“Avascular necrosis of
the bone is the death of
bone tissue due to an
impaired blood supply.”
Other names
Avascular necrosis
Osteonecrosis
Bone infarction
Aseptic necrosis
Bone death
 Ahlback disease: medial femoral
condyle, i.e. SONK
 Brailsford disease: head of radius
 Buchman disease: iliac crest
 Burns disease: distal ulna
 Caffey disease: entire carpus or
intercondylar spines of tibia
 Dias disease: trochlea of the talus
 Dietrich disease: head of metacarpals
 Freiberg infraction: head of the
second metatarsal
 Friedrich disease: medial clavicle
 Hass disease: humeral head
 Iselin disease: base of 5th metatarsal
 Kienbock disease: lunate
 Kohler disease: patella or navicular
(children)
 Kummel disease: vertebral body
 Legg-Calvé-Perthes disease: femoral
head
 Liffert-Arkin disease: distal tibia
 Mandl disease: greater trochanter
 Mauclaire disease: metacarpal heads
 Milch disease: ischial apophysis
 Mueller-Weiss disease: navicular
(adult)
 Panner disease: capitellum of
humerus
 Pierson disease: symphysis pubis
 Preiser disease: scaphoid
 Sever disease: calcaneal epiphysis
 Thiemann disease: base of phalanges
 Van Neck-Odelberg
disease: ischiopubic synchondrosis
 Osteonecrosis has been estimated to affect
20,000 new patients per year in the US
 75% of patients are between the ages of 30-
60 years old
 25% of patients with the condition are < 25
years of age
 The disease is more common in males
 7:3 males-females
 An important exception to this male-to-female
ratio is SLE
pathogenesis
 Avascular necrosis result from direct or indirect injury ,or
damage to the vascular flow.
 Ciculatory deficiency result in bone and bone marrow
cell death.(osteocyte , haematopoetic cell , adipocyte).
 The necrotic tissue triggers repair ,a reactive surface
develops at the boundary with the healthy bone.
 Revitalization of the necrosis due to ingrowth of blood
vessel and connective tissue from healthy surroundings
→abnormal and biomechanically weak bone
 Small lesions can heal , if not or incomplete →
subchondral bone will break from repeated microtrauma
and various significant defects will result.
 Cellular ischemia → death of hematopoietic cell in
6-12 hrs, osteocyte in 12-48 hrs and lipocyte in 2-5
days
Clinical Presentation
 Osteonecrosis can be asymptomatic and found incidentally on
imaging
 A high index of suspicion is necessary for patients with risk
factors
 Pertinent patient history includes history of steroid use, alcohol
abuse and clotting abnormalities
 Pain in the affected joint (although non-specific) is usually the
presenting symptom
 The initial physical exam findings may not be useful and are
often non-specific
 After osteonecrosis progresses, joint function deteriorates and
the patient may
 Have tenderness around the affected bone
 Have joint deformity and muscle wasting
 May even have a neurologic deficit if a nerve is compressed due to
necrosis and deformity of the affected bones
Late Presentation
 Unfortunately, most patients present late in the course of disease
 In the late stages, you may see highly deteriorated joint function
and a significant limp
 Without treatment, the patient would be more likely to present
with severe pain at rest and at night and would have more
restriction and pain with joint movements
 Joint deformity, muscle wasting and non union of fracture are
also more common with advanced osteonecrosis
 Medullary infarcts usually remain stable over time, while
subchondral infarcts often collapse and may predispose to
severe secondary osteoarthritis
Etiology :
1-Trauma (fracture or dislocation)
2-Dislocation
3-Collagen vascular disease
4-Sickle cell disease
5-Gaucher's disease
6-Caisson disease
7-Radiation
8-Pancreatitis, alcoholism
9-Hormonal (steroids, Cushing's disease)
10-Idiopathic (Legg-Calve-Perthes disease)
11-Pregnancy
the high prevalence and multifocal nature of AVN in
SLE patients during high dose steroid treatment
of disease exacerbation results from the co-
occurrence of two processes
1. Vascular Injury with widespread activation of
endothelium and inflammatory vasculopathy or
thrombosis disrupting the microcirculation
2. Lipid Deposition with interosseous fat
accumulation, secondary to glucocorticoid induced
abnormal lipid metabolism, increasing intramedullary
pressure (i.e. bony compartment syndrome) and
decreasing perfusion
Classification of the progress of the disease as
described in the association research circulation
osseous (ARCO)
 Initial stage (ARCO 0)
 An ischaemic attach.
