ฮ˜ฮตฯฮฑฯ€ฮตฯ…ฯ„ฮนฮบฮฎ ฮฑฮฝฯ„ฮนฮผฮตฯ„ฯŽฯ€ฮนฯƒฮท ฮบฮฑฯฮบฮฏฮฝฮฟฯ… ฮผฮฑฯƒฯ„ฮฟฯ โ€“ ฮ‘ฮบฯ„ฮนฮฝฮฟฮธฮตฯฮฑฯ€ฮตฮฏฮฑ            ฮคฮตฯ‡ฮฝฮนฮบฮฎ & ฮ ฯฯŒฮฟฮดฮฟฯ‚ ฮ•ฮ›ฮ›ฮ—ฮฮ™ฮšฮ— ฮฃฮงฮŸฮ›ฮ— ฮœฮ‘ฮฃฮคฮŸฮ›ฮŸฮ“ฮ™ฮ‘ฮฃ: ฮ’' ฮšฮฅฮšฮ›ฮŸฮฃ ฮฃฮ ฮŸฮฅฮ”ฮฉฮ - 4ฮท ฮฃฮ•ฮ™ฮกฮ‘ ฮ‘ฮ˜ฮ—ฮœฮ‘ฮคฮฉฮ,   16-17 ฮฃฮ•ฮ ฮคฮ•ฮœฮ’ฮกฮ™ฮŸฮฅ 2011,          ฮ‘ฮ™ฮ“ฮ›ฮ— ฮ–ฮ‘ฮ ฮ ฮ•ฮ™ฮŸฮฅฮ’ฮ‘ฮšฮ‘ฮ›ฮ—ฮฃ ฮžฮ•ฮฮŸฮฆฮฉฮฮ‘ฮšฮคฮ™ฮฮŸฮ˜ฮ•ฮกฮ‘ฮ ฮ•ฮฅฮคฮ—ฮฃ ฮŸฮ“ฮšฮŸฮ›ฮŸฮ“ฮŸฮฃฮ™ฮ‘ฮคฮกฮ™ฮšฮŸ ฮšฮ•ฮฮคฮกฮŸ ฮ‘ฮ˜ฮ—ฮฮฉฮ&401 ฮฃฮคฮกฮ‘ฮคฮ™ฮฉฮคฮ™ฮšฮŸ ฮฮŸฮฃ. ฮ‘ฮ˜ฮ—ฮฮฉฮ
Historical PerspectiveInterstitial Radium Brachytherapy for Breast Cancer, 1917Radiotherapy for Breast Cancer, London Hospital,  c. 1917
Prospective Randomized Trials of Lumpectomy +/- Radiotherapy
42 000 womenin 78 randomized trialsMastectomy node-posโ†“LR: 17%โ†“DSM: 5.4%BCS node-negBCS node-posโ†“LR: 16%โ†“DSM: 5%โ†“LR: 30%โ†“DSM: 7%Lancet 2005; 366: 2087
Lancet 2005; 366: 2087
Radiation Therapy for Early Stage Breast Cancer Following LumpectomyWhole Breast IrradiationRationale: Addition of whole breast irradiation following lumpectomy yields local control rates comparable to mastectomyTreatment: Whole breast irradiation 45-50 Gy to the entire breast
 60 Gy to the lumpectomy cavity + margin
1.8 โ€“ 2 Gy fraction given 5 days/ week
5 โ€“ 7 week total treatment durationBreast Irradiation TechniqueExternal BeamTreats โ€œwhole breastโ€Large volume of incidental tissuesRequires protracted (6โ€”7 week) delivery
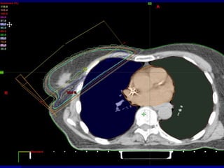
Image-based Conformal Radiation Therapy: 60 Gy62 Gy50 Gy20 Gy45 GyaxialsagittalLeft Breast
Example of guidelines for PMRTRT is recommended to patients scoring โ‰ฅ 3 (Cambridge, UK)
Accelerated Whole Breast Irradiation:Reducing the burden of careCanadian Phase III Randomized Trial:42.5 Gy โ€“ 16 fractions โ€“ 22 days   vs.		50 Gy โ€“ 25 fractions โ€“ 35 days1,234 patients          	-  T1 โ€“ T2, N 0  (80% T1)-  ER positive - 71% 	-  Median F/U:  69 months
Randomized Boost Trials
Accelerated Whole Breast Irradiation:A Phase II clinical trial of a 4 week course of RT for breast cancer using hypo fractionated IMRT with a concomitant boost.4 week course โ€“ 20 treatments 45 Gy whole breast dose 56 Gy boost doseResults:  16 patients treated  Acute toxicity: Grade I 57%, Grade II 43%
     Regional Nodal RTAwaiting results of two large trials (France and EORTC)
Full SCLV Field
IM Nodal Radiation Technique
Cured fromBreast CancerDied of CardiacToxicity Adapted from Larry Marks, Duke
Overall survival: radical mastectomy + / - RTFirst 10 yearsNext 25 yearsCuzick et al: Recent Results Cancer Research 111:108-129, 1988
XRT worseXRT betterXRT betterXRT worseXRT betterXRT worseOverall SurvivalCardiac MortalityBreast Ca  MortalityCuzick JCO 12:452, 1994
The shape of the breast and the position of the heart in relation to the chest wall can vary enormously
Decrease cardiac Exposure to RTPartial Breast IrradiationDecubitus or Prone positionsBreath Hold TechniqueRespiratory gating techniqueProton therapy
Patientโ€™s PositionProne and IMRTLateral DecubitusCampana et al 2005DeWyngaert et al 2007
Prone Breast RT
GoodmanFigure 1a. Customized prone breast board with adjustable aperture and wedge for contralateral breast.Figure 1b. Ipsilateral breast and anterior chest wall hang in a dependent fashion away from the thorax while the ipsilateral arm is placed above the head
