REGENERATION & HEALING
Dr. U.S.Pandey
Professor & HOD,
Deptt.of Pathology,
Govt.Medical College,
Bettiah(West Champaran)-845438
(CYTOKINES & GROWTH FACTORS)
Growth Factors (GFs)
• Polypeptides
• Cytokines
• Cell LOCOMOTION
• Cell CONTRACTILITY
• Cell PROLIFERATION
• Cell DIFFERENTIATION
• ANGIOGENESIS,Morphogenesis,Tissue
ORGANISATION
• Activities having Growth Promoting
Effects
Growth Factors (GFs)
• 1.Epidermal GF
• 2.Transforming (alpha, beta) GF
• 3.Hepatocyte GF
• 4.Vascular Endothelial(VEGF-A,B,C,D,isoforms) GF
• 5.Platelet Derived(PDGF-A,B,C,D-isoforms) GF
• 6.Fibroblast(1-Acific,2-Basic) GF
• 7.Keratinocyte GF
• 8.Insulin like GF-1
• 9.Tumor Necrosis Factor-a(TNF)
• 10.Nerve Growth Factor(NGF) GF
• 11.Heparin-binding EGF
12.OTHERS GFs are:
• i).Angiopoietin 1 &2. vi).MYOSTATIN(GDF-8)
• ii).Erythropoietin vii).Growth Differentiation Factor-9(GDF-9)
• iii).Thrombopoietin viii).PlGF(Placental Growth Factor)
• iv).Mesenchymal GF
• v).Bone Morphogenetic Protein(BMP)
Growth factor activity is mediated through
binding to specific receptors ,ultimately
influencing the expression of Genes, that can:
I ) .Promote entry of cells into cell cycles.
II).Promote replication of relieving blocks.
III). Prevent Apoptosis.
IV). Enhance Bio synthesis of cellular-
components like :
---Nucleic acid
--- Proteins
--- Lipids
--- Carbohydrates,
:Of mother cells
to give rise to 2 daughter cells.
CELL PLAYERS (for GFs)
(source AND targets)
• Lymphocytes, especially T-cells
• Macrophages
• Platelets
• Endothelial cells
• Fibroblasts
• Keratinocytes
• “Mesenchymal” cells
• Smooth muscle cells
SIGNALING• Autocrine (same cell)
• Paracrine (next door neighbor) (many
GFs)
• Endocrine (far away, delivered by
blood, steroid hormones)
Growth Inhibitors(or Inhibitors Of Mitosis)
1.Chalones:inhibitors of mitosis e.g.,TGF-b
A number of growth inhibitors are known to be produced in inflammation.2.Antimitotic Cytokines
Transforming
growth factor beta has already been described and others include alpha interferon,
prostaglandin E2, and heparin.3.Contact Inhibition, 4.Density Dependant Regulation Of Growth in Cell
Culture:Consumption of Nutrients at least in Cell Cultures,& accumulation of Antimitotic metabolic product
arrest proliferation when cultured cells have achieved SINGLE LAYER on CONFLUENCE.
 Cell to Cell and Cell to Matrix Interactions:- Normal cells in tissue cultures tend to proliferate until a confluent
monolayer is formed at which point proliferation ceases. This density-dependent regulation is controlled by either
(1) limitation of necessary materials in the environment,
(2) alterations in the number of receptor sites for growth factors,
(3) accumulation of growth inhibitors.
This same phenomenon occurs in vivo and is at least partly responsible for the
regulation of cell proliferation in healing. It has been shown that transforming growth
factor beta is responsible for limiting proliferation of hepatocytes following partial
hepatectomy.
The nature of the matrix appears to influence cell proliferation and differentiation.
Such factors include:
o the type of collagen,
o the presence of fibronectin or laminin, and
o the nature of the proteoglycans.
Endothelial cells grown in culture and exposed to growth factors, proliferate faster
when grown on type I collagen or laminin than when grown on type IV collagen. On
the other hand, when grown on type IV collagen, they tend to form tube-like
structures. Fibronectin of fibronectin fragments promote migration of fibroblasts and
endothelial cells into an area of injury. This cell to cell interaction seems to be
mediated through cell surface receptors which interact with the cytoskeleton to signal
locomotion or differentiation. This group of receptors includes integrins which are
primarily adhesion receptors such as fibronectin receptors, platelet glycoprotein
receptors, and leukocyte adhesion molecules.
