 30 seconds. Note that generalised fine tremor may be related to excessive use of B2 agonist. • During this time, assess the radial pulse and determine its rate, rhythm, and character. Is it the bounding pulse of carbon dioxide retention? • Indicate that you would like to measure the blood pressure. 02-OCSEs-Cardio__Resp_Med_5e ccp.indd 41 18/03/2015 13:21
  • 57.
    Clinical Skills for OSCEs 42 Station 17Respiratory system examination Table 8. The principal causes of clubbing Respiratory causes Bronchial carcinoma Fibrosing alveolitis Chronic suppurative lung disease Cardiac causes Infective endocarditis Cyanotic heart disease Gastrointestinal causes Cirrhosis Ulcerative colitis Crohn’s disease Coeliac disease Familial Table 9. The principal causes of asterixis Hepatic failure Renal failure Cardiac failure Respiratory failure Electrolyte abnormalities (hypoglycaemia, hypokalaemia, hypomagnesaemia) Drug intoxication, e.g. alcohol, phenytoin CNS causes Inspection and examination of the head and neck • Inspect the patient’s eyes. Look for a ptosis (an upper lid that encroaches upon the pupil) and for anisocoria (pupillary asymmetry). Ipsilateral ptosis, miosis, enophthalmos, and anhidrosis are strongly suggestive of Horner’s syndrome, which may result from compression of the sym- pathetic chain by an apical lung tumour. • Next inspect the sclera and conjunctivae for signs of anaemia. • Ask the patient to open his mouth and inspect the underside of the tongue for the blue discol- oration of central cyanosis. • Assess the jugular venous pressure (JVP) and the jugular venous pulse form (see Station 13). A raised JVP is suggestive of right-sided heart failure. Figure 9. Clubbing. When the dorsum of a finger from one hand is opposed to the dorsum of a finger from the other hand, a diamond-shaped window is formed at the base of the nailbeds. In clubbing, this diamond-shaped window is obliterated, and a distal angle is created between the fingers. 02-OCSEs-Cardio__Resp_Med_5e ccp.indd 42 18/03/2015 13:21
  • 58.
    Cardiovascular and respiratory medicine 43 Station 17 Respiratorysystem examination • Examine the lymph nodes from behind with the patient sitting up. Have a systematic routine for examining all of the submental, submandibular, parotid, pre- and post-auricular, occipital, anterior cervical, posterior cervical, supra- and infra-clavicular, and axillary lymph nodes (see Station 9). • Palpate for tracheal deviation by placing the index and middle fingers of one hand on either side of the trachea in the suprasternal notch. Alternatively, place the index and annular fingers of one hand on either clavicular head and use your middle finger (called the Vulgaris in Latin) to palpate the trachea. Palpation of the chest Ask the patient if he has any chest pain. • Inspect the chest more carefully, looking for asymmetries, deformities, and scars. • Inspect the precordium and palpate for the position of the cardiac apex. Difficulty palpating for the position of the cardiac apex may indicate hyperexpansion, although this is not a specific sign. [Note] Carry out all subsequent steps on the front of the chest and, once finished, repeat them on the back of the chest. This is far more elegant than to keep asking the patient to bend forwards and backwards like a Jack-in-the-box. Pulmonary anatomy is such that examination of the back of the chest yields information about the lower lobes, whereas examination of the front of the chest yields information about the upper lobes and, on the right-side, also the middle lobe (Figure 10). • Palpate for equal chest expansion, comparing one side to the other. Reduced unilateral chest expansion might be caused by pneumonia, pleural effusion, pneumothorax, and lung collapse. If there is a measuring tape, measure the chest expansion. Figure 10. A right lateral view demonstrating lobar anatomy. Posterior assessment gives information about the lower lobes, whereas examination from the front looks at the upper and middle lobes (the latter only on the right). Upper lobe Lower lobe Middle lobe 02-OCSEs-Cardio__Resp_Med_5e ccp.indd 43 18/03/2015 13:21
  • 59.
    Clinical Skills for OSCEs 44 Station 17Respiratory system examination Percussion of the chest • Percuss the chest. Start at the apex of one lung, and compare one side to the other. Do not forget to percuss over the clavicles and on the sides of the chest. For any one area, is the reso­ nance increased or decreased? A hyper-resonant or tympanic note may indicate emphysema or pneumothorax, whereas a dull or stony dull note may indicate consolidation, fibrosis, fluid, or lung collapse. If you uncover any variation in the percussion note, be sure to map out its geographical extent. • Test for tactile fremitus by placing the flat of the hands on the chest and asking the patient to say “ninety nine”. Auscultation of the chest • Ask the patient to take deep breaths through the mouth and, using the diaphragm of the steth- oscope, auscultate the chest in the same locations as for percussion. Start at the apex of one lung, in the supraclavicular fossa, and compare one side to the other. Normal breath sounds are described as ‘vesicular’ and have a low pitched and rustling quality. Reduced breath sounds may indicate consolidation. Listen carefully for added sounds such as wheezes (rhonchi), crack- les (crepitations), bronchial breathing, and pleural friction rubs. • Test for vocal resonance by asking the patient to say “ninety nine”. Both consolidation and pleural effusions can lead to a dull percussion note, but in consolidation vocal resonance is increased whereas in pleural effusion it is decreased. Both vocal resonance and tactile fremitus (see above) provide the same sort of information. Inspection and examination of the legs • Inspect the legs for erythema and swelling. Palpate for tenderness and pitting oedema. A unilateral red, swollen, and tender calf suggests a DVT, whereas bilateral swelling may indicate right-sided heart failure. Figure 11. Palpating for equal chest expansion: upper, middle and lower lobes. 02-OCSEs-Cardio__Resp_Med_5e ccp.indd 44 18/03/2015 13:21
  • 60.
    Cardiovascular and respiratory medicine 45 Station 17 Respiratorysystem examination After the examination • Indicate that you would look at the observations chart, examine a sputum sample, measure the peak expiratory flow rate, and order some simple investigations such as a chest X-ray and a full blood count. • Cover the patient up and ensure that he is comfortable. • Thank the patient. • Wash your hands. • Summarise your findings and offer a differential diagnosis. Conditions most likely to come up in a respiratory system examination station Chronic obstructive pulmonary oedema (COPD): • Signs may include breathlessness, breathing through pursed lips, cough, hyperinflated chest, cyanosis, warm hands, tar staining, asterixis, bounding pulse, rhonchi, reduced breath sounds, signs of right heart failure (cor pulmonale). Cryptogenic fibrosing alveolitis: • Signs may include breathlessness, dry cough, cyanosis, clubbing, reduced chest expansion, fine late inspiratory crackles, signs of right heart failure (cor pulmonale). Lobectomy • Look carefully for a scar and listen for reduced or absent breath sounds. 02-OCSEs-Cardio__Resp_Med_5e ccp.indd 45 18/03/2015 13:21
  • 61.
    Clinical Skills for OSCEs 46 Station 18 PEFRmeter explanation Read in conjunction with Station 116: Explaining skills. Before starting • Introduce yourself to the patient. • Confirm his name and date of birth. • Check his understanding of asthma and of the PEFR meter. • Explain the importance of using a PEFR (Peak Expiratory Flow Rate) meter and the importance of using it correctly. • Explain that the PEFR meter is to be used first thing in the morning and at any time he has symptoms of asthma. Explain the use of a PEFR meter Demonstrate and ask the patient to: • Attach a clean mouthpiece to the meter. • Slide the marker to the bottom of the numbered scale. • Stand or sit up straight. • Hold the peak flow meter horizontal, keeping his fingers away from the marker. • Take as deep a breath as possible and hold it. • Insert the mouthpiece into his mouth, sealing his lips around the mouthpiece. • Exhale as hard as possible into the meter. • Read and record the meter reading. • Repeat the procedure three to six times, recording only the highest score. • Check this score against the peak flow chart or his previous readings. • Check the patient’s understanding by asking him to carry out the procedure. • Ask him if he has any questions or concerns. 02-OCSEs-Cardio__Resp_Med_5e ccp.indd 46 18/03/2015 13:21
  • 62.
    Cardiovascular and respiratory medicine 47 Station 18 PEFRmeter explanation Interpret a PEFR reading Figure 12. Expected peak flow rates in litres per minute according to age, sex, and height. If the patient has been given a diary or chart to track PEFR variation: • Explain that he must record a reading (best of three attempts) in the morning, afternoon, and evening. • Show him how to plot readings on the chart. Height Men 190 cm 183 cm 175 cm 167 cm 160 cm Height Women 183 cm 175 cm 167 cm 160 cm 152 cm 20 25 30 35 40 45 50 Age (years) 55 60 65 70 75 80 85 15 320 340 360 380 400 420 440 460 480 500 520 540 560 580 600 620 640 660 680 300 PEFR (litres per minute) 02-OCSEs-Cardio__Resp_Med_5e ccp.indd 47 18/03/2015 13:21
  • 63.
    Clinical Skills for OSCEs 48 Station 19 Inhalerexplanation Read in conjunction with Station 116: Explaining skills. The traditional pressure Metre Dose Inhaler (pMDI) is most likely to feature in an OSCE, but you could also be examined on other common inhalers. Before starting • Introduce yourself to the patient. • Confirm his name and date of birth. • Check his understanding of asthma and of the inhaler. • Explain to him that an inhaler device delivers aerosolised bronchodilator medication for inhala- tion. If used correctly, it provides fast and efficient relief from bronchospasm (airway irritation and narrowing). He can take up to two puffs from the inhaler, as required, up to four times a day. If he finds himself using the inhaler more frequently than this, he should speak to his doctor. Possible side-effects are a fast heart rate, shakiness, and headaches. • Ask him if he has any concerns. Pressure Metre Dose Inhaler (pMDI) Demonstrate and ask the patient to: • Vigorously shake the inhaler to mix the drug. • Remove the cap from the mouthpiece. • Hold the inhaler between index finger and thumb. • Breathe out completely. • Place the inhaler in the mouth such as to make an airtight seal with lips. • Breathe in steadily and deeply, and simultaneously activate the inhaler once only. • Remove the inhaler, hold breath for 10 seconds, and then breathe out slowly. • Repeat the procedure after 1 minute if relief is insufficient. • Check the patient’s understanding by asking him to carry out the procedure in front of you. • Ask if he has any questions or concerns. If the patient has difficulty co-ordinating breathing in and inhaler activation, he may benefit from a breath-activated inhaler or the added use of a spacer. Breath-activated pressure Metre Dose Inhaler The procedure is the same as above, except that the medication is automatically released on inspiration. Note that a breath-activated pMDI cannot be used with a spacer. Pressure Metre Dose Inhaler with spacer Spacers increase the amount of medication delivered to the lungs if the patient is limited by poor technique or respiratory effort. • Assemble the spacer. • Vigorously shake the inhaler to mix the drug. • Remove the cap from the mouthpiece. • Fit the inhaler into the spacer. • Sit up straight and breathe out completely. • Place the spacer in the mouth such as to make an airtight seal with lips. 02-OCSEs-Cardio__Resp_Med_5e ccp.indd 48 18/03/2015 13:21
  • 64.
    Cardiovascular and respiratory medicine 49 Station 19 Inhalerexplanation • Activate the inhaler as normal. • Breathe in steadily and deeply, hold breath for 10 seconds, and then breathe out slowly. • Advise the patient that the spacer should be washed every month with soap and warm water and left to air dry. It should be replaced every six months. Dry Powder devices (Accuhaler) • Open the device using the thumb-grip, exposing the mouthpiece and the dose lever. • Press down on the lever to dose the device (this produces a click). • Breathe out completely and continue as per the pMDI technique, although there is no need to co-ordinate activation and inhalation. Inhalation must be relatively hard and deep to produce enough force to break up the powder and draw it into the lungs. • Shut the device and note the number of remaining doses on the counter. 02-OCSEs-Cardio__Resp_Med_5e ccp.indd 49 18/03/2015 13:21
  • 65.
    Clinical Skills for OSCEs 50 Station 20 Drugadministration via a nebuliser A nebuliser transforms a drug solution into a fine mist for inhalation via a mouthpiece or face mask. Drugs used in nebulisers include bronchodilators, corticosteroids, and antibiotics (e.g. colistin). Before starting • Introduce yourself to the patient. • Confirm his name and date of birth. • Explain the need for a nebuliser and the procedure involved, and ensure consent. • Explain the drug in the nebuliser, most likely salbutamol, and its common side-effects (for salbutamol, tremor). • Obtain consent. The equipment • An air compressor and tubing • Drug or drug solution (e.g. salbutamol 2.5 ml) • A nebuliser cup in a vial • A mouthpiece or mask • Diluent (e.g. sodium chloride 0.9%) if needed • A syringe The procedure • Consult the prescription chart and check: – – the identity of the patient – – the prescription: validity, drug, dose, diluent, route of administration, date and time of ­ starting – – drug allergies • Ask a colleague (registered nurse or doctor) to confirm the name, dose, and expiry date of the drug on the vial. • Place the air compressor on a sturdy surface and plug it into the mains. Match the compressor unit gas flow rate with that recommended on the nebuliser chamber. When treating hypercapnic or acidotic patients (for example, patients with COPD), use compressed air not oxygen. If required, therapeutic oxygen can be delivered simultaneously via nasal cannulae. Nebuliser cup Tubing Compressor Mouthpiece Figure 13. Nebuliser set-up. 02-OCSEs-Cardio__Resp_Med_5e ccp.indd 50 18/03/2015 13:21
  • 66.
    Cardiovascular and respiratory medicine 51 Station 20 Drugadministration via a nebuliser • Wash your hands. • Open the vial of drug solution by twisting off the top. • With the syringe, carefully draw up the correct amount of drug solution. • Remove the top part of the nebuliser cup and place the drug solution into it. • Re-attach the top part of the nebuliser cup and connect the mouthpiece or face mask to the nebuliser cup. • Connect the tubing from the air compressor to the bottom of the nebuliser cup. • Switch on the air compressor and ensure that a fine mist is being produced. • Ask the patient to sit up straight. • If using a mouthpiece, ask him to clasp it between his teeth and to seal his lips around it. If using a mask, position it comfortably and securely over his face. • Ask him to take slow, deep breaths through the mouth and, if possible, to hold each breath for 2–3 seconds before breathing out. • Continue until there is no drug left and the nebuliser begins to splutter (about 10 minutes). • Turn the compressor off. • Ask the patient to take several deep breaths and to cough up any secretions. • Ask him to rinse his mouth with water. • Wash your hands. • Sign the prescription chart. If the patient feels dizzy, he should interrupt the treatment and rest for about 5 minutes. After resuming the treatment, he should breathe more slowly through the mouthpiece. After the procedure • Tell the examiner that you would clean and disinfect the equipment. • Sign the drug chart and record the diluent used, and the date, time, and dose of the drug in the medical records. • Indicate that you would have your checking colleague countersign it. • Ask the patient if he has any questions or concerns. • Ensure that he is comfortable. 02-OCSEs-Cardio__Resp_Med_5e ccp.indd 51 18/03/2015 13:21
  • 67.
    Clinical Skills for OSCEs 52 Station 21 Abdominalpain history Before starting • Introduce yourself to the patient. • Confirm his name and date of birth. • Explain that you are going to ask him some questions to uncover the cause of his abdominal pain, and obtain his consent. • Ensure that he is comfortable. Ensure that the patient is nil by mouth (NBM). Acute abdomen is a surgical complaint and the patient must therefore be kept nil by mouth until the need for surgery has been excluded. The history • Name, age, and occupation. Presenting complaint and history of presenting complaint Determine: • Site of pain e.g. right iliac fossa. • Onset and progression. • Character e.g. sharp, dull, aching, burning – allow the patient to use his own words. • Radiation. • Associated symptoms and signs. • Timing and duration. • Exacerbating and alleviating factors. • Severity on a scale of 1 to 10. Ask about: • Systemic signs and symptoms: fever, jaundice, loss of weight or anorexia, effect on everyday life. • Upper GI signs and symptoms: dysphagia, indigestion (heartburn), nausea, vomiting, haemat­ emesis. • Lower GI signs and symptoms: diarrhoea or constipation, melaena or rectal bleeding, steator­ rhoea. • Genitourinary signs and symptoms: frequency, dysuria, haematuria. • Gynaecological signs and symptoms: length of menstrual period, amount of bleeding, pain, intermenstrual bleeding, last menstrual period. Ensure that you explore, and respond to, the patient’s ideas, concerns and expectations (ICE). Past medical history • Previous episodes of abdominal pain. • Current, past, and childhood illnesses. • Previous hospital admissions and surgery. 03-OCSEs-GI_Medicine_and_Urology_5e ccp.indd 52 19/03/2015 12:31
  • 68.
    GI medicine and urology 53 Station 21 Abdominalpain history Drug history • Prescribed medications. Ask specifically about corticosteroids, NSAIDs, antibiotics, and the contraceptive pill. • Over-the-counter medication and herbal remedies. • Recreational drugs. • Allergies. Family history • Parents, siblings, and children. Ask specifically about colon cancer, irritable bowel syndrome, inflammatory bowel disease, jaundice, peptic ulceration, and polyps. Social history • Alcohol consumption. • Smoking. • Recent overseas travel. • Tattoos and piercings. • Employment, past and present. • Housing. • Contact with jaundiced patients. After taking the history • Ask the patient if there is anything that he might add that you have forgotten to ask. • Ask the patient if he has any questions or concerns. • Thank the patient. • State that you would carry out a full abdominal examination and order some key investigations such as urinalysis, serum analysis, and an abdominal X-ray, as appropriate. • Summarise your findings and offer a differential diagnosis. Conditions most likely to come up in an abdominal pain history station Appendicitis: • More common in younger adults. • Diffuse central pain that then shifts into the right iliac fossa. • Aggravated by movement, touch, coughing. • Associated with nausea and vomiting, fever, anorexia. Gastro-oesophageal reflux disease: • Retrosternal burning. • Clear relationship with food and alcohol, but no relationship with effort. • Aggravated by lying down and alleviated by sitting up and by antacids or milk. • May be associated with odynophagia (pain on swallowing) and nocturnal asthma. 03-OCSEs-GI_Medicine_and_Urology_5e ccp.indd 53 19/03/2015 12:31
  • 69.
    Clinical Skills for OSCEs 54 Station 21Abdominal pain history Peptic ulceration: • Severe epigastric pain, during meals in the case of gastric ulcers, and between meals and at night in the case of duodenal ulcers. • Aggravated by spicy food, alcohol, stress. • Associated with bloating, heartburn, nausea and vomiting, anorexia, haematemesis, melaena. • Predisposed to by NSAIDs, alcohol, and smoking. Biliary colic: • Constant but episodic epigastric or right upper quadrant pain that may radiate to the back and shoulders. • Can be provoked by eating a large, fatty meal. • Associated with nausea and vomiting and diarrhoea. • Presence of fever may indicate biliary tract infection (cholecystitis). • Risk factors for gall stones are fat, forty, female, and pregnant or fertile (‘the 4 Fs’), the contraceptive pill, and HRT. Acute pancreatitis: • Acute, severe epigastric pain radiating to the back. • May be alleviated by sitting forward (‘pancreatic position’) or by remaining still. • Associated with nausea and vomiting, diarrhoea, anorexia, fever. Ureteric colic: • Severe pain in the loin that radiates to the groin. • Often colicky but may be constant. • Associated with nausea and vomiting. • Predisposed to by dehydration. Diverticulitis: • Left iliac fossa pain and tenderness. • Aggravated by movement. • Associated with fever, nausea, anorexia, constipation, diarrhoea. • More common in the elderly. Colorectal cancer: • Signs and symptoms may include change in bowel habit, tenesmus, change in stool shape, rectal bleeding, melaena, bowel obstruction leading to constipation, abdominal pain, abdominal distension, and vomiting, fatigue, anorexia, weight loss. Irritable bowel syndrome: • Chronic abdominal pain or discomfort. • Associated with frequent diarrhoea or constipation, bloating, urgency for bowel movements, tenesmus. Remember that basal pneumonia, diabetic ketoacidosis, and an inferior myocardial infarct can also present as abdominal pain. 03-OCSEs-GI_Medicine_and_Urology_5e ccp.indd 54 19/03/2015 12:31
  • 70.
    55 GI medicine and urology Station 22 Abdominal examination Beforestarting • Introduce yourself to the patient. • Confirm his name and date of birth. • Obtain consent to examine his abdomen. • Say to the examiner that you would normally expose the patient from nipples to knees, but that in this case you are going to limit yourself to exposing the patient to the groins. • Position the patient so that he is lying flat on the couch, with his arms at his side and his head supported by a pillow. • Ensure that the patient is comfortable. The examination General inspection • From the end of the couch, observe the patient’s general appearance (age, state of health, nutritional status, and any other obvious signs). • Next observe the surroundings, looking in particular for the presence of a nasogastric tube, intravenous infusion, urinary catheter, drain, or stoma bag. • Inspect the abdomen for its contours and any obvious distension, localised masses, scars, and skin changes. Ask the patient to lift his head up and to cough. This makes hernias more visible and, if the patient has difficulty complying with your instructions, suggests peritonism. Inspection and examination of the hands • Take both hands, noting their temperature and looking for: – – clubbing – – palmar erythema (liver disease) – – nail signs: leukonychia/‘white dash’ (hypoalbuminaemia) and koilonychia/‘spoon-shaped nails’ (iron deficiency) – – Dupuytren’s contracture (cirrhosis, old age; see Figure 15) • Test for asterixis or ‘liver flap’ (hepatic failure) by showing the patient how to extend both arms with the wrists dorsiflexed and the palms facing forwards. Ask him to hold this posture for at least 10 and ideally 30 seconds. Subcostal Flank/loin Lanz Grid iron Mercedes ( ) Roof top/gable ( ) Midline Paramedian Pfannenstiel Hernia J-shaped/’hockey stick’ Figure 14. Abdominal scars. 03-OCSEs-GI_Medicine_and_Urology_5e ccp.indd 55 19/03/2015 12:31
  • 71.
    Clinical Skills for OSCEs 56 Station 22Abdominal examination • Next, feel the pulse for at least 15 seconds and measure the respiratory rate. • Moving up, inspect the arms for bruising, scratch marks, injection track marks, and tattoos (risk of hepatitis). Inspection and examination of the head, neck, and upper body • Ask the patient to look up and then inspect the sclera for jaundice. • Gently retract the eyelid and inspect the conjunctiva for pallor. • Ask the patient to open his mouth, and note any odour on the breath (alcohol, foetor hepaticus, ketones). Inspect the mouth, looking for signs of dehydration, furring of the tongue (loss of appetite), angular stomatitis (nutritional defi­ ciency), atrophic glossitis (iron deficiency, vitamin B12 deficiency, folate deficiency), ulcers (Crohn’s disease), and the state of the dentition. • If you suspect alcoholism or an eating disorder, feel for enlargement of the parotid glands. • Assess the jugular venous pressure (JVP). • Palpate the neck for lymphadenopathy, making sure to take in the left supraclavicular fossa (Virchow’s node, gastric carcinoma). • Examine the upper body for signs of chronic liver disease: gynaecomastia, caput medusae, and spider naevi (more than five is considered abnormal). Palpation of the abdomen Before you begin, ask the patient to identify any area of pain or tenderness. • Sit or kneel beside the patient and use the palmar surface of your fingers to lightly palpate in all nine regions of the abdomen (Figure 16), beginning with the region furthest away from any pain or tenderness. By flexing and extending your metacarpophalangeal joints, palpate for tenderness, rebound tenderness, guarding, and rigidity. Keep looking at the patient’s face for any signs of discomfort. • Repeat the procedure, this time palpating more deeply so as to localise and describe any masses. Figure 15. Dupuytren’s contracture. 03-OCSEs-GI_Medicine_and_Urology_5e ccp.indd 56 19/03/2015 12:31
  • 72.
    GI medicine and urology 57 Station 22 Abdominalexamination Palpation of the organs • Liver – Ask the patient to breathe in and out and, starting in the right iliac fossa, feel for the ­ inferior liver edge using the radial aspect of your index finger. Each time the patient inspires, move your hand closer to the costal margin and press your fingers firmly into the abdominal wall. The inferior liver edge may be felt as the liver descends upon inspiration, and can be ­ described in terms of regularity, nodularity, and tenderness. • Gallbladder – Palpate for tenderness over the tip of the right ninth rib. Positive Murphy’s sign (cholecystitis) is cessation of breathing on inspiration, and wincing, as the tender gallbladder comes into contact with your fingers. • Spleen – Palpate for the spleen as for the liver, once again starting in the right iliac fossa. Press the tips of your fingers firmly against the abdominal wall so that your hand is pointing up and leftwards. If the spleen is enlarged, the splenic notch may be ‘caught’ as the spleen descends upon inspiration. • Kidneys – Position the patient close to the edge of the bed and ballot each kidney using the technique of deep bimanual palpation. Place one hand flat over the anterior aspect of the flank (right hand for left kidney, left hand for right kidney), and press down whilst using the other hand to push the kidney up from below. Midclavicular line Transpyloric plane Intertubercular plane 16.1 16.6 16.5 16.4 16.3 16.2 Figure 16. Regions of the abdomen. 16.1 Epigastric 16.2 Left hypochondriac 16.3 Left lumbar 16.4 Left iliac fossa 16.5 Suprapubic/hypogastric 16.6 Umbilical 03-OCSEs-GI_Medicine_and_Urology_5e ccp.indd 57 19/03/2015 12:31
  • 73.
    Clinical Skills for OSCEs 58 Station 22Abdominal examination • Aorta – Palpate the descending aorta with the tips of your fingers on either side of the midline, just above the umbilicus. Pressing your fingers firmly into the abdominal wall, assess whether the aorta is pulsatile and whether it is expansile, i.e. whether it causes the fingers of your right and left hands to move apart. Percussion • Liver – Percuss out the entire craniocaudal extent of the liver. In the mid-clavicular line, start above the right fifth intercostal space and progress downwards. The normal liver represents an area of dullness which typically extends from the fifth intercostal space to the edge of the costal margin. Beyond this point, the abdomen should be resonant to percussion. • Spleen – As for the liver, percuss the spleen to determine its size. • Bladder – Percuss the suprapubic area for the undue dullness of bladder distension. • ‘Shifting dullness’ – this sign indicates ascites. Percuss down the right side of the abdomen. If an area of dullness is detected, keep two fingers on it and ask the patient to roll over onto his left. After about 30 seconds, re-percuss the area which should now sound resonant. The change in the percussion note reflects the redistribution of ascitic fluid under the effect of gravity. • ‘Fluid thrill’ – this sign indicates severe ascites. Ask the patient to place his hand along the mid­ line of his abdomen. Then place one hand on one flank, and flick the opposite flank with your other hand in an attempt to elicit a thrill. Auscultation Auscultate over: • The mid-abdomen or ileocaecal valve for bowel sounds (Table 10). Listen for 30 seconds before concluding that they are normal, hyperactive, hypoactive, or absent. • The abdominal aorta for aortic bruits suggestive of arteriosclerosis or an aneurysm. • 2.5 cm above and lateral to the umbilicus for renal artery bruits suggestive of renal artery ­ stenosis. Table 10. Principal causes of altered bowel sounds Hypoactive • Constipation. • Drugs such as anticholinergics and opiates. • General anaesthesia. • Abdominal surgery. • Paralytic ileus (absent bowel sounds). Hyperactive • Diarrhoea of any cause. • Inflammatory bowel disease. • GI bleeding. • Mechanical bowel obstruction (high pitched bowel sounds). After the examination • Cover up the patient and thank him. Enquire about and address any concerns that he may have. • Indicate to the examiner that you would normally test for pedal oedema, examine the hernia orifices and the external genitalia, and carry out a digital rectal examination. You would also look at the observations chart, dipstick the urine, and consider investigations such as ultra­ sound scan, FBC, LFTs, UEs, clotting screen, pregnancy test, and urine drug screen. • Summarise your findings and offer a differential diagnosis. 03-OCSEs-GI_Medicine_and_Urology_5e ccp.indd 58 19/03/2015 12:31
  • 74.
    GI medicine and urology 59 Station 22 Abdominalexamination Conditions most likely to come up in an abdominal examination station Chronic liver disease: Wilson’s disease • May result from alcoholic liver disease, viral hepatitis, right heart failure, haemochromatosis, Wilson’s disease. • Signs may include clubbing, palmar erythema, leukonychia, metabolic flap, hyperventilation, bruising, jaundice, gynaecomastia, spider naevi, caput medusae, scratch marks, hepatomegaly, ascites, pedal oedema, Dupuytren’s contracture (alcohol), tattoos (hepatitis C), signs of right heart failure such as raised JVP and pedal oedema, bronzing of the skin (haemochromatosis), Kayser–Fleischer rings (Wilson’s disease). Splenomegaly: • Causes include portal hypertension (usually complicating liver cirrhosis), lymphoproliferative and myeloproliferative diseases, haemolytic anaemias, and infections such as infectious mononucleosis/glandular fever and malaria. Polycystic kidney Renal transplant Scars Hernias (see Station 24) 03-OCSEs-GI_Medicine_and_Urology_5e ccp.indd 59 19/03/2015 12:31
  • 75.
    Clinical Skills for OSCEs 60 Station 23 Rectalexamination Rectal examination is commonly indicated in cases of rectal or GI bleeding (suspected or actual), severe constipation, faecal or urinary incontinence, anal or rectal pain, suspected enlargement of the prostate gland, and urethral discharge or bleeding. It can also be used to screen for cancers of the rectum, colon, and prostate. Specifications: A plastic model in lieu of a patient. Before starting • Introduce yourself to the patient. • Confirm his name and date of birth. • Explain the procedure to him, emphasising that it might be uncomfortable but that it should not be painful, and obtain his consent. • Ask for a chaperone. • Ensure privacy. • Ask the patient to lower his trousers and underpants. • Ask him to lie on his left side, to bring his buttocks to the side of the couch, and to bring his knees up to his chest (Sims’ or left lateral recumbent position). The examination • Put on a pair of gloves. • Gently separate the buttocks and inspect the anus and surrounding skin. In particular, look out for skin tags, excoriations, ulcers, fissures, external haemorrhoids, prolapsed haemorrhoids, and mucosal prolapse. • Lubricate the index finger of your right hand. • Position the finger over the anus, as if pointing to the genitalia. • Ask the patient to bear down so as to relax the anal sphincter. • Gently insert the finger into the anus, through the anal canal, and into the rectum (Figure 17). Anal canal Prostate Rectum Bladder Penis Urethra Scrotum Figure 17. Digital rectal examination. 03-OCSEs-GI_Medicine_and_Urology_5e ccp.indd 60 19/03/2015 12:31
  • 76.
    GI medicine and urology 61 Station 23 Rectalexamination Note any pain upon insertion. • Test anal tone by asking the patient to squeeze your finger. • Rotate the finger so as to palpate the entire circumference of the anal canal and rectum. Feel for any masses, ulcers, or induration and for faeces in the rectum. If there are any faeces in the rectum, assess their consistency. – – in males, pay specific attention to the size, shape, surface, and consistency of the prostate gland. Assess whether the midline groove is palpable – – in females, the cervix and uterus may be palpable • Remove the finger and examine the glove. In particular look at the colour of any stool, and for the presence of any mucus or blood. • Remove and dispose of the gloves. After the examination • Clean off any lubricant or faeces on the anus or anal margin. • Give the patient time to put his clothes back on. • Ensure that he is comfortable. • Address any questions or concerns that he may have. • Present your findings to the examiner, and offer a differential diagnosis. Conditions most likely to come up in a rectal examination station Benign prostatic hypertrophy (BPH): • In BPH the prostate is enlarged in size (3.5 cm) and slightly distorted in shape, but it is still rubbery and firm, with a smooth surface and a palpable midline groove. Prostate carcinoma • In prostate carcinoma, the prostate is also enlarged and asymmetrical, but this time it is hard and irregular/nodular and the midline groove may no longer be palpable. 03-OCSEs-GI_Medicine_and_Urology_5e ccp.indd 61 19/03/2015 12:31
  • 77.
    Clinical Skills for OSCEs 62 Station 24 Herniaexamination Inguinal anatomy Figure 18. The inguinal canal runs along the inguinal ligament, from the internal (deep) ring to the external (superficial) ring. The inguinal ligament stretches from the anterior superior iliac spine to the pubic tubercle. The internal ring lies approximately 1.5 cm superior to the femoral pulse, itself in the midline of the inguinal ligament. The external ring lies immediately superior and medial to the pubic tubercle. NAVY: Nerve, Artery, Vein, Y-fronts. Definition of a hernia A hernia is defined as the protrusion of an organ or part thereof through a deficiency in the wall of the cavity in which it is contained. There are many different types of hernia but the ones that are most likely to be examined and discussed in an OSCE are indirect and direct inguinal hernias and femoral hernias. Their principal differentiating features are summarised in Table 11. The differential diagnosis of a lump in the groin is listed in Table 12. Table 11. Principal differentiating features of indirect and direct inguinal and femoral hernias Indirect hernia (through inguinal canal) Direct hernia (through Hesselbach’s triangle) Femoral hernia (below inguinal ligament) • Neck of hernia is superior to the inguinal ligament/pubic tubercle and lateral to the inferior epigastric vessels. • Accounts for 80% of inguinal hernias. • Irreducible. • Can strangulate. • Neck of hernia is superior to the inguinal ligament/ pubic tubercle and medial to the inferior epigastric vessels. • Accounts for 20% of inguinal hernias. • Easily reducible. • Rarely strangulates. • Neck of hernia is inferior and lateral to the inguinal ligament pubic tubercle. • Higher incidence in females, but still less common overall. • Often irreducible. • Frequently strangulates. Indirect inguinal hernia Femoral hernia Vein Artery Nerve Muscle Inguinal ligament External inguinal ring Internal inguinal ring 03-OCSEs-GI_Medicine_and_Urology_5e ccp.indd 62 19/03/2015 12:31
  • 78.
    GI medicine and urology 63 Station 24 Herniaexamination Table 12. Differential diagnosis of a lump in the groin Superior to the inguinal ligament Inferior to the inguinal ligament • Indirect or direct inguinal hernia. • Incisional hernia. • Sebaceous cyst. • Lipoma. • Undescended testis. • Femoral hernia. • Lymph node. • Sebaceous cyst. • Lipoma. • Saphena varix. • Femoral artery aneurysm. • Psoas abscess (rare). • Undescended testis. • Scrotal mass (see Station 27). Before starting • Introduce yourself to the patient. • Explain the examination and obtain consent. • Ask for a chaperone. • Ask the patient to lie on the couch and to expose his abdomen from the umbilicus to the knees. • Ensure that he is comfortable. • Warm up your hands. Ensure the patient’s dignity at all times. The examination Inspection and palpation • Inspect the groins (both sides!) for an obvious lump. If a lump is visible, determine its location in relation to its surrounding anatomical landmarks. Also determine its size, shape, colour, consist­ ency, and mobility. Is it tender to touch? Can it be transilluminated? (See Station 9: Examination of a superficial mass and of lymph nodes.) • Look for old surgical scars (incisional hernia). • Ask the patient to stand up and look again. Cough impulse and cough tests (The patient is still standing.) • Ask the patient to cough and look again. • Test the lump for a cough impulse. Place two fingers over the lump and ask the patient to cough once more. • If you are satisfied that the lump is an inguinal hernia, ask the patient to reduce the lump. Once the lump is fully reduced, place two fingers over the internal ring and ask the patient to cough. – – if the lump does not reappear it is an indirect inguinal hernia. Release your fingers and ask the patient to cough again – – if the lump reappears medially it is a direct inguinal hernia • Once again ask the patient to reduce the lump. This time place two fingers over the external ring and ask the patient to cough. 03-OCSEs-GI_Medicine_and_Urology_5e ccp.indd 63 19/03/2015 12:31
  • 79.
    Clinical Skills for OSCEs 64 Station 24Hernia examination – – if the lump does not reappear it is a direct inguinal hernia. Release your fingers and ask the patient to cough again – – if the lump reappears laterally it is an indirect inguinal hernia • Percuss the lump for resonance (bowel involvement). • Auscultate the lump for bowel sounds (bowel involvement). Figure 19. The cough test with two fingers over the internal ring (A) and then over the external ring (B). After the examination • Indicate that you would also examine the femoral pulses, inguinal lymph nodes, and scrotum. • Cover up the patient. • Ensure that he is comfortable. • Thank him. • Summarise your findings and offer a differential diagnosis. Don’t fret over your diagnosis as even experienced surgeons are notoriously poor at differentiating between indirect and direct inguinal hernias. Apart from inguinal and femoral hernias, other (more rare) types of hernia are epigastric hernias that occur in the epigastric area in the midline, Spigelian or semilunar her­ nias that occur on the outer border of the rectus muscles, umbilical and paraumbilical hernias that occur at or around the navel, and incisional hernias that occur at the site of an old surgical incision. • Wash your hands. Direct hernia (A) (B) Indirect hernia Direct hernia Indirect hernia 03-OCSEs-GI_Medicine_and_Urology_5e ccp.indd 64 19/03/2015 12:31
  • 80.
    65 GI medicine and urology Station 25 Nasogastric intubation Specifications:A mannequin in lieu of a patient. Choice of NG tube Nasogastric (NG or Ryle’s) tubes can be used for feeding or drug administration, to decompress the stomach, to obtain a sample of gastric fluid, or to drain the stomach’s contents (e.g. after an overdose or if emergency surgery is required). If the tube is being used for aspiration or drainage, a gauge of 10 or greater is required. If not, a fine bore tube should be preferred. The equipment • A pair of non-sterile gloves • Tape • An NG tube of appropriate size • Stethoscope • K-Y/lubricant jelly • A 20 ml syringe and some pH paper • Xylocaine spray • A spigot or catheter bag • A glass of water with a straw • A vomit bowl Before starting • Introduce yourself to the patient. • Explain the need for an NG tube and the procedure for inserting it, and ensure consent. • Position the patient upright and ask about nostril preference/examine the nostrils. • Ensure that the patient is comfortable. The procedure • Gather the equipment. • Wash your hands and don the gloves. • Measure the length of NG tube to be inserted by placing the tip of the tube at the nostril and extending the tube behind the ear and then to two fingerbreadths above the umbilicus. • Lubricate the tip of the NG tube with K-Y jelly. • Spray the preferred nostril with xylocaine or indicate that you would do so. • Insert the NG tube into the preferred nostril and slide it along the floor of the nose into the nasopharynx (aim straight back towards the occiput). • Ask the patient to tilt his head forward and to swallow some water through a straw as you con­ tinue to advance the tube through the pharynx and oesophagus and into the stomach. Each time the patient swallows, advance the tube a little bit further. • If the patient coughs or gags, slightly withdraw the tube and leave him some time to recover. • Insert the tube to the required length. • Ensure that the tip of the tube is in the stomach. – – inject 20 ml of air into the tube and listen over the epigastrium with your stethoscope – – pull back on the plunger to aspirate stomach contents. Test the aspirate with pH paper to confirm its acidity (pH 6). If a fine-bore tube has been inserted, it may not be possible to aspirate stomach contents – – request a chest X-ray or indicate that you would do so • Tape the tube to the nose and to the side of the face. • Attach a spigot or catheter bag to the NG tube. 03-OCSEs-GI_Medicine_and_Urology_5e ccp.indd 65 19/03/2015 12:31
  • 81.
    Clinical Skills for OSCEs 66 Station 25Nasogastric intubation After the procedure • Ask the patient if he has any questions or concerns. • Ensure that he is comfortable. • Thank him. • Make an entry in the patient’s notes confirming that the NG tube has been successfully placed. [Note] The principal complications of NG tube insertion are aspiration and tissue trauma. 03-OCSEs-GI_Medicine_and_Urology_5e ccp.indd 66 19/03/2015 12:31
  • 82.
    67 GI medicine and urology Station 26 Urological history Beforestarting • Introduce yourself to the patient. • Confirm his name and date of birth. • Explain that you are going to ask him some questions to uncover the nature of his urological complaint, and obtain consent. • Ensure that he is comfortable. The history • Name, age, and occupation. Presenting complaint and history of presenting complaint • Ask about the main presenting complaint. Ask open questions. • Elicit the patient’s ideas, concerns, and expectations. • Determine the time course of events and the severity of the problem. • Ask specifically about: – – pain: for any pain, ask about site, onset, character, radiation, associated factors, timing (duration), exacerbating and relieving factors, and severity – – fever – – frequency: “Are you passing water more often than usual?” – – nocturia: “Do you find yourself waking up in the middle of the night to pass water?” “How often?” – – urgency: “When you need to pass water, how long can you wait?” – – incontinence: “Are there times when it can no longer wait and you end up going there and then?” – – dysuria: “When you pass water, is there any pain or burning?” – – haematuria: “When you pass water, is there any blood in your urine? Does it colour all of your urine or only some of it?” – – hesitancy, poor stream and terminal dribbling (if male): “When you are standing at the toilet do you have to wait before you are able to pass water? Is the jet as strong as it ever was? What about after, does urine continue to trickle out?” – – back pain, leg weakness, fatigue, weight loss, nausea, anorexia, itching – – vaginal/urethral discharge, genital sores – – testicular masses, testicular pain – – sexual dysfunction – – sexual contacts Past medical history • Past urological problems. • Ask specifically about UTI, renal colic, diabetes mellitus, hypertension and vascular disease, and gout. • Current, past, and childhood illnesses. • Surgery. Drug history • Prescribed medication including anticholinergics and anticoagulants. • Over-the-counter medication. • Recreational drugs. • Allergies. 03-OCSEs-GI_Medicine_and_Urology_5e ccp.indd 67 19/03/2015 12:31
  • 83.
    Clinical Skills for OSCEs 68 Station 26Urological history Family history • Parents, siblings, and children. In particular, has anyone in the family had a similar problem? • Ask specifically about polycystic kidney disease and bladder cancer. Social history • Employment. Has the patient ever worked with chemicals or dyes? • Housing. • Travel. • Alcohol consumption. • Smoking. After taking the history • Ask the patient if there is anything he might add that you have forgotten to ask about. • Thank the patient. • State that you would carry out abdominal and genital examinations and order some key inves­ tigations, e.g. urine dipstick, urine microscopy and culture, UEs, PSA levels, cystoscopy, CT KUB (Kidney, Ureter, Bladder). • Summarise your findings and offer a differential diagnosis. Conditions most likely to come up in a urological history station Urinary tract infection: • Most common in young females. • Common symptoms are frequency, urgency, dysuria, haematuria, and a pressure above the pubic bone. • If the infection is above the bladder, there may be fever, nausea, and back pain. • There may be a history of recent sexual intercourse. Benign prostatic hypertrophy: • Most common in elderly males. • Common symptoms are frequency, nocturia, urgency, incontinence, hesitancy, poor stream and intermittency, and terminal dribbling. Prostate carcinoma: • Most common in elderly males. • Symptoms, when present, are similar to those seen in benign prostatic hypertrophy with the possible addition of dysuria, haematuria, sexual dysfunction, weight loss, and bone pain. • There may be a family history. Bladder carcinoma: • Three to four times more common in males than in females. • More common in the elderly. • Painless haematuria is characteristic, but there may also be dysuria and/or frequency. • Associated with smoking and occupational exposure to chemicals and dyes. Renal calculus: • More common in males than in females. • Severe pain in the loin that radiates to the groin. • the pain is often colicky but it may be constant. • The pain may be associated with nausea and vomiting. • Haematuria is a common finding. • Dehydration is a common predisposing factor. 03-OCSEs-GI_Medicine_and_Urology_5e ccp.indd 68 19/03/2015 12:31
  • 84.
    69 GI medicine and urology Station 27 Male genitaliaexamination Specifications: You may be asked to examine the male genitalia on a real patient or, more likely, on a pelvic mannequin. Before starting • Introduce yourself to the patient. • Confirm his name and date of birth. • Explain the examination and obtain consent. • Ask for a chaperone. • Ask the patient to lie on the couch and expose his groin area. • Ensure that he is comfortable. Ensure the patient’s comfort and dignity at all times. The examination General inspection • From the end of the couch observe the patient’s general appearance. The patient’s age can give you an indication of the most likely pathology. • In particular, note the distribution of facial, axillary, and pubic hair. • Look for gynaecomastia. Inspection and examination of the male genitalia Penis • Inspect the penis for lesions and ulcers. • Retract the foreskin and examine the glans penis and the external urethral meatus for red patches and vesicles. Is there a discharge? Can a discharge be expressed? If there is a discharge, indicate that you would swab it for microscopy and culture. Remember to replace the foreskin. Scrotum • Inspect the scrotum for redness, swelling, and ulcers. Are the testicles present? Is their lie nor­ mal? If a testicle is absent, is it retracted or undescended? If you find a scar, the absent testicle may have been surgically removed. • Be conscious of the patient’s face in case of pain, and palpate: – – the testis – – the epididymis – – the spermatic cord • If you locate a mass, try to get above it. If you cannot, it is likely to be a hernia so test for a cough impulse (see Station 24). Determine the size, shape and consistency of the mass. • Next, transilluminate the mass using a pen torch. Is it a cyst or a solid mass? If it is a cyst, is it a hydrocoele or an epididymal cyst? If it is a solid mass, is it tender? Is it testicular or epididymal? • If you suspect a varicocoele, a collection of varicosities in the pampiniform venous plexus, ex­ amine the patient in the standing position and test for a cough impulse. Note that varicocoeles are almost invariably left-sided. 03-OCSEs-GI_Medicine_and_Urology_5e ccp.indd 69 19/03/2015 12:31
  • 85.
    Clinical Skills for OSCEs 70 Station 27Male genitalia examination Figure 20. Normal testis and appendages (A), hydrocoele (B), epididymal cyst (C), and varicocoele (D). Examination of the lymphatics • Palpate the inguinal nodes in the inguinal crease. Remember that only the penis and scrotum drain to the inguinal nodes, as the testicles drain to the para-aortic lymph nodes. After the examination • Cover up the patient. • Thank the patient. • Ensure that he is comfortable. • Summarise your findings and offer a differential diagnosis. • Consider a rectal examination to examine the prostate. • Consider an ultrasound scan if you detect a bulky or painful mass in the scrotum or cannot palpate the testes. [Note] Incasesofanacutelytendertesticle,testiculartorsion,whichisasurgicalemergency,mustberuledout.Epididymo- orchitis also presents as an acutely tender testicle, with the patient requiring admission for IV antibiotics. Conditions most likely to come up in a male genitalia examination station Hydrocoele: • collection of fluid in the tunica vaginalis surrounding the testis. • presents as unilateral (or less commonly bilateral) scrotal swelling. • not tender. • fluctuant. • transilluminant. Epididymal cyst: • arises in the epididymis. • epididymal cysts may be multiple and bilateral. • unlike in a hydrocoele, the testis is palpable quite separately from the cyst. • smooth and fluctuant. • transilluminant. Varicocoele: • dilated veins along the spermatic cord. • almost invariably left-sided. • ‘bag of worms’ upon palpation. • there may be a cough impulse. • likely to disappear upon lying down. Direct inguinal hernia (see Station 24) (B) Spermatic artery vein (A) Epididymis Tunica vaginalis (C) (D) 03-OCSEs-GI_Medicine_and_Urology_5e ccp.indd 70 19/03/2015 12:31
  • 86.
    71 GI medicine and urology Station 28 Male catheterisation Specifications:A male anatomical model in lieu of a patient. Before starting • Introduce yourself to the patient. • Confirm his name and date of birth. • Explain the procedure and obtain his consent. • Position him flat on the couch with legs apart and groin exposed. The equipment On a clean trolley, gather: • A catheterisation pack • A 12–16 french Foley catheter • Saline solution • A catheter bag • Two pairs of sterile gloves • A 10 ml syringe containing sterile water • A 10 ml pre-filled syringe • Adhesive tape containing 2% lignocaine gel (Instillagel®) The procedure • Gather the equipment (a male catheter is longer than a female one). • Check the expiry date of the catheter. • Open the catheter pack aseptically onto a trolley, attach the yellow bag to the side of the trolley, and pour saline solution into the receiver. • If pre-filled syringes are not provided with the pack, draw up 10 ml sterile water and 10 ml lignocaine gel into separate syringes. • Wash and dry your hands. • Put on sterile gloves. • Drape the patient. Some recommend tearing an appropriately sized hole into the drape and passing the penis through it. • Place a collecting vessel in the patient’s entre-jambes/crotch. • With your non-dominant hand, hold the penis with a sterile swab. • With your dominant hand, retract the foreskin and clean the area around the urethral meatus with saline-soaked swabs. • Instil 10 ml of lignocaine gel into the urethra. Hold the urethral meatus closed. • Indicate that the anaesthetic needs about 5 minutes to work. • Change into a new pair of sterile gloves. • Hold the penis so that it is vertical. • Holding the catheter by its sleeve, gently and progressively insert it into the urethra. Upon feel­ ing resistance from the prostate, hold the penis horizontally so as to facilitate insertion. • Once a stream of urine is obtained, inject 10 ml of sterile water to inflate the catheter’s balloon, continually ensuring that this does not cause the patient any pain. • Gently retract the catheter until a resistance is felt. • Attach the catheter bag. • Reposition the foreskin. • Tape the catheter to the thigh. 03-OCSEs-GI_Medicine_and_Urology_5e ccp.indd 71 19/03/2015 12:31
  • 87.
    Clinical Skills for OSCEs 72 Station 28Male catheterisation After the procedure • Ensure that the patient is comfortable. • Thank the patient. • Discard any rubbish. • Record the date and time of catheterisation, type and size of catheter used, and volume of urine in the catheter bag. Examiner’s questions Indications for catheterisation: • hygienic care of bedridden patients. • monitoring of urine output. • acute urinary retention. • chronic obstruction. • collection of a specimen of uncontaminated urine. • irrigation of the bladder. • imaging of the urinary tract. Contraindications: • pelvic trauma. • previous stricture. • previous failure to catheterise. • severe phimosis. Complications: • paraphimosis (from failure to reposition the foreskin). • urethral perforation and creation of false passages. • bleeding. • infection. • urethral strictures. 03-OCSEs-GI_Medicine_and_Urology_5e ccp.indd 72 19/03/2015 12:31
  • 88.
    73 GI medicine and urology Station 29 Female catheterisation Specifications:A female anatomical model in lieu of a patient. Before starting • Introduce yourself to the patient. • Confirm her name and date of birth. • Explain the procedure and obtain her consent. • Ask her to undress from the waist down and place a sheet over her. The equipment On a clean trolley, gather: • Two pairs of sterile gloves • A 10 ml pre-filled syringe containing 2% lignocaine gel • A catheterisation pack (Instillagel)® • Saline solution • A 10 ml syringe containing sterile water • A 12–16 french Foley catheter • A catheter bag • Adhesive tape The procedure • Gather the equipment. • Open the catheter pack aseptically onto a trolley, attach the yellow bag to the side of the trolley, and pour antiseptic solution into the receiver. • If pre-filled syringes are not provided with the pack, draw up 10 ml sterile water and 10 ml lignocaine into separate syringes. • Wash and dry your hands. • Put on a pair of sterile gloves. • Ask the patient to remove her sheet and lie flat on the couch, bringing her heels to her buttocks and then letting her knees flop out. • Drape the patient. • Place a collecting vessel in the patient’s entre-jambes/crotch. • Use your non-dominant hand to separate the labia minora. • Clean the area around the urethral meatus with saline-soaked swabs. • Coat the end of the catheter with lignocaine gel and instil 5 ml of lignocaine into the urethra. • Indicate that the anaesthetic needs about 5 minutes to work. • Change into a new pair of sterile gloves. • Holding the catheter by its sleeve, gently and progressively insert it into the urethra. • Once a stream of urine is obtained, inject 10 ml of sterile water to inflate the catheter’s ­ balloon, continually ensuring that this does not cause the patient any pain. • Gently retract the catheter until a resistance is felt. • Attach the catheter bag. • Tape the catheter to the thigh. 03-OCSEs-GI_Medicine_and_Urology_5e ccp.indd 73 19/03/2015 12:31
  • 89.
    Clinical Skills for OSCEs 74 Station 29Female catheterisation After the procedure • Ensure that the patient is comfortable. • Thank the patient. • Discard any rubbish. • Record the date and time of catheterisation, type and size of catheter used, volume of water used to inflate the balloon, and volume of urine in the catheter bag. Figure 21. Preparing to insert the catheter. 03-OCSEs-GI_Medicine_and_Urology_5e ccp.indd 74 19/03/2015 12:31
  • 90.
    75 Neurology Station 30 History ofheadaches ‘I’m very brave generally’, he went on in a low voice: ‘only today I happen to have a headache’. Lewis Carroll, Through the Looking Glass Before starting • Introduce yourself to the patient. • Confirm his name and date of birth. • Explain that you are going to ask him some questions to uncover the nature of his headaches, and obtain consent. • Ensure that he is comfortable. The history • Name, age, and occupation. Presenting complaint and history of presenting complaint First use open questions to get the patient’s history, and elicit his ideas, concerns, and expectations. Rule out head injury before enquiring about the pain: • Site. Ask the patient to point to the site of the pain. • Onset. • Character, for example, sharp, dull, throbbing, band-like constriction. • Radiation. • Associated factors: – – nausea and vomiting – – visual disturbances such as double vision and fortification spectra – – photophobia – – fever, chills – – weight loss – – rash – – scalp tenderness – – neck pain, stiffness – – myalgia – – rhinorrhoea, lacrimation – – altered mental status – – neurological deficit (weakness, numbness, ‘pins and needles’) • Timing and duration. • Exacerbating and relieving factors; for example, activity, stress, eye strain, caffeine, alcohol, dehydration, hunger, certain foods, coughing/sneezing). • Severity. Ask the patient to rate the pain on a scale of 1 to 10, and determine the effect that it is having on his life. 04-OCSEs-Neurology_5e ccp.indd 75 19/03/2015 12:34
  • 91.
    Clinical Skills for OSCEs 76 Station 30History of headaches Past medical history • Current, past, and childhood illnesses. • Ask specifically about headache, migraine, hypertension, cardiovascular disease, and travel sickness as a child. • Surgery. Drug history • Prescribed medication. Ask specifically about withdrawal from NSAIDs, opioids, glyceryl trinitrate, and calcium channel blockers. • Over-the-counter medication. • Recreational drugs. • Allergies. Family history • Parents, siblings, and children. • Ask about migraine and travel sickness. Social history • Employment, past and present. • Housing. • Mood. Depression is a common cause of headaches. • Smoking. • Alcohol use. Alcohol is a common cause of headaches. • Diet: tea and coffee, cheese and yoghurt, chocolate. After taking the history • Ask the patient if there is anything he might like to add that you have forgotten to ask about. • Ask him if he has any questions or concerns. • Thank him. • Summarise your findings and offer a differential diagnosis. • State that you would like to carry out a physical examination and some investigations to con- firm your diagnosis and exclude life-threatening causes of headaches (see box below). 04-OCSEs-Neurology_5e ccp.indd 76 19/03/2015 12:34
  • 92.
    Neurology 77 Station 30 Historyof headaches Conditions most likely to come up in a history of headaches station Tension headaches: • constant pressure, ‘as if the head were being squeezed in a vice’. • pain typically last 4–6 hours but this is highly variable. • may be precipitated by stress, eye strain, sleep deprivation, bad posture, irregular meal times. Cluster headaches (‘suicide headaches’): • excruciating unilateral headache that is of rapid onset. • located in the periorbital or temple area, may radiate to the neck or shoulder. • associated with autonomic symptoms such as ptosis, conjunctival injection, lacrimation. • each headache lasts from 15 minutes to 3 hours. • headaches most often occur in ‘clusters’: once or more every day, often at the same time of day, for a period of several weeks. Migraines: • unilateral, dull, throbbing headache lasting from 4 to 72 hours. • may be aggravated by activity. • associated with nausea, vomiting, photophobia, phonophobia. • about half experience prodromal symptoms such as altered mood, irritability, or fatigue several hours or days before the headache. • about one-third experience an aura, commonly consisting of visual disturbances or neurological symptoms, before or along with the headache. • frequency of headaches varies considerably, but average is about 1–3 a month. Cranial arteritis: • unilateral pain in the temporal region. • associated with scalp tenderness, jaw claudication, blurred vision, and tinnitus. • three times more common in females. • mean age of onset is 70 years. • urgent treatment is required to prevent sudden loss of vision. Cervical spondylosis: • occipital headaches associated with cervical pain. • cervical pain may radiate to the base of the skull, shoulder, or hand and fingers. • may be associated with weakness, numbness, or pins and needles in the arms and hands. Meningitis: • severe and bilateral headache. • may be associated with high fever, neck stiffness, photophobia, phonophobia, altered mental status. Subarachnoid haemorrhage: • thunderclap headache (‘like being kicked in the head’) that is of very rapid onset. • may be associated with vomiting, altered mental status, neck stiffness, photophobia, visual disturbances, seizures. Raised intracranial pressure • dull, throbbing headache associated with vomiting, ocular palsies, visual disturbances, altered mental status. • may be worse in the morning and may wake the patient up from sleep. • aggravated by coughing and head movement. • alleviated by standing. Sinusitis: • dull and constant headache or facial pain over the sinuses. • may be associated with flu-like symptoms and facial tenderness. • may be aggravated by bending over or lying down. Trigeminal neuralgia: • intense unilateral facial pain (‘like stabbing electric shocks’) lasting from seconds to minutes. • may occur several times a day. • triggered by common activities such as eating, talking, shaving, and tooth-brushing. • may be associated with a trigger area on the face. 04-OCSEs-Neurology_5e ccp.indd 77 19/03/2015 12:34
  • 93.
    Clinical Skills for OSCEs 78 Station 31 Historyof ‘funny turns’ Before starting • Introduce yourself to the patient. • Confirm his name and date of birth. • Explain that you are going to ask him some questions to uncover the cause of his collapse, and obtain consent. • Ensure that he is comfortable. The history • Name, age, and occupation. Presenting complaint and history of presenting complaint First use open questions to get the patient’s story, and elicit their ideas, concerns and expectations. Think about the common causes of a funny turn, as these should inform your line of questioning. Ask about: • Whether the patient remembers falling. • If the fall was witnessed and if a collateral history is available. • The circumstances of the fall: – – had the patient just arisen from bed? (postural hypotension) – – had the patient just suffered an intense emotion? (vasovagal syncope) – – had the patient been coughing or straining? (situational syncope) – – had the patient been turning or extending his neck? (carotid sinus syncope) – – had the patient been exercising? (arrhythmia) – – did the patient have any palpitations, chest pain, or shortness of breath? (arrhythmia) • Any loss of consciousness and its duration. • Prodromal symptoms such as aura, change in mood, strange feeling in the gut, sensation of déjà vu. • Fitting, frothing at the mouth, tongue biting, incontinence. • Headache or confusion, or amnesia upon recovery. • Injuries sustained, especially head injury. • Previous episodes. Past medical history • Current, past, and childhood illnesses. Ask specifically about epilepsy, hypertension, heart prob- lems, stroke, diabetes (autonomic neuropathy), cervical spondylosis, and arthritis. • Surgery. Drug history • Prescribed medication. Drugs such as antipsychotics, tricyclic antidepressants, and antihyper- tensives can cause postural hypotension. Insulin can cause hypoglycaemia. • Over-the-counter medication. • Recreational drugs. • Recent changes in medication. 04-OCSEs-Neurology_5e ccp.indd 78 19/03/2015 12:34
  • 94.
    Neurology 79 Station 31 Historyof ‘funny turns’ Family history • Parents, siblings, and children. • Ask specifically about epilepsy and heart problems. Social history • Smoking. • Alcohol use. • Employment, past and present. • Housing. • Effect of falls on patient’s life. After taking the history • Ask the patient if there is anything he might add that you have forgotten to ask about. • Ask him if he has any questions or concerns. • Thank him. • Summarise your findings and offer a differential diagnosis. • State that you would like to carry out a physical examination and some investigations to con- firm your diagnosis. Conditions most likely to come up in a history of ‘funny turns’ station Simple faint: • loss of consciousness lasting from a few seconds to a few minutes is preceded by nausea, sweatiness, dizziness or tightness in the throat. • provoked by stressful, anxiety-provoking, or painful situations (vasovagal syncope), by coughing or straining (situational syncope), or by applying pressure upon the carotid sinus, for example, by wearing a tight collar, turning the head, or shaving (carotid sinus syncope). Postural hypotension: • loss of consciousness preceded by dizziness, light-headedness, confusion, or blurry vision. • provoked by postural change. • causes include hypovolaemia (e.g. dehydration, bleeding, diuretics, vasodilators), drugs (e.g. tricyclic antidepressants, antipsychotics, alpha blockers), and certain medical conditions (e.g. diabetes, Addison’s disease). 04-OCSEs-Neurology_5e ccp.indd 79 19/03/2015 12:34
  • 95.
    Clinical Skills for OSCEs 80 Station 31History of ‘funny turns’ Arrhythmia (cardiac syncope): • may be either a bradycardia or tachycardia. • may be provoked by exertion. • may be associated with palpitations, chest pain, shortness of breath, fatigue. • history of heart disease/risk factors for heart disease are very likely. • patient should be hospitalised and placed on a cardiac monitor to rule out ventricular tachycardia, which can result in sudden death. • less commonly, cardiac syncope can be caused by an obstructive cardiac lesion such as aortic or mitral stenosis. Generalised tonic-clonic seizure: • sudden loss of consciousness accompanied by fitting, frothing at the mouth, tongue biting, incontinence. • seizure lasts for about 2 minutes. • seizure is followed by confusion and amnesia. • seizure may be preceded by an aura which may involve déjà vu, dizziness, unusual emotions, altered sense perceptions, or other symptoms. Transient ischaemic attack: • most frequent symptoms include loss of vision, aphasia, unilateral hemiparesis, and unilateral paraesthesia. • symptoms last for a few seconds to a few minutes and never for more than 24 hours (by definition). • loss of consciousness can occur, although it is very uncommon. 04-OCSEs-Neurology_5e ccp.indd 80 19/03/2015 12:34
  • 96.
