What is Graft?
What is Grafting?
What are Bone Grafts?
Historical Review
Objectives & Rationale of Bone Grafts
Biologic concept of using Bone Grafts
Bone Grafts used in correction of
periodontal defects
Technique
Project overview
What is graft ?
A viable tissue that after removal from a donor
site is implanted with in a recipient tissue is then
restored repaired & regenerated.
What is grafting ?
Grafting is a procedure used to replace / restore
missing bone or gum tissue.
What are bone grafts?
Bone grafts are the materials used
for replacement or augmentation
of the bone.
Historical Review:
The use of bone grafts for reconstructing
osseous defects produced by periodontal
disease dates back to Hegedus in (1923 )
Revived by Nabers & O’Leary in (1965)
Objectives & Rationale of Bone Grafts :
Increase in clinical bone defect fill.
To preserve & augment bone for future
implant placement & / or esthetics.
Formation of functional P D L
Biologic concept of using Bone grafts
1) Contains bone forming cells (osteogenesis)
2) Serve as scaffold for bone formation
(osteoconduction)
3) Matrix of bone grafting material contains bone
inductive substances (osteoinduction)
Biologic concept of using BoneGrafts:
Osteoconduction:
Formation of bone by osteoblasts from the margins
of defect on the bone graft material.
Osteoconductive material facilitate bone formation
by bridging the gap between the existing bone & a
distant location that otherwise would not be occupied
by bone
Osteoinduction:
Cell mediators at the defect
(BMP)
Stimulation of osteoprogenitor cells
Osteoblasts
New bone formation
Osteogenesis :
Osteoblasts in the transplanted
bone having adequate blood
supply & cellular viablity.
Forms new centers of
ossification within the graft
Bone Grafts used in correction of
Periodontal Defects:
Autografts
Allografts / Homografts
Xenografts / Hetrografts
Alloplasts
Autografts: A tissue transferred from one position to
another within the same individual .
Allografts / Homografts: Obtained from genetically
dissimilar individual of same species .
Xenografts / Hetrografts: Tissue transferred from one
species to another species.
Alloplasts: A synthetic graft or inert foreign body
implanted into tissue.
Autografts :
Widely used in periodontics for treatment of
intrabony defects.
Promotes bone healing through osteogenesis
& / or Osteoconduction.
Can be harvested from either intraoral or
extraoral donor sites.
Autografts from intraoral site
-Hegedus (1922)
Sources include:
Maxillary tuberosity
Exostoses
Healing wounds
Extraction sites
Edentulous ridges.
Mandibular symphysis
Mandibular body
Osteoplasty Osteotomy
sites
Bone Grafts harvested from intraoral
sites are:
Osseous coagulum
Bone Blend
Intraoral Cancellous Bone Marrow
Transplants
Bone swaging
Osseous Coagulum: - (Robinson)
•Technique uses mixture of bone dust & blood
•Small particles ground from cortical bone used
ADVANTAGES:
* Additional surface area for interaction of cellular
& vascular elements.
* Ease of obtaining bone from already exposed
surgical site.
DISADVANTAGES:
* Inadequate materials for large defects.
Bone Blend:
•Uses an autoclaved capsule & pestle.
• Bone removed from perdetermined site , triturated
in capsule to a workable , plastic like mass, &
packed into bony defects
Intraoral Cancellous Bone Marrow:
•Cancellous bone obtained from Maxillary
tuberosity, Edentulous area & healing socket
Bone Swaging:
Technique requires existance of an edentulous
area adjacent to the defect from which bone is
pushed into contact with the root surface
without fracturing the bone at its base.
Autografts from extraoral site
Schallorn (1967/ 1968) introduced the use
of autogenous” HIP MARROW “Grafts
(illiac crest marrow) in treatment of intrabony
defects.
Not recommended now a days due to:
- Morbidity of donor site.
- Ankylosis & Root resorption.
- Post op’ impaction, exfoliation, & sequestration.