 Still reversible and asymptomatic.
 Histologicaly minimal changes can be
found.
 Pathological perfusion can be shown by
dynamic contrast MRI.
Reversible early stage (ARCO
1)
 Edema of the bone marrow with extend
of medullary cavity necrosis.
 Start of repair process, with gradual
replacement of necrotic tisssue by
growth of fibrous vascullar tissue.
 Still no reactive surface.
 MRI
Non_reversible early stage
(ARCO 2)
 Histological bone process, in the sense of
bone resorption and formation of bone
marrow and the trabecula.
 vascular Granulation tissue attempts to
repair the necrotic area inside the
secleretic zone, which is directly opposed
to the area of the vital tissue.
 MRI (MR double line
sign)→pathognomonic in t2 ,it corresponds
to reactive interface.
 X-ray → blotchy change +seclerotic
changes are visible.
Transitional stage (ARCO 3)
 Mechanical failure of the affected bone
area lead to the subchonral microfracture.
 It usually begins at the margin of the
defect and is consequence of in sufficient
repair.
 X-ray → small suchonral crescent sign.
 MRI → MRI cresent sign , if subchondral
fracture filled with synovial fluid.
Late stage (ARCO 4)
 Secondary arthritic lesion (calcification
+resorptive cyst).
 Deformity
 Detect by any imaging method.
AP radiographic view of the pelvis shows flattening of the outer portion of
the right femoral head from avascular necrosis, with adjacent joint space
narrowing, juxta-articular sclerosis, and osteophytes representing
degenerative joint disease (stage IV)
Most common sites
 Head of humerus
 Head of femur
 Scaphoid
 Femur condyles
Affects bones with a single terminal blood
supply
Vascular supply around femoral
neck
Radiography of scaphoid # AVN
Vascular supply of talus
Radiography showing AVN
diagnosis
 History
 Physical examination
 investigation
Plain radiography
There is significant delay between infarct onset and development of
radiographic signs. Classic description is of medullary lesion of sheet-
like central lucency surrounded by shell-like sclerosis with serpiginous
border. Discrete calcification and periostitis may also be seen.
CT
 Generally does not reveal much more than the plain film.
 The best modality for estimating the extent of bone death
 It is not as sensitive as MRI
MRI
 An important feature in differentiating bone infarct from other
medullary lesions is that the central signal usually remains that of
normal marrow. The marrow is not replaced.
 T1
 serpiginous peripheral low signal due to granulation tissue and to
lesser extent sclerosis
 peripheral rim may enhance post gadolinium
 central signal usually that of marrow
 T2
 acute infarct may show ill-defined non-specific area of high
signal
 double-line sign: hyperintense inner ring of granulation tissue
and a hypointense outer ring of sclerosis
 absence of double-line sign does not exclude bone infarct
 central signal usually that of marrow
GE (gradient echo)
 will also show double-line
 oedema obscured by susceptibility
Nuclear medicine
 bone scan
Bone scintigraphy is also quite sensitive (~85%) and is the second option
after MRI. It is a choice when multiple sites of involvement must be assessed
in patients with risk factors, such as sickle cell disease. The findings are
different accordingly to the time of the scan:
• early disease: often represented by a cold area likely representing the
vascular interruption
• late disease: may show a "doughnut sign": a cold spot with
surrounding high uptake ring (surrounding hyperaemia and adjacent
synovitis)
 no uptake (cold spot) where blood supply absent
 mildly increased uptake at periphery during acute phase
Biopsy
A biopsy is a surgical procedure in which a tissue
sample from the affected bone is removed and studied.
Although a biopsy is a conclusive way to diagnose
osteonecrosis, it is rarely used because it requires
surgery.
Functional Evaluation of Bone
Tests to measure the pressure inside a bone may be used
when the doctor strongly suspects that a patient has
osteonecrosis, despite normal results of x rays, bone
scans, and MRIs. These tests are very sensitive for
detecting increased pressure within the bone, but they
require surgery.
