Embed presentation
Download as ODP, PPTX


























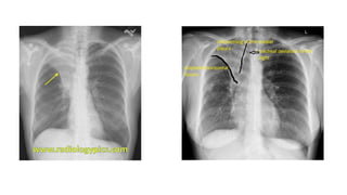
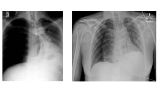
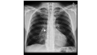
The document presents a chest X-ray examination summary by Ninian Peckitt, detailing various respiratory conditions including tracheal deviation, pleural effusions, and lung collapses. Findings suggest thoracic trauma and hyperinflation in the lungs. Additionally, it includes links to medical products and their pricing.
