REGENERATION
HEALING
(repair)
DEFINITIONS:
•REGENERATION:Growth of
cells to replace lost tissues by the same type
of original tissue.
•HEALING:A reparative tissue
response to a wound, inflammation or
necrosis often leads to replacement by
connective tissue ( healing by fibrosis).
HEALING (repair)
• Needs a wound, inflammatory process, or necrosis
• Many disease appearances anatomically are the
result of “healing” such as atherosclerosis
• Often ends with a scar
• Fibrosis, as one of the 3 possible outcomes of
inflammation, follows “healing”
• Requires a connective tissue “scaffold”
• Fibrosis occurs in proportion to the damage of the
ECM
REGENERATION
• Replacement of lost structures by
same type of original tissue
• Is dependent on the type of normal
turnover the original tissue has
• Can be differentiated from
“compensatory” growth
• N.B.:If there were no regeneration there would be no
life.If everything regenerated there would be no death.
• All organisms exist between these two extremes.
CELL CYCLE
• G0
– Quiescent (not a very long or dominent phase)
• G1
– PRE-synthetic, but cell GROWTH taking place
• S
– Cells which have continuous “turnover” have longer, or
larger S-phases, i.e., DNA synthesis
– S-phase of TUMOR CELLS can be prognostic
• G2
– PRE-mitotic, or, if you will, POST-synthetic
• M (Mitotic:, P,M,A,T, Cytokinesis)
CELL TYPES
• Labile(Continuously Dividing)Cells:
eg.,marrow,GI,epidermis,
endometrium,
• Quiescent(Stable)Cells: liver,
kidney,parenchymal cells-
thyroid,adrenal,pancreas,etc,.
• NON-mitotic or Nondividing
(Permanent)Cells: neuron, striated
muscle
HEALING
• FOLLOWS INFLAMMATION
• PROLIFERATION and MIGRATION of connective
tissue cells FIBROBLASTS
• ANGIOGENESIS (Neovascularization)
• Collagen, other ECM protein synthesis
• Tissue Remodeling
• Wound contraction
• Increase in wound strength (scar = fibrosis)
LET’S MAKE THIS AS SIMPLE AS POSSIBLE:
1) NEUTROPHIL 2) ENDOTHELIAL CELL 3) FIBROBLAST
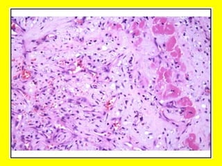
“HEALTHY” Granulation Tissue
ANGIOGENESIS
(NEOVASCULARIZATION)
• From Endothelial Precursor Cells(EPC)
• From PRE-existing vessels
• Stimulated/Regulated by GF’s,
especially Angiopoietin,VEGF,FGF,&TGF-b
• Also regulated by ECM proteins
• aka, “GRANULATION”, “GRANULATION TISSUE”,
“ORGANIZATION”, “ORGANIZING
INFLAMMATION”
FIBROSIS/SCARRING
• DEPOSITION OF COLLAGEN by
FIBROBLASTS
• FIBROSIS occurs in proportion to the
damage of the ECM
• FIBROSIS -Stimulated/Regulated by
GF’s- esp., FGF,TGF-b,PDGF
• With time (weeks, months, years?) the
collagen becomes more dense, ergo,
the tissue becomes “STRONGER”
Wound healing
•Healing of skin wounds-example of
combination of regeneration and repair.
•Wound healing can be accomplished
in one of the following two ways:-
 Healing by first intention (primary
union)
 Healing by second intention
(secondary union)
WOUND HEALING
• 1st INTENTION
• Edges lined up
• 2nd INTENTION
• Edges NOT lined up
• Ergo….
• More granulation
• More epithelialization
• MORE FIBROSIS
Difference between Primary & Secondary Wound Healing
PRIMARY UNION
1. Clean
2. Generally uninfected
3. Margins surgical clean
4. Sutures used
5. Scanty granulation tissue at
the incised gap
6.Neat linear scar
7.Complications:Infrequent
SECONDARY UNION
• 1.Unclean
• 2.May be infected
• 3. Irregular
• 4. Not used
• 5. Exuberant granulation
tissue to fill the gap
• 6.Contracted irregular wound
• 7. Common
Healing by First Intention
(Primary Union)
•Healing of a wound which has the
following characteristics: -
–clean and uninfected
–surgically incised
–without much loss of cells and tissue
–edges of wound are approximated by
surgical sutures
Sequence of events
• Initial haemorrhage- wound is filled with blood which
clots, seals the wound against dehydration and infection.