GoodmanFigure 6.  Left breast irradiation using prone breast IMRT technique can spare left ventricle and coronary arteries.
3-DCRT for left prone breast radiation:Improved targeting and avoidance of lungSagittal45 Gy60 GyLumpectomy50 GyPTVTransaxial
Intensity Modulated Radiotherapy (IMRT) โ€ฆ + Image Guidance (IGRT)Breast is a moving target !
Double Trouble !Heart
Solution = Gated RadiotherapyHeart
Varian RPM respiratory management system
Deep Inspiration Breath-Hold (DIBH)Rosenzweig  Int. J. Radiation Oncology Biol. Phys. 2000
Increase spatial separation between target and organs at risk
     Cardiac SparingV5 Volume receiving 5% of the dose
Pattern of In-Breast Cancer Recurrences Following  Breast Conserving TherapyThe majority of cancer recurrences in the treated breast occur at the lumpectomy site
Potential Benefits of Partial Breast IrradiationReduce time and inconvenience of BCTImprove documented underutilization of breast conserving therapy (BCT)?Potentially reduce acute and chronic toxicityReduce burden of care for patientsEliminate scheduling problems with systemic chemotherapy
Rationale for Partial Breast Irradiation	(PBI)10%-40% of those who are candidates for breast conservation therapy actually do not receive it.Why?Patientโ€™s choiceComplex and prolonged treatment course can be inconvenient for those with poor access to a radiation facility, the elderly and working womenPhysician bias
Techniques for PBIInterstitial brachytherapy  with HDR or LDRIntracavitarybrachytherapy with MammositeIntraoperative electron beam therapy3D conformal radiation therapyProton beam
Partial breast irradiation techniques
Three Established Methods For PBIMammositeยฎMulti Catheter3-D Conformal
Accelerated Partial Breast IrradiationTreatments delivered twice daily (with treatments separated by six hours) for 10 treatments delivered in 5 treatment days.Delivery of radiation limited to lumpectomy site with a margin of normal tissue.Each treatment takes approximately 10 minutes to deliver.
Target definition
Accelerated Partial Breast IrradiationBenefits:Limited radiation exposure to normal tissueTreatments completed in one week instead of six weeks
Accelerated Partial Breast IrradiationLimitations:May require additional surgical procedure Requires twice daily treatmentNewer modality with far fewer patients treated and much shorter follow-upAs of now, no direct comparison with standard radiation
Who is eligible for PBI?	(Off study)Tumors < 3 cmNegative margins (> 2mm)Node negativeInvasive ductal carcinoma or DCISOlder women (>45 yrs)Revised Consensus Statement for Accelerated Partial Breast Irradiation, 12/8/05
Interstitial brachytherapyCatheters are placed intraoperatively or later; usually 2 planesTypical doses with HDR = 30-36 Gy and LDR = 45-60 GyTreatment delivered over one week.
Breast Brachytherapy
Multi-Catheter Brachytherapy
Dose Distribution of MultiCatheter PBIPTV100% isodose
Breast Appearance Following Multi-catheter Brachytherapy5 years post treatment
Patient Selection for Breast BrachytherapyPatients older than 45Tumors less than 2 cm. in size>2mm. MarginsPreferably Infiltrating Ductal or loclized low grade DCIS.  No Lobular CAThere must be at least 7mm. of tissue between the catheter surface and the skin of the breast.