- Rapid reoccurence of defect.
- Patients expense & difficulty.
Allografts:
Allografts used in the treatment of intrabony defects
could be:
Frozen cancellous iliac bone and marrow
Cryopreserved bone from the head of a femur
Freeze-dried bone allograft (FDBA)
Demineralized freeze-dried bone allograft.
(DFDBA)
Freeze dried bone allografts (FDBA)
Osteoconductive
Cortical bone is deflated, cut into pieces,
washed in absolute alcohol , deep frozen, freeze
dried & vaccume sealed.
Ground particle size : 250 – 750 micron.
50 – 60% bone fill.
Decalcified Freeze dried bone allografts
(DFDBA)
-Urist(1965)
Decalcified with 0.6N Hcl , washed in sodium
phosphate buffer & vaccume sealed to expose the bone
inducing agent c/a bone morphogenic proteins(BMP).
These proteins are osteoinductive.
More osteogenic potential than FDBA
DISADVANTAGE: Potential of disease transfer
from cadaver.
Frozen iliac crest marrow
Need for cross – matching to decrease
the likelihood of graft rejection as well
as disease transmission eliminate the
use of frozen iliac crest marrow.
Xenografts:
Anorganic bovine bone (ABB) : Bovine bone that has
been chemically treated with ehylenediamine to remove its
organic components, leaving a trabecular & porous
architecture similar to human bone.It is osteoconductive.
Boplant: Calf bone treated by detergent extraction,
sterlized in propriolactone & freeze dried.
Kiel bone : Calf / ox bone denaturated with H2O2 (20%)
dried with acetone & sterlized with etylene oxide.
Ospurane: Cow bone soaked in KOH , acetone & salt
solution.
Boiled bone: Cow bone boiled or autoclaved.
Alloplasts:
Synthetic inorganic inert material
Synthetic graft material function primarily as defect
fillers. -World Workshop (1996)
Characterstics:
- Biocompatible &/or Bioactive
- Osteogenic potential
- Resorbable in long run.
Classification: on the basis of their ability
to be resorbed as:
Absorbable materials Nonabsorbable materials
Ceramics,
Beta tricalcium phosphate
Hydroxyapatite
Calcium sulfate
Calcium carbonate.
 Porous hydroxyapatite
 Dense hydroxyapatite
 Bioglass
 Calcium-coated polymer of
hydroxyethylmethacrylate and
polymethylmethacrylate.
Bioceramics:Composed of CaPO4 with Ca & Po4
ratio similar to bone
Beta tricalcium phosphate: Porous form of CaPo4
Hydroxyapetite:
Porous non resorbable
Solid non resorbable or solid resorbable.
Polymers:
2 types
1) A non-resorbable , calcium hydroxide
coated co- polymer of poly - methyl –
methacrylate(PMMA).
2) Poly – hydroxylethyl -
methacrylate(PHEMA) / (HTR) Hard tissue replacement.
Bioactive glass: CaO, Na2O, SiO2,P2O5
Bonds to bone through development of surface layer of
carbonated hydroxyapetite.
Bio glasses exposed to tissue fluids….formation of
double layer of silica gel & calcium phosphate on their
surfaces….absorption & concentration of proteins
through this layer….proteins used by osteoblasts to form
extracellular bone matrix.
Commertially available bioglass in particulste form ,
theoretically resorbable proposed for peridontal treatment.
Patient selection
• Should be in good physical health
• Should demonstrate an acceptable level of oral
hygiene
• Could be committed to a long-term maintenance
program.
• Ideally should be a nonsmoker
Technique
Defect selection
Perform plaque control .
Occlusal therapy consisting of adjustment or
splinting of teeth .
A pre-procedural rinse with a substantive
antimicrobial agent, such as 0.12% chlorhexidine
gluconate for 30 seconds, immediately prior to the
surgery can help reduce intraoral bacteria .
