Swetha Saravanan
1
CONTENT
 Hair Science
 Classification Of ALOPECIA
 Hair Loss: Examination and Investigation
 Management
2
Hair Science
3
Hair is a cutaneous appendage originally
evolved in mammals as a protective coat.
It is simple in structure, but has important
functions in social functioning
4
Anatomy
 The Anagen hair follicle is divided into:
Upper Segment
1. Infundibulum
2. Isthmus
Lower Segment
1. Stem
2. Bulb
5
6
7
Adamson’s Fringe
 Upper part of the bulb.
 Keratogenous zone.
 Divided into 6 layers:
1. Medulla
2. Cortex
3. Hair cuticle
4. Cuticle of inner sheath
5. Huxley’s layer
6. Henle’s layer
8
Follicular Papilla
 Varies according to the phase of hair cycle.
 Composed - specialized fibroblast like cells
embedded in extracellular matrix.
 Contains a loop of capillary blood vessels.
 Volume of dermal papilla maybe responsible for
controlling size of hair follicle.
9
Hair Shaft
 3 layers :
Medulla
Cortex
Hair Cuticle
Medulla
1. Maybe continuous, interrupted or absent.
2. Contains few layers of rounded cells containing
glycogen.
10
Cortex
1. Forms bulk of the hair shaft.
2. Consists of numerous layers of flattened elongated
cells packed together.
Hair Cuticle
1. Consists of 5 – 10 layers of flattened cells arranged in
overlapping “roof – tile” pattern.
2. The upwards pointing edges of the hair cuticle
interlock with the downwards pointing edges of
cuticle of inner sheath.
11
Inner Root Sheath
1. 3 layers :
Cuticle
Huxley’s layer
Henle’s layer
2. At the Isthmus the IRS disintegrates
Outer Root Sheath
1. Most peripheral part of hair follicle.
2. Keratinize at the level of Isthmus.
3. Occasionally “companion layer” maybe seen in
between IRS and ORS.
12
13
Ultra structure of Hair
 Hard keratin with high
sulfur content.
 High sulfur content -
extraordinary tensile strength.
 S-H linkages of cysteine at
the bulb are converted to
S-S linkages of cysteine
higher up.
14
Functions of Hair
 Tactile perception
 Protection of scalp from sunlight and trauma.
 Protection of eyes from foreign bodies, sunlight &
sweat
 Screening nasal passages.
 Reduce friction in intertriginous areas.
 Disseminates apocrine odor
 Contributes to psychological perception of beauty &
attractiveness.
15
Hair Cycle
Hair growth occurs in 3 stages :
Anagen
Catagen
Telogen
16
17
18
19
Anagen
• Period of active hair growth.
• Duration of this phase resp. for
final length of the hair.
• Usually lasts for 2 – 6 years.
• Duration of Anagen genetically
determined.
• About 85% of all hairs are in
this phase at any time.
• Onset of mitotic activity of
epithelial cells in Dermal
papilla.
 Lower part of follicle elongates downwards along
a preformed dermal tract ( stele ).
 Dermal papilla expands .
 A network of capillary blood vessels develop
around the lengthening follicle.
 Epithelial cells in the hair bulb undergo vigorous
proliferative activity.
20
 The melanocytes become active adding colour
to this newly forming hair.
 Anagen consists of 6 substages.
 Differences in the length of hair is due to
variable duration of the last stage ( VI ).
21
22
Catagen
• Short transition stage that
occurs at the end of the
anagen phase.
• Signals the end of active
growth of hair.
• Usually lasts about 2 – 3 weeks.
• At the end of Anagen, epithelial
division declines and ceases.
• Proximal end of the hair shaft
keratinizes to form a club
shaped structure.
 Lower part of the follicle involutes by
apoptosis.
 Basement membrane surrounding the follicle
becomes thickened to form “glassy membrane”.
 Base of the follicle along with dermal papilla
moves upwards to lie below the level of
Arrector muscle attachment.
23
24
Telogen
• Resting phase of the hair
follicle.
• Usually lasts for about 3
months.
• About 10 – 15% of all hairs
are in this phase at any time.
• Quiscient period between
completion of follicular
regression and onset of next
anagen phase.
• Resting club hair lies within
an epithelial sac.
Types of HAIR
Lanugo (wool like)
Fine, soft, unmedullated, unpigmented
Vellus Hair ( ≤0.03 mm )
Soft, unmedullated, pigmented
Terminal Hair ( ≥0.06 mm )
Coarse, medullated, pigmented
25
Modulators of Hair Follicle Cycling in Humans
MODULATOR ACTION
Endogeneous
Androgens Promote miniaturization of follicles & shorten
duration of the anagen stage in androgen
sensitive areas of scalp;
Enlarge follicles in androgen- dependent areas
during adolescent
Estrogens Prolong anagen stage;
Post partum reduction in estrogen- telogen
effluvium
Growth hormone Acts synergistically with androgen in
adolescence
Prolactin Can induce hirsutism
Thyroxine Low levels can cause telogen effluvim;
High levels may have similar effect 26
Exogeneous
Anabolic Steroids Accelerate androgenetic alopecia :
Aggravate hirsutism
β Adrenergic
antagonist
Causes telogen effluvium
Cyclosporin Hypertrichosis
Estrogen Prolong duration of anagen stage
Finasteride Blocks 5 α Reductase type II
Minoxidil Induces and prolongs anagen stage & Vellus 
terminal hair
OCP Cessation may cause telogen effluvium
Phenytoin Hypertrichosis
Retinoids Premature onset of catagen stage
27
Rate of Hair Growth :
Part of the Body Rate of Growth
Scalp 0.45mm/day
Beard 0.35mm/day
Extremities 0.25mm/day
Forehead(vellus hair) 0.03mm/day
28
Role of Growth Factors & Cytokines in Hair Follicle
Development,Hair growth & Hair Cycle Activity
EGF 1. Delays follicular development
2. Retards hair growth & cycling
3. Induces follicle regression & catagen–like changes in vitro
4. Stimulates elongation of hair.
TGFα 1. Controls normal positional development of hair follicle
2. Retards hair growth in vitro in mice
aFGF &
bFGF
1. Responsible for formation & maintenance of perifollicular
blood vessel
2. Important for skin appendage morphogenesis & their
formation
FGF4 1. Necessary for follicular development & epithelial
regeneration.
