ASD 
(Atrial Septum Defect) 
Naila Husna Pratami 
13.165
Definisi 
• Defek septum atrium merupakan keadaan 
dimana terjadi defek pada bagian septum 
antar atrium sehingga terjadi komunikasi 
langsung antara atrium kanan dan kiri.
Etiologi 
• Adanya gangguan atau kegagalan 
pembentukan dan perkembangan jantung 
pada fasel awal kehidupan janin.
Klasifikasi 
• Atrial septal defek sekundum 50-70% dari 
seluruh ASD. 
• Atrial septal defect primum 15% dari seluruh 
ASD. 
• Sinus venosus defect 10% dari seluruh ASD.
Epidemiologi 
• Defek septum atrium sekundum lebih sering 
terjadi pada perempuan dengan rasio 2:1 
• Tipe sinus venosus radio 1:1
Manifestasi klinis 
• Bayi sdan anak dengan ASD biasanya 
asimptomatik. 
• Kurang dari 10% kasus ASD memperlihatkan 
gejala aliran darah pulmoner yang berlebih, 
seperti kesulitan menyusu, sering batuk 
panas, dan pertumbuhan badan kurang pada 
usia bayi
Pemeriksaan fisik 
• Pulsasi ventrikel kanan pada daerah para 
sternal kanan 
• Wide fixed splitting bunyi jantung kedua 
walaupun tidak selalu ada 
• Bising sitolik tipe ejeksi pada daerah pulmonal 
pada garis sternal kiri atas 
• Bising mid diastolik pada daerah trikuspid, 
dapat menyebar ke apeks.
Pemeriksaan fisik 
• Bunyi jantung kedua mengeras di daerah 
pulmonal 
• Sianosis jarang ditemukan.
EKG 
• Menunjukan aksis ke kanan, blok bundel 
kanan, hipertrovi ventrikel kanan, interval PR 
memanjang, aksis gelombang P abnormal.
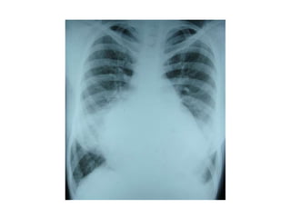
Foto Rontgen Dada 
• Pada foto lateral terlihat daerah retrosternal 
terisi, akibat pembesaran ventrikel kanan. 
• Dilatasi atrium kanan. 
• Segmen pulmonal menonjol, corakan vaskular 
paru prominen.
Ekokardiografi 
• Dengan menggunakan ETT dan doppler berwarna 
dapat ditentukan lokasi defek septum, arah pirau, 
ukuran atrium dan ventrikel kanan, keterlibatan 
katup mitral misalnya prolaps yang memang 
sering terjadi pada ASD 
• ETE sangat bermanfaat untuk pengukuran besar 
defek secara presisi, sehingga dapat membantu 
dalam tindakan penutupan ASD perkutan, juga 
kelainan yg menyertai.
Kateterisasi jantung 
• Pemeriksaan ini diperlukan guna 
– Melihat adanya peningkatan saturasi oksigen di 
atrium kanan 
– Mengukur rasio besarnya aliran pulmonal sistemik 
(Qp/Qs) 
– Menetapkan tekanan dan resistensi arteri pulmonalis 
– Evaluasi anomali aliran vena pulmonalis 
– Angiografi koroner selektif pada kelompok umur yang 
lebih tua, sebelum tindakan operasi penutupan ASD.
Magnetic Resonance Imaging 
• Sebagai tambahan dalam menentukan adanya 
dan lokasi ASD. 
• Evaluasi anomali aliran vena, bila belum bisa 
dibuktikan dengan modalitas lain 
• Dapat dipakai untuk estimasi Qp/Qs
Tatalaksana 
• Penutupan ASD 
– Dianjurkan bila 
• Aliran pirau cukup bermakna, yaitu terlihat tanda-tanda 
pembebanan volum ventrikel kanan (Qp:Qs>= 1,5 atau 
terlihat dilatasi ventrikel kanan) 
• Pulmonary vascular resistance index (PARI) <=10 
units/m2 atau <= units/m2 dengan tes oksigen atau 
vasodilator
Tatalaksana 
• Intervensi non bedah 
– Penutupan ASD tanpa bedah hanya dimungkinkan 
pada ASD sekundum ukuran 5-32mm dengan rim 
yang adekuat 
– Penutupan dengan cara ini tidak meninggalkan 
jaringan parut 
– Pasien perlu minum aspirin 80mg/hari sampai 6 
bulan pasca procedur 
– Besarnya sheath yang dipakai membatasi 
pengunaannya pada bayi
Tatalaksana 
• Intervensi bedah 
– Pembedahan biasanya dilakukan pada usia 2-4 
tahun. 