Preoperative preparation
Anesthesia
Regional Anesthesia for patients
comfort
Local infilteration with epinephrin to
facilitate hemostasis
A sulcular incision full thickness flap is reflected. A three wall
intrabony defect is visualized at the distal of the first molar.
Flap design
Defect or root debridement
Rotary instrumentation using a multifluted surgical length bur on a
high-speed handpiece is needed to gain access to the depth of the
lesion and to plane the root surface, which is subsequently treated
with citric acid (pH 1).
Graft management
The choice of graft material should be based on
clinical considerations, including treatment objectives
and potential patient morbidity.
If morbidity with graft procurement is a concern,
an allograft of demineralized freeze-dried bone may
be used.
There are no reports of disease transmission, graft
rejection or ankylosis after the use of demineralized
freeze-dried bone allograft.
Placement of demineralized freeze-dried bone allograft is
accomplished with light incremental pressure so that the graft
overfills the defect. The root surface has been treated with citric
acid (pH 1) and the defect has been decorticated.
Flap closure
A monofilament suture is used to close the flaps by primary
closure.
Postoperative management/periodontal maintenance
Post operative antibiotics to aid in plaque control
Topical antimicrobial rinse
Postoperative visits include plaque removal
(both mechanically and with topical chlorhexidine)
Periodontal probing or recording of attachment levels
should not be done prior to 6–12 months, since probing
force may damage the healing site, thereby diminishing
the regenerative outcome
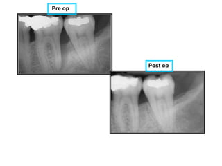
Pre op
Post op
Pre op
Post op
Summary
Bone grafts are the material used for replacement or
augmentation of the bone around the teeth.
Biologic concept of using Bone grafts :
* Osteoconduction
* Osteoinduction
* Osteogenesis
Bone Grafts used in correction of periodontal
defects:
Autografts
Allografts / Homografts
Xenografts / Hetrografts
Alloplasts

bone grafts for periodontal implants.ppt

  • 2.
    What is Graft? Whatis Grafting? What are Bone Grafts? Historical Review Objectives & Rationale of Bone Grafts Biologic concept of using Bone Grafts Bone Grafts used in correction of periodontal defects Technique Project overview
  • 3.
    What is graft? A viable tissue that after removal from a donor site is implanted with in a recipient tissue is then restored repaired & regenerated. What is grafting ? Grafting is a procedure used to replace / restore missing bone or gum tissue.
  • 4.
    What are bonegrafts? Bone grafts are the materials used for replacement or augmentation of the bone.
  • 5.
    Historical Review: The useof bone grafts for reconstructing osseous defects produced by periodontal disease dates back to Hegedus in (1923 ) Revived by Nabers & O’Leary in (1965)
  • 6.
    Objectives & Rationaleof Bone Grafts : Increase in clinical bone defect fill. To preserve & augment bone for future implant placement & / or esthetics. Formation of functional P D L
  • 7.
    Biologic concept ofusing Bone grafts 1) Contains bone forming cells (osteogenesis) 2) Serve as scaffold for bone formation (osteoconduction) 3) Matrix of bone grafting material contains bone inductive substances (osteoinduction)
  • 8.
    Biologic concept ofusing BoneGrafts: Osteoconduction: Formation of bone by osteoblasts from the margins of defect on the bone graft material. Osteoconductive material facilitate bone formation by bridging the gap between the existing bone & a distant location that otherwise would not be occupied by bone
  • 9.
    Osteoinduction: Cell mediators atthe defect (BMP) Stimulation of osteoprogenitor cells Osteoblasts New bone formation
  • 10.
    Osteogenesis : Osteoblasts inthe transplanted bone having adequate blood supply & cellular viablity. Forms new centers of ossification within the graft
  • 11.
    Bone Grafts usedin correction of Periodontal Defects: Autografts Allografts / Homografts Xenografts / Hetrografts Alloplasts
  • 12.