• Acute inflammatory response- polymorphs, replaced by
macrophages by 3rd day
• Epithelial changes- basal cells of epidermis start
proliferating and migrating towards incisional space.
- wound is covered by a layer of epithelium in 48 hours.
- epidermal cells separate the underlying viable dermis
from the overlying necrotic material, forming scab
- By 5th day, a multilayered new epidermis is formed
Sequence of events
• Organisation-
- By 3rd day, fibroblasts also invade the wound area.
- By 5th day, new collagen fibrils start forming which
dominate till healing is completed.
- In 4 weeks, the scar tissue with scanty cellular and
vascular elements is formed.
Healing by Second Intention
(Secondary Union)
Healing of a wound having the following
characteristics:
– open with a large tissue defect, at times
infected
– having extensive loss of cells and tissues
– the wound is not approximated by
surgical sutures but is left open
Sequence of events(Healing by
Secondary Union -IInd Intention)
• Similar to primary union
• Differs in having a larger tissue defect which has
to be bridged.
•Large wound, may be infected
•Edges not brought close togather
• The healing by second intention is slow and
results in large, at times ugly scar as compared to
rapid healing and neat scar of primary union.
• Healing with more inflammation and granulation
tissue formation.
•Large scar formation and contracture
Sequence of Events(Secondary Union)
• Initial haemorrhage
• Inflammatory phase
• Epithelial changes
• Granulation tissue
- Main bulk of secondary healing is by granulation
- With time, the scar on maturation becomes pale and
white due to increase in collagen and decrease in
vascularity.
- Specialised structures of the skin like hair follicles
and
sweat glands are not replaced
Sequence of events(contd.)
• Wound contraction
- not seen in primary healing.
- due to action of myofibroblasts, wound contracts to
one-third to one-fourth of its original size.
• Presence of infection- Bacterial contamination delays
the
process of healing due to release of bacterial toxins
that
provoke necrosis, suppuration and thrombosis.
- Surgical removal of dead and necrosed tissue,
(debridement), helps
Wound Strength
Extracellular Matrix
• The wound is strengthened by proliferation of fibroblasts and
myofibroblasts which get structural support from ECM
• In addition to providing structural support, ECM directs
cell migration, attachment, differentiation and organisation.
• ECM has five main components: collagen, adhesive
glycoproteins, basement membrane, elastic fibres, and
proteoglycans.
• Fibrosis occurs in proportion to the damage of the ECM
TENSILE STRENGTH:Initially depends on suturing
When suture removed by 1 week----wound strength only10% of
Normal
Within 3 months---- Tensile Strength by 70%-80% of Normal,
followed by Crosslinking of Collagen
Complications OF Wound Healing
• •1. Infection of wound- delays the healing.
• • 2.Implantation (epidermal) cyst
• • 3.Pigmentation- rust-like colour due to haemosiderin
• • 4.Deficient scar formation- due to inadequate formation
of granulation tissue.
• • 5.Incisional hernia- or wound dehiscence
• • 6.Hypertrophied scars and keloid -the scar isexcessive,ugly
& painful excessive formation of collagen may result in
keloid formation, tumour-like projection of connective
tissue.
• • 7.Excessive contraction- Dupuytren’s contracture
• • 8.Neoplasia- squamous cell carcinoma in Marjolin’s ulcer
Complicationsof Wound Healing
Factors Influencing Healing
Local factors
• 1.Infection
• 2.Poor blood supply(Decreased Blood Supply):
e.g.,Denervation,Necrotic tissue
• 3.Foreign bodies including sutures interfere
with healing
• 4.Movement delays wound healing.
• 5.Exposure to ionising radiation delays
• 6.Exposure to ultraviolet light facilitates healing
• 7.Type, size and location of injury
Factors Influencing Healing(contd.)
SYSTEMIC FACTORS
(Wound RETARDING Factors)
• DECREASED Blood supply
1.Age: Slow in aged & deblitated,(Rapid in Young)
2.Nutrition:Malnutrition,Vit.c,Zinc-deficiency-delay healing
3.Haematologic Abnormality:likeAnemia,Bleeding
Disorders,Defect of Neutrophil function-Neutropenia
delays healing
4.Obesity,Diabetes delays healing
5.Malignancy delays healing
6.Systemic Infection delays healing
7.Administration of Glucocorticoids delays healing
8.Organ failure delays healing
CHARLES C COLTON 1820, Lacon1:322
The greatest fool may ask more than the wisest man can answer

4. Regeneration & Healing

  • 1.
