Dr. SADAF KHAN
 “Amyloid”- starch like
 In 1854 Rudolph Virchow named it amyloid based of
appearance of violet color after staining these
proteins with iodine and sulfuric acid.
AMYLOID
Disorder of protein folding
Deposition of a
• pathologic
• acellular proteinaceous substance
• in extracellular space
• Organ tropism
AMYLOIDOSIS
 PROPERTIES
Physical properties ( Electron microscopy)
• masses of extracellular, non-branched filaments
• random orientation.
• each fibril consists of two electron-dense filaments
2.5–3.5 nm in diameter, separated by a 2.5 nm space,
giving a total diameter of 8–10 nm.
• X- ray crystallography- beta pleated sheet
 Chemical properties
Nomenclature: prefix “A” for amyloid, followed by
an abbreviation derived from the name of the protein.
PROTEIN GLYCOPROTEIN-P
85% 15%

MECHANISMS OF
AMYLOIDOGENESIS
 Recent evidence suggests “fibril deposition may not
be necessary for cellular toxicity rather exposure to
the precursor protein alone is sufficient for
cytotoxicity”
PATHOGENESIS
DIAGNOSIS
APPEARANCE
STAIN APPEARANCE
H and E Acellular, amorphous, eosinophilic,
refractile, extracellular substance.
CONGO RED On H&E – pink red
On polarizing microscopy – apple green
birefringence
GOLD STANDARD
THIOFLAVIN S Green
STAIN APPEARANCE
ALCIAN BLUE Green amorphous
CRYSTAL VIOLET Rose pink
SIRIUS RED Pink red
NOTE:
Amyloid deposits do not stain with periodic acid Schiff
(PAS) or silver stain, but spicules can be seen along the
glomerular basement membranes on silver stain
 MATERIALS
• frozen tissue is preferred for amyloid typing
• most sensitive -biopsy of a clinically affected organ
• Screening test- abdominal fat aspirate
• Other sites-
*gastrointestinal tract: rectal or gastroduodenal-
deep
*labial salivary gland (LSG)
Recently, a semiquantitative grading system ranging
from 0 (negative) to 4+, for the amount of amyloid in
fat tissue has been proposed by Hazenberg et al
AMYLOID TYPING
Establishing the type of amyloidosis has become a
central issue as the current treatment of systemic
amyloidosis directly depends on the molecular
type of the amyloid protein
 PRE- REQUISITES FOR CONGO RED
• strong light source
• rotating table
• darkened room for reading slides
• thicker sections (5–10 micro m)
• serial sections
PITFALL: autofluorescence of collagen under
polarization microscopy
 IMMUNOHISTOCHEMISTRY
• Historically, potassium permanganate was used to
distinguish AA from other forms of amyloid. Applying
potassium permanganate to the tissue prevents Congo red
from binding to AA fibrils but not AL.
• commercially available antisera directed against amyloid
proteins
PITFALLS-
• directed against constant region
• miss a number of hereditary amyloidosis
• serum proteins in background
‘overlay technique’’
Congo red stain and immunohistochemistry are performed
on the same slide
 LASER MICRODISSECTION
• laser microbe
• melts a thermoplastic ethyl vinyl acetate membrane
that overlays the tissue
• sticks to the selected cells, which can then be lifted
• secured in a microfuge tube containing the
appropriate extraction solution
• Gold standard
PITFALL- Availability
 FIBRIL TYPING BY PROTEOMICS
Advances allow detection of a single amino acid change
 GENE SEQUENCING
• Hereditary amyloidosis
• For-transthyretin, fibrinogen alfa chain, Apo-A1,
Apo-A2, Lysozyme, Gelsolin, serum amyloid A and
Cystatin-C
CLASSIFICATION
ORGAN
DISTRIBUTION
• Systemic- > 1
organ
involved
• Localised-
only single
organ
ASSOCIATED
CLINICAL
FINDINGS
• Primary
• Secondary
TUMOR
ASSOCIATED
MYELOMA
ASSOCIATED
HISTORICAL
 Based on the chemical composition of the deposited
amyloid protein and not neccesarily on the clinical
phenotype.