    81 Neurology Station 32 Cranial nerveexamination Specifications: You may be asked to limit your examination to certain cranial nerves only, e.g. I–VI, VII–XII. Before starting • Introduce yourself to the patient. • Confirm his name and date of birth. • Explain the examination and obtain his consent. • Ensure that he is comfortable. The examination The olfactory nerve (CN I) • Ask the patient if he has noticed a change in his sense of smell or taste. If he has, indicate that you would perform an olfactory examination by asking him to smell different scents, such as mint or coffee. Otherwise, the olfactory nerve is not formally tested. The optic nerve (CN II) (See Station 51: Vision and the eye examination for more details.) • Ask the patient whether he wears glasses. If he does, ask him to put them on. • Ask about any changes in vision and the time frame over which they have occurred. Use the mnemonic AFRO C (Acuity, Fields, Reflexes, Ophthalmoscopy/Fundoscopy, and Colour vision) to guide you through the following steps. • Acuity: Use a Snellen chart from a distance of 6 metres and test near vision by asking the patient to read test types (or a page in a book). • Fields: Sit directly opposite the patient, at the same level as him. Ask him to look straight at you and to cover his right eye with his right hand. Cover your left eye with your left hand, and test the visual field of his left eye with your right hand. Bring a wiggly finger into the upper left quadrant, asking the patient to say when he sees the finger. Repeat for the lower left quadrant. Then swap hands and test the upper and lower right quadrants. Now ask the patient to cover his left eye with his left hand. Cover your right eye with your right hand and test the visual field of his right eye with your left hand. Bring a wiggly finger into the upper right quadrant, asking the patient to say when he sees the finger. Repeat for the lower right quadrant. Then swap hands and test the upper and lower left quadrants. • Indicate that you could use a red hat pin to uncover the blind spot and the presence of a central scotoma. • Reflexes: See under CN III, IV and VI testing. • Indicate that you could examine the eyes by direct ophthalmoscopy/fundoscopy. • Indicate that you could test red/green colour vision with Ishihara plates. 04-OCSEs-Neurology_5e ccp.indd 81 19/03/2015 12:34
  • 97.
    Clinical Skills for OSCEs 82 Station 32Cranial nerve examination Figure 22. Visual field defects and their origins. The oculomotor, trochlear, and abducens nerves (CN III, IV, and VI) (See Station 51: Vision and the eye examination for more details.) • Inspect the eyes, paying particular attention to the size and symmetry of the pupils, and exclud- ing a visible ptosis (Horner’s syndrome) or squint. • Test the direct and consensual pupillary light reflexes. Explain that you are going to shine a bright light into the patient’s eye and that this may feel uncomfortable. Bring the light in onto his left eye and look for pupil constriction. Bring the light in onto his left eye once again, but this time look for pupil constriction in his right eye (consensual reflex). Repeat for the right eye. • Perform the swinging flashlight test to detect a relative afferent pupillary defect. Swing the light from one eye to another and look for sustained pupil constriction in both eyes. Intermittent pupil constriction in one eye (Marcus Gunn pupil) suggests a lesion of the optic nerve anterior to the optic chiasm. • Perform the cover test. Ask the patient to fixate on a point and cover one eye. Observe the movement of the uncovered eye. Repeat the test for the other eye. • Examine eye movements. Ask the patient to keep his head still and to follow your finger with his eyes. Ask him to report any pain or double vision at any point. Draw an ‘H’ shape with your finger. Observe for nystagmus at the extremes of gaze. • Test the accommodation reflex. Ask the patient to follow your finger in to his nose. As the eyes converge, the pupils should constrict. Optic radiation Lateral geniculate body Optic tract Optic chiasm Left Right Left eye Loss of vision 1 2 3 4 5 6 Right eye Optic nerve 5 6 3 4 2 1 04-OCSEs-Neurology_5e ccp.indd 82 19/03/2015 12:34
  • 98.
    Neurology 83 Station 32 Cranialnerve examination The trigeminal nerve (CN V) Sensory part • Using cotton wool, test light touch in the three branches of the trigeminal nerve. Compare both sides. • Indicate that you could test the corneal reflex, but that this is likely to cause the patient some discomfort. Motor part • Test the muscles of mastication (the temporalis, masseter, and pterygoid muscles) by asking the patient to: – – clench his teeth (palpate his temporalis and masseter muscles bilaterally) – – open and close his mouth against resistance (place your fist under his chin) • Indicate that you could test the jaw jerk. Ask the patient to let his mouth fall open slightly. Place your fingers on the top of his mandible and tap them lightly with a tendon hammer. The facial nerve (CN VII) • Look for facial asymmetry. Note that the nasolabial folds and the angle of the mouth are espe- cially indicative of facial asymmetry. Sensory part • Indicate that you could test the anterior two-thirds of the tongue for taste. Motor part • Test the muscles of facial expression by asking the patient to: – – lift his eyebrows as far as they will go – – close his eyes as tightly as possible (try to open them) – – blow out his cheeks – – purse his lips or whistle – – show his teeth Ophthalmic branch Maxillary branch Mandibular branch Gasserian ganglion Trigeminal nerve Figure 23. The three branches of the trigeminal nerve. ‘Trigeminal’ means ‘three twins’. 04-OCSEs-Neurology_5e ccp.indd 83 19/03/2015 12:34
  • 99.
    Clinical Skills for OSCEs 84 Station 32Cranial nerve examination The acoustic nerve (CN VIII) (See Station 52: Hearing and the ear examination for more details.) • Test hearing sensitivity in each ear by occluding one ear and rubbing your thumb and fingers together in front of the other. • Indicate that you could carry out the Rinne and Weber tests and examine the ears by auroscopy (see Station 52). The glossopharyngeal nerve (CN IX) • Indicate that you could test the gag reflex by touching the tonsillar fossae on both sides with a tongue depressor, but that this is likely to cause the patient some discomfort. The vagus nerve (CN X) • Ask the patient to phonate (say ‘aah’) and, aided by a pen torch, look for deviation of the uvula to the opposite side of the lesion. Use a tongue depressor if necessary. The hypoglossal nerve (CN XII) • Aided by a pen torch, inspect the tongue for wasting and fasciculation. • Ask the patient to stick out his tongue and look for deviation to the side of the lesion. Now ask him to wiggle it from side to side. The accessory nerve (CN XI) • Look for wasting of the sternocleidomastoid and trapezius muscles. • Ask the patient to: – – shrug his shoulders against resistance – – turn his head to either side against resistance After the examination • Thank the patient. • Ensure that he is comfortable. • If appropriate, state that you would order some key investigations, e.g. a CT or MRI. • Summarise your findings and offer a differential diagnosis. Conditions most likely to come up in a cranial nerve examination station Third nerve palsy: • the eye is depressed and abducted (down and out). • elevation, adduction, and depression are limited, but abduction and intortion are normal. • there is a ptosis (drooping of the upper eyelid). • the pupil may be dilated and unreactive to light or accommodation. 04-OCSEs-Neurology_5e ccp.indd 84 19/03/2015 12:34
  • 100.
    Neurology 85 Station 32 Cranialnerve examination Bell’s (facial nerve) palsy: • facial drooping and paralysis on the affected half. • if the forehead muscles are spared, it is a central rather than a peripheral palsy. Horner’s syndrome: • signs of Horner’s syndrome are ptosis, miosis, enophthalmos, and facial anhidrosis. Cavernous sinus syndrome: • the cavernous sinus contains the carotid artery and its sympathetic plexus, CN III, IV, and VI, and the ophthalmic and maxillary branches of CN V. • signs of a cavernous sinus lesion may include (generally unilateral) proptosis, chemosis, ophthalmoplegia, and loss of sensation in the first and second divisions of the trigeminal nerve. Cerebellopontine angle syndrome: • lesions in the area of the cerebellopontine angle can cause compression of CN V, VII, and VIII. • signs may include palsies of CN V and VII, nystagmus, ipsilateral deafness, and ipsilateral cerebellar signs. Bulbar palsy: • lower motor neurone lesion in the medulla oblongata leads to bilateral impairment of function of CN IX–XII. • signs include speech difficulties, dysphagia, wasting and fasciculation of the tongue, absent palatal movements, absent gag reflex. Pseudo-bulbar palsy: • upper motor neurone lesion in the corticobulbar pathways in the pyramidal tract leads to impairment of function of CN IX–XII and also CN V and VII. • signs include speech difficulties, dysphagia, conical and spastic tongue, brisk jaw jerk, emotional lability. 04-OCSEs-Neurology_5e ccp.indd 85 19/03/2015 12:34
  • 101.
    Clinical Skills for OSCEs 86 Station 33 Motorsystem of the upper limbs examination Before starting • Introduce yourself to the patient. • Confirm his name and date of birth. • Explain the examination and obtain his consent. • Position him and ask him to expose his arms completely. • Ask if he is currently experiencing any pain. The examination Inspection • Look for abnormal posturing. • Look for abnormal movements such as tremor, fasciculation, dystonia, athetosis. • Assess the muscles of the hands, arms, and shoulder girdle for size, shape, and symmetry. You can also measure the circumference of the arms. Tone • Ensure that the patient is not in any pain. • Ask the patient to relax the muscles in his arms. • Test the tone in the upper limbs by holding the patient’s hand and simultaneously pronating and supinating and flexing and extending the forearm. If you suspect increased tone, ask the patient to clench his teeth and re-test. Is the increased tone best described as spasticity (clasp- knife) or as rigidity (lead pipe)? Spasticity suggests a pyramidal lesion, rigidity suggests an extra-pyramidal lesion. Power • Test muscle strength for shoulder abduction, elbow flexion and extension, wrist flexion and extension, finger flexion, extension, abduction, and adduction, and thumb abduction and oppo- sition. Compare muscle strength on both sides, and grade it on the MRC muscle strength scale: 0 No movement. 1 Feeble contractions. 2 Movement, but not against gravity. 3 Movement against gravity, but not against resistance. 4 Movement against resistance, but not to full strength. 5 Full strength. Table 13. Important root values in the upper limb – muscle strength • Shoulder abduction C5 • Elbow flexion C6 • Elbow extension C7 • Wrist extension C6, C7 • Wrist flexion C7, C8 • Finger extension C7 (radial nerve) • Finger flexion C8 • Finger abduction/adduction T1 (ulnar nerve) • Thumb abduction/opposition T1 (median nerve) 04-OCSEs-Neurology_5e ccp.indd 86 19/03/2015 12:34
  • 102.
    Neurology 87 Station 33 Motorsystem of the upper limbs examination Reflexes • Test biceps, supinator, and triceps reflexes with a tendon hammer (see Figure 24). Compare both sides. If an upper limb reflex cannot be elicited, ask the patient to clench his teeth and re-test. Table 14. Important root values in the upper limb – reflexes • Biceps C5, C6 • Supinator C6 • Triceps C7 Figure 24. Testing (A) biceps, (B) supinator, and (C) triceps reflexes. Cerebellar signs • Test for intention tremor, dysynergia, and dysmetria (past-pointing) by asking the patient to carry out the finger-to-nose test. – – place your index finger at about 2 feet from the patient’s face. Ask him to touch the tip of his nose and then the tip of your finger with the tip of his index finger. Once he is able to do this, ask him to do it as fast as he can. And remember that he has two hands! • Then test for dysdiadochokinesis. – – ask the patient to clap and then show him how to clap by alternating the palmar and dorsal surfaces of one hand. Once he is able to do this, ask him to do it as fast as he can. Ask him to repeat the test with his other hand (A) (B) (C) (A) (B) (C) 04-OCSEs-Neurology_5e ccp.indd 87 19/03/2015 12:34
  • 103.
    Clinical Skills for OSCEs 88 Station 33Motor system of the upper limbs examination After the examination • Thank the patient. • Ensure that he is comfortable. • Ask to carry out a full neurological examination. • If appropriate, indicate that you would order some key investigations, e.g. CT, MRI, nerve con- duction studies, electromyography, etc. • Summarise your findings and offer a differential diagnosis. Conditions most likely to come up in a motor system of the upper limbs examination station Parkinson’s disease: • motor signs include forward-flexed posture, mask-like facial expression, speech difficulties, resting tremor, cogwheel rigidity, bradykinesia. Cerebellar lesion: • motor signs depend on the anatomy of the lesion, and may include nystagmus, slurred or staccato speech, hypotonia, hyporeflexia, intention tremor, dysmetria, dysynergia, dysdiadochokinesis, ataxia. Ulnar nerve lesion: • wasting, weakness, numbness, and tingling in the fifth finger and in the medial half of the fourth finger. • curling up of the fifth and fourth fingers (‘ulnar claw’) indicates that the nerve is severely affected. Median nerve lesion: • a lesion at the level of the wrist produces wasting of the thenar muscles, weakness of abduction and opposition of the thumb, and numbness over the palmar aspect of the thumb, index finger, third finger, and lateral half of the fourth finger. • a lesion at the level of the forearm produces additional weakness of flexion of the distal and middle phalanges. • a lesion at the level of the elbow or above produces additional weakness of pronation of the forearm and ulnar deviation of the wrist on wrist flexion. Radial nerve lesion: • a lesion at the level of the axilla or above produces weakness of elbow extension and flexion, weakness of wrist and finger extension with attending wrist drop and finger drop, weakness of thumb abduction and extension, and sensory loss over the dorsoradial aspect of the hand and the dorsal aspect of the radial 3½ fingers (usually circumscribed to a small, triangular area over the first dorsal web space). • inferior lesions are likely to spare triceps (elbow extension), brachioradialis (elbow flexion), and extensor carpi radialis longus (wrist extension and radial abduction, but this muscle is only one of five wrist extensors). Radiculopathy, affecting a single root nerve (see Table 14) Hemiplegia/hemiparesis: • paralysis or weakness on one side of the body accompanied by decreased movement control, spasticity, and hyper-reflexia (upper motor neurone syndrome). Myopathy: • symmetrical weakness predominantly affecting proximal muscle groups. • in contrast to neuropathy, in myopathy muscle atrophy and hyporeflexia occur very late. 04-OCSEs-Neurology_5e ccp.indd 88 19/03/2015 12:34
  • 104.
    89 Neurology Station 34 Sensory systemof the upper limbs examination Before starting • Introduce yourself to the patient. • Confirm his name and date of birth. • Explain the examination and obtain his consent. • Position him so that he is comfortably seated and ask him to expose his arms and to position them so that the palms are facing towards you. • Ask if he is currently experiencing any pain. The examination To examine the sensory system, test light touch, pain, vibration sense, and proprioception. Do not forget to inspect the arms before you start. In particular, look for muscle wasting, fasciculation, scars and other obvious signs. • Light touch (not light rub or stroke). Ask the patient to close his eyes and to say ‘yes’ each time he is touched with a wisp of cotton wool. Apply the cotton wool to his sternum as a test. Then apply it to each of the dermatomes of the arm, moving from the hand and up along the arm. Remember to compare both sides against each other, asking, “Does it feel the same on both sides?”. • Pain. Ask the patient to close his eyes and apply a sharp object – ideally a neurological pin – to the sternum and then to each of the dermatomes of the arm, as above. Compare both sides against each other. If there is any loss of or difference in sensation, map out the area affected. Figure 25. Dermatomes of the arm. C4 C5 C5 POSTERIOR ASPECT ANTERIOR ASPECT C6 C8 C7 C4 C6 C8 C7 T3 T2 T1 T1 T3 T2 04-OCSEs-Neurology_5e ccp.indd 89 19/03/2015 12:34
  • 105.
    Clinical Skills for OSCEs 90 Station 34Sensory system of the upper limbs examination • Vibration. Ask the patient to close his eyes and apply a vibrating 128 Hz tuning fork (not the smaller 512 Hz tuning fork used in hearing tests) to the sternum and then over the bony promi- nences of the arm, starting with the interphalangeal joint of the thumb and moving up to the wrist and then the elbow (only if not felt more distally). Compare both sides against each other, asking the patient to tell you when he feels the vibration stop (you can hasten this by touching the tuning fork). • Proprioception. Ensure that the patient does not suffer from arthritis or some other painful con- dition of the hand. Ask him to close his eyes. Hold the distal interphalangeal joint of his index finger between the thumb and index finger of one hand. With the other hand, move the distal phalanx up and down at the joint, asking him to identify the direction of each movement. Hold the joint and phalanx from the sides, i.e. from their lateral and medial aspects. Tell the patient something like, “I’m going to move your finger up and down. Is this up or down?” “What about this? And that?” Again, compare both sides. After the examination • Thank the patient. • Ensure that he is comfortable. • Ask to carry out a full neurological examination. • Summarise your findings and offer a differential diagnosis. Conditions most likely to come up in a sensory system of the upper limbs examination station Mononeuropathy: • lesion affecting a single nerve, e.g. ulnar, median, or radial nerve (see Station 33). Polyneuropathy: • lesion affecting multiple nerves in a glove and stocking distribution, such as in diabetic neuropathy. Radiculopathy: • lesion affecting a single root nerve, e.g. C6. Brown–Séquard syndrome: • numbness to touch and vibration and loss of proprioception (and weakness) on same side of the lesion, and loss of pain and temperature sensation on the opposite side. • caused by lateral hemisection or injury of the spinal cord. Syringomyelia: • loss of pain and temperature sensation but not of other sensory modalities. 04-OCSEs-Neurology_5e ccp.indd 90 19/03/2015 12:34
  • 106.
    91 Neurology Station 35 Motor systemof the lower limbs examination Before starting • Introduce yourself to the patient. • Confirm his name and date of birth. • Explain the examination and obtain his consent. • Position him and ask him to expose his legs. • Ask if he is currently experiencing any pain. The examination Inspection • Look for deformities of the foot. • Look for abnormal posturing. • Look for fasciculation. • Assess the muscles of the legs for size, shape, and symmetry. You can also measure the circum- ference of the quadriceps or calves. Tone • Ensure that the patient is not in any pain. • Ask the patient to relax the muscles in his legs. • Test the tone in the legs by rolling the leg on the bed, by flexing and extending the knee, and/ or by abruptly lifting the leg at the knee. Power • Test muscle strength for hip flexion, extension, abduction and adduction, knee flexion and ex- tension, plantar flexion and dorsiflexion of the foot and big toe, and inversion and eversion of the forefoot. Compare muscle strength on both sides, and grade it on the MRC scale for muscle strength: 0 No movement. 1 Feeble contractions. 2 Movement, but not against gravity. 3 Movement against gravity, but not against resistance. 4 Movement against resistance, but not to full strength. 5 Full strength. Table 15. Important root values in the lower limb – muscle strength • Hip flexion (femoral nerve and iliopsoas muscle) L1, L2 • Hip extension (inferior gluteal nerve and gluteus maximus muscle) S1 • Hip adduction (obturator nerve and adductor muscles) L2 • Knee flexion (sciatic nerve and hamstrings) L5, S1 • Knee extension (femoral nerve and quadriceps) L3, L4 • Foot dorsiflexion (deep peroneal nerve and tibialis anterior muscle) L4, L5 • Foot plantar flexion (tibial nerve and gastrocnemius muscle) S1 • Big toe dorsiflexion (deep peroneal nerve and extensor hallucis longus) L5 04-OCSEs-Neurology_5e ccp.indd 91 19/03/2015 12:34
  • 107.
    Clinical Skills for OSCEs 92 Station 35Motor system of the lower limbs examination Reflexes • Test the knee jerk and ankle jerk with a tendon hammer (see Figure 26). Test the knee jerk by raising and supporting the knee with one arm and striking the patellar tendon with the other. To test the ankle jerk, abduct and externally rotate the hip and flex the knee and ankle. Then strike at the Achilles’ tendon. Compare both sides. If a lower limb reflex cannot be elicited, ask the patient to hook flexed fingers and pull apart while you re-test. Figure 26. Testing the knee (A) and ankle (B) reflexes. • Test for clonus by holding up the ankle and rapidly dorsiflexing the foot (2–3 beats is normal). • Test for the Babinsky sign (extensor plantar reflex) by scraping the side of the foot with your thumbnail or, ideally, with an orange stick. The sign is positive if there is extension of the big toe at the MTP joint, so-called ‘upgoing plantars’. Table 16. Important root values in the lower limb – reflexes Knee jerk L3, L4 Ankle jerk S1 (A) (B) 04-OCSEs-Neurology_5e ccp.indd 92 19/03/2015 12:34
  • 108.
    Neurology 93 Station 35 Motorsystem of the lower limbs examination Cerebellar signs • Carry out the heel-to-shin test. – – lie the patient on a couch. Ask him to run the heel of one leg down the shin of the other, and then to bring the heel back up to the knee and to start again. Ask him to repeat the test with his other leg Gait • If he can, ask the patient to walk to the end of the room and to turn around and walk back. (See Station 37: Gait, co-ordination, and cerebellar function examination.) After the examination • Thank the patient. • Ensure that he is comfortable. • Ask to carry out a full neurological examination. • If appropriate, indicate that you would order some key investigations, e.g. CT, MRI, nerve con- duction studies, electromyography, etc. • Summarise your findings and offer a differential diagnosis. [Note] An upper motor neuron lesion is suggested by spastic tone, reduced power, brisk reflexes, up-going plantars, reduced co-ordination, and clonus. A lower motor neuron lesion is suggested by normal or reduced tone, reduced power, reduced reflexes, down-going plantars, normal co-ordination, wasting, and fasciculations. Figure 27. Testing for the Babinsky or extensor plantar sign. 04-OCSEs-Neurology_5e ccp.indd 93 19/03/2015 12:34
  • 109.
    Clinical Skills for OSCEs 94 Station 35Motor system of the lower limbs examination Conditions most likely to come up in a motor system of the lower limbs examination station Mononeuropathy: • lesion affecting a single nerve, most commonly the common peroneal nerve (resulting in foot drop). Polyneuropathy: • lesion affecting multiple nerves in a glove and stocking distribution as in diabetic neuropathy. Radiculopathy: • lesion affecting a single root nerve (see Table 16). Hemiplegia/hemiparesis: • paralysis or weakness on one side of the body accompanied by decreased movement control, spasticity, and hyperreflexia (upper motor neurone syndrome). Cauda equina lesion: • signs include unilateral or bilateral lower limb motor and/or sensory deficits. • the ankle jerks are usually absent on both sides. • upper motor neurone signs such as Babinsky sign and clonus are absent. Myopathy: • symmetrical weakness predominantly affecting proximal muscle groups. • in contrast to neuropathy, in myopathy muscle atrophy and hyporeflexia occur very late. 04-OCSEs-Neurology_5e ccp.indd 94 19/03/2015 12:34
  • 110.
    95 Neurology Station 36 Sensory systemof the lower limbs examination Before starting • Introduce yourself to the patient. • Confirm his name and date of birth. • Explain the examination and ask for his permission to carry it out. • Position him on a couch and ask him to expose his legs. • Ask if he is currently experiencing any pain. The examination To examine the sensory system, test light touch, pain, vibration sense, and proprioception. • Do not forget to inspect the legs before you start. In particular, look for muscle wasting, fascicu- lation, scars, and any other obvious signs. • Light touch (not light rub). Ask the patient to close his eyes and to say ‘yes’ each time he is touched with a wisp of cotton wool. Apply the cotton wool to his sternum as a test. Then apply it to each of the dermatomes of the leg, moving from the foot and up along the leg. Remember to compare both sides against each other, asking, “Does it feel the same on both sides?”. • Pain. Ask the patient to close his eyes and apply a sharp object – ideally a neurological pin – to the sternum and then to each of the dermatomes of the leg, as above. Compare both sides against each other. If there is any loss of or difference in sensation, map out the area affected. • Vibration. Ask the patient to close his eyes and apply a vibrating 128 Hz tuning fork (not the smaller 512 Hz tuning fork used in hearing tests) to the sternum and then over the bony promi- nences of the leg, starting with the interphalangeal joint of the big toe (test more proximally only if not felt distally). Compare both sides against each other, asking the patient to tell you when he feels the vibration stop (you can hasten this by touching the tuning fork). L3 POSTERIOR ASPECT ANTERIOR ASPECT S1 L3 L4 L5 L2 L2 L1 L3 S2 L5 L4 L5 S1 S3 Figure 28. Dermatomes of the leg. 04-OCSEs-Neurology_5e ccp.indd 95 19/03/2015 12:34
  • 111.
    Clinical Skills for OSCEs 96 Station 36Sensory system of the lower limbs examination • Proprioception. Ensure that the patient does not suffer from arthritis, gout, or some other pain- ful condition of the foot. Ask him to close his eyes. Hold the interphalangeal joint of his big toe between the thumb and index finger of one hand. With the other hand, move the distal phalanx up and down at the joint, asking him to identify the direction of each movement. Hold the joint and phalanx from the sides i.e. from their lateral and medial aspects. Tell the patient something like, “I’m going to move your toe up and down. Is this up or down?” “What about this? And that?” Again, compare both sides. If the patient is able to stand, you can also perform Romberg’s test (see Station 37: Gait, co-ordination, and cerebellar function examination). After the examination • Thank the patient. • Ensure that he is comfortable. • Ask to carry out a full neurological examination. • If appropriate, indicate that you would order some key investigations, e.g. CT, MRI, nerve con- duction studies, electromyography, etc. • Summarise your findings and offer a differential diagnosis. Conditions most likely to come up in a sensory system of the lower limbs examination station Mononeuropathy: • lesion affecting a single nerve. Polyneuropathy: • lesion affecting multiple nerves as in alcoholic or diabetic neuropathy. Radiculopathy: • lesion affecting a single root nerve (see Figure 28). Cauda equina lesion: • signs include unilateral or bilateral lower limb motor and/or sensory deficits, including ‘saddle anaesthesia’ (loss of sensation in the area of the buttocks and perineum). Hemisensory loss: • loss of sensation including light, pain, temperature, vibration, and proprioception on one side of the body. • normally accompanied by hemiplegia/hemiparesis with attendant spasticity and hyper- reflexia (upper motor neurone syndrome). Brown–Séquard syndrome: • numbness to touch and vibration and loss of proprioception (and weakness) on same side of the lesion, and loss of pain and temperature sensation on the opposite side. • caused by lateral hemisection or injury of the spinal cord. Posterior column disease: • loss of proprioception and vibration but not of other sensory modalities. 04-OCSEs-Neurology_5e ccp.indd 96 19/03/2015 12:34
  • 112.
    97 Neurology Station 37 Gait, co-ordination,and cerebellar function examination Before starting • Introduce yourself to the patient. • Confirm his name and date of birth. • Explain the examination and obtain his consent. • Ask if he is currently experiencing any pain. Examination of gait • Inspection. Inspect the patient in the sitting position, noting any abnormalities of posture. Ask him to stand up and ensure that he is steady on his feet. Truncal ataxis suggests a midline cer- ebellar lesion. Inspect posture from both front and side. • Gait and arm swing. Ask him to walk to the end of the room and to turn around and walk back. If he normally uses a stick or frame, he should not be prevented from doing so. Note the gait and also the arm swing and any difficulty in standing or turning. • Heel-to-toe test/tandem gait. Ask him to walk heel-to-toe, ‘as if on a tightrope’. Ataxia on a narrow-based gait suggests a cerebellar or vestibular lesion. • Romberg’s test. Ask him to stand unaided with his feet together and his arms by his sides. Assess with his eyes open and then with his eyes closed. If he sways and threatens to lose his balance when his eyes are closed, the test is said to be positive, indicating posterior column disease. You must be in a position to steady the patient should he threaten to fall. Examination of co-ordination • Resting tremor. Ask the patient to sit down, to rest his hands in his lap, and to close his eyes. Resting tremor is a sign of Parkinson’s disease. • Intention tremor. Ask the patient to do something, e.g. remove his watch or write a ­ sentence. • Muscle tone in the arms. Examine muscle tone in the elbow (flexion and extension) and wrist (flexion and extension, abduction and adduction) joints. Compare both sides. • Dysdiadochokinesis. Ask the patient to clap and then show him how to clap by alternating the palmar and dorsal surfaces of one hand. Once he is able to do this, ask him to do it as fast as he can. Ask him to repeat the test with his other hand. • Finger-to-nose test. Place your index finger at about 2 feet from the patient’s face. Ask him to touch the tip of his nose and then the tip of your finger with the tip of his index finger. Once he is able to do this, ask him to do it as fast as he can. And remember that he has two hands! Look for intention tremor and dysmetria (past-pointing), both signs of cerebellar disease. • Fine finger movements. Ask the patient to oppose his thumb with each of his other fingers in turn. Once he is able to do this, ask him to do it as fast as he can. Again, remember that he has two hands. • Muscle tone in the legs. Ask the patient to lie down on a couch and, if possible, to relax the muscles in his legs. Test the tone in his legs by rolling the leg on the bed, by flexing and extend- ing the knee, and/or by abruptly lifting the leg at the knee. • Heel-to-shin test. Ask the patient to run the heel of one leg down the shin of the other, and then to bring the heel back up to the knee and to start again. Ask him to repeat the test with his other leg. 04-OCSEs-Neurology_5e ccp.indd 97 19/03/2015 12:34
  • 113.
    Clinical Skills for OSCEs 98 Station 37Gait, co-ordination, and cerebellar function examination Assessment of cerebellar function • If you are specifically asked to assess cerebellar function, carry out the above plus test eye movements (nystagmus) and ask the patient to say ‘baby hippopotamus’ (slurred/ staccato speech). If you are then asked to list cerebellar signs, remember the mnemonic DANISH: – – Dysdiadochokinesis and dysmetria (finger overshoot) – – Ataxia – – Nystagmus – test eye movements – – Intention tremor – – Slurred/staccato speech – ask the patient to say ‘baby hippopotamus’ or ‘British constitution’ – – Hypotonia/hyporeflexia After the examination • Ask the patient if he has any questions or concerns. • Thank the patient. • Ensure that he is comfortable. • Ask to carry out a full neurological examination. • Summarise your findings and offer a differential diagnosis. Conditions most likely to come up in a gait, co-ordination, and cerebellar function examination station Hemiplegic gait: • the pelvis tilts upwards, the hip is abducted, and the leg is swung forwards in a semi-circular movement. • the leg is stiff and extended but the arm may be held in flexion and adduction with minimal swing. Scissor gait: • a spastic gait seen in cerebral palsy and resulting from muscle contractures. • the hips, knees, and ankles are flexed, producing a crouching and tiptoeing appearance. • in addition, the hips are adducted and internally rotated, such that the knees cross or hit each other in a scissor-like movement. Festinating gait: • seen in Parkinson’s disease. • short shuffling steps with stiff arms and legs and stooped posture; difficulty starting and turning. Ataxic gait: • seen in spinal and cerebellar lesions and in alcohol intoxication. • unsteady, broad-based gait with a lurching quality. Neuropathic gait: • seen in peripheral neuropathies. • weak foot dorsiflexors result in a high-stepping gait with foot-slapping; the high-stepping is an attempt to prevent the foot from dragging and being injured; also called ‘high-stepping gait’ or ‘foot-slapping gait’. 04-OCSEs-Neurology_5e ccp.indd 98 19/03/2015 12:34
  • 114.
    Neurology 99 Station 37 Gait,co-ordination, and cerebellar function examination Trendelenburg gait: • seen in weakness of the hip abductors or in an inability or reluctance to abduct the hip, e.g. due to a fractured neck of femur or to arthritic pain. • the pelvis tilts to the unaffected side in the stance phase; as a result, the trunk lurches to the affected side in an attempt to maintain a level pelvis. • bilateral Trendelenburg results in a typical waddling gait. Antalgic gait: • seen in arthritis and trauma. • avoidance of motions that trigger pain. • often quick, short, and light footsteps. • not to be confused with a Trendelenburg gait. Myopathic gait: • in muscular diseases the proximal pelvic girdle muscles are most affected, such that the patient is unable to stabilise the pelvis in the stance phase. • the pelvis drops to the side of the leg being raised, and this results in a broad-based, waddling gait. 04-OCSEs-Neurology_5e ccp.indd 99 19/03/2015 12:34
  • 115.
    Clinical Skills for OSCEs 100 Station 38 Speechassessment The patient is likely to find the assessment difficult and distressing, so remember to be especially empathetic. In particular, do not rush the examination or keep on interrupting the patient, but move at a pace that feels comfortable for him. Table 17. Definitions Dysphonia Motor impairment of ability to vocalise speech Dysarthria Motor impairment of ability to articulate speech Dysphasia Cognitive impairment of ability to comprehend or express language Aphasia Complete inability to comprehend or express language Note: Expressive dysphasia (Broca’s area, in the inferolateral dominant frontal lobe) and receptive dysphasia (Wernicke’s area, in the posterior superior dominant temporal lobe) often co-exist. Before starting • Introduce yourself to the patient. • Confirm his name and date of birth. • Explain the assessment and obtain his consent. • Check that he speaks English and that he can hear you. • Ask him to try to describe his current problems. The assessment Orientation in time and place Time Name: (year) (season) (month) (date) (day) Place Name: (country) (county/region) (town) (hospital) (floor) Dysphasia Expressive Assess whether the patient has difficulty in finding the right words whilst in conversation with you. You could ask directly, “It seems like you know what you want to say but you’re struggling to get the words out. Am I right?” Nominal Nominal dysphasia is a common form of expressive dysphasia. Ask the patient to name some common objects such as a watch, pen, or badge; then to name the components of some of these objects, e.g. hour hand, winder, strap, picture. If he is unable to name the object, ask him what it does: a correct answer can help to distinguish nominal from receptive dysphasia. 04-OCSEs-Neurology_5e ccp.indd 100 19/03/2015 12:34
  • 116.
    Neurology 101 Station 38 Speechassessment Receptive Assess whether the patient has difficulty understanding you by asking him to carry out some simple instructions such as ‘shut your eyes’, ‘touch your nose’, and ‘point to the door’. If appropriate, try out a more complex three-stage command, for example, “Using your left hand, touch your nose and then touch my finger.” Conductive Conductive aphasia is the inability to repeat words or phrases despite intact understanding. Ask the patient to repeat, “No ifs, ands or buts.” Dysarthria Ask the patient to repeat some of the following: ‘British constitution’, ‘West Register Street’, ‘Baby hippopotamus’, ‘Biblical criticism’, ‘Artillery’. Assess the structures involved in phonation and articulation by asking the patient to repeat: • ‘Me, me, me’ Lips. • ‘La, la, la’ Tongue. • ‘Ah’ Palate, larynx, and expiratory muscles. Dysphonia • Make a note of the patient’s volume of speech, which may be low if there is weakness of the vocal cords or respiratory muscles. Ask him to cough, and look out for ‘bovine’ cough, which would suggest a lesion of cranial nerve X impairing the closure of the vocal cords. Dyslexia • Correct the patient’s vision and ask him to read a short paragraph from a newspaper or maga- zine, and bear in mind that not all people who can’t read are dyslexic! Dyscalculia • Ask the patient to carry out simple sums and subtractions. Dysgraphia • Ask the patient to write a sentence. After the assessment • Ask the patient if he has any questions or concerns. • Thank him. • Summarise your findings, offer a differential diagnosis, and state the probable area of the lesion. • Suggest a plan for further investigations and management, for example, mental state examina- tion, full neurological examination, and speech and language therapy assessment (including an assessment of swallowing). 04-OCSEs-Neurology_5e ccp.indd 101 19/03/2015 12:34
  • 117.
    Clinical Skills for OSCEs 102 Station 38Speech assessment Conditions most likely to come up in a speech assessment station Dsyphasia: • Expressive dysphasia results from damage to Broca’s area in the left inferior frontal gyrus: – – ‘telegraphic’ speech with omission of unimportant words such as ‘to’ and ‘the’ – – difficulty finding words – – inaccurate grammar and syntax • Receptive dysphasia results from damage to Wernicke’s area in the left superior posterior temporal gyrus: – – inability to understand language and follow commands – – speech sounds fluent with normal rhythm but content is meaningless • Global dysphasia results from widespread damage to the language areas, for example, owing to a middle cerebral artery infarct in the dominant (usually left) hemisphere: – – both expression and comprehension of language are impaired, making communication very challenging • Nominal dysphasia results from damage to the parietal lobe: – – difficulty naming objects – – still able to describe what the object does • Conductive dysphasia results from damage to the arcuate fasciculus: – – isolated difficulty in repeating words and phrases – – language and speech are otherwise intact Dysarthria: • Pseudobulbar palsy or spastic dysarthria results from bilateral lesions of the upper motor neurons in the corticobulbar tracts: – – increased tone of oropharyngeal muscles – – harsh-sounding ‘Donald Duck’ speech • Ataxic dysarthria results from lesions of the cerebellum: – – dysmetric ‘scanning’ speech – – slurred speech (the patient may sound drunk) • Hypo- or hyper-kinetic dysarthria results from lesions of the basal ganglia: – – slow, monotonous speech in Parkinson’s disease – – loud and erratically stressed speech in Huntington’s disease • Bulbar palsy or flaccid dysarthria results from lesions of the lower motor neurons in the medulla and cranial nerves: – – hypernasal speech owing to decreased tone of the oropharyngeal muscles – – hoarse ‘breathy’ voice owing to paralysis of the vocal cords Dysphonia: • Dysphonia is a hoarse voice resulting from vocal cord pathology: – – neurological causes include vagus nerve lesions leading to vocal paresis, and neuromuscular disease, such as myasthenia gravis, leading to vocal fatigue – – non-neurological causes include laryngitis, vocal cord nodules, corticosteroid inhalation, laryngeal cancer, and vocal straining Dyslexia, dyscalculia, dysgraphia: • These symptoms result from lesions in the dominant parietal lobe. 04-OCSEs-Neurology_5e ccp.indd 102 19/03/2015 12:34
  • 118.
    103 Psychiatry Station 39 General psychiatrichistory Specifications: The instructions for this station are likely to ask you to focus on one part of the history. Family, social, and personal history are particularly relevant to psychiatry. In taking a psychiatric history, it is especially important to put the patient at ease and to be seen to be sensitive, tactful, and empathetic. Before starting • Introduce yourself to the patient. • Confirm his name and date of birth. • Ensure that he is comfortable. The history • Name, age, and mode of referral. Presenting symptoms and history of presenting symptoms • Start with open questions and listen attentively without interrupting: – – “Can you tell me why you came to the hospital today?” – – “How have you been feeling lately?” • For each symptom identified, cover: – – onset and duration – – course – – effect on everyday life – – exacerbating and relieving factors, including any treatments • Ask screening questions about mood, abnormal beliefs, and abnormal perceptions (see Station 40: Mental state examination). • Try to form a diagnostic hypothesis and to validate or falsify it through further questioning. Past psychiatric history • Previous episodes of mental illness. • Previous psychiatric admissions, formal (under a section) and informal. • Previous physical and psychological treatments and their outcomes. • History of self-harm and attempted suicide. Past medical history • Current illness: – – acute illness – – chronic illness – – vascular risk factors • Past and childhood illnesses, including head injury. • Past hospital admissions and surgery. 05-OCSEs-Psychiatry_5e ccp.indd 103 19/03/2015 12:37
  • 119.
    Clinical Skills for OSCEs 104 Station 39General psychiatric history Drug history • Current psychological treatments. • Prescribed medication. • Recent changes in prescribed medication. • Over-the-counter drugs and herbal remedies. • Allergies. Substance use • Alcohol. • Tobacco. • Illicit drugs. [Note] Further questioning to establish dependence may be required if alcohol use and/or illicit drug use is high (see Station 45: Alcohol history). Family history • Determine if anyone in the family has suffered from psychiatric illness or attempted suicide, e.g. “Has anyone in the family ever had a nervous breakdown?” • Enquire about family structure and relationships: – – “Do you have a partner or spouse?” If ‘yes’, ask about their age, occupation, and health – – “Do you have any children?” If ‘yes’, ask about their age, health, where they live, and who is caring for them – – “Have there been any recent events or changes in the family?” Social history • Ask about social support and care: – – “Who lives with you at home?” – – “Who else are you close to?” – – “Do you feel like you have enough support?” • Determine adequacy of housing and finances: – – “Do you live in your own house?” – – “Are you getting any help with your housing?” – – “Do you have any money worries?” • Map out activities and interests: – – “How do you spend a typical day?” – – “What sorts of things do you enjoy doing?” Personal history • Early life: – – “Are you aware of any problems when you were a baby?” – – “How would you describe your childhood?” – – “Were both your parents around when you were growing up?” • Educational achievement: – – “How did you get on at school?” – – “What qualifications did you leave with?” • Occupational history: – – “Tell me about your work.” – – “What jobs have you had in the past?” – – “Why did you leave each job?” 05-OCSEs-Psychiatry_5e ccp.indd 104 19/03/2015 12:37
  • 120.
    Psychiatry 105 Station 39 Generalpsychiatric history • Forensic history: – – “Have you ever had any trouble with the police or the law?” – – “Have you ever been convicted of any offence?” – – “Have you spent time in prison?” – – “How did that go?” • Psychosexual history: – – “I’m going to ask you some sensitive questions which we ask everyone. Do you have any problems in your love or sex life?” – – “Have you ever experienced violence or abuse from your partner or anyone else?” • Religious or spiritual orientation: – – “Is religion or spirituality important to you?” After taking the history • Ask the patient if there is anything he might add that you have forgotten to ask about. • Indicate that you could check the patient’s psychiatric records (if any) and take an informant/ collateral history, for example, from a relative, friend, carer, police officer, GP, or other health- care ­professional. • Summarise your findings and offer a differential diagnosis. • Thank the patient. Common conditions most likely to come up in a general psychiatric history station • Depressive disorder. • Anxiety disorder, e.g. agoraphobia, social phobia, panic disorder, generalised anxiety disorder. • Mixed depression–anxiety. • Obsessive–compulsive disorder. • Eating disorder. • Mania and bipolar affective disorder. • Schizophrenia and other delusional disorders. NB. For descriptions of these conditions, see Table 18 at the end of Station 40. 05-OCSEs-Psychiatry_5e ccp.indd 105 19/03/2015 12:37
  • 121.
    Clinical Skills for OSCEs 106 Station 40 Mentalstate examination Specifications: The MSE is roughly analogous to the physical examination, and provides a snapshot of the patient’s mental state at that moment in time. Instructions for this station are likely to ask you to focus on one part of the mental state examination only, or to omit cognitive assessment. In some places, the patient–actor might by replaced by a real patient on a video recording. Before starting • Introduce yourself to the patient. • Confirm his name and date of birth. • Explain that you would like to explore his thoughts and feelings, and ask him if this is OK. Assessing the mental state The mental state can be assessed under 7 main headings: 1. Appearance and behaviour. 2. Speech. 3. Mood. 4. Abnormal thoughts. 5. Abnormal perceptions. 6. Cognition. 7. Insight. Appearance and behaviour Begin by asking the patient some open questions, and focusing your attention on his appearance and behaviour. • Level of consciousness. • Appearance: body build, posture, general physical condition, grooming and hygiene, dress, physical stigmata such as scars, piercings, and tattoos. • Behaviour and attitude to the examiner. In particular note: facial expression, degree of eye contact, and quality of rapport. • Motor activity/disorders of movement, e.g. agitation, retardation, tremor, dystonias, manner- isms. Speech Note: • Amount, rate, volume, and tone of speech, e.g. logorrhoea (large amount of speech), pressure of speech (increased rate of speech), poverty of speech (small amount of speech), speech retar- dation (decreased rate of speech), mutism (no speech). • Form of speech, e.g. circumstantiality, tangentiality, clang associations, puns, rhymes, neolo- gisms, perse­ verations. In circumstantiality, speech is organised and goal-oriented but cramped by excessive or irrelevant detail and parenthetical remarks. In tangentiality, speech is organised but not goal-oriented in that it is only very indirectly related to the questions being asked. 05-OCSEs-Psychiatry_5e ccp.indd 106 19/03/2015 12:37
  • 122.
    Psychiatry 107 Station 40 Mentalstate examination Mood Note or ask about: • Current mood state and severity. If there is the suggestion of depression, ask the patient to rate his mood on a scale of 1 to 10, with 1 being the worst that he has ever felt and 10 being normal. • Biological symptoms: sleep, appetite, libido, energy. • Ideas of harm to self, e.g. “People with problems similar to those that you have been describing often feel that life is no longer worth living. Have you felt that life is no longer worth living?” If yes, then this should be explored further: “Have you ever thought of killing yourself?” “Have you made any plans?” “Would you carry out those plans?” “What stops/would stop you?”. • Ideas of harm to others. • Anxiety and anxiety symptoms, e.g. butterflies, giddiness, clamminess, palpitations, difficulty catching breath. If there is the suggestion of an anxiety disorder, this should be explored further. You are likely to fail this station if you do not ask about ideas of harm in an at-risk patient. Abnormal thoughts Note or ask about: • Stream of thought, e.g. pressure of thought, poverty of thought, thought blocking. • Form of thought, e.g. flight of ideas, loosening of associations, over-inclusive thinking. • Content of thought: – – preoccupations, ruminations, obsessions, and compulsive acts, e.g. for obsessions, “Do cer- tain things keep coming into your mind even though you try hard to keep them out?” And for compulsive acts, “Do you ever find yourself spending a lot of time doing the same thing over and over again even though you’ve already done it well enough?” – – phobias, e.g. “Do you have any special fears, like some people are afraid of spiders or snakes?” – – delusions and overvalued ideas. For obvious reasons, you cannot easily ask directly about delusions. Begin by an introductory statement and general questions, such as “I would like to ask you some questions that might seem a little bit strange. These are questions that we ask to everyone who comes to see us. Is that all right with you? Do you have any ideas that your friends and family do not share?” Explore any delusions and in particular ask about their onset, their effect on the patient’s life, and the patient’s explanation for them (degree of insight). If necessary, ask specifically about common delusional themes, e.g. delusions of persecution, reference, control, guilt, grandeur Abnormal perceptions Ask about: • Illusions and hallucinations. Again, begin by an introductory statement and general questions, such as “I gather that you have been under quite some pressure recently. When people are under pressure they sometimes find that their imagination plays tricks on them. Have you had any such ex- periences? Have you seen things which other people cannot see? Have you heard things which other people cannot hear?” Ask about all five modalities and explore any positive findings for content, onset, frequency, duration, and effect on the patient’s life. Exclude pseudohallucinations and hypnogogic and hypnopompic hallucinations. For auditory hallucinations of voices, determine if there is more than one voice, and if the voices talk to the patient (second person) or about him (third person). If the voices talk to him, do they command him to do dangerous things and, im- portantly, is he likely to act on these commands? If the voices talk about him, do they comment on his every thought and action (running commentary)? Other forms of auditory hallucinations are écho de la pensée and gedankenlautwerden, both first rank symptoms of schizophrenia. 05-OCSEs-Psychiatry_5e ccp.indd 107 19/03/2015 12:37
  • 123.
    Clinical Skills for OSCEs 108 Station 40Mental state examination Differentiating between true hallucinations and pseudo-hallucinations A pseudo-hallucination may differ from a true hallucination in that: • it is perceived to arise from the mind (inner space) rather than the sense organs (outer space). • it is less vivid. • it is less distressing. • the patient may have some degree of control over it. True hallucinations tend to be a feature of functional disorders, whereas pseudo-hallucinations tend to be a feature of personality disorder. This is, however, not a hard and fast rule. • Depersonalisation and derealisation, e.g. for depersonalisation “Have you ever felt unreal?” And for derealisation, “Have you ever felt that things around you are unreal?” Cognition Generally speaking, a quick and informal cognitive assessment can be carried out by recording the following: • Orientation in time, place, and person. • Attention and concentration, e.g. serial sevens test, spelling ‘world’ backwards. Record the time taken and the number of errors. • Memory: – – short-term memory: ask the patient to name and remember three objects, then carry out the serial sevens test, then ask him to recall the three objects – – recent memory: ask him how he came to the clinic this morning/afternoon – – remote memory: ask him where he was born, where he grew up, etc. • Grasp: ask the patient to name the prime minister and reigning monarch. If cognitive impairment is suspected, you can carry out the Mini-Mental State Examination (MMSE) or, freely available, the Montreal Cognitive Assessment (MoCA). Both the MMSE and MoCA are scored out of 30. [Note] The result is invalid if the patient is delirious or has an affective disorder, or is simply not co-operating! Insight To determine degree of insight, ask the patient: • “Do you think there is anything wrong with you?” If no, • “Why did you come to hospital?” If yes, • “What do you think is wrong with you?” • “What do you think the cause of it is?” • “Do you think you need treatment?” • “What are you hoping treatment will do for you?” After the mental state examination • Thank the patient. • Ensure that he is comfortable. • Summarise your findings. Note that mood should be reported as subjective mood and objec- tive mood. Do not omit to comment upon risk. • Offer a differential diagnosis. 05-OCSEs-Psychiatry_5e ccp.indd 108 19/03/2015 12:37
  • 124.
    Psychiatry 109 Station 40 Mentalstate examination Table 18. Principal features of key psychiatric disorders See ICD-10 or DSM-IV for detailed diagnostic criteria. Depressive disorder See Station 43 Mania • Garish clothing, accessories, and makeup • Hyperactive, flirtatious, hypervigilant, assertive, and/or aggressive behaviour • Pressured speech; abnormalities of the form of speech • Euphoric or irritable or labile mood • Grandiose thoughts with flight of ideas and loosening of associations; mood congruent delusions • Hallucinations • Poor concentration • Poor insight Schizophrenia • Delusions • Hallucinations • Disorganised speech • Disorganised or catatonic behaviour • Negative symptoms Agoraphobia Persistent irrational fear of places difficult or embarrassing to escape from, such as places that are confined, crowded, or far from home. Increased reliance on trusted companions for accompaniment or, in severe cases, restriction to the home. Social phobia Persistent irrational fear of being scrutinised by others and of being embarrassed or humiliated, either in most social situations or in specific social situations such as public speaking. Specific phobia Persistent irrational fear of one or more objects or situations. Common specific phobias include heights, darkness, enclosed spaces, storms, animals, flying, driving, blood, injections, and dental and medical procedures. Panic disorder Panic attacks are characterised by rapid onset of severe anxiety lasting for about 20–30 minutes. They may occur in the phobic anxiety disorder listed above or in other disorders such as OCD, PTSD, and organic disorders. In panic disorder, panic attacks occur recurrently and unexpectedly. There is fear of the implications and consequences of an attack, e.g. having a heart attack, losing control, ‘going crazy’. Anticipatory fear of panic attacks develops and may itself lead to further panic attacks and to significant behavioural changes such as the development of agoraphobia. continued 05-OCSEs-Psychiatry_5e ccp.indd 109 19/03/2015 12:37
  • 125.
    Clinical Skills for OSCEs 110 Station 40Mental state examination Table 18. Principal features of key psychiatric disorders – continued Generalised anxiety disorder (GAD) Long-standing free-floating anxiety that may fluctuate but that is neither situational (phobic anxiety disorders) nor episodic (panic disorder). There is apprehension about a number of events far out of proportion to the actual likelihood or impact of the feared events. Other common symptoms include symptoms of autonomic arousal, irritability, poor concentration, muscle tension, tiredness, and sleep disturbances. Obsessive compulsive disorder (OCD) An obsessional thought is a recurrent idea, image, or impulse that is perceived as being senseless, that is unsuccessfully resisted, and that results in marked anxiety and distress. A compulsive act is a recurrent stereotyped behaviour that is not useful or enjoyable but that reduces anxiety and distress. It is usually perceived as being senseless and is unsuccessfully resisted. A compulsive act may be a response to an obsessive thought or according to rules that must be applied rigidly. Post-traumatic stress disorder (PTSD) A protracted and sometimes delayed response to a highly threatening or catastrophic experience characterised by numbing, detachment, flashbacks, nightmares, partial or complete amnesia for the event, avoidance of (and distress at) reminders of the event, and prominent anxiety symptoms. Associated psychiatric disorders are very common, especially depressive disorders, anxiety disorders, and alcohol and substance misuse. Adjustment disorder A protracted response to a significant life change or life event characterised by depressive symptoms and/or anxiety symptoms that are not severe enough to meet a diagnosis of depressive disorder or anxiety disorder, but that nevertheless lead to an impairment of social functioning. Somatisation disorder (Briquet’s syndrome) A long history of multiple and severe physical symptoms that cannot be accounted for by a physical disorder or other psychiatric disorder. Compare to factitious disorders such as Münchausen syndrome and to malingering. Hypochondriacal disorder (hypochondriasis) A fear or belief of having a serious physical disorder despite medical reassurance to the contrary. Eating disorders See Station 46. Alcohol dependence See Station 45. 05-OCSEs-Psychiatry_5e ccp.indd 110 19/03/2015 12:37
  • 126.
    111 Psychiatry Station 41 Cognitive testing Testingof higher cerebral function begins by the bedside, opening the door to more formal neuropsychological assessments. • Introduce yourself to the patient. • Make sure that the conditions are optimised, e.g. you are in a quiet room, the patient is neither sedated nor suffering from side-effects, he is wearing his glasses or hearing aid. • Explain the procedure: “I would like to ask you a few questions to test your memory and concentra- tion. It should take about five or ten minutes in all. Is that OK?” • Check orientation in time and place. “What day of the week is it today?” “What’s the date?” “What town are we in?” “What building are we in?” If the patient is disoriented, give him the correct information. • If the patient is disoriented in time and place, check orientation in person. • Test insight. “People seem quite concerned about you. Why is that?” “Why are you here?” Dominant hemisphere [Note] The dominant cerebral hemisphere is usually, although not always, the one on the left. • Note the patient’s use of language. In the presence of an impaired ability to communicate (dysphasia), fluency suggests receptive or Wernicke’s dysphasia, whereas hesitancy suggests expressive or Broca’s dysphasia (see Station 38: Speech assessment). • If receptive dysphasia is a possibility, test ability to understand commands, e.g. “Raise both arms.” “Touch your left ear with your right thumb.” • You can also test for nominal aphasia, a common form of expressive dysphasia, by asking the patient to name some common objects such as a watch, pen, or penny coin; then to name the components of some of these objects, e.g. hour hand, winder, strap. • Having ascertained that the patient is literate, test for dyslexia by asking him to read a couple of sentences, and for dysgraphia by asking him to write a sentence. • Test for dyscalculia with ‘serial sevens’, e.g. “What’s 100 minus 7? What’s 93 minus 7? Can you keep on going?” • Test ability to recognise objects (agnosia) by, for example, placing a pen, paper, and name badge on a table and asking the patient to pick up the pen. In summary, assess the dominant hemisphere by testing for receptive dysphasia, expressive and nominal dysphasia, dyslexia, dysgraphia, dyscalculia, and agnosia. Non-dominant hemisphere Test for: • Geographical agnosia, e.g. “Show me how you would go to the bathroom and return to your bed.” • Dressing apraxia, e.g. “Can you please button up your cardigan?” • Constructional apraxia, e.g. “Can you draw a clock for me?” 05-OCSEs-Psychiatry_5e ccp.indd 111 19/03/2015 12:37
  • 127.
    Clinical Skills for OSCEs 112 Station 41Cognitive testing Memory The following memory tests may be of use in an alert patient who is neither confused nor dysphasic. • Immediate memory (digit span): “Can you repeat after me, 5438879?” • Recent memory: “Can you tell me how long you’ve been in hospital?” • Remote memory: “Where did you live 10 years ago?” “Who was the last Prime Minister?” • Verbal memory: “I would like you to repeat the following sentence, ‘The quick brown fox jumps over the lazy dog.’ Now, I would like you to remember that sentence, because I’m going to ask you to repeat it again in 15 minutes’ time.” • Visual memory: “I have placed a few objects on the table. I’m going to ask you to name these ob- jects in 15 minutes’ time, so please could you remember them?” [Note] You also ought to be aware of retrograde amnesia, which is memory loss for events up to an insult; and post- traumatic amnesia, which is memory loss for events after an insult. 05-OCSEs-Psychiatry_5e ccp.indd 112 19/03/2015 12:37
  • 128.
    113 Psychiatry Station 42 Dementia diagnosis Accordingto ICD-10, dementia is: “a syndrome due to disease of the brain, usually of a chronic or progressive nature, in which there is disturbance of multiple higher cortical functions, including memory, thinking, orientation, comprehension, calculation, learning capacity, language, and judgement. Consciousness is not clouded… Dementia produces an appreciable decline in intellectual functioning, and usually some interference with personal activities of daily living…”. The more important risk factors for dementia are listed in Table 19. Table 19: Risk factors for dementia • Advanced age • Mild cognitive impairment (MCI) • Family history • Genetic mutations • Cerebrovascular disease • Hyperlipidaemia • Head injury The primary requirement for diagnosis, again according to ICD-10, is “evidence of a decline in both memory and thinking sufficient to impair personal activities of daily living… The impairment of memory typically affects the registration, storage, and retrieval of new information, but previously learned and familiar material may also be lost, particularly in later stages. Dementia is more than dysmnesia: there is also impairment of thinking and reasoning capacity, and a reduction in the flow of ideas”. The diagnosis of the type of dementia (e.g. Alzheimer’s disease versus vascular dementia or mixed dementia) is made on clinical grounds, and, strictly speaking, can only be verified by brain biopsy at post-mortem. In some cases, owing to the progressive nature of disease, an observation time of 6–12 months may be required to make a diagnosis. The order in which symptoms develop can be suggestive as to the type of dementia involved. In the first instance, the patient is usually seen by their GP, who attempts to rule out other causes for cognitive impairment and conducts a basic dementia screen. This includes a bedside standardised test such as the Mini-Mental State Examination (MMSE), the General Practitioner Assessment of Cognition (GPCOG), or the Montreal Cognitive Assessment (MoCA), the latter being particularly useful if the patient is in the early stages of disease. At this (normally) early stage, the physical examination is usually unremarkable. However, it may reveal an underlying reversible cause, or complications such as malnutrition, burns, or falls. Routine blood tests and investigations include: • FBC and serum vit-B12 and folate to rule out anaemia. • Metabolic panel to exclude dyshomeostasis of electrolytes and glucose. • Serum TSH to exclude hyper- or hypothyroidism. • Serum lipids. • Urine dipstick to exclude UTI (if delirium is a possibility). • CT or MRI scan to exclude reversible causes such as tumour, subdural haematoma, and hydro- cephalus, and to ascertain structural changes such as hippocampal atrophy in Alzheimer’s disease. [Note] Further investigations should be ordered on a case-by-case basis and might include HIV testing; syphilis serology; vasculitic, autoimmune, neoplastic, and toxicological screens; copper studies; cerebrospinal fluid examination; and genetic testing. Brain biopsy itself is rarely indicated. 05-OCSEs-Psychiatry_5e ccp.indd 113 19/03/2015 12:37
  • 129.
    Clinical Skills for OSCEs 114 Station 42Dementia diagnosis The diagnosis of dementia subtypes is made on the basis of disparate sets of diagnostic criteria, including DSM-IV for Alzheimer’s disease, the NINDS-AIREN criteria for vascular dementia, the International Consensus Consortium Criteria for dementia with Lewy bodies, and the Lund–Manchester criteria for fronto-temporal dementia. Detailed neurocognitive testing by a clinical psychologist can be helpful in identifying cognitive impairments and in confirming a diagnosis. Common types of dementia Clinical features vary not only according to the severity of the dementia, but also according to the type, with different types affecting different parts of the brain. They include (in approximate order of progression for Alzheimer’s disease) memory loss, impaired thinking, language impairments, deterioration in personal functioning, disturbed personality and behaviour, perceptual abnormalities, and motor impairments. Alzheimer’s disease Insidiously progressive memory loss and personality changes. Other spheres of cognitive and non-cognitive impairment are added over the course of several years. Dementia with Lewy bodies A recently recognised entity that overlaps with Alzheimer’s disease and parkinsonian dementias. It is the second commonest cause of dementia, and is characterised by marked fluctuations in cognitive impairment and alertness, vivid visual hallucinations, early parkinsonism, and frequent falls. Vascular dementia Classically marked by an abrupt onset and step-wise progression. Clinical features are variable and depend on the location of infarcts, but mood and behavioural changes are common. Significantly, comorbidity leads to a shorter survival than in Alzheimer’s disease. Pick’s disease A frontotemporal dementia characterised by early and prominent personality changes and behavioural disturbances, eating disturbances, mood changes, cognitive impairment, language impairment, and motor signs. Onset is in middle-age and loss of memory may not be a prominent feature. Principles of management If the dementia cannot be reversed, the aim of management is to improve quality of life of both patient and carers. This involves treating symptoms and complications of dementia, addressing functional problems, and providing education and support to carers. Anticholinesterase inhibitors such as donepezil, rivastigmine, galantamine, and tacrine act by increasing cholinergic neurotransmission and can modestly and temporarily ameliorate cognitive performance and behavioural problems in some patients with Alzheimer’s disease and dementia with Lewy bodies. Owing to their serious and debilitating side-effects, antipsychotic drugs should only ever be used as a last resort, and, even then, mostly on a time-limited basis. 05-OCSEs-Psychiatry_5e ccp.indd 114 19/03/2015 12:37
  • 130.
    Psychiatry 115 Station 42 Dementiadiagnosis Examiner’s questions Principal differential diagnosis of dementia • Mild cognitive impairment (MCI). • Delirium (including delirium superimposed upon dementia). • Depressive disorder (‘pseudodementia’) – although note that depressive and anxiety disorders affect about 50% of dementia sufferers. • Late-onset schizophrenia (paraphrenia). • Learning difficulties. • Amnestic syndrome e.g. Wernicke–Korsakoff syndrome. • Substance misuse. • Iatrogenic causes, particularly drugs. • Dissociative disorder. • Factitious disorder. • Malingering. 05-OCSEs-Psychiatry_5e ccp.indd 115 19/03/2015 12:37
  • 131.
    Clinical Skills for OSCEs 116 Station 43 Depressionhistory For this station, it is especially important to put the patient at ease and to be sensitive, tactful, and empathetic. Before starting • Introduce yourself to the patient. • Confirm his name and date of birth. • Explain that you are going to ask him some questions about his feelings, and obtain consent. • Ensure that he is comfortable. The interview • Ask open questions about the patient’s current mood, listening attentively and gently encour- aging him to open up. • Ask about the onset of illness, and about its triggers and causes. Ensure that you ask about: • The core features of depression: – – depressed mood – – loss of interest – – fatiguability • Other common features of depression: – – poor concentration – – poor self-esteem and self-confidence – – guilt – – pessimism/hopelessness • The somatic (i.e. biological) features of depression: – – sleep disturbance – – early morning waking – – morning depression – – loss of appetite and/or weight loss – – loss of libido – – anhedonia – – agitation and/or retardation • Screen for possible anxiety, hallucinations, delusions, and mania, so as to exclude other possible psychiatric diagnoses. • Take brief past medical, drug, family, and social histories. Remember that drugs and alcohol are commonly associated with depression. • Assess the severity of the illness and its effect on the patient’s life. Ask about suicidal ideation and potential risk to any dependants, or you may fail this station. 05-OCSEs-Psychiatry_5e ccp.indd 116 19/03/2015 12:38
  • 132.
    Psychiatry 117 Station 43 Depressionhistory Asking about suicidal ideation Asking about suicide can feel uncomfortable for some. Use a formulation such as, “People with problems similar to those that you have been describing often feel that life is no longer worth living. Have you felt that life is no longer worth living?” If yes, then this should be explored further: “Have you ever thought of killing yourself?” “Have you made any plans?” “Do you have the means to carry out those plans?” “Would you carry out those plans?” “What stops/would stop you?” After finishing • Ask the patient whether he has any questions, and whether there is anything that you have forgotten to ask about. • Thank the patient. • Summarise your findings and suggest a further course of action, for example, further assess- ment of suicidal risk (see Station 44), collateral history, follow-up by the Community Mental Health Team, intensive support from the Crisis Team, admission to a psychiatric unit. 05-OCSEs-Psychiatry_5e ccp.indd 117 19/03/2015 12:38
  • 133.