FGF5 1. Hair elongation inhibitor
2. Initiates transition from anagen to catagen phase 29
VEGF 1. Responsible for maintenance of the
perifollicular capillaries in anagen
TGFβ -1,2,3 1. Inhibits follicular development
2. Gene over expression in epidermis  marked
reduction of epidermal & follicular proliferation
& dec. number of follicles in mice
BMP-2, BMP-4 1. Necessary for epithelial regeneration
NBFβ 1. Probably trophic functions for neurons
2. Probably responsible for maintenance of
perifollicular nerves in anagen
TNFα 1. Responsible for induction of apoptosis
PDGF-A,B 1. Important in follicular development &
vasculogenesis
2. Stimulates hair canal development 30
Classification of ALOPECIA
31
Alopecia is defined as “ absence or loss of hair”.
It’s a chronic disorder secondary to the disease of
either the hair follicle, hair shaft or the scalp.
32
Pseudoalopecia is defined as acute or chronic breakage
of hair due to congenital or acquired hair shaft
abnormalities secondary to trauma or chemicals.
Its characterized clinically by unintended short hair.
33
Noncicatricial Alopecia
Physiological Alopecia of infants, post-partum alopecia
Alopecia areata
Telogen effluvium
Infections Dermatophytosis, bacterial & spirochaetal infections
Chemicals & drugs: Thallium/Heparin/cancer chemotherapy/
hypervitaminosis A
Physical trauma
(self induced)
Trichotillomania, scratching of neurodermatitis
Endocrinopathy Hypo/ hyperthyroid, hypo/hyperparathyroid
Physical agents Mild trauma, epilating dose of radiotherapy, short term
hair traction
Systemic agents SLE, dermatomyositis, sarcoidosis, Langerhan’s cell
histocytosis, amylodosis 34
Cicatricial Alopecia
Physical trauma Long term traction of hair, x-ray
overdose burn
Infections Bacterial
Dermatophytosis
Viral
Chemical injury Caustics
Cutaneous diseases DLE, FLP,pseudopelade
Destructive neoplasms &
granulomas
Psychogenic conditions Neurotic excoriating tactile
injury to skin
35
Miscellaneous
Androgenetic alopecia(common baldness)
Congenital alopecia
Hair shaft abnormalities: monolothix, pili annulati, wooly hair
36
 Tricotillomania 37
 Moth –eaten appearance -Syphilis 38
 FLP 39
 Folliculitis 40
 DLE 41
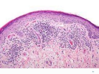
Alopecia Areata
Syn. Pelade, Area Celsi
 Chronic inflammatory dermatologic disorder
characterized by patchy loss of hair without
atrophy
 Described by Cornelius Celsus (AD 14-37)
 Term was coined by Sauvages in 1760
42
Etiology
 Genetic factors(10- 20%), positive family history
 Autoimmunity
 Stress
 Diet
 Infectious agent
 Vaccination
43
 Genetic factors
1. MHC class I antigen HLA-DR4, DR 11 & DQ-3
2. DR4 & DR5 – ass. with severe type of AA.
3. TNF alpha has inhibitory effect on hair growth.
4. Chromosome 21
5. Atopy – early age onset & severe AA
 Autoimmunity
1. Ass. – thyroid disease, anemia, DM, vitiligo, psoriasis.
44
Clinical Features
 Smooth, localised, well demarcated patches
 Progress circumferentially
 Single / multiple
 Scalp (90%), other regions also involved
 Hairs are short, easily extractable broken ones,
called “exclamation mark” seen at margins
 1 – 5 % of AA  AT – 2 yrs
45
 White hair- relatively spared, hence patients with
canitis, the onset of sudden diffuse A.A may result in hair
‘ going white’ over night.(canites subita)
 Shuster described Coudability hairs ( a kink in the
normal looking hairs, 5-10mm above the surface ,when
the hair is bent inwards).
46
47
48
49
50
51
52
Nail changes
 Nail dystrophy
 Pitting
 Transverse /longitudinal rows
 Beau’s lines
 Onychorrhexis-nail plate split
 Nail loss total
53
54
Poor prognosis
 Atopy
 Other immune disease
 Family H/o AA
 Excessive hair loss
 Oophiasis pattern
 Nail dystrophy
 Poor patient compliance
55
Investigations
 Hair – Pull test
 Hair pluck test
 Dermoscopy
 SALT score ( severity of alopecia tool score)
 Optical Coherence Tomography- detect hair
shaft abnormalities.
56
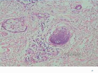
Histopathology
 Peribulbar and intrabulbar inflammatory infiltrate
concentrated in and around hair bulb giving “swarm
of bees” appearance.
 Infiltrate mostly of T lymphocytes and macrophages
present around the matrix and dermal papilla.
 Miniaturization of hair follicles.
57
58
59
60
61
 CS’s
1. Hydrocortisone acetate 25mg/mL
2. Triamcinalone acetonide 5-10mg/mL
3. Accelerates regrowth
4. SE- Atrophy,pain,tingling - reversible
 Anthralin
1. .25%-.1% used
2. SE-irritation, scaling, folliculitis, stains
3. 1st line Rx in children
4. Growth occurs in 3mths
5. Total application time 6mths
62
Alopecia totalis treated with topical immunotherapy (2,3-
diphenylcyclopropenone): (A) before treatment; (B) unilateral
hair regrowth after 15 weeks of unilateral treatment; (C)
complete regrowth after 42 subsequent weeks of bilateral
treatment. Courtesy of R Happle, University of Marburg, Marburg, Germany63
Telogen Effluvium
 The term Telogen effluvium –first coined by Kligman.
