BONE MARROW BIOPSY IN
HEMATOLOGICAL MALIGNANCIES
DR SHIVAM SUBUDHI
MODERATOR-DR RANJAN KUMAR MALLICK
INTRODUCTION
 Bone marrow examination helps in diagnosis and management of
haematological diseases.
 Complete marrow assessment entails two separate investigation
 Bone marrow aspiration-
• Cell morphology
• Differential count
 Bone marrow biopsy-
• Cellularity
• Fibrosis
• Infiltrative disease
Indications of biopsy
 To accurately assess marrow cellularity
 Suspected focal lesions
 To diagnose aplastic anemia, hypoplastic MDS, hypoplastic
acute leukemia
 Investigation and prognostication of MPN
 Diagnosis and staging of Hodgkins, non hodgkins
lymphoma,mets
 Unexplained leucoerythroblastic blood picture
 PUO
 Multiple myeloma
 Primary amyloidosis
 For IHC studies
 Stromal changes
• Fibrosis
• Necrosis
• Gelatinous marrow transformation
Criteria for adequacy
 Length- 1.5 -2 cm
 5- 6 trabecular spaces
 Section thickness 4 micron
Cellularity
 90-100% in infants
 50-60% in adults
 20-30% in old age
Normal topography
 Myeloid- paratrabecular, mature cells towards centre
 Erythroid –centre in colonies
 Megakaryocytes- centre around sinusoids
 Lymphoid precursers- periarteriolar region
 Stroma- fat cell, fibroblast, reticulin fibres
ACUTE LEUKEMIA
AML M0
 Blasts resemble L2 lymphoblasts
 blasts are MPO negative
AML M1
 Blasts >90%
 Mature cells <10%
 >3% blasts are MPO positive
AML M2
 Most frequent cytogenetic abnormality- t(8;21)
 Blasts 20- 89% of non erythroid MNCs
 Maturing component >10%
AML M3
 Blast may be <20%
 Molecular – PML RARA /t(15;17)
 2 types – hypergranular variant, microgranular variant
AML M4
 Blast >20%
 Monocytic component> 20% of non erythroid MNCs
 Monocytes in blood>5x103 μl
BMA BMB
AML M4 Eo
 inv (16)
 Eosinophilic precursers >5%
AML M5
 Extramedullary infiltration into skin, gum, meninges, lungs
 AML M5a- monoblast >80% of monocytic component
 AML M5b- monoblast <80%
 Acute monocytic leukemia- NPM1 mutation
BMB AML M5a BMB- CD64 in AML M5a and M5b
AML M6
 3-4 % of AML
 Associated with profound anemia
 3 sub types
BMA PAS BMB
AML M7
 Dry tap / diluted marrow aspirate
 Megakaryoblastic hyperplasia with extensive fibrosis
 Megakaryocytic cells seen in all stages
 Associated with t (1;22), down syndrome
BMB BMB-RETICULIN
APMF
 Trilineage hyperplasia with blasts >20%
 Marrow fibrosis
 Pancytopenia
 Doesn't meet the criteria for AML with MDS
ALL
 Sub types of ALL(FAB)-
 L1- small homogenous blasts
 L2- large heterogenous blasts
 L3 – large homogenous blasts
BMA ALL L1 BMA ALL L2
ALL
BMA ALL L3 BMB
ALL
BMB CD 19 AND PAX 5
MYELODYSPLASTIC SYNDROME
MDS
 ERYTHROID DYSPLASIA
 ERYTHROID DYSPLASIA
 GRANULOPOIESIS IN MDS
 GRANULOPOIESIS IN MDS
ALIP
 THROMBOPOIESIS IN MDS
 THROMBOPOIESIS IN MDS
MDS SLD
BMA
PS
BMB
MDS MLD
BMB
BMA
MDS RS SLD MDS RS MLD
PS
BMA PERLS’ STAIN
BMA BMA
MDS EB1
PS BMA
MDS EB2
MPO BMB
HYPOPLASTIC MDS
BMB
MDS WITH FIBROSIS
MYELOPROLIFERATIVE NEOPLASM
MPN WHO2016
1. CML, BCR-ABL1 positive
2. CNL
3. PV
4. PMF
5. ET
6. Chronic eosinophilic leukemia, NOS
7. MPN , unclassifiable
8. Mastocytosis
CML
 chronic phase
 PBS- TLC (30-500x103/μl), myelocytic bulge,absolute
basophilia, thrombocytosis
 NAP score (0-20)
 BM-hypercellular, M:E ratio elevated, blast<5%,
megakaryocyte hyperplasia with dwarf forms seen
BMA
Dwarf megakaryocytes Pseudogaucher cell
CML
 Accelerated phase
 Blasts 10-19%
 Persistent thrombocytosis or thrombocytopenia
 Basophilia >20%
 Blast crisis
 Blast>20%
 Anemia and thrombocytopenia
 25% cases- lymphoblastic
Accelerated phase
Blast crisis
Polycythemia vera
Polycythemia Vera
PS
BMA
BMB
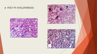
 POST PV MYELOFIBROSIS
ESSENTIAL THROMBOCYTHEMIA
ESSENTIAL THROMBOCYTHEMIA
BMB
MYELOFIBROSIS
PRE FIBROTIC PHASE
FIBROTIC PHASE
FIBROTIC PHASE- special stains
OSTEOMYELOSCLEROSIS
LYMPHPROLIFERATIVE DISORDERS
Non Hodgkin’s lymphoma
 Patterns of marrow involvement
 Packed / diffuse
 Nodular
 Paratrabecular
 Interstitial
 Mixed
 Intra sinusoidal
CLL
INFILTRATIVE NODULAR
MIXED DIFFUSE
Mantle cell lymphoma
 Difffuse marrow invovment
 Paratrabecular arrangement
 Variants- blastoid, lymphocytic, pleomorphic
Hairy cell leukemia
 PBS- pancytopenia ,hair like projections on lymphoid cells
 TRAP positive
 Splenomegaly
 BRAFV600E mutation
 BM- dry tap, focal/ interstitial / diffuse replacement of
marrow by hairy cells
Burkitt lymphoma DLBCL
ALCL
Hodgkin’s lymphoma
 Bm involvement – stage IV
 Rarely involves BM
 BM- hyper cellular due to myeloid hyperplasia
 RS cells
PLASMA CELL NEOPLASM
SUMMARY
 Bone marrow biopsy helps in diagnosis, staging
and predicting prognosis of different
hematological malignancies
 It should be ideally reported along with bone
marrow aspiration and peripheral smear
 Clinical history, laboratory investigations ,
imaging information, all should be taken into
consideration before any diagnosis
THANK YOU

bone marrow.pptx