SHOULD ANTICOAGULATION BE
USED IN A CARDIO-EMBOLIC
STROKE? IF SO, WHEN?



     Dr Tushar Patil, MD
CASE
A 76 years old right handed lady presented with
 Acute onset weakness of right half of body since 2 days
 Inability to speak since 2 days

No h/o
 Any other cranial nerve symptom
 Loss of conciousness
 Headache, vomitting
 Chest pain, Palpitations, Dyspnoea

Past History-
 Hypertension since 10 years, not on regular treatment

No h/o
 Ischemic heart disease,Diabetes
 Stroke,TIA
 Smoking, Tobacco chewing
On Examination,
 Elderly female

 BP-140/90

 Pulse-150/minute, Irregularly Irregular, good volume, all peripheral
  pulsations including carotids well felt
 Resp- 20/min

 GCS-11/15

 Motor Aphasia

 Right seventh nerve supranuclear palsy

 Other cranial nerves normal

 Power- Grade 1 in right upper and lower limbs and normal on left
  side
 DTR- 3+ on right side

 Plantars- Right-extensor, left – flexor

 CVS- S1 changing in intensity, no murmurs
INVESTIGATIONS
   Hb, TLC, DLC, Platelets, GBP- Within normal limits
   Kidney and liver function Tests – Normal
   Serum sodium-142 mEq/L
   Serum Potassium-4.1 mEq/L
   Random Blood Sugar- 68 mg/dL
   PT-INR= 1.04
   ECG- HR=150/minute, Absent P waves, Changing R-R interval
   Transthoracic 2D Echocardiography - LVEF-62%, No RWMA,
    No e/o any chamber hypertrophy, No LA/LV clot, No vegetations
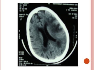
   CT Brain- Infarct involving left frontal, parietal and occipital
    areas with foci of hemorrhage within infarct
DIAGNOSIS



Ischemic Stroke: Right hemiparesis with motor
aphasia – Cardioembolic stroke secondary to non-
           rheumatic atrial fibrillation
SHOULD THIS PATIENT BE TREATED WITH
    ANTICOAGULATION OR NOT?


   The effect of anticoagulation on the incidence and severity of
    hemorrhagic transformation remains uncertain.
   Heparin is frequently used after an embolic stroke to prevent early
    recurrence.
   The clinical dilemma rests on the balance of risk between
    preventing neurologic worsening due to recurrent embolism versus
    the potential for promoting symptomatic hemorrhagic
    transformation.
YES, THE PATIENT NEEDS
ANTICOAGULATION
RATIONALE
   Atrial fibrillation is the most common cause of cardiac embolism
    and is responsible for about 50% of all cardiogenic emboli.
   Cardioembolic stroke patients have a high risk for stroke
    recurrence, and greater mortality.
   Anticoagulation with heparin/ Warfarin is therapy of choice for
    stroke prevention in patients with AF who have had a stroke or
    TIA, and in high-risk AF patients.
   Efficacy of antiplatelets for prevention of cardioembolic stroke is
    less than anticoagulants.
   Stroke rates in relation to age among patients in untreated control groups of 
                     randomized trials of antithrombotic therapy.




Atrial Fibrillation Investigators. Risk factors for stroke and efficacy of antithrombotic therapy in atrial fibrillation. Analysis of pooled data from
five randomized controlled trials. Arch Intern Med 1994;154:1449–57.47
STROKE RISK IN PATIENTS WITH NONVALVULAR
        AF NOT
        TREATED WITH ANTICOAGULATION ACCORDING
        TO THE CHADS2 INDEX




[1]van Walraven WC, Hart RG, Wells GA, et al. A clinical prediction rule to identify patients with atrial fibrillation and a low risk for stroke while taking aspirin.
Arch Intern Med 2003;163:936–43415;
[2] Gage BF, Waterman AD, Shannon W, et al. Validation of clinical classification schemes for predicting stroke: results from the National Registry of Atrial
Fibrillation. JAMA 2001;285:2864 –70.
RISK-BASED APPROACH TO
  ANTITHROMBOTIC THERAPY IN PATIENTS
  WITH ATRIAL FIBRILLATION




ACC/AHA/ESC 2006 Guidelines for the Management of Patients With Atrial Fibrillation
   Effects on all stroke (ischemic and hemorrhagic) of therapies for patients with atrial 
                                                                    fibrillation




Hart RG, Benavente O, McBride R, et al. Antithrombotic therapy to prevent stroke in patients with atrial fibrillation: a meta-analysis. Ann Intern Med
 1999;131:492–501.420 AFASAK indicates Copenhagen Atrial Fibrillation, Aspirin, Anticoagulation; BAATAF, Boston Area Anticoagulation Trial for
 Atrial Fibrillation; CAFA, Canadian Atrial Fibrillation Anticoagulation; CI, confidence interval; EAFT, European Atrial Fibrillation Trial; SPAF, Stroke
 Prevention in Atrial Fibrillation; and SPINAF, Stroke Prevention in Nonrheumatic Atrial Fibrillation.
 OAC is highly effective for prevention of all strokes
 It has a risk reduction of 68% for both primary as well as
  secondary stroke as compared to placebo.
 adjusted-dose OAC resulted in relative risk reduction of
  52% as compared to aspirin.