 Telogen hair- resting hairs with non pigmented club tip at
the proximal root & easily plucked from the scalp.
 In this cond. premature covertion of anagen hair to
telogen hair takes place resulting in disproportionate
shedding & dec. in the total number of hair.
64
Etiology
Physiologic
1. Physiologic effluvium of new born
2. Postpartum effluvium
3. Early changes of androgenic alopecia
4. Injury/ stress
5. High or prolonged fever
6. Severe infection
7. Severe chronic illness
8. Severe psychologic stress
9. Major sugery
10. Hypothyroidism & other endocrinopathies
11. Severe dieting or malnutrition
65
Drugs and Toxins
1. Antikeratinising agent ( etretinate)
2. Anticoagulants ( heparin)
3. Antithyroid agents
4. Alkylating agents
5. Anticonvulsants
6. Hormones
66
Diagnosis
 Detailed patient history (drug/diet)
 Complete blood count
 TFT
 Hair –pull test
 Trichogram
 ANA titre
 Sr. Zinc levels
 VDRL
67
Treatment
 Normal hair growth occurs with time & resolution of
underlying causes.
 No specific treatment – required
 In case of no recovery – minoxidil can provide some
benifits
68
Androgenetic Alopecia
 Androgenic alopecia is hereditary thinning of the hair
caused due to androgens in genetically susceptible men
& women.
 In males, male pattern hair loss / common baldness.
 In females, female pattern hair loss.
69
Clinical features
 MPHL- easily recognized
1. Described – Hamilton & Norwood
2. Thinning of hair in frontal & vertex area with
progression of hair loss
3. Marginal parietal & occipital hair – retained.
70
71
 FPHL- differ from men.
1) Described by Ludwig
2) Diffuse thinning over the crown with no H/O
shedding.
3) In women, hair thinning begins – frontal & later
involve the entire scalp sparing the frontal hairline.
4) Hair density remains the same, hair no longer grows
into its previous length.
72
73
Hair Loss Severity Classification
 For MPHL, Norwood/ Hamilton scale
 For FPHL, Ludwig’s classification scale
74
Pathology
 l
 Marked reduction in terminal hairs
 Miniaturization of hair follicles  increase in secondary
vellus hairs
 Mild perifollicular infiltrate mostly lymphohistiocytic
with or without concentric layers of perifollicular
collagen deposition
75
Treatment
76
77
Hair Loss: Examination &
Investigation
78
Evaluation of Hair loss
History & Examination
1. Time period of hair loss(congenital, acquired)
2. Progression of hair loss
3. Any positive family history
4. H/o G.I dysfunction, thyroid gland dysfunction
, psychological disorders
5. H/o any surgical intervention / chronic illness
6. All medications
7. In females, menstrual & obstetric history
8. Hair care routine/ hair products
79
Examination
Physical appearance of hair and pattern of hair loss
helps in diagnosis of possible etiology.
80
Disease Common pattern seen
Diseases with patterned loss
Androgenic alopecia Women – central thinning
Men -- ‘M’ shaped thinning
Syphilis ‘Moth eaten ‘ appearence
Trichotillomania Bizarre, incomplete thinning ,stubble
Diseases with diffuse hair loss
Alopecia universalis Body & scalp involved
Telogen effluvium alopecia totalis , chemotherapy
or drug induced metabolic disorders
Diseases with focal loss
Alopecia areata Patchy hair loss
Tinea capitis Fragile & easily broken hair
Trichotillomania Patchy, incomplete thinning with
stubble
Traction alopecia Frontal & temporal loss of hair
Cicatricial alopecia Presence of cellulitis or folliculitis81
Blood Investigations
 Complete blood count
 VDRL
 Sr. iron
 Sr. ferritin
 Total iron binding capacity
 TFT
 Antinuclear factor –DLE
 Hormone levels
82
Noninvasive methods
 Scalp score
 Regional Hair pattern
 Contrasting Felt examination
 Daily hair Counts
83
Scalp Scores
 Global photographs
Head shots taken at a short distance away from the
patient who is seated in front of a plain cloth.
 Standard global views- vertex, midline, frontal, temporal.
 GB’s – taken before and at various stages of treatment
 Rating – 7 point scale (-3 to +3)
84
85
 Macrophotographs – 4 times magnification
_ density & diameter of hair
 Area 14mm x 13mm
 Density graded 1 to 6
1- fewer than 4 hairs
6- more than 40 hairs
 Diameter graded 1 -thin
2 -medium
3 -thick
86
Regional Hair pattern
 The pattern of hair loss in androgenic alopecia is
well defined & distinct in both men and women.
Norwood – Hamilton scale - male
Ludwig scale - female
87
Norwood-Hamilton scale of male
pattern baldness
88
Ludwig scale for Women
89
Contrasting Felt Examination
 AIM- To see the short, miniature hairs of the scalp.
 PROCEDURE- An index card with black felt glued
on one side and white felt on the opposite side is
used.
 After parting in the hair, the index card is held
along the scalp
90
 INFERENCE- Fine short
hairs with broken or tapered
distal tips project up along
the edge of the felt.
 These miniature hairs –
in the androgen dependent
areas both men & women.
91
Daily Hair Counts
 Useful for quantitative assessment of the actual number of
hairs shed daily in patients with complaints of excessive
shedding.
 Collect for 14 consecutive days
 Average daily loss – 30-70 hairs /day.
 If >70 hairs – microscopic examination is done to
detect pathology.