    REGENERATION & HEALING Dr.U.S.Pandey Professor & HOD, Deptt.of Pathology, Govt.Medical College, Bettiah(West Champaran)-845438 (CYTOKINES & GROWTH FACTORS)
  • 4.
    Growth Factors (GFs) •Polypeptides • Cytokines • Cell LOCOMOTION • Cell CONTRACTILITY • Cell PROLIFERATION • Cell DIFFERENTIATION • ANGIOGENESIS,Morphogenesis,Tissue ORGANISATION • Activities having Growth Promoting Effects
  • 5.
    Growth Factors (GFs) •1.Epidermal GF • 2.Transforming (alpha, beta) GF • 3.Hepatocyte GF • 4.Vascular Endothelial(VEGF-A,B,C,D,isoforms) GF • 5.Platelet Derived(PDGF-A,B,C,D-isoforms) GF • 6.Fibroblast(1-Acific,2-Basic) GF • 7.Keratinocyte GF • 8.Insulin like GF-1 • 9.Tumor Necrosis Factor-a(TNF) • 10.Nerve Growth Factor(NGF) GF • 11.Heparin-binding EGF 12.OTHERS GFs are: • i).Angiopoietin 1 &2. vi).MYOSTATIN(GDF-8) • ii).Erythropoietin vii).Growth Differentiation Factor-9(GDF-9) • iii).Thrombopoietin viii).PlGF(Placental Growth Factor) • iv).Mesenchymal GF • v).Bone Morphogenetic Protein(BMP)
  • 6.
    Growth factor activityis mediated through binding to specific receptors ,ultimately influencing the expression of Genes, that can: I ) .Promote entry of cells into cell cycles. II).Promote replication of relieving blocks. III). Prevent Apoptosis. IV). Enhance Bio synthesis of cellular- components like : ---Nucleic acid --- Proteins --- Lipids --- Carbohydrates, :Of mother cells to give rise to 2 daughter cells.
  • 7.
    CELL PLAYERS (forGFs) (source AND targets) • Lymphocytes, especially T-cells • Macrophages • Platelets • Endothelial cells • Fibroblasts • Keratinocytes • “Mesenchymal” cells • Smooth muscle cells
  • 8.
    SIGNALING• Autocrine (samecell) • Paracrine (next door neighbor) (many GFs) • Endocrine (far away, delivered by blood, steroid hormones)
  • 10.
    Growth Inhibitors(or InhibitorsOf Mitosis) 1.Chalones:inhibitors of mitosis e.g.,TGF-b A number of growth inhibitors are known to be produced in inflammation.2.Antimitotic Cytokines Transforming growth factor beta has already been described and others include alpha interferon, prostaglandin E2, and heparin.3.Contact Inhibition, 4.Density Dependant Regulation Of Growth in Cell Culture:Consumption of Nutrients at least in Cell Cultures,& accumulation of Antimitotic metabolic product arrest proliferation when cultured cells have achieved SINGLE LAYER on CONFLUENCE.  Cell to Cell and Cell to Matrix Interactions:- Normal cells in tissue cultures tend to proliferate until a confluent monolayer is formed at which point proliferation ceases. This density-dependent regulation is controlled by either (1) limitation of necessary materials in the environment, (2) alterations in the number of receptor sites for growth factors, (3) accumulation of growth inhibitors. This same phenomenon occurs in vivo and is at least partly responsible for the regulation of cell proliferation in healing. It has been shown that transforming growth factor beta is responsible for limiting proliferation of hepatocytes following partial hepatectomy. The nature of the matrix appears to influence cell proliferation and differentiation. Such factors include: o the type of collagen, o the presence of fibronectin or laminin, and o the nature of the proteoglycans. Endothelial cells grown in culture and exposed to growth factors, proliferate faster when grown on type I collagen or laminin than when grown on type IV collagen. On the other hand, when grown on type IV collagen, they tend to form tube-like structures. Fibronectin of fibronectin fragments promote migration of fibroblasts and endothelial cells into an area of injury. This cell to cell interaction seems to be mediated through cell surface receptors which interact with the cytoskeleton to signal locomotion or differentiation. This group of receptors includes integrins which are primarily adhesion receptors such as fibronectin receptors, platelet glycoprotein receptors, and leukocyte adhesion molecules.