Advantages of Breast Brachytherapy vs. External Beam RT6 weeks (30 fractions)Homogeneous doseLogistical problem for patientsDifficult for frail, elderly, or chronically ill patientsInterferes with schedule of working womenSome BCT candidates will opt for mastectomy5 days (10 fractions)Dose is higher to tissue at greatest risk for sub-clinical malignant cellsReduction in skin, cardiac and lung doseIdeal for patients who live far from RT CenterConvenientMay increase number of women treated with BCT
Disadvantages of Breast Brachytherapy vs. External Beam RTNoninvasiveCan cover nodal regionsTreats multi-centric carcinomaLow complication rateLinear accelerators widely availableMost radiation oncologists experienced	InvasiveNot useful for treatment of nodal basinsMay miss tumor foci in other quadrantsLow, but definite risk of infection and/or fat necrosisRequires special skills for performing; in placing catheters and dosimetry
MultiCatheter PBI:HDR/ LDR61 mo.5%89%61 y1.4 cm17.5%Average:
Breast BrachytherapyThere has got to be a better way than all of those needles.Mammosite device from Proxima Therapeutics may be the answer.FDA approved the device in May 2002
MammoSite PBIMammositeยฎ Breast Brachytherapy ApplicatorSimplified brachytherapy 		method  for PBI
Dual lumen single catheter 		with expandable balloon at 		end
  	Balloon expands to fill the 	lumpectomy cavity
  	Radiation dose prescribed to 1 	cm beyond balloon surface
    Uses 192Ir (HDR) as the source
 	FDA approval May 2002
5th Int. Meeting ISIORT Madrid, June 2008GTVPTVSkinVolume DefinitionPTV:	GTV + 1.5 โ€“ 2.0 (clinical margin) + 0.5 (setup margin) 	excluding skin and chest wallSkin:	5 mm depth below skin surface
Difficulties with MammositeBalloon must conform to cavity shape without air gaps. Device explanted in ~ 10-15% of pts.Ideal is to have 7 mm b/w balloon and skin to decrease risk of erythema.Very dependent on surgical placement.
CT Planning for MammositeBrachytherapyIsodose Lines50%80%100%120%140%200%Mammositeยฎ balloon
Prescription Dose34 Gy
10 fractions over 5 -7days3-Dimensional rendering of applicator surface and prescription dose cloud.
Day 2 on treatment
 Day 2 on treatment
2 weeks post treatment
4 months after PBI
Breast Appearance after MammoSiteยฎ3 years post treatment
MammoSite PBIAverage:4%0%83%64 y26 mo1 cm
Toxicities of MammositeSeroma formation:  Risk is increased with open technique for placement.  In Beaumont series, found 60% risk with open cavity vs. 30% in closed cavity; overall rate of 45%, with 10% symptomatic.Fat necrosis: Risk may be slightly lower than with HDR and no difference with placement technique.
ConclusionThe MammoSite RTS is the most commonly used PBI techniqueMammoSite is minimally invasive, offers acceptable cosmetic results, and induces mild side effectsThe duration of treatment is only five days making it more convenient for patients The MammoSite RTS has criteria which prevent some patients from eligibilityNew devices such as SAVI, ClearPath, and Contura are overcoming those limitations
โ€ฆ and Mammosite begat โ€ฆ.ConturaClearPathโ„ขSAVI5th Int. Meeting ISIORT Madrid, June 2008
PBI:  3D-CRT Target definition
PBI:  3D-CRT Beam Arrangement3.85 Gy BID x 10 fractions
PBI:  3D-CRT Isodose Distribution3850 3752 3655 3557 3460axialsagittalcoronal
3-DCRT PBISummary:27363210.9< 10
Accelerated Partial Breast Irradiation:SummaryAccelerated partial breast irradiation allows patients to complete a course of treatment in one week as opposed to the standard six weeks.Treatment limited to part of the breast may be associated with less morbidity of treatment and better cosmetic outcome.Hopefully, the randomized, prospective NSABP trial will answer the question of equivalence of partial and standard breast irradiation.
Stage 0, I-II breast cancer treated by lumpectomyRandomizationWBI50-50.4 Gy (1.8-2.0 Gy)Fractions to the whole breast followed by boost to 60 -66.6 GyPBI34 Gy in 3.4 Gy fxs bidMammositeยฎ or Multicatheter brachytherapy OR  38.5 Gy in 3.85 Gy fxs bid3D-CRTNSABP B-39/RTOG 0413 TrialPhase III
EndpointsPrimary: in-breast tumor recurrence
 Secondary:Distant disease-free survivalOverall survivalQOL: Cosmesis, fatigue, symptoms, burden of care
5th Int. Meeting ISIORT Madrid, June 2008ZeissIntrabeamยฎ50 kV x-ray source at the end of a 15 cm long, 3.5 mm diameter tube.