– Keberhasilan bedah cukup tinggi dengan kematian 
<0.5%, angka kematian meningkat bila 
pembedaahan dilakukan pada bayi dan AS disertai 
vaskular pulmoner yang tinggi.
Referensi 
• IPD UI 
• PKV
• maaciwww

Asd

  • 1.
    ASD (Atrial SeptumDefect) Naila Husna Pratami 13.165
  • 2.
    Definisi • Defekseptum atrium merupakan keadaan dimana terjadi defek pada bagian septum antar atrium sehingga terjadi komunikasi langsung antara atrium kanan dan kiri.
  • 3.
    Etiologi • Adanyagangguan atau kegagalan pembentukan dan perkembangan jantung pada fasel awal kehidupan janin.
  • 4.
    Klasifikasi • Atrialseptal defek sekundum 50-70% dari seluruh ASD. • Atrial septal defect primum 15% dari seluruh ASD. • Sinus venosus defect 10% dari seluruh ASD.
  • 6.
    Epidemiologi • Defekseptum atrium sekundum lebih sering terjadi pada perempuan dengan rasio 2:1 • Tipe sinus venosus radio 1:1
  • 7.
    Manifestasi klinis •Bayi sdan anak dengan ASD biasanya asimptomatik. • Kurang dari 10% kasus ASD memperlihatkan gejala aliran darah pulmoner yang berlebih, seperti kesulitan menyusu, sering batuk panas, dan pertumbuhan badan kurang pada usia bayi
  • 8.
    Pemeriksaan fisik •Pulsasi ventrikel kanan pada daerah para sternal kanan • Wide fixed splitting bunyi jantung kedua walaupun tidak selalu ada • Bising sitolik tipe ejeksi pada daerah pulmonal pada garis sternal kiri atas • Bising mid diastolik pada daerah trikuspid, dapat menyebar ke apeks.
  • 9.
    Pemeriksaan fisik •Bunyi jantung kedua mengeras di daerah pulmonal • Sianosis jarang ditemukan.
  • 10.
    EKG • Menunjukanaksis ke kanan, blok bundel kanan, hipertrovi ventrikel kanan, interval PR memanjang, aksis gelombang P abnormal.
  • 12.
    Foto Rontgen Dada • Pada foto lateral terlihat daerah retrosternal terisi, akibat pembesaran ventrikel kanan. • Dilatasi atrium kanan. • Segmen pulmonal menonjol, corakan vaskular paru prominen.
  • 14.
    Ekokardiografi • Denganmenggunakan ETT dan doppler berwarna dapat ditentukan lokasi defek septum, arah pirau, ukuran atrium dan ventrikel kanan, keterlibatan katup mitral misalnya prolaps yang memang sering terjadi pada ASD • ETE sangat bermanfaat untuk pengukuran besar defek secara presisi, sehingga dapat membantu dalam tindakan penutupan ASD perkutan, juga kelainan yg menyertai.
  • 16.
    Kateterisasi jantung •Pemeriksaan ini diperlukan guna – Melihat adanya peningkatan saturasi oksigen di atrium kanan – Mengukur rasio besarnya aliran pulmonal sistemik (Qp/Qs) – Menetapkan tekanan dan resistensi arteri pulmonalis – Evaluasi anomali aliran vena pulmonalis – Angiografi koroner selektif pada kelompok umur yang lebih tua, sebelum tindakan operasi penutupan ASD.
  • 17.
    Magnetic Resonance Imaging • Sebagai tambahan dalam menentukan adanya dan lokasi ASD. • Evaluasi anomali aliran vena, bila belum bisa dibuktikan dengan modalitas lain • Dapat dipakai untuk estimasi Qp/Qs
  • 18.
    Tatalaksana • PenutupanASD – Dianjurkan bila • Aliran pirau cukup bermakna, yaitu terlihat tanda-tanda pembebanan volum ventrikel kanan (Qp:Qs>= 1,5 atau terlihat dilatasi ventrikel kanan) • Pulmonary vascular resistance index (PARI) <=10 units/m2 atau <= units/m2 dengan tes oksigen atau vasodilator
  • 19.
    Tatalaksana • Intervensinon bedah – Penutupan ASD tanpa bedah hanya dimungkinkan pada ASD sekundum ukuran 5-32mm dengan rim yang adekuat – Penutupan dengan cara ini tidak meninggalkan jaringan parut – Pasien perlu minum aspirin 80mg/hari sampai 6 bulan pasca procedur – Besarnya sheath yang dipakai membatasi pengunaannya pada bayi
  • 20.
    Tatalaksana • Intervensibedah – Pembedahan biasanya dilakukan pada usia 2-4 tahun. – Keberhasilan bedah cukup tinggi dengan kematian <0.5%, angka kematian meningkat bila pembedaahan dilakukan pada bayi dan AS disertai vaskular pulmoner yang tinggi.
  • 21.
  • 22.