 > 25 types
RECENT CLASSIFICATION
OFFICIAL
ABBREVIATION
AMYLOID TYPE/GENE DESCRIPTION
AL Amyloid light chain (λ) AL amyloidosis/ Multiple myeloma
AA Serum amyloid A protein AA amyloidosis
Aβ β amyloid Alzheimer’s disease
Aβ2M β2 amyloid microglobulin Hemodialysis related amyloid
ALect2 LECT2 protein LECT2 amyloidosis
ATTR Transthyretin Familial amyloid polyneuropathies,
Wild type transthyretin amyloidosis,
leptomeningeal amyloidosis
AIAPP amylin Type II diabetes
APrP prion protein CJD, BSE
ACys CST3 Cerebral Amyloid Angiopathy
AGel GSN Finnish type amyloidosis
AApoA1¹/ Afib²/ Alys³ APOA1¹/ FGA²/LYZ³ Familial visceral amyloidosis
APro prolactin Prolactinoma
AKer keratoepithilin Familial corneal amyloidosis
AANF Atrial natriuretic factor Senile amyloid of the heart
ACal Calcitonin Medullary carcinoma of the thyroid

Types of protein
component
AL • Made up of immunoglobulin light chains (λ chains)
secreted by plasma cells.
• Found in plasma cell tumors
AA • Made from proteolysis of SAA synthesized in liver,
circulates in association with HDL.
• Deposited in inflammatory states as a part of acute
phase response - acute phase protein
β amyloid protein • Derived from Amyloid Precursor protein.
• Core of cerebral plaques found in Alzheimer’s.
• Also deposited in walls of cerebral blood vessels
TTR • Bound to thyroxin and retinol, helps in transporting
them
• Wild TTR -Senile systemic amyloidosis
• Mutant TTR - Familial amyloidotic polyneuropathy
β 2 microglobulin • It’s a component of MHC class I A β 2 m, deposited in
patients on hemodialysis
Prions • Misfolded proteins accumulate in CNS in prion disease

DISTRIBUTION BY AMYLOID TYPE
 most aggressive -13 mnths
 kidney and heart are most commonly affected
 Histologically, AL deposits can be found in all three
compartments of the kidney
-glomerulus:minimal to massive
-interstitium
-the wall of blood vessels.
 Treatment of AL - advanced considerably
- first effective treatment :melphalan and prednisone (MP).
- high dose melphalan followed by autologous STC
-renal transplantation
AL
OTHER AMYLOIDOSIS MISTAKEN
FOR AL
TYPE ORGAN INVOLVEMENT DIAGNOSTIC KEY
AA Kidney, liver, spleen, gut Anti protein AA fixation in IHC
ATTR Heart, nerve, carpal tunnel
syndrome
• Anti TTR fixation in IHC
• Genetic test
AFib Kidney • Pure glomerular pattern of the
deposits
• Genetic test
ALys Kidney, GIT, skin • Anti- lysozyme fixation in IHC
• Genetic test
AApoA1 Kidney, heart, liver, skin,
larynx, nerve
• Anti apo A1 fixtaion in IHC
• Genetic test
 The fibrils in AA are derived from serum amyloid A
(SAA) protein
Secondary to
AA
Infection
• TB,
• bronchiectasis,
• chronic
osteomyelitis
Inflammatory
conditions
• Rheumatoid
arthritis,
• Ankylosing
spondylitis,
• inflammatory
bowel disease,
• Crohn’s and
ulcerative
colitis
skin
popping in
heroin
abusers
non
immunocyte
derived
tumors
• renal cell
carcinoma
• Hodgkin’s
lymphoma
HEREDITARY form- periodic fever syndromes
• Familial Mediterranean Fever (FMF)
- most common
-MEFV gene mutation on chromosome 16p.
• TNF-receptor-associated periodic fever syndrome
- TNFRSF1A gene mutation :regulates the type 1
tumor necrosis factor (TNF) receptor
• Muckle–Wells syndrome
-only cryopyrinopathy
-CIAS1 gene mutation
• Hyper IgD syndrome
- mevalonate kinase (MVK) gene mutation
 Histologically, one feature that is particular but not
unique to AA is the formation of crescents -most
commonly in AA secondary to rheumatoid arthritis.