  • 11.
  • 12.
    DEFINITIONS: •REGENERATION:Growth of cells toreplace lost tissues by the same type of original tissue. •HEALING:A reparative tissue response to a wound, inflammation or necrosis often leads to replacement by connective tissue ( healing by fibrosis).
  • 13.
    HEALING (repair) • Needsa wound, inflammatory process, or necrosis • Many disease appearances anatomically are the result of “healing” such as atherosclerosis • Often ends with a scar • Fibrosis, as one of the 3 possible outcomes of inflammation, follows “healing” • Requires a connective tissue “scaffold” • Fibrosis occurs in proportion to the damage of the ECM
  • 14.
    REGENERATION • Replacement oflost structures by same type of original tissue • Is dependent on the type of normal turnover the original tissue has • Can be differentiated from “compensatory” growth • N.B.:If there were no regeneration there would be no life.If everything regenerated there would be no death. • All organisms exist between these two extremes.
  • 18.
    CELL CYCLE • G0 –Quiescent (not a very long or dominent phase) • G1 – PRE-synthetic, but cell GROWTH taking place • S – Cells which have continuous “turnover” have longer, or larger S-phases, i.e., DNA synthesis – S-phase of TUMOR CELLS can be prognostic • G2 – PRE-mitotic, or, if you will, POST-synthetic • M (Mitotic:, P,M,A,T, Cytokinesis)
  • 19.
    CELL TYPES • Labile(ContinuouslyDividing)Cells: eg.,marrow,GI,epidermis, endometrium, • Quiescent(Stable)Cells: liver, kidney,parenchymal cells- thyroid,adrenal,pancreas,etc,. • NON-mitotic or Nondividing (Permanent)Cells: neuron, striated muscle
  • 21.
    HEALING • FOLLOWS INFLAMMATION •PROLIFERATION and MIGRATION of connective tissue cells FIBROBLASTS • ANGIOGENESIS (Neovascularization) • Collagen, other ECM protein synthesis • Tissue Remodeling • Wound contraction • Increase in wound strength (scar = fibrosis) LET’S MAKE THIS AS SIMPLE AS POSSIBLE: 1) NEUTROPHIL 2) ENDOTHELIAL CELL 3) FIBROBLAST
  • 22.
  • 23.
    ANGIOGENESIS (NEOVASCULARIZATION) • From EndothelialPrecursor Cells(EPC) • From PRE-existing vessels • Stimulated/Regulated by GF’s, especially Angiopoietin,VEGF,FGF,&TGF-b • Also regulated by ECM proteins • aka, “GRANULATION”, “GRANULATION TISSUE”, “ORGANIZATION”, “ORGANIZING INFLAMMATION”
  • 35.
    FIBROSIS/SCARRING • DEPOSITION OFCOLLAGEN by FIBROBLASTS • FIBROSIS occurs in proportion to the damage of the ECM • FIBROSIS -Stimulated/Regulated by GF’s- esp., FGF,TGF-b,PDGF • With time (weeks, months, years?) the collagen becomes more dense, ergo, the tissue becomes “STRONGER”
  • 40.
    Wound healing •Healing ofskin wounds-example of combination of regeneration and repair. •Wound healing can be accomplished in one of the following two ways:-  Healing by first intention (primary union)  Healing by second intention (secondary union)
  • 41.
    WOUND HEALING • 1stINTENTION • Edges lined up • 2nd INTENTION • Edges NOT lined up • Ergo…. • More granulation • More epithelialization • MORE FIBROSIS
  • 42.
    Difference between Primary& Secondary Wound Healing PRIMARY UNION 1. Clean 2. Generally uninfected 3. Margins surgical clean 4. Sutures used 5. Scanty granulation tissue at the incised gap 6.Neat linear scar 7.Complications:Infrequent SECONDARY UNION • 1.Unclean • 2.May be infected • 3. Irregular • 4. Not used • 5. Exuberant granulation tissue to fill the gap • 6.Contracted irregular wound • 7. Common
  • 44.
    Healing by FirstIntention (Primary Union) •Healing of a wound which has the following characteristics: - –clean and uninfected –surgically incised –without much loss of cells and tissue –edges of wound are approximated by surgical sutures
  • 46.