Spherical applicators with diameters of 15-50 mm in steps of 5 mm
Dose rate of about 2 Gy/min at 1 cm in waterSpherical applicators1.5 to 5cm diameter in 0.5cm stepsUniform surface dose-rate
The pliable breast tissue is wrapped around the applicator. Subcutaneous stitches aid conformation, while ensuring that the skin is at least 1cm from the applicator surface.
Intraoperative Radiation Therapy (IORT) for PBITARGIT trial is comparing whole breast irradiation to IORT delivering a single dose of 20 Gy. Primary accrual is in Europe.Using the Intrabeam Photon Radiosurgery System, 50 kV x-rays.Trial has enrolled 900 patients with target of 2200 patients.
Trials of partial breast RT
What about IMRT?
ฮ“ฮนฮฑฯ„ฮฏ ฯ‡ฯฮตฮนฮฑฮถฯŒฮผฮฑฯƒฯ„ฮต ฯ„ฮทฮฝ IMRT ; ฮ’ฮตฮปฯ„ฮนฯƒฯ„ฮฟฯ€ฮฟฮฏฮทฯƒฮท ฯ„ฮทฯ‚ ฮฟฮผฮฟฮนฮฟฮณฮญฮฝฮตฮนฮฑฯ‚ ฯ„ฮทฯ‚ ฮดฯŒฯƒฮทฯ‚ ๏ƒ  ฮบฮฑฮปฯฯ„ฮตฯฮท ฮบฮฑฯ„ฮฑฮฝฮฟฮผฮฎ   ฯ„ฮทฯ‚ ฮดฯŒฯƒฮทฯ‚ ฮตฮฝฮดฮตฯ‡ฮฟฮผฮญฮฝฯ‰ฯ‚ ฯƒฯ…ฮฝฮฟฮดฮตฯฮตฯ„ฮฑฮน ฮฑฯ€ฯŒ ฮผฮนฮบฯฯŒฯ„ฮตฯฮท ฮฟฮพฮตฮฏฮฑ ฮบฮฑฮน ฯ‡ฯฯŒฮฝฮนฮฑ   ฯ„ฮฟฮพฮนฮบฯŒฯ„ฮทฯ„ฮฑ (ฮดฮญฯฮผฮฑ, ฮผฮฑฮถฮนฮบฯŒ ฯ€ฮฑฯฮญฮณฯ‡ฯ…ฮผฮฑ) ฮœฮตฮฏฯ‰ฯƒฮท ฯ„ฯ‰ฮฝ ฯ„ฮผฮทฮผฮฌฯ„ฯ‰ฮฝ ฯ„ฮฟฯ… ฯ€ฮฝฮตฯฮผฮฟฮฝฮฑ, ฯ„ฮทฯ‚ ฮบฮฑฯฮดฮนฮฌฯ‚ (ฯƒฮต ฯŒฮณฮบฮฟฯ…ฯ‚   ฮฑฯฮนฯƒฯ„ฮตฯฮฟฯ ฮผฮฑฯƒฯ„ฮฟฯ) ฮบฮฑฮน ฯ„ฮฟฯ… ฮตฯ„ฮตฯฯŒฯ€ฮปฮตฯ…ฯฮฟฯ… ฮผฮฑฯƒฯ„ฮฟฯ ฯ€ฮฟฯ… ฮปฮฑฮผฮฒฮฌฮฝฮฟฯ…ฮฝ   ฯ…ฯˆฮทฮปฮญฯ‚ ฮดฯŒฯƒฮตฮนฯ‚. ฮฃฮต ฮตฮพฮตฮนฮดฮนฮบฮตฯ…ฮผฮญฮฝฮตฯ‚ ฯ€ฮตฯฮนฯ€ฯ„ฯŽฯƒฮตฮนฯ‚:
 ฮœฮตฯฮนฮบฮฎ ฮฑฮบฯ„ฮนฮฝฮฟฮฒฯŒฮปฮทฯƒฮท ฮผฮฑฯƒฯ„ฮฟฯ

Vakalis new techniques in breast radiotherapy

  • 1.
