What does a specialist ILD
service look like?
Dr Melissa Heightman,
Consultant Integrated Respiratory
Physician
DISCLAIMER: The views and opinions expressed in this presentation are those of the authors and do not necessarily represent the views and
policy of PLAN(Pan London Airways Network).
Why a “specialist” service?
 Relative rarity of diseases (increasing
incidence) 1 or 2 patients/ GP practice
 Challenging diagnostically (200 types)
 Improved outcomes in specialist centres
 All IPF patients discussed in tertiary MDT
and tertiary service accessed for new
diagnoses of ILD
 Uniformity of access
 Raise quality of care
 Access to clinical trials
 Specialised/ expensive treatments
 antifibrotics/ lung transplantation
3
 LONDON
 UCLH, RBH, Imperial, GSST
Catchment area
Rheumat
-ologist
The ILD service
PATIENT
with ILD
Pathologist
ILD
specialist
Respiratory
physicians
Clinical
research
fellows
Palliative
Care ILD
research
nurses
ILD
respiratory
nurse
Community
respiratory
services
Radiology
Pulmonary
Rehab
ILD MDT
coordinatorOxygen
assessmen
t
Transplant
outreach
Lung
function
G.P
Bronch/
cryobiops
y
Cytotoxic
biological
infusion
facility
Respiratory
pharmacist
Classification of ILD
6
Meghna Jani, Nik Hirani, Eric L. Matteson & William G. Dixon
Nature Reviews Rheumatology 10, 284–294 (2014) doi:10.1038/nrrheum.2013.197
or cryobiopsy
Thorax 2008;63(Suppl V):v1–
v58.
doi:10.1136/thx.2008.101691
Diagnostic
Algorhithm for
ILD
cryobiopsy
8
9
10
or cryobiopsy
Thorax 2008;63(Suppl V):v1–
v58.
doi:10.1136/thx.2008.101691
Diagnostic
Algorhithm for
ILD
cryobiopsy
Databases
Definite IPF
Possible IPF
Idiopathic NSIP
RBILD
DIP
LIP
Pneumoconioses
Hypersensitivity
pneumonitis
Iatrogeni
c ILD
Sarcoidosis
ILD in RA
ILD in systemic
sclerosis
ILD in
polymyositis/derm
atomyositis
ILD in Sjogrens
ILD in SLE ILD in
UCTD
Lung dominant
CTD
ANCA vasculitis
Combined
pulmonary
fibrosis and
emphysema
Langerhans Cell
Histocytosis LAM unclassifiable
Research
 Prognostic value of PET/CT in patients with ILD:
radiology, Lung function and QoL Correlation
 Living airway biobank project
 EME TIPAC (cotrimoxazole)
 Platelet and white blood cell trafficking
 MUSC-5107 (Role of nintedanib in RA-ILD)
 Mechanisms of lung injury and repair
 BI study of nintedanib + pirfenidone
Every patient offered the opportunity
Treatment/ care
ILD
Oxygen Pulmonary Rehab
Symptom control
/ palliation
Antifibrotics
Immune
suppressionpharmacotherapy
Lung
Transplantation
End of life care
Antifibrotics
NICE approved. FVC 50-80% predicted
(£71.7/ day) £20 000-£30 000 per QALY
 Pirfenidone
 Small molecule
 First clinical trial 1999
 ASCEND study, n=555. 47.9% reduction in the
proportion of patients with an absolute decline of
>10% in FVC or death. 132% increase in the
proportion of patients with no change in FVC
 Pooled analysis with previous CAPACITY study
showed reduced risk of death at 1 year by 48%
 Passport study: 85/311 discontinued due to adverse
drug reaction (GI/ skin rash/ photosensitivity)
Antifibrotics
• Nintedanib (£71.7/ day)
– Intracellular inhibitor of tyrosine kinases
– Multiple pathways targeted (PDGF receptors, VEGF
receptors, fibroblast growth factors receptor etc….)
– Indirect effects of TGFb/ fibroblasts/ matrix production
– INPULSIS study, ~50% reduction in decline of FVC
• Some effect of increased time to first exacerbation
• Theoretical increased risk of bleeding. Diarrhoea
commonest SE
– Only 1 tablet bd rather than 3 tds
16
Not just about diagnoses and drugs!
• Non –pharmacological interventions
– Pulmonary rehabilitation
• Symptom control
• Managing breathlessness
• Anxiety
– Cough and GORD
• Stop Smoking as treatment
• Advance care planning and dying
Pulmonary rehabilitation
• Physical deconditioning is common to all chronic respiratory disease
• PR recommended in ATS and NICE guidelines for IPF
• But few RCTs
• Increase in 6MWD up to 81m reported with improved functional status and QoL. Duration of benefit variable (6 or 11 months)
• Role of supplemental oxygen uncertain
• More studies needed
• Anecdotal experience can be very positive
• PR is about more than exercise training.