► R. G. Hart, O. Benavente, R. McBride, and L. A. Pearce,“Antithrombotic therapy to prevent
  stroke in patientswith atrial fibrillation: a meta-analysis,” Annals of Internal Medicine, vol.
  131, no. 7, pp. 492–501, 1999.
►G. Y. H. Lip and S. J. Edwards, “Stroke prevention with aspirin, warfarin and ximelagatran in
  patients with nonvalvular atrial fibrillation: a systematic review and metaanalysis,”
  Thrombosis Research, vol. 118, no. 3, pp. 321–333, 2006
►C. Van Walraven, R. G. Hart, D. E. Singer et al., “Oral anticoagulants vs aspirin in nonvalvular
  atrial fibrillation: an individual patient meta-analysis,” Journal of the American Medical
  Association, vol. 288, no. 19, pp. 2441–2448, 2002.
ACTIVE-W

   The ACTIVE-W (Atrial Fibrillation Clopidogrel Trial
    with Irbesartan for Prevention of Vascular Events)
    trial compared clopidogrel plus ASA with oral
    anticoagulation therapy with warfarin for prevention of
    vascular events in AF patients with an average  of 2 stroke
    risk factors.
   Oral anticoagulation therapy with warfarin proved superior
    to clopidogrel plus ASA for prevention of vascular events in
    AF patients.
      Connolly S, Pogue J, Hart R, et al. Clopidogrel plus aspirin versus oral
    anticoagulation for atrial fibrillation in the Atrial fibrillation Clopidogrel Trial with
    Irbesartan for prevention of Vascular Events (ACTIVE W): a randomised controlled
    trial Lancet 2006;367:1903-1912.
ACC/AHA/ESC 2006 GUIDELINES FOR THE
MANAGEMENT OF PATIENTS WITH ATRIAL
FIBRILLATION: CLASS I RECOMMENDATIONS
   Antithrombotic therapy to prevent thromboembolism is
    recommended for all patients with AF, except those with lone AF
    or contraindications. (Level of Evidence: A)
      For patients without mechanical heart valves at high risk
    of stroke, chronic oral anticoagulant therapy with a vitamin K
    antagonist is recommended in a dose adjusted to achieve the
    target intensity INR of 2.0 to 3.0, unless contraindicated. Factors
    associated with highest risk for stroke in patients with AF are
    prior thromboembolism (stroke, TIA, or systemic embolism)
    and rheumatic mitral stenosis. (Level of Evidence: A)
      Anticoagulation with a vitamin K antagonist is recommended
    for patients with more than 1 moderate risk factor. Such factors
    include age 75 y or greater, hypertension, HF, impaired LV
    systolic function (ejection fraction 35% or less or fractional
    shortening less than 25%), and diabetes mellitus. (Level of
    Evidence: A)

Circulation.2006; 114: e257-e354
THE INTERNATIONAL STROKE
TRIAL
   Randomized over 19,000 patients to subcutaneous heparin in doses
    of 10,000 units per day, 25,000 units per day Vs placebo and aspirin
    Vs placebo .
   The overall incidence of recurrent ischemic stroke within 14 days
    was 3.8% in the control arm and 2.9% in heparin-treated patients.
   In patients with atrial fibrillation the incidence of recurrent stroke
    within the first 14 days was 4.9% in the control arm and 2.8% in
    patients treated with heparin.

The International Stroke Trial (IST): a randomised trial of aspirin,
subcutaneous heparin, both, or neither among 19 435 patients with acute
ischaemic stroke : International Stroke Trial Collaborative Group. The
   Lancet, Volume 349, Issue 9065, Pages 1569 - 1581, 31 May 1997
TOAST
   The Trial of the Heparinoid ORG 10172 (danaparoid) in
    Acute Stroke (TOAST) was a randomized, double-blind,
    placebo-controlled trial in which 1281 patients were enrolled
    at 36 US centers . 
   In this trial, 1281 patients with ischemic stroke who presented
    within 24 hours of symptom onset were randomized to this
    drug or placebo intravenously for 7 days
   At 7 days, 34% of treated patients and only 28% of control
    subjects had very favorable outcomes (p = 0.01).
   In a prespecified secondary analysis of TOAST data
    unadjusted for multiple comparisons, a potential beneficial
    effect of the heparinoid, danaparoid, was suggested in the
    subgroup of patients with large artery atherosclerosis.
Publications Committee for the Trial of ORG 10172 in Acute Stroke Treatment
  (TOAST) Investigators. Low molecular weight heparinoid, ORG 10172
  (Dsanaparoid), and outcome after acute ischemic stroke. JAMA 1998; 279:
  1265–1272. 
ACCP GUIDELINES
ANTITHROMBOTIC AND THROMBOLYTIC THERAPY
FOR ISCHEMIC STROKE
   Oral anticoagulant therapy is highly effective for both primary
    and secondary prevention of stroke in patients with atrial
    fibrillation .
   In the European Atrial Fibrillation Trial, patients with
    recent stroke or TIA and atrial fibrillation were treated with
    oral anticoagulation.
    In about half of the patients, anticoagulation was initiated
    within 2 weeks after symptom onset. No increase in brain
    hemorrhage was apparent in patients treated early vs later.
    In general, we recommend initiation of oral anticoagulation
    therapy within 2 weeks of a cardioembolic stroke.
   Recommendation:In patients with atrial fibrillation
    who have suffered a recent stroke or TIA, we
    recommend long-term oral anticoagulation (target INR,
    2.5; range, 2.0 to 3.0) [Grade 1A].
Chest - Volume 133, Issue 6 (June 2008)
EAFT (European Atrial Fibrillation Trial) Study Group : Secondary prevention in
  non-rheumatic atrial fibrillation after transient ischaemic attack or minor
  stroke. Lancet 342. 1255-1262.1993
NO, THE PATIENT SHOULD NOT BE
ANTICOAGULATED
RATIONALE
 High risk of intracranial hemorrhage
 Age of the patient

 Questionable efficacy in improving stroke
  outcome
 Stroke with hemorrhagic conversion
INTERNATIONAL STROKE
TRIAL (IST)