    Autografts: A tissuetransferred from one position to another within the same individual . Allografts / Homografts: Obtained from genetically dissimilar individual of same species . Xenografts / Hetrografts: Tissue transferred from one species to another species. Alloplasts: A synthetic graft or inert foreign body implanted into tissue.
  • 13.
    Autografts : Widely usedin periodontics for treatment of intrabony defects. Promotes bone healing through osteogenesis & / or Osteoconduction. Can be harvested from either intraoral or extraoral donor sites.
  • 14.
    Autografts from intraoralsite -Hegedus (1922) Sources include: Maxillary tuberosity Exostoses Healing wounds Extraction sites Edentulous ridges. Mandibular symphysis Mandibular body Osteoplasty Osteotomy sites
  • 15.
    Bone Grafts harvestedfrom intraoral sites are: Osseous coagulum Bone Blend Intraoral Cancellous Bone Marrow Transplants Bone swaging
  • 16.
    Osseous Coagulum: -(Robinson) •Technique uses mixture of bone dust & blood •Small particles ground from cortical bone used ADVANTAGES: * Additional surface area for interaction of cellular & vascular elements. * Ease of obtaining bone from already exposed surgical site. DISADVANTAGES: * Inadequate materials for large defects.
  • 17.
    Bone Blend: •Uses anautoclaved capsule & pestle. • Bone removed from perdetermined site , triturated in capsule to a workable , plastic like mass, & packed into bony defects Intraoral Cancellous Bone Marrow: •Cancellous bone obtained from Maxillary tuberosity, Edentulous area & healing socket
  • 18.
    Bone Swaging: Technique requiresexistance of an edentulous area adjacent to the defect from which bone is pushed into contact with the root surface without fracturing the bone at its base.
  • 19.
    Autografts from extraoralsite Schallorn (1967/ 1968) introduced the use of autogenous” HIP MARROW “Grafts (illiac crest marrow) in treatment of intrabony defects.
  • 20.
    Not recommended nowa days due to: - Morbidity of donor site. - Ankylosis & Root resorption. - Post op’ impaction, exfoliation, & sequestration. - Rapid reoccurence of defect. - Patients expense & difficulty.
  • 21.
    Allografts: Allografts used inthe treatment of intrabony defects could be: Frozen cancellous iliac bone and marrow Cryopreserved bone from the head of a femur Freeze-dried bone allograft (FDBA) Demineralized freeze-dried bone allograft. (DFDBA)
  • 22.
    Freeze dried boneallografts (FDBA) Osteoconductive Cortical bone is deflated, cut into pieces, washed in absolute alcohol , deep frozen, freeze dried & vaccume sealed. Ground particle size : 250 – 750 micron. 50 – 60% bone fill.
  • 23.
    Decalcified Freeze driedbone allografts (DFDBA) -Urist(1965) Decalcified with 0.6N Hcl , washed in sodium phosphate buffer & vaccume sealed to expose the bone inducing agent c/a bone morphogenic proteins(BMP). These proteins are osteoinductive. More osteogenic potential than FDBA DISADVANTAGE: Potential of disease transfer from cadaver.
  • 24.
    Frozen iliac crestmarrow Need for cross – matching to decrease the likelihood of graft rejection as well as disease transmission eliminate the use of frozen iliac crest marrow.
  • 25.
    Xenografts: Anorganic bovine bone(ABB) : Bovine bone that has been chemically treated with ehylenediamine to remove its organic components, leaving a trabecular & porous architecture similar to human bone.It is osteoconductive. Boplant: Calf bone treated by detergent extraction, sterlized in propriolactone & freeze dried.
  • 26.
    Kiel bone :Calf / ox bone denaturated with H2O2 (20%) dried with acetone & sterlized with etylene oxide. Ospurane: Cow bone soaked in KOH , acetone & salt solution. Boiled bone: Cow bone boiled or autoclaved.
  • 27.