Imaging Method Findings Time to Diagnosis Comments
CT
reactive sclerosis
subchondral
collapse
months
sensitivity poor
specificity OK
radionuclide
imaging
decreased uptake
early, increased
uptake late
weeks
sensitivity good
specificity poor
MRI
decreased signal in a
segmental pattern
days to weeks
sensitivity excellent
specificity good
MRI or PET flow
study
decreased flow
through affected
bone
minutes
theoretically
possible, but not yet
proven
 Lab. Tests
X-ray of head of femur (AVN)
 Crescent Sign
 Snowcapping
 Areas of lucency
 Flattening of joint surface
Crescent Sign
Luscent areas
Flattening of joint
surface
Snowcapping
Luscent areas
Flattening
Differential
Diagnostic Considerations
Other problems to consider in the differential diagnosis
of avascular necrosis include the following:
 Inflammatory synovitis
 Complex regional pain syndrome
 Labral tears
 Osteomyelitis
 Neoplastic bone conditions
Differential Diagnoses
 Osteoarthritis
 Osteoporosis
Various methods for treatment and delaying disease
progression
Non surgical –
Appropriate treatment for osteonecrosis is necessary to keep
joints from breaking down. Without treatment, most people with
the disease will experience severe pain and limitation in
movement. To determine the most appropriate treatment, the
doctor considers the following:
 the age of the patient
 the stage of the disease (early or late)
 the location and whether bone is affected over a small
or large area
 the underlying cause of osteonecrosis; with an ongoing
cause such as corticosteroid or alcohol use, treatment may not
work unless use of the substance is stopped.
The goal in treating osteonecrosis is to improve the patient’s
use of the affected joint, stop further damage to the bone, and
ensure bone and joint survival. To reach these goals, the doctor
may use one or more of the following surgical or nonsurgical
treatments.
Nonsurgical Treatments
Usually, doctors will begin with nonsurgical treatments,
alone or in combination. Unfortunately, although these
treatments may relieve pain or help in the short term, for
most people they don’t bring lasting improvement.
 Medications.
 Nonsteroidal anti-inflammatory drugs (NSAIDs) are often
prescribed to reduce pain.
 People with clotting disorders may be given blood
thinners to reduce clots that block the blood supply to
the bone.
 Cholesterol-lowering medications may be used to
reduce fatty substances (lipids) that increase with
corticosteroid treatment (a major risk factor for
osteonecrosis).
 Bisphosphonate
 Anticoagulants
 Vasodilators
 Biophysical modalities
 Reduced weight bearing. If osteonecrosis is diagnosed
early, the doctor may begin treatment by having the
patient remove weight from the affected joint. The doctor
may recommend limiting activities or using crutches. In
some cases, reduced weight bearing can slow the
damage caused by osteonecrosis and permit natural
healing. When combined with pain medication, reduced
weight bearing can be an effective way to avoid or delay
surgery for some patients.
 Range-of-motion exercises. An exercise program
involving the affected joints may help keep them mobile
and increase their range of motion.
 Electrical stimulation. This treatment has been used in
several centers to induce bone growth, and in some
studies has been helpful when used before femoral head
collapse.
Surgical –
A number of different surgical procedures are used to treat osteonecrosis. Most people
with osteonecrosis will eventually need surgery.
 Core decompression. This surgical procedure removes the inner cylinder of bone,
which reduces pressure within the bone, increases blood flow to the bone, and
allows more blood vessels to form. Core decompression works best in people who
are in the earliest stages of osteonecrosis, often before the collapse of the joint. This
procedure sometimes reduces pain and slows the progression of bone and joint
destruction.
 Osteotomy. This treatment involves reshaping the bone to reduce stress on the
affected area. Recovery can be a lengthy process, requiring several months of very
limited activities. This procedure is most effective for patients with early-stage
osteonecrosis and those with a small area of affected bone.
 Vascularised bone graft/muscle pedicle graft.This is the transplantation of
healthy bone from another part of the body. It is often used to support a joint after
core decompression. In many cases, the surgeon will use what is called a vascular
graft, which includes an artery and vein, to increase the blood supply to the affected
area. Recovery from a bone graft can take several months.
 Arthroplasty/total joint replacement. Total joint replacement is the treatment of
choice in late-stage osteonecrosis and when the joint is destroyed. In this surgery,
the diseased joint is replaced with artificial parts. Total joint replacement, or
sometimes femoral head resurfacing, is often recommended for people for whom
other efforts to preserve the joint have failed. Various types of replacements are
available, and people should discuss specific needs with their doctor.