   With heparin, no significant difference in 14-day mortality
    (heparin, 9.0% vs no heparin, 9.3%) or 6-month outcome
    (heparin, 62.9% dead or dependent vs no heparin, 62.9%).
   Even among patients treated within 6 h, no benefit for
    heparin at 6 months.
   At 14 days, recurrent ischemic strokes significantly
    reduced in heparin groups (from 3.8 to 2.9%) but
    hemorrhagic stroke was significantly increased (from 0.4 to
    1.2%), yielding no net benefit.
INTERNATIONAL STROKE
TRIAL (IST)
    In patients with atrial fibrillation and acute ischemic
    stroke, heparin significantly reduced the risk of 14-day
    ischemic stroke recurrence from 4.9 to 2.8%, but an
    increased risk of hemorrhagic stroke (2.1 vs 0.4%)
    neutralized the potential benefits.
   The higher-dose regimen (12,500 U bid) was associated
    with more systemic bleeding, hemorrhagic strokes, and a
    significantly increased risk of death or nonfatal stroke at
    14 days.

The International Stroke Trial (IST): a randomised trial of aspirin,
subcutaneous heparin, both, or neither among 19 435 patients with acute
ischaemic stroke : International Stroke Trial Collaborative Group. The
   Lancet, Volume 349, Issue 9065, Pages 1569 - 1581, 31 May 1997
ASA GUIDELINES FOR THE EARLY
MANAGEMENT OF ADULTS WITH
ISCHEMIC STROKE
Class III Recommendations
1. Urgent anticoagulation with the goal of preventing early
   recurrent stroke, halting neurological worsening, or
   improving outcomes after acute ischemic stroke is not
   recommended for treatment of patients with acute ischemic
   stroke (Class III, Level of Evidence A).
2. Urgent anticoagulation is not recommended for patients
   with moderate to severe strokes because of an increased
   risk of serious intracranial hemorrhagic complications
   (Class III, Level of Evidence A).
3. Initiation of anticoagulant therapy within 24 hours of
   treatment with intravenously administered rtPA is not
   recommended (Class III, Level of Evidence B).
Guidelines for the Early Management of Adults With Ischemic Stroke :Stroke
  2007, 38:1655-1711
NEUROLOGY:ANTICOAGULANTS AND
     ANTIPLATELET AGENTS IN ACUTE ISCHEMIC
     STROKE
 Do antithrombotic agents reduce stroke mortality and stroke-related
1.
   morbidity?
    Abciximab, unfractionated heparin, LMW heparins, and heparinoids have
   not been shown to reduce mortality or stroke-related morbidity when used
   within 48 hours of onset in patients with acute ischemic stroke.
2. Do antithrombotic agents reduce early stroke recurrence?
    unfractionated heparin and LMW heparin/heparinoids, when used within
   48 hours of onset in patients with acute ischemic stroke, have not been
   shown to reduce the rate of stroke recurrence.
3. What are the risks of hemorrhage associated with antithrombotic agents?
    There is an increase in both systemic and CNS hemorrhage in patients
   treated with aspirin, subcutaneous unfractionated heparin, or LMW
   heparin/heparinoids




Anticoagulants and antiplatelet agents in acute ischemic stroke :Report of the Joint Stroke
   Guideline Development Committee of the American Academy of Neurology and the American
   Stroke Association. Neurology - Volume 59, Issue 1 (July 2002)
   A summary of stroke “megatrials” demonstrated recurrent ischemic
    stroke rates to range between 0.63 and 2.20/100 patients per week,
    and most experts now agree that the older estimates for recurrent
    stroke rates were high (Swanson 1999).
   The large numbers of evaluated patients in the International Stroke
    Trial and TOAST trial support the conclusions that the overall risk
    of early recurrent stroke is low and the absolute benefit of routine
    heparin is marginal.
   The risks and benefits in carefully assessed and closely monitored
    patient subgroups remain uncertain.
Swanson RA. Intravenous heparin for acute stroke: what can we
  learn from the megatrials? Neurology.1999 Jun 10;52(9):1746-50.
   A large metaanalysis of 22 trials among 23,547 patients
    showed that immediate anticoagulation of patients with acute
    ischemic stroke was not associated with a significant reduction
    in death or dependency. [1]
   Although anticoagulants were associated with about 9 fewer
    recurrent ischemic strokes per 1,000 treated, this was offset by
    a similar increase of 9 symptomatic intracranial hemorrhages
    per 1,000 treated.
   Only a single randomized trial has evaluated this regimen
    compared with placebo for patients with acute stable stroke
    since 1980.
   No significant difference in stroke progression or neurologic
    outcome was detected in this relatively small study (n = 225).
    [2]
     [1]Gubitz G, Sandercock P, Counsell C:  Anticoagulants for acute ischaemic
    stroke.   Cochrane Database Syst Rev . CD000024.2004
    [2]Duke RJ, Bloch RF, Turpie AG, et al:  Intravenous heparin for the
    prevention of stroke progression in acute partial stable stroke.   Ann Intern
    Med 105. 825-828.1986
   Rothrock et al evaluated 121 consecutive patients with
    acute cardioembolic stroke. Forty-nine were
    therapeutically anticoagulated within 96 hours of stroke
    onset, and 41 received no anticoagulants within the first 2
    weeks after stroke.
   The incidences of clinically significant brain hemorrhage
    (2%) and early recurrent embolization (2%) were equally
    low in both groups.
    acute anticoagulation may be employed safely in most
    patients with cardioembolic stroke but that such treatment
    does not clearly benefit this population as a whole.