92
93
Semi-invasive methods
 Hair Pull Test
 Hair Feathering Test
 Trichogram( Hair Pluck Test)
 Unit Area Trichogram
 Phototrichogram & Videotrichogram
 Digital Epiluminescence Microscopy
 Global Photographs in Phototrichogram
94
Hair Pull Test
95
 Telogen hair is easily extracted than anagen hair
 PROCEDURE-
1. About 60 hairs- pulled with constant traction
2. Bulb of extracted hair is examined
3. The number of telogen hair is counted
4. Expressed as percentage of total hair pulled
 Upto 7% - normal
 >10% - effluvium
 Telogen effluvium, anagen effluvium, loose anagen syndrome,
early cases of patterned alopecia and the advancing edge of
alopecia areata
96
Other drawbacks of this test:
 Washing hair before- may give false low No. of telogen hair.
 Frequency of telogen shedding varies day to day.
 Seasonal variation – inc. spring & autumn.
 More in the frontal & vertex region compared to occipital
region.
 Alopecia - failure of development of new anagen hair rather
than increased telogen hair ratio. In these patients hair pull
test is normal.
97
Hair Feathering Test
 AIM- detecting abnormal hair fragility and hair shaft
breakage.
 PROCEDURE-
1. Distal 2 to 3cm – hairs in involved areas – grasped &
pulled.
2. Grasped hair - checked for broken fragments
3. Microscopic examination- confirms nature of hair
shaft defect & type of fracture.
98
Trichogram (Hair Pluck Test)
99
The plucked hairs are arranged side by side
on a glass slide and taped
100
Anagen hair - forcibly
plucked terminal anagen
hair showing the pigmented
bulb with 'hockey-stick'
appearance.
101
Telogen hair - forcibly plucked
early telogen hair showing the
hypopigmented, club-shaped
cornified bulb
with remanents of the cornified
epithelial sac.
102
Unit Area Trichogram
 In a marked out area (30mm2) – hair is epilated- the
proportion of various type of hair is counted.
 A/T ratio, shaft diameter, density.
 Av. diameter – healthy hair- ≥ 80μ𝑚.
103
Phototrichogram
 Phototrichogram was introduced by Saitoh in
1970
 Technique that allows in vivo study of physiology
of the hair cycle and measurement of various hair
growth variables.
104
 These variables are:
1. Hair density
2. Hair thickness
3. Hair length
4. Linear growth rate.
105
 PROCEDURE-
Day 0 t(0) -Clipping the hair short (1mm) in a marked
area.
Photograph is taken- high magnification
Day 2 (t2)
After 48 h, the second photograph was taken
Patient advised – not to wash hair
106
 INFERENCE-
1. Hair variables at Day 0
 Density of hair in the specified area
 Length of hairs (L1)
2. Hair variables at Day 2
 The length of hairs (L2)
 Hair growth in mm/day, (L2-L1)/2
 Number of hairs showing hair growth.(Anagen hairs)
 Number of hairs not grown. (Telogen hairs)
107
Invasive Methods
Scalp Biopsy
Indications:
1. Cicatricial alopecia
2. Undiagnosed - non-cicatricial alopecia
Type:
1. Vertical
2. Horizontal
108
Terminal anagen hair-showing the IRS and the ORS109
AGA Male scalp- follicular unit with three vellus hairs ; one
terminal and one secondary hair germ 110
Vellus hair – IRS thicker than the hair shaft 111
Medical Management of
Androgenic Alopecia
112
Treatment options for AGA in Men
Hormone modifiers
Androgen blockade
1. 5 α- reductase inhibitors (finasteride)
2. Androgen-receptor inhibitors(Spironolactone,cyproterone acetate)
Estrogen -mediated
1. Hormone replacement
2. Oral contraceptives
Biologic response modifiers
1. Minoxidil
2. Tretinoin 113
Minoxidil
114
 Main actions of Minoxidil on the hair follicle;
1. Inc. in the proportion of hair - anagen phase by promoting
premature entry of the hair follicle into the anagen phase
2. Prolongs the length of anagen phase
3. Dec. the no. of follicles – telogen phase
4. Inc. – hair follicle size & hair diameter
On topical application- rapid inc. of hair growth is seen as soon as
6 to 8 weeks & max. effect at 12 to 16 weeks.
115
Adverse Effects
 Head ache
 Mild irritant dermatitis
 Occasional hirsutism
116
Finasteride
 It’s a competent & specific inhibitor – type II 5α-reductase
enzyme.
 Prevents testosteroneDHT.
 65% bioavaiability.
 90% of circulating drug bound to plasma protein.
 Crosses the BBB.
 Metabolized in liver, via cytochrome P450 enzyme.
 Metabolites formed in liver –excreted in faeces with 40%
in urine.
117
Indications & Dosage
 Androgenic alopecia with mild to moderate hair loss
of vertex & ant. mid scalp area.
Its effectiveness in bitemporal recession has not been
established.
 Recommended dosage- 1mg orally OD daily use ≥3
months.
 Withdrawal of drug – revesal effect in 12 months.
118
Adverse effects
 Breast tenderness & enlargement
 Hypersensitivity reactions-
Pruritus, rash, urticaria , swelling of lips &
face, testicular pain.
 Erectile dysfunction.
 Less libido.
119
Contraindications
 In women- child bearing group & pregnant women
 In children
 In patients hypersensitive to drug.
120
Surgical Treatment
 Hair transplantation
 Hair weaving
 Laser hair transplant
 Follicular unit transplant
121
Reference
 Text book on Alopecia – Dr Narendra G. Patwardhan
 Rook’s text book of dermatology
 Review article on Alopecia Areata - IJDVL
122
THANKYOU
123

Alopecia - scaring & non-scaring type.

  • 1.
  • 2.
    CONTENT  Hair Science Classification Of ALOPECIA  Hair Loss: Examination and Investigation  Management 2
  • 3.