    ฮ˜ฮตฯฮฑฯ€ฮตฯ…ฯ„ฮนฮบฮฎ ฮฑฮฝฯ„ฮนฮผฮตฯ„ฯŽฯ€ฮนฯƒฮท ฮบฮฑฯฮบฮฏฮฝฮฟฯ…ฮผฮฑฯƒฯ„ฮฟฯ โ€“ ฮ‘ฮบฯ„ฮนฮฝฮฟฮธฮตฯฮฑฯ€ฮตฮฏฮฑ ฮคฮตฯ‡ฮฝฮนฮบฮฎ & ฮ ฯฯŒฮฟฮดฮฟฯ‚ ฮ•ฮ›ฮ›ฮ—ฮฮ™ฮšฮ— ฮฃฮงฮŸฮ›ฮ— ฮœฮ‘ฮฃฮคฮŸฮ›ฮŸฮ“ฮ™ฮ‘ฮฃ: ฮ’' ฮšฮฅฮšฮ›ฮŸฮฃ ฮฃฮ ฮŸฮฅฮ”ฮฉฮ - 4ฮท ฮฃฮ•ฮ™ฮกฮ‘ ฮ‘ฮ˜ฮ—ฮœฮ‘ฮคฮฉฮ, 16-17 ฮฃฮ•ฮ ฮคฮ•ฮœฮ’ฮกฮ™ฮŸฮฅ 2011, ฮ‘ฮ™ฮ“ฮ›ฮ— ฮ–ฮ‘ฮ ฮ ฮ•ฮ™ฮŸฮฅฮ’ฮ‘ฮšฮ‘ฮ›ฮ—ฮฃ ฮžฮ•ฮฮŸฮฆฮฉฮฮ‘ฮšฮคฮ™ฮฮŸฮ˜ฮ•ฮกฮ‘ฮ ฮ•ฮฅฮคฮ—ฮฃ ฮŸฮ“ฮšฮŸฮ›ฮŸฮ“ฮŸฮฃฮ™ฮ‘ฮคฮกฮ™ฮšฮŸ ฮšฮ•ฮฮคฮกฮŸ ฮ‘ฮ˜ฮ—ฮฮฉฮ&401 ฮฃฮคฮกฮ‘ฮคฮ™ฮฉฮคฮ™ฮšฮŸ ฮฮŸฮฃ. ฮ‘ฮ˜ฮ—ฮฮฉฮ
  • 2.
    Historical PerspectiveInterstitial RadiumBrachytherapy for Breast Cancer, 1917Radiotherapy for Breast Cancer, London Hospital, c. 1917
  • 3.
    Prospective Randomized Trialsof Lumpectomy +/- Radiotherapy
  • 4.
    42 000 womenin78 randomized trialsMastectomy node-posโ†“LR: 17%โ†“DSM: 5.4%BCS node-negBCS node-posโ†“LR: 16%โ†“DSM: 5%โ†“LR: 30%โ†“DSM: 7%Lancet 2005; 366: 2087
  • 5.
  • 6.
    Radiation Therapy forEarly Stage Breast Cancer Following LumpectomyWhole Breast IrradiationRationale: Addition of whole breast irradiation following lumpectomy yields local control rates comparable to mastectomyTreatment: Whole breast irradiation 45-50 Gy to the entire breast
  • 7.
    60 Gyto the lumpectomy cavity + margin
  • 8.
    1.8 โ€“ 2Gy fraction given 5 days/ week
  • 9.
    5 โ€“ 7week total treatment durationBreast Irradiation TechniqueExternal BeamTreats โ€œwhole breastโ€Large volume of incidental tissuesRequires protracted (6โ€”7 week) delivery
  • 12.
    Image-based Conformal RadiationTherapy: 60 Gy62 Gy50 Gy20 Gy45 GyaxialsagittalLeft Breast
  • 13.
    Example of guidelinesfor PMRTRT is recommended to patients scoring โ‰ฅ 3 (Cambridge, UK)
  • 15.
    Accelerated Whole BreastIrradiation:Reducing the burden of careCanadian Phase III Randomized Trial:42.5 Gy โ€“ 16 fractions โ€“ 22 days vs. 50 Gy โ€“ 25 fractions โ€“ 35 days1,234 patients - T1 โ€“ T2, N 0 (80% T1)- ER positive - 71% - Median F/U: 69 months
  • 16.
  • 18.
    Accelerated Whole BreastIrradiation:A Phase II clinical trial of a 4 week course of RT for breast cancer using hypo fractionated IMRT with a concomitant boost.4 week course โ€“ 20 treatments 45 Gy whole breast dose 56 Gy boost doseResults: 16 patients treated Acute toxicity: Grade I 57%, Grade II 43%
  • 20.
    Regional Nodal RTAwaiting results of two large trials (France and EORTC)
  • 23.
  • 24.
  • 26.