      JF Rothrock, HC Dittrich, S McAllen, BJ Taft and PD Lyden. Acute
    anticoagulation following cardioembolic stroke .Stroke 1989;20:730-734
   The Cerebral Embolism Study Group reported that 22 of
    24 patients with symptomatic hemorrhagic transformation
    were associated with anticoagulation therapy[1] .
   Some reports suggest that although anticoagulation does
    not precipitate hemorrhagic transformation,
    anticoagulation may worsen the severity of spontaneous
    bleeding (Cerebral Embolism Study Group
    1983[1]; 1987[2]).




[1]Immediate anticoagulation of embolic stroke: a randomized trial.
   Cerebral Embolism Study Group. Stroke 1983, 14:668-676
[2]Cardioembolic stroke, early anticoagulation, and brain
   hemorrhage. Cerebral Embolism Study Group.Arch Intern Med.
   1987 Apr;147(4):636-40.
COCHRANE DATABASE
Anticoagulants offered no net advantages over antiplatelet agents in
  acute ischaemic stroke. The combination of low-dose UFH and
  aspirin appeared in a subgroup analysis to be associated with net
  benefits compared with aspirin alone.

Berge E, Sandercock PAG. Anticoagulants versus antiplatelet agents for acute ischaemic stroke.
   Cochrane Database of Systematic Reviews 2002, Issue 4. Art. No.: CD003242. DOI:
   10.1002/14651858.CD003242     .
DVT & PE
   DVT and PE are frequent complications of stroke, with about 5%
    of early deaths attributed to PE. [1]
   In an overview analysis among acute stroke patients,
    anticoagulants were associated with 4 fewer pulmonary emboli
    per 1,000 (OR, 0.60; 95% CI, 0.44–0.81). [2]
   In the IST, there was a significant reduction in the frequency of
    fatal or nonfatal PE, from 0.8 to 0.5%, among those treated with
    SC UFH (p < 0.05). [3]
   In a metaanalysis among 740 acute ischemic stroke subjects from
    four trials, there was a significant reduction in the odds of DVT
    (OR, 0.52; 95% CI, 0.56–0.79) among those allocated to low-
    molecular-weight heparins or heparinoids vs standard UFH. [4]
   Two trials of direct comparisons between a low-molecular-weight
    heparin and UFH have shown similar safety and efficacy for
    enoxaparin and noninferiority for certoparin. [5] , [6]
PREVAIL
PREVENTION OF VENOUS
THROMBOEMBOLISM AFTER ACUTE
ISCHEMIC STROKE
   Open-label, randomized comparison of enoxaparin 40 mg
    SC qd or UFH 5,000 U SC q12h in patients with ischemic
    stroke [7]
   1,762 patients randomized within 48 h of symptom onset
    and stratified on stroke severity (NIHSS < or ≥14).
   10% patients in the enoxaparin group had a primary end
    point compared to 18% in patients randomized to UFH,
    yielding a 43% RRR (0.57; 95% CI, 0.44–0.76; p = 0.0001).
   The results for proximal DVT were 5% in the enoxaparin
    group and 10% in the UFH group (p = 0.0003).
   The risk of both symptomatic intracranial bleeding and
    major extracranial hemorrhage was also similar in both
    groups (1% each)
ANTITHROMBOTIC AND THROMBOLYTIC
THERAPY 8TH ED: ACCP GUIDELINES
ANTITHROMBOTIC AND THROMBOLYTIC
THERAPY FOR ISCHEMIC STROKE

 For acute stroke patients with restricted mobility,
  we recommend prophylactic low-dose SC heparin
  or low-molecular-weight heparins (Grade 1A).



[1]  Antiplatelet Trialists' Collaboration :  Collaborative overview of randomised trials of antiplatelet therapy: III. Reduction
     in venous thrombosis and pulmonary embolism by antiplatelet prophylaxis among surgical and medical patients.
       BMJ 308. 235-246.1994
[2]  Gubitz G, Sandercock P, Counsell C:  Anticoagulants for acute ischaemic stroke.   Cochrane Database Syst
     Rev . CD000024.2004
[3]  International Stroke Trial (IST) :  A randomised trial of aspirin, subcutaneous heparin, both, or neither among 19435
      patients with acute ischaemic stroke: International Stroke Trial Collaborative Group.   Lancet 349. 1569-1581.1997;
[4] Sandercock P, Counsell C, Stobbs SL:  Low-molecular-weight heparins or heparinoids versus standard unfractionated
     heparin for acute ischaemic stroke.   Cochrane Database Syst Rev . CD000119.2005; 
[5]  Diener HC, Ringelstein EB, von Kummer R, et al:  Prophylaxis of thrombotic and embolic events in acute ischemic
     stroke with the low-molecular-weight heparin certoparin: results of the PROTECT Trial.   Stroke 37. 139-144.2006
[6 ]Hillbom M, Erila T, Sotaniemi K, et al:  Enoxaparin vs heparin for prevention of deep-vein thrombosis in acute
     ischaemic stroke: a randomized, double-blind study.  Acta Neurol Scand 106. 84-92.2002;
[7]  Sherman DG, Albers GW, Bladin C, et al:  The efficacy and safety of enoxaparin versus unfractionated heparin for the
     prevention of venous thromboembolism after acute ischaemic stroke (PREVAIL Study): an open-label randomised
     comparison.   Lancet 369. 1347-1355.2007;
COCHRANE DATABASE
•   Since the last version of the review, neither of the two new
    relevant studies have provided additional information to
    change the conclusions.
•   In patients with acute ischaemic stroke, immediate
    anticoagulant therapy is not associated with net short or long-
    term benefit.
•   Treatment with anticoagulants reduced recurrent stroke, deep
    vein thrombosis and pulmonary embolism, but increased
    bleeding risk.
•   The data do not support the routine use of any the currently
    available anticoagulants in acute ischaemic stroke.