  • 4.
    Hair is acutaneous appendage originally evolved in mammals as a protective coat. It is simple in structure, but has important functions in social functioning 4
  • 5.
    Anatomy  The Anagenhair follicle is divided into: Upper Segment 1. Infundibulum 2. Isthmus Lower Segment 1. Stem 2. Bulb 5
  • 6.
  • 7.
  • 8.
    Adamson’s Fringe  Upperpart of the bulb.  Keratogenous zone.  Divided into 6 layers: 1. Medulla 2. Cortex 3. Hair cuticle 4. Cuticle of inner sheath 5. Huxley’s layer 6. Henle’s layer 8
  • 9.
    Follicular Papilla  Variesaccording to the phase of hair cycle.  Composed - specialized fibroblast like cells embedded in extracellular matrix.  Contains a loop of capillary blood vessels.  Volume of dermal papilla maybe responsible for controlling size of hair follicle. 9
  • 10.
    Hair Shaft  3layers : Medulla Cortex Hair Cuticle Medulla 1. Maybe continuous, interrupted or absent. 2. Contains few layers of rounded cells containing glycogen. 10
  • 11.
    Cortex 1. Forms bulkof the hair shaft. 2. Consists of numerous layers of flattened elongated cells packed together. Hair Cuticle 1. Consists of 5 – 10 layers of flattened cells arranged in overlapping “roof – tile” pattern. 2. The upwards pointing edges of the hair cuticle interlock with the downwards pointing edges of cuticle of inner sheath. 11
  • 12.
    Inner Root Sheath 1.3 layers : Cuticle Huxley’s layer Henle’s layer 2. At the Isthmus the IRS disintegrates Outer Root Sheath 1. Most peripheral part of hair follicle. 2. Keratinize at the level of Isthmus. 3. Occasionally “companion layer” maybe seen in between IRS and ORS. 12
  • 13.
  • 14.
    Ultra structure ofHair  Hard keratin with high sulfur content.  High sulfur content - extraordinary tensile strength.  S-H linkages of cysteine at the bulb are converted to S-S linkages of cysteine higher up. 14
  • 15.
    Functions of Hair Tactile perception  Protection of scalp from sunlight and trauma.  Protection of eyes from foreign bodies, sunlight & sweat  Screening nasal passages.  Reduce friction in intertriginous areas.  Disseminates apocrine odor  Contributes to psychological perception of beauty & attractiveness. 15
  • 16.
    Hair Cycle Hair growthoccurs in 3 stages : Anagen Catagen Telogen 16
  • 17.
  • 18.
  • 19.
    19 Anagen • Period ofactive hair growth. • Duration of this phase resp. for final length of the hair. • Usually lasts for 2 – 6 years. • Duration of Anagen genetically determined. • About 85% of all hairs are in this phase at any time. • Onset of mitotic activity of epithelial cells in Dermal papilla.
  • 20.
     Lower partof follicle elongates downwards along a preformed dermal tract ( stele ).  Dermal papilla expands .  A network of capillary blood vessels develop around the lengthening follicle.  Epithelial cells in the hair bulb undergo vigorous proliferative activity. 20
  • 21.
     The melanocytesbecome active adding colour to this newly forming hair.  Anagen consists of 6 substages.  Differences in the length of hair is due to variable duration of the last stage ( VI ). 21
  • 22.
    22 Catagen • Short transitionstage that occurs at the end of the anagen phase. • Signals the end of active growth of hair. • Usually lasts about 2 – 3 weeks. • At the end of Anagen, epithelial division declines and ceases. • Proximal end of the hair shaft keratinizes to form a club shaped structure.
  • 23.
     Lower partof the follicle involutes by apoptosis.  Basement membrane surrounding the follicle becomes thickened to form “glassy membrane”.  Base of the follicle along with dermal papilla moves upwards to lie below the level of Arrector muscle attachment. 23
  • 24.
    24 Telogen • Resting phaseof the hair follicle. • Usually lasts for about 3 months. • About 10 – 15% of all hairs are in this phase at any time. • Quiscient period between completion of follicular regression and onset of next anagen phase. • Resting club hair lies within an epithelial sac.
  • 25.
    Types of HAIR Lanugo(wool like) Fine, soft, unmedullated, unpigmented Vellus Hair ( ≤0.03 mm ) Soft, unmedullated, pigmented Terminal Hair ( ≥0.06 mm ) Coarse, medullated, pigmented 25
  • 26.
    Modulators of HairFollicle Cycling in Humans MODULATOR ACTION Endogeneous Androgens Promote miniaturization of follicles & shorten duration of the anagen stage in androgen sensitive areas of scalp; Enlarge follicles in androgen- dependent areas during adolescent Estrogens Prolong anagen stage; Post partum reduction in estrogen- telogen effluvium Growth hormone Acts synergistically with androgen in adolescence Prolactin Can induce hirsutism Thyroxine Low levels can cause telogen effluvim; High levels may have similar effect 26
  • 27.
    Exogeneous Anabolic Steroids Accelerateandrogenetic alopecia : Aggravate hirsutism β Adrenergic antagonist Causes telogen effluvium Cyclosporin Hypertrichosis Estrogen Prolong duration of anagen stage Finasteride Blocks 5 α Reductase type II Minoxidil Induces and prolongs anagen stage & Vellus  terminal hair OCP Cessation may cause telogen effluvium Phenytoin Hypertrichosis Retinoids Premature onset of catagen stage 27
  • 28.
    Rate of HairGrowth : Part of the Body Rate of Growth Scalp 0.45mm/day Beard 0.35mm/day Extremities 0.25mm/day Forehead(vellus hair) 0.03mm/day 28
  • 29.