Avascular necross

Avascular necross

  • 2.
    “Avascular necrosis of thebone is the death of bone tissue due to an impaired blood supply.”
  • 3.
    Other names Avascular necrosis Osteonecrosis Boneinfarction Aseptic necrosis Bone death
  • 4.
     Ahlback disease:medial femoral condyle, i.e. SONK  Brailsford disease: head of radius  Buchman disease: iliac crest  Burns disease: distal ulna  Caffey disease: entire carpus or intercondylar spines of tibia  Dias disease: trochlea of the talus  Dietrich disease: head of metacarpals  Freiberg infraction: head of the second metatarsal  Friedrich disease: medial clavicle  Hass disease: humeral head  Iselin disease: base of 5th metatarsal  Kienbock disease: lunate  Kohler disease: patella or navicular (children)  Kummel disease: vertebral body  Legg-Calvé-Perthes disease: femoral head  Liffert-Arkin disease: distal tibia  Mandl disease: greater trochanter  Mauclaire disease: metacarpal heads  Milch disease: ischial apophysis  Mueller-Weiss disease: navicular (adult)  Panner disease: capitellum of humerus  Pierson disease: symphysis pubis  Preiser disease: scaphoid  Sever disease: calcaneal epiphysis  Thiemann disease: base of phalanges  Van Neck-Odelberg disease: ischiopubic synchondrosis
  • 5.
     Osteonecrosis hasbeen estimated to affect 20,000 new patients per year in the US  75% of patients are between the ages of 30- 60 years old  25% of patients with the condition are < 25 years of age  The disease is more common in males  7:3 males-females  An important exception to this male-to-female ratio is SLE
  • 6.
    pathogenesis  Avascular necrosisresult from direct or indirect injury ,or damage to the vascular flow.  Ciculatory deficiency result in bone and bone marrow cell death.(osteocyte , haematopoetic cell , adipocyte).  The necrotic tissue triggers repair ,a reactive surface develops at the boundary with the healthy bone.  Revitalization of the necrosis due to ingrowth of blood vessel and connective tissue from healthy surroundings →abnormal and biomechanically weak bone  Small lesions can heal , if not or incomplete → subchondral bone will break from repeated microtrauma and various significant defects will result.
  • 7.
     Cellular ischemia→ death of hematopoietic cell in 6-12 hrs, osteocyte in 12-48 hrs and lipocyte in 2-5 days
  • 8.
    Clinical Presentation  Osteonecrosiscan be asymptomatic and found incidentally on imaging  A high index of suspicion is necessary for patients with risk factors  Pertinent patient history includes history of steroid use, alcohol abuse and clotting abnormalities  Pain in the affected joint (although non-specific) is usually the presenting symptom  The initial physical exam findings may not be useful and are often non-specific  After osteonecrosis progresses, joint function deteriorates and the patient may  Have tenderness around the affected bone  Have joint deformity and muscle wasting  May even have a neurologic deficit if a nerve is compressed due to necrosis and deformity of the affected bones
  • 9.
    Late Presentation  Unfortunately,most patients present late in the course of disease  In the late stages, you may see highly deteriorated joint function and a significant limp  Without treatment, the patient would be more likely to present with severe pain at rest and at night and would have more restriction and pain with joint movements  Joint deformity, muscle wasting and non union of fracture are also more common with advanced osteonecrosis  Medullary infarcts usually remain stable over time, while subchondral infarcts often collapse and may predispose to severe secondary osteoarthritis
  • 11.
    Etiology : 1-Trauma (fractureor dislocation) 2-Dislocation 3-Collagen vascular disease 4-Sickle cell disease 5-Gaucher's disease 6-Caisson disease 7-Radiation 8-Pancreatitis, alcoholism 9-Hormonal (steroids, Cushing's disease) 10-Idiopathic (Legg-Calve-Perthes disease) 11-Pregnancy
  • 14.
    the high prevalenceand multifocal nature of AVN in SLE patients during high dose steroid treatment of disease exacerbation results from the co- occurrence of two processes 1. Vascular Injury with widespread activation of endothelium and inflammatory vasculopathy or thrombosis disrupting the microcirculation 2. Lipid Deposition with interosseous fat accumulation, secondary to glucocorticoid induced abnormal lipid metabolism, increasing intramedullary pressure (i.e. bony compartment syndrome) and decreasing perfusion
  • 16.