Sandercock PAG, Counsell C, Kamal AK. Anticoagulants for acute ischaemic
  stroke. Cochrane Database of Systematic Reviews 2008, Issue 4. Art. No.:
  CD000024. DOI: 10.1002/14651858.CD000024.pub3.
THANK YOU

Anticoagulation in cardio-embolic stroke : a debate

  • 1.
    SHOULD ANTICOAGULATION BE USEDIN A CARDIO-EMBOLIC STROKE? IF SO, WHEN? Dr Tushar Patil, MD
  • 2.
    CASE A 76 yearsold right handed lady presented with  Acute onset weakness of right half of body since 2 days  Inability to speak since 2 days No h/o  Any other cranial nerve symptom  Loss of conciousness  Headache, vomitting  Chest pain, Palpitations, Dyspnoea Past History-  Hypertension since 10 years, not on regular treatment No h/o  Ischemic heart disease,Diabetes  Stroke,TIA  Smoking, Tobacco chewing
  • 3.
    On Examination,  Elderlyfemale  BP-140/90  Pulse-150/minute, Irregularly Irregular, good volume, all peripheral pulsations including carotids well felt  Resp- 20/min  GCS-11/15  Motor Aphasia  Right seventh nerve supranuclear palsy  Other cranial nerves normal  Power- Grade 1 in right upper and lower limbs and normal on left side  DTR- 3+ on right side  Plantars- Right-extensor, left – flexor  CVS- S1 changing in intensity, no murmurs
  • 4.
    INVESTIGATIONS  Hb, TLC, DLC, Platelets, GBP- Within normal limits  Kidney and liver function Tests – Normal  Serum sodium-142 mEq/L  Serum Potassium-4.1 mEq/L  Random Blood Sugar- 68 mg/dL  PT-INR= 1.04  ECG- HR=150/minute, Absent P waves, Changing R-R interval  Transthoracic 2D Echocardiography - LVEF-62%, No RWMA, No e/o any chamber hypertrophy, No LA/LV clot, No vegetations  CT Brain- Infarct involving left frontal, parietal and occipital areas with foci of hemorrhage within infarct
  • 7.
    DIAGNOSIS Ischemic Stroke: Righthemiparesis with motor aphasia – Cardioembolic stroke secondary to non- rheumatic atrial fibrillation
  • 8.
    SHOULD THIS PATIENTBE TREATED WITH ANTICOAGULATION OR NOT?  The effect of anticoagulation on the incidence and severity of hemorrhagic transformation remains uncertain.  Heparin is frequently used after an embolic stroke to prevent early recurrence.  The clinical dilemma rests on the balance of risk between preventing neurologic worsening due to recurrent embolism versus the potential for promoting symptomatic hemorrhagic transformation.
  • 9.
    YES, THE PATIENTNEEDS ANTICOAGULATION
  • 10.
    RATIONALE  Atrial fibrillation is the most common cause of cardiac embolism and is responsible for about 50% of all cardiogenic emboli.  Cardioembolic stroke patients have a high risk for stroke recurrence, and greater mortality.  Anticoagulation with heparin/ Warfarin is therapy of choice for stroke prevention in patients with AF who have had a stroke or TIA, and in high-risk AF patients.  Efficacy of antiplatelets for prevention of cardioembolic stroke is less than anticoagulants.
  • 11.
       Stroke rates in relation to age among patients in untreated control groups of  randomized trials of antithrombotic therapy. Atrial Fibrillation Investigators. Risk factors for stroke and efficacy of antithrombotic therapy in atrial fibrillation. Analysis of pooled data from five randomized controlled trials. Arch Intern Med 1994;154:1449–57.47
  • 12.
    STROKE RISK INPATIENTS WITH NONVALVULAR AF NOT TREATED WITH ANTICOAGULATION ACCORDING TO THE CHADS2 INDEX [1]van Walraven WC, Hart RG, Wells GA, et al. A clinical prediction rule to identify patients with atrial fibrillation and a low risk for stroke while taking aspirin. Arch Intern Med 2003;163:936–43415; [2] Gage BF, Waterman AD, Shannon W, et al. Validation of clinical classification schemes for predicting stroke: results from the National Registry of Atrial Fibrillation. JAMA 2001;285:2864 –70.
  • 13.
    RISK-BASED APPROACH TO ANTITHROMBOTIC THERAPY IN PATIENTS WITH ATRIAL FIBRILLATION ACC/AHA/ESC 2006 Guidelines for the Management of Patients With Atrial Fibrillation
  • 14.
       Effects on all stroke (ischemic and hemorrhagic) of therapies for patients with atrial  fibrillation Hart RG, Benavente O, McBride R, et al. Antithrombotic therapy to prevent stroke in patients with atrial fibrillation: a meta-analysis. Ann Intern Med 1999;131:492–501.420 AFASAK indicates Copenhagen Atrial Fibrillation, Aspirin, Anticoagulation; BAATAF, Boston Area Anticoagulation Trial for Atrial Fibrillation; CAFA, Canadian Atrial Fibrillation Anticoagulation; CI, confidence interval; EAFT, European Atrial Fibrillation Trial; SPAF, Stroke Prevention in Atrial Fibrillation; and SPINAF, Stroke Prevention in Nonrheumatic Atrial Fibrillation.
  • 15.
     OAC ishighly effective for prevention of all strokes  It has a risk reduction of 68% for both primary as well as secondary stroke as compared to placebo.  adjusted-dose OAC resulted in relative risk reduction of 52% as compared to aspirin. ► R. G. Hart, O. Benavente, R. McBride, and L. A. Pearce,“Antithrombotic therapy to prevent stroke in patientswith atrial fibrillation: a meta-analysis,” Annals of Internal Medicine, vol. 131, no. 7, pp. 492–501, 1999. ►G. Y. H. Lip and S. J. Edwards, “Stroke prevention with aspirin, warfarin and ximelagatran in patients with nonvalvular atrial fibrillation: a systematic review and metaanalysis,” Thrombosis Research, vol. 118, no. 3, pp. 321–333, 2006 ►C. Van Walraven, R. G. Hart, D. E. Singer et al., “Oral anticoagulants vs aspirin in nonvalvular atrial fibrillation: an individual patient meta-analysis,” Journal of the American Medical Association, vol. 288, no. 19, pp. 2441–2448, 2002.