 Often associated with rapidly progressive
glomerulonephritis and rapid loss in renal function.
 Corticosteroids- effective at stabilizing and reversing the
rapid loss in renal function
 Treatment - eliminating or controlling the underlying
disease
 Reversible
 AD inheritance
 most commonly- transthyretin gene
 Familial amyloidotic polyneuropathy
 Familial amyloidotic cardiomyopathy
 >130 mutations-Val30Met
 Microscopy
- amyloid deposition in endoneurium of nerve trunks,
plexuses and sensory and autonomic ganglia
- destruction of the myelin sheath
 Treatment- liver transplantation
FAMILIAL AMYLOIDOSIS
HEREDITARY RENAL
AMYLOIDOSIS
FEATURES AFib ALys Aapo AI and II
Incidence Most common
Heritance AD AD
Mutations 6 4 13 and 4
Organs Kidney, liver, sleen,
perpheral nerves
and heart
GIT, kidney Kidney, liver, skin,
gonads
Features Glomerular
Sparing of
extraglomerular
compartments
Liver rupture
Bleeding
Visual impairment
Extraglomerular-
medullary deposits
Treatment OLT Renal transplant -
Recurrence + + +
 LECT2 Amyloidosis (ALECT2)
• Native protein is leukocyte chemotactic factor 2
(LECT2)
• Mean age of presentation - 67 years
• Tandem mass spectrometry
• Kidney,liver, spleen, colon, and adrenal gland
• In the kidney, ALECT2 is highly congophilic and is
deposited extensively in all compartments
• No treatment is currently available
LATEST AMYLOIDOSIS
ORGAN WISE
AMYLOID ANGIOPATHY
• CNS
• Localised form
• Familial hereditary amyloidosis
• Beta amyloid
• Features- leukoencephalopathy
-microinfarcts
-hemosiderin deposits
THYROID
• Medullary carcinoma
• Amyloid goitre
• Deposition in stroma, glandular and periglandular
blood vessels
CUTANEOUS
• Localised- macular
-reticular
-nodular
• Primary systemic
• first basement membranes of the blood vessels and
adnexas followed by the replacement of the
collagen of the dermal papilla .
CARDIAC
• restrictive cardiomyopathy
• congestive heart failure remains refractory to maximal medical
therapy
• low-voltage changes on electrocardiogram associated with marked
LV hypertrophy
• myocardial dysfunction in the setting of known plasma cell
dyscrasia or connective tissue disorder.
• MICROSCOPY
-interstitial and perimyocyte deposition
-myocyte attenuation
-nodular aggregates
-walls of blood vessels: subendocardial
GIT
• Primary (AL)- blood vessel walls and muscularis
propria
• Secondary(AA)- blood vessel wall and lamina propria
lacks the surface epithelial damage and epithelial
lymphocytosis
SPLEEN
Two patterns
Deposition in follicles Deposition in walls of sinuses
(SAGO SPLEEN) In red pulp
- LARDACEOUS
SPLEEN
Later fusion of both areas gives the appearance of map like
areas in the spleen
RENAL AMYLOIDOSIS
 Can involve- the glomeruli(earliest, commonest),
- the blood vessels,
-the interstitium, and
-the tubular basement membranes


RENAL PATHOLOGY
 Despite the similarity in the physical characteristics of the
fibrils, amyloidosis is a tremendously heterogeneous group
of diseases with differences ranging from amyloidogenesis
to organ tropism.
 Amyloid typing is important as a number of novel
approaches directly targeting the amyloid fibrils or the
processes of amyloidogenesis have shown very promising
early clinical or pre-clinical results.
 Given the complexity inherent in the diagnosis of
amyloidosis, as well as the current need for accurate and
early diagnosis, “loss of chance” doctrine might be
employed in determining liability in some amyloidosis-
related medical malpractice lawsuits
CONCLUSION

 Sternberg’s Diagnostic Surgical Pathology 16th edition
 Bancroft’s Theory and Practice of Histological Techniques
 Robbins and Cotran Pathologic Bais of Disease 8th edition
 Recent Advances in Transthyretin Evolution, Structure
and Biological functions-Samantha J. Richardson
 Protein Aggregation and Fibrillogenesis in Cerebral and
Systemic Amyloid Diseases-J. Robin Harris
 Amyloid journal
REFERENCES

Amyloidosis

  • 1.