    Role of GrowthFactors & Cytokines in Hair Follicle Development,Hair growth & Hair Cycle Activity EGF 1. Delays follicular development 2. Retards hair growth & cycling 3. Induces follicle regression & catagen–like changes in vitro 4. Stimulates elongation of hair. TGFα 1. Controls normal positional development of hair follicle 2. Retards hair growth in vitro in mice aFGF & bFGF 1. Responsible for formation & maintenance of perifollicular blood vessel 2. Important for skin appendage morphogenesis & their formation FGF4 1. Necessary for follicular development & epithelial regeneration. FGF5 1. Hair elongation inhibitor 2. Initiates transition from anagen to catagen phase 29
  • 30.
    VEGF 1. Responsiblefor maintenance of the perifollicular capillaries in anagen TGFβ -1,2,3 1. Inhibits follicular development 2. Gene over expression in epidermis  marked reduction of epidermal & follicular proliferation & dec. number of follicles in mice BMP-2, BMP-4 1. Necessary for epithelial regeneration NBFβ 1. Probably trophic functions for neurons 2. Probably responsible for maintenance of perifollicular nerves in anagen TNFα 1. Responsible for induction of apoptosis PDGF-A,B 1. Important in follicular development & vasculogenesis 2. Stimulates hair canal development 30
  • 31.
  • 32.
    Alopecia is definedas “ absence or loss of hair”. It’s a chronic disorder secondary to the disease of either the hair follicle, hair shaft or the scalp. 32
  • 33.
    Pseudoalopecia is definedas acute or chronic breakage of hair due to congenital or acquired hair shaft abnormalities secondary to trauma or chemicals. Its characterized clinically by unintended short hair. 33
  • 34.
    Noncicatricial Alopecia Physiological Alopeciaof infants, post-partum alopecia Alopecia areata Telogen effluvium Infections Dermatophytosis, bacterial & spirochaetal infections Chemicals & drugs: Thallium/Heparin/cancer chemotherapy/ hypervitaminosis A Physical trauma (self induced) Trichotillomania, scratching of neurodermatitis Endocrinopathy Hypo/ hyperthyroid, hypo/hyperparathyroid Physical agents Mild trauma, epilating dose of radiotherapy, short term hair traction Systemic agents SLE, dermatomyositis, sarcoidosis, Langerhan’s cell histocytosis, amylodosis 34
  • 35.
    Cicatricial Alopecia Physical traumaLong term traction of hair, x-ray overdose burn Infections Bacterial Dermatophytosis Viral Chemical injury Caustics Cutaneous diseases DLE, FLP,pseudopelade Destructive neoplasms & granulomas Psychogenic conditions Neurotic excoriating tactile injury to skin 35
  • 36.
    Miscellaneous Androgenetic alopecia(common baldness) Congenitalalopecia Hair shaft abnormalities: monolothix, pili annulati, wooly hair 36
  • 37.
  • 38.
     Moth –eatenappearance -Syphilis 38
  • 39.
  • 40.
  • 41.
  • 42.
    Alopecia Areata Syn. Pelade,Area Celsi  Chronic inflammatory dermatologic disorder characterized by patchy loss of hair without atrophy  Described by Cornelius Celsus (AD 14-37)  Term was coined by Sauvages in 1760 42
  • 43.
    Etiology  Genetic factors(10-20%), positive family history  Autoimmunity  Stress  Diet  Infectious agent  Vaccination 43
  • 44.
     Genetic factors 1.MHC class I antigen HLA-DR4, DR 11 & DQ-3 2. DR4 & DR5 – ass. with severe type of AA. 3. TNF alpha has inhibitory effect on hair growth. 4. Chromosome 21 5. Atopy – early age onset & severe AA  Autoimmunity 1. Ass. – thyroid disease, anemia, DM, vitiligo, psoriasis. 44
  • 45.
    Clinical Features  Smooth,localised, well demarcated patches  Progress circumferentially  Single / multiple  Scalp (90%), other regions also involved  Hairs are short, easily extractable broken ones, called “exclamation mark” seen at margins  1 – 5 % of AA  AT – 2 yrs 45
  • 46.
     White hair-relatively spared, hence patients with canitis, the onset of sudden diffuse A.A may result in hair ‘ going white’ over night.(canites subita)  Shuster described Coudability hairs ( a kink in the normal looking hairs, 5-10mm above the surface ,when the hair is bent inwards). 46
  • 47.
  • 48.
  • 49.
  • 50.
  • 51.
  • 52.
  • 53.
    Nail changes  Naildystrophy  Pitting  Transverse /longitudinal rows  Beau’s lines  Onychorrhexis-nail plate split  Nail loss total 53
  • 54.
  • 55.
    Poor prognosis  Atopy Other immune disease  Family H/o AA  Excessive hair loss  Oophiasis pattern  Nail dystrophy  Poor patient compliance 55
  • 56.
    Investigations  Hair –Pull test  Hair pluck test  Dermoscopy  SALT score ( severity of alopecia tool score)  Optical Coherence Tomography- detect hair shaft abnormalities. 56
  • 57.
    Histopathology  Peribulbar andintrabulbar inflammatory infiltrate concentrated in and around hair bulb giving “swarm of bees” appearance.  Infiltrate mostly of T lymphocytes and macrophages present around the matrix and dermal papilla.  Miniaturization of hair follicles. 57
  • 58.
  • 59.
  • 60.
  • 61.
  • 62.
     CS’s 1. Hydrocortisoneacetate 25mg/mL 2. Triamcinalone acetonide 5-10mg/mL 3. Accelerates regrowth 4. SE- Atrophy,pain,tingling - reversible  Anthralin 1. .25%-.1% used 2. SE-irritation, scaling, folliculitis, stains 3. 1st line Rx in children 4. Growth occurs in 3mths 5. Total application time 6mths 62
  • 63.