    Clinical Skills for OSCEs 118 Station 44 Suiciderisk assessment And so it was I entered the broken world To trace the visionary company of love, its voice An instant in the wind (I know not whither hurled) But not for long to hold each desperate choice. From Broken Tower, by Hart Crane (b. 1899; d. 1932, by suicide) Before starting • Introduce yourself to the patient. • Confirm his name and date of birth. • Explain that you are going to ask him some difficult questions about his thoughts, and ask if this is OK. Do not hesitate to ask about suicide for fear of planting the idea into the patient’s head. There is nothing to suggest that asking about suicide increases its risk. The assessment Ask about: • The history of the current episode of self-harm (if any) to determine degree of suicidal intent (higher intent/lower intent – guidelines only): – – what was the precipitant for the attempt? (serious precipitant/trivial precipitant) – – was it planned? (planned/unplanned) – – what was the method of self-harm, and did he expect this to be lethal? (violent method/ non-violent method) – – did he make a will or leave a suicide note? (suicide note/no suicide note) – – was he alone? (alone/not alone) – – did he take any precautions against discovery? (precautions/no precautions) – – was he intoxicated? – – did he seek help after the attempt? (sought help/did not seek help) – – how did he feel when help arrived? (angry or disappointed/relieved) • Assess risk factors for suicide: – – previous suicide attempt(s) – – recent life crisis – – male sex, especially if between the ages of 25 and 44 – – divorced, widowed, or single – – unemployed or in certain occupations, e.g. medicine, farming – – poor level of social support – – physical illness – – psychiatric illness – – substance misuse – – family history of depression, substance misuse, or suicide • Mental state: assess current mood and exclude psychosis. • Will he be returning to the same situation? What has changed? Are there any important protec- tive factors? • Ask about current suicidal ideation. Has he made any plans? 05-OCSEs-Psychiatry_5e ccp.indd 118 19/03/2015 12:38
  • 134.
    Psychiatry 119 Station 44 Suiciderisk assessment After the assessment • Thank the patient. • Summarise your findings and state your opinion of the patient’s suicide risk. • Suggest a plan of action, e.g. review by a senior colleague, formal psychiatric assessment, refer- ral to the crisis team, admission to hospital. 05-OCSEs-Psychiatry_5e ccp.indd 119 19/03/2015 12:38
  • 135.
    Clinical Skills for OSCEs 120 Station 45 Alcoholhistory Before starting • Introduce yourself to the patient. • Confirm his name and date of birth. • Establish rapport. • Explain to the patient that you would like to ask him some questions to evaluate his drinking habits, and ask if that is OK; as he may be reluctant, it is particularly important that you be gentle and tactful. Screening for an alcohol problem Use the CAGE questionnaire to screen for an alcohol problem. A positive response to one or more of the four questions ought to trigger further questioning. • “Have you ever felt that you should Cut down on your drinking?” • “Have people Annoyed you by criticising your drinking?” • “Have you ever felt Guilty about your drinking?” • ”Have you ever had a drink first thing in the morning (Eye opener) to steady your nerves or get rid of a hangover?” The alcohol history Ask about: • Alcohol intake: – – what type or types – – how much (try to quantify in units of alcohol; see Figure 29) – – where – – when – – with whom • Onset and duration of alcohol problem, e.g. “How old were you when you first started drinking?“ “When do you think it got out of hand?” “Have you ever tried going dry?” “How did that go?” • Features of alcohol dependence: 1. compulsion to drink/craving 2. primacy of drinking over other activities 3. stereotyped pattern of drinking, e.g. narrowing of drinking repertoire 4. increased tolerance to alcohol, i.e. needing more and more to produce same effect 5. withdrawal symptoms, e.g. anxiety, sweating, tremor (‘the shakes’), nausea, fits, delirium tremens 6. relief drinking to avoid withdrawal symptoms, e.g. ‘eye opener’ first thing in the morning 7. reinstatement after abstinence [Note] For a diagnosis of alcohol dependence to be made, ICD-10 requires at least three from a similar list of features occurring at any time during a 12-month period. 05-OCSEs-Psychiatry_5e ccp.indd 120 19/03/2015 12:38
  • 136.
    Psychiatry 121 Station 45 Alcoholhistory Medical history Ask about the psychological and physical complications of alcohol abuse: • Psychological: depression, anxiety • Neurological: peripheral neuropathy, Wernicke–Korsakoff syndrome • Gastrointestinal: peptic ulceration, oesophageal varices, pancreatitis, cirrhosis • Cardiovascular: ischaemic heart disease, MI, stroke Drug history Ask about prescription and illicit drug use. Co-morbid abuse of illicit substances is common in alcoholics, as is abuse of certain prescription drugs such as benzodiazepines. Moreover, alcohol interacts with many prescription drugs including NSAIDs, antiepileptics, antidepressants, antibiotics, and warfarin. Family and social history Ask about: • Alcohol abuse in other members of the family. • The effect of alcohol abuse on relationships, particularly with the partner and children (if need be, carry out a risk assessment). • The effect of alcohol abuse on employment, finances, and housing. • Whether the patient has come into any trouble with the police or law. After finishing • Give the patient feedback on his drinking habits (e.g. number of units drunk versus recom- mended number of units) and, if appropriate, suggest ways for him to cut down his alcohol use. • Ask him if he has any questions or concerns. • Thank him for his co-operation. • Summarise your findings to the examiner and suggest a further course of action, e.g. physical examination, referral to a self-help group, detox planning. One unit 1/2 pint of ordinary strength beer, lager or cider One unit 1 very small glass of wine One unit 1 single measure of spirits One unit 1 small glass of sherry One unit 1 single measure of aperitifs Figure 29. Equivalences for one unit of alcohol. Note that one bottle of wine is equivalent to approximately 10 units, and one bottle of spirits to approximately 30 units. 05-OCSEs-Psychiatry_5e ccp.indd 121 19/03/2015 12:38
  • 137.
    Clinical Skills for OSCEs 122 Station 45Alcohol history Motivational interviewing Scenario A Doctor: According to your blood tests, you appear to be drinking rather too much alcohol. Patient: I suppose I do enjoy the odd drink. Doctor: Are you sure it is just the odd drink? Alcohol is very bad for you and I think that if you are drinking too much then you really need to stop. Patient: You sound like my wife. Doctor: Well, she’s right you know. Alcohol can cause liver and heart problems and many other things besides. So you really need to stop drinking, OK? Patient: Yes, doctor, thank you. (Patient never returns.) Scenario B (using motivational interviewing) Doctor: We all enjoy a drink now and then, but sometimes alcohol can do us a lot of harm. What do you know about the harmful effects of alcohol? Patient: Quite a bit, I’m afraid. My best friend, well he used to drink a lot. Last year he spent three months in hospital. I visited him often, but most of the time he wasn’t with it. Then he died from internal bleeding. Doctor: I’m sorry to hear that, alcohol can really do us a lot of damage. Patient: It does a lot of damage to the liver, doesn’t it? Doctor: That’s right, but it doesn’t just do harm to our body, it also does harm to our lives: our work, our finances, our relationships. Patient: Funny you should say that. My wife’s been at my neck… (…) Doctor: So, you’ve told me that you’re currently drinking about 16 units of alcohol a day. This has placed severe strain on your marriage and on your relationship with your daughter Emma, not to mention that you haven’t been to work since last Tuesday and have started to fear for your job. But what you fear most is ending up lying on a hospital bed like your friend Tom. Is that a fair summary of things as they stand? Patient: Things are completely out of hand, aren’t they? If I don’t stop drinking now, I might lose everything I’ve built over the past 20 years: my job, my marriage, even my daughter. Doctor: I’m afraid you might be right. Patient: I really need to quit drinking. Doctor: You sound very motivated to stop drinking. Why don’t we make another appointment to talk about the ways in which we might support you? (…) Excerpted from Psychiatry 2e, by Neel Burton (Wiley-Blackwell, 2010) 05-OCSEs-Psychiatry_5e ccp.indd 122 19/03/2015 12:38
  • 138.
    123 Psychiatry Station 46 Eating disordershistory Before starting • Introduce yourself to the patient. • Confirm her name and date of birth. • Explain that you are going to ask some questions about her eating habits, and ask for her con- sent to do this. • Ensure that she is comfortable. Most patients with eating disorders are reluctant to seek help, so it is especially important to be sensitive and non-judgmental. Here the patient is spoken of as female, but at least 1 in 10 patients with an eating disorder are male. Screening for an eating disorder Use the SCOFF questionnaire to screen for an eating disorder. A positive response to two or more of the four questions (or a suspicion that the patient is not being forthright) ought to trigger further questioning. • “Have you ever felt so uncomfortably full that you have had to make yourself Sick?” • “Do you worry that you have lost Control Over how much you eat?” • “Do you believe yourself to be Fat when others say that you are too thin?” • “Would you say that Food dominates your life?” The history Weight and perception of weight Determine: • Her current weight and height. • The amount of weight that she has lost, and over what period. Was the weight loss intentional? • Whether she still considers that she is overweight. • How often she weighs herself/looks at herself in the mirror. Diet and compensatory behaviours Ask about: • Amount and type of food eaten in an average day. What foods are avoided and why? Does she engage in ritualised eating behaviours such as cutting food into little pieces and prolonged chewing? Is she able to eat in front of other people? Beyond this, does she ever diet or fast? • Binge eating: what, how much, how often. How does she feel after bingeing? • Vomiting: how often, how induced. How does she feel after vomiting? • Use of laxatives, diuretics, emetics, appetite suppressants, and stimulants. • Physical exercise. Impact on health and quality of life Ask about: • Effect on patient’s life: – – school or work – – housing and finances 05-OCSEs-Psychiatry_5e ccp.indd 123 19/03/2015 12:38
  • 139.
    Clinical Skills for OSCEs 124 Station 46Eating disorders history – – relationships – – psychiatric complications, especially substance misuse, depression, and self harm – – physical complications, e.g. dizziness/syncope, peptic ulceration, constipation – – menstrual periods • Past medical, drug, and family history (briefly and only if you have time left). [Note] Signs of eating disorder include emaciation, lanugo (fine face and body hair), Russell’s sign (knuckle scars from induced vomiting), parotid gland swelling, and proximal muscle weakness. Other clinical features include anaemia, leukopaenia, electrolyte disturbances (especially hypokalaemia), abnormal ECG, and osteopaenia. After finishing • Ask the patient if there is anything she might add that you have forgotten to ask about. • Determine the patient’s level of insight into her problem. • Thank her. • Summarise your findings. • Suggest a further course of action: – – collateral history – – physical examination and investigations – – management, e.g. dietary advice, psychotherapy, antidepressants, day- or in-patient admis- sion Table 20. Anorexia nervosa vs. bulimia nervosa DSM-V diagnostic criteria Anorexia • Restriction of energy intake leading to significantly low body weight for age, sex, developmental trajectory, and physical health. • Intense fear of gaining weight or becoming fat, or persistent behaviour that interferes with weight gain (even though significantly underweight). • Disturbed perception of body weight or shape, undue influence of body weight and shape on self- evaluation, or persistent lack of recognition of the seriousness of low body weight. Bulimia • Recurrent episodes of binge eating together with a sense of lack of control. • Recurrent inappropriate compensatory behaviour to prevent weight gain. • Episodes of binge eating and compensatory behaviour both occur, on average, at least once a week for three months. • Self-evaluation is unduly influenced by body shape and weight. • The disturbance does not occur exclusively during periods of anorexia nervosa. NB. Patients with an eating disorder may ‘migrate’ between anorexia, bulimia, and atypical eating disorders. 05-OCSEs-Psychiatry_5e ccp.indd 124 19/03/2015 12:38
  • 140.
    125 Psychiatry Station 47 Weight losshistory Before starting • Introduce yourself to the patient, and confirm his name and date of birth. • Explain that you are going to ask him some questions to uncover the cause of his weight loss, and obtain consent. • Ensure that he is comfortable. The history Presenting complaint and history of presenting complaint • Begin with open questions to get the patient’s story and to elicit his ideas, concerns, and ex- pectations (ICE). • Establish how much weight he has lost. How did he discover the weight loss? • Establish the time frame of the weight loss (i.e. acute or chronic). • Did the patient intend to lose weight? If so, how much weight did he intend to lose and how did he set out to achieve this (e.g. diet, exercise, purgatives, diuretics, stimulants…)? Does he still con- sider himself overweight? If so, how often does he weigh himself or look at himself in the mirror? • Enquire about the patient’s appetite and establish his dietary habits and intake, e.g. “What did you have for breakfast this morning? What about for lunch?” “Did you enjoy your food?” • Ask about pain. If the patient reports any pain, use the SOCRATES mnemonic to fully charac- terise the pain. • Ask about any other associated symptoms. Specifically enquire about lethargy, weakness, fever and night sweats, palpitations, cough, shortness of breath, vomiting (and relationship with eat- ing), bowel opening and stools, urinary frequency, polyuria and thirst, haematuria, and bone pain. • Enquire about current and recent mood, and life events and stressors such as bereavement or redundancy. • If this seems appropriate, briefly assess mental state (see Station 40). Past medical history • Current, past, and childhood illnesses. • Surgery. Drug history • Prescribed medication. • Over-the-counter medication, including natural remedies. • Recreational drugs, especially stimulant drugs. • Allergies. Family history • Parents, sibling, and children. • Ask about e.g. diabetes, thyroid disease, TB, malignancy. Social history • Recent foreign travel. • Unprotected sexual intercourse. • Smoking. 05-OCSEs-Psychiatry_5e ccp.indd 125 19/03/2015 12:38
  • 141.
    Clinical Skills for OSCEs 126 Station 47Weight loss history • Alcohol. • Employment, past and present. • Housing and living arrangements. After taking the history • Ask the patient if there is anything that you have forgotten to ask about. • Ask him if he has any questions or concerns. • Thank him. • Summarise your findings and offer a differential diagnosis. • State that you would like to obtain a collateral history, and carry out a physical examination and some investigations to confirm your diagnosis. Examiner’s questions: Principal differential of weight loss Due to reduced intake • Depression. • Stress. • Eating disorder. • Alcohol or drug abuse. • Mania. • Paranoid psychosis. • Dementia. With increased calorie consumption • Diabetes. • Hyperthyroidism. • Malabsorption e.g. coeliac disease, IBD. Due to chronic condition • Heart failure. • COPD. • Malignancy. • Chronic renal failure. • Infection e.g. TB, HIV, parasitic infection. 05-OCSEs-Psychiatry_5e ccp.indd 126 19/03/2015 12:38
  • 142.
    127 Psychiatry Station 48 Assessing capacity(the Mental Capacity Act) The Mental Capacity Act 2005 (MCA) is a piece of legislation intended to protect people who lack the ability to make decisions about their health, welfare, and finances. It replaces Part 7 of the Mental Health Act 1983 and the Enduring Powers of Attorney Act 1985, and was introduced to clarify legal uncertainties around decision-making on behalf of adults with mental incapacity, and to create new safeguards. Main principles 1. Presumption of capacity: a person is presumed to have capacity to make a decision unless it is established otherwise. 2. Maximising capacity: before a person is deemed to lack capacity, all practicable steps must have been taken to help that person make his own decisions. 3. Right to make unwise decisions: a person must not be treated as unable to make a decision merely because the decision appears unwise to others. 4. Best interests: decisions made on behalf of a person who lacks capacity must be made in their best interests. 5. Least restrictive option: those courses of action that are less restrictive to the person’s rights and freedom must be considered first. Definition of capacity Section 2 of the MCA defines capacity as follows: ‘a person lacks capacity in relation to a matter if at the material time he is unable to make a decision for himself in relation to the matter because of an impairment of, or a disturbance in the functioning of, the mind or brain.’ Capacity v. competence • Capacity refers to the natural ability to make decisions: a person has a certain degree of capacity in relation to a particular decision at a particular time. • Competence is the legal right to have one’s decision regarding treatment respected. It is a binary concept: a person is either ‘competent’ or not. • Competence is informed by capacity: if capacity is beyond a certain threshold, the person is deemed ‘competent’ to make a decision. This threshold varies according to the seriousness of the decision at hand. Capacity is contextual and should not simply be inferred from the patient’s diagnosis or from previous assessments of his capacity. According to Section 3 of the MCA, a person has capacity to make a particular decision if he: • Understands the information relevant to decision-making. • Retains the information for long enough to make a decision. • Weighs up the information and understands the consequences of a decision. • Communicates this decision by whatever means necessary. 05-OCSEs-Psychiatry_5e ccp.indd 127 19/03/2015 12:38
  • 143.
    Clinical Skills for OSCEs 128 Station 48Assessing capacity (the Mental Capacity Act) Assessment of capacity in adults Stage 1: Diagnostic test Assess whether there is a disturbance or impairment of the mind (e.g. intoxication, head injury, learning disabilities, or dementia) which may affect decision-making at this point in time. Your assessment must lean on standardised criteria such as the ICD-10 or DSM-V diagnostic criteria. Stage 2: Functional test Assess by the four criteria in Section 3 of the MCA whether this disturbance or impairment renders the person unable to make a decision about the matter in hand. Your assessment should be made on the ‘balance of the probabilities’, meaning that it is more likely than not that the person lacks capacity to make that decision. Efforts to optimise capacity might include: • Making your explanations easier to understand, e.g. by using diagrams. • Seeing the patient at his best time of day. • Seeing him with one of his friends or relatives. • Improving his environment, e.g. finding a quiet side-room. • Adjusting his medication, e.g. decreasing the dose of sedative drugs. Remember to document your assessment and to outline your reasoning. Assessment of capacity in children and adolescents As far as possible, minors ought to be involved in decisions about their care, whether or not they are deemed competent. • Decisions on behalf of a minor can be made by a person with parental responsibility or by a High Court. • 16- and 17-year-olds are deemed competent by the same standards as adults (Family Law Reform Act 1969). However, they cannot refuse treatment if it has been agreed by a person with parental responsibility or the Court and it is in their best interests. • Under-16s may be deemed competent to accept an intervention if they are mature enough to fully understand what is proposed (‘Gillick competency’, after Gillick v. West Norfolk and Wisbech Area Health Authority, 1986). Much will depend on the relationship between the clini- cian and the child and the family, and also on what intervention is being proposed. • Ideally, the consent of a person with parental responsibility should also be sought. However, the decision of a competent minor to accept treatment cannot be overruled by a parent. • A court order may be obtained to overrule the decision of a competent minor or parent if it is considered in the best interests of the minor. Deprivation of Liberty Safeguards The Deprivation of Liberty Safeguards (DoLS) is an amendment to the MCA intended to protect vulnerable adults in care from arbitrary or excessive restrictions on their freedom, and also to give them the right to legally challenge their detention. In practice, DoLS is pertinent to most mentally incapacitated adults living in care who, for the sake of their own welfare, are prevented from leaving. In such cases, the hospital or care home must apply for authorisation from a DoLS supervisory authority, whether or not the patient (who lacks capacity) is ‘agreeing’ to the arrangements. DoLS is not applicable to people detained under the Mental Health Act (MHA). 05-OCSEs-Psychiatry_5e ccp.indd 128 19/03/2015 12:38
  • 144.
    Psychiatry 129 Station 48 Assessingcapacity (the Mental Capacity Act) MHA or MCA DoLS? The MHA applies to people with a mental disorder who need to be detained for assessment or treatment in their interests of their own health and safety or the safety of others (see Station 49). DoLS is used for people with mental disorders such as dementia and learning disabilities who do not require assessment and for whom there is no medical treatment (for the mental disturbance), and who therefore do not meet the MHA criteria, but who nevertheless require deprivation of liberty for their wellbeing, including for the treatment of physical illness. Table 21. MHA v. DoLS MHA MCA DoLS Section 2 Assessment is required in the interests of the person’s own health and safety or the safety of others. Assessment has already been performed and DoLS is called for in the interests of the person’s health and safety. Section 3 Appropriate medical treatment for the mental disorder is available. The purpose of DoLS is to provide general care and treatment of physical illness, not treatment of mental disorder. Detention is appropriate to the degree or severity of mental disturbance. DoLS is only appropriate after less restrictive alternatives have been exhausted. The person might have capacity to consent but refuses the care or treatment required. The person lacks capacity to consent to the care or treatment required. Does not include treatment of physical illnesses unless they are a direct result or consequence of the mental disorder. Allows for treatment of physical illnesses against the person’s will. Applies to people of all ages. Applies to people aged 18 and over. Appeals are made to a Mental Health Tribunal. Appeals are made to the Court of Protection. Advance decisions Formerly known as advance directives or living wills, advance decisions enable a person to make decisions about their future care in the event that they come to lack the capacity to make these decisions. An advance decision can only be used to refuse, not to demand. It is valid if it is unambiguous, applicable to the circumstances, and written without coercion at a time when the person had an appropriate level of capacity. If related to life-sustaining treatments, it must also be dated and signed by an adult witness. Lasting Power of Attorney (LPA) An LPA is a legal document stating that one person has chosen another to make decisions about his welfare on his behalf, should he lose capacity. There are two types of LPA, personal welfare and property and affairs. Court of Protection The Court of Protection can rule upon whether a person has capacity, and, if not, appoint deputies (usually relatives or friends) to make decisions on his behalf. It usually has the final say in the event of a dispute about the best interests of the person who lacks capacity. The full text of the MCA is available at http://www.legislation.gov.uk/ukpga/2005/9/section/1 05-OCSEs-Psychiatry_5e ccp.indd 129 19/03/2015 12:38
  • 145.
    Clinical Skills for OSCEs 130 Station 49 Commonlaw and the Mental Health Act Treatment under common law Common law is the law that is based on previous court rulings (case law, such as Re. C), in contradistinction to the law that is enacted by parliament (statute law, such as the Mental Health Act). Under common law, adults have a right to refuse treatment, even when doing so may result in permanent physical injury or death. If a competent adult refuses consent or lacks the capacity to provide consent, no one can provide consent on his behalf, not even his next of kin. That having been said, treatment without consent can be given under common law: • If serious harm or death is likely to occur and there is doubt about the patient’s capacity at the time and no advance directive (or ‘living will’) has been made; and the clinician is able to justify that he or she is acting in the patient’s best interests and in accordance with established medi- cal practice (‘Bolam’s test’). • In an emergency to prevent serious harm to the patient or to others or to prevent a crime. The Mental Health Act In England and Wales, the Mental Health Act 1983 (amended in 2007) is the principal Act governing not only the compulsory admission and detention of people to a psychiatric hospital, but also their treatment, discharge from hospital, and aftercare. People with a mental disorder as defined by the Act can be detained under the Act in the interests of their health or safety or in the interests of the safety of others. To minimize the potential for abuse, the Act specifically excludes as mental disorder dependence on alcohol or drugs. Note that Scotland is governed by the Mental Health (Care and Treatment) (Scotland) Act 2003 and Northern Ireland by the Mental Health (Northern Ireland) Order 1986. Two of the most common ‘Sections’ of the Mental Health Act used to admit people with a mental disorder to a psychiatric hospital are the so-called Sections 2 and 3. Section 2 Section 2 allows for an admission for assessment and treatment that can last for up to 28 days. An application for a Section 2 is usually made by an Approved Mental Health Professional (AMHP) with special training in mental health, and recommended by two doctors, one of whom must have special experience in the diagnosis and treatment of mental disorders. Under a Section 2, treatment can be given, but only if this treatment is aimed at treating the mental disorder or conditions directly resulting from the mental disorder (so, for example, treatment for an inflamed appendix cannot be given under the Act, although treatment for deliberate self-harm probably can be). A Section 2 can be ‘discharged’ or revoked at any time by the Responsible Clinician (usually the consultant psychiatrist in charge), by the hospital managers, or by the nearest relative. Furthermore, a patient under a Section 2 can appeal against the Section, in which case his or her appeal is heard by a specially constituted tribunal. The claimant is represented by a solicitor who helps him or her to make a case in favour of discharge to the tribunal. The tribunal is by nature adversarial, and it falls upon members of the detained patient’s care team to argue the case for continued detention. This can be quite trying for both the claimant and his or her care team, and it can at times undermine the claimant’s trust in his or her care team. Section 2 is broadly equivalent to Section 26 of the Mental Health (Care and Treatment) (Scotland) Act 2003, except that Section 26 cannot be used to admit a patient to hospital. Instead, Section 26 tags onto Section 24 (Emergency admission to hospital) or Section 25 (Detention of patients already in Hospital). 05-OCSEs-Psychiatry_5e ccp.indd 130 19/03/2015 12:38
  • 146.
    Psychiatry 131 Station 49 Commonlaw and the Mental Health Act Section 3 A patient can be detained under a Section 3 after a conclusive period of assessment under a Section 2. Alternatively, he or she can be detained directly under a Section 3 if his or her diagnosis has already been established by the care team and is not in reasonable doubt. Section 3 corresponds to an admission for treatment and lasts for up to 6 months. As for a Section 2, it is usually applied for by an AMHP with special training in mental health and approved by two doctors, one of whom must have special experience in the diagnosis and treatment of mental disorders. Treatment can only be given under a Section 3 if it is aimed at treating the mental disorder or conditions directly resulting from the mental disorder. After the first 3 months, any treatment requires either the consent of the patient being treated or the recommendation of a second doctor. A Section 3 can be discharged at any time by the Responsible Clinician (usually the consultant psychiatrist in charge), by the hospital managers, or by the nearest relative. Furthermore, the patient under a Section 3 can appeal against the Section, in which case his or her appeal is heard by a specially constituted tribunal, as explained above. If the patient still needs to be detained after six months, the Section 3 can be renewed for further periods. Section 3 is broadly similar to Section 18 of the Health (Care and Treatment) (Scotland) Act 2003. Aftercare If a patient has been detained under Section 3 of the Mental Health Act, he or she is automatically placed under a ‘Section 117’ at the time of his or her discharge from the Section 3. Section 117 corresponds to ‘aftercare’ and places a duty on the local health authority and local social services authority to provide the patient with a care package aimed at rehabilitation and relapse prevention. Although the patient is under no obligation to accept aftercare, in some cases he or she may also be placed under a ‘Supervised Community Treatment’ or ‘Guardianship’ to ensure that he or she receives aftercare. Under Supervised Community Treatment, the patient is made subject to certain conditions and if these conditions are not met, he or she can be recalled into hospital. Other civil Sections Commonly used civil Sections of the Mental Health Act are summarised in Table 22. Police Sections Section 135 enables the removal of a person from his premises to a place of safety, and is valid for 72 hours. Section 136 enables the removal of a person from a public place to a place of safety by a police officer, and is also valid for 72 hours. The person must appear to the police officer to have a mental disorder. Criminal Sections The principal criminal Sections are Sections 35 and 36, and Sections 37 and 41. Sections 35 and 36 mirror Sections 2 and 3 (above), but are used for persons suffering from a mental disorder and awaiting trial for a serious offence. Section 35 can be enacted by a Crown Court or Magistrates’ Court on the evidence of a Section 12 approved doctor. Section 36 can only be enacted by a Crown Court on the evidence of two doctors, one of whom must be Section 12 approved. In contrast to Section 36, Section 35 does not enable treatment, and is used solely for the purpose of remanding a person to hospital for a report on his or her mental state. Both Sections 35 and 36 have an initial duration of 28 days, but can be extended for up to 28 days at a time for up to 12 weeks. 05-OCSEs-Psychiatry_5e ccp.indd 131 19/03/2015 12:38
  • 147.
    Clinical Skills for OSCEs 132 Station 49Common law and the Mental Health Act Table 22. Commonly used Sections of the Mental Health Act Section Description Duration Treatment Application/ recommendation Discharge/ renewal 2 Admission for assessment 28 days Can be given, but note that the MHA only authorizes treatment of the mental disorder itself or conditions directly resulting from the mental disorder Application by AMHP or nearest relative. Recommendation by two doctors (at least one must be Section 12 approved) Patient may appeal to tribunal. Can be discharged by RC, hospital managers, or nearest relative. Usually converted to Section 3 if longer period of detention is required 3 Admission for treatment 6 months Can be given for first 3 months, then consent or second opinion is needed Application by AMHP or nearest relative. Recommendation by two doctors (at least one must be Section 12 approved) Patient may appeal to tribunal. Can be discharged by RC, hospital managers, or nearest relative. Can be renewed if needed 4 Emergency admission for assessment (usually used in lieu of a Section 2) 72 hours Consent needed unless treatment is being given under common law Application by AMHP or nearest relative. Recommendation by any doctor Patient cannot appeal. Can be discharged by RC only 5(2) Emergency holding order (patient already admitted to hospital on an informal basis) 72 hours Consent needed unless treatment is being given under common law Recommendation from the doctor or AC in charge of the patient’s care or their nominated deputy Patient cannot appeal. Can be discharged by RC only 5(4) Emergency holding order (patient already admitted to hospital on an informal basis) 6 hours Consent needed unless treatment is being given under common law Recommendation from a registered mental nurse Patient cannot appeal 117 Automatically applies if a patient has been detained under Section 3. Under Section 117 it is the duty of the local health authority and the local social services authority to provide aftercare. Unlike under Supervised Community Treatment, there is no obligation for the patient to accept it. AC, Approved Clinician; AMHP, Approved Mental Health Professional; RC, Responsible Clinician, usually the consultant in charge. Section 12 approval is usually granted to psychiatrists having obtained Membership of the Royal College of Psychiatrists (MRCPsych) or having more than 3 years of relevant experience. 05-OCSEs-Psychiatry_5e ccp.indd 132 19/03/2015 12:38
  • 148.
    Psychiatry 133 Station 49 Commonlaw and the Mental Health Act Section 37 is used for the detention and treatment of persons suffering from a mental disorder and convicted of a serious offence which is punishable by imprisonment. It is enacted by a Crown Court or Magistrates’ Court on the evidence of two Section 12 approved doctors. Section 37 has an initial duration of 6 months, and can be either discharged or extended. Sometimes a Section 41 or ‘restriction order’ is added onto a Section 37, such that leave and discharge can only be granted with the approval of the Ministry of Justice. Consent to treatment Patients on a long-term treatment order can be treated with standard psychiatric drugs with or without consent for up to 3 months, after which an additional order is required for their continued treatment. This additional order is a Section 58, which requires either the patient’s consent or a second opinion. Examiner’s questions: Mental disorders and driving The following advice applies to mania, schizophrenia and other schizophrenia-like psychotic disorders, and more severe forms of anxiety and depression. Patients should stop driving during a first episode or relapse of their illness, because driving while ill can seriously endanger lives. In the UK, the patient must notify the Driver and Vehicle Licensing Authority (DVLA). Failure to do so makes it illegal for them to drive and invalidates their insurance. The DVLA then sends the patient a medical questionnaire to fill in, and a form asking for permission to contact their psychiatrist. The patient’s driving licence can generally be reinstated if the psychiatrist can confirm that: • their illness has been successfully treated with medication for a certain amount of time, typically at least 3 months. • the patient is conscientious about taking his medication. • the side-effects of the medication are not likely to impair the patient’s driving. • the patient is not misusing drugs. People who suffer from substance misuse or dependence should also stop driving, as should some people who suffer from other mental disorders such as dementia, learning disability, or personality disorder. Further information can be obtained from the DVLA website at www.dvla.gov.uk. Note that the rules for professional driving are different from and more strict than those described above. 05-OCSEs-Psychiatry_5e ccp.indd 133 19/03/2015 12:38
  • 149.
    Clinical Skills for OSCEs 134 Station 50 Ophthalmichistory • Introduce yourself to the patient, and confirm his name and date of birth. • Explain that you are going to ask him some questions to uncover the nature of his eye problem, and obtain his consent. • Ensure that he is comfortable. With loss of vision, be ready to assist or guide the patient to his seat. Although body language and non-verbal communication is bound to be less effective, avoid speaking too loudly or otherwise patronising the patient. The history Presenting complaint and history of presenting complaint • Ask open questions to establish or confirm the problem, e.g. red eye, pain, and/or loss of vision and to elicit the patient’s ideas, concerns, and expectations (ICE). Is the problem unilateral or bilateral? If unilateral, have there been problems with the ‘good’ eye? If bilateral, which eye is worse affected? • For any problem, establish onset (sudden or gradual), duration, timing, progression, and any aggravating or alleviating factors. For pain, use the SOCRATES mnemonic. Is the pain in or around the eye? Is it associated with eye movement? For loss of vision, establish the extent and pattern of the loss, and, if appropriate, the fields of vision that are affected (e.g. bitemporal hemianopia suggests compression or lesion at the optic chiasm). • If not already covered, ask specifically about: – – red eye – – dry or gritty eye (often aggravated by e.g. reading or watching TV) – – sticky eye (e.g. bacterial conjunctivitis, blepharitis) – – eye discharge or watering (e.g. allergic conjunctivitis) – – swelling around the eye – – restricted eye movements – – pain – – photophobia – – glare in sunlight or difficulty driving at night due to glare from headlights (cataracts) – – floaters and flashing lights (associated with retinal tears and detachment) – – haloes (associated with an acute rise in intraocular pressure) – – curtains of darkness – – blurred vision – – double vision (not the same as blurred vision) – – loss of vision • Ask about the following systemic symptoms: headaches and scalp tenderness, migraine, nausea and vomiting, fever, joint pain, rashes and other skin problems, urethral discharge. 06-OCSEs-Ophthalmology_5e ccp.indd 134 19/03/2015 07:23
  • 150.
    Ophthalmology, ENT, and dermatology 135 Station 50 Ophthalmichistory Past medical history • Previous problems with the eyes/vision. – – Does the patient wear glasses or contact lenses? How long since? Is he having any problems with them? – – Has he ever seen an eye specialist? – – Has he ever had laser or other eye surgery? – – Has he ever suffered any eye trauma (blunt trauma, chemical trauma, foreign body)? • Current, past, and childhood illnesses. Specifically ask about hypertension (retinopathy, retinal vein occlusion), diabetes (retinopathy, maculopathy, retinal and vitreous haemorrhage), thyroid disease, systemic inflammatory disease, infections (e.g. herpes, TB, HIV), and allergic rhinitis/atopy. • Surgery. Drug history • Prescribed medication including any treatments so far. Ask specifically about steroids, beta- blockers, and any eye drops. • Over-the-counter medication, including herbal remedies. • Recreational drugs. • Allergies (may present as a red eye). Family history • Parents, siblings, and children. Among others, viral conjunctivitis is communicable. • Remember to ask about conditions that may be indirectly linked to the eyes, such as hyperten- sion and diabetes. Social history • Employment, past and present: the eye problem might be caused by the work environment, and may affect ability to work. • Hobbies such as contact sports that might have led to the eye problem. • Driving: how is the eye problem affecting ability to drive? Note that the DVLA issues guidelines on visual requirements for driving. • Housing and living arrangements: how is the eye problem impacting on living arrangements? Is the patient at particular risk of falls or injuries? • Smoking. • Alcohol use. • Unprotected sexual intercourse. After taking the history • Ask the patient if there is anything else that you have forgotten to ask about. • Ask him if he has any questions. • Thank him. • Summarise your findings and offer a differential diagnosis. State that the next step is to examine the eye. 06-OCSEs-Ophthalmology_5e ccp.indd 135 19/03/2015 07:23
  • 151.
    Clinical Skills for OSCEs 136 Station 51 Visionand the eye examination (including fundoscopy) Before starting • Introduce yourself to the patient. • Confirm his name and date of birth. • Explain the examination and obtain his consent. • Ensure that he is comfortable. The examination 1. Visual acuity • Snellen chart. Assess each eye individually, either from a distance of 6 m or 3 m, correcting for any refractive errors (glasses, pinhole). If the patient cannot read the Snellen chart, either move him closer or ask him to count fingers. If he fails to count fingers, test whether he can see hand movements and, if he cannot, test whether he can see light. • Test types (or fine print). Assess each eye individually, correcting for any refractive errors. • Ishihara plates. Indicate that you could use Ishihara plates to test colour vision specifically. 2. Visual fields • Confrontation test. Test the visual fields by confrontation. Sit directly opposite the patient, at the same level as him. Ask him to look straight at you and to cover his right eye with his right hand. Cover your left eye with your left hand, and test the visual field of his left eye with your right hand. Bring a wiggly finger into the upper left quadrant, asking the patient to say when he sees the finger. Repeat for the lower left quadrant. Then swap hands and test the upper and lower right quadrants. Now ask the patient to cover his left eye with his left hand. Cover your right eye with your right hand and test the visual field of his right eye with your left hand. Bring a wiggly finger into the upper right quadrant, asking the patient to say when he sees the finger. Repeat for the lower right quadrant. Then swap hands and test the upper and lower left quadrants. • Mapping of central visual field defects. Indicate that you could use a red pin to delineate the patient’s blind spot and any central visual field defects. • Visual inattention test. Ask the patient to fix his gaze upon you and simultaneously bring a moving finger into each of the patient’s right and left visual fields. In some parietal lobe lesions, only the ipsilateral finger is perceived by the patient. 3. Pupillary reflexes • Inspection. Inspect the eyes, paying particular attention to the size and symmetry of the pupils, and excluding a visible ptosis or squint. • Test the direct and consensual pupillary light reflexes. Explain that you are going to shine a bright light into the patient’s eye and that this may feel uncomfortable. Bring the light in onto his left eye and look for pupil constriction. Bring the light in onto his left eye once again, but this time look for pupil constriction in his right eye (consensual reflex). Repeat for the right eye. • Perform the swinging flashlight test. Swing the light from one eye to another and look for sus- tained pupil constriction in both eyes. Intermittent pupil constriction in one eye (Marcus Gunn pupil) suggests a lesion of the optic nerve anterior to the optic chiasm. • Test the accommodation reflex. Ask the patient to follow your finger in to his nose. As the eyes converge, the pupils should constrict. 06-OCSEs-Ophthalmology_5e ccp.indd 136 19/03/2015 07:23
  • 152.
    Ophthalmology, ENT, and dermatology 137 Station 51 Visionand the eye examination(including fundoscopy) 4. Eye movements • Perform the cover test. Ask the patient to fixate on a point and cover one eye. Observe the movement of the uncovered eye. Repeat the test for the other eye. • Examine eye movements. Ask the patient to keep his head still and to follow your finger with his eyes. Ask him to report any pain or double vision at any point. Draw an ‘H’ shape with your finger. • Nystagmus. Look out for nystagmus at the extremes of gaze. You can do this as part of eye movements or separately by fixing the patient’s head and asking him to track your finger through a cross pattern. Figure 30. Holding the ophthalmoscope. 5. Fundoscopy Explain the procedure, mentioning that it may be uncomfortable. Darken the room and ask the patient to fixate on a distant object (or to ‘look over my shoulder’). State to the examiner that, ideally, the pupils should have been dilated using a solution of 1% cyclopentolate or 0.5% tropicamide. • Red reflex. Test the red reflex in each eye from a distance of about 10 cm. An absent red reflex is usually caused by a cataract. • Fundoscopy. Use your right eye to examine the patient’s right eye, and your left eye to exam­ ine the patient’s left eye. If you use your left eye to examine the patient’s right eye, you may appear more caring than the examiner might like to see. Look at the optic disc, the blood vessels, and the macula. To find the macula, ask the patient to look directly into the light. Describe any features according to protocol, e.g. “There are soft exu­dates at 3 o’clock, two disc diameters away from the disc.” If the station is examining fundoscopy alone, the patient is likely to be replaced by a model in which the retinas are very easy to visualise. Before the exam, it is a good idea to look at as many retinas as you can, both in patients and in textbooks/on the internet. 06-OCSEs-Ophthalmology_5e ccp.indd 137 19/03/2015 07:23
  • 153.
    Clinical Skills for OSCEs 138 Station 51Vision and the eye examination(including fundoscopy) Figure 31. Findings on fundoscopy of the right eye. 1. Normal. 2. Senile macular degeneration. 3. Hypertensive retinopathy. 4. Pre-proliferative diabetic retinopathy. 5. Central retinal vein occlusion. 6. Papilloedema. 1 3 5 2 4 6 Macula Optic disc Periphery Blood vessels 06-OCSEs-Ophthalmology_5e ccp.indd 138 19/03/2015 07:23
  • 154.
    Ophthalmology, ENT, and dermatology 139 Station 51 Visionand the eye examination(including fundoscopy) After the examination • Ask the patient if he has any questions or concerns. • Thank the patient. • Summarise your findings and offer a differential diagnosis. Conditions most likely to come up in a vision and the eye examination station Cataract: • absent red reflex; on approaching ophthalmoscope the lens may look like cracked ice. Senile macular degeneration: • drusen (characteristic yellow deposits) in the macula, exudative changes resulting from blood and fluid under the macula. Hypertensive retinopathy: • stage I: arteriolar narrowing and tortuosity. • stage II: AV nicking, silver-wiring. • stage III: dot, blot, and flame haemorrhages, microaneurysms, soft exudates (cotton wool spots), hard exudates. • stage IV: papilloedema. Diabetic retinopathy: • background: microaneurysms, macular oedema, hard exudates, haemorrhages. • pre-proliferative: cotton-wool spots, venous beading. • proliferative: neovascularisation, vitreous haemorrhage. Glaucoma: • increased cup-to-disc ratio ( 0.5), haemorrhages. Central retinal artery occlusion: • pale retina with swelling or oedema, markedly decreased vascularity, cherry red spot in the central fovea. Central retinal vein occlusion: • widespread haemorrhages throughout the retina with swelling and oedema, sometimes described as a ‘stormy sunset’. Papilloedema: • blurring of disc margins, cupping and swelling of the disc, haemorrhages, exudates, distended veins. 06-OCSEs-Ophthalmology_5e ccp.indd 139 19/03/2015 07:23
  • 155.
    Clinical Skills for OSCEs 140 Station 52 Hearingand the ear examination Before starting • Introduce yourself to the patient. • Confirm his name and date of birth. • Explain the examination and obtain his consent. • Sit him so that he is facing you and ensure that he is comfortable. The history Ask the patient if there has been any loss of, or change in, hearing. If there has, assess its: • Characteristics (bilaterality, onset, duration, severity, impact on the patient’s life). • Associated features (tinnitus, vertigo, pain, discharge, weight loss). • Possible causes (noise exposure, trauma, infection, antibiotics, family history). • Impact on the patient’s life. • Previous ear problems and ear surgery. The examination Hearing Assess hearing by whispering a number and letter into the ear at a distance of 30cm, while distracting the other ear by rubbing the contralateral tragus. If the patient gets it wrong, try again, but this time slightly louder. If you suspect hearing loss, seek out a full audiological assessment. Tuning fork tests Use a 512 Hz tuning fork, and not the larger 128 Hz or 256 Hz tuning forks used for neurological examinations. • The Rinne test. Place the base of the vibrating tuning fork on the mastoid process of each ear. Once the patient can no longer ‘hear’ the vibration, move the tuning fork in front of the ear. If the tuning fork can be heard, air conduction is better than bone conduction, and there is therefore no conductive hearing loss. The test is said to be positive. If the tuning fork cannot be heard, there is a conductive hearing loss, and the test is said to be negative. The false negative Rinne test: if the Rinne test is performed on a deaf ear, it may appear negative because the vibration is transmitted to the opposite ear. • The Weber test. Place the vibrating tuning fork in the middle of forehead, just inferior to the hairline. If hearing is normal, or if hearing loss is symmetrical, the vibration should be heard equally in both ears, that is, in the centre of the head. The Weber test is most informative in patients presenting with a ‘good’ and a ‘problem’ ear. Note: • If there is conductive deafness in one ear, the vibration is best heard in that same ear (try block- ing one ear and speaking: your speech will seem louder in that ear). • If there is sensorineural deafness in one ear, obviously, the vibration is best heard in the other ear. 06-OCSEs-Ophthalmology_5e ccp.indd 140 19/03/2015 07:23
  • 156.
    Ophthalmology, ENT, and dermatology 141 Station 52 Hearingand the ear examination Auroscopy/otoscopy • Examine the pinnae for size, shape, deformities, pre-auricular sinuses. • Look behind the ears for any scars. • Palpate the pre-auricular, post-auricular, and infra-auricular lymph nodes. • Affix a speculum of appropriate size onto the auroscope. • Using your thumb and the proximal part of your index finger, gently pull the pinna upwards and backwards so as to straighten the ear canal and, holding the auroscope like a pen (see Figure 33), introduce it into the external auditory meatus. If examining the right ear, use your right hand to hold the auroscope/otoscope. If examining the left ear, use your left hand. This is so that your little finger (also called digitus auricularis because historically it was used to clean out the ear) can act as a guard, preventing you from plunging your tool too deep into the ear canal. • Through the auroscope, inspect the ear canal (discharge, foreign body, wax, exotosis, otitis externa) and the tympanic membrane (normal anatomy, colour (normally pearly grey), shape (normally concave), light reflex (normally present), effusions, cholesteatoma, perforations, grommets). (C) (B) (A) Figure 32. The Rinne (A, B) and Weber (C) tests. 06-OCSEs-Ophthalmology_5e ccp.indd 141 19/03/2015 07:23
  • 157.
    Clinical Skills for OSCEs 142 Station 52Hearing and the ear examination Figure 33. Holding the auroscope. Figure 34. The normal right ear drum. After examining the ear • Ask the patient if he has any questions or concerns. • Thank him. • Summarise your findings and offer a differential diagnosis, e.g. excessive ear wax, otitis media with effusion (‘glue ear’), perforated ear drum. Umbo Manubrium (handle) Short process of malleus Junction of incus and stapes Pars flaccida Light reflex Right ear drum Pars tensa 06-OCSEs-Ophthalmology_5e ccp.indd 142 19/03/2015 07:23
  • 158.
    Ophthalmology, ENT, and dermatology 143 Station 52 Hearingand the ear examination Figure 35. Common ear problems. (A) Wax: excess or impacted wax, can occlude the ear canal. (B) Exostoses: bony swellings in the ear canal due to chronic cold water exposure, can cause pain and predispose to infection or occlusion of the ear canal. (C) Otitis externa: inflammation of the outer ear and ear canal, associated with pain, can cause swelling and discharge and occlusion of the ear canal – pain is typically exacerbated by pulling on the pinna or pushing on the tragus. (D) Acute otitis media: inflammation of the middle ear due to infection, associated with pain, redness and bulging of the tympanic membrane, disintegration of the light reflex, effusions, perforation. (E) Tympanosclerosis: calcium deposits in the ear drum due to trauma or infection, can lead to impairment of hearing. (F) Cholesteatoma: destructive growth of keratinising squamous epithelium in the middle ear, often due to a tear or retraction of the ear drum, can lead to impairment of hearing. Reproduced with permission from Michael Saunders, Bristol Royal Infirmary. (A) (B) (D) (C) (E) (F) 06-OCSEs-Ophthalmology_5e ccp.indd 143 19/03/2015 07:23
  • 159.
    Clinical Skills for OSCEs 144 Station 52Hearing and the ear examination Conditions most likely to come up in a hearing and the ear examination station Conductive hearing loss: • commonly caused by wax, foreign bodies, exostoses, otitis externa, otitis media, trauma or damage to the ear drum or ossicles. Sensorineural hearing loss: • may be caused by noise exposure, degenerative changes (presbyacusis), trauma, infection, aminoglycoside drugs such as gentamicin, Ménière’s disease, acoustic neuroma. Figure 35. Common ear problems – continued. (G) Perforation. (H) Grommet: small tube inserted in chronic otitis media to drain and ventilate the middle ear. Reproduced with permission from Michael Saunders, Bristol Royal Infirmary. (G) (H) 06-OCSEs-Ophthalmology_5e ccp.indd 144 19/03/2015 07:23
  • 160.
    145 Ophthalmology, ENT, and dermatology Station 53 Smell andthe nose examination Specifications: This station may involve a model of a nose in lieu of a patient. Before starting • Introduce yourself to the patient. • Confirm his name and date of birth. • Explain the examination and obtain his consent. • Position him so that he is sitting in a chair facing you. • Ensure that he is comfortable. The history • Briefly establish the nature of the problem. • If there is obstruction of the nasal passages, determine its: – – characteristics (nasal passage affected, onset, duration, timing, severity) – – associated symptoms (facial pain, inflammation, itching, rhinorrhoea, sneezing, snoring, anosmia) – – possible causes (asthma, hay fever, other allergies, trauma, surgery, other) – – impact on everyday life e.g. difficulty breathing, changes in smell or taste The examination Inspection • Observe the external appearance of the nose from the front, from the side, and from above. Look for evidence of deformity, inflammation, nasal discharge, skin disease, and scars. • Examine the nasal vestibule, anterior end of the septum, and anterior ends of the inferior tur- binates. Do this first by elevating the tip of the nose (ideally with a gloved thumb), and then with the help of a Thudicum speculum and head or pen torch. Hold the speculum at the bend with the thumb and index finger of your non-dominant hand, and place your middle and ring fingers on either side of the limbs. Holding this position, insert the speculum into the nostril, moving your middle and ring fingers apart to spread the flanges and open up the nasal cavity. • Look into the mouth — a large nasal tumour can sometimes be visible at the back oropharynx. Otoscopy • Use an otoscope to assess the nasal septum and the inferior and middle turbinates. Make sure that the otoscope has the largest disposable aural speculum attached. Look for septal devia- tion, mucosal inflammation, bleeding, polyps, and foreign objects. A more detailed view of the nasal cavities can be obtained using a flexible (fibre-optic) nasendoscope. Nasal airflow • Ask the patient to breathe out through his nose onto a mirror or cold tongue depressor posi- tioned under the nose. If the nasal passages are not obstructed, there should be condensation under both nostrils. • Assess inspiratory flow by occluding one nostril and asking the patient to sniff. Repeat for the other side. 06-OCSEs-Ophthalmology_5e ccp.indd 145 19/03/2015 07:23
  • 161.
    Clinical Skills for OSCEs 146 Station 53Smell and the nose examination Smell • Assess sense of smell by asking the patient to identify fragrances from a series of bottles con- taining different odours. Sinuses • With your thumb, press over the supra- and infra-orbital areas to elicit tenderness. Tenderness in these areas is likely to indicate inflammation of the frontal and maxillary sinuses (sinusitis). After examining the nose • Ask the patient if he has any questions or concerns. • Thank the patient. • Offer to examine the throat and ears. • Summarise your findings and offer a differential diagnosis. Figure 36. Nasal polyp. Swollen turbinates are often mistaken for polyps. However, swollen turbinates differ from polyps in that they tend to be pink rather than grey/yellow in colour, and in that they tend to be sensitive rather than insensitive to touch. Reproduced from www.askdrshah.com with permission from Dr Rajesh Shah. Conditions most likely to come up in a smell and the nose examination station • Congenital or trauma-induced deviated nasal septum. • Septum perforation secondary to cocaine use, nose picking, or granulomatous disease. • Chronic rhinitis. • Nasal polyps. • Anosmia secondary to viral infection or head injury. 06-OCSEs-Ophthalmology_5e ccp.indd 146 19/03/2015 07:23
  • 162.
    147 Ophthalmology, ENT, and dermatology Station 54 Lump inthe neck and thyroid examination Before starting • Introduce yourself to the patient. • Confirm his name and date of birth. Bear in mind that age and sex have an important bearing on the differential diagnosis of a goitre. • Explain the examination and obtain his consent. • Ask him to expose his neck, including unbuttoning his shirt and tying back long hair to fully expose the neck and clavicles. • Sit him in a chair positioned such that you can stand behind it. • Ask for a glass of water for the patient to sip from when required. The examination Inspection • Inspect the neck from the front and side, looking for goitre and other lumps, tethering (indica- tive of an underlying malignancy), scars, and any other abnormalities. Thyroidectomy scars are horizontal and may be hidden in a skin crease. • Assess whether any lump is in the anterior or posterior triangle of the neck, i.e. anterior or pos- terior to sternocleidomastoid. A goitre, or enlarged thyroid gland, is seen as a swelling below the cricoid cartilage, on either side of the trachea. • Ask the patient to take a sip of water. The following structures move upon swallowing: ­ thyroid gland, thyroid cartilage, cricoid cartilage, thyroglossal cyst, lymph nodes. • Ask him to stick his tongue out. A midline swelling which moves upwards when the tongue is protruded is a thyroglossal cyst. Palpation • Ask the patient whether there is any tenderness in the neck area. • Stand behind him. • Putting one hand on either side of his neck, examine the anterior and posterior triangles with your fingertips. For any lump, assess its site, size, shape, surface, consistency, and fixity. Is the lump tender to touch? Note that the normal thyroid gland is often not palpable. • Ask him to take a sip of water and then to swallow while you feel for any movement of the lump. • If a palpable midline lump is present, ask him to stick his tongue out while you feel for upward movement of the lump. • Palpate the regional lymph nodes in the following order: submental, submandibular, pre-auric- ular, post-auricular, anterior cervical chain, supraclavicular, posterior cervical chain, occipital. • Palpate for tracheal deviation in the suprasternal notch (see Station 17: Respiratory system examination). Percussion • Percuss for the dullness of a retrosternal goitre over the sternum and upper chest. 06-OCSEs-Ophthalmology_5e ccp.indd 147 19/03/2015 07:23
  • 163.
    Clinical Skills for OSCEs 148 Station 54Lump in the neck and thyroid examination Auscultation • Auscultate over the thyroid for bruits. Ask the patient to hold his breath as you listen; a soft bruit is sometimes heard in thyrotoxicosis. Assessment of thyroid function/status If you are asked to examine the thyroid, a recommended approach is to perform a full examination of the neck paying particular attention to the thyroid gland, and then to ask the examiner whether you should also assess the patient’s thyroid function. Alternatively, you may be asked simply to assess the patient’s thyroid function. Inspection • Inspect the patient generally, in particular looking for any signs of thyroid disease such as inap- propriate clothing for the temperature. • Ask him to hold out his hands and inspect for a fine resting tremor. • Inspect his face. Does he have dry skin or brittle hair? Has he lost the outer third of his eyebrows? • Inspect his eyes for the eye signs of Graves’ disease: exophthalmos, lid retraction, and chemosis (conjunctival oedema). Exophthalmos is protrusion of the eyeballs from the orbit such that the rim of the sclera is visible below the cornea. With lid retraction, the rim of the sclera is also vis- ible above the cornea. • Now ask him to keep his head still and follow your finger with his eyes. As he does this, look out for lid lag (lagging of the upper eyelid on downward rotation of the eye) and ophthalmoplegia (indicated by reduced eye movements). These too are signs of Graves’ ophthalmopathy. Palpation • Ask to take the patient’s hands and notice if they are warm and sweaty, or cold and dry. • Look for clubbing of the nails associated with Graves’ disease (thyroid acropachy). • Palpate the radial pulse, assessing for tachycardia and atrial fibrillation (pulse is irregularly irregular). • Elicit reflexes: hyperthyroidism is associated with hyper-reflexia, hypothyroidism with slow relaxing reflexes. • Palpate the lower legs for pre-tibial myxoedema (discoloured induration on the anterior aspects of the lower legs), which is also associated with Graves’ disease. Auscultation • Auscultate the heart, listening specifically for a systolic flow murmur (hyper-dynamic circulation associated with hyperthyroidism). 06-OCSEs-Ophthalmology_5e ccp.indd 148 19/03/2015 07:23
  • 164.
    Ophthalmology, ENT, and dermatology 149 Station 54 Lumpin the neck and thyroid examination After the examination • Offer to help the patient to put his clothes back on. • Ensure that he is comfortable. • Ask him if he has any questions or concerns. • Thank him. • Offer a diagnosis or differential diagnosis. • Offer suggestions for further management, e.g. thyroid function tests, thyroid antibodies, ultra- sound examination of the thyroid, iodine thyroid scan, fine needle aspiration cytology. Goitres and thyroid disease Signs of hyperthyroidism: enlarged thyroid gland or thyroid nodules, thyroid bruit, hyperthermia, diaphoresis, dehydration, tremor, tachycardia, arrhythmia, congestive cardiac failure, onycholysis. • Graves’ disease (commonest cause of hyperthyroidism): uniformly enlarged smooth thyroid gland usually in a younger patient; lid retraction, lid lag, chemosis, periorbital oedema, proptosis, diplopia, pre-tibial myxoedema (non-pitting oedema and skin thickening, seen in 5% of cases), thyroid acropachy (finger clubbing, seen in 1% of cases). • Toxic multinodular goitre: enlarged multinodular goitre in a middle-aged patient. • Toxic nodule and de Quervain’s thyroiditis are less common. Signs of hypothyroidism: hypothermia and cold intolerance, weight gain, slowed speech and movements, hoarse voice, dry skin, hair loss, coarse facial features and facial puffiness, hypotension, bradycardia, and hyporeflexia. • Hashimoto’s thyroiditis (commonest cause of hypothyroidism): moderately enlarged rubbery thyroid gland, usually in a female patient aged 30–50 years; initial hyperthyroidism that progresses to hypothyroidism and, if untreated, to myxoedema. [Note] Iodine deficiency can also cause a goitre but this is rarely seen in developed countries. Thyroid cartilage Thyroid gland Trachea Figure 37. Anatomy of the normal thyroid gland. 06-OCSEs-Ophthalmology_5e ccp.indd 149 19/03/2015 07:23
  • 165.
    Clinical Skills for OSCEs 150 Station 54Lump in the neck and thyroid examination Conditions most likely to come up in a lump in the neck and thyroid examination station Toxic goitre: • diffuse (Graves’ disease), multinodular, toxic nodule (see above). Hashimoto’s thyroiditis (see above) Physiological goitre of puberty or pregnancy (or both) Thyroglossal cyst: • fibrous cyst that forms from a persistent thyroglossal duct. • midline lump in the region of the hyoid bone that is smooth and cystic and usually painless. • moves upwards upon swallowing and upon tongue protrusion. Enlarged lymph nodes NB. Other, less likely, possibilities include thyroid carcinoma, branchial cyst, cystic hygroma (lymphangioma), carotid body tumour, and sternocleidomastoid tumour. 06-OCSEs-Ophthalmology_5e ccp.indd 150 19/03/2015 07:23
  • 166.
    151 Ophthalmology, ENT, and dermatology Station 55 Dermatological history Beforestarting • Introduce yourself to the patient. • Confirm his name and date of birth. • Explain that you are going to ask him some questions to uncover the nature of his skin problem, and obtain consent. • Ensure that he is comfortable. The history • Name and age. Presenting complaint • Use an open question to ask the patient to describe his skin problem. History of presenting complaint Ask about: • When, where, and how the problem started. • What the initial lesions looked like and how they have evolved. Are the hair and nails also involved? • Symptoms: especially, pain, pruritus (itching), blistering, and bleeding. • Aggravating factors such as sunlight, heat, soaps, etc. • Relieving factors, including any treatments so far. • Effect on everyday life. • Details of previous episodes, if any. Past medical history • Previous skin disease. • Atopy (asthma, allergic rhinitis, childhood eczema). • Present and past medical illnesses. • Surgery. Drug history • Prescribed and OTC/complementary medications, including topical applications such as gels and creams. • Cosmetics and moisturising creams. • Relationship of symptoms to use of medication. • Allergies. Family history • Has anyone in the family had a similar problem? • Medical history of parents, siblings, and children, focusing on skin problems. • Sexual contacts. 06-OCSEs-Ophthalmology_5e ccp.indd 151 19/03/2015 07:23
  • 167.
    Clinical Skills for OSCEs 152 Station 55Dermatological history Social history • Occupation (in some detail). Has the patient’s occupation exposed him to any allergens or irritants? Have colleagues been suffering from similar symptoms? Do the symptoms improve during holiday periods? • Hobbies (in some detail). Have the patient’s hobbies exposed him to any allergens or irritants? Has he been using sunbeds? • Home circumstances. • Alcohol use. • Smoking. • Recent travel, especially to the tropics. Systems review (If appropriate.) After taking the history • Ask the patient if there is anything that he might add that you have forgotten to ask about. • Thank him. • Summarise your findings and offer a differential diagnosis. • State that you would like to carry out a dermatological examination. 06-OCSEs-Ophthalmology_5e ccp.indd 152 19/03/2015 07:23
  • 168.
    153 Ophthalmology, ENT, and dermatology Station 56 Dermatological examination Beforestarting • Introduce yourself to the patient. • Confirm his name and date of birth. • Explain the examination and obtain his consent. • Ask him to undress to his undergarments and temporarily cover him up with a sheet or blanket. • Ensure that he is comfortable. • Ask him to report any pain or discomfort during the examination. • Ensure that there is adequate lighting. The examination • Describe the distribution of the lesions: are they generalised or localised, symmetrical or asym- metrical, affecting only certain areas, e.g. flexor or extensor surfaces. Make a point of looking at all parts of the body. • Describe the morphology of the individual lesions, commenting upon their colour, size, shape, borders, elevation, and spatial relationship. Use precise dermatological terms. The ‘Handbook for medical students and junior doctors’ by the British Society of Dermatologists (freely available online) contains a useful glossary of dermatological terms with accompanying images. • Note any secondary skin lesions such as scaling, lichenification, crusting, excoriation, erosion, ulceration, and scarring. • Palpate the lesions (ask the patient if this is OK first). Assess their consistency. Do they blanch? • Examine the finger nails and toe nails. • Examine the hair and scalp. • Examine the mucous membranes. • Check for lymphadenopathy, if appropriate (e.g. if considering infection or malignancy). • Check the pedal pulses, if appropriate (e.g. if considering vascular insufficiency or diabetic foot). After the examination • Offer to help the patient to put his clothes back on. • Thank him. • Ensure that he is comfortable. • Wash your hands. • Summarise your findings and offer a differential diagnosis. Examiner’s questions: Differentiating skin cancers BCC (75% of skin cancers) most often looks like a pearly bump or nodule on sun-exposed areas of skin. Bleeding or crusting may develop in the centre of the tumour, as in the photograph below. In contrast, squamous cell carcinoma (SCC, 20% of all skin cancers) most often looks like a red, scaling, thickened patch, sometimes with bleeding, crusting, or ulceration. Although less common than either BCC or SCC, malignant melanoma is more commonly fatal. Pigmented lesions of the skin should be suspected to be malignant melanomas if they are asymmetrical, if they have irregular borders, if their colour varies from one area to another, or if their diameter is larger than that of a pencil eraser (6 mm). This is easily remembered as A, B, C, D. 06-OCSEs-Ophthalmology_5e ccp.indd 153 19/03/2015 07:23
  • 169.
    Clinical Skills for OSCEs 154 Station 56Dermatological examination Figure 38. (A) Basal cell carcinoma (BCC). Reproduced under a Creative Commons License from: http://commons. wikimedia.org/wiki/Category:Basal-cell_carcinoma#mediaviewer/File:Basaliom_am_Nasenrücken_2.JPG. (B) Squamous cell carcinoma. Reproduced from http://commons.wikimedia.org/wiki/Category:Squamous-cell_ carcinoma_of_the_skin#mediaviewer/File:Squamous_Cell_Carcinoma.jpg Conditions most likely to come up in a dermatological examination station Psoriasis: • chronic, autoimmune skin disease. • plaque psoriasis is most common type (c. 90%). • red plaques with silvery scales due to inflammation and excessive skin production. • frequently on the extensor aspects of elbows or knees, but can also affect any area including the scalp, palms, and soles. • may be accompanied by nail dystrophy. • may be accompanied by joint inflammation (psoriatic arthritis). • may be aggravated by stress, alcohol, smoking, and certain drugs, e.g. lithium, beta blockers, chloroquinine. (A) (B) 06-OCSEs-Ophthalmology_5e ccp.indd 154 19/03/2015 07:23
  • 170.