  • 16.
    ACTIVE-W  The ACTIVE-W (Atrial Fibrillation Clopidogrel Trial with Irbesartan for Prevention of Vascular Events) trial compared clopidogrel plus ASA with oral anticoagulation therapy with warfarin for prevention of vascular events in AF patients with an average  of 2 stroke risk factors.  Oral anticoagulation therapy with warfarin proved superior to clopidogrel plus ASA for prevention of vascular events in AF patients. Connolly S, Pogue J, Hart R, et al. Clopidogrel plus aspirin versus oral anticoagulation for atrial fibrillation in the Atrial fibrillation Clopidogrel Trial with Irbesartan for prevention of Vascular Events (ACTIVE W): a randomised controlled trial Lancet 2006;367:1903-1912.
  • 17.
    ACC/AHA/ESC 2006 GUIDELINESFOR THE MANAGEMENT OF PATIENTS WITH ATRIAL FIBRILLATION: CLASS I RECOMMENDATIONS  Antithrombotic therapy to prevent thromboembolism is recommended for all patients with AF, except those with lone AF or contraindications. (Level of Evidence: A)     For patients without mechanical heart valves at high risk of stroke, chronic oral anticoagulant therapy with a vitamin K antagonist is recommended in a dose adjusted to achieve the target intensity INR of 2.0 to 3.0, unless contraindicated. Factors associated with highest risk for stroke in patients with AF are prior thromboembolism (stroke, TIA, or systemic embolism) and rheumatic mitral stenosis. (Level of Evidence: A)     Anticoagulation with a vitamin K antagonist is recommended for patients with more than 1 moderate risk factor. Such factors include age 75 y or greater, hypertension, HF, impaired LV systolic function (ejection fraction 35% or less or fractional shortening less than 25%), and diabetes mellitus. (Level of Evidence: A) Circulation.2006; 114: e257-e354
  • 18.
    THE INTERNATIONAL STROKE TRIAL  Randomized over 19,000 patients to subcutaneous heparin in doses of 10,000 units per day, 25,000 units per day Vs placebo and aspirin Vs placebo .  The overall incidence of recurrent ischemic stroke within 14 days was 3.8% in the control arm and 2.9% in heparin-treated patients.  In patients with atrial fibrillation the incidence of recurrent stroke within the first 14 days was 4.9% in the control arm and 2.8% in patients treated with heparin. The International Stroke Trial (IST): a randomised trial of aspirin, subcutaneous heparin, both, or neither among 19 435 patients with acute ischaemic stroke : International Stroke Trial Collaborative Group. The Lancet, Volume 349, Issue 9065, Pages 1569 - 1581, 31 May 1997
  • 19.
    TOAST  The Trial of the Heparinoid ORG 10172 (danaparoid) in Acute Stroke (TOAST) was a randomized, double-blind, placebo-controlled trial in which 1281 patients were enrolled at 36 US centers .   In this trial, 1281 patients with ischemic stroke who presented within 24 hours of symptom onset were randomized to this drug or placebo intravenously for 7 days  At 7 days, 34% of treated patients and only 28% of control subjects had very favorable outcomes (p = 0.01).  In a prespecified secondary analysis of TOAST data unadjusted for multiple comparisons, a potential beneficial effect of the heparinoid, danaparoid, was suggested in the subgroup of patients with large artery atherosclerosis. Publications Committee for the Trial of ORG 10172 in Acute Stroke Treatment (TOAST) Investigators. Low molecular weight heparinoid, ORG 10172 (Dsanaparoid), and outcome after acute ischemic stroke. JAMA 1998; 279: 1265–1272. 
  • 20.
    ACCP GUIDELINES ANTITHROMBOTIC ANDTHROMBOLYTIC THERAPY FOR ISCHEMIC STROKE  Oral anticoagulant therapy is highly effective for both primary and secondary prevention of stroke in patients with atrial fibrillation .  In the European Atrial Fibrillation Trial, patients with recent stroke or TIA and atrial fibrillation were treated with oral anticoagulation.  In about half of the patients, anticoagulation was initiated within 2 weeks after symptom onset. No increase in brain hemorrhage was apparent in patients treated early vs later.  In general, we recommend initiation of oral anticoagulation therapy within 2 weeks of a cardioembolic stroke.  Recommendation:In patients with atrial fibrillation who have suffered a recent stroke or TIA, we recommend long-term oral anticoagulation (target INR, 2.5; range, 2.0 to 3.0) [Grade 1A]. Chest - Volume 133, Issue 6 (June 2008) EAFT (European Atrial Fibrillation Trial) Study Group : Secondary prevention in non-rheumatic atrial fibrillation after transient ischaemic attack or minor stroke. Lancet 342. 1255-1262.1993
  • 21.
    NO, THE PATIENTSHOULD NOT BE ANTICOAGULATED
  • 22.
    RATIONALE  High riskof intracranial hemorrhage  Age of the patient  Questionable efficacy in improving stroke outcome  Stroke with hemorrhagic conversion
  • 23.
    INTERNATIONAL STROKE TRIAL (IST)  With heparin, no significant difference in 14-day mortality (heparin, 9.0% vs no heparin, 9.3%) or 6-month outcome (heparin, 62.9% dead or dependent vs no heparin, 62.9%).  Even among patients treated within 6 h, no benefit for heparin at 6 months.  At 14 days, recurrent ischemic strokes significantly reduced in heparin groups (from 3.8 to 2.9%) but hemorrhagic stroke was significantly increased (from 0.4 to 1.2%), yielding no net benefit.