  • 2.
     “Amyloid”- starchlike  In 1854 Rudolph Virchow named it amyloid based of appearance of violet color after staining these proteins with iodine and sulfuric acid. AMYLOID
  • 3.
    Disorder of proteinfolding Deposition of a • pathologic • acellular proteinaceous substance • in extracellular space • Organ tropism AMYLOIDOSIS
  • 4.
     PROPERTIES Physical properties( Electron microscopy) • masses of extracellular, non-branched filaments • random orientation. • each fibril consists of two electron-dense filaments 2.5–3.5 nm in diameter, separated by a 2.5 nm space, giving a total diameter of 8–10 nm. • X- ray crystallography- beta pleated sheet
  • 5.
     Chemical properties Nomenclature:prefix “A” for amyloid, followed by an abbreviation derived from the name of the protein. PROTEIN GLYCOPROTEIN-P 85% 15%
  • 6.
  • 7.
     Recent evidencesuggests “fibril deposition may not be necessary for cellular toxicity rather exposure to the precursor protein alone is sufficient for cytotoxicity” PATHOGENESIS
  • 10.
  • 11.
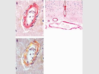
    APPEARANCE STAIN APPEARANCE H andE Acellular, amorphous, eosinophilic, refractile, extracellular substance. CONGO RED On H&E – pink red On polarizing microscopy – apple green birefringence GOLD STANDARD THIOFLAVIN S Green
  • 12.
    STAIN APPEARANCE ALCIAN BLUEGreen amorphous CRYSTAL VIOLET Rose pink SIRIUS RED Pink red NOTE: Amyloid deposits do not stain with periodic acid Schiff (PAS) or silver stain, but spicules can be seen along the glomerular basement membranes on silver stain
  • 13.
     MATERIALS • frozentissue is preferred for amyloid typing • most sensitive -biopsy of a clinically affected organ • Screening test- abdominal fat aspirate • Other sites- *gastrointestinal tract: rectal or gastroduodenal- deep *labial salivary gland (LSG) Recently, a semiquantitative grading system ranging from 0 (negative) to 4+, for the amount of amyloid in fat tissue has been proposed by Hazenberg et al AMYLOID TYPING Establishing the type of amyloidosis has become a central issue as the current treatment of systemic amyloidosis directly depends on the molecular type of the amyloid protein
  • 14.
     PRE- REQUISITESFOR CONGO RED • strong light source • rotating table • darkened room for reading slides • thicker sections (5–10 micro m) • serial sections PITFALL: autofluorescence of collagen under polarization microscopy
  • 15.
     IMMUNOHISTOCHEMISTRY • Historically,potassium permanganate was used to distinguish AA from other forms of amyloid. Applying potassium permanganate to the tissue prevents Congo red from binding to AA fibrils but not AL. • commercially available antisera directed against amyloid proteins PITFALLS- • directed against constant region • miss a number of hereditary amyloidosis • serum proteins in background ‘overlay technique’’ Congo red stain and immunohistochemistry are performed on the same slide
  • 16.
     LASER MICRODISSECTION •laser microbe • melts a thermoplastic ethyl vinyl acetate membrane that overlays the tissue • sticks to the selected cells, which can then be lifted • secured in a microfuge tube containing the appropriate extraction solution • Gold standard PITFALL- Availability
  • 17.
     FIBRIL TYPINGBY PROTEOMICS Advances allow detection of a single amino acid change  GENE SEQUENCING • Hereditary amyloidosis • For-transthyretin, fibrinogen alfa chain, Apo-A1, Apo-A2, Lysozyme, Gelsolin, serum amyloid A and Cystatin-C
  • 18.
    CLASSIFICATION ORGAN DISTRIBUTION • Systemic- >1 organ involved • Localised- only single organ ASSOCIATED CLINICAL FINDINGS • Primary • Secondary TUMOR ASSOCIATED MYELOMA ASSOCIATED HISTORICAL
  • 19.