    Ophthalmology, ENT, and dermatology 155 Station 56 Dermatologicalexamination Eczema: • most common types are atopic or flexural eczema and irritant-induced contact dermatitis. • recurrent dryness, itching, and skin rashes that may be accompanied by redness, inflammation, cracking, weeping, blistering, crusting, flaking, and skin discoloration. • frequently on the flexor aspects of joints (cf. psoriasis). Acne vulgaris: • changes in the pilosebaceous units as a result of increased androgen stimulation. • comedones (blackheads), inflammatory papules, pustules, and nodules that affect the face and neck and also the chest, back, and shoulders, and that can result in scarring. • usually appears during adolescence and may persist into early adulthood. Rosacea: • chronic condition that primarily affects fair-skinned people and that is 2–3 times more common in women. • peak age of onset is 30–50. • typically begins as flushing and redness centrally on the face. • may be accompanied by telangiectasia, red domed papules and pustules, red gritty eyes, burning and stinging sensations, and, in some advanced cases, a red lobulated nose (rhinophyma). • may be aggravated by stress, sunlight, cold weather, alcohol. Skin cancer (see Examiner’s questions above) 06-OCSEs-Ophthalmology_5e ccp.indd 155 19/03/2015 07:23
  • 171.
    Clinical Skills for OSCEs 156 Station 57 Adviceon sun protection Read in conjunction with Station 116: Explaining skills. Before starting • Introduce yourself to the patient. • Confirm his name and date of birth. • Tell him what you are going to explain, and determine how much he already knows. • Enquire about and explore any concerns that he may have. The advice Explain that there are three types of ultraviolet radiation from the sun: UVA, UVB, and UVC. • UVA and UVB can cause skin cancer (think UV-’Bad’). • UVC does not reach the surface of the earth and is therefore of no concern. Explain that, other than causing skin cancer, UV radiation can also cause the skin to burn and (horror!) to age prematurely. UV levels depend on a number of factors such as the time of day, time of year, latitude, altitude, cloud cover, and ozone cover. Explain that there are three principal methods of protecting against the sun’s rays: 1. Avoid the outdoors and seek shade. The sun’s rays are most direct around midday and so one should avoid being outdoors from around 11 am to 3 pm. 2. Cover up (clothing should include a wide-brimmed hat and sunglasses that conform to British and European Standard BS EN 1836:2005). 3. Use sunscreen. • A sunscreen’s star rating is a measure of its level of protection against UVA. • A sunscreen’s sun protection factor is a measure of its level of protection against UVB. • Use a sunscreen that has a star rating of at least three stars *** and an SPF of at least 15. • The sunscreen should be applied thickly over all sun-exposed areas, and re-applied regu- larly. It is important to stress that sunscreens should not simply be used as a means of spending more time in the sun. Finally advise the patient to report any moles that change in size, shape, colour, or texture. After giving the advice • Summarise the information and ensure that the patient has understood it. • Tell him that, if anything, he can remember ‘Slip, slap, slop’ – slip on some clothes, slap on a hat, and slop on sunscreen. • Ask him if he has any questions or concerns. • Give him a leaflet on sun protection. 06-OCSEs-Ophthalmology_5e ccp.indd 156 19/03/2015 07:23
  • 172.
    157 Paediatrics and geriatrics Station 58 Paediatric history Generalpoints: • As a rule of thumb, the older the child the more he should be involved in the history-taking process. Try to surreptitiously (indirectly) assess the child’s capacity. • Observe the child’s behaviour and interaction with the parent as you take the history. • The parent’s concerns and the child’s concerns are likely to differ: try as much as possible to address both. Before starting • Introduce yourself to the parent and child (in that order), and confirm the child’s name and date of birth. • Explain that you are going to ask some questions and obtain consent. • Ensure that the patient is comfortable; younger children may need some toys to keep them distracted. The history • Verify the sex, and preferred name of the child. • Confirm the relationship of the accompanying adult or adults. Presenting complaint and history of presenting complaint • Ask about the nature of the presenting complaint and how it has affected the child’s daily rou- tine. Start by using open questions and then explore the symptoms as you might in any other history. Ask about onset, duration, previous episodes, pain, associated symptoms (e.g. nausea, vomiting, diarrhoea, urinary frequency, constipation, altered consciousness), and treatments. Do not under any circumstances denigrate, or omit to address, the parent’s concerns. Systems review • The major systems should be covered briefly, placing the emphasis on areas of particular rel- evance. – general health: liveliness, change in behaviour, feeding, fever – ENT: sore throat, earache, infections, deafness, nose bleeds – CVS and RS: breathing problems (feeding problems in young infants), shortness of breath, exercise tolerance, colour changes (blue attacks, pallor), cough, croup, wheeze, stridor, chest infections, heart murmurs – GIS: weight gain, feeding, vomiting, diarrhoea, constipation, jaundice, abdominal pain – GUS: frequency, discharge, enuresis – NS: headaches, fits, visual disturbances, balance and coordination, muscle problems – MSS: limps, joint stiffness, pain, swelling, redness – skin: rash, eczema Past medical history Use the mnemonic ‘BINDS’, trying to be as age-appropriate as possible. • Birth history: – – Maternal obstetric history: gestation at delivery, mode of delivery, place of delivery, com- plications before, during, and after delivery, drug history and smoking and drinking during pregnancy 07-OCSEs-Paediatrics__Geriatrics_5e ccp.indd 157 19/03/2015 13:05
  • 173.
    Clinical Skills for OSCEs 158 Station 58Paediatric history – – Early paediatric history: birth weight, neonatal problems, admission to special care or neo- natal unit • Immunisations: are immunisations up to date? Have there been any problems? • Nutrition and growth: is the child eating and drinking? For an infant, enquire whether he is breast- or bottle-fed, how much he consumes (quantify), and how often. Ask for the child health record or ‘red book’ and survey the growth charts, immunisation history, and any other entries. • Development: do not ask whether the child is ‘developing normally’. Ask instead, “Do you have any concerns with his/her development?” • Social: is the child sleeping through the night? Is he playing as he usually does? Is he thriving at nursery or school? • Medical: asthma, diabetes, epilepsy, previous hospital admissions and surgery. Drug history • Prescribed and over-the-counter medications. • Allergies. Family history • Health of parents and siblings, especially if an infective aetiology is being considered. • Congenital/genetic abnormalities (“Are there any illnesses that run in the family?”). • Consanguinity (“Prior to getting married, were you and your partner related in any way?”). Social history • Parental occupation. • Details of home life, siblings. • Behaviour at home and at school. • Pets and smokers in the home (if relevant). After taking the history • Asktheparentandchildifthereisanythingthattheymightaddthatyouhaveforgottentoaskabout. • Ask the parent and child if they have any specific questions or concerns. • Thank the parent and child. • Summarise your findings and offer a differential diagnosis. Conditions most likely to come up in a paediatric history station • Respiratory conditions, e.g. asthma, upper respiratory tract infection. • Headache. • Behavioural problems, e.g. enuresis. • Fits, e.g. febrile convulsions, epilepsy. • Childhood infections/rashes and immunisation compliance (see Station 67: Child immunisation programme). 07-OCSEs-Paediatrics__Geriatrics_5e ccp.indd 158 19/03/2015 13:05
  • 174.
    159 Paediatrics and geriatrics Station 59 Developmental assessment Developmentin the early years of life is fairly consistent from child to child. Any significant deviation from this pattern requires further investigation or at least close follow-up. The developmental assessment is usually performed alongside a general paediatric history (see Station 58). However, in an OSCE setting, you may simply be asked to watch a short video and answer some questions about it. If you are asked to carry out a developmental assessment, remember to tailor your assessment to the age of the child, and that much of the assessment can be carried out by observation alone. Key stages for developmental assessment • Newborn • Supine infant (1.5–2 months) • Sitting infant (6–9 months) • Toddler (18–24 months) • Communicating child (3–4 years) The four areas in which development is assessed • Gross motor skills • Vision and fine movement • Hearing and language • Social behaviour Before starting • Introduce yourself to the parent and child, and confirm the child’s name and date of birth. • Explain that you would like to ask a few questions about how the child is doing, and obtain consent. • Ensure that the child is comfortable. Younger children may need toys to keep them distracted. • Ask to look at the child health record or ‘red book’. The assessment • Confirm the sex and preferred name of the child. • Do not ask whether the child is ‘developing normally’. Ask instead, “Do you have any concerns with his development?” • Be sure to verify whether any delay is in just one area or all four (gross developmental delay). 07-OCSEs-Paediatrics__Geriatrics_5e ccp.indd 159 19/03/2015 13:05
  • 175.
    Clinical Skills for OSCEs 160 Station 59Developmental assessment Table 23. Average age for the acquisition of milestones Key stages Age Gross motor skills Vision fine movement Hearing and language Social behaviour Newborn Birth – 1/12 Symmetrical movements, limbs flexed, head lag on pulling up Looks at light/ faces in direct line of vision Startles to noises and voices, cries Responds to parents, endogenous smile Supine infant 2/12 Raises head in prone position Eyes ‘fix and follow’ to midline Coos and grunts Exogenous smile, i.e. at faces or objects 3–4/12 Rolls over from supine to prone, sits with support Eyes follow past midline Laughs Sitting infant 6/12 Rolls over from prone to supine, sits unsupported Transfers objects from hand to hand Babbles, single syllable words (yes, no) Separation anxiety 9/12 Crawls and, from 10/12, ‘cruises’ (walks holding on to furniture) Pincer grasp Double syllable words (mama, bye-bye) Stranger anxiety, plays pat-a-cake and peek-a-boo Toddler 1 year Takes first steps Starts to feed himself Uses 10 words Onlooker and parallel play 18/12 Runs, walks carrying a toy Stacks 3 cubes Uses 10–20 words Temper tantrums 2 years Ascends stairs in child-like manner, arm throws a ball Copies a line, stacks 6 cubes Uses 200 words, pronouns, 2-word sentences Alone play continued 07-OCSEs-Paediatrics__Geriatrics_5e ccp.indd 160 19/03/2015 13:05
  • 176.
    Paediatrics and geriatrics 161 Station 59 Developmentalassessment Table 23. Average age for the acquisition of milestones – continued Key stages Age Gross motor skills Vision fine movement Hearing and language Social behaviour Communicating child 3 years Climbs stairs like an adult, descends stairs in child-like manner, jumps in one place, rides tricycle, catches ball with arms Copies a circle, stacks 9 cubes, builds bridge with cubes Uses 900 words and understands many more, uses compound sentences Knows own name and gender, understands ‘taking turns’, i.e. co-operates 4 years Climbs down stairs like an adult, hops on one foot, throws overhand Copies a cross and, from 4.5 years, a square Tells stories Imitates parents, has imaginary friends 5 years Stands on one leg, catches ball with hands Copies a triangle Asks the meaning of words Conforms with peers Red flags • ‘Red flags’ that call for further investigation include the absence of: – – smiling at 2/12 – – good eye contact at 3/12 – – sitting at 9/12 – – walking at 18/12 – – 2–3 word sentence construction at 2.5 years After the assessment • Ask the parent if there is anything they might add that you have forgotten to ask about. • Ask the parent if they have any specific questions or concerns. • Thank the parent and child. • Summarise your findings and offer a differential diagnosis. Conditions most likely to come up in a developmental assessment station • Late walker (18 months). • Visual or hearing impairment. • Developmental disorder, e.g. autism. • Emotional disorder, e.g. enuresis (5 years), elective mutism, sleep disorder. • Behavioural disorder, e.g. conduct disorder, ADHD. • Gross developmental delay from e.g. mental retardation, genetic abnormality, brain injury, congenital infection, endocrine disorder. 07-OCSEs-Paediatrics__Geriatrics_5e ccp.indd 161 19/03/2015 13:05
  • 177.
    Clinical Skills for OSCEs 162 Station 60 Neonatalexamination Specifications: A mannequin in lieu of a baby. The baby’s‘mother’is also in the room. Before starting • Introduce yourself to the mother, and confirm the baby’s name and date of birth. • Explain the examination, and ask for consent. • Wash your hands. • Ask the mother about: – complications of the pregnancy, if any – type of delivery and any complications – the baby’s gestational age at the time of birth – the baby’s birth weight – the baby’s feeding, urination, and defecation – any concerns that she might have about the baby – how she herself is coping with the new arrival The examination General inspection • Although it is important to be systematic, an opportunistic approach to the examination may be necessary. • Note size, colour (e.g. cyanosis, jaundice), posture, tone, movements, skin abnormalities (e.g. birth marks, petechiae, rash, haemangioma, Mongolian blue spot), and any other obvious abnormalities (e.g. dysmorphic features or birth trauma such as forceps marks or chignon). Are there any signs of pain or respiratory distress? Head • Gently palpate the anterior and posterior fontanelles for bulging (raised intracranial pressure) or depression (dehydration). • Measure the head circumference with the tape measure passing above the ears. Head circum- ference in the neonate should be 33–38 cm. Figure 39. Neonatal examination, general order of the examination. 07-OCSEs-Paediatrics__Geriatrics_5e ccp.indd 162 19/03/2015 13:05
  • 178.
    Paediatrics and geriatrics 163 Station 60 Neonatalexamination Face • Inspect the face for dysmorphological features, e.g. dysplastic or folded ears, upward slanting palpebral fissures, and a flat nasal bridge (all may be seen in Down syndrome). • Inspect the sclerae for redness (subconjunctival haemorrhage related to birth trauma) and the irises for Brushfield spots (Down syndrome). • Using an ophthalmoscope, test the red reflex (congenital cataracts if the red reflex is absent, retinoblastoma if instead there is a white reflex) and pupillary reflexes. • Test eye movements (squint). • Check the patency of the ears and nostrils. • Elicit the rooting reflex by lightly touching a corner of the baby’s mouth. • Introduce a finger into the baby’s mouth and palpate the roof of the mouth with the finger pulp to assess the sucking reflex and soft palate (cleft palate). • Also examine the soft palate using a torch and spatula. Chest • Inspect the chest for signs of laboured breathing and for deformities, e.g. pectus carinatum, pectus excavatum, shield-shaped chest with widely-spaced nipples (Turner syndrome). • Take the brachial and femoral pulses, one after the other and then both at the same time (brachio-femoral delay). Pulse rate in the neonate should be 100–160. • Palpate the precordium and locate the apex beat. • Auscultate the heart using the bell of your stethoscope (congenital heart defects). • Auscultate the lungs using the diaphragm of your stethoscope. Turn the infant over and listen over the back. The respiratory rate should be less than 60 breaths per minute. Back • Examine the spine, focusing on the sacral pit (neural tube defects). • Check the position and patency of the anus (anal atresia). • Enquire as to when the baby first passed stool. Ideally, this should have been within 24 hours of birth. Abdomen • Inspect the abdomen and the umbilical stump. • Palpate the abdomen. • Palpate specifically for the spleen, liver, and kidneys (thumb in front, finger in the loin), and for any masses. • Auscultate for bowel sounds. • Feel in the inguinoscrotal region for inguinal hernias. • Examine the genitalia, in male infants note the position of the urethral meatus (hypospadias) and feel for the testicles (undescended testes). • Feel for the femoral pulses (coarctation of the aorta). Hips • Ortolani test. With your thumbs on the inner aspects of the thighs and your index and middle fingers over the greater trochanters, flex the hips and knees to 90 degrees and then abduct the hips (an audible and palpable clunk indicates relocation of a dislocated hip). • Barlow test. Next, adduct them whilst applying downward pressure with your thumbs (an audi- ble and palpable clunk indicates an unstable hip that can be dislocated). 07-OCSEs-Paediatrics__Geriatrics_5e ccp.indd 163 19/03/2015 13:05
  • 179.
    Clinical Skills for OSCEs 164 Station 60Neonatal examination Arms and hands • Inspect the arms and hands, paying particular attention to the palmar creases (Simian crease – Down syndrome). • Count the number of digits on each hand (polydactyly). Feet • Inspect the feet for deformities such as club foot and ‘sandal gap’ and test their range of move- ment. • Count the number of digits on each foot (polydactyly). Posture and reflexes • Head lag. Lay the baby supine and pull up the upper body by the arms – the head should first ‘lag’ back, then straighten and fall forward. • Ventral suspension. Hold the baby prone – the head should lie above the midline. • Moro or startle reflex. Lift the head and shoulders and then suddenly drop them back – the arms and legs should abduct and extend symmetrically, and then adduct and flex (NB. This test should be conducted as safely and sensitively as possible. For instance, it could be carried out with the baby only slightly raised from the cot mattress.). • Grasp reflex. Place a finger in the baby’s hand – the hand should close around your finger. Ortolani test Barlow test Figure 40. The Ortolani and Barlow tests. 07-OCSEs-Paediatrics__Geriatrics_5e ccp.indd 164 19/03/2015 13:05
  • 180.
    Paediatrics and geriatrics 165 Station 60 Neonatalexamination After the neonatal examination • State that you would also measure and weigh the baby and record your findings on a growth centile chart. • Summarise your findings. • Reassure the mother, and tell her that you are going to have the baby examined by a senior colleague. Figure 41. Eliciting the Moro reflex. 07-OCSEs-Paediatrics__Geriatrics_5e ccp.indd 165 19/03/2015 13:05
  • 181.
    Clinical Skills for OSCEs 166 Station 61 Thesix-week surveillance review Specifications: A mannequin in lieu of a baby. The six-week ‘baby check’is part of the Newborn and Infant Physical Examination programme. It involves a physical examination and review of development. However, it is also an opportunity to give health promotion advice and for the parent or parents to express concerns. Before starting • Introduce yourself to the parent, and confirm the baby’s name and date of birth. • Explain the nature of the examination and obtain consent. • Ask for the child health record or ‘red book’. The history • Ask for the exact age, sex, and preferred name of the child. Main concerns • Ask if the parent has any specific concerns. Past medical history • Birth history: – pregnancy – gestation – delivery – birth weight – neonatal history • Present health: – current health status, including feeding regimen and weight gain – medication – social history The examination PART 1 – DEVELOPMENTAL ASSESSMENT Motor skills • Symmetrical limb movements. • Head lag. Vision and fine movement • Looks at light/faces. • Follows an object. Hearing and language • Responds to noises/voices. • Normal cry. • Ask parent if they are concerned about the baby’s hearing. 07-OCSEs-Paediatrics__Geriatrics_5e ccp.indd 166 19/03/2015 13:05
  • 182.
    Paediatrics and geriatrics 167 Station 61 Thesix-week surveillance review Social behaviour • Smiles responsively. PART 2 – PHYSICAL EXAMINATION • Wash your hands General inspection • Overall size and colour, i.e. is the baby cyanosed or jaundiced? • Skin abnormalities such as birth marks, petechiae, or rash. • Other obvious abnormalities such as dysmorphic features. • Posture, tone, and movements. • Signs of respiratory distress Growth • Weight. • Length. • Head circumference. • Plot findings on a centile chart. Head • Palpate the fontanelles. Face • Eyes: red reflex, pupillary reflexes, and eye movements (squints). • Ears. • Mouth – use a pen torch (high arched or cleft palate). Chest • Feel for the radial and femoral pulses. • Auscultate the heart. • Auscultate the lungs. Back • Examine the spine, particularly the sacral pit. Abdomen • Inspect and palpate the abdomen. • Examine the external genitalia. Hips • Abduct the hips (Ortolani test, see Figure 40). • Next, adduct them whilst applying downward pressure with your thumbs (Barlow test, see Figure 40). 07-OCSEs-Paediatrics__Geriatrics_5e ccp.indd 167 19/03/2015 13:05
  • 183.
    Clinical Skills for OSCEs 168 Station 61The six-week surveillance review After the surveillance review • Discuss your findings with the parent. • Use the opportunity for health promotion, e.g. immunisations, breastfeeding, car safety, acci- dent prevention, risks of passive smoking, reducing the risk of sudden infant death syndrome, services available for the parents of young children. • Consider maternal mental health. How is mum coping? Is there any suggestion of postnatal depression? • Elicit any remaining concerns that the parent may have. • Thank the parent. 07-OCSEs-Paediatrics__Geriatrics_5e ccp.indd 168 19/03/2015 13:05
  • 184.
    169 Paediatrics and geriatrics Station 62 Paediatric examination:cardiovascular system Read in conjunction with Station 13. If you are asked to examine the cardiovascular system of a younger child (an unlikely event), be prepared to change the order of your examination and to modify your technique as appropriate. For example, you may need to examine the child on his parent’s knees or auscultate his heart as soon as he stops crying. As in all paediatric stations, the quality of your rapport with the child will be of considerable importance. Before starting • Introduce yourself to the child and the parent, and confirm the child’s name and date of birth. • Explain the examination and ask for consent to carry it out. • Position the child at 45 degrees, and ask him to remove his top(s). • Ensure that he is comfortable. The examination General inspection • From the end of the couch, inspect the child carefully, looking for any obvious abnormalities in his general appearance and in particular for any dysmorphic features suggestive of Down syndrome (e.g. oblique eye fissures, epicanthic folds, Brushfield spots, flat nasal bridge, Simian crease), Turner syndrome (e.g. short stature, low-set ears, webbed neck, shield chest), or Marfan syndrome (e.g. tall stature, elongated limbs, pectus carinatum or pectus excavatum). • Does the child look his age? Ask to look at the growth chart. • Is he breathless or cyanosed? • Look around the child for clues such as a oxygen, PEFR meter, inhalers, etc. • Inspect the precordium and the chest for any scars and pulsations. A median sternotomy or thoracotomy scar under the axillae may indicate the repair of a congenital heart defect such as a patent ductus arteriosus or a ventricular septal defect. Inspection and examination of the hands • Take both hands and assess them for: – colour and temperature – clubbing (cyanotic congenital heart disease) – nail signs • Determine the rate, rhythm, and character of both radial pulses (in younger infants, the brachial pulses). Take both femoral pulses at the same time to exclude a radiofemoral delay (coarctation of the aorta). • Indicate that you would record the blood pressure in both arms. If you are asked to record the blood pressure, remember to use a cuff of appropriate size. 07-OCSEs-Paediatrics__Geriatrics_5e ccp.indd 169 19/03/2015 13:05
  • 185.
    Clinical Skills for OSCEs 170 Station 62Paediatric examination: cardiovascular system Table 24. Normal pulse rates in children Age in years Pulse (beats per minute) 1 100–160 2–4 90–140 4–10 80–140 10 65–100 Inspection and examination of the head and neck • Inspect the conjunctivae for signs of anaemia or jaundice. • Inspect the mouth and tongue for signs of central cyanosis and a high arched palate (Marfan syndrome). • Assess the jugular venous pressure (difficult in very young infants). • Locate the carotid pulse and assess its character. Palpation of the heart Ask the child if he has any pain in the chest. • Determine the location and character of the apex beat. In children (up to 8 years), this is found in the fourth intercostal space in the mid-clavicular line. • Palpate the precordium for thrills and heaves. Auscultation of the heart Warm up the diaphragm of your stethoscope. • Listen for heart sounds, additional sounds, and murmurs. Using the stethoscope’s diaphragm, listen in: – the aortic area – the pulmonary area – the tricuspid area – the mitral area (See Station 13, Figure 7.) • Any murmur heard must be classified according to: – timing (systolic or diastolic) – grading (I–VI) – site (aortic, pulmonary, tricuspid, or mitral) – radiation (carotids or axilla, or no radiation) Innocent murmurs are common in childhood Innocent murmurs are: • Systolic. • Low-grade. • Heard over only a relatively small area. • Asymptomatic. 07-OCSEs-Paediatrics__Geriatrics_5e ccp.indd 170 19/03/2015 13:05
  • 186.
    Paediatrics and geriatrics 171 Station 62 Paediatricexamination: cardiovascular system Chest examination Auscultate the bases of the lungs and check for sacral oedema. Abdominal examination Palpate the abdomen to exclude ascites and/or an enlarged liver (congestive heart failure). Note that the liver edge can usually be palpated in younger infants. Peripheral pulses Feel the temperature of the feet, palpate the femoral pulses, and check for pedal oedema. After the examination • Cover the child. • Ask the child and parent if they have any questions or concerns. • Thank the child and parent. • Indicate that you would test the urine, examine the retina with an ophthalmoscope and, if appropriate, order some key investigations, e.g. a CXR, ECG, echocardiogram. • Summarise your findings and offer a differential diagnosis. Conditions most likely to come up in a paediatric cardiovascular examination station Ventricular septal defect (VSD) • Pansystolic murmur best heard over the left lower sternal edge and possibly accompanied by a palpable thrill, parasternal heave, and displaced apex beat. Most VSDs are small and asymptomatic and may close spontaneously within the first year of life. However, a large VSD may progressively lead to higher pulmonary resistance and, finally, to irreversible pulmonary vascular changes, producing the so-called Eisenmenger syndrome (reversal of shunt to right- to-left shunt). Eisenmenger syndrome can also result from atrial septal defect and patent ductus arteriosus. Patent ductus arteriosus (PDA) • Continuous machine-like murmur best heard over the pulmonary area and possibly accompanied by a left subclavicular thrill, displaced apex beat, and collapsing pulse. The first heart sound is normal but the second is often obscured by the murmur. The ductus arteriosus is a shunt that runs from the pulmonary artery to the descending aorta and which enables blood to bypass the closed lungs in utero. A small PDA may cause no signs or symptoms and may go undetected into adulthood, but a large one can cause signs and symptoms of heart failure soon after birth. Atrial septal defect • Ejection systolic murmur best heard in the pulmonary area due to increased blood flow across the pulmonary valve with an associated mid-diastolic murmur best heard in the tricuspid area due to increased blood flow across the tricuspid valve. These murmurs, neither of which is particularly loud, are accompanied by a wide fixed splitting of the second heart sound (S2 ) and a displaced apex beat. The patient is often asymptomatic. 07-OCSEs-Paediatrics__Geriatrics_5e ccp.indd 171 19/03/2015 13:05
  • 187.
    Clinical Skills for OSCEs 172 Station 62Paediatric examination: cardiovascular system Pulmonary stenosis • Loud ejection systolic murmur with an ejection click that is best heard in the pulmonary area. This murmur may be accompanied by a widely split second heart sound, and by a systolic thrill and parasternal heave. The patient is often asymptomatic. Aortic stenosis • Ejection systolic murmur with an ejection click best heard in the aortic area and radiating to the carotids. The murmur may be accompanied by a slow-rising pulse and a heaving cardiac apex. The patient is often asymptomatic. Coarctation of the aorta • Arterial hypertension in the right arm with normal to low blood pressure in the legs. There is radio-femoral delay between the right arm and the femoral artery and, in severe cases, a weak or absent femoral artery pulse. In contrast, mild cases may go undetected into adulthood. Tetralogy of Fallot • The tetralogy refers to VSD, pulmonary stenosis, overriding aorta, and right ventricular hypertrophy, and there may also be other anatomical abnormalities. There is cyanosis from birth or developing in the first year of life. 07-OCSEs-Paediatrics__Geriatrics_5e ccp.indd 172 19/03/2015 13:05
  • 188.
    173 Paediatrics and geriatrics Station 63 Paediatric examination:respiratory system Read in conjunction with Station 17. If you are asked to examine the respiratory system of a younger child (an unlikely event), be prepared to change the order of your examination and to modify your technique as appropriate. For example, you may need to examine the child on his parent’s knees or auscultate his chest as soon as he stops crying. As in all paediatric stations, the quality of your rapport with the child will be of considerable importance. Before starting • Introduce yourself to the child and parent, and confirm the child’s name and date of birth. • Explain the examination and ask for consent to carry it out. • Position the child at 45 degrees, and ask him to remove his top(s). • Ensure that he is comfortable. The examination General inspection • From the end of the couch inspect the child carefully, looking for any obvious abnormalities in his general appearance. • Does the child look his age? Ask to look at the growth chart. • Is he breathless or cyanosed? • Is his breathing audible? • Note the rate, depth, and regularity of his breathing. • Look around the child for clues such as a PEFR meter, inhalers, etc. Table 25. Normal respiratory rates in children Age in years Respiratory rate (breaths per minute) Premature infant 40–60 Term infant 30–50 6 years 19–24 12 years 16–21 Look for: • Deformities of the chest (barrel chest, pectus excavatum, pectus carinatum) and spine. • Asymmetry of chest expansion. • Signs of respiratory distress such as the use of accessory muscles of respiration, suprasternal, inter- costal, and/or subcostal recession, nasal flaring, grunting, tracheal tug, and difficulty speaking. • Added sounds such as cough, croup, wheeze, stridor. • Harrison’s sulcus (horizontal subcostal groove; in a child, suggestive of asthma). • Operative scars. Inspection and examination of the hands • Take both hands and assess them for colour and temperature. • Look for clubbing. 07-OCSEs-Paediatrics__Geriatrics_5e ccp.indd 173 19/03/2015 13:05
  • 189.
    Clinical Skills for OSCEs 174 Station 63Paediatric examination: respiratory system • Determine the rate, rhythm, and character of the radial pulse (in younger infants, the brachial pulse). • State that you would record the blood pressure. Inspection and examination of the head and neck • Inspect the conjunctivae for signs of anaemia. • Inspect the mouth for signs of central cyanosis. • Assess the jugular venous pressure and jugular venous pulse form. • Palpate the cervical, supraclavicular, infraclavicular, and axillary lymph nodes. Palpation of the chest Ask the child if he has any pain in the chest. • Palpate for tracheal deviation by placing the index and middle fingers of one hand on either side of the trachea in the suprasternal notch. (As this may be uncomfortable, it is probably best omitted in younger children.) • Palpate for the position of the cardiac apex. [Note] Carry out all subsequent steps on the front of the chest and, once this is done, repeat them on the back of the chest. • Palpate for equal chest expansion, comparing one side to the other. • Palpate for tactile fremitus. Percussion of the chest • Percuss the chest. Start at the apex of one lung and compare one side to the other. Do not forget to percuss over the clavicles and on the sides of the chest. Note that percussion of the chest is not useful in young infants. Auscultation of the chest Warm up the diaphragm of your stethoscope. • If old enough, ask the child to take deep breaths through the mouth and, using the diaphragm of the stethoscope, auscultate the chest. Start at the apex of one lung, and compare one side to the other. Are the breath sounds vesicular or bronchial? Are there any added sounds? Oedema • Assess for sacral and pedal oedema. After the examination • Cover the child. • Ask the child and parent if they have any questions or concerns. • Thank the child and parent. • Indicate that you would like to look at the sputum pot, measure the PEFR and, if appropriate, order some key investigations, e.g. a CXR, FBC, etc. • Summarise your findings and offer a differential diagnosis. 07-OCSEs-Paediatrics__Geriatrics_5e ccp.indd 174 19/03/2015 13:05
  • 190.
    Paediatrics and geriatrics 175 Station 63 Paediatricexamination: respiratory system Conditions most likely to come up in a paediatric respiratory examination station Cystic fibrosis • Autosomal recessive progressive multisystem disease that is related to a mutation in the CFTR gene and that leads to viscous secretions. • In terms of the respiratory system, findings on physical examination may include delayed growth and development, finger clubbing, nasal polyps, recurrent chest infections, shortness of breath, coughing with copious phlegm production, haemoptysis, hyper-inflated chest, cor pulmonale. Broncho-pulmonary dysplasia (BPD) • Chronic lung disorder that involves inflammation and scarring in the lungs and which is most common among children who were born prematurely and who received prolonged mechanical ventilation for respiratory distress syndrome. • Findings on physical examination may include delayed growth and development, shortness of breath, crackles, wheezes and decreased breath sounds, hyper-inflated chest, cor pulmonale. Pneumonia • Findings on physical examination may include signs of consolidation accompanied by fever, lethargy, poor feeding, shortness of breath, productive cough, and, in some cases, haemoptysis and pleuritic chest pain. Asthma • Findings on physical examination may include shortness of breath, chest tightness, wheezing and coughing, signs of respiratory distress such as the use of accessory muscles of respiration and intercostal recession, hyper-inflated chest. 07-OCSEs-Paediatrics__Geriatrics_5e ccp.indd 175 19/03/2015 13:05
  • 191.
    Clinical Skills for OSCEs 176 Station 64 Paediatricexamination: abdomen Read in conjunction with Station 22. Before starting • Introduce yourself to the child and parent, and confirm the child’s name and date of birth. • Explain the examination and ask for consent to carry it out. • Position the child so that he is lying flat and expose his abdomen as much as possible (custom- arily ‘nipples to knees’, although this is not appropriate in an OSCE setting). • Ensure that he is comfortable. The examination General inspection • From the end of the couch, observe the child’s general appearance: – – does the child look his age? Ask to look at the growth chart – – nutritional status – – state of health/other obvious signs • Inspect the abdomen noting any: – – distension – – localised masses – – scars and skin changes • Look around the child for clues such as oxygen, tubes, drains, etc. A distended abdomen is often a normal finding in younger infants. Inspection and examination of the hands • Take both hands looking for: – – temperature and colour – – clubbing (malabsorption, inflammatory bowel disease, primary biliary cirrhosis) – – nail signs • Take the pulse. Inspection and examination of the head, neck, and upper body • Inspect the sclera and conjunctivae for signs of jaundice or anaemia. • Inspect the mouth, looking for ulcers (Crohn’s disease), angular stomatitis (nutritional defi- ciency), atrophic glossitis (iron deficiency, vitamin B12 deficiency, folate deficiency), furring of the tongue (loss of appetite), and the state of the dentition. • Examine the neck for lymphadenopathy. Palpation of the abdomen • Abdominal palpation can be difficult in children if they do not relax the abdominal muscles. Attempt to distract the child by handing him a toy or try to make him relax by coaxing him into palpating his abdomen and then copying his actions. 07-OCSEs-Paediatrics__Geriatrics_5e ccp.indd 176 19/03/2015 13:05
  • 192.
    Paediatrics and geriatrics 177 Station 64 Paediatricexamination: abdomen Ask the child if he has any tummy pain and keep your eyes on his face as you begin palpating his abdomen. • Light palpation – begin by palpating furthest from the area of pain or discomfort and systemati- cally palpate in the four quadrants and the umbilical area. Look for tenderness, guarding, and any masses. • Deep palpation – for greater precision. Describe and localise any masses. Palpation of the organs • Liver – starting in the right lower quadrant, feel for the liver edge using the flat of your hand. Note that in younger infants the liver edge is normally palpable (1cm). • Spleen – palpate for the spleen as for the liver, starting in the right lower quadrant. • Kidneys – position the child close to the edge of the bed and ballot each kidney using the tech- nique of deep bimanual palpation. Beyond the neonatal period, it is unlikely that you should be able to feel a normal kidney. Percussion • Percuss the liver area, also remembering to detect its upper border. • Percuss the suprapubic area for dullness (bladder distension). • If the abdomen is distended, test for shifting dullness (ascites). Auscultation • Auscultate in the mid-abdomen for abdominal sounds. Listen for 30 seconds at least before concluding that they are hyperactive, hypoactive, or absent. Examination of the groins and genitalia • Inspect the groins for hernias and, in boys, examine the testes (this is particularly important in younger infants). • Note that examination of the groins and genitalia may only need to be mentioned, as it is not usually carried out in the OSCE setting. Rectal examination • PR is not routine practice in paediatrics and should be avoided unless specifically indicated. After the examination • Ask to test the urine. • Cover the child. • Ask the child and parent if they have any questions or concerns. • Indicate that you would test the urine and order some key investigations, e.g. ultrasound scan, FBC, LFTs, UEs, and clotting screen. • Thank the child and parent. • Summarise your findings and offer a differential diagnosis. 07-OCSEs-Paediatrics__Geriatrics_5e ccp.indd 177 19/03/2015 13:05
  • 193.
    Clinical Skills for OSCEs 178 Station 64Paediatric examination: abdomen Conditions most likely to come up in a paediatric abdomen station Constipation • The majority of children with constipation do not have a medical disorder causing the constipation. Many things can contribute to constipation such as avoidance of the toilet (for various reasons), changes in diet or poor diet, and dehydration. • Medical disorders that can cause chronic constipation include hypothyroidism, diabetes, cystic fibrosis, and disorders of the nervous system such as cerebral palsy and mental retardation. Constipation since birth may be from Hirschsprung disease (a.k.a. congenital aganglionic megacolon). • Other causes of chronic constipation include depression, drug side-effects, coercive toilet training, and sexual abuse. Coeliac disease • An autoimmune disorder of the small intestine that occurs in genetically predisposed people of all ages, but often from infancy. It is caused by a reaction to gliadin, a prolamin (gluten protein) found in wheat, barley, and rye, and results in villous atrophy. • Symptoms include abdominal pain and cramping, diarrhoea, steatorrhoea, failure to thrive, and fatigue. Signs include short stature, a distended abdomen, wasted buttocks, mouth ulcers, and signs of anaemia. Kidney transplant • A kidney transplant has been required as a consequence of end-stage renal failure, which may itself have been a consequence of a birth defect, a structural malformation, a hereditary disease such as polycystic kidney disease or Alport syndrome, a glomerular disease, or a systemic disease such as diabetes or lupus. 07-OCSEs-Paediatrics__Geriatrics_5e ccp.indd 178 19/03/2015 13:05
  • 194.
    179 Paediatrics and geriatrics Station 65 Paediatric examination:gait and neurological function Before starting • Introduce yourself to the child and parent, and confirm the child’s name and date of birth. • Explain the examination and ask for consent to carry it out. • Ensure that he is comfortable. Examination of neurological function in children is principally a matter of observation. If the child is old enough to obey commands, a more formal assessment of gait and neurological function can be carried out, as in adults. The examination Neurological overview • A brief developmental assessment should be performed to enable you to gauge the child’s subsequent performance. Ask the parent the child’s age and if there are any concerns about the child’s vision and/or hearing. Gait and movement • If the child is too young to walk, observe him crawling or playing. Is he using all his limbs equally? • If possible, observe the child walking and running. Common abnormalities of gait in children include: – – scissoring or tiptoeing gait: suggestive of cerebral palsy or of Duchenne muscular dystrophy – – broad-based gait: suggestive of a cerebellar disorder – – limp: limps have many causes including dislocated hip, trauma, sepsis, and arthritis • If possible, observe the child rising from the floor. The Gower sign (the child rising from the floor by ‘climbing’ up his legs) is suggestive of Duchenne muscular dystrophy. Inspection • Inspect all four limbs, in particular looking for muscle wasting or hypertrophy. Hypertrophy of the calves is suggestive of Duchenne muscular dystrophy. Tone • Assess tone and range of movement in all four limbs. • In younger children also assess truncal tone by trying to get the child to sit unsupported. • In young infants test head lag by lying the infant supine and pulling up his upper body by the arms. Power • Observe the child playing, and look for appropriate anti-gravity movement. A more formal assessment can be carried out if the child is old enough to follow instructions. Reflexes • Check all reflexes as in the adult. In a younger child, prefer your finger to a tendon hammer. Practice is the key! 07-OCSEs-Paediatrics__Geriatrics_5e ccp.indd 179 19/03/2015 13:05
  • 195.
    Clinical Skills for OSCEs 180 Station 65Paediatric examination: gait and neurological function • Note that eliciting the Babinsky sign (extensor plantar reflex) is not very discriminative in children. Co-ordination • If the child is old enough to carry out instructions, assess co-ordination by the finger-to-nose test or just by asking the child to jump or hop. If the child cannot carry out instructions, give him toys or some bricks and assess his co-ordination by observing him at play. Sensation • Indicate that you would test sensation. Cranial nerves • Indicate that you would test the cranial nerves – where possible this is done as in the adult. After the examination • Thank the parent and child. • If appropriate, indicate that you would order some key investigations, e.g. CT, MRI, nerve con- duction studies, electromyography, etc. • Summarise your findings and offer a differential diagnosis. Conditions most likely to come up in a paediatric gait and neurological function station Cerebral palsy • In most cases of cerebral palsy there is a spastic, scissoring gait. The hips, knees, and ankles are flexed, producing a crouching and tiptoeing demeanour. In addition, the hips are adducted and internally rotated, such that the knees cross or hit each other in a scissor-like movement. There is a similar pattern of flexion and adduction in the upper limbs. Duchenne muscular dystrophy • Severe recessive X-linked form of muscular dystrophy. • There is rapid progression of muscle degeneration leading to generalised and symmetrical weakness of the proximal muscles. • Symptoms and signs include muscle wasting, pseudohypertrophy of the calves, waddling gait, toe walking, frequent falls, poor endurance, difficulties running, jumping, or climbing stairs, difficulties standing unaided, and positive Gower’s sign, with the child ‘walking’ his hands up his legs to stand upright. Myotonic dystrophy • Autosomal dominant progressive and highly variable multisystemic disease characterised by muscle wasting, myotonia (delayed relaxation of the muscles after voluntary contraction), cataracts, heart conduction defects, endocrine defects, and cognitive abnormalities, amongst others. • The first muscles to be affected by wasting and weakness are typically those of the face and neck (leading to a ‘fish face’ and ‘swan neck’ appearance), hands, forearms, and feet. • The disease commonly affects adults but it has several forms and can also present as early as birth. Ex-premature infant 07-OCSEs-Paediatrics__Geriatrics_5e ccp.indd 180 19/03/2015 13:05
  • 196.
    181 Paediatrics and geriatrics Station 66 Infant andchild Basic Life Support Specifications: A mannequin in lieu of an infant or child. [Note] For the purposes of Basic Life Support, an infant is defined as being under 1 year, and a child as being between 1 year and puberty. Figure 42. Paediatric Basic Life Support algorithm. Resuscitation Guidelines 2010. • Ensure the safety of the rescuer and child • Check the child’s responsiveness by gently stimulating the child and asking loudly, ‘Are you all right?’ Do not shake infants or children with suspected cervical spine injuries. UNRESPONSIVE ? Shout for help Shout for help Open airway NOT BREATHING NORMALLY ? NO SIGNS OF LIFE? 5 rescue breaths 15 chest compressions 2 rescue breaths 15 compressions Call resuscitation team 07-OCSEs-Paediatrics__Geriatrics_5e ccp.indd 181 19/03/2015 13:05
  • 197.
    Clinical Skills for OSCEs 182 Station 66Infant and child Basic Life Support • If the child responds by answering or moving: – – leave the child in the position in which you find him (provided he is not in further danger) – – check his condition and get help if needed – – reassess him regularly • If the child does not respond: – – shout for help – – turn the child onto his back and open his airway by using the head-tilt, chin-lift technique (see Station 91); if you have difficulty opening the airway using the head-tilt, chin-lift tech- nique, try the jaw-thrust technique (see Station 93) If you suspect that there may have been injury to the neck, try to open the airway using chin lift or jaw thrust alone. If this is unsuccessful, add head tilt a small amount at a time until the airway is open. • Holding the child’s airway open, put your face close to his mouth and look along his chest. Listen, feel, and look for breathing for no more than 10 seconds. • If the child is breathing normally: – – turn him into the recovery position – – send for help – – check for continued breathing • If he is not breathing normally or is making agonal gasps (infrequent, irregular breaths): – – carefully remove any obvious airway obstruction – – give 5 initial rescue breaths • While performing the rescue breaths, note any gag or cough response to your action. • To deliver rescue breaths to a child over 1 year: – – ensure head tilt and chin lift – – pinch the soft part of his nose closed with the index finger and thumb of the hand on his forehead – – allow his mouth to open, but maintain chin lift – – take a breath and place your lips around his mouth, making sure that you have a good seal – – blow steadily into his mouth over 1–1.5 seconds, watching for his chest to rise – – maintaining head tilt and chin lift, take your mouth away from the victim and watch for his chest to fall – – take another breath and repeat this sequence 4 more times • To deliver rescue breaths to an infant: – – ensure a neutral position of the head and apply chin lift – – take a breath and cover the mouth and nasal apertures of the infant with your mouth, making sure you have a good seal – – blow steadily into the infant’s mouth and nose over 1–1.5 seconds so that the chest rises visibly – – maintaining head tilt and chin lift, take your mouth away from the victim and watch for his chest to fall – – take another breath and repeat this sequence 4 more times • If you have difficulty achieving an effective breath, the airway may be obstructed. – – open the child’s mouth and remove any visible obstruction – – ensure that there is adequate head tilt and chin lift, but also that the neck is not over extended – – if the head-tilt, chin-lift method has not opened the airway, try the jaw thrust method – – make up to 5 attempts to achieve effective rescue breaths. If still unsuccessful, move on to chest compression • Check for signs of a circulation (signs of life). – – take no more than 10 seconds to check for signs of circulation such as movement, coughing, or normal breathing (but not agonal gasps) 07-OCSEs-Paediatrics__Geriatrics_5e ccp.indd 182 19/03/2015 13:05
  • 198.
    Paediatrics and geriatrics 183 Station 66 Infantand child Basic Life Support – – check the pulse but take no longer than 10 seconds to do this. In a child check the carotid pulse, in an infant check the brachial pulse • If you are confident that you have detected signs of circulation: – – continue rescue breathing, if necessary, until the child starts breathing effectively on his own – – turn the child into the recovery position if he remains unconscious – – reassess the child frequently • If there are no signs of life, unless you are CERTAIN that you can feel a definite pulse of greater than 60 beats per minute within 10 seconds, start chest compression. To deliver chest compres- sions to all children, compress the lower third of the sternum. – – locate the xiphisternum and compress the sternum one finger’s breadth above this – – compress the sternum by one-third of the depth of the chest or more. In infants, use the tips of two fingers or, if there are two or more rescuers, use the encircling technique with two thumbs. In children, use the heel of one hand or, in larger children, the heels of both hands, as in adults – – aim for a rate of 100–120 compressions per minute • After 15 compressions, tilt the head, lift the chin, and give two effective breaths. • Continue compressions and breaths in a ratio of 15:2. • Continue resuscitation until the child shows signs of life (spontaneous respiration, pulse, move- ment) or further help arrives or you become exhausted. When to go for assistance • If more than one rescuer is present, one rescuer begins resuscitation whilst another goes for assistance. • If only one rescuer is present, he should undertake resuscitation for 1 minute before going for assistance. It may be possible for him to carry the infant or child whilst going for assistance. • The exception to this rule is in the case of a child with a witnessed, sudden collapse when the rescuer is alone. In this case the cause is likely to be an arrhythmia and the child may need defibrillation. Go for assistance immediately if there is no one to go for you. Adapted from Resuscitation Council (UK), 2010 Guidelines. 07-OCSEs-Paediatrics__Geriatrics_5e ccp.indd 183 19/03/2015 13:05
  • 199.
    Clinical Skills for OSCEs 184 Station 67 Childimmunisation programme The instructions for this station may involve explaining the immunisation programme to a parent, or talking to an anxious parent about the pros and cons of the MMR vaccine. This station covers the facts, see Station 116: Explaining skills for the method. Table 26. The UK Immunisation Schedule Age Vaccine Specifications 2 months DTP triple vaccine (diphtheria, tetanus and pertussis) Hib (Haemophilus influenzae type b) Polio 1 injection PCV (pneumococcal conjugate vaccine) 1 injection Rotavirus Oral 3 months DTP + Hib + polio (2nd dose) 1 injection MenC (meningitis C) 1 injection Rotavirus (2nd dose) Oral 4 months DTP + Hib + polio (3rd dose) 1 injection PCV (2nd dose) 1 injection 12–13 months Hib/MenC (4th dose of Hib and 2nd dose of MenC) 1 injection MMR (measles, mumps, and rubella) 1 injection PCV (3rd dose) 1 injection 2 and 3 years H. influenzae Nasal spray, annual Around 3 years, 4 months (pre-school age booster) DTP polio (booster) 1 injection MMR (2nd dose) 1 injection Around 12–13 years (girls) HPV (human papillomavirus) 3 injections over 6 months Around 13–15 years MenC (booster) 1 injection Around 13–18 years Diphtheria (low dose) + tetanus + polio 1 injection Adults H. influenzae 1 injection annually if aged ≥65 or in a high-risk group PPV (pneumococcal polysaccharide vaccine) 1 injection at/after age 65 Shingles 1 injection at age 70 A vaccine is a small sample of an attenuated pathogen, the function of which is to prime the body’s immune system to recognise the pathogen and to mount a successful defence against it. Vaccines are very effective both at the individual and at the population level. As a result of the UK immunisation programme, a number of potentially deadly infectious diseases have become uncommon in the UK. 07-OCSEs-Paediatrics__Geriatrics_5e ccp.indd 184 19/03/2015 13:05
  • 200.
    Paediatrics and geriatrics 185 Station 67 Childimmunisation programme That having been said, they are still very common in some other countries, from where they may be reintroduced to unvaccinated children in the UK. Vaccines can and often do have side-effects, but these are usually very mild. They include redness and swelling at the injection site, flu-like symptoms, and a fever. Some vaccines are given together in a single injection so as to minimise the number of injections required and to prevent delayed or missed vaccinations. There is no added benefit to giving them separately. The MMR controversy • Measles can cause pneumonia, fits, encephalitis, sub-acute sclerosing panencephalitis, and death. • Mumps can cause meningitis, encephalitis, deafness, and sterility. • Rubella in pregnancy can cause severe damage to the foetus. • The MMR vaccine is safe and effective, and more than 500 million doses of the vaccine have been given since 1972. • Common side-effects of the MMR vaccine are a sore injection site and flu-like symptoms. Very rarely, an allergic reaction can occur. • There is no evidence to support a distinct syndrome of MMR-induced autism or inflammatory bowel disease. • Separate administration of the measles, mumps, and rubella vaccines provides no added benefit over administration of the combined MMR vaccine, but means three injections and potentially delayed or missed vaccinations. 07-OCSEs-Paediatrics__Geriatrics_5e ccp.indd 185 19/03/2015 13:05
  • 201.
    Clinical Skills for OSCEs 186 Station 68 Geriatrichistory Before starting • Introduce yourself to the patient and confirm his name and date of birth. • Explain that you are going to ask him some questions to determine the nature of his problems, and obtain consent. • Ensure that he is comfortable. • If he has glasses or a hearing aid, ensure that these are being worn. • If appropriate, ask if you can take a collateral history from a carer. The history Presenting complaint • Enquire about the patient’s presenting complaint, if any. Use open questions and active listen- ing. • Explore any symptoms, e.g. onset, duration, previous episodes, pain, associated symptoms. • Enquire about the effects that his symptoms are having on his everyday life. • Elicit his ideas, concerns, and expectations. [Note] Elderly patients may attribute symptoms to normal ageing and may not offer them unless specifically asked. Then aim to cover: • Physical independence, e.g. describe a typical day. • Functional assessment: can he stand up and walk, climb the stairs, get on and off the toilet, get in and out of the bathtub, dress, cook/clean/shop, and manage his finances and administration? • Daily diet, including nausea, vomiting, and change in appetite or weight. • Urinary and faecal incontinence. • Mood (e.g. “How are you keeping in your spirits?”). Also ask about sleep and appetite. • Memory and cognitive impairment. • Dizziness/falls (see Station 31: History of ‘funny turns’). • Vision (corrective aids, accidents, difficulty reading, feeding, dressing, grooming, driving, and recognising pills or items). Past medical history • Current, past, and childhood illnesses. Ask about rheumatic fever and polio. • Surgery. Drug history • Prescribed medication and compliance (note that polypharmacy can lead to adverse interactions). • Over-the-counter drugs. • Smoking and alcohol use. • Allergies. Family history • Parents, siblings, and children. Ask specifically about diabetes, Alzheimer’s disease, and cancer. 07-OCSEs-Paediatrics__Geriatrics_5e ccp.indd 186 19/03/2015 13:05
  • 202.
    Paediatrics and geriatrics 187 Station 68 Geriatrichistory Social history • Occupation or previous occupation. • Living arrangements: housing, heating, lighting, stairs, toileting, cooker and smoke alarm, slip- pery bathtubs, loose rugs, adaptive or home safety aids, e.g. grab bars in the bathroom, stair lift, raised toilet seat, shower stool, bedside commode. • Carers and support services. • Social interaction: family, friends, clubs, etc. If appropriate, ask, “Who will help you if you become ill?” and, “Who should make decisions for you if you become too ill to speak for yourself?” After taking the history • Ask the patient if there is anything that he might add that you have forgotten to ask about. • Ask if he has any questions or concerns. • Thank him. • Indicate that you would like to examine the patient and order some investigations. • Formulate a problem list and suggest treatment options. 07-OCSEs-Paediatrics__Geriatrics_5e ccp.indd 187 19/03/2015 13:05
  • 203.
    Clinical Skills for OSCEs 188 Station 69 Geriatricphysical examination Examining a patient in old age (65 years old) is very similar to examining a patient at any other age. If asked to examine a patient in old age, important features to look out for or aspects to consider are: Observations Temperature, pulse, blood pressure (lying and standing), respiratory rate, height, weight. General inspection Nutritional status, posture, tremor, gait, aids, e.g. for walking or hearing. Skin Pressure sores, senile keratoses, senile purpura, scars, bruises, pre-malignant or malignant lesions. Eyes, ears, nose and throat Vision (including fundoscopy), hearing, mouth, throat. Musculoskeletal system Arthritis, muscle wasting, contractures, tenderness, bone pain, range of motion in different joints. Cardiovascular system Arrhythmias, added sounds, murmurs, carotid bruits, pedal or peripheral oedema, absent peripheral pulses, gangrene. Respiratory system Chest expansion, basal crackles (may be difficult to hear because of basilar rales/crackles). Abdomen Organomegaly, bladder distension, abdominal aortic aneurysm, frequency and quality of abdominal sounds, rectal examination. Breast and genitourinary Malignancy. Neurological examination Tone, power, sensation, reflexes, gait, co-ordination. 07-OCSEs-Paediatrics__Geriatrics_5e ccp.indd 188 19/03/2015 13:05
  • 204.
    189 Obstetrics, gynaecology, and sexual health Station 70 Obstetric history Specifications:You may be asked to focus on only a certain aspect or certain aspects of the obstetric history. Before starting • Introduce yourself to the patient, and confirm her name and date of birth. • Explain that you are going to ask her some questions to uncover the nature and background of her obstetric complaint, and obtain consent. • Ensure that she is comfortable. The history Presenting problem (presenting complaint) Ask about the presenting problem (if any) in some detail, e.g. onset, duration, pain, bleeding, associated symptoms, previous occurrences. History of the present pregnancy • Determine the duration of gestation and calculate the expected due date (EDD). – – ask about the date of the patient’s last menstrual period (LMP) – – ask if her periods had been regular prior to her LMP – – ask if she had been on the oral contraceptive pill (OCP): if yes, determine when she stopped taking it and the number of periods she had before becoming pregnant – – determine the duration of gestation and calculate the EDD (to calculate the EDD, add 9 months and 7 days to the date of the LMP) • Ask about foetal movements and, if present, about any changes in their frequency. • Take a detailed history of the pregnancy, enquiring about: First trimester – – date and method of pregnancy confirmation – – was the pregnancy planned or unplanned? If it was unplanned, is it desired? – – symptoms of pregnancy (e.g. sickness, indigestion, headaches, dizziness…) – – bleeding during pregnancy – – ultrasound scan (10–12/52) – – chorionic villus sampling (10–13/52) – – type of antenatal care (e.g. shared care, midwife-led care, domino scheme, consultant-led scheme) Second trimester – – amniocentesis (16–18/52) – – anomaly scan (18–20/52) – – quickening (16–18/52) 08-OCSEs-Obstet_Gynae_5e ccp.indd 189 19/03/2015 13:13
  • 205.
    Clinical Skills for OSCEs 190 Station 70Obstetric history Third trimester – – antenatal clinic findings – you must ask about blood pressure and proteinuria – – vaginal bleeding – – hospital admissions History of previous pregnancies (past reproductive history) • Ask the patient if she has had any previous pregnancies. • For each previous pregnancy, ask about: The pregnancy, including – – the date (year) of birth – – the duration of the pregnancy and any problems e.g. placenta praevia, abruption, pre- eclampsia – – the mode of delivery and any problems e.g. ventouse or forceps delivery – – the outcome The child, including – – birth weight – – problems after birth – – present condition Do not forget to also ask about miscarriages, stillbirths, and terminations. Gynaecological history • Take a focused gynaecological history • Ask about the date and result of the last cervical smear test. Past medical history • Current, past, and childhood illnesses. Ask specifically about hypertension, epilepsy, diabetes and DVT. • Surgery. • Recent visits to the doctor. Drug history • Prescribed medication. • Over-the-counter drugs. • Folic acid supplements (should be taken from 3 months prior to conception to 3 months into pregnancy). • Rhesus antibody injections (if required). • Smoking. • Alcohol use. • Recreational drug use. • Allergies. Family history • Parents, siblings, and children. Has anyone in the family ever had a similar problem? • Is there a family history of hypertension, heart disease, or diabetes? • “Is there a history of twins or triplets in your family or in your partner’s family?” 08-OCSEs-Obstet_Gynae_5e ccp.indd 190 19/03/2015 13:13
  • 206.
    Obstetrics, gynaecology, and sexual health 191 Station 70 Obstetrichistory Social history • Support from the partner and/or family. • Employment. • Income and financial support. • Housing. After taking the history • Ask the patient if there is anything she might add that you have forgotten to ask about. • Thank the patient. • If asked, summarise your findings and offer a differential diagnosis. Conditions most likely to come up in an obstetric history station Ectopic pregnancy • In about 1% of pregnancies the fertilised egg implants outside the uterine cavity, most often in the Fallopian tube, but also in the cervix, ovaries, and abdomen. Clinical presentation occurs at a mean of about 7 weeks after the LMP, with a range of 5–8 weeks. Symptoms principally involve lower abdominal pain which may be worse upon moving and straining, and vaginal and internal bleeding which can be life-threatening. The principal differential is from normal pregnancy and miscarriage. Miscarriage • In about 15–20% of all recognised pregnancies, the pregnancy ends spontaneously at a stage when the embryo or foetus is incapable of surviving (before approximately 20–22 weeks of gestation, although most miscarriages occur prior to 13 weeks of gestation). The most common symptoms, which can range from very mild to severe, are cramping and vaginal bleeding with blood clots. The principal differential is from ectopic pregnancy. Placenta praevia • In about 0.5% of pregnancies, usually during the second or third trimester, the placenta attaches to the uterine wall close to or covering the cervix. This classically leads to painless, bright red vaginal bleeding that increases in frequency and intensity over a period of weeks. Placental abruption • In about 1% of pregnancies the placenta partially or completely separates from the uterus, depriving the baby of oxygen and nutrients and causing heavy bleeding in the mother. Placental abruption can begin at any time after 20 weeks of gestation, classically with variable amounts of vaginal bleeding, abdominal pain, back pain, uterine tenderness and contraction, and rapid and repetitive uterine contractions. False labour (Braxton Hicks contractions) Normal pregnancy 08-OCSEs-Obstet_Gynae_5e ccp.indd 191 19/03/2015 13:13
  • 207.
    Clinical Skills for OSCEs 192 Station 71 Obstetricexamination Specifications: Most likely an anatomical model in lieu of a patient. Before examining the patient • Introduce yourself to the patient, and confirm her name and date of birth. • Explain the examination and obtain consent. • Indicate that you would weigh the patient, take her blood pressure (pre-eclampsia), dipstick her urine (pre-eclampsia, gestational diabetes) and ask her to empty her bladder. • Position the patient so that she is lying supine (she can sit up if she finds lying supine uncom- fortable). • Ask her to expose her abdomen. • Ensure that she is comfortable. The examination General inspection Carry out a general inspection from the end of the couch. Inspection of the abdomen • Abdominal distension and symmetry. Is the umbilicus everted? • Foetal movements (after 24 weeks). • Linea nigra (brownish streak running vertically along the midline from the umbilicus to the pubis). • Striae gravidarum (purplish stretch marks from the current pregnancy). • Striae albicans (silvery stretch marks from previous pregnancies). • Scars. Palpation of the abdomen • Enquire about pain before palpating the abdomen. • Then, facing the mother, determine the: – – size of the uterus – – liquor volume (normal, polyhydramnios, oligohydramnios) – – number of foetuses – – size of the foetus(es) – – lie – – presenting part • Turning to face the mother’s feet, determine the: – – engagement 08-OCSEs-Obstet_Gynae_5e ccp.indd 192 19/03/2015 13:13
  • 208.
    Obstetrics, gynaecology, and sexual health 193 Station 71 Obstetricexamination Table 27. Some important obstetric definitions Lie. The relationship of the long axis of the foetus to that of the uterus, described as longitudinal, transverse, or oblique. Presenting part. The part of the foetus that is in relation with the pelvic inlet, e.g. cephalic/breech for a longitudinal lie or shoulder/arm for a transverse/oblique lie. Engagement. During engagement, the presenting part descends into the pelvic inlet in readiness for labour. Engagement is usually described in fifths of head palpable above the pelvic inlet, although sometimes the presenting part may not be the head. Engagement usually occurs after 37 weeks of gestation, before which the foetus is said to be ‘floating’ or ‘ballotable’. Although not usually performed until labour, indicate that you could also determine the position, station, and attitude of the foetus. Position refers to the relationship of a point of reference on the foetus to the quadranted pelvis; station (see Figure 43) refers to the depth of the presenting part in relation to the ischial spines (from -5 to +5); attitude refers to the degree of flexion of the foetus’ body parts. Figure 43. Measurement of station. Symphyseal–fundal height (SFH) Using a tape measure, measure from the mid-point of the symphysis pubis to the top of the uterus. From 20 to 38 weeks of gestation, the SFH in centimetres approximates to the number of weeks of gestation ± 2 (see Figure 44). Auscultation Listen to the foetal heart by placing a Pinard stethoscope over the foetus’ anterior shoulder and estimate the heart rate (usually 110–160 bpm). Ensure that your hands are free from the abdomen. 5 cm Perineum Ischial spine 4 3 2 1 1 2 3 4 5 0 08-OCSEs-Obstet_Gynae_5e ccp.indd 193 19/03/2015 13:13
  • 209.
    Clinical Skills for OSCEs 194 Station 71Obstetric examination After the examination • Ask to record the blood pressure (pre-eclampsia) and to test the urine for protein (pre- eclampsia) and glucose (gestational diabetes). • Cover the patient up. • Thank her and offer to help her up. • Summarise your findings. 38 36 32 28 22 20 (weeks) Figure 44. Expansion of the uterus during pregnancy. 08-OCSEs-Obstet_Gynae_5e ccp.indd 194 19/03/2015 13:13
  • 210.