    Classification of theprogress of the disease as described in the association research circulation osseous (ARCO)  Initial stage (ARCO 0)  An ischaemic attach.  Still reversible and asymptomatic.  Histologicaly minimal changes can be found.  Pathological perfusion can be shown by dynamic contrast MRI.
  • 17.
    Reversible early stage(ARCO 1)  Edema of the bone marrow with extend of medullary cavity necrosis.  Start of repair process, with gradual replacement of necrotic tisssue by growth of fibrous vascullar tissue.  Still no reactive surface.  MRI
  • 19.
    Non_reversible early stage (ARCO2)  Histological bone process, in the sense of bone resorption and formation of bone marrow and the trabecula.  vascular Granulation tissue attempts to repair the necrotic area inside the secleretic zone, which is directly opposed to the area of the vital tissue.  MRI (MR double line sign)→pathognomonic in t2 ,it corresponds to reactive interface.  X-ray → blotchy change +seclerotic changes are visible.
  • 21.
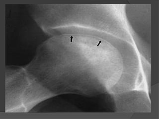
    Transitional stage (ARCO3)  Mechanical failure of the affected bone area lead to the subchonral microfracture.  It usually begins at the margin of the defect and is consequence of in sufficient repair.  X-ray → small suchonral crescent sign.  MRI → MRI cresent sign , if subchondral fracture filled with synovial fluid.
  • 23.
    Late stage (ARCO4)  Secondary arthritic lesion (calcification +resorptive cyst).  Deformity  Detect by any imaging method.
  • 25.
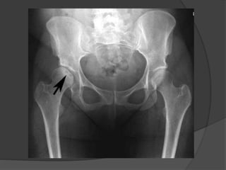
    AP radiographic viewof the pelvis shows flattening of the outer portion of the right femoral head from avascular necrosis, with adjacent joint space narrowing, juxta-articular sclerosis, and osteophytes representing degenerative joint disease (stage IV)
  • 28.
    Most common sites Head of humerus  Head of femur  Scaphoid  Femur condyles Affects bones with a single terminal blood supply
  • 29.
  • 31.
  • 32.
  • 33.
  • 34.
    diagnosis  History  Physicalexamination  investigation Plain radiography There is significant delay between infarct onset and development of radiographic signs. Classic description is of medullary lesion of sheet- like central lucency surrounded by shell-like sclerosis with serpiginous border. Discrete calcification and periostitis may also be seen. CT  Generally does not reveal much more than the plain film.  The best modality for estimating the extent of bone death  It is not as sensitive as MRI
  • 35.
    MRI  An importantfeature in differentiating bone infarct from other medullary lesions is that the central signal usually remains that of normal marrow. The marrow is not replaced.  T1  serpiginous peripheral low signal due to granulation tissue and to lesser extent sclerosis  peripheral rim may enhance post gadolinium  central signal usually that of marrow  T2  acute infarct may show ill-defined non-specific area of high signal  double-line sign: hyperintense inner ring of granulation tissue and a hypointense outer ring of sclerosis  absence of double-line sign does not exclude bone infarct  central signal usually that of marrow
  • 36.
    GE (gradient echo) will also show double-line  oedema obscured by susceptibility Nuclear medicine  bone scan Bone scintigraphy is also quite sensitive (~85%) and is the second option after MRI. It is a choice when multiple sites of involvement must be assessed in patients with risk factors, such as sickle cell disease. The findings are different accordingly to the time of the scan: • early disease: often represented by a cold area likely representing the vascular interruption • late disease: may show a "doughnut sign": a cold spot with surrounding high uptake ring (surrounding hyperaemia and adjacent synovitis)  no uptake (cold spot) where blood supply absent  mildly increased uptake at periphery during acute phase
  • 37.
    Biopsy A biopsy isa surgical procedure in which a tissue sample from the affected bone is removed and studied. Although a biopsy is a conclusive way to diagnose osteonecrosis, it is rarely used because it requires surgery. Functional Evaluation of Bone Tests to measure the pressure inside a bone may be used when the doctor strongly suspects that a patient has osteonecrosis, despite normal results of x rays, bone scans, and MRIs. These tests are very sensitive for detecting increased pressure within the bone, but they require surgery.