     Based onthe chemical composition of the deposited amyloid protein and not neccesarily on the clinical phenotype.  > 25 types RECENT CLASSIFICATION OFFICIAL ABBREVIATION AMYLOID TYPE/GENE DESCRIPTION AL Amyloid light chain (λ) AL amyloidosis/ Multiple myeloma AA Serum amyloid A protein AA amyloidosis Aβ β amyloid Alzheimer’s disease Aβ2M β2 amyloid microglobulin Hemodialysis related amyloid ALect2 LECT2 protein LECT2 amyloidosis ATTR Transthyretin Familial amyloid polyneuropathies, Wild type transthyretin amyloidosis, leptomeningeal amyloidosis AIAPP amylin Type II diabetes APrP prion protein CJD, BSE ACys CST3 Cerebral Amyloid Angiopathy AGel GSN Finnish type amyloidosis AApoA1¹/ Afib²/ Alys³ APOA1¹/ FGA²/LYZ³ Familial visceral amyloidosis APro prolactin Prolactinoma AKer keratoepithilin Familial corneal amyloidosis AANF Atrial natriuretic factor Senile amyloid of the heart ACal Calcitonin Medullary carcinoma of the thyroid
  • 20.
     Types of protein component AL• Made up of immunoglobulin light chains (λ chains) secreted by plasma cells. • Found in plasma cell tumors AA • Made from proteolysis of SAA synthesized in liver, circulates in association with HDL. • Deposited in inflammatory states as a part of acute phase response - acute phase protein β amyloid protein • Derived from Amyloid Precursor protein. • Core of cerebral plaques found in Alzheimer’s. • Also deposited in walls of cerebral blood vessels TTR • Bound to thyroxin and retinol, helps in transporting them • Wild TTR -Senile systemic amyloidosis • Mutant TTR - Familial amyloidotic polyneuropathy β 2 microglobulin • It’s a component of MHC class I A β 2 m, deposited in patients on hemodialysis Prions • Misfolded proteins accumulate in CNS in prion disease
  • 21.
  • 22.
     most aggressive-13 mnths  kidney and heart are most commonly affected  Histologically, AL deposits can be found in all three compartments of the kidney -glomerulus:minimal to massive -interstitium -the wall of blood vessels.  Treatment of AL - advanced considerably - first effective treatment :melphalan and prednisone (MP). - high dose melphalan followed by autologous STC -renal transplantation AL
  • 23.
    OTHER AMYLOIDOSIS MISTAKEN FORAL TYPE ORGAN INVOLVEMENT DIAGNOSTIC KEY AA Kidney, liver, spleen, gut Anti protein AA fixation in IHC ATTR Heart, nerve, carpal tunnel syndrome • Anti TTR fixation in IHC • Genetic test AFib Kidney • Pure glomerular pattern of the deposits • Genetic test ALys Kidney, GIT, skin • Anti- lysozyme fixation in IHC • Genetic test AApoA1 Kidney, heart, liver, skin, larynx, nerve • Anti apo A1 fixtaion in IHC • Genetic test
  • 24.
     The fibrilsin AA are derived from serum amyloid A (SAA) protein Secondary to AA Infection • TB, • bronchiectasis, • chronic osteomyelitis Inflammatory conditions • Rheumatoid arthritis, • Ankylosing spondylitis, • inflammatory bowel disease, • Crohn’s and ulcerative colitis skin popping in heroin abusers non immunocyte derived tumors • renal cell carcinoma • Hodgkin’s lymphoma HEREDITARY form- periodic fever syndromes • Familial Mediterranean Fever (FMF) - most common -MEFV gene mutation on chromosome 16p. • TNF-receptor-associated periodic fever syndrome - TNFRSF1A gene mutation :regulates the type 1 tumor necrosis factor (TNF) receptor • Muckle–Wells syndrome -only cryopyrinopathy -CIAS1 gene mutation • Hyper IgD syndrome - mevalonate kinase (MVK) gene mutation
  • 25.
     Histologically, onefeature that is particular but not unique to AA is the formation of crescents -most commonly in AA secondary to rheumatoid arthritis.  Often associated with rapidly progressive glomerulonephritis and rapid loss in renal function.  Corticosteroids- effective at stabilizing and reversing the rapid loss in renal function  Treatment - eliminating or controlling the underlying disease  Reversible
  • 26.