    195 Obstetrics, gynaecology, and sexual health Station 72 Gynaecological history Specifications:You may be asked to circumscribe your questioning to certain aspects of the gynaecological history only. Before starting • Introduce yourself to the patient, and confirm her name and date of birth. • Explain that you are going to ask her some questions to uncover the nature and background of her gynaecological complaint, and obtain consent. • Ensure that she is comfortable. The history Presenting complaint and history of presenting complaint • Ask about the presenting problems (if any) in some detail, e.g. onset, duration, pain, bleeding, associated symptoms, previous occurrences. Explore the patient’s ideas, concerns and expecta- tions (ICE). Then use the mnemonic ‘MOSS’ to ask about: • Menstruation: – – age at menarche – – regularity of the menses – – dysmenorrhoea – – date of LMP – did it seem normal? – – inter-menstrual, post-menopausal, post-coital bleeding • Obstetric history • Sexual/Smear: – – coitus, e.g. “Are you sexually active?” “When was the last time you had sexual intercourse?” – – dyspareunia – – use of contraception – – date and result of the last cervical smear test • Symptoms: – – vaginal discharge – for any discharge, ask about amount, colour, smell, itchiness – – vaginal prolapse – – urinary incontinence Past medical history • Past gynaecological history. • Past reproductive history: previous pregnancies in chronological order, including terminations and miscarriages. • Past medical history: – – current, past, and childhood illnesses – – surgery – – recent visits to the doctor 08-OCSEs-Obstet_Gynae_5e ccp.indd 195 19/03/2015 13:13
  • 211.
    Clinical Skills for OSCEs 196 Station 72Gynaecological history Drug history • Prescribed medication, including, if appropriate, oral contraceptives and HRT. • Over-the-counter medication. • Recreational drug use. • Allergies. Family history • Ask about parents, siblings, children. Has anyone in the family had a similar problem? In the case of a suspected STD, don’t forget to ask about the partner. Social history • Employment. • Housing and home-help. • Travel. • Smoking. • Alcohol use. After taking the history • Ask the patient if there is anything she might add that you have forgotten to ask about. • Thank the patient. • Summarise your findings and offer a differential diagnosis. Conditions most likely to come up in a gynaecological history station Menopause • The permanent cessation of the primary functions of the ovaries, namely, the ripening and release of ova and the release of hormones that cause both the creation and the subsequent shedding of the uterine lining. It normally occurs gradually over a period of years during the late 40s or early 50s. • Signs and symptoms may include irregular menses, hot flushes and night sweats, increased stress, mood changes, sleep disturbances, atrophy of genitourinary tissue, vaginal dryness, and breast tenderness. Amenorrhoea • The absence of a menstrual period in a pre-menopausal woman for a period of 3 months (or 9 months in women with a history of oligomenorrhoea). It is a sign with many causes including normal pregnancy, lactation, and oral contraceptives. • Primary amenorrhoea (menstruation has not started by age 16 or age 14 if there is a lack of secondary sexual characteristics) is often related to chromosomal or developmental abnormalities. • Secondary amenorrhoea (menstruation has started but then stops) is often related to disturbances in the hypothalamo–pituitary axis due to, for example, stress, excessive dieting or exercising, PCOS, or a prolactin-secreting pituitary tumour; hypothyroidism; certain drugs such as antipsychotics and corticosteroids; intrauterine scar formation; premature menopause. 08-OCSEs-Obstet_Gynae_5e ccp.indd 196 19/03/2015 13:13
  • 212.
    Obstetrics, gynaecology, and sexual health 197 Station 72 Gynaecologicalhistory Dysmenorrhoea • Severe uterine pain possibly radiating to the back and thighs either preceding menstruation by several days or accompanying it. Associated symptoms might include menorrhagia, nausea and vomiting, diarrhoea, headache, dizziness, fainting, and fatigue. • Secondary dysmenorrhoea is diagnosed in the presence of an underlying cause, commonly endometriosis or uterine fibroids. Menorrhagia • Abnormally heavy (80 ml) and/or prolonged (7 days) menstrual period at regular intervals possibly associated with dysmenorrhoea and signs and symptoms of anaemia. In many cases, no cause can be found. However, common causes include hormonal imbalance, pelvic inflammatory disease, endometriosis, uterine polyps or fibroids, adenomyosis, intrauterine device, coagulopathy, and certain drugs such as NSAIDs and anticoagulants. Inter-menstrual bleeding • Bleeding between periods may be associated with sexual intercourse or may occur spontaneously. Causes of spontaneous inter-menstrual bleeding include physiological hormone fluctuations, oral contraceptives, cervical smear test, certain drugs such as anticoagulants and corticosteroids, vaginitis, infection (e.g. chlamydia), cervicitis, cervical polyps, uterine polyps or fibroids, and adenomyosis. It is particularly important to consider cervical cancer, endometrial adenocarcinoma, threatened miscarriage, and ectopic pregnancy. Vaginal discharge (see Station 77) Dyspareunia (see Station 77) 08-OCSEs-Obstet_Gynae_5e ccp.indd 197 19/03/2015 13:13
  • 213.
    Clinical Skills for OSCEs 198 Station 73 Gynaecological(bimanual) examination Specifications: A pelvic model in lieu of a patient. Before starting • Introduce yourself to the patient, and confirm her name and date of birth. • Explain the examination, reassuring the patient that, although it may feel uncomfortable, it should not cause any pain. • Obtain consent. • Ask for a female chaperone. • Confirm that the patient has emptied her bladder. • Indicate that you would normally carry out an abdominal examination prior to a gynaecological examination. • Once undressed, ask the patient to lie flat on the couch, bringing her heels to her buttocks and then letting her knees flop out. • Ensure that she is comfortable, specifically enquiring about any areas of pain, and cover her up with a drape. The examination Always tell the patient what you are about to do. • Don a pair of non-sterile gloves and adjust the light source to ensure maximum visibility. • Inspect the vulva, paying close attention to the pattern of hair distribution, the labia majora, and the clitoris. Note any redness, ulceration, masses, or prolapse. • Inspect the perineum, looking for episiotomy scars or perineal tears (fine white lines). • Palpate the labia majora for any masses. • Try to palpate Bartholin’s gland (the structure is not normally palpable). • Lubricate the index and middle fingers of your gloved right hand. • Use the thumb and index finger of your left hand to separate the labia minora. • Insert the index and middle fingers of your right hand into the vagina at an angle of 45 degrees. • Palpate the vaginal walls for any masses and for tenderness. • Use your fingertips to palpate the cervix. Assess the cervix for size, shape, consistency, and mobility. Is the cervix tender? Is it open? • Palpate the uterus: place the palmar surface of your left hand about 5 cm above the symphysis pubis and the internal fingers of your right hand behind the cervix and gently try to appose your fingers in an attempt to ‘catch’ the uterus. Assess the uterus for size, position, consistency, mobility, and tenderness. Can you feel any masses? 08-OCSEs-Obstet_Gynae_5e ccp.indd 198 19/03/2015 13:13
  • 214.
    Obstetrics, gynaecology, and sexual health 199 Station 73 Gynaecological(bimanual) examination • Palpate the right adnexae: place the palmar surface of your left hand in the right iliac fossa and the internal fingers of your right hand in the right fornix and gently try to appose your fingers in an attempt to ‘catch’ the ovary. Assess the ovary for any masses and for excitation tenderness (look at the patient’s face). • Use a similar technique for palpating the left adnexae. • Once you have removed your internal fingers, inspect the glove for any blood or discharge. After the examination • Dispose of the gloves and wash your hands. • Offer the patient a box of tissues and give her the opportunity to dress. • Thank the patient. • Ensure that she is comfortable. • Indicate that you could also have carried out a speculum examination and taken a cervical smear (see Station 74: Speculum examination and liquid based cytology test). • Summarise your findings and offer a differential diagnosis. Conditions most likely to come up in a gynaecological examination station Uterine fibroids • Common and often multiple benign tumour of the smooth muscle (myometrium) of the uterus, typically found during the middle and later reproductive years. In most cases uterine fibroids are asymptomatic, but in some cases they can cause menorrhagia, dysmenorrhoea, inter-menstrual bleeding, dyspareunia, urinary frequency and urgency, and fertility problems. Ovarian cyst • Functional fluid-filled sacs within or on the surface of an ovary. Ovarian cysts are very common, particularly in women of reproductive age, and are generally benign and asymptomatic. Symptoms can include pelvic pain, pain during urination, defecation, or sexual intercourse, urinary frequency, nausea and vomiting, abdominal fullness, breast tenderness, and menstrual irregularities. Figure 45. Technique for bimanual examination 08-OCSEs-Obstet_Gynae_5e ccp.indd 199 19/03/2015 13:13
  • 215.
    Clinical Skills for OSCEs 200 Station 74 Speculumexamination and liquid based cytology test Specifications: An anatomical model in lieu of a patient. Before starting • Introduce yourself to the patient, and confirm her name and date of birth. • Explain the procedure, specifying that it may be uncomfortable but should not be painful. • Obtain consent. • Ask for a female chaperone. • Gather the appropriate equipment. • Confirm that the patient has emptied her bladder. • Once undressed (from the waist down), ask her to lie flat on the couch, bringing her heels to her buttocks and then letting her knees flop out. • Ensure that she is comfortable, and cover her up with a drape. The equipment On a trolley, gather: • Non-sterile gloves • Lubricant (K-Y jelly) • Bivalve (Cusco) speculum • Cervical brush • Pot of preservative solution The procedure • Verify the expiry date on the pot and indicate that you would label it, together with the cytol- ogy request form, with the patient’s name, date of birth, and hospital number. • Adjust the light source to ensure maximum visibility. • Wash your hands and don the gloves. • Inspect the vulva, paying close attention to the pattern of hair distribution, the labia majora, and the clitoris. Note any redness, ulceration, masses, or prolapse. • Warm the speculum’s blades in your palm or under warm water (unnecessary with plastic blades). • Place a small amount of K-Y jelly on either side of the speculum near the tip. • Tell the patient that you are about to start, and ask her to relax and take deep breaths. • With your non-dominant hand, part the labia to ensure all hair and skin are out of the way. • With your other hand, slowly and gently insert the speculum with the screw facing sideways, rotating it into position (screw upwards) and then opening it. • Place the back of your non-dominant hand against her pubic area and gently open the specu- lum to identify the cervix. • Fix the speculum in the open position by tightening the screw. A smear should not be taken if there is any bleeding or vaginal discharge. • Insert the central bristles of the cervical brush into the endocervical canal and rotate it by 360 degrees in a clockwise direction five times. 08-OCSEs-Obstet_Gynae_5e ccp.indd 200 19/03/2015 13:13
  • 216.
    Obstetrics, gynaecology, and sexual health 201 Station 74 Speculumexamination and liquid based cytology test • Immediately rinse the brush in the preservative solution by pushing it into the bottom of the pot ten times, forcing the bristles apart. Then swirl the brush vigorously to further release material. • Inspect the brush to ensure that it is free of material. • Discard the brush. • Carefully remove the speculum. Hold it in the open position and completely unscrew it. Then slowly withdraw it, rotating it sideways and allowing it to close as it is withdrawn. After the procedure • Dispose of the speculum and the gloves. • Offer the patient a box of tissues and give her the opportunity to dress. • Meanwhile, tighten the cap on the pot and place it in a specimen bag, along with the request form. • Warn the patient about the possibility of spotting/bleeding after the test. • Tell her when and how she will receive the test results and the possible outcomes: – – normal test – do nothing – – inadequate or unsatisfactory test (e.g. due to inadequate number of cells in sample, infec- tion, inflammation, menstruation) – repeat the test – – borderline or mild dyskaryosis – repeat the test in 6 months – – moderate or severe dyskaryosis – refer for colposcopy • Tell her when her next screening test should take place (the test is carried out 3-yearly if between 25 and 49 years old, and 5-yearly if between 50 and 64 years old). • Ask her if she has any questions or concerns. • Thank her. 08-OCSEs-Obstet_Gynae_5e ccp.indd 201 19/03/2015 13:13
  • 217.
    Clinical Skills for OSCEs 202 Station 74Speculum examination and liquid based cytology test Examiner’s questions Staging of Cervical Intraepithelial Neoplasia (CIN) CIN (cervical dysplasia) is the potentially premalignant transformation and abnormal growth (dysplasia) of squamous cells of the surface of the cervix. CIN I Mild dysplasia confined to basal 1/3 of the epithelium. CIN II Moderate dysplasia confined to basal 2/3 of the epithelium. CIN III Severe dysplasia that spans more than 2/3 of the epithelium (carcinoma in situ). Staging of cervical cancer Stages are described in terms of the International Federation of Gynecology and Obstetrics (FIGO) system, which is based on clinical rather than surgical findings. Stage 0 Carcinoma in situ. Tumour is present only in epithelium. Stage I Invasive cancer with tumour strictly confined to cervix. Stage II Invasive cancer with tumour extending beyond cervix or upper two-thirds of vagina, but not onto pelvic wall. Stage III Invasive cancer with tumour spreading to lower third of vagina or onto pelvic wall. Stage IV Invasive cancer with tumour spreading to other parts of the body. NB: Various sub-stages are also described. 08-OCSEs-Obstet_Gynae_5e ccp.indd 202 19/03/2015 13:13
  • 218.
    203 Obstetrics, gynaecology, and sexual health Station 75 Breast history Beforestarting • Introduce yourself to the patient, and confirm her name and date of birth. • Explain that you are going to ask her some questions to uncover the nature of her complaint, and obtain consent. • Ensure that she is comfortable. The history • Is the patient pregnant or lactating? Presenting complaint and history of presenting complaint • Use open questions to ask about the presenting complaint. Explore the patient’s ideas, con- cerns, and expectations (ICE). • Ask specifically about pain, a lump in the breast, and nipple discharge. For pain, use the mnemonic ‘SOCRATES’ to determine: • Site. • Onset. • Character. • Radiation. • Associated signs and symptoms: – – local, e.g. lump, discharge, bleeding, skin changes (e.g. dimpling, peau d’orange, erythema, ulceration), nipple retraction/inversion, change in breast size – – systemic e.g. fatigue, fever, night sweats, weight loss, chest or back pain • Timing/cyclicity. • Exacerbating and alleviating factors. • Severity from 1 to 10. For a lump, determine: • Onset. • Duration. • Site (also ask about any lumps in the other breast, neck, or armpits). • Size. • Cyclicity. • Texture, e.g. hard or soft, smooth or bumpy. • Mobility. • Temperature. • Pain. • Associated symptoms (local and systemic). For nipple discharge, determine: • Unilateral or bilateral. • One duct or several. • Amount. • Colour, e.g. clear, milky, green. • Blood. • Consistency. • Spontaneity. 08-OCSEs-Obstet_Gynae_5e ccp.indd 203 19/03/2015 13:13
  • 219.
    Clinical Skills for OSCEs 204 Station 75Breast history • Timing/cyclicity. • Exacerbating and alleviating factors. • Associated symptoms (local and systemic). • Has the patient been breast-feeding? Past medical history • Previous breast problems and their outcomes. • Breast tattoos/piercings. • Breast implants. • Regularity of menses and date and character of LMP. • Current, past, and childhood illnesses. • Surgery. Drug history • Prescribed medication, especially oral contraceptives and HRT. Note that certain drugs, e.g. antipsychotics, can cause hyperprolactinaemia and galactorrhoea. • Over-the-counter medications. • Recreational drug use. • Allergies. Family history • Parents, siblings, and children. Ask specifically about breast problems and cancers. Social history • Lifestyle, e.g. diet, exercise. • Smoking. • Alcohol use. • Employment, past and present. • Housing. Systems enquiry • If metastases are a possibility, be sure to enquire about systemic symptoms such as fatigue, weight loss, breathlessness, bone pain, and jaundice. After taking the history • Ask the patient if there is anything that she might add that you have forgotten to ask about. • Thank her. • Summarise your findings and offer a differential diagnosis. • State that you would like to examine the patient and, if appropriate, refer her to the one-stop breast clinic for ‘Triple Assessment’: 1. History and examination. 2. Imaging: ultrasound (35 years), or mammography and ultrasound (35 years). 3. Histology/cytology: fine needle aspiration (FNAc) or core biopsy. 08-OCSEs-Obstet_Gynae_5e ccp.indd 204 19/03/2015 13:13
  • 220.
    Obstetrics, gynaecology, and sexual health 205 Station 75 Breasthistory Conditions most likely to come up in a breast history station Fibroadenoma • Non-cancerous mass of fibrous and glandular breast tissue. • Most commonly affects young women (30 years old). • Presents as a painless, smooth, solitary, firm (‘rubbery hard’), and highly mobile lump. • Can be multiple and bilateral. Fibrocystic disease • Common condition characterised by non-cancerous lumps in the breast. • Usually affects women aged 20–40 years. • Can sometimes cause persistent or cyclical discomfort that peaks just before the menses. • Lumps are smooth with defined edges, usually free-moving, and most often found in the upper, outer quadrant of the breast. • Lumps can be associated with a nipple discharge that is clear, white, or green in colour. • The condition usually subsides after the menopause. Breast cyst • Benign, fluid-filled lumps in the breast tissue. • Common in women aged 35 years or older, especially around the menopause. • May be painful. Mastitis • Bacterial infection (often S. aureus) of the breast tissue, often in connection with pregnancy and breast-feeding (puerperal mastitis). • Signs and symptoms include fever, malaise, breast swelling and tenderness, skin redness (often in a wedge-shaped pattern), and pain or a burning sensation either persistently or specifically while breast-feeding. • The most serious complication is breast abscess. Breast abscess • The lump and nearby area are red, hot, tender, and painful. • Other signs and symptoms can include fever, purulent nipple discharge, and axillary lymphadenopathy. • Principal complications are gangrene and septicaemia. Mammary duct ectasia • Dilatation and inflammation of a milk duct. • Most common in women in their 40s and 50s. • Often asymptomatic. However, some women may have nipple discharge and breast tenderness or inflammation in the area near the nipple. Carcinoma • Cancer originating from breast tissue, most commonly from the inner lining of milk ducts (ductal carcinoma) or the lobules (lobular carcinoma). • Signs and symptoms include an irregular breast lump or thickening, a change in the size or shape of the breast, changes to the skin over the breast such as dimpling, inverted nipple, bloody nipple discharge, and lymphadenopathy. continued 08-OCSEs-Obstet_Gynae_5e ccp.indd 205 19/03/2015 13:13
  • 221.
    Clinical Skills for OSCEs 206 Station 75Breast history Conditions most likely to come up in a breast history station – continued Intraductal papilloma • Benign proliferation of duct epithelial cells that may present as a small painful lump in the area of the nipple. • Most common cause of a bloody nipple discharge in young women. Examiner’s questions: Risk factors for breast cancer • Female sex. • Increasing age. • History of breast cancer. • Family history of breast or ovarian cancer. • Smoking. • Obesity. • HRT. • Uninterrupted oestrogen exposure: – – early menarche – – late menopause – – nulliparity – – first child after age 30 [Note] Breast-feeding is protective 08-OCSEs-Obstet_Gynae_5e ccp.indd 206 19/03/2015 13:13
  • 222.
    207 Obstetrics, gynaecology, and sexual health Station 76 Breast examination Specifications:In this station you may be asked to examine a patient wearing synthetic breasts. You may also be asked to take a brief history beforehand. A full breast examination involves inspection, palpation of the breast tissue, palpation of the nipple, and palpation of the lymph nodes. Before starting • Introduce yourself to the patient, and confirm her name and date of birth. • Explain the examination, and obtain consent. • Request a chaperone. • Ask the patient to undress from the waist up and hand her a drape or blanket to cover herself up with. • Ask her to sit on the edge of the couch, and ensure that she is comfortable. • Ask her whether she has had any pain or nipple discharge. The examination General inspection • From a distance, observe the patient’s general appearance (age, state of health, any obvious signs). Inspection of the breasts • Note the size, symmetry, contour, and colour of the breast; also note the pattern of venous drainage. In particular, look for the important signs of nipple inversion or retraction and peau d’orange (breast carcinoma). Is there a visible discharge? Are there any scars? Also remember to look under the breasts (ask the patient to lift up her breasts for you). • Now ask the patient to put her hands atop her head and then to press them against her hips. Look for tethering and asymmetrical changes in the breast contour. Palpation of the breasts • Ask the patient to sit back on the couch, reclining at 45 degrees. • Ask her to put the arm ipsilateral to the breast to be examined behind her head. • Warm up your hands. • Before palpating the breasts, ask if there is any breast or chest pain. • Starting with the normal breast, palpate the breast tissue with the palmar surface of the middle three fingers, using an even rotary movement to compress the breast tissue gently towards the chest wall. If the breasts are large, use one hand to steady the breast on its lower border. • Examine each breast following a circular, concentric trail (Figure 46). Alternatively, use the ­ vertical strip or wedge palpation techniques. • Palpate the tail of Spence between thumb and forefinger. 08-OCSEs-Obstet_Gynae_5e ccp.indd 207 19/03/2015 13:13
  • 223.
    Clinical Skills for OSCEs 208 Station 76Breast examination Assess any lump for location, size, shape, colour, consistency, mobility, surface, temperature, tethering, and tenderness. Don’t forget that there are two breasts that need examining, a common enough oversight in the artificial and anxiety-provoking OSCE situation. Palpation of the nipple • Hold the nipple between thumb and forefinger and gently compress it in an attempt to express a discharge (or ask the patient to do this). A discharge could signify normal lactation, galactor- rhoea, duct ectasia, a carcinoma, or an intraductal papilloma. Any fluid expressed should be smeared for cytology and swabbed for microbiology. Palpation of the lymph nodes • Expose the right axilla by lifting and abducting the arm and supporting it at the wrist with your right hand. • With your left hand, palpate the following lymph node groups (See Figure 4 in Station 9): – – apical – – anterior – – posterior – – infraclavicular and supraclavicular – – nodes of the medial aspect of the humerus • Now expose the left axilla by lifting and abducting the left arm and supporting it at the wrist with your left hand. • With your right hand, palpate the lymph node groups, as listed above. Assess any nodes for size, shape, consistency, mobility, and tenderness. Directions of palpation over breast surface Figure 46. The circular palpation technique. Other palpation techniques include the vertical strip and wedge techniques. 08-OCSEs-Obstet_Gynae_5e ccp.indd 208 19/03/2015 13:13
  • 224.
    Obstetrics, gynaecology, and sexual health 209 Station 76 Breastexamination After the examination Indicate that you could also: – – palpate the liver edge for an enlarged liver (liver metastases) – – palpate the spine for tenderness (spinal metastases) – – auscultate the lung bases (pleural effusions) • Cover up the patient. • Thank her. • Ensure that she is comfortable. • Summarise your findings and offer a differential diagnosis. • Offer further investigations if appropriate, e.g. mammogram, USS, or FNAc. Conditions most likely to come up in a breast examination station • Fibroadenoma. • Fibrocystic disease. • Mastitis. • Breast abscess. • Mammary duct ectasia. • Carcinoma. • Interductal papilloma. • See Station 75 for a description of these conditions. 08-OCSEs-Obstet_Gynae_5e ccp.indd 209 19/03/2015 13:13
  • 225.
    Clinical Skills for OSCEs 210 Station 77 Sexualhistory This is a history that students often find difficult because of the highly personal nature of the questions involved. The trick is to remain formal and professional throughout, yet to exert tact and, if the patient becomes uncomfortable, a measure of restraint. The OSCE may ask you to focus on either risk assessment or sexual function. If the latter, do not forget that sexual dysfunction often results from medical and psychiatric disorders and/or their treatments, e.g. antihypertensives, antidepressants. Before starting • Introduce yourself to the patient, and confirm his name and date of birth. • Set the scene: “I’d like to ask you a few standard questions about your sex life. I don’t mean to embarrass you, and it’s alright if you’d rather not answer some of my questions. May I begin?” • Reassure the patient about confidentiality. • Explore the patient’s ideas, concerns and expectations. The history Would you describe yourself as heterosexual, homosexual, or bisexual? Who • “Who did you last have sex with, and when was this?” • “Who else have you had sex with in the last three months?” • “Were they male or female?” • “Were they regular or casual partners?” How • “Did you have vaginal/oral/anal sex?” • “If oral or anal sex, did you give or receive it?” • “Did you use protection on each occasion?” • If yes, “did you have any problems with it?” • “Have you ever been injured or abused by your partner?” • “Have you ever paid or been paid for sex?” Where • “Have you had sex whilst abroad? Whom with?” • “Where are your partners from?” • “Is it possible that they have had sex whilst abroad?” Sexually transmitted diseases Ask about: • Any sores, discharge, bleeding, itching, rashes, dysuria, and abdominal pain (in females). Explore any positive findings. • History of sexually transmitted diseases (including HIV and hepatitis B) in both the patient and his partner(s). • Other risk factors for HIV and hepatitis B, e.g. blood transfusions, intravenous drug use, tattoos. • In females, date and result of the last cervical smear test. 08-OCSEs-Obstet_Gynae_5e ccp.indd 210 19/03/2015 13:13
  • 226.
    Obstetrics, gynaecology, and sexual health 211 Station 77 Sexualhistory Sexual function • “‘Do you have any problems with, or concerns about, having sex?” You may ask specifically about erectile dysfunction and ejaculatory dysfunction in males, and about hypoactive sexual desire, anorgasmia, vaginismus, and dyspareunia in females. • Determine the onset, course, and duration of the problem. Is the problem primary or ­secondary? • Determine the frequency and timing of the problem. Is the problem partial or situational? In situational erectile dysfunction, the patient is still able to have morning erections. • Assess the effect that the problem is having on the patient’s life. Table 28. Types of sexual dysfunction (common types are in bold) Type of sexual dysfunction Male Female Sexual desire disorders Hypoactive sexual desire Sexual aversion (rare) Hypoactive sexual desire (F M) Sexual aversion (rare) Sexual arousal disorders Erectile dysfunction* Failure of genital response Sexual pain disorders Dyspareunia Dyspareunia (F M) Vaginismus§ Orgasm disorders Ejaculatory impotence Premature ejaculation** Anorgasmia (F M) *Erectile dysfunction or impotence is more common in elderly males. **Premature ejaculation is more common in young males engaging in their first sexual relationships. § Vaginismus describes involuntary vaginal contractions in response to attempts at penetration. Past medical history • History of sexually transmitted diseases. • History of sexual problems. • Menstrual history: regularity of menses and date and character of LMP. • Medical conditions and previous hospital admissions. Obstetric and gynaecological history (if appropriate) • Menstrual history: regularity of menses and date and character of LMP. • Past pregnancies, deliveries, miscarriages, and terminations. • “Is it possible that you might be pregnant?” Drug history • Contraceptives. • Recent antibiotic use. • Smoking and alcohol. • Drug use (including needle sharing). Social history • Occupation. • Living arrangements. 08-OCSEs-Obstet_Gynae_5e ccp.indd 211 19/03/2015 13:13
  • 227.
    Clinical Skills for OSCEs 212 Station 77Sexual history After taking the history • Ask if there is anything that the patient would like to add which you may have forgotten to ask about. • Thank the patient. • Summarise your findings and offer a further course of action, e.g. physical examination, micro- biological testing, contact tracing. Conditions most likely to come up in a sexual history station Candidiasis • Common fungal infection involving any of the Candida species. Infection of the vagina or vulva is often asymptomatic but may cause severe itching, burning, soreness, irritation, and a whitish or whitish-grey ‘cottage cheese’ discharge. • In men, there may be red and itchy or painful sores on the penile head or foreskin. • Candidiasis is not classified as an STD. Bacterial vaginosis (BV) • Common bacterial infection involving, among others, Gardnerella vaginalis. • Results from disruption in the balance of bacteria in the vagina. • Although BV is not classified as an STD, it is more common in women who are sexually active and increases their susceptibility to STDs. • It may be asymptomatic or there may be a thin, homogeneous, off-white, and malodorous vaginal discharge, usually in the absence of redness, itchiness, or pain. Chlamydia • One of the most common STDs involving the bacterium Chlamydia trachomatis. • In women it is symptomatic in around 20–30% of cases, presenting with a yellow and odourless mucopurulent cervical discharge, dysuria, and frequency. • In men, it is symptomatic in around 50% of cases, presenting with a white penile discharge with or without dysuria. • Major complications are pelvic inflammatory disease in women, epididymitis in men, and Reiter’s syndrome (triad of arthritis, conjunctivitis, and urethritis) in both. Gonorrhoea • A common STD caused by Neisseria gonorrhoeae. • In women it is symptomatic in around 50% of cases, presenting with a greenish–yellow malodorous vaginal discharge, dysuria, and frequency. • In men, it presents with a yellow–white penile discharge and dysuria. Symptoms typically occur 4–6 days after being infected. • Major complications are pelvic inflammatory disease in women and epididymitis in men, or systemic spread to affect the joints and heart valves. Trichomoniasis • STD caused by the protozoan parasite Trichomonas vaginalis. • Typically, only women experience symptoms but even they may be asymptomatic. • Symptoms typically occur 5–28 days after being infected and include copious amounts of a frothy, foul-smelling greenish–yellow mucopurulent discharge, itchiness, dysuria, and frequency. • Discomfort may increase during intercourse and upon micturition. 08-OCSEs-Obstet_Gynae_5e ccp.indd 212 19/03/2015 13:13
  • 228.
    Obstetrics, gynaecology, and sexual health 213 Station 77 Sexualhistory Syphilis • STD caused by the bacteria Treponema pallidum. • The disease can also be transmitted from mother to foetus, resulting in congenital syphilis. • Signs and symptoms depend on which of the four stages it presents in: – – primary stage presents at an average of 21 days after initial exposure, typically with a single lesion (chancre) – – secondary stage presents with a diffuse rash and other symptoms such as fever, malaise, headache – – in the latent stage, there is serological proof of infection but few if no symptoms – – tertiary stage supervenes 3–15 years after initial infection with gummas and neurological and cardiac symptoms Genital herpes • Genital infection by Herpes simplex virus (HSV) that may lead to clusters of inflamed papules and vesicles on the outer surface of the genitals or on surrounding skin. • These usually appear 4–7 days after sexual exposure to HSV. • Other common symptoms include pain, itching, discharge, fever, and myalgia. After 2–3 weeks, the lesions progress into ulcers and then crust and heal. Genital warts • Highly contagious STD caused by some sub-types of human papillomavirus (HPV), and spread through direct skin-to-skin contact during oral, genital, or anal sex. • Approximately 70% of those who have sexual contact with a partner with an active infection develop genital warts, and while less than 1% of those become symptomatic, those infected can still transmit the virus. • Usually painless and benign, but can be unsightly. Sexual dysfunction • Sexual dysfunction can occur at any stage of sexual intercourse: initiation, arousal, penetration, and orgasm (see Table 28). • It can result from organic causes (such as diabetes, angina, prostate surgery, antihypertensives, antidepressants, antipsychotics) or from psychological causes (e.g. depression, anxiety, sexual inexperience, traumatic sexual experience, relationship difficulties, stress), or from a combination of either. • In secondary dysfunction there is a history of normal function, but in primary dysfunction such a history is lacking. The epidemiology of sexual dysfunction is difficult to establish, but erectile dysfunction and premature ejaculation are common in males, and anorgasmia and hypoactive sexual desire in females. 08-OCSEs-Obstet_Gynae_5e ccp.indd 213 19/03/2015 13:13
  • 229.
    Clinical Skills for OSCEs 214 Station 78 HIVrisk assessment Before starting • Introduce yourself to the patient, and confirm his name and date of birth. • Explain that you are going to ask him some questions to determine his likelihood of having contracted HIV, and obtain consent. • Reassure him about confidentiality. • Remember to be especially sensitive, tactful, and empathetic. The risk assessment • Explore the patient’s reason for attendance, e.g. ideas, concerns, and expectations. Sexual behaviour • Does the patient have sex with men, women, or both? • Does he have unprotected anal, vaginal, or oral sex? If so, when, where, how often, and with how many different partners? Unprotected receptive anal intercourse is especially high risk. • Has he had sex outside the UK or with partners from outside the UK? • Has he ever paid or been paid for sex? • What are the sexual practices of his partners? Are any of them HIV positive? • Has he recently contracted any sexually transmitted diseases? Illicit drug use • Does the patient inject himself? If so, has he been sharing needles? • Do any of his partners inject themselves? Piercing and tattoos • Has the patient had any piercings or tattoos performed outside of the UK? • Does he have any concerns about the needles that were used? Blood products and transfusions • Is the patient a haemophiliac? • Has he received blood products or transfusions prior to about 1985 or outside of the UK? Occupational risk • Ask about the patient’s occupation to determine whether he poses an occupational risk. After the risk assessment • Ask the patient if there is anything that he might add that you have forgotten to ask about. • Give him feedback on his HIV risk and, if appropriate, indicate a further course of action, e.g. an HIV test. • Address his concerns. • Thank him. 08-OCSEs-Obstet_Gynae_5e ccp.indd 214 19/03/2015 13:13
  • 230.
    215 Obstetrics, gynaecology, and sexual health Station 79 Condom explanation Maleand female condoms are barrier methods of contraception and prevent sperm from reaching the ovum. They are very effective at preventing sexually transmitted infections but less effective than methods such as the pill in preventing pregnancy. There are many different types of male condoms available on the market. These include plain-end or teat-end, shaped/ribbed or straight-sided, and lubricated (e.g. with inert silicone or nonoxynol-9 spermicide) condoms. Femidom is the only female condom available in the UK. Spermicidal condoms are no longer recommended as evidence suggests that nanoxynol-9 may increase the risk of HIV and other sexually transmitted infections such as chlamydia and gonorrhoea. Before starting • Introduce yourself to the patient, and confirm his name and date of birth. • Establish how much he already knows about using condoms. If correctly used, the male condom is 98% effective, and the female condom 95% effective. Condoms also protect against STDs. The equipment • Two condoms • A model of a penis • An information booklet on condom use Explain the use of a condom • Condom use should be discussed with the partner(s). • The condom should be put on before any genital contact takes place. • Principal side-effects are due to latex allergy and spermicide sensitivity. • Principal contraindications are oil-based lubricants such as Vaseline, hormonal vaginal creams, and antifungal preparations (Canesten is safe to use). • Explain/demonstrate the use of a condom: – – check for the British Kite mark (Figure 47) or equivalent symbol, a guarantee of quality – – check the expiry date – – carefully tear open the pack and remove the condom – do not use teeth or sharp nails – – position the condom on the tip of the erect penis – – squeeze out the air from the tip of the condom and gently roll it out to the base of the penis – – hold the condom at the base of the penis during penetration – – after intercourse, remove the condom ensuring that semen is not spilt – – dispose of the condom in the bin – condoms must never be re-used • Ask the patient to repeat the procedure.   Figure 47. British kite mark. Explain that condoms can occasionally tear and that, in this event, the patient and his partner should consult a GP or family planning clinic. 08-OCSEs-Obstet_Gynae_5e ccp.indd 215 19/03/2015 13:13
  • 231.
    Clinical Skills for OSCEs 216 Station 79Condom explanation After the explanation • Ask if the patient has any questions or concerns. (He may ask you about other methods of contraception.) • Tell him to return should he have any further questions. • Give him an information booklet on condom use. 08-OCSEs-Obstet_Gynae_5e ccp.indd 216 19/03/2015 13:13
  • 232.
    217 Obstetrics, gynaecology, and sexual health Station 80 Combined oralcontraceptive pill (COCP) explanation Before starting • Introduce yourself to the patient, and confirm her name and date of birth. • Confirm the reason for her attendance and her understanding of the COCP. • Has she considered other methods of contraception? Explaining the COCP – items to cover Efficacy 99.9% if used correctly, 97% in practice. It is important to emphasise that the pill does not protect against STDs. Principal benefits • Easy to take, reversible, and non-invasive. • More regular periods, less blood loss, fewer period pains. • Decreased risk of ovarian cancer, endometrial cancer, ovarian cysts, and benign breast disease. • Acne often improves. Principal risks • Increased risk of deep vein thrombosis and pulmonary embolism. • Increased risk of myocardial infarction. • Increased risk of breast cancer and cervical adenocarcinoma. Principal adverse effects • Headache. • Nausea. • Dizziness. • Hypertension. • Breast tenderness. • Weight gain. • Depression. Principal contraindications Absolute • Age over 50. • BMI over 35. • Thrombophlebitis, thromboembolitic disorder, or history of thromboembolism. • Severe migraine with focal aura/neurology. • Stroke. • Ischaemic heart disease. • Liver disease. 08-OCSEs-Obstet_Gynae_5e ccp.indd 217 19/03/2015 13:13
  • 233.
    Clinical Skills for OSCEs 218 Station 80Combined oral contraceptive pill (COCP) explanation • Kidney disease. • History of breast cancer or other oestrogen-dependent cancers of the reproductive organs. • Pregnancy. Relative • Uncontrolled hypertension. • Smoking ( 15 cigarettes a day and over the age of 35). • Abnormal vaginal bleeding. • Sickle cell disease. • Breast-feeding. • Family history of hyperlipidaemia, heart disease, or kidney disease. Remember to take a quick drug history, as enzyme-inducing drugs – including anti- psychotics, anti-depressants, anti-epileptics, and some antibiotics – can alter the effectiveness of the pill. How to take the pills • Start taking the pill on the first day of your period. If you start on any other day of your cycle, you need to use barrier contraception for the first 7 days. • Take one pill a day at the same time every day for either 21 or 28 days, depending on the number of pills in the pack. • After finishing the 28-day pack, start another one immediately (the last seven pills in the 28-day pack are ‘dummy pills’). • After finishing the 21-day pack, stop taking the pill for 7 days and then start another pack. • If you develop vomiting or diarrhoea, use barrier contraception until your next period. • If you take a course of antibiotics, use barrier contraception during the course and for 2–3 days after. SUN MON TUES WED THU FRI SAT 28 Day    Figure 48. A 28-day pack. What if pills are missed • If one pill is missed: – – take a pill as soon as you can remember to do so – – take the next pill at the regular time • If two or more pills are missed: – – take a pill as soon as you can remember to do so (earlier missed pills should not be taken) – – continue taking one pill a day, as per usual – – use barrier contraception for 7 days • If there are fewer than seven pills left in the pack (after the missed pill), start on the next pack without taking a break 08-OCSEs-Obstet_Gynae_5e ccp.indd 218 19/03/2015 13:13
  • 234.
    Obstetrics, gynaecology, and sexual health 219 Station 80 Combinedoral contraceptive pill (COCP) explanation Before finishing • Summarise and check understanding. • Hand out a leaflet on the COCP. • Tell the patient to report any severe or unexpected symptoms. Examiner’s questions: Other forms of contraception Combined hormonal contraceptives are also available as a skin patch, worn for 3 out of every 4 weeks. Low-dose progestogen-only contraceptives such as the traditional progestogen-only pill (POP, ‘mini-pill’), subdermal implants (e.g. Norplant), and intrauterine systems (e.g. Mirena) inconsistently inhibit ovulation but thicken the cervical mucus and reduce sperm penetration, and also make the endometrium unsuitable for implantation. Intermediate-dose progestogen-only contraceptives such as the Cerazette® pill are much more reliable at inhibiting ovulation, and high-dose progestogen-only contraceptives such as the injectable Depo-Provera inhibit ovulation completely (in the case of Depo- Provera, for up to 3 months). The POP is taken continuously without any breaks. Whereas the COCP can be taken within a window of 12 hours, the mini-pill has a much shorter window of 3 hours. Thus, whilst the efficacy of the mini- pill is similar to that of the COCP, it is more dependent on user compliance. The POP is not affected by broad-spectrum antibiotics, and can often be used when the COCP is contraindicated, e.g. in smokers above the age of 35. It is contraindicated in cardiovascular disease, liver disease, breast cancer, ovarian cysts, and migraine. Side-effects, if any, are generally mild and transient. There is a small increased risk of ectopic pregnancy and breast cancer. Unlike the COCP, the POP does not regulate menstruation and can lead to either irregular menstruation or amenorrhoea. Emergency post-coital contraception comes either in the form of an intrauterine device (IUD) or an emergency contraceptive pill (ECP, ‘morning-after pill’) that, in contrast to medical abortion methods, act before implantation, either by postponing ovulation or by preventing implantation. The Levonelle brand contains levonorgestrel which is a progestogen hormone, and is licensed for use up to 72 hours after intercourse. There is an approximate 80% reduction in the risk of pregnancy, to about 1–2% (this compares to virtually 0% for the IUD). Generally speaking, the advantages of using the ECP outweigh any theoretical or proven risks, and harm to a foetus that has already implanted is thought to be very unlikely. Side-effects include nausea, vomiting, abdominal pain, fatigue, headache, and dizziness. The ECP should not be confused with the ‘abortion pill’ (high dose mifepristone, RU 486). 08-OCSEs-Obstet_Gynae_5e ccp.indd 219 19/03/2015 13:13
  • 235.
    Clinical Skills for OSCEs 220 Station 81 Pessariesand suppositories explanation Read in conjunction with Station 116: Explaining skills. Like tablets, pessaries and suppositories are medication. Suppositories are for rectal use, common examples being pain-killers and steroids, whereas pessaries are for vaginal use, common examples being antibiotics and progesterone. They are used if oral drugs cannot be given, for example, in the post-operative period or if the patient is vomiting, and if the site of action of the drug is the rectum or vagina, or near enough, for example, the colon or cervix. In this station you may be asked to explain the use of a pessary and/or a suppository to a patient. Both scenarios have been described here. Before starting • Introduce yourself to the patient and verify her name and date of birth. • Confirm the reason for attendance. • Ask her if she has ever used a pessary or suppository before, and whether she has any questions or concerns. The explanation: items to cover Be sensitive to the psychological and sociocultural issues involved in placing a finger into the vagina or rectum, and be sympathetic and understanding. Pessaries • Pessaries are bullet-shaped medicines designed for easy insertion into the vagina using your fingers or an applicator. Your body temperature will slowly dissolve the pessary and release the medicine into your vagina. • Before using a pessary, check its expiry date. • Wash and dry your hands. • Remove the pessary and applicator (if supplied) from its foil or wrapper. • If an applicator is supplied, push the pessary into the hole at its end. • Lie down with your knees bent and legs apart. • Carefully push the pessary high up into your vagina, pointed end first, using either your fingers or the applicator. • If using an applicator, push the plunger to release the pessary and then remove the applicator. • Wash your hands afterwards. • The pessary may leak from your vagina, so it may be best to insert it before bedtime and to use a sanitary towel to avoid staining of the clothes. • If you miss a dose, insert the pessary as soon as you remember, and then carry on as normal. • Store in a cool, dry place and out of children’s reach. • Continue using your pessaries until the course is completed, even if this means inserting them during your monthly period. 08-OCSEs-Obstet_Gynae_5e ccp.indd 220 19/03/2015 13:13
  • 236.
    Obstetrics, gynaecology, and sexual health 221 Station 81 Pessariesand suppositories explanation Suppositories • Suppositories are bullet-shaped medicines designed for easy insertion into the lower bowel (rectum) using your fingers. Your body temperature will slowly dissolve the suppository and release the medicine across your rectum and into the bloodstream. • Before using a suppository, check its expiry date • Empty your bowels if necessary. • Wash and dry your hands. • Remove the suppository from its foil or wrapper. • Lie down on your side with one leg bent and the other straight. • Carefully push the suppository 2–3 cm up your bottom, pointed end first, using your finger. Some people may prefer to wear a glove, but this is not necessary. • Close your legs and lie still for a few minutes. • Wash your hands afterwards. • If you open your bowels within 2 hours of inserting the suppository, you need to insert another. • The suppository may leak from your rectum, so it may be best to insert it before bedtime and (if female) to use a sanitary towel to avoid staining of the clothes. • If you miss a dose, insert the suppository as soon as you remember, and then carry on as normal. • Store in a cool, dark place and out of children’s reach. • Continue using your suppositories until the course is completed. After the explanation • Summarise and check the patient’s understanding. • Ask if she has any questions or concerns. • Offer her a leaflet. 08-OCSEs-Obstet_Gynae_5e ccp.indd 221 19/03/2015 13:13
  • 237.
    Clinical Skills for OSCEs 222 Station 82 Rheumatologicalhistory Before starting • Introduce yourself to the patient, and confirm his name and date of birth. • Explain that you are going to ask him some questions to uncover the nature of his complaint, and obtain consent. • Ensure that he is comfortable. The history Name, age, and occupation, if this information has not already been supplied. Presenting complaint Ask the patient about the nature of his complaint. Use open questions. Pain Determine site (joints affected), severity, and timing (e.g. is it worse in the morning or later in the day?). Stiffness Determine site, severity and timing. Swelling Determine site, severity and timing. History of presenting complaint Ask about: • Onset and any provoking factors such as trauma or infection. • Progression. • Any associated features: – – local: swelling or inflammation, deformity, cracking, clicking, locking, loss of movement – – systemic: skin problems, eye problems, GI disturbances, urethral discharge – – general: Raynaud’s phenomenon (peripheral vasospasm), fever, night sweats, weight loss • Any aggravating or relieving factors such as activity, rest, NSAIDs, steroids. Social history Ask about: • Difficulty in completing everyday tasks and the effect that this is having on his life. If need be, you can get him to describe a typical day: getting out of bed, toileting, dressing, etc. What did he used to do that he can no longer do? • Housing and home-help. Are there stairs to climb? • Mood. Screen for the core features of depression: low mood, fatigability, and loss of interest. • Recent travel. If appropriate, ask about vaccines, gastroenteritis, and unprotected sexual inter- course (reactive arthritis/Reiter’s syndrome). 09-OCSEs-Orthopaedics_5e ccp.indd 222 19/03/2015 07:45
  • 238.
    Orthopaedics and rheumatology 223 Station 82 Rheumatologicalhistory Past medical history • Current, past, and childhood illnesses. • Surgery. • Recent visits to the doctor. Drug history • Prescribed medication, e.g. NSAIDs, steroids, immunosuppressants. • Over-the-counter medications. • Allergies. • Smoking, alcohol use, and recreational drug use. Family history • Parents, siblings, children. Has anyone in the family ever had similar problems? After taking the history • Ask the patient if there is anything he might add that you have forgotten to ask about. • Thank the patient. Conditions most likely to come up in a rheumatological history station Rheumatoid arthritis: • Chronic, systemic inflammatory disorder that may affect many tissues and organs, but principally the synovial joints, leading to destruction of articular cartilage and ankylosis of the joints. • Women are three times more commonly affected than men. • Onset is often at age 40–50, but can be at any age. • Affects multiple joints, often in a symmetrical fashion, and most commonly the small joints of the hands, feet, and cervical spine. • Affected joints are swollen, warm, painful, and stiff, particularly early in the morning, on waking, or following prolonged activity. • In time, there is decreased range of movement and deformity, e.g. ulnar deviation, boutonnière deformity, swan neck deformity, Z-thumb. Osteoarthritis: • ‘Wear and tear’ arthritis. • Commonly affects the hands, feet, spine, and the large weight-bearing joints. • Affected joints are painful, tender, and stiff, with symptoms worsening throughout the day and after exercise. • There may be hard bony enlargements called Heberden’s nodes on the distal interphalangeal joints and Bouchard’s nodes on the proximal interphalangeal joints. • There may be crepitus upon movement, restricted range of movement, joint mal-alignment, and effusions. 09-OCSEs-Orthopaedics_5e ccp.indd 223 19/03/2015 07:45
  • 239.
    Clinical Skills for OSCEs 224 Station 82Rheumatological history Psoriatic arthritis: • Systemic inflammatory disorder associated with psoriasis. • Asymmetrical or relatively asymmetrical arthritis most commonly affecting the distal joints in the hands and feet. • Symptoms of inflammation, pain, and stiffness typically wax and wane. • There may be swelling of an entire finger or toe (dactylitis) as well as fingernail and toenail involvement. Gout: • Caused by elevated levels of urate in the blood. • More common in men. • Presents as recurrent attacks of acute inflammatory arthritis. • Commonly (but not exclusively) affects the metatarsal–phalangeal joint at the base of the big toe. • The joint is red, tender, hot, and swollen. • May be associated with hard, painless deposits of uric acid called tophi. • Pseudogout can be difficult to distinguish from gout; it involves calcium pyrophosphate dihydrate rather than urate deposition, and it normally affects the knee and larger joints rather than the foot. Ankylosing spondylitis: • Chronic, inflammatory disorder principally affecting the axial skeleton and sacroiliac joints and potentially leading to fusion of the spine (‘bamboo spine’) and to damage of the spinal cord, roots, and nerves. • There is a strong genetic component. • It is more common and tends to be more severe in males. • Commonly presents at ages 20–40. • Morning stiffness is characteristic, and pain improves with physical activity. • May be associated with systemic features such as fever and weight loss and extra-articular manifestations such as uveitis. Septic arthritis: • Septic arthritis is a medical emergency. • Results from direct invasion of one or several joint spaces by various microorganisms, with the knee being the joint that is most commonly affected. • Acute onset of joint pain with possible systemic symptoms and possible history of underlying joint disease or trauma, unprotected sexual intercourse or intravenous drug use. • The joint itself is red, tender, hot, and swollen, and there is often an effusion. 09-OCSEs-Orthopaedics_5e ccp.indd 224 19/03/2015 07:45
  • 240.
    Orthopaedics and rheumatology 225 Station 82 Rheumatologicalhistory Polymyositis and dermatomyositis: • Polymyositis is an inflammatory myopathy related to dermatomyositis. • It commonly presents in early adulthood with bilateral and progressive proximal muscle weakness. • The muscles may be painful and tender and there may be systemic symptoms such as fatigue and fever. • In dermatomyositis there is also a skin rash. • The cause or causes of polymyositis and dermatomyositis is unknown. Polymyalgia rheumatica: • Muscle pain and stiffness in the neck, shoulders, and hips, especially in the morning or after inactivity. • The disorder may develop either rapidly or gradually. • Systemic symptoms may include fatigue, fever, and anorexia. • There is an association with temporal arteritis. • Usually affects older adults, more commonly females. • The cause of polymyalgia rheumatica is unknown. • Prognosis is good, especially with corticosteroid treatment. Tendon rupture Complications of steroid treatment 09-OCSEs-Orthopaedics_5e ccp.indd 225 19/03/2015 07:45
  • 241.
    Clinical Skills for OSCEs 226 Station 83 TheGALS screening examination GALS: ‘Gait, arms, legs, and spine’. Remember that GALS is a screening test and that a detailed examination is therefore not called upon. Before starting • Introduce yourself to the patient, and confirm his name and date of birth. • Explain the examination and obtain his consent. • Ask him to undress to his undergarments. • Ensure that he is comfortable. The GALS screening examination Brief history • Name, age, and occupation, if this information has not already been supplied. • “Do you have any pain or stiffness in your muscles, back, or joints?” • “Do you have any difficulty in climbing stairs?” • “Do you have any difficulty washing or dressing?” The examination General inspection Inspect the patient standing. Note any obvious scars, swellings, deformities, and/or unusual posturing. Spine Look • From the front. • From behind, looking in particular for list, scoliosis and lumbar lordosis. • From the side, looking in particular for kyphos, kyphosis and fixed flexion deformity. Feel • Press on each vertebral body in turn, trying to elicit tenderness. Move • Ask the patient to bend forwards and touch his toes. Look for lumbar lordosis and for scoliosis, which should become more pronounced. Ask him to sit down on the couch. • Lateral flexion of the neck. Ask him to put his ear on his shoulder and then do the same on the other side. • Flexion and extension of the neck. Ask him to put his chin on his chest and then look up towards the ceiling. • Spinal rotation. Ask him to turn his upper body to either side. Demonstrate each of these movements to the patient. In particular, look for restricted range of movement and pain on movement. 09-OCSEs-Orthopaedics_5e ccp.indd 226 19/03/2015 07:45
  • 242.
    Orthopaedics and rheumatology 227 Station 83 TheGALS screening examination Arms Look • Skin: rashes, nodules, nail signs • Muscles: wasting, fasciculation • Joints: swelling, asymmetry, deformity Do not forget to inspect both surfaces of the hands. Feel • Skin: temperature • Muscles: general muscle bulk • Joints: tenderness and warmth; squeeze each hand at the level of the carpal and meta- carpal joints, and try to localise any tenderness by squeezing each individual joint in turn Move • Hands: ask the patient to squeeze your finger (grip strength); then ask him to make a pinch and attempt to ‘break’ his pinch (precision pinch) • Wrists: ask him to put his hands in the prayer position and then in the reverse prayer posi- tion • Elbows: ask him to bring up his forearms as if he were lifting weights and then to straighten out his arms alongside his body • Shoulders: ask him to raise his arms above his head (abduction) and to then to put his hands behind his head (internal rotation); coming from below, ask him to touch his back between the shoulder blades (external rotation). Demonstrate these movements to the patient. Look for restricted range of movement and pain on movement. Legs Now ask the patient to lie on the couch. Look • Skin: rashes, nodules, callosities on the soles of the feet • Muscles: wasting, fasciculation • Joints: swelling, asymmetry, deformity Feel • Skin: temperature • Joints: tenderness, warmth, and swelling; palpate each knee along the joint margin; squeeze each foot, and try to localise any tenderness by squeezing each individual joint in turn Move • Ask the patient to bring his heels to his bottom. • Hold the knee and hip at 90 degrees of flexion and internally and externally rotate the hip. Keep an eye on the patient’s face as you do this and ensure that you do not cause him unnecessary pain. • Next, place one hand on the knee joint and extend it, feeling for any crepitus as you do so. • Repeat on the other side. 09-OCSEs-Orthopaedics_5e ccp.indd 227 19/03/2015 07:45
  • 243.
    Clinical Skills for OSCEs 228 Station 83The GALS screening examination Gait Ask the patient to walk, observing: • General features: rhythm, speed, stride length, limp. • The phases of gait: heel-strike, stance, push-off, and swing. • Arm swing. • Turning. • Transfer ability: sitting and standing from a chair (note that you should already have had a chance to observe this). After the examination • Thank the patient. • Offer to help him dress. • Ensure that he is comfortable. • Summarise your findings. • If appropriate, indicate that you would perform a more detailed physical examination. 09-OCSEs-Orthopaedics_5e ccp.indd 228 19/03/2015 07:45
  • 244.
    229 Orthopaedics and rheumatology Station 84 Hand andwrist examination Before starting • Introduce yourself to the patient, and confirm his name and date of birth. • Explain the examination and obtain his consent. • Ask him to expose his arms. • Ensure that he is comfortable. The examination Look First inspect the dorsum and then the palmar surfaces of the hands. • Skin: colour, rheumatoid nodules, scars, nail changes such as pitting or loosening. • Joints: swelling, Heberden’s nodes (on DIP joints), Bouchard’s nodes (on PIP joints). • Shape and position: normal resting position of the hand, ulnar deviation, boutonnière and swan neck deformity of the fingers, mallet finger, finger droop, Z-deformity of the thumb, muscle wasting in the thenar or hypothenar eminences, Dupuytren’s contracture. • Elbows: psoriatic plaques, gouty tophi, rheumatoid nodules. Figure 49. The arthritic hand. Boutonnière and swan neck deformity of the fingers. Feel Ask if there is any pain before you start. • Skin: temperature. • Finger and wrist joints: swelling, synovial thickening, tenderness. • Anatomical snuff box (fractured scaphoid). • Tip of the radial styloid (de Quervain’s disease) and head of the ulna (extensor carpi ulnaris tendinitis). Move Test active and passive movements, looking for limitation in the normal range of movement. Ask the patient to report any pain. Wrist • Flexion and extension. • Ulnar and radial deviation. • Pronation and supination. Boutonnière deformity Swan neck deformity 09-OCSEs-Orthopaedics_5e ccp.indd 229 19/03/2015 07:45
  • 245.
    Clinical Skills for OSCEs 230 Station 84Hand and wrist examination Thumb • Extension. “Stick your thumb out to the side.” • Abduction. “Point your thumb up to the ceiling.” • Adduction. “Collect your thumb in your palm.” • Opposition. “Appose the tip of your thumb to the tip of your little finger.” Fingers Each finger should be fully extended and flexed. Look at the movements of the metacarpophalangeal and interphalangeal joints. Test the grip strength by asking the patient to make a fist and try to squeeze your fingers. Try to open the fist. Test the pincer strength by trying to break the pinch between his thumb and first finger. Special tests • Carpal tunnel tests: – – try to elicit Tinel’s sign by extending the hand and tapping on the median nerve in the carpal tunnel – – try to elicit Phalen’s sign by holding the hand in forced flexion for 30–60 seconds Figure 50. An alternative and quicker method for eliciting Phalen’s sign. • Flexor profundus: hold a finger extended at the proximal interphalangeal joint and ask the patient to flex the distal interphalangeal joint of that same finger. • Flexor superficialis: ask the patient to flex a finger whilst holding all the other fingers on the same hand extended. • Assess function by asking the patient to make use of an everyday object such as a pen or cup. After the examination • State that you would also like to examine the vascular and neurological systems of the upper limb. • If appropriate, indicate that you would order some tests, e.g. X-ray (AP and lateral), FBC, ESR, rheumatoid factor, etc. • Thank the patient. • Ensure that he is comfortable. • Offer to help the patient put his clothes back on. • Offer a differential diagnosis. 09-OCSEs-Orthopaedics_5e ccp.indd 230 19/03/2015 07:45
  • 246.
    Orthopaedics and rheumatology 231 Station 84 Handand wrist examination Conditions most likely to come up in a hand and wrist examination station Osteoarthritis (see Station 82) Rheumatoid arthritis (see Station 82) Psoriatic arthritis (see Station 82) Lesions of the median, radial, or ulnar nerves (see Station 33) Gout (see Station 82) Carpal tunnel syndrome: • Compression of the median nerve in the carpal tunnel. • More common in females. • Burning pain, tingling, and numbness in the distribution of the median nerve. • Possible wasting of the thenar eminence and weakness of the abductor pollicis brevis. • Tinel’s sign and Phalen’s sign are positive. Dupuytren’s disease: • Fixed flexion contracture of the hand with the ring and little fingers most commonly affected. • Scar tissue palpable beneath the skin of the palm with dimpling and puckering of the skin over that area. De Quervain’s tenosynovitis: • Idiopathic inflammation of the tendons of extensor pollicis brevis and abductor pollicis longus muscles concerned with radial abduction of the thumb. • Accompanied by difficulty gripping and pain, tenderness, and swelling over the radial styloid. • The diagnosis is verified by holding the thumb inside a clenched fist and ulnar deviating the wrist; this stretches the inflamed tendons over the radial styloid, thereby exacerbating the patient’s pain (Finkelstein’s test). Trigger finger: • Idiopathic catching, snapping, or locking of the involved finger flexor tendon. • Associated with pain and loss of function. • Middle and ring finger most commonly affected. • The finger clicks when it is flexed and gets stuck in the flexed position. • Overcoming this resistance leads to the finger snapping straight, hence the name ‘trigger finger’. 09-OCSEs-Orthopaedics_5e ccp.indd 231 19/03/2015 07:45
  • 247.
    Clinical Skills for OSCEs 232 Station 85 Elbowexamination This station is unlikely to come up on its own but may be asked as part of a hand and wrist examination, and is included here for the sake of completeness. Before starting • Introduce yourself to the patient, and confirm his name and date of birth. • Explain the examination and obtain his consent. • Ask him to expose his arms. • Ensure that he is comfortable. The examination Look Ask the patient to hold his arms by his side. • Overall impression: varus or valgus deformities (look from behind), effusions, inflammation of the olecranon bursa • Skin: rheumatoid nodules, gouty tophi, scars • Muscle wasting: biceps, triceps, forearm Feel Ask if there is any pain before you start. • Skin: temperature, psoriatic plaques, rheumatoid nodules, gouty tophi • Joints: tenderness, effusions, synovial thickening • Bones: tenderness of the lateral and medial epicondyles Move • Flexion and extension: – – tennis elbow: ask about pain at the lateral epicondyle on elbow extension and forced wrist extension – – golfer’s elbow: ask about pain at the medial epicondyle on elbow flexion and forced wrist flexion • Pronation and supination. Show the patient how to tuck his elbows into his sides and to turn his arms so that the palm of his hands face up and down (a bit like the gesture for ‘I don’t know’). After the examination • State that you would also like to examine the wrist and hand. • State that you would also like to examine the vascular and neurological systems of the upper limb. • If appropriate, indicate that you would order some tests, e.g. X-ray (AP and lateral), FBC, ESR, rheumatoid factor, etc. • Thank the patient. • Offer to help him put his clothes back on. • Ensure that he is comfortable. • Summarise your findings and offer a differential diagnosis. Conditions most likely to come up in an elbow examination station • Osteoarthritis         • Rheumatoid arthritis         • Olecranon bursitis 09-OCSEs-Orthopaedics_5e ccp.indd 232 19/03/2015 07:45
  • 248.
    233 Orthopaedics and rheumatology Station 86 Shoulder examination Beforestarting • Introduce yourself to the patient, and confirm his name and date of birth. • Explain the examination and obtain his consent. • Ask him to undress from the waist upward. • Ensure that he is comfortable. The examination Look Inspect from front and back. • Overall impression: alignment, symmetry, position of the arms, axillae, prominence of the acromioclavicular and sternoclavicular joints • Skin: colour, sinuses, scars • Muscle wasting: deltoid, periscapular muscles (supraspinatus and infraspinatus) Feel Ask if there is any pain before you start. • Skin: temperature – compare both sides • Bones and joints: palpate the bony landmarks of the shoulder, starting at the sternocla- vicular joint and moving laterally along the clavicle. Try to localise any tenderness. Can you feel any effusions? • Biceps tendon: ask the patient to flex his arms and palpate the biceps tendon in the bicipital groove. Tenderness suggests biceps tendinitis Figure 51. Anatomy of the shoulder joint. Clavicle Acromioclavicular joint/ligament Sternoclavicular joint/ligament Scapula Sternum Glenohumeral joint Humerus Acromion Coracoid process 09-OCSEs-Orthopaedics_5e ccp.indd 233 19/03/2015 07:45
  • 249.
    Clinical Skills for OSCEs 234 Station 86Shoulder examination Move Demonstrate these movements to the patient. Ask him to tell you if he feels any pain at any point. Note where the pain starts and stops, and any restriction in movement. • Abduction: “Raise your arms above your head, making the palms of your hands touch.” • Adduction: “Cross your arms across the front of your body.” • Flexion: “Raise your arms forwards.” • Extension: “Pull your arms backwards.” • External rotation: “With your arms bent and your elbows tucked into your sides separate your hands.” • Internal rotation: “With your arms bent and your elbows tucked into your sides bring your hands together.” • Internal rotation in adduction: “Reach up your back and touch your shoulder blades.” • External rotation in abduction: “Hold your hands behind your neck, like you do at the end of the day.” If any one movement is limited, also test the passive range of movement. Serratus anterior function Ask the patient to put his hands against a wall and to push against it. Observe the scapulae from behind, looking for asymmetry or winging. After the examination • State that you would also like to examine the vascular and neurological systems of the upper limb. • If appropriate, indicate that you would order some tests, e.g. X-ray (AP and lateral), FBC, ESR, rheumatoid factor, etc. • Thank the patient. • Offer to help him put his clothes back on. • Ensure that he is comfortable. • Summarise your findings and offer a differential diagnosis. 09-OCSEs-Orthopaedics_5e ccp.indd 234 19/03/2015 07:45
  • 250.