    Alopecia totalis treatedwith topical immunotherapy (2,3- diphenylcyclopropenone): (A) before treatment; (B) unilateral hair regrowth after 15 weeks of unilateral treatment; (C) complete regrowth after 42 subsequent weeks of bilateral treatment. Courtesy of R Happle, University of Marburg, Marburg, Germany63
  • 64.
    Telogen Effluvium  Theterm Telogen effluvium –first coined by Kligman.  Telogen hair- resting hairs with non pigmented club tip at the proximal root & easily plucked from the scalp.  In this cond. premature covertion of anagen hair to telogen hair takes place resulting in disproportionate shedding & dec. in the total number of hair. 64
  • 65.
    Etiology Physiologic 1. Physiologic effluviumof new born 2. Postpartum effluvium 3. Early changes of androgenic alopecia 4. Injury/ stress 5. High or prolonged fever 6. Severe infection 7. Severe chronic illness 8. Severe psychologic stress 9. Major sugery 10. Hypothyroidism & other endocrinopathies 11. Severe dieting or malnutrition 65
  • 66.
    Drugs and Toxins 1.Antikeratinising agent ( etretinate) 2. Anticoagulants ( heparin) 3. Antithyroid agents 4. Alkylating agents 5. Anticonvulsants 6. Hormones 66
  • 67.
    Diagnosis  Detailed patienthistory (drug/diet)  Complete blood count  TFT  Hair –pull test  Trichogram  ANA titre  Sr. Zinc levels  VDRL 67
  • 68.
    Treatment  Normal hairgrowth occurs with time & resolution of underlying causes.  No specific treatment – required  In case of no recovery – minoxidil can provide some benifits 68
  • 69.
    Androgenetic Alopecia  Androgenicalopecia is hereditary thinning of the hair caused due to androgens in genetically susceptible men & women.  In males, male pattern hair loss / common baldness.  In females, female pattern hair loss. 69
  • 70.
    Clinical features  MPHL-easily recognized 1. Described – Hamilton & Norwood 2. Thinning of hair in frontal & vertex area with progression of hair loss 3. Marginal parietal & occipital hair – retained. 70
  • 71.
  • 72.
     FPHL- differfrom men. 1) Described by Ludwig 2) Diffuse thinning over the crown with no H/O shedding. 3) In women, hair thinning begins – frontal & later involve the entire scalp sparing the frontal hairline. 4) Hair density remains the same, hair no longer grows into its previous length. 72
  • 73.
  • 74.
    Hair Loss SeverityClassification  For MPHL, Norwood/ Hamilton scale  For FPHL, Ludwig’s classification scale 74
  • 75.
    Pathology  l  Markedreduction in terminal hairs  Miniaturization of hair follicles  increase in secondary vellus hairs  Mild perifollicular infiltrate mostly lymphohistiocytic with or without concentric layers of perifollicular collagen deposition 75
  • 76.
  • 77.
  • 78.
    Hair Loss: Examination& Investigation 78
  • 79.
    Evaluation of Hairloss History & Examination 1. Time period of hair loss(congenital, acquired) 2. Progression of hair loss 3. Any positive family history 4. H/o G.I dysfunction, thyroid gland dysfunction , psychological disorders 5. H/o any surgical intervention / chronic illness 6. All medications 7. In females, menstrual & obstetric history 8. Hair care routine/ hair products 79
  • 80.
    Examination Physical appearance ofhair and pattern of hair loss helps in diagnosis of possible etiology. 80
  • 81.
    Disease Common patternseen Diseases with patterned loss Androgenic alopecia Women – central thinning Men -- ‘M’ shaped thinning Syphilis ‘Moth eaten ‘ appearence Trichotillomania Bizarre, incomplete thinning ,stubble Diseases with diffuse hair loss Alopecia universalis Body & scalp involved Telogen effluvium alopecia totalis , chemotherapy or drug induced metabolic disorders Diseases with focal loss Alopecia areata Patchy hair loss Tinea capitis Fragile & easily broken hair Trichotillomania Patchy, incomplete thinning with stubble Traction alopecia Frontal & temporal loss of hair Cicatricial alopecia Presence of cellulitis or folliculitis81
  • 82.
    Blood Investigations  Completeblood count  VDRL  Sr. iron  Sr. ferritin  Total iron binding capacity  TFT  Antinuclear factor –DLE  Hormone levels 82
  • 83.
    Noninvasive methods  Scalpscore  Regional Hair pattern  Contrasting Felt examination  Daily hair Counts 83
  • 84.
    Scalp Scores  Globalphotographs Head shots taken at a short distance away from the patient who is seated in front of a plain cloth.  Standard global views- vertex, midline, frontal, temporal.  GB’s – taken before and at various stages of treatment  Rating – 7 point scale (-3 to +3) 84
  • 85.
  • 86.
     Macrophotographs –4 times magnification _ density & diameter of hair  Area 14mm x 13mm  Density graded 1 to 6 1- fewer than 4 hairs 6- more than 40 hairs  Diameter graded 1 -thin 2 -medium 3 -thick 86
  • 87.
    Regional Hair pattern The pattern of hair loss in androgenic alopecia is well defined & distinct in both men and women. Norwood – Hamilton scale - male Ludwig scale - female 87
  • 88.
    Norwood-Hamilton scale ofmale pattern baldness 88
  • 89.
  • 90.
    Contrasting Felt Examination AIM- To see the short, miniature hairs of the scalp.  PROCEDURE- An index card with black felt glued on one side and white felt on the opposite side is used.  After parting in the hair, the index card is held along the scalp 90
  • 91.
     INFERENCE- Fineshort hairs with broken or tapered distal tips project up along the edge of the felt.  These miniature hairs – in the androgen dependent areas both men & women. 91
  • 92.
    Daily Hair Counts Useful for quantitative assessment of the actual number of hairs shed daily in patients with complaints of excessive shedding.  Collect for 14 consecutive days  Average daily loss – 30-70 hairs /day.  If >70 hairs – microscopic examination is done to detect pathology. 92
  • 93.