    Cured fromBreast CancerDiedof CardiacToxicity Adapted from Larry Marks, Duke
  • 27.
    Overall survival: radicalmastectomy + / - RTFirst 10 yearsNext 25 yearsCuzick et al: Recent Results Cancer Research 111:108-129, 1988
  • 28.
    XRT worseXRT betterXRTbetterXRT worseXRT betterXRT worseOverall SurvivalCardiac MortalityBreast Ca MortalityCuzick JCO 12:452, 1994
  • 31.
    The shape ofthe breast and the position of the heart in relation to the chest wall can vary enormously
  • 33.
    Decrease cardiac Exposureto RTPartial Breast IrradiationDecubitus or Prone positionsBreath Hold TechniqueRespiratory gating techniqueProton therapy
  • 34.
    Patientโ€™s PositionProne andIMRTLateral DecubitusCampana et al 2005DeWyngaert et al 2007
  • 36.
  • 37.
    GoodmanFigure 1a. Customizedprone breast board with adjustable aperture and wedge for contralateral breast.Figure 1b. Ipsilateral breast and anterior chest wall hang in a dependent fashion away from the thorax while the ipsilateral arm is placed above the head
  • 38.
    GoodmanFigure 6. Left breast irradiation using prone breast IMRT technique can spare left ventricle and coronary arteries.
  • 39.
    3-DCRT for leftprone breast radiation:Improved targeting and avoidance of lungSagittal45 Gy60 GyLumpectomy50 GyPTVTransaxial
  • 40.
    Intensity Modulated Radiotherapy(IMRT) โ€ฆ + Image Guidance (IGRT)Breast is a moving target !
  • 41.
  • 42.
    Solution = GatedRadiotherapyHeart
  • 43.
    Varian RPM respiratorymanagement system
  • 44.
    Deep Inspiration Breath-Hold(DIBH)Rosenzweig Int. J. Radiation Oncology Biol. Phys. 2000
  • 45.
    Increase spatial separationbetween target and organs at risk
  • 46.
    Cardiac SparingV5 Volume receiving 5% of the dose
  • 47.
    Pattern of In-BreastCancer Recurrences Following Breast Conserving TherapyThe majority of cancer recurrences in the treated breast occur at the lumpectomy site
  • 48.
    Potential Benefits ofPartial Breast IrradiationReduce time and inconvenience of BCTImprove documented underutilization of breast conserving therapy (BCT)?Potentially reduce acute and chronic toxicityReduce burden of care for patientsEliminate scheduling problems with systemic chemotherapy
  • 49.
    Rationale for PartialBreast Irradiation (PBI)10%-40% of those who are candidates for breast conservation therapy actually do not receive it.Why?Patientโ€™s choiceComplex and prolonged treatment course can be inconvenient for those with poor access to a radiation facility, the elderly and working womenPhysician bias
  • 50.
    Techniques for PBIInterstitialbrachytherapy with HDR or LDRIntracavitarybrachytherapy with MammositeIntraoperative electron beam therapy3D conformal radiation therapyProton beam
  • 51.
  • 52.
    Three Established MethodsFor PBIMammositeยฎMulti Catheter3-D Conformal
  • 53.
    Accelerated Partial BreastIrradiationTreatments delivered twice daily (with treatments separated by six hours) for 10 treatments delivered in 5 treatment days.Delivery of radiation limited to lumpectomy site with a margin of normal tissue.Each treatment takes approximately 10 minutes to deliver.
  • 54.
  • 55.
    Accelerated Partial BreastIrradiationBenefits:Limited radiation exposure to normal tissueTreatments completed in one week instead of six weeks
  • 56.
    Accelerated Partial BreastIrradiationLimitations:May require additional surgical procedure Requires twice daily treatmentNewer modality with far fewer patients treated and much shorter follow-upAs of now, no direct comparison with standard radiation
  • 58.
    Who is eligiblefor PBI? (Off study)Tumors < 3 cmNegative margins (> 2mm)Node negativeInvasive ductal carcinoma or DCISOlder women (>45 yrs)Revised Consensus Statement for Accelerated Partial Breast Irradiation, 12/8/05
  • 59.
    Interstitial brachytherapyCatheters areplaced intraoperatively or later; usually 2 planesTypical doses with HDR = 30-36 Gy and LDR = 45-60 GyTreatment delivered over one week.
  • 60.
  • 61.
  • 62.
    Dose Distribution ofMultiCatheter PBIPTV100% isodose
  • 63.
    Breast Appearance FollowingMulti-catheter Brachytherapy5 years post treatment
  • 64.