  • 24.
    INTERNATIONAL STROKE TRIAL (IST)  In patients with atrial fibrillation and acute ischemic stroke, heparin significantly reduced the risk of 14-day ischemic stroke recurrence from 4.9 to 2.8%, but an increased risk of hemorrhagic stroke (2.1 vs 0.4%) neutralized the potential benefits.  The higher-dose regimen (12,500 U bid) was associated with more systemic bleeding, hemorrhagic strokes, and a significantly increased risk of death or nonfatal stroke at 14 days. The International Stroke Trial (IST): a randomised trial of aspirin, subcutaneous heparin, both, or neither among 19 435 patients with acute ischaemic stroke : International Stroke Trial Collaborative Group. The Lancet, Volume 349, Issue 9065, Pages 1569 - 1581, 31 May 1997
  • 25.
    ASA GUIDELINES FORTHE EARLY MANAGEMENT OF ADULTS WITH ISCHEMIC STROKE Class III Recommendations 1. Urgent anticoagulation with the goal of preventing early recurrent stroke, halting neurological worsening, or improving outcomes after acute ischemic stroke is not recommended for treatment of patients with acute ischemic stroke (Class III, Level of Evidence A). 2. Urgent anticoagulation is not recommended for patients with moderate to severe strokes because of an increased risk of serious intracranial hemorrhagic complications (Class III, Level of Evidence A). 3. Initiation of anticoagulant therapy within 24 hours of treatment with intravenously administered rtPA is not recommended (Class III, Level of Evidence B). Guidelines for the Early Management of Adults With Ischemic Stroke :Stroke 2007, 38:1655-1711
  • 26.
    NEUROLOGY:ANTICOAGULANTS AND ANTIPLATELET AGENTS IN ACUTE ISCHEMIC STROKE Do antithrombotic agents reduce stroke mortality and stroke-related 1. morbidity? Abciximab, unfractionated heparin, LMW heparins, and heparinoids have not been shown to reduce mortality or stroke-related morbidity when used within 48 hours of onset in patients with acute ischemic stroke. 2. Do antithrombotic agents reduce early stroke recurrence? unfractionated heparin and LMW heparin/heparinoids, when used within 48 hours of onset in patients with acute ischemic stroke, have not been shown to reduce the rate of stroke recurrence. 3. What are the risks of hemorrhage associated with antithrombotic agents? There is an increase in both systemic and CNS hemorrhage in patients treated with aspirin, subcutaneous unfractionated heparin, or LMW heparin/heparinoids Anticoagulants and antiplatelet agents in acute ischemic stroke :Report of the Joint Stroke Guideline Development Committee of the American Academy of Neurology and the American Stroke Association. Neurology - Volume 59, Issue 1 (July 2002)
  • 27.
    A summary of stroke “megatrials” demonstrated recurrent ischemic stroke rates to range between 0.63 and 2.20/100 patients per week, and most experts now agree that the older estimates for recurrent stroke rates were high (Swanson 1999).  The large numbers of evaluated patients in the International Stroke Trial and TOAST trial support the conclusions that the overall risk of early recurrent stroke is low and the absolute benefit of routine heparin is marginal.  The risks and benefits in carefully assessed and closely monitored patient subgroups remain uncertain. Swanson RA. Intravenous heparin for acute stroke: what can we learn from the megatrials? Neurology.1999 Jun 10;52(9):1746-50.
  • 28.
    A large metaanalysis of 22 trials among 23,547 patients showed that immediate anticoagulation of patients with acute ischemic stroke was not associated with a significant reduction in death or dependency. [1]  Although anticoagulants were associated with about 9 fewer recurrent ischemic strokes per 1,000 treated, this was offset by a similar increase of 9 symptomatic intracranial hemorrhages per 1,000 treated.  Only a single randomized trial has evaluated this regimen compared with placebo for patients with acute stable stroke since 1980.  No significant difference in stroke progression or neurologic outcome was detected in this relatively small study (n = 225). [2] [1]Gubitz G, Sandercock P, Counsell C:  Anticoagulants for acute ischaemic stroke.   Cochrane Database Syst Rev . CD000024.2004 [2]Duke RJ, Bloch RF, Turpie AG, et al:  Intravenous heparin for the prevention of stroke progression in acute partial stable stroke.   Ann Intern Med 105. 825-828.1986
  • 29.
    Rothrock et al evaluated 121 consecutive patients with acute cardioembolic stroke. Forty-nine were therapeutically anticoagulated within 96 hours of stroke onset, and 41 received no anticoagulants within the first 2 weeks after stroke.  The incidences of clinically significant brain hemorrhage (2%) and early recurrent embolization (2%) were equally low in both groups.  acute anticoagulation may be employed safely in most patients with cardioembolic stroke but that such treatment does not clearly benefit this population as a whole. JF Rothrock, HC Dittrich, S McAllen, BJ Taft and PD Lyden. Acute anticoagulation following cardioembolic stroke .Stroke 1989;20:730-734
  • 30.