    Sequence of events •Initial haemorrhage- wound is filled with blood which clots, seals the wound against dehydration and infection. • Acute inflammatory response- polymorphs, replaced by macrophages by 3rd day • Epithelial changes- basal cells of epidermis start proliferating and migrating towards incisional space. - wound is covered by a layer of epithelium in 48 hours. - epidermal cells separate the underlying viable dermis from the overlying necrotic material, forming scab - By 5th day, a multilayered new epidermis is formed
  • 47.
    Sequence of events •Organisation- - By 3rd day, fibroblasts also invade the wound area. - By 5th day, new collagen fibrils start forming which dominate till healing is completed. - In 4 weeks, the scar tissue with scanty cellular and vascular elements is formed.
  • 52.
    Healing by SecondIntention (Secondary Union) Healing of a wound having the following characteristics: – open with a large tissue defect, at times infected – having extensive loss of cells and tissues – the wound is not approximated by surgical sutures but is left open
  • 54.
    Sequence of events(Healingby Secondary Union -IInd Intention) • Similar to primary union • Differs in having a larger tissue defect which has to be bridged. •Large wound, may be infected •Edges not brought close togather • The healing by second intention is slow and results in large, at times ugly scar as compared to rapid healing and neat scar of primary union. • Healing with more inflammation and granulation tissue formation. •Large scar formation and contracture
  • 55.
    Sequence of Events(SecondaryUnion) • Initial haemorrhage • Inflammatory phase • Epithelial changes • Granulation tissue - Main bulk of secondary healing is by granulation - With time, the scar on maturation becomes pale and white due to increase in collagen and decrease in vascularity. - Specialised structures of the skin like hair follicles and sweat glands are not replaced
  • 56.
    Sequence of events(contd.) •Wound contraction - not seen in primary healing. - due to action of myofibroblasts, wound contracts to one-third to one-fourth of its original size. • Presence of infection- Bacterial contamination delays the process of healing due to release of bacterial toxins that provoke necrosis, suppuration and thrombosis. - Surgical removal of dead and necrosed tissue, (debridement), helps
  • 58.
    Wound Strength Extracellular Matrix •The wound is strengthened by proliferation of fibroblasts and myofibroblasts which get structural support from ECM • In addition to providing structural support, ECM directs cell migration, attachment, differentiation and organisation. • ECM has five main components: collagen, adhesive glycoproteins, basement membrane, elastic fibres, and proteoglycans. • Fibrosis occurs in proportion to the damage of the ECM TENSILE STRENGTH:Initially depends on suturing When suture removed by 1 week----wound strength only10% of Normal Within 3 months---- Tensile Strength by 70%-80% of Normal, followed by Crosslinking of Collagen
  • 60.
    Complications OF WoundHealing • •1. Infection of wound- delays the healing. • • 2.Implantation (epidermal) cyst • • 3.Pigmentation- rust-like colour due to haemosiderin • • 4.Deficient scar formation- due to inadequate formation of granulation tissue. • • 5.Incisional hernia- or wound dehiscence • • 6.Hypertrophied scars and keloid -the scar isexcessive,ugly & painful excessive formation of collagen may result in keloid formation, tumour-like projection of connective tissue. • • 7.Excessive contraction- Dupuytren’s contracture • • 8.Neoplasia- squamous cell carcinoma in Marjolin’s ulcer
  • 61.
  • 62.
    Factors Influencing Healing Localfactors • 1.Infection • 2.Poor blood supply(Decreased Blood Supply): e.g.,Denervation,Necrotic tissue • 3.Foreign bodies including sutures interfere with healing • 4.Movement delays wound healing. • 5.Exposure to ionising radiation delays • 6.Exposure to ultraviolet light facilitates healing • 7.Type, size and location of injury
  • 63.
    Factors Influencing Healing(contd.) SYSTEMICFACTORS (Wound RETARDING Factors) • DECREASED Blood supply 1.Age: Slow in aged & deblitated,(Rapid in Young) 2.Nutrition:Malnutrition,Vit.c,Zinc-deficiency-delay healing 3.Haematologic Abnormality:likeAnemia,Bleeding Disorders,Defect of Neutrophil function-Neutropenia delays healing 4.Obesity,Diabetes delays healing 5.Malignancy delays healing 6.Systemic Infection delays healing 7.Administration of Glucocorticoids delays healing 8.Organ failure delays healing
  • 69.
    CHARLES C COLTON1820, Lacon1:322 The greatest fool may ask more than the wisest man can answer