• ? Role of ILD focused cohorts
• ILD patients not accepted in Camden
• Vainshelboim B, Oliveira J, Yehoshua L, et al. Exercise training-based pulmonary rehabilitation program is clinically bene- ficial for idiopathic pulmonary fibrosis. Respiration.
2014;88(5):378–388.
• Jackson RM, Gomez-Marin OW, Ramos CF, et al. Exercise limitation in IPF patients: a randomized trial of pulmonary rehabilitation. Lung. 2014;192(3):367–376.
• ILD patients not eligible in Camden
18
Oxygen
• BTS guidelines 2015
– Same LTOT criteria as COPD (7.3kPa/ 8kPa)
– Not to assess for nocturnal oxygen or ambulatory oxygen unless LTOT
– Ambulatory oxygen can be used during PR
– Some ILD patient may benefit from AOT without LTOT
• Frank et al 70 IPF patients, retrospective study
– 29 patients not on LTOT- mean 81m increased walk distance
– 41 patients on LTOT – mean 16.9 m increased walk distance
• NICE: “People with idiopathic pulmonary fibrosis frequently demonstrate a
fall in oxygen saturation during exercise even though they are not hypoxic
at rest. In such people, ambulatory oxygen is often provided to improve
exercise capacity, enhance mobility and enable activities of daily living in
order to improve quality of life.”
• Remember to assess smoking risk !
Palliative Care
 Making time and finding the right setting
 Needs assessment tool to ensure we are picking up on patients needs
more uniformly and to aid dialogue
 NAT:PD-ILD eg. Red flags:
• Clinical evidence of RH failure
• Repeated unscheduled contact with hospitals
• Failure to attend clinic
• Deteriorating performance status
 Building relationships with local services- overcome geography
 Achieving preferred place of death. Challenge of extreme hypoxia
 Use of oramorph and lorazepam
 Evidence of benefits of early case conferencing in severe disease
• Bajwah et al Thorax 2015
20
Integrated/ patient centred care
 Achieve continuity across pathway/ work across boundaries
 Avoid duplication
 Good communication
 Generic referral form with better coordination of information
transfer
 Single visit assessment
 Email advice line
 Access to a named ILD nurse
3 miles
 NHS England: any help in developing patient centred care?
 Partnership with local CCGs and current integrated respiratory
services- parity
 Support of community respiratory nurses and GPs
 Record patient experience
 Support groups and charities
Community Respiratory Team, Islington and
Haringey
Integrated/ patient centred care
Thank you
Questions?
23

What does a specialist ILD service look like?

  • 1.
    What does aspecialist ILD service look like? Dr Melissa Heightman, Consultant Integrated Respiratory Physician DISCLAIMER: The views and opinions expressed in this presentation are those of the authors and do not necessarily represent the views and policy of PLAN(Pan London Airways Network).
  • 2.
    Why a “specialist”service?  Relative rarity of diseases (increasing incidence) 1 or 2 patients/ GP practice  Challenging diagnostically (200 types)  Improved outcomes in specialist centres  All IPF patients discussed in tertiary MDT and tertiary service accessed for new diagnoses of ILD  Uniformity of access  Raise quality of care  Access to clinical trials  Specialised/ expensive treatments  antifibrotics/ lung transplantation
  • 3.
    3  LONDON  UCLH,RBH, Imperial, GSST
  • 4.
  • 5.
    Rheumat -ologist The ILD service PATIENT withILD Pathologist ILD specialist Respiratory physicians Clinical research fellows Palliative Care ILD research nurses ILD respiratory nurse Community respiratory services Radiology Pulmonary Rehab ILD MDT coordinatorOxygen assessmen t Transplant outreach Lung function G.P Bronch/ cryobiops y Cytotoxic biological infusion facility Respiratory pharmacist
  • 6.
    Classification of ILD 6 MeghnaJani, Nik Hirani, Eric L. Matteson & William G. Dixon Nature Reviews Rheumatology 10, 284–294 (2014) doi:10.1038/nrrheum.2013.197
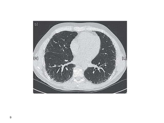
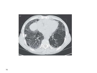
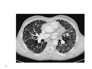
  • 7.
    or cryobiopsy Thorax 2008;63(SupplV):v1– v58. doi:10.1136/thx.2008.101691 Diagnostic Algorhithm for ILD cryobiopsy
  • 8.
  • 9.
  • 10.
  • 11.
    or cryobiopsy Thorax 2008;63(SupplV):v1– v58. doi:10.1136/thx.2008.101691 Diagnostic Algorhithm for ILD cryobiopsy
  • 12.
    Databases Definite IPF Possible IPF IdiopathicNSIP RBILD DIP LIP Pneumoconioses Hypersensitivity pneumonitis Iatrogeni c ILD Sarcoidosis ILD in RA ILD in systemic sclerosis ILD in polymyositis/derm atomyositis ILD in Sjogrens ILD in SLE ILD in UCTD Lung dominant CTD ANCA vasculitis Combined pulmonary fibrosis and emphysema Langerhans Cell Histocytosis LAM unclassifiable
  • 13.