    Orthopaedics and rheumatology 235 Station 86 Shoulderexamination Conditions most likely to come up in a shoulder examination station Frozen shoulder (adhesive capsulitis): • The shoulder capsule becomes inflamed, resulting in pain and stiffness. • Range of active movements is almost the same as that of passive movements. • The movement that is most severely restricted is external rotation. • Often idiopathic. • More common in females. • Rarely presents under the age of 40. Calcific tendinitis: • Pain and restricted movement result from deposits of hydroxyapatite in any tendon of the body, but most commonly in those of the rotator cuff. • Pain is aggravated by elevation of the arm. • Calcific deposits are visible on X-ray. • Calcific tendinitis predisposes to frozen shoulder. Rotator cuff tear: • Tears of one or more of the four tendons of the rotator cuff muscles, particularly that of supraspinatus. • Often asymptomatic, but may cause tenderness and pain that may radiate along the arm. • The movement that is most severely restricted is abduction; however, if the arm is passively abducted beyond 90°, the patient can abduct his arm further using the deltoid muscle. Impingement syndrome: • Impingement of the supraspinatus tendon between the acromion and the humeral head. • There is pain, weakness, and restricted movement with a painful arc of movement from 60 to 120° of abduction. • Impingement syndrome predisposes to rotator cuff tear. Shoulder dislocation: • Separation of the humerus from the scapula at the glenohumeral joint. • Partial separation is referred to as subluxation. • 95% of shoulder dislocations are anterior. • Anterior dislocations are usually caused by the arm being forced into abduction and external rotation. • Apart from a visibly displaced shoulder, there is severe pain that may radiate along the arm and a severely restricted range of movement. Bicipital tendinitis: • Inflammation of the long head of the biceps tendon, often associated with trauma or overuse. • There is shoulder pain that is exacerbated by overhead activity and by lifting. • There is tenderness over the bicipital groove. • In cases of rupture of the long head of the biceps tendon, the retracted muscle belly bulges over the anterior upper arm (Popeye sign). Osteoarthritis (see Station 82) Winging of the scapula Referred pain from the cervical spine or the heart 09-OCSEs-Orthopaedics_5e ccp.indd 235 19/03/2015 07:45
  • 251.
    Clinical Skills for OSCEs 236 Station 87 Spinalexamination Before starting • Introduce yourself to the patient, and confirm his name and date of birth. • Explain the examination and obtain his consent. • Ask him to undress to his undergarments. • Ensure that he is comfortable. The examination Look Inspect from front and back. • General inspection: ask the patient to stand and assess posture. Are there any obvious malfor- mations? • Skin: scars, pigmentation, abnormal hair, unusual skin creases. • Shape and posture. • Spine: – – lateral curvature of the spine – scoliosis (observe from the back) – – abnormal increase in the kyphotic curvature of the thoracic spine – kyphosis (observe from the side) – – sharp, angular bend in the spine – a kyphos (observe from the side) – – loss or exaggeration of lumbar lordosis • Asymmetry or malformation of the chest. • Asymmetry of the pelvis. Feel Ask if there is any pain before you start. • Palpate and percuss the spinous processes and interspinous ligaments. Then palpate the para- vertebral/paraspinal muscles. Note any pain or tenderness. Move Ask the patient to copy your movements, looking for any limitation of range of movement. Ask him to indicate if any of the movements are painful. Gait Cervical spine • Flexion: “Put your chin on your chest.” • Extension: “Look at the ceiling.” • Lateral flexion: “Put your ear onto your shoulder without lifting your shoulder.” • Rotation (normal range is about 80 degrees to each side): “Look back over each shoulder.” Thoracic spine • Rotation. “Please sit down” (to stabilise the pelvis) “and twist from side to side”. Measure chest expansion. It should be at least 5 cm. 09-OCSEs-Orthopaedics_5e ccp.indd 236 19/03/2015 07:45
  • 252.
    Orthopaedics and rheumatology 237 Station 87 Spinalexamination Lumbar spine • Flexion: “Touch your toes, keep your knees straight.” • Extension: “Lean back, keep your knees straight.” • Lateral flexion: “Slide your hand alongside the outside of your leg.” Schober’s test: measure lumbar excursion by drawing a line from 10 cm above L5 to 5 cm below it and asking the patient to bend fully forwards. Extension of the line by 5 cm indicates movement restriction. (Rather than drawing a line, you can just use two fingers or a measuring tape.) Special tests Ask the patient to lie prone. • Palpate the sacroiliac joints for tenderness. • Press on the mid-line of the sacrum to test if movement of the sacroiliac joints is painful. • Femoral stretch test (L2–L4): – – with the patient lying prone, raise the leg so as to flex the knee – – if this does not trigger any pain, raise the leg further so as to extend the hip – pain suggests irritation of the second, third, or fourth lumbar root of that side Ask the patient to lie supine. • Straight leg raise (L5–S2): – – with the patient lying supine, flex the hip while maintaining the knee in extension: pain in the thigh, buttock, and back suggests sciatica – – the response can be amplified by concomitant dorsiflexion of the foot (Bragard’s test) – – if you’re after a gold medal, perform Lasègue’s test: flex the knee and then flex the hip to 90 degrees; with your left hand on the knee, gradually extend the knee with your right hand until the pain is reproduced After the examination • State that you would also like to carry out neurological and vascular examinations. • If appropriate, indicate that you would order some tests, e.g. X-ray, MRI, DEXA, FBC, ESR, bone profile, etc. • Thank the patient. • Offer to help the patient put his clothes back on. • Ensure that he is comfortable. • Summarise your findings and offer a differential diagnosis. Figure 52. The femoral stretch test. 09-OCSEs-Orthopaedics_5e ccp.indd 237 19/03/2015 07:45
  • 253.
    Clinical Skills for OSCEs 238 Station 87Spinal examination Conditions most likely to come up in a spinal examination station Osteoarthritis (see Station 82) Ankylosing spondylitis (see Station 82) Prolapsed disc: • Part of the nucleus pulposus herniates through the outer part of the disc with attending inflammation and nerve root compression. • Most cases occur in the lumbar spine, most commonly at L4/L5 and L5/S1. • Symptoms may include back pain that is aggravated by coughing, sneezing, or straining and relieved by lying flat; nerve root pain (often involving the sciatic nerve, ‘sciatica’); other nerve root symptoms such as numbness and paraesthesiae; cauda equina syndrome. • The distribution of the symptoms helps to identify the level of the lesion. • Straight leg raise, Bragard’s test, and Lasègue’s test are positive. • Commonest in men and in middle age. Muscular back pain Scoliosis 09-OCSEs-Orthopaedics_5e ccp.indd 238 19/03/2015 07:45
  • 254.
    239 Orthopaedics and rheumatology Station 88 Hip examination Beforestarting • Introduce yourself to the patient, and confirm his name and date of birth. • Explain the examination and obtain his consent. • Ask him to undress to his undergarments. • Ensure that he is comfortable. The examination Look Inspect from front and back. • General inspection: posture, symmetry of legs and pelvis, deformity, muscle wasting (especially the gluteals), scars. • Gait (observe from the front and back): note any limp – antalgic, short leg, or Trendelenberg (see Station 37). • Trendelenberg’s test: ask the patient to stand on each leg in turn, lifting the other one off the ground by bending it at the knee. Face the patient and support him by the index fingers of his outstretched hands. The sign is positive if the pelvis drops on the non-weight bearing side. Ask the patient to lie supine. • Skin: colour, sinuses, scars. • Position: limb shortening, limb rotation, abduction or adduction deformity, flexion ­ deformity. • Limb length. – – to measure true leg length, position the pelvis so that the iliac crests lie in the same hori- zontal plane, at right angles to the trunk (this is not possible if there is a fixed abduction or adduction deformity) and then measure the distance from the anterior superior iliac spine (ASIS) to the medial malleolus. True leg shortening suggests pathology of the hip joint Figure 53. Negative (left) and positive Trendelenberg’s test. A positive Trendelenberg’s test suggests weakness of the abduction of the weight-bearing hip, and hence a problem in that hip. 09-OCSEs-Orthopaedics_5e ccp.indd 239 19/03/2015 07:45
  • 255.
    Clinical Skills for OSCEs 240 Station 88Hip examination – – to measure apparent leg length, measure the distance from the xiphisternum to the medial malleolus. Apparent leg shortening suggests pelvic tilt, most often due to an adduction deformity of the hip • Circumference of the quadriceps muscles at a fixed point. Feel Ask if there is any pain. • Skin: temperature, effusions (difficult to feel). • Bones and joints: bony landmarks of the hip joint, inguinal ligament. Move Look for limitation of the normal range of movement, and ask the patient to report any pain. • Flexion and Thomas’ test: – – flex both hips and place your hand in the small of the back to ensure that the lumbar lordosis has been eliminated – – hold one hip flexed and straighten the other leg, maintaining your hand in the small of the back – if the leg cannot be straightened and the knee is unable to rest on the couch, a fixed flexion deformity is present – – repeat for the other leg • Abduction and adduction: – – drop one leg over the edge of the couch to fix the pelvis – – place one hand on the anterior superior iliac spine of the other leg and carry it through abduction and adduction – – repeat for the other leg • Rotation: – – flex the hip and knee to 90 degrees – – hold the knee in the left hand and the ankle in the right hand – – using your right hand, rotate the hip internally and externally (approximately 45 degrees in each direction) – – repeat for the other leg Ask the patient to lie prone. • Look for scars, etc. • Feel for tenderness. • Extend each hip in turn. Keep a hand under a bent knee and extend the hip by pulling the leg up at the ankle. After the examination • State that you would also like to examine the vascular and neurological systems of the lower limbs. • If appropriate, indicate that you would order some tests, e.g. hip and knee X-ray, DEXA, FBC, ESR, bone profile, etc. • Thank the patient. • Offer to help the patient put his clothes back on. • Ensure that he is comfortable. • Summarise your findings and offer a differential diagnosis. 09-OCSEs-Orthopaedics_5e ccp.indd 240 19/03/2015 07:45
  • 256.
    Orthopaedics and rheumatology 241 Station 88 Hipexamination Conditions most likely to come up in a hip examination station Osteoarthritis: • The hip is held in flexion, external rotation, and adduction. • This is accompanied by pain and restricted movement. • There is apparent limb shortening. • There are other signs of osteoarthritis, e.g. Heberden’s nodes on the distal interphalangeal joints. Slipped upper femoral epiphysis: • Fracture through the physis resulting in slippage of the overlying epiphysis, producing a ‘melting ice-cream cone’ on X-ray. • Limited movement of the hip, particularly internal rotation and abduction, and pain in the hip, groin, or knee. • External rotation and shortening of the affected leg. • Often presents in obese prepubescent males. Trendelenburg gait (see Station 37) Antalgic gait (see Station 37) Hip replacement Hip arthrodesis Trochanteric bursitis 09-OCSEs-Orthopaedics_5e ccp.indd 241 19/03/2015 07:45
  • 257.
    Clinical Skills for OSCEs 242 Station 89 Kneeexamination Before starting • Introduce yourself to the patient, and confirm his name and date of birth. • Explain the examination and obtain his consent. • Ask him to undress from the waist downwards. • Ensure that he is comfortable. The examination Ask the patient to stand. Look • Gait: observe from in front and behind, looking for instability, limp, and limited range of move- ment. • Position: neutral, varus, valgus, fixed flexion, hyperextension (recurvatum). • Squat test (avoid in elderly patients). Ask the patient to lie supine. • Skin: colour, sinuses, scars (including arthroscopic scars). • Shape: alignment, effusion, patellar alignment. • Position: hyperextension, varus, valgus (distal portion is displaced laterally). Measure quadriceps circumference a hand breadth above the patella. Feel Ask if there is any pain. • Skin: temperature (compare both sides). • Effusions: cross fluctuation, patellar tap test, and bulge test. – – cross fluctuation: place the thumb and index finger of one hand on the joint line just below the patella and with the other hand empty the suprapatellar pouch. If an impulse is transmit- ted across the joint line, this indicates a large effusion – – patellar tap test: empty the suprapatellar pouch with one hand and dip the patella with the thumb, index finger, and middle finger of the other hand. If the patella is felt to tap the underlying bone and to bounce back up, this indicates a medium sized effusion – – bulge test: empty the medial parapatellar fossa by stroking the medial aspect of the joint; then empty either the suprapatellar pouch or the lateral parapatellar fossa. If the medial parapatellar fossa is seen to bulge out, this indicates a small effusion • Joint line at 90 degrees of flexion. Feel for any synovial thickening. • Surrounding structures: ligaments, tibial tuberosity, femoral condyles. • Patella: note size and height of patella and carry out patellar apprehension tests. Displace the patella laterally while flexing the knee. If the patella is unstable, the patient will either contract the quadriceps muscle or discontinue the test. Move • Active: – – flexion – – extension 09-OCSEs-Orthopaedics_5e ccp.indd 242 19/03/2015 07:45
  • 258.
    Orthopaedics and rheumatology 243 Station 89 Kneeexamination • Passive: – flexion (to 140 degrees), feeling for crepitus and clicks – extension (to 0 to -10 degrees) Special tests • Collateral ligament tears. – apply varus and valgus stresses at 0 degrees and 20 degrees of flexion. Hold the leg under one arm and apply pressure on the medial/lateral side of the knee joint • Cruciate ligament tears. – posterior sag test: flex the knee to 90 degrees and look for a sag across the knee. The pres- ence of a sag indicates a posterior cruciate ligament tear – anterior and posterior drawer tests: flex the knee to 90 degrees, sit on the foot (ask the patient first!), and pull the tibia back and forth. Exaggerated anterior displacement indicates that the anterior cruciate ligament is probably torn, whereas exaggerated posterior displace- ment indicates that the posterior cruciate ligament is probably torn – Lachman’s test (Figure 54): flex the knee to 30 degrees and, holding the thigh in one hand and the proximal tibia in the other, attempt to make the joint surfaces slide upon one another. Exaggerated anterior displacement of the tibia indicates that the anterior cruciate ligament is probably torn • Meniscal tears. – McMurray’s test (Figure 55): place one hand on the knee and the other on the ankle. Flex the hip and knee. To test the medial meniscus, palpate the posteromedial margin of the joint. Then hold the leg in external rotation and extend the knee. To test the lateral meniscus, pal- pate the posterolateral margin of the joint. Then hold the leg in internal rotation and extend the knee. A positive test is one that elicits pain, resistance, or a reproducible click – Apley’s grinding test (not usually performed) Figure 54. Lachman’s test. 09-OCSEs-Orthopaedics_5e ccp.indd 243 19/03/2015 07:45
  • 259.
    Clinical Skills for OSCEs 244 Station 89Knee examination Lie the patient prone. • Popliteal fossa: – – inspect the popliteal fossa – – palpate the popliteal fossa for a Baker’s (popliteal) cyst After the examination • State that you would also like to examine the vascular and neurological systems of the lower limbs. • If appropriate, indicate that you would order some tests, e.g. X-ray (AP and lateral), FBC, ESR, bone profile, rheumatoid factor, etc. • Thank the patient. • Offer to help the patient put his clothes back on. • Ensure that he is comfortable. • Summarise your findings and offer a differential diagnosis. The age and sex of the patient have a strong bearing on the differential diagnosis. Conditions most likely to come up in a knee examination station • Recurrent subluxation of the patella. • Chrondromalacia patellae. • Collateral ligament tears. • Cruciate ligament tears. • Meniscal tears. • Osteoarthritis. • Rheumatoid arthritis. • Prepatellar and infrapatellar bursitis. • Baker’s (popliteal) cyst. • Tibial apophysitis (Osgood–Schlätter’s disease). Figure 55. McMurray’s test. 09-OCSEs-Orthopaedics_5e ccp.indd 244 19/03/2015 07:45
  • 260.
    245 Orthopaedics and rheumatology Station 90 Ankle andfoot examination Before starting • Introduce yourself to the patient, and confirm his name and date of birth. • Explain the examination and obtain his consent. • Ask him to undress from the waist downwards. • Ensure that he is comfortable. The examination The patient is standing. Look • General inspection: posture, symmetry, and any obvious deformities. Look for clues such as walking aids and abnormal wear on shoes. Ask the patient to turn around. • Gait: observe from front and back. Pay particular attention to height of step, ankle movement, and foot strike. Ask the patient to stand on his tiptoes and then on his heels. Ask the patient to lie on the couch. • Skin: colour, sinuses, scars, corns, calluses, ulcers, bunions (big toe), Tailor’s bunion/bunionette (little toe). • Shape: alignment, pes planus (flat foot), pes cavus (arched foot), deformities of the toes (hallux valgus, claw, hammer, and mallet toes). • Position: varus or valgus hindfoot deformity. Feel Ask about any pain. • Skin: temperature (compare both sides), abnormal thickening on the soles of the feet. • Pulses: dorsalis pedis, posterior tibial. • Bone and joints: palpate the joint margin, forefoot (metatarsals and metatarsophalangeal joints) and hindfoot, and localise any tenderness. Remember to keep looking at the patient’s face. Move (active and passive) Look for restriction of the normal range of movement. Ask the patient to report any pain. Figure 56. Claw, mallet (DIP joints), and hammer toes (PIP joints). 09-OCSEs-Orthopaedics_5e ccp.indd 245 19/03/2015 07:45
  • 261.
    Clinical Skills for OSCEs 246 Station 90Ankle and foot examination Ankle joint • Hold the heel in the left hand and the forefoot in the right hand. • Plantarflex the foot (normal range 40 degrees). • Dorsiflex the foot (normal range 25 degrees). • Compare range of movement to that in the other foot. Subtalar joint • Hold the heel in the left hand and the forefoot in the right hand, as above, with the ankle fixed at 90 degrees. • Invert the foot (normal range 30 degrees). • Evert the foot (normal range 15 degrees). • Compare the range of movement to that in the other foot. Midtarsal joint • Hold the heel in the left hand and the forefoot in the right hand. • Flex, extend, invert, and evert the forefoot. Toes • Flex and extend each toe in turn. If there is any tenderness, try to localise it to a particular joint. Ask the patient to lie prone. • Look for any scars and for wasting of the calves. • Palpate the calf muscle and the Achilles tendon. • Simmond’s test: squeeze the calf – if the foot plantarflexes, the Achilles tendon is intact. After the examination • State that you would also like to examine the vascular and neurological systems of the lower limbs. • If appropriate, indicate that you would order some tests, e.g. foot and ankle X-ray (AP and lat- eral), FBC, ESR, bone profile, rheumatoid factor, etc. • Thank the patient. • Offer to help him put his socks and shoes back on. • Ensure that he is comfortable. • Summarise your findings and offer a differential diagnosis. Conditions most likely to come up in an ankle and foot examination station • Osteoarthritis. • Rheumatoid arthritis. • Ankle injuries. • Deformities of the foot. • Plantar fasciitis. 09-OCSEs-Orthopaedics_5e ccp.indd 246 19/03/2015 07:45
  • 262.
    247 Emergency medicine and anaesthesiology Station 91 Adult BasicLife Support • Make sure you, the victim, and any bystanders are safe. • Check the victim for a response. Gently shake his shoulders and ask loudly, “Are you all right?” If he responds: • Leave him in the position in which you find him provided there is no further danger. • Try to find out what is wrong with him and get help if needed. • Reassess him regularly. If he does not respond: • Shout for help. • Turn him onto his back and open the airway using the head-tilt, chin-lift technique: – – place your hand on his forehead and gently tilt his head back – – with your fingertips under the point of his chin, lift the chin to open the airway – – holding his airway open, put your ear to his mouth. Listen, feel, and look for breathing for no more than 10 seconds. If you have any doubt about whether breathing is normal, assume that it is not Agonal breathing (occasional gasps, slow, laboured, or noisy breathing) is common in the early stages of cardiac arrest and should not be mistaken for a sign of life. 2 rescue breaths 30 compressions 30 chest compressions UNRESPONSIVE ? Adult Basic Life Support Shout for help Open airway NOT BREATHING NORMALLY ? Call 999 Figure 57. Basic Life Support algorithm. 10-OCSEs-Emergency_Medicine_5e ccp.indd 247 19/03/2015 13:32
  • 263.
    Clinical Skills for OSCEs 248 Station 91Adult Basic Life Support If he is breathing normally: • Turn him into the recovery position. • Call for an ambulance by mobile phone or, if this is not possible, send a bystander to call. Leave the victim only if there is no other way of obtaining help. • Check for continued breathing. If he is not breathing normally: • Ask someone to call for an ambulance and bring an automated external defibrillator (AED) if available. If you are on your own, use your mobile phone to call for an ambulance. Leave the victim only if there is no other way of obtaining help. • Deliver 30 chest compressions followed by 2 rescue breaths. To deliver chest compressions: – – kneel by the side of the victim – – place the heel of one hand in the centre of the victim’s chest – – place the heel of the other hand on top of the first hand – – interlock the fingers of your hands and ensure that pressure is not applied on the victim’s ribs, bottom end of his chest bone, or upper abdomen – – position yourself vertically above the victim’s chest and, with your arms straight, press down on the sternum 5–6 cm – – after each compression, release all the pressure on the chest without losing contact between your hands and the sternum – repeat at a rate of about 100–120 per minute – – compression and release should take an equal amount of time To deliver rescue breaths: – – after 30 compressions, again open the airway using head-tilt and chin-lift – – pinch the soft part of the victim’s nose closed using the index finger and thumb of the hand on his forehead – – allow his mouth to open, but maintain chin lift – – take a normal breath and place your lips around his mouth, making sure that you have a good seal – – blow steadily into his mouth whilst watching for his chest to rise – take about 1 second to make his chest rise – – maintaining head-tilt and chin-lift, take your mouth away from him and watch for his chest to fall – – deliver a second rescue breath and return to chest compressions without delay • Continue with chest compressions and rescue breaths at a ratio of 30:2. • Stop to re-check the victim only if he starts to show signs of regaining consciousness, such as coughing, opening his eyes, speaking or moving purposefully AND starts to breathe normally; otherwise do not interrupt resuscitation. Figure 58. The head-tilt, chin-lift technique. 10-OCSEs-Emergency_Medicine_5e ccp.indd 248 19/03/2015 13:32
  • 264.
    Emergency medicine and anaesthesiology 249 Station 91 AdultBasic Life Support • If your rescue breaths do not make the chest rise as in normal breathing, check the victim’s mouth and remove any obstruction and re-check that there is adequate head-tilt and chin-lift. Do not attempt more than 2 rescue breaths each time before returning to chest ­ compressions. • If there is more than one person present, the person providing chest compressions should change every 1–2 minutes with no interruption to the chest compressions. If the rescuer is unable or unwilling to give rescue breaths, he can give chest compressions at a rate of 100–120 compressions per minute, stopping only to recheck the victim if he shows signs of regaining consciousness AND starts to breathe normally. Continue resuscitation until qualified help arrives or until the victim shows signs of regaining consciousness AND starts to breathe normally or until exhaustion. The recovery position • Remove the victim’s spectacles, if any. • Kneel beside her and make sure that both her legs are straight. • Place the arm nearest to you out at right angles to her body, elbow bent, with the hand palm uppermost. • Bring the far arm across the chest, and hold the back of the hand against the cheek nearest to you. • With your other hand, grasp the far leg just above the knee and pull it up, keeping the foot on the ground. • Keeping her hand pressed against her cheek, pull on the far leg to roll her towards you and onto her side. • Adjust the upper leg so that both the hip and knee are bent at right angles. • Tilt the head back to ensure that the airway remains open. • Adjust the hand under the cheek, if necessary, to keep the head tilted.    Figure 59. The recovery position. 10-OCSEs-Emergency_Medicine_5e ccp.indd 249 19/03/2015 13:32
  • 265.
    Clinical Skills for OSCEs 250 Station 92 Choking Chokingis a physiological response to obstruction of the airways by a foreign object, and can lead to asphyxia (oxygen starvation) and brain hypoxia, and, ultimately, loss of consciousness and death. Victims of choking are likely to grab or point at their neck. Young children are prone to choking on food and small objects, so eating or playing prior to the episode is strongly suggestive of choking. Differentials of choking include fainting, heart attack, seizure, and other conditions that may cause sudden respiratory distress, cyanosis, or loss of consciousness. The first step is to ask the victim, “Are you choking?” Mild airway obstruction The victim is able to breathe, speak, or cough forcefully. • Encourage the victim to cough, and intervene only if the situation begins to deteriorate. Severe airway obstruction The victim is unable to breathe or speak, or his breathing sounds wheezy, or his attempts at coughing are silent or ineffective. He may simply respond by nodding. • Apply the ‘five-and-five’ protocol. • Deliver up to five back blows: – – stand to the side and slightly behind the victim – – support the chest with one hand and lean him well forwards so that, if it is dislodged, the object falls out of the mouth rather than further down the airway – – with the heel of your other hand, deliver up to five back blows between the shoulder blades, checking between each blow whether the obstruction has been relieved • If obstruction persists, deliver up to five abdominal thrusts (Heimlich manoeuvre): – – stand behind the victim – – wrap your arms around his waist and lean him forward – – clench your fist and place it between the umbilicus and xiphisternum – – grasp this fist firmly with your other hand and pull sharply inwards and upwards – – repeat up to five times • If, after five abdominal thrusts, the obstruction still has not been cleared, repeat the ‘five-and- five’ protocol. Unconscious victim • Support the victim carefully to the ground. Call an ambulance immediately. Begin CPR (see Station 91). Initiate chest compressions even if a pulse is present. Pregnant or obese victim • Adapt the Heimlich manoeuvre by placing your clenched fist just above where the lowest ribs meet. Infants below the age of one • Place the child in a head-down, prone position over your forearm or on your lap. • Hold the jaw with one hand to support the head. • Deliver up to five back blows between the shoulder blades. 10-OCSEs-Emergency_Medicine_5e ccp.indd 250 19/03/2015 13:32
  • 266.
    Emergency medicine and anaesthesiology 251 Station 92 Choking •If the obstruction has not cleared, place the child in a head-down, supine position and deliver chest compressions using the two-finger technique (see Station 66). • If the obstruction still has not been cleared, repeat the ‘five-and-five’ protocol. • If the child is unconscious, open the airway, deliver 5 rescue breaths, and start CPR (see Station 66). [Note] Followingsuccessfultreatmentforchoking,victimswithapersistentcough,difficultyswallowing,orwithasense of something still stuck in the throat should seek immediate medical attention. 10-OCSEs-Emergency_Medicine_5e ccp.indd 251 19/03/2015 13:32
  • 267.
    Clinical Skills for OSCEs 252 Station 93 In-hospitalresuscitation This sequence should be followed for a collapsed patient in hospital. • Ensure personal safety. • Shout for help. • Check the patient for a response – gently shake his shoulders and loudly ask “Are you all right?” • If the patient responds: – – urgent medical assessment is required – depending on local protocols, this may be by the resuscitation team – – while awaiting the arrival of this team, assess the patient using the ABCDE approach – – give the patient oxygen – – attach basic monitoring – – obtain venous access Handover to resuscitation team Advanced Life Support when resuscitation team arrives Apply pads/monitor Attempt defibrillation if appropriate CPR 30:2 with oxygen and airway adjuncts Shout for help and assess patient Collapsed/sick patient Call Resuscitation Team e.g. dial ‘2222’ Assess ABCDE Recognise and treat Oxygen, monitoring, IV access Call resuscitation team if appropriate Signs of life? YES NO Figure 60 In-hospital resuscitation algorithm. 10-OCSEs-Emergency_Medicine_5e ccp.indd 252 19/03/2015 13:32
  • 268.
    Emergency medicine and anaesthesiology 253 Station 93 In-hospitalresuscitation • If the patient does not respond: – – turn the patient onto his back – – open the airway using the head-tilt, chin-lift technique [Note] if there is a risk of C-spine injury, use the jaw-thrust or chin-lift technique with manual in-line stabilisation (MILS) of the head and neck by an assistant (if sufficient staff are available). If airway obstruction persists despite jaw thrustorchinlift,addheadtiltasmallamountatatime.Establishinganairwayshouldtakepriorityoverconcerns about a potential C-spine injury. • Holding the patient’s airway open, put your ear to his mouth. Listen, feel, and look for breathing for no more than 10 seconds. Inspect the oropharynx for a foreign body or vomitus. • Assess the carotid pulse at the same time or after the breathing check. Agonal breathing (occasional gasps, slow, laboured, or noisy breathing) is common in the early stages of cardiac arrest and should not be mistaken for a sign of life. • If the patient has a pulse or other signs of life: – – urgent medical assessment is required. Depending on local protocols, this may be by the resuscitation team – – while awaiting the arrival of this team, assess the patient using the ABCDE approach – – give the patient oxygen – – attach monitoring – – obtain venous access • If there is no pulse or other signs of life: – – one person should start CPR as others call the resuscitation team and collect the resuscita- tion equipment. If only one member of staff is present, this will mean leaving the patient – – give 30 chest compressions followed by 2 ventilations. Place your interlocked hands in the middle of the lower half of the sternum and depress the chest by 5–6 cm, aiming for a rate of 100–120 compressions per minute. The person providing the chest compressions should change every 2 minutes or earlier, with only minimal interruption to the chest compressions – – maintain the airway and ventilate the lungs with the most appropriate equipment imme- diately at hand. A pocket mask, which may be supplemented by an oral airway, is usually readily available. If no equipment is immediately at hand, give mouth-to-mouth ventilation unless there are clinical reasons to avoid mouth-to-mouth contact (e.g. TB or SARS) – – use an inspiratory time of 1 second and give enough volume to produce a chest rise as in normal breathing. Add supplemental oxygen as soon as possible – – once the airway has been secured, continue chest compressions uninterrupted at a rate of 100–120 compressions per minute and ventilate the lungs at approximately 10 breaths per minute. Only stop compressions for defibrillation or pulse checks Figure 61. The head-tilt jaw-thrust technique. 10-OCSEs-Emergency_Medicine_5e ccp.indd 253 19/03/2015 13:32
  • 269.
    Clinical Skills for OSCEs 254 Station 93In-hospital resuscitation – – upon arrival of the defibrillator, apply self-adhesive defibrillation pads to the patient without interrupting chest compressions – – if using an automated external defibrillator (AED), switch on the machine and follow the visual prompts – – for manual defibrillation, minimise the interruption to CPR to deliver a shock – – pause briefly to assess the heart rhythm. With a manual defibrillator, if the rhythm is VF or pulseless VT (VF/VT), charge the defibrillator and restart chest compressions – – once the defibrillator is charged, oxygen sources have been removed, and all the rescuers apart from the one doing the chest compressions are clear, pause the chest compressions, rapidly check that everyone is clear (tell the remaining rescuer to “stand clear”), and deliver the shock. Restart the chest compressions immediately. This sequence should be planned before stopping the chest compressions – – continue resuscitation until the resuscitation team arrives or until the patient shows signs of life. If using an AED, follow the voice prompts. If using a manual defibrillator, follow the algorithm for ALS (see Station 94) – – prepare intravenous cannulae and drugs likely to be used by the resuscitation team (e.g. adrenaline) – – identify one person to be responsible for handover to the resuscitation team leader and locate the patient’s notes • If the patient is not breathing but has a pulse (respiratory arrest): – – ventilate the patient’s lungs as described above, checking for a pulse after every 10 breaths (about every minute) – – if there are any doubts about the presence of a pulse, start chest compressions until more experienced help arrives • If a patient has a monitored and witnessed cardiac arrest: – – confirm cardiac arrest and shout for help – – if the initial rhythm is VF/VT, give up to three quick successive (stacked) shocks. Start chest compressions immediately after the third shock and continue CPR for 2 minutes – – a pre-cordial thump in these settings works rarely and may succeed only if given within seconds of the onset of a shockable rhythm. It should not delay calling for help or accessing a defibrillator Adapted from Resuscitation Council (UK) 2010 Guidelines. 10-OCSEs-Emergency_Medicine_5e ccp.indd 254 19/03/2015 13:32
  • 270.
    255 Emergency medicine and anaesthesiology Station 94 Advanced LifeSupport Specifications: A mannequin in lieu of a patient. Figure 62. Advanced Life Support algorithm. Unresponsive? Not breathing or only occasional gasps Return of spontaneous circulation Immediate post cardiac arrest treatment Call resuscitation team CPR 30:2 Attach defibrillator/monitor Minimise interruptions Assess rhythm Shockable (VF/pulseless VT) 1 Shock Immediately resume CPR for 2 min Minimise interruptions Non Shockable (PEA/Asystole) During CPR Ensure high-quality CPR: rate, depth, recoil Plan actions before interrupting CPR Give oxygen Consider advanced airway and capnography Continuous chest compressions when advanced airway in place Vascular access (intravenous, intraosseous) Give adrenaline every 3–5 min Correct reversible causes Use ABCDE approach Controlled oxygenation and ventilation 12-lead ECG Treat precipitating cause Temperature control/ therapeutic hypothermia Reversible Causes Hypoxia Hypovolaemia Hypo-/hyperkalaemia/metabolic Hypothermia Thrombosis (coronary or pulmonary) Tamponade, cardiac Toxins Tension pneumothorax Immediately resume CPR for 2 min Minimise interruptions 10-OCSEs-Emergency_Medicine_5e ccp.indd 255 19/03/2015 13:32
  • 271.
    Clinical Skills for OSCEs 256 Station 94Advanced Life Support The patient has arrested and CPR is under way. The defibrillator/monitor has just been attached. • Assess the rhythm. • Pause briefly to check the monitor, confirm VF or pulseless VT from the ECG, and resume the chest compressions immediately. • Select the appropriate energy on the defibrillator (150–200 J biphasic for the first shock and 150–360 J biphasic for subsequent shocks) and press the charge button. • Once the defibrillator is charged, oxygen sources have been removed, and all the rescuers apart from the one doing the chest compressions are clear, pause the chest compressions, rapidly check that everyone is clear (tell the remaining rescuer to “stand clear”), and deliver the shock. Restart the chest compressions immediately. This sequence should be planned before stopping the chest compressions. • Continue CPR for 2 minutes at a ratio of 30:2. • Pause briefly to check the monitor and take the carotid pulse. If VF or pulseless VT persists, repeat the relevant steps above to deliver a second shock. • If VF or pulseless VT still persists repeat the relevant steps above to deliver a third shock. Ventricular tachycardia Ventricular fibrillation Figure 63. Positioning of the defibrillator paddles or pads. One paddle goes under the right clavicle and the other in the V6 position in the mid-axillary line. Figure 64. ECG traces of ventricular fibrillation and ventricular tachycardia. 10-OCSEs-Emergency_Medicine_5e ccp.indd 256 19/03/2015 13:32
  • 272.
    Emergency medicine and anaesthesiology 257 Station 94 AdvancedLife Support • Resume chest compressions immediately and perform CPR for a further 2 minutes, during which time give adrenaline 1 mg IV and amiodarone 300 mg IV. • Keep on repeating this 2 minute CRP – rhythm/pulse check – defibrillation sequence for as long as VF/VT persists. • Give further adrenaline 1 mg IV after alternate shocks, i.e. after every 3–5 minutes. • If organised electrical activity compatible with a cardiac output is seen during a rhythm check (and not otherwise), check for central pulse. If a pulse is present, start post-resuscitation care. If a pulse is absent, continue CPR and switch to the non-shockable algorithm. Precordial thump A single precordial thump has a very low success rate for cardioversion of a shockable rhythm and is only likely to succeed if given within the first few seconds of the onset of a shockable rhythm. Delivery of a precordial thump must not delay calling for help or accessing a defibrillator. It is therefore appropriate therapy only when several clinicians are present at a witnessed, monitored arrest, and when a defibrillator is not immediately to hand. Using the ulnar edge of a tightly clenched fist, deliver a sharp impact to the lower half of the sternum from a height of about 20 cm, then retract the fist immediately to create an impulse-like stimulus. A precordial thump is most likely to be successful in converting VT to sinus rhythm. Non-shockable rhythms (PEA and asystole) Survival after cardiac arrest with PEA or asystole is unlikely unless a reversible cause can be found and treated successfully. Sequence of actions for PEA (cardiac electrical activity in the absence of any palpable pulse). • Start CPR 30:2. • Give adrenaline 1 mg IV as soon as IV access is achieved. • Continue CPR 30:2 until the airway is secured, then continue chest compressions without paus- ing during ventilation. • Consider possible reversible causes of PEA and correct any that are identified. • Recheck the patient after 2 minutes. • If there is still no pulse and no change in the ECG appearance: – – continue CPR – – recheck the patient after 2 minutes and proceed accordingly – – give further adrenaline 1 mg IV after every 3–5 minutes (alternate loops) • If VF/VT, change to the shockable rhythm algorithm • If a pulse is present, start post-resuscitation care. Sequence of actions for asystole and slow PEA (rate 60 per minute). • Start CPR 30:2. • Without stopping CPR, check that the leads are attached correctly. • Give adrenaline 1 mg IV as soon as IV access is achieved. • Give atropine 3 mg IV (once only). • Continue CPR 30:2 until the airway is secured, then continue chest compressions without paus- ing during ventilation. • Consider possible reversible causes of PEA and correct any that are identified. • Recheck the patient after 2 minutes and proceed accordingly. • If VF/VT, change to the shockable rhythm algorithm. • Give further adrenaline 1 mg IV after every 3–5 minutes (alternate loops). Adapted from Resuscitation Council (UK) 2010 Guidelines, which can be found at www.resus.org.uk/ pages/als.pdf and which you are encouraged to read. 10-OCSEs-Emergency_Medicine_5e ccp.indd 257 19/03/2015 13:32
  • 273.
    Clinical Skills for OSCEs 258 Station 95 Theprimary and secondary surveys In this station, you are going to be asked to assess a patient with a medical emergency or who has suffered severe trauma (e.g. from a road traffic accident). What follows is a general outline of the areas that you are going to need to cover. Primary survey The quick look • Inspect the patient. • Introduce yourself to him. Is he responsive? Try to elicit a response by shouting out his name. Airway and cervical spine • Assess the airway for obstruction. • If necessary, clear and secure the airway. If there is suspicion of a cervical spine injury, use the jaw-thrust technique. • If there is suspicion of cervical spine injury, immobilise the cervical spine in a stiff collar. Place sandbags on either side of the head and tape them across the forehead. Breathing • Assess breathing: look, listen, feel. • Expose the chest. • Note the rate and depth of respiration. • Look for asymmetries of chest expansion. • Look for chest injuries. • Palpate for tracheal deviation. Palpate, percuss, and auscultate the chest. Try to exclude flail segments, pneumothorax, or haemothorax. • Attach a pulse oximeter. • If appropriate, ventilate using a bag, mask, and oropharyngeal airway or endotracheal tube. Circulation and haemorrhage control • Control any visible haemorrhage by direct pressure. • Look for clinical signs of shock: assess the pulse, skin colour, capillary refill time, JVP, heart sounds, and blood pressure. Try to exclude cardiac tamponade. • Attach an ECG monitor. • Place two large-bore (grey) cannulas into large peripheral veins. • Take a sample of blood for group and cross-match. • Start fluid replacement. Disability (neurological assessment) • Assess neurological function on the AVPU scale: – – A Alert – – V Voice elicits a response – – P Pain elicits a response – – U Unresponsive • Assess the pupils for size and reactivity. • Check that all limb extremities can be moved. 10-OCSEs-Emergency_Medicine_5e ccp.indd 258 19/03/2015 13:32
  • 274.
    Emergency medicine and anaesthesiology 259 Station 95 Theprimary and secondary surveys Exposure and environmental control • Remove the patient’s remaining clothing and inspect both his front and back. Log-roll him (with the help of others) so that his spine remains immobilised. • Cover him with a blanket. Secondary survey Once the patient is stable: • Take a short, AMPLE history: – – Allergies – – Medications and tetanus immunity – – Previous medical history – – Last meal – – Events leading to the injury • Carry out a head-to-toe physical examination. • Monitor ECG, BP, oxygen saturation, and core temperature. • Insert a urinary catheter and, if necessary, a naso-gastric tube (to aspirate stomach contents). • Order investigations: full blood count, urea and electrolytes, liver function tests, amylase, glucose, coagulation profile, arterial blood gases, toxicology screen, and X-rays of the lateral cervical spine, chest, and pelvis. • Encourage questions from the patient and address his concerns. 10-OCSEs-Emergency_Medicine_5e ccp.indd 259 19/03/2015 13:32
  • 275.
    Clinical Skills for OSCEs 260 Station 96 Managementof medical emergencies Acute asthma You are called to see a 28 year old man in AE. The patient is in obvious respiratory distress, and is struggling to speak. The nurse tells you that the patient has a history of asthma. PEFR is 40% of predicted, and oxygen saturation is 91%. What is your immediate course of action? • Assess the severity of the attack by carrying out a brief physical examination, including ABCs. A severe attack is indicated by: – – PEFR 50% of predicted or best – – respiratory rate 25/min – – pulse rate of 110 beats/min – – inability to complete sentences A life-threatening attack is suggested by: – – oxygen saturation 92% – – silent chest, cyanosis, poor respiratory effort – – bradycardia, arrhythmia, or hypotension – – exhaustion, confusion, or coma • If this is a severe attack, call for senior or specialist help and inform an anaesthetist and the ITU. Begin treatment immediately. • Sit the patient up and give 100% oxygen through a non-rebreather mask with a reservoir bag. • Give 5 mg salbutamol and 0.5 mg ipratropium bromide nebulised with oxygen. • Give a corticosteroid such as hydrocortisone 100 mg IV, or prednisolone 30–60 mg PO (if the patient is not too distressed to take tablets). • Once the patient is stable, carry out investigations including arterial blood gases (ABGs) and a chest X-ray. A life-threatening attack can be confirmed on ABGs by a PaO2 8 kPa, a PaCO2 5 kPa (due to poor respiratory effort), and a pH 7.35 (due to CO2 retention or lactic acidosis from tissue ischaemia). ABGs can also be used to monitor serum electrolytes, particularly K+ which may be decreased. Chest X-ray is helpful in excluding differentials such as inhalation of a foreign body, pneumothorax, pulmonary oedema, and acute exacerbation of COPD. • If initial measures fail, add magnesium sulphate 1.2–2 g IV over 20 minutes and give salbutamol nebulisers every 15 minutes. • Continue monitoring the patient at regular intervals. If he is still not improving, consider ami- nophylline IV. Discuss with your seniors and with the ITU registrar. Acute pulmonary oedema You are called to the ward to see a 55 year old lady with acute shortness of breath. She was admitted with severe diarrhoea and vomiting, and was therefore being aggressively rehydrated. An old ECG suggests left ventricular damage. On physical examination you find a raised JVP, gallop rhythm, and bilateral crackles. What is your immediate course of action? • Sit the patient up. • Give 100% oxygen through a non-rebreather mask with a reservoir bag. Care must be taken if the patient has COPD. • Obtain IV access and attach an ECG monitor. Treat any arrhythmias as appropriate. • Give GTN spray 2 puffs SL, unless the patient is hypotensive. • Give diamorphine 2.5–5 mg IV slowly. Care must be taken if the patient has COPD. • Give frusemide 40–80 mg IV slowly. Note that both diamorphine and frusemide are primarily acting as vasodilators in this context. 10-OCSEs-Emergency_Medicine_5e ccp.indd 260 19/03/2015 13:32
  • 276.
    Emergency medicine and anaesthesiology 261 Station 96 Managementof medical emergencies • Once the patient has stabilised, further investigations can be carried out such as arterial blood gases, chest X-ray, cardiac enzymes, and UEs. Continue monitoring the patient at regular intervals. • Start a nitrate infusion, e.g. isosorbide dinitrate 2–10 mg/h (titrated to BP) unless the patient is hypotensive. (If systolic BP is 100 mmHg, treat as cardiogenic shock.) • If the patient deteriorates, discuss with your seniors and with ITU. Consider increasing the nitrate infusion or giving more frusemide. Re-consider alternative diagnoses such as asthma, COPD, pneumonia, and pulmonary embolism. • As this patient has left ventricular failure, an ACE-I is indicated once her condition has stabilised. Acute myocardial infarction You are tending to a 65 year old gentleman with known cardiovascular disease when he suddenly clutches his chest in severe pain. You look up at the cardiac monitor and see prominent ST elevation. What is your immediate course of action? • Assess ABCs. • Give 100% oxygen through a non-rebreather mask with a reservoir bag. • If not already in place, set up continuous cardiac monitoring and obtain a 12-lead ECG. • Gain IV access and take blood for baseline troponins, FBC, UEs, glucose, and lipids. • If possible, carry out a brief assessment of the patient, including brief history and focused physi- cal examination. • Give morphine 5–10 mg IV with an antiemetic. Two puffs of sublingual GTN can be given to provide further relief if the patient is not hypotensive. • Give aspirin 300 mg PO. • If the patient is diabetic or the blood glucose is 11 mmol/l, an insulin sliding scale may be indicated. • Call the cardiology registrar. For a STEMI, thrombolysis should ideally be given within 90 minutes, e.g. streptokinase 1.5 million units in 100 ml saline IVI over 1 hour. Alteplase may be indicated if the patient has previously received streptokinase. In equipped centres, primary per- cutaneous coronary angioplasty/intervention (PCI) is carried out in preference to thrombolysis. The indications for thrombolysis are: – – ST elevation of 2 mm in 2 or more chest leads – – ST elevation of 1 mm in 2 or more limb leads – – New onset LBBB – – Posterior MI, as evidenced by dominant R waves and ST depression in leads V1–3 Ensure that there are no contraindications to thrombolysis such as internal bleeding or severe liver disease. If so, consider urgent angioplasty instead of thrombolysis. • Following thrombolysis, give a beta blocker such as atenolol 5 mg IV and an ACE inhibitor such as lisinopril 2.5 mg (unless contraindicated). • For a NSTEMI, give LMWH, a beta blocker such as atenolol 5 mg IV, and IV nitrates (unless con- traindicated). Medium and high risk patients should be given an infusion of GPIIb/IIIa inhibitor, e.g. abciximab and urgent angiography. Low risk patients may be discharged following a stress test (exercise ECG/stress echo). • Following an MI, unless there are any contraindications, the patient should receive: – – long term low-dose aspirin (75mg OD) – – clopidogrel (4 weeks for STEMI, 3 months for NSTEMI) – – long term statin – – long term beta blocker – – long term ACE inhibitor 10-OCSEs-Emergency_Medicine_5e ccp.indd 261 19/03/2015 13:32
  • 277.
    Clinical Skills for OSCEs 262 Station 96Management of medical emergencies Massive pulmonary embolism You are fast-bleeped to the ward, where a 48 year old lady who had surgery for ovarian carcinoma 12 days ago has collapsed on the toilet. She has developed acute dyspnoea with pleuritic chest pain. You assess ABCs and carry out a brief physical examination and find tachycardia, hypotension, and signs of right ventricular strain. What is your immediate course of action? • Give 100% oxygen through a non-rebreather mask with a reservoir bag. • Obtain IV access. Take blood for FBC, clotting screen, D-dimers, cardiac enzymes, UEs, and cre- atinine. ABGs should also be taken and may reveal reduced PaO2 , reduced PaCO2 , and acidosis. • Give morphine 10 mg IV with an anti-emetic. • Start unfractionated heparin 10000 U IV bolus, then 18 U/kg/h IVI as guided by APTT. Low molecular weight heparin can be given as an alternative. • If systolic BP is 90 mmHg, confirm the diagnosis by carrying out ECG, chest X-ray, and com- puted tomographic pulmonary angiogram (CTPA) which is the gold standard for diagnosing PE. Chest X-ray is most often normal, but is useful in excluding other chest disease such as pneumothorax and pneumonia. ECG may reveal sinus tachycardia or AF, right ventricular strain, RBBB, and, uncommonly, the SI , QIII , TIII pattern: deep S waves in lead I, Q waves in lead III, and inverted T waves in lead III. • Start warfarin 10 mg OD PO. Stop heparin once INR is in the range 2–3. • If systolic BP is 90 mmHg, give a rapid colloid infusion and call for senior help. The patient may require inotropic support and thrombolysis. Surgical embolectomy is an alternative if immediately available. Status epilepticus You are the duty AE doctor when a fitting patient is brought in by ambulance. You establish that the fitting started more than 20 minutes ago. What is your immediate course of action? • Assess ABCs. • Secure the airway. • Place the patient in the recovery position. • Give 100% oxygen through a non-rebreather mask with a reservoir bag to prevent cerebral hypoxia from seizure activity. Regular suctioning may also be required. • Record and monitor blood pressure. • Obtain IV access. • Take bloods for ABGs, glucose, UEs, calcium, magnesium, LFTs, FBC, toxicology screen, and anticonvulsant levels to try to determine the cause of the seizures, e.g. hypoglycaemia, metabolic disturbance, alcohol, drugs, inadequate anticonvulsant dose, cerebral lesion or infection, and, if the patient is pregnant, eclampsia. Pseudo-seizures are a possibility to bear in mind. Obtain some information about the patient, e.g. from an accompanying relative, if at all possible. • If hypoglycaemia is suspected to be the cause, give 50 ml of 50% dextrose IV. If alcohol is sus- pected to be the cause, give thiamine 250 mg IV over 10 minutes. • To stop the seizures, give a benzodiazepine such as lorazepam 4 mg IV slowly or diazepam 10 mg IV/PR. IV benzodiazepines should only be given if resuscitation facilities are available. • If this measure is unsuccessful, the next step is a phenytoin IV infusion. With a blood pressure and ECG monitor attached, give 15–18 mg/kg, at less than 50 mg/min. • If this is unsuccessful, call for senior help and for an anaesthetist. General anaesthesia in ITU may be required. Diabetic ketoacidosis A 17 year old boy with no previous medical history presents to AE complaining of vomiting and abdominal pain. When you see him, he appears severely dehydrated and is breathing heavily. You can smell ketones on his breath. What is your immediate course of action? 10-OCSEs-Emergency_Medicine_5e ccp.indd 262 19/03/2015 13:32
  • 278.
    Emergency medicine and anaesthesiology 263 Station 96 Managementof medical emergencies • Assess ABCs. • Obtain a rapid blood glucose and urine dipstick for urinary ketones. • Establish IV access and take blood for laboratory glucose, osmolality, UEs, HCO3 – , amylase, FBC, and blood cultures. Obtain an arterial sample for blood gases. • Give IV fluids. Be careful, as one of the commonest causes of death in DKA (diabetic ketoacido- sis) is from cerebral oedema from over-rapid rehydration. One regimen is to give 1 l of normal saline over 30 min followed by 1 l over 1 hour, 1 l over 2 hour, 1 l over 4 hour, and 1 l over 6 hours. Change to 5% dextrose once blood glucose is 10–15 mmol/l. • Start a sliding scale of insulin via an IVI pump. Add 50 U of Actrapid to 50 ml of saline in a syringe, and give insulin at an initial rate of 4–8 U/h (4–8 ml/h). • Monitor vital signs, ECG, glucose, UEs, and HCO3 – . Aim for a fall in glucose of 5 mmol/h. Plasma K+ falls as K+ enters cells, so KCl should be added to IV fluids as appropriate. • Investigate the cause of the episode and treat any precipitating factors such as infection. • Other measures: – – give unfractionated heparin 5000 units TDS SC for venous thromboembolism prophylaxis – – consider a naso-gastric tube if the patient is nauseated, vomiting, or unconscious – – consider a urinary catheter if there is persistent hypotension, cardiac failure, renal failure, or no urine output for 2 hours – – consider a CVP line in the frail and elderly or if there is cardiac failure or renal failure Acute poisoning • Carry out ABCs and take action as appropriate. Nurse in semi-prone position if unconscious. • If possible, take a focussed history from the patient or friends/relatives concentrating in particular on: – – the drugs ingested and their quantities – – associated alcohol or drug use – – symptoms, including vomiting – – other aspects of the history, particularly past medical history, past psychiatric history, and drug history Carry out a full physical examination. If no history is available, try to identify the ingested drug from your findings. Table 29. Acute poisoning – identifying the ingested drug Drug Signs and symptoms Paracetamol Initially: none or nausea, vomiting, and RUQ pain Later: jaundice, hypoglycaemia, encephalopathy, renal failure Salicylates Vomiting, dehydration, increased respiratory rate, hyperventilation, sweating, warm extremities, bounding pulse, tinnitus, vertigo, deafness, metabolic disturbances, pulmonary oedema, renal failure, seizures, coma Opiates Pin-point pupils (sometimes absent if other drugs are involved), nausea, vomiting, drowsiness, respiratory depression, coma • Obtain IV access and take blood for FBC, UEs, creatinine, LFTs, INR/PT/clotting screen, blood glucose, paracetamol and salicylate levels, other specific drug levels (as appropriate, contact senior colleagues or the National Poisons Information Service if unsure). Other investigations that need to be carried out include urine/serum toxicology screen, ABGs, and an ECG. • Monitor vital signs such as respiratory rate, oxygen saturation, pulse rate, blood pressure, and temperature. Consider attaching a cardiac monitor to monitor ECG and inserting a urinary cath- eter to monitor urinary output. 10-OCSEs-Emergency_Medicine_5e ccp.indd 263 19/03/2015 13:32
  • 279.
    Clinical Skills for OSCEs 264 Station 96Management of medical emergencies • If appropriate, consider – – gastric emptying and lavage (NB. gastric lavage alone is rarely used) – – activated charcoal (50 g in 200 ml water) to reduce the absorption of, for example, paraceta- mol or salicylates from the gut Paracetamol • Specialist help from the gastroenterology team should be sought early if severe liver damage is likely. In adults, 150 mg/kg or more may be fatal. • Transfer to a specialist unit if systolic BP 80 mmHg, blood pH 7.3, INR 2, creatinine 200, or there are signs of encephalopathy or increased intracranial pressure. • Repeat paracetamol level, ideally at 4 hours post-ingestion. • If 8 hours post-ingestion and paracetamol level is above the normal treatment line, give N-acetylcysteine (NAC, Parvolex) IVI as per protocol. If the patient is malnourished (e.g. in ano- rexia or alcoholism), or on an enzyme-inducing drug, prefer the high-risk treatment line instead (Figure 65). • If8hourspost-ingestionandthepatienthastakenasignificantoverdose,startN-acetylcysteine and stop if paracetamol level returns below the treatment line and INR/ALT is normal. Note that paracetamol level is unreliable after 15 hours or in the event of a staggered overdose; simply treat according to the initial amount ingested. 200 190 180 170 160 150 140 130 120 110 100 90 80 70 60 50 40 30 20 10 0 1.3 1.2 1.1 1.0 0.9 0.8 0.7 0.6 0.5 0.4 0.3 0.2 0.1 0.0 0 2 4 6 8 10 12 Time (h) Plasma paracetamol concentration (mg/l) Plasma paracetamol concentration (mmol/l) 14 16 18 20 22 24 High-risk treatment line Normal treatment line Figure 65. Paracetamol poisoning: normal and high-risk treatment lines. 10-OCSEs-Emergency_Medicine_5e ccp.indd 264 19/03/2015 13:32
  • 280.
    Emergency medicine and anaesthesiology 265 Station 96 Managementof medical emergencies • Continue monitoring vital signs at regular intervals and repeat UEs, creatinine, LFTs, and INR/ PT on the next day. Salicylates • IV fluids to correct any dehydration, with particular attention to K+ supplements. • Give 1.26% sodium bicarbonate IVI to correct any metabolic acidosis. • Repeat salicylate levels at 2 hours post-ingestion. Levels above 700 mg/l are potentially fatal: call for senior or specialist help. • If plasma level 700 mg/l or severe acidosis, renal failure, heart failure, or seizures, consider haemodialysis. • Monitor salicylate levels, ABGs, blood glucose, UEs, and urinary output. Opiates • Naloxone, e.g. 0.4–2 mg IV, titrated to response. • As naloxone has a shorter half-life than opiates, it may need to be given often or as an intrave- nous infusion to prevent re-occurrence of signs and symptoms. If the patient is threatening to self-discharge, it can be given IM. • Naloxone may precipitate severe withdrawal in high-dose opiate misusers, who may be very angry at you for ruining their ‘trip’. Once the patient is medically stable, he should be referred for a psychiatric assessment. 10-OCSEs-Emergency_Medicine_5e ccp.indd 265 19/03/2015 13:32
  • 281.
    Clinical Skills for OSCEs 266 Station 97 Bag-valvemask (BVM/’Ambu bag’) ventilation Specifications: A mannequin in lieu of a patient. • Open the airway using the head-tilt, chin-lift method. Remove any visible obstruction from the mouth. • Identify the need for a Guedel airway (e.g. if the airway is obstructed or the patient is uncon- scious). • Size the Guedel airway by measuring the distance from the incisors to the angle of the jaw. The most commonly used sizes are 2 for a small adult, 3 for a medium adult, and 4 for a large adult. • Insert the Guedel airway so that its concave side faces away from the tongue. After inserting it almost to the back of the pharynx, rotate it 180 degrees and slide it in to its full extent. • Choose an appropriately sized bag-valve mask. • Attach the bag-valve mask to an oxygen supply. Adjust the flow rate to 15 l per minute. • Hold the mask over the face with your dominant hand. Place your thumb over the nose and support the jaw with the middle and ring fingers (Figure 66). Ensuring a tight seal is difficult, so make sure you get sufficient practice. • Maintain the head-tilt, chin-lift position. • Use your free hand to compress the bag. • Look for a rise in the chest. If a second person is available (e.g. the examiner), use both hands to hold the mask and get him to squeeze the bag. • Ventilate at a rate of 10 compressions per minute until the patient starts breathing or until the patient can be intubated and put on a ventilator. Figure 66. Bag-valve mask ventilation technique. 10-OCSEs-Emergency_Medicine_5e ccp.indd 266 19/03/2015 13:32
  • 282.
    267 Emergency medicine and anaesthesiology Station 98 Laryngeal maskairway (LMA) insertion Specifications: A mannequin in lieu of a patient. Table 30. Laryngeal mask sizes Size 1 Infant Size 2 Child Size 3 Small adult Size 4 Normal adult Size 5 Large adult The equipment Gather in a tray: • A pair of non-sterile gloves • An air-filled syringe • Laryngeal mask of appropriate size (see Table 30) • A bandage • Lubricant Before inserting the laryngeal mask • Don the gloves. • Assemble the equipment. • Check inflation and deflation of the laryngeal mask airway (LMA). • Lubricate the laryngeal mask. • Ensure that the patient has received adequate anaesthesia (the cough reflex should be sup- pressed). • Ensure that the patient has been pre-oxygenated, or pre-oxygenate him by bag ventilation for 1 minute. • Use the head-tilt, chin-lift technique to ensure that the mouth is fully open. • Check the state of the dentition. Inserting the laryngeal mask • Insert the tip of the LMA into the mouth, ensuring that the aperture is facing the tongue. • Press the tip of the LMA against the hard palate as you introduce it into the pharynx. • Use your index finger to guide the tube into the pharynx until resistance can be felt. • Check that the black line on the tube is facing the upper lip. If you do not succeed in inserting the laryngeal mask within 30 seconds, you must pre- oxygenate the patient a second time before you try again. 10-OCSEs-Emergency_Medicine_5e ccp.indd 267 19/03/2015 13:32
  • 283.
    Clinical Skills for OSCEs 268 Station 98Laryngeal mask airway (LMA) insertion After inserting the laryngeal mask • Inflate the cuff, ensuring that you do not over-inflate it. A size 3 LMA needs 20 ml of air, a size 4 30 ml, and a size 5 40 ml. • Attach the breathing system and check that the patient is being satisfactorily ventilated. • Secure the cuff in place by means of a length of bandage. Larynx Trachea Epiglottis Cuff Oesophagus Figure 67. Laryngeal mask insertion. 10-OCSEs-Emergency_Medicine_5e ccp.indd 268 19/03/2015 13:32
  • 284.
    269 Emergency medicine and anaesthesiology Station 99 Pre-operative assessment Thesurgical pre-assessment is about half the job of a surgical house officer, so is not unlikely to be examined in a final year OSCE. The aims of the pre-operative assessment are primarily to: • Ascertain that the patient is fit for surgery and anaesthesia. • Take appropriate action if he is not. • Ensure that he fully understands the proposed procedure. • Ensure that he fully understands the peri-operative process and any special requirements of the proposed procedure. • Minimise any remaining fears or anxieties. [Note] The responsibility for gaining informed consent from the patient is no longer that of the junior house officer, but that of the operating surgeon. Specifications: In this station you may be asked to talk through or carry out a part or parts of the pre-operative assessment. Before starting • Introduce yourself to the patient, and confirm his name and date of birth. • Explain that you are going to ask him some questions and carry out a physical examination to assess his fitness for surgery. • Ensure that he is comfortable. The assessment History • Medical history, in particular: – – previous surgery and anaesthesia – ask specifically about history of anaesthetic complica- tions, e.g. suxamethonium apnoea, malignant hyperpyrexia – – previous hospital admissions – – cardiovascular: hypertension, palpitations, angina, myocardial infarction, cardiac failure, orthopnoea, other ‘heart problems’, stroke or TIA – – respiratory: dyspnoea, asthma, cough, tuberculosis – – GI and renal: dysphagia, heartburn, liver disease, renal failure – – other: diabetes, sickle cell anaemia, epilepsy, neuromuscular problems • Drug history: – – prescribed medication – ask specifically about recent changes in medication, insulin, and anticoagulants – – over-the-counter and alternative medication – – recreational drugs (especially cocaine, ecstasy, and narcotics) • Allergies including to antiseptic, plaster, and latex. • Smoking. • Alcohol. [Note] Most drugs should be taken as normal on the day of the surgery, although special advice is needed for insulin and anticoagulants. • Family history of allergic reactions, anaesthetic complications, and medical and surgical conditions. • Social history, e.g. level of support in post-operative period. 10-OCSEs-Emergency_Medicine_5e ccp.indd 269 19/03/2015 13:32
  • 285.