    Patient Selection forBreast BrachytherapyPatients older than 45Tumors less than 2 cm. in size>2mm. MarginsPreferably Infiltrating Ductal or loclized low grade DCIS. No Lobular CAThere must be at least 7mm. of tissue between the catheter surface and the skin of the breast.
  • 65.
    Advantages of BreastBrachytherapy vs. External Beam RT6 weeks (30 fractions)Homogeneous doseLogistical problem for patientsDifficult for frail, elderly, or chronically ill patientsInterferes with schedule of working womenSome BCT candidates will opt for mastectomy5 days (10 fractions)Dose is higher to tissue at greatest risk for sub-clinical malignant cellsReduction in skin, cardiac and lung doseIdeal for patients who live far from RT CenterConvenientMay increase number of women treated with BCT
  • 66.
    Disadvantages of BreastBrachytherapy vs. External Beam RTNoninvasiveCan cover nodal regionsTreats multi-centric carcinomaLow complication rateLinear accelerators widely availableMost radiation oncologists experienced InvasiveNot useful for treatment of nodal basinsMay miss tumor foci in other quadrantsLow, but definite risk of infection and/or fat necrosisRequires special skills for performing; in placing catheters and dosimetry
  • 67.
    MultiCatheter PBI:HDR/ LDR61mo.5%89%61 y1.4 cm17.5%Average:
  • 68.
    Breast BrachytherapyThere hasgot to be a better way than all of those needles.Mammosite device from Proxima Therapeutics may be the answer.FDA approved the device in May 2002
  • 69.
    MammoSite PBIMammositeยฎ BreastBrachytherapy ApplicatorSimplified brachytherapy method for PBI
  • 70.
    Dual lumen singlecatheter with expandable balloon at end
  • 71.
    Balloonexpands to fill the lumpectomy cavity
  • 72.
    Radiationdose prescribed to 1 cm beyond balloon surface
  • 73.
    Uses 192Ir (HDR) as the source
  • 74.
  • 75.
    5th Int. MeetingISIORT Madrid, June 2008GTVPTVSkinVolume DefinitionPTV: GTV + 1.5 โ€“ 2.0 (clinical margin) + 0.5 (setup margin) excluding skin and chest wallSkin: 5 mm depth below skin surface
  • 76.
    Difficulties with MammositeBalloonmust conform to cavity shape without air gaps. Device explanted in ~ 10-15% of pts.Ideal is to have 7 mm b/w balloon and skin to decrease risk of erythema.Very dependent on surgical placement.
  • 77.
    CT Planning forMammositeBrachytherapyIsodose Lines50%80%100%120%140%200%Mammositeยฎ balloon
  • 78.
  • 79.
    10 fractions over5 -7days3-Dimensional rendering of applicator surface and prescription dose cloud.
  • 80.
    Day 2 ontreatment
  • 81.
    Day 2on treatment
  • 82.
    2 weeks posttreatment
  • 83.
  • 84.
    Breast Appearance afterMammoSiteยฎ3 years post treatment
  • 85.
  • 86.
    Toxicities of MammositeSeromaformation: Risk is increased with open technique for placement. In Beaumont series, found 60% risk with open cavity vs. 30% in closed cavity; overall rate of 45%, with 10% symptomatic.Fat necrosis: Risk may be slightly lower than with HDR and no difference with placement technique.
  • 87.
    ConclusionThe MammoSite RTSis the most commonly used PBI techniqueMammoSite is minimally invasive, offers acceptable cosmetic results, and induces mild side effectsThe duration of treatment is only five days making it more convenient for patients The MammoSite RTS has criteria which prevent some patients from eligibilityNew devices such as SAVI, ClearPath, and Contura are overcoming those limitations
  • 88.
    โ€ฆ and Mammositebegat โ€ฆ.ConturaClearPathโ„ขSAVI5th Int. Meeting ISIORT Madrid, June 2008
  • 89.
    PBI: 3D-CRTTarget definition
  • 90.
    PBI: 3D-CRTBeam Arrangement3.85 Gy BID x 10 fractions
  • 91.
    PBI: 3D-CRTIsodose Distribution3850 3752 3655 3557 3460axialsagittalcoronal
  • 92.
  • 93.
    Accelerated Partial BreastIrradiation:SummaryAccelerated partial breast irradiation allows patients to complete a course of treatment in one week as opposed to the standard six weeks.Treatment limited to part of the breast may be associated with less morbidity of treatment and better cosmetic outcome.Hopefully, the randomized, prospective NSABP trial will answer the question of equivalence of partial and standard breast irradiation.
  • 94.