    The Cerebral Embolism Study Group reported that 22 of 24 patients with symptomatic hemorrhagic transformation were associated with anticoagulation therapy[1] .  Some reports suggest that although anticoagulation does not precipitate hemorrhagic transformation, anticoagulation may worsen the severity of spontaneous bleeding (Cerebral Embolism Study Group 1983[1]; 1987[2]). [1]Immediate anticoagulation of embolic stroke: a randomized trial. Cerebral Embolism Study Group. Stroke 1983, 14:668-676 [2]Cardioembolic stroke, early anticoagulation, and brain hemorrhage. Cerebral Embolism Study Group.Arch Intern Med. 1987 Apr;147(4):636-40.
  • 31.
    COCHRANE DATABASE Anticoagulants offeredno net advantages over antiplatelet agents in acute ischaemic stroke. The combination of low-dose UFH and aspirin appeared in a subgroup analysis to be associated with net benefits compared with aspirin alone. Berge E, Sandercock PAG. Anticoagulants versus antiplatelet agents for acute ischaemic stroke. Cochrane Database of Systematic Reviews 2002, Issue 4. Art. No.: CD003242. DOI: 10.1002/14651858.CD003242 .
  • 32.
    DVT & PE  DVT and PE are frequent complications of stroke, with about 5% of early deaths attributed to PE. [1]  In an overview analysis among acute stroke patients, anticoagulants were associated with 4 fewer pulmonary emboli per 1,000 (OR, 0.60; 95% CI, 0.44–0.81). [2]  In the IST, there was a significant reduction in the frequency of fatal or nonfatal PE, from 0.8 to 0.5%, among those treated with SC UFH (p < 0.05). [3]  In a metaanalysis among 740 acute ischemic stroke subjects from four trials, there was a significant reduction in the odds of DVT (OR, 0.52; 95% CI, 0.56–0.79) among those allocated to low- molecular-weight heparins or heparinoids vs standard UFH. [4]  Two trials of direct comparisons between a low-molecular-weight heparin and UFH have shown similar safety and efficacy for enoxaparin and noninferiority for certoparin. [5] , [6]
  • 33.
    PREVAIL PREVENTION OF VENOUS THROMBOEMBOLISMAFTER ACUTE ISCHEMIC STROKE  Open-label, randomized comparison of enoxaparin 40 mg SC qd or UFH 5,000 U SC q12h in patients with ischemic stroke [7]  1,762 patients randomized within 48 h of symptom onset and stratified on stroke severity (NIHSS < or ≥14).  10% patients in the enoxaparin group had a primary end point compared to 18% in patients randomized to UFH, yielding a 43% RRR (0.57; 95% CI, 0.44–0.76; p = 0.0001).  The results for proximal DVT were 5% in the enoxaparin group and 10% in the UFH group (p = 0.0003).  The risk of both symptomatic intracranial bleeding and major extracranial hemorrhage was also similar in both groups (1% each)
  • 34.
    ANTITHROMBOTIC AND THROMBOLYTIC THERAPY8TH ED: ACCP GUIDELINES ANTITHROMBOTIC AND THROMBOLYTIC THERAPY FOR ISCHEMIC STROKE  For acute stroke patients with restricted mobility, we recommend prophylactic low-dose SC heparin or low-molecular-weight heparins (Grade 1A). [1]  Antiplatelet Trialists' Collaboration :  Collaborative overview of randomised trials of antiplatelet therapy: III. Reduction in venous thrombosis and pulmonary embolism by antiplatelet prophylaxis among surgical and medical patients.   BMJ 308. 235-246.1994 [2]  Gubitz G, Sandercock P, Counsell C:  Anticoagulants for acute ischaemic stroke.   Cochrane Database Syst Rev . CD000024.2004 [3]  International Stroke Trial (IST) :  A randomised trial of aspirin, subcutaneous heparin, both, or neither among 19435 patients with acute ischaemic stroke: International Stroke Trial Collaborative Group.   Lancet 349. 1569-1581.1997; [4] Sandercock P, Counsell C, Stobbs SL:  Low-molecular-weight heparins or heparinoids versus standard unfractionated heparin for acute ischaemic stroke.   Cochrane Database Syst Rev . CD000119.2005;  [5]  Diener HC, Ringelstein EB, von Kummer R, et al:  Prophylaxis of thrombotic and embolic events in acute ischemic stroke with the low-molecular-weight heparin certoparin: results of the PROTECT Trial.   Stroke 37. 139-144.2006 [6 ]Hillbom M, Erila T, Sotaniemi K, et al:  Enoxaparin vs heparin for prevention of deep-vein thrombosis in acute ischaemic stroke: a randomized, double-blind study.  Acta Neurol Scand 106. 84-92.2002; [7]  Sherman DG, Albers GW, Bladin C, et al:  The efficacy and safety of enoxaparin versus unfractionated heparin for the prevention of venous thromboembolism after acute ischaemic stroke (PREVAIL Study): an open-label randomised comparison.   Lancet 369. 1347-1355.2007;
  • 35.
    COCHRANE DATABASE • Since the last version of the review, neither of the two new relevant studies have provided additional information to change the conclusions. • In patients with acute ischaemic stroke, immediate anticoagulant therapy is not associated with net short or long- term benefit. • Treatment with anticoagulants reduced recurrent stroke, deep vein thrombosis and pulmonary embolism, but increased bleeding risk. • The data do not support the routine use of any the currently available anticoagulants in acute ischaemic stroke. Sandercock PAG, Counsell C, Kamal AK. Anticoagulants for acute ischaemic stroke. Cochrane Database of Systematic Reviews 2008, Issue 4. Art. No.: CD000024. DOI: 10.1002/14651858.CD000024.pub3.
  • 36.

Editor's Notes

  • #12     Figure 8.. Data are from the
  • #15     Figure 9. Adjusted-dose warfarin compared with placebo (six random trials). Adapted with permission from