     AD inheritance most commonly- transthyretin gene  Familial amyloidotic polyneuropathy  Familial amyloidotic cardiomyopathy  >130 mutations-Val30Met  Microscopy - amyloid deposition in endoneurium of nerve trunks, plexuses and sensory and autonomic ganglia - destruction of the myelin sheath  Treatment- liver transplantation FAMILIAL AMYLOIDOSIS
  • 27.
    HEREDITARY RENAL AMYLOIDOSIS FEATURES AFibALys Aapo AI and II Incidence Most common Heritance AD AD Mutations 6 4 13 and 4 Organs Kidney, liver, sleen, perpheral nerves and heart GIT, kidney Kidney, liver, skin, gonads Features Glomerular Sparing of extraglomerular compartments Liver rupture Bleeding Visual impairment Extraglomerular- medullary deposits Treatment OLT Renal transplant - Recurrence + + +
  • 28.
     LECT2 Amyloidosis(ALECT2) • Native protein is leukocyte chemotactic factor 2 (LECT2) • Mean age of presentation - 67 years • Tandem mass spectrometry • Kidney,liver, spleen, colon, and adrenal gland • In the kidney, ALECT2 is highly congophilic and is deposited extensively in all compartments • No treatment is currently available LATEST AMYLOIDOSIS
  • 29.
    ORGAN WISE AMYLOID ANGIOPATHY •CNS • Localised form • Familial hereditary amyloidosis • Beta amyloid • Features- leukoencephalopathy -microinfarcts -hemosiderin deposits
  • 30.
    THYROID • Medullary carcinoma •Amyloid goitre • Deposition in stroma, glandular and periglandular blood vessels CUTANEOUS • Localised- macular -reticular -nodular • Primary systemic • first basement membranes of the blood vessels and adnexas followed by the replacement of the collagen of the dermal papilla .
  • 31.
    CARDIAC • restrictive cardiomyopathy •congestive heart failure remains refractory to maximal medical therapy • low-voltage changes on electrocardiogram associated with marked LV hypertrophy • myocardial dysfunction in the setting of known plasma cell dyscrasia or connective tissue disorder. • MICROSCOPY -interstitial and perimyocyte deposition -myocyte attenuation -nodular aggregates -walls of blood vessels: subendocardial
  • 33.
    GIT • Primary (AL)-blood vessel walls and muscularis propria • Secondary(AA)- blood vessel wall and lamina propria lacks the surface epithelial damage and epithelial lymphocytosis
  • 34.
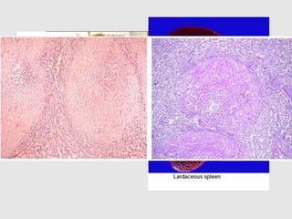
    SPLEEN Two patterns Deposition infollicles Deposition in walls of sinuses (SAGO SPLEEN) In red pulp - LARDACEOUS SPLEEN Later fusion of both areas gives the appearance of map like areas in the spleen
  • 35.
    RENAL AMYLOIDOSIS  Caninvolve- the glomeruli(earliest, commonest), - the blood vessels, -the interstitium, and -the tubular basement membranes
  • 36.
  • 37.
  • 40.
     Despite thesimilarity in the physical characteristics of the fibrils, amyloidosis is a tremendously heterogeneous group of diseases with differences ranging from amyloidogenesis to organ tropism.  Amyloid typing is important as a number of novel approaches directly targeting the amyloid fibrils or the processes of amyloidogenesis have shown very promising early clinical or pre-clinical results.  Given the complexity inherent in the diagnosis of amyloidosis, as well as the current need for accurate and early diagnosis, “loss of chance” doctrine might be employed in determining liability in some amyloidosis- related medical malpractice lawsuits CONCLUSION
  • 41.
      Sternberg’s DiagnosticSurgical Pathology 16th edition  Bancroft’s Theory and Practice of Histological Techniques  Robbins and Cotran Pathologic Bais of Disease 8th edition  Recent Advances in Transthyretin Evolution, Structure and Biological functions-Samantha J. Richardson  Protein Aggregation and Fibrillogenesis in Cerebral and Systemic Amyloid Diseases-J. Robin Harris  Amyloid journal REFERENCES