  • 94.
    Semi-invasive methods  HairPull Test  Hair Feathering Test  Trichogram( Hair Pluck Test)  Unit Area Trichogram  Phototrichogram & Videotrichogram  Digital Epiluminescence Microscopy  Global Photographs in Phototrichogram 94
  • 95.
  • 96.
     Telogen hairis easily extracted than anagen hair  PROCEDURE- 1. About 60 hairs- pulled with constant traction 2. Bulb of extracted hair is examined 3. The number of telogen hair is counted 4. Expressed as percentage of total hair pulled  Upto 7% - normal  >10% - effluvium  Telogen effluvium, anagen effluvium, loose anagen syndrome, early cases of patterned alopecia and the advancing edge of alopecia areata 96
  • 97.
    Other drawbacks ofthis test:  Washing hair before- may give false low No. of telogen hair.  Frequency of telogen shedding varies day to day.  Seasonal variation – inc. spring & autumn.  More in the frontal & vertex region compared to occipital region.  Alopecia - failure of development of new anagen hair rather than increased telogen hair ratio. In these patients hair pull test is normal. 97
  • 98.
    Hair Feathering Test AIM- detecting abnormal hair fragility and hair shaft breakage.  PROCEDURE- 1. Distal 2 to 3cm – hairs in involved areas – grasped & pulled. 2. Grasped hair - checked for broken fragments 3. Microscopic examination- confirms nature of hair shaft defect & type of fracture. 98
  • 99.
  • 100.
    The plucked hairsare arranged side by side on a glass slide and taped 100
  • 101.
    Anagen hair -forcibly plucked terminal anagen hair showing the pigmented bulb with 'hockey-stick' appearance. 101
  • 102.
    Telogen hair -forcibly plucked early telogen hair showing the hypopigmented, club-shaped cornified bulb with remanents of the cornified epithelial sac. 102
  • 103.
    Unit Area Trichogram In a marked out area (30mm2) – hair is epilated- the proportion of various type of hair is counted.  A/T ratio, shaft diameter, density.  Av. diameter – healthy hair- ≥ 80μ𝑚. 103
  • 104.
    Phototrichogram  Phototrichogram wasintroduced by Saitoh in 1970  Technique that allows in vivo study of physiology of the hair cycle and measurement of various hair growth variables. 104
  • 105.
     These variablesare: 1. Hair density 2. Hair thickness 3. Hair length 4. Linear growth rate. 105
  • 106.
     PROCEDURE- Day 0t(0) -Clipping the hair short (1mm) in a marked area. Photograph is taken- high magnification Day 2 (t2) After 48 h, the second photograph was taken Patient advised – not to wash hair 106
  • 107.
     INFERENCE- 1. Hairvariables at Day 0  Density of hair in the specified area  Length of hairs (L1) 2. Hair variables at Day 2  The length of hairs (L2)  Hair growth in mm/day, (L2-L1)/2  Number of hairs showing hair growth.(Anagen hairs)  Number of hairs not grown. (Telogen hairs) 107
  • 108.
    Invasive Methods Scalp Biopsy Indications: 1.Cicatricial alopecia 2. Undiagnosed - non-cicatricial alopecia Type: 1. Vertical 2. Horizontal 108
  • 109.
    Terminal anagen hair-showingthe IRS and the ORS109
  • 110.
    AGA Male scalp-follicular unit with three vellus hairs ; one terminal and one secondary hair germ 110
  • 111.
    Vellus hair –IRS thicker than the hair shaft 111
  • 112.
  • 113.
    Treatment options forAGA in Men Hormone modifiers Androgen blockade 1. 5 α- reductase inhibitors (finasteride) 2. Androgen-receptor inhibitors(Spironolactone,cyproterone acetate) Estrogen -mediated 1. Hormone replacement 2. Oral contraceptives Biologic response modifiers 1. Minoxidil 2. Tretinoin 113
  • 114.
  • 115.
     Main actionsof Minoxidil on the hair follicle; 1. Inc. in the proportion of hair - anagen phase by promoting premature entry of the hair follicle into the anagen phase 2. Prolongs the length of anagen phase 3. Dec. the no. of follicles – telogen phase 4. Inc. – hair follicle size & hair diameter On topical application- rapid inc. of hair growth is seen as soon as 6 to 8 weeks & max. effect at 12 to 16 weeks. 115
  • 116.
    Adverse Effects  Headache  Mild irritant dermatitis  Occasional hirsutism 116
  • 117.
    Finasteride  It’s acompetent & specific inhibitor – type II 5α-reductase enzyme.  Prevents testosteroneDHT.  65% bioavaiability.  90% of circulating drug bound to plasma protein.  Crosses the BBB.  Metabolized in liver, via cytochrome P450 enzyme.  Metabolites formed in liver –excreted in faeces with 40% in urine. 117
  • 118.
    Indications & Dosage Androgenic alopecia with mild to moderate hair loss of vertex & ant. mid scalp area. Its effectiveness in bitemporal recession has not been established.  Recommended dosage- 1mg orally OD daily use ≥3 months.  Withdrawal of drug – revesal effect in 12 months. 118
  • 119.
    Adverse effects  Breasttenderness & enlargement  Hypersensitivity reactions- Pruritus, rash, urticaria , swelling of lips & face, testicular pain.  Erectile dysfunction.  Less libido. 119
  • 120.
    Contraindications  In women-child bearing group & pregnant women  In children  In patients hypersensitive to drug. 120
  • 121.
    Surgical Treatment  Hairtransplantation  Hair weaving  Laser hair transplant  Follicular unit transplant 121
  • 122.
    Reference  Text bookon Alopecia – Dr Narendra G. Patwardhan  Rook’s text book of dermatology  Review article on Alopecia Areata - IJDVL 122
  • 123.