    Alloplasts: Synthetic inorganic inertmaterial Synthetic graft material function primarily as defect fillers. -World Workshop (1996) Characterstics: - Biocompatible &/or Bioactive - Osteogenic potential - Resorbable in long run.
  • 28.
    Classification: on thebasis of their ability to be resorbed as: Absorbable materials Nonabsorbable materials Ceramics, Beta tricalcium phosphate Hydroxyapatite Calcium sulfate Calcium carbonate.  Porous hydroxyapatite  Dense hydroxyapatite  Bioglass  Calcium-coated polymer of hydroxyethylmethacrylate and polymethylmethacrylate.
  • 29.
    Bioceramics:Composed of CaPO4with Ca & Po4 ratio similar to bone Beta tricalcium phosphate: Porous form of CaPo4 Hydroxyapetite: Porous non resorbable Solid non resorbable or solid resorbable.
  • 30.
    Polymers: 2 types 1) Anon-resorbable , calcium hydroxide coated co- polymer of poly - methyl – methacrylate(PMMA). 2) Poly – hydroxylethyl - methacrylate(PHEMA) / (HTR) Hard tissue replacement.
  • 31.
    Bioactive glass: CaO,Na2O, SiO2,P2O5 Bonds to bone through development of surface layer of carbonated hydroxyapetite. Bio glasses exposed to tissue fluids….formation of double layer of silica gel & calcium phosphate on their surfaces….absorption & concentration of proteins through this layer….proteins used by osteoblasts to form extracellular bone matrix. Commertially available bioglass in particulste form , theoretically resorbable proposed for peridontal treatment.
  • 32.
    Patient selection • Shouldbe in good physical health • Should demonstrate an acceptable level of oral hygiene • Could be committed to a long-term maintenance program. • Ideally should be a nonsmoker Technique
  • 33.
  • 34.
    Perform plaque control. Occlusal therapy consisting of adjustment or splinting of teeth . A pre-procedural rinse with a substantive antimicrobial agent, such as 0.12% chlorhexidine gluconate for 30 seconds, immediately prior to the surgery can help reduce intraoral bacteria . Preoperative preparation
  • 35.
    Anesthesia Regional Anesthesia forpatients comfort Local infilteration with epinephrin to facilitate hemostasis
  • 36.
    A sulcular incisionfull thickness flap is reflected. A three wall intrabony defect is visualized at the distal of the first molar. Flap design
  • 37.
    Defect or rootdebridement Rotary instrumentation using a multifluted surgical length bur on a high-speed handpiece is needed to gain access to the depth of the lesion and to plane the root surface, which is subsequently treated with citric acid (pH 1).
  • 38.
    Graft management The choiceof graft material should be based on clinical considerations, including treatment objectives and potential patient morbidity. If morbidity with graft procurement is a concern, an allograft of demineralized freeze-dried bone may be used. There are no reports of disease transmission, graft rejection or ankylosis after the use of demineralized freeze-dried bone allograft.
  • 39.
    Placement of demineralizedfreeze-dried bone allograft is accomplished with light incremental pressure so that the graft overfills the defect. The root surface has been treated with citric acid (pH 1) and the defect has been decorticated.
  • 40.
    Flap closure A monofilamentsuture is used to close the flaps by primary closure.
  • 41.
    Postoperative management/periodontal maintenance Postoperative antibiotics to aid in plaque control Topical antimicrobial rinse Postoperative visits include plaque removal (both mechanically and with topical chlorhexidine) Periodontal probing or recording of attachment levels should not be done prior to 6–12 months, since probing force may damage the healing site, thereby diminishing the regenerative outcome
  • 42.
  • 44.
  • 45.
    Summary Bone grafts arethe material used for replacement or augmentation of the bone around the teeth. Biologic concept of using Bone grafts : * Osteoconduction * Osteoinduction * Osteogenesis
  • 46.
    Bone Grafts usedin correction of periodontal defects: Autografts Allografts / Homografts Xenografts / Hetrografts Alloplasts