    Clinical Skills for OSCEs 270 Station 99Pre-operative assessment Physical examination • Record height and weight and calculate the patient’s body mass index as given by weight in kilograms/(height in metres)2 , e.g. 70 kg/(1.8 m)2 = 21.6 (normal 18.5–25). • Examine the cardiovascular, respiratory, gastrointestinal, and neurological systems. • Assess neck mobility by asking the patient to flex and extend his neck. • Assess jaw mobility by asking him to open and close his mouth. • Inspect the state of the dentition. • Carry out a Mallampati pharyngeal assessment. To do this you need to ask the patient to open his mouth as wide as possible and to extend his tongue (Figure 68). Figure 68. Mallampati pharyngeal assessment: III – Pharyngeal pillars, soft palate, and uvula visible; III – Soft palate and uvula visible; III – Soft palate and the base of the uvula visible; IV – Soft palate not visible NB: Mallampati scores of III or IV are relative contraindications to surgery • Determine the ASA physical status rating, a health index at the time of surgery (Table 31). Table 31. The ASA physical status rating 1*   Healthy, no systemic disturbance 2*   Mild/moderate systemic disease. No activity limitation. 3*   Severe systemic disturbance. Some activity limitation. 4*   Life-threatening systemic disturbance. Severe activity limitation. 5*   Moribund with limited chance of survival. * Add suffix E for emergency. I III IV II 10-OCSEs-Emergency_Medicine_5e ccp.indd 270 19/03/2015 13:32
  • 286.
    Emergency medicine and anaesthesiology 271 Station 99 Pre-operativeassessment Pre-operative investigations Table 32. Indications for pre-operative investigations Group and save/cross- match Group and save for e.g. cholecystectomy, ERCP, mastectomy, amputation Cross-match for e.g. laparotomy (2 units), TURP (3 units), hip replacement (4 units), liver surgery (6 units), aneurysm repair (4 units if elective, 10 units if emergency) FBC Cardiorespiratory disease, anaemia, blood loss, chronic disease, blood disorders, on an oral anticoagulant, alcohol misuse, female patients, male patients 40 years Clotting screen Liver disease, alcohol misuse, on an anticoagulant Sickle cell screening Patients from Africa, the Caribbean, and the Mediterranean UEs Hypertension, heart failure, renal failure, liver disease, diabetes, dehydration, starvation, on diuretics, digoxin, steroids, or lithium, age 60 and having major surgery Glucose Diabetes, obesity, on steroids LFTs (including clotting screen) Liver disease, alcohol misuse, malignancy, malnutrition ECG Arrhythmias, angina, myocardial infarction, heart murmurs, heart failure, cardiovascular risk factors, age 50 CXR Hypertension, cardiorespiratory disease or symptoms, malignancy, age 60 and having major surgery, recent immigrant Cervical spine X-ray Severe chronic rheumatoid arthritis, cervical spondylosis Other TFTs in thyroid disease Amylase in abdominal pain or hepatobiliary surgery Lung function tests in severe respiratory disease Drug levels, e.g. if on digoxin or lithium HIV Peri-operative management Explain about: • Fasting, in most cases: – – stop solids from 6 hours before the operation – – stop clear fluids (and chewing gum) from 2 hours • Pre-medication: – – benzodiazepines can be given before the operation to help the patient feel sleepy or less anxious • The anaesthetic procedure: – – patient information about different anaesthetic procedures can be found on the website of the Royal College of Anaesthetists: http://www.rcoa.ac.uk/patientinfo • Post-operative pain relief: – – oral analgesia, e.g. paracetamol, cocodamol, NSAIDs such as diclofenac and ibuprofen, tramadol, opiates – – parenteral analgesia 10-OCSEs-Emergency_Medicine_5e ccp.indd 271 19/03/2015 13:32
  • 287.
    Clinical Skills for OSCEs 272 Station 99Pre-operative assessment – – suppositories – – local anaesthetics and regional blocks – – patient-controlled analgesia – – patches • Post-operative nausea and vomiting: – – explain to the patient that he may feel sick after the operation and reassure him that this is quite normal and that he can be given an anti-sickness tablet or injection • Going home and driving. After the procedure • Ask the patient if he has any remaining questions or concerns. • Thank him. • Order the appropriate investigations (Table 32) and remember to check up on the results! • Talk to the anaesthetist if you have any concerns. 10-OCSEs-Emergency_Medicine_5e ccp.indd 272 19/03/2015 13:32
  • 288.
    273 Emergency medicine and anaesthesiology Station 100 Syringe driveroperation There are two different sorts of syringe driver: the 50 ml syringe pump, frequently used for heparin, glyceryl trinitrate, and insulin infusions, and for epidural and patient-controlled analgesia; and the Graseby syringe driver, which installs a 10 ml or 20 ml syringe and is frequently used in palliative care. There are two varieties of the Graseby syringe driver: the blue Graseby MS 16A, which is designed to be programmed at an hourly rate, and the green Graseby MS 26, which is designed to be programmed at a 12, 24, or 48 hourly rate. In this station, you may be required to set up and operate a Graseby syringe driver for two drugs, e.g. diamorphine and cyclizine. Figure 69. The blue Graseby MS 16A, designed to be programmed at an hourly rate. Before starting • Introduce yourself to the patient. • Explain the need for a syringe driver and the procedure involved, and gain consent. • Gather the appropriate equipment. The equipment • Non-sterile gloves • Graseby syringe driver (check the battery is in place and the device is functioning) • Luer-lock syringe (10 ml or 20 ml) • Subcutaneous giving set • Drug • Diluent (sterile water or normal saline) 10-OCSEs-Emergency_Medicine_5e ccp.indd 273 19/03/2015 13:32
  • 289.
    Clinical Skills for OSCEs 274 Station 100Syringe driver operation The procedure • Consult the prescription chart and check: – – the identity of the patient – – the prescription: drug(s), dose(s), diluent, route of administration, duration of the infusion, date and time of starting – – drug allergies • Check the name, dose, and expiry date of the drug(s) on the vial(s). • Ask a colleague (registered nurse or doctor) to confirm the name, dose, and expiry date of the drug(s) on the vial(s). • Don a pair of non-sterile gloves. • Draw up the correct doses of the drugs into the Luer-lock syringe. • Draw up the correct diluent to make up the requested volume (stated on the prescription chart) and shake the syringe with the needle capped. • Connect the giving set to the syringe and run the infusion through it. • Calculate the rate of infusion by measuring the length of liquid in the syringe in millimetres and dividing it by the number of hours (Graseby 16A) or days (Graseby MS 26) over which the infusion should be given. • Label the syringe with: – – the patient’s name, date of birth, and hospital number – – the date and time of preparation – – drugs used and their doses – – diluent used and its volume – – rate of infusion – – your name • Place the syringe into the syringe driver and secure the device. • Set the syringe driver to the rate required. • Place the giving set subcutaneously and start the infusion. After the procedure • Sign the drug chart, and have your checking colleague countersign it. • Ask the patient if he has any questions or concerns. • Ensure that he is comfortable. 10-OCSEs-Emergency_Medicine_5e ccp.indd 274 19/03/2015 13:32
  • 290.
    275 Emergency medicine and anaesthesiology Station 101 Patient-Controlled Analgesia(PCA) explanation In PCA, the patient presses a button to activate an infusion pump and receive a pre-prescribed intravenous bolus of analgesic, most commonly morphine or another opioid such as diamorphine, pethidine, or fentanyl. Advantages • Prevents delays in analgesic administration and thereby minimises pain. In the post-operative period this may forestall a number of adverse events such as disability, pressure sores, DVT, PE, atelectasis, and constipation. • Minimises the amount of analgesic used, as the patient only activates the pump if he is actually in pain. Other people, such as relatives, should be told not to activate the pump. • Provides a reliable indication of the patient’s pain, and its evolution over time. • Reduces the chance of dangerous medication errors, as the pump is programmed according to a set prescription and ‘locks out’ if the patient tries to activate it too often. A typical dose regi- men is a 0.5–2.0 mg bolus of morphine with a lock-out of 10–15 minutes. Disadvantages • Patients may not receive enough analgesia (see later). In particular, patients may wake up in pain, as they cannot press the button when they are asleep. • Patients may be physically or mentally unable to press a button. • The pumps are expensive and may malfunction, especially if the battery is not adequately charged. Side-effects Side-effects of morphine include: • Respiratory depression. • Sedation. • Nausea and vomiting. • Constipation. • Urinary retention. • Pruritus. Some of these side-effects can be controlled by additional prescriptions of, for example, anti-emetics, laxatives, or antihistamines. If the patient is suffering from significant respiratory depression or sedation, the dose should be decreased and alternative analgesia considered. (Remember that respiratory depression or sedation can also be caused by important post-operative complications, so do not omit to exclude these.) Monitoring Patients should be reviewed at regular intervals for pain, analgesic usage, and side-effects; observations should be made of the patient’s pain score, analgesic usage, pulse, blood pressure, respiratory rate, and oxygen saturation. If pain relief is inadequate, the dose regime should be altered. In some cases, a continuous ‘background’ infusion might be considered. 10-OCSEs-Emergency_Medicine_5e ccp.indd 275 19/03/2015 13:32
  • 291.
    Clinical Skills for OSCEs 276 Station 102 Epiduralanalgesia explanation Epidural analgesia, or ‘epidural’, is a form of regional anaesthesia involving the injection of local anaesthetics and/or opioids through a catheter inserted into the epidural space. Epidurals can be indicated for analgesia in labour (often simply as a matter of patient choice), for surgical anaesthesia in certain operations, e.g. Caesarean section, and as an adjunct to general anaesthesia in others, e.g. laparatomy, hysterectomy, hip replacement. They can also be indicated for post-operative analgesia, back pain, and palliative care. Advantages • Permits analgesia to be delivered as a continuous infusion and/or to be patient-controlled. • Effective and safe, with a mortality of only about 1 in 100000. • In post-operative analgesia, reduces the risk of certain post-operative complications such as nausea and vomiting, chest infections, and constipation. Disadvantages • 5% failure rate. • In labour, increases the risk of an assisted delivery. Contraindications Absolute • Raised intracranial pressure. • Coagulopathy/anticoagulation. • Hypovolaemia. • Skin infection at epidural site. • Septicaemia. Relative • Un-cooperative patient. • Anatomical abnormalities or previous spinal surgery. • Certain neurological disorders. • Certain heart-valve problems. Procedure Epidurals are normally performed by a trained anaesthetist with the patient either in the preferred sitting position or in the left lateral position. The planned entry site is identified and marked. After the skin is cleaned and local anaesthetic administered, a Tuohy needle is advanced until a loss of resistance is felt anterior to the ligamentum flavum. The cathether, a fine plastic tube, is then threaded through the needle and the needle is removed, leaving the catheter in place. As epidurals are usually carried out in the mid-lumbar region, there is very little risk of injuring the spinal cord. 10-OCSEs-Emergency_Medicine_5e ccp.indd 276 19/03/2015 13:32
  • 292.
    Emergency medicine and anaesthesiology 277 Station 102 Epiduralanalgesia explanation Side-effects and complications • Side-effects of opioids. • In higher doses can result in loss of other modalities of sensation (such as touch and proprio- ception) and motor function. • Hypotension, most often resulting from loss of sympathetic function. • Urinary retention. • Accidental dural puncture resulting in a leak and a severe headache that is exacerbated by rais- ing the head above horizontal. • Accidental infusion into the CSF resulting in a high block or, more rarely, a total spinal involving profound hypotension, respiratory paralysis, and unconsciousness. • Epidural haematoma that can cause spinal compression. • Abscess formation. Monitoring Patients receiving epidural analgesia should be monitored for pain intensity, drug-related side-effects, and signs of complications due to the epidural procedure. Dura Epidural space Skin Interspinous ligament Spinous process Ligamentum flavum Epidural needle Catheter Figure 70. Anatomy of the epidural space. 10-OCSEs-Emergency_Medicine_5e ccp.indd 277 19/03/2015 13:32
  • 293.
    Clinical Skills for OSCEs 278 Station 103 Woundsuturing Specifications: A pad of ‘skin’ in lieu of a patient. This station most likely requires you to talk through the parts of the procedure and then to demonstrate your suturing technique. For this second part, there can be no substitute for practice, practice, and more practice! Before starting • Introduce yourself to the patient, and confirm his name and date of birth. • Explain the procedure and obtain consent. • Examine the wound, looking for debris, dirt, and tendon damage. • Indicate that you would request an X-ray to exclude a foreign body. • Assess distal motor, sensory, and vascular function. • Position the patient appropriately and ensure that he is comfortable. The equipment • A pair of sterile gloves • A suture pack • A suture of appropriate type (monofilament non-absorbable for superficial wounds, absorb- able for deep wounds) and size (3/0 for scalp and trunk, 4/0 for limbs, 5/0 for hands, 6/0 for face) • A 5 ml syringe, 21G and 25G needles, and a vial of local anaesthetic (e.g. 1% lignocaine) • Antiseptic solution • A sharps bin The procedure • Wash your hands. • Open the suture pack, thus creating a sterile field. • Pour antiseptic solution into the receptacle. • Open the suture, the syringe, and both needles onto the sterile field. • Wash your hands using sterile technique. • Don the non-sterile gloves. • Attach a 21G needle to the syringe. • Ask an assistant (the examiner) to open the vial of local anaesthetic and draw up 5 ml of local anaesthetic. For an average 70 kg adult, up to 20 ml of 1% lignocaine can be safely used, although 5–10 ml is usually sufficient. Epinephrine may be used with lignocaine to minimise bleeding. The maximum safe dose of lignocaine with or without epinephrine is 7 mg/kg and 3 mg/kg respectively. However, avoid injecting epinephrine when anaesthetising the extremi- ties due to the risk of ischaemic tissue necrosis. • Discard the needle into the sharps bin and attach the 25G needle to the syringe. • Clean the wound (use forceps) with antiseptic-soaked cotton wool and drape the field. Dirty wounds may benefit from cleansing with povidone iodine, whereas normal saline can be used to cleanse and irrigate ‘clean’ wounds. • Inject the local anaesthetic into the apices and edges of the wound. Make sure to pull back on the plunger before injecting to make sure that you are not injecting into a vessel. • Discard the needle into the sharps bin. • Indicate that you would give the anaesthetic 5–10 minutes to operate (or as long as it takes for sensation to a needle prick to be lost). 10-OCSEs-Emergency_Medicine_5e ccp.indd 278 19/03/2015 13:32
  • 294.
    Emergency medicine and anaesthesiology 279 Station 103 Woundsuturing • Apply the sutures approximately 3 mm from the wound edge and 5–10 mm apart. Use needle- holding forceps to hold the needle and toothed forceps to pick up the skin margins. Knot the sutures around the needle-holding forceps. Figure 72. Suggested approach for suturing. Knot the sutures around the needle-holding forceps: loop the suture twice around the nose of the needle-holding forceps using your hand. Then take hold of the short end of the suture with the needle-holding forceps and carry it through the loops, gently pulling the knot tight. Two further single loops are then added in a similar fashion to secure the knot. Each loop is pulled in the opposite direction across the wound edge. After the procedure • Clean the wound and indicate that you would apply a dressing. • Assess the need for a tetanus injection. • Giveappropriateinstructionsforwoundcare(inparticular,ifthewoundbecomespainfulorinflamed, itshouldbebroughtbacktomedicalattention),andindicatethedateonwhichthesuturesshouldbe removed (e.g. face 3–4 days, scalp 5 days, trunk 7 days, limbs 7–10 days, feet 10–14 days). • Ask if the patient has any questions or concerns. • Thank him. Figure 71. Use needle-holding forceps to hold the needle approximately two-thirds from the needle tip. 10-OCSEs-Emergency_Medicine_5e ccp.indd 279 19/03/2015 13:32
  • 295.
    Clinical Skills for OSCEs 280 Station 104 Bloodglucose measurement Specifications: In this station you are far more likely to be asked to talk through a blood glucose measurement or ‘BM’ (Boehringer Mannheim) than carry it out on a patient or actor. Before starting • Introduce yourself to the patient, and confirm his name and date of birth. • Explain the procedure and obtain his consent. • Establish when he last ate (fasting blood glucose is usually carried out in the morning before the patient has had anything to eat or drink). The equipment In a tray, gather: • A pair of non-sterile gloves • A spring-loaded pricker • An alcohol wipe • A lancet • A glucose monitor • Cotton wool • Test strips • A sharps bin The procedure • Ask the patient to wash and dry his hands, or use an alcohol wipe to clean the finger that you are going to prick. • Wash your hands and don the gloves. • Massage the finger from its base to its tip to increase its perfusion. • Turn on the glucose monitor and ensure that it is calibrated. • Check that the test strips have not expired. • Insert a test strip into the glucose monitor. • Load the lancet into the pricker and prick the side of the finger. It is less painful to prick the side rather than the tip of a finger because there are comparatively fewer nerve endings there. • Dispose of the lancet/pricker in the sharps bin. • Squeeze the finger to obtain a droplet of blood. If no or insufficient blood is obtained, prick the finger again and be sympathetic to the patient’s plight! • Place the droplet of blood on the test strip, so as to cover the sensor entirely. • Give the patient some cotton wool to stop any bleeding. • Record the reading on the monitor. Units are in millimoles per litre. • Dispose of the test strip and gloves in a clinical waste bin. After the procedure • Tell that patient their blood glucose and explain its significance and any further action that needs to be taken, e.g. fasting blood glucose, oral glucose tolerance test (OGTT), laboratory measurement. Note that the diagnosis of diabetes in a symptomatic patient should never be made on the basis of a single abnormal blood glucose measurement. • Ask the patient if he has any questions or concerns. • Thank him. 11-OCSEs-Data_interpretation_5e ccp.indd 280 19/03/2015 13:39
  • 296.
    Data interpretation 281 Station 104 Bloodglucose measurement Table 33. Blood glucose measurement: interpretation of result (normal results vary from lab to lab) Units are in millimoles per litre Normal fasting glucose non-fasting glucose* 6.0 7.8 Impaired glucose tolerance fasting glucose non-fasting glucose 6–7 7.8–11.1 Diabetes mellitus fasting glucose non-fasting glucose ≥ 7.0 ≥ 11.1 * 2-h post 75 g glucose. Examiner’s questions: Complications of type II diabetes Acute: • Hyperosmolar non-ketotic coma (HONK). • Hypoglycaemia. • Respiratory infections. Microvascular: • Retinopathy and cataracts. • Nephropathy progressing to renal failure. • Neuropathy, most frequently distal symmetric sensorimotor polyneuropathy in a glove-and- stocking distribution and oculomotor mononeuropathy. Macrovascular: • Cardiovascular disease and MI. • Cerebrovascular disease and CVA/stroke. • Peripheral vascular disease: foot ulcers progressing to diabetic foot disease, impotence. 11-OCSEs-Data_interpretation_5e ccp.indd 281 19/03/2015 13:39
  • 297.
    Clinical Skills for OSCEs 282 Station 105 Urinesample testing/urinalysis Before starting • Introduce yourself to the patient, and confirm his name and date of birth. • Take a very brief history from him. • Explain the procedure and obtain consent. • Ensure that the urine specimen is fresh and that it has been appropriately collected (genitalia have been cleaned, bottle has not come into contact with body, only mid-stream urine has been collected). The equipment • Urine dipstick and urine dipstick bottle • A pair of non-sterile gloves • A pen and paper (or the patient’s case notes) The procedure • Wash your hands and don the gloves. • Inspect the colour and appearance of the urine. In particular, is it cloudy or bloody? • Stir the urine bottle to ensure that the urine is mixed. • Check the expiry date on the urine dipstick jar. • Briefly immerse the urine dipstick into the urine specimen. • Tap off any excess urine from the dipstick. • Hold the strip horizontally. • After 2 minutes, read each colour pad using the colour chart on the dipstick bottle. • Report and record the results. • Discard the used urine dipstick and the gloves. • Wash your hands. Specific gravity 60 sec pH 60 sec Leukocytes 60–120 sec Blood 60 sec Nitrite 60 sec Ketones 60 sec Bilirubin 60 sec Urobilinogen 60 sec Protein 60 sec Glucose 60 sec Figure 73. The colour chart on the urine dipstick bottle. 11-OCSEs-Data_interpretation_5e ccp.indd 282 19/03/2015 13:39
  • 298.
    Data interpretation 283 Station 105 Urinesample testing/urinalysis After testing the urine • Explain the results to the patient. • Document the results in the patient’s notes. • If abnormal, suggest obtaining a second sample of urine or sending the urine for laboratory analysis, i.e. microscopy, cytology, and sensitivity (MCS). • Thank the patient. Table 34. Urine dipstick: interpretation of results Leukocytes Urinary tract infection Nitrites Bacteriuria, contaminated sample Protein Kidney damage or disease, standing upright for prolonged periods, exercise, fever, pregnancy, rarer causes, e.g. leukaemia, multiple myeloma, pre-eclampsia Blood Kidney damage or disease, urinary calculi, urinary tract infection, contaminated sample, exercise, dehydration, myoglobinuria Ketones Diabetic ketoacidosis, starvation, alcohol intoxication Glucose Diabetes mellitus, pregnancy 11-OCSEs-Data_interpretation_5e ccp.indd 283 19/03/2015 13:39
  • 299.
    Clinical Skills for OSCEs 284 Station 106 Bloodtest interpretation 1. Reference ranges are based on a Gaussian or normal distribution, and usually include about 95% of the population. This means that a result only slightly outside the reference range is not necessarily ‘abnormal’. 2. Reference ranges do vary from one laboratory to another – don’t let this confuse you! Full blood count (FBC/CBC) Normal range Hb 13–18 g/dl (males); 11.5–16 g/dl (females) RCC 4.5–6.5 ¥ 1012 /l (males); 3.9–5.6 ¥ 1012 /l (females) PCV 0.4–0.54 (males); 0.37–0.47 (females) MCV 76–96 fl MCHC 30–36 g/dl WCC 4.0–11.0 ¥ 109 /l neutrophils  2.0–7.5 ¥ 109 /l (40–75% WCC) lymphocytes  1.3–3.5 ¥ 109 /l (20–45%) eosinophils  0.04–0.44 ¥ 109 /l (1–6%) basophils  0–0.10 ¥ 109 /l (0–1%) monocytes  0.2–0.8 ¥ 109 /l (2–10%) Platelets 150–400 ¥ 109 /l • Haemoglobin (Hb) and red cell count (RCC) are increased in dehydration, chronic hypoxia, and polycythaemia. The term ‘anaemia’ describes a Hb of 13 g/dl in males and 11.5 g/dl in females. Anaemia has many causes, including iron deficiency, folate or vitamin B12 deficiency, chronic illness, blood loss, and blood cell destruction. • Packed cell volume (PCV) or ‘haematocrit’ is the fraction of total blood volume occupied by red cells; it decreases in anaemia and increases in dehydration, chronic hypoxia, and polycythaemia. • Mean corpuscular volume (MCV) is the average volume of a red blood cell, and is thus equiva- lent to PCV/RCC; it decreases in iron deficiency, chronic disease, thalassaemia, and sidero­ blastic anaemia and increases in folate or vitamin B12 deficiency, alcoholism, liver disease, hypothy- roidism, pregnancy, reticulocytosis (e.g. in haemolysis), and other haematological diseases. • Mean corpuscular haemoglobin concentration (MCHC) is the average concentration of hae- moglobin in red cells, and decreases in iron deficiency, chronic disease, and chronic blood loss. • A raised white cell count (WCC) or leukocytosis may indicate infection, inflammation, major tissue damage, or certain lymphoproliferative disorders. The differential white cell count is useful in determining the probable cause of a leukocytosis. For example, a raised neutrophil count or neutrophilia may indicate acute bacterial infection, acute inflammation, or major tissue damage; a raised eosinophil count or eosinophilia may indicate an allergic reaction or parasitic infection; and a raised lymphocyte count may indicate an acute viral infection, lym- phoma, or an infection such as TB or pertussis. A depressed WCC may indicate overwhelming sepsis, bone marrow failure/damage, or myelodysplastic disorder. • A raised platelet count or thrombocytosis may result from haemorrhage, chronic inflammatory conditions, hyposplenism, and certain myeloproliferative disorders, e.g. chronic myelogenous leukaemia. A low platelet count or thrombocytopaenia may result from decreased platelet pro- duction (e.g. folate or vitamin B12 deficiency, infection, cancer treatment), increased platelet destruction (e.g. immune thrombocytopaenic purpura, disseminated intravascular coagulation, systemic lupus erythematosus), or certain drugs. 11-OCSEs-Data_interpretation_5e ccp.indd 284 19/03/2015 13:39
  • 300.
    Data interpretation 285 Station 106 Bloodtest interpretation Iron studies (haematinics) Normal range Serum iron 14–31 μmol/l (males); 11–30 μmol/l (females) Ferritin 12–200 μg/l TIBC 54–75 μg/l Folate 2.1 μg/l Vitamin B12 0.13–0.68 nmol/l • Ferritin is the main protein that stores iron, and so serum ferritin reflects the body’s iron stores. • Total iron binding capacity (TIBC) reflects the amount of transferrin, a protein that transfers iron from the gut, in the serum. • Iron deficiency and chronic disease may both lead to a decrease in serum iron, and therefore to a microcytic anaemia. In investigating the cause of a microcytic anaemia, serum iron must be looked at in conjuction with serum ferritin and TIBC. In iron deficiency anaemia, serum ferritin is decreased and TIBC is increased. In contrast, in anaemia of chronic disease, serum ferritin is often increased and TIBC often decreased. Note that, in some cases, anaemic of chronic disease can also present with a normal MCV. Other causes of a normocytic anaemia include acute blood loss and renal failure. • By contrast, folate and vitamin B12 deficiency result in a macrocytic anaemia. Folate levels decrease if dietary intake of folate is inadequate or if demand for folate is increased (e.g. pregnancy, increased cell turnover) and in alcoholism, malabsorption, pernicious anaemia, and treatment with certain drugs such as phenytoin and sodium valproate. Vitamin B12 levels decrease if dietary intake of vitamin B12 is inadequate, and in malabsorption and pernicious anaemia. Coagulation/clotting tests Normal range PT 10–14 s APTT 35–45 s TT 10–15 s INR 0.9–1.2 D-dimers 0.5 mg/l • A lack of factors I, II, V, VII, and X or fibrinogen leads to an increase in prothrombin time (PT). PT thus tests the extrinsic system and is prolonged by warfarin treatment, vitamin K deficiency, liver disease, and DIC. • A lack of factors I, II, V, VIII, IX, XI, or XII leads to an increase in activated partial thromboplas- tin time (APTT). APTT thus tests the intrinsic system and is prolonged by heparin treatment, haemophilia, liver disease, and DIC. • Thrombin time (TT) is prolonged by a deficiency of factor I (fibrinogen), heparin treatment, and DIC. • INR is the ratio of PT to mean PT in a normal population, and should thus be around 1. Target INR for DVT and PE prophylaxis is 2–3 (3.5 if recurrent), but 3–4 for prosthetic metallic heart valves. • D-dimers are a fibrin degradation product, and are raised in DVT, PE, and DIC, but also in inflam- matory states. 11-OCSEs-Data_interpretation_5e ccp.indd 285 19/03/2015 13:39
  • 301.
    Clinical Skills for OSCEs 286 Station 106Blood test interpretation ESR Normal range ESR 20 mm/h Or, for males, (age in years)/2, and for females (age in years + 10)/2 • A raised erythrocyte sedimentation rate (ESR) is a non-specific finding that often results from inflammation, but sometimes also from injury or malignancy. Serial ESR measurements can be used to monitor disease severity and treatment response in inflammatory disorders such as rheumatoid arthritis and temporal arteritis. Thyroid function tests Normal range TSH 0.5–5.7 mU/l Thyroxine (T4) 70–140 nmol/l Free T4 9–22 pmol/l Tri-iodothyronine (T3) 1.2–3 nmol/l TBG 7–17 mg/l • Typical findings in hyperthyroidism are decreased TSH (thyroid-stimulating hormone) and increased (or normal) T4, free T4, and T3. • Typical findings in hypothyroidism are increased TSH and decreased (or normal) T4 and free T4. • Increased TSH and increased T4 suggest a TSH-secreting tumour. • Decreased TSH, T4, and T3 suggest pituitary disease or ‘sick euthyroidism’, which can be seen in any systemic illness. • T4 and T3 are increased if TBG (thyroxine-binding globulin) is increased (e.g. in pregnancy or oestrogen therapy) and vice versa. Liver function tests Normal range Bilirubin 3–17 μmol/l ALT 5–35 U/l AST 5–35 U/l ALP 30–150 U/l GGT 11–51 U/l (males); 7–33 U/l (females) Albumin 35–50 g/l • The amount of bilirubin in the blood reflects the balance between that produced by red cell destruction and that removed by the liver. A raised bilirubin level results either from ­ diseases causing increased red blood cell destruction, diseases causing hepatocellular damage, or diseases causing biliary obstruction and thereby restricting the excretion of bilirubin. The latter is suggested by a high ratio of conjugated bilirubin to unconjugated bilirubin. • Raised ALT and AST suggest hepatocellular damage. ALT (alanine aminotransferase) is a rela- tively specific marker of hepatocellular damage, and is most raised in the acute phase. Although ALT is also present in cardiac muscle, the rises seen in myocardial infarction are comparatively small. AST is a less specific marker of hepatocellular damage than ALT and may also be raised in myocardial infarction, skeletal muscle damage, haemolysis, shock, pregnancy, and exercise. 11-OCSEs-Data_interpretation_5e ccp.indd 286 19/03/2015 13:39
  • 302.
    Data interpretation 287 Station 106 Bloodtest interpretation • Raised ALP and GGT suggest biliary obstruction. ALP (alkaline phosphatise) is raised in biliary obstruction, hepatocellular damage, some bone diseases, and pregnancy. GGT (gamma- glutamyl transferase) is raised in alcohol consumption, and also in biliary obstruction and hepatocellular damage. • Albumin is a genuine test of liver function and falls in chronic liver disease. Other causes for a fall in albumin include malnutrition, malabsorption, nephrotic syndrome, burns, ­ pregnancy, and overhydration, e.g. with IV fluids. A rise in albumin is usually the consequence of dehydration. Urea and electrolytes Normal range Sodium 135–145 mmol/l Potassium 3.5–5.0 mmol/l Calcium (total) 2.12–2.65 mmol/l Bicarbonate 24–28 mmol/l Urea 2.5–6.7 mmol/l Creatinine 70–150 μmol/l Hyponatraemia • Hyponatraemia is commonly caused by the syndrome of inappropriate secretion of antidiuretic hormone (SIADH), which itself has a large number of causes including malignancy, pulmonary disorders, central nervous system disorders, and drugs. Other common causes of hyponatrae- mia are inappropriate fluid therapy, diuretic treatment, diarrhoea and vomiting, and cardiac and renal failure. For the causes of hyponatraemia, see Figure 74. Note that high serum glucose, urea, proteins, or lipids can increase serum volume and result in a pseudohyponatraemia. Yes Yes No No Yes Yes No No Is the patient dehydrated? Hyponatraemia Renal Na+ loss • Addison’s • Renal failure • Diuretic excess • Osmolar diuresis Loss elsewhere • Diarrhoea • Vomiting • Fistulae • Burns • Small-bowel obstruction • Trauma • CF • Heat exposure • Nephrotic syndrome • Renal failure • Cardiac failure • Cirrhosis • Water overload • Glucocorticoid insufficiency • Severe hypothyroidism • SIADH Urine osmolality 500 mmol/kg? Is the patient oedematous? Is urinary Na 20 mmol/l? Figure 74. Causes of hyponatraemia. 11-OCSEs-Data_interpretation_5e ccp.indd 287 19/03/2015 13:39
  • 303.
    Clinical Skills for OSCEs 288 Station 106Blood test interpretation • Hyponatraemia may be asymptomatic or may produce nausea, vomiting, headache, con­ fusion, convulsions, and coma. • Treat the cause. It is important to determine the volume status of the patient. If the patient is hypovolaemic, a normal saline infusion may be indicated. Particularly in chronic hyponatrae- mia, correction should be cautious and gradual (a maximum of 15 mmol/day) so as to avoid the complication of central pontine myelinosis. If the patient is hypervolaemic, fluid restriction (with or without frusemide) may be indicated. Hypertonic saline should only be used in emer- gency situations. Hypernatraemia • Causes include: – – insufficient water intake – – inappropriate fluid therapy – – fluid loss, e.g. through diarrhoea, vomiting, and burns – – diuretic treatment – – osmotic diuresis, e.g. in hyperglycaemia – – diabetes insipidus – – mineralocorticoid excess as in Conn’s syndrome or Cushing’s syndrome • Symptoms include thirst, confusion, convulsions, and coma. • Treat through oral rehydration or a 5% dextrose infusion, e.g. 4 litres over 24 hours. Note that over-rapid correction of hypernatraemia can lead to cerebral oedema and convulsions, brain damage, and death. Hypokalaemia • Causes include: – – gastrointestinal losses as in vomiting, diarrhoea, laxative use, villous adenoma – – renal losses as in thiazide or loop diuretic treatment (most common cause), mineralo­ corticoid excess (e.g. Conn’s syndrome, Cushing’s syndrome), and renal tubular acidosis – – shift into cells as in insulin treatment, metabolic alkalosis, high catecholamines (e.g. due to pain) – – poor intake as in prolonged fasting, eating disorders – – re-feeding syndrome – – hypomagnesaemia • In mild cases, hypokalaemia is often asymptomic. In severe cases, the clinical picture is domi- nated by muscle weakness which can progress to flaccid paralysis and, rarely, respiratory failure. ECG changes may include T wave flattening, ST segment depression, appearance of U waves, and tachyarrhythmias. • Treatment involves addressing the cause and supplementing potassium, either orally or as an intravenous infusion, depending on severity. Note that too concentrated an infusion is painful and damages peripheral veins, and too fast an infusion predisposes to ventricular tachyar- rhythmias. Hyperkalaemia • Causes include: – – artefact due to haemolysis of the blood sample (repeat the measurement) – – excessive intake, most likely in the form of potassium supplements – – impaired excretion as in renal insufficiency, Addison’s disease (reduced mineralocorticoids), treatment with potassium-sparing diuretics and NSAIDs – – shift out of cells as in diabetic ketoacidosis and other metabolic acidoses – – excessive release from cells, as in burns, rhabdomyolysis, tumour lysis, massive blood trans- fusion 11-OCSEs-Data_interpretation_5e ccp.indd 288 19/03/2015 13:39
  • 304.
    Data interpretation 289 Station 106 Bloodtest interpretation • Although hyperkalaemia is usually asymptomatic, it can lead to cardiac arrhythmia and sudden death. For this reason, an ECG should be carried out as soon as hyperkalaemia is suggested. ECG findings include tall, tented T waves, broadened QRS complex, prolonged PR interval, P wave flattening, and a sine wave appearance. • In mild hyperkalaemia, potassium intake should be restricted. In severe hyperkalaemia, or if there are ECG changes, IV calcium gluconate should be administered to stabilise the myo­ cardium. IV insulin with glucose, the potassium-binding resin calcium resonium, and dialysis can then be used to reduce potassium. Calcium • Calcium (total) needs to be adjusted for albumin by adding 0.1 mmol/l for every 4 g/l that albumin is below 40 g/l, and subtracting 0.1 mmol/l for every 4 g/l that albumin is above 40 g/l. • Hypocalcaemia may be caused by hypomagnesaemia, hyperphosphataemia, hypoparathy- roidism, pseudohypoparathyroidism (failure of cells to respond to parathyroid hormone), vitamin D deficiency, and chronic renal failure. Symptoms include depression, perioral paraes­ thesiae, carpo-pedal spasm (hence Trousseau’s sign), neuromuscular excitability (hence Chvostek’s sign), tetany, laryngospasm, and cardiac arrhythmias. Treatment involves treating the cause and, depending on severity, oral or IV calcium replacement. • 90% of cases of hypercalcaemia are accounted for by either malignancy or hyperpara­ thyroidism. Symptoms include fatigue, confusion, depression, anorexia, nausea and vomiting, constipation, abdominal pain, polyuria, renal calculi, and cardiac arrest. Management involves treating the hypercalcaemia and its underlying cause. Treating the hypercalcaemia involves fluids (normal saline), frusemide, and bisphonates, e.g. pamidronate. For acid–base disturbances, see Station 107. Urea and creatinine • Urea is increased in renal disease, renal hypoperfusion (e.g. in severe dehydration), and urinary tract obstruction. It is also increased by a high-protein diet, bleeding into the GI tract, tissue damage, and certain drugs. It is decreased in overhydration, advanced liver disease, malnutri- tion, and eating disorders. • Serum creatinine provides a crude estimate of glomerular filtration. It is increased in renal disease, renal hypoperfusion, urinary tract obstruction, and rhabdomyolysis. It is decreased in advanced liver disease, malnutrition, eating disorders, and muscle loss. A better estimate of glomerular filtration is creatinine clearance. 11-OCSEs-Data_interpretation_5e ccp.indd 289 19/03/2015 13:39
  • 305.
    Clinical Skills for OSCEs 290 Station 107 Arterialblood gas (ABG) sampling Specifications: An anatomical arm in lieu of a patient. Before starting • Introduce yourself to the patient and confirm his name and date of birth. • Explain the procedure and obtain consent. • Check the case notes for anticoagulant treatment or platelet or clotting abnormalities. • Note the patient’s oxygen requirements and body temperature. • Gather the required equipment in a tray. The equipment • Non-sterile gloves • Heparinised 2 ml ABG syringe pack with cap • Alcohol wipes • 23G (blue) needle (¥4) • Lignocaine 1% • Gauze • Syringe for lignocaine • Sharps bin The procedure • Wash and dry your hands or cleanse them with alcohol gel. • Position the patient’s arm so that the wrist is extended. • Palpate the radial artery over the head of the radius and locate the site of maximum pulsation. This is important, so take as much time as you need. • Don the gloves. • Cleanse the site with an alcohol wipe. • Inject lignocaine intradermally to form a bleb around the chosen area, taking care not to punc- ture the vessel or mask its pulsation. (This step can be omitted depending on patient preference.) • If you do not have a heparinised syringe, attach a 23G needle to the 2 ml syringe and draw up a little heparin into the syringe (ensure that there is no air in the syringe prior to ABG sampling). • Discard the needle into the sharps bin. • Attach a second 23G needle to the syringe. • Fix the chosen area between the index and middle fingers of your non-dominant hand. • Warn the patient to expect a ‘sharp scratch’ or some other gross euphemism. • Directing it proximally up the arm, insert the needle at 45 degrees to the skin. • Advance the needle a few millimetres in line with the direction of the artery until you obtain a flashback of bright red arterial blood into the syringe. The syringe should fill from the patient’s pulse, but gentle aspiration may in some cases be required. • Allow the syringe to fill with 2 ml of arterial blood. • Pick up a gauze with your non-dominant hand. • Withdraw the needle and press firmly over the puncture site with the gauze. State that the pressure ought to be maintained for 5 minutes, with regular checking for the formation of a haematoma. • Discard the needle into a sharps bin. • Expel any air bubbles from the syringe and cap it. • State that you would immediately take the blood to a blood gas machine for analysis. At this point the examiner may hand you a print out from the machine. 11-OCSEs-Data_interpretation_5e ccp.indd 290 19/03/2015 13:39
  • 306.
    Data interpretation 291 Station 107 Arterialblood gas (ABG) sampling Allen’s test The radial artery (lateral wrist) is at risk of damage from ABG sampling, leaving only the ulnar artery (medial wrist) to supply the hand. Allen’s test aims to ensure that the ulnar artery is patent, so as to minimise the risk of critical hand ischaemia. • Ask the patient to make a fist and elevate his hand for 15–30 seconds. • Occlude both the ulnar and radial arteries with your fingers. • Ask the patient to open his hand: it should appear pale or blanched. • Release the pressure on the ulnar artery (but not the radial artery). If the ulnar artery is patent, the hand should return to its normal colour within 6 seconds. After the procedure • Ensure that the patient is comfortable. • Interpret the print-out, if any (see Table 35). If the patient is on oxygen, write this on the print-out. • Feedback to the patient/examiner. • Ask the patient if he has any questions or concerns. • Clear up. Arterial blood gas interpretation (suggested approach for an OSCE station) 1. Assess PaO2 (10 kPa, higher readings may indicate that the patient is receiving oxygen). 2. Assess pH • ≤ 7.35 is acidosis. • ≥ 7.45 is alkalosis. 3. Assess PaCO2 • If 6.0 kPa there is either respiratory acidosis or respiratory compensation for metabolic alkalosis. • If 4.7 kPa there is either respiratory alkalosis or respiratory compensation for metabolic acidosis. 4. Assess standardised HCO3 * • If 22 there is metabolic acidosis or renal compensation for respiratory alkalosis. • If 28 there is a metabolic alkalosis or renal compensation for respiratory acidosis. 5. Combine information from 2, 3, and 4 above to determine the primary disturbance and whether there is any renal or respiratory compensation occurring (see Table 35). Example pH = 7.30 PaO2 = 6.8 PaCO2 = 7.45 HCO3 = 26.0 mmol/l This is uncompensated respiratory acidosis due to abruptly impaired ventilation, e.g. asthma attack. * You can also assess the base excess (BE, either an excess or a deficit), which represents a more accurate assessment of the metabolic component of acid–base balance than HCO3 . The normal range is -2 to 2mmol/l. -2 indicates metabolic acidosis or compensated respiratory alkalosis; 2 indicates metabolic alkalosis or compensated respiratory acidosis. 11-OCSEs-Data_interpretation_5e ccp.indd 291 19/03/2015 13:39
  • 307.
    Clinical Skills for OSCEs 292 Station 107Arterial blood gas (ABG) sampling Table 35. Arterial blood gas interpretation pH PaCO2 HCO3 Respiratory acidosis Ø ≠ Æ, ≠* Respiratory alkalosis ≠ Ø Æ, Ø* Metabolic acidosis Ø Æ, Ø** Ø Metabolic alkalosis ≠ Æ, ≠** ≠ Mixed acidosis Ø ≠ Ø Mixed alkalosis ≠ Ø ≠ * Renal compensation occurring. ** Respiratory compensation occurring. Examiner’s questions: Disorders of acid–base balance Respiratory acidosis • Results from alveolar hypoventilation. • Common causes include airway obstruction, respiratory disease, impaired lung motion, neuromuscular disease, central nervous system depression, and obesity (Pickwickian syndrome). • Symptoms are often those of the underlying cause. Respiratory acidosis does not have a marked effect on serum electrolytes. • Management involves oxygen therapy, but particular care must be taken in patients with COPD as oxygen can reduce hypoxic drive. Where possible, treat the cause. Respiratory alkalosis • Results from alveolar hyperventilation. • Common causes include anxiety, pyrexia, CNS causes such as stroke and subarachnoid haemorrhage, liver failure, drugs such as salicylic acid and nicotine, high altitude, and mechanical ventilation. • There may be signs and symptoms of hypocalcaemia (including positive Trousseau and Chvostek signs) without a fall in total serum calcium levels (due to increased binding of calcium). • Management involves treating the cause. Metabolic acidosis • Results from increased hydrogen ion concentration or decreased bicarbonate concentration. • Causes are various: some increase the anion gap (see box) and others do not. • Causes that increase the anion gap include renal failure, massive rhabdomyolysis, diabetic ketoacidosis, lactic acidosis, and intoxication with ethanol, methanol, ethylene glycol, or salicylic acid. • Causes that do not increase the anion gap include chronic diarrhoea and renal tubular acidosis. • Symptoms are various and non-specific. Extreme cases may lead to cardiac arrhythmias, and coma and seizures. • Depending on severity, management may involve IV bicarbonate or dialysis. 11-OCSEs-Data_interpretation_5e ccp.indd 292 19/03/2015 13:39
  • 308.
    Data interpretation 293 Station 107 Arterialblood gas (ABG) sampling Metabolic alkalosis • Results from decreased hydrogen ion concentration or increased bicarbonate concentration. • Principal causes include vomiting, diuretic treatment, hypokalaemia (due to intracellular shift of hydrogen ions), hyperaldosteronism, base ingestion, and over- compensation of respiratory acidosis. • Symptoms include symptoms of hypocalcaemia (due to increased binding of calcium), symptoms of hypokalaemia (due to intracellular shift of potassium), hypoventilation, arrhythmias, and seizures. • Metabolic alkalosis involving the loss of chloride ions is termed chloride responsive, because it typically corrects with IV administration of normal saline, whereas chloride-unresponsive metabolic alkalosis does not and typically involves severe hypokalaemia or mineralocorticoid excess. • Treat the cause. Correct hypovolaemia and hypokalaemia. In severe cases, consider dialysis. Examiner’s questions: The anion gap • Blood ought to have a neutral charge, with the concentration of cations (+) equal to that of anions (-). • Blood tests do not measure the concentrations of all ions in the blood: usually, only [Na+ ], [K+ ], [Cl- ], and [HCO3 - ] are provided. • These measurements include the majority of the cations in the blood, but leave out a larger proportion of the anions, including negatively charged proteins and organic acids. • This gap, the anion gap, is given by: ([Na+ ] + [K+ ]) – ([Cl– ] + [HCO3 – ]) • In clinical practice, [K+ ] is typically omitted from the equation. • The normal range is 10–18mmol/l. • The anion gap, which may be normal or increased, can help to identify the cause of metabolic acidosis. • Metabolic acidosis involves a decrease in [HCO3 - ], which, to maintain electroneutrality, ought to be compensated for by an increase in the concentration of other anions. • If the anion gap is normal, decreased [HCO3 - ] is the primary pathology and [Cl- ], the only other major buffering anion, has increased in compensation (hyperchloraemic acidosis). • If the anion gap is increased, electroneutrality has been maintained by an increase in the con- centration of unmeasured anions. This occurs when the acidosis is caused by the introduc- tion of excess acid (but not HCl) into the blood. A good example is lactic acidosis: increased lactic acid decreases pH and thereby decreases the concentration of HCO3 - ions, which are replaced by lactate ions. As lactate ions are unmeasured, the anion gap is increased. 11-OCSEs-Data_interpretation_5e ccp.indd 293 19/03/2015 13:39
  • 309.
    Clinical Skills for OSCEs 294 Station 108 ECGrecording and interpretation Before starting • Introduce yourself to the patient, and confirm his name and date of birth. • Explain the indication and procedure, specifying that it is not painful, and obtain his consent. • Position him so that he is lying on a couch. • Ask him to expose his upper body and ankles. The equipment • A 12-lead ECG machine • Electrode sticky pads (check expiry date) The procedure • Indicate that you may need to shave the patient’s chest to abrade and clean the skin prior to applying the electrode pads. • Having verified that the skin is dry, attach the electrode pads as per the leads. • Attach the limb leads, one on each limb. The longest leads attach to the legs, above the ankles, and the mid-length leads attach to the upper arms. Table 36. Colour codes for ECG limb and chest leads Limb leads Chest leads Red Right arm Yellow Left arm Green Left leg Black Right leg Red V1 Yellow V2 Green V3 Brown V4 Black V5 Violet V6 Figure 75. Lead placement. 11-OCSEs-Data_interpretation_5e ccp.indd 294 19/03/2015 13:39
  • 310.
    Data interpretation 295 Station 108 ECGrecording and interpretation • Place the chest leads (the shortest leads) such that (see Figure 75): – – V1 is in the fourth intercostal space at the right sternal margin – – V2 is in the fourth intercostal space at the left sternal margin – – V3 is midway between V2 and V4 – – V4 is in the fifth intercostal space in the left mid-clavicular line – – V5 is at the same horizontal level as V4, but in the anterior axillary line – – V6 is at the same horizontal level as V4 and V5, but in the mid-axillary line • Turn the ECG machine on and check calibration (1 mV = 1 cm in height) and paper speed (25 mm/s). • Ensure that the patient is relaxed and comfortable, and ask him to remain as still and silent as possible. • Press on ‘Analyse ECG’ or a similar button. See Figure 76 for an example of a normal ECG trace. After recording the ECG • Analyse the ECG for any life-threatening abnormalities. • Remove the leads. • Discard the electrode pads. • Ensure that the patient is comfortable. • Thank him. Figure 76. Normal ECG. I aVR V1 V4 aVL V2 V5 aVF V3 V6 II III II 150 Hz 25.0 mm/s 10.0 mm/mV 4 by 2.5s  1 rhythm ld MAC5K 005A 12SLTMv231   o Technician Vent. rate 66 bpm PR intervel 134ms QRS duration 88ms QT/QTc 388/406 ms Referred by: Normal sinus rhythm Normal ECG Unconfirmed 11-OCSEs-Data_interpretation_5e ccp.indd 295 19/03/2015 13:39
  • 311.
    Clinical Skills for OSCEs 296 Station 108ECG recording and interpretation ECG interpretation in 10 steps (suggested approach for an OSCE station) R ST T P Q S QRS Q-T PR 0.20 sec. 0.5 mV Figure 77. The basic ECG complex. 1. Check labelling (name, date, calibration, paper speed, etc.) and eyeball the ECG. 2. Rate: divide 300 by the number of large squares between consecutive R waves. 3. Rhythm: ensure that each P wave is followed by a QRS complex (i.e. sinus rhythm). Use a pen and card to determine whether the rhythm is regular or irregular. If it is irregular, is it regularly irregular or irregularly irregular? 4. Axis: • Normal axis: the QRS complexes are predominantly positive in both leads I and II. • Left axis deviation: the QRS complex is predominantly positive in lead I but is predominantly negative in lead II. • Right axis deviation: the QRS complexes are predominantly negative in both leads I and II. 5. P waves: normal is less than 2.5 mm in height and 0.12 s in width in lead II. 6. PR interval: normal is 0.12–0.20 s or 3–5 small squares in duration. 7. QRS complex: • Normal is 0.12 s or 3 small squares in duration. • The sum of the S wave in V2 and an R wave in V5 or V6 should not be greater than 35 mm. • Q waves should not be deeper than two small squares or 25% of the following R wave, or broader than one small square. 8. ST segment: the ST segment should not be elevated or depressed. 9. T waves: T waves should not be tall, flattened, or inverted. T wave inversion in leads I, II, and V4–6 is always abnormal. 10. QT interval: normal is less than 400 ms or 2 large squares or half the R–R interval. 11-OCSEs-Data_interpretation_5e ccp.indd 296 19/03/2015 13:39
  • 312.
    Data interpretation 297 Station 108 ECGrecording and interpretation ECG interpretation in 10 easy steps – in more detail 1. Check labelling (name, date, indication, calibration 1 cm/mV, paper speed 25 mm/s). 2. Rate: either divide 300 by the number of large squares between consecutive R waves (1 large square = 0.2 s, 1 small square = 0.04 s) or count the number of R waves in the rhythm strip and multiply by 6 (as the rhythm strip/lead II is 10 s long). Sinus bradycardia (60 bpm and regular): athletes, hypothermia, hypothyroidism, raised ICP, obstructive jaundice, SA node disease or ischaemia, beta blockade. Sinus tachycardia (100 bpm and regular): exercise, pain, fever, hypovolaemia, anaemia, preg- nancy, thyrotoxicosis, vasodilators, vagolytics such as atropine. 3. Rhythm: ensure that each P wave is followed by a QRS complex. Use a pen and card to determine whether rhythm is regular or irregular. If it is irregular, is it regularly irregular or irregularly irregular? Sinus arrhythmia describes an increase in heart rate upon inspiration and fall upon expiration. 4. Axis a. Normal axis: the QRS complexes are predominantly positive in both leads I and II. b. Leftaxisdeviation: the QRS complex is predominantly positive in lead I but is predominantly negative in leads II and III. Left axis deviation may indicate left anterior fascicular block and a number of other conditions, but not usually left ventricular hypertrophy. c. Right axis deviation: the QRS complexes are predominantly negative in both leads I and II. Right axis deviation may indicate right ventricular hypertrophy due to pulmonary conditions or congenital heart disease. 120 120 60 150 150 III aVR aVL aVF Right axis Normal axis Left axis II 30 ±180 30 0 60 90 90 I Explanation: normally the depolarising wave spreads towards leads I, II, and III and is therefore associated with a predominantly upward QRS deflection in all these leads, but greatest in lead II. – – in right axis deviation, the axis swings to the right so that the QRS deflection in lead I becomes negative and the deflection in lead III becomes most positive – – in left axis deviation, the axis swings to the left, so that the deflection in lead III becomes nega- tive. Left axis deviation is not significant until the deflection is also negative in lead II 5. P waves: normal is less than 2.5 mm in height and 0.12 s in width in lead II. An inverted P wave in V1 is likely to indicate an incorrect recording. A tall P wave (P pulmonale) is due to right atrial enlargement and is seen most commonly in lung disease but also in tricuspid valve stenosis. A broad, bifid P wave (P mitrale) is due to left atrial enlargement and is seen most commonly in mitral stenosis. The most common cause of absent P waves is atrial fibrillation. 11-OCSEs-Data_interpretation_5e ccp.indd 297 19/03/2015 13:39
  • 313.
    Clinical Skills for OSCEs 298 Station 108ECG recording and interpretation 6. PR interval: normal is 0.12–0.20 s (3–5 small squares) in duration. Prolonged in heart block, shortened in conditions involving an abnormality on the fibrous insulating ring such that sig- nals get past the AV node more quickly, e.g. Wolff–Parkinson–White syndrome. AV node blocks • First degree block: atrial conduction to the ventricles is delayed such that the PR interval is consistently prolonged. This may be a sign of coronary artery disease, acute rheumatic carditis, digitalis toxicity, or electrolyte disturbances. • Second degree block: excitation completely fails to pass through the AV node. The causes of second degree heart block are the same as for first degree heartblock. – – Mobitz type I (Wenckebach phenomenon): there is progressive lengthening of the PR inter- val and then regular failure of conduction of an atrial beat, followed by a conducted beat with a short PR interval and then a repetition of this cycle – – Mobitz type II: most beats are conducted with a constant PR interval but occasionally there is an atrial contraction without a subsequent ventricular contraction. May herald complete heart block – – 2:1 (or 3:1) conduction: there are alternate conducted and non-conducted atrial beats, giving twice (or three times) as many P waves as QRS complexes. May herald complete heart block in patients with MI • Third degree (complete) block: atrial contraction is normal but no beats are conducted to the ventricles. A ventricular escape rhythm takes hold, such that there is no relation between P and QRS. May occur after an MI (usually transient) or due to fibrosis around the bundle of His. 11-OCSEs-Data_interpretation_5e ccp.indd 298 19/03/2015 13:39
  • 314.
    Data interpretation 299 Station 108 ECGrecording and interpretation [Note] HeartblockthatisMobitztypeIIoraboveismuchmorelikelytoinvolvehaemodynamiccompromise,andrequires pacing. The choice between a temporary or permanent pacemaker depends on whether the underlying cause is transient or permanent. SA node blocks can also occur but they are uncommon and usually asymptomatic (due to the establishment of a ventricular escape rhythm). SA node block is not to be confused with SA node suppression, which occurs when an arrhythmia prevents the SA node from generating an impulse. 7. QRS complex: a. Normal is 0.12 s or 3 small squares in duration. A broad QRS results either from depolarisation by a focus in the ventricular muscle or from a bundle branch block (BBB). i. Right BBB: can be normal, or may be caused by IHD, PE, or ASD. ii. Left BBB: LBBB invariably reflects underlying heart disease, but its presence precludes further interpretation of the ECG. RBBB characteristics LBBB characteristics V1 rSR’ qRs V6 V1 rS R V6 b. The sum of the S wave in V2 and an R wave in V5 or V6 should not be greater than 35 mm. If it is, this indicates ventricular hypertrophy. c. Q waves should not be deeper than two small squares or 25% of the following R wave. If they are, this indicates an old MI. 11-OCSEs-Data_interpretation_5e ccp.indd 299 19/03/2015 13:39
  • 315.
    Clinical Skills for OSCEs 300 Station 108ECG recording and interpretation 8. ST segment: the ST segment should not be elevated or depressed. Elevation of 1 mm in two adjacent limb leads, or 2mm in two adjacent chest leads, indicates full thickness infarction of the myocardium (ST-elevation MI/STEMI). Depression of 0.5 mm in two adjacent leads indicates ischaemia, e.g. angina. In the presence of raised cardiac enzymes (e.g. troponin I) ST depression is indicative of MI (non-ST elevation MI). Saddle elevation in most leads indicates pericarditis. 9. T waves: T waves should not be tall, flattened, or inverted. Tall, tented T waves indicate hyper- kalaemia, flattened T waves indicate hypokalaemia. T wave inversion in leads I, II, and V4–6 is always abnormal, and indicates subendocardial (partial thickness) infarction, i.e. non-ST eleva- tion MI, angina, or digoxin administration. 10. QT interval: normal is less than 400 ms (2 large squares) or half the R–R interval (ideally, cor- rected QT (QTc) should be calculated to account for the change with heart rate). Prolongation is usually secondary to drugs, e.g. antipsychotics, toxins, and electrolyte disturbances, and predisposes to potentially dangerous ventricular arrhythmias. Abnormal rhythms Supraventricular tachyarrhythmias (SVTs) In SVTs the depolarisation spreads to the ventricles in the normal way via the His bundle so the QRS complex is normal and the same whether depolarisation was triggered by the SA node, the atrial muscle, or the junctional region. Atrial extrasystoles This example of atrial extrasystoles can be described as non-compensated atrial quadrigeminy: ‘quadrigeminy’ because there is one extrasystole after every three normal beats; ‘non-compensated’ because there is no compensatory pause after the extrasystole. Atrial extrasystoles are common in healthy people with normal hearts, and also occur in certain conditions such as cardiac failure and mitral valve disease. 11-OCSEs-Data_interpretation_5e ccp.indd 300 19/03/2015 13:39
  • 316.
    Data interpretation 301 Station 108 ECGrecording and interpretation Atrial tachycardia In atrial tachycardia, there is a heart rate of about 150 with P waves superimposed on preceding T waves. Atrial tachycardia typically arises from an ectopic source in the atrial muscle and is often paroxysmal in nature. Although it is sometimes seen in patients with diseased hearts, it is nearly always benign. Atrial flutter In atrial flutter, the atrial rate is commonly 300 bpm and there is usually a 2:1 block, resulting in a ventricular rate of 150 bpm. Can occur spontaneously in people with normal hearts, but most often occurs in people with cardiovascular disease. Frequently degenerates into AF. Atrial flutter with variable (2:1 and 3:1) block. Fast P waves produce a ‘saw-tooth’ appearance. Atrial fibrillation (AF) AF is associated with any disease affecting the heart. There is an ‘irregularly irregular’ ventricular rate with no true P waves but baseline irregularities representing atrial activation. AV nodal re-entrant tachycardia (AV ‘junctional’ tachycardia) A re-entrant circuit is set up in the atria, causing the ventricles to depolarise at fast rates of up to 200 bpm. P waves are often absent, hidden in the QRS. 11-OCSEs-Data_interpretation_5e ccp.indd 301 19/03/2015 13:39
  • 317.
    Clinical Skills for OSCEs 302 Station 108ECG recording and interpretation AV re-entrant tachycardia, via an accessory pathway e.g. Wolff–Parkinson–White syndrome In WPW syndrome, some of the atrial depolarisation passes quickly to the ventricle via an accessory pathway before it can get through the AV node. The early depolarisation of the ventricle leads to a shortened PR interval and a slurred start to the QRS wave (delta wave). Ventricular tachyarrhythmias Ventricular extrasystole (VE) Ventricular extrasystoles arise from an ectopic focus leading to a broad and atypical QRS complex that is unrelated to a preceding P wave. If a VE occurs early in the T wave of a preceding beat it can induce ventricular fibrillation. Ventricular trigeminy. Parasystole refers to a lack of coupling between VEs and the sinus rhythm. This may result in a number of fusion beats, in which a VE merges into the sinus beat. Ventricular tachycardia (VT) Two ventricular extrasystoles are termed a couplet but three or more are termed VT. Sustained VT can degenerate into ventricular fibrillation and death. Note the obvious dissociation between atria and ventricles. 11-OCSEs-Data_interpretation_5e ccp.indd 302 19/03/2015 13:39
  • 318.
    Data interpretation 303 Station 108 ECGrecording and interpretation * Accelerated idioventricular rhythm can look like VT, but the rate is 120 and the condition is benign. For this reason, VT should not be diagnosed unless the heart rate is 120. ** VT can be very difficult to differentiate from SVT with a BBB (as the BBB produces a broad QRS complex). Ventricular fibrillation (VF) Ventricular fibrillation is a chaotic ventricular rhythm which rapidly results in death. Ventricular flutter Ventricular flutter is a relatively uncommon and short-lived sine-wave like rhythm that usually degenerates into VF. Bradycardias Most abnormal rhythms are tachycardias, but they can also be bradycardias. The heart rate is normally controlled by the SA node. However, if the SA node fails to depolarise, the heart rate is taken over by a focus in the atrial muscle or in the region around the AV node (the junctional region) both of which have spontaneous depolarisation frequencies of about 50 beats per min. If these also fail, or if the His bundle is blocked, the heart rate is taken over by a ventricular rhythm of about 30 beats per min. These slow, protective rhythms are collectively referred to as ‘escape rhythms’. It is important to recognise them as such, because trying to suppress them can have dire consequences. The trace below shows a junctional escape rhythm. 11-OCSEs-Data_interpretation_5e ccp.indd 303 19/03/2015 13:39
  • 319.
    Clinical Skills for OSCEs 304 Station 108ECG recording and interpretation ECG patterns Myocardial infarction (MI) and unstable angina STEMI: ST elevation of 1mm in two adjacent limb leads, or 2mm in two adjacent chest leads, is the main criterion. In the ‘hyperacute’ phase, there are tall R waves and ST elevation which is sloped upwards and which often merges into tall, broad T waves. In established MI, there are prominent Q waves, elevated ST segments, and inverted ‘arrowhead’ T waves. NSTEMI and unstable angina: ST depression of 0.5mm in two adjacent leads and T wave inversion, without Q wave changes. NB. NSTEMI and unstable angina cannot be distinguished by ECG findings alone; a cardiac enzyme test is required. In posterior MI, posterior wall changes are mirrored in the leads opposite the lesion, i.e. V1 and V2, leading to a tall R, ST depression, and upright ‘arrowhead’ T waves. Note that there may be no ECG changes in MI, so don’t rely solely on the ECG! Stable angina The ECG typically looks normal, although stable angina might, like unstable angina and NSTEMI, be reflected by ST segment depression and T wave inversion. Prinzmetal’s angina ST elevation during an attack. Myocarditis Tachycardia, atrial and ventricular extrasystoles, first degree and LAHB (left anterior hemi-block) heart blocks, ST changes. Pericarditis Sinus tachycardia, widespread ‘saddle’ (concave) elevation of the ST segment, T wave abnormalities. Pericardial effusion Diminished amplitude of ECG deflections and possibly also T wave inversion and electrical alternans (alternating QRS amplitude = tall one beat, short the next, and so on). 11-OCSEs-Data_interpretation_5e ccp.indd 304 19/03/2015 13:39
  • 320.