    Stage 0, I-IIbreast cancer treated by lumpectomyRandomizationWBI50-50.4 Gy (1.8-2.0 Gy)Fractions to the whole breast followed by boost to 60 -66.6 GyPBI34 Gy in 3.4 Gy fxs bidMammositeยฎ or Multicatheter brachytherapy OR 38.5 Gy in 3.85 Gy fxs bid3D-CRTNSABP B-39/RTOG 0413 TrialPhase III
  • 95.
  • 96.
    Secondary:Distant disease-freesurvivalOverall survivalQOL: Cosmesis, fatigue, symptoms, burden of care
  • 97.
    5th Int. MeetingISIORT Madrid, June 2008ZeissIntrabeamยฎ50 kV x-ray source at the end of a 15 cm long, 3.5 mm diameter tube.
  • 98.
    Spherical applicators withdiameters of 15-50 mm in steps of 5 mm
  • 99.
    Dose rate ofabout 2 Gy/min at 1 cm in waterSpherical applicators1.5 to 5cm diameter in 0.5cm stepsUniform surface dose-rate
  • 100.
    The pliable breasttissue is wrapped around the applicator. Subcutaneous stitches aid conformation, while ensuring that the skin is at least 1cm from the applicator surface.
  • 103.
    Intraoperative Radiation Therapy(IORT) for PBITARGIT trial is comparing whole breast irradiation to IORT delivering a single dose of 20 Gy. Primary accrual is in Europe.Using the Intrabeam Photon Radiosurgery System, 50 kV x-rays.Trial has enrolled 900 patients with target of 2200 patients.
  • 104.
  • 105.
  • 106.
    ฮ“ฮนฮฑฯ„ฮฏ ฯ‡ฯฮตฮนฮฑฮถฯŒฮผฮฑฯƒฯ„ฮต ฯ„ฮทฮฝIMRT ; ฮ’ฮตฮปฯ„ฮนฯƒฯ„ฮฟฯ€ฮฟฮฏฮทฯƒฮท ฯ„ฮทฯ‚ ฮฟฮผฮฟฮนฮฟฮณฮญฮฝฮตฮนฮฑฯ‚ ฯ„ฮทฯ‚ ฮดฯŒฯƒฮทฯ‚ ๏ƒ  ฮบฮฑฮปฯฯ„ฮตฯฮท ฮบฮฑฯ„ฮฑฮฝฮฟฮผฮฎ ฯ„ฮทฯ‚ ฮดฯŒฯƒฮทฯ‚ ฮตฮฝฮดฮตฯ‡ฮฟฮผฮญฮฝฯ‰ฯ‚ ฯƒฯ…ฮฝฮฟฮดฮตฯฮตฯ„ฮฑฮน ฮฑฯ€ฯŒ ฮผฮนฮบฯฯŒฯ„ฮตฯฮท ฮฟฮพฮตฮฏฮฑ ฮบฮฑฮน ฯ‡ฯฯŒฮฝฮนฮฑ ฯ„ฮฟฮพฮนฮบฯŒฯ„ฮทฯ„ฮฑ (ฮดฮญฯฮผฮฑ, ฮผฮฑฮถฮนฮบฯŒ ฯ€ฮฑฯฮญฮณฯ‡ฯ…ฮผฮฑ) ฮœฮตฮฏฯ‰ฯƒฮท ฯ„ฯ‰ฮฝ ฯ„ฮผฮทฮผฮฌฯ„ฯ‰ฮฝ ฯ„ฮฟฯ… ฯ€ฮฝฮตฯฮผฮฟฮฝฮฑ, ฯ„ฮทฯ‚ ฮบฮฑฯฮดฮนฮฌฯ‚ (ฯƒฮต ฯŒฮณฮบฮฟฯ…ฯ‚ ฮฑฯฮนฯƒฯ„ฮตฯฮฟฯ ฮผฮฑฯƒฯ„ฮฟฯ) ฮบฮฑฮน ฯ„ฮฟฯ… ฮตฯ„ฮตฯฯŒฯ€ฮปฮตฯ…ฯฮฟฯ… ฮผฮฑฯƒฯ„ฮฟฯ ฯ€ฮฟฯ… ฮปฮฑฮผฮฒฮฌฮฝฮฟฯ…ฮฝ ฯ…ฯˆฮทฮปฮญฯ‚ ฮดฯŒฯƒฮตฮนฯ‚. ฮฃฮต ฮตฮพฮตฮนฮดฮนฮบฮตฯ…ฮผฮญฮฝฮตฯ‚ ฯ€ฮตฯฮนฯ€ฯ„ฯŽฯƒฮตฮนฯ‚:
  • 107.