  • 40.
    Imaging Method FindingsTime to Diagnosis Comments CT reactive sclerosis subchondral collapse months sensitivity poor specificity OK radionuclide imaging decreased uptake early, increased uptake late weeks sensitivity good specificity poor MRI decreased signal in a segmental pattern days to weeks sensitivity excellent specificity good MRI or PET flow study decreased flow through affected bone minutes theoretically possible, but not yet proven
  • 41.
  • 42.
    X-ray of headof femur (AVN)  Crescent Sign  Snowcapping  Areas of lucency  Flattening of joint surface
  • 43.
  • 44.
  • 45.
  • 46.
    Differential Diagnostic Considerations Other problemsto consider in the differential diagnosis of avascular necrosis include the following:  Inflammatory synovitis  Complex regional pain syndrome  Labral tears  Osteomyelitis  Neoplastic bone conditions Differential Diagnoses  Osteoarthritis  Osteoporosis
  • 47.
    Various methods fortreatment and delaying disease progression Non surgical – Appropriate treatment for osteonecrosis is necessary to keep joints from breaking down. Without treatment, most people with the disease will experience severe pain and limitation in movement. To determine the most appropriate treatment, the doctor considers the following:  the age of the patient  the stage of the disease (early or late)  the location and whether bone is affected over a small or large area  the underlying cause of osteonecrosis; with an ongoing cause such as corticosteroid or alcohol use, treatment may not work unless use of the substance is stopped. The goal in treating osteonecrosis is to improve the patient’s use of the affected joint, stop further damage to the bone, and ensure bone and joint survival. To reach these goals, the doctor may use one or more of the following surgical or nonsurgical treatments.
  • 48.
    Nonsurgical Treatments Usually, doctorswill begin with nonsurgical treatments, alone or in combination. Unfortunately, although these treatments may relieve pain or help in the short term, for most people they don’t bring lasting improvement.  Medications.  Nonsteroidal anti-inflammatory drugs (NSAIDs) are often prescribed to reduce pain.  People with clotting disorders may be given blood thinners to reduce clots that block the blood supply to the bone.  Cholesterol-lowering medications may be used to reduce fatty substances (lipids) that increase with corticosteroid treatment (a major risk factor for osteonecrosis).  Bisphosphonate  Anticoagulants  Vasodilators  Biophysical modalities
  • 49.
     Reduced weightbearing. If osteonecrosis is diagnosed early, the doctor may begin treatment by having the patient remove weight from the affected joint. The doctor may recommend limiting activities or using crutches. In some cases, reduced weight bearing can slow the damage caused by osteonecrosis and permit natural healing. When combined with pain medication, reduced weight bearing can be an effective way to avoid or delay surgery for some patients.  Range-of-motion exercises. An exercise program involving the affected joints may help keep them mobile and increase their range of motion.  Electrical stimulation. This treatment has been used in several centers to induce bone growth, and in some studies has been helpful when used before femoral head collapse.
  • 50.
    Surgical – A numberof different surgical procedures are used to treat osteonecrosis. Most people with osteonecrosis will eventually need surgery.  Core decompression. This surgical procedure removes the inner cylinder of bone, which reduces pressure within the bone, increases blood flow to the bone, and allows more blood vessels to form. Core decompression works best in people who are in the earliest stages of osteonecrosis, often before the collapse of the joint. This procedure sometimes reduces pain and slows the progression of bone and joint destruction.  Osteotomy. This treatment involves reshaping the bone to reduce stress on the affected area. Recovery can be a lengthy process, requiring several months of very limited activities. This procedure is most effective for patients with early-stage osteonecrosis and those with a small area of affected bone.  Vascularised bone graft/muscle pedicle graft.This is the transplantation of healthy bone from another part of the body. It is often used to support a joint after core decompression. In many cases, the surgeon will use what is called a vascular graft, which includes an artery and vein, to increase the blood supply to the affected area. Recovery from a bone graft can take several months.  Arthroplasty/total joint replacement. Total joint replacement is the treatment of choice in late-stage osteonecrosis and when the joint is destroyed. In this surgery, the diseased joint is replaced with artificial parts. Total joint replacement, or sometimes femoral head resurfacing, is often recommended for people for whom other efforts to preserve the joint have failed. Various types of replacements are available, and people should discuss specific needs with their doctor.