    Data interpretation 305 Station 108 ECGrecording and interpretation Pulmonary embolism Sinus tachycardia. Other ECG abnormalities are uncommon and the classical SI QIII TIII syndrome only occurs in under 10% (prominent S in lead I, Q and inverted T in lead III). There may also be right atrial enlargement, atrial tachyarrhythmias, right ventricular hypertrophy or ischaemia, and RBBB. Hyperkalaemia Initially, tall tented T waves, then disappearance of P waves and, finally, broadened and distorted QRS complexes leading to ventricular arrhythmia or cardiac standstill. Hypokalaemia Flattened T waves and more prominent U waves which may be falsely interpreted as QT prolongation. There may also be first or second degree AV heart block. Hypothermia Sinus bradycardia, prominent ‘J’ wave (upward deflection just after the QRS complex), and QRS and QT prolongation, leading to blocks, ventricular extrasystoles and, finally, VF. Try to familiarise yourself with different patterns of ECG, e.g. left ventricular hypertrophy, ischaemic heart disease, acute myocardial infarct, atrial fibrillation, heart block, pulmonary embolus. Study ECG libraries such as the one that can be found at www.ecglibrary.com/ecghome.html. 11-OCSEs-Data_interpretation_5e ccp.indd 305 19/03/2015 13:39
  • 321.
    Clinical Skills for OSCEs 306 Station 109 ChestX-ray interpretation A systematic approach to interpreting X-rays not only fills out the time and impresses the examiner, but also minimises your chances of missing any abnormalities. Before saying anything, it is an excellent idea to spend one minute looking at the X-ray, rubbing your chin and organising your thoughts. Figure 78. Normal chest X-ray. 1. The X-ray • Name and age of the patient. • Date of the X-ray. • Projection: PA, AP, or lateral? AP films are normally labelled, but PA films (the most common type of projection) are often left unmarked. If in doubt, examine the scapulae. With PA films, the patient lifts his arms, thereby withdrawing the scapulae from the lung fields. • Erect or supine? (see box) • Rotation – if there is no rotation, the distances from the vertebral spines to the medial ends of the clavicles should be equal. • Penetration – if penetration is normal, the lower thoracic vertebral bodies should be just discern- ible through the heart shadow. If they cannot be discerned, the film is under-penetrated and the lungs will appear more opaque than they ought. If, on the other hand, they are very clear, the film is over-penetrated and the lungs will appear more translucent (blacker) than they ought. • Inspiration – if the chest is appropriately inflated, five or six ribs should be visible above the dia- phragm anteriorly, and ten posteriorly. A greater number of ribs above the diaphragm suggests hyperinflation, as in COPD. 11-OCSEs-Data_interpretation_5e ccp.indd 306 19/03/2015 13:39
  • 322.
    Data interpretation 307 Station 109 ChestX-ray interpretation Erect or supine? An X-ray can be confirmed as having been taken in the erect position if the gastric air bubble is found lying under the left hemidiaphragm. AP films are almost invariably taken supine, and this has major implications for interpretation. A supine film differs from an erect film in that: • there is an enlarged heart size. • the diaphragm is higher, resulting in an apparent decrease in lung volume. • pleural fluid levels lie vertically, resulting in an opacification of the lung field. • any prominence of upper zone vessels does not suggest left heart failure. 2. Obvious abnormalities and interventions Scan the film and comment on any obvious abnormality or abnormalities. Make a note of any visible chest drains, ECG pads, etc. 3. The skeleton Inspect the ribs, shoulder girdles, and spine. Bones may be more translucent in older people. Check for irregular edges suggestive of fracture, especially in the ribs. Check for areas of relative translucency or opacity in the bones, suggestive of, respectively, lytic and sclerotic bony metastases. Note any extra or missing ribs, e.g. a cervical rib. 4. The soft tissues Inspect the breasts, the chest wall, and the soft tissues of the neck. Look for any distortion, and for any opacities and translucencies. In a female, check for both breast shadows. With unilateral mastectomy, one lung field may appear more translucent than the other. 5. The lungs and hila The lungs: check the lung volumes, then carefully inspect the lung fields for any opacity (e.g. masses, collapse, consolidation, and pleural effusion) or radiolucency (e.g. pneumothorax and bullae). The hila: inspect the hila, the densities created by the pulmonary arteries and the superior pulmonary veins of each lung for any abnormal opacities. The hila ought to be of similar size, shape, and density. Causes of increased size and density (either unilaterally or bilaterally) include lymphadenopathy (e.g. from infection, neoplasia, sarcoidosis) and pulmonary hypertension. Check the positions of the hila: the left hilum should be 2–3 cm higher than its right counterpart. If not, this may suggest lung collapse or dextrocardia. 6. The pleura Systematically check all lung margins, looking for pleural opacity, pleural displacement, and loss of clarity of the pleural edge (the so-called silhouette sign). 7. The diaphragm Inspect the diaphragm and the area underneath it (the pneumoperitoneum). The right hemidiaphragm should be higher than the left. Blunting of the costophrenic angles suggests pleural effusion and/or consolidation. 11-OCSEs-Data_interpretation_5e ccp.indd 307 19/03/2015 13:39
  • 323.
    Clinical Skills for OSCEs 308 Station 109Chest X-ray interpretation 8. The mediastinum and heart Mediastinal shift: inspect the trachea for deviation to one side along with the rest of the mediastinum. An area of collapse draws in the mediastinum; tension pneumothorax pushes it away. Cardiothoracic ratio (CTR): divide the maximal diameter of the heart by the maximal diameter of the chest. In a PA film the CTR should be 0.5 or less. Mediastinum:inspectthetracheaandrightandleftmainbronchi.Theninspecttheaorticarch,thepulmonary artery, and the heart. Are there any abnormal opacities (masses) or translucencies (pneumomediastinum)? Widening of the aorta and pulmonary arteries suggests, respectively, aortic aneurysm and pulmonary hypertension. Blurred or indistinguishable heart borders suggest collapse or consolidation. Remember to look behind the heart shadow for lung masses, a hiatus hernia, and left lower lobe collapse. 9. Summarise your findings Conditions most likely to come up in a chest X-ray interpretation station Pneumonia (see Figure 79) • Consolidation (opacification of variable density), possibly interspersed with air bronchograms (pockets of translucency corresponding to airways that are still filled with air). Unlike with an effusion or collapse, the outline of an area of consolidation is often poorly defined. Air space filling with pus is the hallmark of bacterial pneumonias; viral pneumonias tend to cause a more interstitial pattern and predominantly hazy ground glass opacification. Pneumonia may be accompanied by a pleural effusion. Pleural effusion (see Figure 80) • Depending on the size of the effusion: blunting of the costophrenic angle; obscuring of the outline of the hemidiaphragm; opacification of the inferior hemithorax associated with a meniscus shape of the fluid at its upper, lateral margin; opacification of the entire hemithorax; displacement of the mediastinum to the contralateral side. Pulmonary oedema • In cardiogenic pulmonary oedema, the pattern may include cephalization of the pulmonary vessels, Kerley B lines or septal lines, peribronchial cuffing, perihilar haziness and blurring of the normally sharp hilar vessels, ‘bat’s wing’ haziness, cardiomegaly, pleural effusion. COPD (see Figure 81) • Hyperinflated lungs with flattened hemi-diaphragms, hyperlucent lungs, bullae. Interstitial pulmonary fibrosis • Bilateral reticular or reticulo-nodular pattern, loss of lung volume, honeycomb lung in late stages. Collapse • May be limited to a single lobe. Like pleural effusion, associated with an area of opacity. Loss of lung volume distorts appearance of other structures (including trachea, mediastinum, and diaphragm), which are drawn towards the area of collapse. Pneumothorax (see Figure 82) • Radiolucent area beyond collapsed lung with absence of pulmonary vessel markings beyond the white line of the pleura; in tension pneumothorax, displacement of the mediastinum to the contralateral side, flattening of the hemi-diaphragm, soft tissue emphysema. continued 11-OCSEs-Data_interpretation_5e ccp.indd 308 19/03/2015 13:39
  • 324.
    Data interpretation 309 Station 109 ChestX-ray interpretation Conditions most likely to come up in a chest X-ray interpretation station – continued Tuberculosis • Can manifest as multifocal consolidation or nodules, round relatively opaque areas that are less than 3cm in diameter, with spread to regional lymph nodes. This leads to subsequent scarring with calcification of the lung parenchyma and lymph nodes. Cavitation of the lesions tends to occur late, with the lesions marked by dense walls and dark air-filled centres, sometimes with a fluid level. Miliary TB is associated with small (1–5mm in diameter) miliary nodules throughout the lungs. Lung cancer • May present as a single lesion (primary malignancy or single metastasis) or as multiple lesions (multiple metastases) which can vary greatly in size. Compared to other differentials such as pneumonia, TB, abscess, and benign tumours, malignant lesions are likely to be irregular in shape. They may be associated with collapse, mediastinal shift, and lymphadenopathy. Note that, like TB lesions, malignancies, abscesses, and (occasionally) rheumatoid nodules can cavitate. Rib fractures 11-OCSEs-Data_interpretation_5e ccp.indd 309 19/03/2015 13:39
  • 325.
    Clinical Skills for OSCEs 310 Station 109Chest X-ray interpretation Figure 80. Frontal chest X-ray of adult with a right- sided pleural effusion (marked with arrow). Figure 82. Anterior–posterior chest X-ray of adult with a left pneumothorax which has completely collapsed the left lung. Figure 81. Frontal chest X-ray of a long term smoker with COPD. Figures 79–82 all reproduced from Interpreting Chest X-Rays by Stephen Ellis. Figure 79. Frontal chest X-ray of adult male with pneumonia (marked with arrow). 11-OCSEs-Data_interpretation_5e ccp.indd 310 19/03/2015 13:39
  • 326.
    311 Data interpretation Station 110 Abdominal X-rayinterpretation A systematic approach to interpreting X-rays not only fills out time and impresses the examiner, but also minimises your chances of missing any abnormalities. Before saying anything, it is an excellent idea to spend one minute looking at the X-ray and organising your thoughts. Figure 83. Normal adult supine AP abdominal X-ray. 1. The X-ray • Name, age, and sex of the patient. • Date of the X-ray. • Confirm size of area covered. • PA or AP? (They are usually AP.) • Supine (usual), erect, or lateral decubitus? (Look at gastric air bubble and fluid levels.) • Area covered: the entire length (from diaphragm to pubic symphysis) and breadth of the abdo- men should be visible. • Penetration (lumbar vertebrae should be visible). • Rotation (not normally an issue as most films are taken supine). 11-OCSEs-Data_interpretation_5e ccp.indd 311 19/03/2015 13:39
  • 327.
    Clinical Skills for OSCEs 312 Station 110Abdominal X-ray interpretation 2. Obvious abnormalities, interventions, and artefacts • Scan the film and comment on any obvious abnormality or abnormalities. • Make a note of any clearly visible interventions or artefacts (Table 37). Table 37. Abdominal X-ray: interventions and artefacts Interventions Surgical clips, retained surgical instruments or swabs, nasogastric tube, CVP line, intrauterine contraceptive device, renal or biliary stents, endoluminal aortic stent, inferior vena caval filter Artefacts/other Pyjama bottoms, coins in pockets, body piercings, bullets, drugs (‘bodypackers’), even, unfortunately, small animals 3. Skeleton Inspect the: • Lower rib cage. • Lumbar vertebrae (scoliosis). • Sacrum and sacroiliac joints (sacroiliitis, indicated by blurring, sclerosis, and ankylosis of the sacroiliac joint). • Pelvis. • Hip joints and femora (fractured neck of femur). 4. Organs Inspect the: • Liver (hepatomegaly). • Spleen: usually not visualised. • Kidneys and urinary tract: about three vertebrae in size, the left kidney is higher than the right. • Bladder: not visualised if empty. • Prostate: only visualised if calcified. • Uterus: often not visualised unless it is calcified or an IUD is present. • Psoas muscles: should be visible either side of the vertebral column • Stomach. • Small bowel. • Large bowel. The small and large bowels can be distinguished by their respective sizes, positions, and mucosal markings. The large bowel has a larger diameter and usually sits peripherally, framing a central area containing small bowel loops, not all of which are likely to be visible. Large bowel haustra do not completely traverse the diameter of the large bowel; in contrast, small bowel valvulae conniventes traverse the full diameter of the small bowel. If in any doubt, the large bowel can easily be traced through the hepatic and splenic flexures. 5. Gas, fluid levels, and faecal matter • Gas: depending on its amount and distribution, intraluminal gas may be normal, but intramural or extraluminal gas should be considered abnormal. Intramural gas in an adult usually indicates ischaemic bowel. Free intraperitoneal gas usually indicates bowel perforation. The small bowel should not be greater than 3 cm in diameter, the colon 5 cm in diameter, and the caecum 9 cm in diameter. Look for gas under the diaphragm (pneumoperitoneum), even though this is best visualised on an erect chest X‑ray. 11-OCSEs-Data_interpretation_5e ccp.indd 312 19/03/2015 13:39
  • 328.
    Data interpretation 313 Station 110 AbdominalX-ray interpretation • Fluid levels: a fluid level in the stomach and caecum is a normal finding, but multiple fluid levels in the colon should be considered abnormal. • Faecal matter: the amount and distribution of faecal matter, which is of a mottled grey appear- ance, can be revealing of underlying pathology. 6. Abnormal calcification • Calculi in the kidneys, ureters, bladder, gall bladder, and biliary tree. • Pancreas (chronic pancreatitis). • Kidneys. • Abdominal aorta and arteries. Look for aneurysms. • Costal cartilages, although note that calcification of the costal cartilages is a benign finding in the elderly. • Lymph nodes. 7. Summarise your findings Conditions most likely to come up in an abdominal X-ray interpretation station Faecal impaction or overload • Faecal matter, which is solid, liquid, and gas, has a grey and mottled appearance. Obstruction (mass, stricture, volvulus, intussusception) • Large bowel: proximal dilatation (5cm, and 9cm for the caecum) owing to the accumulation of gas or faeces. An erect or decubitus X-ray may reveal a small number of long fluid levels proximal to the obstruction. Unless the ileocaecal valve is defective, the small bowel is not involved. • Small bowel: proximal dilatation (3cm) owing to the accumulation of gas or fluid. An erect or decubitus X-ray may reveal a large number of short fluid levels at different heights (‘step- ladder’ appearance) proximal to the obstruction. • Volvulus: may yield a grossly distended inverted U-shaped colonic loop, loss of haustra, and the ‘coffee bean’ sign from a doubled-up loop of distended, oedematous sigmoid colon. Introduction of contrast medium may produce the ‘bird’s beak’ sign, which corresponds to tapering of the section of bowel leading to the point of torsion. Volvulus can occur anywhere in the abdominal GI tract but most commonly affects the sigmoid colon. • Intussusception: usually associated with signs of small bowel obstruction. It is commoner in children. • Apple-core sign: not seen without contrast. Produced by a stenosing carcinoma of the colon which causes narrowing at a specific point, reducing the flow of faeces at that point. Paralytic ileus • Shares a similar appearance to mechanical obstruction. However, in many cases, both the small and large bowels are distended. • Can also appear very similar to pseudo-obstruction. Perforation • On an erect abdominal X-ray, there may be sub-diaphragmatic gas especially visible on the right side. This is best visualised on an erect chest X-ray. • On an abdominal X-ray, there may be a circular gas lucency in the central abdomen (football sign). • Normally, only the inner surface of the bowel wall is visible. However, when there is air on both sides of the wall, the outer surface also becomes visible, producing a 3D appearance (Rigler’s sign). 11-OCSEs-Data_interpretation_5e ccp.indd 313 19/03/2015 13:39
  • 329.
    Clinical Skills for OSCEs 314 Station 110Abdominal X-ray interpretation Biliary, renal, or bladder calculi • Gallstones may be seen as laminated, faceted, and often multiple radio-opacities in the right upper quadrant, although only in 10–20% of cases. • Renal calculi may be seen in 80–90% of cases as small, round radio-opacities along the urinary tract; they often obstruct at the level of the pelviureteric junction, pelvic brim or vesicoureteric junction. The urinary tract is visualised by looking along the transverse processes of the vertebrae, across the sacroiliac joint to the level of the ischial spine. • Bladder calculi may be seen as often large and multiple radio-opacities in the pelvic region. • Note that calcified costal cartilages, pelvic phleboliths (areas of calcification in veins in the pelvis), and calcified lymph nodes can all be mistaken for calculi. Appendicolith • Small, round, calcified radio-opacity in the region of the right Iliac fossa. Inflammatory bowel disease • Both Crohn’s disease and ulcerative colitis result in inflammation and oedema of the bowel wall and thus, in general, thickening. In the large bowel, this increases the size of the haustral folds, leading to ‘thumbprinting’. • Note that infection and ischaemic colitis can also lead to thumbprinting. Abdominal aortic aneurysm • The aorta is not normally visible, but with age can become calcified. Bulging on one or both sides may indicate an aneurysm. Artefacts (see Table 37) Learn their signs, especially the barn-door ones such as apple-core and bird’s beak. 11-OCSEs-Data_interpretation_5e ccp.indd 314 19/03/2015 13:39
  • 330.
    315 Prescribing and administrative skills Station 111 Requesting investigations Requestforms for laboratory investigations (biochemistry, haematology, blood grouping and transfusion, microbiology, cellular pathology, immunology) and radiological investigations differ considerably from one hospital trust to another, so try to familiarise yourself with your local ones. Once you have seen the forms, they are actually pretty self-explanatory. Note that in most hospitals, investigations are ordered on a computer screen and paper forms are only used as a back-up. On most forms you typically need to provide details about the: Patient • Last and first names. • Sex (usually ‘M’ or ‘F’, but sometimes ‘U’ for ‘unknown’). • Date of birth. • Hospital number and NHS number. Use the patient’s full name, e.g. ‘Dorothy’, not ‘Dot or ‘Dottie’. It is usually possible to omit the patient’s hospital number and NHS number, but this is not best practice. Request • The ward or department that the report needs to go to (‘Location for report’). Sometimes you are also able to specify a ward or department for a second copy of the report to go to (‘Copy report’). • The speciality on behalf of which you are ordering the investigation, e.g. AE, surgery. • The name of the patient’s consultant. If this is unclear, you can normally write the name of the consultant on take or on call. • The patient’s category (e.g. NHS, private, trial). • The requesting doctor’s name and signature. • The requesting doctor’s bleep or telephone number. Specimen • The type of specimen, e.g. blood, urine, sputum, other. • Date and time of collection. • The (anatomical) site of collection. Clinical details • The patient’s clinical details, e.g. – – chest pain, SOB, ECG changes, ? MI – – pyrexia of unknown origin, ? cause – – acute psychosis, due to start antipsychotic medication • If the investigations are urgent, you can write ‘Urgent please’. If the investigations are really urgent, take the sample and request form to the laboratory and speak to the technician in person. 12-OCSEs-Prescribing_Admin_5e ccp.indd 315 19/03/2015 10:37
  • 331.
    Clinical Skills for OSCEs 316 Station 111Requesting investigations On radiology request forms, you generally need to provide more precise clinical details, and write down what questions the examination should answer. You also need to specify the patient’s transport (e.g. walking, chair, stretcher, bed) and other (e.g. oxygen, drip, escort) needs, and fill in a short risk assessment that is often in the form of a tick box list of questions (e.g. pregnancy, breast-feeding, allergies – yes/no). Investigations requested This obviously depends on the clinical situation. Commonly ordered laboratory and radiological investigations include FBC, haematinics, group and save, UEs, LFTs, TFTs, glucose, lipids, CRP, ESR, amylase, D-dimers, blood cultures, MCS, CXR, and AXR. Figure 84. A typical request form for laboratory investigations. Note that, in this hospital, biochemistry and haematology investigations are requested on the same form. After completing the request form Before you take the specimen, confirm the patient’s name and date of birth. For blood specimens, most hospitals use a purple specimen tube for haematology, a pink tube for group and save and cross- matching, a yellow tube for biochemistry (e.g. UEs, LFTs, TFTs, CRP, lipids), a grey tube for glucose, and a light blue tube for coagulation screen. Label the specimen tubes using a black ball-point pen, ensuring that the information on the label matches that on the request form. Place the labelled specimen tube into the bag on the reverse of the request form, remove the protective strip, and fold the flap onto the bag so as to seal it. Note that blood cultures require two ‘blood bottles’ with specific media for aerobic and anaerobic organisms (see Station 5). PATIENT REQUEST SPECIMEN BLOOD URINE CSF NHS M F U CAT 2 PRIVATE TRIAL OTHER... OTHER... CLINICAL DETAILS RISK LABORATORY USE HAEMATOLOGY INVESTIGATIONS BIOCHEMISTRY INVESTIGATIONS TYPE FOR COPY REPORT REQUESTING DR. PATIENT CATEGORY CONSULTANT/G.P. SPECIALITY/PRACTICE LOCATION FOR REPORT LAST NAME FBC Other: Warfarin Control Heparin Control Phoned: Time: FIRST NAME DATE OF BIRTH SEX NHS NUMBER BLEEP/PHONE DATE TIME 12-OCSEs-Prescribing_Admin_5e ccp.indd 316 19/03/2015 10:37
  • 332.
    Prescribing and administrative skills 317 Station 111 Requestinginvestigations VACUTAINER TUBE GUIDE – Draw tubes in the order given Haemoguard Stopper Tube Content Determinations SODIUM CITRATE 1:9 Coagulation Screen, Prothrombin Time (INR), APTT, Thrombophilia Screen, Lupus Anticoagulant Screen PLAIN (No Additive) Anti-Cardiolipin antibodies SST All Biochemistry Tests not mentioned elsewhere (1 Tube), Microbiology (1 Tube) HEPARIN Chromosome Studies, Lead, Amino Acids, Troponin EDTA FBC, Reticulocytes, Sickle Screen, Haemoglobinopathy Screen, G6PD, GF Test, Viscosity, Malarial Parasites, RBC Folate, ZPP, Marker Studies, Lead, Mercury Complement, Glycosylated Haemoglobin EDTA (cross match) Blood Group, Save Serum, Crossmatch, Antibody Screening, Cord Blood Samples FLUORIDE/ OXALATE Glucose, Ethanol (Alcohol), Lactate SODIUM HEPARIN Copper, Selenium, Zinc Figure 85. Specimen tube guide. Note that the colours used may differ from one hospital trust to another. 12-OCSEs-Prescribing_Admin_5e ccp.indd 317 19/03/2015 10:37
  • 333.
    Clinical Skills for OSCEs 318 Station 112 Drugand controlled drug prescription Before prescribing a drug • Look at the patient’s medical notes. In particular, is there any hepatic or renal impairment/ failure? • Find out if he is on any other drugs, and consider possible interactions. • Ask him if he has any allergies and document these in the medical notes. • Explain to him the reason for recommending the drug, its likely beneficial effects, and its common or dangerous side-effects. Prescribing a drug • Write legibly and in black ink. • Avoid all abbreviations other than those that are in common usage (see Table 38). • Use generic names (unless a particular drug preparation is required). Table 38. Latin abbreviations commonly used in prescribing drugs Abbreviation Latin English OD omni die once a day BD bis in die twice a day TDS ter die sumendus three times a day QDS quarter die sumendus four times a day QQH quarta quaque horae every four hours AC ante cibum before food PC post cibum after food OM omni mane every morning ON omni nocte every night PRN pro re nata as required Stat. statim at once Include: • The date. • The full name, address, and date of birth of the patient. • The age of the patient if he is a child under the age of 12. • The generic name and formulation of the drug – prefer generic names unless a particular prepa- ration is required. • The dose and frequency – avoid decimal points, e.g. 500 mg and not 0.5 g, and superfluous zeros, e.g. 4 mg and not 4.0 mg; if prescribing in micrograms, spell out ‘micrograms’ in full. • For PRN or ‘as required’ drugs, the minimum dose interval, e.g. cyclizine 5 mg 8 hourly. • The quantity to be supplied. • The signature of a registered medical practitioner. Any alterations or mistakes should also be signed (or at least initialled). 12-OCSEs-Prescribing_Admin_5e ccp.indd 318 19/03/2015 10:37
  • 334.
    Prescribing and administrative skills 319 Station 112 Drugand controlled drug prescription Prescribing a controlled drug In your own handwriting, include: • The date. • The full name, address, and date of birth of the patient. • The generic name of the drug. • The formulation and strength of the preparation. • The required dose of the drug, frequency, and number of days it is to be taken. • The total amount of the preparation, or the total number of dose units in both words and figures. • Your signature and address. December 12, 2015. Mr John Adam Smith 42 West Register Street London XXXX XXX Date of birth: 01/09/1972 Methadone 10mg tablets 10mg TDS for 7 days 210mg, two hundred and ten milligrams in total. Signed: Dr Peter Brown The Best Hospital London XXXX XXX Prescribing on a hospital drug chart • Hospital drug charts vary slightly from one hospital to another, so be familiar with your local ones. Most drug charts have four main sections, for regular drugs, PRN drugs, ‘once-only’ drugs, and fluids. • Always write in black ink and in block capitals. • Write at least the patient’s name, date of birth, and any allergies/adverse reactions on every page of the drug chart. • If prescribing a set course of medication, e.g. a 7-day course of antibiotics, cross off subsequent days so as to ‘gate’ the prescription. • Sign and date every prescription. If re-writing a drug chart, the date is not the date today, but the date on which the drug was first prescribed. • Record any changes you have made in the patient’s case notes. • Fluids and drugs such as oxygen, insulin and anticoagulants are sometimes prescribed on sepa- rate documents, and it is important to ensure that these documents do not become separated from the drug chart. Avoidprescribingdrugsyouareunfamiliarwith,highriskdrugssuchasanticoagulantsand sedatives, and parenteral drugs without first consulting the British National Formulary and senior colleagues. SPECIMEN 12-OCSEs-Prescribing_Admin_5e ccp.indd 319 19/03/2015 10:37
  • 335.
    Clinical Skills for OSCEs 320 Station 112Drug and controlled drug prescription Example for a regular drug PRESCRIPTION Patient’s Own Medicine For use Date Time 6 8 12 14 18 22 Medicine (Approved Name) Quantity Route Dose Date Notes Start Date Pharmacy Prescriber – sign + print LANZOPRAZOLE 30 mg ORAL AB AB AB AB AB AB 1 /7 /08 2 /7 /08 3 /7 /08 4 /7 /08 5 /7 /08 6 /7 /08 7 /7 /08 8 /7 /08 1/7/15 ADoctor A DOCTOR Example for a PRN drug PRESCRIPTION AS REQUIRED THERAPY Patient’s Own Medicine For use Date Time Dose /Route Initials Date Time Dose /Route Initials Medicine (Approved Name) Quantity Route Dose + Frequency Date Notes Start Date Pharmacy Prescriber – sign + print PARACETAMOL 1 g 4–6 hourly Max 4 g/24 hrs FOR PAIN PO/BR 1/7/15 ADoctor A DOCTOR Example for a once-only drug Date Time Medicine (Approved Name) Dose Route Prescriber – Sign + Print Time Given Given By ONCE ONLY 1/7/15 1/7/15 0800 0800 1.5 g 500 mg IV IV ADoctor A DOCTOR ADoctor A DOCTOR CEFUROXIME METRONIDAZOLE 0800 0800 AB AB 12-OCSEs-Prescribing_Admin_5e ccp.indd 320 19/03/2015 10:37
  • 336.
    Prescribing and administrative skills 321 Station 112 Drugand controlled drug prescription Example for fluids INFUSION THERAPY Date Infusion solution Additives and dose Volume Rate Route Sign Time Given Given By 1/07/15 1/07/15 1/07/15 1 l 1 l 1 l 8º 8º 8º IV IV IV A Doctor A Doctor A Doctor 0800 AB Normal saline Normal saline 5% Dextrose None None 20 mmol KCI After prescribing a drug • If you haven’t done so already, give the patient instructions for taking the drug. • Ask the patient is he has any questions or concerns. Table 39. Some commonly prescribed drugs and their adult dosages Name Dose Frequency Route(s) Analgesics Paracetamol 1 g 4–6 h, max 4 g/24 h PO/PR Diclofenac 50 mg TDS PO/PR Ibuprofen 400 mg QDS PO Cocodamol 8/500 or 30/500 2 tabs QDS PO Codeine phosphate 30–60 mg 4 h, max 240 mg/24 h PO/IM Tramadol 50–100 mg 4 h PO/IM/IV Morphine 5–10 mg 4 h PO/IM/SC Antibiotics Trimethoprim 200 mg BD PO Penicillin V 250–500 mg QDS PO Penicillin G 300–600 mg QDS IV Amoxycillin 250–500 mg TDS PO Co-amoxiclav 250/125 or 500/125 1 tab TDS PO Flucloxacillin 25–500 mg QDS PO Cefuroxime 250–500 mg BD PO Cefuroxime 750 mg–1.5 g TDS IV/IM Ciprofloxacin 250–750 mg BD PO Clarithromycin 250–500 mg BD PO Erythromycin 250–500 mg QDS PO Metronidazole 400 mg TDS PO continued 12-OCSEs-Prescribing_Admin_5e ccp.indd 321 19/03/2015 10:37
  • 337.
    Clinical Skills for OSCEs 322 Station 112Drug and controlled drug prescription Table 39. Some commonly prescribed drugs and their adult dosages – continued Name Dose Frequency Route(s) Anticoagulants Tinzaparin DVT prophylaxis 3500 U OD SC Tinzaparin DVT/PE treatment 175 U/kg OD SC Dalteparin DVT prophylaxis 2500–5000 U OD SC Dalteparin DVT/PE treatment 200 U/kg OD SC Warfarin As per hospital protocol and INR monitoring Antiemetics Cyclizine 50 mg TDS PO/IM/IV Metoclopramide 10 mg TDS PO/IM/IV Antihistamines Desloratadine 5 mg OD PO Cetirizine 5–10 mg OD PO Hypnotics Temazepam 10–20 mg ON PO Zopiclone 3.75–7.5 mg ON PO Proton pump inhibitors and antacids Lansoprazole 15–30 mg OD PO Omeprazole 20–40 mg OD PO Gaviscon® 10–20 ml TDS PO Triple therapy (7 days) Lanzoprazole 30 mg BD PO Amoxicillin 1 g BD PO Clarithromycin 500 mg BD PO Laxatives Lactulose 15 mls BD PO Senna 2 tabs ON PO Glycerin suppository 1–2 PRN PR Phosphate enema 1 PRN PR Movicol 1–3 sachets/day Divided doses PO Other drugs Aspirin prophylaxis 75 mg OD PO Simvastatin 10–40 mg ON PO Bendrofluazide 2.5 mg OD PO Lisinopril 2.5–20 mg OD PO ¸ ˝ ˛ 12-OCSEs-Prescribing_Admin_5e ccp.indd 322 19/03/2015 10:37
  • 338.
    323 Prescribing and administrative skills Station 113 Oxygen prescription Table40. Guide to oxygen masks Type of mask Oxygen concentration Indications Low flow masks Deliver a variable concentration of oxygen Nasal cannula Simple face mask Partial rebreather mask Non-rebreather mask 24–44% depending on the flow rate* Up to 60% at 6–10 l/min 60–80% at 10 l/min Up to 95% at 15 l/min Patients with mild hypoxia who are otherwise stable; long-term domiciliary treatment Acutely breathless patients As above As above High flow (Venturi) masks Deliver a fixed concentration of oxygen 24–60% in steps depending on the valve used (see Table 41) ‘Carbon dioxide retainers’ in whom oxygen control is a requirement** * For every litre of flow delivered up to 6 litres, the oxygen concentration increases by about 4%, e.g. at 4 l/min, oxygen concentration is 36%. **Note that the commonest cause of a high PaCO2 is not carbon dioxide retention but ventilatory failure, in which the patient requires a high concentration of oxygen. Table 41. Venturi mask valves Valve colour Flow rate (l/min) Oxygen delivered (%) Blue White Yellow Red Green 2 4 6 8 12 24 28 35 40 60 Before starting • Introduce yourself to the patient, and confirm his name and date of birth. • Explain the need for oxygen and obtain consent. • Quickly eyeball the equipment around you. There should be a selection of oxygen masks and Venturi valves. The procedure • Determine the patient’s oxygen saturation using a pulse oximeter, and comment upon it. • Tell the examiner that you would like to take an arterial blood gas sample. At this point, the examiner is likely to provide you with an arterial blood gas reading. 12-OCSEs-Prescribing_Admin_5e ccp.indd 323 19/03/2015 10:37
  • 339.
    Clinical Skills for OSCEs 324 Station 113Oxygen prescription • Interpret the arterial blood gas reading (see Station 107). • Select the appropriate piece of equipment and assemble it by connecting one end of the tubing to the piece of equipment and the other end to the oxygen source. • Adjust the oxygen flow rate as appropriate. • Apply the equipment to the patient, ensuring a tight yet comfortable fit. • Tell the examiner that you would like to take a second arterial blood gas sample after a certain period of time. If the examiner provides you with a second arterial blood gas reading, interpret it and make the appropriate changes (if any). After the procedure • Record the instructions and sign the prescription chart. • Ask the patient if he has any questions or concerns. • Thank the patient. 12-OCSEs-Prescribing_Admin_5e ccp.indd 324 19/03/2015 10:37
  • 340.
    325 Prescribing and administrative skills Station 114 Death confirmation Specifications:A mannequin in lieu of a cadaver (!) • Take a history from a nurse (or indicate that you would do so) and consider the need for resus- citation. • Ask for the patient’s notes. • Confirm the patient’s identity: check his name tag. • Observe the patient’s general appearance and note the absence of respiratory movements. • Ascertain that the patient does not rouse to verbal or tactile stimuli, such as pressure on a nail- bed. • Confirm that the pupils are fixed and dilated. • Use an ophthalmoscope to examine the fundi for segmentation of the retinal columns (‘rail- roading’ or ‘palisading’). • Feel for the carotid pulses on both sides. • Feel for the radial pulses. • Feel for the femoral pulses. • Auscultate over the precordium. Indicate that you would listen for one minute. Note whether the patient has a pacemaker or not (you can always look at a recent chest X-ray if you are unsure). • Auscultate over the lungs. Indicate that you would listen for 3 minutes. • Wash your hands. If any of your findings are non-corroboratory, you must consider the need for resuscitation. • Make an entry in the patient’s notes. Remember to include the time and date of death, and your examination findings. • Indicate that you would: – – consider the need for a post-mortem (see Station 115: Death certificate completion) – – complete a death certificate (see Station 115) – – inform the patient’s GP and next of kin of the patient’s death 12-OCSEs-Prescribing_Admin_5e ccp.indd 325 19/03/2015 10:37
  • 341.
    Clinical Skills for OSCEs 326 Station 115 Deathcertificate completion Legally, you can only fill in the death certificate if you have seen the patient in his last 14 days. Once the certificate is completed, it should be taken to the Registrar of Births and Deaths, usually by the patient’s next of kin. Before starting You should understand the patient’s history and the circumstances surrounding his death. You should have seen the patient’s cadaver to confirm his death (or had the cadaver seen by a medically qualified colleague), noted if he had a pacemaker or radioactive implant, phoned his GP, and considered the need for a post-mortem examination (see Table 42). Filling in the death certificate In black ink, and as clearly and precisely as possible: • Fill in the patient’s: – – name – – date of death – – age – – place of death • Fill in the date on which you last saw the patient alive. • Circle one of the following statements: 1. the certified cause of death takes account of information obtained from post-mortem 2. information from post-mortem may be available later 3. post-mortem not being held 4. I have reported this death to the Coroner for further action • Circle one of the following statements: a) seen after death by me b) seen after death by another medical practitioner but not by me c) not seen after death by a medical practitioner • Fill in the cause of death: the disease that led directly to the patient’s death is entered in Section I (a). The diseases that led to the disease entered in Section I (a) are entered in Sections I (b) and I (c). • Fill in other significant diseases contributing to the death but not related to the disease having caused it in Section II. • Tick the box if the death is related to employment. • Sign the death certificate, fill in the date of issue, and print your name and medical qualification(s). • Fill in the name of the consultant responsible for the overall care of the patient. • Fill in the Counterfoil: record the patient’s details and circumstances of death. • Fill in the Note to Informant, and give it to the next of kin. 12-OCSEs-Prescribing_Admin_5e ccp.indd 326 19/03/2015 10:37
  • 342.
    Prescribing and administrative skills 327 Station 115 Deathcertificate completion Table 42. Some reasons for referral to the coroner • The cause of death is uncertain. • The cause of death is due to industrial disease. • The cause of death is suspicious. • The cause of death is accidental. • The cause of death is violent. • The death is related to surgery or anaesthesia. • A doctor has not attended in the 14 days prior to the patient’s death. 12-OCSEs-Prescribing_Admin_5e ccp.indd 327 19/03/2015 10:37
  • 343.
    Clinical Skills for OSCEs 328 Station 115Death certificate completion 12-OCSEs-Prescribing_Admin_5e ccp.indd 328 19/03/2015 10:37
  • 344.
    Prescribing and administrative skills 329 Station 115 Deathcertificate completion Figure 86. Copy of death certificate. 12-OCSEs-Prescribing_Admin_5e ccp.indd 329 19/03/2015 10:38
  • 345.
    Clinical Skills for OSCEs 330 Station 116 Explainingskills These skills can be used to explain a common condition, to explain an investigation, or to explain a procedure or treatment. They can also be used in your private life, although it may then be unwise to draw a diagram or hand out a leaflet. What to do • Introduce yourself. • Summarise the patient’s presenting symptoms. • Tell the patient what you are going to explain. • Determine how much the patient already knows. • Determine how much the patient would like to know. • Elicit the patient’s main concerns (ICE). • Deliver the information. – – for a medical disorder: aetiology, epidemiology, clinical features, investigations/treatment, prognosis – – for a pharmacological treatment: name, mechanism of action, procedure involved (dose, route of administration, frequency, precautions), principal benefits, principal side-effects, principal contraindications, alternatives including no treatment – – for an investigative procedure: purpose, description of the procedure, principal risks, alterna- tives including no investigation, preparation required, results – – for a surgical procedure: purpose, description of the procedure, principal risks, alternatives including no surgery, preparation required, anaesthetic procedure, post-operative care (e.g. recovery room, oxygen, blood pressure monitoring, etc.), analgesia • Summarise and check understanding. • Encourage and address questions. How to do it • Be empathetic. • Explore the patient’s feelings. • Give the most important information first. • Be specific. • Regularly check understanding. • Pitch the explanation at the patient’s level. Use simple language and short sentences. If using a medical or technical term, explain it in layman’s terms. • Use diagrams, if appropriate. • Use props or anatomical models, if appropriate. • Hand out a leaflet. • Be honest. If you are unsure about something, say you will find out later and get back to the patient. What not to do • Hurry. • Reassure too soon. • Be patronising. • Give too much information. • Use medical jargon. • Confabulate (make things up). 13-OCSEs-Communication_skills_5e ccp.indd 330 19/03/2015 08:34
  • 346.
    Communication skills 331 Station 116 Explainingskills “Really, now you ask me,” said Alice, very much confused, “I don’t think –” “Then you shouldn’t talk,” said the Hatter. Alice’s Adventures in Wonderland: A Mad Tea-Party Lewis Carroll Some of the medical disorders, pharmacological treatments, investigative procedures, and surgical procedures that you may be asked to explain in an OSCE Information can be obtained from websites such as: www.patient.co.uk http://besthealth.bmj.com/ Medical disorders • Asthma. • Diabetes. • Hypertension. • Angina. • Dementia. • Miscarriage. • Osteoarthritis/rheumatoid arthritis. Pharmacological treatments • Statins. • Antibiotics. • Asthma inhalers. • Corticosteroids. • Insulin. • Antihypertensives. • Antidepressants. • Analgesics. • Glyceryl trinitrate. • Contraceptive pill (emergency pill, combined pill, progestogen-only preparations). • Pessaries and suppositories. • Skin preparations, e.g. emollient, steroid cream, sunscreen. Investigative procedures • Chest or abdominal X-ray. • CT scan. • MRI scan. • Ultrasound scan. • Echocardiography. • Flexible bronchoscopy. • Ventilation/perfusion scan. • Spirometry. • Oesophagogastroduodenoscopy (OGD). 13-OCSEs-Communication_skills_5e ccp.indd 331 19/03/2015 08:34
  • 347.
    Clinical Skills for OSCEs 332 Station 116Explaining skills • Barium swallow/meal/follow-through. • Barium enema. • Flexible sigmoidoscopy. • Colonoscopy. • Cystoscopy. Surgical procedures • Angioplasty. • Laparoscopic cholecystectomy. • Endoscopic retrograde cholangiopancreatography (ERCP). • Inguinal hernia repair. • Transurethral resection of the prostate (TURP). • Hip/knee replacement. • Varicose vein stripping. 13-OCSEs-Communication_skills_5e ccp.indd 332 19/03/2015 08:34
  • 348.
    333 Communication skills Station 117 Imaging testsexplanation Read in conjunction with Station 116: Explaining skills. • Introduce yourself to the patient, and confirm his name and date of birth. • State the imaging test required and its indication, e.g. “We ought to take an X-ray of your leg to see if it’s broken.” • Check the patient’s current understanding, e.g. “Have you ever had an X-ray before?” • Explain what the test involves (see below). • Highlight any special preparation involved, e.g. fasting for a certain period prior to the test. • Check the patient’s understanding. • Ask whether he has any questions or concerns. • If possible, tell him where and when the test will take place. • If possible, give him a leaflet. • Thank him. • Document your conversation. X-ray What the patient should know • An X-ray is a picture of the bones and surrounding tissues that is produced by exposure to a small amount of radiation. • We are all exposed to sources of natural radiation throughout our lives. A chest X-ray or an X-ray of your arm or leg is the equivalent of a few days’ worth of background radiation, and has a less than 1 in 1000000 chance of causing cancer. • The radiographer will ask you to stand against a flat surface or lie on a table. • He or she will then stand behind another screen and take a picture of e.g. your leg with the X-ray machine. • The procedure takes 5–10 minutes, but your leg will only be exposed to X-rays for a fraction of a second. It is completely painless. • You must tell the radiographer if there is any chance that you are pregnant. X-rays are not thought to pose a risk to an unborn baby, but, out of precaution, X-rays that target the womb are not recommended unless there’s a clear need for them. • A radiologist will study your X-ray and discuss it with you or send a report to your GP. What you should also know • X-rays have a higher frequency than light and pass through the human body. • Radiographs are produced by directing X-rays through the relevant part of the body, which is placed in front of a photographic plate. • In the past, the photographic plate used the same type of film as a traditional camera, but nowadays the plate is more often connected to a computer so that a digital image can be taken. • Radiographs are commonly used to detect bone fractures, and to investigate cardiac, respira- tory, and abdominal conditions, among others. • As X-rays pass through the body, energy particles (photons) are absorbed at different rates. Metalwork absorbs most radiation so appears bright white. Bone appears white, soft tissues (e.g. organs) appear grey, fat appears dark grey, and air appears black. • Contrast material can be used to improve visibility of internal organs, e.g. iodine to look at ves- sels in the heart (angiogram) or barium to look at the GI tract (barium swallow for the oesopha- gus, barium meal for the stomach, barium follow-through for the stomach and small bowel, and barium enema for the large bowel). 13-OCSEs-Communication_skills_5e ccp.indd 333 19/03/2015 08:34
  • 349.
    Clinical Skills for OSCEs 334 Station 117Imaging tests explanation • A radiograph that uses contrast material involves the equivalent of a few years’ worth of back- ground radiation (considerably more than a chest radiograph), and has a 1 in 1000–10000 chance of causing cancer. Ultrasound scan (USS) What the patient should know • A USS uses high-frequency sound waves to create an image of part of the inside of the body. Radiation is not used. • The test will take place in the X-ray department (usually) and be performed either by a doctor or a sonographer. • The operator will ask you to lie on a bed and move a handheld transducer over the area of the body to be examined. • Prior to that, he or she will apply some lubricating gel over the skin. The gel improves contact between the transducer and the skin and also enables the transducer to move more smoothly. • The transducer is connected to a computer and monitor. Pulses of sound are sent from the transducer into your body. They then bounce back from the structures inside your body to be displayed as a moving image on the monitor. • The procedure takes 15–45 minutes. • It is completely painless and harmless (both to you and your baby). • A report will be sent to your GP. What you should also know • Commonly used for antenatal scans; to image the heart (echocardiogram) and other organs, e.g. liver, breast, thyroid; and to guide biopsies. • Depending on the scan, it may be necessary for the patient to be fasted or to have a full bladder. • Some parts of the body are not suitable for ultrasound scanning since ultrasound waves cannot pass through bone, air, or gas. • There are different types of scan: – – external ultrasound (US) – – internal US: to look more closely at certain organs, e.g. prostate, ovaries – – endoscopic US: to look more closely at certain areas, e.g. oesophagus, stomach – – Doppler US: to assess flow of blood through vessels – – duplex US: combines grey scale and colour Doppler ultrasound to look at both the structure of the vessels and the flow of blood through them Computerised tomography (CT) scan What the patient should know • A CT scan involves taking a series of X-rays and using a computer to build up detailed images of the inside of the body. • This does involve exposure to radiation, but the potential benefits of the scan outweigh the potential risks. • You may be asked to change into a gown and to remove metallic objects such as jewellery, dentures, hairpins, and so on. • The radiographer will ask you to lie on your back on a bed that will be moved in and out of the scanner. The scanner resembles a large ring or doughnut and contains an X-ray unit that will rotate around you. • You must keep as still as possible during the scan. At certain times, you might be asked to breathe in, breathe out, or hold your breath. • The radiographer will be operating the scanner from an adjacent room. However, he or she 13-OCSEs-Communication_skills_5e ccp.indd 334 19/03/2015 08:34
  • 350.
    Communication skills 335 Station 117 Imagingtests explanation will be able to see you and communicate with you through an intercom. You can also ask for a friend or relative to be with you in the same room. • The procedure takes 5–10 minutes. • It is completely painless. • You must tell the radiographer if there is any chance that you are pregnant. • Your scan will be examined by a radiologist and may be discussed by other specialists. A report will be sent to the doctor who ordered the scan and to your GP. What you should also know • With CT scanning, digital geometry processing is used to generate a three-dimensional image of the inside of the body from a large series of two-dimensional radiographic images (‘slices’) taken around a single axis of rotation. • CT scans are often used after serious accidents to look for internal injuries, and to prepare for further tests and treatment. • Common types of CT scan include head (e.g. for investigating brain tumours, haemorrhages, or stroke), abdominal, vascular, and bone scans. • Contrast material can be given through various routes, and might be used to highlight certain structures. • CT scans can expose the patient to significant radiation: a whole body scan is equivalent to 4.5 years’ background radiation. Magnetic resonance imaging (MRI) What the patient should know • An MRI uses strong magnets and radio waves to create detailed images of inside the body. Radiation is not used. • You will most likely be asked to change into a gown. Because of the strong magnets, it’s impor- tant to remove any metal objects from your body, including piercings, dentures, and hearing aids. • The scanner looks like a tube or tunnel. • The radiographer will ask you to lie on a bed which slides into the scanner. You may find this uncomfortable if you suffer from claustrophobia, particularly if you have to go head first into the scanner. • The scanner may be quite noisy so you will be given earplugs or headphones to wear. • In some cases, a frame containing receivers may be placed over the part of the body being scanned. The purpose of the frame is to improve image quality. • You must keep as still as possible during the scan. At certain points, you might also be asked to hold your breath. • The radiographer will be operating the scanner from an adjacent room. However, he or she will be able to see you and communicate with you through an intercom. You can also ask for a friend or relative to be with you in the same room. • The procedure takes 15–90 minutes. • It is completely painless and harmless. • Your scan will be examined by a radiologist and may be discussed by other specialists. A report will be sent to the doctor who ordered the scan and to your GP. What you should also know • Often used as a second-line when other imaging tests have been unable to provide sufficient information. • The magnetic field causes protons in hydrogen atoms in the body to align. Short bursts of radio waves then knock the protons out of alignment. When the radio waves are turned off, the 13-OCSEs-Communication_skills_5e ccp.indd 335 19/03/2015 08:34
  • 351.
    Clinical Skills for OSCEs 336 Station 117Imaging tests explanation ­ protons realign, and, in doing so, emit radio signals which are picked up by receivers. Protons in different tissue types realign at different speeds, producing distinct signals. • MRI can be used to examine almost any part of the body, but, because of the strong magnets, may be contraindicated in people with an IUD, pacemaker, artificial heart valve, prosthetic joint, or other metal-containing implants and fragments. As a precaution, MRI scans are not usually recommended during pregnancy, although there is no evidence to suggest that they are harm- ful to the embryo or foetus. • Sedatives can be provided for people with claustrophobia and general anaesthetic for young children and babies. • Depending on the scan, the patient may be asked not to eat and drink for up to four hours beforehand, or to drink a large amount of water. • In some cases, a contrast material, typically gadolinium, may be injected intravenously to enhance the appearance of certain details. • Functional MRI (fMRI) measures the haemodynamic response to transient neural activity result- ing from a change in the ratio of oxyhaemoglobin and deoxyhaemoglobin, and is used to map neural activity in the brain or spinal cord. 13-OCSEs-Communication_skills_5e ccp.indd 336 19/03/2015 08:34
  • 352.
    337 Communication skills Station 118 Endoscopies explanation Readin conjunction with Station 116: Explaining skills. • Introduce yourself to the patient, and confirm his name and date of birth. • State the test required and its indication, e.g. “To help ascertain the cause of your bleeding, we would like to look at the inside of your stomach with a small telescopic camera.” • Check the patient’s current understanding, e.g. “Have you ever had this done before?” • Explain what the test involves (see below). • Highlight any special preparation involved, e.g. fasting for a certain period prior to the test. • Check the patient’s understanding. • Ask whether he has any questions or concerns. • If possible, tell him where and when the test will take place. • If possible, give him a leaflet. • Thank him. • Document your conversation. [Note] The most common endoscopies to come up in OSCEs are oesophagogastroduodenoscopy and colonoscopy. Oesophagogastroduodenoscopy (OGD, gastroscopy, upper endoscopy) What the patient should know • The procedure involves passing a thin, flexible tube or scope down into the stomach. • This is often carried out under sedation, meaning that you may be very drowsy. In addition or alternatively, your throat may be numbed with a local anaesthetic spray. • You will be asked to lie down on your left-hand side. • The endoscopist will place the scope in the back of your mouth and require your co-operation as he or she gently guides it down your gullet and into your stomach. • The scope carries a light and camera and relays images back to a monitor. If need be, it can also be used to take tissue samples and even to stretch the gullet or stop bleeding. • The procedure itself usually takes about 15 minutes and is very safe. (For a diagnostic OGD, seri- ous complications such as bleeding occur in fewer than 1 in 1000 cases; for a therapeutic OGD, in fewer than 1 in 100 cases.) • After the procedure, you will be taken to a recovery room where you can remain until the effects of the sedation have worn off. • If you are discharged, as is likely, you should arrange for someone to take you home and stay with you for a day or so. If any complications arise, he or she should take you to AE. Owing to the sedative, do not drive, operate heavy machinery, or drink alcohol for 24 hours after the procedure. • The results of the procedure will be discussed with you by your referring doctor or your GP, who will be sent a copy of the results. • Prior to the procedure, you should not eat or drink anything for at least four hours. If you are on any prescribed medicines for indigestion, you should stop taking them for at least two weeks (this does not also apply to antacids). Also, do let the endoscopy unit know if you are on any diabetes or blood-thinning medication. 13-OCSEs-Communication_skills_5e ccp.indd 337 19/03/2015 08:34
  • 353.
    Clinical Skills for OSCEs 338 Station 118Endoscopies explanation What you should also know • OGD is used to look for lesions in the oesophagus, stomach, or duodenum. It can also be used to take biopsies and perform therapeutic and palliative interventions e.g. repair bleeding ulcers or veins, dilate the oesophagus, remove polyps and early-stage tumours, or provide nutrients. • Common indications include dysphagia, dyspepsia, haematemesis, melaena, malabsorption, persistent abdominal pain, and unexplained weight loss. • Complications include pain, bleeding, perforation, infection, and sore throat. Colonoscopy What the patient should know • Colonoscopy involves passing a thin, flexible tube or scope through the back passage and into the colon or large bowel. • This is often carried out under sedation, meaning that you may be very drowsy. • You will be asked to lie down on your left-hand side. • After performing a digital rectal examination, the operator will gently push the scope through the back passage and into the colon. • Air will be passed up a channel in the scope to make the colon easier to visualise. This may make you feel cramped or bloated, which is normal. • The scope carries a light and camera and relays images back to a monitor. If need be, it can also be used to take tissue samples and even to remove small lumps of tissue or stop bleeding. • The procedure itself usually takes about 20–30 minutes and is very safe. • After the procedure, you will be taken to a recovery room where you can remain until the effects of the sedation have worn off. • If you are discharged, as is likely, you should arrange for someone to take you home and stay with you for a day or so. If any complications arise (for example, pain, passing blood, or fever), he or she should take you to AE. Owing to the sedative, do not drive, operate heavy machin- ery, or drink alcohol for 24 hours after the procedure. • The results of the procedure will be discussed with you by your referring doctor or your GP, who will be sent a copy of the results. • The colon needs to be empty for the procedure, and you will have to go on a special diet for the few days leading up to the test. You will also be given some laxatives to take. What you should also know • Colonoscopy is used to look for pathology in the colon as far as the terminal ileum. It enables the operator to take biopsies and perform therapeutic and palliative interventions, e.g. remove polyps, stop bleeding, insert a stent. • Colonoscopy is also used for surveillance in those at risk of colorectal cancer or patients with IBD. • Common indications for colonoscopy include PR bleeding, positive faecal occult blood test, persistent lower abdominal pain, persistent diarrhoea, and change in bowel habit. • Complications include pain, bleeding, perforation, and infection. • Flexible sigmoidoscopy is used to look at the rectum and lower colon (up to about 60cm), sometimes as precursor to a full colonoscopy. The procedures are similar. 13-OCSEs-Communication_skills_5e ccp.indd 338 19/03/2015 08:34
  • 354.
    339 Communication skills Station 119 Obtaining consent Commonquestions The purpose of gaining consent Consent is needed on every occasion a doctor wishes to initiate an investigation or treatment or any other intervention, except in emergencies or where the law dictates otherwise (such as where compulsory treatment is authorised under the Mental Health Act). How long is consent valid for? Consent should be seen as a continuing process rather than a one-off decision. When there has been a significant period of time between the patient agreeing to a procedure and its start, consent should be reaffirmed. Refusal of treatment Competent adult patients are entitled to refuse treatment even when doing so may result in permanent physical injury or death. For example, a competent Jehovah’s Witness can refuse a blood transfusion even if he will surely die as a result. An adult patient is competent if he can: • Understand what the intervention is. • Understand why the intervention is being proposed. • Understand the alternatives to the intervention, including no intervention. • Understand the principal benefits and risks of the intervention and of its alternatives. • Understand the consequences of the intervention and of its alternatives. • Retain the information for long enough to weigh it in the balance and reach a reasoned deci- sion, whatever that decision might be. In some cases, the patient may not have the cognitive ability or emotional maturity to reach a reasoned decision, or may be unduly affected by mental illness. Obtaining consent When seeking to obtain consent, it is important not to be seen to be rattling through a list of ‘must dos’. Try instead to elicit the patient’s ideas, concerns, and expectations, and tailor your explanations accordingly. • The type of information that should be provided to obtain consent includes: – – what the intervention is (use diagrams if this is helpful) – – why the intervention is being proposed – – alternatives to the intervention, including no intervention – – the principal benefits and risks of the intervention and of its alternatives – – the consequences of the intervention and of its alternatives • Ask the patient to summarise the above information, and be certain that he is competent to give consent. • Remind the patient that he does not have to make an immediate decision and that he can change his mind at any time. 13-OCSEs-Communication_skills_5e ccp.indd 339 19/03/2015 08:34
  • 355.
    Clinical Skills for OSCEs 340 Station 120 Breakingbad news What to do • Introduce yourself. • Look to comfort and privacy. • Determine what the patient already knows. • Determine what the patient would like to know. • Warn the patient that bad news is coming. • Break the bad news. • Identify the patient’s main concerns. • Summarise and check understanding. • Offer realistic hope or appropriate reassurance. • Arrange follow-up. • Try to ensure there is someone with the patient when he leaves. How to do it • Be sensitive. • Be empathetic. • Maintain eye contact. • Give information in small chunks. • Repeat and clarify. • Regularly check understanding. • Give the patient time to respond. Do not be afraid of silence or of tears. • Explore the patient’s emotions. • Use physical contact if this feels natural to you. • Be honest. If you are unsure about something, say you will find out later and get back to the patient. What not to do • Hurry. • Give all the information in one go, or give too much information. • Use euphemisms or medical jargon. • Lie or be economical with the truth. • Be blunt. Words are like loaded pistols, as Jean-Paul Sartre once said. • Prognosticate (“She’s got six months, maybe seven”). 13-OCSEs-Communication_skills_5e ccp.indd 340 19/03/2015 08:34
  • 356.
    341 Communication skills Station 121 The angrypatient or relative I was angry with my friend: I told my wrath, my wrath did end. I was angry with my foe: I told it not, my wrath did grow. William Blake The ‘angry person’ station can be rather unnerving, if only because medical students – and especially medical students in the earlier years of their training – are relatively sheltered from such persons. The aim of the game is to diffuse the person’s anger, not to ignore, placate or rationalise it. You should therefore try to be as empathetic and non-confrontational as possible. What to do • Introduce yourself. • Acknowledge the person’s anger e.g. “I can see that you’re angry”. • Try to find out the reason for his anger, e.g. frustration, fear, guilt. • Validate his feelings e.g. “I understand that you’re angry”. • Let him vent his anger, or any feelings that led to his anger, e.g. frustration, fear, guilt. Be careful not to interrupt him. • Offer to do something or for him to do something. People usually get angry because they feel that they are not being heard – so be sure to hear them out. How to do it • Sit at the same level as the person, not too close but not too far either. • Make eye contact. • Speak calmly and do not raise your voice. • Avoid dismissive or threatening body language. • Encourage the person to speak. Ask open rather than closed questions, and use verbal and non- verbal cues to show that you are listening. • Empathise as far as you can. What not to do • Glare at the person. • Confront him. • Interrupt him. • Patronise him. • Get too close to or touch him. • Block his exit route. • Put the blame on others/seek to exonerate yourself. • Make unreasonable promises. If the angry person is a patient’s relative, be mindful of potential confidentiality issues. 13-OCSEs-Communication_skills_5e ccp.indd 341 19/03/2015 08:34
  • 357.
    Clinical Skills for OSCEs 342 Station 122 Theanxious or upset patient or relative What to do • Look to comfort and privacy. • Introduce yourself and try to establish rapport. • Acknowledge the person’s emotional state, e.g. “You seem to be very upset.” • Explore his feelings, e.g. “What’s making you so upset?” • Validate his feelings, e.g. “I think that most people would feel that way in your situation.” • Provide honest and accurate information about the situation. • Offer to do something or for him to do something. • Summarise, reassure as far as you can, and conclude. How to do it • Encourage him to speak, e.g. by asking open rather than closed questions and by prompting him on, e.g. “Can you tell me more about that?” • Show that you are listening, e.g. by making appropriate eye contact, adjusting your body pos- ture, and using appropriate verbal and non-verbal cues. • Be empathetic. • Use silence at appropriate times. If the person sheds tears, give him the time and space to do so and hand him a tissue. • Use physical contact if this feels natural to you. • Remain poised: speak calmly, use simple sentences, and pace the information that you give. • Repeat and clarify the information that you give, and check understanding. • Encourage questions. What not to do • Ask only closed questions. • Interrupt or rush him. • Do all the talking. • Dismiss or trivialise his feelings. • Reassure too soon. • Offer inappropriate reassurance or false hope, e.g. – – “There’s absolutely nothing to be afraid of, everything will be just fine.” – – “Sure she’s dead, but you’ll get over her much sooner than you think.” – – “I’m sure your father’s in a better place now.” If the anxious or upset person is a patient’s relative, be mindful of potential confidentiality issues. 13-OCSEs-Communication_skills_5e ccp.indd 342 19/03/2015 08:34
  • 358.
    343 Communication skills Station 123 Cross-cultural communication Youdo not need to have a Masters in anthropology from the School of Oriental and African Studies to score highly in this station. All you need to do is use some basic communication strategies, as detailed here. It is also important that you are seen to respect the patient’s beliefs and/or values. • Introduce yourself to the patient, and ensure that he is comfortable. • Confirm his name, age, and occupation. • Determine his reason for attending. • Elicit his: – – Ideas – – Concerns – – Expectations (ICE) • Establish: – – his cultural or religious group – – the implications that this has on his reason for attending – – his individual beliefs and values • Check that you have understood his problems. • Explore possible solutions, and agree a mutually satisfactory course of action. • Summarise the consultation. • Check the patient’s understanding. • Thank him. 13-OCSEs-Communication_skills_5e ccp.indd 343 19/03/2015 08:34
  • 359.
    Clinical Skills for OSCEs 344 Station 124 Dischargeplanning and negotiation Discharging a patient involves discussing and agreeing the various aspects of discharge with both the patient and the team, providing the patient with appropriate advice and instructions, ensuring that the relevant services and prescriptions have been put into place, and writing a discharge summary for the benefit of the patient’s GP and others. The form that has come to emblematise this process goes by a number of Stalinist names, including discharge summary (DSUM), electronic discharge communication (EDC), To Take Away (TTA), and To Take Out (TTO). Setting the scene • Introduce yourself to the patient, and confirm his name and date of birth. • Summarise the situation to him. • Explore the impact that the illness/hospitalisation has had on him. • Explore his current mood and disposition. Going home and after • Explain that you are considering for the patient to go home. • Elicit and address any concerns that he may have about going home. Reassure him that trans- port can be organised, if need be. • Explore his home situation and support system. • In people who are elderly or disabled, assess Activities of Daily Living (ADL): grooming, bathing, dressing, feeding, bladder, bowels, toilet use, transfer, mobility, stairs. • Consider any extra help that can be offered to the patient, for example, social services, home help, meals on wheels, health visitor, district nurse, specialist nurses, palliative care team, dieti- cian, occupational therapist, speech (language) therapist, physiotherapist, psychologist, conti- nence advisor, self-help group, day centre. • Discuss medication and compliance. Check that the patient doesn’t have any concerns about taking his discharge medication and reassure him that the pharmacy can supply a Dosette box/ pill organiser, if need be. • Address risk factors. Suggest lifestyle changes that the patient may benefit from, such as stop- ping smoking, reducing alcohol intake, eating a balanced diet, taking regular exercise, etc. • Offer the patient a follow-up appointment either at his GP surgery or in the Out-Patient Department. • Instruct the patient to go to his GP or AE if, after being discharged, he experiences any unex- pected or severe symptoms. Before finishing • Summarise what has been said and offer to provide a written summary or written information. • Check the patient’s understanding of what has been said. • Ask the patient if he has any further questions or concerns. • Thank the patient. 13-OCSEs-Communication_skills_5e ccp.indd 344 19/03/2015 08:34