    Research  Prognostic valueof PET/CT in patients with ILD: radiology, Lung function and QoL Correlation  Living airway biobank project  EME TIPAC (cotrimoxazole)  Platelet and white blood cell trafficking  MUSC-5107 (Role of nintedanib in RA-ILD)  Mechanisms of lung injury and repair  BI study of nintedanib + pirfenidone Every patient offered the opportunity
  • 14.
    Treatment/ care ILD Oxygen PulmonaryRehab Symptom control / palliation Antifibrotics Immune suppressionpharmacotherapy Lung Transplantation End of life care
  • 15.
    Antifibrotics NICE approved. FVC50-80% predicted (£71.7/ day) £20 000-£30 000 per QALY  Pirfenidone  Small molecule  First clinical trial 1999  ASCEND study, n=555. 47.9% reduction in the proportion of patients with an absolute decline of >10% in FVC or death. 132% increase in the proportion of patients with no change in FVC  Pooled analysis with previous CAPACITY study showed reduced risk of death at 1 year by 48%  Passport study: 85/311 discontinued due to adverse drug reaction (GI/ skin rash/ photosensitivity)
  • 16.
    Antifibrotics • Nintedanib (£71.7/day) – Intracellular inhibitor of tyrosine kinases – Multiple pathways targeted (PDGF receptors, VEGF receptors, fibroblast growth factors receptor etc….) – Indirect effects of TGFb/ fibroblasts/ matrix production – INPULSIS study, ~50% reduction in decline of FVC • Some effect of increased time to first exacerbation • Theoretical increased risk of bleeding. Diarrhoea commonest SE – Only 1 tablet bd rather than 3 tds 16
  • 17.
    Not just aboutdiagnoses and drugs! • Non –pharmacological interventions – Pulmonary rehabilitation • Symptom control • Managing breathlessness • Anxiety – Cough and GORD • Stop Smoking as treatment • Advance care planning and dying
  • 18.
    Pulmonary rehabilitation • Physicaldeconditioning is common to all chronic respiratory disease • PR recommended in ATS and NICE guidelines for IPF • But few RCTs • Increase in 6MWD up to 81m reported with improved functional status and QoL. Duration of benefit variable (6 or 11 months) • Role of supplemental oxygen uncertain • More studies needed • Anecdotal experience can be very positive • PR is about more than exercise training. • ? Role of ILD focused cohorts • ILD patients not accepted in Camden • Vainshelboim B, Oliveira J, Yehoshua L, et al. Exercise training-based pulmonary rehabilitation program is clinically bene- ficial for idiopathic pulmonary fibrosis. Respiration. 2014;88(5):378–388. • Jackson RM, Gomez-Marin OW, Ramos CF, et al. Exercise limitation in IPF patients: a randomized trial of pulmonary rehabilitation. Lung. 2014;192(3):367–376. • ILD patients not eligible in Camden 18
  • 19.
    Oxygen • BTS guidelines2015 – Same LTOT criteria as COPD (7.3kPa/ 8kPa) – Not to assess for nocturnal oxygen or ambulatory oxygen unless LTOT – Ambulatory oxygen can be used during PR – Some ILD patient may benefit from AOT without LTOT • Frank et al 70 IPF patients, retrospective study – 29 patients not on LTOT- mean 81m increased walk distance – 41 patients on LTOT – mean 16.9 m increased walk distance • NICE: “People with idiopathic pulmonary fibrosis frequently demonstrate a fall in oxygen saturation during exercise even though they are not hypoxic at rest. In such people, ambulatory oxygen is often provided to improve exercise capacity, enhance mobility and enable activities of daily living in order to improve quality of life.” • Remember to assess smoking risk !
  • 20.
    Palliative Care  Makingtime and finding the right setting  Needs assessment tool to ensure we are picking up on patients needs more uniformly and to aid dialogue  NAT:PD-ILD eg. Red flags: • Clinical evidence of RH failure • Repeated unscheduled contact with hospitals • Failure to attend clinic • Deteriorating performance status  Building relationships with local services- overcome geography  Achieving preferred place of death. Challenge of extreme hypoxia  Use of oramorph and lorazepam  Evidence of benefits of early case conferencing in severe disease • Bajwah et al Thorax 2015 20
  • 21.
    Integrated/ patient centredcare  Achieve continuity across pathway/ work across boundaries  Avoid duplication  Good communication  Generic referral form with better coordination of information transfer  Single visit assessment  Email advice line  Access to a named ILD nurse 3 miles
  • 22.
     NHS England:any help in developing patient centred care?  Partnership with local CCGs and current integrated respiratory services- parity  Support of community respiratory nurses and GPs  Record patient experience  Support groups and charities Community Respiratory Team, Islington and Haringey Integrated/ patient centred care
  • 23.